Диастема: причины, симптомы и лечение
Добавил пользователь Алексей Ф. Обновлено: 25.01.2026
Диастема – видимый межзубный промежуток, разделяющий центральные резцы верхнего (реже – нижнего) зубного ряда. Диастема не только представляет собой эстетический недостаток, но также способствует нарушению речи, возникновению коммуникативных и психологических трудностей. Уточнение причин и сопутствующих диастеме аномалий проводится с помощью стоматологического осмотра, внутриротовой рентгенографии, ортопантомографии, изучения диагностических моделей челюстей. Лечение диастемы может осуществляться терапевтическими (эстетическая реставрация), ортопедическими (коронки, виниры), хирургическими (пластика уздечки верхней губы или языка), ортодонтическими (вестибулярные пластинки, брекеты) методами.
Общие сведения
Причины диастемы
Анализ клинических наблюдений показывает, что наиболее частой причиной формирования диастемы выступает наследственность: в семьях с генетической предрасположенностью около 50% родственников имею данный дефект зубных рядов.
Существенная роль в появлении диастемы отводится аномалиям уздечки, таким, как короткая уздечка языка, низкое прикрепление уздечки верхней губы, массивная уздечка верхней губы и др. Кроме этого, диастема может возникать при наличии сверхкомплектных ретинированных зубов, микродентии, частичной или множественной адентии, позднем прорезывании постоянных зубов, опухолях челюстей (одонтоме), расщелине альвеолярного отростка.
Различные вредные привычки (длительное сосание соски, прикусывание ручек, карандашей и других предметов, онихофагия, привычка грызть семечки пр.) могут стать причиной не только диастемы, но и поворота центральных резцов по вертикальной оси.
Классификация диастемы
В первую очередь, различают ложную и истинную диастему. Ложная диастема характерна для периода смены временного прикуса на постоянный. Это нормальное, естественное для детского возраста состояние. Обычно к моменту окончания смены зубов диастема закрывается самостоятельно. Истинная диастема наблюдается в постоянном прикусе и не исчезает без специальной стоматологической помощи.
С учетом расположения межзубного промежутка относительно срединно-сагитальной плоскости диастема может быть симметричной и асимметричной. При симметричном типе диастемы оба центральных резца смещаются латерально на одинаковое расстояние; при асимметричном – один резец расположен нормально, а другой – значительно смещен в латеральной позиции.
Согласно другой классификации, выделяют диастему трех видов:
- с латеральным наклоном коронок центральных резцов; при этом корни зубов расположены правильно;
- с латеральным корпусным смещением центральных резцов;
- с медиальным отклонением коронок и латеральным отклонением корней центральных резцов.
При всех разновидностях диастемы может иметь место нормальное положение коронок резцов (без поворота по оси), поворот коронок резцов по оси в вестибулярном либо оральном направлении.
Симптомы диастемы
Все формы диастемы представляют собой дефект зубного ряда, выраженный в той или иной степени. Однако некоторые обладатели диастемы склонны считать ее не эстетическим недостатком, а скорее некой «изюминкой» внешности и не видят необходимости в стоматологической помощи.
Тем не менее, межзубная щель между центральными резцами редко бывает относительно узкой и параллельной. Значительно чаще за счет отклонения центральных резцов она имеет треугольную форму с вершиной, обращенной к десне или режущему краю зубов. Кроме этого, диастеме часто сопутствует мощная уздечка верхней губы, волокна которой прикрепляются к гребню альвеолярного отростка и вплетаются в резцовый сосочек, а также зубные аномалии (тремы, микродентия, адентия, поворот резцов по оси), неправильный прикус (дистальный, мезиальный, открытый, глубокий, перекрестный). Поэтому многие люди с диастемой испытывают психологический и физический дискомфорт, стесняются своей внешности и улыбки. Наличие диастемы благоприятствует развитию пародонтита в области фронтальных зубов.
Диастема может сопровождаться нарушением звукопроизношения (механической дислалией) – присвистыванием, шепелявостью, что в свою очередь создает трудности речевой коммуникации, ограничивает выбор сферы профессиональной деятельности и требует помощи не только стоматолога, но и логопеда.
Диагностика диастемы
Наличие у пациента диастемы выявляется в ходе визуального осмотра полости рта. Тем не менее, для уточнения причин и вида диастемы требуется проведение ряда дополнительных диагностических процедур: определения прикуса, прицельной рентгенографии, ортопантомографии, снятия слепков, изготовления и изучения диагностических моделей челюстей. При анализе данных учитывается положение, форма, наклон резцов и корней; состояние уздечек; величина межзубного промежутка и симметричность диастемы; характер прикуса, наличие ретинированных зубов и т. д.
Проблема выбора оптимального метода устранения диастемы должна решаться коллегиально, с привлечением различных специалистов: стоматологов-терапевтов, хирургов, ортодонтов, ортопедов.
Лечение диастемы
В зависимости от этиологии и разновидности диастемы лечение может осуществляться с помощью терапевтических, ортопедических, ортодонтических, хирургических методов, а также их комбинации. Ликвидация диастемы методом косметической реставрации предполагает закрытие межзубного промежутка с помощью композитных (прямых) виниров, изготавливаемых из светоотверждаемого композита непосредственно в кабинете стоматолога за один визит.
Ортопедический метод устранения диастемы основан на использовании для закрытия межзубного промежутка керамических виниров или несъемных протезов (искусственных металлоакриловых, металлокерамических, цельнокерамических коронок).
Если причинообусловливающими факторами диастемы выступают аномалии формы и прикрепления уздечек, проводится хирургическое лечение - пластика уздечки губ или языка. В ряде случаев требуется удаление ретинированных и дистопированных зубов, проведение межкорневой компактостеотомии с последующей ортодонтической коррекцией. Ортодонтический метод ликвидации диастемы состоит в передвижении положения резцов с помощью съемных аппаратов (вестибулярных пластинок) или несъемной техники (брекет-систем).
Прогноз и профилактика диастемы
Многообразие клинических форм диастемы диктует необходимость составления индивидуального плана лечения в каждом конкретном случае, четкого обоснования критериев выбора оптимальных методов и последовательности этапов лечения. Такой подход позволяет достичь оптимальных эстетических результатов лечения диастемы, устранения недостатков звукопроизношения и психологических комплексов.
Основные правила профилактики диастемы сводятся к исключению вредных оральных привычек, устранению сопутствующих челюстно-лицевых аномалий, регулярному наблюдению у стоматолога.
Тремы
Тремы – промежутки между зубами. Основные жалобы сводятся к наличию эстетического дефекта. Диагностика трем включает анализ данных анамнеза, клинический осмотр, рентгенографию, ТРГ, антропометрические измерения моделей. Для периода старения временного прикуса характерны физиологические тремы, не требующие ортодонтического вмешательства. Лечение трем у пациентов с постоянным прикусом направлено на восстановление целостностности зубных рядов, достижение тесного контакта между боковыми поверхностями зубов. Если тремы являются одним из симптомов прогнатии или прогении, показана ортодонтическая коррекция прикуса.
Тремы – отсутствие тесного контакта между зубами. По своей сути тремы вторичны, то есть являются следствием другого физиологического или патологического процесса. Считают, что промежутки между зубами передаются генетически, как и неправильный прикус. Если у одного из родителей отсутствует плотный контакт между зубами и это обусловлено не вторичной адентией, то вероятность проявления патологии у детей составляет 50%. Тремы одинаково часто диагностируют у представителей обоих полов. Патология может становиться причиной постоянного травмирования десен с развитием воспалительных осложнений. Из-за длительной задержки кусочков пищи в межзубных промежутках возрастает вероятность кариеса. Основные методы устранения промежутков между зубами – протезирование или ортодонтическая коррекция.
Причины и классификация трем
В стоматологии различают 2 вида трем:
1. Физиологические тремы. Возникают с 4 до 6 лет в периоде старения молочного прикуса. Их появление обусловлено активным ростом челюстей в связи с подготовкой к прорезыванию постоянных зубов. Отсутствие физиологических трем в этот период является фактором риска развития скученности, так как образовавшиеся промежутки между зубами создают необходимое место для постоянных зубов, чьи мезиодистальные размеры коронок значительно превышают параметры молочных зубов.
2. Патологические тремы. Основная причина – несоответствие величины коронок зубов или их количества размерам челюстей. Возникают вследствие микродентии, адентии, ретенции, тортоаномалии, а также в результате чрезмерного развития базиса верхней или нижней челюсти, что часто наблюдается у пациентов с патологиями прикуса по сагиттали.
Тремы относят к генетически детерминированным признакам с аутосомно-доминантным типом наследования. Ген, отвечающий за возникновение промежутков между зубами, находится в 3 паре хромосом. Уменьшенные мезиодистальные размеры коронок зубов, первичная или вторичная адентия, неправильное положение зачатка постоянного зуба, сопровождающееся задержкой его прорезывания, тортоаномалии, деструктивные заболевания пародонта – все это также может вызвать появление трем. У пациентов с 1 подклассом дистального прикуса образование трем между верхними передними зубами обусловлено наличием двух факторов – чрезмерным развитием верхней челюсти и вестибулярным наклоном резцов. То же самое, только на нижней челюсти, может наблюдаться и у пациентов с мезиальной окклюзией.
Симптомы трем
Физиологические тремы выявляют у детей дошкольного возраста, а именно с 4 до 6 лет. В этот период наблюдается активный рост челюстей, обусловленный подготовкой к прорезыванию постоянных зубов. На этапе старения временного прикуса наряду с тремами диагностируют прямой прикус, повышенное стирание режущих краев зубов. В случае врожденной частичной адентии тремы чаще всего локализуются между центральным резцом и клыком или между первым премоляром и моляром, что связано с отсутствием зачатков бокового резца и второго премоляра. У пациентов с микродентией отмечают уменьшенные в размере коронки зубов и множественные тремы, при этом развитие челюстей и их соотношение соответствуют норме.
При ретенированном клыке трему обнаруживают между боковым резцом и первым премоляром. В случае 1 подкласса дистального прикуса, характеризующегося наличием сагиттальной щели и выступающим положением верхних резцов, промежутки – тремы появляются между фронтальными зубами верхней челюсти. У пациентов с прогенией выявляют массивную нижнюю челюсть, мезиальное соотношение зубных рядов, обратное резцовое перекрытие. Тремы локализуются между нижними зубами, что обусловлено чрезмерным развитием базиса нижнечелюстной кости.
Диагностика трем
Диагностика трем включает анализ данных физикального обследования, результатов антропометрических измерений и рентгенографии. В ходе обследования пациентов с тремой врач-стоматолог может выявить отсутствие зачатков, неправильное положение (дистопию) или задержку прорезывания одного или нескольких постоянных комплектных зубов. В случае 1 подкласса дистального прикуса тремы диагностируют между протрузионно наклоненными верхними резцами, при мезиальной окклюзии промежутки между зубами выявляют на нижней челюсти.
Для установления истинной причины тремы в ходе антропометрического исследования определяют соответствие размеров зубов длине зубоальвеолярной дуги. Мезиодистальные размеры коронок сопоставляют со среднестатистическими параметрами. Если значения ниже нормы, диагностируют микродентию. Также об индивидуальной микродентии говорят при значении дентофациального индекса меньше 22%. Если тремы являются одним из признаков патологии прикуса, обнаруживают увеличение базиса верхней или нижней челюсти. У пациентов с тремами и протрузией передних зубов по методу Герлаха обнаруживают диспропорциональность в размерах бокового и переднего участков, измерения по Коркхаузу свидетельствуют об удлинении переднего отрезка.
С помощью рентгенографического исследования определяют наличие зачатков всех комплектных зубов, их положение. Телерентгенография показана пациентам с тремами, появившимися вследствие аномалии прикуса. Результаты исследования дают информацию о типе роста челюстей, наличии скелетной или зубоальвеолярной патологии, что имеет большое значение при составлении рационального плана лечения. Обследование пациента с тремами проводит стоматолог-ортодонт.
Лечение трем
Ортодонтическая коррекция трем направлена на устранение промежутков между зубами, достижение плотного апроксимального контакта. Выбор методики лечения зависит от этиологии. Если тремы возникли по причине частичной врожденной или приобретенной адентии, восстановление целостности зубного ряда проводится путем протезирования. В детском возрасте с этой целью применяют съемные протезы, так как несъемные ортопедические конструкции будут задерживать рост челюстей. После завершения скелетного роста тремы устраняют с помощью мостовидных протезов. Незначительные промежутки во фронтальном отделе закрывают методом прямого или непрямого виниринга.
Если причиной трем является ретенция, ортодонтическим путем создают необходимое место в зубном ряду, далее в ходе операции обнажают коронку ретинированного зуба и с помощью межчелюстной тяги перемещают его в зубной ряд. При 1 подклассе дистального прикуса тремы устраняют с помощью съемных ортодонтических аппаратов (активатора Андрезена-Гойпля, регулятора функции Френкеля 1 типа, пластиночных аппаратов на верхнюю челюсть с накусочной площадкой), а также несъемных брекет-систем. Если тремы между нижними зубами являются одним из симптомов мезиальной окклюзии, в зависимости от возраста и степени тяжести используют пластинку Шварца, регулятор функции Френкеля 3 типа, брекет-системы.
К основным элементам аппаратов для устранения трем относят вестибулярную дугу и крючки, припаянные со щечной стороны для фиксации резиновой тяги. Для закрытия промежутков с помощью брекет-систем предназначены эластические цепочки, звенья которых фиксируют на крыльях брекетов или же на лигатурах Кобаяши. Для закрытия малых, средних или больших промежутков ортодонты применяют цепочки с соответствующей длиной шага. При раннем выявлении трем, комплексном диагностировании, квалифицированном лечении прогноз благоприятный. Для снижения риска рецидива после ортодонтической коррекции показан ретенционный период, длительность которого зависит от характера первичной патологии и возраста пациента.
Диастема - симптомы и лечение
Что такое диастема? Причины возникновения, диагностику и методы лечения разберем в статье доктора Чаманяна Роберта Михайловича, стоматолога со стажем в 12 лет.
Над статьей доктора Чаманяна Роберта Михайловича работали литературный редактор Юлия Липовская , научный редактор Руслан Курбанов и шеф-редактор Маргарита Тихонова
Определение болезни. Причины заболевания
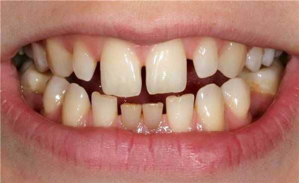
Диастема (щербинка) — это непропорционально большой промежуток между двумя рядом стоящими зубами. Такое эстетическое нарушение часто доставляет человеку психологический дискомфорт [1] .

Эта распространённая стоматологическая проблема встречается как у взрослых, так и у детей. В детском возрасте обычно наблюдается ложная диастема, которая исчезает после смены молочных зубов постоянными.
Расстояние между зубами при диастеме составляет от 2 до 6 мм, но иногда может достигать 1 см. Чаще всего промежутки появляются между передними резцами верхней челюсти. На нижней челюсти диастемы встречаются крайне редко [2] .
Срединная диастема верхней челюсти не является самостоятельным заболеванием. Она развивается под влиянием множества факторов, которые могут быть взаимосвязанными или назависимыми друг от друга [3] .
Факторы риска развития диастемы:
- Увеличенные или неправильно прикреплённые уздечки губ. Когда уздечка верхней губы крепится слишком близко к краю десны , центральные зубы смещаются и пространство между резцами увеличивается. На нижней челюсти диастемы обычно развиваются из-за утолщённой нижней губы, неправильной формы уздечки или её высокого крепления.

- Увеличенная костная перегородка. Иногда промежуток образуется из-за большой костной перегородки, которая располагается в центре верхней челюсти, между центральными резцами.
- Микродентия (маленький размер зубов).

- "Лишний" зубной зачаток. В редких случаях в зоне передних зубов наблюдаются зубные зачатки шиповидной формы, которые раздвигают зубы.
- Вредные привычки в детском возрасте: сосание большого пальца, разгрызание карандаша и т. д. Например, при сосании большого пальца центральные резцы смещаются вперед и образуется диастема. В редких случаях эти привычки обуславливают развитие диастемы и во взрослом возрасте.
- Проблемы в процессе смены зубов. Зубочелюстная система может приобрести неправильное строение с отклонениями и увеличенными промежуткам, если молочные зубы сменились постоянными слишком рано или слишком поздно. Также диастема может появиться при проблемах формирования постоянного прикуса.
- Частичная адентия. После потери постоянного зуба, особенно в детском и подростковом возрасте, образуется промежуток. Чтобы его закрыть, зубы со временем смещаются, из-за этого меняется расстояние между зубами и может появиться диастема.
- Наследственность. В 50 % клинических случаев промежуток между зубами был унаследован [4][5][6] .
При обнаружении схожих симптомов проконсультируйтесь у врача. Не занимайтесь самолечением - это опасно для вашего здоровья!
Диастему видно, когда человек разговаривает или улыбается. Основной симптом — промежуток между двумя соседними зубами, ширина которого варьируется от 1-2 мм до 1 см. С точки зрения медицины, диастема является дефектом зубного ряда, однако некоторые люди считают её изюминкой и отличительной особенностью внешности.
Чаще всего у щели треугольная форма, что обусловлено отклонением центральных резцов. Вершина треугольника направлена к десне, а основание — к режущему краю зубов.
Другим симптомом диастемы является механическая дислалия — нарушение правильного произношения звуков. Оно может проявляться в форме шепелявости, присвистывания и прочих отклонений. В результате у пациента возникают проблемы с общением, иногда он сталкивается с ограничениями при выборе профессии. В таких ситуациях необходима не только стоматологическая помощь, но и логопедическая [7] .
К сопутствующим симптомам диастемы относятся:
- Увеличенная губная уздечка. любого типа: перекрёстный, дистальный, глубокий, мезиальный.
- Сопутствующие зубные аномалии: поворот резцов вокруг своей оси, тремы ( промежутки не только между резцами, но и другими зубами ), микродентия, отсутствие одного или нескольких зубов.

Из-за этих отклонений люди с диастемой часто испытывают физический и психологический дискомфорт, страдают от комплексов, связанных с внешностью и низкой самооценкой.
Патогенез диастемы
Пока нет комплексных исследований, посвящённых не отдельным факторам и причинам развития диастем, а комплексному изучению патогенеза. Поэтому механизм развития этого отклонения досконально не изучен.
Исследования показывают, что патогенез диастемы не связан с развитием челюстей: диастемы наблюдаются как при аномально больших челюстях, так и при нормальных и недоразвитых [9] [10] [13] .
Промежуток между передними резцами образуется при формировании зубной дуги и, как правило, является наследственным признаком. Также на механизм развития промежутков напрямую влияет увеличенный размер уздечки верхней губы. При этом волокна уздечки переплетаются с вершиной межрезцового сосочка и костной перегородкой между зубами.

Классификация и стадии развития диастемы
Для эффективного лечения важно правильно классифицировать диастему. Она бывает двух типов:
- Ложная. Развивается из-за того, что размер зубов не соответствует размеру челюсти. Также причиной может быть неправильная форма зубов или смещение кости. Как правило, ложные диастемы развиваются у детей, когда молочные зубы сменяются постоянными. Если не выявлено других патологий и аномалий развития зубного ряда, промежуток закрывается самостоятельно.
- Истинная. Не исчезает, даже когда молочные зубы полностью сменяются постоянными. Наоборот, промежуток продолжает расширяться. В этом случае потребуется квалифицированная стоматологическая помощь [11] .
Классификация по отклонению зубов друг от друга:
- Симметричная. Резцы верхней челюсти отклоняются друг от друга, но сохраняют одинаковое расстояние вверху и внизу, то есть край идентичен с обеих сторон.
- Асимметричная. Один из передних зубов отклоняется, а второй остаётся в том же положении.

Специалисты чаще используют классификацию типа диастем Ф. Я. Хорошилкиной, которая основана на клинической картине. Классификация разработана благодаря анализу данных клинического обследования, длительного масштабного изучения диагностических челюстных моделей и снимков рентгенограмм. Классификация включает в себя следующие виды промежутков:
- Латеральное (боковое) отклонение зубных коронок передних центральных резцов при правильном расположения корневых верхушек.
- Корпусное отклонение передних резцов: смещается и корень, и коронки зубов.
- Медиальный (срединный) наклон зубных коронок резцов в сочетании с латеральным отклонением корней. Т. е. корни смещаются вбок, а сами коронки наклоняются к центру.
Осложнения диастемы
- Психологический и физический дискомфорт. Многие считают диастему изъяном внешности, поэтому пациенты стесняются своей улыбки, стараются как можно меньше говорить и улыбаться. Из-за этого возникают сложности с общением, замкнутость, из-за этого могут развиваться заболевания неврологического характера.
- Проблемы с речью. Из-за широкого промежутка между зубами нарушается произношение звуков, требующих опоры в передние зубы. Чаще всего пациент не выговаривает букву "Р"
- Развитиекариеса,пульпита,пародонтитаи других заболеваний. Они могут появиться из-за плохой гигиены боковых сторон резцов.

- Травмы мягких слизистых тканей рта. Возникают при сопутствующих патологиях прикуса, обычно при больших размерах зубов. В результате десны могут травмироваться даже во время приёма пищи.
- Повышение риска развития воспалительных заболеваний дёсен. Причина в частом травмировании дёсен при употреблении пищи.
- Атрофия кости верхней или нижней челюсти. Характерно для диастем размером более 2-3 мм. Атрофия возникает из-за незаполненных пространств зубной дуги, в результате чего корни зубов и костная ткань не получают необходимой внешней нагрузки. Это приводит к нарушению клеточного питания костной ткани.
- Проблемы с кусанием и жеванием пищи. Это может нарушить процесс переваривания пищи, что будет влиять на общее состояние здоровья [12] .
Диагноз "диастема" ставит стоматолог при осмотре полости рта. Важно учитывать, что у детей щели в зубах обычно не требуют лечения. Если при смене на постоянные зубы щели остаются, следует обратиться к стоматологу.
В ходе визуального осмотра стоматолог оценивает вид и степень отклонения. Затем эти сведения подтверждаются при аппаратном осмотре.
Прицельная рентгенография выполняется, чтобы определить расположение корней и установить тип диастемы.

Ортопантомограмма позволяет оценить зубочелюстную систему пациента, увидеть аномалии и отклонения [13] .
Снятие слепков и изготовление гипсовой модели челюсти помогает не только выявить диастему и определить её тип, но и сделать наиболее подходящие и комфортные брекеты или пластины для дальнейшего лечения.
В ходе диагностики выясняются следующие параметры конкретного пациента: стадия развития корней зубов, состояние уздечки, расположение резцов и их форма, степень развития передних резцов, прикус, симметричность/асимметричность промежутка, ширина промежутка. По результатам обследований составляется план лечения.
Лечение диастемы может повысить самооценку человека и улучшить общее качество жизни. Исследование 2014 года показало, что среди молодых людей, перенёсших коррекцию срединной диастемы, 50 % сообщили о значительном улучшении качества их жизни [14] . Кроме этого, исправление промежутков между зубами может восстановить нормальную функциональность зубов.
Для большинства людей лечение диастемы — безболезненный и несложный процесс. При выборе методики лечения необходимо учитывать индивидуальные характеристики каждого пациента. Стоматолог составляет план лечения, исходя из следующих факторов:
- Где расположен промежуток.
- Между какими зубами наблюдается диастема.
- Какой размер у диастемы.
- Все ли зубы на месте.
- Какая основная причина.
- Какое общее состояние зубов.
- Хочет ли пациент получить лечение.
Сначала стоматолог разработает план лечения диастемы в зависимости от индивидуальной ситуации человека. Затем обсудит с пациентом варианты лечения, отметив преимущества и недостатки каждого варианта. Методы лечения диастемы включают:
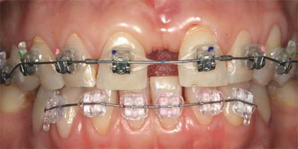
- Брекеты. Это несъёмные конструкции для перемещения зубов. Обычно брекеты применяют при больших диастемах, но они подходят в качестве лечения только после прорезывания всех постоянных зубов. Металлические брекеты самые доступные по цене, сапфировые и керамические дороже, но они более эстетичные.

- Элайнеры. Это прозрачные съёмные каппы. Используются для закрытия небольших промежутков между зубами. Они подходят людям, которые стесняются носить брекеты или находятся на виду у публики (например, профессиональные ораторы, актёры, модели и т. д.). Элайнеры удобнее и эстетичнее металлических брекетов, однако стоимость лечения выше. Нужно учитывать, что опубликованных исследований о безопасности или эффективности чистых элайнеров очень мало [15] .

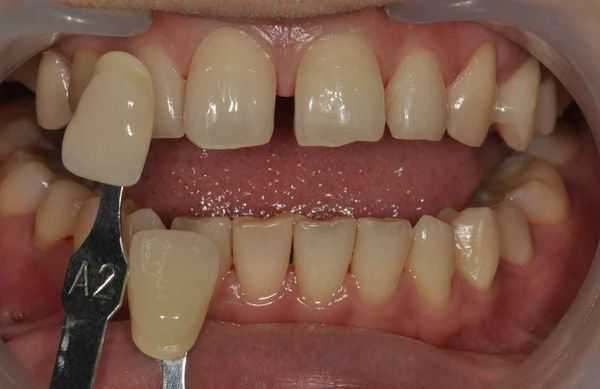
- Виниры или композитный бондинг. Подразумевают накладывание на зубы накладок (виниров) или слоя композитного материала. Композитным называют материал, состоящий из двух или более компонентов с разными химическими свойствами. В сочетании эти компоненты затвердевают и образуют зубчатое вещество. Виниры и композитный бонд лучше всего использовать для закрытия одного или двух промежутков. Фарфоровые виниры помогают заполнить небольшие диастемы. В этом случае стоматолог делает винир больше, чем зуб, и излишки материала заполняют пространство. Обычно лечение винирами требует двух посещений: при первом приёме стоматолог подготовит всё для изготовления виниров, при втором — установит их на зубы.

- Коронки или мостовидные протезы. Могут использоваться для заполнения больших промежутков, в том числе когда зуб, расположенный рядом с промежутком, треснул, откололся или повредился другим образом. При отсутствии зубов используют мостовидные протезы. Коронки и мосты помогают восстановить правильный прикус и жевательную функцию.
- В некоторых случаях выполняют периодонтальные процедуры, такие как удаление зубного камня, хирургическое или другое лечение дёсен [16] .
Прогноз. Профилактика
При своевременном лечении прогноз положительный. Промежутки можно полностью закрыть и предотвратить развитие осложнений.
Как правило, склонность к появлению диастемы наследуется. Е сли причина диастемы не наследственная, для предотвращения её развития можно рекомендовать:
Диастема — почему появляется, и как ее убрать?
Диастема — увеличенный межзубный промежуток в зоне улыбки. Чаще всего это — щель в 1-6 мм между центральными резцами верхней челюсти. «Щербинка» может появиться и на нижней челюсти. При любом расположении она привлекает внимание, портит эстетику улыбки, может ухудшать состояние всей зубочелюстной системы.
![Диастема]()
Из-за чего появляется диастема?
Большой размер или неправильное крепление уздечек губ. Это — причина 80-90% случаев диастем. Если уздечка верхней губы закреплена слишком низко, это смещает центральные резцы, увеличивает расстояние между ними. Диастема на нижней челюсти может появляться из-за увеличенной толщины уздечки нижней губы, ее слишком высокого прикрепления, неправильной формы или крепления уздечки языка.
Большая костная перегородка. Аномалия характерна для верхней челюсти. Если костная перегородка в центре челюсти увеличена, может образоваться диастема.
«Лишний» зачаток зуба. Если в центральной части челюсти есть такой зачаток, он влияет на положение остальных зубов, раздвигает их, формируя увеличенные промежутки.
Микродентия. Центральные резцы имеют слишком маленький размер и не перекрывают имеющееся в ряду пространство.
Проблемы смены зубов. Они выпали слишком рано или сменились слишком поздно. Если сроки формирования постоянного прикуса были нарушены, зубочелюстная система может иметь неправильное строение.
Частичная адентия. После потери зуба появляется промежуток, который постепенно закрывается — по мере смещения других зубов челюсти. Они раздвигаются, появляются заметные щели.
Вредные привычки. Диастема может появляться из-за привычки грызть карандаш, сосать палец и т.п. Чаще это происходит у детей, но спровоцировать появление «щербинки» можно и во взрослом возрасте.
В 50% случаев диастема наследуется. Риск наследования повышается, если она появилась из-за неправильного прикрепления уздечки губы, неправильного строения зубного ряда, костной патологии, наличия сверхкомплектного зуба.
Виды диастем
Истинные. В области промежутка на рентгеновском снимке — небольшое уплотнение. Щербинка образовалась из-за неправильного прикрепления уздечки губы. В остальном зубочелюстная система имеет нормальное строение.
Ложные. Появление расстояния между центральными резцами — вторичная проблема, связанная с неправильным строением зубного ряда, сверхкомплектным зачатком, потерей моляров, боковых резцов. Уздечка губа имеет нормальные размеры и прикрепление.
![Диастема у мужчины]()
Способы лечения
Метод коррекции подбирают, учитывая состояние зубочелюстной системы, причины увеличения межзубного промежутка, строение зубного ряда и т.п. Лечение выполняют в несколько этапов.
Обследование
Врач осматривает зубной ряд, выполняет диагностические снимки, чтобы оценить расположение зубных корней. На этапе диагностики определяют причину появления диастемы, оценивают возможность ее коррекции.
Предварительное лечение
Выполняется, если диастема появилась из-за смещения центральных резцов (не из-за микродентии).
Пластика уздечки губы. Если она прикреплена неправильно или утолщена, до коррекции зубного ряда проводят хирургическое вмешательство. Пластику тяжей можно проводить для взрослых пациентов, она выполняется быстро, не травматична, период реабилитации — короткий.
Удаление ретинированного сверхкомплектного зуба. Выполняется, если он стал причиной смещения центральных зубов, нарушения в строении зубного ряда. Удаление проводят под анестезией, со вскрытием тканей десны.
Протезирование. Нужно, если щербинка между центральными резцами появилась из-за отсутствия моляров, премоляров, боковых резцов. До коррекции диастемы протезирование выполняется в случае, если промежуток будут убирать с помощью виниров или эстетической реставрации. Если будет проводиться ортодонтическое лечение, сначала выравнивают зубной ряд, а после устанавливают протезы.
Ортодонтическое лечение. Если нарушено строение всей зубочелюстной системы, выполняют лечение брекетами или капами, чтобы выровнять его. Лечение планируют так, чтобы увеличенный межзубный промежуток «закрылся» после коррекции положения.
Выполняется одним из трех способов.

Прямая реставрация. Используется при микродентии, при неправильной форме коронок. Стоматолог выполняет эстетическую реставрацию, «наращивая» коронки так, чтобы закрыть промежуток. Способ используется при правильном расположении зубных корней (появление щербинки связано только с формой и размером центральных резцов).
Установка виниров. Виниры маскируют эстетический недостаток, закрывают диастему. Применяют при микродентии, при незначительных дефектах в строении зубного ряда (затрагивают только центральные резцы). Виниры устанавливаются на передние зубы так, чтобы выровнять их, убрать промежуток, восстановить эстетику улыбки.
Ортодонтическое лечение. Может выполняться с помощью брекет-системы или капы. Для коррекции используют направленное малое усилие — резцы перемещаются медленно, промежуток закрывается постепенно. Ортодонтическое лечение используют при неправильном положении зубных корней, если появление диастемы связано со строением зубочелюстной системы.
Зачем убирать диастему?
Эстетика. Большой промежуток между центральными резцами привлекает внимание, портит внешний вид улыбки. Иногда считают, что щербинка даже улучшает внешность, делает ее необычной, но только при условии, что промежуток невелик (до 1 мм). Если расстояние больше, это — недостаток, который лучше убрать.
Здоровье. В норме боковые поверхности коронок соприкасаются. Строение зубного ряда за счет этого остается стабильным — зубам некуда смещаться. Появление диастемы может стать причиной (или следствием) смещения других зубов. Это нарушает распределение жевательной нагрузки, может провоцировать болезни десен, частое появление кариеса, другие проблемы.
Дикция. При большой «щербинке» дикция меняется, появляются проблемы с произношением некоторых звуков. Коррекция убирает этот недостаток — когда восстанавливается правильное положение, речевой аппарат начинает работать нормально.
Убрать диастему можно в клинике «ДентоСпас». Мы выполняем пластику уздечек губ, установку виниров, протезирование, ортодонтическое лечение.
Диастема
Читайте также:


