Лучевая диагностика патологии желудочков и цистерн головного мозга
Добавил пользователь Евгений Кузнецов Обновлено: 28.11.2025
МРТ головного мозга. Т2-взвешенная аксиальная томограмма. Арахноидальная киста. Цветовая обработка изображения.
Кисты головного мозга в большинстве своем относятся к аномалиям развития. Некоторые образования, возникшие на почве нарушения развития, имеют сходные с кистами черты.
Эпидермоидные кисты (эпидермоиды) – доброкачественные врождённые образования. Они происходят из эктопических эпидермальных клеток и развиваются в период закрытия, в 3-5 нед. эмбриогенеза, как следствие неполного разделения нейрональной и покровной эктодермы. Частота составляет около 1% от внутричерепных образований. Обычно диагностируются в возрасте 25 – 45 лет. Локализация эпидермоидов может быть любой, но типичная – мосто-мозжечковый угол (третье по частоте образование этой области), предмостовая цистерна, параселлярная область, четверохолмие и желудочковая система, очень редко в полушариях, спинном мозге и интрадиплоидно. Растут они интра- или экстрадурально, экспансивно, медленно, сдавливая ствол мозга, внутричерепные нервы, но не разрушая кость. Иногда захватывают сосуды и нервы. По характеру роста их можно отнести к опухолевидным образованиям. Вокруг эпидермоидов нередко развивается асептическое воспаление, а при разрыве содержимое (жир, кератин) прорывается в ликворные пространства. Клинические проявления зависят от локализации и масс-эффекта.
При МРТ головного мозга картина неспецифическая и зависит от содержимого кисты. Если она не содержит жира, то имеет ликворную интенсивность сигнала . В таком случае эпидермоидная киста трудно отличима от арахноидальной, хотя, как правило, не столь однородная. На МРТ типа FLAIR и диффузионно-взвешенных МРТ изображениях содержимое эпидермоидов светлее ликворного. Жировое содержимое, такие эпидермоиды еще называют холестеатомой, приводит к высокому сигналу на Т1-взвешенных МРТ головного мозга. Видимо, он обусловлен липидами, но не холестеролом. На Т2-взвешенных МРТ головного мозга он менее интенсивен чем ликвор. Контуры эпидермоидов всегда четкие. Холестеатомы составляют всего 3-5% от эпидермоидов. В 15-20% случаев встречается кальцификация по переферии кисты. Редко наблюдается контрастирование стенок.
МРТ головного мозга. Т1-взвешенные корональная и сагиттальная МРТ. Эпидермоидная киста левой височной доли.
Дермоидные кисты встречаются реже эпидермоидных, составляя около 0,3 % от внутричерепных образований. Обычно выявляются в возрасте между 10 и 20 годами. Морфологически от эпидермоидов их отличает наличие эктодермальных элементов – волосяных фолликулов, потовых желёз и т.д. Типично они расположены по средней линии (в отличие от эпидермоидов, которые чаще внеосевые): в супраселлярной цистерне, субфронтально, вокруг моста и, очень редко парапиниально, периорбитально, в IV желудочке, в области конского хвоста и интрадиплоидно. От эпидермоидных кист на МРТ головного мозга их отличает только выраженная неоднородность структуры, кроме того, они всегда яркие на Т1-взвешенных МРТ головного мозга за счёт большого содержания липидов. При разрыве и прорыве в субарахноидальное пространство в нём появляется уровень, на Т1-взвешенных МРТ головного мозга светлый жир плавает на ликворе.
Липома представляет собой скопление в субарахноидальном пространстве зачаточных жировых клеток с примесью коллагена. Происходят липомы из остатков примитивной эмбриональной оболочки. Эта мальформация оболочек мозга связана с нарушением дифференцировки мезенхимы на мягкую мозговую оболочку и субарахноидальное пространство. Частота липомы составляет менее 0.5% от внутричерепных образований. Обычно липомы локализуется в мозолистом теле, в межполушарной щели, воронке гипофиза и гипоталамусе, реже вокруг червя мозжечка и пластины четверохолмия и мосто-мозжечковом углу и Липомы мозолистого тела сочетаются с его агенезией и в 60% случаев с распространением на сосудистое сплетение. При МРТ головного мозга липома четко очерчена, без отека вокруг и масс-эффекта, кость не разрушает. Структура образования чаще однородная, жировой интенсивности сигнала – то есть выраженно гиперинтенсивная на Т1-взвешенных МРТ и немного менее интенсивная по отношению к ликвору на Т2-взвешенных МРТ. Иногда встречаются неоднородные липомы с участками низкого сигнала от кальцинатов и сосудов, проходящих ее насквозь. При сомнениях в диагнозе надо выполнить МРТ головного мозга с подавлением жира или можно сделать КТ. На КТ липома всегда резко гиподенсна и может содержать включения кальция.

МРТ головного мозга. Сагиттальная Т1-взвешенная МРТ. Липома мозолистого тела.
Эпендимальные кисты встречаются очень редко. Они представляют собой врождённую отшнуровку внутри желудочков или цистернах . На МРТ головного мозга контур кисты четкий, сигнал ликворной интенсивности или чуть светлее за счет отсутствия пульсации и примеси белка, структура однородная. В отличие от кист прозрачной перегородки она не расщеплена, а смещена.
Арахноидальные кисты представляют собой скопление ликвора между листками расщепленной паутинной оболочки. Арахноидальная киста обычно не сопровождается другими мальформациями. Незначительная часть арахноидальных кист имеет приобретенное происхождение – следствие лептоменингита, операции или кровоизлияния. Частота составляет около 1% от внутричерепных образований. Соотношение полов М:Ж, как 4:1. Типичная локализация – средняя черепная ямка (в области Сильвиевой борозды 50%), межполушарная щель, мосто-мозжечковый угол (11%), за скатом или на уровне четверохолмия (10%), в области червя мозжечка (9%), реже в области межножковой и предмостовой цистерн (3%), а также супраселлярной и хиазмальной цистерн. Ретроцеребеллярная арахноидальная киста довольно часто встречаются за мозжечком и отличима от mega cisterna только по неизменённой задней черепной ямке. Содержимое кисты чисто ликворное, стенки гладкие, чётко очерченные, внутри кисты могут быть перегородки. Мелкие арахноидальные кисты очень трудно увидеть. Меняя ширину окна и его уровень на Т1-взвешенных МРТ изображениях можно заметить, что киста чуть светлее ликвора. Дифференциальная диагностика с эпидермальными кистами лучше осуществляется с помощью МРТ последовательности FLAIR. Эпидермальные кисты становятся яркими, в отличие от гипоинтенсивных арахноидальных.
Нейроглиальные (нейроэпителиальные) кисты – врождённые кисты различной этиологии, локализующиеся в паренхиме мозга или в области сосудистого сплетения желудочков. Обычно округлые, с гладкими стенками. Очень часто такие кисты сочетаются с аномалиями развития: отсутствием прозрачной перегородки и полимикрогирией. При МРТ головного мозга содержимое кист ликворное, иногда с небольшой примесью белка.
Коллоидная киста – это врождённое нейроэпителиальное образование. Коллоидная киста выстлана эпителием и имеет фиброзную капсулу. Она составляют около 1-2% объемных внутричерепных образований. Обычно диагностируются в возрасте между 30 и 50 годами. При МРТ головного мозга видно, что киста всегда расположена в переднее-верхнем отрезке III желудочка между отверстиями Монро. Контур ее четкий, форма округлая, содержимое бывает неоднородное. Размер от 3 мм до 4 см, при больших размерах она закрывает отверстия Монро и вызывает окклюзионную гидроцефалию. Сигнал зависти от примеси белка к ликвору. При наличии белкового мукоидного содержимого киста гиперинтенсивна на Т1-взвешенных МРТ и гипоинтенсивна на Т2-взвешенных МРТ, но встречаются варианты гиперинтенсивные на томограммах обоих типов кольцевидные или смешанные . Контрастирования не наблюдается.
КТ и МРТ головного мозга. Коллоидная киста III желудочка.
Киста кармана Ратке представляет собой редко встречающееся образование из остатков эмбриональной эктодермы (щель Ратке), расположенное между долями гипофиза. Выявляется в любом возрасте, но чаще в 50-60 лет. Клинические проявления связаны с масс-эффектом. При головного мозга выявляется небольшая (3-5 мм) киста с четким контуром, без отека вокруг, однородная по структуре. Сигнал зависит от содержимого. При серозном содержимом сигнал типично жидкостный, при мукоидном киста светлая на Т1-взвешенных МРТ. В редких случаях киста достигает больших размеров и даже выходит за пределы седла. Стенка кисты иногда усиливается при контрастировании.
МРТ головного мозга. Т2-взвешенная корональная МРТ. Киста кармана Ратке.
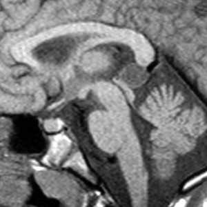
Пинеальная киста расположена в проекции шишковидной железы. Встречается с частотой 4-11%. Размеры обычно не превышают 1 см, но изредка встречаются больших размеров. В таких случаях она вызывает окклюзионную гидроцефалию. При головного мозга она имеет все признаки кисты с примесью белка в жидкости, то есть немного светлая на Т1-взвешенных. Изредка встречается геморрагическое содержимое. Киста может контрастироваться по периферии.

МРТ головного мозга. Сагиттальная Т1-взвешенная МРТ. Пинеальная киста.
Кисты средней линии – киста прозрачной перегородки (cavum septi pellucidi), полость Верге (cavum Vergae) и киста промежуточного паруса (cavum veli interpositi) – являются нормальными структурами головного мозга плода. В течение 6 месяцев после рождения у большинства людей они запустевают, но могут и сохраниться, визуализируясь при этом на МРТ головного мозга. По-видимому, эти полости не имеют клинического значения и относятся к случайным находкам при томографии. Киста прозрачной перегородки (еще называют V желудочком) является медиальной стенкой боковых желудочков и ограничена спереди коленом мозолистого тела, сверху мозолистым телом и сзади столбами свода . Полость Верге представляет собой продолжение кисты прозрачной перегородки кзади и расположена между телами желудочков . Обычно обе кисты сочетаются. Киста промежуточного паруса расположена в крыше III желудочка (tela choroidea), между треугольниками боковых желудочков на уровне отверстий Монро. Она ограничена сверху мозолистым телом, cзади цистерной четверохолмия и снизу III желудочком.
При МРТ в СПб мы обращаем внимание на возможность не только врожденных, но и редких состояний, к которым относятся приобретенные кисты головного мозга, причиной которых могут быть:
- последствия ОНМК
- опухолевые кисты
- паразитарные кисты

МРТ головного мозга. Корональная Т1-взвешенная МРТ. Многокамерные эхинококковые кисты.
Кисты головного мозга одинаково хорошо видны в высоких полях и низкопольных открытых МРТ. МРТ СПб дает место выбора выполнения МРТ.
Лучевая диагностика патологии желудочков и цистерн головного мозга
Диагностика внежелудочковой обструктивной гидроцефалии по КТ, МРТ головного мозга
а) Терминология:
1. Сокращения:
• Внежелудочковая обструктивная гидроцефалия (ВнеЖОГ)
2. Синонимы:
• «Сообщающаяся» гидроцефалия
3. Определение:
• Расширение желудочков вследствие несоответствия между образованием и резорбцией СМЖ
б) Визуализация:
1. Общие характеристики внежелудочковой обструктивной гидроцефалии:
• Лучший диагностический критерий:
о Расширение всех желудочков: боковых, III и IV
о ± аномальная плотность ликвора в цистернах/аномальная интенсивность сигнала от него ± контрастирование лептоменинкс
• Локализация:
о Обструкция в дистальных по отношению к выходным отверстиям IV желудочка отделах
• Размеры:
о Отношение расстояния между лобными рогами к расстоянию между внутренними пластинками свода черепа на этом уровне > 0,33
о Ширина теменных рогов > 3 мм
• Морфология:
о Расширение всех желудочков
- Пропорциональное, симметричное
- На фоне отсутствия внутрижелудочковой обструкции

(Слева) Бесконтрастная КТ, аксиальный срез: в базальных цистернах, а также в сильвиевых бороздах определяется острое субарахноидальное кровоизлияние. Кроме того, отмечается внежелудочковая обструктивная гидроцефалия на ранней стадии ее развития с легким снижением плотности мозговой ткани в перивентрикулярных отделах вследствие интерстициального отека.
(Справа) МРТ, постконтрастное Т1-ВИ, аксиальный срез: определяется протяженное контрастирование лептоменинкс в базальных цистернах при нейросаркоидозе. Обратите внимание сообщающуюся гидроцефалию на ранней стадии ее развития с расширением III желудочка и височных рогов боковых желудочков.
2. КТ признаки внежелудочковой обструктивной гидроцефалии:
• Бесконтрастная КТ:
о Вариабельное расширение желудочков ± сужение базальных цистерн
о При субарахноидальном кровоизлиянии (САК) выполните поиск гиперденсного компонента в СМЖ
• КТ с контрастированием:
о Выполните поиск контрастного усиления борозд/цистерн
3. МРТ признаки внежелудочковой обструктивной гидроцефалии:
• Т1-ВИ:
о «Грязная» СМЖ, расширение желудочков
• Т2-ВИ:
о Расширение желудочков ± интерстициальный отек в перивентрикулярном белом веществе
о Сужение борозд полушарий
о Гиперинтенсивный сигнал от СМЖ-САК, экссудат
• FLAIR:
о ± перивентрикулярный интерстициальный отек белого вещества, визуализируемый лучше, чем на Т2-ВИ
• Постконтрастные Т1-ВИ:
о ± контрастное усиление борозд/цистерн
- Менингит, канцероматоз и т.д.
• 3D CISS/FIESTA:
о Обеспечивает высокоинформативную визуализацию ликворных пространств и помогает исключить внутрижелудочковую обструкцию
4. Рекомендации по визуализации:
• Лучший инструмент визуализации
о МРТ с получением постконтрастных Т1-ВИ
о 3D CISS/FIESTA

(Слева) МРТ, Т2-ВИ, аксиальный срез: у пациента 21 года с давно перенесенным менингитом в анамнезе определяется хроническая «компенсированная» внежелудочковая сообщающаяся гидроцефалия с выраженным расширением боковых желудочков и III желудочка.
(Справа) МРТ, Т1-ВИ, сагиттальный срез: у того же пациента отмечается очевидное расширение водопровода мозга и отверстия Маджанди с расширением IV желудочка. При длительной «компенсированной» гидроцефалии перивентрикулярный интерстициальный отек, как и в данном случае, отсутствует.
в) Дифференциальная диагностика внежелудочковой обструктивной гидроцефалии:
1. Внутрижелудочковая обструктивная гидроцефалия:
• Диффузное /локальное расширение желудочковой системы вследствие обструкции в проксимальных по отношению к выпускным отверстиям IV желудочка отделах
2. Расширение желудочков вследствие потери объема мозговой паренхимы:
• Нейродегенеративное заболевание, церебрит, гипоксия/ишемия
• Диффузное/локальное расширение борозд, цистерн
3. Нормотензивная гидроцефалия:
• Расширение желудочков на фоне нормального давления СМЖ
• Борозды в норме/минимально расширены
• Прогрессирующая деменция, нарушение походки, недержание мочи
г) Патология:
1. Общие характеристики внежелудочковой обструктивной гидроцефалии:
• Этиология:
о Препятствие для потока СМЖ на уровне базальных цистерн или арахноидальных ворсинок:
- Также уменьшение выраженности пульсации СМЖ вызывает снижение его резорбции в венозную систему
о САК: самая частая причина ВнеЖОГ
о Другие причины включают гнойный менингит, опухолевый или воспалительный экссудат:
- Все приводят к фиброзным изменениям в субарахноидальном пространстве, уменьшению выраженности пульсации СМЖ
2. Макроскопические и хирургические особенности:
• Субарахноидальное кровоизлияние (САК), экссудат могут приводить к фиброзу/окклюзии субарахноидального пространства
• Генерализованное расширение желудочков
д) Клиническая картина:
1. Проявления внежелудочковой обструктивной гидроцефалии:
• Наиболее частые признаки/симптомы:
о Головная боль, отек диска зрительного нерва
о Тошнота, рвота, диплопия (паралич черепных нервов)
2. Течение и прогноз:
• При отсутствии шунтирования или купирования причины гидроцефалии ее степень обычно прогрессирует
3. Лечение:
• Отведение СМЖ (шунтирование)
• Купирование причины гидроцефалии
е) Диагностическая памятка. Обратите внимание:
• ВнеЖОГ: генерализованное расширение желудочков с компонентом аномальной плотности/интенсивности сигнала в базальных цистернах ± контрастирование лептоменинкс
ж) Список литературы:
1. Fink KR et al: Imaging of Nontraumatic Neuroradiology Emergencies. Radiol Clin North Am. 53(4):871—890, 2015
2. Flannery AM et al: Pediatric hydrocephalus: systematic literature review and evidence-based guidelines. Part 1: Introduction and methodology. J Neurosurg Pediatr. 14 Suppl 1:3-7, 2014
3. Grunwald IQ et al: Aneurysmal SAH: current management and complications associated with treatment and disease. J Invasive Cardiol. 26(1):30—7, 2014
Диагностика внутренней обструктивной гидроцефалии по КТ, МРТ головного мозга
а) Терминология:
1. Сокращения:
• Внутренняя обструктивная гидроцефалия (ВЖОГ):
о Острая ВЖОГ (оВЖОГ)
о Хроническая «компенсаторная» ВЖОГ (хрВЖОГ)
2. Синонимы:
• «Несообщающаяся» гидроцефалия
3. Определение:
• Расширение желудочков, обусловленное обструкцией проксимальных по отношению к IV желудочку выходных отверстий (Люшка, Мажанди)
1. Общие характеристики внутренней обструктивной гидроцефалии:
• Лучший диагностический критерий:
о оВЖОГ:
- «Раздутые» желудочки с нечеткими («стушеванные») их границами
о хрВЖОГ:
- «Раздутые» желудочки без перивентрикулярного «гало»
• Размеры:
о Отношение расстояния между лобными рогами к расстоянию между внутренними пластинками свода черепа на этом уровне > 0,33
о Ширина височных рогов > 3 мм
• Морфология:
о Локализация, продолжительность обструкции варьируют
о Глобальное/фокальное расширение желудочка(ов) + увеличение ВЧД
о Расширение отделов желудочковой системы, проксимальных по отношению к участку обструкции
о Выполните поиск расширения переднего углубления III желудочка

(Слева) КТ с контрастированием, аксиальный срез: определяется подострый инфаркт мозговой ткани в бассейне кровоснабжения левой задней нижней мозжечковой артерии, обусловливающий масс-эффект на IV желудочек и приводящий к обструктивной гидроцефалии.
(Справа) МРТ, Т2-ВИ, аксиальный срез: у пациента с импиджмент-синдромом мозолистого тела после шунтирования по поводу тяжелой ВЖОГ визуализируются шунт, субдуральные скопления жидкости с обеих сторон и гиперинтенсивные полосовидные участки в мозолистом теле с менее выраженными изменениями в перивентрикулярном БВ.
2. КТ признаки внутренней обструктивной гидроцефалии:
• Бесконтрастная К:Т
о Выраженное расширение желудочков в проксимальных по отношению к участку обструкции отделах
- оВЖОГ:
«Раздутые» желудочки с гиподенсным перивентрикулярным «гало»
- хрВЖОГ:
«раздутые» желудочки без перивентрикулярного «гало»
о Компрессия, облитерация базальных цистерн, борозд
3. МРТ признаки внутренней обструктивной гидроцефалии:
• Т1-ВИ:
о Расширение боковых желудочков
о Истончение мозолистого тела (МТ) и его поджатость со стороны желудочков:
- Может происходить его компрессия серпом мозга
- Такое воздействие на него может вызвать некроз от давления
о Смещение книзу свода мозга, внутренних мозговых вен (ВМВ)
о Расширение III желудочка, часто наблюдается его грыжевое выпячивание в просвет расширенного седла
о Воронкообразна форма сильвиева водопровода является признаком его стеноза
• Т2-ВИ:
о оВЖОГ:
- Наблюдаются «пальцы» ликвора, распространяющиеся в пе-ривентрикулярное белое вещество (БВ), которые наиболее выражены вокруг рогов желудочков (перивентрикулярное «гало»)
- Турбулентный ток СМЖ
- Часто наблюдается отсутствие участков потери сигнала за счет «эффекта потока» в области водопровода мозга
- Возможно повышение интенсивности сигнала от МТ о хрВЖОГ:
- Расширение желудочков, нормальное давление СМЖ
- Перивентрикулярное «гало» отсутствует
- Может наблюдаться повышение интенсивности сигнала от МТ после декомпрессии (в 1 5% случаев после шунтирования при ВЖОГ)
о Тонкосрезовые Т2-ВИ, изображения в режиме FIESTA или CISS:
- Высокоинформативная визуализация ликворных пространств
- Может позволить выявить деликатные аномальные изменения, не обнаруживаемые на стандартных последовательностях
• Постконтрастные Т1-ВИ:
о Возможно накопление контраста новообразованием, вызывающим ВЖОГ
о оВЖОГ может вызывать стаз в сосудах лептоменинкс, появление его контрастирования
- Может имитировать менингит, метастазы
4. Данные других методов исследования:
• Контрастная вентрикулография:
о МРТ/КТ для определения места обструкции, состояние вентрикулостомий III желудочка
о МРТ может использоваться для оценки характера тока СМЖ
• Фазово-контрастная МРТ с кардиосинхронизацией:
о Может наблюдаться отсутствие тока СМЖ в водопроводе мозга
5. Рекомендации по визуализации:
• Лучший инструмент визуализации:
о МРТ с контрастным усилением для оценки причины обструкции ликворных путей
• Совет по протоколу исследования: О 3D FEISTA/CISS:
- Уменьшение артефакта оттока СМЖ
- Позволяет более отчетливо визуализировать контур желудочков, перегородки

(Слева) МРТ, Т1-ВИ, сагиттальный срез: в верхней мозжечковой цистерне определяется крупная арахноидальная киста, оказывающая выраженный масс-эффект на пластинку четверохолмия и водопровод мозга. Отмечаются расширение III и боковых желудочков, истончение мозолистого тела.
(Справа) MPT, FLAIR, аксиальный срез: определяется массивное расширение III и боковых желудочков вследствие объемного образования ликворной интенсивности сигнала в III желудочке. Кроме того, отмечается пери вентрикулярный интерстициальный отек. При хирургическом вмешательстве была обнаружена и фенестрирована эпендимальная киста III желудочка.
в) Дифференциальная диагностика внутренней обструктивной гидроцефалии:
1. Расширение желудочков вследствие потери объема мозговой паренхимы:
• Старый термин: гидроцефалия ex vacuo (не используется)
• Обусловленное возрастом (объем желудочков увеличивается на 1,2-1,4 мл/после 60 лет):
о Ишемия/инфаркт, травма, инфекция, токсическое воздействие
• Тупой угол передних рогов (> 110°)
• Диффузное/локальное расширение борозд, цистерн
• Боковые желудочки в норме могут быть асимметричны (связано с межполушарной асимметрией, но не полом)
• Может коррелировать с некоторыми психическими заболеваниями (например, шизофренией)
2. Нормотензивная гидроцефалия:
• Прогрессирующая деменция, нарушение походки, недержание
• Расширение желудочков на фоне нормального давления СМЖ
• Борозды в норме/минимально расширены
• Повышенное перемещения СМЖ через водопровод мозга
• Пик лактата по данным МР-спектроскопии
3. Наружная обструктивная гидроцефалия (ВнеЖОГ):
• Расширение желудочков вследствие несоответствия между продукцией СМЖ и ее резорбцией
• Снижение резорбции СМЖ через арахноидальные ворсинки
• Наиболее частая причина-субарахноидальное кровоизлияние:
о Другие: менингит, канцероматоз, гранулематозное заболевание
4. Хориоидпапиллома:
• Составляет 2-5% внутричерепных опухолей у детей
• Ребенок < 5 лет с ↑ ВЧД
• Наиболее часто в треугольнике боковых желудочков
• Может быть причиной гиперпродукции СМЖ
• Кровоизлияние, распространение опухоли могут вызвать ВЖОГ
5. Длительная открытая вентрикуломегалия у взрослых:
• Развитие гидроцефалии в раннем детстве или ее длительное существование и прогрессирование вплоть до взрослого возраста
• Выраженное расширение желудочков, высокое ВЧД
6. Доброкачественное расширение субарахноидальных пространств и желудочков:
• Встречается в сочетании с макроцефалией у младенцев
• Не связано с задержкой развития

(Слева) MPT, FLAIR, аксиальный срез: у пациента с герминомой в области гипофиза определяется внутрижелудочковая обструктивная гидроцефалия с расширением III и боковых желудочков. Обратите внимание на пери вентрикулярные гиперинтенсивные зоны вследствие трансэпендимального тока СМЖ.
(Справа) MPT, Т1 -ВИ, сагиттальный срез: определяются характерные признаки стеноза водопровода мозга в виде воронкообразной формы сильвиева водопровода, отсутствия изменений со стороны IV желудочка, истончения и растяжения мозолистого тела с нисходящим смещением дна III желудочка.
1. Общие характеристики внутренней обструктивной гидроцефалии:
• Этиология:
о Нормальная продукция СМЖ = 0,20-0,35 мл/мин:
- Емкость боковых, III желудочков у взрослых = 20 мл
- Суммарный объем СМЖ у взрослых = 120 мл
о Внутренняя обструкция ликворотока; по мере продолжающейся продукции СМЖ растет и ее давление внутри желудочков
о Желудочки расширяются, компримируют смежную мозговую паренхиму; растяжение может привести к разрыву/открытию эпендимальных клеточных соединений
о Увеличение количества интерстициальной жидкости в перивентрикулярных отделах → разрушение миелина
о Причина зависит от локализации обструкции:
- Отверстие Монро:
Коллоидная киста
Субэпендимальный узел, комплекс туберозного склероза
Субэпендимальная гигантоклеточная астроцитома
- III желудочек:
Макроаденома гипофиза
Краниофарингиома
- Сильвиев водопровод:
Стеноз водопровода
Глиома крыши среднего мозга
Опухоли пинеальной области
- IV желудочек:
Медуллобластома, эпендимома
Глиома, пилоцитарная астроцитома, гемангиобластома
Инфаркт мозжечка
Врожденные аномалии (мальформации Киари, Дэнди-Уокера, ромбэнцефалосинапсис)
- Метастазы, нейроцистицеркоз или менингиома могут иметь различную локализацию внутри желудочков
• Генетика:
о Известен только один ген, связанный с развитием гидроцефалии у людей-ген молекулы клеточной адгезии L1 (L1CAM):
- Расположен на Х-хромосоме (Xq28)
2. Макроскопические и хирургические особенности:
• Локальное/генерализованное расширение желудочковой системы
• Вторичное поражение эпендимы, смежного БВ
• Вариабельные патологоанатомические изменения, зависящие от причинного фактора
3. Микроскопия:
• Расширение перивентрикулярного внеклеточного пространства
• Поражение или потеря эпендимальной выстилки; побледнение и разрежение окружающего БВ

(Слева) МРТ, Т2-ВИ, сагиттальный срез: определяется крупная гиперинтенсивная глиома пластинки четверохолмия, которая вызывает обструкцию водопровода мозга и расширение боковых и III желудочков.
(Справа) МРТ, постконтрастное Т1-ВИ, сагиттальный срез: в черве мозжечка визуализируется кистозный компонент с контрастированным интрамуральным узловым компонентом гемангиобластомы, что вызывает выраженную компрессию IV желудочка и обструктивную гидроцефалию.
1. Проявления внутренней обструктивной гидроцефалии:
• Наиболее частые признаки/симптомы:
о Головная боль, отек диска зрительного нерва (оВЖОГ)
о Тошнота, рвота, диплопия (паралич VI пары черепных нервов)
• Клинический профиль:
о Зависит от этиологии, тяжести, возраста появления
2. Демография:
• Возраст:
о Любой возраст от внутриутробного развития (врожденная гидроцефалия) до взрослого возраста
• Эпидемиология:
о Эпидемиологические данные широко варьируют в зависимости от этиологии и типа гидроцефалии
3. Течение и прогноз:
• Обычно прогрессирующее течение в отсутствие лечения
4. Лечение:
• Медикаментозное лечение для отсрочки хирургического вмешательства
• Отведение СМЖ (шунтирование), эндоскопическое вмешательство и вентрикулостомия
• Хирургическое вмешательство для облегчения первичной причины обструкции
• Наиболее частая нейрохирургическая процедура у детей = шунтирование при гидроцефалии
е) Диагностическая памятка:
1. Обратите внимание:
• Длительный акведуктальный стеноз может быть вызван медленным ростом опухои
2. Советы по интерпретации изображений:
• Размер желудочков обычно плохо коррелирует с внутричерепным давлением
• Пульсирующий ток СМЖ может обусловливать изменение интенсивности сигнала от него вплоть до имитации внутрижелудочкового объемного образования, что может вводить в замешательство
• Асимметрия желудочков может быть вариантом нормы
• При сочетании с отсутствием прозрачной перегородки у плода/новорожденного оцените наличие червя мозжечка (исключите ромбэнцефалосинапсис)
Лучевая диагностика заболеваний головного мозга у детей
Категории МКБ: Внутричерепное нетравматическое кровоизлияние у плода и новорожденного (P52), Демиелинизирующие болезни центральной нервной системы (G35-G37), Другие нарушения церебрального статуса у новорожденного (P91), Поражения плода и новорожденного, обусловленные воздействием вредных веществ, проникающих через плаценту или грудное молоко (P04), Поражения плода и новорожденного, обусловленные другими осложнениями родов и родоразрешения (P03), Поражения плода и новорожденного, обусловленные неуточненными состояниями, осложняющими беременность (P01.9), Поражения плода и новорожденного, обусловленные осложнениями беременности у матери (P01), Поражения плода и новорожденного, обусловленные осложнениями со стороны плаценты, пуповины и плодных оболочек (P02), Расстройства, связанные с продолжительностью беременности и ростом плода (P05-P08), Родовая травма (P10-P15), Судороги новорожденного (P90)
Общая информация
Краткое описание
УТВЕРЖДЕНО
Постановление
Министерства здравоохранения
Республики Беларусь
23.08.2019 № 87
КЛИНИЧЕСКИЙ ПРОТОКОЛ «Лучевая диагностика заболеваний головного мозга у детей»
1. Настоящий клинический протокол устанавливает общие требования к лучевой диагностике заболеваний головного мозга (заболевания и пороки развития центральной нервной системы) у детей в стационарных условиях.
2. Требования настоящего клинического протокола являются обязательными для юридических лиц и индивидуальных предпринимателей, осуществляющих медицинскую деятельность в порядке, установленном законодательством.
3. Для целей настоящего клинического протокола используются основные термины и их определения в значениях, установленных Законом Республики Беларусь от 18 июня 1993 г. № 2435-XII «О здравоохранении», а также следующие термины и их определения: нейросонография (далее – НСГ) – скринирующий метод визуализации структур головного мозга на основе использования высокочастотных звуковых волн до закрытия родничка у детей; магнитно-резонансная томография (далее – МРТ) – метод визуализации, применяемый в радиологии, для получения детального изображения внутренних структур на основе использования постоянного магнитного поля; компьютерная томография (далее – КТ) – метод визуализации на основе использования рентгеновского излучения и его компьютерной обработки.
4. Направление пациентов с заболеваниями головного мозга для оказания им медицинской помощи в стационарных условиях осуществляется в соответствии с пунктами 6–13 Инструкции о порядке направления пациентов для получения медицинской помощи в организации здравоохранения, утвержденной постановлением Министерства здравоохранения Республики Беларусь от 2 ноября 2005 г. № 44.
5. Лучевая диагностика проводится для уточнения диагноза и динамического наблюдения ранее полученных патологических результатов. Кратность обследования определяется состоянием пациента и значимостью изменений, выявленных при помощи методов нейровизуализации, для коррекции лечения и дополнительного обследования.
Диагностика (стационар)
ИСПОЛЬЗОВАНИЕ НСГ В КАЧЕСТВЕ МЕТОДА НЕЙРОВИЗУАЛИЗАЦИИ ДЛЯ ДИАГНОСТИКИ ЗАБОЛЕВАНИЙ ГОЛОВНОГО МОЗГА У ДЕТЕЙ В СТАЦИОНАРНЫХ УСЛОВИЯХ
6. НСГ применяется в качестве метода лучевой диагностики заболеваний головного мозга у детей в стационарных условиях организаций здравоохранения районного, межрайонного, областного и республиканского уровня.
7. НСГ используется при лучевой диагностике нозологических форм заболеваний со следующими шифрами по Международной статистической классификации болезней и проблем, связанных со здоровьем, десятого пересмотра (далее – МКБ-10):
P01.0–P01.9 Поражения плода и новорожденного, обусловленные осложнениями беременности у матери;
P02.0–P02.9 Поражения плода и новорожденного, обусловленные осложнениями со стороны плаценты, пуповины и плодных оболочек;
P03.0–P03.9 Поражения плода и новорожденного, обусловленные другими осложнениями родов и родоразрешения;
P04.0–P04.9 Поражения плода и новорожденного, обусловленные воздействием вредных веществ, проникающих через плаценту или грудное молоко;
P05–P08 Расстройства, связанные с продолжительностью беременности и ростом плода;
P10–P15 Родовая травма;
P52 Внутричерепное нетравматическое кровоизлияние у плода и новорожденного;
Р90 Судороги новорожденного;
P91 Другие нарушения церебрального статуса новорожденного.
8. НСГ осуществляют в первые 5–6 дней жизни, в 1 месяц жизни, далее – по медицинским показаниям.
9. Показания к НСГ у детей первого года жизни: недоношенность;
наличие факторов риска перинатального поражения головного мозга; неврологическая симптоматика поражения головного мозга; внутричерепная родовая травма;
воспалительные заболевания головного мозга (менингоэнцефалит, менингит); наличие 5 и более стигм дизэмбриогенеза; ДЦП и высокий риск его формирования.
10. Показания к повторной НСГ у детей первого года жизни: отсутствие положительной динамики или ухудшение состояния ребенка с наличием факторов риска перинатального поражения головного мозга; неврологической симптоматикой поражения головного мозга; внутричерепной родовой травмой; воспалительными заболеваниями головного мозга; наличием стигм дизэмбриогенеза на фоне проводимого лечения; у недоношенных детей с экстремально низкой и очень низкой массой тела при рождении – контроль за развитием внутрижелудочковых кровоизлияний, перивентрикулярных кровоизлияний, гидроцефалии.
11. Форма протокола НСГ приведена в приложении 1.
ИСПОЛЬЗОВАНИЕ МРТ В КАЧЕСТВЕ МЕТОДА НЕЙРОВИЗУАЛИЗАЦИИ ДЛЯ ДИАГНОСТИКИ ЗАБОЛЕВАНИЙ ГОЛОВНОГО МОЗГА У ДЕТЕЙ В СТАЦИОНАРНЫХ УСЛОВИЯХ
12. МРТ применяется в качестве метода лучевой диагностики заболеваний головного мозга у детей в стационарных условиях организаций здравоохранения межрайонного, областного и республиканского уровня.
13. МРТ используется при лучевой диагностике нозологических форм заболеваний со следующими шифрами по МКБ-10:
G35–G37 Демиелинизирующие болезни центральной нервной системы;
G40 Эпилепсия;
G80.0–G80.9 Детский церебральный паралич;
G81.0–G81.9 Гемиплегия;
G82.0–G82.5 Параплегия и тетраплегия;
G91.0–G91.9 Гидроцефалия;
C71.0–C71.9 Злокачественное новообразование головного мозга;
D33.0–D33.2 Доброкачественное новообразование головного мозга;
P10.0–P10.9 Разрыв внутричерепных тканей и кровоизлияние вследствие родовой травмы;
P52.0–P52.9 Внутрижелудочковое (нетравматическое) кровоизлияние;
Q00–Q07 Врожденные аномалии (пороки развития) нервной системы; Q 28.2 Артериовенозный порок развития церебральных сосудов; Q85.0–Q85.9 Факоматозы, не классифицированные в других рубриках.
14. МРТ осуществляется по медицинским показаниям в плановом порядке.
15. Показания для проведения МРТ:
детям первого года жизни однократно для детализации выявленных при НСГ
патологических структурных изменений; при внутричерепных кровоизлияниях;
уточнение характеристик артериовенозного порока развития церебральных сосудов,
выявленного по результатам компьютерной томографии; уточнение характеристик опухоли, выявленной по результатам КТ.
16. Показания для проведения повторной МРТ детям:
несоответствие тяжести клинического состояния ребенка патологическим изменениям, выявленным при НСГ, первичной КТ или МРТ; при прогрессирующем ухудшении неврологического состояния ребенка; для исключения объемных образований; для исключения демиелинизирующего процесса.
17. Противопоказания для проведения МРТ детям:
электронные импланты среднего уха; ферромагнитные импланты и конструкции; наличие кардиостимулятора.
18. Форма протокола МРТ головного мозга приведена в приложении 2.
ИСПОЛЬЗОВАНИЕ КТ В КАЧЕСТВЕ МЕТОДА НЕЙРОВИЗУАЛИЗАЦИИ ДЛЯ ДИАГНОСТИКИ ЗАБОЛЕВАНИЙ ГОЛОВНОГО МОЗГА У ДЕТЕЙ В СТАЦИОНАРНЫХ УСЛОВИЯХ
19. КТ применяется в качестве метода лучевой диагностики заболеваний головного мозга у детей в стационарных условиях организаций здравоохранения межрайонного, областного и республиканского уровня.
20. КТ используется при лучевой диагностике нозологических форм заболеваний со следующими шифрами по МКБ-10:
G80.0–G80.9 Детский церебральный паралич;
G81.0–G81.9 Гемиплегия;
G82.0–G82.5 Параплегия и тетраплегия;
G91.0–G91.9 Гидроцефалия;
P10 Разрыв внутричерепных тканей и кровоизлияние вследствие родовой травмы;
P52.0–P52.9 Внутрижелудочковое (нетравматическое) кровоизлияние; Q00–Q07 Врожденные аномалии (пороки развития) нервной системы; S06.0–S06.9 Внутричерепная травма.
21. КТ осуществляется по медицинским показаниям в плановом порядке и экстренном порядке.
22. Показания для проведения КТ детям: диагностика нарушений целостности костей черепа при черепно-мозговых травмах; визуализация кальцификатов;
визуализация внутричерепных кровоизлияний в остром периоде; оценка состояния ликворных пространств; для исключения порока развития головного мозга;
очаговая неврологическая симптоматика поражения головного мозга; прогрессирование внутричерепной гипертензии; уточнение причины смещения срединных структур, обнаруженного с помощью НСГ
(для исключения наличия оболочечного и внутримозгового кровоизлияния, опухоли); несоответствие тяжести клинического состояния ребенка патологическим
изменениям при НСГ.
23. Показания для проведения КТ (МРТ) с контрастированием (применяются рентгеноконтрастные средства):
объемные образования; сосудистые мальформации; демиелинизирующий процесс; воспалительные заболевания головного мозга и оболочек (менингит, энцефалит); динамическое наблюдение за пациентами с объемными образованиями; сосудистыми мальформациями; демиелинизирующим процессом; воспалительными заболеваниями головного мозга и оболочек (менингитом, энцефалитом); оценка эффективности лечебных мероприятий; оценка перфузии головного мозга.
24. Противопоказания для проведения КТ (МРТ) с контрастированием у детей: аллергическая реакция на контрастный препарат в анамнезе; острая почечная недостаточность; хроническая болезнь почек (стадия 2–4);
хроническая печеночная недостаточность (стадия декомпенсации, терминальная стадия); тиреотоксикоз.
25. Экстренные показания для проведения КТ у детей (в течение 12 часов после манифестации клинической картины):
черепно-мозговая травма; мозговые кровоизлияния; острое нарушение мозгового кровообращения.
26. Медикаментозная седация (медикаментозный сон) при проведении КТ (МРТ) у детей применяется в случаях, когда необходимо обеспечить неподвижность пациента во время всего исследования, а пациент самостоятельно не способен находиться в неподвижном состоянии.
27. Для применения пролонгированной инфузии лекарственных средств при МРТ исследованиях используют шприцевые дозаторы, предназначенные для эксплуатации в условиях мощного магнитного поля.
28. Подготовка пациента к КТ (МРТ) исследованию:
28.1. перед исследованием обязательно соблюдение временных ориентиров по приему пищи: твердая пища – как минимум за 6 часов (лучше – за 8 часов); вода – за 2–3 часа, грудное молоко – за 4 часа до исследования;
28.2. перед исследованием осуществляется объективный осмотр пациента анестезиологом со сбором анамнеза.
29. Для введения пациента в состояние медикаментозного сна применяются следующие группы лекарственных средств:
производные бензодиазепина;
средства для неингаляционной общей анестезии;
наркозные неингаляционные средства.
30. Для оценки уровня седации (медикаментозного сна) используются мониторинг витальных функций (частота сердечных сокращений, частота дыхания, кислородная сатурация) и специальные шкалы Ramsay и Cook.
31. При КТ (МРТ) – исследованиях проводится динамическое наблюдение за оксигенацией, вентиляцией и кровообращением с использованием пульсоксиметрии и ЭКГ-мониторинга.
32. Форма протокола рентгеновской КТ головного мозга приведена в приложении 3.
Анатомия цистерн головного мозга

Для нормальной работы и функционирования головной мозг обладает специфическими защитными функциями. Их выполняют не только кости, но и оболочки, которые напоминают капсулу с многоярусными слоями.
Последние образуются цистерны головного мозга, благодаря которым спинномозговая жидкость может нормально циркулировать. В статье пойдет речь о строении цистерн головного мозга и их основных функциях.
Общая информация о цистернах головного мозга
Мозговые оболочки имеют трехслойную структуру:
- твердый, который расположен непосредственно возле черепных костей;
- паутинный;
- мягкий, который устилает головной мозг.
Рассмотрим каждый из слоев детальнее:
- В структуре твердой оболочки имеются небольшие отростки, которые предназначены для разделения разных отделов мозга. Этот слой плотно прилегает к черепу. Самым большим отростком считается тот, который разделяет человеческий мозг на два равных полушария, внешне он напоминает полумесяц. Наверху твердого слоя располагается специальная диафрагма, она защищает головной мозг от внешних повреждений.
- После твердого слоя идет паутинный (арахноидальный). Он очень тонкий, но в это же время обеспечивает достаточную прочность. Одновременно соединяется с твердой и мягкой оболочкой. Данный слой является промежуточным.
- Мягкая оболочка или как ее еще называют мягкий листок, обволакивает сам мозг.
Между мягким и паутинным слоем существует субарахноидальная полость, в которой происходит циркуляция спинномозговой жидкости. В пространствах между извилинами мозга находится ликвор.
Цистерны — это структуры, которые образуются из углублений над межпаутинным пространством.
Функциональная нагрузка
Важно отметить, что все мозговые оболочки состоят из соединительной ткани, которая покрывает и спинной мозг, без их участия ни нервная система, ни мозг не будут полноценно функционировать. Цистерны отвечают за правильную циркуляцию ликвора. Если этот процесс нарушается, у человека начинают развиваться множественные патологии.
Виды цистерн, их характеристики, за что отвечают
Рассмотрим основные виды цистерн:
- самой большой принято считать ту, которая располагается между мозжечком и продолговатым мозгом, она носит название большой затылочной;
- межножковая заполняет область между отростками среднего мозга;
- зрительную хиазму окружает Cisterna chiasmatis, котрая проходит по ее фронтальным частям;
- обводная размещается в пространстве между верхней частью мозжечка и окципитальных долей;
- препонтинная размещается между межножковой и мозжечково-мозговой. Находится на границе субпаутинной области в спинном мозгу;
- базальные цистерны включают в себя межножковую и перекрестную, образуют пятиугольник;
- обводная цистерна находится на границе межножковой, хвостовой и четверохолмной (задняя часть), имеет нечеткую форму;
- четверохолмная цистерна находится в области мозолистого тела и мозжечка. В своей структуре имеет арханоидальные кистозные образования, которые вызывают нарушение функций черепно-мозговых нервных окончаний и давления внутри черепа;
- верхняя мозжечковая цистерна покрывает верх и перед мозжечка;
- цистерна боковой ямки размещается в латеральной области большого мозга.
Нужно отметить, что цистерны в основном располагаются спереди головного мозга. Они связаны между собой отверстиями Манаджи и Лушки, пространственные отверстия полностью наполнены ликвором.
Если рассматривать паутинный слой на примере детского организма, то можно сказать, что он имеет более нежную структуру.
У новорожденных деток объем межпаутинной области очень большой, она уменьшается по мере роста ребенка.
Важность правильного образования и движения ликвора для работы мозга
У здорового человека круговорот спинномозговой жидкости (ликвора) происходит непрерывно. Она находится не только в цистернах мозга, но и в его центральных полостях. Эти отделы носят название мозговые желудочки. Существует несколько разновидностей:
- боковые;
- третий и четвертый (соединены между собой сильвиевым акведуком).
Важно отметить, что именно четвертый желудочек напрямую связан со спинным мозгом человека. Спинномозговая жидкость выполняет такие функции:
- омывает внешнюю поверхность коркового вещества;
- циркулирует в мозговых желудочках;
- проникает в глубину мозговой ткани через полости вокруг сосудов.

Эти участки являются не только основным участком циркуляции ликвора, но и ее хранилищем. Сама по себе спинномозговая жидкость начинает свое образование в местах соединения кровеносных сосудов желудочков. Это небольшие отростки, которые имеют бархатистую поверхность и располагаются непосредственно на стенках желудочков. Существует неразрывная связь между цистерной и полостью вокруг нее. При использовании специальных щелей происходит взаимодействие главной цистерны с четвертым желудочком мозга. Таким образом, синтезируется ликвор, который через эти щели транспортируется в субарахноидальную область.
Среди особенностей движения спинномозговой жидкости выделяют:
- движение в разные стороны;
- циркуляция происходит в медленном режиме;
- на нее оказывают влияние мозговая пульсация, дыхательные движения;
- основное количество ликвора попадает в венозное русло, остаток -в лимфатическую систему;
- напрямую принимает участие в процессах обмена веществ между мозговыми тканями и органами.
Симптомы деформации
Основными признаками изменения размеров цистерн считаются: головная боль, тошнота, ухудшение зрения. По мере прогрессирования симптомов развивается серьезные осложнения.
При накоплении большого объема жидкости пациенту ставят диагноз гидроцефалии. Она бывает двух видов:
- внутренняя (ликвор накапливается в мозговых желудочках);
- внешняя (накопление наблюдается в субпаутинной области).
К основным симптомам прибавляются утренние отеки под глазами. В таком случае требуется неотложный осмотр врач для постановки точного диагноза. Во время беременности для исключения нарушений развития головного мозга у ребенка проводят обязательное ультразвуковое обследование в первом триместре.
Диагностика деформаций
Для диагностики используют современные методы магнитно-резонансной томографии и КТ. Они позволяют детально осмотреть каждую из мозговых областей и определить возможную патологию. Ранняя диагностика увеличивает положительный результат лечения.
Лечение заболеваний связанных с деформациями
При раннем выявлении деформационных процессов проводится медикаментозная терапия. Если количество скопившейся жидкости очень большое, то пациенту может потребоваться срочное хирургическое вмешательство. Для этого в черепе пациента делается небольшое отверстие, в которое помещается трубочка. С ее помощью откачивается лишняя жидкость. Сегодня становится все более популярным методом нейроэндоскопии, который проводится без применения дополнительных выводящих трубок и не причиняет вред пациенту.
Последствия заболевания

При хронической гидроцефалии больной состоит на учете у невролога и регулярно сдает необходимые анализы. Если лечение не начать вовремя, то гидроцефалия приводит к инвалидности у ребенка. Он затормаживается в развитии, плохо разговаривает, могут нарушаться функции зрения. При своевременной терапии врачи отмечают высокий процент выздоровляемости. Если деформации в цистернах мозга диагностируют во время внутриутробного развития, то, скорее всего такой ребенок родится неполноценным.
Профилактика нарушений
Большинство нарушений в развитии головного мозга случается именно во время развития плода. Нужно придерживаться следующих рекомендаций:
- стараться избегать инфекционных заболеваний, особенно в первом триместре беременности;
- с осторожностью принимать лекарства.
Для поддержания жизнеспособности пациента с деформациями цистерн врачи назначают медикаменты и регулярные обследования. При подозрении на ухудшение состояния проводится срочное хирургическое вмешательство.
Заключение
Цистерны головного мозга являются важной системой при кругообороте спинномозговой жидкости. При малейшем нарушении этого процесса у человека развиваются серьезные осложнения, которые несут опасность для его жизни. Важно вовремя выявить данную патологию, чтоб провести эффективное лечение.
Читайте также:
