Листовидная опухоль
Добавил пользователь Владимир З. Обновлено: 23.11.2025
Листовидная опухоль молочной железы не относится к фиброаденомам, хотя обе состоят из разных соотношений соединительнотканных тяжей и клеток между ними, и при малых размерах различимы только под микроскопом, но только фиброаденома всегда доброкачественна, тогда как это новообразование бывает разной природы.
Какой бывает листовидная опухоль?
Новообразование с красивым названием занимает промежуточное место между фиброаденомой и саркомой молочной железы, она существует в трёх вариантах:
- доброкачественная;
- промежуточная — когда клетки уже имею признаки атипии со стремлением к нарушению нормальных соотношений всех составляющих клетку элементов и увеличением размеров ядра при утрате симметричности форм;
- злокачественная, также называемая «листовидная саркома», которая даёт метастазы.
Считается возможным перерождение доброкачественной в злокачественную опухоль, хотя нельзя исключить, что изначально зло себя просто не проявляло, маскируясь под добро, накапливая потенциал для демонстрации неукротимого роста. При гистологическом исследовании довольно часто невозможно отнести удаленное новообразование к определенному виду, что не позволяет адекватного лечения и наблюдения. В клиниках «Евроонко» проводится генетическое картирование образований, что исключает диагностические ошибки и улучшает прогноз заболевания.
Причины возникновения листовидной опухоли
Все болезни молочной железы берут свое начало из неадекватной продукции половых гормонов, железа — орган-мишень для гормонов. Железистая ткань растет под влиянием эстрогенов и прогестерона. Если они синтезируются с нарушениями, то и железистая клетка получает потенциал для роста, обрывая свои жизненные процессы при недостатке или, наоборот, увеличивая скорость при временном избытке стимуляторов.
Отмечено два возрастных пика заболеваемости: завершающийся к 20-летию подростковый возраст, когда гормональная продукция ещё не установилась; и период снижения гормональной функции, где-то с начала климакса — с 45 лет. Отсюда первопричиной патологии могут стать заболевания продуцирующих гормоны желез внутренней секреции — яичников, надпочечников, щитовидной железы, а также органов, участвующих в метаболизме гормонов, к примеру, печени. Естественно, что аборты и выкидыши тоже благоприятствуют развитию патологии, особенно на фоне существующей фиброзно-кистозной мастопатии.
| Подробнее о лечении рака молочной железы в «Евроонко»: | |
| Хирурги-онкологи-маммологи | от 5 100 руб |
| Удаление опухоли молочной железы | от 131 600 руб |
| Скорая помощь для онкологических больных | от 12 100 руб |
| Приём химиотерапевта | 6 900 руб |
Какими симптомами проявляется?
Как и большинство образований в молочной железе листовидная опухоль небольших размеров никак не проявляется, она не болит и не мешает, её можно только нащупать. Характерная особенность — на начальных этапах растет очень медленно, но чем крупнее узел, тем выше темпы его роста. При быстром росте узел начинает сдавливать окружающую железистую ткань и вызывать отёчность и ощущение распирания.
При большом размере, а узлы могут достигать и трёх десятков сантиметров в диаметре, в центральных отделах из-за недостаточного кровоснабжения могут появляться кистозные полости с плавающими в них омертвевшими тканями. Всасывание продуктов некроза может вызвать повышение температуры молочной железы и тела, ухудшение самочувствия. Если киста открывается в проток, то возможны выделения из соска.
Отличия новообразований неочевидны, особенно при небольшом диагностическом опыте и недостаточных диагностических возможностях, в «Евроонко» есть всё необходимое и возможность консультаций с ведущими мировыми специалистами.

Какая диагностика опухоли потребуется?
Диагностика листовидной опухоли мало чем отличается от выявления других опухолевых процессов молочной железы. На ранних этапах довольно сложно определить «что есть что» из-за малых размеров узла. Маммография в сочетании с УЗИ при необходимости дополняется МРТ.
Всегда производится пункция узлового образования с последующим цитологическим исследованием полученного материала, однако, точного результата может и не быть из-за бедности клеточных элементов на фоне выраженных рубцовых тяжей. Отсутствие злокачественных клеток в материале пункции не позволяет исключить злокачественную природу. Окончательный диагноз ставится при полном гистологическом исследовании удаленного образования.
Лечение листовидных опухолей груди
Лечение листовидных опухолей молочной железы только хирургическое. При доброкачественном или пограничном характере выполняется секторальная резекция. При значительных размерах операция расширяется до удаления квадранта — четвертой части железы. Если опухоль огромна или до операции подтверждена злокачественная форма, производят полное удаление органа — мастэктомию.
Листовидные опухоли склонны к рецидивам, злокачественные дают метастазы в печень и легкие, поэтому после операции женщина должна регулярно наблюдаться врачом.
Лечение в неспециализированном, не онкологическом учреждении психологически комфортнее, но именно в непрофильных отделениях высок процент признания злокачественной образования доброкачественным вариантом, и только при развитии рецидива или обнаружении метастазов выясняется истинная природа процесса.
В «Евроонко» всегда добиваются 100% диагностической ясности, ставят все точки над морфологическим «i», поэтому при большей частоте выявления недоброкачественных процессов результаты лечения выше и прогноз лучше.
Листовидная опухоль молочной железы
Листовидная опухоль молочной железы – редкое новообразование, на которое приходится менее 0,5% всех опухолей груди. Только 25% из них – злокачественные. Остальные – доброкачественные (65%) или пограничные (10%). В клинике СОЮЗ листовидные опухоли успешно удаляются с минимальным риском рецидива.
Этиология листовидной опухоли молочной железы
Причины листовидной опухоли молочной железы неизвестны. Обычно они встречаются в 40-50 лет, но возможно развитие в любом возрасте, включая старческий и подростковый.
Виды листовидной опухоли молочной железы
Выделяют три вида листовидных опухолей молочной железы:
- доброкачественные;
- злокачественные;
- пограничные.
Их также делят на единичные и множественные.
Симптомы листовидной опухоли молочной железы
При листовидной опухоли молочной железы основной симптом – наличие пальпируемого образования. По мере его роста возможна деформация груди. Субъективных ощущений (боли или другого дискомфорта) обычно нет.
При пальпации определяется гладкая многоузловая опухоль. Размеры могут быть разными – от 1 до 40 см и более. Сосково-ареолярный комплекс, как правило, не вовлекается в патологический процесс. Изредка встречаются двусторонние опухоли.
Рост новообразования обычно радиальный (расширение во все стороны). При достижении больших размеров возможно сдавление сосудов, ишемия и даже частичное отмирание тканей молочной железы. Новообразование окружено псевдокапсулой, но частично проникает сквозь неё в окружающие ткани.
Диагностика листовидной опухоли молочной железы
Основные способы диагностики листовидной опухоли молочной железы:
В сомнительных случаях используется МРТ, так как этот метод позволяет неинвазивным способом отличить фиброаденому от листовидной опухоли и избежать биопсии у некоторых женщин.
Основной способ подтверждения диагноза – трепанобиопсия. Врач получает несколько образцов новообразования с помощью толстой иглы. После её введения внутри остаются столбики ткани, которые исследуют в лаборатории.
Лечение листовидной опухоли молочной железы
При листовидной опухоли молочной железы лечение проводится хирургическим методом. Выбор тактики зависит от:
- размера новообразования;
- размера груди;
- степени злокачественности (доброкачественная опухоль, промежуточная или злокачественная);
- наличия или отсутствия метастазов (даже злокачественные листовидные опухоли метастазируют только у 30% пациенток).
У большинства женщин лечение предполагает удаление опухоли с захватом 1 см окружающей здоровой ткани. Некоторым пациенткам выполняются операции по полному удалению груди.
Лучевая терапия, как правило, не требуется. Вопрос о необходимости лучевой терапии рассматривается индивидуально. После органосохраняющей операции её проводят лишь некоторым пациенткам с высоким риском рецидива:
- злокачественная или пограничная опухоль;
- положительные края резекции (выявление опухоли на границе удаленной ткани);
- размеры новообразования более 2 см.
Прогноз при листовидной опухоли молочной железы
Большинство листовидных опухолей успешно излечиваются. Общий риск рецидива – около 10%. Но риск повышается до 20-30% при положительных краях резекции.
Только в 20% случаев листовидные опухоли молочной железы дают метастазы. В основном они появляются при злокачественных типах новообразований. Риск отдаленного метастазирования не превышает 1,5%.
Куда обратиться при листовидной опухоли молочной железы
Для лечения листовидной опухоли молочной железы вы можете обратиться в клинику СОЮЗ. Наши преимущества:
- Высокоточная неинвазивная диагностика дает возможность исключить диагноз у некоторых пациенток с подозрением на листовидную опухоль, что позволяет избежать ненужных биопсий.
- Если биопсия проводится, то при глубоком залегании опухоли она выполняется под контролем УЗИ для минимизации риска осложнений.
- В ходе операции опухоль удаляется полностью, с достижением чистых краев резекции (отсутствие патологических клеток на границе удаленной ткани), поэтому риск рецидива минимальный.
- Возможно дополнительное вмешательство на другой молочной железе или восстановление оперированной молочной железы для достижения её эстетичности.
- В большинстве случаев наши врачи не удаляют подмышечные лимфоузлы, так как риск их поражения не превышает 1,5%, а лимфодиссекция часто приводит к лимфатическому отеку руки.
Чтобы пройти лечение листовидной опухоли молочной железы в клинике СОЮЗ, запишитесь на прием к маммологу по указанному на сайте телефону или закажите обратный звонок.
Листовидная опухоль

Листовидная опухоль (листовидная цистосаркома, листовидная фиброаденома) – редкое новообразование молочной железы. Размер от 1 см до размера, превышающего размер молочной железы (см. фото ниже). Характеризуется быстрым ростом. Может быть доброкачественной, промежуточной и злокачественной. С течением времени происходит нарастание злокачественных характеристик. Необходимо срочное хирургическое лечение. Объём операции зависит от размера опухоли и гистологического диагноза.
Механизмы, обеспечивающие возникновение и рост опухоли, неизвестны.
По своему строению различают несколько типов листовидной опухоли:
- Доброкачественная листовидная фиброаденома
- Пограничная листовидная фиброаденома
- Злокачественная листовидная фиброаденома
Примеры из практики
Больная с мутацией гена TP53. На фотографии слева – злокачественная листовидная опухоль левой молочной железы. На фотографии справа – через 2 года после мастэктомии слева; на операционном столе, планируется мастэктомия справа.


Слева – злокачественная листовидная опухоль. Быстро растущая опухоль разрушила кожу.
Справа – злокачественная листовидная опухоль. Из-за быстрого роста опухоли перерастянутая кожа некротизируется. Удаление молочной железы производилось вместе с удалением большой грудной мышцы, поскольку опухоль врастала в неё.


Клиника и диагностика листовидной опухоли
Течение заболевания имеет стадийность. Вначале, когда размеры образования небольшие, процесс протекает крайне скрыто, без явной клинической симптоматики. В течение весьма длительного промежутка времени опухоль может не расти. Однако под воздействием неблагоприятных факторов внезапно наступает резкий и быстрый рост опухоли. В этих случаях листовидная фиброаденома приобретает большие размеры (десятки сантиметров в диаметре). Механизмы малигнизации также неизвестны, причем размеры опухоли и риск озлакочествления не связаны между собой.
Малые размеры опухоли не позволяют ее выявить во время очного осмотра. Такие образования выявляются случайно, при проведении УЗ исследований. В случае больших размеров образований диагностики особых сложностей не представляет. Пальпаторно можно определить плотный очаг, имеющий строение в виде долек или конгломератов, которые сливаются. Опухоль чаще подвижна, не спаяна с кожей. Гигантские листовидные фиброаденомы приводят к тому, что кожа над опухолью растягивается и становится тонкой. Также меняется цвет в сторону синюшного, поскольку имеется реактивное увеличение венозного русла в зоне опухоли.
Диагностика заключается в проведении УЗИ, маммографии и гистологического исследования биопсийного материала.
Лечение листовидной опухоли

Необходимо срочное хирургическое лечение! Объём операции зависит от размера опухоли и гистологического диагноза. При доброкачественном процессе проводится секторальная резекция или же квадрантэктомия. Если размеры образования гигантские, то нередко проводится удаление всей молочной железы. Из-за быстрого роста опухоли перерастянутая кожа некротизируется. Удаление молочной железы может выполняться вместе с удалением большой грудной мышцы, если имеет место прорастание в нее опухоли.
На схеме изображена секторальная резекции при доброкачественной листовидной опухоли, пунктиром показан объём удаляемой ткани.
При получении данных об озлакочествлении процесса лечение проводится в соответствии с принципами лечения рака молочной железы. В случае раннего выявления и небольших размерах образования прогноз лечения вполне благоприятный.
Листовидная опухоль молочной железы

Листовидная опухоль молочной железы (ЛОМЖ) относится к новообразованиям на органе фиброэпителиального характера, которые принадлежат к потенциально раковым опухолям. При возникновении ЛОМЖ происходит значительное уплотнение клетчатки органа. Иногда опухолевое образование может достигать очень больших размеров. В некоторых случаях наблюдаются жидкие выделения из грудного соска, а также болевой синдром.
Дифференциальная диагностика включает в себя такие методы, как ультразвуковое исследование, маммографию (скрининговый рентгенологический метод инструментальной диагностики), биопсию (пункционную) и последующий цитологический анализ образцов.
Лечение основано на оперативном вмешательстве следующими методами:
- секторальная резекция (локальное удаление пораженных тканей);
- радикальная резекция (полное удаление органа, включая расположенные в смежной части лимфатические узлы);
- мастэктомия (удаление только грудной железы с возможным сохранением подмышечных лимфатических узлов).
Причины листовидной опухоли молочной железы
Несмотря на существование многих неясных моментов, принято считать, что этиология ЛОМЖ имеет непосредственное отношение к гормональным сбоям (дефициту прогестерона и повышенному содержанию эстрогенов половых гормонов и их производных). Такой вывод делается на основании статистических данных. Ведь диагностирование данной патологии в основном приходится на переходный возраст женщин, когда проявляется максимальная гормональная активность в организме (10-20 лет и 40-50 лет, особенно во втором случае). Иногда ЛОМЖ обнаруживается и у мужчин.
Основные причины возникновения патологического состояния:
- вынашивание плода;
- грудное вскармливание;
- искусственное прерывание беременности;
- мастопатия (фиброзно-кистозная форма);
- экстрагенитальная дисфункция эндокринных желез;
- сахарный диабет;
- ожирение;
- патологии печени;
- опухолевые новообразования в органах эндокринной системы (гипофиз, щитовидная железа, надпочечники).
Симптомы листовидной опухоли молочной железы
ЛОМЖ имеет, как правило, две фазы развития:
1 – Продолжительное развитие (может растянуться на несколько десятилетий);
2 – Динамичный рост.
Выявление железистого новообразования обычно происходит либо при самостоятельном осмотре, либо на приеме у врача-маммолога. Пальпация молочной железы обнаруживает наличие узелковой опухоли с плотной консистенцией. Если ЛОМЖ достигает больших размеров, то эпидермис над ней истончается, что непосредственно отражается на его оттенке за счет того, что начинают просматриваться подкожные кровеносные сосуды.
Другие симптомы ЛОМЖ:
- болевые ощущения в органе;
- жидкие выделения из грудного соска;
- язвенные поражения кожного покрова молочной железы.
Локализация фиброаденомы, как правило, отмечается в центральной или верхней части органа. При достижении больших размеров опухоль может занять большую часть молочной железы и даже всю ее.
При онкопатологии органа происходит поражение костных тканей, легких и печени. При этом лимфатические узлы остаются нетронутыми.
Диагностика
Пальпация. ЛОМЖ выявляется в виде опухолевого образования, у которого имеется явно выраженная граница, отделяющая его от смежных тканей. Дольчатая консистенция, характерная для сливающихся по структуре узелков.
Ультразвуковое исследование. Структурное изменение ткани грудной железы характеризуется гипоэхогенным образованием. Проекция органа в виде «капустного кочана» с жидкостными неоднородностями, образующими многочисленные полости разной формы.
Ультразвуковая допплерография. Выявляет внутри узлов органа плотную сеть кровеносных сосудов различного размера.
Маммография. Определение опухолевого образования округлой (овальной) формы с выраженными границами и дольчатой структурой. На рентгеновском снимке видна интенсивная и однородная тень от листовидной опухоли.
Пункционная биопсия и цитологическое исследование. Проведение анализа отобранного биопата предназначено для исключения наличия злокачественного образования.
Лечение и прогноз
ЛОМЖ в своей фазе роста отличается стремительным прогрессом и вариативностью развития. Это значительно повышает риски возникновения онкологических патологий. Поэтому операционное воздействие на сегодняшний день является единственно верной тактикой лечения. В данном случае гормональная и лучевая терапия не используется в виду низкой эффективности.
Методы хирургического вмешательства:
- квадрантэктомия (иссечение опухоли из груди при сохранении органа);
- секторальная резекция (локальное иссечение пораженных тканей органа);
- радикальная резекция (полное удаление органа вместе с лимфатическими узлами);
- радикальная мастэктомия (удаление органа при возможном сохранении подмышечных лимфатических узлов);
- подкожная мастэктомия (удаление жировой и железистой тканей грудной железы).
Последние три варианта хирургической операции используются, как правило, в случаях, когда ЛОМЖ достигла больших размеров или выявлен злокачественный характер этого новообразования.
Достаточно редко применяется методика удаления лимфатических узлов (лимфаденэктомия). Это относится к ситуациям с диагностированной онкопатологией органа.
После радикальных методов хирургических вмешательств пациенткам рекомендуется проведение реконструктивной маммопластики. В этом случае используются собственные ткани, что гарантирует исключение осложнений. В качестве альтернативного варианта можно использовать возможности эндопротезирования.
Статистика заболевания говорит о том, что ЛОМЖ имеют явную склонность к рецидивам. Особенно это касается раковых и пограничных опухолей (до 25% случаев). Причем интенсивность вмешательства напрямую влияет на вероятность повторного образования. В данном случае мастэктомия является наиболее оптимальной.
Гигантская листовидная опухоль молочной железы
Волченко А.А., Пак Д.Д., Усов Ф.Н., Фетисова Е.Ю., Ефанов В.В.
Московский научно-исследовательский онкологический институт им. П.А. Герцена, Москва, Россия
В статье представлено клиническое наблюдение гигантской листовидной опухоли молочной железы.
Материалы и методы. Приводим наблюдение успешного хирургического лечения больной В. 49 лет с гигантской листовидной опухолью левой молочной железы, данные УЗИ, маммографии, морфологического исследования, литературный обзор.
Результаты. Листовидная (филлодная) опухоль – редко встречающийся вариант фиброэпителиальной опухоли, состоящий из эпителиальной и соединительнотканного компонентов с преобладающим развитием последнего. Это название происходит от греческого слова phyllon – лист, отсюда правильнее называть листовидная или филлодная, а не листообразная или филлоидная опухоль.
Этот тип новообразований встречается редко и составляет 2-3% от фиброэпителиальных опухолей молочной железы и 0,3-1% от всех опухолей молочной железы у женщин. Присутствие эпителиального компонента отличает листовидную опухоль от саркомы. Ведущим морфологическим признаком листовидных опухолей молочных желез является гиперцеллюлярность, богатство стромы веретенообразным клетками типа фибробластов. Отсутствие указанного признака исключает диагноз листовидной опухоли. Дифференциальными морфологическими признаками листовидной опухоли и фиброаденом являются преобладание соединительнотканного компонента над эпителиальным в сочетании с выраженной клеточностью соединительнотканного компонента.
Пик заболеваемости у женщин приходится на 45-49 лет, однако филлодная опухоль может развиваться от подросткового до пожилого возраста. Примерно от 15% до 30% листовидных опухолей являются злокачественными. Гистологический тип листовидной опухоли является важным прогностическим фактором: пятилетняя выживаемость при доброкачественных листовидных опухолях по данным Reinfuss, et al. составляет 95,7%, пограничных – 73,7%, злокачественных – 66,1%. По данным Chaney, et al., при доброкачественных и пограничных листовидных опухолях – до 91%, злокачественных – до 82%. Метастазы злокачественных листовидных опухолей наблюдаются в 25-30%, тогда как для всех листовидных опухолей не более чем в 4% случаев. Основной путь метастазирования – гематогенный, чаще всего метастазы обнаруживают в легких, плевре и костях. Менее 1% злокачественных листовидных опухолей метастазируют в подмышечные лимфоузлы.
Лечение листовидных опухолей молочной железы хирургическое. Вероятность локальных рецидивов составляет около 20% при наличии клеток опухоли в краях резекции. Рутинная подмышечная лимфодиссекция не рекомендована. При злокачественном варианте листовидной опухоли обсуждается применение комплексного лечения.
Приводим наблюдение успешного хирургического лечения больной с гигантской листовидной опухолью левой молочной железы.
Выводы. Данный случай демонстрирует редкое клиническое наблюдение, когда доброкачественное новообразование при несвоевременном обращении пациента к врачу привело к обширному хирургическому вмешательству и утрате органа.
Ключевые слова: листовидная опухоль молочной железы, гистологическая картина, хирургическое лечение.
Листовидная (филлодная) опухоль – редко встречающийся вариант фиброэпителиальной опухоли, состоящий из эпителиального и соединительнотканного компонентов с преобладанием последнего. Это название происходит от греческого слова phyllon – лист, отсюда правильнее называть листовидная, или филлодная, а не листообразная, или филлоидная опухоль.
Впервые подробно листовидную опухоль описал J. Muller в 1838 г., дав ей название cystosarcoma phyllodes по двум ее компонентам: кистозным полостям и фиброзной ткани, напоминающей таковую при саркоме и имеющей вид листа капусты на разрезе макропрепарата [7]. Родоначальниками современного представления о листовидных опухолях являются американские патоморфологи N. Treves и D. Sunderland, которые впервые стали выделять критерии доброкачественных, пограничных и злокачественных листовидных опухолей [2]. Этот тип новообразований встречается редко и составляет 2-3% от фиброэпителиальных опухолей молочной железы и 0,3-1% от всех опухолей молочной железы у женщин [6, 8]. Присутствие эпителиального компонента отличает листовидную опухоль от саркомы [6]. Ведущим морфологическим признаком листовидных опухолей молочных желез является гиперцеллюлярность, богатство стромы веретенообразными клетками типа фибробластов. Отсутствие указанного признака исключает диагноз листовидной опухоли [1]. Дифференциальными морфологическими признаками листовидной опухоли и фиброаденом являются преобладание соединительнотканного компонента над эпителиальным в сочетании с выраженной клеточностью первого.
Пик заболеваемости у женщин приходится на 45-49 лет [6], однако филлодная опухоль может развиваться от подросткового до пожилого возраста [11]. В литературе встречаются описания единичных наблюдений возникновения листовидной опухоли молочной железы у мужчин [5]. В настоящее время существует более 60 наименований данного новообразования, однако, по мнению ВОЗ, наиболее уместным является термин «листовидная опухоль» [9]. В иностранной литературе отдается предпочтение таким названиям, как гигантская фиброаденома и филлоидная цистосаркома. Среди листовидных опухолей Liang M. и соавт. (2008) выделяют доброкачественные, пограничные и злокачественные [6]. Для определения злокачественности процесса используют гистологические критерии, предложенные J. Azzopardi [3]. От 15% до 30% листовидных опухолей являются злокачественными [6]. Гистологический тип листовидной опухоли является важным прогностическим фактором: пятилетняя выживаемость при доброкачественных листовидных опухолях, по данным Reinfuss M. и соавт. (1996), составляет 95,7%, пограничных – 73,7%, злокачественных – 66,1% [10], по данным Chaney A.W. и соавт. (2000), при доброкачественных и пограничных листовидных опухолях – до 91%, при злокачественных – до 82% [4]. Метастазы злокачественных листовидных опухолей наблюдаются в 25-30%, тогда как для всех листовидных опухолей – не более чем в 4% наблюдений [6]. Основной путь метастазирования – гематогенный, чаще всего метастазы обнаруживают в легких, плевре и костях. Менее 1% злокачественных листовидных опухолей метастазируют в подмышечные лимфатические узлы [8].
Лечение листовидных опухолей молочной железы – хирургическое. В случае малых размеров опухоли – это широкое иссечение с чистыми краями резекции, при больших размерах образования – простая мастэктомия. Вероятность локальных рецидивов составляет около 20% при наличии клеток опухоли в краях резекции. Рутинная подмышечная лимфодиссекция не рекомендована. При злокачественном варианте листовидной опухоли обсуждается применение комплексного лечения [8].
Приводим наблюдение успешного хирургического лечения больной с гигантской листовидной опухолью левой молочной железы.
Б-я В., 49 лет, поступила в отделение общей онкологии МНИОИ им. П.А. Герцена с жалобами на наличие опухоли в левой молочной железе. Пациентка самостоятельно обнаружила узловое образование в левой молочной железе в 2006 году. Диаметр образования не превышал 2 см. Больная обратилась к гинекологу по месту жительства, осмотрена, рекомендовано дообследование у онколога. По результатам обследования, со слов пациентки, предложено хирургическое лечение в объеме секторальной резекции, от которого она воздержалась. Самостоятельно лечилась нетрадиционными методами, узловое образование постепенно увеличивалось в размерах. В 2011 году больная отметила бурный рост опухоли, которая уже занимала всю молочную железу и продолжала увеличиваться в размерах. Осенью 2011 года больная обратилась для дообследования и лечения в МНИОИ им. П.А. Герцена.
При осмотре левая молочная железа значительно увеличена за счет опухолевого компонента. Поверхность молочной железы неровная, бугристая (рис. 1). Кожа над опухолью не изменена, под ней контурируются крупные извитые сосуды. Пальпаторно ткани измененной левой молочной железы плотноэластической консистенции. Опухоль подвижна относительно грудой стенки. В подмышечной области на стороне поражения определяются увеличенные до 2 см лимфатические узлы.

Рис. 1. Больная В., 45 лет, внешний вид.
УЗИ: вся левая молочная железа замещена опухолевым образованием гипоэхогенной многоузловой структуры. В подмышечной области определяются измененные, увеличенные лимфатические узлы. Проведена трепан-биопсия опухоли. По результатам гистологического исследования биопсийного материала картина более всего соответствует фиброаденоме. Злокачественного опухолевого роста не обнаружено. Маммография: опухоль занимает весь объем левой молочной железы (тотальное затемнение) (рис. 2).

Рис. 2. Маммография больной В., 45 лет. Описание в тексте.
Принимая во внимание клиническую картину, данные обследования (УЗИ, маммография) и морфологическое исследование биоптата из опухоли, пациентке выполнена мастэктомия слева.
Во время операции, при отсепаровке молочной железы, в подкожной клетчатке пересекали и лигировали множество патологически измененных сосудов крупного калибра, диаметром до 6 мм. По краю большой грудной мышцы определялись плотные фиброзные тяжи, в которых проходили кровеносные сосуды, питающие опухоль, сопоставимые по диаметру с подмышечной артерией и веной. При ревизии подмышечной области пальпировались и визуально определялись множественные увеличенные до 2 см в диаметре лимфатические узлы эластической консистенции. Выполнена подмышечная лимфаденэктомия. Ранний послеоперационный период протекал без осложнений. Лимфорея не отмечалась. На 2 сутки после операции удален дренаж, на 5-е пациентка выписана из отделения для продолжения лечения в амбулаторных условиях.
Плановое гистологическое исследование: удаленная молочная железа размерами 34×33×16 см. Сосок не изменен. Железа диффузно уплотнена, с крупнобугристой поверхностью. На разрезе в ткани железы определяется опухолевый узел размерами 28×17×20 см, занимающий практически всю толщу ткани железы (определяется по периферии узла). Узел четко отграничен, представлен плотной, волокнистой, розовато-белой дольчатой тканью с крупными сероватыми участками отека, кистозными полостями с полиповидными образованиями, представленными аналогичного вида тканью, мелкоочаговыми кровоизлияниями (рис. 3). Из подмышечной клетчатки выделено 15 эластичных лимфатических узлов диаметром 1-3 см. Микроскопическая картина (рис. 4, 5, 6): листовидная опухоль молочной железы с крупными участками отека, гиалиноза стромы, разрозненными участками клеточного строения стромы с умеренно выраженным полиморфизмом клеток и единичными митозами в редких полях зрения; сосок обычного строения, в окружающей ткани железы – картина мастопатии. В исследованных лимфатических узлах без опухолевого роста.
Заключение: листовидная опухоль пограничного строения (9020/1).

Рис. 3. Препарат удаленной опухоли.

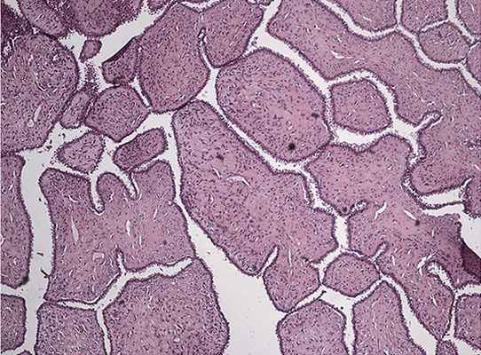
Рис. 4. Листовидная опухоль.
Окраска гематоксилин-эозин, увеличение 5×10.

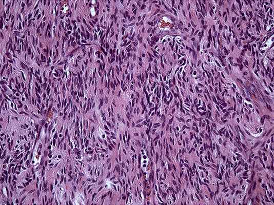
Рис. 5. Листовидная опухоль пограничного типа.
Выраженная пролиферация клеточных элементов стромы, митозы отсутствуют.
Окраска гематоксилин-эозином, увеличение 20×10.

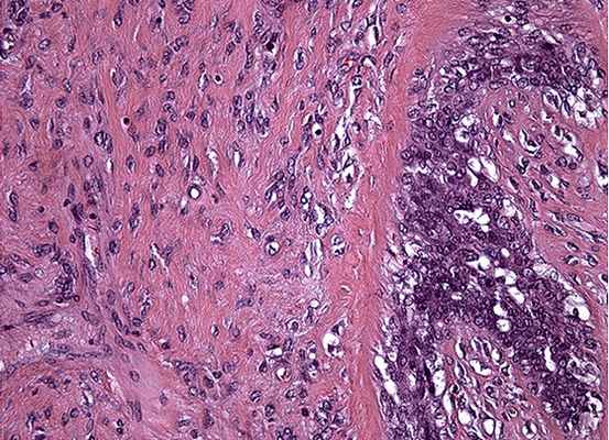
Рис. 6. Пролиферация эпителия и клеточных элементов стромы.
Окраска гематоксилин-эозином, увеличение 20×10.
Данная больная демонстрирует редкое клиническое наблюдение, когда доброкачественное новообразование привело к обширному оперативному вмешательству и утрате органа.
Согласен Данный веб-сайт содержит информацию для специалистов в области медицины. В соответствии с действующим законодательством доступ к такой информации может быть предоставлен только медицинским и фармацевтическим работникам. Нажимая «Согласен», вы подтверждаете, что являетесь медицинским или фармацевтическим работником и берете на себя ответственность за последствия, вызванные возможным нарушением указанного ограничения. Информация на данном сайте не должна использоваться пациентами для самостоятельной диагностики и лечения и не может быть заменой очной консультации врача.
Читайте также:
