Легочная лимфома Ходжкина на рентгенограмме, КТ
Добавил пользователь Евгений Кузнецов Обновлено: 16.12.2025
(а) Пациент с нодулярным склерозом при лимфоме Ходжкина. При рентгенографии органов грудной клетки в ПП проекции в корне правого легкого определяется объемное образование с четким контуром. Также выявляется высокое стояние правого купола диафрагмы, вероятно, за счет поражения правого диафрагмального нерва.
(б) У этого же пациента при ФДГ-ПЭТ/КТ в средостении кпереди от корня правого легкого визуализируется объемное образование, интенсивно поглощающее ФДГ. Зона в центре, не накапливающая ФДГ, соответствует зоне некроза. Лимфома Ходжкина является злокачественным новообразованием, для которого типично интенсивное поглощение ФДГ. Первичное стадирование и оценку в конце лечения следует проводить посредством ПЭТ/КТ. (а) Молодая женщина с нодулярным склерозом при лимфоме Ходжкина. При рентгенографии органов грудной клетки в ЗП проекции определяются расширенная тень средостения с дольчатым контуром, альвеолярные затемнения в средней и нижней долях правого легкого и небольшой плевральный выпот справа.
(б) У этой же пациентки при КТ с контрастным усилением визуализируется крупный мягкотканный конгломерат, включающий в себя преваскулярные, паратрахеальные лимфатические узлы и лимфатические узлы корней легких. Следует отметить наличие умеренного плеврального выпота справа, альвеолярной инфильтрации и узелков в правом легком, что соответствует вовлечению в опухолевый процесс легкого. (а) У этой же пациентки при ФДГ-ПЭТ/КТ определяется повышенный уровень поглощения ФДГ различными лимфатическими узлами средостения и корней легких. Следует отметить накопление ФДГ паренхимой легкого, что свидетельствует о вовлечении его в опухолевый процесс. Также обращает на себя внимание интенсивное поглощение ФДГ подмышечными лимфатическими узлами с обеих сторон.
(б) Молодой мужчина с лимфомой Ходжкина. При КТ с контрастным усилением в переднем средостении визуализируется объемное образование гетерогенной структуры с дольчатым контуром. В структуре образования выявляются отдельные зоны пониженной плотности, соответствующие зонам некроза. (а) Пациент с нодулярным склерозом при лимфоме Ходжкина. На совмещенных изображениях при КТ с контрастным усилением определяются объемное образование в переднем средостении, инвазия перикарда с облитерацией субэпикардиальной жировой клетчатки и небольшой плевральный выпот слева.
(б) У этого же пациента при ПЭТ/КТ, выполненной в целях стадирования, визуализируется межаортокавальная лимфаденопатия с интенсивным поглощением ФДГ. ПЭТ/КТ является методом выбора для стадирования лимфомы, поскольку позволяет обнаруживать слабо заметные очаги и очаги в отдаленных органах. Это может приводить к завышению стадии заболевания. (а) Пациент с нодулярным склерозом при лимфоме Ходжкина. При прицельной рентгенографии органов грудной клетки в ПП проекции определяются утолщение паратрахеальных тканей справа и дольчатый контур корня левого легкого, что соответствует лимфаденопатии.
(б) При КТ с контрастным усилением визуализируется диффузная лимфаденопатия средостения и корней обоих легких.
В подобных случаях в дифференциальный ряд включают саркоидоз, грибковую инфекцию и туберкулез. (а) Пациент с лимфомой Ходжкина после облучения области средостения. При прицельной рентгенографии органов грудной клетки в ПП проекции вдоль левого контура средостения определяются кальцификаты
(б) У этого же пациента при КТ с контрастным усилением в лимфатических узлах средостения визуализируются аморфные кальцификаты. Известно, что кальцификация лимфатических узлов является последствием лечения лимфомы.
Если пациента не лечили, то при выявлении кальцификатов в объемном образовании средостения следует подозревать другие заболевания (например, герминативно-клеточное новообразование, медиастинальный зоб). (а) Пациент с нодулярным склерозом при лимфоме Ходжкина. При КТ с контрастным усилением в правых отделах переднего средостения определяется объемное образование, сдавливающее и инвазирующее верхнюю полую вену (ВПВ). При лимфоме Ходжкина могут наблюдаться признаки синдрома ВПВ.
(б) Пациент с классической лимфомой Ходжкина с лимфоцитарным преобладанием. На совмещенных изображениях при КТ с контрастным усилением (слева) и ФДГ-ПЭТ/КТ (справа) визуализируется надключичная лимфаденопатия с интенсивным поглощением ФДГ. (а) У этого же пациента на совмещенных изображениях при КТ с контрастным усилением (слева) и ФДГ- ПЭТ/КТ (справа) определяется лимфаденопатия средостения с интенсивным поглощением ФДГ. На долю классической лимфомы Ходжкина с лимфоцитарным преобладанием приходится 5% от всех случаев.
(б) Пациент с нодулярным склерозом при лимфоме Ходжкина после окончания лечения. На совмещенных изображениях при КТ с контрастным усилением (слева) и ФДГ -ПЭТ/КТ (справа) в средостении визуализируются мягкие ткани, не поглощающие ФДГ. Картина соответствует гиперплазии тимуса, что является частой находкой после проведения химиотерапии. (а) Молодой мужчина с нодулярным склерозом при лимфоме Ходжкина. При рентгенографии органов грудной клетки в ЗП проекции патологических изменений не обнаружено. Заподозрить лимфому обычно позволяет наличие массивного объемного образования в средостении, в то же время лимфаденопатия при рентгенографии часто не визуализируется.
(б) У этого же пациента на совмещенных изображениях при КТ с контрастным усилением (слева) и ФДГ-ПЭТ/КТ (справа) в переднем средостении определяется узелок с четким контуром, интенсивно поглощающий ФДГ В отличие от массивных опухолей размером > 10 см небольшие лимфомы Ходжкина характеризуются более благоприятным прогнозом.
Легочная лимфома Ходжкина на рентгенограмме, КТ
а) Сокращения:
• Лимфома Ходжкина (ЛХ)
б) Определение:
• Системное злокачественное заболевание органов лимфатической системы
в) Лучевые признаки легочной лимфомы Ходжкина:
1. Основные особенности:
• Оптимальный диагностический ориентир:
о Узелки или объемные образования в легких и лимфаденопатия
о Первичная легочная лимфома Ходжкина встречается редко
2. Рентгенография:
о Патологические изменения при рентгенографии органов грудной клетки выявляются в 65-75% случаев
о Множественные узелки и объемные образования в легких:
- Контур может быть неровным
о Консолидация долей легкого, напоминающая пневмонию
о Ретикулярные затемнения и утолщение бронховаскулярных пучков:
- Обструкция сосудов за счетлимфаденопатии
- Лимфоматозная инфильтрация лимфатических сосудов легких
о Плевральный выпот (15%):

(а) Мужчина 31 года с лимфомой Ходжкина. При рентгенографии органов грудной клетки в ПП проекции определяются лимфаденопатия корней легких и средостения и множественные узелки и объемные образования с неровным контуром в легких, обусловленные вовлечением в опухолевый процесс паренхимы легкого.
(б) У пациента с легочной лимфомой Ходжкина при КТ с контрастным усилением визуализируются узелки со спикулообразным контуром в обоих легких, один из которых полостной. Следует отметить наличие сопутствующей лимфаденопатии средостения.
3. КТ:
• КТ с контрастным усилением:
о Множественные узелки и объемные образования в легких:
- В одном легком или в обоих
- Контур нечеткий или четкий
- Может выявляться симптом воздушной бронхограммы
- Формирование полостей (10-20%)
о Лимфаденопатия средостения или корней легких
о Консолидация доли или сегмента легкого
о Узелок или объемное образование эндобронхиальной локализации; постобструктивные изменения
о Ретикулярные уплотнения и утолщение бронховаскулярных пучков
о Милиарный или перилимфатический характер распределения узелков (редко)
4. Методы медицинской радиологии. ПЭТ/КТ:
о Вариабельный уровень поглощения ФДГ; может снижаться после лечения
5. Рекомендации к проведению лучевых исследований:
• Оптимальный метод лучевой диагностики:
о ПЭТ/КТ: метод выбора для стадирования и рестадирования

(а) На рисунке изображены типичные морфологические особенности и локализация легочной лимфомы Ходжкина. Показаны множественные узелки в обоих легких и сопутствующая лимфаденопатия средостения.
(б) Пациент с легочной лимфомой Ходжкина. При КТ с контрастным усилением визуализируются лимфаденопатия корней легких и средостения, доминантный солидный узелок верхней доли левого легкого и множественные перилимфатические узелки меньшего размера. Первичная легочная лимфома Ходжкина встречается редко.
г) Дифференциальная диагностика легочной лимфомы Ходжкина:
1. Узелки в легких:
• Метастазы в легких
• Узелки инфекционной этиологии:
о Атипичные инфекции: кокцидиомикоз и нокардиоз
о Септические эмболы
• Гранулематоз с полиангиитом
• Ревматоидные узелки
2. Консолидация легочной ткани:
• Пневмония
• Организующаяся пневмония
• Легочное кровоизлияние
• Аденокарцинома
3. Ретикулярные уплотнения и утолщение бронховаскулярных пучков:
• Канцероматозный лимфангит
• Саркоидоз
д) Патоморфология легочной лимфомы Ходжкина:
1. Стадирование, определение степени дифференцировки и классификация опухолей:
• Классификация ВОЗ: о Классическая лимфома Ходжкина (ЛХ):
- Нодулярный склероз при классической лимфомы Ходжкина (ЛХ)
- Смешанно-клеточный вариант классической лимфомы Ходжкина (ЛХ)
- Вариант классической лимфомы Ходжкина (ЛХ) с лимфоцитарным преобладанием
- Вариант классическойлимфомы Ходжкина (ЛХ) с лимфоцитарным истощением о Нодулярная ЛХ с лимфоцитарным преобладанием
• Легочная лимфома Ходжкина (ЛХ):
о Ассоциированная с ЛХ, поражающей лимфатические узлы (40% случаев)
о Первичная легочная ЛХ (редко)
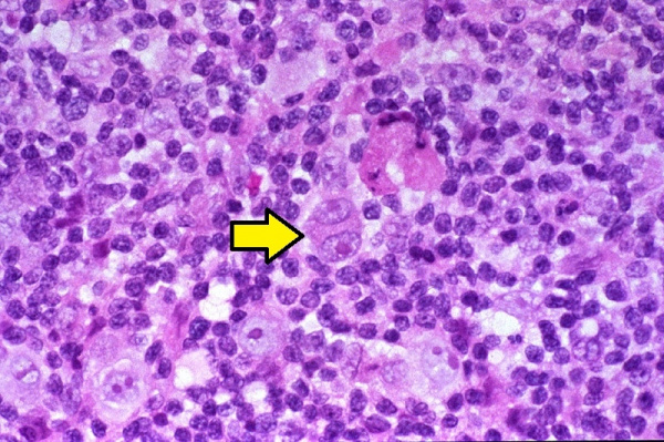
2. Микроскопические особенности:
• Клетки Березовского-Штернберга с множеством ядер
е) Клиничческие аспекты легочной лимфомы Ходжкина:
1. Проявления:
• Наиболее частые признаки:
о Бессимптомная шейная или надключичная лимфаденопатия
• Другие симптомы:
о Кашель или боли в груди, обусловленные поражением средостения
о В-симптомы: лихорадка, потеря веса, ночная потливость
о Спленомегалия
2. Демографические данные:
• Возраст:
о Двухфазное распределение (в промышленно развитых странах):
- Первый пик приходится на 20 лет
- Второй пик > 55 лет
• Эпидемиология:
о Связь с инфицированием вирусом Эпштейна-Барр, вирусом герпеса человека б типа
3. Естественное течение заболевания и прогноз:
• Прогноз обычно благоприятный
• Факторы неблагоприятного прогноза: наличие В-симптомов, возраст > 60 лет, обширное поражение легких, вовлечение в опухолевый процесс плевры
4. Лечение:
• Зависит от стадии заболевания
• Химиотерапия, лучевая терапия, трансплантация стволовых клеток
ж) Диагностические пункты. Следует учитывать:
• При наличии у пациента с лимфомой Ходжкина (ЛХ) длительной консолидации легочной ткани, узелков или объемных образований следует заподозрить вовлечение в опухолевый процесс легких
• При легочной лимфоме Ходжкина обычно выявляется лимфаденопатия
а) Синонимы:
• Также известна, как болезнь Ходжкина и лимфогранулематоз
б) Определение:
• Лимфоидное новообразование, развивающееся из В-клеток герминативного центра или В-клеток постгерминативного происхождения
в) Лучевые признаки лимфомы Ходжкина средостения:
1. Основные особенности:
• Локализация:
о Средостение: в опухолевый процесс может вовлекаться несколько групп лимфатических узлов
2. Рентгенография при лимфоме Ходжкина средостения:
• Лимфаденопатия корней легких и средостения (ЛАП):
о Объемное образование в переднем средостении (наиболее частая находка)
о В 85% случаев при лимфоме Ходжкина с поражением органов грудной клетки в опухолевый процесс вовлекается множество групп лимфатических узлов
о Преваскулярная, паратрахеальная и аортопульмональная ЛАП (в 85% случаев ЛХ и в 98% случаев ЛХ с поражением органов грудной клетки)
о Другие группы лимфатических узлов: корней легких (35%), бифуркационные (25%), паракардиальные (10%), внутренние грудные (5%), паравертебральные/парааортальные/ретрокруральные (5%)
• Первичное поражение легких наблюдается редко, в отличие от инвазии легких из прилежащих лимфатических узлов (1 5-40%)
• Признаки поражения легких при лимфоме Ходжкина (ЛХ)
о Единичные или множественные узелки в легких
о Участок (участки) консолидации легочной ткани
• Плевральный выпот
(а) Молодая женщина с нодулярным склерозом при лимфоме Ходжкина. При рентгенографии органов грудной клетки в ЗП проекции определяется расширение тени средостения и симптом наложения корня легкого.
(б) У этой же пациентки при КТ с контрастным усилением в переднем средостении визуализируется объемное образование гомогенной структуры с наибольшим размером > 10 см, что соответствует массивной форме опухоли.
В настоящее время массивной при КТ считают лимфому Ходжкина размером > 10 см или >1/3 поперечного размера грудной клетки. Данная лучевая картина является типичной для медиастинальной лимфомы Ходжкина. (а) Молодая женщина с нодулярным склерозом при лимфоме Ходжкина. При рентгенографии органов грудной клетки в ПП проекции определяется большой плевральный выпот справа, на фоне которого не визуализируется крупное объемное образование средостения.
(б) У этой же пациентки при КТ с контрастным усилением в правых отделах переднего средостения визуализируется крупное объемное образование негомогенной структуры, смещающее сосуды средостения.
Также справа обнаруживается плевральный выпот. Несмотря на большие размеры данного образования, при рентгенографии оно выявляется с трудом из-за прилежащего к нему плеврального выпота.
3. КТ при лимфоме Ходжкина средостения:
• Первичная оценка: для планирования лучевой терапии предпочтительнее использовать данный метод диагностики
• Лимфаденопатия (ЛАП):
о При КТ> 1,0 см по короткой оси
о Массивная лимфаденопатия (ЛАП):
- Объемное образование средостения размером > 1 /3 максимального поперечного размера грудной клетки или > 10 см
- Повышенный риск прогрессирования и рецидивирования заболевания при локализованной лимфоме Ходжкина (ЛХ) (не при распространенной лимфоме Ходжкина (ЛХ))
о Гомогенная (чаще всего) или гетерогенная мягкотканная плотность
о Поражение лимфатических узлов, особенно бифуркационных, внутренних грудных и аортопульмональных
о Очаговая, сливная или диффузная инфильтрация средостения с четким или нечетким контуром
о Типичным является распространение по группам прилежащих лимфатических узлов
о Кальцификация выявляется редко, может определяться перед началом лечения; после лечения диффузная, скорлуповидная или неравномерная
о Инвазия прилежащих отделов легкого часто характеризуется нечетким их контуром
о Не представляется возможным обнаружить активность резидуальной опухоли во время лечения или после его окончания о Участки пониженной плотности часто соответствуют зонам некроза (10-20%)
о Слабое или умеренное накопление контрастного вещества
• Вовлечение в опухолевый процесс тимуса (30-40%) сложно дифференцировать с лимфаденопатией (ЛАП)
• Патологические очаги в костях: литические, бластические, смешанные
4. МРТ при лимфоме Ходжкина средостения:
• Лимфаденопатия (ЛАП):
о Обычно сигнал гомогенной интенсивности; гетерогенной при наличии зон некроза
о Т1ВИ: низкая интенсивность сигнала, сходна с таковой у мышц
о Т2ВИ: высокая интенсивность сигнала, сходна с таковой у жировой ткани или превышает ее
• Многообещающие исследования применения диффузно-взвешенных изображений (МР-ДВИ) и измеряемого коэффициента диффузии (ИКД):
о ДВИ: гиперинтенсивный сигнал при значениях b-градиентного фактора 500 и 1 000 с/мм 2
о Карта ИКД: низкие значения по сравнению с участками некроза
• Для выявления вовлечения в опухолевый процесс сердца, сосудов и ЦНС предпочтительнее использовать данный метод диагностики
5. Методы медицинской радиологии:
• ПЭТ/КТ:
о Метод выбора для первичного стадирования, промежуточной оценки и оценки в конце лечения
о Лимфома Ходжкина (ЛХ) интенсивно накапливает ФДГ:
о Оценка в конце лечения:
- Полный ответ: отсутствие накопления ФДГ даже при сохранении размеров опухоли
- Резидуальная метаболически активная опухоль: понижается уровень поглощения ФДГ относительно состояния до начала лечения, однако > уровня поглощения ФДГ печенью
- Прогрессирование заболевания: повышение уровня поглощения ФДГ относительно состояния до начала лечения, слабо выраженное понижение уровня поглощения ФДГ или появление новых очагов
о Признаком вовлечения в опухолевый процесс костного мозга является наличие в нем очагов повышенного накопления ФДГ; исключает необходимость выполнения биопсии
6. Рекомендации к проведению лучевых исследований:
• Оптимальный метод лучевой диагностики:
о ФДГ-ПЭТ/КТ является методом выбора для стадирования, динамического наблюдения и оценки в конце лечения
г) Дифференциальная диагностика лимфомы Ходжкина средостения:
1. Первичные неходжкинские лимфомы (НХЛ) средостения:
• Неотличимы от лимфомы Ходжкина (ЛХ)
2. Злокачественные герминативно-клеточные новообразования:
• Неотличимы от первичных неходжкиновских лимфом (НХЛ)
• Биомаркеры опухолей (например, βХГЧ, аФП)
3. Эпителиальная опухоль тимуса:
• Часто неотличима от первичных неходжкиновских лимфом (НХЛ)
• Часто имеет шаровидную форму
• Метастазы в плевре («падающие»)
4. Медиастинальный зоб:
• Образование исходит из щитовидной железы
• Шейногрудной симптом
• Выраженное накопление контрастного вещества
• Гетерогенная структура за счет наличия участков повышенной плотности, кистозной перестройки и грубых кальцификатов
д) Патоморфология лимфомы Ходжкина средостения. Стадирование, определение степени дифференцировки и классификация опухолей:
• В целях стадирования лимфатические узлы делят по анатомическим областям, которые могут быть охвачены одной зоной облучения:
о Кольцо Пирогова-Вальдейера: миндалины, основание языка, носоглотка
о Гомолатеральные шейные, надключичные, затылочные и пре-душные лимфатические узлы
о Подключичные, подмышечные и грудные
о Медиастинальные: тимус, преваскулярные, аортопульмональные, паратрахеальные, претрахеальные, бифуркационные и задние медиастинальные
о Корней легких, парааортальные, селезеночные, подвздошные о Гомолатеральные паховые и бедренные
о Надблоковые и плечевые
• Классификация Лугано (модифицированная Анн-Арбор) для стадирования и оценки ответа на лечение:
о Случаи классифицируют по наличию (А) или отсутствию (В) одного или более одного системного проявления: выраженная лихорадка неясного генеза, ночная потливость, необъяснимая потеря веса (> 10%) в течение предыдущих шести месяцев до постановки диагноза
о Индекс «X» больше не требуется; вместо него указывается наибольший размер опухоли при КТ
о Индекс «Е» для локализованного эксгралимфатического поражения:
- Локализованное экстралимфатическое поражение при отсутствии поражения лимфатических узлов или II стадия заболевания с наличием непосредственного распространения на экстралимфатические органы
- При распространенном заболевании не используется
• Гистологические подтипы (классификации ВОЗ/R.E.A.L): отсутствие экспрессии генов и генных продуктов, характерных для нормальных В-клеток герминативного центра:
о Классическая лимфома Ходжкина (ЛХ) (90-95%): наличие клеток Березовского-Штернберга:
- Нодулярный склероз при классической лимфоме Ходжкина (ЛХ) (70%)
- Смешанно-клеточный вариант классической лимфоме Ходжкина (ЛХ) (20-25%)
- Вариант классической лимфоме Ходжкина (ЛХ) с лимфоцитарным преобладанием (5%)
- Вариант классической лимфоме Ходжкина (ЛХ) с лимфоцитарным истощением (<1%)
о Нодулярная лимфома Ходжкина (ЛХ) с лимфоцитарным преобладанием (5-10%): особенности иммунофенотипа В-клеток герминативного центра
е) Клинические аспекты лимфомы Ходжкина средостения:
1. Проявления:
• Наиболее частые признаки:
о Отсутствие симптомов
о Боли в груди, одышка и кашель
о Системные проявления (В-симптомы): лихорадка, потеря веса и потливость
о Кожный зуд
2. Демографические данные:
• Возраст:
о Любой; пик заболеваемости приходится на третье и седьмое десятилетия жизни
• Эпидемиология:
о 0,5-1 % от всех вновь выявленных злокачественных новообразований
о 10% от всех лимфом
о Повышенная заболеваемость лиц с ослабленным иммунитетом (например, после трансплантации солидного органа или костного мозга, приема иммуносупрессивных лекарственных препаратов или вследствие ВИЧ-инфекции)
о Повышенная заболеваемость лиц, страдающих аутоиммунными заболеваниями:
- Наличие в анамнезе сведений о:
Ревматоидном артрите
Системной красной волчанке
Саркоидозе
- Наличие у родственников:
Саркоидоза
Язвенного колита
о Повышенная заболеваемость лиц, чьи родственники страдают лимфомой Ходжкина (ЛХ)
3. Естественное течение заболевания и прогноз:
• Благоприятный или неблагоприятный прогноз:
о Неблагоприятные факторы:
- При локализованном заболевании (стадии I-II):
Возраст > 50 лет на момент выявления
СОЭ > 50 мм/ч при отсутствии В-симптомов, СОЭ > 30 мм/ч при наличии В-симптомов
Массивная форма заболевания
Вовлечение в опухолевый процесс>4 областей лимфатических узлов
- При распространенном заболевании (стадии III—IV):
Возраст > 45 лет на момент выявления
Мужской пол
Стадия IV
Уровень гемоглобина < 105 г/л
Концентрация альбумина < 40 г/л
Количество лимфоцитов < 0,6х10 9 /л или < 8%
Количество лейкоцитов> 15x10 9 /л
о При отсутствии неблагоприятных факторов у пациентов с ЛХ на стадии I и II объем химиотерапии и лучевой терапии снижается
• Международная прогностическая балльная система (IPS) для лимфомы Ходжкина (ЛХ): О Один балл за каждый пункт (сумма от 0 до 7 баллов):
Уровень сывороточного альбумина< 40 г/л
Уровень гемоглобина < 105 г/л
Мужской пол
Возраст >45 лет
Стадия IV
Количество лейкоцитов > 1 5000/мкл
Количество лимфоцитов о При сумме баллов 0, 1,2, 3, 4 и> 5 показатели пятилетней выживаемости составляют соответственно 88%, 84%, 80%, 74%, 67% и 62%; показатели выживаемости без признаков прогрессирования составляют соответственно 98%, 97%, 91%, 88%, 85% и 67%
4. Лечение:
• Стадии I-II (локализованное заболевание): химиотерапия и лучевая терапия
• III-IV (распространенноезаболевание): комбинированная химиотерапия; в некоторых случаях лучевая терапия
ж) Диагностические пункты. Следует подозревать:
• Лимфому Ходжкина при наличии лимфаденопатии (ЛАП) средостения и корней легких
Лимфома легкого
Лимфома легкого - злокачественная лимфопролиферативная опухоль экстранодальной локализации, исходящая из лимфоидных образований бронхолегочной системы. Клиника лимфомы легкого складывается из неспецифической симптоматики (нерезкой слабости, периодического субфебрилитета) и признаков поражения дыхательных путей (непродуктивного кашля, одышки, болей в груди и др.). Диагноз выставляется на основе рентгенологических данных (рентгенографии, КТ, МСКТ легких), подтвержденных исследованием биопсийного материала. Выбор тактики лечения лимфомы легкого (операция, лучевая терапия, полихимиотерапия) проводится с учетом степени злокачественности и распространенности поражения.
МКБ-10
Общие сведения
Лимфома легкого – опухолевое поражение лимфоидного аппарата нижних отделов дыхательных путей. Может встречаться в виде болезни Ходжкина и злокачественных неходжкинских лимфом. Лимфомы легких занимают ведущее место в структуре экстранодальных поражений (т. е. поражений органов, не относящихся к лимфатической системе). При лимфопролиферативных заболеваниях заинтересованность легочной ткани обнаруживается в 0,5-40% случаев. Лимфомы легких представляют собой актуальную междисциплинарную проблему, объединяющую знания и усилия в области пульмонологии, гематологии и онкологии.
При болезни Ходжкина поражение легких обычно служит местным проявлением системного процесса; значительно реже диагностируется самостоятельная локальная форма лимфогранулематоза легкого. В большинстве случаев изолированные первичные лимфомы легких принадлежат к B-клеточным неходжкинским лимфомам - так называемым MALT-лимфомам, происходящим из лимфоидных образований слизистой оболочки. Вторичные лимфомы легких являются метастатическими образованиями, распространяющимися прямым или гематогенным путем из других очагов.
Причины лимфомы легкого
Лимфома легкого имеет общие этиологические корни с другими лимфоидными опухолями, однако, на сегодняшний день знания об их причинах нельзя считать исчерпывающими. В последние годы получены данные о вирусном происхождении некоторых злокачественных лимфом. При этом отмечена более частая ассоциация лимфоидных опухолей с вирусами Эпштейна-Барр, герпеса 8 типа, гепатита С, Т-лимфотропным вирусом человека, ВИЧ.
К другим вероятным факторам риска относятся контакт с химическими канцерогенами (удобрениями, инсектицидами, гербицидами, растворителями и пр.), аутоиммунные заболевания, длительная иммуносупрессивная терапия. Последнее обстоятельство обусловливает тот факт, что злокачественные лимфомы несколько чаще возникают у лиц, перенесших трансплантацию органов или костного мозга. Нередко у больных лимфомой выявляются различные структурные хромосомные аномалии. Вопреки распространенному мнению, курение не влияет на частоту развития лимфомы легкого.
Классификация
Среди злокачественных лимфом легкого встречаются:
1. Первичные неходжкинские лимфомы (лимфосаркомы):
- В-клеточные (MALT-лимфома, мантийная лимфома и др)
- Т-клеточные
4. Вторичные лимфопролиферативные поражения легких при злокачественных лимфомах других локализаций.
MALT-лимфома – наиболее частый вариант экстранодальной лимфомы. MALT-лимфома легких многие годы может иметь ограниченную локализацию; поражение костного мозга наблюдаются не боле чем в 5% случаев. Обычно развивается на фоне хронических бронхо-легочных инфекций и аутоиммунных заболеваний (системной красной волчанки, рассеянного склероза, болезни Шегрена и др.). В некоторых случаях MALT-лимфома легких с низкой степенью злокачественности может трансформироваться в опухоль с высокой степенью агрессивности (причины и вероятность подобной трансформации неизвестны).
Легочный лимфогранулематоз может протекать в следующих клинико-морфологических формах:
- узловатой – с образованием в легких (чаще в нижней доле) единичного или множественных узлов (до 3-5 штук). В случае сдавления бронхов развивается клиника гнойного бронхита или абсцедирующей пневмонии.
- перибронхиальной – с образованием тяжей, тянущихся по ходу бронхов. Если гранулематозные разрастания распространяются на альвеолярные перегородки, возникает интерстициальная пневмония, которая может захватывать от одной доли до целого легкого.
- экссудативной – с развитием гранулематозной дольковой или долевой пневмонии.
- милиарной (субмилиарной) – с диссеминированной россыпью просовидных гранулематозных узелков по легочной ткани.
Симптомы лимфомы легкого
Первичные лимфомы легкого длительное время имеют латентное течение. Они одинаково часто поражают мужчин и женщин и обычно выявляются у лиц старшей возрастной группы (50-60 лет). Бессимптомный период может варьировать от нескольких месяцев до нескольких лет, поэтому лимфомы нередко случайно выявляются при плановом рентгенологическом обследовании. Наиболее часто лимфома поражает бронхи или паренхиму легкого, при этом в 60-70% случаев обнаруживается двусторонняя локализация опухоли.
Клиническая симптоматика обычно развивается на фоне бронхиальной обструкции или частичного ателектаза легкого, сопровождаясь кашлем, болями в груди, кровохарканьем, рецидивирующими бронхолегочными инфекциями. Системные признаки интоксикации (нерезкая слабость, потливость, субфебрильная температура) на первых порах нередко воспринимаются как признаки ОРВИ. В прогрессирующих стадиях лимфома легких может вызывать метастатическое поражение средостения, органов ЖКТ, щитовидной железы, молочных желез, яичек, костного мозга.
При лимфогранулематозе отмечается увеличение и болезненность лимфатических узлов (чаще шейных, надключичных, подмышечных), непродуктивный кашель, боли в груди, одышка. При заинтересованности плевры нередко развивается плеврит.
Плазмоцитарная злокачественная лимфома легких (плазмоцитома) встречается редко, преимущественно у мужчин. Обычно представляет собой солитарный узел, расположенный на фоне неизмененной легочной ткани. Локальные плазмоцитомы могут длительно существовать, изредка вызывая скудную клиническую симптоматику: кашель, боли в груди, повышение температуры тела. При удалении первичного узла может наступить излечение; при генерализации процесса происходит переход в множественную миелому (миеломную болезнь).
Диагностика
Основными методами диагностики лимфомы легких являются традиционные лучевые исследования. В первую очередь пациенту выполняется рентгенография органов грудной клетки в 2-х проекциях. При обнаружении характерных изменений на рентгенограммах (очаговых теней, диффузной опухолевой инфильтрации, лимфангита, плеврального выпота и др.) для более детальной оценки изменений и стадирования опухолевого процесса проводится и МСКТ или КТ легких.
Согласно современным требованиям, рентгенологические данные, свидетельствующие за лимфому легкого, должны быть обязательно подтверждены гистологически. Для верификации изменений в легочной ткани выполняется трансбронхиальная (в процессе бронхоскопии) или трансторакальная биопсия легкого с дальнейшим цитологическим и иммуногистохимическим исследованием биоптата. В некоторых случаях для получения необходимого материала целесообразно прибегнуть к проведению биопсии лимфатического узла, диагностической торакоскопии или эксплоративной торакотомии. Дифференцировать лимфому легкого приходится с бронхоальвеолярным раком, карциноматозным лимфангитом, гистиоцитозом X легких, туберкулезом, саркоидозом, доброкачественной лимфоидной гиперплазией и др.
Лечение лимфомы легкого
Лечение изолированной лимфомы легкого на локальной стадии обычно хирургическое (лобэктомия, пневмонэктомия), дополненное лучевой терапией. При двусторонних, генерализованных поражениях, множественных очагах, высокой степени злокачественности лимфомы и других отягощающих факторах показана полихимиотерапия или комбинированное лечение (лучевая терапия + химиотерапия, полихимиотерапия в сочетании с моноклональными антителами к В-лимфоцитам (ритуксимаб).
Выживаемость в течение ближайших 5 лет при первичных MALT-лимфомах легких составляет более 60%, что расценивается как хороший прогноз. При Т-клеточных неходжкинских лимфомах, лимфомах с высокой степенью злокачественности, генерализованном поражении, метастатическом процессе в легких выживаемость низкая, прогноз сомнителен.
1. Клинические рекомендации по диагностике и лечению лимфопролиферативных заболеваний/ Ассоциация онкологов России (авторский коллектив). - 2014.
2. MALT-лимфома с поражением легкого: клиническое наблюдение и обзор литературы/ Морозова А.К., Габеева Н.Г., Звонков Е.Е.// Клиническая онкогематология. – 2013 – Т.6, №3.
Лимфогранулематоз
Лимфогранулематоз - злокачественная гиперплазия лимфоидной ткани, характерным признаком которой является образование гранулем с клетками Березовского-Штернберга. Для лимфогранулематоза специфично увеличение различных групп лимфатических узлов (чаще нижнечелюстных, надключичных, медиастинальных), увеличение селезенки, субфебрилитет, общая слабость, похудание. С целью верификации диагноза осуществляется биопсия лимфоузлов, диагностические операции (торакоскопия, лапароскопия), рентгенография грудной клетки, УЗИ, КТ, биопсия костного мозга. В лечебных целях при лимфогранулематозе проводится полихимиотерапия, облучение пораженных лимфоузлов, спленэктомия.


Лимфогранулематоз (ЛГМ) – лимфопролиферативное заболевание, протекающее с образованием специфических полиморфно-клеточных гранулем в пораженных органах (лимфоузлах, селезенке и др.). По имени автора, впервые описавшего признаки заболевания и предложившего выделить его в самостоятельную форму, лимфогранулематоз также называют болезнью Ходжкина, или ходжкинской лимфомой. Средний показатель заболеваемости лимфогранулематозом составляет 2,2 случая на 100 тыс. населения. Среди заболевших преобладают молодые люди в возрасте 20-30 лет; второй пик заболеваемости приходится на возраст старше 60 лет. У мужчин болезнь Ходжкина развивается в 1,5-2 раза чаще, чем у женщин. В структуре гемобластозов лимфогранулематозу отводится втрое место по частоте возникновения после лейкемии.
Причины лимфогранулематоза
Этиология лимфогранулематоза до настоящего времени не выяснена. На сегодняшний день в числе основных рассматриваются вирусная, наследственная и иммунная теории генеза болезни Ходжкина, однако ни одна из них не может считаться исчерпывающей и общепризнанной. В пользу возможного вирусного происхождения лимфогранулематоза свидетельствует его частая корреляция с перенесенным инфекционным мононуклеозом и наличием антител к вирусу Эпштейна-Барр. По меньшей мере, в 20% исследуемых клеток Березовского-Штернберга обнаруживается генетический материал вируса Эпштейна-Барр, обладающего иммуносупрессивными свойствами. Также не исключается этиологическое влияние ретровирусов, в т. ч. ВИЧ.
На роль наследственных факторов указывает встречаемость семейной формы лимфогранулематоза и идентификация определенных генетических маркеров данной патологии. Согласно иммунологической теории, имеется вероятность трансплацентарного переноса материнских лимфоцитов в организм плода с последующим развитием иммунопатологической реакции. Не исключается этиологическое значение мутагенных факторов - токсических веществ, ионизирующего излучения, лекарственных препаратов и других в провоцировании лимфогранулематоза.
Предполагается, что развитие лимфогранулематоза становится возможным в условиях Т-клеточного иммунодефицита, о чем свидетельствует снижение всех звеньев клеточного иммунитета, нарушение соотношения Т-хелперов и Т-супрессоров. Главным морфологическим признаком злокачественной пролиферации при лимфогранулематозе (в отличие от неходжкинских лимфом и лимфолейкоза) служит присутствие в лимфатической ткани гигантских многоядерных клеток, получивших название клеток Березовского-Рид-Штернберга и их предстадий – одноядерных клеток Ходжкина. Кроме них опухолевый субстрат содержит поликлональные Т-лимфоциты, тканевые гистиоциты, плазматические клетки и эозинофилы. При лимфогранулематозе опухоль развивается уницентрически - из одного очага, чаще в шейных, надключичных, медиастинальных лимфатических узлах. Однако возможность последующего метастазирования обусловливает возникновение характерных изменений в легких, ЖКТ, почках, костном мозге.
Классификация лимфогранулематоза
В гематологии различают изолированную (локальную) форму лимфогранулематоза, при которой поражается одна группа лимфоузлов, и генерализованную – со злокачественной пролиферацией в селезенке, печени, желудке, легких, коже. По локализационному признаку выделяется периферическая, медиастинальная, легочная, абдоминальная, желудочно-кишечная, кожная, костная, нервная формы болезни Ходжкина.
В зависимости от скорости развития патологического процесса лимфогранулематоз может иметь острое течение (несколько месяцев от начальной до терминальной стадии) и хроническое течение (затяжное, многолетнее с чередованием циклов обострений и ремиссий).
На основании морфологического исследования опухоли и количественного соотношения различных клеточных элементов выделяют 4 гистологические формы лимфогранулематоза:
- лимфогистиоцитарную, или лимфоидное преобладание
- нодулярно-склеротическую, или нодулярный склероз
- смешанно-клеточную
- лимфоидное истощение
В основу клинической классификации лимфогранулематоза положен критерий распространенности опухолевого процесса; в соответствии с ним развитие болезни Ходжкина проходит 4 стадии:
I стадия (локальная) – поражена одна группа лимфоузлов (I) либо один экстралимфатический орган (IE).
II стадия (регионарная) - поражены две или более группы лимфатических узлов, расположенных с одной стороны диафрагмы (II) либо один экстралимфатический орган и его регионарные лимфоузлы (IIE).
III стадия (генерализованная) – пораженные лимфоузлы расположены с обеих сторон диафрагмы (III). Дополнительно может поражаться один экстралимфатический орган (IIIE), селезенка (IIIS) либо они вместе (IIIE + IIIS).
IV стадия (диссеминированная) – поражение затрагивает один или несколько экстралимфатических органов (легкие, плевру, костный мозг, печень, почки, ЖКТ и др.) с одновременным поражением лимфоузлов или без него.
Для обозначения наличия или отсутствия общих симптомов лимфогранулематоза на протяжении последних 6 месяцев (лихорадки, ночной потливости, похудания) к цифре, обозначающей стадию болезни, добавляются буквы А или В соответственно.
Симптомы лимфогранулематоза
К числу характерных для лимфогранулематоза симптомокомплексов относятся интоксикация, увеличение лимфатических узлов и возникновение экстранодальных очагов. Часто заболевание начинается с неспецифических симптомов – периодической лихорадки с температурными пиками до 39°С, ночной потливости, слабости, похудания, кожного зуда.
Нередко первым «вестником» лимфогранулематоза служит увеличение доступных для пальпации лимфоузлов, которые больные обнаруживают у себя самостоятельно. Чаще это шейные, надключичные лимфатические узлы; реже - подмышечные, бедренные, паховые. Периферические лимфоузлы плотные, безболезненные, подвижные, не спаяны между собой, с кожей и окружающими тканями; обычно тянутся в виде цепочки.
У 15-20% пациентов лимфогранулематоз дебютирует с увеличения лимфоузлов средостения. При поражении медиастинальных лимфоузлов первыми клиническими признаками болезни Ходжкина могут служить дисфагия, сухой кашель, одышка, синдром ВПВ. Если опухолевый процесс затрагивает забрюшинные и мезентериальные лимфоузлы, возникают абдоминальные боли, отеки нижних конечностей.
Читайте также:
- Препарирование при протезировании коронками. Техника препарирования под коронку
- Сопряженные функции сосудов. Резистентная функция сосудов. Емкостная функция сосудов. Обменная функция сосудов.
- Корь. Вирус кори. Свойства вируса кори. Эпидемиология кори. Антигены вируса кори.
- Пищевое отравление Cryptosporidium parvum и его лечение
- Первичные опухоли неизвестной локализации - частота, патогенез
