Лейомиома. Лейомиомы из мышц, поднимающих волос. Ангиолейомиома.
Добавил пользователь Евгений Кузнецов Обновлено: 14.01.2026
Первое описание лейомиомы принадлежит R. Virchow (1854), подвергшему гистологическому исследованию опухоли, возникшие на коже груди у 32-летнего мужчины. Позднее Besnier (1873, 1880) и Babes (1884) предложили классификацию лейомиом кожи, выделив при этом сосудистую лейомиому.
В настоящее время, соответственно гистогенезу, различают 3 типа лейомиом кожи, характеризующихся свойственными каждому из них клиническими и гистоморфологическими чертами.
•I тип - множественные лейомиомы, развивающиеся из гладких мышц, поднимающих волос или диагональных мышц.
•II тип - дартоидные (генитальные) солитарные лейомиомы, развивающиеся из tunica dartos мошонки и гладких мышц грудных сосков
•Ill тип - солитарные ангиолейомиомы, развивающиеся из мышечных стенок замыкающих арерий и гладкомышечных элементов стенок мелких сосудов
Некоторые авторы считают, что лейомиома и ангиолейомиома скорее порок развития, чем неоплазма в полном смысле этого слова. Встречаются единичные описания семейной лейомиомы, что позволяет считать это заболевание генетически обусловленным.
Клиника
Множественные лейомиомы кожи встречаются у мужчин почти в два раза чаще, чем у женщин; ангиолейомиомы, напротив, у женщин регистрируются чаще.
Лейомиомы из мышц, поднимающих волос, как правило, характеризуются мультицентрическим ростом, то есть являются множественными. Это плотные приподнятые узелки правильных очертаний, застойно-красного, коричневатого, синевато-красноватого цвета, величиной от булавочной головки до чечевицы, крупной фасоли и больше. Поверхность узелков гладкая, блестящая.Локализуются на туловище и конечностях, чаще располагаются группами.
Характерной чертой лейомиом кожи является появление или усиление болезненности под влиянием механического раздражения (трение одеждой, почесывание, давление или прикосновение) и охлаждения, а также спонтанные приступы жестоких невыносимых болей длительностью в несколько минут, нередко сопровождающихся расширением зрачков, снижением артериального давления, побледнением кожи. Сдавление нервных клеток лейомиомой может обусловить болевой синдром. Некоторые авторы отмечают медленное червеобразное сокращение узелков на холоде.
Ангиолейомиома, по мнению многих авторов, развивается из мышечных элементов мелких сосудов кожи. Клинически это солитарные, но нередко диффузно-распространенные или локально-множественные образования в виде плотных узелков-опухолей, слегка возвышающихся над поверхностью кожи. Опухоль болезненна при надавливании, но менее чем при лейомиомах. Часто ангиолейомиома располагается около крупных суставов.
Возраст больных - средний и пожилой.
Генитальная лейомиома (лейомиома tunica dartos) встречается редко. Локализуется чаще на мошонке, больших половых губах, реже - на сосках и характеризуется одиночными плотными опухолевидными образованиями буровато-красного цвета, величиной до 1,5-3 см в диаметре.
При воздействии холода или при трении может червеобразно сокращаться. Лейомиома мошонки может развиваться из изолированно лежащих отдельных мышечных клеток дермы, напоминающих гистологически миофибробласты. За редким исключением все эти опухоли доброкачественные.
Гистопатология
Лейомиома состоит из переплетающихся пучков гладкомышечных волокон с умеренными соединительнотканными прослойками: в них, как правило, мало сосудов, но много нервных волокон (Торсуев, 1940; Stout, 1953 и др.).
Ангиолейомиома располагается в глубине дермы и в подкожной клетчатке; состоит из переплетающихся тонких и коротких мышечных волокон; ядра мышечных клеток овальные, веретенообразные, гиперхромные. Отмечается обилие сосудов среди мышечных волокон (Апатенко А. К, 1963)
Дифференциальный диагноз
Дифференциальный диагноз следует проводить с фибромами, ангиомами, фибросаркомами, нейрофибромами, ангиоретикулезом (саркомой) Капоши, эпителиомами, лейомиосаркомами кожи и другими опухолями.
Лейомиома. Лейомиомы из мышц, поднимающих волос. Ангиолейомиома.
Лейомиома — нечастая доброкачественная опухоль из гладких мышечных волокон. Выделяют пять типов кожных лейомиом: 1) множественные лейомиомы, развивающиеся из мышц, поднимающих волос; 2) солитарные лейомы из тех же мышц; 3) солитарные лейомиомы половых органов и соска молочной железы; 4) солитарные ангиолейомиомы, возникающие из мышц венозных сосудов; 5) лейомиомы с дополнительными мезенхимальными элементами.
Лейомиомы из мышц, поднимающих волос
Множественные лейомиомы из мышц, поднимающих волос, являются наиболее частым типом лейомиомы и характеризуются мелкими (от 3-5 мм до 1,5 см в диаметре) плотными дермальными узелками, имеющими округлую или удлиненную форму, гладкую поверхность, по цвету не отличаются от нормальной кожи, возможны розовая или коричневая окраска. Элементы сгруппированы или располагаются линейно, их пальпация может быть болезненной, приступы боли могут провоцироваться эмоциональным стрессом и холодом. Во время приступа боли некоторые опухоли сокращаются и бледнеют. Излюбленная места локализация — проксимальные участки разгибательных поверхностей конечностей, а также туловище, голова и шея. Обычно возникают в первые 20-30 лет жизни вне зависимости от пола. Описаны случаи развития у членов одной семьи. Заболевание начинается с появления маленького солитарного узелка, который постепенно увеличивается в размерах, а в дальнейшем около первого узелка или на другом участке кожи появляются подобные вторичные узелки. Соседние опухоли могут сливаться, формируя бляшку. Возможна спонтанная инволюция.
Солитарные лейомиомы из мышц, поднимающих волос, обычно имеют более крупные размеры (до 2 см в диаметре), локализуются в области нижних конечностей и достигают 4 см в диаметре. Реже они располагаются на верхних конечностях, туловище и лице, хотя поражаться могут любые участки кожи. Почти в 50% случаев новообразование сопровождается болезненностью.
Макроскопически лейомиомы из мышц, поднимающих волос, имеют вид небольших внутрикожных узелков плотноэластической консистенции, подвижных при пальпации. Кожа над ними обычного вида. Капсулы нет.
Гистологически лейомиомы из мышц, поднимающих волос видны длинные, переплетающиеся под прямым углом гладкомышечные волокна в соединительнотканной строме. Характерно, что большинство мышечных волокон располагается по диагонали к эпидермису. В дерме между опухолью и эпидермисом много расширенных кровеносных и лимфатических сосудов.
Диагноз лейомиом из мышц, поднимающих волос, устанавливается на основании клинической картины и подтверждается гистологически. Дифференциальный диагноз проводится с сирингомой. гидрокистомой. гломусной опухолью (помогает выявление сокращения после лейомиом прикосновения или воздействия холода).
Лечение лейомиом из мышц, поднимающих волос. При солитарных опухолях возможно хирургическое иссечение; поводом к хирургическому вмешательству могут быть интенсивные боли. После хирургического удаления множественных лейомиом по соседству с ранее удаленными могут появляться новые опухоли

Ангиолейомиома
Ангиолейомиома — доброкачественная опухоль, развивающаяся из гладких мышц венозной стенки. Проявляется плотными подкожными узлами, не имеющими каких-либо других клинических особенностей, помимо боли и чувствительности при пальпации. Однако боль характерна не для всех ангиолейомиом, а также может наблюдаться при других опухолях, таких как спирален ома, ангиолипома, неврома, гломусная опухоль.
Ангиолейомиома обычно возникает в области конечностей, в первую очередь нижних, и только иногда — на лице, туловище, ногтевом ложе и в полости рта.
Гистологически ангиолейомиомы характеризуется хорошо очерченным дермальным узлом, окруженном сдавленной соединительной тканью. Узел содержит вены различного калибра с мышечными стенками. От периферии сосудов тангенциально отходят гладкомышечные волокна. Просвет вен округлый или щелевидный, с небольшим количеством коллагена. В крупных ангиолейомиомах отмечены участки муцинозной дегенерации. Предполагается, что встречающиеся случаи плеоморфной ангиолейомиомы, содержащий плеоморфные клетки с атипичными ядрами, но без фигур митозов, могут соответствовать длительно существующей ангиолейомиоме с дегенеративными изменениями, сходными с наблюдаемыми в длительно существующей шванноме.
Иммуногистохимически в ангиолейомиоме выявляется мышечно-специфический актин, а реакция на гладкомышечный актин и десмин отрицательная. Ультраструктурно подтверждено, что опухоль состоит из нормально сформированных гладкомышечных клеток.
Лечение ангиолейомиомы хирургическое.
Информация на сайте подлежит консультации лечащим врачом и не заменяет очной консультации с ним.
См. подробнее в пользовательском соглашении.
Лейомиома из стенки сосудов. Генитальная лейомиома.
Лейомиома, развивающаяся из мышечной стенки мелких сосудов, детально описана А К Апатенко (1963). Небольшие, нередко множественные, интрадермальиые, нечетко отграниченные и медленно растущие узлы, кожа над ними может изъязвляться. Локализуется чаще на верхних конечностях. Микроскопически представлена густым переплетением пучков тонких коротких гладких мышечных волокон, склонных образовывать концентрические и «вихревые» структуры. Опухоль выглядит богатой ядрами, что связано с небольшой величиной тесно прилежащих одна к другой мышечных клеток. В ядрах нередки митозы. Опухоль богато снабжена сосудами, мышечные оболочки которых непосредственно переходят в пучки опухолевых клеток. Строма представлена густой сетью аргирофильных волокон, оплетающих каждую мышечную клетку. В опухоли часты дистрофические изменения, эктазии сосудов, участки гиалиноза стромы.
Опухоль следует дифференцировать от саркомы. Капоши. от которой она отличается прежде всего наличием гладких чышц; от телеангиэктатической гранулемы.
Лейомиома из мышц, поднимающих волосы (полярная лейомиома) они сана еще Р. Вирховом (1854). детально изучена V. Babes (1884), Р Sobotka (1908). В. Н Добронравовым (1929). Н А. Торецевым (1940). А. К. Апатенко (1977). Опухоль представлена множественными болезненными узелками, чувствительными к холоду. Встречается чаще у молодых мужчин, локализуется в различных участках тела и располагается в поверхностных отделах дермы.
Микроскопически представлена беспорядочным переплетением пучков гладких мышц, разделенных скудно развитой стромой с очаговой гистио цитарной инфильтрацией. В опухолевых узлах обнаруживаются немногочисленные безмякотные нервы.
Генитальная (дартоидная лейомиома) образуется из мышечной оболочки (tunica dartos) мошонки, больших патовых губ, промежности, гладких мыши сосков молочной железы. Может быть солнтарной или множественной. Микроскопически представлена беспорядочно переплетающимися пучками гладких мышц и коллагеновых волокон, заключенных в нежную сеть аргирофильных волокон. В опухоли нередко отмечают клеточный полиморфизм (при клини ческой доброкачественности) и массивный гиалиноз стромы. Опухоль, как и миома матки, многими рассматривается как гормонозависимая.

Врожденная лейомиома редкая опухоль. В ней выделяют 2 вида: ограниченная лейомиома невус и генерализованная лейомиома-невус. Первая выглядит в виде очага уплотнения кожи и гиперпигментацией и усиленным оволосением, вторая представляет собой множественные очаги уплотнения также с гиперпиг-ментацией и усиленным оволосением.
Эпителиоидная лейомиома («причудливая» лейомиома, гломическая опухоль) в мягких тканях встречается нечасто, где располагается главным образом забрюшинно, в толще мягких тканей конечностей. Выглядит в виде узла, реже - конгломерата слившихся узлов, достигает в поперечнике 20 см и более. При микроскопическом исследовании опухоль полиморфна. Наиболее характерны сосуды, расположение н количество которых определяют группировку опухолевых клеток. Последние большинство авторов относят к гладкомышечным элементам или производным перицитов сосудов.
Существует представление, что клетки эпелиоидной лейомиомы имеют отношение к внутреннему продольному (функциональному») слою гладких мышц артерий замыкающего типа, клетки которого близки к гломусным. аиболее характерными являются, так называемые миоидные клетки, представляющие собой крупные овальные или округлые элементы с центрально расположенным светлым ядром и светлой цитоплазмой, в которой имеется перинуклеарная зона просветления или вся цитоплазма производит впечатление «оптически пустой». Это подтверждается и при гистохимическом исследовании и гистоэнзиматических реакциях, оказывающихся в оптически пустых зонах цитоплазмы отрицательными. При электронно-микроскопическом исследовании в клетках опухоли, в том числе и миоидных, обнаруживают миофиламенты.
Второй клеточной формой эпителиоидной лейомиомы являются вытянутые клетки, напоминающие гладкомышечные, в цитоплазме которых можно видеть зоны перинуклеарного просветления. Кроме того, в опухоли выявляются полиморфные клетки, представляющие собой переходные формы от гладкомышечных к миоидным. Опухолевые клетки могут группироваться в форме тяжей, переплетающихся между собой, что придает ей сходство с лейомиомой. Часто клетки группируются и вокруг сосудов в виде муфт, образуют гирлянды и клубки, как в параганглиоме, или входят в состав сосудистых стенок, которые в таких случаях напоминают артерии замыкающего типа.
Обычно преобладает какой то один вид группировки клеток, в зависимости от этого выделяют несколько типов эпитедиоидных лейомиом миоидиый при преобладании структур, напоминающих лейомиому, ангиолейомиоматозный при наличии структур, близких к ангиолейомиоме, ангиоперицитарный, когда отмечается периваскулярное расположение опухолевых клеток, и параганлиомоподобный, для которого характерна группировка клеток в виде альвеол, клубков и гирлянд, причем клетки находятся в тесном контакте с сосудами, которые имеют структуру примитивных синусоидой. Строма опухоли представлена нежной сетью аргирофильных волокон, то образующих густые сплетения вокруг клеток, как в лейомиоме, то концентрирующихся периваскулярно, оплетая клетки околососудистых муфт или формируя строму клубочков и гирлянд.
Эпителиоидную лейомиому следует дифференцировать от лейомиомы, ангиолейомномы, параганглиомы. Основными дифференциально-диагностическими признаками являются полиморфизм клеточных форм и их группировок, ориентация клеток вокруг сосудов, наличие миоидных клеток с переходными формами к гладкомышечным.
Эпителиоидные лейомиомы обычно протекают доброкачественно. Иногда в опухоли возникают очаги катаплазии, местами — инфильтрирующий рост с глубоким проникновением комплексов опухолевых клеток в толщу окружающих тканей. Метастазы возникают редко.
Опухоли мышечной ткани. Лейомиома.
Опухоли мышечной ткани делят на опухоли гладких мышц — лейомиомы и поперечно исчерченных — рабдомиомы с их злокачественными аналогами злокачественными лейомиомами и злокачественными рабдомиомами. Особняком стоят так называемая миома из миобластов (опухоль Абрикосова, миобластомиома) и эпителиоидная лейомиома, гистогенез которых остается неясным. Источником гладких мышечных клеток в мягких тканях являются стенки сосудов и периваскулярные камбиальные элементы, способные дифференцироваться в гладкомышечные. Поперечно исчерченные мышцы имеют мезодермальное происхождение и возникают из миотомов. Высказывается также предположение, что мышцы вентральной части туловища и конечностей образуются из мезенхимы.
Лейомиома (фибролейомиома, миома, сосудистая лейомиома) — зрелая доброкачественная опухоль. Возникает в любом возрастe у лиц обоего пола, чаще в 30—50 лет. Микроскопически опухоль представляет собой четко отграниченный узел плотной консистенции. Размеры самые различные. В забрю-шинной клетчатке, средостении, легком диаметр ее может быть более 15— 20 см. Нередко лейомиомы бывают множественными, то в виде изолированных, то в виде сливающихся узлов. Микроскопически лейомиома состоит из опухолевых мышечных клеток веретенообразной формы, которые собираются в пучки, идущие в различных направлениях. Клетки окружены аргирофильными волокнами, образующими для каждой из них как бы футляр. Коллагеновые волокна встречаются в небольшом количестве.
Опухолевые мышечные клетки отличаются от нормальных несколько большим размером, более плотным ядром В цитоплазме можио обнаружить миофибриллы. Особенно при окраске железным гематоксилином по Гейденгайну, азаном по Мэллори, четко выявляются оин при электронно-микроскопическом исследовании. На поперечных разрезах ядра округлые, лежат в центре клеточного тела. При таких сечениях особенно хорошо видна структура аргирофильной сети, петли которой окружают каждую клетку. Наиболее четко строение лейомиом выступает при окраске по Ван-Гизону, азаном по Мэллори, при импрегнации серебром по Папу или Футу. Иногда ядра в миоме образуют так называемые ритмичные структуры или фигуры палисада, что служит показателем роста опухоли.
Микроструктура миомы меняется в зависимости от ее возраста. На границе опухоли с окружающими тканями реактивные изменения выражены слабо, и опухоль бывает нечетко отграниченной, что создает ложное впечатление инфильтрирующего роста. С течением времени количество стромы увеличивается, мышечные клетки атрофируются, вследствие чего опухоль постепенно приобретает строение фибромиомы и превращается в четко отграниченный узел. Строма миом и особенно стенки сосудов подвергаются гиалинозу. Как выражение дистрофических процессов и инволюционных изменений возможны пикноз ядер мышечных клеток, появление уродливых их форм, вакуолизация цитоплазмы. При этом создается картина полиморфизма структуры опухоли, причина которого, таким образом, кроется в дегенеративных изменениях.

Его необходимо отличать от полиморфизма, связанного с дальнейшей катаплазией и возможным озлокачествлеиием опухоли. В миомах нередко возникают нарушения циркуляции, приводящие к отеку и некробиозу ткани с последующим образованием очагов некроза и кист. На периферии таких очагов происходит усиленная пролиферация клеток опухоли и ее стромальных элементов с полиморфизмом клеточных структур, что также может создать ложное представление об озлокачествлении опухоли. Отличить лейомиому от фибромы и фибросаркомы обычно нетрудно, особенно если окрасить срезы по Ваи-Гизон, Футу или Папу. Сложнее дифференциальная диагностика с нейрогенными опухолями и особенно с фасцикулярной неврилеммомой.
Основными критериями служат форма ядер и отношение клеток к волокнам стромы, а также данные электронной микроскопии. Отмечается, что наличие или отсутствие озлокачествлення лейомиомы зачастую определить затруднительно, так как критерии озлокачествлення этой опухоли относительны и недостаточны, и их значение неодинаково при различных локализациях опухоли.
Ангиолейомиома из замыкающих артерий (ангиомиома, сосудистая лейомиома) впервые выделена V Babes еще в 1884 г, детально изучена А. Р. Stout, Р. W. Allen, S. Schumacher и др в 40—50-е гг XX столетия Клинически характеризуется болезненностью при внешних воздействиях (давление и т п ), при раздражении и эмоциях может менять размеры (tumor erectilis). Размеры опухоли редко превосходят 1—2,5 см, располагается под кожей, чаше на нижних конечностях, в основном у пожилых людей, большей частью (до 2/з всех наблюдений) локализуется вблизи суставов. Характеризуется медленным ростом и доброкачественным течением.
Микроскопически характеризуется обилием сосудов различной структуры, среди которых преобладают артерии, по строению близкие к артериям замыкающего типа. Эти артерии имеют просвет звездчатой формы, а стенки их построены из нескольких слоев гладких мышц, среди которых имеются продольный мышечный н наружный кольцевидный слои. Под слоем эндотелия нередко удается увидеть скопления эпителиоидных клеток, напоминающих гломусные. Артерии в опухоли образуют беспорядочно извивающиеся и складывающиеся в клубки сосуды. Наряду с такими сосудами в опухоли располагаются сосуды синусондного ткпа и сосуды, напоминающие вены. Стромальиые элементы между всеми этими образованиями выражены неравномерно, строма то скудная, то представлена коллагеновыми, частью гиалинизированными волокнами и их пучками. Мышечные клетки заключены в нежную аргирофильную сеть, волокна которой оплетают каждую такую клетку. Изредка можно-видеть кровоизлияния, скопления зерен гемосидерина, мелкие очажки некроза ткани.
Опухоль имеет четкие контуры, иногда связана со стенкой крупной артерии.
В зависимости от преобладания тех или иных структурных элементов выделяют ангиолейомиомы артериального, венозного, смешанного типа или малодифференцированные опухоли с немногочисленными шелевидного характера сосудистыми образованиями.
Генез ангиолейомиом дискутируется, в настоящее время преобладает точка зрения о близости их к гломусангиомам Барре — Массона.
- Вернуться в оглавление раздела "гистология"
Лейомиома кожи (клиническое наблюдение)
Представлено описание клинического наблюдения редкого новообразования — лейомиомы кожи у пациентки 54 лет. Авторы описывают клинические проявления, дифференциальную диагностику и патоморфологическую картину заболевания.
Skin leiomyoma (clinical observation) Yu. N. Grekova, N. V. Zilberberg, N. P. Toropova, E. I. Kuznetsova
The authors describe a clinical case of the rare tumor — skin leiomyoma in a 54-year-old patient. The authors describe clinical manifestations, differential diagnosis and pathomorphological picture of the disease.
Лейомиома кожи — это доброкачественная редко встречающаяся опухоль дермы, происходящая из гладких мышц [1–5].
Кожные лейомиомы могут развиваться на любых участках, где есть гладкая мускулатура, однако злокачественной трансформации их не происходит. Важность правильной и своевременной диагностики кожной лейомиомы обусловлена частым сочетанием множественных кожных лейомиом с фиброзными опухолями матки и карциномой почки, что известно как синдром Рида (Reed’s syndrome), или наследственный лейомиоматоз и почечно-клеточный рак (HLRCC, Hereditary Leiomyomatosis and Renal Cell Carcinoma) с аутосомно-доминантным типом наследования [6, 7]. Первое описание лейомиомы было сделано немецким ученым R. Virchov в 1854 г. [8].
В зависимости от гистогенетического происхождения дерматологи и онкологи выделяют три типа кожных лейомиом: I тип — лейомиома, развивающаяся из мышц, поднимающих волос (син.: пиллярная лейомиома, пилолейомиома) [9–14]. Она характеризуется появлением плотных узелков на туловище, разгибательных поверхностях конечностей, боковых поверхностях шеи от 0,1 до 1 см в диаметре полушаровидной формы, застойно-красного цвета с коричневатым или синюшным оттенком, с гладкой блестящей поверхностью. Узлы расположены асимметрично, изолированно или группами [15, 16]. Любое механическое раздражение (трение одеждой, давление или прикосновение), также как и охлаждение, могут сопровождаться интенсивными болями. Могут возникать спонтанные приступы интенсивной боли от нескольких минут до нескольких часов, при которых наблюдаются расширение зрачков, снижение артериального давления, побледнение кожи.
II тип — дартоидная или генитальная лейомиома, развивается из tunica dartos мошонки и мышечных волокон, располагающихся радиально в дерме. Опухоли плотные при пальпации, мелкие (до 1 см) поверхностные или крупные (3–10 см и более) подкожные. В отличие от пиллярной лейомиомы узлы безболезненные [15].
III тип — ангиолейомиома, развивающаяся из мышечных элементов стенок мелких сосудов [1, 4, 9, 11, 16, 17]. Опухоли чаще одиночные, округлой или овальной формы, с четкими границами, плотные, розового или темно-красного цвета, расположены в области крупных (коленных, голеностопных) суставов, диаметром 4 см, болезненные при пальпации или воздействии низких температур [2, 15].
Чаще других встречаются множественные лейомиомы из мышц, поднимающих волос [18–21]. Пилолейомиома одинаково часто встречается как среди женщин, так и среди мужчин. Множественные пилолейомиомы у женщин часто сочетаются с лейомиомами матки [22, 23]. Ангиолейомиомы в два раза чаще регистрируются у женщин, чем у мужчин [4, 24].
Описаны семейные случаи множественной лейомиомы кожи, при этом имеет место аутосомно-доминантный тип наследования, чаще у носителей HLA-B8 [10, 23].
При гистологическом исследовании лейомиомы из мышц, поднимающих волос, определяется опухолевый узел, четко отграниченный от окружающей дермы и состоящий из переплетающихся между собой (нередко под прямым углом) пучков гладкомышечных волокон, между которыми имеются узкие прослойки соединительной ткани. Большинство мышечных волокон располагается по диагонали к эпидермису, а в дерме между узлом опухоли и эпидермисом много расширенных кровеносных и лимфатических сосудов. Количество гладкомышечных клеток, формирующих болезненные опухоли, намного больше по сравнению с безболезненными элементами [4, 20].
Диагноз пилолейомиомы базируется на клинической картине и требует гистологического подтверждения. Дифференциальный диагноз проводится с дерматофибромой, дерматологической манифестацией гломусной опухоли, нейролеммомой (шванномой), мастоцитозом, нейрофибромой [20].
Медикаментозное лечение множественной пилолейомиомы не разработано и является симптоматическим, направлено на купирование болевого синдрома [4, 12, 21, 25].
Клинический случай
Больная Г., 54 лет, жительница Тюменской области, обратилась на прием в консультативно-поликлиническое отделение Государственного бюджетного учреждения Свердловской области «Уральский научно-исследовательский институт дерматовенерологии и иммунопатологии» с жалобами на болезненные высыпания на коже лица, туловища и конечностей. Считает себя больной в течение 36 лет, когда впервые заметила плотные болезненные узелки на коже боковых поверхностей туловища. Ранее в медицинские учреждения дерматологического профиля не обращалась, самостоятельно не лечилась. На прием обратилась для решения вопроса о возможности удаления новообразования плотно-эластичной консистенции размером 6 см на ножке, расположенного на коже межлопаточной области.
Из анамнеза жизни: перенесенные заболевания — детские инфекции, острые респираторные вирусные инфекции 1 раз в 2–3 года. Травм, гемотрансфузий — не было. Аллергоанамнез — спокоен. Хронические интоксикации отрицает. Работает поваром. Из акушерско-гинекологического анамнеза: две беременности, закончившиеся физиологическими родами. В 2008 г. прооперирована по поводу фибромиомы матки (экстирпация матки).


Локальный статус: процесс носит распространенный характер и представлен множественными плотными болезненными узлами телесного или розово-красного цвета, сгруппированными по 2–8 штук, расположенными на коже лица, шеи, спины, груди, боковых поверхностей туловища и конечностей (рис. 1, 2).
На коже межлопаточной области имеется одиночный узел застойно-синюшного цвета размером 6 см, на ножке, плотно-эластической консистенции, безболезненный, с выраженным сосудистым рисунком. Рядом располагается плотная инфильтрированная бляшка из интрадермальных узлов (рис. 3). На коже спины определяются расширенные поры, открытые комедоны.
Гистологическая картина
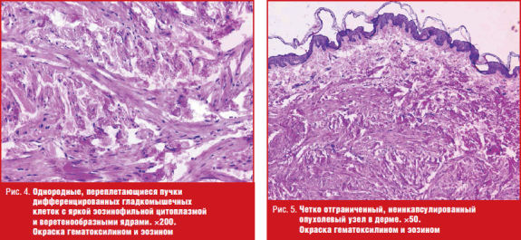
Эпидермис с умеренным акантозом. В дерме определяется четко отграниченный, неинкапсулированный опухолевый узел из однородных, переплетающихся пучков дифференцированных гладкомышечных клеток с яркой эозинофильной цитоплазмой и веретенообразными ядрами, разделенных соединительнотканными прослойками. Некрозов и митозов нет. В дерме между опухолью и эпидермисом — интерстициальный отек (рис. 4, 5).
Заключение: доброкачественная мезенхимальная опухоль — лейомиома из мышц, поднимающих волос.
При дополнительном лабораторном обследовании не было выявлено каких-либо отклонений в общем анализе крови, общем анализе мочи, биохимической гепатограмме. Флюорографическое обследование грудной клетки — без патологии. При ультразвуковом обследовании изменений со стороны органов малого таза, брюшной полости и почек не выявлено. Пациентка направлена на консультацию к хирургу для решения вопроса о хирургическом иссечении новообразования на коже спины.

Заключение
Интерес нашей публикации заключается в редкости данной патологии, значительной распространенности кожных высыпаний, сочетании с фибромиомой матки (в анамнезе) и возможностью сочетания с почечно-клеточным раком, что диктует необходимость тщательно обследования таких пациентов и своевременного консультирования со смежными специалистами.
Литература
Ю. Н. Грекова* , 1 , доктор медицинских наук
Н. В. Зильберберг*, доктор медицинских наук, профессор
Н. П. Торопова*, доктор медицинских наук, профессор
Е. И. Кузнецова**
* ГБУ СО УрНИИДВиИ, Екатеринбург
** ФГБОУ ВО УГМУ Минздрава России, Екатеринбург
Лейомиома кожи (клиническое наблюдение)/ Ю. Н. Грекова, Н. В. Зильберберг, Н. П. Торопова, Е. И. Кузнецова
Для цитирования: Лечащий врач № 11/2019; Номера страниц в выпуске: 9-11
Теги: дерма, высыпания, боль, опухоль
Читайте также:
