Лучевая анатомия околоносовых пазух
Добавил пользователь Евгений Кузнецов Обновлено: 23.11.2025
Вам поставили диагноз: опухоль полости носа и околоносовых пазух?
Наверняка Вы задаётесь вопросом: что же теперь делать?
Предлагаем Вашему вниманию краткий, но очень подробный обзор данного онкологического заболевания.
Его подготовили высоко квалифицированные специалисты Отделения лучевого и хирургического лечения заболеваний верхних дыхательных путей МРНЦ имени А.Ф. Цыба - филиала ФГБУ «НМИЦ радиологии» Минздрава России под редакцией заведующего отделением к.м.н. Феликса Севрюкова.
Данная брошюра содержит информацию о диагностике и лечении опухоли полости носа и околоносовых пазух. Здесь собраны основные методики лечения данного заболевания, в том числе, последние разработки отечественных и зарубежных ученых-онкологов.
Филиалы и отделения, где лечат опухоль полости носа и околоносовых пазух
МНИОИ им. П.А. Герцена – филиал ФГБУ «НМИЦ радиологии» Минздрава России.
МРНЦ им. А.Ф. Цыба – филиал ФГБУ «НМИЦ радиологии» Минздрава России.
1. Введение
Особенностями опухолей полости носа и околоносовых пазух является их локализация, тесная, а иногда интимная, связь с жизненно важными органами и системами (головной мозг, глаз, среднее ухо, магистральные сосуды и т.д.).
Полость носа состоит из носовых ходов (нижний, средний, верхний и общий); перегородки носа, делящей полость носа на две половины; и носовых раковин (нижняя, средняя и верхняя). Кзади полость носа посредством хоан сообщается с полостью носоглотки. На боковой стенке полости носа имеется выводные отверстия околоносовых пазух: верхнечелюстной, лобной, пазухи основной кости и клеток решетчатого лабиринта или решетчатой кости. Все элементы полости носа и околоносовых пазух покрыты слизистой оболочкой, элементы которой в большинстве случаев служат основой для возникновения опухолей данной локализации.
2. Статистика опухоли полости носа и околоносовых пазух (эпидемиология)
Злокачественные опухоли полости носа и околоносовых пазух встречаются приблизительно в 3% от всех злокачественных опухолей и до 20% от опухолей верхних дыхательных путей, после опухолей гортани, гортанноглотки и ротоглотки. Наиболее часто поражаются опухолью верхнечелюстные пазухи и собственно полость носа. Реже встречаются опухоли решетчатого лабиринта, лобной и основной пазух. Наиболее часто распространенные опухоли данной локализации поражают глазницу, включая все ее стенки и собственно глазное яблоко, кости основания черепа, иногда распространяясь и в полость черепа, особенно при поражении лобной, основной пазух и клеток решетчатого лабиринта. Опухоли данной локализации приблизительно в 2 раза чаще встречаются среди мужчин, чем у женщин, при этом заболевают чаще в наиболее трудоспособном возрасте – 40-60 лет, однако имеет место заболеваемость как в более раннем, так и старшем возрастах.

Мы хотим Вам помочь победить рак!
3. Морфологическая классификация опухоли полости носа и околоносовых пазух
Среди злокачественных опухолей полости носа и околоносовых пазух наиболее часто встречаются раковые опухоли разной степени дифференцировки.
• Плоскоклеточный ороговевающий рак – 50% и более,
• Плоскоклеточный неороговевающий – 10-13%,
• Низкодифференцированный рак 7-8%.
• Опухоли другого морфологического строения (саркомы, меланомы, цилиндромы, эстезионейробластомы, малигнизированные переходно-клеточные папилломы и др.) – 28%&
4. Стадии и симптоматика опухолей полости носа и околоносовых пазух
Подавляющее большинство пациентов имеют распространенные формы рака полости носа и околоносовых пазух. Так, пациенты с распространенностью опухоли T3N0M0 составили 22% случаев, T3N1-3M0 – 3,4%, T4N0 – 32,0% и с T4N1-3 – 9,6%. Только у 4,6% больных распространенность опухолевого процесса классифицировалась как T1-2N0.
Перечень симптомов, позволяющих заподозрить опухолевое поражение полости носа и околоносовых пазух:
1. быстро нарастающее одно редко двухстороннее нарушение носового дыхания;
2. упорные серозно-гнойные или кровянистые выделения из полости носа, чаще односторонние;
3. снижение обоняния;
4. нарушение конфигурации лица;
5. нарушение чувствительности кожи щеки или зубов верхней челюсти (как правило – одностороннее);
6. усиливающаяся подвижность зубов верхней челюсти;
7. смещение глазного яблока;
8. безболезненная припухлость щеки;
9. нарастающее нарушение зрения;
10. изменение конфигурации твердого неба или альвеолярного отростка верхней челюсти;
11. появление неприятного запаха.
5. Причины возникновения опухоли полости носа и околоносовых пазух и факторы риска
Как и для всех опухолей, причина возникновения злокачественных опухолей полости носа и околоносовых пазух, достоверно не установлена. Можно предполагать, что возникновению опухолей данной локализации способствуют ряд факторов, таких как хронические болезни полости носа и околоносовых пазух, полости рта, в частности зубов, производственные вредности, особенно пыль, в частности – асбестовая, древесная, вдыхание паров горюче-смазочных материалов, дыма – в частности, при сварочных работах, у работников никелевой промышленности и кожевенного производства.
Развитию опухолей может способствовать различные травмы (бытовые, производственные, спортивные и т.д.). К факторам риска может быть отнесена – генетическая предрасположенность, а также хроническая травма, например при пользовании зубными протезами.
6. Диагностика опухоли полости носа и околоносовых пазух
Перечень диагностических процедур подразделяется на обязательные и дополнительные. При этом особое значение имеет тщательный сбор анамнеза заболевания и анализ данных эндоскопического обследования ЛОР органов и данных СКТ и МРТ-исследований. Морфологическое подтверждение заболевания является обязательной процедурой для диагностики как первичной опухоли, так и ее метастазов. При этом особое значение имеют иммуноморфологические данные.
Перечень обязательных диагностических процедур:
•анкетные данные больного и анамнез заболевания
•врачебный осмотр (включающий ЛОР-осмотр)
•назофаринголарингоскопия
•ультразвуковое исследование шеи, печени, с пункцией лимфоузлов увеличенных более 1 см.
ультразвуковое исследование опухоли при разрушении опухолью костных структур и выходом в мягкие ткани лица
•СКТ головы с контрастированием (включая оценку инвазии в головной мозг) и шеи (до биопсии, шаг 3 мм)
•биопсия опухоли с последующим гистологическим, цитологическим исследованием, через полость носа, путем гайморотомии с использованием видеоассистированной техники, трепонобиопсии.
•рентгенологическое исследование органов грудной клетки при Т1-2 КТ грудной клетки при Т3 – Т4, или при подозрении на метастазы в легкие при рентгеновском снимке Т1-2
•ЭКГ стандартная
•консультация стоматолога
•совместный консилиум с участием ОНКОЛОГА, радиотерапевта, химиотерапевта
•консультация терапевта
•консультация анестезиолога для пациентов, планируемых для хирургического лечения
Дополнительные процедуры
•пункция лимфатических узлов шеи с последующим цитологическим исследованием (при подозрении на метастатическое поражение)
•гастроскопия
•КТ/МРТ шеи (до биопсии, шаг 3 мм) (по показаниям)
•компьютерная томография органов грудной клетки (при подозрении на метастатическое поражение легких)
•компьютерная томография органов брюшной полости (при подозрении на метастатическое поражение печени)
•магнитно-резонансная томография головного мозга (при наличии очаговой неврологической симптоматики)
•сцинтиграфия костей (при подозрении на метастатическое поражение)
•позитронно-эмиссионная томография /ПЭТ-КТ (при III-IV стадиях процесса, по показаниям)
•консультация специалистов (по показаниям)
•флуоресцентная диагностика (по показаниям)
•ЭХО-КГ, Холтеровское мониторирование – по показаниям
Специфических онкомаркеров для диагностики злокачественных опухолей данной локализации не существует. Скрининговых программ для диагностики этой патологии нет.
7. Лечение опухоли полости носа и околоносовых пазух
Основным методом лечения злокачественных опухолей полости носа и околоносовых пазух является хирургический. При этом объем хирургического вмешательства зависит от распространенности и локализации опухолевого поражения, которые определяются в результате клинического и инструментального обследований.
При начальных стадиях (Т1, Т2) опухолевого роста возможно выполнение щадящих органосберегающих хирургических вмешательств. При операбельных распространенных процессах (Т3, Т4), как правило, проводятся различные по объему расширенные, комбинированные операции, с включением в блок удаляемого препарата близ расположенных органов и тканей (глаз, стенки и ткани глазницы, клетчатка подвисочной и крылонебной ямок, скуловая кость, кожа и др.). Одновременно или отсрочено выполняются различные реконструктивно-пластические вмешательства, позволяющие минимизировать функциональные и косметические потери (пластики перемещенными кожно-жировыми и кожно-мышечными лоскутами, фрагментами мало-берцовой кости или гребня подвздошной кости на сосудистой ножке и др.). Наиболее часто изготавливаются либо разделительные пластины обеспечивающие разобщение возникшего послеоперационного дефекта и полости рта, или замещающие протезы с восстановленным зубным рядом.
Практически во всех случаях используется послеоперационная лучевая терапия в дозе ≈ 50-60 Гр. Предоперационное облучение применяется реже. Самостоятельная лучевая терапия проводится только в случаях неоперабельности опухоли или отказе пациента от хирургического лечения.
Лекарственная противоопухолевая терапия самостоятельного значения не имеет и применяется либо с предоперационной целью (неоадъювантная терапия), либо в послеоперационном периоде (адъювантное лечение), либо в сочетании с лучевой терапией (химиолучевое лечение). Применяются в основном препараты платины в сочетании с 5-фторурацилом, лучший эффект получается при использовании в данной схеме таксанов (таксотер и др.).
В предоперационном периоде проводится 2-3 цикла химиотерапии каждые 3 недели. В послеоперационном периоде возможно проведение до 6 циклов ПХТ (полихимиотерапии). При химиолучевом лечении применяется, в основном, цисплатин в дозе 100 мг/м2 1 раз в 3 недели или в дозе 75 мг/м2 каждую неделю. Для получения лучшего результата химио- или химиолучевой терапии иногда применяются таргетные препараты, в частности – Эрбитукс (Цетуксимаб).
8. Осложнения противоопухолевого лечения и их коррекция
Как уже было отмечено, хирургическое лечение злокачественных опухолей полости носа и околоносовых пазух ведет прежде всего к косметическим и функциональным нарушениям и касается в основном, возникновением обширных послеоперационных дефектов, разговорной речи и акта приема пищи. С целью минимизации таких осложнений осуществляются различные реконструктивно-пластические вмешательства, как неотсроченные (во время основного хирургического вмешательства), так и отсроченные (в разные периоды после операции), а также сложное зубное и разобщающее протезирование.
При проведении лучевой терапии при данной патологии наиболее часто возникают острые лучевые реакции (дерматиты) и поздние постлучевые осложнения (постлучевые отеки мягких тканей, фиброзы, постлучевые язвы и некрозы). При возникновении острых лучевых реакций проводятся в основном, противовоспалительные и противоотечные мероприятия. Возможно, при необходимости, назначение обезболивающих препаратов. Как правило, данные реакции купируются в течение 10-12 дней. Поздние лучевые осложнения требуют более сложных и длительных лечебных мероприятий, а иногда и сложных хирургических вмешательств.
При химиотерапии данной патологии наиболее частым нежелательным явлением оказывается возникновение гематологической токсичности разной степени выраженности, заключающейся в нарушении нормального кроветворения (анемии, нейтропении, тромбоцитопении и т.д.), приводящие к развитию инфекционных осложнений, кровотечениям (преимущественно носовым). Проводимое лечение может сопровождаться выпадением волос, развитием воспаления слизистой оболочки полости рта, глотки, желудка и кишечника. Вовремя и в необходимом объеме проведенные лечебные мероприятия позволяют купировать эти нежелательные явления и полностью завершить запланированный объем лечения.
9. Использование уникальных методик
В последнее время достаточно широкое применение получили такие методики как гипертермия (локальное нагревание опухоли СВЧ- или УВЧ – излучением); фотодинамическая терапии (либо при начальных формах опухолей, либо на ложе удаленного новообразования); химиоэмболизация питающих опухоль сосудов, видеоэндоскопическое удаление новообразований и др.
10. Особенности реабилитации
Как уже отмечалось, практически все больные с злокачественными опухолями полости носа и околоносовых пазух в той или иной степени требуют различных по сложности реабилитационных мероприятий. Эти мероприятия проводятся как в клиниках, занимающихся лечением данной категории больных, так и в специализированных учреждениях, занимающихся реконструктивно-пластическими операциями.
11. Прогноз заболевания
Прогноз эффективности лечения зависит как от локализации опухолевого поражения, так и от распространенности, морфологического строения опухоли, так и от проведенного лечения.
При правильном лечении у больных с начальными формами злокачественных опухолей полости носа и околоносовых пазух возможно излечение в течении 5 лет практически у 100% пациентов.
При распространенности опухоли Т3 излечение в этот период времени возможен более чем в 70% случаев, в зависимости от примененного вида лечения. Безусловно, лучший результат имеет место при использовании комбинированного лечения (операция + лучевое и химиолучевое лечение).
При опухолях, распространенностью Т4, 5-летний результат лечения не превышает 30-40% наличия метастазов в зонах регионарного метастазирования ухудшает результаты проводимой терапии.
Филиалы и отделения, в которых лечат опухоль полости носа и околоносовых пазух
ФГБУ «НМИЦ радиологии» Минздрава России обладает всеми необходимыми технологиями лучевого, химиотерапевтического и хирургического лечения, включая расширенные и комбинированные операции. Все это позволяет выполнить необходимые этапы лечения в рамках одного Центра, что исключительно удобно для пациентов.
Лучевая анатомия околоносовых пазух
кафедра лучевой диагностики и терапии Курского государственного медицинского университета Минздрава России, Курск, Россия, 305000
ГБОУ ВПО «Курский государственный медицинский университет» Минздрава России, ул. Карла Маркса, 3, Курск, Российская Федерация, 305041
Лучевая визуализация хронического микотического поражения полости носа и околоносовых пазух экстрамаксиллярной локализации
Журнал: Российская ринология. 2018;26(1): 22‑27
кафедра лучевой диагностики и терапии Курского государственного медицинского университета Минздрава России, Курск, Россия, 305000
Хроническое грибковое поражение синусов в большей степени характерно для верхнечелюстных пазух и имеет одонтогенное происхождение. Экстрамаксиллярная локализация мицетом является крайне редкой и в литературе представлена описанием отдельных случаев. Выполнен анализ результатов обследования 29 пациентов. Представлено описание результатов компьютерной и магнитно-резонансной томографии при хроническом микотическом поражении полости носа и околоносовых пазух экстрамаксиллярной локализации.
кафедра лучевой диагностики и терапии Курского государственного медицинского университета Минздрава России, Курск, Россия, 305000
ГБОУ ВПО «Курский государственный медицинский университет» Минздрава России, ул. Карла Маркса, 3, Курск, Российская Федерация, 305041
Список сокращений:
КТ — компьютерная томография
МРТ — магнитно-резонансная томография
Распространенность грибкового риносинусита до настоящего времени неизвестна. Это обусловлено рядом причин, одной из которых является оппортунизм грибковых инфекций. J. Ponikau и соавт. [4] выявили микотический компонент в содержимом околоносовых пазух у 96% больных хроническим синуситом. Большинство публикаций, касающихся микозов полости носа и околоносовых пазух, посвящены грибковой патологии верхнечелюстной пазухи. Это связано с преобладанием именно этой локализации и тропностью грибов к пломбировочному материалу, который попадает в полость пазухи при перепломбировке каналов зубов верхней челюсти. Встречаемость грибкового поражения иной локализации намного ниже, в литературе это представлено описанием отдельных случаев. Однако имеется тенденция к увеличению частоты диагностики грибковых клиновидных и решетчатых синуситов. Современные методы визуализации позволяют детально изучить структуру клиновидной и решетчатой костей. Выявление мицетом в клиновидной и решетчатой пазухах опровергает мнение об исключительно одонтогенной природе их фунгозного поражения с интраантральными высокоплотными включениями.
По классификации Международного общества по микологии человека и животных выделяют инвазивную и неинвазивную формы грибковых поражений околоносовых пазух. К числу инвазивных относят острую (молниеносную) и хроническую формы поражения, неинвазивных — аллергический грибковый синусит и грибковое тело [5]. Более благоприятное течение имеют неинвазивные формы грибковых синуситов. Тем не менее вопрос классификации микозов носа и околоносовых пазух до конца не изучен и продолжает обсуждаться.
Рентгенологическая картина микотического клиновидного или решетчатого синусита стала диагностически значимой только благодаря компьютерной томографии (КТ). На рентгенограмме клиновидные пазухи видны лишь в аксиальной проекции, решетчатые — в прямой и боковой проекциях, но огромное количество наслоений сводят детальную диагностику к нулю.
На КТ грибковый синусит выявляется в виде мягкотканного содержимого с четким ровным контуром, на фоне которого имеются гиперденсивные включения. Вокруг такого включения может определяться зона переходной оптической плотности — зона гало. M. Aribandi и C. Bazan [6] в описании мицетом клиновидных пазух указывали на встречаемость грибковых тел у пожилых женщин и односторонность поражения. Авторы связывали это с несовершенством мукоцилиарного механизма, депонированием гиф грибов и постоянным поддержанием хронического воспаления. Однако такая картина выявляется не всегда.
H. Zhu и соавт. [7] отмечали, что эрозия при мицетомах — явление нечастое, так как для поражения Aspergillus spp. нехарактерны деструктивные изменения, а если они есть, то связаны с длительным давлением грибковой массы на костную стенку в области естественного соустья.
Цель работы — изучить особенности результатов КТ и магнитно-резонансной томографии (МРТ) при экстрамаксиллярных грибковых риносинуситах.
Пациенты и методы

В исследование были включены 29 пациентов с грибковым синуситом экстрамаксиллярной локализации, среди них 20 (69%) женщин и 9 (31%) мужчин в возрасте от 40 до 85 лет (медиана 70 лет) (рис. 1). Рис. 1.Распределение пациентов с грибковым синуситом экстрамаксиллярной локализации по возрасту. Fig. 1. The distribution of the patients presenting with mycotic sinusitis of extramaxillary localization by ages.
Проведен анализ 32 рентгеновских КТ и 1 МРТ. У 1 пациента была выполнена контрольная КТ через 2 мес, еще у 1 — через 2 и 4 мес. У 1 пациента КТ была дополнена МРТ.
Исследования были выполнены в отделении КТ БМУ «Курская областная клиническая больница» Комитета здравоохранения Курской области. КТ проводили на рентгеновских компьютерных томографах фирмы General Electric (модели NXI и VCT) в аксиальной и коронарной проекциях. МРТ проводили на томографах фирмы General Electric (модель SIGNA OVATION 0.35Т) в аксиальной, сагиттальной и коронарной проекциях. Измерения осуществляли с помощью программы просмотра диагностических изображений RadiAnt DICOM Viewer инструментами Line и Ellipse.
Результаты
В 12 (41,4%) случаях изменения определялись с правой стороны, у 17 (58,6%) человек — с левой. Ни одного случая двустороннего поражения парных пазух зафиксировано не было.
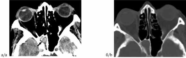
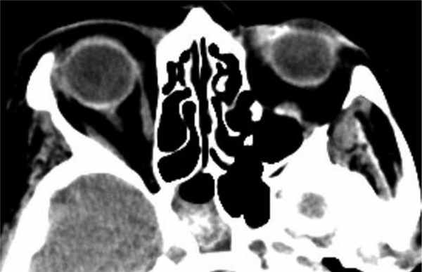
В 22 (75,9%) случаях была поражена клиновидная пазуха, у 6 (20,7%) пациентов — клетки решетчатого лабиринта, в том числе у 1 больного — большой решетчатый пузырек (рис. 2). Рис. 2. Больной К., 58 лет. КТ околоносовых пазух (а) с реконструкцией в коронарной проекции (б). Грибковое тело в проекции большого решетчатого пузырька слева (указано стрелками). The fungal body in the left-hand projection of the ethmoidal bulla of nasal cavity (indicated by the arrows). В 1 (3,4%) случае отмечалось поражение лобной пазухи (рис. 3, 4). Рис. 4. Локализация изменений у пациентов с экстрамаксиллярным синуситом. Fig. 4. Localization in the patients presenting with extramaxillay sinusitis. Рис. 3. Больная А., 48 лет. КТ лобных пазух (а) с реконструкцией в коронарной (б) и сагиттальной (в) проекциях. Грибковое тело в лобной пазухе справа (указано черной и белыми стрелками). The fungal body in the right-hand frontal sinus (indicated by the black and white arrows).
Комбинированное поражение ипсилатеральной верхнечелюстной пазухи определялось в 4 (10,4%) случаях, из них 2 (50%) — с поражением полости носа и 2 (50%) — клиновидной пазухи.
Тотальные изменения в клиновидной пазухе отмечались в 9 (34,6%) случаях, субтотальные — в 6 (23%), мягкотканное содержимое занимало примерно половину объема пазухи у 10 (38,5%) пациентов, у 1 (3,9%) больного отмечался слабовыраженный пристеночный мягкотканный компонент. Выраженность изменений в полости носа у 3 пациентов не оценивалась.

Во всех изученных случаях в околоносовых пазухах определялись высокоплотные включения. Одна группа включений в виде четко очерченных единичных и довольно крупных очагов уплотнения, которые определялись в костном окне просмотра изображений была выявлена у 11 (37,9%) человек, другая — в виде множества мелких нечетко очерченных очагов, которые не определялись или определялись плохо в костном окне просмотра изображений, — у 18 (62,1%) пациентов (рис. 6). Рис. 6. Больная М., 75 лет. КТ в аксиальной проекции. Правосторонний грибковый сфеноидит (указано черной стрелкой). В мягкотканном окне определяются мелкие множественные гиперденсивные включения (а), которые в костном окне не определяются (б). Left-had mycotic sphenoiditis (indicated by the black arrow). Multiple hyperdense inclusions can be seen in the soft tissue window (a) undetectable in the bone window (b).

Зона переходной плотности (зона гало), окружающая включения, определялась в 17 (58,6%) случаях: у 4 (23,5%) пациентов при одиночных и крупных высокоплотных очагах, у 13 (76,5%) больных при включениях в виде множества мелких нечетко очерченных очагов (рис. 7). Рис. 7. Больная Н., 80 лет. КТ в аксиальной проекции. Fig. 7. Patient А., aged 80 years. X-ray computed tomography in the axial projection. Правосторонний грибковый сфеноидит (указано белой стрелкой). В мягкотканном окне вокруг гиперденсивного центра определяется зона переходной плотности (зона гало). Right-had mycotic sphenoiditis (indicated by the white arrow). The zone of transition density around the hyperdense centre can be seen in the soft tissue window (the halo zone).

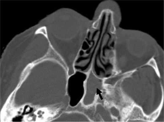
В 15 (51,7%) случаях отмечалось локальное утолщение прилежащих к мягкотканному содержимому костных структур (рис. 8). Рис. 8. Больная Т., 85 лет. КТ в аксиальной проекции. В костном окне отмечаются левосторонний сфеноидит со слабо гиперденсивным грибковым телом (указано черной стрелкой) и утолщение прилежащих костных структур. Left-hand sphenoiditis with the weakly hyperdense fungal bone visible in the bone window. (indicated by the black arrow) and thickening of the adjacent bone structures. У 1 больного это появилось через 2 мес после первичного исследования. В 1 случае определялось асимметричное утолщение прилежащих костных структур среднего носового хода.
У 6 (20,6%) больных отмечалось утолщение кости, прилежащей к мягкотканному патологическому компоненту, при смене стандартного костного окна просмотра диагностических изображений на мягкотканное в 1,5 раза и более.

При магнитно-резонансном исследовании пациентки с фунгозным сфеноидитом патологические изменения выглядели гиперинтенсивными на Т1-взвешенном изображении при отсутствии измененного сигнала на Т2-взвешенном изображении, что создавало впечатление о нормальной пневматизации пазухи (рис. 9). Рис. 9. Больная М., 81 год. МРТ и рентгеновская КТ в аксиальных проекциях. На Т2-взвешенном изображении (а) отсутствует сигнал и складывается впечатление о нормальной пневматизации клиновидной пазухи слева, в то время как на Т1-взвешенном изображении и КТ-изображении патологическое содержимое в синусе присутствует (б, в). The T2-weighted image (а) demonstrates the absence of the signal and produces the impression of normal pneumatization of the left-hand sphenoidal sinus whereas neither the T2-weighted image nor the CT-image shows any pathological content in the sinus (b, c).
Поражение нескольких пазух больше характерно для аллергического грибкового синусита, который чаще встречается в молодом возрасте. В наших наблюдениях возраст (медиана 70 лет) и односторонняя локализация процесса были более характерны для микотического хронического неинвазивного поражения.
Клиновидная пазуха была поражена в 75,9% случаев, что согласуется с данными других исследователей, которые указывают, что это самая распространенная локализация после максиллярного синуса [8, 9]. Самой редкой локализацией была лобная пазуха — 1 (3,4%) случай. По данным иностранных авторов, грибковое поражение лобной пазухи единичное и редко наблюдаемое явление [10, 11].
Основным томографическим признаком грибкового поражения было наличие мягкотканного содержимого с высокоплотным включением.
В 37,9% случаев наблюдались изменения в виде одиночных крупных высокоплотных очагов, а в 62,1% — в виде множественных мелких нечетко очерченных очагов. Еще одним признаком грибкового поражения пазух было наличие вокруг включения зоны гало. Этот признак определялся у 58,6% больных, из них в 76,5% случаев вокруг мелких нечетко очерченных очагов.
В 51,7% случаев отмечалась реакция прилежащих костных структур, что является признаком длительного воспалительного процесса. При прогрессировании синусита в зависимости от характера воспаления изменяется толщина прилежащей костной стенки: при острых гнойных процессах возникает остеопороз, при хронических рецидивирующих процессах — остеосклероз, при осложненных формах — остеомиелит и деструкция костной стенки [12]. У 1 больного увеличение толщины костной стенки выявилось через 2 мес после первичного исследования.
В 20,6% случаев при смене стандартного костного окна просмотра на мягкотканное визуально отмечалось выраженное утолщение прилежащей кости, что отражает реакцию надкостницы на существующий хронический воспалительный процесс.
Дополнительные исследования в динамике в 1 случае отражали хронизацию процесса. При МРТ в режиме Т2-взвешенных изображений отмечалось отсутствие сигнала от патологических включений, выявленных на КТ.
1. Основная роль в выявлении микотического поражения полости носа и придаточных пазух принадлежит КТ. МРТ в отдельных случаях является дополнительным методом исследования.
2. Диагностика экстрамаксиллярного грибкового риносинусита включает в себя выявление как неспецифических признаков поражения полости носа, околоносовых пазух и прилежащих структур, так и специфических изменений.
3. Выявление высокоплотных включений в отдаленных от верхнечелюстной пазухи областях и небольшое количество случаев их сочетанного поражения с одонтогенным верхнечелюстным синуситом ставят под сомнение роль дентальной инфекции в патогенезе микототичского поражения экстрамаксиллярной локализации.
ЛУЧЕВАЯ АНАТОМИЯ ОКОЛОНОСОВЫХ ПАЗУХ
Околоносовые пазухи, или придаточные полости носа, располагаются в костях лицевого и мозгового черепа и сообщаются с полостью носа. Покрывающая их слизистая оболочка является продолжением слизистой оболочки полости носа.
Филогенетически околоносовые пазухи являются производными решетчатого лабиринта.
Пазухи развиваются вследствие резорбции спонгиозной кости и врастания в дивертикулы слизистой оболочки носа.
К передним пазухам относятся верхнечелюстная, лобная и передние решетчатые клетки, к задним -- задние решетчатые клетки и клиновидные пазухи. Все пазухи парные, выстланы тонкой слизистой оболочкой с мерцательным эпителием.
Первоначальная функция околоносовых пазух была связана с обонянием. У приматов в связи с ослаблением роли обоняния возрастает участие пазух в дыхательной функции, и это приводит к их морфологической перестройке.
Воздухоносные полости на фоне костей черепа, вследствие резкого контраста плотности, представляются на рентгенограмме весьма отчетливо, что дает возможность детально изучить их форму, величину и степень воздушности.
В норме на КТ- и МР-изображениях в аксиальной проекции на уровне глазницы хорошо дифференцируются полость носа, носовая перегородка, внутренние и наружные стенки глазницы, жировая клетчатка глаза, глазное яблоко, зрительный канал, клиновидная пазуха, носовая кость, венечный отросток нижней челюсти, турецкое седло, височная мышца, латеральная крыловидная мышца, носоглотка, ветвь нижней челюсти. На срезе, выполненном на уровне обеих верхнечелюстных пазух и носоглотки, хорошо визуализируются полость носа с перегородкой и раковинами, внутренние и наружные стенки глазниц, передненаруж-ная стенка верхнечелюстной пазухи, височная мышца, клиновидная пазуха, перпендикулярная пластинка решетчатой кости, медиальная и латеральная крыловидные мышцы, венечный отросток нижней челюсти, жевательная мышца, околоушная железа, устье слуховой трубы. На томограммах во фронтальной плоскости, сделанных на уровне передней, средней и задней трети глазницы, выявляются головной мозг, стенки глазницы, глазное яблоко, полость носа, верхнечелюстная пазуха, твердое небо, жевательная мышца, медиальные прямые мышцы глаза и зрительный нерв.
Решетчатые лабиринты -- мелкие полости в ячейках решетчатой кости. Они разграничиваются тонкими костными пластинками, составляя так называемый лабиринт. Они начинают развиваться с 5-го месяца внутриутробной жизни. Верхнюю стенку решетчатого лабиринта образует продырявленная пластинка, латеральные стенки -- тонкая костная глазничная («бумажная») пластинка, являющаяся частично медиальной стенкой глазницы, медиальные стенки -- основание верхних и средних носовых раковин и боковая стенка полости носа. Различают передние, средние и задние ячейки решетчатых пазух. Передние ячейки открываются в средний носовой ход, а средние и задние -- в верхний.
Задние клетки иногда находятся в тесной связи с каналом зрительного нерва, реже -- с глазодвигательным, блоковым, тройничным и отводящим нервами.
Решетчатые ячейки иногда чрезмерно развиваются и внедряются в соседние воздухоносные полости.
У детей до 6 лет решетчатые ячейки маленькие и круглые, затем они быстро растут и приобретают окончательную форму в 12--14 лет.
Кзади клетки решетчатого лабиринта доходят до передней стенки клиновидной пазухи.
Верхнечелюстные пазухи имеют форму симметрично расположенных пирамид. Вверху они граничат с полостью глазниц, внизу подходят к альвеолярному отростку, внутренние стенки их являются латеральными стенками носовой полости. Отверстия, которыми верхнечелюстные пазухи связаны с полостью носа, находятся под средней носовой раковиной.
В пазухе различают четыре углубления, которые называют в зависимости от направления скуловым, лобным, небным и альвеолярным. Корни малых коренных зубов не достигают дна полости, корни больших коренных зубов или отделены от полости тонкой пластинкой кости, или подходят прямо к слизистой оболочке дна. Корень клыка граничит с лобным карманом пазухи. Верхнечелюстные пазухи, в противоположность лобным, очень мало варьируют по форме и величине.
У новорожденных верхнечелюстные пазухи развиты больше других. Период от 1 года до 5 лет характеризуется увеличением их объема. Окончательное формирование пазух наблюдается в возрасте 14--20 лет. Возраст от 21 до 30 лет является периодом стабилизации формы и размеров пазух. В 31--40 лет появляются инволютивные изменения в стенках пазух (развитие остеопороза, истончение нижних стенок пазух).
Клиновидные пазухи располагаются сверху и кзади от средних носовых раковин. Своей задней частью они могут доходить до ската затылочной кости. Клиновидная пазуха, как и лобная, представляет собой парную полость, образующуюся в результате резорбции костной ткани в теле клиновидной кости. Клиновидная (основная) пазуха -- это отшнуровавшаяся задняя решетчатая клетка в теле клиновидной кости, разделенная перегородкой на две части. После рождения пазуха развивается медленно, проникает в клиновидную раковину, которая начинает резорбироваться в возрасте 4 лет. У новорожденных она имеет вид щели. Пневматизация постепенно распространяется на переднюю, среднюю и заднюю части клиновидной кости.
Малопневматизированная пазуха относится к так называемому ювенильному типу, свойственному людям молодого возраста. У обследуемых старческого возраста обычно наблюдается выраженная пневматизация, иногда распространяющаяся и на спинку седла, а также на большие и малые крылья клиновидной кости.
Сформировавшаяся клиновидная пазуха имеет шесть стенок. Передняя стенка обращена к полости носа. Ее медиальная часть занята клиновидной раковиной, а латеральная часть прилежит к задним решетчатым ячейкам. На передней стенке находится апертура клиновидной пазухи. Она располагается на уровне заднего конца верхнего носового хода. Задняя стенка пазухи находится в толще тела клиновидной кости. Нижняя стенка пазухи граничит спереди с полостью носа, а сзади со сводом глотки. В латеральной части под нижней стенкой проходит крыловидный канал. Верхняя стенка пазухи спереди граничит с предперекрестной бороздой, а в средней и задней части -- с турецким седлом. К наружной части верхней стенки и верхней части латеральной стенки пазухи прилежат внутренняя сонная артерия, пещеристый синус и расположенные в его стенке нервы. Медиальной стенкой является перегородка клиновидных пазух.
На боковой рентгенограмме клиновидные пазухи черепа проецируются под турецким седлом, на прямой рентгенограмме -- в области верхних решетчатых клеток, имея вид четырех-угольного просветления. В аксиальной проекции они расположены кпереди от большого затылочного отверстия и основной части затылочной кости.
Лобные пазухи весьма разнообразны по форме и величине. Они являются парными полостями, расположенными в лобной кости. Границы пазух широко варьируют. Иногда лобные пазухи доходят вверх до лобных бугров, вниз -- до надглазничных краев, кзади -- до малых крыльев клиновидной кости и в стороны -- до скуловых отростков. Полость пазух выстлана слизистой оболочкой.
В лобной пазухе различают переднюю, заднюю, нижнюю и медиальную стенки. Передняя стенка образована наружной пластинкой лобной чешуи. Она наиболее толстая, особенно в области надбровных дуг. Задняя более тонкая стенка, образованная внутренней пластинкой лобной кости, отделяет пазуху от передней черепной ямки. Нижняя стенка тоже тонкая. Ее латеральная часть находится над глазницей, а медиальная над полостью носа. На нижней стенке лобной пазухи имеется отверстие лобно-носового канала, ведущего в средний носовой ход.
Образованию лобной пазухи предшествует изменение структуры надносового участка лобной чешуи. Наружная пластинка отделяется от внутренней, диплоэ разрежается, и в него внедряется с каждой стороны одна из передних решетчатых ячеек.
Лобные пазухи при рождении или совсем отсутствуют, или представляются полостями величиной с горошину. Пневматизация лобной кости начинается на первом году жизни, но рентгенологически выявляется обычно с 3--4 лет. После 6 лет пневматизация лобной кости ускоряется, в 9--11 лет лобная пазуха достигает половины своей окончательной величины. Заканчивается развитие этих пазух к периоду полового созревания. Лобные пазухи могут формировать большое количество дольчатых выпячиваний в лобной кости. Поэтому каждая пазуха имеет уникальную форму. Различают одиночные, двойные и тройные пазухи. По равномерности развития различают пазухи симметричные и асимметричные, по величине -- малые, средние и большие. Иногда одна или обе лобные пазухи могут отсутствовать.
Лучевая анатомия околоносовых пазух
а) Определение:
• Полость носа, околоносовые пазухи (верхнечелюстные, лобные, решетчатые, клиновидные) и окружающие структуры
б) Лучевая анатомия:
1. Обзор:
• Полость носа: треугольник, разделенный перегородкой по средней линии:
о Крыша: решетчатая пластинка
о Дно: твердое и мягкое небо
о Боковые стенки с прикрепленными к ним носовыми раковинами
о Носовая перегородка:
- Костная часть: перпендикулярная пластинка решетчатой кости сзади-сверху и сошник сзади-снизу
- Хрящевая часть: перегородочный хрящ спереди
о Носовые раковины:
- Костные верхняя, средняя, нижняя раковины выбухают в полость носа книзу и кнутри
- Область под каждой носовой раковиной называется соответственно верхним, средним, нижним носовым ходом
- Средняя носовая раковина прикрепляется сверху к решетчатой пластинке при помощи вертикальной пластинки, к глазничной пластинке сзади и снаружи при помощи базальной пластинки
о Носовые ходы:
- Верхний носовой ход: дренажная полость для задних ячеек решетчатого лабиринта через клиновидно-решетчатый карман
- Средний носовой ход: решетчатая булла-крупная ячейка решетчатой кости, расположенная в верхних отделах остиомеатального комплекса; является дренажной полостью для передних ячеек решетчатого лабиринта
- Средний носовой ход: полулунная расщелина - область между крючковидным отростком и решетчатой буллой; сюда осуществляется отток от передних ячеек решетчатого лабиринта и верхнечелюстной пазухи через воронку
- Нижний носовой ход: отток идет в передние отделы по носослезному протоку
2. Расположение носа и околоносовых пазух:
• Полость носа и околоносовые пазухи являются пневматизированными полостями верхней челюсти, лобной, клиновидной, решетчатой кости
На рисунке в сагиттальной плоскости показана анатомия костей наружной стенки носа. Верхняя и средняя носовые раковины удалены. Решетчатая булла и полулунная расщелина визуализируются ниже области прикрепления средней носовой раковины. Нижняя носовая раковина удалена частично, позволяя увидеть носослезный проток, открывающийся в передних отделах нижнего носового хода. На рисунке (в сагиттальной плоскости) наружной стенки носа показаны пути оттока от пазух. Клиновидная пазуха и задние ячейки решетчатой кости дренируются в клиновидно-решетчатый карман в задних отделах полости носа. Верхнечелюстная пазуха дренируется через верхнечелюстную воронку, в то время передние ячейки решетчатой кости преимущественно в остиомеатальный комплекс/средний носовой ход через решетчатую буллу. Отток от лобных пазух осуществляется в средний носовой ход через носолобную дренажную систему. На рисунке в корональной плоскости показаны нормальные варианты размеров верхнечелюстных пазух. Правая верхнечелюстная пазуха уменьшена, в то время как слева пневматизированы даже скуловой, небный, альвеолярный отростки. Обратите внимание, что корни моляров верхней челюсти вплотную прилежат к пазухе в области пневматизированного альвеолярного отростка, что может облегчать распространение патологического процесса в пазуху при заболеваниях зубов. Хирургические вмешательства в этой области также более вероятно могут приводить к образованию ороантрального соустья. На рисунке показано отношение верхнечелюстной пазухи к окружающим костным структурам и зубам (как на панорамной рентгенограмме). Пазуха обычно располагается в передне-заднем направлении от латеральной стенки носа до заднелатеральной стенки верхней челюсти, и в верхне-нижнем направлении от дна глазницы до альвеолярного отростка. Скуловой отросток верхней челюсти и скуловая дуга накладываются на пазуху.
3. Топографическая анатомия носа и околоносовых пазух:
• Верхнечелюстная пазуха: парная воздухоносная полость в верхней челюсти:
о Дренируется через устье, расположенное вдоль переднего края медиальной стенки, в воронку, затем в полулунную расщелину и в средний носовой ход
о Возможна пневматизация альвеолярного, скулового, лобного или небного отростка (феномен экспансии пазухи)
о На интраоральных изображениях часто обнаруживаются перегородка и бороздки/каналы нервно-сосудистых пучков
• Решетчатая пазуха: парные группы из 3-18 ячеек в решетчатом лабиринте:
о Выделяют переднюю и заднюю группы, разделенные базальной пластинкой, при помощи которой средняя носовая раковина крепится к глазничной пластинке с наружной стороны
о Решетчатая булла: доминирующая передняя ячейка решетчатой кости, выбухающая книзу и кнутри в воронку полулунной расщелины
о Передний путь оттока: в передний карман полулунной расщелины и средний носовой ход через решетчатую буллу
о Задний путь оттока: верхний носовой ход и клиновидно-решетчатый карман
• Лобная пазуха: парная воздухоносная полость в лобной кости:
о Дренируется через лобный карман в средний носовой ход
• Клиновидная пазуха: парная воздухоносная полость в клиновидной кости:
о Дренируется в клиновидно-решетчатый карман
о Возможна пневматизация крыловидных отростков
• Экстрамуральные околоносовые воздухоносные ячейки:
о Подглазничные решетчатые ячейки (Галлера): ячейки решетчатой кости, находящиеся в нижних внутренних отделах дна глазницы
о Бугорковые ячейки носа: самые передние воздухоносные ячейки в слезной кости или верхней челюсти
о Клиновидно-решетчатые ячейки (Оноди): задние ячейки решетчатой кости с наиболее выраженной пневматизацией в верхненаружных отделах; тесно прилежат к зрительному нерву
На одной из трех периапикальных рентгенограмм, иллюстрирующих возможные варианты нормы верхнечелюстной пазухи, определяется «перевернутая буква Y» в области пересечения дна носовой ямки с дном верхнечелюстной пазухи. Носовая перегородка визуализируется апикальнее 2-го премоляра. На периапикальной рентгенограмме определяется вариант нормальной морфологии дна верхнечелюстной пазухи - пневматизированный альвеолярный отросток между 1-м моляром и 2-м премоляром. Скуловой отросток верхней челюсти часто накладывается на пазуху на периапикальных рентгенограммах задних зубов верхней челюсти, и выглядит как толстая изогнутая рентгеноконтрастная линия (как и на представленной рентгенограмме). На рентгенограмме визуализируется рентгенопрозрачная линия, пересекающая верхнечелюстную пазуху. Эта линия представляет собой задний верхний альвеолярный канал в стенке пазухи, в котором проходят задние верхние альвеолярные нервы и сосуды. Она может быть ошибочно принята за перелом, если не распознается как нормальная анатомическая структура. На кадрированной панорамной рентгенограмме визуализируется неизмененная верхнечелюстная пазуха. Обратите внимание на многочисленные наложения на пазуху, затрудняющие ее визуализацию. При анализе панорамных рентгенограмм необходимо всегда оценивать границы верхнечелюстной пазухи (кортикальную пластинку) для исключения любой патологии, приводящей к ее деструкции. Рентгеноконтрастные линии, обусловленные изображениями скулового отростка верхней челюсти и заднего края крыловидно-верхнечелюстной щели, проходят практически параллельно задней стенке верхнечелюстной пазухи. Эти три линии нужно оценивать вместе, чтобы убедиться в отсутствии патологии. На кадрированной панорамной рентгенограмме визуализируется верхнечелюстная пазуха; альвеолярный отросток рядом с молярами пневматизирован. Утолщение слизистой оболочки позволяет заподозрить воспаление. На панорамной реформатированной КЛКТ определяется расширение границ пазухи кпереди (в передние отделы верхней челюсти). Этот вариант важно отметить, если планируется лечение (имплантация) в области резцов. На кадрированной панорамной рентгенограмме у пациента с рецидивирующими одонтогенными кистами между 2-м премоляром и 7 -м моляром визуализируется хорошо отграниченный рентгенонегативный участок с кортикальной пластинкой - подтвержденная дополнительная камера пазухи. Обратите внимание на отсутствие воздействия на зубы (смещения или резорбции), что позволяет сделать заключение о варианте анатомии. На кадрированной панорамной рентгенограмме в правом альвеолярном отростке в месте ожидаемого расположения верхнечелюстной пазухи визуализируется хорошо отграниченный рентгенонегативный участок с кортикальной пластинкой, который в этом случае является кистозным образованием, имитирующим дно пазухи в норме. Правая верхнечелюстная пазуха недоразвита. На кадрированной панорамной рентгенограмме определяется высокое положение дна полости верхнечелюстной пазухи, обусловленное одонтогенной кистой на фоне импактного 3-го моляра. Патологические образования, воздействующие на верхнечелюстные пазухи извне, вт.ч. в области альвеолярного отростка, могут выглядеть покрытыми кортикальной пластинкой при распространении в пазуху за счет периостальной реакции со смещением кортикальной пластинки дна пазухи кверху. На кадрированной панорамной рентгенограмме визуализируется подглазничная решетчатая ячейка (Галлера), непосредственно прилежащая к подглазничному каналу с внутренней стороны (вариант нормы). На корональной КЛКТ визуализируется подглазничная решетчатая ячейка (Галлера) справа. Это вариант нормы, на который необходимо обращать внимание при больших размерах с обструкцией воронки и нарушением оттока от верхнечелюстной пазухи, а также при планировании вмешательства на пазухах (с целью предупреждения проникновения в глазницу). На корональной КЛКТ визуализируется подглазничная решетчатая ячейка (Галлера) слева. Обратите внимание, что левый подглазничный канал смещен книзу этой воздухоносной ячейкой. Также визуализируется перегородка в пазухе, отходящая от передненаружного края левой верхнечелюстной пазухи. Эти варианты анатомии необходимо учитывать при планировании вмешательства на пазухах. На корональной КТ определяется асимметрия размера правой и левой верхнечелюстной пазухи (гипоплазия пазухи слева), что является нормальным анатомическим вариантом. Гипоплазия верхнечелюстной пазухи может в некоторых случаях приводить к изменениям границ верхней челюсти и размеров альвеолярного отростка (гипоплазия верхней челюсти). На корональной КЛКТ визуализируются пневматизированные за счет ячеек решетчатой кости средние носовые раковины (буллезная раковина, concha bullosa). Это состояние является вариантом нормальной анатомии, но у некоторых пациентов раковины могут блокировать пути оттока из верхнечелюстных пазух в средний носовой ход или приводить к сужению просвета полости носа, уменьшая поток проходящего воздуха. На корональной КЛКТ визуализируются пневматизированные крючковидные отростки решетчатых костей, которые могут обусловливать обструкцию путей оттока от верхнечелюстных пазух. У этого пациента признаков заболеваний пазух не определяется. На корональной КТ околоносовых пазух (1 из 9) в коаном окне без контрааного усиления, расположенных сзади-наперед, над носоглоткой визуализируются клиновидные пазухи. На томограмме за верхнечелюстными пазухами визуализируются крыловидные пластинки. Обратите внимание на круглое отверстие и Видиев канал снизу и снаружи от клиновидной пазухи. На томограмме визуализируются множественные анатомические структуры, окружающие крылонебную ямку (КНЯ). Наружной областью выхода из КНЯ является крыловидно-верхнечелюстная щель, через которую КНЯ сообщается с жевательным пространством. Кверху КНЯ открывается через нижнюю глазничную щель, с внутренней аороны сообщается с задненаружными отделами носа через клиновидно-небное отверстие. На КТ визуализируются клиновидно-решетчатые карманы в виде вертикальных пневматизированных расщелин в задних отделах полости носа, в которые дренируются задние решетчатые ячейки и клиновидная пазуха. Обратите внимание на большой небный канал в области соединения твердого и мягкого неба снаружи. Злокачественные опухоли могут распространяться из неба в крылонебную ямку по большому небному нерву. На срезе через передние ячейки решетчатой кости визуализируется решетчатая булла, выбухающая книзу в средний носовой ход. Общая стенка между передними ячейками решетчатой кош и глазницей имеет толщину бумажного листа, из -за чего и называется бумажной (глазничной) пластинкой. На срезе через остиомеатальный комплекс (ОМК) визуализируется воронка верхнечелюстной пазухи, через которую пазуха дренируется в средний носовой ход. Компонентами ОМК являются крючковидный отросток, средний носовой ход, воронка верхнечелюстной пазухи и решетчатая булла. На корональной КТ передних ячеек решетчатой кости вдоль верхней стенки пазух и полости носа визуализируются решетчатая ямка (верхняя стенка решетчатой кости), решетчатая пластинка, петушиный гребень (снаружи вовнутрь). Внутриносовой обонятельный карман содержит слизистую оболочку носа, из которой может развиваться эстезионейробласгома. На томограмме визуализируются носослезные протоки, расположенные в непосредственной близости к верхнечелюстным пазухам. Помните, что носослезный проток дренируется в передний карман нижнего носового хода. На корональной КТ (срез через лобные пазухи) визуализируются передненижние экстрамуральные ячейки решетчатой кости (т.н. бугорковые ячейки носа). Обратите внимание на нормальный левый носослезный мешок, заполненный газом, сразу же снаружи от бугорковой ячейки. На сагиттальной КТ (1 из 4, снаружи-кнутри) околоносовых пазух в коаном окне без контрастного усиления визуализируется носослезный проток, открывающийся в нижний носовой ход. Также обратите внимание на крылонебную ямку за верхнечелюаной пазухой. На сагиттальной КТ визуализируется крючковидный отроаок сразу же под решетчатой буллой. Пространство между этими двумя структурами называется полулунной расщелиной. На сагиттальной КТ визуализируются средняя и нижняя носовые раковины, а также базальная пластинка средней носовой раковины. На сагиттальной КТ визуализируются передненижние ячейки решетчатой кости (бугорковые ячейки носа), находящиеся спереди и снизу от лобного кармана лобной пазухи. При инфицировании бугорковой ячейки происходит вторичное инфицирование лобного кармана и пазухи. На одной из трех аксиальных томограмм пазух, расположенных сверху-вниз, визуализируются лобные пазухи со срединной перегородкой и тонкой задней стенкой, отделяющей пазухи от передней черепной ямки. Заболевания лобных пазух могут распространяться кзади в свод черепа. На томограмме визуализируются ячейки решетчатой кости и клиновидные пазухи. Наружной стенкой решетчатых пазух является тонкая глазничная пластинка. Заболевания ячеек решетчатой кош могут распространяться через глазничную плашнку с формированием постсептального субпериостального абсцесса. На КТ визуализируются верхнечелюстные пазухи, вплотную прилежащие к носонебным протокам, крылонебной ямке, заверхнечелюстной жировой подушке. Обратите внимание на подглазничный нерв внизу сразу же до его выхода из подглазничного отверстия. На аксиальной преконтрастной Т1 МРТ верхнечелюстных пазух и свода носа (1 из 6, расположенных сверху вниз), визуализируется передняя решетчатая артерия, прободающая глазничную пластинку и проникающая в передние ячейки решетчатой кости. На томограмме (срез через средние отделы глазных яблок) визуализируются ячейки решетчатой кости, вплотную прилежащие к экстракональной жировой клетчатке и наружной прямой мышце. Глазница отделена от решетчатой пазухи лишь тонкой глазничной пластинкой. Если лечение при инфицировании решетчатой пазухи было неадекватным, возможно распространении инфекции в глазницу. На аксиальной томограмме на уровне верхней части верхнечелюстных пазух визуализируются решетчатая булла, средний носовой ход, средняя носовая раковина. Обратите внимание на нормальный носослезный проток в передних отделах наружной стенки носа. В крылонебной ямке визуализируется внутренняя верхнечелюстная артерия - основная анатомическая структура, расположенная здесь. С внутренней стороны крылонебная ямка открывается клиновидно-небным отверстием, возле носового края которого может возникать ювенильная ангиофиброма. Через это отверстие опухоль часто распространяется в крылонебную ямку. На томограмме визуализируется носослезный проток, открывающийся внизу в передний карман нижнего носового хода. Если нижняя носовая раковина, имеющая наибольший размер из всех, большая и асимметричная, она может быть ошибочно принята за объемное образование. На уровне средней трети верхнечелюстных пазух визуализируется задний отдел полости носа, непосредственно сообщающийся с носоглоткой. За верхнечелюстной пазухой находится заверхнечелюстная жировая подушка - верхняя часть щечного пространства.
в) Особенности лучевой анатомии носа и околоносовых пазухи:
1. Вопросы:
• В большинстве случаев при лучевых исследованиях заболевания не обнаруживаются или спорадически выявляются легкие (необструктивные) заболевания
2. Рекомендации по визуализации:
• Типичные признаки риносинусита лучше всего определяются на КТ без КУ, КТ в костном окне, КЛКТ
• Для визуализации осложнений синусита может использоваться КТ с КУ, тем не менее, МРТ с КУ лучше отображает окружающие структуры
3. Подходы к визуализации:
• Корональная КТ пазух для предоперационной оценки и контроля при воспалительных заболеваниях носа и пазух
• МРТ: при необходимости диагностики сложных воспалительных или опухолевых заболеваний применяется контрастное усиление:
о Как минимум одна постоконтрастная последовательность должна сопровождаться жироподавлением
• Для визуализации верхнечелюстных пазух применяется интраоральная и панорамная рентгенография:
о Оценка пазух абсолютно необходима, хотя и не может быть осуществлена полностью
о На панорамных рентгенограммах обязательно нужно идентифицировать все границы пазух:
- Отсутствие кортикальной пластинки может быть неявным, но единственным признаком деструктивного поражения
- Одновременно нужно оценивать скуловой отросток верхней челюсти и крыловидно-верхнечелюстной шов
4. Возможные ошибки визуализации:
• Учитывайте варианты пневматизации пазух
г) Клинические особенности. Клиническое значение:
• Риносинуситом обусловлено более двух миллионов посещений врача в год и два миллиарда долларов непосредственных затрат ежегодно (в США)
• Близость моляров верхней челюсти к верхнечелюстным пазухам может приводить к иррадиации боли в эти структуры
• Риск смещения зуба/корней в верхнечелюстную пазуху или формирования ороантрального соустья при удалении зуба
• Возможно распространение заболеваний зубов или новообразований альвеолярного отростка в верхнечелюстные пазухи:
о Обращайте внимание на периостальную реакцию или смещение дна пазухи кверху, что свидетельствует о внешнем воздействии на нее
о Нетипично расположенная пазуха может имитировать кисту
Читайте также:
