Периампулярный рак - диагностика
Добавил пользователь Евгений Кузнецов Обновлено: 31.12.2025
Хирургия:
Опухоли периампулярной зоны. Злокачественные опухоли периампулярной зоны
Понятие «периампулярная зона» появилось в XVII—XIX веках. В нее вошли органы, объедененные между собой ампулой БСДПК - собственно БСДПК, головка ПЖ, дистальный отдел ОЖП и прилежащие отделы ДПК. Однако методы хирургического лечения практически не различаются в зависимости от органопринадлежности рака периампулярной зоны. Различия связаны с прогнозом заболевания и особенностями операций при начальных стадиях процесса.
При наличии отдаленных метастазов и местнораспространенных опухолях виды операций, осложнения после них, продолжительностьжизни достоверно не различаются.
Рак периампулярной зоны составляет 2-12% от всех злокачественных новообразований и 6-10% опухолей ЖКТ. В экономически развитых странах несколько последних десятилетий наблюдается неуклонный рост заболеваемости раком этой локализации. Наибольшее число заболевших - лица в возрасте старше 60 лет. Преобладание числа заболевших мужчин уменьшается в старших возрастных группах.
В последние годы отмечается рост числа опухолей БСДПК, что может быть связано с широким применением эндоскопических методов исследования верхних отделов ЖКТ.
Основной причиной развития рака БСДПК и дистального отдела ОЖП является хроническое воспаление эпителия протока (или сосочка). Причиной воспаления могут являться как врожденные, так и приобретенные состояния. Среди врожденных причин первое место занимают первичный склеро-зирующий холангит и дилатация желчных путей (кисты ОЖП, болезнь Ка-ролй), а также аномалии развития протоковой системы.

Большую роль играют различные аномалии впадения панкреатического и желчного протока в ампулу БСДПК или ДПК. Главной из приобретенных состояний является стриктура БСДПК. Кроме того, некоторыми авторами доказана взаимосвязь между ЭПСТ и развитием рака дистального отдела ОЖП.
Следствием всех этих состояний является рефлюкс и стаз дуоденального и панкреатического сока в дистальном отделе ОЖП. Это приводит к формированию кишечной метаплазии эпителия протока и развитию аденокарциномы.
Причиной развития периампулярного рака является и наследственная предрасположенность.
Злокачественные опухоли дистального отдела ОЖП более чем в 90% наблюдений представлены аденокарциномами различной степени дифференцировки. В остальных случаях встречаются самые разнообразные злокачественные новообразования, как первичные, так и метастатические. Интерес представляют наблюдения развития карциноида дистального отдела ОЖП у пациентов после ортотопической трансплантации печени по поводу первичного склерозирующего холангита и развития множественных стриктур желчных протоков.
Поражения лимфатических узлов в среднем встречаются при раке дистального отдела ОЖП в 19% наблюдений, при раке БСДПК- в 25% наблюдений.
Для описания опухолевого поражения рака периампулярной зоны применяют Международную классификацию онкологических болезней (МКБ или (CD-0). МКБ позволяет кодировать новообразования по локализации, морфологии и степени злокачественности, а также характеризовать метастатическое поражение. Выделен отдельный код для обозначения гистологической градации и степени дифференцировки опухоли.
Общепринятой (но не общеупотребительной) классификацией рака желчных протоков и БСДПК является Международная классификация по TNM. В настоящее время принята 6-я редакция, приведенная ниже.
Периампулярный рак - диагностика
Рентгенограмма, КТ, МРТ, УЗИ при раке двенадцатиперстной кишки
а) Терминология:
1. Аббревиатура:
• Рак двенадцатиперстной кишки (РДК)
2. Синонимы:
• Аденокарцинома двенадцатиперстной кишки
3. Определение:
• Первичное злокачественное новообразование слизистой оболочки двенадцатиперстной кишки
б) Визуализация:
1. Общая характеристика:
• Лучший диагностический критерий:
о Внутрипросветное объемное образование неправильной формы или поражение в виде «огрызка яблока» в области Фатеровой ампулы либо дистальнее
• Локализация:
о В 15% в первой части двенадцатиперстной кишки
о В 40% во второй части двенадцатиперстной кишки
о В 45% в дистальных отделах двенадцатиперстной кишки
• Размер:
о Обычно меньше 8 см
• Морфологические признаки:
о Полиповидное, изъязвленное объемное образование, или образование, циркулярно суживающее просвет кишки
о Внутрипросветное объемное образование с наличием множественных выбухающих участков (в виде «листа папоротника») в случае рака, возникающего в ворсинчатых опухолях

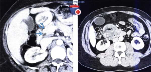
(Слева) На аксиальной КТ с контрастным усилением, выполненной мужчине 49 лет с жалоба -ми на боль в животе и нарушением функции печени, определяется расширение внутрипеченочных желчных протоков.
(Справа) На аксиальной КТ с контрастом определяется также расширение панкреатического протока. Эти изменения позволяют предположить злокачественное новообразование, расположенное в Фатеровой ампуле или возле ее, которое и послужило причиной обструкции.
2. Рентгеноскопия при раке двенадцатиперстной кишки:
• Проявления могут быть различными:
о Изъязвленное образование
о Полиповидное образование
о Круговое сужение просвета в виде «огрызка яблока»
о «Сетчатый» вид («мыльный пузырь») в случае ворсинчатых опухолей
3. КТ при раке двенадцатиперстной кишки:
• С контрастным усилением:
о Дискретное объемное образование или неравномерное утолщение стенки двенадцатиперстной кишки
о Концентрическое сужение просвета двенадцатиперстной кишки
о Наличие полиповидного внутрипросветного образования
о Лимфаденопатия (возле образования)
о Инфильтрация расположенной поблизости жировой клетчатки
о Расширение желчных протоков, также, возможно, панкреатического протока
- С наличием опухоли в периампулярной области
о Метастазы в печени, возможно, также по брюшине
4. МРТ при раке двенадцатиперстной кишки:
• МР-холангиопанкреатография:
о Может определяться дилатация панкреатического протока или желчных протоков при наличии раковой опухоли двенадцатиперстной кишки, расположенной периампулярно
5. УЗИ:
• Серошкальное УЗИ:
о Гипоэхогенное объемное образование в двенадцатиперстной кишке с эхогенной центральной частью: симптом «псевдопочки»
• Цветовая допплерография:
о Может наблюдаться инвазия опухоли в рядом расположенные сосуды
6. Рекомендации по визуализации:
• Лучший метод диагностики:
о Тонкосрезовая КТ с контрастным усилением, с растяжением просвета кишечника водой и двойным сканированием в артериальную и венозную фазу
• Выбор протокола:
о Использование мультипланарной MIP (проекции максимальной интенсивности) и объемного рендеринга

(Слева) На аксиальной КТ с контрастным усилением у этого же пациента определяется, что головка поджелудочной железы не изменена, в то время как общий желчный проток: в дистальных отделах остается расширенным.
(Справа) На аксиальной КТ с контрастом у этого же пациента определяется большое объемное образование в просвете второй и третьей части двенадцатиперстной кишки, которое обусловливает обструкцию протоков в области относительно низко расположенной Фатеровой ампулы. При эндоскопическом исследовании был подтвержден рак двенадцатиперстной кишки, развившийся в ворсинчатой аденоме.
в) Дифференциальная диагностика рака двенадцатиперстной кишки:
1. Новообразования:
• Аденокарциномы фатеровой ампулы и периампулярной области:
о Протоковый рак поджелудочной железы:
- Гиподенсное объемное образование в центральных отделах поджелудочной железы с обструкцией панкреатического протока и расширением его дистальных отделов
о Рак фатеровой ампулы
о Холангиокарцинома:
- Обструкция желчных протоков при наличии объемного образования малого размера
• Метастазы в кишечник и лимфома:
о Контактное метастазирование в случаях рака поджелудочной железы, ободочной кишки, почки или желчного пузыря
о Гематогенное метастазирование при меланоме, саркоме Капоши, раке легкого или молочной железы
о Метастазы других злокачественных опухолей в перидуоденальные лимфоузлы
• Другие первичные опухоли двенадцатиперстной кишки:
о Лимфома двенадцатиперстной кишки:
- Обычно имеет большой размер, но не вызывает обструкцию
о Злокачественная ГИСО:
- Гиперваскулярное образование, обычно экзофитное
о Карциноид двенадцатиперстной кишки
2. Воспалительные заболевания:
• Язва двенадцатиперстной кишки:
о Из-за спазма может происходить сужение просвета кишки
• Синдром Золлингера-Эллисона:
о Множественные постлуковичные язвы, утолщение складок, гиперсекреция
• Болезнь Крона:
о Обычно имеются другие участки поражения в дистальных отделах кишечника
3. Инфекционные заболевания:
• Туберкулез:
о Может быть неотличим от рака при лучевой диагностике
4. Врожденные состояния:
• Кольцевая поджелудочная железа:
о Изменения, обнаруживаемые на КТ (наличиеткани поджелудочной железы, окружающей вторую часть двенадцатиперстной кишки в виде кольца), позволяют установить диагноз
• Энтеральная дупликационная киста:
о Инкапсулированное скопление жидкости (не мягкотканное образование)
5. Травматические изменения:
• Повреждения ЖКТ:
о Гематома двенадцатиперстной кишки чаще возникает у детей
о «Заострение» складок и сужение просвета

(Слева) На аксиальной КТ без контрастного усиления, выполненной мужчине 88 лет с жалобами на раннее насыщение и снижение веса тела, определяется растянутый желудок (не показан на представленном срезе). Определяется внезапное, эксцентрическое сужение просвета второй части двенадцатиперстной кишки. Опухоль распространяется, инфильтрируя расположенную поблизости жировую клетчатку, кроме того, имеет место регионарная лимфаденопатия.
(Справа) На рентгенограмме, полученной при рентгеноскопии верхних отделов ЖКТ у этого же пациента, определяется выраженная обструкция второй части двенадцатиперстной кишки, обусловленная скиррозным образованием, представляющим собою первичный рак.
г) Патология:
1. Общая характеристика:
• Этиология:
о Последовательность «аденома-рак»:
- Наличие аденоматозных полипов является наиважнейшим фактором риска
о Факторы риска:
- Семейный аденоматозный полипоз (особенно, синдром Гарднера)
- Болезнь Крона
- Табакокурение
- Алкоголизм
• Генные нарушения:
о Изменения в онкогенах ERBB2, KRAS, CCND1, р53
• Аденокарциномы составляют 73-90% злокачественных опухолей двенадцатиперстной кишки
• Аденокарциномы тонкой кишки возникают редко, особенно, учитывая ее большую протяженность:
о 45% аденокарцином тонкой кишки возникают в двенадцатиперстной кишке
о 25% всех злокачественных опухолей тонкой кишки возникают в двенадцатиперстной кишке
2. Стадирование, градация и классификация рака двенадцатиперстной кишки:
• Система аудирования TNM американского объединенного комитета по раку (AJCC):
о Первичная опухоль(Т):
- Т1: прорастание опухолью собственной пластинки или подслизистой основы
- Т2: прорастание опухолью мышечной оболочки
- Т3: прорастание опухоли через мышечную оболочку в окружающие ткани до 2 см (включительно)
- Т4: перфорация висцерального листка брюшины опухолью, прямая инвазия в другие органы, либо распространение более чем на 2 см в прилежащие ткани
о Регионарные лимфоузлы (N):
- N0: нет вторичного поражения регионарных лимфоузлов
- N1: метастазы в регионарные лимфоузлы
о Отдаленные метастазы:
- М0: отсутствие отдаленных метастазов
- М1: отдаленные метастазы
о Стадирование:
- Стадия I: Т1 или Т2, N0, М0
- Стадия II: Т3 или Т4, N0, М0
- Стадия III: Т(любая), N1, М0
- Стадия IV: Т(любая), N (любая), М1
2. Макроскопические и хирургические особенности:
• По картине своего роста объемные образования двенадцатиперстной кишки могут быть плоскими, стенозирующими, язвенными, инфильтративными или полиповидными
• Вторичные раковые опухоли значительно чаще встречаются в проксимальных отделах тонкой кишки, чем первичный рак:
о Часто отличить первичный рак двенадцатиперстной кишки от вторичной аденокарциномы ЖКТ сложно даже при использовании специальной окраски
• Аденокарцинома проксимальных отделов тонкой кишки может свидетельствовать о синдроме семейного или мультицентрического рака
3. Микроскопия:
• Гистологическая структура схожа с таковой при других аденокарциномах ЖКТ:
о Клеточный и ядерный полиморфизм
о Дисплазия
о Изменения по типу «железа в железе»
• Большинство раковых опухолей двенадцатиперстной кишки являются умеренно дифференцированными и характеризуются различной продукцией муцина
• В 20% случаев рак двенадцатиперстной кишки является низкодифференцированным
д) Клинические особенности:
1. Проявления рака двенадцатиперстной кишки:
• Наиболее частые признаки/симптомы:
о Вторичная боль вверху живота, связанная с обструкцией
о Другие признаки/симптомы:
- Тошнота и рвота, потеря веса, анемия, кровотечение из верхних отделов ЖКТ
- Периампулярные опухоли могут проявляться желтухой
• Клинический профиль:
о Частота возникновения рака двенадцатиперстной кишки увеличивается при семейном полипозе
- При синдроме Пейтца-Егерса, Гарднера
2. Демография:
• Возраст:
о 60-70 лет:
- Средний возраст: 60 лет
о У пациентов моложе 30 лет заболеваемость низкая
• Пол:
о Несколько чаще заболевают мужчины
• Эпидемиология:
о Встречается редко и составляет менее 1% от всех новообразований ЖКТ
о Заболеваемость увеличивается с возрастом
3. Течение и прогноз:
• Распространение происходит путем прямой инвазии в ближайшие органы, а также в полость брюшины через серозные оболочки
• Опухоль метастазирует гематогенным путем в печень, легкие и кости
• По лимфатическим протокам происходит метастазирование в регионарные лимфоузлы
• У 22-71% пациентов на момент появления симптомов заболевания имеются метастазы в лимфоузлах
• Прогноз зависит от возможности хирургического удаления опухоли, поражения лимфатических узлов, и, отчасти, от степени злокачественности, определяемой при гистологическом исследовании
• Инвазия кровеносных сосудов делает опухоль нерезектабельной
4. Лечение рака двенадцатиперстной кишки:
• Варианты, риски, осложнения:
о Оперативное лечение при резектабельных опухолях:
- Панкреатодуоденэктомия при опухолях, расположенных в первой и второй части двенадцатиперстной кишки
- Резекция двенадцатиперстной кишки с созданием первичного анастомоза при опухолях третьей и четвертой части двенадцатиперстной кишки
о Нерезектабельные опухоли: паллиативное лечение (лучевая терапия, химиотерапия, стентирование)
е) Диагностическая памятка:
1. Следует учесть:
• Прорастание опухолью кровеносных сосудов, особенно в отношении новообразований второй и третьей части двенадцатиперстной кишки
• Наличие метастазов в лимфатических узлах и печени
2. Советы по интерпретации изображений:
• Большинство раковых опухолей двенадцатиперстной кишки вызывают стеноз на ограниченном участке или обструкцию; образование большого размера с наличием кавитации, более вероятно, является лимфомой или ГИСО
• Необходимо внимательное изучение двенадцатиперстной кишки в случаях, когда имеет место перидуоденальная лимфаденопатия, но не определяется явной ее причины
КТ, МРТ, УЗИ признаки рака ампулы фатерова сосочка
а) Определение:
• Неоднородная группа злокачественных эпителиальных опухолей (аденокарцином) возникающих в ампуле фатерова сосочка
1. Общая характеристика:
• Лучший диагностический критерий:
о Мягкотканное образование в ампуле фатерова сосочка
о Симптом «двойного протока» с обструкцией общего желчного протока (ОЖП) и протока поджелудочной железы (ППЖ)
• Локализация:
о Область ампулы фатерова сосочка или слизистая оболочка периампулярного отдела двенадцатиперстной кишки
• Морфология:
о Хорошо отграниченное образование с бугристыми контурами или объемное образование инфильтративного характера, плохо отграниченное от окружающих тканей

(Слева) На корональной КТ с контрастным усилением визуализируется полиповидное объемное образование (рак) в ампуле фатерова сосочка. Видна также часть билиарного стента ЕЕ. Изображения в корональной плоскости лучше всего позволяют визуализировать ампулу и оценить вероятное объемное образование.
(Справа) На корональной КТ с контрастным усилением визуализируется гиподенсное образование в ампуле, с нечеткими краями, вызывающие обструкцию общего желчного протока, при этом панкреатический проток расширен в незначительной степени. При оперативном вмешательстве был обнаружен рак ампулы фатерова сосочка.
2. КТ признаки рака ампулы фатерова сосочка:
• Объемное образование различной плотности, чаще всего гиподенсное, в ампуле фатерова сосочка:
о Практически всегда приводит к обструкции общего желчного протока с его внезапным «обрывом» на уровне опухоли
о Обструкция ППЖ происходит только в 50% случаев, при этом опухоль ампулы фатерова сосочка намного реже, чем рак поджелудочной железы, приводит к атрофии поджелудочной железы выше места обструкции (опухоли)
• Небольшие объемные образования могут не визуализироваться на КТ или при других рентгеновских исследованиях:
о Могут наблюдаться вторичные признаки опухоли (симптом «двойного протока», иррегулярная обструкция протока и др.)
• Рак желчного пузыря чаще всего метастазирует в лимфоузлы и печень
3. МРТ признаки рака ампулы фатерова сосочка:
• Сигнал низкой интенсивности на Т1 ВИ, сигнал от промежуточной до высокой интенсивности на Т2 ВИ, минимальное контрастное усиление по сравнению с поджелудочной железой на Т1 ВИ с контрастным усилением
• Расширение ОЖП и ППЖ с внезапным «обрывом» их дистальных отделов:
о МРХПГ: внезапный иррегулярный «обрыв» общего желчного протока в дистальных отделах
• Диффузионно-взвешенная томография может повысить чувствительность метода при маленьких новообразованиях: злокачественные опухоли ампулы фатерова сосочка характеризуются более низкими значениями ADC, чем доброкачественные
4. УЗИ признаки рака ампулы фатерова сосочка:
• Серошкальное исследование:
о Может использоваться в качестве метода скрининга для поиска расширенных желчных протоков у пациентов с желтухой
о Наличие газа в кишечнике затрудняет визуализацию ОЖП и ППЖ:
- Объемные образования в ампуле фатерова сосочка практически никогда не видны на УЗИ
• Эндоскопическая ультрасонография:
о Опухоль обычно удается визуализировать эндоскопическим путем: эндоскопическое вмешательство используется для контроля биопсии и улучшает качество исследования
о Лучший метод для Т-стадирования (чувствительность до 90%)
о Позволяет выявить метастазы в лимфоузлах и выполнить их биопсию
5. Рентгенография:
• ЭРХПГ:
о Объемные образования ампулы фатерова сосочка в большинстве случаев легко распознаются при эндоскопическом исследовании и доступны биопсии
- ЭРХПГ превосходит КТ в обнаружении небольших опухолей
о Холангиография позволяет выявить обструкцию ОЖП и ППЖ с внезапным «обрывом» их просвета, обусловленным новообразованием
6. Рентгеноскопия:
• Рентгеноскопия верхних отделов ЖКТ: дефект наполнения второй части двенадцатиперстной кишки возле ампулы фатерова сосочка:
о Специфические признаки, позволяющие дифференцировать ампулярную опухоль от злокачественного новообразования ПЖ или двенадцатиперстной кишки, отсутствуют
7. Рекомендации по визуализации:
• Лучший диагностический метод:
о КТ с контрастным усилением с использованием специального двухфазного «панкреатического» протокола или МРТ и МРХПГ
• Выбор протокола:
о С целью улучшения визуализации ампулы сразу же перед выполнением КТ пациент выпивает 500 мл воды
о Сканирование выполняется в артериальную и венозную фазы:
- Изменения могут быть более или менее подозрительными в каждой фазе
о Мультипланарное реформатирование в корональной плоскости и в плоскости кривой позволяет оценить дистальные отделы общего желчного протока и различить обструкцию злокачественной и доброкачественной природы

(Слева) На корональной КТ с контрастным усилением (объемный рендеринг) определяется симптом «двойного протока» на фоне обструкции общего желчного и печеночного протоков, обусловленной полиповидным объемным образованием (рак) ампулы фатерова сосочка.
(Справа) На корональной КТ с контрастным усилением визуализируется дискретное объемное образование вокруг ампулы фатеровы сосочка, в которой находится билиарный стент. Рак ампулы сложно отличить от периампулярного рака двенадцатиперстной кишки методами визуализации, но, тем не менее, лечение в обоих случаях одинаково (операция Уиппла).
в) Дифференциальная диагностика рака ампулы фатерова сосочка:
1. Аденокарцинома головки поджелудочной железы с поражением ампулы:
• Гиподенсное объемное образование инфильтративного характера, вызывающие обструкцию общего желчного и печеночного протоков и поражение забрюшинных сосудов
• Часто приводит к атрофии поджелудочной железы выше места обструкции, что наблюдается намного реже при раке ампулы фатерова сосочка
2. Аденома ампулы фатерова сосочка:
• Доброкачественное образование, которое может становиться «предшественником» рака ампулы
• Аденому и рак невозможно отличить на КТ; тем не менее, аденома немного реже вызывает тяжелую обструкцию протоков
3. Холангиокарцинома дистальных отделов общего желчного протока:
• 20% всех холангиокарцином возникают в дистальной трети общего желчного протока
• Холангиокарцинома может быть в некоторой степени гиперваскулярной в артериальной фазе и накапливать контраст в отсроченной фазе на КТ или МРТ
• Обычно проявляется асимметричным утолщением стенки общего желчного протока и ее контрастным усилением, но может выглядеть как дискретное объемное образование
• Обусловливает обструкцию протока с внезапным его «обрывом» на уровне образования
• Прогноз хуже, чем при аденокарциноме ампулы фатерова сосочка
4. Периампулярный рак двенадцатиперстной кишки:
• Двенадцатиперстная кишка - излюбленная локализация аденокарцином тонкой кишки
• Большие аденокарциномы двенадцатиперстной кишки могут прорастать в ампулу фатерова сосочка или поджелудочную железу и приводить к обструкции ППЖ и ОЖП, но с меньшей частотой, чем опухоли, расположенные в ампуле
5. Карционидная опухоль ампулы фатерова сосочка:
• Редко встречающаяся опухоль, интенсивно накапливающая контраст в артериальной фазе (КТ)
• Рано метастазирует в лимфатические узлы и отдаленные органы, даже если имеет небольшой размер

(Слева) На корональной КТ с контрастным усилением в ампуле фатерова сосочка визуализируется объемное образование округлой формы, с четкими контурами, приводящее к обструкции общего желчного протока. Рак ампулы практически всегда приводит к обструкции общего желчного протока, однако обструкция панкреатического протока возникает только в 50% случаев.
(Справа) На аксиальной КТ с контрастным усилением визуализируется инвазивная аденокарцинома ампулы фатерова сосочка, возникшая из ворсинчатой аденомы. Обратите внимание на циркулярное объемное образование большого размера (в виде «огрызка яблока») двенадцатиперстной кишки, располагающееся на границе ее второй и третьей части.
1. Общая характеристика:
• Этиология:
о Последовательность «аденома-карцинома», как и при колоректальном раке:
- В 60% аденом имеются очаги инвазивного рака
- Аденомы ампулы фатерова сосочка нельзя отличить от инвазивного рака при лучевых исследованиях
о Выделяют три различных типа опухоли, которые нельзя дифференцировать методами визуализации:
- Опухоли, возникающие из эпителия двенадцатиперстной кишки ампулы фатерова сосочка (кишечный тип):
Имеют большой размер на момент появления симптоматики, рано метастазируют в лимфатические узлы
Прогноз схож с таковым для рака двенадцатиперстной кишки
- Опухоли, возникающие из эпителия панкреатобилиарного соустья, дистальных отделов общего желчного протока или ППЖ (панкреатобилиарный тип):
Прогностически наиболее неблагоприятны среди опухолей всех трех типов; по биологическому характеру схожи с аденокарциномой поджелудочной железы
- Интраампулярные опухоли сочетанной природы, возникающие из эпителия двенадцатиперстной кишки и панкреатобилиарного соустья:
Прогноз наилучший, т. к. опухоль возникает в ампуле и рано приводит к обструкции протоков, проявляя себя желтухой
В опухоли редко обнаруживается значительный инвазивный компонент
• Генетические нарушения:
о Выраженное увеличение заболеваемости связано с врожденными полипозами, такими как семейным аденоматозом толстой кишки, врожденным неполипозным раком толстой кишки и т.д.
2. Стадирование, градации и классификация рака ампулы фатерова сосочка:
• Стадия TNM отражает наличие метастазов в лимфоузлах и отдаленных органах:
о Наличие метастазов в лимфатических узлах за пределами перипанкреатической области означает стадию М1
о Т1: опухоль ограничена ампулой
о Т2: инвазия стенки двенадцатиперстной кишки
о Т3: инвазия поджелудочной железы глубиной меньше 2 см
о Т4: инвазия поджелудочной железы глубже 2 см
3. Микроскопия:
• Злокачественные клетки эпителия протоков различной степени дифференцировки, некроз
• Спектр гистологических изменений: дисплазия, рак iin situ явная аденокарцинома
1. Проявления рака фатерова сосочка:
• Наиболее частые признаки/симптомы:
о Самый частый симптом - обструктивная желтуха, т. к. практически у всех пациентов имеется обструкция ОЖП
о Потеря веса (61%), боль в животе, боль в спине (46%)
• Другие признаки/симптомы:
о Желудочно-кишечное кровотечение, наличие крови в кале
о Диарея или стеаторея
о Тошнота, диспепсия
о Повышение температуры тела, озноб (при холангите)
• Клинический профиль:
о Повышение уровня билирубина и щелочной фосфатазы
о Возможно повышение уровня ракового эмбрионального антигена и СА 19-9
- Повышение уровня онкомаркеров не является ни специфичным, ни чувствительным признаком наличия опухоли
- Повышение уровня опухолевых маркеров перед операцией связано с неблагоприятным исходом
2. Демография:
• Возраст:
о Средний возраст, в котором диагностируется заболевание, составляет 65 лет (у пациентов с врожденным полипозом - раньше)
• Пол:
о М:Ж = 2:1
• Эпидемиология:
о Редкая опухоль, составляющая 0,2% злокачественных новообразований ЖКТ и 6% опухолей периампулярной области
о Заболеваемость: 4-6:1 млн человек
о Имеется связь с курением (30%) и сахарным диабетом (17%)
3. Течение и прогноз:
• Зависит от гистологического типа опухоли, а также от наличия метастазов в лимфатических узлах и отдаленных органах на момент обнаружения опухоли
• Прогноз
о Лучше по сравнению с периампулярным раком ОЖП или ППЖ
о Слегка хуже по сравнению с периампулярным раком двенадцатиперстной кишки
о Сообщается о пятилетней выживаемости у 64-80% у пациентов при отсутствии вторичного поражения лимфоузлов и 17-50% при наличии метастазов в лимфоузлах
о Факторы, способствующие наиболее высокой выживаемости: отсутствие клеток опухоли в крае резекции, отсутствие вторичного поражения лимфоузлов, высокая степень дифференцировки опухоли
4. Лечение:
• Коррекция билиарной обструкции (ЭРХПГ и стентирование) перед выполнением оперативного вмешательства
• Панкреатодуоденэктомия (классическая или пилоросохраняющая операция Уиппла) у пациентов, которым не противопоказано оперативное вмешательство
• Ограниченная резекция (ампулэктомия) связана с повышенным риском рецидива опухоли и характеризуется худшей выживаемостью пациентов в долгосрочном периоде:
о Может использоваться у пациентов с неинвазивными опухолями и низким риском метастатического поражения лимфоузлов
е) Диагностическая памятка:
1. Следует учесть:
• Рак ампулы фатерова сосочка сложно отличить от других опухолей периампулярной области, таких как рак поджелудочной железы или двенадцатиперстной кишки, однако хирургическое лечение в обоих случаях аналогично (операция Уиппла)
2. Советы по интерпретации изображений:
• Ключевым моментом в идентификации объемного образования ампулы фатерова сосочка является адекватное растяжение двенадцатиперстной кишки путем ее заполнения водой
• Небольшие опухоли ампулы фатерова сосочка очень сложно визуализировать посредством КТ с контрастным усилением или МРТ; скрытую опухоль можно заподозрить при наличии вторичных признаков (например, симптома «двойного протока»)
ж) Список использованной литературы:
1. Raman SP et al: Abnormalities of the Distal Common Bile Duct and Ampulla: Diagnostic Approach and Differential Diagnosis Using Multiplanar Reformations and 3D Imaging. AJR Am J Roentgenol. 203(1): 17-28, 2014
3 причины, почему сеть клиник
«Московский доктор»
Многие пациенты по возможности избегают походов в государственные поликлиники из-за нежелания стоять в долгих очередях, неприязни к «больничной обстановке», страха попасть к некомпетентным врачам. В клинике «Московский Доктор» такие проблемы отсутствуют. У нас работают только высококвалифицированные специалисты, которые всегда готовы выслушать жалобы пациентов и оказать помощь. На входе всегда встречает дружелюбный администратор, которому можно задать любые интересующие вопросы. Атмосфера в клинике благоприятная, выполнен современный ремонт. Психологический комфорт всегда способствует скорейшему выздоровлению.
Полный комплекс оказываемых услуг
В клинике «Московский Доктор» работают опытные врачи по разным направлениям, с какой бы проблемой вы не столкнулись, они всегда найдут для нее подходящее решение. Все врачи имеют высокую квалификацию в своей области, регулярно посещают научные семинары.
Ультразвуковая диагностика рака периампулярной зоны поджелудочной железы
Онкологические заболевания поджелудочной железы, наиболее сложны в диагностировании, данное обстоятельство обусловлено труднодоступностью периампулярной зоны поджелудочной для обнаружения и анатомическими свойствами органа, который делят на тело, головку и хвост, а именно:
1.Само тело поджелудочной расположено за желудком, что обуславливает осложнения при визуализации изображения, а возможность срастания поджелудочной железы с желудком, делает процесс ультразвукового исследования наиболее затрудненным.
2.Головка поджелудочной, так же как и само тело, расположено в труднодоступной зоне, а именно прилегает к двенадцатиперстной кишке, именно здесь располагается периампулярная зона.
3.Расположение хвоста в непосредственной близости с селезенкой так же обуславливает наличие плохой эхогенности при ультразвуковой диагностике.
Стоит особо отметить то обстоятельство, что новообразования могут развиваться не только в самой поджелудочной железа, но и быть сращенными с рядом расположенными органами, что делает лечение наиболее проблематичным. Более чем одна треть всех раковых опухолей образуется непосредственно в периампулярной зоне, то есть в головке поджелудочной.
Показания к диагностике
Наличие определенных симптомов характерных, для подозрений на появление опухоли в поджелудочной железе, является показанием к назначению ультразвукового исследования, среди данных признаков выделяют такие как:
• Общее недомогание организма, нарушение сна и аппетита, непринятие жирной острой пищи и алкоголя, позывы к рвоте при курении и употреблении кофе.
• Болезненные ощущения в области живота, сопряженные с появлением таких факторов как изменение окраски и частоты стула, зуд, иногда появляются признаки желтухи.
• В более поздних стадиях, появляется тяжесть в желудке, отрыжка и рвота.
• При разрастании опухоли и срастания ее с желудком, появляются кровотечения, а так же рвота, выраженная в виде кашицы темного, а скорее даже черного цвета.
• Одним из самых поздних симптомов, говорящих о тяжелом осложнении станет асцит или водянка.
Наличие даже незначительных симптомов, таких как позывы к тошноте, тяжесть в желудке, нарушения стула, является основанием для обращения к гастроэнтерологу, а так же способствует выявлению рака поджелудочной железы на ранних стадиях, что во многом может способствовать попаданию в число лиц пятилетней выживаемости (сравнительная оценка процента выживаемости при раке) и то только при наличии радикального лечения.
Методы диагностирования периампулярной зоны поджелудочной
Выявления рака поджелудочной железы происходит по средствам не одного, а сразу нескольких исследований, причем, одно дополняет другое. К таким методикам диагностирования относят следующие:
• Ультразвуковое исследование, как наиболее доступный и эффективный метод назначается пациенту после обращения к врачу с жалобами характерными наличию новообразований в поджелудочной. При этом современная ультразвуковая аппаратура выявляет опухоли до двух сантиметров в диаметре.
• Более точные размеры, расположение и в случае наличия таких осложнений как сращивание опухоли с другими внутренними органами, поможет установить компьютерная томография. Стоит отметить то обстоятельство, что данный метод диагностики сопряжен с большим рентгеновским облучением.
• Информативным, но обладающий меньшей лучевой нагрузкой является метод магнитно-резонансной томографии, но данный способ обследования противопоказан при наличии в организме пациента металлических имплантатов.
Именно безопасность выделяет среди остальных ультразвуковое исследование поджелудочной железы, а возможность повторного назначения с целью определения изменений размеров и иных критериев сопряженного с доплерографическими изысканиями позволяют выявить возможность или ее отсутствие таковой, хирургического вмешательства, а именно определение факта операбельности.
Непосредственно операбельность является основным фактором выбора того или иного процесса лечения, так как выявление раковой опухоли в поджелудочной, даже на ранней стадии, не является гарантией успешного лечения.
Периампулярные опухоли
Рассмотрены проблемы хирургического лечения опухолей панкреатодуоденальной зоны периампулярной локализации. Подробно изложены особенности диагностики рака, доброкачественных и нейроэндокринных новообразований с применением современных методов инструментального, биохимического и морфологического исследования. Подчеркивается разумная радикальность хирургических вмешательств, так как опухоли периампулярной локализации часто имеют непредсказуемое течение, а окончательный диагноз становится возможным только после их удаления. Прогноз жизни пациентов со злокачественными периампулярными новообразованиями после своевременной операции и комплексной химиотерапии значительно улучшается.
Ключевые слова
Об авторах
Список литературы
1. Анзимиров В.Л., Баженова А.П., Бухарин В.А. и др. Клиническая хирургия: справочное руководство / под ред. Ю.М. Панцирева. М.: Медицина, 2000. 640 с.
2. Битти А.Д. Диагностические тесты в гастроэнтерологии. М.: Медицина,1995. 220 с.
3. Губергриц Н.Б., Христич Т.Н. Клиническая панкреатология. Донецк, 2000. 416 с.
4. Егоров А.В., Кузин Н.М., Ветшев П.С. и др. Спорные и нерешенные вопросы диагностики и лечения гормонопродуцирующих нейроэндокринных опухолей поджелудочной железы // Хирургия. 2005. № 9. С. 19-24.
5. Избранные лекции по клинической онкологии / под ред. Чиссова В.И., Дарьяловой С.Л. М.: Медицина, 2000. 736 с.
6. Клемашев И.С. Практическая гастроэнтерология. М.: Медицина, 2002. 224 с.
7. Кубышкин В.А., Вишневский В.А. Рак поджелудочной железы. М.: Медпрактика, 2003. 386 с.
8. Кузин Н.М., Егоров А.В., Казанцева И.А. и др. Нейроэндокринные опухоли поджелудочной железы: руководство для врачей. М.: Медицина, 2001. 208 с.
9. Кузин Н.М., Егоров А.В., Кондрашин С.А. и др. Диагностика и лечение гастринпродуцирующих опухолей поджелудочной железы // Клин. мед. 2002. № 3. P. 71-76.
10. Лапкин К.В., Пауткин Ю.Ф. Билиопанкреатодуоденальный рак. М.: Изд-во ун-та дружбы народов, 2001. 112 с.
11. Ошибки в клинической онкологии: руководство для врачей / под ред. В.И. Чиссова, А.Х. Трахтенберга. М.: Медицина, 2001. 544 с.
12. Патолого-анатомическая диагностика опухолей человека: руководство в 2 томах / под ред. Н.А. Краевского. М.: Медицина, 1993.
13. Тревис С.П.Л., Тейлор Р.Х., Мисевич Д.Д. Гастроэнтерология. М.: Медицинская Литература, 2002. 628 с.
14. Шалимов А.А. Хирургическое лечение больных раком поджелудочной железы и панкреатодуоденальной зоны // Анн. хирургической гепатологии. 1996. Т. 1. С.62-68.
16. Calender A., Vercherat C., Gaudray P., Chayvialle J.A. GEN-EM (Groupe d' Etude des Neoplasies Endocriniennes Multiples). Deregulation of genetic pathways in neuroendocrine tumors // Ann. Oncol. 2001. Vol. 12, Suppl. 2. P. 3-11.
17. Eriksson B. Management of neuroendocrine foregut tumours // Neuroendocrinology. 2004. Vol. 80. P. 396-404.
18. Fendrich V., Bartsch D.K., Langer P. et al. Diagnosis and surgical treatment of insulinoma-experiences in 40 cases // Dtsch. Med. Wochenschr. 2004. Vol. 129, No. 17. P. 941-946.
19. Grant C.S. Gastrointestinal endocrine tumours. Insulinoma. Baillieres // Clin. Gastroenterol. 1996. Vol. 10, No. 4. P. 645-671.
20. Lairmore T.C., Piersall L.D., DeBenedetti M.K. et al. Clinical genetic testing and early surgical intervention in patients with multiple endocrine neoplasia type 1 (MEN 1) // Ann. Surg. 2004. Vol. 239, No. 5. P. 637-647.
21. Modlin I.M., Lye K.D., Kidd M. A 5-decade analysis of 13,715 carcinoid tumors // Cancer. 2003. Vol. 97. P. 934-959.
22. Norton J.A., Kivlen M., Li M. et al. Morbidity and mortality of aggressive resection in patients with advanced neuroendocrine tumors // Arch. Surg. 1999. Vol. 138, No. 8. P. 859-866.
23. Rosch T., Lightdale C.J., Botet J.F. et al. Localization of pancreatic endocrine tumors by endoscopic ultrasonography // New Engl. J. Med. 1992. Vol. 326, No. 26. P. 1721-1726.
Читайте также:
