Легочная гипертензия
Добавил пользователь Валентин П. Обновлено: 23.11.2025
Развитие легочной гипертензии связано с постепенным закрытием просвета средних и мелких сосудов легких, в результате чего повышается давление в сосудах легких и страдает насосная функция правых камер сердца.
Основными жалобами больных с легочной гипертензией являются повышенная утомляемость, слабость, одышка при физической нагрузке, дискомфорт в левой половине грудной клетке, реже сжимающие боли за грудиной при физической нагрузке, обморочные состояния, а также клинические проявления недостаточности насосной функции правого сердца: отеки ног и жидкость в брюшной полости.
В зависимости от тяжести клинических проявлений выделяют 4 класса легочной гипертензии. К первому функциональному классу относятся больные, физическая активность которых страдает при высоких физических нагрузках. Ко второму классу легочной гипертензии относятся пациенты, которые в покое ощущают себя комфортно, но умеренная физическая нагрузка приводит к появлению одышки, слабости, болей в грудной клетке или головокружения. К третьему функциональному классу относятся больные с легочной гипертензией, у которых даже бытовые нагрузки могут вызывать появление вышеописанных жалоб. Больные с четвертым классом легочной гипертензии не способны выполнять никакой физической нагрузки, и даже в покое у них могут присутствовать слабость и одышка.
При появлении вышеперечисленных клинических симптомов пациент должен немедленно обратиться к врачу. Для того, чтобы представлять весь объем обследования, который потребуется для диагностики данного заболевания, прежде всего, необходимо остановиться на механизмах развития легочной гипертензии. Среди причин легочной гипертензии важное место занимает хроническая обструктивная болезнь легких и её наиболее частый вариант хронический бронхит, возникающий у 90% курящих.
Наряду с патологией легких, к развитию легочной гипертензии нередко приводят повторные тромбэмболии в легочные сосуды. Легочная гипертензия является наиболее частым осложнением поражения сердечной мышцы у больных ишемической болезнью сердца, воспалительными заболеваниями миокарда и пороками сердца. Кроме заболеваний левых камер сердца, повышенное давление в легочной артерии — основное осложнение и причина смерти больных с врожденными пороками сердца, которым отказано в хирургическом лечении. Однако легочная гипертензия может развиваться и у больных ранее прооперированных по поводу врожденных пороков сердца. Наряду с вышеперечисленными заболеваниями, легочная гипертензия часто встречается у больных с аутоиммунной патологией: системной красной волчанкой, системной склеродермией и ревматоидным артритом. Легочная гипертензия осложняет тяжелые заболевания печени с развитием цирроза. Кроме того, повышение давления в сосудах легких может возникать у пациентов с ВИЧ-инфекцией, гематологическими заболеваниями.
В случае, когда при обследовании не находят причины для развития легочной гипертензии, диагностируют идиопатическую легочную гипертензию. Данное название возникло от двух греческих слов: idios и pathos — «своеобразное страдание». Идиопатическая легочная гипертензия является самостоятельным заболеванием в отличие от вторичной легочной гипертензии, возникающей как осложнение различных болезней органов кровообращения и дыхания. Идиопатическая легочная гипертензия впервые была описана в 1901 году аргентинскими терапевтами.
По статистике наиболее подвержены развитию идиопатической легочной гипертензией молодые женщины, в возрасте от 20 до 40 лет. Заболевание мужчин встречается гораздо реже. В среднем идиопатическая легочная гипертензия регистрируется всего в 2 случаях на миллион населения. Причины возникновения данного заболевания неизвестны. В последние годы изучению этого вопроса уделяется значительное внимание. Среди факторов риска развития идиопатической легочной гипертензии называют препараты для лечения ожирения, амфетамины, кокаин, триптофан, гормональные контрацептивы, курение и даже беременность. Высказывается мнение о роли генетических факторов развитии данного заболевания. Однако точного ответа о причине возникновения идиопатической легочной гипертензии пока не получено.
Диагноз легочной гипертензии
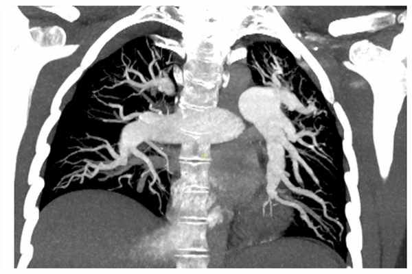
Диагноз ставится в том случае, если среднее давление в легочной артерии оказывается более 25 мм ртутного столба в покое при катетеризации правых камер сердца и манометрии. Основным неинвазивным методом диагностики легочной гипертензии является эхокардиография. Для диагностики легочной гипертензии, связанной с патологией легких, пациенту дополнительно необходимо выполнить бодиплетизмографию или, в крайнем случае, спирографию. Многоспиральная компьютерная томография легких в сосудистом режиме является обязательным исследованием, позволяющим не только подтвердить наличие легочной гипертензии, но и установить её причину: тромбэмболическая болезнь или патология легких. И только в случае малой информативности компьютерной томографии легких оправдано проведение ангиопульмонографии. Обязательным методом диагностики легочной гипертензии является такой инвазивный метод как катетеризация правых камер сердца, которая выполняется только в специализированных центрах, занимающихся лечением больных с легочной гипертензией.
Лечение больных с легочной гипертензией
Лечение больных с легочной гипертензией — одна из труднейших задач, стоящих перед кардиологом и врачем-терапевтом. Поэтому во всем мире создаются специализированные центры по лечению данной патологии. В Санкт-Петербурге такой центр существует в отделе некоронарогенных заболеваний сердца на базе Национального медицинского исследовательского центра имени В. А. Алмазова. В нашем центре накоплен богатый опыт не только диагностики, но и современного эффективного лечения легочной гипертензии. Сегодня в арсенале врачей появились новые группы препаратов, ранее не используемые в лечении данной патологии. Среди этих препаратов антагонисты эндотелиновых рецепторов, ингибиторы фосфодиэстеразы 5 типа и синтетические аналоги простациклина, которые не только улучшают качество жизни пациентов, но и существенно увеличивают её продолжительность. Однако среди больных и даже врачей существует ошибочное представление о том, что единственным методом лечения легочной гипертензии является трансплантация легких. Итоги 10-летней работы центров, занимающихся пересадкой органов, показали, что результаты трансплантации легких у больных с идиопатической легочной гипертензией хуже, чем у пациентов с патологией легких. Так выживаемость больных с идиопатической легочной гипертензией в течение 1 года после трансплантации составляет 70% и 50-60% в течение 3 лет. Поэтому трансплантацию легких у больных с легочной гипертензией следует рассматривать в качестве альтернативного метода лечения в случае низкой эффективности медикаментозной терапии. В последние годы в лечении больных с тромбозами и тромбэмболиями легочной артерии активно используется метод хирургического удаления тромба. Однако отдаленные результаты этого метода зависят от выраженности легочной гипертензии на момент проведения операции. Поэтому медикаментозное лечение с использованием всего арсенала лекарственных средств может использоваться в качестве «мостика» при подготовке больных к операции.
Легочная гипертензия: симптомы и лечение

Легочная гипертензия – это заболевание сердечно-сосудистой системы, характеризующееся высоким кровяным давлением в легочной артерии. Давление повышается из-за сужения стенок артерий, ведущих от сердца к легким. Из-за этого сердце вынуждено работать интенсивнее, чтобы перекачивать кровь через легкие. Дополнительное усилие в конечном итоге приводит к ослаблению сердечной мышцы и развитию серьезной сердечной недостаточности.
Легочная гипертензия может быть опасной для жизни. Хотя некоторые ее виды неизлечимы, при своевременной диагностике лечение легочной гипертензии уменьшает проявление симптомов и улучшает качество жизни.
Код легочной гипертензии по МКБ 10 – I27.0.
