Лучевая анатомия связок голеностопного сустава
Добавил пользователь Евгений Кузнецов Обновлено: 27.01.2026
Интерес ортопедов и ревматологов к МРТ суставов продолжает растёт год от года, что обусловлено огромным потенциалом данной методики, все увеличивающимся благодаря ее быстрому развитию в последние годы.
Это особенно ценно при планировании операции, при диагностике травм и новообразований (опухолей). С помощью снимков МРТ врач может выявить все структурные изменения в костной и хрящевой тканях, в связках задолго до того, как это можно будет «увидеть» с помощью других методов исследования. Кроме того, отсутствие лучевой нагрузки дает возможность использовать МРТ для контроля за эффективностью проводимого лечения.
В отличие от других методов диагностики, магнитно-резонансная томография позволяет получить четкое изображение не только костных структур и хрящевых тканей, но и мягких тканей вокруг состава. Поэтому наиболее часто проводится МРТ коленного сустава и других крупных суставов.
МРТ коленного сустава
Особая диагностическая ценность МРТ коленного сустава состоит в получении исчерпывающей картины дегенеративно-дистрофических изменений (хронические артриты и остеоартрозы, повреждения суставных поверхностей) и возможности визуализации самых мелких травм (разрывы связок, сухожилий, переломы), визуализация хряща с последующим его картированием для определения дистрофических и травматических изменений.


Дистрофические изменения суставного хряща надколенника (с использованием опции «картирования хряща»)
МРТ помогает с большой точностью установить полный или же частичный разрыв мениска, прекрасно и наглядно отображает состояние связок коленного сустава. При диагностировании передней крестообразной связки МРТ показывает разрывы ясно и четко в 96%. Магнитно-резонансная томография наглядно демонстрирует не только разрывы сухожилий, но и гораздо более тонкие проблемы, возникающие во внутренней структуре, сопряженные с воспалением или рубцеванием тканей, которые при неблагоприятном прогнозе могут вызвать определенные хронические заболевания.
Кроме того, МРТ коленного сустава и других крупных суставов оказывает большую помощь для планирования хирургических операций (протезирования, артроскопии), а также в период послеоперационного мониторинга состояния.
МРТ коленного и других крупных суставов проводится при следующих общих показаниях:
- травма сустава (повреждение внутрисуставных и наружных связок, суставных хрящей);
- переломы в области суставов (в том числе рентгенологически скрытые);
- частичный или полный разрыв мениска;
- дистрофические изменения сустава (остеоартроз);
- хронический артрит;
- выраженный болевой синдром в суставе или в мягких тканях вокруг него;
- припухлость сустава;
- наличие жидкости в полости сустава.
МРТ плечевого сустава
Плечелопаточный периартрит (периартроз, периартикулярные поражения области плечевого сустава) - собирательный термин всех периартикулярных поражений области плечевого сустава. Нередко боли в области плечевого сустава вызваны не поражением самого сустава, а околосуставных мягких тканей. Наиболее частой причиной острой или хронической боли в области плечевого сустава является дегенеративно-воспалительное поражение сухожилий мышц, участвующих в движениях плеча (тендиниты). От чрезмерной физической нагрузки (у маляров, спортсменов и людей других профессий) сухожильные волокна растягиваются и надрываются. В конечном итоге развивается воспалительный процесс. Острый период с резкими болевыми ощущениями у таких пациентов длится обычно несколько недель, и при эффективном лечении интенсивность болей в плече снижается, функция сустава восстанавливается. Однако благоприятное течение заболевания с полным выздоровлением заканчивается далеко не у всех. У многих больных при неблагоприятном развитии патологического процесса боли в плече не проходят, а подчас усиливаются не только при физической нагрузке, но и в покое, приобретают постоянный характер. Движения в суставе, как правило, сопровождаются хрустом различной интенсивности. В далеко зашедших случаях может возникнуть тугоподвижность сустава, атрофия мышц и остеопороз головки плечевой кости. При рентгеновском исследовании чаще всего определяется кальцификация (отложение солей) в суставных сумках и в окружающих сустав тканях. МРТ дает полную картину патологических изменений в периартикулярных тканях на ранних этапах заболевания - это отек в области сухожилий, их истончение или неполный разрыв, наличие выпота в суставных синовиальных сумках, атрофия отдельных групп мышц и др. Среди основных показаний к МРТ исследованию плечевого сустава являются нестабильности в суставе и разрывы вращательной манжеты плеча.
Нестабильность плечевого сустава отмечается при слабой фиксации головки плечевой кости в суставной впадине лопатки, которая приводит к повышенной подвижности в суставе и часто к развитию вывихов и подвывихов при травмах, определенных положениях руки (например, при бросании предметов из-за головы вперед). Если диагностика вывихов не представляет особых затруднений при обычном рентгенологическом исследовании, то подвывихи не всегда четко визуализируются при данном методе лучевой диагностики. МРТ диагностика в этих случаях позволяет визуализировать даже незначительные нарушения взаимоотношений головки плечевой кости и суставной впадины лопатки.
Разрывы вращательной манжеты плеча являются наиболее частой причиной болевого синдрома в плечевом суставе во всех возрастных группах взрослого населения и невозможности поднять или отвести руку. МРТ диагностика при данной травме позволяет визуализировать как полный разрыв связок, так и частичное их повреждение. Как правило, сопутствующими осложнениями повреждений вращательной манжеты плеча является скопление жидкости в субакромиальной и поддельтовидной сумках (находятся между мышцами), что также хорошо выявляется при МРТ исследовании. А восстановление разрыва сухожилий вращательной манжеты является сложной хирургической операцией.

МРТ признаки повреждения акромиально-ключичного сочленения на уровне плечевого сустава

МРТ плечевого сустава
МРТ локтевого сустава
Травма в области локтевого сустава чаще, чем в других местах, осложняется нарушением кровообращения, при котором руку может спасти только раннее оперативное вмешательство. Диагностика заболеваний локтевого сустава обычно не вызывает затруднений, поскольку он хорошо доступен для обследования. Среди всех поражений локтевого сустава чаще всего встречаются травматические повреждения (особенно у спортсменов). Переломы костей, образующих локтевой сустав, хорошо диагностируются при рутинном рентгенологическом исследовании. Применение МРТ необходимо для визуализации повреждений суставной капсулы, связок и сумок локтевого сустава. Разрывы локтевой боковой связки представляют собой один из наиболее характерных видов спортивных травм и часто сочетаются с разрывами капсулы сустава, переломами внутреннего надмыщелка и венечного отростка локтевой кости. Прямыми МРТ признаками разрыва локтевой боковой связки являются прерывистость хода ее волокон, наличие жидкости в полости сустава и отек мягких тканей вокруг. Часто, как следствие острой или хронической травмы, развивается бурсит в области локтевого отростка с наличием выпота в поверхностной сумке, который отчетливо виден при осмотре пациента. Другим характерным повреждением локтевого сустава является эпикондилит - хроническое дегенеративно-дистрофическое заболевание, обусловленное постоянной травматизацией сустава у спортсменов (теннисистов, бейсболистов, игроков в гольф, боулинг и др.), а также у людей определенных профессий (каменщиков, маляров, швей и др.). На МРТ изображениях определяется утолщение или истончение сухожилий мышц, прикрепляющихся к надмыщелкам плечевой кости, частичные разрывы этих связок с выпотом и отеком вокруг.

Посттравматическая энтезопатия общего сухожилия мышц-разгибателей («латеральный эпикондилит»)
МРТ кисти и лучезапястного сустава — самый информативный метод диагностики, дающий возможность оценки состояния костно-суставных и мягких тканей.
Показания к МРТ кисти и лучезапястного сустава: спортивные, производственные и бытовые травмы кисти и лучезапястного сустава, в том числе повреждения связочного аппарата кисти, хрящей, разрывы капсулы лучезапястного сустава и связок запястья, инородные тела, ущемление сухожилий, а также ущемление нервов (карпальный туннельный синдром), заболевания связочно-мышечного аппарата кисти и лучезапястного сустава различной природы (теносиновиты, гигромы, контрактура Дюпюитрена, флегмона и др.), заболевания суставов различной природы (артриты, артрозы, поражение суставов при коллагенозах, сахарном диабете, подагре, остеомиелите и т.д.) – все эти виды патологии кисти и лучезапястного сустава с высокой степенью достоверности можно установить с помощью МРТ. Показаниями к проведению МРТ являются противоречивость клинических данных и неясность или отсутствие характерных рентгенологических признаков повреждений области лучезапястного сустава, болевой синдром и нарушение функции кистевого сустава неясного генеза, в том числе при отсутствии травмы в анамнезе. Магнитно-резонансная томография является эффективным методом диагностики не только повреждений кистевого сустава и их последствий, но и мониторинга результатов проводимого лечения, так как обеспечивает возможность комплексной визуализации костных и мягкотканных структур этой области. МРТ кистевого сустава целесообразно проводить всем пациентам на начальном этапе лучевого обследования после рентгенологического исследования при травме кистевого сустава и неясной клинико-лучевой картине, а также при тяжелой травме со значительными повреждениями костных и мягкотканных структур, либо при болевом синдроме и нарушении функции в суставе неясного генеза при отсутствии травмы в анамнезе.

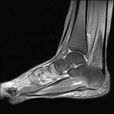
МРТ голеностопного сустава
Минимальные костные повреждения, обычно не выявляемые при рентгене, хорошо визуализируются при МРТ и КТ.
Для выявления изменений внесуставных стабилизаторов голеностопного сустава УЗИ и МРТ имеют примерно одинаковую диагностическую информативность. Оптимальным видом лучевого исследования для выявления изменений внутрисуставных структур голеностопного сустава является МРТ.
МРТ является наиболее универсальным методом визуализации повреждений всех структур голеностопного сустава. КТ позволяет детализировать (оценить степень и распространенность) выявленных при МРТ минимальных костных переломов. Повреждение связок по данным некоторых авторов в 16-21% случаев сопровождает спортивные травмы голеностопного сустава. При острой травме чаще всего повреждается передняя таранно-малоберцовая связка, реже - пучки дельтовидной связки.
Поскольку острые повреждения связок редко лечатся хирургически, магнитно-резонансная томография чаще всего назначается при наличии клинических признаков нестабильности сустава для решения вопроса о тактике ведения пациента и профпригодности.
МРТ критерии диагностики острых разрывов включают изменение интенсивности сигнала внутри и вокруг связок, прерывистость волокон, исчезновение жировых включений в структуре связки, признаки отека окружающих мягких тканей, контузию сочленяющихся костей.
По данным P.W. Bearcroft и соавт. чувствительность МРТ в выявлении острых повреждений связок голеностопного сустава составляет 94-96%, для хронических разрывов – 82-90%. МРТ обладает наибольшей чувствительностью (96-97%) и специфичностью (98%) в выявлении стрессовых переломов на ранней стадии.

Патологическое образование сухожилия подошвенной фасции
Остеохондральные повреждения в суставах (малые и крупные повреждения кости и хряща) - по существу МРТ является единственным методом, дающим исчерпывающую информацию о размере и локализации повреждения, состоянии покровного суставного хряща, конгруэнтности суставных поверхностей, жизнеспособности костного фрагмента, стабильности или степени восстановления между остеохондральным фрагментом и местом-донором, локализации костного фрагмента при его смещении в полость сустава.
Нейропатии периферических нервов конечностей, возникающие вследствие ущемления нервов конечности, обычно не всегда диагностируются из-за несовершенства техники клинического исследования, а результаты электрофизиологического анализа не надежны. Магнитно-резонансная томография дает детальную информацию о ходе и морфологии периферического нерва, а также точную дифференцировку окружающих мягкотканных структур и костных тканей, которые могут привести к ущемлению нерва.

Туннельная невропатия локтевого нерва
Таким образом, магнитно-резонансная томография по сравнению с другими методами лучевой диагностики дает лучшую визуализацию мягких тканей, а также позволяет определить костные изменения на ранней стадии, дополняя и превосходя рентгенологические данные:
Алгоритм лучевой диагностики повреждений голеностопного сустава и стопы

Последовательность диагностического поиска применительно к повреждениям голеностопного сустава и стопы всегда должна начинаться со сбора жалоб, анамнеза и изучения клинического статуса больного.
Перечень лабораторных исследований стандартен и невелик.
На первом этапе лучевого обследования всем пациентам с травмой голеностопного сустава и стопы следует выполнять полипроекционную рентгенографию в стандартных проекциях, в зависимости от области интереса. Возможно применение и рентгеноскопии.
Дальнейший диагностический поиск зависит от результатов клинического обследования и рентгенографии. При этом формально пациентов можно разделить на две большие группы. В первую входят больные с клиническими или рентгенологическими признаками переломов костей голеностопного сустава и стопы. Во вторую – лица, у которых данные признаки отсутствуют.
Когда у больных визуализируются переломы лодыжек, костей плюсны и фаланг пальцев стопы при отсутствии доминирующих осложнений и неясных вопросов у травматологов, инструментальная диагностика может быть завершена.
В тоже время больным с осложненными переломами дополнительно необходимо выполнить компьютерную томографию.
Собственные исследования показывают, что более чем у 16% больных КТ дополнительно выявляет переломы костей, не диагностированные при рентгенографии.
Выявляющийся при компьютерной томографией рассекающий остеохондрит блока таранной кости и необходимости установления стадии патологического процесса, уточняющим методом является магнитно-резонансная томография.
Многие мелкооскольчатые переломы, выявленные при КТ, носят авульсивный характер и обусловлены отрывом связок в местах своего прикрепления к кости.
Поэтому в случаях, когда разрыв связки имеет определяющее значение в манифестации повреждения, также назначается МРТ.
Показаниями для первичной МРТ голеностопного сустава и стопы после рентгенографического исследования являются: повреждения костей без рентгенологических и КТ-признаков переломов (скрытые, авульсивные переломы, переломы без смещения отломков, синдром трехгранной кости, ушиб и подсухожильный отек кости, стрессовые повреждения и др.), рассекающий остеохондрит таранной кости, повреждения сухожильно-связочного аппарата.
Во второй группе пациентов, где отсутствуют клинические и рентгенологические признаки переломов костей, проведение КТ нецелесообразно. Методом выбора в обследовании больных с травмой ахиллова сухожилий и подошвенного апоневроза является УЗИ. Применение МРТ пациентам данной категории оправдано только для проведения дифференциальной диагностики с переломами пяточной кости и другими заболеваниями и повреждениями. В остальных случаях повреждений сухожильно-связочного аппарата после первичного рентгенологического исследования следует сразу назначать магнитно-резонансную томографию, это обусловлено необходимостью одновременной оценки всего комплекса сухожилий, связок, костей и суставов на большом протяжении, так как травма сухожильно-связочного аппарата всегда носит сочетанных характер. И только для уточнения стадии выявленных повреждений сухожилий, когда это необходимо в определении тактики и объема лечебных и реабилитационных мероприятий МРТ дополняется ультразвуковым исследованием.
Особое значение МРТ и УЗИ имеют в диагностике профессиональных травм у спортсменов, что позволяет корректировать степень нагрузки во время тренировок и определить возможные сроки участия в соревнованиях.
Только комплексное лучевое обследование с применением рентгенографии, КТ, МРТ и УЗИ позволяет сформулировать окончательное диагностическое заключение с учетом патологии костей, суставов и сухожильно-связочного аппарата и точнее спланировать объем консервативного и оперативного лечения, а также медицинской реабилитации.
Рентген голеностопного сустава
Переломы, растяжения связок, воспаления и другие заболевания голеностопного сустава служат поводом обратиться к врачу. Рентген голеностопного сустава – инструментальная методика диагностики, которая позволяет быстро и точно найти причину жалоб пациента и поставить правильный диагноз.
Заболевания и травмы голеностопа
Голеностопный сустав человека, наряду с коленным и тазобедренным, – один из наиболее сложных суставов. Это место повышенного риска травм из-за большой нагрузки. На него действует весь вес тела при ходьбе, беге, прыжках и других движениях. И чем вес больше, а движения разнообразней и активней, тем выше риск травм и износа тканей сустава. С переломами и другими повреждениями может столкнуться каждый, но в особой группе риска – люди, профессионально занимающиеся спортом.
Голеностоп отвечает за устойчивость тела, равномерно распределяет нагрузку на стопу. Для него характерны как травмы от перегрузок, ушибов, так и типичные заболевания суставов. Встречается деформация стопы и сустава при плоскостопии, избыточном весе, как следствие гормональных сбоев и перенесенных аутоиммунных, инфекционных и других заболеваний.
При появлении настораживающих симптомов необходима консультация узкопрофильных врачей: ортопеда-травматолога, хирурга. Для диагностики применяются: осмотр и пальпация, сбор анамнеза, назначаются лабораторные и аппаратные исследования. Наиболее распространено для обследования костных структур рентгенологическое исследование, при подозрении на патологии в мягких тканях – врач предпочтет МРТ, возможна артроскопия.
Показания для рентгена
Основные показания для рентгена голеностопного сустава:
- Переломы, трещины костей, которые входят в сустав: малоберцовой, большеберцовой, таранной.
- Вывихи, травмы хрящей, растяжения связок.
- Опухоли костной ткани, метастазы.
- Кальциноз сосудов.
- Некроз кости.
- Деформация стоп, косолапие, плоскостопие.
- Артроз, артрит, остеопороз и другие заболевания.
Основными симптомами заболеваний, отдаленными последствиями травм выступают симптомы:
- Отек области сустава, стопы.
- Боль, которая может усиливаться или появляться при переменах погоды, в сырую и холодную погоду.
- Скованность движений.
- Нарушения кровообращения стопы, более холодная и бледная кожа на ней.
- Изменения походки, неравномерный износ обуви.
Преимущества рентгена
Рентгенография – один из основных методов диагностики. У него большой перечень показаний, высокая достоверность и информативность, сравнительная простота проведения, нет необходимости в подготовке. Во время рентгена не повреждается целостность кожных покровов, все проходит безболезненно. На обследование потребуется 5-10 минут.
Опасения о вреде рентгеновских лучей беспочвенны, если обследование проходит на цифровом аппарате. У него минимальный уровень нагрузки, а изображения отличаются высокой точность и детализацией. На таком аппарате можно делать за одну процедуру несколько снимков подряд (в разных проекциях) и проходить обследование несколько раз в год по мере необходимости. Цифровой рентген не только безопасней аналогового, а и удобней. Не нужно ждать пока будут распечатаны снимки, все результаты хранятся на цифровых носителях, их удобно применять, увеличить во время просмотра, хранить. Поэтому, выбирая клинику, где сделать рентген голеностопного сустава, уточняйте вид оборудования, на котором проходит процедура.
Противопоказания
Абсолютных противопоказаний у цифровой рентгенографии нет.
К относительным относятся:
- Беременность – лучевая нагрузка может негативно сказаться на формирующемся ребенке.
- Ситуация, когда пациенту нужна неотложная помощь.
- Сильно возбужденное состояние или психические заболевания, которые мешают быть неподвижным при работе рентген-аппарата.
- Возраст до 14 лет.
В этих случаях решение о необходимости рентгена принимает врач. Он может назначить другой метод диагностики или провести рентгенографию с дополнительными мерами предосторожности. Чтобы минимизировать обучение, свинцовым фартуком накрывают область половых органов взрослого, или все тело ребенка.
Как проходит исследование
Подготовка к рентгену голеностопного сустава не нужна. Обычно, делается рентген голеностопного сустава в двух проекциях: прямой и боковой. Обследование в прямой проекции выполняется с поворотом стопы и без него. На снимке видны: берцовые кости, лодыжка, таранная кость и голеностопный сустав. В боковой проекции пациент лежит на боку, здоровая нога согнута в колене и подогнута к животу. На снимках видны: берцовые кости, голеностопный сустав, таранная, пяточная, ладьевидная кости, лодыжка. В некоторых случаях врач для оценки состояния связок рекомендует снимок с нагрузкой – силовым сгибанием. При необходимости такое исследование делают с местной анестезией.
Расшифровка проходит путем сравнения снимков с эталоном нормы. Определяется размер, форма, структура костей, высота и угол свода стопы и другие критерии.
Выводы о норме или обнаруженных патологиях записываются в заключении, которое служит основание для постановки окончательного диагноза.
Рентген в ЛДЦ «Кутузовский»
Медицинский центр находится в шаговой доступности от станции метро «Славянский бульвар» по адресу: улица Давыдковского, 5 и предлагает полный спектр медицинских услуг. Стать клиникой, достойной доверия пациентов, центру помогли применение лучших международных практик лечения, оснащенность современным оборудованием, соблюдение стандартов качества услуг. Нам важно, чтобы пациенты чувствовали заботу, доброжелательность персонала, понимали назначения врача, получали точный диагноз и правильно назначенный курс лечения. Наши цены доступны – цена рентгена голеностопного сустава – 2250 рублей. Выбирайте удобное время и записывайтесь на прием в ЛДЦ «Кутузовский».
Также для полной диагностики проблем с опорно-двигательного аппарата нижних конечностей у нас в центре вы можете сделать МРТ икроножной мышцы и рентгенографию стоп.
Разрывы и повреждения связок
Разрыв связок – часто встречающаяся травма, приводящая к нарушению её целостности. В основном разрывы возникают при интенсивных занятиях спортом или при значительной физической нагрузке, то есть в результате воздействия, при которой нагрузка на связку значительно превышает её прочность. Иногда повреждение может возникнуть после одного резкого движения – достаточно подвернуть ногу во время ходьбы.
Патология характерна для людей любого возраста. Главные признаки разрыва – боль, отёк, сложность передвижения и невозможность опереться на повреждённую ногу. Если образовался полный разрыв, наблюдается излишняя подвижность сустава. При травмировании конечностей и появлении перечисленных симптомов необходимо незамедлительно обратиться к травматологу. Врач проведёт обследование, поставит диагноз и подберёт соответствующее лечение.
Найти врача по направлению Разрывы и повреждения связок




Симптомы повреждения связок
Различают два вида повреждения связок:
- полный разрыв, при котором связка разорвана на две части из-за нарушения целостности абсолютно всех её волокон;
- частичный разрыв, при котором повреждаются лишь некоторые структуры связки, но при этом её функциональность практически не нарушается (иногда такую травму называют растяжением).
Признаки, указывающие на повреждение связок:
- боль, присутствующая и в состоянии покоя, и при движениях;
- ограничение движения в области источника боли (например, сложно согнуть ногу или руку);
- нестабильность сустава в области повреждённой связки, изменение его наружных контуров;
- отёчность сустава;
- появления синяка;
- покалывание и онемение в травмированной области;
- треск, щелчки, хруст в суставе.
Симптоматика зависит от степени и тяжести травмы. Для частичного разрыва характерна незначительная отёчность. Если разрыв полный, отёк более значительный и распространяется на прилегающие к суставу ткани. При застарелых травмах появляется выраженная припухлость.
Причины разрыва
В зависимости от причин разрыва связок выделяют два типа повреждений:
Дегенеративный разрыв возникает в результате естественного износа связок и сухожилий. Подобные травмы связаны, в первую очередь, со старением организма и чаще всего встречаются у пациентов старше 40 лет. С возрастом кровоснабжение органов и структур ухудшается, образуются костные наросты – остеофиты, развиваются дегенеративно-деструктивные изменения – например, артроз. Всё это не самым лучшим образом отражается на состоянии связок и повышает риск их травмирования.
Травматические разрывы возникают в результате падения, резких движений, подъёма тяжести, неудачного прыжка. При разрыве появляется резкая и острая боль, подвижность в области разрыва моментально нарушается. Чаще всего травматологам приходится иметь дело с разрывом коленных и плечевых связок.
Разрывы классифицируется в зависимости от области повреждения:
- разрыв связок голеностопного сустава – возникает при интенсивных физических нагрузках или при подворачивании ноги. Проявляется резкой болью, отёком повреждённой конечности, ограниченностью движения. При своевременно принятых мерах хорошо поддаётся консервативному лечению (за исключением полного разрыва, при котором показана операция).
- Разрыв связок коленного сустава. Повреждение в основном встречается у профессиональных спортсменов и у людей, ведущих активный образ жизни. Место локализации – наружная боковая, внутренняя боковая, задняя или передняя крестоообразная связки колена.
- Разрыв плечевого сустава. Чаще всего возникает из-за неудачного падения на руку или удара в область ключицы. Место локализации – акромиальная или грудинно-ключичная связка, сухожилия длинной или короткой головки бицепса, вращающая манжета плеча.
- Разрыв локтевого сустава. Встречается преимущественно у спортсменов и затрагивает кольцевидную связку лучевой кости, лучевую или локтевую связки.
Диагностические методы при разрывах и повреждениях связок
Так как разрыв связок по своим проявлением схож с другими повреждениями околосуставных и внутрисуставных структур, для постановки диагноза проводится рентгенография. Исследование позволяет исключить повреждение костной ткани. Для оценки степени повреждения пациенту может быть назначено КТ, МРТ, УЗИ.
Методы лечения
Стандартный алгоритм оказания помощи при повреждении связок:
- максимальная неподвижность повреждённой конечности;
- назначение обезболивающих препаратов;
- прикладывание к повреждённому месту холодного компресса;
- тугая повязка или гипс.
Для быстрого заживления тканей режим необходимо соблюдать в течение нескольких дней. После того, как отёк спадёт, назначаются укрепляющие упражнения, позволяющие вернуть суставу подвижность.
При полном разрыве, а также при неэффективности консервативного лечения проводится хирургическая операция. Такие процедуры, как физиотерапия, УВЧ-терапия, согревающие компрессы, массаж способствуют быстрому восстановлению хрящевых структур и функциональности повреждённой связки.
Период лечения и реабилитации при незначительных растяжениях может занять от 5 до 10 дней, при сложных повреждениях – до полугода.
Профилактика и врачебные рекомендации
Растяжения и разрывы связок хорошо поддаются лечению и, как правило, не вызывают осложнений. Неприятные последствия могут возникнуть только после полного разрыва. Это нарушение функции поражённой руки или ноги, потеря чувствительности конечности, развитие привычного вывиха. Поэтому при травмах следует как можно скорее обращаться за медицинской помощью.
Рекомендации по профилактике разрыва связок:
- во время занятий спортом важно пользоваться удобной обувью и снаряжением;
- при активных физических нагрузках необходимо соблюдать максимальную осторожность;
- следует исключить развитие патологических процессов в тканях, развивающихся на фоне незалеченных травм.
Врачи клиники "Мать и дитя" готовы оказать помощь при травмировании связок. Наши основные приоритеты – точность диагностики и применение эффективных терапевтических методик.
МРТ голеностопного сустава
МРТ голеностопного сустава является высокоточным методом диагностики при эмбриологических, анатомических, гистологических и дегенеративных изменениях сухожилий и связок лодыжки. Процедура позволяет с максимальной точностью и в разных проекциях визуализировать мышцы и кости стопы, что позволяет оценить состояние тканей голеностопа.


При каких показаниях делают МРТ голеностоп
МРТ голеностопного сустава выполняется по показаниям при видимых патологиях или в связи с жалобами пациента по рекомендации врача. Магнитно-резонансная томография способна выявить любые виды травм, новообразования, инфекционные или воспалительные процессы.
Показание для МРТ суставов может стать:
- ограничение двигательных возможностей;
- болевые ощущения в лодыжке;
- перенесенная недавно травма;
- повреждение связок или сухожилий;
- отечность в области голеностопа;
- патологические образования на коже (язвы, гнойники и др.);
- предстоящая операция;
- частые повреждения голеностопа;
- воспаления тканей;
- беспричинное онемение стопы и пальцев ног;
- врожденные аномалии;
- защемление нерва.
- артриты, некрозы и артрозы;
- онкологические заболевания;
- подагра;
- деформация костей и переломы;
- нарушение кровообращения;
- и другое.
Преимуществом магнитно-резонансной томографии считается отсутствие негативного воздействия на организм и возможность обнаружения даже незначительных патологических процессов, даже в случае отсутствия симптоматики.
Как проходит диагностика
Процедура МРТ голеностопа выполняется в специализированном кабинете. Никакой подготовки к диагностике не требуется (за исключением томографии с контрастным веществом). Продолжительность обследования составляет в среднем 30 минут. Если показание не предполагает сложных нарушений, то процедура может быть сокращена до 20 минут. при использовании контрастного вещества или при сложных формах заболеваний время может быть увеличено до 1 часа.
Обследованием выполняется с помощью аппарата — томографа. В зависимости от типа томографа характер проведения диагностики может быть незначительно изменен. Полузакрытый аппарат представляет собой тубу, в которой расположен выдвижной стол. Пациент ложится на стол, его конечности фиксируют для исключения движений в процессе диагностики, голеностоп располагают в нужном положении, затем стол задвигается в томограф и начинается обследование. Результат МРТ можно получить в течение суток.
Противопоказания
Магнитно-резонансная томография считается абсолютно безопасной процедурой, однако, существует ряд ограничений, которые предполагают предупреждение возможных осложнений от воздействия магнитного поля при определенных состояниях организма пациента.
К противопоказаниям относят наличие в организме:
- металлосодержащих имплантов или протезов;
- электроприборов;
- накостных пластин.
Относительным ограничение считается беременность в первом триместре, клаустрофобия (при использовании закрытого томографа), психические заболевания и панические атаки.
МРТ голеностопного сустава на протяжении уже многих лет продолжает оставаться самым информативным методом диагностики мягких и костных тканей. В результате диагностики лечащий врач имеет возможность правильно установить диагноз, определить все особенности клинической картины и назначить эффективное лечение.
Читайте также:
