Лучевая диагностика меланомы носа и околоносовых пазух
Добавил пользователь Евгений Кузнецов Обновлено: 01.01.2026
Енгибарян М.А. 1 Ульянова Ю.В. 1 Волкова В.Л. 1 Аединова И.В. 1 Мещеряков П.Н. 1 Чертова Н.А. 1 Баужадзе М.В. 1
Меланомы слизистых оболочек – редко встречающиеся опухоли человека. По наблюдениям различных авторов, они составляют до 1,3% от всех опухолей человека, из которых 55% локализуются в области органов головы и шеи. Меланомы слизистой оболочки полости носа и придаточных пазух носа составляют менее 1% всех меланом и менее 5% всех злокачественных новообразований слизистых оболочек данной локализации. Значительная часть таких опухолей располагается в полости носа. В этой статье приводятся краткие статистические данные и демонстрируются клинические наблюдения меланом слизистых оболочек придаточных пазух носа. Отмечены отсутствие патогномоничных симптомов при опухолях придаточных пазух носа с различной гистологической структурой, а также высокий процент рецидивирования меланом слизистых оболочек придаточных пазух носа и полости носа, низкие показатели средней продолжительности жизни и 5-летней выживаемости больных с данными злокачественными новообразованиями. Освещены трудности диагностики, сопряженные с выявлением меланом придаточных пазух носа на поздних стадиях заболевания при первичном обращении за специализированной медицинской помощью. Ведущим методом лечения меланомы околоносовых пазух является радикальная хирургическая операция с последующим назначением лучевой и лекарственной терапии.
1. Manolidis S., Donald P.J. Malignant mucosal melanoma of the head and neck: review of the literature and report of 14 patients. Cancer. 1997. V. 80. №8. P.1373–1386.
2. Anderson L.J., Berthelsen A., Hansen H.S. Malignant melanoma of the upper respiratory tract and the oral cavity. J. Otolaryngol. 1992. № 21(3). Р.180–185.
3. Medhi P., Biswas M., Das D., Amed S. Cytodiagnosis of mucosal malignantmelanoma of nasal cavity: A case report with review of literature. J. Cytol. 2012. V. 29(3). Р.208–210.
4. Patel S.G., Prasad M.L., Escrig M. Primary mucosal malignant melanoma of the head and neck. Head Neck. 2002. V. 24(3). Р.247–257.
5. Papaspyrou G., Garbe C., Schadendorf D. et al. Mucosal melanomas of the head and neck: new aspects of the clinical outcome, molecular pathology, and treatment with c-kit inhibitors. Melanoma Res. 2011. V. 21(6). Р. 475–482.
7. Uzdensky A., Demyanenko S., Bibov V., Sharifulina S., Kit O., Przhedetski Y., Pozdnyakova V. Expression of proteins involved in epigenetic regulation in human cutaneous melanoma and peritumoral skin. TumorBiology. 2014. V. 35. №8. C 8225-8233.
8. Яйцев С.В., Федорова Н.В., Аладин А.С., Васильев Ю.С., Сычев В.И. Злокачественные опухоли полости носа и околоносовых пазух (диагностика и лечение) // Креативная хирургия и онкология. 2010. № 3. С. 43-44.
9. Чиссов В.И. Алгоритмы диагностики и лечения злокачественных новообразований. М.: ФГУ " МНИОИ им. П.А. Герцена Минздравсоцразвития России". 2010. 542 с.
Злокачественные опухоли носа и околоносовых пазух составляют от 0,5 до 1,3% всех злокачественных опухолей человека. Среди них около 74% составляют опухоли эпителиального (плоскоклеточный рак, переходно-клеточный рак, аденокарцинома) и 26% – неэпителиального (меланомы, эстезионейробластомы, рабдомиосаркомы и др.) генеза. Первичные меланомы слизистых оболочек органов головы и шеи составляют около 0,7–3,8% всех меланом и локализуются (в убывающем порядке по частоте встречаемости) в околоносовых пазухах, полости рта, глотке, гортани и верхней трети пищевода. Меланомы слизистых оболочек составляют 1,3% случаев, из которых 55% локализуются в области головы и шеи [1, 2]. Меланомы слизистой оболочки полости носа и придаточных пазух составляют менее 1% всех меланом и менее 5% всех новообразований данной локализации [3]. В основном меланомы располагаются в полости носа в области носовых раковин, боковых стенок носа и носовой перегородки [1, 4]. Самой частой локализацией меланом среди придаточных пазух носа является верхнечелюстная пазуха. Опухоли, поражающие слизистую оболочку полости носа и носовой перегородки, имеют более благоприятный прогноз по сравнению с поражением околоносовых пазух, что объясняется большей доступностью опухоли осмотру и, следовательно, ранней диагностикой [5]. На момент постановки диагноза 70–80% случаев меланом представлены локализованными формами заболевания, в 10–20% случаев имеются метастазы в регионарные лимфатические узлы и менее чем в 10% – отдаленные метастазы. Однако в течение болезни у 20% пациентов развиваются метастазы в регионарные лимфатические узлы, у 40–50% – в легкие, кости, печень, головной мозг [3, 6, 7].
Мужчины и женщины заболевают практически одинаково часто. Средний возраст заболевших составляет 50–70 лет [6]. Меланома – злокачественная опухоль, развивающаяся из меланоцитов — пигментных клеток, продуцирующих меланин. Преимущественно локализуется в коже, реже – в сетчатке глаза, слизистой оболочке (полости рта, влагалища, прямой кишки). Длительность заболевания – от нескольких месяцев до 3–5 лет. Рецидивы опухоли протекают более злокачественно, чем первичная опухоль, и возникают в 80% случаев. Средняя продолжительность жизни больных составляет 1,8 года, 5-летняя выживаемость – 7–10%. На ранних стадиях развития опухоли заболевание протекает бессимптомно. Дальнейшие проявления зависят от направления роста опухоли и распространенности поражения. Прорастание опухоли в решетчатую пазуху и полость носа сопровождается гнойно-кровянистыми выделениями, слезотечением, припухлостью в области внутреннего угла глаза. Рост опухоли в направлении нёба и челюсти вызывает боль в зубах и их патологическую подвижность, деформацию нёба. Прорастание в направлении глазницы сопровождается экзофтальмом, нарушением подвижности глазного яблока. Разрушение задней и наружной стенок верхнечелюстной пазухи ведет к переходу процесса на скуловые кости и явлениям невралгии тройничного нерва. Однако подобные симптомы характерны для опухолей околоносовых пазух независимо от их гистологической структуры [8], патогномоничных признаков для меланомы этой локализации нет. В запущенных случаях диагноз определяется довольно легко.
По морфологической структуре меланомы экстрадермальной локализации практически не отличаются от меланом кожи. Часто встречается веретеноклеточный и эпителиоподобный тип, количество меланина может широко варьировать. Описаны беспигментные варианты опухоли. Основным методом лечения меланомы и других неэпителиальных опухолей придаточных пазух носа является хирургический [9]. После выполнения радикальной операции назначают лучевое лечение и (или) химиотерапию.
Цель исследования: ввиду редкости данного вида опухоли слизистых оболочек полости носа и околоносовых пазух приводим наши клинические наблюдения с целью продемонстрировать отсутствие патогномоничных признаков меланомы указанных локализаций, а также целесообразность радикальных хирургических вмешательств на первом этапе лечения.
Материалы и методы исследования
Приведены клинические наблюдения меланомы околоносовых пазух 3 больных, получавших лечение в отделении опухолей головы и шеи ФГБУ «РНИОИ»; всем больным на догоспитальном этапе выполнялись компьютерная томография головы для оценки распространенности опухолевого процесса, гистологическое исследование биоптатов опухоли, радикальное хирургическое вмешательство на первом этапе лечения.
Результаты исследования и их обсуждение
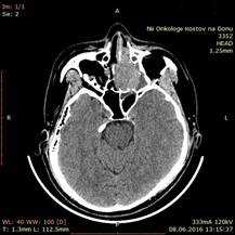
Больная З., 1948 года рождения, поступила в отделение ОГШ ФГБУ «РНИОИ» МЗ РФ 14.06.2016 г. с жалобами на затрудненное носовое дыхание слева, головные боли. При осмотре – лимфатические узлы шеи не увеличены, носовое дыхание через левую половину носа затруднено. Пальпаторно – костные структуры лицевого скелета не разрушены. При передней риноскопии – опухоль не определяется. СРКТ от 08.06.2016 г.: «Слева в области ячеек решетчатого лабиринта определяется мягкотканое образование 42х51 мм с прорастанием в верхнечелюстную и основную пазуху, полость носа (рис. 1). Легочная ткань без очагов. Патологических объемных образований в брюшной полости и полости малого таза не выявлено».

Рис. 1. СРКТ придаточных пазух носа: слева в области ячеек решетчатого лабиринта определяется мягкотканое образование 42х51 мм с прорастанием в верхнечелюстную и основную пазуху, полость носа
15.06.2016 г. выполнена радикальная операция на околоносовых пазухах с удалением опухоли, предварительной перевязкой наружной сонной артерии. Под внутривенной анестезией с ИВЛ произведен разрез кожи шеи слева по Насилову. Кожные лоскуты отсепарованы. Обнажен сосудисто-нервный пучок шеи. Выделена наружная сонная артерия и перевязана выше отхождения верхней щитовидной артерии. Гемостаз. Рана ушита послойно. Далее произведен разрез кожи лица слева по Муру. Кожные лоскуты отсепарованы. При ревизии – опухоль белесоватого цвета, исходящая из передних клеток решетчатого лабиринта, разрушает медиальную стенку верхнечелюстной пазухи, распространяется в основную пазуху, полость носа. Опухоль удалена и отправлена на срочное гистологическое исследование – г.а. № 49969-72 «незрелая опухоль солидного строения». Гемостаз. Вскрыта верхнечелюстная пазуха, удалена латеральная стенка полости носа. В послеоперационную полость введены мазевые тампоны. Швы на кожу. Повязка. Послеоперационное гистологическое заключение № 49969-72/13 «незрелая опухоль солидного строения», ИГХ-исследование № 1495/2013 «меланома, беспигментный вариант». Заключительный диагноз: меланома левой половины решетчатого лабиринта, состояние после хирургического лечения, St IV, T4N0M0, клиническая группа 2. Больной назначены послеоперационная лучевая терапия, а также иммунотерапия в течение первого года. Отмечено отсутствие рецидива заболевания в течение 1,5 лет.
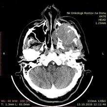
Больной В., 1947 года рождения, поступил в отделение опухолей головы и шеи ФГБУ «РНИОИ» МЗ РФ 17.10.2016 г. с жалобами на опухоль в области левой щеки. При осмотре – лимфатические узлы шеи не увеличены, носовое дыхание не затруднено, лицо асимметрично за счет распространяющейся в мягкие ткани левой щеки опухоли левой верхнечелюстной пазухи. При пальпации деструкция нижнеорбитального края не определяется. При передней риноскопии опухоль не определяется. Остальные ЛОР-органы без видимой онкопатологии. СРКТ от 13.10.2016 г.: «Слева опухоль верхнечелюстной пазухи 5,6х5 см с неоднородной структурой, прорастанием ее передней стенки с распространением мягкотканого компонента опухоли на мягкие ткани лица, участок деструкции альвеолярного края верхней челюсти слева» (рис. 2).

Рис. 2. СРКТ придаточных пазух носа: слева опухоль верхнечелюстной пазухи 5,6х5 см с неоднородной структурой, прорастанием ее передней стенки с распространением мягкотканого компонента опухоли на мягкие ткани лица, участок деструкции альвеолярного края верхней челюсти слева
19.10.2016 г. выполнена резекция левой верхней челюсти с предварительной перевязкой наружной сонной артерии. Под внутривенной анестезией с ИВЛ произведен разрез кожи шеи слева по Насилову. Кожные лоскуты отсепарованы. Обнажен сосудисто-нервный пучок шеи. Выделена наружная сонная артерия (прослежены ее ветви) и перевязана выше отхождения верхней щитовидной артерии. Гемостаз. Рана на шее ушита послойно. Далее произведен разрез кожи лица слева по Веберу. Кожные лоскуты отсепарованы. При ревизии – опухоль с распадом, черного цвета, прорастает переднюю, латеральную, верхнюю, медиальную и заднюю стенки верхнечелюстной пазухи, скуловой, нёбный, альвеолярный отростки верхней челюсти, мягкие ткани щеки. Опухоль удалена в пределах макроскопически не измененных тканей (резецированы скуловой, нёбный и альвеолярный отростки верхней челюсти, удалена часть мягких тканей и кожи щеки). Гемостаз. В послеоперационную полость введены мазевые тампоны. Швы на кожу. Повязка. Послеоперационное гистологическое заключение № 10534-5/16 «эпителиоидноклеточная меланома». Заключительный диагноз: меланома левой верхнечелюстной пазухи, состояние после хирургического лечения, St IV, T4N0M0, клиническая группа 2. Больному назначены послеоперационная лучевая терапия, а также иммунотерапия в течение первого года. Отмечено отсутствие рецидива заболевания в течение 1 года. Больной умер в январе 2018 г. в связи с ТЭЛА.
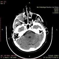
Больная Ж., 1957 года рождения, поступила в отделение ОГШ ФГБУ «РНИОИ» МЗ РФ 10.11.2017 г. с жалобами на затрудненное носовое дыхание через правую половину носа, кровотечения из правой половины носа. Из анамнеза: считает себя больной с ноября 2016 г., когда периодически отмечала кровотечения из правой половины носа. Обращалась к врачу по месту жительства, однако консервативное лечение, проводимое по месту жительства, осталось без эффекта. В марте 2017 г. по поводу зубной боли обратилась к стоматологу, где лечилась по поводу лакунарной кисты. В конце марта 2017 г. возникло кровотечение из правой половины носа. По месту жительства 10.04.2017 г. выполнялось прижигание сосудов слизистой оболочки полости носа справа. 10.05.2017 г. возобновилась кровоточивость с последующим носовым кровотечением. В ГБУ РО РОКБ 06.07.2017 г. выполнена операция: правосторонняя гайморотомия, этмоидотомия, удаление новообразования правой половины носа с использованием видеоэндоскопических технологий. Послеоперационный гистологический анализ № 57554-61 – кавернозная гемангиома. Больная была выписана в удовлетворительном состоянии с восстановленным носовым дыханием, кровотечение из правой половины носа прекратились. Через 1 неделю возобновились носовые кровотечения из правой половины носа, была направлена в ЛОР-отделение ГБУ РОКБ, где 18.08.2017 г. выполнена операция – правосторонняя гайморотомия комбинированным доступом (ревизия по Дэнкеру) с использованием видеоэндоскопических технологий, обезболивание общее. Послеоперационный гистологический анализ № 70827-30 от 25.08.2017 г. (ИГХ) меланома. Наблюдалась по месту жительства. Однако носовые кровотечения не прекратились, что побудило больную обратиться в ФГБУ «РНИОИ» МЗ РФ, где были пересмотрены гистологические препараты. Выполнены СРКТ околоносовых пазух и МРТ сосудов головного мозга. При осмотре специалиста в профильном кабинете клинико-диагностического отделения ФГБУ «РНИОИ» МЗ РФ: лимфатические узлы шеи не пальпируются. Лицо асимметричное за счет распространения опухоли в мягкие ткани правой щеки. Пальпаторно – костные края орбиты не изменены. При орофарингоскопии – открывание полости рта в полном объеме. При передней риноскопии – в общем носовом ходе справа гнойно-геморрагические корки, опухоль не определяется при осмотре. СРКТ от 27.10.2017 г. – опухоль правой верхнечелюстной пазухи 3,8х3,9х3,3 см с разрушением ее передней, задней стенок, распространением в мягкие ткани щеки и правый общий носовой ход; легочная ткань без очагов; патологических объемных образований в брюшной полости и полости малого таза не выявлено (рис. 3).

Рис. 3. СРКТ придаточных пазух носа: справа – опухоль правой верхнечелюстной пазухи 3,8х3,9х3,3 см с разрушением ее передней, задней стенок, распространением в мягкие ткани щеки и правый общий носовой ход
В отделении опухолей головы и шеи ФГБУ «РНИОИ» МЗ РФ 13.11.2017 г. (спустя 8 месяцев после первого обращения пациентки к врачу) выполнена радикальная операция на околоносовых пазухах справа с удалением опухоли, предварительной перевязкой наружной сонной артерии. Под внутривенной анестезией с ИВЛ произведен разрез кожи шеи справа по Насилову. Кожные лоскуты отсепарованы. Обнажен сосудисто-нервный пучок шеи. Выделена наружная сонная артерия и перевязана выше отхождения верхней щитовидной артерии. Гемостаз. Рана ушита послойно. Далее произведен разрез кожи лица по Веберу справа. Кожные лоскуты отсепарованы. Резецированы носовая кость, передняя стенка верхнечелюстной пазухи, медиальная стенка правой орбиты, которая частично разрушена. При ревизии – опухоль занимает верхнечелюстную пазуху, размерами 3,8х3,9х3,2 см с разрушением передней, задней стенок, распространением в мягкие ткани щеки и правый общий носовой ход. Тупым и острым путями опухоль удалена в пределах макроскопически не измененных тканей. Швы на кожу. Повязка. Послеоперационное гистологическое заключение № 102594-99/17 – фрагменты слизистой оболочки с очагами эпителиоидно-клеточной меланомы, с очень небольшим количеством пигмента, с изъязвлением, толщиной до 3 мм, № 102600-03/17 – фрагменты фиброзной и костной ткани с очагами эпителиоидно-клеточной меланомы, с очень небольшим количеством пигмента, с изъязвлением, толщиной до 5 мм.
Заключительный диагноз: меланома правой верхнечелюстной пазухи, состояние после хирургического лечения, St.IV, T4N0M0, клиническая группа 2. Больной назначены послеоперационная лучевая терапия, а также иммунотерапия в течение первого года. Отмечено отсутствие рецидива заболевания в течение 2 лет.
Таким образом, можно сделать вывод о том, что меланома околоносовых пазух не имеет клинически значимых патогномоничных диагностических критериев. Первые симптомы заболевания, а также рентгенологическая картина аналогичны таковым при опухолях этой локализации эпителиального происхождения. При удалении опухолевых образований полости носа и околоносовых пазух в стационарах хирургического профиля необходимо тщательное гистологическое исследование удаленных препаратов. Ведущим этапом лечения является радикальное удаление опухоли. Прогноз, средняя продолжительность жизни и частота возникновения рецидивов зависят от распространенности процесса на момент начала противоопухолевого лечения.
Рак полости носа и околоносовых пазух
Рак полости носа и околоносовых пазух – злокачественные опухоли, поражающие носовую полость, верхнечелюстные, лобные, решетчатую или клиновидную придаточные пазухи. Проявляется ощущением давления, затруднением носового дыхания, выделениями из носа и носовыми кровотечениями. В ряде случаев отмечаются онемение и ощущение мурашек на коже лица, экзофтальм, лицевые деформации и выпадение зубов. Диагноз рака околоносовых пазух и носовой полости устанавливается с учетом анамнеза, данных внешнего осмотра, риноскопии, рентгенографии, КТ, МРТ и результатов биопсии. Лечение оперативное в сочетании с предоперационной радиотерапией и химиотерапией.
Общие сведения
Рак полости носа и околоносовых пазух – новообразования эпителиального происхождения, локализующиеся в носовой полости и придаточных синусах. Составляют 1,5% от общего количества онкологических заболеваний. Обычно поражают людей старше 40 лет. Мужчины болеют чаще женщин. Рак околоносовых пазух в 75% случаев возникает в зоне верхнечелюстного синуса, в 10-15% - в носовой полости и основной (решетчатой) пазухе, в 1-2% - в зоне клиновидного и лобного синусов. Рак полости носа и придаточных синусов распространяется на близлежащие ткани, включая костные структуры, метастазирует в регионарные лимфоузлы, но очень редко дает отдаленные метастазы. Лечение осуществляют специалисты в сфере онкологии, отоларингологии и челюстно-лицевой хирургии.
Причины
Причина рака полости носа пока не выяснена, но установлены три группы факторов, способствующих развитию данной патологии: профессиональные вредности, хронические воспалительные процессы и вредные привычки. Риск развития рака околоносовых пазух и носовой полости повышается при постоянном контакте с вредными веществами, вдыхаемыми в процессе выполнения профессиональных обязанностей. Наибольшая вероятность возникновения онкологических поражений наблюдается у пациентов, занимающихся деревообработкой, обработкой кожи и производством никеля. Особенно значим контакт с химическими соединениями, используемыми при производстве мебели. По статистике, у краснодеревщиков рак полости носа и придаточных пазух становится причиной гибели в 6,6 раз чаще, чем в среднем по популяции.
Большую роль в развитии рака околоносовых пазух и полости носа играет курение. Некоторые специалисты в числе факторов риска указывают употребление алкоголя. Вероятность развития этой группы заболеваний увеличивается при хроническом рините, риносинусите, гайморите (воспалении надчелюстных пазух), фронтите (воспалении лобных пазух), сфеноидите (воспалении клиновидной пазухи) и этмоидите (воспалении решетчатого лабиринта). Имеет значение национальность пациентов – рак околоносовых пазух и носовой полости чаще выявляется у жителей Китая и Средней Азии.
Классификация
В связи с особенностями локализации выделяют пять видов данной патологии: рак полости носа и четыре типа рака околоносовых пазух: верхнечелюстной, фронтальной, основной и решетчатой. С учетом особенностей гистологического строения различают семь разновидностей опухоли: плоскоклеточный, переходноклеточный, мукоэпидермоидный, аденокистозный и недифференцированный рак, аденокарцинома и прочие виды рака.
При определении прогноза и тактики лечения используют сложную классификацию TNM, в которой отражены особенности каждой стадии рака околоносовых пазух (прорастание тканей, уровень поражения тех или иных близлежащих органов) с учетом локализации. В клинической практике нередко пользуются упрощенной классификацией:
- 1 стадия – рак полости носа и околоносовых пазух не распространяется на костные структуры, регионарные лимфоузлы не задействованы.
- 2 стадия – новообразование распространяется на костные стенки, но не выходит за пределы пазухи, лимфоузлы интактны.
- 3 стадия – рак околоносовых пазух и носовой полости разрушает кость и прорастает в соседние полости, есть метастазы в регионарных лимфоузлах.
- 4 стадия – опухоль прорастает скуловые кости, нижнюю челюсть и кожу лица. Регионарные лимфоузлы теряют подвижность, спаиваются с окружающими тканями с образованием инфильтратов или распадом.
Из-за редкого отдаленного метастазирования в этой классификации не отражен вариант рака околоносовых пазух с гематогенными метастазами.
Симптомы рака полости носа
Симптомы этой группы болезней отличаются большим разнообразием. Картина заболевания определяется локализацией, размером и видом новообразования. На начальных стадиях обычно наблюдается бессимптомное течение или скудные проявления, напоминающие хронический ринит либо синусит. Пациенты с раком околоносовых пазух предъявляют жалобы на боль в зоне придаточных пазух, головную боль, заложенность носа и носовые выделения. Некоторые больные отмечают снижение обоняния. Иногда первым признаком болезни становится увеличение регионарных лимфоузлов.
Остальные проявления обусловлены локализацией рака полости носа и околоносовых пазух и повреждением близлежащих анатомических структур. При опухолях внутренних отделов гайморовой пазухи наблюдаются боль в верхней челюсти, отдающая в ухо либо висок, сильная головная боль, выделения и кровотечения из соответствующей половины носа. При новообразованиях в задненаружном отделе верхнечелюстного синуса возможны затруднения при приеме пищи, вызванные прорастанием рака околоносовой пазухи в жевательные мышцы.
Опухоли передненижнего отдела гайморовой пазухи могут распространяться на верхнюю челюсть и твердое небо, вызывая интенсивную зубную боль, потерю зубов и образование язв на деснах. При прорастании таких новообразований в жевательные мышцы и височно-нижнечелюстной сустав выявляются затруднения при попытке открыть рот. При поражении мягких тканей лица отмечаются лицевые деформации. Отек век, слезотечение, сужение глаза или экзофтальм характерны для рака околоносовой пазухи, локализующегося в верхней части задневнутренней зоны верхнечелюстного синуса. Рак лобных пазух проявляется резко выраженными болями в области лба, отеком век, смещением глаза и деформацией лица.
Диагностика
Диагноз рака околоносовых пазух и полости носа основывается на жалобах, данных анамнеза, результатах осмотра и дополнительных исследований. При сборе анамнеза отоларинголог выясняет наличие вредных привычек, профессиональных вредностей и хронических воспалительных заболеваний. При внешнем осмотре врач обращает внимание на деформации лица, состояние век, наличие одностороннего экзофтальма, возможность свободных движений нижней челюстью и т. д.
Рак полости носа обнаруживаются при проведении риноскопии. Фарингоскопия позволяет выявлять вторичные изменения, обусловленные прорастанием рака околоносовых пазух в ротовую полость и полость носоглотки. Наряду с фарингоскопией осуществляют фиброскопию, в процессе которой специалист изучает поверхность носоглотки и берет с измененного участка образец ткани для гистологического исследования. При расположении опухоли в придаточном синусе врач выполняет пункцию с забором материала.
Всех пациентов с подозрением на рак полости носа и придаточных пазух направляют на обзорную рентгенографию соответствующей области. При возможности проводят рентгенографию с использованием контрастного вещества, КТ и МРТ. При подозрении на прорастание рака околоносовых пазух в полость черепа назначают рентгенографию черепа. В некоторых случаях осуществляют диагностическую гайморотомию. Для выявления гематогенных метастазов выполняют рентгенографию грудной клетки и УЗИ брюшной полости.
Лечение
Лечебная тактика при раке околоносовых пазух и носовой полости определяется индивидуально с учетом локализации, размера, гистологического типа и распространенности новообразования. Как правило, используют комбинированную терапию, включающую в себя хирургическое вмешательство, химиотерапию и радиотерапию. В предоперационном периоде пациентам с раком полости носа и околоносовых синусов назначают дистанционную телегамматерапию и химиотерапию. Операцию проводят через 3 недели после окончания химио- и радиотерапии.
Объем хирургического вмешательства зависит от вовлечения различных органов и анатомических структур. В ряде случаев при раке околоносовых пазух приходится выполнять экзентерацию глазницы, удаление верхней челюсти и другие травматичные операции. При прорастании новообразования в полость черепа к участию в оперативном лечении привлекают нейрохирурга. В послеоперационном периоде назначают антибиотики и сосудосуживающие средства, проводят радио- и химиотерапию. При серьезных косметических дефектах осуществляют пластические операции в отдаленном периоде. При распространенном и рецидивирующем раке полости носа и синусов лечение консервативное.
Прогноз
Прогноз при раке околоносовых пазух и носовой полости в первую очередь зависит от стадии заболевания. На 1-2 стадии средняя пятилетняя выживаемость после хирургического удаления новообразования составляет 75%. Применение комбинированной терапии позволяет повысить этот показатель до 83-84%. На 3-4 стадиях выживаемость резко снижается. При метастазах в регионарных лимфатических узлах до 5 лет с момента постановки диагноза удается дожить всего 37% пациентов, получавших комбинированную терапию. При использовании только лучевой терапии или только оперативного вмешательства пятилетняя выживаемость на этой стадии по различным данным колеблется от 18 до 35%. Трехлетняя выживаемость на 4 стадии составляет чуть более 30%.
Микозы носа и околоносовых пазух
Микозы носа и околоносовых пазух – поражение слизистых оболочек носовой полости и придаточных синусов грибковой этиологии. Основные клинические проявления – интоксикационный синдром, сухость, зуд и ощущение дискомфорта, которые сменяются нарушением носового дыхания и обильными выделениями творожистого, гнойного или кашицеобразного характера с неприятным запахом. Диагностика основывается на данных анамнеза, передней риноскопии, бактериологического и микроскопического исследования, результатах лучевых методов визуализации. При лечении проводят хирургическую санацию очага инфекции, используют противогрибковые препараты и симптоматические средства.
Микозы носа и околоносовых пазух являются наименее распространенным вариантом грибкового поражения ЛОР-органов – порядка 4% от всех поражений верхних дыхательных путей. Тем не менее, согласно статистическим данным, более 50% всех синуситов имеют грибковую этиологию. Основными возбудителями являются грибы C.albicans, A.niger и А.fumigatus – ими обусловлено 75-80% всех микотических поражений этой области. 70-90% всех пациентов с грибковыми патологиями носа и придаточных пазух страдают сопутствующими иммунодефицитными состояниями, зачастую – СПИД. Показатель смертности колеблется в широких пределах и составляет от 10 до 80% в зависимости от этиологического варианта заболевания.
Причины микозов носа и околоносовых пазух
В подавляющем большинстве случаев микотическое поражение возникает на фоне снижения местного или системного иммунитета либо непосредственного поражения слизистых оболочек. Только некоторые виды грибов способны вызывать развитие заболевания при нормальной резистентности организма. Возникновение микоза может быть обусловлено:
- Иммунными нарушениями. Это могут быть как врожденные патологии (синдромы Ди-Джорджи и Вискотта-Олдрича, дефицит синтеза лимфокинов и другие), так и приобретенные состояния (ВИЧ-инфекция, раковые опухоли, онкогематологические заболевания, авитаминозы, алиментарное истощение).
- Местным повреждением слизистых оболочек. Прямое повреждающее воздействие на слизистые оболочки отмечается при паровых, термических и химических ожогах, травматических повреждениях челюстно-лицевой области и хирургических манипуляциях в этой зоне.
- Эндокринными заболеваниями. Возникновению микозов способствует сахарный диабет, синдром Кушинга, гипокортизолизм, гипотиреоз и гипопаратиреоз, чрезмерный синтез половых стероидов и полиэндокринопатии.
- Медикаментозным влиянием. Среди фармакологических средств развитие грибкового поражения околоносовых пазух и носовой полости вызывают антибиотики, кортикостероиды, иммунодепрессанты, цитостатики, оральные контрацептивны. Более чем у половины больных, прошедших курс химиотерапии, в дальнейшем диагностируются микозы.
Грибковые патологии слизистых оболочек носа и околоносовых синусов вызывают различные виды грибов. Наиболее распространенными вариантами болезни являются:
- Кандидоз. В роли возбудителя выступают грибы рода Candida, зачастую – C.albicans, которая встречается повсеместно. Основной способ проникновения к слизистым пазух и носа – контактный, через руки пациента.
- Аспергиллез. Вызывается тремя представителями рода Aspergillus: А.fumigatus, A.flavus и A.niger. Они в большом количестве содержатся в гниющем зерне, овощах и фруктах. В полость носа попадают при вдохе воздуха, содержащего споры.
- Мукоромикоз или мукороз. Эту разновидность микоза вызывают грибы видов Rhizopus, Mucor и Absidia. Патология часто развивается на фоне сахарного диабета. Механизм и основные источники схожи с аспергиллами.
- Риноспоридиоз. Эндемическое заболевание для Пакистана и Индии. Основной возбудитель – Rhinosporidium seeberi – попадает в организм человека вместе с воздухом или водой, инфицированной коровами, лошадьми и другими животными.
- Гистоплазмоз. Вариант микоза, который возникает при заражении Histoplasma capsulatum. Встречается на прилегающей к рекам Миссисипи и Огайо территориях. Механизм заражения – вдыхание спор гриба.
- Бластомикоз. Возбудитель – Blastomyces dermatitidis. Патология эндемична для африканского континента и Южной Америки. Грибы проникают через легкие, откуда с током крови распространяются по организму.
Патогенез
В основе заболевания лежит повышение восприимчивости слизистых оболочек к воздействию грибов, что обусловлено иммунодефицитом или нарушением целостности тканей. При нормальной работе иммунной системы и целостности слизистых микозы, обусловленные условно-патогенными видами грибов, не возникают. Однако это не касается заболеваний, вызываемых особо патогенными возбудителями гистоплазмоза, бластомикоза. В целом развитие микоза проходит в несколько стадий: адгезия, колонизация, инвазия, генерализация.
На первом этапе частицы гриба или его споры прикрепляются к поверхности слизистой. Возможен аэрогенный, гематогенный, травматический и другие пути проникновения возбудителя. Стадия колонизации проявляется активным размножением возбудителя и выделением продуктов его жизнедеятельности, что вызывает местные воспалительные изменения и первые клинические симптомы. У больных со склонностью к атопии развиваются местные аллергические реакции: отек и эозинофильная инфильтрация слизистых, выход большого объема жидкости за пределы сосудистого русла. Инвазивный рост – это прорастание гриба в подлежащие ткани с деструкцией костных структур. Генерализация характеризуется проникновением частей гриба, спор и токсинов системный кровоток с последующим образованием метастатических очагов инфекции.
На основе морфологических изменений, которые возникают в тканях при микозе носа и околоносовых пазух, выделяют две основные формы заболевания:
1. Инвазивные. К ним относятся аспергиллез и мукороз, которые проявляются выраженной деструкцией подслизистого шара тканей, костей лицевого черепа. По динамике развития их разделяют на два варианта:
- Острый или молниеносный. Характеризуется быстрым (в течение 3-12 часов) распространением инфекции внутрь черепной коробки и развитием внутричерепных осложнений. Самая неблагоприятная форма заболевания.
- Хронический или некротический. Клинические проявления формируются постепенно, часто «под маской» остеомиелита, инфекционных гранулем или новообразований.
2. Неивазивные. Обычно вызываются условно-патогенными типами грибов, в основном – кандидами. До проникновения инфекции в сосудистое русло изменения ограничены слизистым шаром. Разделяются на следующие клинические варианты:
- Аллергический или эозинофильный. Ассоциирован с бронхиальной астмой, клиническая картина имитирует полипозный риносинусит.
- Мицетома или грибковый шар. Возникает в результате попадания инородного в полость синуса, чаще всего – пломбировочного материала во время стоматологических манипуляций. Наиболее распространенная форма микоза на территории СНГ.
Симптомы микозов носа и околоносовых пазух
Симптомы во многом определяются видом гриба и клинической формой болезни. Первые проявления микотического поражения неспецифичны. Зачастую это зуд, сухость или жжение в полости носа либо околоносовых пазухах, которые могут сохраняться от нескольких часов до 1-2 дней. При инвазивных микозах они быстро дополняются интоксикационным синдромом различной степени выраженности: лихорадкой, ознобом, повышением температуры тела до 38,0-40,0 °C, общей слабостью, недомоганием, головной болью.
К перечисленным проявлениям присоединяется болезненность или ощущение инородного тела в зоне поражения, иррадиирующие по ходу кости, чувство «заложенности» в носу, гнусавость, затруднение или полное отсутствие носового дыхания. При неинвазивных формах локальный болевой синдром зачастую не выявляется, интоксикация менее выражена. Специфический симптом микоза – наличие обильных выделений творожистого, кашицеобразного, реже гнойного характера с гнилостным или кислым запахом. Выделения постоянные или приступообразные, цвет колеблется от белого до желтовато-зеленого. Иногда обнаруживается примесь крови.
Осложнения
Возможные осложнения зависят от вида грибов, характера сопутствующих патологий, своевременности и адекватности оказанной медицинской помощи. Инвазивные формы, особенно острые, быстро осложняются расплавлением костных тканей и распространением инфекционного процесса в полость черепа, приводя к абсцессам головного мозга, тромбозу кавернозного синуса и т. д. Неивазивные варианты микотического поражения провоцируют подобные изменения только при длительном течении и тяжелых сопутствующих нарушениях. Проникновение грибов в системный кровоток, которое встречается при обеих формах, становится причиной развития сепсиса и образования очагов инфекции в отдаленных органах и тканях.
Диагностика грибкового поражения придаточных пазух и полости носа осуществляется путем сопоставления анамнестических сведений, результатов физикального, лабораторного и инструментального обследования. Важную роль играет анамнез пациента, в котором отоларинголог должен обратить внимание на перенесенные травмы, присутствие онкологических заболеваний, выраженного снижения иммунитета, предшествующего бесконтрольного приема антибиотиков или иммуносупрессивных препаратов. Полная диагностическая программа включает в себя:
- Физикальный осмотр. При инвазивных формах микоза пальпация и перкуссия верхней челюсти болезненна, кожные покровы в области проекции пазухи несколько отечны и гиперемированы.
- Передняя риноскопия. При визуальном осмотре носовых ходов наблюдается выраженная отечность и гиперемия слизистых оболочек, наличие белого, серого или серо-желтого налета, выделение патологических масс. При риноспоридиозе также присутствуют грануляционные и полипозные кровоточащие очаги.
- Общий анализ крови. Отражает наличие воспалительного процесса в организме: лейкоцитоз, повышенное количество сегментоядерных нейтрофилов, увеличение СОЭ. При аллергическом варианте повышается уровень эозинофилов.
- Бактериальный посев и микроскопия. В качестве материала для исследования используются патологические выделения из носа и синусов. Их осмотр под микроскопом дает возможность уточнить вид грибов по их специфическим признакам (например – наличию псевдомицелия или перегородочных гифов), а результаты посева – определить чувствительность к препаратам.
- Пункция синусов. Выполняется для оценки характера патологических масс в полости придаточных синусов. Содержимое пазух обычно желатинообразное или творожистое, зелено-черного или бурого цвета.
- Лучевая диагностика. Используется рентгенография околоносовых пазух или КТ. Большинство неивазивных микозов проявляется утолщением слизистой оболочки и заполнением синусов патологическими массами без выраженной деструкции костной ткани. Инвазивные формы характеризуются разрушением костной ткани, при использовании контраста выявляется тромбоз региональных сосудов.
Лечение микозов носа и околоносовых пазух
Терапевтическая программа зависит от фазы и тяжести течения заболевания, сопутствующих патологий и сформировавшихся осложнений. На ранних этапах достаточно консервативной терапии в сочетании с коррекцией иммунодефицита. Тяжелые случаи требуют госпитализации стационар с дальнейшим хирургическим и медикаментозным лечением.
- Оперативное лечение. Суть хирургического вмешательства – санация околоносовых пазух, удаление пораженных слизистых оболочек, восстановление проходимости носовых ходов и входных отверстий синусов. Техника операции (гайморотомия, полисинусотомия) зависит от локализации и объема пораженных тканей.
- Медикаментозная терапия. Фармакотерапия при микозах состоит из специфических и неспецифических средств. К первым относятся антимикотические препараты местного и системного действия. Чаще всего используется флуконазол, клотримазол, тербинафин. Выбор конкретного средства зависит от результатов бактериального посева. Неспецифические мероприятия включают промывание антисептическими растворами, дезинтоксикационную терапию, введение иммуномодуляторов и кортикостероидов. С целью профилактики бактериальных осложнений назначаются антибиотики широкого спектра действия.
Прогноз и профилактика
Прогноз зависит от формы болезни. Острое инвазивное грибковое поражение характеризуется быстрым развитием опасных осложнений и высокой летальностью – 65-85%. Для хронического микоза прогноз благоприятный, однако рецидивы возникают более чем у 80% больных. Мицетома в 90-100% случаев заканчивается полным выздоровлением. Даже при адекватном лечении аллергического грибкового синусита рецидивирование отмечается более чем у 50% пациентов. Профилактика этой группы заболеваний основывается на коррекции иммунопатологических состояний, предотвращении травматических повреждений, соблюдении дозировки и схемы употребления ранее назначенных препаратов.
Лучевая диагностика меланомы носа и околоносовых пазух
а) Терминология:
1. Аббревиатуры:
• Синоназальная меланома (СИМ), меланома слизистой оболочки (МСО)
2. Определение:
• Злокачественная опухоль из клеток нервного гребня - меланоцитов слизистой оболочки полости носа, околоносовых пазух, носоглотки
б) Визуализация:
1. Общая характеристика:
• Лучший диагностический критерий:
о Т1 MPT: ↓ сигнал в полости носа
• Локализация:
о Преимущественно наружная стенка полости носа, носовая перегородка, верхнечелюстная пазуха:
- Решетчатая пазуха
• Размер:
о От • Морфология: полиповидная или на широком основании

(Слева) На рисунке в корональной плоскости изображено темное, пигментированное (с высоким содержанием меланина) объемное образование в полости носа. Показаны признаки инвазии основания черепа, глазницы и наружной стенки полости носа. Носовая перегородка отклонена без признаков инвазии. В левой верхнечелюстной пазухе находится «запертый» секрет.
(Справа) На корональной КТ в костном окне у пациента с обструкцией носа слева и носовым кровотечением визуализируется объемное образование в полости носа слева, приводящее к эрозии средней носовой раковины слева и отдельных участков наружной стенки полости носа. Нарушена пневматизация верхнечелюстной пазухи и ячеек решетчатого лабиринта слева.
2. КТ при меланоме носа и околоносовых пазух:
• КТ с КУ: диффузное контрастирование
• КТ без КУ в костном окне или КЛКТ:
о Мягкотанная опухоль с бугристыми контурами в полости носа
о Деструкция ± ремоделирование костей
4. Рекомендации по визуализации:
• Лучший метод визуализации:
о Мультипланарная МРТ
о Преконтрастная Т1 (поиск укорочения Т1)
о Для динамического наблюдения рекомендуется ПЭТ/КТ всего тела

(Слева) На аксиальной МРТ (Т1 ВИ) определяется объемное образование в полости носа слева, распроараняющееся в верхнечелюстную пазуху. Опухоль неоднородна за счет учааков укорочения Т1 и промежуточного сигнала. Укорочение Т1 на бесконтрастных изображениях может означать наличие меланина.
(Справа) На аксиальной МРТ (Т2 ВИ FS) в полости носа слева визуализируется меланома с бугристыми краями. Меланома несколько гипоинтенсивна и легко отличима от гиперинтенсивного «запертого» секрета в левой верхнечелюстной пазухе.
в) Дифференциальная диагностика меланомы носа и околоносовых пазух:
1. Синоназальный плоскоклеточный рак:
• Верхнечелюстная пазуха > полость носа
• Агрессивная деструкция костей; неоднородная структура, вариабельное контрастное усиление
2. Синоназальная неходжкинская лимфома:
• Объемное образование в полости носа с деструкцией + ремоделированием костей
• Однородное; ↓ сигнал Т2; ↑ плотность на КТ без КУ
3. Эстезионейробластома:
• Объемное образование возле решетчатой пластинки с деструкцией костей
• ± внутриопухолевые Са++ или кисты на границе опухоли и головного мозга
4. Ювенильная ангиофиброма:
• Юные пациенты мужского пола
• Задние отделы полости носа возле клиновидно-небного отверстия
г) Патология:
1. Общая характеристика:
• Этиология:
о Предполагается, но не подтверждена связь с профессиональным воздействием формалина и других химикатов
• Генетика:
о Варьирует в различных популяциях
о Мутации и/или увеличение числа копий гена KIT, усиление экспрессии белка KIT
2. Классификация меланомы носа и околоносовых пазух:
• Классификация АОКР:
о АОКР 2002 г. позволяет лучше оценить прогноз, чем АОКР 2009 г.
3. Макроскопические и хирургические особенности:
• СНМ обычно не метастазирует в регионарные лимфоузлы в первую очередь, следовательно, «сторожевые» лимфоузлы отсутствуют
4. Микроскопия:
• >10 митозов в поле зрения под большим увеличением — неблагоприятный прогноз
• Диагноз пигментной меланомы в большинстве случаев может быть установлен путем окраски гематоксилином/эозином
д) Клинические особенности:
1. Проявления:
• Типичные признаки/симптомы:
о Односторонняя прогрессирующая обструкция носа и носовые кровотечения
о Опухоль проявляется наиболее часто на стадии III или IV
• Другие признаки/симптомы:
о Иногда меланорея
о Слезотечение, боль в лице, отек
о Возможны нарушения зрения
2. Демография:
• Возраст:
о Диапазон: 20-80 лет; средний: 65 лет
• Эпидемиология:
о Редкая опухоль с нарастающей заболеваемостью
о
3. Течение и прогноз:
• В 50% при локальном контроле возникают отдаленные метастазы
• Пятилетняя выживаемость 6-40%
4. Лечение:
• Операция + лучевая терапия
е) Диагностическая памятка. Заключение:
• Оцените поражение глазницы или основания черепа
Лечение меланомы слизистой
Меланома слизистой оболочки является относительно редким заболеванием и составляет менее 1% всех меланом.

Эти образования обладают гораздо более агрессивным ростом по сравнению с кожными формами, склонны к активному метастазированию в региональные и отдаленные участки, часто рецидивируют, что и обусловливает высокие показатели смертности. Прогноз при меланомах слизистых является неблагоприятным, с пятилетней выживаемостью 10–15%.
Меланомы слизистых оболочек области головы и шеи составляют половину всех меланом слизистых. Преимущественно они локализованы в проекции верхних дыхательных путей, полости рта и глотки. Остальные формы слизистых меланом относятся к урогенитальной сфере. Распределение опухолей по локализации представлено в таблице.
| Локализация меланомы | Распространённость |
|---|---|
| Слизистая головы и шеи | 50% |
| Слизистая ректальной области | 25% |
| Слизистая женской генитальной сферы | 20% |
| Слизистая пищеварительного тракта, конъюнктивы и уретры | 5% |
По мнению учёных, в отличие от других дерматологических раков, меланома слизистых не зависит от воздействия ультрафиолета. Кроме того, для этой разновидности опухолей нет очевидных факторов риска, в том числе зависимости от семейного анамнеза.
Меланома слизистых оболочек поражает следующие органы:
- полости рта и носа;
- придаточные пазухи носа;
- трахею и бронхи;
- губы;
- глотку;
- пищевод;
- желудок;
- кишечник;
- желчный пузырь;
- аноректальную область;
- вульву и влагалище;
- уретру и мочевой пузырь;
- конъюнктиву глаза.
Для удобства меланомы слизистых иногда разделяют на три подгруппы:
- меланомы слизистой оболочки ЖКТ;
- респираторные;
- мочеполовые меланомы.
С учетом тенденции к раннему лимфогенному и гематогенному метастазированию иногда сложно установить, является опухоль слизистой первичной или метастатической. В зависимости от локализации опухоль будет обладать теми или иными особенностями. Так, например, первичные меланомы полости рта, носа, глотки, а также аноректальной и генитальной сфер вначале развиваются в радиальном направлении, увеличиваются по площади, принимая вид пятна; только потом они обретают объем, возвышаясь над поверхностью слизистой, и начинают инфильтрировать подлежащую основу.
Некоторые меланомы слизистых оболочек развиваются из клеток меланоцитов, которые присутствуют в тканевой структуре органа (губы, нос, полость рта, аноректальная область и т.д.). Развитие первичных меланом на слизистой органов, где изначально отсутствуют пигментные клетки (трахея, бронхи), можно объяснить нарушениями тканевого эмбрионального развития.
Симптомы меланомы слизистых оболочек
Симптоматика меланом слизистых существенно различается. Это связано, прежде всего, с локализацией патологического процесса.
Наиболее общие признаки пигментных опухолей слизистых оболочек:
- подозрительное пятно во рту или носовых ходах;
- необъяснимые дефекты слизистых или язвенные повреждения, которые не заживают;
- кровотечение из прямой кишки или влагалища неясной этиологии;
- геморрой, который долгое время не заживает, несмотря на лечение;
- боль в животе во время перистальтики кишечника.
При появлении какого-либо из этих симптомов необходима консультация специалиста. Меланомы слизистых оболочек способны быстро распространяться на соседние и отдаленные органы.
Излюбленной локализацией для метастазов являются:
- легкие;
- печень;
- головной мозг;
- лимфатические узлы;
- кишечник.
Меланома рта
Меланома слизистой рта является редкой опухолью с частотой 0,2 на 1 млн. Оральные меланомы происходят из меланоцитов, обычно присутствующих в полости рта. Эта форма наиболее распространена среди пожилых людей. Развивается она чаще всего на новом месте и только в 30% случаев формируется в месте ранее существовавшего пигментного образования. Меланома во рту наиболее часто локализуется на мягком и твердом нёбе, слизистой десны верхней челюсти, реже – языка, миндалин и язычка. Первоначально опухоль протекает бессимптомно, представляя собой плоское пятно. В процессе развития возникают отёк, изъязвление, кровоточивость, зубная боль.
Меланома рта даёт метастазы в региональные лимфоузлы у 25% пациентов.
Меланома носа
Первичная респираторная меланома наиболее распространена в полости носа, околоносовых пазухах и очень редко в гортани и слизистой трахеобронхиального дерева. Опухоль слизистой носа, в отличие от меланомы кожи носа, является редким заболеванием, его частота составляет 0,3 на 1 млн (для придаточных пазух – 0,2 на 1 млн). Излюбленная локализация меланомы на слизистой носа – перегородка и боковые стенки, а среди околоносовых синусов наиболее часто вовлекаются в процесс пазухи верхней челюсти и решетчатой кости.
Заболевание чаще встречается у пожилых людей. Распространенные симптомы: односторонняя заложенность носа, носовые кровотечения. Большинство опухолей представлено в виде полипоидной, коричневой или черной пигментированной массы, часто изъязвленной, нередко встречаются беспигментные формы.
Меланома губы
Меланома в области губ зачастую развивается из уже существующего пигментного пятна. Опухоли, которые начинают свой рост с неизменённой слизистой, встречаются реже. Поначалу меланома на губе представляет собой пигментное пятно, которое постепенно увеличивается в объеме, становится плотным, а затем инфильтрирует подлежащую основу.
Урогенитальная меланома
Хоть и редко, но меланома может возникать практически в любой части урогенитального тракта, включая вульву, влагалище, матку, уретру и мочевой пузырь. Пигментные опухоли слизистых оболочек мочеполовой сферы чаще встречаются среди женщин. На гениталии приходится 18% всех меланом слизистых, мочевых путей – 3%. Среди женских половых путей наиболее подвержена опухоли вульва, с частотой 0,1 на 1 млн.
Меланома преимущественно развивается на больших половых губах и клиторе. Пожилые женщины болеют чаще. Наиболее распространённые симптомы: кровотечение, боль, зуд, раздражение, патологические выделения.
Диагностика меланомы слизистых оболочек
При диагностике меланомы слизистых довольно часто случаются ошибки. Из-за скрытого положения и отсутствия заметных ранних признаков выявление меланомы слизистой обычно задерживается.
При постановке диагноза первичной меланомы, особенно редкой локализации, важно исключить возможность метастатического поражения из первичной кожной или глазной меланомы.
При подозрении на меланому слизистых оболочек проводятся эндоскопические исследования:
- трахеобронхиального дерева;
- верхних дыхательных путей;
- пищевода и желудка;
- толстого кишечника;
- ректального сегмента.
Во время диагностической процедуры врач берет на анализ фрагменты изменённой слизистой. Биопсия образца подозрительной ткани и последующее патогистологическое исследование являются основным моментом в диагностике слизистых меланом.
Амеланотические формы опухолей, которые нередко встречаются среди поражений слизистой оболочки, дополнительно затрудняют диагностику. Иммуногистохимическое окрашивание материала с целью выявления опухолевого белка (S-100, HMB-45, Melan-A, Mart-1) и фермента тирозиназы помогает в диагностике беспигментных форм опухоли.
При подозрении на распространённость и метастазирование слизистых меланом проводится сканирование организма с визуализацией: КТ, ПЭТ КТ, МРТ.
На сегодняшний день хирургическое лечение является основным вариантом лечения и может сочетаться с адъювантной лучевой терапией. Вместе с тем, прогноз при меланомах слизистых оболочек остается неудовлетворительным. Локальные рецидивы происходят в половине случаев. Лучевая терапия при меланомах слизистой головы и шеи несколько стабилизирует состояние, но не улучшает выживаемость при распространённых формах заболевания.
Одновременно с этим, из-за сложной топографии некоторых опухолей, не всегда удается выполнить биопсию сторожевого лимфатического узла.
Для урогенитальных меланом наиболее доступным является оперативный метод. Комбинация широкого иссечения опухоли после курса облучения дает неплохие результаты только на начальных стадиях меланомы.
Хорошие перспективы для лечения распространённых меланом слизистых оболочек, осложнённых метастазами в отдаленные органы, имеют иммунотерапия и target-терапия. Генотипирование опухоли, выявление BRAF-мутаций в меланоме позволяют внедрять в клиническую практику новое поколение противоопухолевых препаратов.
Такие средства, как Ipilimumab и Pembrolizumab, вводятся в онкологические протоколы, что дает возможность рассчитывать на сокращение темпов опухолевого роста и увеличение продолжительности жизни пациентов с меланомой слизистых оболочек.
Прогноз меланом слизистых оболочек
Помимо таких характеристик, как клиническая стадия и толщина опухоли до 5 мм, имеется ряд дополнительных факторов, предопределяющих прогноз заболевания:
- клеточный тип опухоли;
- изъязвление;
- митотическая скорость;
- пигментация;
- некроз;
- сосудистая инвазия.
Как предотвратить меланому слизистых оболочек?
На сегодняшний день нет указаний на наличие предрасполагающих факторов. Достоверной информации о том, как именно развиваются слизистые меланомы, тоже нет. Поскольку специальные меры по профилактике этого типа рака еще не определены, при возникновении малейших подозрений на опухолевое повреждение слизистых оболочек, следует немедленно проконсультироваться с врачом.
Читайте также:
- Генетика сложных талассемий. Наследование
- Венесекция для венозной катетеризации сердца. Показания к артериальной катетеризации сердца
- Обзор экстрапирамидных и мозжечковых расстройств
- Гипотензия при острой сердечной недостаточности. Перегрузка объемом при сердечной недостаточности
- Истирание коронок зубов. Повреждения эмали и дентина