Симптомы легочной гипертензии
Признаки легочной гипертензии появляются медленно. Их можно не замечать месяцами или даже годами. Симптомы усиливаются (или проявляются ярче) по мере прогрессирования болезни. Они включают:
- одышку, сначала во время физических нагрузок, а затем и в состоянии покоя;
- усталость;
- головокружение;
- обмороки;
- давление или боль в груди;
- отек лодыжек, ног и, в конечном итоге, брюшной полости (асцит);
- синюшный цвет губ и кожи (цианоз);
- учащенный пульс и сердцебиение.
Степени легочной гипертензии
В зависимости от стадии развития заболевания, выделяют его степени.
- Легочная гипертензия 1 степени. Клинические проявления отсутствуют, физические нагрузки переносятся хорошо, но на некоторых участках легочной артерии есть признаки нарушения кровообращения, которые можно обнаружить только при специальном обследовании.
- Легочная гипертензия 2 степени. Физические нагрузки начинают приносить дискомфорт. Беспокоит одышка, слабость, головокружение. В состоянии покоя самочувствие нормальное.
- Легочная гипертензия 3 степени. Даже легкая физическая нагрузка причиняет сильный дискомфорт.
- Легочная гипертензия 4 степени. Все симптомы легочной гипертензии ощущаются даже в состоянии покоя, человек не может вести привычный образ жизни.
Причины легочной гипертензии
Легочная гипертензия подразделяется на пять групп в зависимости от причины.
Группа 1: легочная артериальная гипертензия.
- Неизвестная причина (идиопатическая легочная артериальная гипертензия).
- Генетическая мутация (наследственная легочная артериальная гипертензия).
- Употребление некоторых рецептурных диетических препаратов или запрещенных препаратов.
- Проблемы с сердцем с рождения (врожденный порок сердца).
- Другие состояния, такие как заболевания соединительной ткани (склеродермия, волчанка и др.), ВИЧ-инфекция или хроническое заболевание печени (цирроз).
Группа 2: легочная гипертензия, вызванная левосторонним пороком сердца.
- Левостороннее заболевание сердечного клапана.
- Отказ нижней левой камеры сердца (левого желудочка).
Группа 3: легочная гипертензия, вызванная заболеванием легких.
- Хроническая обструктивная болезнь легких.
- Легочный фиброз.
- Обструктивное апноэ во сне.
- Длительное пребывание на большой высоте у людей, которые подвержены более высокому риску легочной гипертензии.
Группа 4: тромбоэмболическая легочная гипертензия, вызванная хроническими тромбами.
- Хронические тромбы в легких (легочная эмболия).
- Другие нарушения свертывания крови.
Группа 5: вторичная легочная гипертензия, вызванная другими заболеваниями.
- Заболевания крови.
- Воспалительные заболевания.
- Нарушения обмена веществ, включая болезнь накопления гликогена.
- Заболевания почек.
- Опухоли, давящие на легочные артерии.
- Синдром Эйзенменгера.
Легочная гипертензия у детей может быть всех вышеописанных форм. Однако наиболее часто у них встречается легочная артериальная гипертензия, развившаяся вследствие пороков сердца и идиопатическая легочная гипертензия.
Факторы риска
По мере взросления увеличивается риск развития хронической легочной гипертензии. Заболевание чаще диагностируется у людей в возрасте от 30 до 60 лет. Однако идиопатическая форма чаще встречается у молодых людей.
Другие факторы, которые могут повысить риск легочной гипертензии, включают:
- семейную историю болезни;
- лишний вес;
- нарушения свертываемости крови или наличие тромбов в легких в семейном анамнезе;
- воздействие асбеста;
- генетические нарушения, в том числе врожденные пороки сердца;
- жизнь на большой высоте;
- использование некоторых препаратов для снижения веса;
- употребление запрещенных и наркотических средств;
- использование селективных ингибиторов обратного захвата серотонина, используемых для лечения депрессии и тревоги.
Диагностика легочной гипертензии
Легочную гипертензию сложно диагностировать на ранней стадии, поэтому ее редко выявляют при обычном медицинском осмотре. Даже симптомы более поздней стадии легочной гипертензии часто схожи с другими заболеваниями сердца и легких.
Врач проводит медицинский осмотр и задает вопросы о медицинском и семейном анамнезе. После чего назначаются медицинские исследования, которые помогут поставить диагноз "легочная гипертензия" и определить ее причину. Тесты на легочную гипертензию могут включать:
- анализы крови;
- рентгенограмму грудной клетки;
- электрокардиограмму (ЭКГ);
- эхокардиограмму (иногда во время тренировки на велотренажере или беговой дорожке);
- катетеризацию правых отделов сердца;
- компьютерную томографию (КТ);
- магнитно-резонансную томографию (МРТ);
- тест легочной функции (измеряет, сколько воздуха могут удерживать легкие, а также поток воздуха в легкие и из них);
- полисомнограмму (во время сна);
- гистологическое исследование биопсийного материала открытого легкого;
- генетические тесты (если результат теста положительный, врач может порекомендовать пройти обследование и другим членам семьи).
Лечение легочной гипертензии
На современном этапе развития медицинской науки уже разработаны эффективные фармакологические методы контроля легочной гипертензии. Главное – вовремя назначить лечение, потому как при декомпенсации препараты не эффективны.
Лекарства от легочной гипертензии нет, но врачи могут назначить лечение, которое поможет максимально уменьшить симптомы и замедлить прогрессирование болезни.
Если легочная гипертензия вызвана другим заболеванием, необходимо, по возможности, устранить основную причину.
Рекомендации по лечению легочной гипертензии включают прием следующих медикаментов: расширители кровеносных сосудов (вазодилататоры), стимуляторы гуанилатциклазы, антагонисты рецепторов эндотелина, блокаторы кальциевых каналов, варфарин, диуретики.
Рекомендации врачей могут включать кислородную терапию для снижения легочной гипертензии. Врач может посоветовать вам чаще дышать чистым кислородом, особенно если вы живете на большой высоте или страдаете апноэ во сне. Некоторым людям с легочной гипертензией требуется постоянная кислородная терапия.
Если лекарства не помогают, рассматривается хирургический вариант лечения – операция на сердце. В этом случае хирург создает отверстие между верхней левой и правой камерами сердца (предсердиями), чтобы уменьшить давление в правой части сердца.
В некоторых случаях возможна трансплантация легкого или сердца-легкого, особенно для молодых людей, страдающих идиопатической легочной артериальной гипертензией.
В «Клинике уха, горла и носа» проводится лечение легочной гипертензии у взрослых и детей. Звоните для консультации или записывайтесь на прием к нашим пульмонологам.
Своевременное обращение к врачу поможет сохранить Ваше здоровье.
Не откладывайте лечение, звоните прямо сейчас. Мы работаем круглосуточно в Москве.
Легочная гипертензия: как не упустить время

Легочная гипертензия – это группа заболеваний, которые характеризуются повышением давления легочной артерии. Постепенно прогрессирующая патология опасна осложнениями, одним из которых является сердечная недостаточность и, как следствие, смерть пациента. Практически бессимптомное развитие ЛГ на начальных стадиях приводит к тому, что примерно в 80% случаев диагностировать заболевание удается только после того, как изменения стали критическими.
– Наталья Анатольевна, какие формы включает данная группа заболеваний?
– Клиническая классификация легочной гипертензии менялась на протяжении многих лет. Cегодня на основании сходства патогенетических особенностей, клинической картины и подходов к лечению выделено пять групп: легочная артериальная гипертензия (ЛАГ), включающая идиопатическую и другие формы; ЛГ вследствие патологии левых отделов сердца; ЛГ, ассоциированная с патологией дыхательной системы и/или гипоксией; хроническая тромбоэмболическая ЛГ и другие обструкции легочной артерии; ЛГ с неясными и/или многофакторными механизмами.
– Учитывая такое многообразие причин, каким образом диагностируется заболевание?
– Мы всегда говорим, что легочная гипертензия – патология, которая требует постановки диагноза в экспертном центре. Это больные, которые требуют большой и сложной диагностической программы, иногда консультаций многих специалистов. Поэтому этим сложно заниматься в одиночку участковым докторам, вести таких пациентов должна мультидисциплинарная команда – кардиологи, пульмонологи, ревматологи как три основных специалиста. Еще, безусловно, кардиохирурги и реаниматологи, иногда генетики, когда прослеживаются семейные или наследственные формы.
Распознать на ранних стадиях болезнь достаточно трудно, потому что самый главный симптом – одышка – это такой неспецифический симптом, который может развиваться при очень многих болезнях. Почему и пациенты часто ходят между кардиологами, пульмонологами, другими специалистами по системным заболеваниям, прежде чем получить диагноз. Одышка всегда заставляет нас в первую очередь заподозрить болезнь сердца либо легких, но ответ дает более углубленное исследование.
– Кто входит в группы риска?
– Дело в том, что группы риска как таковые довольно сложно определить. Это больные, которые уже имеют заболевания, вследствие которых развивается ЛГ. Конечно, на первом месте стоит тромбоэмболия легочной артерии. Также, например, это больные с тяжелыми заболеваниями легких, с нарушением газообмена, гипоксией, что со временем может приводить к формированию легочной гипертензии.
Что касается идиопатической легочной гипертензии, она встречается у пациентов молодого возраста и не имеет четких причин. В ходе недавних исследований удалось выявить гены, которые кодируют легочную гипертензию. На первом этапе заподозрить болезнь бывает очень сложно, поэтому пристальное внимание необходимо обращать на молодых людей, жалующихся на одышку при отсутствии явных хронических заболеваний, и тщательно разбираться, откуда она взялась. Частота встречаемости идиопатической легочной гипертензии – от 5 до 6 случаев на 1 млн населения в год, это достаточно редкая патология. В 2013 году она была причислена к разряду орфанных, редких заболеваний. И это очень большой плюс, потому что дает право пациентам на бесплатное получение препаратов, которые стоят достаточно дорого.
А в целом возрастной диапазон пациентов с ЛГ достаточно велик, включая людей от 18 до 40–45 лет, то есть это люди работоспособные, востребованные в обществе. Поэтому мы боремся за то, чтобы как можно раньше выявлять заболевание, ставить диагноз и начинать лечение.
– Каковы сегодня подходы в терапии легочной гипертензии? Какая часть больных обеспечена необходимыми препаратами в полном объеме?
– Терапия должна назначаться как можно раньше, пациент сразу должен получать специфическую терапию. Тяжелому пациенту часто назначается не один, а два-три препарата. Нужно как можно быстрее схватить болезнь и начать лечение, а потом уже пересматривать его схему. Хотя в реалиях происходит по-разному. Например, что касается идиопатической легочной гипертензии, то практически все пациенты обеспечены лекарственной терапией в соответствии с рекомендациями экспертов и стандартами. То же можно сказать и о пациентах с хронической тромбоэмболической ЛГ.
Относительно регионального обеспечения, в Москве, например, ситуация относительно благополучная: у нас все пациенты получают назначенные препараты, некоторые – даже препараты из различных групп, одновременно два и даже три. Слава богу, тут никаких перебоев и проблем нет. Что касается в целом России, то ситуация очень разная. В регионах из-за недостаточного финансирования иногда складывается сложная обстановка с обеспечением лекарствами. Где-то пациенты быстро получают требуемые препараты, причем именно те препараты, которые рекомендует экспертный центр, в каких-то регионах приходится их заменять другими.
Этот вопрос уже неоднократно поднимался. Наверное, поможет принятие закона о праве пациента, который имеет диагноз, подтвержденный в экспертном центре, и рекомендации экспертов по приему лекарств, получать необходимые лекарства вне зависимости от места проживания.
– Если проблема ЛГ столь актуальна, должны ли применяться методики массового профилактического обследования граждан из групп риска?
Нам часто звонят коллеги: посмотрите пациента, вроде здоров, есть только жалобы на одышку, сделали эхо и обнаружили повышение давления в легочной артерии. Такого пациента берем на заметку и начинаем обследовать по программе ЛГ. Еще раз подчеркиваю, выявить ЛГ непросто, нужен большой вклад в обучение докторов, чтобы они могли вовремя заподозрить патологию и начали действовать в нужном алгоритме. Но, подчеркну, ситуация меняется, врачи теперь лучше осведомлены. Как я всегда говорю, пусть лучше будет гипердиагностика, чем упущенное для пациента время. Пусть лучше мы посмотрим больного и скажем, что можно жить спокойно. Лучше перестраховаться, чем пропустить этих пациентов.
– Можно ли утверждать, что при оказании надлежащей помощи многие пациенты с ЛГ проживут значительно дольше?
– Несмотря на то, что диагноз жизнеугрожающий, при назначении и получении лечения пациенты возвращаются к нормальной жизни. Лечение влияет не только на продолжительность жизни, но и на качество: уменьшается одышка, появляется мобильность, возможность обслуживать себя самостоятельно, работать, учиться, в общем, вести практически нормальный образ жизни.
Лет 8–10 назад продолжительность жизни пациентов с ЛГ составляла около 5 лет со времени постановки диагноза. В последние годы появились новые препараты, продолжительность жизни наших больных растет. Как нам сообщают наши коллеги – кардиологи, уже есть такие, которые наблюдаются и успешно лечатся на протяжении 15–17 лет. Поэтому мы надеемся донести до коллег информацию: ранняя диагностика и раннее назначение препаратов совершенно меняет течение болезни, прогноз, и продлевает пациентам жизнь.
Вторичная и первичная легочная гипертензия
Легочная артериальная гипертензия развивается постепенно, на начальных стадиях заболевания понемногу ухудшается кровообращение в легких. Постепенно накапливается утомляемость, затрудняется сердечная деятельность. В дальнейшем происходит патологическое изменение кровеносных сосудов в легких. Все меньше кислорода доходит до альвеол легких, вызывая сердечную недостаточность. В конечном итоге это приводит к смерти человека.

Виды гипертонии легочной артерии
Это коварное и сложное патологическое состояние неизлечимо. Чаще всего диагностируется у женщин от 30 до 50 лет. Выделяют два вида заболевания:
Первичная легочная гипертензия встречается не часто, это наследственное заболевание невыясненной этиологии. Передается от родителей к детям, иногда через одно или два поколения. Патологическое состояние быстро прогрессирует, без надлежащего лечения приводит к инвалидности и смерти пациента.
Вторичная гипертензия возникает как осложнение заболеваний соединительной ткани, ВИЧ-инфекций, врожденных сердечных пороков. Проявляется после тромбоэмболии легочной артерии, ограниченной функции левого желудочка. Существует классификация патологического состояния:
- без нарушения уровня физической нагрузки;
- с незначительными проблемами при любой активности;
- затруднена физическая нагрузка;
- характерные признаки нарушения присутствуют даже в состоянии покоя.
Основные симптомы заболевания
На начальных этапах болезнь протекает бессимптомно. Первые видимые признаки проявляются, если артериальное давление в сосудах превышает показатели в два раза по сравнению с общепринятой нормой. С развитием легочной гипертензии симптомы усиливаются, появляются:
- нарушение частоты дыхания, недостаток воздуха;
- общая слабость;
- быстрая утомляемость;
- учащенный пульс;
- рефлекторный кашель;
- головокружение;
- кратковременные потери сознания;
- чувство сдавленности в загрудинном пространстве;
- избыточное скопление жидкости в голенях и стопах;
- болевые ощущения в области печени;
- охриплость в голосе.
Обусловлены такие проявления значительным сужением кровеносных сосудов. Изменяется их толщина стенок и форма, что приводит к отечности стенок и образованию сгустков крови.

Как поставить диагноз правильно
Установить верно первопричину плохого самочувствия и одышки достаточно сложно. Поможет в этом опытный врач-кардиолог, терапевт и пульмонолог. Важно своевременно поставить точный диагноз. Рекомендуется провести комплексные исследования, которые включают в себя:
- электрокардиографию;
- эхокардиографию;
- компьютерную томографию;
- рентгенографию;
- ангиопульмонографию;
- вентиляционно-перфузионную сцинтиграфию;
- магнитно-резонансную томографию;
- катетеризацию отделов сердца с правой стороны и легочной артерии.
Клинические исследования состоят из общего и биохимического анализа крови, определяется уровень гормонов щитовидной железы, делается тест на ВИЧ, коагулограмма.
Легочная гипертензия: лечение и профилактика
Основное лечение сконцентрировано на устранение первопричины, необходимо снизить артериальное давление в сосудах и предотвратить тромбообразования. Занимается терапией квалифицированный специалист. Медикаментозное лечение включает в себя антикоагулянты, диуретики, сердечные гликозиды, вазодилататоры, кислородотерапию.
В сложных случаях проводится трансплантация сердца и легких. Это хирургическое вмешательство выполняется при наличии донорских органов в оснащенных всем необходимым медицинских центрах. При подтвержденной легочной гипертензии, кроме терапевтического лечения, важно вести здоровый образ жизни, отказаться от вредных привычек, избегать больших нагрузок на сердце.
Легочная гипертензия

Легочная гипертензия — заболевание сердечно-сосудистой системы, связанное с патологическим увеличением давления в легочной артерии и вызывающее развитие сердечной недостаточности. Давление повышается в связи с закрытием просвета средних и мелких сосудов в легких. Отмечается высокий процент летальных исходов при этом заболевании.
Легочный ствол — крупнейший сосуд малого круга кровообращения, связанный с правым желудочком сердца и отвечающий за транспортировку венозной крови к легким. Делится на две артерии: правую и левую, каждая из которых идет к одноименному легкому. Гипертензия приводит к правожелудочковой недостаточности (или симптомокомплексу «легочное сердце»).
Заболевание в 4 раза чаще встречается у женщин, наиболее уязвимая возрастная группа пациентов — 30-40 лет. Компенсированная легочная гипертензия развивается практически бессимптомно, что затрудняет своевременную диагностику.
Признаки легочной гипертензии
Болезнь протекает у пациентов по-разному. Степень выраженности симптомов легочной гипертензии зависит от стадии заболевания и особенностей каждого случая. К общим признакам легочной гипертензии относятся:
- Одышка (при физической нагрузке);
- Быстрая утомляемость и резистентность к физическим нагрузкам;
- Хронический непродуктивный кашель;
- Дискомфорт в груди;
- Обмороки с кратковременной потерей сознания и мышечной слабостью;
- Отек голеней и стоп;
- Расширение, пульсация шейных вен (признак ПЖ декомпенсации);
- Гепатоюгулярный рефлюкс (набухание шейных вен при надавливании на правое подреберье);
- Хрипы в легких, выявляемые при аускультации;
- Выявленные заболевания легких и сердца, такие как ХОБЛ, поражение левых отделов сердца, наличие интерстициального компонента;
- Перенесенная тромбоэмболия легочной артерии (ТЭЛА);
- Некоторые кожные проявления («сосудистые звездочки», изменение цвета покровов);
- Кашель с кровью (редко, на поздних стадиях заболевания).
При подозрении на ЛГ ранее проводилась катетеризация сердца с одномоментной манометрией. Гемодинамический признак легочной гипертензии — давление >25 мм рт.ст. в покое. Сейчас диагностируют легочную гипертензию преимущественно посредством ЭХО-КГ (УЗИ сердца).
Причины легочной гипертензии
Очертить ясный и узкий круг причин легочной гипертензии невозможно. Чтобы их установить, необходимо обследование. Причиной легочной гипертензии могут быть:
- Генетическая предрасположенность;
- Аутоиммунные заболевания (склеродермия, волчанка, ревматоидный артрит);
- Некоторые респираторные заболевания. ХОБЛ, эмфизема или фиброз (приводят к разрушению паренхимы и сокращению площади капилярного русла). Хроническая гипоксемия или воспаление, ставшее причиной дисфункции эндотелия сосудов.
- Тромбоз легочных вен и артерии;
- Первичные патологии сердечно-сосудистой системы: ишемическая болезнь сердца (ИБС), стеноз митрального клапана, миокардит;
- Ожирение;
- Отсутствие физической нагрузки.
К причинам легочной гипертензии, вернее к «спусковым механизмам» для ее развития также относятся:
- Цирроз печени;
- ВИЧ-инфекция;
- Употребление наркотиков;
- Прием препаратов для подавления аппетита;
- Прием оральных контрацептивов;
- Прием некоторых медикаментов.
Иногда причину легочной гипертензии установить так и не удается, в таком случае врачи ставят диагноз «идиопатическая легочная гипертензия».
Виды легочной гипертензии
У этого заболевания более десятка наименований. По этиологии легочную гипертензию классифицируют на первичную и вторичную.
Первичная гипертензия возникает сама по себе, например, как наследственное заболевание (порок развития) или по неустановленным причинам, когда отсутствуют видимые нарушения в других органах и системах (первичная идиопатическая легочная гипертензия). Вторичная возникает на фоне других заболеваний, как их осложнение.
В зависимости от локализации и патогенеза легочная гипертензия может быть:
- артериальной;
- венозной;
- гипоксической;
- тромбоэмболической;
- смешанной.
Легочную гипертензию также классифицируют в зависимости от стадии развития заболевания:
Легочная гипертензия 1 степени — ранняя стадия заболевания. Видимые симптомы отсутствуют, то есть физические нагрузки переносятся благоприятно, при этом на некоторых участках легочной артерии и сосудистого русла имеются признаки нарушения кровообращения.
Легочная гипертензия 2 степени — наблюдаются первые признаки резистентности к физическим нагрузкам. Во время привычных занятий спортом начинает беспокоить одышка, головокружение, слабость. В состоянии покоя дискомфорт отсутствует.
Легочная гипертензия 3 степени — небольшая физическая нагрузка причиняет серьезный дискомфорт, вызывает нехватку воздуха, синкопальное состояние.
Легочная гипертензия 4 степени — слабость и нехватка воздуха ощущаются даже в состоянии покоя, пациент не может вести привычную жизнь и находится в тяжелом состоянии.
Текст подготовил
Котов Максим Анатольевич, главный врач центра КТ «Ами», кандидат медицинских наук, доцент. Стаж 20 лет
Текст подготовил
Котов Максим Анатольевич, главный врач центра КТ «Ами», кандидат медицинских наук, доцент. Стаж 20 лет
- Котов М.А. Опыт применения компьютерной томографии в диагностике заболеваний органов дыхания у детей / Материалы X Невского радиологического Форума (НРФ-2018). – СПб., 2018, Лучевая диагностика и терапия. 2018. № 1 (9). — С. 149.
- Панов А.А. Пневмония: классификация, этиология, клиника, диагностика, лечение, 2020.
- Бова А.А. Пневмонии: этиология, патогенез, клиника, диагностика, 2016.
- Chl Hong, M.M Aung , K. Kanagasabai , C.A. Lim , S. Liang , K.S Tan. The association between oral health status and respiratory pathogen colonization with pneumonia risk in institutionalized adults, 2018.
- Yang-Pei Chang, Chih-Jen Yang, Kai-Fang Hu, A-Ching Chao, Yu-Han Chang, Kun-Pin Hsieh, Jui-Hsiu Tsai, Pei-Shan Ho, Shen-Yang Lim. Risk factors for pneumonia among patients with Parkinson's disease: a Taiwan nationwide population-based study, 2016.
- Клинические рекомендации по диагностике, лечению и профилактике тяжелой внебольничной пневмонии у взрослых. Министерство здравоохранения РФ, 2019.
Мы перезвоним, подберём удобное для записи время и ответим на вопросы.
Оператор обрабатывает входящие заявки с 8:00 до 22:00
Нажимая на кнопку, вы даете согласие на обработку персональных данных в соответствии с Федеральным законом от 27.07.2006 г. № 152-ФЗ «О персональных данных».
Если вы оставили ее с 8:00 до 22:00, мы перезвоним вам для уточнения деталей в течение 15 минут.
Читайте также:
