Лучевая диагностика инфекции и абсцесса селезенки
Добавил пользователь Владимир З. Обновлено: 07.11.2025
Лучевые методы обследования селезенки
а) Эмбриогенез, анатомия и физиология. Селезенка развивается из дорсального мезогастрия и обычно совершает поворот влево, удерживаясь в поддиафрагмальной области связками брюшины, прикрепляющими ее к диафрагме, брюшной стенке, желудку (желудочно-селезеночная связка), и почке (селезеночно-почечная связка). Селезенка чаще всего представляет собой единичный орган, хотя могут встречаться и другие варианты.
Добавочная селезенка (одна или большее количество) обнаруживается в общей популяции с частотой до 30%; она обычно представляет собой небольшое шаровидное образование, расположенное около ворот селезенки. Добавочная селезенка может увеличиваться в размерах, особенно после спленэктомии, имитируя новообразование либо обусловливая рецидив заболевания крови.
Селезенка может отсутствовать при рождении (аспления) либо состоять из нескольких не связанных между собой фрагментов (полиспления). Существует множество вариантов развития селезенки, сочетающихся с аномалиями развития сердечно-сосудистой системы, интерпозицией внутренних органов и другими патологическими изменениями, часто весьма серьезными и угрожающими жизни.
В редких случаях при избыточной длине брыжейки селезенка может располагаться в любых отделах брюшной полости, в т.ч. и в тазу («блуждающая» селезенка), что обусловливает риск ее повреждения либо перекрута брыжейки с развитием инфаркта.
Селезенка является наиболее крупным органом лимфатической системы, размер которого у разных людей (и даже у одного и того же человека при различном кровенаполнении, питании и гидратации) варьирует. Обычно объем селезенки составляет 100-250 см 3 при среднем значении 1 50 куб. см. Значение вычисляемого индекса селезенки (длина, умноженная на ширину и толщину) свыше 480 см 3 означает спленомегалию. В среднем длина селезенки может доходить до 12 см, а ширина и толщина до 7 см и 4 см соответственно.
б) Вопросы лучевой диагностики. Селезенка имеет уникальную тканевую структуру и состоит из красной и белой пульпы, что обусловливает ее характерный вид при лучевых исследованиях. Белая пульпа образована лимфоидной тканью, а красная - сосудами и селезеночными тяжами (скоплениями клеток, разделенными синусоидами). В связи с большим количеством кровеносных сосудов красная пульпа быстро накапливает контраст, из-за чего структура селезенки становится неоднородной в артериальную фазу КТ- либо МР-исследования. Эту особенность можно ошибочно принять за патологические изменения, однако данный феномен не определяется при исследованиях без контрастного усиления либо в отсроченную фазу.
КТ является методом выбора для оценки изменений со стороны селезенки при острых состояниях (травме, выраженной болевой симптоматике). Для оценки объемных образований селезенки и при некоторых метаболических заболеваниях (например, гемохроматозе) дополнительно может использоваться МРТ. Селезенка характеризуется относительно длинным временем релаксации Т1 и Т2, вследствие чего выглядит гипоинтенсивной по отношению к паренхиме печени на Т1 ВИ и гиперинтенсивной на Т2 ВИ. При накоплении в ткани селезенки железа интенсивность сигнала от нее может в значительной степени снижаться.
(Слева) На аксиальной КТ в артериальную фазу контрастного усиления определяется выраженная неоднородность структуры селезенки в результате быстрого накопления контраста в сосудистых синусоидах (красной пульпе), что не должно ошибочно приниматься за патологический процесс.
(Слева) На аксиальной КТ с контрастом в венозную фазу селезенка выглядит однородной. (Слева) На аксиальной Т1 ВИ МР томограмме (А) визуализируется неизмененная селезенка, несколько гипоинтенсивная по отношению к паренхиме печени. На Т2 ВИ МР томограмме (В) сигнал от селезенки в норме слегка более интенсивен, чем от печени.
(Справа) На аксиальной КТ с контрастным усилением визуализируется «объемное образование» в хвосте поджелудочной железы, имеющее одинаковую плотность с селезенкой (добавочная селезенка), которое можно ошибочно принять за первичную (например, нейроэндокринную) опухоль поджелудочной железы. Медиальная поверхность селезенки, а также аксиальные срезы на трех различных уровнях. Селезенка может иметь различный размер и форму даже у одного и того же человека в зависимости от гидратации и питания. С медиальной стороны селезенки часто имеется участок, выбухающий в промежуток между желудком и почкой. Селезеночная артерия и вена, располагающиеся в селезеночно-почечной связке, проходят параллельно телу поджелудочной железы. Хвост поджелудочной железы также проникает в ворота селезенки через селезеночно-почечную связку. В желудочно-селезеночной связке находятся короткие артерии желудка и левая желудочно-сальниковая артерия, кровоснабжающие желудок и верхнюю часть селезенки.
в) Патологические изменения селезенки. Спленомегалия - очень распространенное состояние, которое может быть обусловлено множеством различных причин, традиционно делящихся на пять основных групп в зависимости от этиологии: изменения застойного характера, заболевания крови, воспалительные и инфекционные заболевания, опухоли и инфильтративные изменения.
Поскольку селезенка выполняет функцию «фильтра» крови, в ней часто обнаруживаются метастазы при посмертном исследовании пациентов, погибших от рака. Тем не менее, при лучевых исследованиях метастазы в селезенке выявляются редко, за исключением лейкоза и лимфомы.
Многочисленные новообразования селезенки представляют собой в т. ч. доброкачественные опухоли (гемангиомы, лимфангиомы), однако из-за схожих лучевых признаков редко появляется возможность их специфической диагностики.
Киста селезенки является одной из чаще всего встречающихся находок; тем не менее, на основании методов лучевой диагностики невозможно отличить первичную врожденную кисту (имеющую эпителиальную выстилку) от приобретенной кисты, обусловленной инфарктом, инфекцией или травмой. При этом кисты редко имеют клиническое значение.
Множественные очаги в селезенке обычно являются проявлением гранулематоза, как инфекционного характера (гистоплазмоз или туберкулез), так и неинфекционного (саркоидоз). В гранулемах селезенки часто обнаруживаются обызвествления.
Хвост поджелудочной железы часто пролабирует в ворота селезенки через селезеночно-почечную связку. При этом инфекционный или опухолевый процесс в области хвоста поджелудочной железы легко может распространяться в паренхиму селезенки, что приводит, например, к формированию внутриселезеночной псевдокисты. И, наоборот, опухоль или добавочная селезенка могут имитировать образование хвоста поджелудочной железы.
Относительно частой причиной острой боли в верхних отделах живота слева является инфаркт селезенки. Зона инфаркта выглядит как четко ограниченный участок, часто клиновидной формы, вплотную прилежащий к капсуле селезенки, практически не усиливающийся после введения контраста. В группе риска инфаркта селезенки находятся пациенты с серповидноклеточной анемией и сердечно-сосудистой патологией, например, фибрилляцией предсердий. Пациенты с левожелудочковым устройством вспомогательного кровообращения особенно подвержены инфарктам в результате эмболии.
Селезенка часто повреждается при тупой травме и проникающих ранениях, при у этом у большей части детей и взрослых пациентов с разрывами селезенки восстановление происходит без хирургического вмешательства; однако при наличии признаков экстравазации контраста на КТ либо при нестабильности состояния может потребоваться операция или чрескатетерная эмболизация.
Спленоз - состояние, характеризующееся диссеминацией ткани селезенки по брюшной полости, например, в результате ее травматического разрыва, - можно спутать с полиспленией либо вторичным поражением брюшины (канцероматозом). Тем не менее, наличие факта травмы в анамнезе, отсутствие нормальной селезенки и контрастное усиление фрагментов, идентичное ткани селезенки, позволяет сделать точное заключение.
(Слева) На аксиальной КТ с контрастным усилением у пациента с неходжкинской лимфомой визуализируются многочисленные увеличенные верхние внутрибрюшные лимфатические узлы. Спленомегалия часто является результатом застойных изменений, заболеваний крови, воспалительных (инфекционных) заболеваний, опухолевых или инфильтративных процессов.
(Справа) На аксиальной КТ с контрастом у другого пациента определяется спленомегалия, обусловленная застойными явлениями в результате цирроза (печени) и портальной гипертензии; визуализируется также пупочная вена с признаками реканализации. (Слева) На аксиальной КТ с контрастным усилением в селезенке определяются два очага, больший из которых имеет плотность, близкую к плотности воды, а также тонкую четкую стенку, что типично для простой кисты. Меньший очаг имеет бугристые края и содержимое более высокой плотности, что позволяет заподозрить лимфангиому селезенки.
(Справа) На КТ у пациента с неходжкинской лимфомой определяется выраженное увеличение селезенки, в структуре которой визуализируется гетерогенный, гиподенсный, дискретный неопластический очаг. Определяется также лимфоидная инфильтрация надпочечника и лимфатических узлов во всех отделах брюшной полости. (Слева) На аксиальной КТ с контрастным усилением у пациента с сердечной недостаточностью и жалобами на боль в животе визуализируется устройство вспомогательного желудочкового кровообращения; определяются также клиновидные участки в паренхиме селезенки, вплотную примыкающие к ее капсуле, не накапливающие контраст - изменения, типичные для инфаркта селезенки.
(Справа) На аксиальной КТ с контрастным усилением у пациента после ДТП визуализируется «сторожевой» сгусток около селезенки, а также большое количество геморрагического содержимого в брюшной полости. Обратите внимание на активную экстравазацию крови с плотностью, аналогичной крови в сосудистом русле.
г) Дифференциальная диагностика патологии селезенки:
1. Спленомегалия:
Частые:
• Цирроз (печени) и портальная гипертензия
• Застойная сердечная недостаточность
• СПИД
• Гемоглобинопатии
• Лейкоз
• Саркоидоз
• Мононуклеоз
• Миелопролиферативные заболевания
• Травма селезенки
Менее частые:
• Первичные опухоли селезенки
• Системные инфекции, абсцесс
• Окклюзия селезеночной вены
• Инфаркт селезенки
• Малярия
• Сосудистые коллагеновые заболевания: ревматоидный артрит, склеродермия, дерматомиозит, узелковый периартериит
• Болезни накопления: амилоидоз, гликогеноз
• Пелиоз
2. Множественные кальцинаты селезенки:
Частые:
• Гистоплазмоз
• Туберкулез
• Обызвествление стенки аорты и аневризмы
• Pneumocystis jiroveci
• Инфаркт селезенки
• Киста селезенки
Менее частые:
• Эхинококковая (гидатидная) киста
• Излеченный абсцесс
3. Солидное образование (образования) селезенки:
Частые:
• Травма селезенки
• Инфаркт селезенки
• Метастазы в селезенке и лимфома
• Артефакт перфузии
Менее частые:
• Саркоидоз
• Инфаркт и абсцесс селезенки
• Опухоли селезенки
• Пелиоз
4. Кистозные образования селезенки:
Частые:
• Приобретенная или врожденная киста селезенки
• Травма селезенки
• Инфаркт селезенки
Менее частые:
• Метастазы в селезенке и лимфома
• Инфицирование селезенки и абсцесс
• Опухоли селезенки
• Псевдокиста поджелудочной железы
5. Диффузное повышение плотности селезенки:
Частые:
• Гемохроматоз
• Инфаркт селезенки: серповидноклеточная анемия
Менее частые:
• Оппортунистические инфекции
• Использование торотраста
Редактор: Искандер Милевски. Дата публикации: 17.2.2020
Информация на сайте подлежит консультации лечащим врачом и не заменяет очной консультации с ним.
См. подробнее в пользовательском соглашении.
Лучевая диагностика инфекции и абсцесса селезенки
а) Визуализация:
• Пиогенный абсцесс на КТ с контрастным усилением:
о Скопление комплексной гиподенсной жидкости, возможно, также с наличием уровней «жидкость-газ»
о Пузырьки газа внутри скопления жидкости, хотя и обнаруживаются нечасто, являются специфическим признаком абсцесса селезенки
о Абсцесс селезенки может выглядеть многокамерным, что, тем не менее, больше типично для абсцесса печени
о Абсцесс может достигать капсулы селезенки, что в редких случаях провоцирует ее разрыв с развитием перитонита
• Фунгальный микроабсцесс на КТ с контрастированием:
о Множественные мелкие гилоинтенсивные очаги размером несколько миллиметров
о После излечения в селезенке обнаруживаются множественные «пунктирные» кальцинаты
• Эхинококковая (гидатидная) киста на КТ с контрастированием:
о Киста комплексной структуры с наличием множественных гиподенсных «дочерних» кист; с толстой, накапливающей контраст стенкой («киста в кисте»)
о Продолговатые участки извитой формы внутри кисты, обусловленные спавшимися мембранами паразитов (симптом «водяной лилии)
о По периферии кист могут обнаруживаться широкие участки обызвествления либо волнистые, извитые кальцинаты в хронической стадии
(Слева) На аксиальной КТ с контрастным усилением определяется многокамерное образование в селезенке, которое было верифицировано как пиогенный абсцесс. Такие большие абсцессы нетипичны для селезенки, особенно при отсутствии признаков первичного инфаркта.
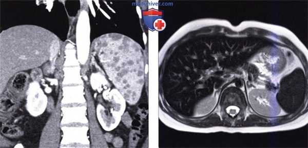
(Справа) На аксиальной КТ с контрастным усилением у пациента с недавней травмой селезенки, у которого возник новый виток лихорадки, определяется скопление жидкости (уровень «жидкость-газ») окруженное «ободком», накапливающим контрастное вещество (абсцесс селезенки). Было выполнено чрескожное дренирование абсцесса, пациенту назначены антибиотики. (Слева) На аксиальной КТ с контрастным усилением у пациента со СПИД, обусловленным ВИЧ, с жалобами на снижение веса тела и лихорадку, визуализируются микроабсцессы по всей селезенке. Состояние пациента быстро ухудшилось, и он погиб; при вскрытии были обнаружены множественные туберкулезные абсцессы.
(Справа) На аксиальной КТ с контрастом визуализируется гидатидная киста селезенки, а также другие похожие очаги в печени и брюшной полости, большинство из которых содержит кальцинаты в стенке. У этого пациента ранее имел место разрыв гидатидной кисты печени, что привело к распространению инфекции по всей брюшной полости.
б) Дифференциальная диагностика:
• Инфаркт селезенки
• Опухоль селезенки
• Травма селезенки
• Инфильтративные заболевания
в) Патология:
• Существует множество различных причин, приводящих к возникновению пиогенного абсцесса селезенки:
о Генерализованная септицемия, септическая эмболия (особенно при эндокардите с наличием вегетаций на митральном или аортальном клапане); возможно также вторичное инфицирование травматической гематомы селезенки либо зоны инфаркта
• Большая часть фунгальных микроабсцессов возникают в условиях иммунного дефицита, ВИЧ/СПИД или заболеваний крови
• Эхинококковая инфекция обусловлена ленточным червем Echinococcus granulosus
а) Определение:
• Абсцесс селезенки: скопление жидкого гноя в паренхиме селезенки
б) Визуализация:
1. Общая характеристика:
• Лучший диагностический критерий:
о Скопление гиподенсной комплексной жидкости, оказывающее объемное воздействие
• Локализация:
о Различные участки паренхимы селезенки
• Размеры:
о Вариабельны; пиогенный абсцесс обычно имеет размер 3-5 см, в то время как микроабсцессы (которое часто обусловлены грибковой инфекцией) меньше 1,5 см
• Морфология:
о Кистозное образование округлой формы с неровными краями
- Может иметь сливной характер и выглядеть так же, как абсцесс печени
- Часто внутри абсцесса обнаруживаются перегородки
- Абсцесс оказывает объемное воздействие на капсулу селезенки
2. Рентгенологические данные:
• Рентгенография:
о Пузырьки газа внутри абсцесса крайне редко могут быть обнаружены на рентгенограммах
о На рентгенограммах органов грудной клетки при абсцессе селезенки часто обнаруживается ателектаз нижней доли левого легкого и левосторонний гидроторакс

(Слева) На аксиальной КТ с контрастным усилением у наркозависимого пациента 29 лет (вводящего наркотики внутривенно) с жалобами на лихорадку и боль вверху живота слева в течение трех дней, определяется гиподенсный очаг в периферических отделах средней части селезенки (абсцесс).
(Справа) На аксиальной КТ с контрастным усилением у этого же пациента определяются воспалительные изменения около селезенки, которые можно трактовать как разрыв абсцесса. При эхокардиографии были обнаружены многочисленные вегетации на аортальном и митральном клапане, наличие которых позволяет предположить, что абсцесс возник в результате эндокардита.
3. КТ при инфекции и абсцессе селезенки:
• Пиогенный абсцесс:
о Скопление жидкости невысокой плотности (от +20 до +40 ед. Хаунсфилда), возможно, с наличием уровней «жидкость-газ»:
- Вокруг скопления жидкости может обнаруживаться «ободок», накапливающий контраст, который, однако, не столь выражен, как при абсцессах печени
- Внутри абсцесса могут обнаруживаться пузырьки газа, что, хотя и является нечастой находкой, крайне специфично для абсцесса селезенки
- Абсцесс селезенки (не так часто) может выглядеть многокамерным и напоминать абсцесс печени
о В некоторых случаях абсцесс может распространяться вплоть до капсулы селезенки, обусловливая ее разрыв с развитием генерализованного перитонита
• Фунгальные микроабсцессы:
о Часто представляют собой множественные мелкие (размером несколько миллиметров) гиподенсные очаги
о Плохо видны при нативной КТ
о После лечения могут регрессировать с образованием множественных «пунктирных» кальцинатов в селезенке
• Эхинококковая (гидатидная) киста:
о Сложная киста с наличием множественных гиподенсных «дочерних» кист и толстой, накапливающей контраст, стенкой, состоящей из фиброзной ткани (имеет вид «кисты в кисте»)
о Вытянутые, извитые гиподенсные «тяжи» внутри кисты, обусловленные спавшимися мембранами паразитов (симптом «водяной лилии»)
о В хронической фазе в кистах могут обнаруживаться широкие периферические кальцинаты либо внутренние обызвествления извитой формы
о Аналогичные изменения могут обнаруживаться в печени или брюшине
4. МРТ при инфекции и абсцессе селезенки:
• Центр очага имеет сигнальные характеристики, соответствующие жидкости (гиперинтенсивный сигнал на Т2 ВИ и гипоинтенсивный на Т1 ВИ), периферическое контрастное усиление на Т1 ВИ с контрастным усилением
• Фунгальные микроабсцессы вне острой фазы (после лечения либо самостоятельно разрешившиеся) из-за обызвествлений могут обусловливать артефакты на GRE последовательностях
5. УЗИ при инфекции и абсцессе селезенки:
• Серошкальное УЗИ:
о Пиогенный абсцесс:
- Гипо- или анэхогенное образование с внутренними перегородками и низкоуровневыми эхогенными включениями, обусловленными гноем или дебрисом:
Редко встречающиеся атипичные абсцессы печени могут выглядеть эхогенными
- Может определяться заднее акустическое усиление различной степени в зависимости от характера содержимого
- Размытая тень и артефакты в виде кольца позволяют заподозрить наличие газа в скоплении жидкости:
УЗИ намного менее чувствительный метод исследования (по сравнению с КТ) для выявления эктопического газа
о Фунгальные микроабсцессы:
- Имеют внешний вид «мишени» или «бычьего глаза» аналогично микроабсцессам печени
• Цветовая допплерография:
о В пиогенных и фунгальных абсцессах внутренний кровоток обычно отсутствует
6. Рекомендации по визуализации:
• Лучший метод диагностики:
о КТ с контрастным усилением

(Слева) На цветовой допплерограмме визуализируется единичный абсцесс селезенки с четкими контурами, гипоэхогенной центральной частью (некроз) и неравномерно утолщенной стенкой. Прилежащие к абсцессу участки паренхимы селезенки не выглядят патологически измененными. Обратите внимание на типичный а васкулярный характер абсцесса.
(Справа) На аксиальной Т1 МР томограмме с контрастным усилением у пациента с жалобами на боль в верхних отделах живота слева и повышение температуры тела определяется абсцесс селезенки с наличием множественных перегородок в структуре. При культуральном исследовании крови был выявлен стафилококк, пациент выздоровел на фоне приема антибиотиков.
в) Дифференциальная диагностика инфекции и абсцесса селезенки:
1. Инфаркт селезенки:
• Гиподенсный участок клиновидной формы в периферических отделах селезенки:
о Крайне редко зона инфаркта может представлять собой участок округлой формы в центре селезенки и имитировать абсцесс либо новообразование
• Зона инфаркта не накапливает контраст при исследованиях с контрастным усилением
2. Опухоль селезенки:
• Представляет собой одиночное отдельно лежащее образование (либо множественные образования)
• Наиболее часто встречающиеся злокачественные опухоли солидного характера: лимфома, меланома, а также метастазы других новообразований:
о Меланома и некоторые типы метастазов кистозного/некроти-ческого характера (например, метастазы рака яичника, саркомы, герминокпеточной опухоли) могут выглядеть гиподенсными (кистозными), имитируя абсцесс либо скопления жидкости
о Изменения при лимфоме могут быть представлены многочисленными мелкими гиподенсными узелками в селезенке, имитирующими микроабсцессы
• Из доброкачественных образований селезенки наиболее распространены лимфангиома и гемангиома:
о Вариабельны по своим внешним проявлениям; и лимфангиома, и гемангиома могут выглядеть гиподенсными и имитировать абсцесс либо скопления жидкости
о Гемангиома в артериальную фазу контрастного усиления может выглядеть как гиперваскулярное образование; лимфангиома может быть многокамерной с внутренними перегородками в структуре
3. Повреждение селезенки:
• В анамнезе - факт недавно полученной тупой травмы
• Разрыв выглядит как гиподенсная полоска, не накапливающая контраст, практически всегда сочетающаяся с околоселезеночной гематомой и гемоперитонеумом
• Возможна активная артериальная экстравазация
4. Инфильтративные заболевания:
• Саркоидоз (и, не так часто, болезнь Гоше часто проявляется появлением множественных гиподенсных очагов
• Очаги при саркоидозе и болезни Гоше неотличимы от микроабсцессов, если неизвестна история заболевания
• При саркоидозе могут обнаруживаться сходные изменения в печени; а также гепатоспленомегалия в сочетании с внтуригрудной и верхней внутрибрюшной лимфаденопатией

(Слева) На аксиальной КТ с контрастным усилением у наркозависимого пациента 29 лет (вводящего наркотики внутривенно), у которого возникли множественные гнойничковые поражения кожи наряду с болью в животе и повышением температуры тела, определяется гиподенсный очаг в селезенке (абсцесс).
(Справа) На аксиальной КТ с контрастным усилением у этого же пациента определяются множественные абсцессы в печени. Во время эхокардиографии были также обнаружены вегетации на клапане аорты, обусловленные эндокардитом (не продемонстрированы).
г) Патология:
1. Общая характеристика:
• Этиология:
о Причины пиогенного абсцесса селезенки:
- Генерализованная септицемия (большая часть абсцессов селезенки возникает в результате гематогенного распространения инфекции)
- Септическая эмболия (обычно при эндокардите с наличием вегетаций на митральном или аортальном клапане)
- Вторичное инфицирование травматической гематомы либо зоны инфаркта селезенки
- Другие предрасполагающие факторы: недавнее хирургическое вмешательство, иные инфекции брюшной полости, внутривенное введение наркотиков (наркомания), иммунодефицит, злокачественные опухоли или заболевания крови, травма, сахарный диабет, панкреатит
о В большинстве случаев фунгальные микроабсцессы возникают в условиях иммунного дефицита, ВИЧ/СПИД, или заболеваний крови
о Эхинококковая инфекция обусловлена ленточным червем (Echinnococcus granulosis):
- Наиболее эндемичны по эхинококковой инфекции регионы, где традиционно развито овцеводство; переносчиком возбудителя являются собаки, поедающие трупы забитых животных
- Наибольшее распространение заболевание получило в Южной Америке, Среднем Востоке, восточном побережье Средиземного моря, а также в некоторых регионах Африки
• Генетические нарушения:
о Гемоглобинопатии (например, серповидноклеточная болезнь) предрасполагают к возникновению пиогенного абсцесса
2. Стадирование, градация и классификация инфекции и абсцесса селезенки:
• Пиогенный абсцесс:
о Однокамерный (65%), многокамерный или множественный (20%)
о Обусловлен грам-отрицательными микроорганизмами в 55% случаев, наиболее типичный возбудитель-Klebsiella pneumoniae
• Фунгальный абсцесс:
о Типичные микроабсцессы имеют размеры меньше 1,5 см (25%)
о Чаще всего возбудителем являются грибы рода Candida, затем Aspergillus и Cryptococcus
о У пациентов со СПИД возбудителями являются микобактерии туберкулеза и микобактериальная авиум-внутрикпеточная инфекция
• Паразитарный:
о Echinococcus granulosus
д) Клинические особенности:
1. Проявления:
• Наиболее частые признаки/симптомы:
о Пиогенный абсцесс:
- Повышение температуры тела (92%), озноб, боль вверху живота слева (77%), спленомегалия
- Симптомы могут имитировать таковые при пневмонии, язвенной болезни или панкреатите
- Лабораторные данные: лейкоцитоз (66%), положительный культуральный анализ крови
о Эхинококковая киста:
- У многих пациентов может не возникать какой-либо симптоматики на протяжении нескольких лет
- Симптомы зависят от локализации и размера кисты
- Лабораторные данные: эозинофилия у небольшого количества пациентов (меньше 15%)
2. Демография:
• Возраст:
о Обычно заболевание возникает у взрослых пациентов с наличием предрасполагающих факторов (тем не менее, могут заболевать люди любого возраста)
• Пол:
о М = Ж
• Этническая принадлежность:
о Не существует доказанной предрасположенности
• Эпидемиология:
о Абсцесс селезенки является редко встречающимся состоянием: обнаруживается в 0,2% посмертных исследований
о У 25% пациентов с абсцессами селезенки имеется иммунодефицит
3. Течение и прогноз:
• У пациентов с пиогенным абсцессом и неизмененным иммунным статусом - крайне благоприятный
• У пациентов с дефицитом иммунитета и фунгальными микроабсцессами - сомнительный
• Эхинококковая инфекция может рецидивировать спустя много лет после лечения, что требует периодического наблюдения и контроля
4. Лечение инфекции и абсцесса селезенки:
• Пиогенный абсцесс селезенки:
о Лечение традиционно заключается в спленэктомии и назначении антибиотиков широкого спектра действия:
- Остается стандартным методом лечения в случаях множественных пиогенных абсцессов либо разрыва абсцесса
- Смертность после спленэктомии составляет 6%
о Все чаще применяются методы лечения, направленные на сохранение селезенки:
- При небольших пиогенных абсцессах (меньше 4 см) только на фоне приема антибиотиков удается добиться излечения у 75% пациентов
- При однокамерных абсцессах, не осложненных разрывом, возможно чрескожное дренирование с высоким показателем успешности по результатам исследований
• Фунгальные микроабсцессы:
о Противогрибковые препараты
• Эхинококковая киста:
о Резекция (особенно в случаях разрыва кисты или других осложнений), чрескожное дренирование (возможно, в сочетании с препаратами, воздействующими на сколекс), антигельминтная терапия (например, альбендазолом) либо наблюдение (обсервация)
е) Диагностическая памятка:
1. Следует учесть:
• Абсцесс селезенки нужно дифференцировать с другими похожими («мимикрирующими») состояниями, например, лимфомой, гиподенсными метастазами или инфарктом селезенки
2. Советы по интерпретации изображений:
• Абсцесс селезенки выглядит как единичное гиподенсное кистозное образование (либо множественные образования) и обнаруживается чаще всего на фоне повышения температуры тела
ж) Список использованной литературы:
1. Tonolini М et al: Nontraumatic splenic emergencies: cross-sectional imaging findings and triage. Emerg Radiol. 20(4)323-32, 2013
Рентгенограмма, КТ, МРТ, УЗИ при спленомегалии и гиперспленизме
а) Терминология:
1. Аббревиатуры:
• Спленомегалия (СМ)
• Гиперспленизм (ГС)
2. Определения:
• СМ: увеличение селезенки, обусловленное большим количеством различных причин
• ГС: синдром, проявляющийся спленомегалией и панцитопенией при нормальной либо повышенной функции костного мозга
1. Общая характеристика:
• Лучший диагностический критерий:
о Увеличение объема селезенки, выбухание ее медиального края
• Размер:
о Не существует единогласно признанных абсолютных пороговых размеров селезенки при спленомегалии, различные источники предполагают разные варианты измерений
о В норме селезенка имеет длину не больше 13 см:
- Ширина и толщина обычно составляют не больше 6 и 8 см соответственно
о Индекс селезенки (результат умножения длины на ширину и толщину) в норме составляет 120-480 куб. см
о Масса селезенки: значение индекса селезенки, умноженное на 0,55:
- В норме вес селезенки составляет 100-250 г
о При спленомегалии передне-задний размер селезенки превышает 2/3 передне-заднего размера брюшной полости
• Морфология:
о При спленомегалии контуры селезенки часто изменяются: полюса становятся скругленными, медиальный край начинает выбухать
2. Рентгенологические данные:
• Рентгенография:
о Если селезенка не увеличена в размерах, на рентгенограммах она обычно не визуализируется
о При спленомегалии край селезенки обнаруживается ниже уровня двенадцатого ребра
о При выраженном увеличении селезенки желудок может смещаться кнутри
о Определяется смещение селезеночного изгиба ободочной кишки, который обычно располагается спереди и с внутренней стороны от селезенки

(Слева) На корональной КТ с контрастным усилением определяется умеренно выраженное увеличение селезенки с наличием множественных гиподенсных узлов в ее паренхиме. Позднее у этого же пациента была выявлена внутригрудная лимфаденопатия; при биопсии селезенки подтвердился саркоидоз.
(Справа) На аксиальной Т2 ВИ МР томограмме определяется выраженное снижение интенсивности сигнала от печени, селезенки и костного мозга у пациента с гемосидерозом, обусловленным множественными переливаниями крови.
3. КТ при спленомегалии и гиперспленизме:
• Причиной спленомегалии обычно становится фактор, принадлежащий к одной из нескольких групп
• Застойные:
о Недостаточность правых отделов сердца: кардиомегалия, расширение вен печени, нижней полой вены и пассивный застой в печени
о Портальная гипертензия: увеличение селезенки, варикозное расширение вен, «сморщивание» печени с наличием узлов, асцит и другие признаки портальной гипертензии
о Окклюзия либо тромбоз селезеночной или воротной вены, часто в результате панкреатита либо опухолей поджелудочной железы
о Серповидноклеточная болезнь:
- В острой фазе: диффузное снижение плотности селезенки и спленомегалия
- В хронической фазе: возникновение аутоинфарктов небольшого объема, обызвествление селезенки
• Гематологические:
о Истинная полицитемия
о Лейкоз
о При миелофиброзе спленомегалия обусловлена экстрамедуллярным гемопоэзом:
- Может сочетаться с другими признаками экстрамедуллярного гемопоэза, например, с наличием мягкотканных образований около позвоночного столба
о Гемоглобинопатии могут приводить к развитию спленомегалии (талассемия) либо к инфаркту и сморщиванию селезенки (серповидноклеточная болезнь)
о Острый инфаркт селезенки выглядит как участок клиновидной или округлой формы в ее паренхиме
• Воспалительные/инфекционные:
о Мононуклеоз
о Гепатит: спленомегалия обусловлена наличием вирусов в крови либо циррозом (печени) в сочетании с портальной гипертензией
о СПИД: спленомегалия при СПИД может отражать хроническую вирусемию либо быть проявлением оппортунистических инфекций или лимфомы
о Внутривенная наркомания: СМ обусловлена хроническим минимально выраженным сепсисом
о Туберкулез и гистоплазмоз: множественные гиподенсные гранулемы в острой стадии, в которых по мере стихания остроты процесса возникают обызвествления
о Саркоидоз: многичисленные мелкие гиподенсные гранулемы в селезенке, возможно, в сочетании с верхней внутрибрюшной лимфаденопатией и увеличением печени, в паренхиме которой обнаруживаются аналогичные очаги (гранулемы)
о Сосудистые коллагеновые или аутоиммунные заболевания:
- Ревматоидный артрит, склеродермия и др.
- Синдром Фелти: ревматоидный артрит, спленомегалия и гранулоцитопения
о Малярия: одна из наиболее распространенных причин спленомегалии во всем мире
• Образования, оказывающие объемное воздействие:
о Чаще всего не являются причиной спленомегалии, а приводят к смещению неизмененной ткани селезенки
о Кисты: встречаются часто, однако обычно не приводят к спленомегалии
о Лимфома и метастазы являются относительно частыми причинами спленомегалии (особенно лимфома, при которой в селезенке могут обнаруживаться дискретные гиподенсные очаги)
о Первичные опухоли селезенки не являются типичной причиной спленомегалии
• Болезни накопления и инфильтративные заболевания:
о Вторичный гемохроматоз:
- Увеличение плотности печени и селезенки при КТ без контрастного усиления (вследствие отложения железа в клетках ретикулоэндотелиальной системы)
о Первичный гемохроматоз:
- Плотность селезенки при первичном гемохроматозе остается нормальной (в отличие от плотности печени)
о Амилоидоз:
- КТ с контрастным усилением либо нативная КТ: диффузное (либо на ограниченном участке) снижение плотности
о Болезни накопления гликогена (например, болезнь Гоше)

(Слева) На аксиальной КТ с контрастом визуализируется в значительной степени увеличенная селезенка с множественными нечеткими гиподенсными очагами, разбросанными по всей паренхиме. Эти изменения обусловлены лимфомой, также имеет место генерализованная лимфаденопатия.
(Справа) На аксиальной КТ с контрастным усилением у пациента с неходжкинекой лимфомой определяется спленомегалия и выраженная лимфаденопатия. Аналогично могут проявляться и другие (доброкачественные) процессы, например, саркоидоз.
4. МРТ при спленомегалии и гиперспленизме:
• Портальная гипертензия:
о Тельца Гамна-Гэнди (или сидеротические узелки) выглядят как множественные мелкие (3-8 мм) очаги пониженной интенсивности сигнала на Т1 и Т2 ВИ:
- Обусловлены отложениями гемосидерина в первичных очагах микрокровоизлияния
• Гемохроматоз:
о Вовлеченные при гемохроматозе органы, в т. ч. селезенка, дают типичный гипоинтенсивный сигнал на Т1 и Т2 ВИ с эффектом потери сигнала на in-phase последовательностях градиентного эха
о При первичном гемохроматозе селезенка имеет нормальный размер и сигнальные характеристики; поражаются обычно печень и поджелудочная железа
о При вторичном гемохроматозе чаще всего происходит поражение печени, селезенки, костного мозга и лимфатических узлов
• Серповидноклеточная болезнь:
о Селезенка из-за отложения железа выглядит гиподенсной во всех последовательностях
• Болезнь Гоше: проявляется очаговыми поражениями на ограниченном участке, которые могут выглядеть как гипер-, так и гипоинтенсивными на Т2 ВИ
• Инфаркт:
о Клиновидные участки с измененными сигнальными характеристиками, варьирующимися в зависимости от времени, прошедшего с начала сосудистой катастрофы, а также наличия (отсутствия) геморрагической трансформации:
- Инфаркт с геморрагической трансформацией в острую фазу характеризуется гиперинтенсивным сигналом на Т1 ВИ
- В хроническую фазу наблюдается тенденция к снижению интенсивности сигнала на Т1 ВИ и повышению интенсивности сигнала на Т2 ВИ
• Экстрамедуллярный гемопоэз:
о Может проявляться очагами гиперинтенсивного на Т1 и Т2 ВИ сигнала и увеличением селезенки, в структуре которой обнаруживаются однородно усиливающиеся узелки

(Слева) На аксиальной КТ в артериальную фазу контрастного усиления у пациента с циррозом (печени) и портальной гипертензией определяются изменения внешнего вида селезенки в виде «муарового узора», обусловленные неравномерным контрастным усилением, которые исчезают в портально-венозную фазу. Это вариант нормы часто более выражен у пациентов с циррозом печени и портальной гипертензией.
(Справа) На сонограмме у пациента с гранулематозной микобактериальной авиум-внутриклеточной инфекцией визуализируется увеличенная селезенка с множественными гипоэхогенными очагами. На УЗИ гранулематозные абсцессы выглядят как четко отграниченные гипоэхогенные образования (обычно в сочетании со спленомегалией).
5. УЗИ при спленомегалии и гиперспленизме:
• Серошкальное УЗИ:
о Спленомегалия с неизмененной эхогенностью селезенки:
- Инфекция, застой (портальная гипертензия), серповидноклеточная болезнь на ранних стадиях
- Врожденный сфероцитоз, гемолиз, синдром Фелти
- Болезнь Уилсона, полицитемия, миелофиброз, лейкоз
о Спленомеглаия с гиперэхогенной паренхимой селезенки:
- Лейкоз, изменения после химиотерапии и лучевой терапии
- Малярия, туберкулез, саркоидоз, полицитемия
- Врожденный сфероцитоз, тромбоз воротной вены, гематома, метастазы
о Спленомегалия с гипоэхогенной паренхимой селезенки:
- Лимфома, множественная миелома, хронический лимфолейкоз
- Застойные явления, обусловленные портальной гипертензией, неказеозная гранулематозная инфекция
о Серповидноклеточная болезнь: сразу же после секвестрации могут обнаруживаться периферические гипоэхогенные участки
о Болезнь Гоше: множественные дискретные очаги с четкими контурами (фиброз либо инфаркт)
6. Рекомендации по визуализации:
• Лучший метод диагностики:
о КТ с контрастным усилением и мультипланарными реформациями
в) Дифференциальная диагностика спленомегалии и гиперспленизма:
1. Другие объемные образования в верхнем левом квадранте:
• Например, опухоли желудка, почки, надпочечника
2. Травма селезенки:
• Паренхиматозная или подкапсульная гематома может приводить к увеличению селезенки
• Диагноз обычно устанавливается на основании данных лучевых методов исследования и наличия факта травмы в анамнезе
3. Инфекции и абсцесс селезенки:
• Пиогенный (обусловленный бактериальной флорой) абсцесс:
о Гиподенсное кистозное образование с неравномерно утолщенной стенкой, накапливающей контраст, возможно, с включениями газа внутри и левосторонним гидротораксом (экссудативным левосторонним плевритом) реактивного характера
• Грибковое поражение селезенки (вызываемое, например, грибами рода Candida, Aspergillus, Cryptococcus):
о Множественные гиподенсные очаги (либо единичный очаг) различного размера, возможно, с незначительным периферическим контрастным усилением
• СПИД: лневмоцистная, микобактериальная (например, авиум-внутриклеточная) инфекция:
о Гиподенсные очаги в селезенке на ограниченном участке, возможно, с обызвествлениями
г) Патология. Общая характеристика:
• Этиология:
о СМ застойного характера:
- Застойная сердечная недостаточность, цирроз (печени), кистозный фиброз, тромбоз воротной вены, секвестрация при серповидноклеточной болезни
о Новообразования: лейкоз, лимфома, метастазы, первичные опухоли, саркома Капоши
о Болезни накопления: болезнь Гоше, Нимана-Пика, гаргоилизм, амилоидоз, гемохроматоз, гистиоцитоз
о Инфекции: гепатит, малярия, мононуклеоз, туберкулез, брюшной тиф, висцеральный лейшманиоз, шистосомоз, бруцеллез
о Гемолитическая анемия: гемоглобинопатии, врожденный сфероцитоз, первичная нейтропения, тромбоцитопеническая пурпура
о Экстрамедуллярный гемопоэз: остеопетроз, миелофиброз
о Коллагеновые заболевания: системная красная волчанка, ревматоидный артрит, синдром Фелти
о Наиболее типичными причинами массивной спленомегалии являются лимфома, хронический миелолейкоз, экстрамедуллярный гемопоэз, миелофиброз и болезнь Гоше
1. Проявления спленомегалии и гиперспленизма:
• Наиболее частые признаки/синдромы:
о У многих пациентов никакой симптоматики не обнаруживается, тем не менее, спленомегалия может обусловливать боль в животе либо появление пальпируемого образования в верхних отделах живота слева
о Признаки и симптомы часто зависят от причины спленомегалии
2. Течение и прогноз:
• Осложнения:
о Разрыв селезенки, шок, летальный исход
• Гиперспленизм обычно является результатом спленомегалии:
о Из-за повышения функции селезенки она извлекает из циркулирующей крови неизмененные эритроциты, лейкоциты и тромбоциты
о В случаях массивной спленомегалии из кровотока могут быть извлечены до 90% тромбоцитов
3. Лечение спленомегалии и гиперспленизма:
• Варьирует в зависимости от состояния, на фоне которого возникла спленомегалия
• При осложнениях и при наличии симптоматики - спленэктомия
е) Диагностическая памятка. Советы по интерпретации изображений:
• Необходимо обращать внимание на изменения, которые могли бы объяснить спленомегалию, например, признаки цирроза (печени) и портальной гипертензии
ж) Список использованной литературы:
1. Manenti A et al: Splenomegaly Secondary to Myeloproliferative Neoplasms and Portal Hypertension. Clin Lymphoma Myeloma Leuk. ePub, 2014
Абсцесс селезенки
Абсцесс селезенки – это ограниченное от окружающих тканей скопление гнойного экссудата в селезенке. Заболевание характеризуется нарастающей слабостью, лихорадкой, тошнотой и рвотой. Болевые ощущения локализуются в левом подреберье, иррадиируют в левую половину тела, усиливаются при дыхании. Диагностика включает осмотр хирурга, УЗИ или КТ селезенки, обзорную рентгенографию брюшной полости, исследование крови. Абсцесс относится к экстренной хирургической патологии и требует срочного оперативного вмешательства на фоне проведения дезинтоксикационной и антибактериальной терапии. Выполняют чрескожное дренирование гнойника или удаление селезенки вместе с очагом воспаления.
МКБ-10
Общие сведения
Абсцесс селезенки представляет собой обособленную полость, заполненную гнойным содержимым. В абдоминальной хирургии в качестве самостоятельной патологии встречается в 0,5-1% случаев. Заболевание чаще возникает вторично при нагноении гематом и инфарктов селезенки, при метастазировании инфекции из других органов по кровеносному руслу. Одиночные абсцессы могут достигать гигантских размеров, содержать до 3-5 литров гноя. Множественные гнойники в селезенке имеют многокамерное строение, отличаются небольшими размерами, но имеют тенденцию к слиянию с образованием одной большой гнойной полости. Абсцессы могут располагаться в одном из полюсов селезенки или занимать всю площадь органа.
Причины
Среди возбудителей гнойного процесса при абсцессе селезенки преобладают сальмонеллы, стрептококки, стафилококки. Редко патогенная микрофлора представлена грамотрицательными бактериями и грибами. К основным причинам, приводящим к образованию гнойников, относят:
- Инфекционные заболевания. Генерализация инфекционного процесса при малярии, брюшном и возвратном тифе, скарлатине, дифтерии вызывает формирование гнойных очагов в органах и тканях, в т. ч. в селезенке.
- Травмы селезенки. Ушибы и ранения органа, протекающие без разрыва капсулы, сопровождаются скоплением крови под оболочкой. В этих случаях абсцесс возникает вследствие нагноения гематомы.
- Распространение гнойной инфекции из других очагов. Проникновение инфекции в селезенку гематогенным путем происходит при гнойно-воспалительных заболеваниях других органов и систем (септическом эндокардите, остеомиелите, сепсисе, пиелонефрите, цистите). При раке или язве желудка, левостороннем паранефрите, абсцессах брюшной полости имеет место контактный переход патогенной флоры на селезенку.
- Эхинококкоз селезенки. Абсцесс может образовываться за счет скопления личинок эхинококка в лиенальной ткани и нагноения паразитарной кисты селезенки.
- Инфаркт селезенки. В результате тромбоза, эмболии или длительного спазма селезеночных артерий возникает острая ишемия и некроз части или всего органа. Инфицирование пораженной области приводит к развитию абсцесса.
Формированию абсцесса способствуют болезни, сопровождающиеся снижением иммунитета (серповидно-клеточная анемия, хронический лимфолейкоз, лейкемия, ВИЧ-инфекция).
Патогенез
Занос микробных возбудителей в селезенку в большинстве случаев происходит по кровеносному руслу, реже - при непосредственном ранении органа или контактно (с соседних анатомических структур). Возбудители или гнойные эмболы оседают в синусоидных капиллярах, где размножаются, вызывая образование воспалительного инфильтрата с явлениями некроза.
По мере расплавления очага воспаления формируется полость абсцесса, заполненная зловонным гноем шоколадного цвета или цвета «мясных помоев» с включениями секвестров селезеночной ткани. Полости могут иметь различные размеры, строение и локализацию. При расположении гнойника в зоне верхнего полюса селезенки отмечается реакция со стороны плевры: боль в левой половине груди, реактивный плеврит. Нижнеполюсная локализация абсцесса вызывает болезненность в левом подреберье и напряжение мышц живота.
Симптомы абсцесса селезенки
Клиническая картина вариабельна, зависит от масштаба поражения и локализации гнойного очага. Патологический процесс может иметь ярко выраженный характер и стремительное развитие. В этом случае течение заболевания характеризуется выраженной слабостью, повышением температуры тела (до 39-40° С), ознобом, головокружением. Возникают диспепсические явления (тошнота, рвота, диарея).
Болезненные ощущения разной интенсивности локализуются в области левого подреберья, часто иррадиируют в левую лопатку, руку, ключицу и усиливаются при дыхании. При больших размерах гнойника может наблюдаться выпячивание брюшной стенки слева, спленомегалия. Абсцедирование может протекать без специфических признаков и иметь стертую клиническую картину. Прорыв гнойника сопровождается перитонеальными симптомами (адинамией, холодным потом, акроцианозом, дефансом мышц брюшной стенки).
Осложнения
При соприкосновении абсцесса селезенки с петлями кишечника формируются свищи, которые вызывают кишечное кровотечение. Разрыв гнойника сопровождается попаданием гнойного содержимого в брюшную полость и развитием разлитого перитонита. Проникновение патогенных бактерий в кровяное русло вызывает сепсис. В редких случаях происходит вскрытие абсцесса в просвет бронхов, желудка, кишечника с последующим выходом гнойных масс наружу. При попадании гнойного содержимого в плевральную полость развивается эмпиема плевры.
Диагностика
В связи с вариабельностью клинической картины и частым отсутствием специфических симптомов диагностика абсцесса селезенки вызывает трудности. При подозрении на наличие патологии необходимо провести следующие обследования:
- Опрос, осмотр. Включает изучение анамнеза жизни и заболевания, физикальное исследование (пальпация, аускультация живота). При осмотре хирурга выявляется болезненность в подреберье слева, пальпируется увеличенная селезенка.
- Инструментальную диагностику. В первую очередь проводят УЗИ селезенки, в ходе которого абсцесс определяется как гипоэхогенная или анэхогенная округлая тень. На обзорной рентгенографии брюшной полости визуализируется затемнение под диафрагмой слева. Компьютерная томография (КТ селезенки) позволяет получить точную информацию о размерах, локализации гнойника, дополнительных образованиях и выпоте в брюшной или плевральной полости. Для выявления очага воспаления проводят радионуклидную сцинтиграфию (с цитратом 67Ga).
- Анализ крови (ОАК, биохимия). Неспецифические виды исследования, определяющие наличие воспалительного процесса в организме. При абсцессе в анализе крови отмечается лейкоцитоз со сдвигом лейкоцитарной формулы влево, анемия, гипопротеинемия.
Дифференциальную диагностику абсцесса проводят с острыми воспалительными заболеваниями соседних органов: левосторонним паранефритом, воспалением нисходящей ободочной и сигмовидной кишки (колитом, сигмоидитом), поддиафрагмальным абсцессом слева. Гематомы и инфаркты селезенки сопровождаются схожей симптоматикой. Прорыв гнойника дифференцируют с прободной язвой, панкреонекрозом и перитонитом другого генеза.
Лечение абсцесса селезенки
Лечение осуществляют специалисты в сфере абдоминальной хирургии. При подтверждении диагноза показано срочное вмешательство. Тактика оперативного лечения зависит от локализации и величины гнойного очага, наличия осложнений и общего состояния пациента. В настоящее время применяют следующие виды хирургической тактики:
- Чрескожное дренирование и санация гнойника. Под контролем УЗИ пункционной иглой удаляют гнойное содержимое и вводят в полость абсцесса лекарственные средства. Для определения патогенной микрофлоры проводят исследование полученного гноя. Манипуляцию выполняют при одиночных абсцессах до 4-5 см и противопоказаниях к проведению лапаротомии (тяжелое соматическое состояние пациента, заболевания свертывающей системы крови).
- Спленэктомияс ревизией брюшной полости. Оперативное удаление селезенки вместе с абсцессом осуществляется при больших одиночных или множественных гнойниках, неэффективности малоинвазивных методов лечения, развитии кровотечений и перитонита. В некоторых случаях проводят аутотрансплантацию с возвращением части органа в брюшную полость для сохранения иммунной функции.
Выбор оперативного подхода зависит от местоположения абсцесса селезенки. Локализация гнойника в верхней части органа предполагает трансторакальный доступ, в нижней части - чрезбрюшинный. Всем больным в послеоперационном периоде назначают антибактериальные и обезболивающие препараты. При прорыве гнойника дополнительно показана массивная противовоспалительная и дезинтоксикационная терапия. В период реабилитации (1-2 месяца) следует воздержаться от занятий спортом, тяжелой физической нагрузки, принятия горячих ванн.
Прогноз и профилактика
Прогноз при абсцессе селезенки зависит от размеров гнойника и наличия осложнений. При своевременно выполненной операции и грамотном послеоперационном уходе прогноз болезни удовлетворительный. Пациенты уже через 2 месяца могут переходить к привычному распорядку жизни. Прорыв гнойника, развитие перитонита и бактериемии приводят к резкому ухудшению состояния вплоть до комы. Несвоевременное лечение в 100% случаев приводит к летальному исходу.
Профилактика абсцесса селезенки направлена на своевременную диагностику заболеваний, служащих патогенетической и морфологической основой для формирования гнойника. Пациенты не должны игнорировать симптомы болезни, а при их возникновении своевременно обращаться к врачу.
2. Абдоминальная хирургия. Национальное руководство / под ред. Затевахина И.И., Кириенко А.И., Кубышкина В.А. - 2017
Читайте также:
- Онкогенные РНК-геномные вирусы. Онкогенные ретровирусы. Свойства онкогенных рнк-вирусов.
- Классификация противомалярийных лекарств. Противомалярийные препараты - хлорохин
- КТ, МРТ при колобоме
- Врожденный сколиоз: атлас фотографий
- Внутричерепные симптомы отогенного тромбоза. Причины корешковых синдромов при отогенном тромбозе
