Лучевая диагностика бертиниевых колонн почки
Добавил пользователь Владимир З. Обновлено: 28.11.2025
Лучевая диагностика бертиниевой колонны в почке
а) Терминология:
1. Синонимы:
• Гипертрофированная или увеличенная бертиниева колонна; соединительная паренхима, дольчатый дисморфизм, псевдоопухоль почки, почечная перегородка, перегородочное корковое вещество, фокальная корковая гиперплазия, доброкачественная опухоль коркового вещества.
2. Определение:
• Гипертрофированный пучок неизмененного коркового вещества, отделяющий пирамиды от мозгового вещества почки.
б) Визуализация:
1. Общая характеристика:
• Важнейшие диагностические критерии:
о Изоэхогенное продолжение коркового вещества почки, вдающееся в почечную пазуху с латеральной стороны
о Аномальный кровоток отсутствует
• Локализация:
о В области соединения верхней и средней третей почки
о Левосторонняя локализация встречается чаще, чем правосторонняя
о Чаще односторонняя, чем двусторонняя (18% случаев)
• Размер:
о Менее 3 см
2. УЗИ при бертиниевой колонне в почке:
• Серошкальное УЗИ:
о Гомогенное округлое образование, изоэхогенное корковому веществу почки
о Расположена между почечными пирамидами
о Нормальные контуры почки
о Ограничена гиперэхогенной линией соединительной паренхимы и гиперэхогенным треугольным дефектом соединительной паренхимы
о Вдается в почечную пазуху с латеральной стороны
о Гиперэхогенность может быть обусловлена анизотропией
• Цветовая допплерография:
о Нормальная перфузия указывает на неизмененную почечную ткань
о Отсутствует деформация сосудов с нормальными дугообразными артериями, окружающими пирамиды
о Отсутствуют аномальные сосуды

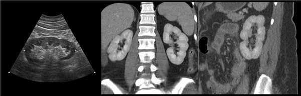
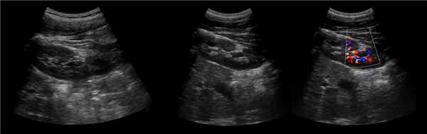
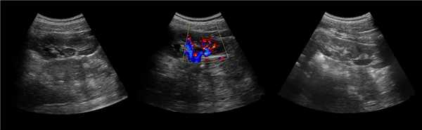
(Левый) На рисунке показана бертиниева колонна, которая является не истинным новообразованием, а разрастанием коркового вещества почки между пирамидами.
(Правый) На продольном ультразвуковом срезе правой почки визуализируется гипертрофированная колонна Бертена, вдающаяся в клетчатку почечной пазухи в среднем отделе почки. Обратите внимание на ее изоэхогенность корковому веществу и гладкие наружные контуры.
3. КТ при бертиниевой колонне в почке:
• КТ с контрастированием:
о Контрастное усиление в кортикомедуллярную и экскреторную фазу при КТ такое же, как и в корковом веществе почки в норме
4. МРТ при бертиниевой колонне в почке:
• Интенсивность сигнала соответствует неизмененному корковому веществу на Т1-ВИ и Т2-ВИ и при исследовании с контрастированием
в) Дифференциальная диагностика бертиниевой колонны в почке:
1. Опухоль почки:
• Почечноклеточный рак
• Лимфома
• Ангиомиолипома
• Метастазы:
о Опухоли и корковое вещество почки обычно разной эхогенности, опухоли могут также иметь гетерогенное строение.
о Допплерография: при опухолевом процессе можно выявить гиперваскуляризацию или изменение хода дугообразных артерий
2. Нефросклероз:
• Потеря коркового вещества в участке склероза
• Компенсаторная гипертрофия почечной ткани в прилежащей к склеротическим изменениям области
3. Удвоение почки:
• Две центральных гиперэхогенных почечных пазухи, разделенные промежуточной соединительной почечной паренхимой
4. «Верблюжий горб»:
• Гипоэхогенная псевдоопухоль, образованная неизмененной почечной тканью
• Выбухание контура почки наружу
• Левосторонняя локализация
• Развивается вторично в результате отпечатка селезенки на почке
г) Патология. Общая характеристика:
• Эмбриональное развитие: неполная резорбция паренхимы полюсов предпочек, которые срастаясь, образуют нормальную почку:
о Нормальное развитие почки: верхняя и нижняя предпочки, соответствующие верхней и нижней лоханкам, срастаются, верхний полюс нижней предпочки накладывается на нижний полюс верхней предпочки

(Левый) Продольный ультразвуковой срез правой почки, визуализируется гипертрофирован ная бертиниева колонна, изоэхогенная корковому веществу почки.
(Правый) МРТ с контрастным усилением у этого же пациента (по поводу другого заболевания почки; не показано), визуализируется очаг такой же интенсивности сигнала, как и корковое вещество почки, сравнимое с гипертрофированной бертиниевой колонной.
д) Клинические особенности. Проявления:
• Основные симптомы:
о Бессимптомное течение, вариант нормы
• Диагностика:
о Обычно выявляется случайно при обследовании
о При ультразвуковом исследовании чаще всего имитирует новообразование.
о Улучшение визуализации достигается путем фокусирования на очаге и помещения его в центр поля зрения
е) Диагностическая памятка:
1. Следует учесть:
• Вариант нормы, но может имитировать солидную опухоль
2. Советы по интерпретации изображений:
• Изоэхогенное продолжение коркового вещества почки
• Кровоснабжение в норме, отсутствует деформация сосудов
• При КТ или Т1 ВИ с контрастированием новообразования не визуализируются
• При удвоении, соединительная паренхима разделяет чашечно-лоханочные системы; при наличии бертиниевой колонны соединительная паренхима отсутствует
ж) Список использованной литературы:
1. McArthur С et al: Current and potential renal applications of contrastenhanced ultrasound. Clin Radiol. 67(9):909-22, 2012
2. Fretzayas A et al: Differential diagnosis of renal mass. Columns of Berlin. Pediatr Nephrol. 25(3):441 -4, 2010
3. Yeh HC: Some misconceptions and pitfalls in ultrasonography. Ultrasound Q. 17(3):129-55, 2001
4. Yeh HC et al: Junctional parenchyma: revised definition of hypertrophic column of Bertin. Radiology. 185(3):725-32, 1992
5. Lafortune M et al: Sonography of the hypertrophied column of Bertin. AJR Am J Roentgenol. 146(1):53-6, 1986
Лучевая диагностика бертиниевых колонн почки
а) Терминология:
1. Синонимы:
• Септальная кора, гипертрофированные или выступающие бертиниевы колонны, очаговая гиперплазия коркового вещества, доброкачественное добавочное корковое вещество, корковый островок, очаговая почечная гипертрофия, соединительная паренхима
2. Определение:
• Гипертрофические отростки ткани коркового вещества, которые разделяют пирамиды мозгового вещества почек
1. Общие характеристики:
• Лучший диагностический критерий:
о Обычное контрастирование коркового вещества почек, выступающего в почечный синус
• Локализация:
о Между верхней и средней чашечками
о Чаще левосторонние
о Чаще односторонние (двусторонние - в 18% случаев)
2. Рентгенологические признаки бертиниевых колонн почки:
• Внутривенная пиелография:
о Синдром сдавливания чашечно-лоханочной системы, всегда на уровне отхождения почечной вены
о Скошенность (аномальное разделение) верхнего и нижнего полюсов собирательной системы
3. КТ при бертиниевых колоннах почки:
• Бесконтрастная КТ:
о Связаны с корковым веществом
о Боковое вдавление синуса почки
о Деформированные смежные чашечки и воронка
• КТ с контрастированием:
о Отсутствие объемного образования
о Контрастирование аналогично нормальному корковому веществу:
- Лучшая визуализация в кортико-медуллярную фазу
- При недостаточной информативности аксиальной проекции эффективна коронарная реконструкция
4. МРТ при бертиниевых колоннах почки:
• Гипертрофированные столбцы с ИС и контрастированием, аналогичными на всем протяжении корковому веществу
5. УЗИ при бертиниевых колоннах почки:
• Исследование 8 режиме серой шкалы:
о Нормальный контур почки
о Обычно изоэхогенно по отношению к корковому веществу
о Цветовое и энергетическое допплеровское картирование позволяет визуализировать поток, идентичный корковому веществу
о Разделение центральных эхосигналов
6. Радионуклидная диагностика:
• В затруднительных случаях сцинтиграфия почек может дифференцировать нормальную почечную паренхиму от патологического объемного образования
7. Рекомендации по визуализации:
• Лучший метод визуализации:
о Мультифазные КТ или МРТ
• Совет по протоколу исследования:
о КТ: лучшая визуализация в кортико-медуллярную фазу

(Слева) На рисунке показано объемное расширение коркового вещества почки между верхней и средней чашечками.
(Справа) КТ, аксиальная проекция, кортико-медуллярная фаза контрастирования: дорсальная половина межполюсной области почки, контрастируемая аналогично корковому веществу почки. На последующих фазах выявлено гомогенное контрастирование почки.
в) Дифференциальная диагностика бертиниевых колонн почки:
1. Почечноклеточный рак:
• Гетерогенное объемное образование почки с контрастированием, отличным от окружающей паренхимы
• Обычный тип (светлоклеточный) - гиперваскулярный, однако гипо-денсный по отношению к паренхиме почки в нефрографическую фазу
• Объемное образование обычно округлой или овальной формы, деформирующее границы почки
2. Другие объемные образования почек:
• Метастазы в почках, лимфома, онкоцитома, ангиомиолипома
• Обычно не изоэхогенны по отношению к корковому веществу
• Часто деформируют контур почки
3. Фетальная дольчатость:
• Стойкая кортикальная дольчатость, обычно у детей младшего возраста
• Отдельные доли с центрилобулярным корковым веществом, расположенным вокруг чашечек
4. Рубец почки:
• Очаговое рубцевание вследствие хронической рефлюксной нефропатии, хирургической операции, травмы или инфаркта
• Узловая компенсаторная гипертрофия областей непораженной ткани

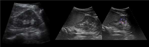
(Слева) УЗИ, продольная плоскость сканирования: гипоэхогенное «объемное образование» в центре, которое выступает в почечную лоханку.
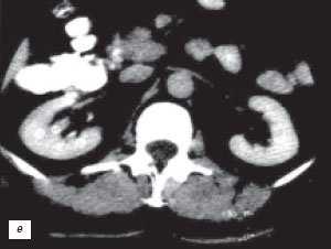
(Справа) КТ с контрастированием, аксиальная проекция: у этого же пациента установлено, что «объемное образование» — это нормальное корковое вещество почки, которое инвагинирует в почечную лоханку между чашечками верхнего полюса и меж полюсной областью почки. Обратите внимание на нормальный внешний контур почки. Бертиниевы колонны чаще всего выявляют с одной стороны и слева, как в данном случае: в 18% случаев они могут быть двусторонними.
г) Патология. Общие характеристики:
• Неполная резорбция паренхимы в области полюсов почки одной или обеих субпочек (почечек), которые срастаются, формируя нормальную почку
д) Клиническая картина. Течение и прогноз:
• Вариант нормы, не имеющий клинического значения
е) Диагностическая памятка:
1. Следует учесть:
• Псевдоопухоль, не является патологией
2. Советы по интерпретации изображений:
• Диагностируют при контрастной КТ в кортико-медуллярную фазу
Трудности и ошибки ультразвуковой и рентгеновской диагностики псевдоопухолей почек

Профессиональные диагностические инструменты. Оценка эластичности тканей, расширенные возможности 3D/4D/5D сканирования, классификатор BI-RADS, опции для экспертных кардиологических исследований.
Введение
Опухоли почек составляют 2-3% всех злокачественных новообразований. Наиболее часто они возникают в возрасте 40-60 лет. Среди всех опухолей почек в 80-90% отмечается почечно-клеточный рак. В последние годы вероятность его обнаружения возрастает, что связано как с ростом числа всех злокачественных образований, так и с ранней доклинической диагностикой. Распознать злокачественные образования, прежде всего, позволяют постоянно совершенствующиеся и широко применяющиеся ультразвуковые исследования почек.
В литературе часто встречаются публикации, посвященные ошибкам не только ультразвуковой, но и других методов лучевой диагностики. Существует точка зрения, что до 7-9% всех объемных процессов в почках не могут быть дифференцированы до операций по поводу кист, опухолей, абсцессов и т.д. [6]. Картину опухоли почки при ультразвуковых и других лучевых методах диагностики могут симулировать многие процессы. Среди них: разнообразные аномалии почек; "сложные" или смешанные кисты; острые и хронические неспецифические воспалительные процессы (карбункул, абсцесс, хронический, в том числе ксантогранулематозный пиелонефрит); специфические воспалительные процессы (туберкулез, сифилис, грибковые поражения почек); изменения в почках при лейкозах и лимфомах, в том числе и при ВИЧ-инфекции; инфаркты почки; организовавшиеся гематомы и другие причины.

а) Фетальная долчатость, "горбатая" почка.

б) Гипертрофия столба Бертена, увеличенная "губа" над воротами почек.
Материалы и методы
За 1992-2001 гг. наблюдалось 177 пациентов с различным строением паренхимы почек по типу псевдоопухолей почек. Всем неоднократно проводилось ультразвуковое сканирование почек, ультразвуковая доплерография (УЗДГ) сосудов почек - 78, в том числе с использованием режимов второй и тканевой гармоник и энергетического доплера - 15, экскреторная урография (ЭУ) - 54, рентгеновская компьютерная томография (РКТ) - 36, почечная сцинтиграфия или эмиссионная компьютерная томография (ЭКТ) с 99 m Тс - 21.
Результаты исследований

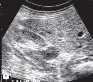
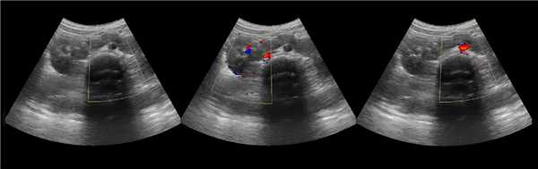
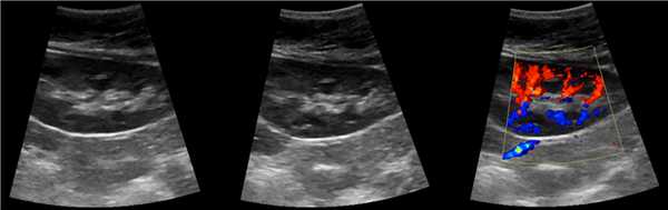
а) Эхограммы.

б) Серия компьютерных томограмм.
У 2 (1,2%) больных отмечена увеличенная "губа" над воротами почки (рис. 3а-в).

а) Эхограмма.

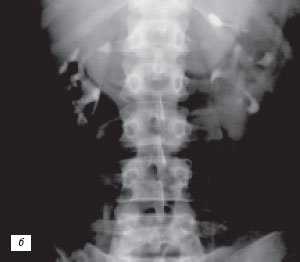
б) Экскреторная урограмма.

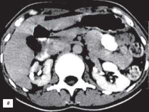
в) КТ с контрастным усилением.
Наиболее частой причиной псевдоопухоли была "гипертрофия" столбов Бертена или "перемычки" паренхимы почек - у 153 (86,4%) пациентов (рис. 3 г-е). "Перемычки" паренхимы были отмечены не только при различных удвоениях чашечно-лоханочных систем почек, но и при различных их сращениях и незавершенных поворотах почек.
Рис. 3 (г-е). Псевдоопухоль гипертрофия Бертена (неполная "перемычка" паренхимы) в среднем отделе правой почки.

г) Эхограмма.

д) Экскреторная урограмма.

е) КТ с контрастным усилением.
В проведении дифференциальной диагностики псевдоопухолей и опухолей почек нуждалось 37 (21%) пациентов. С этой целью проводились, прежде всего, повторные "нацеленные" УЗ-сканирования с использованием различных дополнительных ультразвуковых методик в условиях урологической клиники, а также других методов лучевой диагностики, указанных выше. Только у одного пациента с псевдоопухолью почки для исключения диагноза опухоли произведена эксплоративная люмботомия с интраоперационной биопсией под ультразвуковым контролем. У остальных 36 больных диагноз псевдоопухолей почек был подтвержден с помощью лучевых исследований и ультразвукового мониторинга.
Трудности и ошибки лучевой диагностики при псевдоопухолях почек обычно возникали на первых догоспитальных этапах диагностики. У 34 ( 92%) пациентов они были связаны как с объективными трудностями трактовки необычных эхографических данных, так и их неправильной трактовкой из-за недостаточной квалификации специалистов и сравнительно низкого уровня диагностической аппаратуры. У 3(8%) пациентов отмечены ошибочная трактовка данных рентгеновской компьютерной томографии, когда было отмечено расхождение их с данными повторных УЗ-сканирований и рентгеновской компьютерной томографии в урологической клинике.
Опухоли почек, имевших сочетания их с псевдоопухолью в одной почке, верифицированы у 2 больных после нефрэктомии, а псевдоопухоли - у одного пациента при биопсии под ультразвуковым контролем во время эксплоративной люмботомии; у остальных - при ультразвуковом мониторинге в сроки от 1 до 10 лет.
Одна из самых частых причин, симулирующих опухоль почки при ультразвуковом исследовании, так называемая псевдоопухоль, в литературе наиболее часто определяется термином гипертрофия столба Бертена.
Как известно, по периферии ультразвукового среза почки корковое вещество образует инвагинации в виде столбов (сolumnae Bertin) между пирамидками. Нередко столб Бертена достаточно глубоко выходит за внутренний контур паренхимы в центральную часть почки - в почечный синус, деля почку более или менее полно на две части. Образующаяся своеобразная паренхиматозная "перемычка" является нерассосавшейся паренхимой полюса одной из долек почек, в процессе онтогенеза сливающихся в почку взрослого человека. Анатомическим субстратом "перемычек" являются так называемые соединительнотканные дефекты паренхимы или пролабирование последней в синус почки [8,9]. В состав ее входят корковое вещество, столбы Бертена, пирамидки почек [10, 11].
Все элементы "перемычки" являются нормальной тканью паренхимы без признаков гипертрофии или дисплазии. Они представляют собой удвоение нормального коркового вещества почки или добавочный слой его, расположенный латеральнее чашечек [7]. Последний является вариантом анатомического строения паренхимы, в частности, кортикомедуллярных взаимоотношений паренхимы и синуса почки [12]. Наиболее четко они могут прослеживаться на ультразвуковых и на компьютерно-томографических срезах почки [9, 11-15].
Отсутствие гипертрофии или дисплазии паренхимы при так называемой гипертрофии столбов Бертена или "перемычках" паренхимы подтвердили и проведенные гистологические исследования биопсийного материала у одного больного с "перемычками" паренхимы, принимавшимися до эксплоративной люмботомии за опухоль почки, а также у двух пациентов при морфологическом исследовании почек, удаленных по поводу сочетания в одной почке опухоли и псевдоопухоли ("перемычки" паренхимы).
В связи с этим, на наш взгляд, наиболее часто встречающийся в литературе, термин гипертрофия столбов Бертена не отражает морфологической сути субстрата. Поэтому мы так же, как и ряд авторов [9, 11, 12] считаем, что более правильным является термин "перемычка" паренхимы. Впервые в отечественной литературе по ультразвуковой диагностике он применен нами в 1991 г. [16]. Необходимо отметить, что термин "перемычка" паренхимы имел в литературе и другие названия (таблица ) [11].
Таблица. Термины, применявшиеся для описания "перемычек" паренхимы почек (по Yeh HC, Halton KP, Shapiro RS et al., 1992).
| Происхождение или природа ткани | Термины | Авторы |
|---|---|---|
| Гипертрофированная или необычно широкая ткань | Гипертрофированный столб Бертена | Lafortune M et al., 1986 Wolfman NT et al., 1991 Leekman RN et al., 1983 |
| Фокальная кортикальная гиперплазия | Popky GL et al., 1969 | |
| Широкая аркада | Hodson CJ et al., 1982 | |
| Неправильно расположенная или перемещенная ткань | Лобарный дисморфизм | Carghi A et al., 1971 Dacie JE, 1976 |
| Неправильное положение почечной доли | Carghi A et al., 1971 | |
| Складки кортикальной массы | King MC et al., 1968 | |
| "Почка" в пределах почки | Hodson CJ et al., 1982 | |
| Кортикальная инвагинация и пролабирование столбов Бертена | Lopez FA, 1972 | |
| Масса или псевдомасса | Почечный псевдотумор | Felson B et al., 1969 Lopez FA, 1972 |
| Гломерулярная зона псевдотумора | Hartman GW et al., 1969 | |
| Почечно-кортикальный узелок | Wolfman NT et al., 1991 | |
| Первичный кортикальный узелок | Thornbury JR et al., 1980 | |
| Интермедиальная кортикальная масса | Netter F et al., 1979 | |
| Эмбриональная аномалия | Аберрантная долька почечной ткани | Meaney TF, 1969 |
| Доброкачественная кортикальная "цезура" | Flynn VJ et al., 1972 | |
| Кортикальный островок почки | Flynn VJ et al., 1972 | |
| Развившаяся (совершенная) аномалия | Несвершившаяся попытка дупликации почечной паренхимы | Dacie JE, 1976 |
| Сверхкомплектная доля | Добавочная почечная доля | Palma LD et al., 1990 |
Многолетний опыт экскреторной урографии показал, что чашечно-лоханочные системы имеют крайне большое количество вариантов строения. Они практически индивидуальны не только для каждого человека, но и для левой и правой почек у одного субъекта. С развитием и все более широким использованием УЗИ и РКТ, позволяющим прослеживать как внутренние, так и наружные контуры паренхимы почек, на наш взгляд, аналогичное положение складывается и в отношении вариантов анатомического строения паренхимы почек. Сопоставление эхо- и компьютерно-томографических данных с урографическими при различных вариантах псевдоопухолей почек показало, что между анатомическим строением паренхимы и чашечно-лоханочных систем почек имеется взаимосвязь. Она выражается в конгруэнтности медиального контура паренхимы в эхо- или компьютерно-томографическом изображении с латеральным контуром чашечно-лоханочных систем, условно проведенным на экскреторных урограммах или на компьютерных томограммах с контрастным усилением [4, 17, 18]. Этот симптом прослеживается при обычном строении паренхимы и чашечно-лоханочных систем, а также при "перемычке" паренхимы почки, предсталяющей собой вариант анатомического строения. При опухоли почки, являющейся приобретенным патологическим процессом, конгруэнтность контуров паренхимы и чашечно-лоханочных систем почек нарушается (рис. 4).

Рис. 4. Симптом конгруэнтности контуров паренхимы и чашечно-лоханочной системы почки при неполной "перемычке" паренхимы (объяснение в тексте).
Выводы
Таким образом, впервые выявленные при УЗИ типичные эхографические картины "перемычки" паренхимы почки, "горбатой" почки и увеличенной "губы" над воротами почки без признаков расширения чашечно-лоханочных систем не требуют дальнейшего обследования.
При необходимости дифференциальной диагностики псевдоопухолей и опухолей почек, которая потребовалась у 37(21%) пациентов, мы предлагаем следующий алгоритм их диагностики (рис. 5).

Рис. 5. Алгоритм лучевой диагностики при псевдоопухоли почки.
- Повторное УЗИ квалифицированными специалистами на УЗ-сканерах более высокого класса с использованием УЗДГ, методик картирования, тканевой и второй гармоник.
- Рентгеновская компьютерная томография с контрастным усилением или экскреторная урография с сопоставлением уро- и эхографических данных и данных повторного "нацеленного" УЗИ.
- Методы выбора - почечная сцинтиграфия или эмиссионная компьютерная томография с 99 m Тс (возможны ложноотрицательные результаты при маленьких опухолях).
- При остающихся подозрениях на злокачественную опухоль - биопсия под ультразвуковым контролем (диагностическое значение имеет только положительный результат).
- При отрицательном результате биопсии или отказе больного от биопсии и оперативной ревизии почки проводится ультразвуковой мониторинг с частотой не реже одного раза в 3 месяца в первый год наблюдения, а затем 1-2 раза в год.
Литература
УЗИ сканер HS60
Ультразвуковая и рентгеновская диагностика дивертикулов чашечно-лоханочных систем почек
НУЗ Дорожная клиническая больница на ст. Ярославль ОАО "Российские железные дороги",
Ярославль, Россия.

Журнал "SonoAce Ultrasound"
Содержит актуальную клиническую информацию по ультрасонографии и ориентирован на врачей ультразвуковой диагностики, выходит с 1996 года.
Дивертикул чашечки почки впервые был обнаружен на аутопсии и описан в литературе в 1841 г. [1]. Ранее дивертикул чашечки почки называли "лоханочной", "пельвикальной", "чашечной", "пиелогенной", "интрамуральной кистой", "локализованным облитерирующим пиелонефритом", "эктопией чашечки". Название "дивертикул чашечки" утвердил II Всесоюзный съезд урологов, проводившийся в Киеве в 1978 г., и отнес его к порокам развития - аномалиям структуры почек [2].
Известны два анатомических варианта: в крайних сегментах почки, чаще в верхних, образуются небольшие дивертикулы диаметром от 0,1 до нескольких сантиметров, связанные с малыми чашечками. В среднем сегменте почки выявляются более крупные дивертикулы, сообщающиеся с лоханкой или средней чашечкой. Полость дивертикула выстлана не секреторным переходно-клеточным эпителием, в его стенке могут быть и мышечные элементы. Дивертикул чашечки почки с чашечно-лоханочной системой связаны узким коротким каналом.
Дивертикул чашечки почки образуются на 5-6 неделе эмбрионального развития, когда первичные почечные артерии отдают веточки к почкам. В связи с этим ведущую роль в их этиологии отводят локальным порокам развития почечных артерий. Аномалия артериального кровоснабжения почки обычно сочетается с редукцией собирательных трубочек к чашечкам четвертого порядка, утрачивающим способность к морфогенезу и расширяющимися под давлением мочи 5. Некоторые авторы допускают приобретенный характер развития дивертикула чашечки почки, особенно при опорожнении в чашечно-лоханочную систему мелкого абсцесса паренхимы почки, а также в результате пиелотубулярного рефлюкса и воспалительного стеноза шейки малой чашечки [6, 7].
Основным методом диагностики дивертикула чашечки почки считается экскреторная урография, которая, особенно в сочетании c рентгенотелевизионным просвечиванием и производством полипозиционных прицельных снимков, позволяет получить информацию о протяженности, ширине шейки дивертикула чашечки почки и других анатомических деталях. Кроме того, при экскреторной урографии в вертикальном положении больного можно выявить горизонтальный уровень жидкости при феномене "кальциевого молока" (заполнение полости дивертикула чашечки почки нежной коллоидальной мелкодисперсной взвесью карбоната или фосфата кальция, карбоната, оксалата или карбоната и трифосфата кальция) [16.20].
К рентгенологическим признакам дивертикула чашечки почки относятся:
- округлая полость с ровными четкими контурами, располагающаяся дистальнее свода чашечки или контуров лоханки, связанная с ними узким, зачастую не прослеживающимся на экскреторной урографии ходом;
- диаметр полости дивертикула чашечки почки от нескольких миллиметров до нескольких сантиметров;
- степень контрастирования дивертикула чашечки почки нарастает на более поздних урограммах в отличие от уменьшения степени контрастирования чашечно-лоханочной системы на отсроченных снимках;
- отсутствие двигательной активностистенок дивертикула в отличие от стенок чашечно-лоханочной системы, определяемых при экскреторной рентгенотелевизионной уроскопии.
Появившаяся в последние годы спиральная и мультиспиральная компьютерная томография (СКТ, МСКТ) с реконструкцией изображения в урографическую фазу (СКТУ) позволяет уточнить анатомические детали дивертикула чашечки почки и определить плотность конкрементов по шкале Хаунсфилда. Это особенно важно для выбора метода лечения - дистанционная литотрипсия (ДЛТ), эндоскопическая операция с контактной литотрипсией (КЛТ) или традиционная открытая операция 26.
К эхографическим признакам дивертикула чашечки почки, впервые описанным нами в 1993 г. [30, 31], относятся:
- эхонегативное округлое образование с ровными контурами, располагающееся дистальнее свода чашечки или контуров лоханки, связанное с ними узким ходом; размеры образования от нескольких миллиметров до нескольких сантиметров в диаметре;
- при наличии феномена "кальциевого молока" определяется сочетание эхонегативного и эхопозитивного компонентов в полости дивертикула с горизонтальным уровнем, подвижным при полипозиционном исследовании.
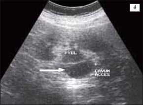
Есть мнение, что дивертикулы чашек или лоханки, пиелогенные кисты при ультразвуковом исследовании практически не выявляются [32], однако, по нашему опыту, это касается только мелких дивертикулов чашечек менее 0,5 см в диаметре (рис. 1) и не относится к дивертикулу чашечки почки больших размеров (рис. 2).

Рис. 1. Мелкий дивертикул (стрелка) верхней чашечки левой почки на экскреторной урографии на 10-й минуте, произведенной по поводу травмы мочевого пузыря (лентовидные дефекты наполнения в нем за счет сгустков крови).

а) Крупная округлая эхонегативная полость, расположенная рядом с лоханкой.

б) Дополнительная полость, сдавливающая лоханку и дугообразно раздвигающая чашечки и лоханку.
В последние годы описан так называемый мерцающий артефакт. Он представляет собой хаотическое чередование цветовых сигналов в проекции камня или "кальциевого молока", а также по ходу акустической тени при использовании режимов цветного и энергетического допплеровского картирования. При полипозиционном УЗИ и КТ "мерцающий артефакт" обнаруживает гравитационную зависимость и максимальную интенсивность у 91% больных при наличии "кальциевого молока" в полости дивертикула чашечки почки [33] (рис. 3).
Рис. 3. Мелкий дивертикул верхней чашечки правой почки с симптомом "кальциевого молока" на эхограммах и при цветном допплеровском картировании:

а) Мелкая полость с эхонегативным и эхопозитивным компонентами с разделенным уровнем, меняющимся при поворотах пациента.

б) Мелкая полость с эхонегативным и эхопозитивным компонентами с разделенным уровнем, меняющимся при поворотах пациента.

в) "Мерцающий артефакт" при цветном допплеровском картировании (наблюдение А.И. Громова, 2005, с разрешения автора).
В 1989-2005 гг. мы наблюдали 41 дивертикул чашечки почки у 40 больных. У 25 больных они были в правой, у 16 - в левой почках, у 1 пациента с обеих сторон и у 1 пациента были 2 дивертикула в одной удвоенной почке (рис. 4). У 29 больных дивертикулы чашечки почки локализовались в верхних, у 4 - в средних, у 7 - в нижних чашечках и у 1 пациента был дивертикул лоханки.

Рис. 4. Дивертикулы (стрелки) верхней и нижней чашечек удвоенной чашечно-лоханочной системы (ЧЛС) левой почки на экскреторной урографии на 15-й минуте.
У подавляющего большинства больных они были "случайными" находками при проведении экскреторной урографии, иногда при УЗИ. Необходимо отметить, что до проведения экскреторной урографии ультразвуковой диагноз дивертикул чашечки почки или предположение о наличии дивертикула чашечки почки при УЗИ устанавливались только врачами, имевшими предыдущий опыт диагностики дивертикула чашечки почки. У большинства больных при первичном УЗИ устанавливались диагнозы пиело-, каликоэктазий с наличием или без конкрементов или "кист без или с наличием взвеси".
У 30 пациентов проводились динамическое ультразвуковое наблюдение и у 10 больных - консервативное лечение выявленных сопутствующих воспалительных заболеваний почек и верхних мочевых путей. "Мерцающий артефакт", смещаемый при полипозиционном исследовании в зависимости от положения больного, при УЗДГ отмечен у 2 больных с феноменом "кальциевого молока" в полости дивертикула чашечки почки и у 1 пациента с камнем дивертикул чашечки почки [рис. 5].
Рис. 5. Полипозиционные эхограммы в положении пациента на спине и правом боку и УЗДГ левой почки больного с "известковым молоком" в полости дивертикула чашечки почки верхней чашечки левой почки:

а) Подвижная граница между эхопозитивным и эхонегативным компонентами в полости дивертикула.
б) Подвижная граница между эхопозитивным и эхонегативным компонентами в полости дивертикула.
в) Подвижная граница между эхопозитивным и эхонегативным компонентами в полости дивертикула.
г) "Мерцающий артефакт" при цветном допплеровском картировании.
Из наблюдавшихся нами 7 больных с феноменом "кальциевого молока" после проведения только УЗИ почек правильный диагноз установлен у 3 пациентов. Остальным предлагались или проводились безуспешные сеансы дистанционной литотрипсии по поводу "камней чашечек". Установление диагноза дивертикул чашечки почки с феноменом "кальциевого молока" позволило отказаться от планировавшихся дистанционной литотрипсии, больным рекомендовано контрольное УЗИ 1 раз в год.
Камни в дивертикуле чашечки почки выявлены у 5 больных, у 1 из которых была проведена дистанционная литотрипсия камня в дивертикул чашечки почки с неполным отхождением фрагментов конкремента. У остальных 4 больных при бессимптомном течении болезни проводится ультразвуковой мониторинг 1 раз в год.
Необходимо подчеркнуть важность использования в диагностике дивертикулов чашечки почки с феноменом "кальциевого молока" и камнеобразованием не только УЗИ, но и обязательно рентгеновского метода. Это могут быть: прицельная рентгенография в горизонтальном и вертикальном положениях больного, экскреторная урография с рентгенотелевизионным контролем и (или) полипозиционная СКТ/МСКТ и СКТУ/МСКТУ. Использование этих методов должно помочь ответить на вопросы о необходимости дистанционной литотрипсии , возможности эвакуации фрагментов камня или необходимости контактной литотрипсии с предварительным эндоскопическим расширением шейки дивертикула чашечки почки.
Нередко конкременты в полости дивертикула чашечки почки выявляются при профилактическом УЗИ. Так, мы наблюдали пациента с мелкими конкрементами (бессимптомно) в полости небольшого дивертикула чашечки почки средней чашечки, смещавшимися при перемене положения больного. Конкременты были выявлены при профилактическом УЗИ органов брюшной полости и трактовались как камни чашечки, подтвержденные при бесконтрастной КТ. На обзорном снимке мочевой системы и при экскреторной урографии (рис. 6) они не были видны.
а) На эхограмме перемещение мелких конкрементов в полости дивертикула чашечки почки при поворотах больного.
б) На эхограмме перемещение мелких конкрементов в полости дивертикула чашечки почки при поворотах больного.
в) На экскреторной урографии средняя чашечка обращена кпереди, своды ее и конкременты не прослеживаются.
г) На бесконтрастной компьютерной томограмме несколько мелких интенсивных конкрементов в проекции свода средней чашечки.
У наблюдавшейся нами пациентки с камнем в дивертикуле чашечки почки отмечена неправильная трактовка данных УЗИ и экскреторной урографии, проведенных в неспециализированной клинике, - было дано заключение о камне в "отшнурованной" верхней чашечке. И только проведение СКТУ выявило наличие неизмененной верхней чашечки и уточнило анатомические детали строения шейки дивертикула чашечки почки верхней чашечки - сужение и изгиб ее в виде дуги, обращенной выпуклостью кверху (рис. 7). Это позволило отказаться от первоначально назначенной дистанционной литотрипсии и рекомендовать дальнейшее наблюдение или проведение контактной литотрипсии с предварительным эндоскопическим рассечением шейки дивертикула.
Рис. 7. Камень дивертикула верхней чашечки левой почки, трактовавшийся как камень (стрелки) верхней чашечки.
УЗИ почек для начинающих (лекция на Диагностере)
Почки расположены забрюшинно в поясничной области на уровне двух последних грудных и двух первых поясничных позвонков. Правая почка, как правило, на 1-2 см ниже левой.
Паренхима почки состоит из коркового слоя и пирамид. Почечные столбы (колонны Бертини) между пирамидами состоят из коркового вещества. Пирамида и покрывающее ее корковое вещество образуют почечную дольку. На вершине пирамиды открываются отверстия сосочковых канальцев.
Почечный синус содержит чашечно-лоханочный комплекс (ЧЛК), сосуды, нервы, соединительную ткань и жир. Маленькая чашечка садится на вершину пирамиды как молокоотсос на сосок. Моча активно поступает в маленькие и большие чашечки → почечную лоханку → мочеточник → мочевой пузырь → уретру.
Нажимайте на картинки, чтобы увеличить.

УЗИ почек
Используют конвексный датчик 2,5-7,5 МГц. При подозрении на патологию исследование проводят с наполненным мочевым пузырем при появлении позыва на мочеиспускание. После мочеиспускания почки осматривают повторно.
Нас интересует расположение, размер, эхогенность, эхоструктура почек, а так же проходимость мочевыводящих путей. Как оценить размер почек у детей и взрослых подробнее смотри здесь.
Мочевой пузырь и дистальный отдел мочеточника на УЗИ
В положении пациента лежа на спине в надлобковой области выводим мочевой пузырь. Оцените наполнение мочевого пузыря и дистальный отдел мочеточников. В норме дистальный отдел мочеточника не видно. Мочеточник более 7 мм в диаметре — мегауретер.
Рисунок. На УЗИ расширенный дистальный отдел мочеточника (1, 2, 3). Про уретероцеле (3) подробнее смотри здесь.

Эхогенность почек
В положении пациента на спине по среднеключичной и переднеподмышечной линии выводим правую почку в соседстве с печенью, а левую почку вблизи селезенки. Оцените эхогенность почек. Корковый слой почки в норме изо- или гипоэхогенный по отношению к печени и гипоэхогенный по отношению к селезенке.
Рисунок. Эхогенность органов сравнивают на одном срезе. На УЗИ нормальная почка по соседству с печенью (1) и селезенкой (2). У детей до 6 месяцев паренхима почек в норме может быть гиперэхогенной по сравнению с печенью (3).

Форма почек на УЗИ
Чтобы увидеть верхний полюс почки, попросите пациента сделать глубокий вдох. Форма почки бобовидная — выпуклая с латеральной и вогнутая с медиальной стороны. Как вариант нормы расценивают эмбрионально-дольчатую почку, а так же горбатую левую почку.
Рисунок. На УЗИ (1) и КТ (2, 3) контур почек волнистый. У эмбриона почка развивается из отдельных долек, которые сливаются по мере их роста. Дольчатое строение почек хорошо видно у плода и новорожденных, в единичных случаях сохраняется у взрослых.

Рисунок. Можно встретить горбатую левую почку — выпуклый неровный наружный контур из-за гипертрофии паренхимы в средней трети почки. Считают, что «горб» формируется у плода под давлением нижнего края селезенки.

Рисунок. Сканирование со стороны передней брюшной стенки позволяет не пропустить перешеек между почками. Перешеек спереди от позвоночника является доказательством сращения почек — подковообразная почка. Варианты анатомии подковообразных почек смотри здесь.

Видео. На УЗИ подковообразная почка
Эхоструктура почек
В нормальной почке пирамиды гипоэхогенные, корковое вещество и колонны Бертини изоэхогенны друг другу. В синусе располагается в норме невидимый ЧЛК, гиперэхогенная соединительная и жировая ткань, гипоэхогенные сосуды и вершины пирамид.
Когда различают пирамиды, корковое вещество, почечные колонны, то эхоструктура паренхимы почки не изменена. Если их не видно, то эхоструктура изменена за счет отсутствия четкой корково-мозговой дифференциации.
Рисунок. На УЗИ почка с неизмененной эхоструктурой: гипоэхогенный по отношению печени корковый слой и колонны Бертини, почти анэхогенные пирамиды, гиперэхогенный синус.

Рисунок. У 37% здоровых новорожденных в первые сутки жизни на УЗИ определяются симптом «белых пирамидок». Преципитация белка Тамма-Хорсфалла и мочевой кислоты вызывает обратимую обструкцию канальцев. К 6 неделям жизни проходит без лечения.

Рисунок. На УЗИ здоровая почка: вдоль основания пирамид (кортикомедуллярный переход) определяются линейные гиперэхогенные структуры с гипоэхогенной дорожкой в центре. Это дугообразные артерии, которые ошибочно расценивать как нефрокальциноз или камни.

Видео. Дугообразные артерии почки на УЗИ
Рисунок. На УЗИ нижний полюс почки отделяет гиперэхогенная фиброзная перемычка; лоханка нижнего сегмента 7 мм. Это вариант нормального строения почки. Почка может быть деформирована, поэтому ее размер и длина немного меньше противоположной. Небольшое расширение лоханки под перемычкой сохраняется пожизненно.

Видео. На УЗИ фиброзная перемычка в почке (вариант строения)
Бывает колонна Бертини врезается в центральную часть почки, разделяя ее полно или неполно на две части. Такая паренхиматозная перемычка — это паренхима полюса одной из эмбриональных долек, которые сливаясь образуют почку; состоит из коры, пирамид, колонн Бертини — все элементы без признаков гипертрофии или дисплазии. Термин гипертрофия колонны Бертини не отражает морфологию структуры, точнее считать данное образование паренхиматозной перемычкой.
Рисунок. На УЗИ округлое образование разделяет почечный синус на два сегмента с общей лоханкой; междолевые артерии огибают образование; эхогенность и интенсивность сосудистого рисунка внутри близка корковой зоне. Заключение: Гипертрофия колонны Бертини или неполная паренхиматозная перемычка. Это вариант нормального строения почки. Термин «неполное удвоение ЧЛК» неверный, т.к. неполная паренхиматозная перемычка не является признаком удвоения ЧЛК.

Рисунок. На УЗИ синус почки разделяет полная паренхиматозная перемычка (1, 2). В таких случаях разграничить удвоение почки от гипертрофии колонны Бертини поможет экскреторная урография. Удвоенная почка покрыта общей фиброзной капсулой. Полное удвоение предполагает наличие двух лоханок, двух мочеточников и двух сосудистых пучков. Неполноудвоенная почка (3) питается одним сосудистым пучком, мочеточник может быть удвоен вверху и впадать в мочевой пузырь одним или двумя устьями. Удвоение ЧЛК и мочеточников — фактор риска развития патологии (пиелонефрита, гидронефроза и др.).

Рисунок. На УЗИ синус почек широкий, неоднородной эхоструктуры (1, 2). На фоне гиперэхогенного жира гипоэхогенный очаг округлой формы (2), при ЦДК междолевые сосуды проходят через гипоэхогенную зону без смещения (3) — это гипоэхогенный жир. При ожирении липоматоз синуса можно ошибочно принять за атрофию паренхимы.

Мочеточник, малые и большие чашечки в норме не видно на УЗИ. Существует три типа расположения лоханок: интра-, экстраренальный и смешанный (частично внутри почки, частично вне ее). При интраренальном строение просвет лоханки в раннем возрасте до 3 мм, в 4-5 лет — до 5 мм, в пубертате и у взрослых — до 7 мм. При экстраренальном и смешанном типе строения — 6, 10 и 14 мм, соответственно. При переполненном мочевом пузыре лоханка может увеличиваться до 18 мм, но через 30 минут после мочеиспускания сокращается.
Рисунок. Независимо от наполнения мочевого пузыря на УЗИ видно лоханку смешанного (1, 2) и экстраренального (3) расположения.

Рисунок. У детей до 1 года на УЗИ синус почки определяется слабо, анэхогенные пирамиды можно ошибочно принять за расширенный ЧЛК (1). На УЗИ в воротах почки линейная гипоэхогенная структура похожа на расширенную лоханку (2); при ЦДК видно, что это сосуды (3).

Аномалии расположения почек на УЗИ
Аномалии расположения почек возникают при нарушении перемещения первичной почки из таза в поясничную область. Почти всегда форма почки изменена, а ворота открыты вперед.
При грудной дистопии почка обычно входит в состав диафрагмальной грыжи. При поясничной дистопии лоханка находится на уровне L4, при подвздошной — L5-S1. Тазовая почка находится позади или чуть выше мочевого пузыря. При перекрестной дистопии мочеточник впадает в мочевой пузырь в обычном месте, а почка смещена контрлатерально.
Рисунок. Дистопия почек по отношению к скелету: грудная справа (1), двусторонняя поясничная (2), тазовая слева (3), поясничная справа и тазовая слева (4), поясничная удвоенной левой почки (5), перекрестная (6).

Рисунок. Дистопия почек по отношению друг к другу и их сращение между собой: сращение верхних концов (1), нижних концов и удвоение левой почки (2), средних частей тазово-дистопированных почек (3), боковых частей тазово-дистопированных почек (4), разных концов (5), под углом (6).

Рисунок. На УЗИ почечное ложе слева пустое (1). Обе почки расположены справа, срастаются полюсами (2, 3). Заключение: Аномалия взаиморасположения почек — I-образная удвоенная правая почка.

Рисунок. На УЗИ в малом тазу (мочевой пузырь — акустическое окно) определяются почки связанные узким перешейком (1, 3); дифференцировка паренхимы сохранена, кровоток прослеживается до капсулы (2, 3). Заключение: Аномалия взаиморасположения почек — сращение нижних полюсов тазово-дистопированных почек.

Подвижность почек на УЗИ
Отметим на коже уровень верхнего полюса почки в положении пациента лежа на животе и стоя. Перед повторным измерением попросите пациента попрыгать.
Как на УЗИ отличить нефроптоз от дистопии? В норме ПА отходит от аорты сразу ниже ВБА, при поясничной дистопии — вблизи бифуркации аорты, при тазовой дистопии — от подвздошной артерии.
Рисунок. При тазовой дистопии на внутривенной урографии в положении лежа мочеточник короткий, почка в тазу (1, 2). При нефроптозе на внутривенной урографии в положении лежа почка определяется в типичном месте (3), в положении стоя почка значительно приспускается (4).
Читайте также:
