Лучевая анатомия плеча
Добавил пользователь Евгений Кузнецов Обновлено: 07.01.2026
Фрактура головки лучевой кости — это повреждение участка, который находится вблизи локтевого сустава. Данная травма является одной из наиболее часто встречающихся патологий локтевого сустава у взрослых. Перелом происходит, когда пациент падает на вытянутую, слегка согнутую руку. Реже фрактура головки лучевой кости случается во время прямого падения либо удара локтя.
Травмы головки лучевой кости могут привести к:
- простым
- смещенным либо
- оскольчатым переломам
- неправильному срастанию
Вслучае сложных переломов ортопед должен рассчитывать на появление сопутствующих травм суставной капсулы и связок, что в свою очередь оказывает влияние на дальнейшее лечение и сроки выздоровления пациента.
Привычными симптомами данной патологии являются боли в локте, а также отеки на внешней стороне локтя. Кроме того, ограничена подвижность локтевого сустава.
Головка лучевой кости — это важный элемент локтевого сустава. Её вращение вокруг своей оси обеспечивает пронацию и супинацию предплечья.
При плохом заживлении риск артроза и продолжительной боли
Перед тем как назначить лечение, необходимо учитывать особенности фрактуры и сопутствующие повреждения связочных элементов сустава. Таким образом наши специалисты смогут предотвратить осложнения и негативные последствия, которые могут появиться после неудачного заживления. Неправильно зажившие фрактуры могут надолго ограничить подвижность пациента и привести к нестабильности локтевого сустава. Тугоподвижность локтевого сустава, преждевременный износ (артроз) либо отмирание (некроз) являются возможными вариантами неправильно сросшегося перелома.
Травмы подобного характера необходимо лечить в специализированной клинике у специалистов по лечению заболеваний локтевого сустава. Лишь тогда Вам удастся избежать серьёзных последствий. Врачи ортопедического медицинского цента Геленк-Клиник с удовольствием ответят на все интересующие Вас вопросы.
Причины перелома головки лучевой кости

Типичная травма с переломом головки лучевой кости: падение на вытянутую, слегка согнутую руку на ладонь. © Halfpoint, Adobe Stock
Зачастую данная травма случается во время падений с вытянутой рукой в слегка согнутом положении, если пострадавший пытается опереться ладонью о пол. Предплечье при этом немного повернуто внутрь.
Так на локтевой сустав через кисть и вытянутую руку оказываются резкие массивные усилия. Головка лучевой кости сталкивается с массивным окончанием плеча, что и приводит к перелому. В данном случае травма случается посредством косвенных силовых воздействий.
Чем сильнее растянут локтевой сустав при падении, тем выше вероятность повреждения головки лучевой кости. Травма может произойти в любой возрастной категории независимо от пола, хотя средний возраст пациентов с данной патологией составляет 40 лет. Люди, которые активно занимаются спортом страдают этим чаще.
Какие симптомы характерны для перелома головки лучевой кости?
- Давящая боль в поврежденном участке локтя
- Боли с внешней стороны локтя, отдающие в кисть
- Покраснения, отеки и гематомы
- Ограниченная подвижность локтевого сустава, боли при вращении и разгибании предплечья
Давление на поврежденную головку лучевой кости вызывает сильные локальные боли. Вращающие движения предплечья внутрь и наружу, а также сгибание локтя возможны лишь вслучае готовности переносить болевые ощущения. Если при переломе появляются отеки и гематомы у Вас могут быть травмы суставных капсул и связок.
Нередко такие травмы связаны с кровоизлияниями в суставах, что дополнительно ограничивает их подвижность. Смещенные переломы (дислокация) могут и вовсе приостановить подвижность локтевого сустава. Вследствие падения могут быть повреждены и другие костные структуры - плечевая и локтевая кость.
Травмы нервных окончаний наблюдаются очень редко - даже в самых сложных случаях. Повреждения лучевого нерва вызывают нарушения чувствительности в области руки. Кроме этого, могут нарушиться исходные функции предплечья.
Какие травмы связаны с переломами головки лучевой кости?
При переломах головки лучевой кости примерно у каждого третьего пациента замечают дополнительные повреждения связочного аппарата либо костных структур.
- Зачастую повреждена внешняя связка, укрепляющая суставную капсулу локтя
- Вероятность травм других боковых связок - кольцевая связка и суставная капсула
- Пострадать может и прочная, соединительнотканная мембрана, соединяющая локтевую и лучевую кости
- Кости запястья могут сломаться при ударе
Перелом головки лучевой кости — это не чисто костная травма. Очень часто у пациента наблюдаются еще и повреждения связок, на которые необходимо обратить внимание во время первичной диагностики и дальнейшей терапии.
Каким образом может сломаться головка лучевой кости?
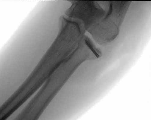
Фрактуры головки лучевой кости классифицируют по формуле Мейсона. Существуют четыре вида переломов. В классификации учтены количество отломков, а также степень их смещения (дислокация). Опираясь на эти критерии, врачи устанавливают степень повреждения локтевого сустава.
Классификация переломов по формуле Мэйсона. Тип 1: не смещенные, смещенные не более чем на 2 мм. Тип.2: Костный обломок смещен на более, чем 2 см. Тип 3: Оскольчатый. Тип 4: Перелом и вывихи локтевого сустава. © Gelenk Klinik
Какие осложнения могут появиться после перелома головки лучевой кости?
Позднее либо неправильное лечение данной патологии может повлечь за собой определённые осложнения, которые будут оказывать негативное влияние на повседневную жизнь и качество жизни пациента.
Осложнения после перелома головки лучевой кости:
- Ограниченная подвижность: данный элемент локтевого сустава имеет важное значение во время поворотных движений предплечья. Неправильно сросшиеся фрактуры образуют ступени в суставе, чем делают невозможной безупречную подвижность. Костные, а также хрящевые фрагменты могут застрять в суставной щели и таким образом полностью заблокировать внутренние и наружные вращения предплечья.
- Тугоподвижность локтевого сустава: Срастания и шрамы в рамках процесса выздоровления и утолщенная суставная капсула ограничивают функции локтевого сустава. Более продолжительная иммобилизация локтевого сустава в согнутом положении при помощи гипса может ограничить функции разгибания руки в локте.
- Хроническая нестабильность локтевого сустава: если связки и сухожилия заживают неправильно, в суставе возникает нестабильность. Причиной хронического эпикондилита (теннисный локоть) иногда становятся нестабильные связки после предыдущих травм.
- Артроз локтевого сустава: Неоптимально сросшиеся переломы ускоряют процесс износа хряща в локтевом суставе. Таким образом начинается преждевременный износ, нередко спустя несколько лет после травмы.
- Некроз головки лучевой кости из-за нарушений кровообращения: особенно после оскольчатых переломов могут повредиться кровеносные сосуды, которые питают кость. Зачастую это может спровоцировать отмирание, т.е. некроз головки лучевой кости.
- Травмы, связанные с неизвестными сопутствующими повреждениями: Причины травмы плечевой и лучевой костей либо перелом запястья иногда остаются нераскрытыми.
Лечение: как проводит лечение перелома специалист Геленк Клиники в Германии?
Наш долголетний опыт в области лечения подобных патологий позволяет проводить терапию, соответствующую стадии заболевания. При этом мы в обязательном порядке учитываем индивидуальные требования пациента, а также характер основного повреждения, включая возможные сопутствующие болезни и таким образом, ожидаемые прогнозы консервативного и хирургического лечения. Специалисты по лечению заболеваний локтевого сустава проведут оптимальную консультацию и составят индивидуальный план лечения.
Хирургическое лечение
При многооскольчатых, смещенных и неправильно сросшихся переломах необходимо хирургическое вмешательство. Объем хирургических манипуляций зависит от степени деформации. Специалисты-ортопеды Геленк Клиники в г. Гунделфинген могут восстановить исходное положение сустава во время операции.
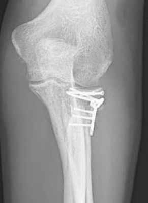
1. Реконструкция при помощи специальных винтов и пластин

Остеосинтез пластиной и винтами: Лечение перелома головки лучевой кости. © Gelenk Klinik
Фрактуры со смещением более 2мм (Тип 2 по формуле Мэйсона) лечатся как правило при помощи специальных винтов и микропластин. Данное вмешательство называется остеосинтез и является малоинвазивным.
Смещенный костный обломок возвращается в свое изначальное положение, где проводится его фиксация. Так хирург предотвращает образование ступеней на суставной поверхности. Используемые винты и пластины удалять необязательно. Их можно использовать для лечения сопутствующих повреждений связок.
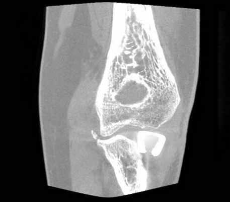
2. Реконструкция головки лучевой кости и пластинами с угловой стабильностью

Лечение пациента с многооскольчатым переломом (Тип 3) после падения с горного велосипеда: Комбинированный остеосинтез с применением пластин с угловой стабильностью. Рентген показывает состояние сустава после заживления. © Gelenk Klinik
Даже сложные переломы с несколькими отломками и вывихами можно вылечить при помощи остеосинтеза. Для этого в Геленк Клинике используются специальные пластины с угловой стабильностью, которые надежно фиксируют отдельные фрагменты сустава
3. Непоправимые переломы: установка эндопротеза

Осложнения протеза лучевой кости, закрепленного снаружи: лучевая кость с протезом оказалась длиннее, чем была раньше. © Gelenk Klinik
При многооскольчатых переломах головки лучевой кости ее реконструкция невозможна. В таком случае стоит задумать об имплантации протеза.
С медицинской точки зрения данное вмешательство является довольно сложным. Диаметр протеза должен соответствовать изначальному размеру головки лучевой кости. Также протез не должен заметно выступать по отношению к области сустава. Такой феномен называется “Overstuffing” и его следует избегать во что бы то не стало. Только так пациент сможет избежать болей, сопровождающихся ограниченной подвижностью и усиленного износа суставного хряща в локте.
При наличии стабильного связочного аппарата с внутренней стороны сустава удаление головки лучевой кости может быть произведено без необходимости протеза. В таком случае организм вырабатывает хрящевую рубцовую замену на шейке лучевой кости. Данное вмешательство является скорее исключением.
Лучевая анатомия плеча
Лучевая анатомия плечевого сустава
а) Общие положения:
• Многоосный шаровидный сустав
• Полукруглая головка плечевой кости сочленяется с неглубокой грушевидной суставной ямкой лопатки:
о Сустав окружен соединительнотканной синовиальной капсулой о Суставная ямка углублена за счет суставной губы-фибрознохрящевой ткани, прикрепленной по краю ямки
о В центре суставной ямки и по периферии плечевой кости хрящ истончается
• Объем движений: сгибание, разгибание, отведение, приведение, вращение, ротация кнутри и ротация кнаружи:
о Сгибание: большая грудная, дельтовидная, клювовидноплечевая и двуглавая мышцы
о Разгибание: дельтовидная и большая круглая мышцы:
- При противодействии также: большая грудная мышца и широчайшая мышца спины
о Отведение: дельтовидная и надостная мышцы:
- Подлопаточная, подостная и малая круглая мышцы обеспечивают движение вниз
- Антагонист этих мышц-надостная мышца
о Ротация кнутри: большая грудная, дельтовидная и большая круглая мышцы, широчайшая мышца спины:
- Подлопаточная-при руке, прижатой к туловищу
о Ротация кнаружи: подостная, дельтовидная и малая круглая мышцы
• Стабилизация сустава:
о Костно-нестабильный сустав
о Сверху удерживается клювовидно-акромиальной дугой
о Спереди фиксируется сухожилием подлопаточной мышцы, передним отделом капсулы, синовиальной оболочкой, передним отделом губы, а также верхней, средней и нижней суставно-плечевыми связками
о Сзади удерживается сухожилиями подостной и малой круглой мышц, задним отделом капсулы, синовиальной оболочкой, задним отделом губы и нижней суставно-плечевой связкой
• Кровоснабжение:
о Суставные ветви передней и задней артерий, огибающих плечевую кость, и поперечная артерия лопатки
• Иннервация:
о Подмышечный и надлопаточный нервы
КТ, трехмерная реконструкция правого плеча, вид спереди. Места отхождения мышц обозначены красным, места прикрепления мышц обозначены синим цветом. Плечо в передней косой проекции.
б) Лучевая анатомия плечевого сустава:
1. Обзор:
• Плечевая кость:
о Восемь центров оссификации: диафиз, головка, большой бугорок, малый бугорок, головка мыщелка, блок, медиальный и латеральный надмышелки
о Анатомическая шейка - место сращения эпифизарных пластинок и прикрепления суставной капсулы, расположена у основания суставной поверхности
о Хирургическая шейка находится на 2 см дистальнее анатомической шейки, ниже большого и малого бугорков вне капсулы сустава; типичное место переломов
о Большой бугорок: находится кпереди и латерально от головки плечевой кости:
- Место прикрепления сухожилий надостной, подостной и малой круглой мышц
о Малый бугорок: расположен проксимальнее передней поверхности головки плечевой кости, медиальнее большого бугорка:
- Место прикрепления сухожилия подлопаточной мышцы
о Межбугорковая борозда или борозда двуглавой мышцы:
- Проходит между большим и малым бугорками
- Крышу борозды образует поперечная связка - продолжение сухожилия подлопаточной мышцы
- В борозде проходят сухожилие длинной головки двуглавой мышцы и передне-латеральная ветвь передней артерии, огибающей плечевую кость, вместе с одноименной веной
• Лопатка:
о Акромиальный отросток:
- Ориентация акромиального отростка варьирует от горизонтальной до наклонной в латеральном направлении
- В зависимости от формы в переднем и заднем отделе классифицируется на четыре типа:
- Тип I: ровный
- Тип II: изогнутый, параллельный головке плечевой кости
- Тип III: искривленный кпереди
- Тип IV: выпуклая нижняя поверхность
- При невысоком искривленном книзу в переднем отделе или наклоненном в нижнелатеральном направлении отростке уменьшается расстояние между клювовидным отростком и акромионом
о Акромиальная кость:
- Самостоятельный центр оссификации
- Должен исчезать к 25 годам
- Персистирует в 2-10% случаев
- Двусторонняя в 60% случаев
- Четыре типа: мезакромион, метакромион, преакромион и базиакромион
о Суставная ямка:
- Мелкая овальная ямка
- Волокнисто-хрящевая губа увеличивает глубину
о Клювовидный отросток:
- Может располагаться латеральнее плоскости суставной ямки
- В норме расстояние между клювовидным отростком и малой бугристостью >11 мм при руке, ротированной кнутри
• Ключица:
о Акромиально-ключичный сустав между дистальным отделом ключицы и акромионом:
- Диапазон движений 20°
о Синовиальная суставная капсула сустава
о Концы костей покрыты фиброзным хрящом, имеется центральный суставной диск
• Костный мозг:
о У взрослых преимущественно желтый костный мозге гемопоэтическими островками красного в суставном отростке лопатки и проксимальном метаэпифизе плечевой кости
о Распределение в основном неоднородное
• Суставная полость плечевого сустава:
о Содержит 1-2 мл синовиальной жидкости
о В норме сообщается с влагалищем двуглавой мышцы
о В норме сообщается с подлопаточным карманом
о Задний отдел капсулы сустава в типичных случаях прикрепляется к основанию суставной губы
о Передний отдел суставной капсулы имеет различное прикрепление
• Прикрепление переднего отдела суставной капсулы:
о Тип 1: прикрепление к верхушке или основанию суставной губы
о Тип 2: прикрепление к шейке суставного отростка о Тип 3: прикрепление к шейке суставного отростка >1 см от суставной губы
• Подлопаточный карман:
о Между лопаткой, подлопаточной мышцей и сухожилием
о Сообщается с полостью сустава через отверстие Вейтбрехта между верхней и средней суставно-плечевыми связками
о Сообщается с полостью сустава через отверстие Рувьере между средней и нижней суставно-плечевыми связками
о В норме рентгенонегативен при артрографии
• Вращательная манжета плеча:
о Надостная, подостная, подлопаточная и малая круглая мышцы
о Сухожилия переплетаются, образуя общий пучок, прикрепляющийся к плечевой кости
о Места отхождения мышц:
- Надостная: в надостной ямке лопатки
- Подостная: в подосиной ямке лопатки
- Малая круглая: латеральный край лопатки
- Подлопаточная: передняя поверхность лопатки (подлопаточная ямка)
о Места прикрепления мышц:
- Надостная, подостная и малая круглая мышцы прикрепляются к большому бугорку плечевой кости
- Прямые пучки надостной мышцы прикрепляются к переднему отделу бугорка, задние косые пучки прикрепляются под подостной мышцей к заднему отделу бугорка
- Подлопаточная мышца прикрепляется к малому бугорку
КТ, трехмерная реконструкция правого плеча в задней косой проекции. Места отхождения мышц обозначены красным, места прикрепления мышц обозначены синим цветом. Плечо, вид сзади. Поверхностная плечелопаточная диссекция, вид спереди. Поверхностная плечелопаточная диссекция с обнажением мышц плечевого сустава, вид сзади. Рисунок плечевого сустава в сагиттальной плоскости, плечевая кость удалена. Глубокая плечелопаточная диссекция с обнажением сосудисто-нервных структур.
• Связки:
о Клювовидно-акромиальная связка:
- От передних 2/3 клювовидного отростка к верхушке акромиона
о Клювовидно-ключичная связка:
- Стабилизирует акромиально-ключичный сустав
- Проходит от основания клювовидного отростка к ключице
- Клиновидный (медиальный) и трапециевидный (латеральный) пучки имеют общее начало на клювовидном отростке, расходясь в направлении ключицы
о Клювовидно-плечевая связка:
- От латеральной поверхности клювовидного отростка к малому и большому бугоркам
- Соединяется с сухожилием подлопаточной мышцы, сухожилием надостной мышцы, капсулой сустава и верхней суставно-плечевой связкой
о Верхняя и нижняя акромиально-ключичные связки
о Верхняя, средняя и нижняя суставно-плечевые связки:
- Верхняя и средняя суставно-плечевые связки проходят от верхнего отдела суставной впадины к малому бугорку
- У 30% средняя суставно-плечевая связка отсутствует или недоразвита
- Нижняя суставно-плечевая связка (передний пучок, задний пучок и подмышечное углубление) проходит от нижнего отдела суставной губы к анатомической шейке плечевой кости
• Капсульно-губный комплекс:
о Суставная губа:
- Ободок фиброзно-хрящевой ткани по краю суставной впадины
- Между губой и костью может располагаться гиалиновый хрящ (под суставной губой)
- Форма, размер и внешний вид варьируют
- К вариантам нормального строения (обычно в передневерхнем отделе) относятся подгубное отверстие и комплекс Буфорда
о Сухожилие двуглавой мышцы:
- Длинная головка начинается от надсуставного бугорка или верхнего отдела суставной губы
- Длинная головка может отсутствовать
- Длинная головка может начинаться от межбугорковой борозды или капсулы сустава
- Короткая головка, соединенная с сухожилием клювидно-плечевой мышцы, отходит от клювовидного отростка
- В редких случаях можно обнаружить дополнительные головки, отходящие от плечевой мышцы, межбугорковой борозды или большого бугорка
• Суставные сумки:
о Субакромиально-субдельтовидная сумка:
- В норме содержит минимальное количество жидкости
- Срастается с нижней поверхностью акромиона
- Расположена более поверхностно, чем вращательная манжета плеча
о Подклювовидная сумка:
- Отделена от подлопаточного кармана сустава
- Расположена между сухожилием подлопаточной мышцы и клювовидно-плечевой мышцей/сухожилием короткой головки двуглавой мышцы
- Может сообщаться с субакромиально-субдельтовидной сумкой
- В норме не сообщается с суставной полостью
о Подостная сумка:
- Расположена между сухожилием подостной мышцы и капсулой сустава
- В редких случаях сообщается с полостью сустава
о Другие, реже встречающиеся суставные сумки:
- Глубже клювовидно-плечевой мышцы
- Между большой круглой мышцей и длинной головкой трехглавой мышцы
- Спереди и сзади от сухожилия широчайшей мышцы спины
- Выше акромиального отростка
• Вспомогательные мышцы верхнего отдела плеча:
о Дельтовидная, двуглавая, клювовидно-плечевая, трехглавая
• Мышцы плечевого сустава:
о Трапециевидная, широчайшая мышца спины, мышца, поднимающая лопатку, большая и малая ромбовидные, передняя зубчатая, подключичная, лопаточно-подъязычная, большая грудная, малая грудная мышцы
Кровоснабжение плеча, вид спереди. Кровоснабжение плеча осуществляется преимущественно передней и задней артериями, огибающими плечевую кость, надлопаточной артерией и артерией, огибающей лопатку. Кровоснабжение плеча, вид сзади. Обильное коллатеральное кровоснабжение включает анастомозирование с межреберными артериями.
2. Внутренние структуры:
• Четырехстороннее отверстие:
о Верхняя граница: малая круглая мышца
о Нижняя граница: большая круглая мышца
о Латеральная граница: плечевая кость о Медиальная граница: длинная головка трехглавой мышцы
о Через отверстие проходит подмышечный нерв и задняя артерия, огибающая плечевую кость
• Клювовидно-акромиальная дуга:
о Верхняя граница: акромиальный отросток
о Задняя граница: головка плечевой кости
о Передняя граница: клювовидный отросток и клювовидноакромиальная связка
о Содержит субакромиально-субдельтовидную сумку, надостную мышцу/сухожилие и длинную головку двуглавой мышцы
• Вращательный интервал:
о Трехстороннее отверстие между нижним краем надостной мышцы/сухожилия и верхним краем подлопаточной мышцы/ сухожилия
о С медиальной стороны ограничен клювовидным отростком
о С латеральной стороны органичен поперечной связкой плеча
о Передняя граница образована клювовидно-плечевой связкой, верхней суставно-плечевой связкой и суставной капсулой.
Плечевое сплетение, вид спереди. Ветви плечевого сплетения, иннервирующие плечо, вид сзади. Показан ход надлопаточного нерва при глубокой плечелопаточной диссекции. На срезе в аксиальной проекции непосредственно ниже уровня большой вырезки лопатки показано расположение надлопаточных артерии, нерва и вены. Рисунок области плечевого сустава, вид сзади. При поверхностной плечелопаточной диссекции показано расположение четырехстороннего и трехстороннего отверстий (обведены зеленой линией).
Переломы костей предплечья.
Причины
Причины перелома костей предплечья в зависимости от локализации:
• лучевой кости в типичном месте возникает вследствие падения на прямую руку с упором на ладонь. Немного реже такого рода перелом возникает при падении на тыльную часть ладони. Более распространены такие переломы среди людей, страдающих заболеваниями костей, снижающими их плотность. В большинстве случаев кость ломается на пару сантиметров выше лучезапястного сустава;
• средней части, или диафиза обеих костей предплечья, довольно частое повреждение. Возникает как следствие падения на руку или сильного удара по предплечью;
• диафиза локтевой кости возникает как следствие удара по предплечью;
• диафиза лучевой кости возникает как следствие удара по предплечью;
• головки либо шейки лучевой кости возникает вследствие падения на прямую руку;
• Монтеджа возникает вследствие отражения удара согнутым и поднятым предплечьем, либо падения на прямую руку;
• Галеацци возникает при ударе по предплечью либо при падении на прямую руку;
• локтевого отростка возникает вследствие резкого сокращения мышцы, разгибающей предплечье, падения или удара в область локтя;
• венечного отростка возникает как следствие падения на согнутый локоть.
Лечение
Первая помощь при переломах костей предплечья заключается в обезболивании, фиксации поврежденной конечности. В течение нескольких часов рекомендуют наложение холода для предотвращения развития отека. Больной доставляется к врачу.
При переломе локтевого и венечного отростка без смещения накладывают гипсовую повязку сроком на 3-4 недели. При смещении фрагментов больше чем на 5мм при переломе локтевого отростка проводят оперативное вмешательство методом остеосинтеза (соединение костных отломков при помощи фиксирующих конструкций, которые обеспечивают неподвижность костных фрагментов). При вклинивании осколка в локтевой сустав при переломе венечного отростка оперативно удаляют этот фрагмент.
При несмещенном переломе головки и шейки лучевой кости на согнутый локтевой сустав накладывают лонгет с фиксацией лучезапястного и локтевого сустава и до середины плеча сроком на три недели. При смещении показан остеосинтез.
При диафизарном переломе локтевой и лучевой кости, не осложненной смещением, предплечье фиксируют в положении сгиба с захватом лучезапястного и локтевого суставов сроком на пять недель. При переломе со смещением выполняют репозицию (восстановление правильного положения смещенных отломков кости) и накладывают гипсовую повязку сроком до шести недель.
При диафизарном переломе обеих костей предплечья без смещения на руку, согнутую в локте, накладывают лонгет, захватывая лучезапястный и локтевой сустав сроком до восьми недель. При смещении отломков проводят репозицию или остеосинтез в зависимости от тяжести повреждения. После оперативного вмешательства накладывают гипсовую повязку сроком до трех месяцев.
Хирургическое лечение в нашей клинике:
В ходе этой операции устраняют смещение отломков и скрепляют кость металлической конструкцией, выбор которой определяется характером перелома.
Операционный доступ: 1. Доступ Томсона; 2. Доступ Генри; 3. Доступ к локтевой кости.
Положение пациента на спине. Обезболивание: проводниковая анестезия или эндотрахеальный наркоз. Операция выполняется в кратчайшие сроки с использованием современных методик и имплантов. Импланты производства Швейцария и Германия. Материал имплантов: титан или медицинская сталь.
Лучевая анатомия плеча
1 ГОУ ВПО «Оренбургский государственный медицинский университет» Министерства здравоохранения Российской Федерации
Статья посвящена детальному анализу хирургической анатомии проксимального отдела предплечья в сочленении с дистальными сегментами плечевой кости. Подробно изучены и описаны характерные особенности строения и функции проксимального отдела предплечья в разные возрастные периоды, что помогает лучше понять специфику повреждений костных и связочных структур данной области. Также затрагиваются вопросы рентгенологической диагностики и методики лечения различных повреждений костей в данной области. В статье достаточно подробно описываются сочленения костей предплечья с дистальным сегментом плечевой кости, что имеет важное значение в клинической практике хирургов и травматологов. Современный комплексный взгляд на хирургическую анатомию проксимального отдела предплечья позволит улучшить диагностику, а следовательно, и лечение различных повреждений (переломов и вывихов) как у взрослых, так у детей.
7. Саймон Р.Р., Шерман С.С., Кинингснехт С.Дж. Неотложная травматология и ортопедия: пер. с англ. – М.; СПб.: «Изд-во БИНОМ» – «Изд-во «Диалект», 2014. – 576с.
8. Федюнина С.Ю. Оперативное лечение переломов и вывихов головки лучевой кости у взрослых: дис. … канд. мед. наук. – СПБ., 2006.
Биомеханически предплечье состоит из двух компонентов: оси и рычага. Ось – это локтевая кость, которая несет на себе статическую нагрузку вместе с плечом всей верхней конечности. Лучевая кость – это рычаг. Основная функция этого рычага – вращение [4,5,7]. Лучевая и локтевая кости – это два противоположных конуса. Кости в сегменте предплечья расположены параллельно между собой. В проксимальном отделе лучевая и локтевая кости окружены относительно крупным мышечным массивом. Помимо эстетического предназначения для верхней конечности, предплечье помогает локтевому суставу, кисти осуществлять простые, но в то же время важные и необходимые для человека функции. Средний сегмент предплечья представлен диафизами лучевой и локтевой костей, соединенными межкостной мембраной, и вместе с проксимальным и дистальным сочленениями способствует супинации и пронации [3].
Большинство анатомов и клиницистов рассматривают предплечье в виде трех отделов: проксимального, диафизарного и дистального. Проксимальный отдел предплечья представлен головкой и шейкой лучевой кости, венечным и локтевым отростками, которые образуют блоковидную вырезку локтевой кости. Лучевая и локтевая кости в проксимальном отделе сочленяются с дистальным концом плечевой кости, образуя плечелучевой и плечелоктевой суставы, а также взаимодействуют между собой [4,5]. Головка лучевой кости (caput radii) образует две анатомо-функционально значимые поверхности: торцевую и боковую. Торцевая поверхность, называемая суставной ямкой, сочленяется с головчатым возвышением плечевой кости. Боковая поверхность контактирует с лучевой вырезкой локтевой кости в проксимальном лучелоктевом сочленении. При рентгенологическом исследовании положение головки лучевой кости не строго прямое, так как она располагается под углом относительно продольной оси. Градус углового отклонения может быть различным в зависимости от индивидуальной изменчивости, что следует учитывать при рентгенологических исследованиях. Головка лучевой кости, по сравнению с другими отделами предплечья, является внутрисуставным образованием и слабо кровоснабжается. В клинике слабость кровоснабжения опасна из-за высокой вероятности ее асептического некроза при различных повреждениях, что требует от хирургов максимальной органосохранности при оперативном лечении [5]. Форма головки цилиндрическая, благодаря такой форме возможна осевая ротация лучевой кости, а также сгибание и разгибание в локтевом суставе. Сочленяясь с головочкой мыщелка плечевой кости, caput radii способна автономно ротировать лучевую кость независимо от объема сгибания или разгибания в локтевом суставе. Головка лучевой кости в плечелучевом сочленении обеспечивает статическую стабильность локтевого сустава. Динамическая стабильность обеспечивается связочным и мышечным аппаратом. Вместе с внутренней коллатеральной связкой она препятствует вальгусному отклонению предплечья в статическом положении. Помимо стабилизирующей функции локтевого сустава головка лучевой кости в сочленении с головочкой мыщелка плечевой кости берет на себя 40–60 % осевой нагрузки, проходящей через локтевой сустав, а при максимальной работе сустава, связанной с мышечным напряжением, осевая нагрузка на плечелучевое сочленение возрастает до 90 %. Этим и объясняется тот факт, что при патолого-анатомических исследованиях локтевых суставов у пожилых лиц находят выраженные дегенеративно-дистрофические изменения в плечелучевом сочленении. За счет взаимодействия головок лучевой и мыщелка плечевой костей возможна ротация, флексия и экстензия предплечья [8]. В отношении шейки лучевой кости современные литературные источники дают скудные данные, шейка описывается лишь как промежуточный сегмент, отделяющий головку от остальных анатомических образований лучевой кости [1,3,6], а сама шейка охватывается кольцевидной связкой [5]. Отдельно выделяется также и бугристость лучевой кости, которая служит прикреплением к двуглавой мышце плеча. В интерпретации рентгенограмм положение бугристости является маркером оценки ротационного положения лучевой кости [5, 6].
Проксимальный отдел локтевой кости представлен блоковидной вырезкой, которая образована венечным и локтевым отростками. За счет сочленения вырезки с блоком плечевой кости обеспечивается стабильность локтевого сустава, а также сгибание и разгибание в нем [5].
Венечный отросток – стабилизатор локтевого сустава, клиническая значимость его подтверждается развитием нестабильности в локтевом суставе при переломах второго и третьего типов [1]. Анатомически венечный отросток имеет две поверхности, которые ряд авторов называют передняя и задняя, или наружная и внутренняя. Задняя поверхность или внутренняя располагается внутри сустава, образуя часть блоковидной вырезки. Передняя или наружная поверхность располагается вне локтевого сустава и служит точкой прикрепления его суставной сумки [5]. Проекционно со стороны лучевой кости у венечного отростка имеется лучевая вырезка для сочленения с головкой лучевой кости, а у основания отростка имеется бугристость для прикрепления плечевой мышцы [3, 6].
Локтевой отросток (olecranon) пальпируется клинически, причем максимальное его выстояние отмечается при положении сгибания в локтевом суставе [3, 6]. Определенное клиническое значение olecranon имеет в диагностике, когда вместе с медиальным и латеральным надмыщелками плечевой кости образуют равнобедренный треугольник Гютера. Нарушение равнобедренности данного треугольника указывают на наличие внутрисуставных повреждений в локтевом суставе [5].
Проксимальное лучелоктевое сочленение идеально конгруэнтный сустав, входящий в состав локтевого [5]. Данный сустав по типу соединения костей является цилиндрическим и вместе с дистальным лучелоктевым сочленением функционально образует единый сустав, отвечающий за супинацию и пронацию предплечья. В результате супинационных и пронационных движений локтевая кость остается неподвижной, вращается лишь лучевая [3]. В образовании проксимального лучелоктевого сочленения принимает участие боковая поверхность головки лучевой кости, называемая также суставной окружностью, и лучевая вырезка локтевой кости, располагающаяся на венечном отростке [1, 3,5, 6, 9].
Ряд связок проксимального отдела предплечья объединяет лучевую и локтевую кости как между собой, так и с плечевой костью в локтевом суставе [1-6, 9]. Вообще практически весь связочный комплекс в этом сегменте предплечья является стабилизирующим образованием лучевой и локтевой костей между собой, также отмечена и роль стабилизации данных связок в локтевом суставе в целом [1,3,5,6,9]. Кости предплечья, сочленяясь с плечевой костью, латерально и медиально удерживаются при помощи связок [2,5]. Ряд авторов описывают каждую связку в отдельности [1,3,5,6], другие рассматривают связки как комплексы: латеральный и медиальный [2].
Латеральный связочный комплекс включает в себя: кольцевую, лучевую коллатеральную, латеральную локтевую коллатеральную и добавочную коллатеральную связки [2]. Адельберт И. Капанджи (2014) делит весь связочный аппарат в проксимальном сегменте предплечья на внутреннюю латеральную и наружную латеральную связки, каждая из этих связок включает в себя: передний, средний и задний пучки. Лучевая коллатеральная связка на плечевой кости прикрепляется к латеральному надмыщелку [1] и огибает головку лучевой кости спереди и сзади, прикрепляясь к бугристости лучевой кости [6]. По мнению других авторов, лучевая коллатеральная связка, делясь на два пучка (передний и задний), охватывает шейку лучевой кости, передний пучок прикрепляется к блоковидной вырезке, задний вплетается в кольцевидную связку [1].
В.И. Зоря, А.В. Бобовников (2010), В.П. Немсадзе, Н.П. Шастин (2009) считают, что лучевая коллатеральная связка вплетается в кольцевидную, а локтевая коллатеральная связка прикрепляется к супинационной бугристости локтевой кости, туда же прикрепляется и добавочная коллатеральная связка, которая начинается от кольцевидной. Некоторые авторы, упрощая анатомическую терминологию, называют весь связочный комплекс с лучевой стороны – наружной латеральной связкой. Наружная латеральная связка передним и средним пучками укрепляет кольцевидную связку, причем передний пучок вплетается в саму связку, средний проходит над ней и прикрепляется к супинационной бугристости локтевой кости, а задний, начинаясь от латерального надмыщелка, прикрепляется к блоковидной вырезке [4].
Кольцевидная связка начальную и конечную точки прикрепления имеет в лучевой вырезке локтевой кости, таким образом, охватывая проксимальный отдел лучевой кости (головку и шейку), и не прикрепляется к лучу вообще [1,2,5,6]. Кольцевая связка одна из ключевых связок, стабилизирующих проксимальный отдел предплечья. При повреждениях в области плечелучевого сочленения, кольцевая связка способна брать на себя функцию поврежденного сустава [5]. Эта связка помимо прикрепления к локтевой кости укреплена лучевой коллатеральной связкой [1-4,6]. При избыточной варусной нагрузке кольцевая связка может быть укреплена добавочной латеральной коллатеральной связкой, которая описывается некоторыми авторами [2].
Надежность стабилизации проксимального лучелоктевого сочленения обеспечивается также квадратной связкой, которая прикрепляется одним своим краем к кольцевидной связке, а другим к лучевой вырезке локтевой кости [1,2,5].
С внутренней или локтевой стороны проксимальный отдел предплечья стабилизирует медиальный связочный комплекс или внутренняя латеральная связка [2,4], называемая также – локтевая коллатеральная связка [1,3,6,9]. С внутренней стороны связочный аппарат прикрепляется к медиальному надмыщелку плечевой кости и идет к проксимальному отделу локтевой кости, прикрепляясь к венечному отростку и к блоковой вырезке [1-3,6,9]. Описываются также варианты стабилизации медиального связочного комплекса передним пучком кольцевой связки лучевой кости [4].
Отдельно выделяют также и добавочную поперечную связку Cooper, которая крепится на внутренних поверхностях венечного и локтевого отростков. Стабилизирующая функция этой связки ставится под сомнение, так как точки прикрепления ограничены одной локтевой костью без охватов и огибаний лучевой кости [2].
Весь связочный аппарат предплечья обладает определенным запасом прочности, лишь кольцевая связка является относительно слабой. Эта связка при переломах и вывихах головки лучевой кости может разрываться на протяжении. Остальные связки способны отрываться лишь при значительных механических усилиях в месте прикрепления их к костям [3].
Кроме стабилизации связочным аппаратом проксимальный отдел предплечья укрепляется еще капсулой локтевого сустава [5] и мышцами [4].
Проксимальные отделы лучевой и локтевой кости, участвующие в образовании локтевого сустава, несут в себе функцию сгибания и разгибания предплечья. В осуществлении пронации и супинации проксимальный лучелоктевой сустав работает в содружестве с дистальным. Сгибание и разгибание предплечья, супинация, пронация осуществляются посредством мышечного аппарата. Кроме того, мышечный слой в данном сегменте несет в себе еще и механическую защиту лучевой и локтевой костей, а также и динамическую стабилизацию. В клиническом аспекте мышечный аппарат за счет своего массива может влиять на выраженность симптоматики при переломах. Данное свойство зависит от того, насколько кость покрыта мышцами: чем больше покрытие кости, тем малоинформативной будет симптоматика. При переломах тракционное действие мышц определяет смещение отломков. Описана также механическая защита мышцами сосудов и нервов от костных отломков [5].
К бугристости лучевой кости крепится двуглавая мышца плеча, основные задачи которой – это сгибание и супинация. В проксимальном отделе лучевой кости латерально ниже ее шейки прикрепляется мышца-супинатор. Данная мышца между бугристостью и точкой прикрепления круглого пронатора имеет точки прикрепления на лучевой коллатеральной и кольцевой связках, а также на супинационной бугристости локтевой кости. Супинатор охватывает проксимальный отдел лучевой кости сзади и латерально выше и ниже бугристости. Основная функция мышцы соответствует ее названию – супинация предплечья. Не прикрепляясь к проксимальному отделу лучевой кости, но проходят через него и тем самым обеспечивают покровную защиту: m.pronator teres, m. brachioradialis [1,2,3,5,6].
В области проксимального отдела локтевой кости прикрепляется локтевая мышца (m.anconaeus). Она идет от латерального надмыщелка лучевой коллатеральной связки и фасции предплечья и прикрепляется к задней поверхности верхней трети метадиафиза локтевой кости, а также к локтевому отростку. Локтевая мышца стабилизирует сустав за счет вальгусного отклонения при полном разгибании предплечья, а также при варусном действии m.pronator teres. Ряд авторов отводят локтевой мышце ту же функцию, что и трехглавой мышце [3,5].
К супинационной бугристости и венечному отростку прикрепляется плечевая мышца, которая начинается от н/3 плечевой кости. Данная мышца покрыта двуглавой мышцей и основной ее функцией является участие в сгибании предплечья [3,5]. В клиническом аспекте тракция плечевой мышцы приводит к вторичному смещению отломков при переломе диафиза локтевой кости и переднему смещению локтевого отростка при его отрыве, хотя такие виды смещения редки в травматологии [5].
К венечному отростку и бугристости локтевой кости прикрепляется круглый пронатор, который имеет еще и точку прикрепления в области медиального надмыщелка. Основная функция этой мышцы соответствует ее названию – пронация предплечья. Описано также ее участие в сгибании предплечья [5,6]. К локтевому отростку прикрепляется сухожилие одного из основных разгибателей предплечья – трехглавая мышца, которая за счет своих головок соединяет лопатку, плечевую кость и локтевой отросток. При переломах локтевого отростка трехглавая мышца способствует его смещению кзади [1,3,5].
В клиническом аспекте представляется важным деление плечевой артерии на лучевую и локтевую на уровне шейки лучевой кости. Лучевая артерия проходит медиальнее плечелучевой мышцы. Локтевая артерия возле шейки лучевой кости подходит под круглым пронатором и идет дальше к с/3 предплечья. Локтевой нерв в верхнем отделе предплечья отличается подвижностью и не фиксирован жестко, поэтому травмирование его в этом сегменте происходит редко [5,6]. Лучевой нерв на уровне локтевого сустава делится на поверхностную и глубокую ветви. Глубокая ветвь лежит над головкой и шейкой лучевой кости, в связи с чем возможны вторичные неврологические нарушения при переломах в этой зоне. В области проксимального отдела предплечья на середине венечного отростка проецируется срединный нерв, поэтому в клинике необходимо учитывать такое расположение нерва при планировании операций [5].
Проксимальный отдел предплечья вместе с сочленяющимися суставными поверхностями плечевой кости представляет собой сложный анатомический и биомеханический комплекс, отличающийся общей анатомической и возрастной изменчивостью. Переломы и вывихи в данной области встречаются достаточно часто у детей, имеют ряд возрастных особенностей и отличий как в диагностике, так и в лечении от аналогичных повреждений у взрослых. На сегодняшний день в литературе отсутствуют протоколы лечения повреждений в проксимальном отделе предплечья и сочленяющихся с ним дистальных отделов плечевой кости на различных уровнях: районная больница, областной центр. При переломах головочки мыщелка плечевой кости нет четких сформулированных критериев рентгенологической диагностики, позволяющих врачам амбулаторного звена и районных больниц своевременно направлять детей в профильные стационары. В современной литературе не уделяется должного внимания случаям ошибок и осложнений при данных переломах.
При переломах головки и шейки лучевой кости у взрослых методики лечения обладают высокой хирургической агрессией, поэтому большинство из них не может применяться в педиатрической практике. Те методы репозиции переломов шейки лучевой кости у детей, которые имеются в арсенале детских хирургов, биомеханически сложны, что не позволяет врачам – общим хирургам районных больниц, детским хирургам областного центра без соответствующего опыта оказывать квалифицированную помощь.
В настоящее время отмечаются осложнения при переломо-вывихах в области локтевого сустава у детей. Связано это с отсутствием алгоритмов рентгенологической и клинической диагностики переломо-вывихов в неспециализированных ЛПУ.
Заболевания по направлению Разрыв (повреждение) вращательной манжеты
Большие нагрузки на плечо могут стать причиной различных повреждений и дегенеративных изменений. При неоднократных нагрузках на сустав плеча теряется его стабильность, и возникают проблемы с работоспособностью. Более серьезной проблемой является частичный или полный разрыв вращательной манжеты сустава. Такая травма требует срочного врачебного вмешательства и, зачастую, оперативного лечения.
Плечевой сустав – один из наиболее подвижных суставов в теле человека. Строение данного сустава дает возможность осуществлять в большом диапазоне различные движения верхними конечностями: вращательные, сгибательные, отводящие, разгибательные и приводящие действия.

Описание заболевания
Вращательная манжета плеча – передняя наружная часть капсулы плечевого сустава. Она объединяет в себе сухожилия надостной, подостной, малой круглой мышц. Несмотря на различие выполняемых ими функций, такое анатомически близкое место фиксации мышц позволило травматологам идентифицировать их в общую группу (вращательную манжету плеча).

Повреждением вращательной манжеты можно считать разрыв одного или группы сухожилий, входящих в ее состав. Чаще всего это вызвано травмой, вывихом или предшествовавшим хроническим воспалительным процессом.
Что вызывает повреждение вращательной манжеты плечевого сустава?
Как уже было сказано выше, самой частой причиной повреждения вращательной манжеты является травма. Чаще всего разрывы возникают у лиц преклонного возраста, однако у молодых людей разрыв тоже может произойти вследствие серьезных повреждений, таких, как перелом части плечевой кости или вывихи.
Довольно распространенная причина повреждения вращательной манжеты – постоянная травматизация сухожилий, имеющая хронический характер. В основном, это относится к людям, профессиональная деятельность которых связана с тяжелым физическим трудом. Напряжение и сильная нагрузка на суставы, сопровождающиеся многократными двигательными операциями, приводит к хроническому воспалению и боли.
Самопроизвольному разрыву или повреждению сухожилий, как правило, предшествует период дегенеративно-дистрофических изменений. Недостаток кровоснабжения – основная причина дегенерации тканей или тендопатии. К другой возможной причине развития дегенерации многие врачи относят и генетическую предрасположенность.
Еще одной причиной может являться индивидуальная анатомия. Иногда недостаточное пространство между головкой плечевой кости и кончиком лопаточной кости приводит к постоянному трению и травмированию сухожилий вращательной манжеты. Помимо этого, анатомически обусловленным является крючкообразная форма акромиального отростка и наличие на кончике лопаточной кости добавочной кости, повреждающей сухожилия.
Симптомы разрыва вращательной манжеты
Разрыв всегда сопровождается резким приступом боли, локализованной в области плечевого сустава и вокруг него. Боль нередко иррадиирует в кисть, шею и предплечья. Характерным симптомом является усиление боли при попытке совершить определенное движение рукой, например, поднять ее или отвести в бок. В некоторых случаях пациенты и вовсе лишены возможностью двигать рукой. Индивидуальность симптомов и степень их выраженности зависит от того, полным или частичным был разрыв вращательной манжеты. Пациенты также очень часто жалуются на невозможность спать на стороне, где поврежден сустав.
Место, где локализован центр боли, напрямую зависит от места нахождения поврежденного сухожилия. Самым частым в клинической практике является разрыв сухожилия надостной мышцы. Диагностировать такой случай можно, попросив пациента отвести руку в бок. Если мы имеем дело именно с таким повреждением, больной не сможет выполнить данное задание. Если же, отведение руки возможно, но ощущается ярко-выраженная боль, вероятнее всего, что сухожилие порвано не полностью, а лишь сильно повреждено.
Диагностика повреждений вращательной манжеты ключевого сустава
Для того, чтобы поставить верный диагноз врач проводит комплекс мер по установлению клинической картины.
Первым методом является опрос больного: врачу необходимо установить обстоятельства, при которых появилась боль, установить, как давно пациент испытывал неприятные ощущения в данной области и расспросить о характере профессиональной деятельности.
Затем необходим тщательный осмотр с применением специфических тестов. Таким образом определяется уровень, степень выраженности болевого синдрома, степень слабости двигательных функция и состояние прилегающих мышц. Обычно, полный разрыв имеет ряд ярко-выраженных симптомов, поэтому диагностировать его удается без труда.
Ниже приведено несколько диагностических тестов, помогающих врачу разобраться с характером повреждений плечевого сустава.
Болезненная дуга Доуборна

Рука пассивно и активно отводится от начального положения вдоль туловища.
Оценка. Боль, появляющаяся при отведении между 70° и 120°, является симптомом повреждения сухожилия надостной мышцы, которое подвергается компрессии между большим бугорком плечевой кости и акромиальным отростком в этой фазе движения («подакромиальный импиджмент»).
Тест отведения рук из нулевого положения

Пациент стоит с опущенными и расслабленными руками. Врач охватывает дистальную треть каждого предплечья пациента своими руками. Пациент пытается развести руки, в то время как врач оказывает сопротивление.
Оценка. Отведение руки осуществляют надостная и дельтовидная мышцы. Боль и особенно слабость в процессе отведения и девиации руки убедительно подтверждают разрыв ротаторной манжеты.
Эксцентричное расположение головки плеча в виде ее верхнего смещения при разрыве ротаторной манжеты возникает из-за дисбаланса мышц, окружающих плечевой сустав. Частичные разрывы, которые могут быть функционально компенсированы, в меньшей степени нарушают функцию при одинаковой выраженности болевых ощущений. Для полных разрывов неизменно характерны слабость и потеря функции.
Тест надостной мышцы Jobe

Этот тест может выполняться в положении пациента стоя или сидя. При разогнутом предплечье рука пациента устанавливается в положении отведения 90°, 30° горизонтального сгибания и во внутренней ротации. Врач оказывает сопротивление этому движению путем давления на проксимальный отдел плеча.
Оценка. Если этот тест вызывает значительную боль и пациент не может самостоятельно удерживать отведенную на 90° руку против силы тяжести, это называется положительным симптомом падающей руки. Верхние порции ротаторной манжеты (надостной) оцениваются преимущественно в положении внутренней ротации (первый палец смотрит вниз), а состояние передней порции манжеты — в положении наружной ротации.
Тест падающей руки (симптом падающего флажка, шахматных часов)

Пациент сидит, врач пассивно отводит разогнутую руку пациента приблизительно на 120°. Пациента просят самостоятельно удерживать руку в таком положении, а затем постепенно ее опустить.
Оценка. Невозможность удержания руки в этой позиции с или без боли, или резкое падение руки подтверждают повреждение ротаторной манжеты. Наиболее частой причиной является дефект надостной мышцы. При псевдопараличе пациент самостоятельно не может поднять поврежденную руку. Это основной симптом, подтверждающий патологию ротаторной манжеты.
Тест отведения в наружной ротации на разрыв сухожилия подостной мышцы

Рука пациента устанавливается в положении отведения 90° и сгибания 30°. В этом положении исключается действие дельтовидной мышцы как наружного ротатора. Затем пациенту предлагают начать наружную ротацию, чему препятствует врач.
Оценка. Уменьшение активной наружной ротации в отведенном положении руки характерно для клинически значимого повреждения сухожилия подостной мышцы.
Далее в обязательном порядке пациент получает направление на рентген. С помощью рентгенографического исследования врач получает картину, типичную для того или иного случая. К сожалению, именно разрыв не определяется четко, на него могут указать лишь ряд косвенных признаков. Самым информативным методом диагностики на сегодняшний день является магнитно-резонансная томография. С ее помощью можно визуализировать сухожилия, мышцы и связки плечевого сустава. Данный метод предоставляет наиболее четкую и яркую картину состояния мягких тканей пациента.
Методы лечения разрыва вращательной манжеты
Самым первым действием врача станут меры по облегчению боли: обычно, это противовоспалительные обезболивающие препараты и мази. Рекомендуется полный покой травмированной руки и фиксация с помощью наложения повязки или отводящей шины. Убрать отек поможет наложение холода, например пакета со льдом.
Хирургическое лечение
Полный разрыв манжеты не сможет срастись самостоятельно, а потому требуется незамедлительное оперативное вмешательство, дабы не утратить двигательную функцию сустава. В данном случае важно произвести операцию как можно раньше, потому как застарелая травма приводит к укорачиванию мышцы и невозможности растягивания ее до исходной длины. В таких случаях весьма сложно вернуть сухожилие на место и потребует от хирурга немало усилий. Оптимальный период исполнения операции – несколько месяцев с момента разрыва.
В процессе хирургического вмешательства поврежденное сухожилие натягивают, прикрепляя его к месту исходного положения, а также подшивают, если это необходимо. Все безжизненные ткани, подвергшиеся дегенерации удаляют, чтобы сухожилие лучше приросло к месту искусственного присоединения. Для прикрепления сухожилия в основном используются якорные фиксаторы. Якорь вкручивается в тот участок кости, куда впоследствии будет подсоединены мягкие ткани. Нити, прикрепленные к якорю, пропускают через вращательную манжету и подтягиваются к кости с помощью узловых швов. Таким образом, швы удерживают ткани до полного срастания мест разрыва. Операция по восстановлению функций вращательной манжеты можно назвать довольно сложной, и она выполняется путем разреза.
Артроскопическое лечение
Артроскопия – наиболее прогрессивный метод оперативного лечения разрыва вращательной манжеты. Выполняется без разреза путем создания специального прокола диаметром 1-2 сантиметра. Через полость прокола в сустав вводят камеру – артроскоп, благодаря чему хирург видит четкую картину внутреннего пространства сустава. Изображение, получаемое с поверхности артроскопа, транслируется на экран, глядя на который хирург проводит все необходимые манипуляции и одновременно контролирует их.
Операция, проведенная таким способом наиболее предпочтительна, так как заживление происходит гораздо быстрее, а окружающие сустав ткани практически не повреждаются в ходе вмешательства. После хирургического вмешательства руку пациента обездвиживают на несколько недель путем наложения шины. Это обезопасит от возможности повторного разрыва и даст тканям срастись после операции.
Реабилитация после травмы
Реабилитацию после данной травмы нельзя назвать быстрой: как правило, она может занимать от 3 до 6 месяцев. Нагрузка на поврежденный сустав должна быть точно дозирована, дабы не нарушить процесс срастания.
В качестве реабилитации показаны специальные упражнения и восстановительная гимнастика. Разрабатывать сустав следует начинания с пассивных движений. Активные упражнения могут быть разрешены не ранее, чем через 6 недель после операции. Назначается физиолечение с целью снятия отечности тканей и боли после операции.
Оформите заявку на сайте, мы свяжемся с вами в ближайшее время и ответим на все интересующие вопросы.
Читайте также:
