КТ, сцинтиграфия при дивертикуле Меккеля
Добавил пользователь Валентин П. Обновлено: 10.01.2026
Рентгенограмма, КТ, УЗИ при дивертикуле Меккеля
а) Терминология:
1. Аббревиатура:
• Дивертикул Меккеля (ДМ)
2. Определение:
• Выпячивание подвздошной кишки вследствие персистенции омфаломезентериального (или желточного) протока
б) Визуализация:
1. Общая характеристика:
• Лучший диагностический критерий:
о Слепой «мешок» или выпячивание со стороны противобрыжеечного края дистальных отделов подвздошной кишки
• Размер: 4-10 см в длину
• Внешний вид:
о Выпячивание подвздошной кишки в виде трубки
• Другие общие признаки:
о Чаще всего является врожденной аномалией ЖКТ
о Истинный дивертикул, состоящий из всех слоев стенки кишки
о Возникает в области противобрыжеечного края дистальных отделов подвздошной кишки
о Формируется вследствие неполной облитерации подвздошного конца желточного протока
о Расположено не далее 50-60 см от илеоцекального клапана
о В 50% содержит эктопическую слизистую оболочку желудка:
- ± слизистую оболочку двенадцатиперстной или ободочной кишки, ткань поджелудочной железы
о В 90% случаев, связанных с кровотечением, дивертикул содержит слизистую оболочка желудка
о Фиброзный тяж (облитерированная часть желточного протока, которая может соединять верхушку дивертикула с пупком)
о Правило цифры 2:
- Обнаруживается у 2% населения
- Располагается на расстоянии до 2 футов (61 см) от илеоцекального клапана
- Имеет длину в среднем 2 дюйма (около 5 см)
- Симптомы обычно появляются до 2 лет
- У взрослых обычно возникают 2 главных осложнения: дивертикулит (20%) и обструкция кишечника (40%)
2. Рентгенография при дивертикуле Меккеля:
• Рентгеноскопическое исследование тонкой кишки после введения контрастного вещества путем клизмы:
о Наилучший метод исследования, т. к. при нем обеспечивается максимальное растяжение просвета кишечника
о Определяется слепо заканчивающийся «мешок» со стороны противобрыжеечного края подвздошной кишки, имеющий широкое основание либо узкую шейку
о Дивертикул с широким основанием:
- Рентгеновское исследование (энтерокпизма) позволяет обнаружить отличительный признак-складки треугольной формы в переходной области в месте начала дивертикула
о Дивертикул с узкой шейкой:
- Заключение основывается на обнаружении слепо заканчивающегося дивертикула, начинающегося в области противобрыжеечного края кишки
о Изначально выглядит небольшим, но, при растяжении просвета кишки заполняется более полно
о Инвертированный дивертикул Меккеля:
- Наблюдается в 20% случаев
- Вытянутое солитарное объемное образование булавовидной формы, со глаженными контурами, параллельное длинной оси дистальных отделов подвздошной кишки; может приводить к инвагинации
• Бариевая клизма с двойным контрастированием:
о В редких случаях дивертикул Меккеля может обнаруживаться при наличии рефлюкса в подвздошную кишку
• Исследование пассажа бариевой взвеси по тонкой кишке (досмотр):
о Редко позволяет обнаружить дивертикул

(Слева) На аксиальной КТ определяется дилятация дистального сегмента тонкой кишки и утолщение ее стенки . Расположенный рядом слепо заканчивающийся «мешок» представляет собой дивертикул Меккеля и содержит кальцинированный энтеролит в своих задних отделах. Во время операции подтвердилось воспаление дивертикула Меккеля.
(Справа) На корональной КТ (реформатированное изображение, тот же самый случай) визуализируется воспаленный сегмент тонкой кишки? где произошла обструкция, вплотную прилежащий к дивертикулу Меккеля.
3. КТ при дивертикуле Меккеля:
• Наличие в правом нижнем квадранте слепо заканчивающегося «кармана» с плотностью, соответствующей стенке кишки
• В просвете дивертикула могут определяться кальцифицированные энтеролиты
• Имеется связь между дивертикулом и просветом тонкой кишки
• Воспаление дивертикула Меккеля:
о Наличие слепо заканчивающегося «кармана», а также жидкости, газа, либо включений в виде частиц
о При воспалении дивертикула происходит утолщение его стенки и прилежащих отделов тонкой кишки:
- Стенка кишки накапливает контраст при КТ с контрастным усилением
о Определяется инфильтрация брыжеечной жировой клетчатки, жидкость, возможно также наличие узлов
о Может наблюдаться частичная либо полная обструкция тонкой кишки:
- А также инвагинация
4. УЗИ при дивертикуле Меккеля:
• Серошкальное УЗИ:
о Гипоэхогенное объемное образование в правом нижнем квадранте ± эхогенные конкременты (неспецифичные признаки) о Инвертированный дивертикул Меккеля: объемное образование в виде «мишени» с центральным участком повышенной эхогенности
5. Радионуклидная диагностика:
• Исследование с пертехнетатом, меченым Тс-99т (серия сканов продолжительностью 5-10 минут, выполняемых в течение часа):
о Наиболее широко применяемый метод с целью диагностики кровотечения из дивертикула Меккеля
о Чувствительность составляет больше 85%, специфичность больше 95%, точность (приблизительно) 85-88%
о При положительном результате происходит накопление радиоактивного изотопа в правом нижнем квадранте
о Для стимуляции накопления изотопа в слизистой оболочке желудка используется пентагастрин:
- Когда результаты первоначального сцинтиграфического исследования неопределенные или нормальные
о Ложноположительные результаты: эктопия слизистой оболочки желудка, аппендицит, воспалительная болезнь кишечника
о Ложноотрицательные результаты: отсутствие или минимальное количество эктопической слизистой оболочки желудка
6. Рекомендации по визуализации:
• Рентгеноскопия с компрессией во время введения контрастного вещества в тонкую кишку при помощи клизмы
• КТ для взрослых пациентов с наличием симптомов (боли)
• Сцинтиграфия с технецием-99m в случаях кровотечения у детей

(Слева) На рентгенограмме, полученной при исследовании пассажа бариевой взвеси по тонкой кишке, визуализируется слепо заканчивающийся «мешок» со стороны дистальных отделов подвздошной кишки. Бариевая взвесь смешана в дивертикуле с кишечным дебрисом, признаков обструкции или перфорации дивертикула не определяется.
(Справа) На сканах, полученных во время сцинтиграфии с пертехнетатом (Тс-99m) у ребенка с жалобами на боль и желудочно-кишечным кровотечением, определяется участок накопления изотопа в правом нижнем квадранте вследствие наличия эктопической слизистой оболочки желудка в дивертикуле Меккеля.
в) Дифференциальная диагностика дивертикула Меккеля:
1. Аппендицит:
• Лучший диагностический признак на КТ:
о Аппендиколит (обычно кальцифицированный) в растянутом в виде трубки червеобразном отростке
• Утолщение стенки аппендикса и воспалительные изменения окружающих тканей (помутнение жировой клетчатки)
• Возможно наличие лимфаденопатии (в правом нижнем квадранте)
• В случае перфорации:
о Скопление жидкости чаще всего в правом нижнем квадранте или в тазу (в карманах брюшины) о Абсцесс, обструкция тонкой кишки
• По своим клиническим проявлениям и рентгеновским признакам может имитировать дивертикул Меккеля
• Отличить аппендицит от дивертикула Меккеля часто возможно только во время операции
2. Болезнь Крона:
• В большинстве случаев характеризуется поражением дистальных отделов подвздошной кишки ± изменения со стороны кожи
• Утолщение стенки, сужение просвета
• Контрастное усиление слизистой оболочки и гиперемия брыжейки
• Перфорация при илеите, обусловленном болезнью Крона, может имитировать перфорацию дивертикула Меккеля
3. Мезаденит и энтерит:
• Являются другими частыми причинами боли в нижних отделах живота справа:
о Преимущественно у детей и подростков
• Возникает воспаление брыжеечных лимфоузлов, возможно, также дистальных отделов подвздошной кишки
• Лучевые признаки:
о Наличие группы увеличенных брыжеечных лимфоузлов в правом нижнем квадранте
о Может также обнаруживаться утолщение стенки подвздошной кишки
• Спонтанное разрешение обычно происходит в течение двух дней
4. Дивертикулит слепой кишки:
• Перфорация и ограниченное воспаление околоободочной жировой клетчатки
• Лучевые признаки:
о Утолщение стенки слепой кишки, помутнение жировой клетчатки, наличие свободной жидкости и газа
о Выпячивание кишки, заполненное газом, контрастным веществом и каловыми массами
о В острую фазу: контрастное усиление утолщенной стенки кишки
• Клинические проявления:
о Боль в нижних отделах живота справа, повышение температуры тела, болезненность
о Чаще возникает у взрослых среднего возраста и пожилых
• Клинически и при лучевых исследованиях может симулировать осложненный дивертикул Меккеля

(Слева) На аксиальной КТ с контрастным усилением, выполненной девушке 17 лет, предъявляющей жалобы на боль в животе спастического характера, с наличием болезненности в области нижних отделов правой половины живота, определяется инвагинация дистальных отделов подвздошной кишки.
(Справа) На аксиальной КТ с контрастом у этой же пациентки определяется инвагинация длинного сегмента и дилатация проксимальных отделов тонкой кишки вследствие обструкции. Во время операции было обнаружено, что причиной инвагинации стал инвертированный дивертикул Меккеля.
г) Патология:
1. Общая характеристика:
• Этиология:
о В период раннего эмбрионального развития: средняя часть зародышевой кишки сообщается с желточным мешком через желточный проток:
- Нарушение регрессии, которая обычно является полной, приводит к появлению аномалий
- Нарушение процесса инволюции желточного протока приводит к возникновению дивертикула Меккеля
• Анатомия периода эмбрионального развития:
о Омфаломезентериальный (или желточный) проток обычно облитерируется к пятой неделе внутриутробного развития
2. Макроскопические и хирургические особенности:
• Солитарный дивертикул, расположенный приблизительно в 50-60 см проксимальнее илеоцекального клапана со стороны про-тивобрыжеечного края кишки
• В дивертикуле могут находиться энтеролиты, безоары, проглоченные инородные тела
3. Микроскопия:
• Наличие всех слоев стенки ЖКТ (истинный дивертикул)
• Может обнаруживаться эктопическая слизистая оболочка желудка или поджелудочной железы
д) Клинические особенности:
1. Проявления дивертикула Меккеля:
• Наиболее частые признаки/симптомы:
о Преимущественно бессимптомное течение
о Вероятность появления симптомов в течение жизни 5%:
- Чаще всего возникает боль в нижних отделах живота справа
о У детей: проявляется желудочно-кишечным кровотечением в возрасте до двух лет
о У взрослых: воспаление дивертикула либо обструкция
о Причины обструкции кишечника:
- Дивертикул большого размера
- Масс-эффект, обусловленный энтеролитом или безоаром
- Воспаление и спазм ближайших сегментов тонкой кишки
2. Демография:
• Возраст: любой
• Пол:
о М:Ж = 3:1
• Эпидемиология:
о Распространенность составляет 0,3-3%
3. Течение и прогноз:
• Осложнения:
о Желудочно-кишечное кровотечение
о Воспаление дивертикула, перфорация, абсцесс
о Возможно скопление энтеролитов или безоаров в дивертикуле
о Обструкция вследствие инвагинации или заворота
о Паховая грыжа с выпадением в нее дивертикула
о Инвертированный дивертикул Меккеля ведет себя подобно полиповидному объемному образованию, обусловливая инвагинацию и обструкцию кишечника
о Редко в дивертикуле Меккеля может развиваться рак
• Прогноз: благоприятный после хирургического лечения
4. Лечение дивертикула Меккеля:
• При отсутствии симптоматики лечение не требуется
• При наличии симптоматики: резекционное оперативное вмешательство
е) Диагностическая памятка:
1. Следует учесть:
• Нужно исключить другие воспалительные заболевания с локализацией изменений в правом нижнем квадранте
2. Советы по интерпретации изображений:
• При энтероклизме: слепо заканчивающийся «мешок» со стороны противобрыжеечного края подвздошной кишки, с широким основанием или с узкой шейкой
• Воспаление дивертикула Меккеля: утолщение стенки, инфильтрация брыжеечной жировой клетчатки, жидкость, возможно наличие энтеролитов (на КТ)
Дивертикул Меккеля
Меккелев дивертикул (по имени немецкого анатома J.F. Meckel Jr., 1781—1833) — локальное мешковидное выпячивание стенки подвздошной кишки, образовавшееся вследствие неполного заращения желточного протока, который участвует в питании плода, на расстоянии 10-100 см от илиеоцекального угла[1]. Меккелев дивертикул считают истинным дивертикулом, так как его стенка содержит все слои кишки. Средняя длина — 5-7 см, но бывают дивертикулы и большего размера. Меккелев дивертикул является наиболее частой врожденной аномалией развития желудочно-кишечного тракта.
Располагается в большинстве случаев на последних (дистальных) 50 см подвздошной кишки. Может никак себя не проявлять, но может воспаляться и симулировать клиническую картину острого аппендицита. Поэтому при операциях по поводу аппендицита обязательно должен быть выполнен осмотр тонкой кишки на расстояние до 1 метра. Основными клиническими признаками Меккелева дивертикула являются: мелена, боль в правом нижнем квадранте живота, заворот кишки, кишечная непроходимость. В американской медицине есть "правило 2-х ": 2 дюйма длиной, 2 фута от илеоцекального клапана, 2% популяции, чаще всего проявляется в 2 года жизни, в 2 раза чаще встречается у лиц мужского пола.
Патология
Дивертикул Меккеля является истинным дивертикулом, формируется за счет выпячивания всех слоев стенки на противобрыжеечном крае подвздошной кишки. Дивертикул Меккеля может иметь диаметр до 2 см и иметь протяженность до 5 см. В большинстве слуаев (75%) дивертикул Меккеля располагается в 60 см (варьирует от 40 до 100 см) от илеоцекального клапана [2].
Дивертикул кровоснабжается за счет парных желточных сосудов, причем левая артерия подвергается обратному развитию, а правая артерия сохраняется как верхняя брыжеечная артерия. Остаток первичной правой желточной артерии выходит непосредственно из брыжеечной артерии и кровоснабжает дивертикул. Кровоснабжение его уникально в том отношении, что сосуды к дивертикулу проходят над серозной оболочкой подвздошной кишки, заканчиваясь на противобрыжеечном крае у верхушки дивертикула. Однако сосуды, участвующие в кровоснабжении дивертикула, могут продолжаться на брюшную стенку или существовать в виде фиброзного тяжа, соединяя подвздошную кишку с областью пупка. Верхушка дивертикула может быть фиксирована к основанию брыжейки подвздошной кишки фиброзными спайками.
В половине всех случаев в дивертикуле Меккеля отмечается эктопия тканей, причем в 62% случаев выявляется эктопия слизистой желудка, в 6% случаев ткани поджелудочной железы, в 6% случаев сочетание слизистой желудка и тканей поджелудочной железы.
Клиническая картина
У большей части пациентов проекает бессимптомно, у трети - проявляется клинически [1]. Осложнения отмечаются у 4 - 40% пациетов; однако при ретроспективном сопоставлении было показано что риск осложнений снижается с возростом и составляет 4% у лиц моложе 20 лет, 2% у лиц в возрасте 40 лет и стремящийся к нулю в пожилой популяции [2,3,13]. При сочетании дивертикула Меккеля с болезнью Крона повышается риск следующих осложнений:
- желудочно-кишечное кровотечение: наиболее частое осложнение, встречающееся в 30% случаев с выраженной симптоматикой [2]
- тонкокишечная обструкция: второе по частоте осложнение
- обструкция просвета за счет дивертикулита, попадания инородного тела в дивертикул или формирования копролита
- заворот [5]
- внутренняя грыжа
- пристеночная грыжа Рихтера-Литтре: ущемление дивертикула
- опухолевая обструкция
- ущемление тонкой кишки в мезодивертикулярной связке, содержащей желточные сосуды, проходящие поперек подвздошной кишки к дивертикулу
Диагностика
Скопия
Слепое мешотчатое выпячивание в области подвздошной кишки. Типичное расположение в правой подвздошной области или в малом тазу.
Компьютерная томография
Компьютерная томография имеет ограниченную ценность в неосложненных случаях, поскольку дивертикул напоминает нормальные петли кишечника. Иногда могут визуализироваться уровень газа/жидкости, слепое выпячивание на противобрыжеечной стороне в дистальных отделах подвздошной кишки. Возможен выворот дивертикула проявляющийся как внутрипросветное полиповидное выпячивание [12].
Ценность методики ограничена в неосложненных случаях. Может выявлятся слепое перистальтирующее выпячивание петли связанное с тонкой кишкой.
Ангиография традиционная и КТ-ангиография
При проведении исследования с целью поиска причины желудочно-кишечного кровотечения может визуализироваться артерия желточного мешка, хотя ее визуализация обычно затруднена на фоне других сосудов.
Сцинтиграфия
Сцинтиграфия с пертехнетатом натрия 99mТс имеет ограниченную чувствительность (~60%) [2,9]; однако позволяет выявить эктопическую слизистую в дивертикуле. Радиофармпрепарат поглащается клетками секретирующими слизистой желудка и эктопическими очагами желудочной слизистой. Большая чувствительность (~85-90%) отмечается у детей.
История и этимология
Патология названа в честь Иоганна Фридриха Меккеля, который описал нозологию в 1809 году.
Дивертикул Меккеля у детей
Дивертикул Меккеля у детей – врожденная аномалия подвздошной кишки, возникающая в результате нарушения облитерации проксимальной части желточного протока. Дивертикул Меккеля у детей опасен своими осложнениями: кровотечениями, кишечной непроходимостью, воспалением, перфорацией, ущемлением, опухолевыми процессами. С целью диагностики дивертикула Меккеля у детей проводится рентгенография тонкого кишечника с бариевой взвесью, сцинтиграфия, УЗИ и КТ органов брюшной полости, лапароскопия. Осложненные случая дивертикула Меккеля у детей требуют хирургической тактики – резекции дивертикула или участка кишки.
![Дивертикул Меккеля у детей]()
Общие сведения
Дивертикул Меккеля у детей – порок развития тонкого кишечника, представляющий собой патологическое мешковидное выпячивание в нижней трети подвздошной кишки. Дивертикул Меккеля входит в число наиболее частых врожденных аномалий ЖКТ, выявляемых у 2-3% детей, чаще у мальчиков. В половине случаев манифестация клинических проявлений развивается у детей до 10 лет, в остальных - в возрасте до 30 лет. Дивертикул Меккеля у детей является довольно коварной патологией: он трудно диагностируется, может иметь бессимптомное течение на протяжении всей жизни либо заявлять о себе клиникой острого живота уже в раннем детском возрасте. Совершенствование диагностических и лечебных алгоритмов при дивертикуле Меккеля у детей является актуальной задачей детской абдоминальной хирургии и педиатрии в целом.
Причины дивертикула Меккеля у детей
Дивертикул Меккеля у детей является эмбриональным пороком, т. е. формируется в процессе внутриутробного развития.
В первые месяцы развития плода функционирует эмбриональный желточный проток, входящий в состав пупочного канатика и соединяющий терминальную часть подвздошной кишки с желточным мешком. На 3-5 месяце эмбрионального развития в норме происходит облитерация желточного протока и его атрофия. В случае неполной облитерации и сохранения желчного протока к моменту рождения ребенка в том или ином виде различают следующие виды аномалий: неполные и полные свищи пупка, энтерокистома, дивертикул Меккеля.
В большинстве случаев дивертикул Меккеля у детей формируется в нижней трети подвздошной кишки на расстоянии 60-80 см от илеоцекального (подвздошно-слепокишечного) угла. Обычно дивертикул имеет длину около 3-4 см, форму конуса или цилиндра, располагается на противоположной брыжейке стенке подвздошной кишки. Дивертикул Меккеля у детей относится к истинным дивертикулам, поскольку его стенка полностью повторяет морфологическое строение стенки подвздошной кишки. Однако в составе стенки дивертикула часто обнаруживается эктопированная слизистая желудка, способная вырабатывать соляную кислоту, или ткань поджелудочной железы. Наличие эктопического железистого эпителия желудка в дивертикуле Меккеля у детей служит причиной изъязвления его стенки и желудочно-кишечного кровотечения.
Симптомы дивертикула Меккеля у детей
Неосложненный дивертикул Меккеля у детей протекает бессимптомно и может являться случайно находкой при проведении лапаротомии по поводу другого заболевания либо так и не быть распознанным. Клиническая манифестация дивертикула Меккеля у детей обычно связана с развитием осложнений: кишечного кровотечения, воспаления (дивертикулита), кишечной непроходимости (инвагинации, странгуляции), опухолей.
Кровотечение из пептической язвы, как самое частое осложнение дивертикула Меккеля у детей, может быть острым, обильным или хроническим, скрытым. Признаком кишечного кровотечения при дивертикуле Меккеля у детей служат дегтеобразный, черный стул. Кровотечение сопровождается общей слабостью, головокружением, тахикардией, бледностью, клинико-лабораторными признаками постгеморрагической анемии. В отличие от кровотечения из варикозно расширенных вен пищевода или язвы желудка и двенадцатиперстной кишки, при осложненном дивертикуле Меккеля у детей никогда не бывает рвоты «кофейной гущей».
Клиника острого дивертикулита, осложняющего дивертикул Меккеля у детей, напоминает симптомы острого аппендицита. У ребенка определяется боль в животе (около пупка или в правой подвздошной области), тошнота, повышенная температура, лейкоцитоз, положительный симптом Щеткина-Блюмберга. Обычно верный диагноз устанавливается интраоперационно, когда выявляется интактный червеобразный отросток, а ревизия подвздошной кишки выявляет наличие воспаленного дивертикула Меккеля у ребенка. Воспаление и изъязвление дивертикула Меккеля у детей может послужить причиной его перфорации в свободную брюшную полость с развитием перитонита.
Кишечная непроходимость, обусловленная дивертикулом Меккеля у детей, сопровождается тошнотой, рвотой, схваткообразной болью в животе, нарастающей интоксикацией. Непроходимость может быть вызвана инвагинацией, перекрутом петель подвздошной кишки вокруг дивертикула, ущемлением кишечных петель.
Иногда у детей происходит ущемление дивертикула Меккеля в грыжевом мешке паховой или бедренной грыжи (грыжа Литре). Пари ущемлении грыжи возникает резкая боль, напряжение и невправляемость грыжевого выпячивания, отсутствие симптома кашлевого толчка.
Реже, чем другие осложнения, у детей встречаются опухоли дивертикула Меккеля, как доброкачественные (гамартомы, миомы, липомы), так и злокачественные (аденокарциномы, карциноид). Клинические проявления опухолей дивертикула Меккеля у детей могут быть связаны с кишечной непроходимостью, перфорацией стенки, кровотечением.
Диагностика дивертикула Меккеля у детей
Дооперационный диагноз дивертикула Меккеля у детей устанавливается менее чем в 10% случаев. При физикальном обследовании обычно определяются признаки мышечного напряжения, локальной болезненности, раздражения брюшины. Из лабораторных исследований наиболее важными являются клинический и биохимический анализ крови, кал на скрытую кровь.
УЗИ органов брюшной полости обычно выявляет признаки воспалительного процесса, но не позволяет провести четкую топическую диагностику. Выявлению дивертикула Меккеля у детей способствует рентгенография тонкого кишечника с контрастированием взвесью сульфата бария. При дивертикуле Меккеля у детей, осложненном кровотечением, «золотым стандартом» диагностики служит сцинтиграфия с радиоактивным изотопом технецием-99т (меккелево сканирование), позволяющая обнаружить эктопированную слизистую оболочку желудка с чувствительностью 75-100%. Для исключения других причин кровотечения проводится эзофагогастродуоденоскопия, колоноскопия ребенку.
При подозрении на кишечную непроходимость выполняется обзорная рентгенография брюшной полости, КТ брюшной полости. Иногда дивертикул Меккеля у детей выявляется только в процессе диагностической лапароскопии или лапаротомии.
При дивертикуле Меккеля требуется исключить кровоточащую язву двенадцатиперстной кишки, острый аппендицит у детей, полипоз толстой кишки.
Лечение дивертикула Меккеля у детей
В отношении бессимптомных дивертикулов Меккеля у детей нет единого мнения. Одни детские хирурги считают, что не следует удалять случайно обнаруженный во время операции неизмененный дивертикул; другие настаивают на его обязательном удалении при благоприятной хирургической ситуации.
Дивертикул Меккеля у детей, осложненный воспалением, перфорацией, кровотечением, кишечной непроходимостью, ущемлением, однозначно требует проведения ургентного хирургического вмешательства. При этом ребенку может быть выполнено иссечение дивертикула тонкой кишки (дивертикулэктомия) либо сегментарная резекция тонкой кишки с наложением энтероэнтероанастомоза по типу конец в конец. В детской хирургии предпочтение отдается эндоскопической резекции тонкой кишки.
Методом выбора лечения дивертикулита у детей служит консервативная медикаментозная терапия: инфузии антибиотиков, инъекции противовоспалительных препаратов. При рецидивирующем характере воспаления дивертикула Меккеля у детей решается вопрос о резекции дивертикула.
При развитии перитонита, кроме резекции тонкой кишки, необходимо проведение дренирования и санации брюшной полости, назначение массивной антибиотикотерапии, инфузионной и дезинтоксикационной терапии.
Прогноз дивертикула Меккеля у детей
В 95% случаев дивертикул Меккеля остается бессимптомным в течение всей жизни; осложнения дивертикула Меккеля развиваются лишь у 4-5% детей.
При осложненном течении дивертикула Меккеля у детей на исход заболевания влияет своевременность госпитализации и хирургического лечения. Риск хирургических осложнений невысок, однако иногда возможно развитие послеоперационной спаечной кишечной непроходимости.
КТ, сцинтиграфия при дивертикуле Меккеля
Дивертикул Меккеля у мужчины 23 лет.
(а, б) При контрастно-усиленной КТ в аксиальной (а) и коронарной (б) проекциях визуализировано прилегающее к петлям дистального отдела тонкой кишки трубчатое образование (изогнутая стрелка) с утолщенной стенкой,накапливающей контраст. Вокруг этого образования отмечено тяжистоеуплотнение жировой клетчатки (звездочка).
(в) Сцинтиграфия с использованием Тс-99м (пертехнетат): персистирующий фокус захвата препарата (изогнутая стрелка) в области правее и выше мочевого пузыря, что позволяет предположить наличие гетеротогшческой слизистой оболочки желудка.
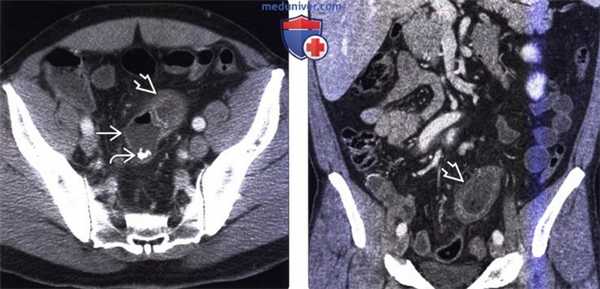
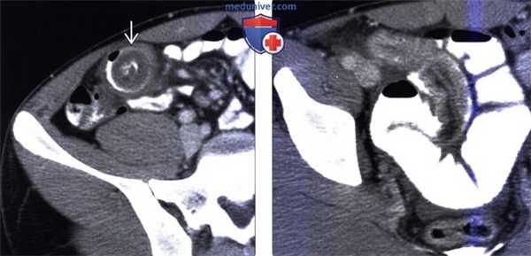
(г) Макропрепарат: воспаленный дивертикул Меккеля (стрелки). Дивертикул Меккеля у женщины 51 года.
(а, б) При КТ с контрастированием в аксиальной проекции визуализировано наполненное жидкостью трубчатое образование, расположенное краниокаудально. Червеобразный отросток не изменен (указатель).
(в) В коронарной проекции в брюшной полости визуализировано крупное, наполненное жидкостью, изогнутое трубчатое образование (стрелки).
(г) Макропрепарат: гигантский дивертикул Меккеля (стрелки), растущий из подвздошной кишки. Дивертикул Меккеля, осложненный тонкокишечной непроходимостью, у мужчины 48 лет.
(а-д) При КТ в аксиальной и коронарной проекциях с контрастным усилением визуализировано наполненное жидкостью изогнутое трубчатое образование (звездочки),которое исходит из дистальной части подвздошной кишки (стрелка). Выявлена диффузная дилатация тонкой кишки со скоплением жидкости, что указывает на развитие непроходимости. Переходная точка (указатель) расположена вблизи трубчатого образования, в проксимальной части тонкой кишки — скопление каловых масс (изогнутая стрелка).
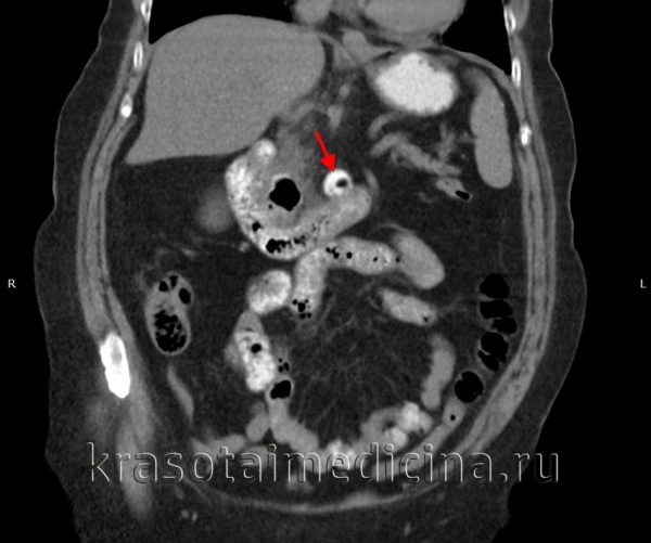
(е) Макропрепарат резецированной тонкой кишки: дивертикул Меккеля (звездочки), растущий из подвздошной кишки. Дивертикул Меккеля и гетеротопия ткани поджелудочной железы у женщины 70 лет.
(а, б) При КТ с контрастированием в аксиальной и косой коронарной проекциях в зоне правее и выше мочевого пузыря (МП) выявлено кистозное образование <стрелка). Кистозная полость содержит мягкотканное образование, накапливающее контраст (звездочка).
(в, г) При последующем выполнении КТ с контрастированием в аксиальной и коронарной проекциях гиподенсивная кистозная полость (изогнутая стрелка) теперь визуализирована внутри образования, окруженного воспалительными изменениями. После проведения антибиотикотерапии выполнена операция: образование связано с дистальной частью подвздошной кишки, примерно на расстоянии 100 см от илеоцекального клапана (не показано). Заключительное патоморфологическое исследование подтвердило диагноз гетеротопии ткани поджелудочной железы в образовании (предположительно дивертикул Меккеля).Дивертикул Меккеля — врожденная аномалия, вызванная неполной атрофией пупочно-брыжеечного протока, локализуется на свободном крае дистального отдела подвздошной кишки. Гетеротопическая слизистая оболочка желудка в дивертикуле Меккеля может стать причиной осложнений, включая воспаление, изъязвление, перфорацию и кровотечение.
а) Определение и клинико-морфологические характеристики. Дивертикул Меккеля — самая частая врожденная аномалия ЖКТ, в общей популяции она встречатся у 2-3% людей. Эта аномалия связана с нарушением нормальной атрофии пупочно-брыжеечного (желточного) протока, который у эмбриона связывает желточный мешок и развивающуюся среднюю кишку. Неполная атрофия пупочно-брыжеечного протока может приводить к различным врожденным аномалиям, включая пупочный свищ, синус пупочно-брыжеечного протока, кисту пупочно-брыжеечного протока, фиброзную перемычку между подвздошной кишкой и пупком, а также дивертикул Меккеля (последний составляет 98% случаев).
Дивертикул Меккеля выявляют на свободном крае подвздошной кишки, обычно на 100 см проксимальнее илеоцекальной заслонки. Гистологически это истинный дивертикул, т.е. он имеет все слои стенки кишки, включая нормальный кишечный эпителий. В дивертикуле Меккеля часто обнаруживают гетеротипические ткани: до 50% случаев — это клетки слизистой оболочки желудка, в 5-16% находят ткань поджелудочной железы. Считают, что осложнения, развивающиеся в дивертикуле Меккеля (воспаление, изъязвление, перфорация, кровотечение), связаны с присутствием гетеротопической слизистой оболочки желудка.
У большинства пациентов дивертикул Меккеля клинически ничем не проявляется. Клинические симптомы, как правило, связаны с развитием осложнений. Кровотечение — наиболее часто развивающееся осложнение, которое связано с пептическим изъязвлением, возникающим вследствие наличия в дивертикуле гетеротопической слизистой оболочки желудка. Второе по частоте осложнение — непроходимость тонкой кишки.
К возможным механизмам развития непроходимости относят инвагинацию кишки, заворот и внутреннюю грыжу. Острый дивертикулит могут вызвать энтеролиты, копролиты, паразиты, а также воспаление и фиброз, вторичные по отношению к пептической язве.
б) Лучевая диагностика. Стандартные рентгенологические исследования имеют ограниченную ценность и выявляют неспецифические изменения. При рентгенографии тонкой кишки с применением бария дивертикул Меккеля может проявляться в виде образования со слепым концом, растущим из свободного края подвздошной кишки. Однако часто при рентгенографии дивертикул Меккеля не выявляют, что обусловлено узостью просвета в его проксимальном отделе, наличием кишечного содержимого внутри дивертикула или быстрой перистальтикой петель тонкой кишки. Иногда он бывает вывернутым и проявляется в виде полиповидного дефекта наполнения. УС имеет ограниченные диагностические возможности, однако при ее проведении можно выявить слепо оканчивающееся выпячивание нормальной стенки подвздошной кишки с сохранением в ней перистальтики.
При КТ неосложненный дивертикул Меккеля трудно отличить от прилежащих нормальных петель тонкой кишки. Как и при УС, можно выявить образование со слепым концом, наполненное жидкостью или воздухом, анатомически связанное с петлей подвздошной кишки. Решающую роль в диагностике кровотечения из дивертикула Меккеля играет сцинтиграфия с применения технеция-99m (пертехнетат). Захват препарата в тонкой кишке может указывать на наличие гетеротопической слизистой оболочки желудка, которая служит причиной кровотечения. Непроходимость кишечника может быть вызвана ущемлением кишечной петли при образовании спаек вокруг дивертикула, перекрутом вокруг этих спаек, инвагинацией дивертикула или ущемлением дивертикула Меккеля в грыжевом мешке (грыжа Литтре). Чем крупнее дивертикул, тем больше вероятность развития непроходимости.
Идентификация слепого дивертикулярного мешка на уровне переходной зоны необходима при постановке корректного предоперационного диагноза при возникновении непроходимости. Информативные признаки, выявляемыми при КТ в случае дивертикулита Меккеля,— воспалительное утолщение стенки дивертикула с накоплением в ней контрастного вещества, наличие энтеролитов в просвете дивертикула, тяжистое уплотнение прилежащей жировой клетчатки и скопление жидкости.
в) Резюме. Дивертикул Меккеля — это истинный дивертикул, расположенный на свободном крае дистального отдела подвздошной кишки. Осложнения дивертикула Меккеля связаны с присутствием гетеротопической слизистой оболочки желудка.
Дивертикулы кишечника
Дивертикулы кишечника – это мешотчатые выпячивания стенки толстой, реже тонкой кишки врожденного либо приобретенного характера. Чаще всего встречается бессимптомная форма заболевания. Явные клинические формы патологии проявляются неопределенными болями в животе, диспепсическими явлениями, кровотечениями. Для диагностики используют ирригографию, колоноскопию, ректороманоскопию, УЗИ и КТ органов брюшной полости. Специфическая терапия включает в себя применение диеты с повышенным содержанием клетчатки, назначение спазмолитиков, прокинетиков, антибактериальных препаратов, лактулозы. При осложненном течении заболевания требуется хирургическое лечение.
МКБ-10
![КТ ОБП. Дивертикул горизонтальной части 12-перстной кишки, заполненный частично контрастом, частично – газом.]()
Дивертикулы кишечника могут иметь врожденную (при наследственной патологии соединительной ткани) либо приобретенную (связанную с возрастной слабостью межуточных волокон) природу. В тонком кишечнике дивертикулы встречаются достаточно редко – у 1% пациентов, при этом в большинстве случаев выявляют дивертикул Меккеля, содержащий в себе ткани желудка либо поджелудочной железы. Дивертикулы кишечника чаще бывают множественными и расположены в левой половине толстой кишки (в 70% случаев).
В молодом возрасте дивертикулез выявляют лишь в 5% случаев, в возрасте от 40 до 60 лет – у 30% населения, а после 80 лет частота поражения дивертикулами кишечника составляет более 65%. Патологические выпячивания могут осложняться воспалением, кровотечением, перфорацией, однако практически никогда не сопровождаются малигнизацией. В последние годы отмечается учащение случаев дивертикулеза в развитых странах, что связано с изменением диетических привычек, исключением из рациона клетчатки и полезных пищевых волокон.
Причины
К появлению врожденных и приобретенных дивертикулов кишечника могут приводить различные факторы, но в основе их всех лежит слабость соединительной ткани. При врожденной соединительнотканной дисплазии дивертикулы обычно множественные, расположены не только в кишечнике, но и других органах (желудок, мочевой пузырь и др.). В первые годы заболевания стенка врожденных дивертикулов представлена всеми слоями кишечной стенки, однако с возрастом мышечные волокна атрофируются.
Возникновению приобретенных дивертикулов кишечника способствуют:
- погрешности питания (употребление полуфабрикатов, нерегулярные приемы пищи, исключение из рациона клетчатки, свежих фруктов и овощей)
- авитаминозы
- постоянные запоры
- нарушения моторики кишечника
- малоподвижный образ жизни
- ожирение..
Любая из вышеперечисленных причин приводит к повышению внутрикишечного давления, пролабированию слизистого и подслизистого слоев кишки между мышечными волокнами, формированию полостного образования диаметром 3-5 см.
Патанатомия
В тонком кишечнике чаще всего встречается дивертикул Меккеля – врожденное неполное заращение желточного протока, в связи с чем примерно в 50 см от баугиниевой заслонки на стенке кишки образуется пальцевидное выпячивание, широким соустьем соединяющееся с кишечником. Иногда единичные дивертикулы образуются в двенадцатиперстной кишке – возле фатерова соска или в луковице двенадцатиперстной кишки (чаще всего это случается на фоне язвенной болезни ДПК). Другие локализации дивертикулеза тонкой кишки встречаются достаточно редко.
В толстом кишечнике дивертикулы преимущественно формируются в сигмовидной и левой половине поперечно-ободочной кишки. Чаще всего образования расположены в два ряда, по одному с каждой стороны вдоль брыжейки. Дивертикулы толстой кишки имеют тенденцию к прогрессированию с возрастом – повышение давления в кишечнике, застой калового содержимого оказывают пульсионный (выдавливающий) эффект, из-за чего возникают все новые и новые выпячивания кишечной стенки.
Классификация
Различают врожденные и приобретенные формы дивертикулов кишечника.
- Врожденный дивертикулез часто бывает множественным, выпячивания локализованы в различных органах. Также дивертикулы могут выступать компонентом врожденной триады Сента, сочетаясь с диафрагмальной грыжей и желчнокаменной болезнью.
- Приобретенные дивертикулы с возрастом формируются практически у 80% населения. Они могут быть тракционными (при спаечной болезни), ложными (при отсутствии мышечных волокон в стенке выпячивания), образовавшимися на фоне заболеваний и травм кишечника.
По локализации различают дивертикулы тонкого и толстого кишечника. По течению выделяют бессимптомные, клинически явные и осложненные дивертикулы.
Симптомы дивертикулов кишечника
Дивертикулы в большинстве случаев никак не проявляются длительное время, обнаруживаясь случайно при обследовании по поводу других заболеваний. Клинически явные формы чаще всего указывают на возможность развития осложнений. Появление симптоматики и осложнений при дивертикулезе связано с нарушением моторики кишечной стенки, застоем кишечного содержимого, как в кишке, так и в полости выпячивания, повышением внутрикишечного давления. Все эти факторы приводят к возникновению повышенного бактериального обсеменения (более 1 млн. клеток в мл), формированию каловых камней, истончению стенки кишечника в местах прохождения сосудов.
Клинически дивертикулы тонкого кишечника проявляются неопределенными болями в животе, хронической диареей. Выпячивания стенки толстого кишечника также способны вызывать боли в животе, больше в его левой половине, часто связанные с дефекацией и исчезающие после нее. Для заболевания характерна неустойчивость стула – запоры постоянно чередуются с диареей и периодами нормального стула. При осмотре каловые массы сформированы в виде шариков, окруженных слизью. Пациентов беспокоит повышенный метеоризм, обильное отхождение кишечных газов.
Осложнения
При длительном застое калового содержимого в дивертикулах наступают необратимые изменения кишечной стенки, активизируется кишечная флора и возникает дивертикулит – одно из самых частых осложнений данного заболевания. Хронический воспалительный процесс может существовать длительное время, вызывая частые рецидивирующие кровотечения, местный перитонит с формированием спаек, свищей, соединяющих полость кишечника с влагалищем, мочевым пузырем, кожей. При спаечной болезни иногда наблюдается кишечная непроходимость.
Выраженное воспаление в полости дивертикула может приводить к перфорации его стенки, выходу кишечного содержимого в брюшную полость с формированием межкишечного абсцесса, а в тяжелых случаях – разлитого перитонита. Перфорация дивертикула кишечника характеризуется клиникой «острого живота», которую очень часто путают с острым аппендицитом. Диагностическая ошибка обычно выявляется только во время операции, на которой находят дивертикулы кишечника.
Диагностика
Заподозрить наличие дивертикулов кишечника достаточно сложно, так как это заболевание не имеет специфической клинической картины. Чаще всего выпячивания обнаруживаются случайно, при поиске причины анемии, исключении опухолей кишечника. С целью уточнения диагноза проводятся:
- Анализы. При подозрении на дивертикулярную болезнь врач-гастроэнтеролог назначает ряд лабораторных исследований: общий анализ крови определяет воспалительные изменения и анемию, анализ кала на скрытую кровь помогает вовремя выявить кишечное кровотечение, а копрограмма и бактериологическое исследование кала диагностируют дисфункцию кишечника, нарушение пищеварения и повышенное бактериальное обсеменение.
- Рентгенодиагностика. Пациенты с данным заболеванием требуют проведения ирригографии, желательно с двойным контрастированием. На рентгеновском снимке будут видны выпячивания кишечной стенки, сообщающиеся с полостью кишечника. Следует помнить, что при наличии осложнений дивертикулов кишечника сначала необходимо сделать обзорную рентгенографию органов брюшной полости, убедиться в отсутствии признаков перфорации, и лишь затем назначать ирригографию.
- Кишечная эндоскопия. Использование эндоскопических методов диагностики (колоноскопия, ректороманоскопия) показано только после купирования признаков воспаления. Колоноскопия является незаменимым методом поиска источника кровотечения, однако может способствовать появлению осложнений заболевания. Преимуществом эндоскопических методик является возможность проведения биопсии, морфологического исследования биоптатов.
Для дифференциальной диагностики с другими заболеваниями может потребоваться проведение УЗИ, КТ, МСКТ органов брюшной полости. Дифференцировать дивертикулы кишечника следует с эктопической беременностью, гипохромной анемией, псевдомембранозным колитом, синдромом раздраженного кишечника, болезнью Крона, острым аппендицитом, целиакией, раком кишечника, ишемическим колитом.
![КТ ОБП. Дивертикул горизонтальной части 12-перстной кишки, заполненный частично контрастом, частично – газом.]()
КТ ОБП. Дивертикул горизонтальной части 12-перстной кишки, заполненный частично контрастом, частично – газом.
Лечение дивертикулов кишечника
Лечение пациентов с неосложненной формой дивертикулеза проводится в отделении гастроэнтерологии, а при возникновении тяжелых осложнений – в хирургическом стационаре. Госпитализируют больных с острым или обострением хронического дивертикулита, интоксикацией, высокой лихорадкой, тяжелой сопутствующей патологией, невозможностью энтерального питания, а также в возрасте старше 85 лет. При наличии клиники острого живота проводят ургентную операцию.
Консервативное лечение
Если у пациента случайно выявлен бессимптомно протекающий дивертикул кишечника, назначения специального лечения не требуется. При наличии неосложненных дивертикулов назначается богатая клетчаткой диета, спазмолитики, прокинетики. При соблюдении всех рекомендаций по терапии заболевания обычно достигается стойкий клинический эффект. Если у пациента развился дивертикулит, рекомендуется использование кишечных антисептиков, антибиотиков, осмотических слабительных препаратов.
Для нормализации работы кишечника следует отказаться от очистительных клизм, бесконтрольного применения слабительных средств. Положительный эффект достигается и при введении в режим дня умеренных физических нагрузок – они помогают укрепить мышечный корсет туловища, нормализуют моторику кишечника. Для уменьшения давления в просвете кишечника назначается диета, богатая клетчаткой (кроме очень грубых волокон – ананасов, хурмы, репы, редиски). Количество клетчатки в рационе увеличивают до 32 г/л. Нужно исключить газообразующие продукты, бобовые, газированные напитки. Для достижения необходимого эффекта следует ежесуточно употреблять не менее двух литров воды.
Использование стимулирующих слабительных средств, обезболивающих на основе морфина при дивертикулах противопоказано, так как они провоцируют дальнейшее нарушение моторики кишечника, усугубляют течение болезни. Для улучшения пассажа пищевых масс по кишечнику назначают осмотические слабительные средства – они увеличивают объем каловых масс и ускоряют их продвижение по пищеварительному тракту. При диарее назначаются сорбенты и вяжущие средства, для купирования метеоризма – препараты симетикона.
Острый дивертикулит требует госпитализации пациента в хирургический стационар, назначения дезинтоксикационных и плазмозамещающих средств, антибактериальных препаратов. Лечение длится не менее двух-трех недель, после выписки из стационара поддерживающая терапия аналогична той, которая проводится при неосложненных дивертикулах.
Хирургическое лечение
Хирургическое лечение показано при развитии угрожающих жизни осложнений: перфорация, абсцедирование, кишечная непроходимость, профузные кровотечения, формирование свищей. Также плановая операция назначается при рецидивирующих кровотечениях и дивертикулитах. Обычно производится резекция части кишечника, пораженного дивертикулезом, с наложением анастомоза. В сложных ситуациях накладывается колостома для облегчения оттока каловых масс, а после стабилизации состояния проводится реконструктивная операция.
Прогноз и профилактика
Прогноз при наличии дивертикулов кишечника обычно благоприятный, однако иногда это заболевание приводит к развитию угрожающих жизни осложнений. Дивертикулит возникает примерно у четверти больных. Эффективность его лечения при первом эпизоде наиболее высокая – до 70%, при третьем эпизоде эффективность терапии снижается до 6%. Профилактики врожденных дивертикулов кишечника не существует. Предупредить развитие приобретенных дивертикулов можно путем нормализации режима и рациона питания, употребления достаточного количества клетчатки и жидкости, использования умеренных физических нагрузок.
Читайте также:


