КТ при нейроэндокринной опухоли желудка
Добавил пользователь Владимир З. Обновлено: 18.12.2025
Методы лучевой диагностики позволяют определить степень местного и отдаленного распространения процесса.
Методы лучевой диагностики нейроэндокринных опухолей:
компьютерная томография (МСКТ),
магнитно-резонансная томография (МРТ, МРХПГ),
позитронно-эмиссионная томография (ПЭТ).
МСКТ и МРТ выполняются с внутривенным введением контрастного препарата. Последние два метода применяются для оценки активности опухоли – оценки ее метаболизма (обмен веществ).
Задачи лучевой диагностики
Выявление патологического образования – нейроэндокринной опухоли.
Дифференциальная диагностика патологических образований.
Оценка распространенности поражения органов и систем.
Стадирование опухолей (TNM).
Оценка эффективности лечения.
Противопоказания к МСКТ
При выборе метода лучевой диагностики учитываются их точность, доступность и наличие противопоказаний.
аллергия на йодсодержащие препараты,
выраженное нарушение функции почек.
Противопоказания к МРТ
МРТ сложно выполнять пациентам в тяжелом общем состоянии, если они не могут задерживать дыхание, в соответствии с требованиями, что препятствует получению качественных диагностических изображения.
первый триместр беременности,
наличие металлических инородных тел,
наличие искусственных водителей ритма,
наличие кохлеарных имплантов,
наличие искусственных клапанов сердца (если нет сертификата, разрешающего проведение МРТ),
наличие эндопротезов крупных суставов и других металлоконструкций (если нет сертификата, разрешающего проведение МРТ).
МСКТ и МРТ имеют разную диагностическую ценность при обследовании того или иного органа. МСКТ - оптимальный метод для обследования легких и органов средостения, мягких тканей шеи, органов брюшной полости и забрюшинного пространства, желудочно-кишечного тракта. МРТ предоставляет исчерпывающую информацию о патологии головного мозга, орбит, органов малого таза (мочевой пузырь, предстательная железа, матка и яичники, прямая кишка), позволяет четко оценить органы брюшной полости и забрюшинного пространства, желчные протоки, специальная методика – МР-энтерография дает представление о патологии тонкого кишечника.

Рисунок 1. Множественные нейроэндокринные опухоли поджелудочной железы. Определяются только на фоне внутривенного введения контрастного препарата.
В 50-90% случаев на поверхности злокачественных клеток нейроэндокринных опухолей (НЭО) наблюдается увеличение количества соматостатиновых трансмембранных рецепторов (somatostatin seven-transmembrane-domain receptor, SSTR). На этом основано применение радионуклидных методов диагностики. При выполнении позитронно-эмиссионной томографии (ПЭТ\КТ) для диагностики НЭО предназначены радиофармпрепараты 68 Ga-DOTA-TATE (DOTA-TATE, меченый галлием-68) и 68 Ga-DOTA-NOC (DOTA-NOC, меченый галлием-68), как обладающие сродством к большинству подтипов SSTR .
Нередко возникают ситуации, когда чувствительность ПЭТ/КТ с 68 Ga-DOTA-TATE и 68 Ga-DOTA-NOC снижена. В таких случаях возникает необходимость выполнения исследования с другим радиофармпрепаратом – 18 F-фтордезоксиглюкозой ( 18 F-ФДГ).
Для установления наиболее эффективного радиофармпрепарата в каждом конкретном клиническом случае необходимо воспользоваться нижеприведённой таблицей. Производится это путём сопоставления двух параметров, полученных из иммуногистохимического: Grade (G) и Ki-67 (параметры агрессивности опухоли).
++: чувствительность метода высокая;
-: чувствительность метода низкая;
+: чувствительность метода одинаковая (ПЭТ/КТ можно выполнить как с 68 Ga-DOTA-TATE и 68 Ga-DOTA-NOC, так и с 18 F-ФДГ).
![]() | ![]() |
| Рисунок 4. Накопление радиофармпрепарата 68 Ga-DOTA-TATE пораженными лимфатическими узлами у пациента с НЭО прямой кишки. | |
Для проведения и качественной интерпретации данных лучевого исследования (КТ/МРТ/ПЭТ) врачу-рентгенологу необходимо знать цель исследования, результаты лабораторных тестов, данные архива лучевых исследований, важно ознакомиться с выписками и другими медицинскими документами каждого пациента.
Автор статьи: Савельева Татьяна Вячеславовна (врач - рентгенолог)
Оформите заявку на сайте, мы свяжемся с вами в ближайшее время и ответим на все интересующие вопросы.
Нейроэндокринные опухоли
Нейроэндокринные опухоли – гетерогенная группа эпителиальных новообразований, происходящих из клеток APUD-системы. У большинства больных нейроэндокринными опухолями развивается карциноидный синдром, включающий в себя приливы, боли в животе, диарею, нарушения дыхания, поражение сердечных клапанов и телеангиэктазии. Возможны также гипогликемия, чувство голода, расстройства сознания, судороги, пептические язвы, похудание, диабет, дерматит, тромбозы и тромбоэмболии. Диагноз выставляется с учетом симптомов, данных лабораторных и инструментальных исследований. Лечение – операция, химиотерапия, симптоматическая терапия.
Общие сведения
Нейроэндокринные опухоли (НЭО) – группа новообразований различной степени злокачественности, происходящих из клеток диффузной нейроэндокринной системы, способных продуцировать пептидные гормоны и биогенные амины. Нейроэндокринные опухоли относятся к числу редко встречающихся онкологических заболеваний. Обычно поражают пищеварительную и дыхательную системы, но могут выявляться и в других органах. Возникают спорадически или являются следствием одного из нескольких наследственных синдромов, сопровождающихся развитием множественных нейроэндокринных опухолей в различных органах.
Классификация нейроэндокринных опухолей
С учетом особенностей эмбриогенеза различают три группы нейроэндокринных опухолей:
- Новообразования, происходящие из верхнего отдела первичной эмбриональной кишки, дающего начало легким, бронхам, пищеводу, желудку и верхней части двенадцатиперстной кишки.
- Нейроэндокринные опухоли, происходящие из среднего отдела первичной эмбриональной кишки, являющегося предшественником нижней части двенадцатиперстной кишки, тощей кишки и верхних отделов толстого кишечника, включая аппендикс, слепую, подвздошную и восходящую ободочную кишку.
- Нейроэндокринные опухоли, происходящие из нижнего отдела первичной эмбриональной кишки, дающего начало нижним отделам толстого кишечника и прямой кишке.
С учетом локализации выделяют бронхопульмональные нейроэндокринные опухоли и новообразования пищеварительной системы. НЭО бронхов и легких составляют около 3% от всех онкологических заболеваний дыхательной системы и примерно 25% от общего количества нейроэндокринных опухолей. НЭО пищеварительной системы составляют около 2% от всех онкологических процессов данной локализации и более 60% от общего числа нейроэндокринных опухолей. Поражения пищеварительной системы, в свою очередь, подразделяются на эндокринные карциномы (устаревшее название – карциноиды) и другие новообразования (инсулиномы, випомы, глюкагономы, соматостатиномы, гастриномы). Эндокринные карциномы чаще всего встречаются в аппендиксе и тонкой кишке, другие неоплазмы – в поджелудочной железе.
В отдельных случаях нейроэндокринные опухоли образуются из клеток, являющихся производными эндодермы, нейроэктодермы и эмбрионального нервного гребешка, и локализуются в передней доле гипофиза, щитовидной железе, паращитовидных железах, надпочечниках, предстательной железе, молочной железе, почках, коже или яичниках. Нейроэндокринные опухоли, расположенные за пределами дыхательной системы и желудочно-кишечного тракта, составляют около 15% от общего количества новообразований данной группы.
Согласно классификации ВОЗ, все нейроэндокринные опухоли пищеварительной системы вне зависимости от их вида и локализации подразделяются на три категории:
- Высокодифференцированные новообразования с доброкачественным течением или неопределенной степенью злокачественности.
- Высокодифференцированные нейроэндокринные опухоли с низким потенциалом злокачественности.
- Низкодифференцированные новообразования с высоким потенциалом злокачественности.
В отличие от новообразований ЖКТ, нейроэндокринные опухоли дыхательной системы сохранили старое название карциноид. В соответствии с классификацией ВОЗ выделяют четыре категории таких неоплазий:
- Карциноиды с низким потенциалом злокачественности.
- Карциноиды со средним потенциалом злокачественности.
- Крупноклеточные нейроэндокринные карциномы.
- Мелкоклеточный рак легкого.
Наряду с перечисленными «обобщенными» классификациями существуют классификации ВОЗ для нейроэндокринных опухолей различной локализации, созданные с учетом диаметра первичного новообразования, глубины прорастания подлежащих тканей, степени вовлечения нервов, лимфатических и кровеносных сосудов, наличия или отсутствия метастазов и некоторых других факторов, оказывающих влияние на течение и прогноз заболевания.
Симптомы нейроэндокринных опухолей
Нейроэндокринные опухоли ЖКТ
Нейроэндокринные опухоли ЖКТ (эндокринные карциномы, карциноидные опухоли ЖКТ) чаще всего выявляются в области червеобразного отростка. Второе место по распространенности занимают неоплазии тонкого кишечника. Нейроэндокринные опухоли толстого кишечника и прямой кишки составляют 1-2% от общего количества онкологических процессов этой анатомической зоны. Новообразования желудка и двенадцатиперстной кишки встречаются относительно редко. У 10% пациентов выявляется генетическая предрасположенность к возникновению множественных нейроэндокринных опухолей.
Все эндокринные карциномы выделяют пептиды и биогенные амины, однако перечень биологически активных соединений и уровень активности секреторных клеток новообразований может существенно варьировать, что обуславливает возможные различия в клинической картине заболевания. Наиболее характерным признаком нейроэндокринных опухолей ЖКТ является карциноидный синдром, обычно возникающий после появления метастазов в печени, сопровождающийся приливами, диареей и болями в животе. Реже при данном синдроме встречаются поражения сердечных клапанов, расстройства дыхания и телеангиэктазии.
Приливы наблюдаются у 90% пациентов с нейроэндокринными опухолями. В качестве основной причины развития приступов рассматривают выброс в кровь большого количества серотонина, простагландинов и тахикининов. Приливы развиваются спонтанно, на фоне употребления алкоголя, эмоционального напряжения или физической нагрузки и длятся от нескольких минут до нескольких часов. Во время приливов у пациентов с нейроэндокринными опухолями выявляется гиперемия лица или верхней половины туловища в сочетании с гипотонией (редко – гипертонией), тахикардией и головокружением.
Диарея может отмечаться как на фоне приступов, так и в их отсутствие и выявляется у 75% больных нейроэндокринными опухолями. Поражение сердечных клапанов развивается постепенно, встречается у 45% пациентов. Патология обусловлена фиброзом сердца, возникающим в результате длительного воздействия серотонина. У 5% пациентов с карциноидным синдромом наблюдается пеллагра, проявляющаяся слабостью, нарушениями сна, повышенной агрессивностью, невритом, дерматитом, глосситом, фотодерматозом, кардиомиопатией и когнитивными расстройствами.
У 5% больных нейроэндокринными опухолями отмечается атипичное течение карциноидного синдрома, обусловленного выбросом в кровь гистамина и 5-гидрокситриптофана. Обычно этот вариант выявляется при НЭО желудка и верхней части двенадцатиперстной кишки. Атипичный карциноидный синдром при нейроэндокринных опухолях проявляется головной болью, приливами, бронхоспазмом и слезотечением. Во время приливов выявляется непродолжительная гиперемия лица и верхней половины туловища, сопровождающаяся жаром, потливостью и кожным зудом. По окончании приливов в области покраснения образуются многочисленные телеангиэктазии.
Опасным осложнением нейроэндокринных опухолей является карциноидный криз. Обычно такой криз развивается на фоне хирургического вмешательства, инвазивной процедуры (например, биопсии) или сильного стресса, но может возникать и без видимых внешних причин. Состояние сопровождается резким падением артериального давления, выраженной тахикардией и сильным брохноспазмом. Представляет опасность для жизни, требует проведения неотложных лечебных мероприятий.
Другие нейроэндокринные опухоли
Инсулиномы – нейроэндокринные опухоли, в 99% случаев возникающие в тканях поджелудочной железы, в 1% случаев – в области двенадцатиперстной кишки. Как правило, протекают доброкачественно, обычно бывают одиночными, реже – множественными. Женщины страдают чаще мужчин. У 5% больных нейроэндокринные опухоли развиваются на фоне генетических нарушений. Проявляются гипогликемией, чувством голода, нарушениями зрения, спутанностью сознания, гипергидрозом и дрожанием конечностей. Возможны судороги.
Гастриномы – нейроэндокринные опухоли, в 70% случаев локализующиеся в двенадцатиперстной кишке, в 25% - в поджелудочной железе, в остальных случаях – в желудке или тонком кишечнике. Обычно протекают злокачественно. Чаще встречаются у мужчин. У 25% пациентов обнаруживается генетическая предрасположенность. На момент постановки диагноза у 75-80% больных нейроэндокринными опухолями выявляются метастазы в печень, у 12% - метастазы в кости. Основным проявлением становятся одиночные или множественные пептические язвы. Часто наблюдается тяжелая диарея. Причинами летального исхода могут стать кровотечение, перфорация или нарушения функций органов, пораженных отдаленными метастазами.
Випомы – нейроэндокринные опухоли, обычно возникающие в поджелудочной железе, реже – в легких, надпочечниках, тонкой кишке или средостении. Панкреатические нейроэндокринные опухоли, как правило, протекают злокачественно, внепанкреатические – доброкачественно. Наследственная предрасположенность выявляется у 6% больных. Основным симптомом нейроэндокринной опухоли являются опасные для жизни, изнуряющие хронические поносы, вызывающие нарушения водно-электролитного баланса с развитием судорог и сердечно-сосудистых расстройств. Среди других проявлений болезни – гиперемия верхней половины тела и гипергликемия.
Глюкагономы – нейроэндокринные опухоли, всегда локализующиеся в поджелудочной железе. В 80% случаев протекают злокачественно, обычно метастазируют в печень, реже – в лимфоузлы, яичники и позвоночник. Возможна диссеминация брюшины. Средний размер нейроэндокринной опухоли на момент постановки диагноза составляет 5-10 см, у 80% больных при первичном обращении выявляются метастазы в печени. Глюкагономы проявляются снижением веса, диабетом, расстройствами стула, стоматитом и дерматитом. Возможны тромбозы, тромбоэмболии и психические нарушения.
Диагностика и лечение нейроэндокринных опухолей
Диагноз устанавливается на основании клинических симптомов, результатов лабораторных и инструментальных исследований. При эндокринных карциномах определяют уровень серотонина в крови и 5-ГИУК в моче. При инсуломах проводят исследование крови на содержание глюкозы, инсулина, проинсулина и С-пептида. При глюкагономах выполняют анализ крови на глюкоген, при випомах – на вазоактивный интестинальный пептид, при гастриномах – на гастрин. Кроме того, план обследования больных с подозрением на нейроэндокринную опухоль включает в себя УЗИ органов брюшной полости, КТ и МРТ органов брюшной полости, ПЭТ, сцинтиграфию и эндоскопические исследования. При подозрении на злокачественный характер опухоли осуществляют биопсию.
Радикальным методом лечения нейроэндокринной опухоли является ее оперативное иссечение в пределах здоровых тканей. Из-за множественности новообразований, затруднений при определении расположения небольших узлов и высокой частоты метастазирования полное удаление нейроэндокринных опухолей у значительной части больных не представляется возможным. Для уменьшения клинических проявлений заболевания назначают симптоматическое лечение с использованием октреотида и других аналогов соматостатина. При быстром росте злокачественных новообразований показана химиотерапия.
Прогноз при нейроэндокринных опухолях
Прогноз зависит от типа, степени злокачественности и распространенности неоплазии. Средняя пятилетняя выживаемость больных эндокринной карциномой составляет 50%. У пациентов с карциноидным синдромом этот показатель снижается до 30-47%. При гастриноме без метастазов до пяти лет с момента постановки диагноза удается дожить 51% больных. При наличии метастазов пятилетняя выживаемость пациентов с такой нейроэндокринной опухолью снижается до 30%. Прогноз при глюкагономе неблагоприятен, однако средние показатели выживаемости точно не установлены из-за редкой встречаемости данного типа нейроэндокринной опухоли.
Гастроинтестинальные стромальные опухоли
Гастроинтестинальные стромальные опухоли – группа редких злокачественных новообразований желудочно-кишечного тракта мезенхимального происхождения. Клинические проявления зависят от локализации неоплазии. Возможны ощущение быстрого насыщения, боли, вздутие живота, кровотечения и явления кишечной непроходимости. На поздних стадиях выявляются снижение веса, лихорадка, анемия, гипертермия и нарушения функции органов, пораженных отдаленными метастазами. Диагноз выставляют на основании жалоб, данных объективного осмотра, КТ, УЗИ, эндоскопического исследования и результатов биопсии. Лечение – операция, химиотерапия.
Гастроинтестинальные стромальные опухоли (ГИСО) – группа новообразований неэпителиального происхождения, располагающихся в подслизистом слое полых органов желудочно-кишечного тракта. В 60-70% случаев поражают желудок, в 20-30% - тонкий кишечник, в 5% - прямую кишку, менее чем в 5% - пищевод. В отдельных случаях выявляются в области сальника, брыжейки и забрюшинного пространства, хотя механизм развития таких неоплазий за пределами полых органов пока не изучен. Гастроинтестинальные стромальные опухоли составляют менее 1% от общего количества онкологических поражений ЖКТ. Обычно развиваются после 40 лет, пик заболеваемости приходится на 55-60 лет.
На момент обнаружения некоторые новообразования данной группы могут выглядеть доброкачественными, однако специалисты всегда рассматривают подобные опухоли как потенциально злокачественные. Нередко наблюдается агрессивное течение, на момент постановки диагноза у 15-50% пациентов выявляется метастатическое поражение печени или брюшины. Реже гастроинтестинальные стромальные опухоли метастазируют в кости, плевру и легкие. Основной причиной развития считают наследственную предрасположенность. Некоторые исследователи указывают на связь между видом мутации и уровнем расположения неоплазии. Лечение осуществляют специалисты в области онкологии, гастроэнтерологии и абдоминальной хирургии.
Классификация гастроинтестинальных стромальных опухолей
До 80-х годов прошлого века специалисты считали, что новообразования данной группы происходят из гладкомышечной ткани и рассматривали подобные опухоли как леомиосаркомы, лейомиомы и лейомиобластомы. После внедрения в клиническую практику иммунногистохимических методик и электронной микроскопии было установлено, что клетки гастроинтестинальных стромальных опухолей происходят из интерстициальных клеток Кахаля, представляющих собой связующее звено между интрамуральными узлами периферической нервной системы и клетками гладких мышц полых органов ЖКТ. Одной из основных функций таких клеток является координация перистальтики стенки пищевода, желудка и кишечника.
Макроскопически гастроинтестинальные стромальные опухоли представляют собой рыхлые мягкие узлы розоватого, серого или светло-коричневого цвета с участками ослизнения. Диаметр узлов может колебаться от 1 до 35 см. В процессе роста такие новообразования могут сливаться, образуя конгломераты или кистозные структуры. В центре крупных неоплазий обычно обнаруживаются участки некроза, в ткани новообразований видны кистозные полости с кровоизлияниями.
При микроскопическом исследовании образца гастроинтестинальной стромальной опухоли обнаруживаются веретенообразные и эпителиолидные клетки, располагающиеся на расстоянии друг от друга либо группирующиеся в скопления, разделенные тонкими прослойками соединительной ткани. Отмечается полиморфизм клеток. Веретенообразные клетки образуют пучки и завитки. Эпителиолидные клетки имеют более четкие границы, форма таких клеток округлая или полигональная. Цитоплазма веретенообразных и эпителиоидных клеток светлая, ядра клеток округлые или овальные.
С учетом особенностей гистологического строения выделяют следующие типы гастроинтестинальных стромальных опухолей:
- Веретеноклеточные. Составляют около 70% от общего количества стромальных новообразований. Преобладают веретенообразные клетки с округлыми или вытянутыми мономорфными ядрами.
- Эпителиоидные. Встречаются в 20% случаев стромальных неоплазий. Преобладают полигональные или округлые клетки с овальными или округлыми светлыми ядрами.
- Илеоформные. Составляют 10% от всех гастроинтестинальных стромальных опухолей. Отмечается выраженный клеточный полиморфизм.
Кроме того, выделяют редко встречающиеся онкоцитарные, мезотелиомоподобные и перстневидноклеточные ГИСО.
Симптомы гастроинтестинальных стромальных опухолей
Патогномоничные симптомы отсутствуют, клиническая картина определяется расположением новообразования. Возможны затруднения глотания, чувство преждевременного насыщения, вздутие или боли в животе. У 20% больных гастроинтестинальная стромальная опухоль на начальных стадиях протекает бессимптомно. Из-за неспецифичности и неяркой выраженности проявлений пациенты обращаются к врачу в среднем через 4-6 месяцев после появления первых признаков болезни. Нередко такие неоплазии становятся случайной находкой при проведении КТ, эзофагогастродуоденоскопии и других исследований. Иногда гастроинтестинальные стромальные опухоли обнаруживают во время хирургического вмешательства по поводу другого заболевания.
При прогрессировании онкологического процесса более чем у половины больных наблюдаются желудочно-кишечные кровотечения, сопровождающиеся меленой или кровавой рвотой. У многих пациентов развивается постгеморрагическая анемия. Высокая вероятность кровотечений при ГИСО объясняется частым изъязвлением новообразования. У 10-30% больных гастроинтестинальными стромальными опухолями отмечаются признаки кишечной непроходимости. На поздних стадиях выявляются снижение массы тела, потеря аппетита, слабость и увеличение живота, обусловленное асцитом и/или растущим новообразованием. При пальпации живота определяется опухолевидное образование. При метастазировании в печень возможно увеличение органа и желтуха той или иной степени выраженности.
Диагностика гастроинтестинальных стромальных опухолей
Диагноз выставляют с учетом клинических симптомов, данных внешнего осмотра и объективных исследований. Пациентам назначают рентгенографию органов брюшной полости, УЗИ и контрастную КТ органов брюшной полости. При низко расположенных опухолях больных направляют на МРТ. При поражении желудка осуществляют гастроскопию, при поражении толстого кишечника – колоноскопию. При подозрении на метастазирование гастроинтестинальной стромальной опухоли проводят рентгенографию грудной клетки, КТ грудной клетки, рентгенографию позвоночника, сцинтиграфию костей скелета и другие исследования.
При возможности используют ПЭТ-КТ, позволяющую точно определять распространенность гастроинтестинальной стромальной опухоли и выявлять небольшие метастазы, не обнаруживаемые при помощи других методик. Окончательный диагноз устанавливают на основании гистологического и иммунохимического исследования образца ткани, взятого при проведении эндоскопического исследования. Дифференциальную диагностику осуществляют с другими новообразованиями ЖКТ.
Лечение гастроинтестинальных стромальных опухолей
Основным методом лечения ГИСО является хирургическое вмешательство. Объем операции определяется в зависимости от локализации и распространенности неоплазии. Стандартом является радикальная резекция патологических очагов вместе с 1-2 см окружающих здоровых тканей. Удаленную гастроинтестинальную стромальную опухоль отправляют на срочное микроскопическое исследование, при выявлении злокачественных клеток по линии разреза осуществляют иссечение пораженного участка.
Из-за редкого лимфогенного метастазирования лимфаденэктомию не производят (за исключением гастроинтестинальных стромальных опухолей прямой кишки, которые в 25-30% случаев метастазируют в лимфоузлы). При единичных метастазах в печени выполняют радиочастотную термоабляцию или оперативное удаление вторичной опухоли. При неоперабельных новообразованиях назначают предоперационную химиотерапию, затем проводят повторное обследование. При появлении признаков резектабельности новообразование иссекают, в остальных случаях продолжают лечение химиопрепаратами.
Прогноз зависит от расположения, распространенности и размера гастроинтестинальной стромальной опухоли. Средняя пятилетняя выживаемость составляет 48%. До 5 лет с момента радикального хирургического вмешательства удается дожить 50% больных, при опухолях диаметром более 10 см этот показатель снижается до 20%. Отмечается высокая вероятность рецидивирования, в течение 2 лет после радикальной резекции рецидивы выявляются у 80% пациентов. Средняя продолжительность жизни при неоперабельных гастроинтестинальных стромальных опухолях по различным данным колеблется от 10 до 21 месяца.
КТ при нейроэндокринной опухоли желудка
а) Определение:
• Хорошо дифференцированная нейроэндокринная опухоль, происходящая из пищеварительного тракта:
о Или, реже, из легких или мочеполовой системы
б) Визуализация:
1. Общая характеристика:
• Лучший диагностический критерий:
о Солитарное объемное образование в дистальных отделах подвздошной кишки, накапливающее контраст, с наличием метастазов в брыжейке
• Локализация:
о ЖКТ (55%), легкие и бронхи (30%), органы мочеполовой системы и другие (15%)
о Карциноидные опухоли ЖКТ: тонкая кишка (45%), прямая кишка (20%), червеобразный отросток (16%), ободочная кишка (11 %), желудок (7%)
о Карциноидные опухоли двенадцатиперстной кишки наряду с опухолями поджелудочной железы классифицируются как нейроэндокринные
• Другие общие признаки:
• Карцинодные опухоли желудка связаны с постоянной стимуляцией, обусловленной высоким уровнем гастрина в сыворотке крови:
о Гастринома (синдром Золлингера-Эллисона или МЭН-1)
о Пернициозная анемия или атрофический гастрит
о Карциноидные опухоли желудка часто множественные
• Карциноид средних отделов пищеварительной трубки (тощей и подвздошной кишки):
о В настоящее время более распространен, чем аденокарцинома тонкой кишки
о В 75% является солитарным
о В 90% возникает в подвздошной кишке в пределах 60 см от илеоцекального клапана
• Карциноид червеобразного отростка:
о Самая частая опухоль аппендикса
о Обычно обнаруживается случайно при аппендэктомии
• Карциноид колоректальной области:
о Протекает бессимптомно, пока не достигнет больших размеров
о Редко обусловливает карциноидный синдром
• Ключевые моменты:
о Карциноидный синдром:
- Совокупность симптомов (приливы, диарея, астма, боль, правосторонняя сердечная недостаточность)
- Часто верный диагноз не устанавливается в течение нескольких лет
- Метастазы в печени, обычно из опухоли тонкой кишки
о Симптоматика обусловлена циркуляцией в системном кровотоке гормональных факторов, продуцируемых карциноидом:
- Серотонин, гистамин, допамин, соматостатин
- Вазоактивный интестинальный полипептид, субстанция Р
2. Рентгенография при карциноиде (карциноидной опухоли):
• Рентгеноскопия тонкой кишки или энтероклизма:
о Инфильтрация брыжейки: перегиб петель тонкой кишки под углом с их деформацией, фиксацией и ретракцией

(Слева) На аксиальной КТ с контрастным усилением у мужчины 65 лет с жалобами на боль в животе визуализируется объемное образование в брыжейке с наличием кальцинатов в центре, видны также переполненные кровью брыжеечные сосуды. В правом нижнем квадранте также определяется стягивание брыжейки с деформацией кишечника.
(Справа) На КТ, полученной в венозную фазу контрастного усиления, визуализируется подозрительное объемное образование в илеоцекальной области, которое, как подтвердилось при хирургическом вмешательстве, является карциноидной опухолью. Обычно метастазы в брыжейке более очевидны на КТ по сравнению с первичной опухолью, особенно в венозную фазу контрастного усиления.
3. КТ при карциноиде (карциноидной опухоли):
• Подслизистые опухоли:
о Солитарные или множественные, четко отграниченные, накапливающие контраст:
- 80-95% карциноидных опухолей-гиперваскулярные
о Объемное образование в стенке, усиливающееся при контрастировании, лучше визуализируется при дополнительном приеме воды в качестве контрастного вещества
о Первичную опухоль выявить сложнее, чем вторичные очаги
• Распространение опухоли тонкой кишки в брыжейку:
о Объемное образование в брыжейке неоднородной структуры, возникающее вследствие прямой инвазии или метастатического поражения лимфоузлов
о Вплоть до 70% случаев в образовании брыжейки обнаруживаются кальцинаты
о Возможна также деформация, фиксация, ретракция петель тонкой кишки:
- Обусловленная фиброзом брыжейки и десмопластической реакцией
- Десмопластическая реакция проявляется пальцевидными выпячиваниями от образования в прилежащую брыжейку
о Возможно также обрастание и сужение брыжеечных сосудов
о Обструкция тонкой кишки может быть обусловлена новообразованием в ее просвете, перегибом или инвагинацией
• Метастазы в печени:
о В артериальную фазу характеризуются интенсивным контрастным усилением вследствие высокой васкуляризации
о В отсроченную фазу могут быть изо- или гиподенсны по отношению к паренхиме печени
• Трехмерная КТ-ангиография:
о Позволяет обнаружить объемное образование в брыжейке и оценить его отношение к сосудам
о Позволяет выявить муфтообразный охват или окклюзию брыжеечных сосудов
о Возможно утолщение стенки кишечника и подслизистый отек:
- Возникшие в результате ишемии или нарушения оттока крови в пораженных сегментах тонкой кишки

(Слева) На аксиальной КТ у мужчины 54 лет со схваткообразной болью в животе и приливами визуализируются гиперваскулярные метастазы в печени и по брюшине.
(Справа) На корональной КТ у этого же пациента визуализируется гиперваскулярное образование в терминальных отделах подвздошной кишки (первичная опухоль) в сочетании с метастазами в брыжейку с наличием десмопластических изменений в брыжейке подвздошной кишки. Эти клинические и лучевые признаки являются классическими изменениями при карциноидном синдроме.
3. МРТ при карциноида (карциноидной опухоли):
• Подслизистые опухоли тонкой кишки:
о Т1 ВИ: изоинтенсивный сигнал по отношению к мышцам
о Т2 ВИ: гипер- или изоинтенсивный по отношению к мышцам
о Т1 с контрастным усилением: равномерное накопление контраста
• Опухоль с прорастанием в брыжейку: О Т1 и Т2 ВИ:
- Объемное образование с лучистыми краями, изоинтенсивное по отношению к мышцам
- Гипоинтенсивныетяжи, обусловленные десмопластической реакцией
- Кальцинаты могут быть не обнаружены
о На Т1 с введением контраста обнаруживается интенсивное контрастное усиление
• Метастазы в печени:
о Т1 ВИ: гипоинтенсивны:
о Т2 ВИ: слегка или умеренно гиперинтенсивны
о Равномерно накапливают контраст в артериальную фазу
о Изоинтенсивны печени в портально-венозную фазу
о Метастазы большего размера характеризуются неоднородным контрастным усилением:
- Вследствие наличия зон некроза
о Может наблюдаться периферическое контрастное усиление с постепенным контрастированием центральной части в отсроченную фазу
4. Радионуклидная диагностика карциноида (карциноидной опухоли):
• Сцинтиграфия с октреотидом (In-111) или сомастатин-рецепторная сцинтиграфия (ОктреоСкан):
о Предполагает сканирование всего тела
о Лучше выполняется при использовании ОФЭКТ
о Обладает меньшей чувствительностью по отношению к первичной опухоли и метастазам в печени, чем с КТ или МРТ
• ПЭТ с 18F ДОФА:
о Позволяет выявить первичную опухоль, метастазы в лимфоузлах и отдаленных органах благодаря усилению захвата радиофармпрепарата
• МИБГ (сканирование с мета-йод-бензил-гуанидином, меченым I-131):
о Повышенный захват радиофармпрепарата определяется в ЖКТ, вторично измененных лимфоузлах и метастазах в печени
5. Рекомендации по визуализации:
• Мультипланарная КТ с контрастным усилением (или МРТ) с заполнением тонкой кишки водой:
о Артериальная фаза (приблизительно на 35 секунде) и венозная фаза (после - 70-секундной задержки)
• Сцинтиграфия с октреотидом (In-111) или сомастатин-рецепторная сцинтиграфия:
о Чувствительность (75%), специфичность (100%)

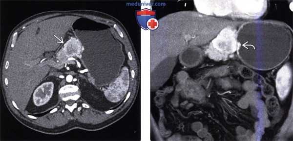
(Слева) На аксиальной КТ с контрастным усилением у мужчины 75 лет определяется в значительной степени васкуляризованное образование в желудочно-печеночной связке, непосредственно примыкающее к малой кривизне желудка.
(Справа) На корональной КТ с контрастным усилением (объемный рендеринг) у этого же пациента отчетливо определяется, что это образование вплотную прилежит к стенке желудка. При исследовании резектата было обнаружено, что образование является экзофитной карциноидной опухолью желудка. Кроме того, подобный внешний вид может иметь ГИСО желудка.
в) Дифференциальная диагностика карциноида (карциноидной опухоли):
1. Склерозирующий мезентерит:
• Группа лимфоузлов, периваскулярное жировое «гало»
• Инфильтрация брыжейки тощей кишки (не подвздошной)
2. Гастроинтестинальная стромальная опухоль (ГИСО):
• Гиперваскулярная опухоль, не ассоциированная с изменениями, обусловленными десмопластической реакцией в брыжейке
3. Рак тонкой кишки:
• В двенадцатиперстной/тощей кишке чаще, чем в подвздошной
• Обусловливает обструкцию просвета
• Первичная опухоль и ее метастазы гиповаскулярны
4. Метастазы в стенке тонкой кишки и лимфома:
• В целом являются менее васкуляризованными и не так часто индуцируют десмопластические изменения в брыжейке
г) Патология:
1. Общая характеристика:
• Этиология:
о Карциноидные опухоли классифицируются исходя из того, из какой части пищевой трубки эмбриона они происходят:
- «Передняя» кишка (бронхи, желудок, двенадцатиперстная кишка)
- «Средняя» кишка (тонкая кишка, аппендикс, проксимальная часть ободочной кишки)
- «Задняя» кишка (дистальные отделы ободочной кишки, прямая кишка, мочеполовая система)
о Опухоль возникает из энтерохромаффинных клеток Кульчицкого в криптах Люберкюна
о Окрашивание клеток хроматом калия позволяет обнаружить наличие серотонина
• Ассоциированные патологические изменения:
о Изменения со стороны сердца (с частотой 60-70%):
- Стеноз или недостаточность трехстворчатого клапана или клапана легочной артерии
- Увеличение правых отделов сердца и изменения со стороны перегородки
о Могут сочетаться с другими злокачественными новообразованиями:
- Относящимися к опухолям, называемыми апудомами (APUD: А: амины, Р: предшественники, U: захват, D: декарбоксилирование), образованными клетками, характеризующимися повышенным захватом аминокислот и их декарбоксилированием
2. Макроскопические и хирургические особенности:
• Плотные подслизистые узлы желтого цвета
3. Микроскопия:
• Мелкие округлые клетки, округлые ядра, светлая цитоплазма
• Опухолевый рост вдоль сосудисто-нервных пучков
• Десмопластическая реакция, ретракция и фиброз
• При электронной микроскопии: гранулы нейрон-специфической энолазы = нейроэндокринные опухоли
• Плохо дифференцированные опухоли не именуются «карциноидом»:
о Эти нейроэндокринные опухоли напоминают мелкоклеточный рак легкого и характеризуются агрессивным клиническим течением
д) Клинические особенности:
1. Проявления карциноида (карциноидной опухоли):
• Наиболее частые признаки/симптомы:
о Обычно протекают бессимптомно до того момента, пока не возникают метастазы
о У некоторых пациентов симптоматика возникает через 2-7 лет после установления диагноза
о Карциноидный синдром: эпизодическое покраснение кожи, одышка, диарея:
- Обусловлен метастазированием опухоли в печень с последующей секрецией в системный венозный кровоток факторов, секретируемых карциноидом
о Другие признаки/симптомы:
- Боль в животе как вторичный признак кишечной обструкции или ишемии кишечника:
Обструкция обычно обусловлена патологической извитостью и заворотом брыжейки
- Правосторонняя сердечная недостаточность и появление шумов, обусловленных клапанными дефектами
• Лабораторные данные:
о ↑ уровня серотонина или 5-гидрокситриптофана
о Анализ суточной мочи: пятикратное (по сравнению с нормой) повышение уровня 5-гидроксииндолуксусной кислоты
2. Демография:
• Возраст:
о Наиболее часто карциноид возникает в 50-60 лет
• Пол:
о М:Ж = 2:1
• Эпидемиология:
о Встречается редко и составляет 2% всех опухолей ЖКТ, тем не менее, наблюдается тенденция к повышению заболеваемости
о Северная Америка и Европа: у 2-5 из 100 000 человек
3. Течение и прогноз:
• Карциноидная опухоль тонкой кишки не метастазирует в лимфоузлы или печень:
о После резекции прогноз благоприятный
о Пятилетняя выживаемость пациентов с карциноидными опухолями тонкой кишки составляет 90%
• При метастазах в печени пятилетняя выживаемость 50%:
о При лечении, направленном на подавлении метастазов в печени, выживаемость может повышаться
- Например, при чрескатетерной химиоэмболизации
4. Лечение карциноида (карциноидной опухоли):
• Опухоли дистальных отделов тонкой кишки: резекция кишки и брыжейки, часто в сочетании с правосторонней гемиколэктомией
• При опухолях двенадцатиперстной кишки:
о Панкреатодуоденэктомия (операция Уиппла)
• При метастазах в печени:
о Резекция очагов, ограниченных одним сегментом или долей
о Химиоэмболизация, радиочастотная абблация
• Аналоги соматостатина (октреотид) для облегчения симптомов
• Системная химиотерапия не играет роли за исключением случаев вторичного поражения костей
е) Диагностическая памятка. Советы по интерпретации изображений:
• Опухолевидное образование брыжейки, накапливающее контраст, содержащее обызвествления, обусловливающее десмопластическую реакцию, ± метастазы в печени
ж) Список использованной литературы:
1. Tsai SD et al: Duodenal neuroendocrine tumors: retrospective evaluation of CT imaging features and pattern of metastatic disease on dual-phase MDCT with pathologic correlation. Abdom Imaging. ePub, 2014
2. Horton KM et al: Carcinoid tumors of the small bowel: a multitechnique imaging approach. AJR Am J Roentgenol. 182(3):559-67, 2004
Нейроэндокринная опухоль (НЭО) желудка G1 (карциноидные опухоли) у пациента с гипергастринемией.
(а, б) Выявлены два гиперденсивных полиповидных образования: по малой кривизне в верхней части тела желудка (а, стрелка) и по задней стенке тела желудка (б, стрелка).
Образование в верхней части тела желудка (а) имеет центральное изъязвление. Нейроэндокринная опухоль (НЭО) желудка G2 и нейроэндокринная карцинома (мелкоклеточный тип).
(а) При КТ в коронарной проекции в антральном отделе желудка визуализированы гиперденсивное полиповидное образование (белая стрелка) и пораженный метастазом регионарный лимфатический узел (черный указатель), который имеет внутреннюю зону некроза и гиперденсивную солидную часть.
При патоморфологическом исследовании, проведенном после гастрэктомии, был установлен диагноз НЭО желудка II степени с метастазированием в регионарный лимфатический узел.
(б) При КТ в коронарной проекции выявлена язвенно-рибовидная опухоль (стрелка), расположенная по большой кривизне тела желудка; в правой доле печени обнаружены два гиперденсивных образования (указатели).
Установлено, что это образование представляет собой нейроэндокринную мелколкеточную карциному с метастазированием в печень.
Нейроэндокринные опухоли (НЭО) ЖКТ — опухоли, в которых раковые клетки имеют фенотип как эндокринных, так и нервных клеток и могут экспрессировать маркеры, такие как хромогранин-А и синаптофизин. Согласно классификации ВОЗ (2010), основанной на гистопатологии, пролиферативной активности и других характеристиках опухоли, включая место возникновения, размер, инфиль-трацию/инвазию в другие органы и метастазы, выделяют:
— НЭО I степени (хорошо дифференцированные эндокринные опухоли, карциноидный рак);
— НЭО II степени (хорошо дифференцированные эндокринные карциномы);
— НЭО III степени крупноклеточного или мелкоклеточного типа (плохо дифференцированные нейроэндокринные карциномы/мелкоклеточные карциномы).
Частота нейроэндокринной опухоли (НЭО) желудка увеличилась до 41% всех НЭО ЖКТ в основном за счет распространения эндоскопических методик. У большинства пациентов с НЭО желудка опухоли специфически не проявляются и обычно становятся случайной диагностической находкой. В отличие от НЭО тонкой кишки, у пациентов с НЭО желудка типичный карциноидный синдром встречают очень редко. Поскольку эти опухоли способны на ранних стадиях метастазировать в печень и лимфатические узлы даже при небольших размерах, необходима адекватная оценка стадии опухоли. При наличии гипергастринемии хорошо дифференцированная НЭО может быть отнесена к типу I, при котором отмечают гипергастринемию, хронический атрофический гастрит и энтерохромаффино-подобную клеточную гиперплазию; к типу II, при котором гипергастринемия связана с множественной эндокринной неоплазией типа I (МЭН-1) и синдромом Золлингера-Эллисона; к типу III, не ассоциированному с гипергастринемией (спорадический тип).
• Тип I НЭО желудка — самый распространенный (75-80% НЭО желудка), чаще встречаемый у женщин (в 2-3 раза чаще, чем у мужчин). Обычно представлен множественными и мелкими (менее 1 см) полиповидными образованиями, расположенными в области тела и дна желудка. Тип I НЭО желудка обычно имеет доброкачественное течение и редко метастазирует в лимфатические узлы (2% пациентов с опухолями I типа).
• Тип II НЭО желудка ассоциирован с синдромом МЭН-1, опухоль обычно более крупная (чаще более 1 см) и имеет более агрессивное клиническое течение (местные метастазы до 30%). У пациентов с НЭО типа II в утолщенных губовидных складках и стенке желудка наблюдают множественные полипы или массы, иногда изъязвленные.
• НЭО желудка типа III представляет собой спорадическую, обычно больших размеров (чаще более 2 см) одиночную опухоль, которая может изъязвляться. Для таких опухолей характерно агрессивное клиническое течение с местной инвазией и ранними метастазами, особенно если размер опухоли превышает 3 см (Christopoulos и Papavassiliou, 2005; Johnson et al., 2010). При контрастной рентгенографии карциноидные опухоли желудка выглядят в виде небольших (менее 2 см) «сидячих» полиповидных образований. При КТ эти опухоли обычно выглядят как небольшие гиперденсивные полипы. У пациентов с ассоциированным синдромом Золлингера-Эллисона наблюдают диффузное утолщение губовидных складок и множественные полипы или массы. Дифференциальную диагностику карциноидных опухолей желудка, представляющих собой мелкие гиперденсивные полиповидные образования, проводят с мелкими стромальными опухолями ЖКТ, гломусными опухолями и гетеротопией поджелудочной железы. Нейроэндокринные карциномы ЖКТ наиболее часто встречают в желудке (до 59% всех нейроэндокринных карцином ЖКТ). При КТ нейроэндокринные карциномы желудка обычно визуализируют в виде выраженного гомогенного усиления сигнала в артериальную фазу с дальнейшим его усилением в венозную фазу при обильном кровоснабжении опухоли. При распространении опухоли в печень печеночные метастатические поражения обычно выглядят в виде гомогенного накопления контраста (Johnson et al., 2010).
1. Гиперпластические полипы желудка обычно выглядят в виде небольших «сидячих» образований.
2. При аденоматозных полипах желудка существует риск их злокачественной трансформации, который зависит от размера полипа.
3. Поскольку при визуализационных исследованиях определение гистологического типа затруднено, в случаях любых полиповидньтх образований размером более 1-2 см должно быть заподозрено наличие ассоциированного фокуса рака желудка или МРЖ.
4. Ключевую роль в оценке рака желудка с помощью МСКТ играет достижение адекватного растяжения желудка, что необходимо для выявления первичного поражения и предотвращения ложной диагностики опухоли.
5. Выделяют различные морфологические типы МРЖ и РРЖ с разнообразными визуализационными проявлениями.
6. Для точного определения Т-стадии с помощью КТ необходимо знать многослойное строение нормальной стенки желудка.
7. Муцинозные аденокарциномы желудка выглядят как грибовидные или диффузно-инфильтративные опухоли с утолщенным гиподенсивным средним или наружным слоем, а также иногда имеют точечные или милиарные кальци-фикаты.
8. НЭО желудка даже при небольших размерах могут на ранних стадиях метастазировать в печень и лимфатические узлы.
Читайте также:


