Лечение инфаркта миокарда. Лечение болей при инфаркте миокарда.
Добавил пользователь Владимир З. Обновлено: 28.01.2026
Информацию из данного раздела нельзя использовать для самодиагностики и самолечения. В случае боли или иного обострения заболевания диагностические исследования должен назначать только лечащий врач. Для постановки диагноза и правильного назначения лечения следует обращаться к Вашему лечащему врачу.
Инфаркт миокарда: причины появления, симптомы, диагностика и способы лечения.
Определение
Инфаркт миокарда (ИМ) – это омертвление участка сердечной мышцы вследствие недостаточного ее кровоснабжения с развитием характерной клинической картины.
Причины появления инфаркта миокарда
Сердце – полый мышечный орган, имеющий форму конуса. Стенки сердца состоят из трех слоев. Внутренний слой – эндокард – выстилает полости сердца изнутри, и его выросты образуют клапаны сердца. Средний слой – миокард – состоит из сердечной мышечной ткани. Наружный слой – перикард. Сердце человека имеет четыре камеры: два предсердия и два желудочка. В правое предсердие поступает кровь из тканей самого сердца и всех частей тела (по верхней и нижней полым венам). В левое предсердие впадают четыре легочные вены, несущие артериальную кровь из легких. Из правого желудочка выходит легочный ствол, по которому венозная кровь поступает в легкие. Из левого желудочка выходит аорта, несущая артериальную кровь в сосуды большого круга кровообращения. Кислород к миокарду сердца доставляется по коронарным артериям.

Сердце очень чувствительно к недостатку кровоснабжения (дефициту кислорода). В случае закупорки крупной коронарной артерии и при отсутствии эффективного альтернативного кровообращения по другим сосудам уже через 30 минут в пораженном участке начинается гибель кардиомиоцитов (мышечных клеток сердца).
Нарушение кровообращения вследствие атеросклеротического поражения коронарных артерий в 97-98% случаев имеет основное значение в возникновении инфаркта миокарда.
Атеросклерозом может поражаться как одна коронарная артерия, так и все три. Степень и протяженность сужения артерии могут быть различными. При повышении артериального давления склерозированный внутренний слой сосуда (эндотелий) легко повреждается, кровь проникает внутрь бляшки, активируется процесс свертывания крови и формируется тромб, который может частично или полностью закупорить сосуд.
Где может формироваться тромб:
- на месте разрыва уязвимой (нестабильной) атеросклеротической бляшки;
- на дефекте (эрозии) эндотелия коронарной артерии, не обязательно локализованном на поверхности атеросклеротической бляшки;
- в месте гемодинамически незначимого сужения коронарной артерии.
Развивающийся некроз миокарда может быть различных размеров, а некроз, проходящий через все слои сердца (трансмуральный) может стать причиной разрыва миокарда.
Образование очагов некроза в миокарде сопровождается изменением размера, формы и толщины стенки сердца, а сохранившийся миокард испытывает повышенную нагрузку и подвергается гипертрофии с увеличением объема и массы.
Такие сопутствующие состояния как: анемия, воспаление, инфекция, лихорадка, метаболические или эндокринные расстройства (в частности, гипертиреоз) могут спровоцировать или утяжелить ишемию миокарда.
К факторам риска развития инфаркта миокарда относятся:
- гиперлипидемия (нарушение нормального соотношения липидов крови);
- курение,
- сахарный диабет,
- артериальная гипертензия,
- абдоминальное ожирение,
- психосоциальные причины (стресс, депрессия и т.д.),
- низкая физическая активность,
- несбалансированное питание и потребление алкоголя.
Классификация инфаркта миокарда
I. Острый инфаркт миокарда.
- Острый трансмуральный инфаркт передней стенки миокарда.
- Острый трансмуральный инфаркт нижней стенки миокарда.
- Острый трансмуральный инфаркт миокарда других уточненных локализаций.
- Острый трансмуральный инфаркт миокарда неуточненной локализации.
- Острый инфаркт миокарда неуточненный.
- Повторный инфаркт передней стенки миокарда.
- Повторный инфаркт нижней стенки миокарда.
- Повторный инфаркт миокарда другой уточненной локализации.
- Повторный инфаркт миокарда неуточненной локализации.
- Гемоперикард.
- Дефект межпредсердной перегородки.
- Дефект межжелудочковой перегородки.
- Разрыв сердечной стенки без гемоперикарда.
- Разрыв сухожильной хорды.
- Разрыв сосочковой мышцы.
- Тромбоз предсердия, ушка предсердия и желудочка сердца.
- Другие текущие осложнения острого инфаркта миокарда.
- Коронарный тромбоз, не приводящий к инфаркту миокарда.
- Синдром Дресслера - постинфарктный склероз.
- Другие формы острой ишемической болезни сердца.
- Острая ишемическая болезнь сердца неуточненная.
Симптомы инфаркта миокарда
При инфаркте миокарда в результате нарушения кровообращения в пораженном участке сердца накапливаются продукты обмена, которые раздражают рецепторы миокарда и коронарных сосудов, что проявляется острой болью. Болевой приступ приводит к выбросу адреналина и норадреналина корой надпочечников.
Боль при типичном течении инфаркта миокарда является основным его признаком. Она возникает за грудиной, иногда может отдавать в левую руку, левое плечо, горло, нижнюю челюсть, в подложечную область.
По интенсивности и длительности такая боль в значительной степени превосходит обычный приступ стенокардии. Боль не снимается приемом нитроглицерина. Длительность болевого синдрома может быть различной - от 1 часа до нескольких суток. Иногда инфаркт миокарда сопровождается резкой слабостью, головокружением, головной болью, рвотой, потерей сознания. Больной выглядит бледным, губы синеют, наблюдается потливость.
В первые сутки развития инфаркта миокарда может регистрироваться тахикардия (учащенное сердцебиение), нарушение ритма, повышение температуры до 37-38℃.
Выделяют следующие клинические варианты:
- астматический - протекает как приступ бронхиальной астмы (присутствуют одышка, затрудненное дыхание, чувство нехватки воздуха);
- гастралгический – характеризуется болями в области желудка с распространением в загрудинное пространство, может быть отрыжка, икота, тошнота, многократная рвота, вздутие живота;
- аритмический – возникают нарушения ритма сердца, угрожающие жизни;
- церебральная – характеризуется нарушением мозгового кровообращения (наблюдаются тошнота, головокружение, нарушение сознания с развитием обморока);
- бессимптомный – инфаркт миокарда без типичного болевого приступа. В связи с несоблюдением постельного режима и отсутствием должного лечения протекает неблагоприятно.
Существуют четкие критерии диагностики инфаркта миокарда:
- клиническая картина инфаркта миокарда;
- картина инфаркта миокарда по данным ЭКГ;
- наличие новых участков миокарда со сниженным кровообращением или нарушение сократимости миокарда по данным инструментальных исследований;
- выявление тромбоза коронарных артерий по данным ангиографии.
- определение уровня биохимических маркеров повреждения кардиомиоцитов в крови;
Синонимы: Тн I вч; сердечный Тн I вч; сТн I вч. Tn I hs; cardiac-specific troponin I, high sensitivity; cTn I hs. Краткая характеристика определяемого вещества (Тропонин) Тропонины – небольши�.
Инфаркт миокарда и нестабильная стенокардия

Инфаркт миокарда – неотложное заболевание сердца, которое чаще всего вызывается внезапной закупоркой коронарной артерии тромбом. Подозрение на инфаркт миокарда кардиологи называют - острым коронарным синдромом (ОКС). По данным электрокардиографии (ЭКГ) выделяют ОКС с повреждением сердечной мышцы, либо начальная фаза без гибели сердечной мышцы, которая называется нестабильной стенокардией. Восстановление кровообращения в коронарной артерии при инфаркте миокарда в течение ближайших 6 часов устраняет последствия и такой подход очень эффективен, потому что даёт надежду на полное выздоровление. Первые признаки инфаркта миокарда должны стать поводом для экстренной госпитализации в специализированный центр.
Подход к лечению в Инновационном сосудистом центре
Современная технология лечения ОКС и нестабильной стенокардии подразумевает коронарографию, ангиопластику и стентирование поражённой артерии. Эта тактика с успехом применяется у нас в клинике. В нашей клинике есть чёткое понимание того, что спасение жизни при инфаркте зависит от времени, когда было восстановлено коронарное кровоснабжение. Поэтому принимая машины скорой помощи, мы организуем экспресс-диагностику и подготовку больного к коронарографии в течение 5 минут. Среднее время восстановления коронарного кровотока после поступления больного в клинику составляет менее 20 минут. Отличительные особенности, подготовка наших специалистов и организация работы клиники позволяет сохранять очень низкий уровень летальности при инфаркте миокарда.
Причины инфаркта миокарда
Сердце требует своего постоянного снабжения кислородом и питательными веществами, как и любая мышца в организме. Для обеспечения этой потребности необходима хорошая проходимость двух крупных артерий и их ветвей, которые доставляют обогащённую кислородом кровь к сердечной мышце. Это система правой и левой коронарных артерий. Если одна из этих артерий или ветвей внезапно блокируются, то часть сердца испытывает недостаток кислорода. Это состояние называется "ишемией миокарда". Если ишемия продолжается долго, то может возникнуть гибель мышечной ткани сердца. Это сердечный приступ, известный как инфаркт миокарда - буквально "смерть сердечной мышцы".
Атеросклероз коронарных артерий (ишемическая болезнь сердца) является фоновым состоянием для большинства инфарктов миокарда . Непосредственной причиной возникновения инфаркта миокарда обычно бывает тромб, образующийся в суженом участке сосуда и полностью перекрывающий кровоток.
Инфаркт миокарда - классификация причин :
Тип 1 – спонтанный, вследствие первичного коронарного события, такого как разрыв, растрескивание или расслоение атеросклеротической бляшки
Тип 2 – инфаркт развивается вследствие уменьшения кровообращения сердца вследствие вторичных причин, таких как спазм коронарной артерии, коронарной эмболия, анемия, аритмия, гипертензия или гипотензия.
Тип 3 – внезапная неожиданная сердечная смерть, включая остановку сердца, часто с симптомами ишемии миокарда. Только патологоанатом может ответить на вопрос, как и отчего происходит развитие массивного инфаркта миокарда при внезапной смерти.
Тип 4 – связанный с коронарной ангиопластикой или стентированием:
Тип 4а – развитие инфаркта миокарда вследствие чрескожного коронарного вмешательства.
Тип 4б – инфаркт, связанный с тромбозом стента.
Тип 5 – развитие инфаркта миокарда, связанного с аортокоронарным шунтированием.
Клинические синдромы при инфаркте
- Сердечная недостаточность, когда сердце не справляется с перекачиванием необходимого объёма крови из гибели части мышечных клеток.
- Аритмии или другие нарушения сердечного ритма из-за гибели проводящих путей.
- Внезапная сердечная смерть, когда сердце перестаёт биться из-за блокады проводящих путей.
- Кардиогенный шок - рефлекторная реакция организма с низким артериальным давлением, которая может привести к повреждению почек, печени и головного мозга.
Атипичные формы инфаркта
Помимо характерной для инфаркта сдавливающей боли за грудиной, выделяют ещё несколько форм инфаркта, которые могут напоминать другие заболевания или протекать бессимптомно. К ним относятся:
- Гастритический инфаркт. Начинается болью в верхней половине живота похожей на обострение гастрита. Нередко при ощупывании живота, отмечается болезненность и напряжённость мышц передней брюшной стенки. Иногда симптоматика напоминает прободную язву.
- Астматический инфаркт. Симптоматика напоминает приступ бронхиальной астмы. Она проявляется надсадным сухим кашлем, чувством заложенности в груди, одышкой. Бывает при поражении передней стенки левого желудочка.
- Безболевой вариант инфаркта, который может проявиться ощущением неопределённого дискомфорта в грудной клетке, потоотделением и общей слабостью.
Классификация инфаркта
По ЭКГ обычно выделяют на два варианта: с подъёмом сегмента ST (ЅТEMI) и без подъёма сегмента ST (NSTEMI). Подъём сегмента ST на электрокардиограмме и последующим изменением специфических лабораторных показателей свидетельствует о формировании очага гибели сердечной мышцы. Термин "Острый коронарный синдром" часто используется для определения тактики первичной врачебной помощи и включает в себя все варианты острого нарушения коронарного кровообращения.
Осложнения
Осложнения инфаркта связаны с повреждением участков сердца, проводящих путей, тромбозами полостей сердца. Развитие инфаркта значит гибель того или иного структурного элемента сердца.
Примерно у 90% больных отмечаются различные формы нарушений сердечного ритма (аритмии) во время или сразу после события. У 25% пациентов, нарушение ритма проявляются в течение первых 24 часов. В этой группе больных риск серьёзных аритмий, таких как фибрилляция желудочков, является наибольшим в течение первого часа, а затем постепенно сокращается. Врач должен правильно оценивать эти аритмии, так как некоторые из них могут привести к остановке сердца, поэтому необходим постоянный мониторинг ЭКГ у больных с ишемией миокарда.
Гибель ткани сердца вследствие прекращения кровоснабжения может привести к распаду этой ткани и повреждению структуры сердца. Чаще всего наблюдаются 3 основных механических осложнений инфаркта:
- Спонтанный разрыв стенки желудочка.
- Разрыв межжелудочковой перегородки значит, что развивается нарушение внутрисердечных потоков крови и гемодинамики.
- Отрыв сосочковой мышцы разрыв с развитием впоследствии тяжёлой недостаточности митрального клапана.
- Постинфарктные аневризмы левого желудочка.
Аневризма левого желудочка это локализованный участок миокарда с аномальными выпячиванием и деформацией во время систолы и диастолы, который появляется вследствие замещения миокарда рубцовой тканью. Аневризма опасна скоплением тромботических масс в её просвете с последующей эмболией (переносом) их с током крови в другие органы. При аневризме увеличивается объём левого желудочка, а значит проявляется его относительная функциональная недостаточность.
При инфаркте в левом желудочке нередко возникает пристеночный тромб, особенно часто он развивается после инфарктов, произошедших в области передней стенки левого желудочка. Частота этого осложнения при инфаркте составляет 20-60 %, что приводит к высокому риску отрыва и переноса тромба с током крови (эмболии). Антикоагулянтная терапия может существенно уменьшить риск развития тромбоза и эмболии.
Клинические синдромы, связанные с повреждением миокарда после инфаркта
Воспаление околосердечной сумки (перикарда) наблюдается примерно у 10% пациентов после перенесённого инфаркта со значительным повреждением миокарда. Перикардит обычно лечится противовоспалительными препаратами или при большом скоплении жидкости может проводится пункция перикарда для облегчения состояния пациента.
- Постинфарктный аутоиммунный синдром (синдром Дресслера)
До эпохи тромболизиса и коронарной ангиопластики этот синдром возникал у 5 % больных после сердечного приступа. С внедрением реперфузии развитие синдрома Дресслера происходит реже. Отличительные клинические признаки включают лихорадку, боль в груди и симптомы перикардита возникают через 2-3 недели после лечения инфаркта миокарда . Лечение включает в себя противовоспалительные препараты и гормоны. Клинические проявления синдрома обуславливают значимую сердечную недостаточность, развивающуюся после инфаркта.
Прогноз
Острый инфаркт миокарда приводит в результате к 30% смертности, а половина смертей происходят до прибытия в больницу. В течение первого года после острого сердечного приступа умирают 5-10% выживших. Приблизительно половина всех пациентов подвергаются повторной госпитализации в течение 1 года после предыдущего события. Большое значение для прогноза имеет объём поражённой ткани миокарда. Он сильно варьирует и во многом зависит от степени инфаркта, остаточной функции левого желудочка, и будет ли проведено восстановление кровообращения в миокарде.
Лучший прогноз связан со следующими факторами:
- Успешная ранняя реперфузия (с подъёмом сегмента ST с помощью тромболизиса или чрескожное коронарное вмешательство (ангиопластика и стентирование) в течение 90 минут.
- Сохранилась функция левого желудочка в результате быстрого восстановления кровоснабжения миокарда.
- Адекватная терапия с бета-адреноблокаторами, аспирином, клопидогрелем и ингибиторами АПФ в остром периоде.
Неблагоприятный прогноз связан со следующими факторами:
- Преклонный возраст
- Сахарный диабет
- Поражения в других бассейнах (сонные и периферические артерии)
- Задержка или неудачное коронарное вмешательство.
- Плохо сохранилась функция левого желудочка
Преимущества лечения в клинике
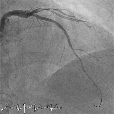
Диагностика
![Коронография - лучший метод диагностики поражений сосудов сердца]()
Симптомы инфаркта миокарда
Стенокардия (пациент испытывает сжимающие боли за грудиной): самый первый признак поражения коронарных артерий и симптом грядущего инфаркта миокарда. Большинство пациентов отмечают предшествующие приступы стенокардии, которая даёт аналогичную боль в груди. Разница в основном в продолжительности болевого синдрома: при стенокардии кровообращение восстанавливается, боль отступает в течение нескольких минут, а миокард не повреждается.
При инфаркте поток крови критически снижен или полностью заблокирован, боль длится дольше и сердечная мышца может погибнуть в ближайшие часы. Затянувшийся приступ стенокардии должен заставить срочно вызвать скорую помощь! Около 25% всех инфарктов происходит без предшествующей стенокардии, но могут сопровождаться снижением давления и появлением одышки.
Для выявления проблем с кровообращением миокарда необходимо выполнить электрокардиографию (ЭКГ). Так как инфаркт - это гибель участков ткани сердца и его проводящих путей, то развиваются нарушения его функции.
Основные симптомы инфаркта миокарда связаны с болью и острой сердечной недостаточностью :
- Боль в груди, чувство наполнения и/или сдавливания в груди.
- Боль в челюсти, зубная, головная боль.
- Нехватка дыхания, которую больной чувствует из-за отёка лёгких.
- Тошнота, рвота, общее ощущение давления под ложечкой (вверху в центре живота).
- Потливость, одышка .
- Изжога и/или расстройство пищеварения, кишечника.
- Боль в руке (наиболее часто в левой, но может и в правой руке).
- Боль в верхней части спины, которую пациент испытывает при заднем инфаркте.
- Общее болезненное ощущение (неясное ощущение недомогания) и нарушения сердцебиения.
Диагностика инфаркта складывается из методов определения характера инфаркта и формы повреждения миокарда и определения причин этого повреждения. Для диагностики используются следующие методы:
Электрическая активность сердца регистрируется с помощью электродов, прикреплённых к коже. Определённые отклонения в электрической активности сердца могут помочь специалистам определить зоны ишемии миокарда и уточнить диагноз.
Это ультразвуковое исследование сердца. Она позволяет выявить зоны нефункционирующего миокарда при его гибели и в результате определить функциональный резерв сердца — фракцию выброса.
Контрастное вещество вводится в кровеносные сосуды сердца. Затем рентгеновский аппарат делает серию снимков (ангиография), показывая проходимость этих коронарных артерий. Это исследование позволяет определить причину ишемии миокарда и принять меры для нормализации кровотока по коронарным артериям.
Наиболее чувствительным и специфичным маркёром гибели клеток миокарда является повышение концентрации тропонинов I и Т. В норме эти тропонины в крови не определяются. Возникновение некроза кардиомиоцитов сопровождается сравнительно быстрым и значительным увеличением концентрации тропонинов I и Т уже через 2–6 ч после сердечного приступа.
Лечение

Лечение ишемии миокарда предполагает улучшение притока крови к сердечной мышце. Консервативная терапия инфаркта миокарда малоэффективна, чтобы открыть заблокированные коронарные артерии может быть использован внутривенный тромболизис.
Своевременное эндоваскулярное вмешательство - коронарная ангиопластика и стентирование восстанавливают проходимость коронарных сосудов и предотвращают развитие инфаркта, снижая летальность при ОКС до 2% с 40% при обычном лечении. Улучшение непосредственных и отдалённых исходов является отличительной чертой эндоваскулярных вмешательств по сравнению с консервативной терапией.
Большинство инфарктов развивается в течение нескольких часов, поэтому не стоит ждать, чтобы появились все признаки и последствия сердечного приступа. Чаще всего сердечный приступ сопровождается болью в грудной клетке, которая не проходит после приёма нитроглицерина, однако бывают и безболевые формы, особенно у больных с сахарным диабетом. Инфаркт требует немедленной медицинской помощи. Для того чтобы максимально сохранить жизнеспособную сердечную мышцу и предотвратить дальнейшее ухудшение пациенту надо дать аспирин и нитроглицерин.
Если через 15 минут после нитроглицерина и получаса после возникновения боль в грудной клетке не отступила, то необходимо срочно вызывать скорую помощь. В зависимости от вида инфаркта проводятся различные лечебные мероприятия.
- Лечение инфаркта миокарда с подъёмом ЅТ (STEMI)
Основное лечение для инфаркта с подъёмом сегмента ST может включать тромболизис или чрескожное коронарное вмешательство (ЧКВ). Первичное чрескожное коронарное вмешательство является методом выбора для лечения инфаркта с подъёмом ЅТ, если оно может быть выполнено своевременно. Если ЧКВ не может быть выполнено в течение 90 до 120 минут, то с целью оказания первой помощи рекомендуется проведение тромболизиса. Если пациент имеет симптомы инфаркта в течение от 12 до 24 часов, то показаний для тромболизиса меньше, позже тромболизис не рекомендуется.
ЧКВ - главный метод лечения острого инфаркта миокарда, позволяющий восстановить кровоток в инфаркт-связанной артерии. Чем раньше будет проведена ангиопластика и стентирование закрытой коронарной артерии, тем больше шансов на благоприятный исход.
При отсутствии подъёма сегмента ST, диагноз уточняется с помощью анализа крови на тропонин. Положительный тест на тропонин может появиться через 3-6 часов после развития острого коронарного синдрома и свидетельствует о том, что имеется очаг некроза миокарда. Такой инфаркт называется "острый коронарный синдром без подъёма сегмента ST (NSTEMI). В этом случае у врача есть время, чтобы специалисты провели дополнительные обследования больного, которые определят необходимость вмешательства на коронарных артериях. Если принято решение о необходимости реваскуляризации, то коронарография проводится в ближайшие часы после поступления пациента. Если принято решение о консервативном лечении, то применяются дезагреганты (клопидогрель, тромбо асс) и патогенетическая лекарственная терапия, отказ от вредных привычек, изменение образа жизни и режима физической активности.
Инфаркт миокарда – симптомы, лечение, последствия и профилактика
Инфаркт миокарда – острое состояние, клиническая форма ишемической болезни сердца, при которой в результате полной или частичной недостаточности кровоснабжения участка сердечной мышцы развивается ее некроз (отмирание). Это приводит к нарушениям в работе всей сердечно-сосудистой системы и угрожает жизни больного.
Основная и самая распространенная причина возникновения инфаркта миокарда – это нарушение кровотока в коронарных артериях, которые снабжают сердечную мышцу кровью, а соответственно, кислородом. Чаще всего это нарушение возникает на фоне атеросклероза артерий, при котором происходит образование атеросклеротических бляшек на стенках сосудов. Эти бляшки сужают просвет коронарных артерий, а также могут способствовать разрушению стенок сосудов, что создает дополнительные условия для образования тромбов и стеноза артерий.
Факторы риска инфаркта миокарда
Выделяют ряд факторов, которые значительно повышают риск развития этого острого состояния:
- Атеросклероз. Нарушение липидного обмена, при котором происходит образование атеросклеротических бляшек на стенках сосудов – основной фактор риска в развитии инфаркта миокарда.
- Возраст. Риск развития заболевания повышается после 45–50 лет.
- Пол. По данным статистики, у женщин это острое состояние возникает в 1,5–2 раза чаще, чем у мужчин, особенно высок риск развития инфаркта миокарда у женщин в период менопаузы.
- Артериальная гипертония. Люди, страдающие гипертонической болезнью, имеют повышенный риск возникновения сердечно-сосудистых катастроф, поскольку при повышенном артериальном давлении повышается потребность миокарда в кислороде.
- Перенесенный ранее инфаркт миокарда, даже мелкоочаговый.
- Курение. Эта пагубная привычка приводит к нарушению в работе многих органов и систем нашего организма. При хронической никотиновой интоксикации происходит сужение коронарных артерий, что приводит к недостаточному снабжению миокарда кислородом. Причем речь идет не только об активном курении, но и пассивном.
- Ожирение и гиподинамия. При нарушении жирового обмена ускоряется развитие атеросклероза, артериальной гипертензии, повышается риск возникновения сахарного диабета. Недостаточная физическая активность также негативно сказывается на обмене веществ в организме, являясь одной из причин накопления избыточной массы тела.
- Сахарный диабет. Пациенты, страдающие сахарным диабетом, имеют высокий риск развития инфаркта миокарда, поскольку повышенный уровень глюкозы в крови оказывает пагубное действие на стенки сосудов и гемоглобин, ухудшая его транспортную функцию (перенос кислорода).
Это острое состояние имеет довольно специфичные симптомы, причем они обычно настолько выражены, что не могут остаться незамеченными. Тем не менее следует помнить, что встречаются и атипичные формы этого заболевания.
В подавляющем большинстве случаев у больных возникает типичная болевая форма инфаркта миокарда, благодаря чему у врача есть возможность правильно диагностировать заболевание и немедленно начать его лечение.
Основной симптом заболевания – это сильная боль. Боль, возникающая при инфаркте миокарда, локализуется за грудиной, она жгучая, кинжальная, некоторые больные характеризуют ее как «раздирающую». Боль может отдавать в левую руку, нижнюю челюсть, межлопаточную область. Возникновению этого симптома не всегда предшествует физическая нагрузка, нередко болевой синдром возникает в состоянии покоя или в ночное время. Описанные характеристики болевого синдрома схожи с таковыми при приступе стенокардии, тем не менее у них есть четкие различия.
В отличие от приступа стенокардии, болевой синдром при инфаркте миокарда сохраняется более 30 минут и не купируется в покое или повторным приемом нитроглицерина. Следует отметить, что даже в тех случаях, когда болевой приступ длится более 15 минут, а принимаемые меры неэффективны, необходимо немедленно вызвать бригаду скорой медицинской помощи.
Атипичные формы инфаркта миокарда
Инфаркт миокарда, протекающий в атипичной форме, может вызвать затруднения у врача при постановке диагноза.
Гастритический вариант. Болевой синдром, возникающий при этой форме заболевания, напоминает боль при обострении гастрита и локализуется в надчревной области. При осмотре может наблюдаться напряжение мышц передней брюшной стенки. Обычно такая форма инфаркта миокарда возникает при поражении нижних отделов левого желудочка, которые прилегают к диафрагме.
Астматический вариант. Напоминает тяжелый приступ бронхиальной астмы. У больного возникает удушье, кашель с пенистой мокротой (но может быть и сухим), при этом типичный болевой синдром отсутствует или выражен слабо. В тяжелых случаях может развиться отек легких. При осмотре может выявляться нарушение сердечного ритма, снижение артериального давления, хрипы в легких. Чаще всего астматическая форма заболевания возникает при повторных инфарктах миокарда, а также на фоне тяжелого кардиосклероза.
Аритмический вариант. Эта форма инфаркта миокарда проявляется в виде различных аритмий (экстрасистолия, мерцательная аритмия или пароксизмальная тахикардия) или атриовентрикулярных блокад различной степени. Из-за нарушения сердечного ритма может маскироваться картина инфаркта миокарда на электрокардиограмме.
Церебральный вариант. Характеризуется нарушением кровообращения в сосудах головного мозга. Больные могут жаловаться на головокружение, головную боль, тошноту и рвоту, слабость в конечностях, сознание может быть спутанным.
Безболевой вариант (стертая форма). Эта форма инфаркта миокарда вызывает наибольшие трудности в диагностике. Болевой синдром может полностью отсутствовать, пациенты жалуются на неопределенный дискомфорт в грудной клетке, повышенное потоотделение. Чаще всего такая стертая форма заболевания развивается у больных сахарным диабетом и протекает очень тяжело.
Иногда в клинической картине инфаркта миокарда могут присутствовать симптомы разных вариантов заболевания, прогноз в таких случаях, к сожалению, неблагоприятный.
Лечение инфаркта миокарда При появлении сильной жгучей боли в сердце больному следует принять получидячее положение и рассосать под языком таблетку нитроглицерина.
У больного можно заподозрить инфаркт миокарда, если:
- жгучая сильная боль за грудиной продолжается более 5–10 минут;
- интенсивность болевого синдрома не уменьшается в покое, с течением времени и после приема нитроглицерина, даже повторного;
- болевой синдром сопровождается появлением резкой слабости, тошноты, рвоты, головной боли и головокружением.
При подозрении на инфаркт миокарда необходимо немедленно вызвать бригаду скорой помощи и начать оказывать помощь больному. Чем раньше больному будет оказана первая помощь, тем благоприятнее прогноз.
Необходимо снизить нагрузку на сердце, для этого больного нужно уложить с приподнятым изголовьем. Нужно обеспечить приток свежего воздуха и постараться успокоить пациента, можно дать успокоительные препараты,
Следует дать больному под язык (можно предварительно измельчить) таблетку нитроглицерина и разжевать одну таблетку аспирина.
Если под рукой есть препараты из группы бета-блокаторов (Атенолол, Метапролол), то необходимо дать больному разжевать 1 таблетку. Если больной постоянно принимает эти лекарственные средства, то нужно принять внеочередную дозу лекарства.
Для уменьшения интенсивности болевого синдрома необходимо дать больному обезболивающий препарат (анальгин, баралгин, пенталгин и др.).
Дополнительно пациент может принять таблетку панангина или 60 капель корвалола.
При подозрении на остановку сердца (потеря сознания, остановка дыхания, отсутствие пульса и реакции на внешние раздражители) необходимо немедленно начинать реанимационные мероприятия (непрямой массаж сердца и искусственное дыхание). Если больной не приходит в сознание, то продолжать их нужно до приезда врачей.
Квалифицированная помощь при инфаркте миокарда на догоспитальном этапе
Основная задача в лечении пациентов с инфарктом миокарда – это как можно более быстрое возобновление и поддержание кровообращения в пораженном участке миокарда. Здоровье и жизнь больных во многом зависит от оказания помощи на догоспитальном этапе.
Одна из важнейших задач, которая стоит перед врачами скорой медицинской помощи, – купирование болевого приступа, поскольку в результате активации симпатоадреналовой системы увеличивается нагрузка на сердце и потребность миокарда в кислороде, что еще больше усугубляет ишемию пораженного участка сердечной мышцы. Нередко врачам для купирования загрудинной боли приходится применять наркотические анальгетики, на догоспитальном этапе чаще всего используется морфин. Если обезболивающий эффект от применения наркотических анальгетиков недостаточен, возможно внутривенное введение нитропрепаратов или бета-адреноблокаторов.
Восстановление коронарного кровотока – не менее важная задача для врачей при лечении пациента с инфарктом миокарда. При отсутствии противопоказаний врач может начать проводить тромболизис в машине скорой помощи. Эта процедура показана не всем больным с инфарктом миокарда, показания к ней определяет врач, исходя из результатов электрокардиограммы. Эффективность тромболизиса напрямую зависит от сроков его начала, при введении тромболитических препаратов в первые часы после начала сердечно-сосудистой катастрофы вероятность восстановления кровотока в миокарде достаточно высока.
Решение о проведении тромболизиса на этапе транспортировки в стационар зависит от временного фактора. Введение препаратов начинает врач бригады скорой медицинской помощи, если время транспортировки больного в стационар превышает 30 минут.
Лечение инфаркта миокарда в стационаре
При появлении симптомов инфаркта миокарда больной в короткий срок должен быть госпитализирован в стационар.
Лучший метод восстановления кровотока и проходимости коронарных артерий – немедленная операция ангиопластики сосуда, в ходе которой в артерию устанавливается стент. Стентирование также необходимо провести в первые часы от начала инфаркта миокарда. В некоторых случаях единственным способом спасения сердечной мышцы является срочная операция аортокоронарного шунтирования.
Пациента с инфарктом миокарда госпитализируют в блок интенсивной терапии, а при необходимости – в реанимационное отделение, где при помощи специальных аппаратов врачи могут постоянно наблюдать за состоянием больного.
В терапии этого заболевания может применяться большое количество групп препаратов, ведь при лечении инфаркта миокарда необходимо выполнять сразу несколько задач:
- предупреждение тромбообразования и разжижение крови достигается при помощи препаратов из групп антикоагулянтов, антиагрегантов и дезагрегантов;
- ограничение области поражения миокарда достигается путем снижения потребности сердечной мышцы в кислороде, для чего применяются препараты из групп бета-блокаторов и ингибиторов АПФ (ангиотензин-превращающего фермента);
- уменьшение болевого синдрома достигается при использовании ненаркотических и наркотических анальгетиков, антиангинальным эффектом обладают и нитропрепараты, которые также уменьшают потребность миокарда в кислороде и снижают нагрузку на сердце;
- для нормализации уровня артериального давления больному назначаются гипотензивные препараты;
- при возникновении нарушений сердечного ритма больному назначаются антиаритмические препараты.
Перечислены далеко не все группы препаратов, которые могут применяться для лечения инфаркта миокарда. Лечебная тактика зависит от общего состояния пациента, наличия сопутствующих заболеваний почек, печени и других органов, а также от многих других факторов. Поэтому лечение этого тяжелого заболевания должен проводить только квалифицированный врач, самолечение недопустимо и может привести к гибели больного.
Последствия инфаркта миокарда всегда негативно отражаются на состоянии всего организма. Конечно, это зависит от того, насколько обширно поражение миокарда. У больных, перенесших инфаркт миокарда, нередко развиваются нарушения ритма сердца. Из-за омертвения участка миокарда и формирования рубца снижается сократительная функция сердца, в результате чего развивается сердечная недостаточность.
В результате обширного инфаркта и формирования большого рубца может возникнуть аневризма сердца – состояние, угрожающее жизни больного и требующее оперативного лечения. Аневризма не только ухудшает работу сердца, но и повышает вероятность образования тромбов в ней, также велик риск ее разрыва.
Профилактика инфаркта миокарда
Профилактика этого заболевания подразделяется на первичную и вторичную. Первичная направлена на то, чтобы не допустить возникновение инфаркта миокарда, а вторичная – на предупреждение повторения сердечно-сосудистой катастрофы у тех, кто ее уже перенес. Профилактика необходима не только пациентам, страдающим сердечно-сосудистыми заболеваниями, но и здоровым людям, и сводится к устранению факторов, повышающих риск возникновения сердечно-сосудистых катастроф.
- Контроль массы тела. У людей, имеющих избыточный вес, нагрузка на сердце увеличивается, возрастает риск развития артериальной гипертензии и сахарного диабета.
- Регулярные физические нагрузки. Физическая активность способствует улучшению обмена веществ, а следовательно, снижению массы тела. Доказано, что регулярные упражнения на 30 % снижают риск повторного инфаркта миокарда у тех, кто его уже перенес. Комплекс упражнений и уровень нагрузок подбирается врачом.
- Отказ от вредных привычек. Учеными давно доказано, что курение и злоупотребление алкоголем значительно повышает риск развития сердечно-сосудистых заболеваний. У людей, не желающих отказываться от пагубных привычек, риск возникновения повторного инфаркта миокарда возрастает в 2 раза.
- Контроль уровня холестерина в крови. Всем людям в возрасте старше 45 лет рекомендуется регулярно контролировать показатели липидного обмена, поскольку атеросклероз, развивающийся при его нарушении, является одной из основных причин возникновения сердечно-сосудистых катастроф.
- Контроль артериального давления. При стойком повышении артериального давления выше 140/90 мм рт. ст. необходима его медикаментозная коррекция, поскольку при артериальной гипертензии нагрузка на сердце значительно повышается.
- Контроль уровня глюкозы в крови. Это необходимо для выявления нарушений углеводного обмена и предупреждения сахарного диабета, при котором также возрастает риск возникновения инфаркта миокарда.
- Диета. Рекомендуется ограничение употребления поваренной соли, продуктов, содержащих большое количество холестерина и тугоплавких жиров. В рационе следует увеличить количество фруктов и овощей, содержащих клетчатку, витамины и минералы, и морепродуктов.
- Прием препаратов, содержащих ацетилсалициловую кислоту. Аспирин входит в стандарт не только лечения инфаркта миокарда, но и его профилактики. На сегодняшний день в кардиологии применяется большое количество препаратов, содержащих это вещество (Аспикор, Кардиомагнил, Аспирин Кардио и др.). Для подбора оптимальной дозировки и выбора конкретного препарата необходимо обратиться к врачу.
При симптомах, напоминающих инфаркт миокарда, следует вызвать «Скорую помощь». Лечение больного с инфарктом проводит врач-кардиолог, он же осуществляет реабилитацию и диспансерное наблюдение после перенесенного заболевания. При необходимости стентирования или шунтирования их выполняет кардиохирург.
Инфаркт миокарда
Читайте также:

