Лучевая диагностика болезни Гиппеля-Линдау
Добавил пользователь Владимир З. Обновлено: 26.12.2025
Диагностика синдрома Гиппеля-Линдау на МРТ, КТ
а) Терминология:
1. Сокращения:
• Синдром фон Гиппеля-Линдау (ФГЛ)
2. Определение:
• Аутосомно-доминантный семейный синдром, характеризующийся возникновением гемангиобластом (ГМБЛ), светлоклеточного типа: почечноклеточного рака, цистоаденом, феохромоцитом
о Поражаются шесть различных систем органов, в том числе орган зрения, слуха и центральная нервная система (ЦНС)
о В вовлеченных в процесс тканях часто наблюдаются множественные поражения
о Поражения → доброкачественные кисты, сосудистые опухоли, карциномы
б) Визуализация:
1. Общие характеристики синдрома Гиппеля-Линдау:
• Лучший диагностический критерий
о Две или более ГМБЛ центральной нервной системы или одна ГМБЛ + висцеральное поражение или кровоизлияние в сетчатку глаза
• Локализация:
о ГМБЛ при синдроме Гиппеля-Линдау наблюдаются у 60-80% пациентов:
- Обычно множественные
- 40-50% локализуются в спинном мозге (задняя половина)
- 44-72% локализуются в мозжечке (задняя > передняя половина)
- 10-25% локализуются в стволе мозга (задние отделы)
- ГМБЛ растут из мягкой мозговой оболочки; если образование локализуется в глубоком белом веществе или в центральных отделах спинного мозга, это не ГМБЛ
о Ангиомы сетчатки глаза:
- Обнаруживаются у 25-60% носителей гена VHL
- Вызывают отслойку сетчатки, кровоизлияние
о Опухоли эндолимфатического мешка (ОЭЛМ):
- Крупное объемной образование височной кости; локализуется кзади от внутреннего слухового прохода вблизи водопровода преддверия
• Размеры:
о Вариабельны: от мелкого объемного образования до очень крупного с еще более крупным кистозным компонентном
• Морфология:
о ГМБЛ может иметь различный характер: солидный, солидный с центральным некрозом или кистозный с контрастируемым узловым солидным компонентом стенки
2. КТ при синдроме Гиппеля-Линдау:
• Бесконтрастная КТ:
о ГМБЛ: 2/3 → кистозное образование в структуре мозжечка с четкими ровными контурами, имеющее узловой солидный компонент:
- Узловой солидный компонент обычно примыкает к пиальной поверхности
- 1/3 - солидный характер, без кистозного компонента
о ОЭЛМ → инфильтративные, деструктивные изменения каменистой части височной кости
• КТ с контрастированием:
о Интенсивное накопление контраста солидной частью опухоли

(а) На рисунке аксиального среза у пациента с ФГЛ определяется опухоль эндолимфатического мешка — литическое гиперваскулярное объемное образование, имеющее геморрагический компонент. Образование залегает между ВСП и сигмовидным синусом. Обратите внимание на тенденцию к фистулизации внутреннего уха.
(б) Бесконтрастная КТ, аксиальный срез: у женщины 51 года с известным ФГЛ и нейросенсорной тугоухостью определяется классический признак данного заболевания — гиперденсная V-образная гемаоррагическая отслоение сетчатки, обусловленная ГМБЛ сетчатки («ангиома»).
4. Ангиография:
• Традиционная ангиография:
о ГМБЛ: гиперваскулярное объемное образование по данным ЦСА, пролонгированное контрастирование
о Часто наблюдается артериовенозное шунтирование (раннее дренирование вен)
5. Рекомендации по визуализации:
• Лучший инструмент визуализации:
о Головной мозг: МРТ ± контрастное исследование
• Советы по протоколу исследования:
о Исследуйте весь головной и спинной мозг
• Рекомендации НИЗ (национального института здоровья США):
о МРТ с контрастированием головного/спинного мозга каждые два года начиная с 11 лет
о УЗИ брюшной полости начиная с 11 лет (ежегодно)
о КТ брюшной полости начиная с 20 лет (ежегодно/через год)
о МРТ височной кости при снижении слуха/тиннитусе/вертиго
(а) КТ височной кости: у той же пациентки определяется литическое поражение В задних отделов каменистой части левой височной кости инфильтративного характера. Обратите внимание на фиксированные костные «спикулы» внутри образования. Локализация и внешние признаки характерны для опухоли эндолимфатического мешка (ОЭЛМ).
(б) MPT, Т1 -ВИ, аксиальный срез: у той же пациентки определяется, что образование имеет смешанный изо - и гиперинтенсивный сигнал по сравнению с окружающей мозговой тканью. (а) МРТ, Т2-ВИ, аксиальный срез: у той же пациентки определяется гетерогенный гиперинтенсивный сигнал от образования. Обратите внимание на гипоинтенсивный сигнал от левого стекловидного тела по сравнению с нормальным правым глазным яблоком.
(б) МРТ, постконтрастное Т1-ВИ, режим подавления сигнала от жира: у той же пациентки определяется интенсивное, но гетерогенное контрастирование образования. Кровоизлияние в сетчатку гиперинтенсивно на Т1-ВИ.
в) Дифференциальная диагностика синдрома Гиппеля-Линдау:
1. Гиперваскулярный метастаз:
• Обычно солидный характер, а не кистозный с солидным компонентом
• Некоторые опухоли (например, светлоклеточный почечноклеточный рак) гистологически могут напоминать ГМБЛ
2. Одиночная гемангиобластома:
• 25-40% ГМБЛ являются компонентом ФГЛ
• Отсутствие мутаций VHL, отягощения семейного анамнеза, других опухолей или кист
3. Пилоцитарная астроцитома:
• Обычно наблюдается в более молодом возрасте по сравнению с ФГЛ
• Отсутствие в солидной части опухоли участков потери сигнала за счет эффекта потока (что более характерно для ГМБЛ)
• Опухоль часто не имеет связи с пиальными или эпендимными поверхностями
4. Полушарная медуллобластома у подростков или молодых взрослых:
• Редкие; наблюдаются в периферическом отделе полушария мозжечка
• Может визуализироваться экстрапаренхимально
• Солидный характер, на Т2-ВИ интенсивность соответствует серому веществу
5. Множественные АВМ при сосудистом нервно-кожном синдроме:
• Болезнь Ослера-Вебера-Рандю, синдром Уайберна-Мэйсона и т.д.
• При ангиографии небольшие АВМ могут иметь сходство с ГМБЛ
г) Патология синдрома Гиппеля-Линдау:
1. Общие характеристики:
• Генетика:
о Аутосомно-доминантное наследование с высокой пенетрантностью, вариабельной экспрессией:
- 20% случаев обусловлено новой мутацией
о Герминативные мутации гена-супрессора опухолевого роста VHL:
- Локус Зр25—26
- Продукт гена: pVHL; инактивация pVHL приводит к гиперэкспрессии индуцируемых гипоксией мРНК, включая мРНК фактора роста эндотелия (VEGF)
- Участвует в регуляции клеточного цикла, ангиогенезе
- Особенности заболевания варьируют в зависимости от вида мутации VHL
- «Задняя» локализация ГМБЛ = результат развития опухоли во время эмбриогенеза:
Опухоли развиваются из эмбриональных мультипотентных клеток
2. Стадирование и классификация синдрома Гиппеля-Линдау:
• Капиллярная гемангиобластома I степень злокачественности по классификации ВОЗ (grade I)
3. Макроскопические и хирургические особенности:
• ГМБЛ определяется как красноватое гиперваскуляризированное узловое образование, хорошо отграниченное от окружающих структур:
о По меньшей мере 75% имеют частично кистозную структуру: жидкость имеет янтарный цвет
4. Микроскопия:
• Два компонента ГМБЛ:
о Богатая капиллярная сеть
о Крупные вакуолизированные стромальные клетки с прозрачной цитоплазмой
д) Клиническая картина синдрома Гиппеля-Линдау:
1. Проявления:
• Наиболее частые признаки/симптомы
о Синдром Гиппеля-Линдау (ФГЛ) - клинически очень гетерогенный синдром; фенотипическая пенетрантность: 97% в 65 лет
- Скорость развития опухоли непостоянна, варьируете возрастом (пик в 30-34 года)
о Ангиомы сетчатки глаза
- Нарушения зрения являются наиболее ранним симптомом синдрома Гиппеля-Линдау; пик - в подростковом возрасте
- Отслойка сетчатки, кровоизлияние в стекловидное тело
о ГМБЛ мозжечка:
- Головная боль (обструктивная гидроцефалия)
- Пик - 4-е десятилетие
- Практически 75% симптомных опухолей имеют кистозный компонент, перитуморальный отек
о ГМБЛ спинного мозга:
- Прогрессирующая миелопатия
- 95% имеют фистулу о ОЭЛМ:
- Распространенность у пациентов с ФГЛ составляет 3,6%
- Может являться первым проявлением ФГЛ, поэтому необходимо молекулярное тестирование
• Клинический профиль:
о Диагностика ФГЛ: капиллярная гемангиобластома ЦНС/сетчатки и одна из типичных ФГЛ-ассоциированных опухолей или отягощенный семейный анамнез
о Фенотипы, подтипы ФГЛ зависят от отсутствия или наличия феохромоцитомы:
- Тип 1: низкий риск феохромоцитомы:
- Тип 2: высокий риск феохромоцитомы:
Тип 2А (низкий риск почечноклеточного рака)
Тип 2В (высокий риск почечноклеточного рака)
Тип 2С (семейная феохромоцитома без ГМБЛ или ПКР)
2. Демография:
• Возраст:
о Синдром Гиппеля-Линдау (ФГЛ) развивается у молодых взрослых: средний возраст манифестации:
- Ангиома сетчатки глаза: 25 лет
- ГМБЛ мозжечка, феохромоцитома: 30 лет
- Опухоль эндолимфатического мешка: 31 год
- Рак почки: 33 года
• Эпидемиология:
о 1:35000-50000
3. Течение и прогноз:
• Рак почки является непосредственной причиной смерти в 15-50%
• ГМБЛ → множественные периоды роста опухоли (обычно связано с увеличением размеров кистозного компонента) чередуются с периодами его приостановки
• В среднем, при ФГЛ новое поражение развивается через каждые два года
4. Лечение:
• Офтальмоскопия (ежегодно с младенческого возраста)
• Физикальное/неврологическое обследование ежегодно
• Хирургическая резекция симптоматической мозжечковой/спи-нальной гемангиобластомы
• Стереотаксическая радиохирургия обеспечивает контроль опухоли в 70-90% случаев
• Лазерное лечение ангиом сетчатки
д) Диагностическая памятка синдрома Гиппеля-Линдау:
1. Обратите внимание:
• Следуйте правилам скрининга НИЗ
• Ищите ОЭЛМ у пациентов с синдромом Гиппеля-Линдау (ФГЛ) и нарушениями равновесия, снижением слуха или заложенностью ушей
2. Советы по интерпретации изображений:
• Одиночные ГМБЛ в молодом возрасте могут свидетельствовать о ФГЛ
Болезнь Гиппеля-Линдау ( Цереброретинальный ангиоматоз )
Болезнь Гиппеля-Линдау — аутосомно-доминантная генная патология, обуславливающая развитие в организме целого ряда полиморфных опухолей. Наиболее часто это ангиомы сетчатки, гемангиобластомы ЦНС, феохромоцитомы, новообразования почек и поджелудочной железы. Иногда проявлением заболевания выступает единичный опухолевый процесс. Диагноз верифицируется после неврологического и офтальмологического обследований, проведения КТ или МРТ головного мозга и позвоночника, УЗИ или КТ почек, поджелудочной железы, надпочечников, генетической диагностики. Лечение состоит в раннем выявлении и удалении появляющихся опухолевых образований.
МКБ-10
Общие сведения
Болезнь встречается с частотой 1 случай на 36 тыс. чел. Отличается большим полиморфизмом и различной локализацией возникающих опухолей. Наиболее распространенным признаком является ретинальный ангиоматоз, который сопровождает до 75% случаев заболевания. Зачастую он выступает диагностическим маркером данной патологии. Гемангиобластомы мозжечка по различным данным наблюдаются в 35-70% случаев, новообразования и кисты почек — у 25% больных, поражение поджелудочной железы — у 24%, феохромоцитома — у 7%. По причине большой вариабельности новообразований пациенты, имеющие болезнь Гиппеля-Линдау, нуждаются в совместной курации специалистов в области офтальмологии, неврологии, онкологии, урологии, гастроэнтерологии, эндокринологии.
Причины болезни Гиппеля-Линдау
Болезнь Гиппеля-Линдау является генной патологией. Примерно в 80% случаев она наследуется аутосомно-доминантным способом с неполной пенетрантностью гена. Еще в 20% случаев болезнь Гиппеля-Линдау возникает вследствие новых мутаций. Аберрации затрагивают расположенный в 3-ей хромосоме участок р25-26, а именно ген VHL, который играет роль супрессора, подавляющего рост новообразований. На сегодняшний день известно около 140 мутаций данного гена.
В результате недостаточной онкосупрессии происходит рост новообразований, преимущественно ангиоретикулом и гемангиобластом. Опухоли поражают мозжечок и сетчатку глаза, реже отмечаются внутримозговые опухоли полушарий, новообразования подкорковых структур и продолговатого мозга, еще реже — опухоли спинного мозга и периферических нервов. Из-за неполной проявленности генетических аберраций у некоторых пациентов может наблюдаться лишь один клинический признак болезни.
В соответствии с классификацией, болезнь Гиппеля-Линдау имеет 2 типа: без феохромоцитомы и с ее наличием. Второй тип подразделяется на варианты: 2А — с низким риском развития аденокарциномы почки, 2В — с высоким риском карциномы, 2С — наблюдается только феохромоцитома. При всех вариантах заболевания, кроме 2С, возможно наличие гемангиобластом ЦНС и ангиом сетчатки.
Симптомы болезни Гиппеля-Линдау
Дебют неврологических проявлений обычно приходится на 3-4-е десятилетия жизни. В детском возрасте болезнь Гиппеля-Линдау отличается появлением неврологической симптоматики на фоне уже существующих зрительных расстройств. В ряде случаев заболевание у детей манифестирует субарахноидальным кровоизлиянием.
Поражение ЦНС. Наиболее часто источником первичных симптомов выступают церебеллярные кисты (кисты мозжечка). Они манифестируют общемозговыми симптомами (диффузными головными болями, тошнотой без связи с приемом пищи, рвотой, шумом в ушах), обусловленными повышением внутричерепного давления. К первым признакам также относятся эпиприступы, они могут быть генерализованными либо фокальными. Со временем проявляются признаки поражения мозжечка, формирующие симптомокомплекс мозжечковой атаксии: статическая и динамическая дискоординация, адиадохокинез, гиперметрия и асинергия, интенционный тремор, миодистония. По мере роста церебеллярного новообразования возникает смещение и сдавление мозгового ствола, сопровождающееся стволовыми симптомами, в первую очередь, расстройством глотания, диплопией, дизартрией. Спинальные опухоли (чаще ангиоретикуломы) проявляются корешковыми синдромами, выпадением глубоких видов чувствительности, отсутствием сухожильных рефлексов. В 80% случаев спинальной патологии отмечается клиника, сходная с сирингомиелией. Возможна картина полного поражения поперечника спинного мозга.
Поражение глаз на ранних стадиях диагностируются лишь при офтальмоскопии. После 8 лет появляются жалобы на туманность изображения и его искажение (метаморфопсии). У половины пациентов выявляется поражение обоих глаз. Увеличивающиеся со временем ангиомы сетчатки приводят к расстройству кровообращения в ее сосудах, ишемии и кистозной дегенерации. В поздней стадии возможны увеит, катаракта, отслойка сетчатки, глаукома, гемофтальм.
Поражение почек в 60-90% случаев представлено кистами, в 45% случаев — ренальноклеточной карциномой. Как правило, почечная карцинома клинически дебютирует в возрасте от 40 до 50 лет у больных, которые ранее уже лечились по поводу новообразований. В половине случаев на момент диагностирования карциномы выявляются ее метастазы. Сочетание поликистоза почек с ангиоматозом сетчатки более характерно, чем его комбинация с церебральными ангиомами. У 35% пациентов, имеющих болезнь Гиппеля-Линдау, поликистоз диагностируется посмертно. В детском возрасте при семейном типе заболевания поликистоз почек зачастую является его единственным проявлением.
Феохромоцитома почти в половине случаев имеет двусторонний характер. Может выступать единственным клиническим проявлением болезни. В сочетании с почечной карциномой наблюдается довольно редко.
Поражение поджелудочной железы от 30 до 72% составляют ее кисты. Кисты поджелудочной железы носят доброкачественный характер и редко приводят к клинически значимой ферментативной недостаточности панкреас. Хотя известны случаи полного замещения кистой нормальных тканей железы с развитием сахарного диабета.
Диагностика болезни Гиппеля-Линдау
Полная верификация диагноза осуществляется коллегиально неврологом, офтальмологом и генетиком при участии других врачей: онколога, эндокринолога, уролога, гастроэнтеролога.
На начальном этапе проводят полный неврологический и офтальмологический осмотр. С целью выявления церебеллярных образований назначают КТ или МРТ головного мозга. Для обнаружения опухолей другой локализации необходимо УЗИ или КТ почек, УЗИ поджелудочной железы или ее МРТ, МРТ позвоночника, КТ надпочечников. Проводится анализ уровня катехоламинов и ферментов поджелудочной железы. ДНК-диагностика направлена на выявление мутаций в VHL-гене.
Предполагать и исключать болезнь Гиппеля-Линдау следует в каждом случае выявления ангиоматоза сетчатки в ходе офтальмоскопии, особенно при наличии отягощенного семейного анамнеза. В начальной стадии офтальмоскопия может определять одиночную ангиому сетчатки с дилатацией питающих ее сосудов, впоследствии ангиомы становятся множественными, характерны аневризмы и змееобразная извитость сосудов. Диагностировать самые ранние изменения сосудов сетчатки и стертые формы позволяет флюоресцентная ангиография сетчатки. С ее помощью можно дифференцировать изменения сетчатки, сопровождающие болезнь Гиппеля-Линдау, от другой офтальмологической патологии: ретинопатий, ритинита, ретинобластомы, нейропатии зрительного нерва и пр. Уточнение диагноза возможно при помощи лазерной томографии сетчатки.
Лечение и прогноз болезни Гиппеля-Линдау
Сегодня болезнь Гиппеля-Линдау имеет лишь симптоматическое лечение. Оно направлено на ликвидацию возникающих опухолевых образований. Для как можно более раннего выявления опухолей рекомендовано наблюдение и ежегодное обследование пациентов.
Ранние стадии ангиоматоза сетчатки являются показанием к фокусной лучевой терапии, однако через год после ее проведения может возникнуть радиационная ретинопатия. В отношении ангиом небольшого размера возможна лазерная коагуляция, диатермокоагуляция, при больших образованиях — транссклеральная криопексия. Если болезнь Гиппеля-Линдау сопровождается новообразованиями ЦНС, необходима консультация нейрохирурга.
Возможно хирургическое удаление опухоли мозжечка, полушарий мозга, зрительного нерва. Описаны случаи применения стереотаксической хирургии. При диагностировании почечной карциномы производится частичная нефрэктомия, при выявлении феохромоцитомы — ее удаление. Хирургическое лечение доброкачественных новообразований поджелудочной железы показано при увеличении их размеров свыше 2-3 см.
Без проведения лечения заболевание приводит к слепоте вследствие прогрессирующего ангиоматоза сетчатки и к летальному исходу вследствие развития опухолей церебральной и соматической локализации. При наблюдении и лечении пациенты доживают в среднем до 40-50-летнего возраста. Половина летальных исходов обусловлена гемангиобластомами ЦНС. На ранних стадиях радикальное удаление этих опухолей удается у большинства больных, однако новообразования склонны рецидивировать в среднем через 6 лет после их удаления.
Лучевая диагностика болезни Гиппеля-Линдау
а) Терминология:
• Болезнь Гиппеля-Линдау
б) Определение:
• Наследственное аутосомно-доминантное заболевание, поражающее несколько органов и ассоциированное со множественными новообразованиями
в) Визуализация:
1. Общая характеристика:
• Почечные проявления:
о Кисты почки (59-63%)
о ПКР (25-45%)
• Внепочечные проявления:
о Гемангиобластомы в центральной нервной системе (13-72%)
о Гемангиобластома сетчатки (45-59%)
о Опухольэндолимфатического мешка (2-11 %)
о Патологические изменения поджелудочной железы (17-56%)
о Феохромоцитомы (0-60%)
2. КТ при болезни Гиппеля-Линдау:
• Кисты почки:
о Обычно двусторонние, множественные, разного размера
о Простые кисты: тонкостенные, не накапливающие контраст, с плотностью жидкостного образования
о Сложные кисты: неправильной формы, высокой плотности, разделены перегородками, не накапливают контраст
• ПКР:
о Обычно двусторонний и многоочаговый
о Солидное контрастируемое объемное образование или сложное кистозное объемное образование с интрамуральными узелками и/или перегородками
3. МРТ при болезни Гиппеля-Линдау:
• Кисты почки:
о Простые кисты: повышение ИС на Т2-ВИ, понижение ИС на Т1 -ВИ, без контрастирования
о Сложные кисты: различная ИС на Т1-ВИ и Т2-ВИ
• ПКР:
о Солидное контрастируемое объемное образование, сложное кистозное объемное образование с интрамуральными узелками и/или перегородками
4. УЗИ при болезни Гиппеля-Линдау:
• Кисты почки: обычно анэхогенные
• ПКР: различная эхогенность
5. Рекомендации по визуализации:
• Лучший метод визуализации:
о КТ с контрастированием или МРТ с протоколом для объемного образования почки

(Слева) КТ с контрастированием, аксиальная проекция: у пациента с болезнью Гиппеля-Линдау выявлены двусторонние кисты почек и множественные сложные кистозные объемные образования с контрастируемыми узелками и перегородками, что позволяет предположить кистозный ПКР. Кисты почек и ПКР - распространенные висцеральные проявления болезни Гиппеля-Линдау.
(Справа) КТ с контрастированием, аксиальная проекция: у данного пациента визуализированы множественные кисты поджелудочной железы.
г) Дифференциальная диагностика болезни Гиппеля-Линдау:
1. Киста почки:
• Может быть обнаружена в почке при ПКР без болезни Гиппеля-Линдау
2. Поликистозная болезнь почек у взрослых:
• Увеличенные почки со множественными кистами
3. Приобретенная кистозная болезнь почек от уремии:
• Множественные кисты в небольших атрофированных почках
4. Медуллярная кистозная болезнь:
• Небольшие почки с кистами в мозговом веществе
д) Патология:
1. Общая характеристика:
• Генетика:
о Редкое аутосомно-доминантное заболевание с высокой пенетрантностью
о Мутация пена-супрессора опухолей VHL на хромосоме 3 (3р25—р26)
2. Стадирование и классификация:
• Тип 1: отсутствие феохромоцитомы
• Тип 2: наличие феохромоцитомы

(Слева) КТ с контрастированием, аксиальная проекция: у пациента с болезнью Гиппеля-Линдау выявлены множественные двусторонние кисты почки и ПКР. Выявлено кистозное новообразование в головке поджелудочной железы. Поджелудочные проявления болезни Гиппеля-Линдау включают кисты, кистозные новообразования (микрокистозная аденома) и нейроэндокринные опухоли.
(Справа) МРТ, постконтрастное Т1-ВИ, аксиальная проекция: выявлены множественные контрастируемые патологические изменения мозжечка, что позволяет предположить гемангиобластомы.
е) Клинические особенности:
1. Клиническая картина болезни Гиппеля-Линдау:
• Диагностические критерии:
о Более одной гемангиобластомы в центральной нервной системе или сетчатке
о Одна гемангиобластома и висцеральное проявление
о Отягощенный семейный анамнез и одно из вышеперечисленных проявлений
2. Демография:
• Возраст:
о От младенческого возраста до 70 лет (средний возраст- 26 лет)
• Пол:
о Мужчины и женщины болеют одинаково часто
• Эпидемиология:
о Распространенность: 1:30000-1:50000
3. Течение и прогноз:
• Частые причины смертности:
о ПКР (причина 50% летальных исходов у пациентов с болезнью Гиппеля-Линдау)
о Неврологические осложнения
4. Лечение болезни Гиппеля-Линдау:
• Скрининг ПКР:
о Визуализация (УЗИ или МРТ) каждый год после 16 лет
• Нефрон-сохраняющая операция при ПКР
Киста поджелудочной железы - симптомы и лечение
Что такое киста поджелудочной железы? Причины возникновения, диагностику и методы лечения разберем в статье доктора Лядова Владимира Константиновича, хирурга со стажем в 15 лет.
Над статьей доктора Лядова Владимира Константиновича работали литературный редактор Юлия Липовская , научный редактор Елена Максимова и шеф-редактор Маргарита Тихонова
Определение болезни. Причины заболевания
Киста поджелудочной железы (pancreatic cyst) — это ограниченное скопление жидкости или содержащее жидкость образование в поджелудочной железе.

Часто они развиваются бессимптомно, поэтому выявляются обычно случайно, когда человек обследуется по поводу других патологий. Это стало возможным благодаря бурному развитию диагностических методик (УЗИ, КТ и МРТ) и повышению их доступности. По статистике, при выполнении КТ или МРТ органов брюшной полости кисты в поджелудочной железе могут обнаружиться у 3–14 % обследованных [1] .
Киста поджелудочной железы — это собирательное понятие, которое объединяет совершенно разные заболевания:
- кистозные образования поджелудочной железы воспалительной природы;
- кисты поджелудочной железы неопухолевой природы;
- кистозные опухоли (или неоплазии) поджелудочной железы.
Иногда кисты поджелудочной железы являются просто особенностью развития человека и не требуют лечения или специального интенсивного наблюдения, но, чтобы это подтвердить или опровергнуть, обычно требуется квалифицированное обследование.
Также нужно знать, что некоторые кисты поджелудочной железы могут стать злокачественными, поэтому при их обнаружении важно обратиться к грамотным специалистам, которые смогут понять, нужна ли операция или достаточно индивидуальной программы наблюдения. Чаще операция не требуется.
Причины развития кист поджелудочной железы
Основные причины — острый панкреатит (воспаление поджелудочной железы), опухолевые изменения в протоковой системе или самой ткани железы, а также врождённые факторы, например передающаяся по наследству болезнь Гиппеля — Линдау. При этом заболевании в достаточно молодом возрасте образуются опухоли почек, головного мозга и надпочечников. В 35–70 % случаев развиваются кисты поджелудочной железы. Болезнь встречается у одного из 36 тысяч человек [3] .
При обнаружении схожих симптомов проконсультируйтесь у врача. Не занимайтесь самолечением - это опасно для вашего здоровья!
Симптомы кисты поджелудочной железы
Часто киста поджелудочной железы не вызывает никаких симптомов. Жалобы, связанные с кистозным образованием в этом органе, встречаются примерно у каждого пятого пациента или даже реже [2] . Например, при крупной кисте в поджелудочной железе может возникать тяжесть или боль в верхних отделах живота.
В редких случаях пациенты сами могут заметить плотное, обычно почти безболезненное выпячивание в левом подреберье или по средней линии живота выше пупка. Иногда в этой области может возникать боль. Если появились такие симптомы, стоит обратиться к врачу.
Патогенез кисты поджелудочной железы
Поджелудочная железа — крупный орган, расположенный позади желудка. Справа от неё находится двенадцатиперстная кишка, слева — селезёнка.

Механизм развития кист различается в зависимости от вида:
- Кистозные образования поджелудочной железы воспалительной природы развиваются п ри остром панкреатите, когда в ткани или рядом с поджелудочной железой скапливается жидкость.
- Кисты поджелудочной железы неопухолевой природы могут быть связаны с генетическими заболеваниями, которые передаются по наследству или возникают из-за случайных мутаций генов. Например, киста может образоваться, если есть мутация в гене VHL, который подавляет бесконтрольное деление клеток [3] .
- Кистозные опухоли появляются, когда протоки поджелудочной железы закупориваются и расширяются из-за появления в стенке протоков клеток, производящих слизь (муцин).
У поджелудочной железы две основные функции: выработка богатого ферментами сока, который необходим для пищеварения, и производство ряда гормонов. Сок поджелудочной железы по системе протоков попадает в двенадцатиперстную кишку, где помогает переварить пищу. Если киста блокирует отток сока, её главный проток расширяется и может развиться острый панкреатит.

Основными гормонами поджелудочной железы являются инсулин и глюкагон. Они поддерживают уровень глюкозы (сахара) в крови. Поэтому ранним симптомом некоторых опухолевых заболеваний поджелудочной железы является сахарный диабет (повышение уровня сахара в крови), однако при кистах железы такое случается очень редко.
Классификация и стадии развития кисты поджелудочной железы
I. Кистозные образования поджелудочной железы воспалительной природы. Они возникают после перенесённого острого панкреатита. Чаще всего в мировой практике используется модифицированная в 2012 году Атлантская классификация острого панкреатита [4] . В этой классификации выделено 4 типа кистозных образований:
- Скопление жидкости без некроза (омертвения) тканей поджелудочной железы:
- Острое перипанкреатическое жидкостное скопление — появляется в ткани поджелудочной железы и жировой клетчатке вокруг неё в первые 4 недели от начала заболевания. Оно не ограниченно капсулой и часто самостоятельно рассасывается.
- «Ложная», или псевдокиста, — появляется позднее 4 недель, когда у жидкостного скопления образуется видимая на момент диагностики капсула.
- Скопление жидкости, связанное с некрозом тканей поджелудочной железы:
- Острое некротическое скопление — появляется в первые 4 недели от начала заболевания. Такое образование не ограничено капсулой и содержит омертвевшие участки ткани поджелудочной железы и жировой клетчатки вокруг неё.
- Отграниченный некроз — появляется позднее 4 недель. Скопление жидкости ограничено капсулой.
II. Кисты поджелудочной железы неопухолевой природы. Включают так называемые «истинные» кисты»: лимфоэпителиальные и ретенционные. «Истинная» киста представляют собой пузырёк с жидкостью, который окружён клетками эпителия. В норме эпителий выстилает слизистые оболочки, в том числе оболочку протоков поджелудочной железы. У «ложных» кист и кистозных опухолей нет такой эпителиальной выстилки.
III. Кистозные опухоли поджелудочной железы (или неоплазии). Это наиболее важная с точки зрения онкологии группа, так как некоторые такие опухоли могут стать злокачественными. В этой группе выделяют серозные цистаденомы, муцинозные кистозные неоплазии, внутрипротоковые папиллярно-муцинозные опухоли (ВПМО), солидные псевдопапиллярные опухоли и кистозные нейроэндокринные опухоли [5] .
Классификация внутрипротоковых папиллярно-муцинозных опухолей:
- ВПМО главного панкреатического протока. Такие образования обычно удаляются, так как у них высокий риск стать злокачественными.
- ВПМО боковых ветвей главного панкреатического протока. Это самая распространённая форма кист поджелудочной железы, нередко является множественной и у большинства пациентов не приводит к развитию рака.
- Смешанный тип [6] .

Осложнения кисты поджелудочной железы
Острый панкреатит. Может развиться, если киста блокирует отток поджелудочного сока в двенадцатиперстную кишку. Состояние сопровождается интенсивной, опоясывающей болью в верхних отделах живота, появлением тошноты и рвоты и повышением в крови уровня пищеварительных ферментов (амилазы, липазы и др.).
Механическая желтуха. Возникает, если образование в правых отделах (головке) поджелудочной железы сдавливает желчный проток. В этом случае желчь всасывается в кровь и начинает выделяться с мочой. Поэтому у пациента с механической желтухой моча тёмно-коричневого цвета, обесцвеченный кал (вплоть до белой окраски), желтушные белки глаз и кожа.
![Желтуха [13]](/pimg3/luchevaya-diagnostika-bolezni-623114.jpeg)
Рак поджелудочной железы. Это наиболее тяжёлое осложнение кистозных опухолей поджелудочной железы. Процесс связан с накоплением мутаций в эпителии кист. Чаще всего это наблюдается в муцинозных (продуцирующих слизь) опухолях: ВПМО и муцинозных кистозных опухолях.
Клетки с признаками выраженных предраковых изменений выявляются в 38–68 % удалённых ВПМО главного панкреатического протока. При муцинозных кистозных опухолях частота озлокачествления ниже и составляет, по последним данным, около 10 %. Этот показатель возрастает по мере увеличения размеров таких образований [7] [8] .
Диагностика кисты поджелудочной железы
У большинства пациентов кисты поджелудочной железы выявляются случайно, поэтому осмотр и сбор жалоб не имеют большого значения.
Сбор анамнеза
При изучении истории болезни врач может уточнить:
- Болел ли пациент недавно острым панкреатитом. Если да, то, скорее всего, киста связана с воспалением. Однако иногда сама по себе киста поджелудочной железы может привести к развитию панкреатита. Особенно важно помнить об этом в тех ситуациях, когда панкреатит развился не на фоне употребления алкоголя или желчнокаменной болезни.
- Есть ли у кого-либо из родственников опухоли и кисты почек, головного мозга или надпочечников. Если да, врач заподозрит болезнь Гиппеля — Линдау и порекомендует проконсультироваться с медицинским генетиком.
Инструментальная диагностика
Основой диагностики кист поджелудочной железы являются инструментальные методы обследования.
УЗИ или КТ с внутривенным контрастированием. Позволяют обнаружить образования в поджелудочной железе. Однако точность этих методов обычно недостаточна, чтобы установить природу кисты и, соответственно, определить тактику лечения.
МРТ. Наиболее важный метод при кистах поджелудочной железы, так как с его помощью можно установить, связана ли киста с протоковой системой железы. Также МРТ с внутривенным контрастированием помогает выявить утолщения стенки кист, а это важнейший признак развития предраковых изменений. Использование так называемого режима DWI (диффузионно-взвешенные изображения) позволяют врачу судить о вероятности развития злокачественной опухоли на фоне кисты. Кроме этого, МРТ не сопровождается лучевой нагрузкой, не требует специальной подготовки и является нетравматичным, безопасным методом. Это особенно важно, поскольку большинству пациентов после выявления кисты нужно наблюдаться не менее нескольких лет [9] .
Эндосонография, или эндоУЗИ. В последние годы приобретает всё большее значение. Суть методики в том, что врач исследует поджелудочную железу через стенку желудка с помощью эндоскопа с закреплённым на конце ультразвуковым датчиком. Это позволяет изучить все детали новообразования или кисты с максимально возможным разрешением (около 1 мм). Исследование проводится строго натощак.

Огромным преимуществом эндоУЗИ является возможность провести биопсию. Специальная игла проводится через канал эндоскопа и позволяет взять на анализ содержимое кисты, а также ткань из стенки образования для микроскопического исследования.
Поскольку прибор имеет довольно большой диаметр, а само исследование обычно длится около часа, оно проводится под внутривенным наркозом и часто требует госпитализации в стационар. В нашей стране эндоУЗИ не применяется широко из-за дефицита самих приборов и высокой стоимости игл для биопсии под контролем эндоУЗИ [10] .
Лабораторная диагностика
Микроскопическое исследование содержимого кисты на амилазу, опухолевые маркеры CEA и СA19-9, а также муцин. Позволяет точно определить природу кисты и вероятность её злокачественной трансформации. Если в полученной жидкости повышен уровень амилазы (фермента поджелудочной железы), то можно говорить о «ложной» кисте и планировать соответствующее лечение.
Тест на мутацию в гене VHL. Выполняется при подозрении на синдром Гиппеля — Линдау. Анализ позволяет подтвердить или опровергнуть диагноз. На основании результатов врач выберет схему наблюдения не только для самого пациента, но и его ближайших родственников.
Дифференциальная диагностика
Особенности некоторых типов кистозных опухолей, которые позволяют различить их между собой:
- Серозные цистаденомы имеют характерные признаки на КТ- или МРТ-изображениях: множественные перегородки (вид «губки» или «пчелиных сот»), центральный рубец с кальцинатами. Такие образования не склонны к озлокачествлению.
- Муцинозные кистозные неоплазии чаще представлены единичной полостью.
- Особенностью ВПМО является связь с протоковой системой поджелудочной железы.
Дифференциальная диагностика этих и более редких образований часто требует провести биопсию под контролем эндоУЗИ.
Киста поджелудочной железы может быть похожа по некоторым признакам на другие образования:
- некоторые варианты протокового или нейроэндокринного рака поджелудочной железы — они могут иметь полость внутри опухоли, напоминающую кисту поджелудочной железы;
- образования рядом расположенных органов: двенадцатиперстной и тощей кишки, почки и надпочечника.
В большинстве случаев применение МРТ и/или эндоУЗИ позволяет отличить эти образования от кист поджелудочной железы.
Лечение кисты поджелудочной железы
Тактика лечения кист поджелудочной железы полностью определяется их природой.
«Ложные» кисты
«Ложные» кисты могут рассасываться самостоятельно. Лечение обычно проводится, если киста крупная и вызывает симптомы. Обычно эффективным является дренирование кисты в просвет желудка. Процедура проводится с помощью эндоУЗИ в специализированных учреждениях. Некоторым пациентам требуется операция, при которой формируется шов между стенками кисты и участком тонкой кишки, чтобы содержимое кисты оттекало в кишечник.
Кисты поджелудочной железы неопухолевой природы
Такие кисты, в том числе при наследственных генетических синдромах, обычно не требуют специального лечения.
Кистозные опухоли поджелудочной железы
Наиболее сложной является тактика ведения пациента при кистозных опухолях поджелудочной железы:
- При серозных цистаденомах вероятность злокачественной трансформации очень низкая, поэтому они редко требуют операции.
- ВПМО боковых ветвей главного панкреатического протока нужно оперировать, если есть факторы риска:
- появление в стенке узелков размером > 5 мм, которые накапливают контрастный препарат;
- быстрое увеличении образования: на несколько миллиметров в течение 6–12 месяцев;
- большой размер (> 4 см).
- ВПМО главного панкреатического протока и смешанного типа являются показанием к удалению, как и солидные псевдопапиллярные опухоли.
- Муцинозные кистозные неоплазии< 3 см очень редко становятся злокачественными, поэтому, если они не растут в течение нескольких лет, некоторые руководства рекомендуют не проводить хирургическое лечение, хотя этот вопрос ещё обсуждается. Тактика в таких случаях определяется индивидуально с учётом предпочтений пациента. То же самое касается кистозных нейроэндокринных опухолей небольшого размера [11] .
Методы лечения
Лекарственное лечение (химиотерапия) применяется только в том случае, когда при исследовании опухоли после операции выясняется, что она была злокачественной.
Хирургическое лечение является единственным способом лечения кист поджелудочной железы, однако такие операции часто приводят к развитию осложнений или даже летальному исходу. Именно поэтому в мире разработаны детальные показания к операциям при кистах поджелудочной железы, основанные на риске их злокачественного перерождения.
Наиболее опасной операцией является панкреато-дуоденальная резекция — удаление правой половины поджелудочной железы (её головки) и двенадцатиперстной кишки. У этих структур единое кровоснабжение, поэтому они удаляются вместе. Такая операция должна выполняться только в специализированных центрах и отделениях, где вероятность смерти пациента на фоне потенциальных осложнений не превышает 5 %. Те или иные осложнения развиваются примерно у половины перенёсших эту операцию пациентов.

Операции на левой половине поджелудочной железы очень редко приводят к летальному исходу. Однако они часто сопровождаются осложнениями: сок поджелудочной железы разъедает окружающие ткани, что приводит к воспалению и формированию свища. Поэтому у таких пациентов в течение нескольких недель сохраняется трубка, по которой сок поджелудочной железы оттекает из брюшной полости [12] .
Важно помнить, что, несмотря на возможные осложнения, эти операции необходимы из-за крайне неблагоприятного прогноза рака поджелудочной железы. Правильно определить показания и выполнить такое вмешательство может лишь хирург-онколог, постоянно сталкивающийся в своей практике с подобными образованиями.
Реабилитация после таких операций может быть достаточно длительной и обычно занимает от нескольких недель до нескольких месяцев.
Прогноз. Профилактика
Прогноз при кистах поджелудочной железы определяется их видом. Кисты после панкреатита и образования неопухолевой природы обычно не оказывают влияния на продолжительность жизни пациентов.
При кистозных опухолях прогноз зависит от того, успела ли образоваться злокачественная опухоль. Рак поджелудочной железы плохо поддаётся лечению: даже при I–II стадии полное излечение возможно не более, чем у 20 – 30 % пациентов после обширной операции и комплексного химиотерапевтического лечения. Поэтому удаление кистозных опухолей поджелудочной железы является профилактикой неблагоприятного течения болезни.
Важно при этом помнить, что у большинства кист и кистозных опухолей очень низкий риск стать злокачественными, в то время как риски операции довольно существенны. Поэтому решение об операции должна принимать целая команда специалистов, среди которых должен быть врач лучевой диагностики, эндоскопист, хирург и онколог [1] [2] [11] .
Профилактика кист поджелудочной железы
Все меры по профилактике развития острого панкреатита (отказ от злоупотребления алкоголем, чрезмерного количества жирной пищи и т. п.) снижают и вероятность образования «ложных» кист поджелудочной железы.
Клинический случай: особенности лучевой диагностики в поиске осложнений (после оперативных вмешательств) и выявлении новых новообразований у пациента с болезнью Гиппеля−Линдау в хроническом критическом состоянии

Обоснование. Одной из форм системного ангиоретикулематоза является сочетание опухоли (ангиоретикулемы) мозжечка с ангиомой сетчатки (так называемая болезнь Гиппеля–Линдау). При данном наследственном заболевании общее состояние пациентов и прогноз зависят от сопутствующих опухолевых заболеваний. В том числе для всесторонней диагностики данного синдрома используются лучевые методы исследования.
Описание клинического случая. Для прохождения курса лечебно-реабилитационных мероприятий в ФНКЦ РР поступила молодая пациентка с болезнью Гиппеля–Линдау и рядом неврологических нарушений. На этапе госпитализации в предыдущем стационаре ей было выполнено микрохирургическое удаление внутримозговой опухоли. В процессе дообследования были исключены возможные отдаленные послеоперационные осложнения, однако выявлены поражения почек и поджелудочной железы. В результате скорректированного курса реабилитации у пациентки была отмечена положительная динамика, в частности повышение функционального и соматического статуса.
Заключение. При болезни Гиппеля– Линдау как одной из форм множественного ангиоретикулематоза ангиоретикулемы мозжечка и ангиомы сетчатки могут сочетаться с поражениями и других внутренних органов, поэтому необходима комплексная диагностика данной категории пациентов. Своевременное выявление очагов болезни Гиппеля–Линдау, осложнений после ранее проведенного лечения позволяет подобрать необходимый объем лечебных и реабилитационных мероприятий, что в дальнейшем может улучшить качество жизни пациента и прогноз.
Ключевые слова
Полный текст
Список сокращений
КТ — компьютерная томография
МРТ — магнитно-резонансная томография
Обоснование
Болезнь Гиппеля–Линдау — состояние, проявляющееся множественными ангиоретикулемами нервной системы. Системный ангиоретикуломатоз (ангиоматоз) — наследственное заболевание, которое проявляется чрезмерным ростом капилляров и возникновением доброкачественных и злокачественных новообразований во многих органах (при этом доброкачественные новообразования могут озлокачествляться и рецидивировать).
Название болезни (синдрома) сформировалось в начале XIX в. В 1904 г. немецкий офтальмолог фон Гиппель (Eugen von Hippel) впервые описал ангиоретикулому сетчатки глаза. В 1926 г. шведский патолог А. Линдау (Arvid Vilhelm Lindau) выявил 16 случаев ангиоматозных кист мозжечка (и 2 солитарных узла) и, изучив более 20 подобных заболеваний в литературе, объединил ангиоматозные опухоли мозжечка в общий синдром сосудистых ангиом (согласно терминологии Lindau, «капиллярные ангиомы»). Потом ученый сравнил кисты с похожими опухолями, выявленными в сетчатке глаза, и пришел к выводу, что ангиоматоз следует рассматривать как системное заболевание врожденного характера [1, 2].
Одной из форм множественного ангиоретикулематоза является сочетание опухоли (ангиоретикулемы) мозжечка с ангиомой сетчатки (так называемая болезнь Гиппеля–Линдау), которое, по данным разных авторов, выявляется в 2–15% всех ангиоретикулем мозжечка. До недавнего времени научные представления об этиопатогенезе болезни Гиппеля–Линдау были весьма ограничены. В 1993 г. был клонирован ген болезни Гиппеля– Линдау (VHL ген) [3]. В основе патогенеза лежит мутация в участке 3 р25-26, где локализован ген-супрессор опухолевого роста VHL [4]. Наследование синдрома по доминантному типу неодинаково даже у близких родственников. Проявляется также по-разному и в различном возрасте, при этом у большинства (до 90%) носителей болезни к 65 годам жизни обнаруживается хотя бы один из ее симптомов. До появления методов ранней диагностики болезни Гиппеля–Линдау пациенты не доживали до 50 лет [5]. За последние годы прогноз заболевания значительно улучшился благодаря раннему распознаванию патологии, новым технологиям лечения и последующему наблюдению за больными.
Общее состояние пациентов и прогноз заболевания зависят от сопутствующих опухолевых заболеваний. Средняя продолжительность жизни больных с болезнью Гиппеля–Линдау — 45 лет. Наиболее частые причины смерти — метастазы почечно- клеточной карциномы, неврологические осложнения гемангиобластом центральной нервной системы и феохромоцитома надпочечников. Основной причиной снижения качества жизни больных являются неврологические осложнения множественных гемангиобластом центральной нервной системы и сетчатки.
Диагноз системного ангиоретикуломатоза может быть выставлен на основании характерных клинических проявлений, семейного анамнеза и выявленных изменений, в том числе по данным лучевых методов исследования [3, 6].
Клинический пример
О пациенте
В отделение ФНКЦ РР была госпитализирована пациентка П., возраст 30 лет, с диагнозом «Доброкачественное новообразование головного мозга под мозговым наметом. Гемангиобластома WHO Grade I. Болезнь Гиппеля–Линдау. Микрохирургическое удаление внутримозговой опухоли от 03.09.2019. F06.923 Неуточненное непсихотическое расстройство в связи с опухолью головного мозга. Эмоционально-личностные нарушения. Сопутствующий: Q85.8 Вторичная неоваскулярная некомпенсированная глаукома обоих глаз. Острый вагинит. Генитальный кандидоз. Хронический колит. Запоры. Хронический панкреатит вне обострения. Мочекаменная болезнь. Хронический цистит. Поликистоз обеих почек. Хроническая железодефицитная анемия средней степени выраженности».
Из анамнеза известно, что пациентке в 1999 г. был установлен диагноз «Болезнь Гиппеля–Линдау». С 2001 г. отмечалось снижение зрения, постепенно до двустороннего амавроза в 2006 г. За период от выявления заболевания до госпитализации в ФНКЦ РР пациентка перенесла ряд операций по удалению гемангиобластом. В 2019 г. по результатам компьютерной (КТ) и магнитно-резонансной томографии (МРТ) головного мозга выявлен больших размеров солидный узел в правой гемисфере мозжечка с развитием окклюзионной гидроцефалии (размер солидного узла в медицинской документации не указан). В Национальном медицинском исследовательском центре нейрохирургии имени академика Н. Н. Бурденко 03.09.2019 была выполнена операция — микрохирургическое удаление внутримозговой опухоли. Пациентка выписана с ухудшением в виде нарастания мозжечковой атаксии, выраженным головокружением и задержкой мочеиспускания для последующей госпитализации в ФНКЦ РР и проведения комплекса реабилитационных мероприятий.
Сведения о проведении генетического тестирования и наличии заболеваний у родственников в медицинской документации также отсутствуют.
Физикальная диагностика
На момент поступления состояние пациентки расценивалось как тяжелое. Обращала на себя внимание низкая масса тела (40 кг при росте 161 см). Синдромально фиксировались двусторонний амавроз, тетрапарез, дистония, вестибулоатактический синдром, нарушение функции тазовых органов. При поступлении отмечалось отсутствие функциональной и бытовой независимости, т. е. полная зависимость от посторонней помощи в кормлении, поворотах в кровати, гигиеническом и общем уходе. Пациентка нуждалась в круглосуточном мониторинге, лечении и пребывании в условиях реанимационного отделения, включавшего специальный уход и медицинское наблюдение.
Динамика и исходы
Для исключения отдаленных осложнений (абсцесс, окклюзионная гидроцефалия) было решено выполнить дообследование пациентки.
Лучевые методы. На МРТ-изображениях головного мозга выявлено характерное двустороннее поражение глаз (рис. 1), по данным КТ — с участками обызвествления (рис. 2). Также на КТ головного мозга были выявлены зона послеоперационных кистозно-глиозных изменений с наличием кисты и узла на уровне посттрепанационного дефекта в правом полушарии мозжечка, а также аналогичные зоны дорзальнее и в субкортикальных отделах; в левой гемисфере мозжечка определялись кистозные изменения (рис. 3).

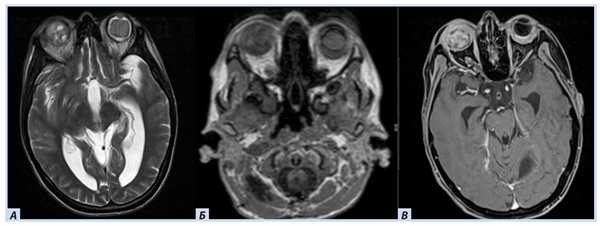
Рис. 1. Пациентка П., 30 лет, с диагнозом «Болезнь Гиппеля−Линдау»: магнитно-резонансная томография головного мозга
Примечание. А, Б — Т2- и Т1-взвешенные изображения. В полости правой глазницы объемное образование с неоднородным МР-сигналом; В — постконтрастное Т1-взвешенное изображение, режим подавления сигнала от жира: определяется интенсивное, но гетерогенное контрастирование образования. Кровоизлияние в сетчатку справа.

Рис. 2. Пациентка П., 30 лет, с диагнозом «Болезнь Гиппеля−Линдау»: компьютерная томография головного мозга
Примечание. Отмечаются гиперденсные зоны в области сетчатки и глазных яблок справа плотностью до +270…+330 HU.
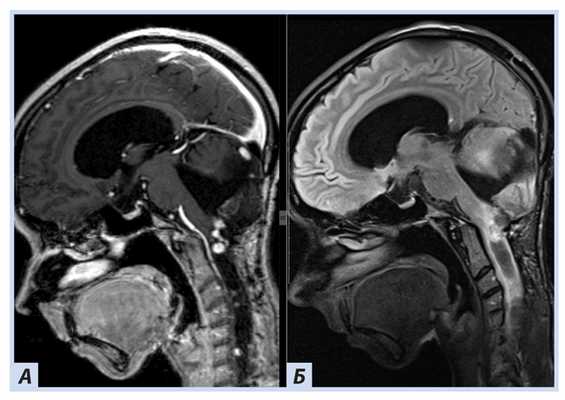
Рис. 3. Пациентка П., 30 лет, с диагнозом «Болезнь Гиппеля−Линдау»: магнитно-резонансная томография головного мозга
Примечание. А — Tirm-режим: на фоне кист мозжечка визуализируется мягкотканный компонент, прилегающий к кисте справа; Б — DWI-режим: зона рестрикции диффузии по ходу стенки кисты справа; В — постконтрастное Т1-взвешенное изображение, режим подавления сигнала от жира: в той же зоне отмечается накопление.
В спинном мозге больной на уровне шейного отдела были выявлены кистозные полости с узлами гемангиобластом (рис. 4).

Рис. 4. Пациентка П., 30 лет, с диагнозом «Болезнь Гиппеля−Линдау»: магнитно-резонансная томография спинного мозга
Примечание. А — постконтрастное Т1-взвешенное изображение, режим подавления сигнала от жира: отмечается узел (гемангиобластомы) с аккумуляцией гадолинийсодержащего контраста; Б — Tirm-режим: на фоне кист спинного мозга визуализируется мягкотканный компонент, краниально прилегающий к кисте.
При скрининговом ультразвуковом исследовании забрюшинного пространства были выявлены изменения обеих почек, которые были интерпретированы как множественные кисты при дообследовании на КТ забрюшинного пространства: множественные кистозные образования обеих почек; в верхнем полюсе левой почки — кистозно-солидное образование, изоденсное паренхиме почки в нативную фазу (40 HU), в артериальную активно накапливающее контраст (до 100 HU), контуры его четкие неровные (рис. 5, 6).

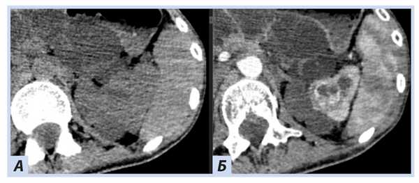
Рис. 5. Пациентка П., 30 лет, с диагнозом «Болезнь Гиппеля−Линдау»: компьютерная томография забрюшинного пространства
Примечание. А — нативная фаза: кисты обеих почек, солидный узел в верхнем полюсе левой почки; Б — артериальная фаза: кисты обеих почек более отчетливы на фоне контрастированной почечной ткани, солидный узел в верхнем полюсе левой почки с неоднородным накоплением контраста опухолью.

Рис. 6. Пациентка П., 30 лет, с диагнозом «Болезнь Гиппеля−Линдау»: компьютерная томография забрюшинного пространства
Примечание. А — нативная фаза: кистозно-солидное образование левой почки; Б — артериальная фаза: кистозно-солидное образование левой почки с неоднородным накоплением контраста опухолью.
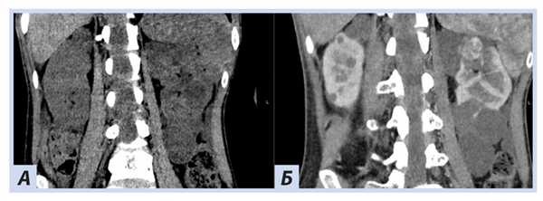
При ультразвуковом исследовании поджелудочной железы эхографическая картина неотчетлива, по данным КТ паренхима поджелудочной железы диффузно изменена за счет множественных тонкостенных кист, вирсунгов проток не прослеживается (рис. 7).

Рис. 7. Пациентка П., 30 лет, с диагнозом «Болезнь Гиппеля−Линдау»: компьютерная томография поджелудочной железы
Примечание. А — нативная фаза: множественные тонкостенные кисты поджелудочной железы; Б — артериальная фаза: кисты визуализируются более отчетливо на фоне контрастированной окружающей ткани железы, но при этом участков патологического накопления поджелудочной железой нет.
Других объемных образований, характерных для болезни Гиппеля–Линдау, у нашей пациентки не обнаружено.
Выявленные изменения, с одной стороны, исключили грозные отдаленные послеоперационные осложнения (блокады ликворных путей на уровне водопровода мозга, отверстий Мажанди, Лушка и Монро, воспалительный процесс), с другой — позволили скорректировать реабилитационные мероприятия по улучшению состояния пациентки. За время лечения (52 дня) пациентке был выполнен комплекс реабилитационных мероприятий, включающих лечебную физкультуру и массаж, занятия с логопедом и медицинским психологом (стимуляция слухового, зрительного, сенсорного аппарата), лечение положением и вертикализацию пациента.
По итогам проведенного лечения отмечена положительная динамика в виде повышения толерантности к физической нагрузке: пациентка вертикализирована, может сидеть, стоит в ходунках под контролем инструктора по лечебной физкультуре; уменьшилась выраженность вестибулоатактического синдрома; в соматическом статусе регрессировала инфекция мочевыводящих путей.
Прогноз
Выявленные у пациентки в процессе реабилитации дополнительные кистозные образования органов брюшной полости (почек и поджелудочной железы) являются прогностически неблагоприятными. Однако с учетом улучшения соматического статуса, своевременно выявленных изменений, это позволит в дальнейшем более быстро и точно определить тактику дифференциально-диагностических, лечебных и реабилитационных мероприятий, что, по нашему мнению, может улучшить прогноз в дальнейшем.
Представленный клинический случай является одним из наиболее часто встречающихся вариантов развития болезни Гиппеля–Линдау. Ретинальные гемангиобластомы — самые распространенные, чаще двусторонние, как в случае нашей пациентки, поражения (45–59% случаев), которые клинически проявляются раньше других симптомов ангиоретикуломатоза.
Для обнаружения образований внутренней оболочки глаза требуется регулярный осмотр глазного дна, при этом у отдельных больных развитие образований приводит к слепоте и тяжелым нарушениям зрения. Таким пациентам выполняется лазерная коагуляция или криотерапия (применяется при опухолях диаметром до 3 мм). В случаях отслоения сетчатки применяют витреоретинальную хирургию. При опухолях, прилегающих к зрительному нерву, применяют анти-VEFG-терапию для уменьшения отека и образования экссудата [1]. Другим наиболее частым поражением при болезни Гиппеля– Линдау являются гемангиобластомы центральной нервной системы. При этом наиболее частой локализацией являются мозжечок (44–72%), спинной (13–59%) и продолговатый мозг (5%). Только 5–30% всех мозжечковых гемангиобластом приписывают болезни системного ангиоретикулематоза [7, 8]. В данной ситуации более предпочтительна МРТ головного мозга и позвоночника с контрастированием. Рост опухоли может провоцировать развитие компрессионного синдрома с экссудацией окружающих структур [8, 9]. При краниоспинальном расположении образования подлежат хирургическому лечению, однако из-за особенности хаотичного роста гемангиобластом центральной нервной системы оперативное лечение не проводится до появления однозначной клинической симптоматики. Стереотаксическая радиохирургия используется в лечении небольших новообразований центральной нервной системы (диаметром менее 3 см) и в неоперабельных случаях [4].
Кисты почек встречаются в 59–63% случаев, поражение является двусторонним у 75% пациентов [9, 10]. Изменения в почках могут варьировать от простых кист до кистозных образований с наличием раковых клеток; также встречаются солидные опухоли.
Частота поражения поджелудочной железы при системном ангиоретикулематозе достигает 77% случаев (причем в отдельных семейных группах может отсутствовать) [11]. Стоит отметить, что поражение поджелудочной железы может быть единственным проявлением и на несколько лет предшествовать любому другому абдоминальному симптому [12]. У половины больных болезнь Гиппеля–Линдау проявляется доброкачественными кистами печени, почек, протекает бессимптомно и выявляется при скрининговом исследовании. У большей части пациентов к 60 годам имеется риск развития почечно-клеточного рака, сопряженного у данной группы пациентов с летальным исходом. При выявлении опухолей более 3 см (стандарт США) / 5 см (стандарт Европы) показано хирургическое лечение, так как метастазирование соотносится с размером образования [4, 11]. «Золотым стандартом» лечения почечно-клеточного рака является органосохраняющая операция — открытая и лапароскопическая частичная нефрэктомия. Также все чаще применяют альтернативные методы — криотерапию и радиочастотную абляцию [4]. При необходимости лечение нейроэндокринных опухолей состоит из панкреасохраняющих процедур — дистальной панкреатэктомии, энуклеации; объемные поражения могут потребовать более агрессивной хирургии. Могут встречаться кисты печени и селезенки (в нашем случае их не было).
Пациентка поступила для реабилитационных мероприятий после удаления новообразования мозжечка. Для исключения отдаленных послеоперационных осложнений в протокол стандартного МР-исследования была включена дополнительная последовательность CISS (на томографах других фирм обозначается как Fiesta): данная программа позволяет получить изотропные изображения высокого разрешения с помощью сильного Т2-взвешенного 3D-градиентного эха (при высоком значении соотношения T2/T1 вода и жир дают высокий сигнал при этой последовательности). CISS обеспечивает высокую дифференцировку между цереброспинальной жидкостью и другими структурами головного мозга. К счастью, осложнений, требующих повторного оперативного вмешательства, в нашем случае выявлено не было. Тем не менее другие исследования обнаружили у пациентки новообразование левой почки, поликистоз поджелудочной железы, что являлось противопоказанием к физиотерапевтическим процедурам.
Таким образом, картина проявлений болезни Гиппеля–Ландау у пациентки повлияла на дальнейшую тактику лечения и реабилитационные мероприятия.
Заключение
При болезни Гиппеля–Линдау как одной из форм множественного ангиоретикулематоза ангиоретикулемы мозжечка и ангиомы сетчатки могут сочетаться с поражениями других внутренних органов, что требует комплексной диагностики у данной категории пациентов. Своевременное выявление очагов болезни Гиппеля–Линдау, осложнений после ранее проведенного лечения позволяет подобрать необходимый объем лечебных и реабилитационных мероприятий, что в дальнейшем может улучшить качество жизни пациента и прогноз.
Читайте также:
- Женские факторы эффективности внутриматочной инсеминации (ВМИ)
- Коллатерали и артериоловенулярные соустия. Петлевидный рост кровеносных сосудов
- Механический раздражитель вестибулярного аппарата. Фистула вестибулярного аппарата
- Клапаны вен и венозный насос. Несостоятельность венозных клапанов
- Кровотечения при синдроме Элерса-Данло - диагностика, лечение
