Лимфоцитарное воспаление гипофиза - лимфоцитарный гипофизит. Диагностика и лечение
Добавил пользователь Евгений Кузнецов Обновлено: 07.11.2025
ФГБУ «Национальный медицинский исследовательский центр им. В.А. Алмазова» Минздрава России, Санкт-Петербург, Россия
ФГБУ «Северо-Западный федеральный медицинский исследовательский центр им. В.А. Алмазова», Санкт-Петербург, Россия
Северо-Западный федеральный медицинский исследовательский центр им. В.А. Алмазова, Санкт-Петербург, Россия
Первичный и вторичный гипофизит. Клинико-морфологическое исследование
Представлено 6 наблюдений редкого заболевания — первичного и вторичного гипофизита, выявленного при морфологическом исследовании материала эндоскопической транссфеноидальной резекции новообразований гипофиза. Проведены клинико-морфологическое сопоставление, анализ литературных данных.
Гипофизит (аутоиммунный лимфоцитарный гипофизит — АЛГ) — редкое хроническое воспалительное заболевание гипофиза, характеризующееся нарушением его функции и развитием эндокринопатии [1]. По данным ряда авторов, в основе патогенеза лежат аутоиммунные механизмы, которые сопровождаются наличием в воспалительном инфильтрате лимфоцитов (преимущественно CD4 + -T-хелперов и В-лимфоцитов), плазматических клеток, макрофагов, а также экспрессией главных комплексов иммуногистосовместимости I и II типов [2, 3]. В 30% случаев гипофизиты могут быть ассоциированы и с другими эндокринными аутоиммунными заболеваниями, такими как тиреоидит Хашимото, болезнь Грейвса, сахарный диабет, болезнь Аддисона [4]. Описывают также сочетание АЛГ с болезнью Шегрена и системной красной волчанкой [5]. Частота встречаемости АЛГ больше у женщин, чем у мужчин (8:1) [6]. Некоторые авторы в 57% случаев отмечают развитие АЛГ во время беременности или в послеродовом периоде, нередко приводящего к несахарному диабету с тяжелой полиурией [7].
Клиническая картина АЛГ характеризуется разнообразными проявлениями, ведущим из которых является хиазмально-селлярный синдром, связанный с увеличением размера гипофиза. При данном синдроме основными жалобами выступают головные боли, нарушение зрения и/или сужение полей зрения [8]. Повреждение клеток гипофиза воспалительным инфильтратом с дальнейшим уменьшением их количества приводит к развитию гипопитуитаризма. При этом в большинстве случаев возникает патогномоничный для данного заболевания феномен гиперпролактинемии, развитие которого, по мнению некоторых авторов, может быть связано с рядом причин: сдавление ножки гипофиза («синдром ножки»), антителоопосредованная стимуляция пролактинэкспрессирующих клеток, снижение ингибиторного эффекта допамина и повреждение допаминовых рецепторов [9, 10].
Лучевая диагностика воспалительных заболеваний гипофиза сопряжена с рядом трудностей, которые в большинстве случаев обусловлены схожестью признаков с опухолевыми заболеваниями гипофиза, такими как микро- и макроаденомы, ганглиоцитомы, зернисто-клеточные опухоли и др. По данным большинства авторов, наиболее значимыми МРТ-признаками АЛГ являются: симметричность поражения, утолщение воронки гипофиза без ее отклонения, характерное накопление контраста менингеальными структурами («dural tail») на сагиттальном срезе [11].
Ведущим в диагностике АЛГ является комплексное морфологическое исследование с оценкой остаточного количества клеток гипофиза; характера, распределения и степени выраженности воспалительного инфильтрата. Именно по данным морфологических исследований сформированы основные современные принципы классификации АЛГ (табл. 1) [12, 13].

Таблица 1. Морфологическая классификация основных форм гипофизитов (по данным P. Caturegli и соавт., 2005, H. Fukuoka, 2015)
Воспалительные заболевания гипофиза принято разделять на первичные и вторичные формы. Первичные гипофизиты в зависимости от анатомической локализации воспалительного инфильтрата подразделяются на лимфоцитарный аденогипофизит, лимфоцитарный инфундибулонейрогипофизит и лимфоцитарный пангипофизит. По характеру воспаления первичные гипофизиты разделяют на две наиболее часто встречаемые формы — лимфоцитарный (ЛГ) и гранулематозный гипофизит (ГГ). Реже встречаются ксантоматозный, IgG4-ассоциированный и некротизирующий гипофизиты [14, 15]. ЛГ гистологически характеризуется выраженным Т- и B-лимфоцитарным воспалительным инфильтратом с формированием лимфоидных фолликулов и выраженным фиброзом [16]. ГГ отличаются большим количеством гигантских многоядерных клеток в сочетании с лимфоцитами и плазматическими клетками. ГГ необходимо дифференцировать с туберкулезом, сифилисом, саркоидозом. По мнению некоторых авторов, ГГ не имеет особенностей клинической картины, может сочетаться с ЛГ и быть ассоциирован с другими аутоиммунными заболеваниями [17]. Отдельные авторы отмечают высокую частоту встречаемости несахарного диабета именно при ГГ [18].
Термином «вторичный гипофизит» обозначают воспалительное заболевание гипофиза при локальных и системных процессах [19]. В основе развития вторичных форм гипофизитов выступают заболевания селлярной области (местные поражения), такие как киста кармана Ратке, герминома, краниофарингиома, аденома гипофиза. Отдельного внимания требуют кисты кармана Ратке, при которых вследствие нарушения целостности стенки могут возникать воспалительные изменения, схожие с первичным некротизирующим ксантоматозным гипофизитом [20]. При этом убедительных морфологических работ, позволяющих верифицировать вторичную местную воспалительную реакцию вокруг инородных масс полости кисты, в настоящее время не представлено.
В качестве системных заболеваний, приводящих к вторичному поражению гипофиза, выступают гранулематоз Вегенера, гистиоцитоз из клеток Лангерганса, гигантоклеточная гранулема, саркоидоз, болезнь Такаясу и др. [21].
Кортикостероиды считаются терапией первой линии [22]. При отсутствии эффекта гипофизиты лечат цитостатиками, например азатиоприном [23].
Случаи аутоиммунного лимфоцитарного гипофизита
У 4 пациентов (2 мужчины, 2 женщины) с жалобами на головную боль, головокружение, ухудшение зрения, увеличение массы тела по данным МРТ головного мозга выявлено образование хиазмально-селлярной области (табл. 2). При определении гормонального спектра в крови отмечено повышение уровня пролактина. Уровень остальных гормонов гипофиза снижен. Всем 4 больным поставлен диагноз гормонально-активной аденомы гипофиза пролактиномы; в плановом порядке произведено трансназальное эндоскопическое удаление образования.
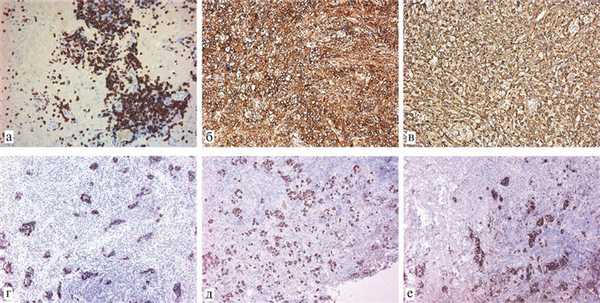
При гистологическом исследовании во всех 4 случаях структура аденогипофиза была нарушена за счет фиброза и гиалиноза (рис. 1). В фиброзированных участках визуализировались отдельные «замурованные» нейроэндокринные клетки и единичные ацинарные структуры, которые экспрессировали цитокератин клона АЕ1/АЕ3, синаптофизин и хромогранин А, СТГ, АКТГ, ТТГ, пролактин, ЛГ и ФСГ (рис. 2). Отмечалась хроническая воспалительная инфильтрация, представленная лимфоцитами, плазматическими клетками, макрофагами. В отдельных полях зрения встречались эозинофильные и нейтрофильные лейкоциты. При иммуногистохимическом исследовании в воспалительном инфильтрате преобладали CD3 + -Т-лимфоциты и CD38 + -плазмоциты (рис. 3), CD8 + -Т-киллеров и CD68 + -макрофагов было значительно меньше. На эндотелии сосудов и в клетках инфильтрата отмечалась экспрессия HLA-DR+++, MHC1++++.

Рис. 2. Больная № 4. Аутоиммунный лимфоцитарный гипофизит. а — СD3+-Т-лимфоциты, ×100; б — экспрессия MHC-1, ×200; в — экспрессия IgG, ×200; г — экспрессия синаптофизина в оставшихся нейроэндокринных клетках аденогипофиза, ×100; д — экспрессия СТГ в оставшихся нейроэндокринных клетках аденогипофиза, ×100; е — экспрессия пролактина в оставшихся нейроэндокринных клетках, ×100.

Рис. 3. Больная № 6. а — островки оставшихся нейроэндокринных клеток, окруженных CD3+-Т-лимфоцитами, ×200; б — диффузная экспрессия HLA-DR, ×200.
Таким образом, у 4 больных со схожей клинической картиной и морфологическими изменениями выявлен АЛГ. При этом данных, подтверждающих аденому гипофиза, получено не было. Интересно отметить, что в одном случае клиника гипофизита появилась после курса лучевой терапии по поводу рака носоглотки и в одном случае — через 6 мес после родов с развитием несахарного диабета.
При ретроспективном анализе МРТ головного мозга пациента № 1 с контрастным усилением выявлено увеличение поперечного и вертикального размера гипофиза, утолщение воронки, потеря дифференцировки между адено- и нейрогипофизом и отсутствие характерного гиперинтенсивного сигнала Т1-взвешенного изображения (ВИ) от нейрогипофиза. Верхний полюс увеличенного гипофиза компримировал хиазмальную цистерну и хиазму. Измененный гипофиз имел среднеинтенсивный сигнал на Т2-ВИ и Т1-ВИ. В правой половине выявлялась локальная зона отека. После введения контраста отмечалось интенсивное гомогенное усиление от всего гипофиза и накопление утолщенными менингеальными оболочками контраста в виде «усиков» по скату основной кости (рис. 4).

Рис. 4. Больной № 1. Т2-ВИ гипофиза в аксиальной (а) и фронтальной (б) плоскости. Железа увеличена в размерах в параселлярном и супраселлярном направлениях, Утолщена воронка (обозначена кружком). На фоне среднеинтенсивного сигнала выявляется локальная зона отека (обозначена стрелкой). Сифоны внутренней сонной артерии интактны. Т1-ВИ гипофиза во фронтальной плоскости до (в) и после (г) внутривенного контрастного усиления. Сигнал от пораженной железы достаточно гомогенный, среднеинтенсивный. Отмечается интенсивное гомогенное контрастирование ткани гипофиза. Сифоны внутренней сонной артерии интактны. Т1-ВИ в сагиттальной плоскости до (д) и после (е) внутривенного контрастирования. До контрастирования визуализируются выраженный супраселлярный тип роста железы, отсутствие типичного высокоинтенсивного сигнала от нейрогипофиза (указано стрелкой). На постконтрастном изображении отмечается равномерное контрастное усиление железой и наличие контрастного усиления по утолщенной менингеальной оболочке вдоль ската основной кости (указаны желтыми стрелками), а также контрастированные менингеальные «усики» (указаны красными стрелками) или феномен «dural tail».
Саркоидоз гипофиза
Мужчина 25 лет жаловался на редкие умеренные головные боли, общую слабость, снижение массы тела (на 14 кг в течение 3 мес), уменьшение объема эякулята, замедление роста волос на лице и конечностях. Нарушение зрения отрицал. Пациент получал заместительную гормональную терапию по поводу аутоиммунного тиреоидита субкомпенсированного клинического течения. На момент поступления состояние пациента было удовлетворительное, телосложение нормостеническое, индекс массы тела 44,42 (ожирение III степени). По данным МРТ головного мозга выявлено объемное образование гипофиза, расцененное как макроаденома. Анализ гормонов показал снижение уровня кортизола (84 нмоль/л), АКТГ (22 пг/мл), ТТГ (1,48 мМЕ/л), ЛГ (0,5 мМЕ/л), ФСГ (2,8 мМЕ/л), повышение уровня пролактина. Показатели клинического анализа крови и биохимического исследования в пределах нормы. Полученные клинические данные не позволяли исключить гормонально-неактивную макроаденому гипофиза и супраселлярную краниофарингиому с проявлениями пангипопитуитаризма. Абсолютных противопоказаний к транссфеноидальной эндоскопической операции не было. Интраоперационно отмечалась инкапсулированная опухоль в проекции турецкого седла с ретрогипофизарным расположением. При рассечении капсулы образования выделялись серые плотноэластичные массы с фрагментами холестерина.
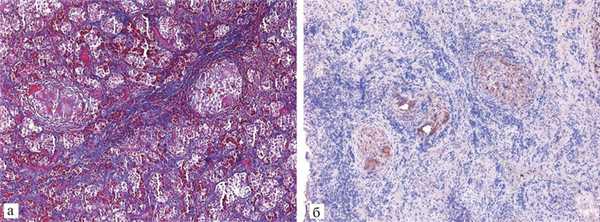
При макроскопическом морфологическом исследовании выявлены множественные мелкие фрагменты серой эластичной ткани по 0,2 см объемом 1 мл. Гистологическое исследование: фрагменты аденогипофиза с диффузно-очаговой лимфоцитарной инфильтрацией, формированием мономорфных «штампованных» гранулем без некрозов со множеством гигантских многоядерных клеток и фиброзом. Окраска на микобактерии по Цилю—Нильсену отрицательная. При иммуногистохимическом исследовании штампованные гранулемы с CD68 + -клетками в центре гранулем и CD3 + -Т-лимфоцитами, с небольшим количеством CD38 + -плазмоцитов по периферии; HLA-DR++++ на клетках инфильтрата и эндотелии сосудов (рис. 5). Среди гранулем трабекулы клеток с экспрессией синаптофизина и хромогранина. Заключение: гистологическая картина вторичного ГГ — саркоидоза гипофиза.

Рис. 5. Больной № 2. Изолированный саркоидоз гипофиза. а — «штампованные» гранулемы одинаковых размеров и строения, окруженные фиброзной тканью; окраска трихромом Массона, ×100; б — в центре гранулем CD68+-макрофаги, ×100.
Таким образом, у пациента выявлен вторичный гипофизит: саркоидоз гипофиза, что клинически проявлялось гипопитуитаризмом с повышением уровня пролактина.
Ксантоматозный некротизирующий гипофизит
Мужчина 48 лет с жалобами на снижение остроты зрения на оба глаза, выпадение полей зрения, головокружение, слабость. Из анамнеза известно, что 11 лет назад перенес инсульт в левом каротидном бассейне с развитием правостороннего гемипареза. При проведении МРТ головного мозга выявлено объемное образование хиазмально-селлярной области размерами 24×19×19 мм с интра-, супра-, ретроселлярным ростом. По результатам анализа уровня гормонов в крови отмечалось снижение уровня пролактина (2,9 нг/мл), ЛГ (0,1 мМЕ/мл), показатели остальных гормонов в пределах нормы. Клинические данные говорили о гормонально-неактивной макроаденоме гипофиза. Выполнено тотальное трансназальное эндоскопическое удаление образования.
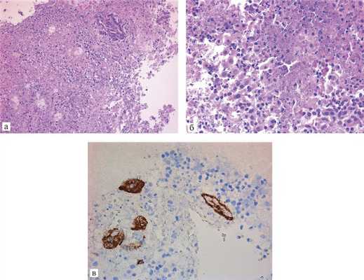
При макроскопическом исследовании выявлены мелкие фрагменты мягкоэластичной желтой ткани объемом 1 мл. При гистологическом исследовании — большая часть материала представлена белковыми некротизированными массами с единичными фрагментами эпителиальной выстилки из цилиндрического мерцательного эпителия и единичными кристаллами холестерина. По краю некротизированных масс полиморфно-клеточный вал из гистиоцитов с пенистой цитоплазмой, нейтрофилов, эозинофилов, лимфоцитов, плазмоцитов, а также единичные некротизированные нейроэндокринные клетки (рис. 6). При иммуногистохимическом исследовании в инфильтрате преобладали CD68 + — и CD45 + -клетки, меньшее количество CD3 + -Т-лимфоцитов и CD38 + -плазмоцитов. HLA-DR++++ на клетках инфильтрата и эндотелии сосудов. Единичные клетки экспрессировали хромогранин, синаптофизин и цитокератин клона АЕ1/АЕ3. Заключение: разрыв кисты кармана Ратке с нагноением, вторичный ксантоматозный некротизирующий гипофизит.

Рис. 6. Больной № 3. Разрыв кисты кармана Ратке. Ксантоматозный некротизирующий гипофизит. а — некротизированные массы с фрагментом эпителиальной выстилки кисты кармана Ратке; окраска гематоксилином и эозином, ×200; б — полиморфно-клеточный инфильтрат; окраска гематоксилином и эозином, ×400; в — CD68+-ксантомные клетки, ×400.
Таким образом, у больного выявлена киста кармана Ратке с нарушением целостности и развитием вторичного ксантоматозного некротизирующего гипофизита.
Таким образом, мы наблюдали 6 случаев гипофизитов, которые составили в нашем операционном материале при трансназальной эндоскопической операции по поводу новообразований гипофиза 0,9%, что соответствует частоте встречаемости заболевания в других стационарах подобного профиля [24]. Причем первичный ЛГ был выявлен в половине случаев.
По клиническим данным и МРТ диагноз гипофизита не был поставлен ни одному пациенту, что говорит о редкости данного заболевания и неготовности клиницистов его диагностировать.
Все МРТ-исследования головного мозга проводились вне ФГБУ «СЗФМИЦ им В.А. Алмазова». При ретроспективном пересмотре МРТ-снимков у больного № 1 выявлены признаки гипофизита: 1) симметричное увеличение с супраселлярной экспансией; 2) утолщение воронки без смещения; 3) гомогенное интенсивное контрастирование; 4) появление «дурального хвоста» на сагиттальном срезе; 5) снижение яркости «пятна» гипофиза, т. е. правильный диагноз мог быть поставлен.
Возраст наших больных соответствует данным литературы, от 25 до 45 лет [25]. У всех пациентов в той или иной мере наблюдался хиазмально-селлярный синдром, у 4 — проявления гипопитуитаризма, у 4 — гипогонадизм/аменорея, ожирение, у 3 — гиперпролактиемия — самые частые симптомы гипофизита [26]. Ряд авторов считают, что в основе повышенной экспрессии пролактина лежат как явления гиперплазии лактотрофов, так и массивное повреждение клеток [27]. Явная гиперплазия лактофоров выявлена только у 1 из 3 больных с данным симптомом. В нашем исследовании преобладали мужчины, и только у одной женщины гипофизит развился после родов и сопровождался несахарным диабетом с полиурией, как описывают многие авторы [28]. Сопутствующее аутоиммунное заболевание (аутоиммунный тиреоидит) выявлено только у одного больного. У одного больного гипофизит развился после 2 курсов лучевой терапии по поводу опухоли носоглотки. По-видимому, его следует считать вторичным, постлучевым [29]. Ко вторичным гипофизитам следует отнести также ксантоматозный некротизирующий гипофизит, возникший после разрыва кисты кармана Ратке и изолированный саркоидоз гипофиза. Последний чаще сопровождается гипопитуитаризмом с пролактинемией [30], что и было выявлено у нашего больного. В 13—20% случаев описывают гиперкальциемию [31]. Только у 5% пациентов с саркоидозом в процесс вовлечена нервная система [32]. Саркоидоз гипофиза/гипоталамуса встречается у 10% пациентов с нейросаркоидозом [33]. Изолированный саркоидоз гипофиза, как у нашего пациента, встречается экстремально редко [34]. Гистологический диагноз ставится по обнаружению «штампованных», т. е. одного размера и одного строения, гранулем без казеозного некроза в центре. Дифференциальный диагноз проводится прежде всего с туберкулезом [35].
Заключение
Гипофизит становится все более распространенным диагнозом, который может быть поставлен с помощью МРТ и клинических признаков. Биопсия помогает сформулировать окончательный диагноз и служит руководством для лечения.
Лимфоцитарное воспаление гипофиза - лимфоцитарный гипофизит. Диагностика и лечение
Диагностика лимфоцитарного гипофизита по МРТ головного мозга
а) Терминология:
1. Сокращения:
• Лимфоцитарный гипофизит (ЛГ)
2. Синонимы:
• Аденогипофизит, первичный гипофизит, воспаления ножки гипофиза
3. Определение:
• Идиопатическое воспаление гипофиза и/или его ножки
б) Визуализация:
1. Общие характеристики лимфоцитарного гипофизита:
• Лучший диагностический критерий:
о Утолщение ножки гипофиза (без ее нормального сужения) ± объемное образование гипофиза
• Локализация:
о Супраселлярная, интраселлярная
• Размеры:
о Обычно < 10 мм, но могут достигать 2-3 см
• Морфология:
о Округленный гипофиз с утолщением воронки (возможно утолщение по типу луковицы), с отсутствием ее нормального сужения
2. МРТ признаки лимфоцитарного гипофизита:
• Т1-ВИ:
о Утолщение ножки гипофиза (> 2 мм + исчезновение его нормального сужения) о ± увеличение размеров гипофиза
о В 75% случаев наблюдается отсутствие «яркого пятна» задней доли гипофиза
• Т2-ВИ:
о Изо-/гипоинтенсивный сигнал
• Постконтрастные Т1-ВИ:
о Интенсивное и равномерное контрастное усиление
о Может наблюдаться утолщение твердой мозговой оболочки или слизистой оболочки основной пазухи носа

(Слева) На рисунке сагиттального среза показан лимфоцитарный гипофизит. Обратите внимание на утолщение воронки с исчезновением нормального ее сужения «сверху вниз», а также инфильтрацию передней доли гипофиза.
(Справа) МРТ, Т2-ВИ, корональный срез: у беременной женщина со зрительными и эндокринными нарушениями в селлярной/супраселлярной областях определяется гиперинтенсивное объемное образование, смещающее зрительный перекрест кверху. При хирургическом вмешательстве с целью декомпрессии зрительного перекреста был выявлен лимфоцитарный гипофизит Рентгенологическая картина имитирует макроаденому гипофиза.
3. Рекомендации по визуализации:
• Совет по протоколу исследования:
о МРТ: преконтрастныетонкосрезовые (< 3 мм) сагиттальные, корональныеЛ -ВИ и Т2-ВИ
о Корональные динамические постконтрастные Т1-ВИ (может наблюдаться отсроченное контрастное усиление гипофиза)
в) Дифференциальная диагностика лимфоцитарного гипофизита:
1. Макроаденома:
• Селлярное и супраселлярное объемное образование
• Увеличение в объеме/эрозия турецкого седла
• Несахарный диабет часто наблюдается при ЛГ, но редко-при аденоме
2. Гиперплазия гипофиза:
• Ножка гипофиза обычно в норме
о У молодых женщин, поздние сроки беременности/околоро-довой период
• Может наблюдаться при гипотиреозе, болезни Аддисона, дисфункции органов-мишеней, нейроэндокринных новообразованиях
3. Подростковые изменения гипофиза:
• Увеличение размеров железы с равномерным контрастным усилением
4. Гранулематозное поражение:
• Саркоидоз, гистиоцитоз из клеток Лангерганса (ГКЛ), гранулематоз с полиангиитом; часто развиваются на фоне системной болезни
5. Гипофизарная карликовость:
• Ножка гипофиза может выглядеть укороченной и утолщенной
6. Эктопия задней доли гипофиза:
• Гиперинтенсивный очаг в области серого бугра или укороченной ножки гипофиза

(Слева) МРТ, постконтрастное Т1-ВИ, сагиттальный срез: у мужчины 37 лет с пангипопитутаризмом на фоне лечения ипилимумабом по поводу метастатической меланомы отмечаются относительно крупные размеры гипофиза. По сравнению с предыдущей МРТ, проведенной шесть недель назад, размеры железы увеличились вдвое. Такая картина согласуется с лекарственно-индуцированным гипофизитом.
(Справа) МРТ, постконтрастное Т1-ВИ, сагиттальный срез: у пациента в возрасте 50 лет с несахарным диабетом определяется локальное утолщение воронки гипофиза, обусловленное лимфоцитарным инфундибулонейрогипофизитом.
г) Патология:
1. Общие характеристики лимфоцитарного гипофизита:
• Этиология:
о Аутоиммунное, воспалительное заболевание
о Другие типы гипофизита включают:
- Гранулематозный (саркоидоз, ГКЛ, инфекционное поражение и т.д.)
- IgG4-связанный гипофизит
- Связанный с лекарственными средствами (иммунотерапия рака [например, ипилимумаб])
2. Макроскопические и хирургические особенности:
• Диффузное увеличение в размерах гипофиза/его ножки
3. Микроскопия:
• Острая стадия:
о Плотный инфильтрат из В-/Т-лимфоцитов, плазматических клеток, иногда эозинофилов; ± лимфоидные фолликулы
о Гранулемы, гигантские клетки или организмы отсутствуют; новообразование отсутствует
• Хроническая стадия: может наблюдаться протяженный фиброз
д) Клиническая картина:
1. Проявления лимфоцитарного гипофизита:
• Наиболее частые признаки/симптомы:
о Головная боль, зрительные нарушения
• Клинический профиль:
о Женщина в околородовом периоде с головной болью, множественной эндокринной недостаточностью
о Мужчина среднего возраста с несахарным диабетом (лимфоцитарный инфундибулонейрогипофизит)
3. Течение и прогноз:
• Часто разрешается самостоятельно
• Недиагностированный лимфоцитарный гипофизит (ЛГ) без лечения может привести клетальному исходу вследствие пангипопитуитаризма
4. Лечение лимфоцитарного гипофизита:
• Консервативное (стероидная, гормональная заместительная терапия)
е) Диагностическая памятка. Советы по интерпретации изображений:
• Лимфоцитарный гипофизит (ЛГ) может имитировать аденому гипофиза
ж) Список литературы:
1. Tauziede-Espariat A et al: The prevalence of lgG4-positive plasma cells in hypophysitis: a possible relationship to IgG4-related disease. Clin Neuropathol. ePub, 2015
2. Chodakiewitz Y et al: Ipilimumab treatment associated pituitary hypophysitis: clinical presentation and imaging diagnosis. Clin Neurol Neurosurg. 125:125-BO, 2014
3. Imber BS et al: Hypophysitis: a single-center case series. Pituitary. ePub, 2014
Гиперпролактинемия
Гиперпролактинемия – это увеличение содержания в крови гормона пролактина, чаще всего обусловленное аденомой гипофиза (пролактиномой). Клинически данное состояние проявляется нарушением функций репродуктивной системы. У женщин симптомы включают расстройства менструального цикла, галакторею, бесплодие. У мужчин наблюдается снижение либидо, импотенция, гинекомастия. Основным методом диагностики является определение концентрации пролактина сыворотки. Лечение предусматривает борьбу с причиной, вызвавшей гиперпролактинемию, назначение агонистов рецепторов дофамина. В ряде случаев возникает необходимость в хирургической операции.
Гиперпролактинемия (синдром персистирующей галактореи-аменореи, гиперпролактинемический гипогонадизм) является не самостоятельным заболеванием, а клинико-лабораторным синдромом. Впервые патология была описана в 1855 году немецким гинекологом Д. Чиари. Распространенность варьируется от 10 до 30 человек на 100 000 населения. Состояние чаще встречается у женщин репродуктивного возраста (соотношение с мужчинами 2,5:1). На долю пролактином приходится до 60% случаев. Около 30% случаев женского бесплодия обусловлено гиперпролактинемией.
Причины гиперпролактинемии
Существует множество причин, вызывающих увеличение уровня пролактина. Даже некоторые физиологические состояния, такие как физическая нагрузка, эмоциональный стресс или сон способны привести к транзиторному повышению концентрации пролактина в крови. Частыми физиологическими причинами у женщин выступают беременность и период лактации. Этиологическими факторами патологической гиперпролактинемии являются:
- Пролактинома и другие патологии гипофиза. Доброкачественная аденома гипофиза, избыточно продуцирующая пролактин (пролактинома), наиболее часто провоцирует гиперпролактинемию. К увеличению содержания гормона также могут привести лимфоцитарный гипофизит, хирургические вмешательства в гипофизарной области.
- Заболевания эндокринных желез. Еще одной распространенной причиной гиперпролактинемии признаны такие эндокринные заболевания, как акромегалия, первичный гипотиреоз, болезнь Иценко-Кушинга. У женщин данное состояние нередко протекает совместно с синдромом поликистозных яичников (СПКЯ).
- Прием лекарственных препаратов. Многие лекарственные средства обладают антидофаминовым действием, что ведет к увеличению уровня пролактина. Обычно это происходит при приеме нейролептиков (галоперидол, рисперидон), антидепрессантов (пароксетин, моклобемид), прокинетиков (метоклопрамид). У женщин гиперпролактинемия часто развивается на фоне приема оральных контрацептивов.
- Системные заболевания. Гранулематозные или инфильтративные процессы, локализующиеся в гипофизе, также могут вызвать повышение уровня пролактина. К таким болезням относятся туберкулез, саркоидоз, гигантоклеточная гранулема.
- Другие патологии. Более редкими причинами являются опухоли в области турецкого седла, сдавливающие гипофиз (краниофарингиома, герминома), синдром пустого турецкого седла, хроническая почечная недостаточность (ХПН).
Патогенез
Избыточное содержание в крови пролактина по механизму отрицательной обратной связи подавляет секрецию гонадолиберина в гипоталамусе, что приводит к снижению выработки лютеинизирующего и фолликулостимулирующего гормонов. В результате развивается недостаточность половых гормонов, гипоплазия наружных половых органов (гипогонадизм), активная пролиферация секреторного аппарата молочной железы, усиление лактогенеза и лактации (галакторея), особенно у женщин.
Длительно сохраняющаяся гиперпролактинемия стимулирует процессы резорбции костной ткани, что снижает ее минеральную плотность (остеопороз). Лептинорезистентность, дефицит адипонектина и гипогонадизм способствуют отложению жира в подкожно-жировой клетчатке и повышению содержания в сыворотке холестериновых фракций. Отмечается умеренная гиперпродукция андрогенов сетчатой зоной коры надпочечников.
Классификация
По характеру различают патологическую и физиологическую гиперпролактинемию. Отдельно выделяют макропролактинемию, при которой в крови наблюдается повышенный уровень биологически неактивной высокомолекулярной фракции гормона (big-big пролактин). При последнем варианте состояния клинические симптомы отсутствуют. По механизму возникновения гиперпролактинемию разделяют на:
- Первичную. Обусловлена поражением гипоталамо-гипофизарной системы (опухоли, хирургические вмешательства).
- Вторичную. Развивается вследствие гранулематозных процессов, болезней эндокринной системы, почек, печени, приема лекарственных препаратов,
С учетом размера выделяют следующие типы пролактиномы:
- Микропролактиномы. Размер опухоли не превышает 10 мм. Встречается в подавляющем большинстве случаев (до 90%).
- Макропролактиномы. Диаметр образования больше 10 мм. Составляет 10% от всех пролактином, чаще выявляется у мужчин.
Симптомы гиперпролактинемии
Проявления у женщин
У женщин в клинической картине на первый план выступают нарушения менструального цикла по типу олиго-, опсо- или аменореи, ановуляция. Наблюдаются такие симптомы как аноргазмия, снижение либидо, фригидность. Если гиперпролактинемия развилась до наступления полового созревания, отмечается гипоплазия матки, малых половых губ, клитора. Вследствие относительной гиперандрогении возможно возникновение гирсутизма, себореи и акне.
Наиболее характерным и специфичным симптомом гиперпролактинемии, встречающимся у 50-70% женщин, считается галакторея (выделение молока из молочных желез вне периода кормления ребенка), которая нередко становится первым признаком заболевания. Ее интенсивность может различаться – от появления нескольких капель молозива только во время пальпации молочной железы до спонтанного струйного выделения.

Проявления у мужчин
У мужчин основные симптомы представлены снижением либидо, эректильной дисфункцией вплоть до импотенции, гинекомастией (увеличением молочных желез, связанным с гипертрофией железистой ткани). Галакторея наблюдается примерно у 30-35% пациентов. Возникновение гиперпролактинемии до пубертатного возраста приводит к недоразвитию гениталий и вторичных половых признаков (отсутствие или слабый рост усов и бороды, высокий тембр голоса).
Общие проявления
Если гиперпролактинемия обусловлена пролактиномой, репродуктивным нарушениям сопутствуют симптомы, связанные с наличием объемного образования головного мозга. Обычно они вызваны макропролактиномами, а потому чаще встречаются у мужчин. Наиболее распространенным неврологическим признаком является головная боль. При сдавлении опухолью зрительного перекреста присоединяются офтальмологические нарушения – выпадения полей зрения, скотомы, битемпоральная гемианопсия.
Иногда наблюдается такой симптом как офтальмоплегия (паралич мышц глаза). Прорастание пролактиномы в структуры промежуточного мозга может спровоцировать нервно-психические расстройства в виде эмоциональной лабильности, нарушения сна, раздражительности. Нередко встречаются жалобы неспецифического характера – общая слабость, повышенная утомляемость, ухудшение памяти.
Осложнения
Основное и самое распространенное неблагоприятное последствие гиперпролактинемии – первичное бесплодие (до 70%), связанное с овуляторной дисфункцией у женщин и олиго-или азооспермией у мужчин. Стимулирующее действие гормона на молочные железы провоцирует развитие мастопатий. Повышенный уровень липидов ускоряет процесс атеросклероза, что увеличивает риск инфаркта миокарда.
Более серьезные осложнения обусловлены ростом опухолевого образования. Длительное механическое воздействие на хиазму может стать причиной атрофии зрительных нервов и привести к слепоте. Из-за сдавливания соседних зон гипофиза возникают другие гормональные нарушения – несахарный диабет, пангипопитуитаризм. Редко при очень больших размерах пролактинома сдавливает ствол или водопровод мозга, прорастает в носовую полость.
Диагностика
Ведением больных с гиперпролактинемией занимается врач-эндокринолог либо гинеколог. При сборе анамнестических данных выясняют, какие препараты принимает пациент, чтобы исключить лекарственную природу патологии. У женщин уточняют информацию о менструациях (периодичность наступления, обильность, продолжительность). Затем назначают дополнительное обследование, включающее:
- Определение уровня пролактина. Во избежание ложноположительного результата анализа накануне сдачи крови пациенту необходимо придерживаться правил, которые позволят избежать транзиторного повышения содержания пролактина. У женщин с сохранным менструальным циклом кровь берут не позднее 7-го дня цикла. Для исключения феномена макропролактинемии определяют big-big-фракцию гормона.
- Прочие гормональные исследования. Отмечается снижение показателей половых гормонов (ЛГ, ФСГ, эстрогенов). Для диагностики эндокринных патологий устанавливают содержание ТТГ, АКТГ, антимюллерова гормона и пр.
- МРТ головного мозга. Для лучшей визуализации пролактиномы рекомендуется выполнение МРТ в режиме Т1 и Т2 взвешенных изображений с применением контрастного вещества (гадолиния). Если проведение МРТ невозможно (например, при наличии металлических протезов, кардиостимулятора), назначается КТ с высоким разрешением.
- Консультация офтальмолога. При обнаружении гипофизарной опухоли обязательно обследование у офтальмолога. Оценка остроты зрения, полей зрения с помощью компьютерной периметрии, определение состояния зрительного нерва при офтальмоскопии помогают выявить показания для оперативного удаления пролактиномы.
По клиническим симптомам дифференциальный диагноз в первую очередь проводят с гипогонадотропным гипогонадизмом – нарушением синтеза гонадостероидов вследствие патологии органов репродуктивной системы (яичников – у женщин, яичек – у мужчин). Особо трудную задачу представляет дифференциальная диагностика между неопухолевыми причинами высокого содержания пролактина в сыворотке.

Лечение гиперпролактинемии
Консервативная терапия
В большинстве случаев пациент проходит лечение амбулаторно. Госпитализация необходима в исключительных ситуациях – для дообследования при неясной причине патологии или подготовки к хирургической операции. Если на гиперпролактинемия протекает бессимптомно, терапия не требуется. Консервативное лечение включает следующие направления:
- Лечение пролактиномы. Препаратами выбора являются агонисты дофаминовых рецепторов (каберголин, бромокриптин) – эти средства нормализуют концентрацию пролактина, обеспечивают регресс клинических симптомов и могут уменьшать размер опухоли. Чаще применяют каберголин, который обладает пролонгированным действием и более высокой селективностью к гипофизарным дофаминовым рецепторам (меньшая частота системных побочных эффектов).
- Лечение основного заболевания. При развитии вторичной гиперпролактинемии для коррекции уровня пролактина осуществляют терапии основной патологии. Назначают L-тироксин при гипотиреозе, комбинации антибиотиков при туберкулезе, глюкокортикостероиды при саркоидозе и пр.
- Лечение лекарственной гиперпролактинемии. Если увеличение концентрации пролактина произошло при употреблении лекарственного средства, его заменяют другим препаратом, не имеющим такого побочного эффекта. При невозможности отмены медикамента проводят заместительную терапию половыми гормонами для борьбы с симптомами гипогонадизма.
Хирургическое лечение
Оперативное удаление пролактиномы показано лишь в некоторых случаях. В их числе – резистентность к агонистам дофамина или их индивидуальная непереносимость, компрессия зрительного перекреста опухолью, вызывающая проблемы со зрением. Хирургическое лечение также рекомендуется женщинам с макропролактиномой, планирующим беременность. Методом выбора считается транссфеноидальная аденомэктомия. Риск рецидива при макропролактиномах очень высокий – до 80%.
Прогноз и профилактика
Гиперпролактинемия имеет благоприятный прогноз. Случаи летального исхода встречаются крайне редко и только при злокачественной природе опухоли гипофиза. Основную проблему представляет бесплодие и зрительные нарушения (вплоть до полной потери). При лечении пролактиномы агонистами дофамина необходимо 1 раз в месяц определять уровень пролактина сыворотки и ежегодно проводить МРТ гипофиза (при макропролактиномах – каждые 6 месяцев).
Первичной профилактики пролактином не существует. При выявлении у пациента заболеваний, способных вызвать повышение концентрации пролактина (гипотиреоз, системные гранулематозные болезни), рекомендуется провести анализ крови на данный гормон. Исследование также выполняют при назначении лекарственных препаратов, имеющих в списке неблагоприятных побочных действий гиперпролактинемию.
1. Диагностика и лечение гиперпролактинемии: клинические рекомендации Международного Эндокринологического общества/ перевод и комментарии Воротникова С.Ю., Пигарова Е.А., Дзеранова Л.К.// Ожирение и метаболизм – 2011 – №2.
2. Особенности диагностики и лечения гиперпролактинемического синдрома/ Дзеранова Л.К., Барнмина И.И.// Эффективная фармакотерапия в эндокринологии – 2009 – № 1.
Гипофизит
Гипофизит — это воспалительное поражение гипофиза, зачастую имеющее аутоиммунный характер. Среди клинических проявлений на первый план выходят цефалгия, ухудшение зрения, симптомы гипопитуитаризма. Диагностика включает исследование уровня гормонов, анализ на антитела, офтальмологическое обследование, церебральную МРТ, по возможности — гистологию биопсийного образца. Консервативные методы лечения включают применение кортикостероидов и цитостатических препаратов, заместительную гормональную терапию. При их неэффективности показана хирургическая резекция или стереотаксическая операция.
МКБ-10



Общие сведения

Причины гипофизита
Этиологические триггеры первичной формы болезни точно не известны. Предполагают, что дисфункцию иммунной системы способны вызвать вредоносные воздействия внешней среды: химические вещества, повышенная инсоляция, вирусы, бактериальные токсины. Нельзя исключить роль генетических факторов. По данным исследователей, наследственная предрасположенность ассоциируется с аллелями HLA DR4, HLA DR5, HLA DQ8, HLA DR53.
Вторичный гипофизит развивается в результате поражения гипофизарной области различными патологическими процессами. Этиофакторами гипофизарного воспаления выступают:
- Селлярные образования. Наиболее часто наблюдаются киста кармана Ратке, герминома, аденома, краниофарингиома. Объемные процессы хиазмально-селлярной зоны, прорастая и/или сдавливая гипофиз, провоцируют его воспаление.
- Аутоиммунная патология. Такие системные заболевания, как гранулематоз Вегенера, саркоидоз, болезнь Такаясу, гистиоцитоз, возникают вследствие аутоиммунных нарушений. Системность процесса приводит к образованию антител против гипофизарных антигенов.
- Инфекционные болезни.Туберкулез, вирусные заболевания на фоне иммунодефицита, сифилис могут привести к поражению клеток гипофиза. Возбудители способны преодолеть гематоэнцефалический барьер с развитием инфекционного воспаления тканей гипофиза.
- Иммуномодулирующая терапия. Применение моноклональных антител в терапии злокачественных опухолей в ряде случаев провоцирует аутоиммунные процессы, в том числе поражение гипофиза. Гипофизит возникает спустя несколько месяцев от начала противоопухолевой иммунотерапии.
Аутоиммунный механизм характерен для первичных форм, вторичного поражения на фоне аутоиммунных заболеваний, приема иммуноонкологических фармпрепаратов. При этом патологические изменения в работе иммунного аппарата сопровождаются синтезом антител против собственных антигенов клеток гипофиза. Аутоантитела поражают клеточные структуры, обуславливая воспалительную реакцию.
Новообразования селлярной области провоцируют воспалительные изменения вследствие компрессии или повреждения тканей при распространении опухолевого процесса. Инфекционные агенты, повреждая клетки, запускают гуморальный иммунный механизм, приводящий к развитию воспаления. Морфологически результатом воспалительного процесса является отечность, клеточная инфильтрация и неоднородность гипофизарных тканей.
Со временем воспалительное поражение влечет снижение числа гормонпродуцирующих клеток, что сопровождается нарушением отдельных эндокринных функций или пангипопитуитаризмом. У ряда больных наблюдается феномен гиперпролактинемии, предположительно обусловленный антителопосредованной активацией синтезирующих пролактин клеток, повреждением рецепторов дофамина со снижением его ингибирующего эффекта.

Этиопатогенетически гипофизит разделяют на первичный, возникающий идиопатически, и вторичный — возникающий на фоне существующего основного заболевания. Существует также 2 морфологические классификации: анатомическая и гистологическая. Согласно первой выделяют:
- Аденогипофизит — поражение только передней доли. Составляет около 65% всех случаев.
- Инфундибулонейрогипофизит — воспаление распространяется на ножки и нейрогипофиз. Наблюдается в 10% случаев.
- Пангипофизит — воспалительные изменения охватывают все части гипофиза. Встречается у 25% пациентов.
Микроскопическое исследование позволяет выявить различные типы происходящих в гипофизе изменений, в связи с чем была разработана гистологическая классификация. Она широко используется для верификации диагноза у пациентов, прошедших хирургическое лечение, и включает следующие варианты:
- Лимфоцитарный. Диагностируется у 68% заболевших гипофизитом. В клеточном инфильтрате преобладают лимфоциты. Характеризуется возникновением симптоматики в период беременности или в первые месяцы после родов.
- Гранулематозный. Занимает второе место по распространенности после лимфоцитарного. Наряду с лимфоцитами в воспалительных тканях обнаруживаются многоядерные гигантские клеточные элементы.
- Ксантоматозный. Составляет около 3%. Типично повышенное содержание липидов в тканях гипофиза, формирование жировых включений.
- IgG4-ассоциированный. Воспалительный инфильтрат содержит большое количество IgG4-позитивных плазмоцитов. На поздних стадиях развивается фиброз.
- Некротизирующий. Отличается наличием участков некроза. Затруднительная дифференциация некротизирующего гипофизита от вторичного, обусловленного кистой гипофизарного хода.
- Смешанный. Представляет собой вариативные сочетания различных гистологических форм. Встречается довольно редко.
Симптомы гипофизита
Заболевание манифестирует общемозговой симптоматикой в виде цефалгического синдрома и расстройством зрительной функции, связанным со сдавлением зрительных трактов увеличенным гипофизом. Головная боль носит постоянный характер, сопровождается тошнотой. Более 50% пациентов отмечают рвоту. Нейроофтальмологические симптомы включают снижение остроты зрения, нарушение цветовосприятия, сужение или выпадение зрительных полей. При вторичном гипофизите наблюдаются проявления основного заболевания.
По мере угасания остроты воспаления и его перехода в хроническую стадию стартуют симптомы гипофизарной недостаточности. Характер эндокринной дисфункции зависит от этиологии и формы гипофизита. Аденогипофизит и пангипофизит протекают с дефицитом АКТГ, тиреотропина, гонадотропинов. Гипокортицизм приводит к понижению веса, гиперпигментации кожи и слизистых, астении. Сниженная продукция тиреотропина влечет гипотиреоз, проявляющийся сухостью кожи, брадикардией, ухудшением памяти.
Гипогонадизм обуславливает снижение либидо, у женщин — нарушения менструального цикла вплоть до аменореи. В 23% случаев аденогипофизита наблюдается гиперпролактинемия, сопровождающаяся галактореей. Обязательным симптомом инфундибулонейрогипофизита выступает несахарный диабет, проявляющийся неутолимой жаждой, полиурией. При пангипофизите отмечается пангипопитуитаризм.
Грозным осложнение гипокортицизма является острая надпочечниковая недостаточность, которая без оказания своевременной медицинской помощи может привести к летальному исходу. Полиурия при несахарном диабете осложняется обезвоживанием, повышением вязкости крови, дисбалансом электролитов. В отсутствие лечения выраженное обезвоживание угрожает развитием коллапса, сердечной недостаточности. Прогрессирующий гипогонадизм осложняется бесплодием.
При сборе анамнеза обращают внимание на снижение массы тела за последнее время, наличие сопутствующей патологии, прохождение противоопухолевой иммунотерапии. Общий осмотр выявляет сухость и гиперпигментированность кожи. После консультации невролога и эндокринолога пациентам рекомендованы:
- Офтальмологическое обследование. Включает оценку остроты зрения, офтальмоскопию, периметрию. Исследование полей зрения диагностирует их сужение. Офтальмоскопия проводится для исключения другой офтальмологической патологии.
- Иммунологические исследования. Антитела к гипофизарным структурам выявляются с использованием иммуноферментного анализа, иммуноблоттинга, иммунофлюоресценции. Наличие антител подтверждает аутоиммунные изменения, но не является специфичным для гипофизита.
- Гормональные исследования. Исследование гипофизарных и периферических гормонов диагностирует их частичное или тотальное снижение. Исключение составляет пролактин, уровень которого повышен у части больных.
- МРТ головного мозга. В фазе острого воспаления визуализируется увеличение, неоднородность структуры, размытость контуров гипофиза, утолщение воронки. При переходе процесса в хронический выявляется фиброз и уменьшение гипофиза.
- Гистология биоптата. Гистопатологическая верификация образцов гипофизарных тканей остается золотым стандартом диагностики гипофизита. Однако сложность и инвазивность процедуры ограничивают ее применение.
Дифференциальная диагностика
Гипофизит необходимо дифференцировать от опухолей гипофиза, синдрома Шихана. МРТ-признаки могут быть сходны с новообразованиями, в пользу опухоли свидетельствует асимметричность поражения. В отличие от новообразований, гипофизит стартует надпочечниковой недостаточностью с последующим присоединением дефицита других гормонов. Как и лимфоцитарный гипофизит, синдром Шихана манифестирует в послеродовом периоде. Однако для него характерно отсутствие лактации. На МРТ-снимках отмечается отечность хиазмы, геморрагические очаги в гипофизе.

Лечение гипофизита
Базисное медикаментозное лечение направлено на купирование воспалительного процесса, компенсацию недостающей эндокринной функции. Редкость заболевания, отсутствие широкой выборки для получения достоверных клинических данных приводит к отсутствию четких рекомендаций по выбору и дозировке применяемых препаратов. Лечение назначается индивидуально, включает 2 основных компонента:
- Иммуносупрессия. Необходима для купирования аутоиммунных механизмов, лежащих в основе гипофизита. Применяется в период острой воспалительной реакции. Рекомендовано начинать лечение с глюкокортикоидов, при неэффективности которых переходить к назначению цитостатиков.
- Гормональная терапия. Носит заместительный характер. Подбор препарата и дозы осуществляется индивидуально, в соответствии с уровнем гормонов. В первую очередь необходима коррекция гипокортицизма. Заместительная терапия гипогонадизма осуществляется в хроническую фазу.
Показанием к операции является устойчивая к медикаментозной терапии выраженная компрессия зрительных путей и хиазмы, клинически проявляющаяся зрительными расстройствами. Производится частичная резекция гипофиза транссфеноидальным доступом. Важное значение уделяется удалению воспалительных масс при щадящей резекции жизнеспособных участков. В послеоперационном периоде рекомендована глюкокортикоидная терапия.
Рецидив гипофизита, неподдающегося консервативному лечению, выступает показанием к стереотаксической радиохирургической операции. Прицельная лучевая терапия является современным малоинвазивным вмешательством, широко применяемым в практической нейрохирургии. После разрушающего воздействия облучения может потребоваться заместительная терапия.
Положительный эффект иммуносупрессивной терапии отмечается у 40-50% больных. В отдельных случаях возможно полное восстановление гормонопродуцирующей функции. У 38% пациентов после проведенного медикаментозного лечения наблюдался рецидив. Частота рецидивов после хирургической операции составляет 11–25%. Вследствие неясной этиологии, профилактика первичного гипофизита затруднительна. Профилактика вторичных форм основана на лечении причинного заболевания.
3. Hypophysitis — new insights into diagnosis and treatment/ Łukasz Kluczyński, Aleksandra Gilis-Januszewska, Damian Rogoziński, Jacek Pantofliński, Alicja Hubalewska-Dydejczyk// Endokrynologia Polska. - 2019. - 70(3).
4. Mechanisms in endocrinology: Hypophysitis: diagnosis and treatment/ Joshi M.N., Whitelaw B.C., Carroll P.V.// European Journal of Endocrinology. - 2018. - 179(3).
Лимфоцитоз
Лимфоцитоз – это увеличение содержания лимфоцитов выше 4000 (или 40%) в 1 мкл крови. Причиной выступают острые вирусные заболевания, некоторые хронические бактериальные инфекции, злокачественные гематологические болезни и т.д. Клинические проявления определяются нозологией, на фоне которой развился лимфоцитоз. Уровень лимфоцитов исследуется в венозной или капиллярной крови при подсчете лейкоцитарной формулы общего анализа крови. Для коррекции лимфоцитоза проводится борьба с причиной, т.е. лечение основного заболевания.
Нет четких числовых критериев разделения лимфоцитоза по степени выраженности. Условно выделяется умеренный (до 60%) и высокий лимфоцитоз (больше 60%). Основной причиной высокого лимфоцитоза считаются злокачественные болезни кроветворной и лимфатической ткани. Лимфоцитоз, как и другие виды лейкоцитоза, подразделяется на:
- Абсолютный. Под абсолютным лимфоцитозом подразумевается увеличение количества лимфоцитов наряду с общим числом лейкоцитов (у взрослых более 4000, у детей до 5 лет более 6000).
- Относительный. Относительный лимфоцитоз встречается намного чаще и означает процентное возрастание лимфоцитов (больше 40%) на фоне нормального или даже пониженного общего числа лейкоцитов.
Причины лимфоцитоза
Физиологические состояния
Наиболее яркий пример - физиологический лимфоцитоз у детей в возрасте до 4-5 лет. Причина данного явления связана с возрастными изменениями в иммунной системе ребенка. С 7 дня жизни у детей начинается активный рост количества лимфоцитов (до 55-60%) и падение нейтрофилов (первый перекрест лейкоцитарной формулы). Затем к 4 годам лимфоциты возвращаются к показателям, как у взрослых (до 40%), а нейтрофилы, напротив, увеличиваются (второй перекрест). Патологическим лимфоцитозом у детей следует считать цифры больше 60%.
Отдельно выделяют кратковременные лимфоцитозы, не связанные ни с каким заболеванием. Среди таких причин лимфоцитоза:
- Стресс.
- Алиментарные факторы: голодание, следование вегетарианской диете.
- Использование лекарственных препаратов: фенитоина, пара-аминосалициловой кислоты, наркотических анальгетиков.
Вирусные инфекции
Лимфоциты являются основным «орудием» иммунной системы против вирусов. Они вырабатывают специальные антитела (иммуноглобулины), которые, связываясь с вирусом, препятствуют его проникновению в клетки. В дальнейшем вирусные частицы подвергаются фагоцитозу. Другой механизм противовирусного иммунитета – уничтожение клеток, зараженных вирусной ДНК или РНК, путем запуска запрограммированной клеточной гибели (апоптоза). Сходным образом лимфоциты борются с некоторыми бактериями, внутриклеточными паразитами (токсоплазмами).
- Острые вирусные инфекции. Наиболее частой причиной лимфоцитоза у детей признаны такие инфекционные заболевания как корь, краснуха, ветряная оспа; у взрослых – грипп, ОРВИ. Обычно лимфоцитоз умеренный, он возникает резко, достигает максимума параллельно разгару заболевания, затем по мере разрешения симптомов быстро возвращается к нормальным значениям.
- Инфекционный мононуклеоз. Специфической вирусной инфекцией у детей является инфекционный мононуклеоз, вызываемый вирусом Эпштейн-Барра. При инфекционном мононуклеозе лимфоцитоз более стойкий, может сохраняться несколько недель или месяцев. Иногда вирус персистирует годами и может стать причиной синдрома хронической усталости.
Помимо количественных изменений, вирусные инфекции считаются причиной появления атипичных мононуклеаров (вироцитов) – лимфоцитов, имеющих разную форму, измененную структуру ядра, базофильную цитоплазму. В незначительных количествах (менее 10%) они присутствуют при любых вирусных инфекциях. Более высокая концентрация таких клеток (более 10%) свидетельствует об инфекционном мононуклеозе.
Бактериальные инфекции
У взрослых одна из частых причин лимфоцитоза – бактериальные инфекции с хроническим течением, сопровождающиеся образованием специфических эпителиоидных гранулем (туберкулез, бруцеллез, сифилис). Реже причиной лимфоцитоза у взрослых выступают тифозные заболевания (брюшной, сыпной тиф, паратифы). Единственной острой бактериальной инфекцией, вызывающей лимфоцитоз у детей, считается коклюш.
В основном наблюдается незначительный лимфоцитоз, причем практически всегда относительный, на фоне общей лейкопении. В виду хронического течения болезней лимфоцитоз может сохраняться неопределенно долго (месяцы, годы), увеличиваясь в периоды обострения. При туберкулезе лимфоцитоз свидетельствует о доброкачественном течении и считается предиктором благоприятного исхода.

Злокачественные болезни крови
Наиболее опасной причиной лифмоцитоза у взрослых и детей признаны миелопролиферативные и лимфопролиферативные заболевания. В таких случаях лимфоцитоз обусловлен пролиферацией опухолевых клонов лимфатической ткани или злокачественной трансформацией кроветворных клеток в костном мозге. У взрослых в основном наблюдаются хронический лейкоз, неходжкинские лимфомы (лимфосаркомы). У детей чаще встречается лимфогранулематоз (лимфома Ходжкина). Лимфоцитоз достигает очень высоких цифр (до 70-90%).
Нарастание лимфоцитоза происходит постепенно: максимальное значение достигается через несколько лет, уменьшается медленно, только под действием курсов химиотерапии. Быстрый возврат к нормальным показателям возможен только при пересадке костного мозга. Помимо лимфоцитоза, отмечаются такие признаки, как одновременное увеличение эозинофилов и базофилов (базофильно-эозинофильная ассоциация), присутствие большого количества бластов, промежуточных форм (пролимфоцитов).
Эндокринные расстройства
В некоторых случаях причиной лимфоцитоза становятся заболевания эндокринных органов. Точный механизм данного явления до сих пор окончательно не установлен. Умеренная степень лимфоцитоза часто развивается одновременно с увеличением концентрации эозинофилов. У взрослых такая картина наблюдается при акромегалии, тиреотоксикозе, недостаточности коры надпочечников. У детей частой причиной становятся врожденные дисфункции половых желез. Лимфоцитоз быстро регрессирует после назначения заместительной гормональной терапии.
Другие причины
- Ревматологические патологии: ревматоидный артрит, острая ревматическая лихорадка, системная красная волчанка.
- Болезни крови: апластическая анемия, В12-фолиево-дефицитная анемия, посттрансфузионный синдром.
- Паразитарные инвазии: малярия, болезнь Шагаса, шистосомоз.
- Аллергические реакции: бронхиальная астма.
Уровень лимфоцитов измеряется при клиническом анализе крови. В виду того, что лимфоцитоз имеет достаточно широкий этиологический спектр, при его обнаружении следует обратиться к специалисту широкого профиля (терапевту или педиатру), чтобы тот на основании жалоб пациента, анамнестических данных, физикального осмотра, назначил дополнительное обследование, которое может включать:
- Анализы крови. Проводится подсчет лейкоцитарной формулы для определения процентного соотношения всех форм лейкоцитов. Методом микроскопии изучается мазок крови для выявления атипичных мононуклеаров, теней Боткина-Гумпрехта (остатков разрушенных лимфоцитов). Определяются воспалительные маркеры – повышенные СОЭ, СРБ. Для обнаружения опухолевых антигенов выполняется иммунофенотипирование, иммуногистохимичекое исследование.
- Идентификация возбудителя. С целью выявления инфекционного агента выполняются тесты на наличие антител к патогенам, их ДНК (методом ИФА, ПЦР). Проводятся бактериологические исследования – посев, микроскопия мокроты (туберкулез, коклюш), серологическая диагностика – реакция Райта, Хеддельсона (бруцеллез), реакция микропреципитации (сифилис).
- Инструментальные исследования. При туберкулезе на рентгенограмме легких отмечается увеличение прикорневых, медиастинальных лимфатических узлов, инфильтрация верхних долей легких, иногда выпот в плевральную полость. При мононуклеозе и гемобластозах на УЗИ брюшной полости обнаруживается выраженная спленомегалия, реже гепатомегалия.
- Гистологические исследования. При хроническом лимфолейкозе в пунктате костного мозга находят большое количество лимфобластов. При лимфомах в биоптате лимфоузла, полученном путем тонкоигольной аспирации, выявляется диффузная пролиферация лимфоидных клеток с бластной морфологией. Специфический признак лимфогранулематоза – гигантские клетки Березовского-Штернберга.

Коррекция
Прямых способов нормализации концентрации лимфоцитов не существует. Для борьбы с лимфоцитозом необходимо лечить основную патологию, послужившую причиной повышения лимфоцитов. Незначительный кратковременный лимфоцитоз, возникший на фоне стресса, приема лекарственных препаратов или в период выздоровления от простудного заболевания, не требует терапии. В случае долговременного лимфоцитоза, как абсолютного, так и относительного, необходимо обратиться к врачу.
Для многих вирусных инфекций (ветряной оспы, краснухи, ОРВИ) на сегодняшний день не разработано этиотропной терапии. Для их лечения применяются патогенетические и симптоматические методы – обильное горячее питье, жаропонижающие, противовоспалительные лекарства. При катаральном синдроме назначаются полоскание и орошение горла антисептическими растворами, спреями. В первые дни гриппа эффективно использование противовирусных препаратов (осельтамивир, римантадин).
Имеются данные о снижении количества осложнений инфекционного мононуклеоза у взрослых путем назначения ацикловира, валцикловира. При бактериальных инфекциях прописывают антибиотики, при туберкулезе – комбинацию противотуберкулезных средств. Если причиной лимфоцитоза стало лимфопролиферативное заболевание, то требуется проведение длительных повторных курсов химиотерапии. При неэффективности консервативного лечения хронического миелолейкоза у взрослых прибегают к аллогенной трансплантации костного мозга.
Прогноз
В ряде случаев уровень лимфоцитов может быть ориентиром для прогнозирования развития заболевания. Например, лимфоцитоз при туберкулезе, как у детей, так и у взрослых, свидетельствует о благоприятном течении болезни и о скором выздоровлении. И наоборот, если причиной чрезмерного увеличения лимфоцитов выступают злокачественные гематологические заболевания, это косвенно может говорить о высокой вероятности летального исхода. Однако в первую очередь необходимо ориентироваться на основную патологию и ее тяжесть. Поэтому любая степень лимфоцитоза требует тщательного обследования для установления причины и своевременной терапии.
1. Патофизиология системы крови. Часть II. Нарушения в системе лейкоцитов/ Николаева О.В., Кучерявченко М.А., Шутова Н.А. и др. – 2016.
4. Синдромная диагностика и базисная фармакология заболеваний внутренних органов. Т. 2/ под ред. Федосеева Г.Б., Игнатова Ю.Д. – 2004.
Читайте также:
