Лучевая диагностика протокового рака поджелудочной железы
Добавил пользователь Евгений Кузнецов Обновлено: 30.01.2026
Рак поджелудочной железы называют «тихим убийцей» - за быстрое бессимптомное развитие и высокий процент летальных исходов. Встречается он нечасто, всего в 3% случаев диагностированных онкологических заболеваний. Но при этом, по данным исследователей США, рак поджелудочной железы находится на четверым месте по смертности среди онкопатологий и, как ожидается, к 2030 году переместится на ступень выше, обогнав по показателям смертности рак молочной железы.
Что такое рак поджелудочной железы?
Поджелудочная железа представляет собой орган пищеварительной системы человека, по форме напоминающий лежащую на боку грушу длиной 16-22 см. Условно делится на голову, тело и хвост. Железа расположена в забрюшинном пространстве, на уровне первых поясничных позвонков. Состоит из двух типов клеток. В первых, экзокринных, вырабатываются ферменты, участвующие в процессе переваривания пищи. Вторые, эндокринные, производят гормоны инсулин и глюкагон, влияющие на уровень сахара в крови. В 95% случаях злокачественное новообразование возникает в экзокринных клетках.
Причины и группы риска
Конкретные причины рака поджелудочной железы, как и прочих онкологических заболеваний, медицине на данный момент неизвестны. Но многолетние наблюдения позволили заключить, что чаще патологические процессы в этом органе начинаются в связи с ослаблением иммунной системы человека и наличием некоторых хронических заболеваний. К факторам, провоцирующим появление новообразования в поджелудочной железе, относятся следующие:
Возраст.Люди до 40 лет крайне редко сталкиваются с раком поджелудочной железы. Риск возрастает после 55 лет. Показатели заболеваемости достигают максимума после 70 лет: две трети онкопатологий данного вида выявляются у людей старше указанного возраста.
Пол.Мужчины заболеваютраком поджелудочной железы в полтора раза чаще, чем женщины.
Наследственность.Если кто-то из близких родственников болел раком поджелудочной железы, угроза столкнуться с аналогичным диагнозом на склоне лет резко возрастает. Дело в том, что некоторые генные мутации, передающиеся по наследству, увеличивают склонность к возникновению онкологии поджелудочной железы.
Хронические заболевания.Считается, что некоторые хронические болезни повышают риск заболеть раком поджелудочной железы. К ним относится хронический панкреатит, цирроз печени и диабет 2-го типа.
Образ жизни.Спровоцировать развитие рака поджелудочной железы могут вредные привычки. В первую очередь – курение. Как утверждают исследователи, для человека, выкуривающего по пачке сигарет в день, риск умереть от рака поджелудочной железы вдвое выше, чем для некурящего.
К другим вредным привычкам, ведущим к болезни, относятся переедание и малоподвижный образ жизни, следствием которых является избыточный вес.
Химикаты. Ряд пестицидов, красителей и химических веществ, используемых на промышленных производствах, при длительном воздействие на организм человека также ведут к негативным изменениям в железе.
Типы рака поджелудочной железы
Различают несколько типов рака поджелудочной железы.
Онкопаталогия экзокринных клеток:
Аденокарцинома - наиболее часто встречающийся тип рака поджелудочной железы, образующийся из клеток слизистой оболочки. К нему относятся свыше 80% новообразований в этом органе.
Плоскоклеточный рак. Форма рака поджелудочной железы, встречающаяся у 3-4% заболевших.
Цистаденокарцинома – перерождается из доброкачественной опухоли, цистаденомы.
Ацинарно-клеточный рак – диагностируется в 1-2% случаев, как правило у молодых людей.
Онкология экдокринных клеток:
Инсулинома – раковая опухоль, вырабатывающая большое количество инсулина, избыток которого в организме приводит к приступам гипоклемии (снижению уровня глюкозы в крови).
Гастринома – раковая опухоль, вырабатывающая гастрин (гормон, стимулирующий повышение уровня соляной кислоты в желудке).
Глюкагонома – раковая опухоль, вырабатывающая глюкагон (гормон, повышающий содержание сахара в крови).
Симптомы
Рак поджелудочной железы развивается агрессивно. Опухоль быстро разрастается, давая метастазы в лимфоузлы, печень, легкие, кости. Особая опасность этого вида рака – в отсутствии симптоматики на ранних стадиях. Более поздние проявления похожи на признаки других заболеваний.
Можно выделить следующие основные симптомы:
Диспепсия – тошнота, рвота, отсутствие аппетита, запоры, вздутие верхней части живота. Могут быть заметны уже на ранней стадии заболевания.
Боли в верхней и средней части живота или спины. Возникают на поздней стадии болезни из-за сжатия опухолью нервных окончаний поджелудочной железы и расположенных рядом органов. Носят интенсивный, мучительный характер, усиливаются после еды и по ночам. Несколько ослабевают, когда человек наклоняется вперед или ложится на бок.
Желтуха.Растущая опухоль перекрывает общий желчный и панкреатический протоки, что ведет к механической желтухе. Как следствие – кожные покровы и глаза желтеют, кал становится бесцветным, моча темной.
Интоксикация. С ростом опухоли человек начинает терять силы, чувствовать усталость, постоянное утомление, апатию. Из-за отсутствия аппетита быстро снижается вес. Нарушается сон, замедляются реакции, появляются головокружение и головные боли.
Врачи рекомендуют каждому человеку раз в год проходить УЗИ брюшной полости. При наличии в анамнезе двух и более факторов риска добавить к обследованию МРТ брюшной полости.
Стадии заболевания
1-я стадия. Раковая опухоль локализована в поджелудочной железе. Делится на две подстадии в зависимости от размера новообразования. В IA подстадии диаметр опухоли меньше 2 см. В подстадии IB опухоль больше 2 сантиметров.
2-я стадия. Новообразование распространяется на расположенные рядом органы и на лимфатические узлы. Также делится на две подстадии. В IIA рак распространился на близлежащие ткани и органы, но лимфатические узлы не затронуты. В IIB лимфатические узлы оказываются затронуты опухолью.
3-я стадия. Рак распространился на близкорасположенные крупные кровеносные сосуды, такие, как верхняя брыжеечная артерия, чревный ствол, общая печеночная артерия и воротная вена.
4-я стадия. Опухоль разрастается и захватывает отдаленные органы - легкие, печень и брюшную полость.
Диагностика
На начальных стадиях болезни рак поджелудочной железы выявляется зачастую случайно, при проведении УЗИ или МРТ-исследований брюшной полости. При подозрении на наличие онкопатологии данного органа обычно назначают комплекс исследований:
Лабораторная диагностика.Помимообщего анализа крови, мочи, кала, проверки уровня сахара в крови и печеночных проб, проводят более специальные тесты. Такие, как онкомаркер СА-242 и карбогидратный антиген CA-19-9; панкреатическая амилаза в крови и моче; уровень инсулина, гастрина или глюкагона в крови и другие. Но посредством лабораторных исследований можно только заподозрить наличие онкопатологии. Окончательный диагноз ставят в ходе инструментальных обследований брюшной полости.
Ультразвуковое исследование (УЗИ). Может быть выполнена с помощью внешних и внутренних устройств. Во втором случае врач через пищевод, желудок и тонкий кишечник подводит эндоскоп к поджелудочной железе и видит картину «изнутри». УЗИ дает представление о диффузных изменениях внутренних органов и помогает локализовать место поиска предполагаемого новообразования.
Компьютерная томография (КТ) – эффективная методика обследования поджелудочной железы, основанная на комбинации рентгеновского излучения с компьютерной визуализацией. В отличие от УЗИ, которое дает только общую картину изменений внутренних органов, КТ более информативна: компьютерный томограф «видит» 90% опухолей диаметром более 2 см, 60% новообразований меньшего размера, также позволяет выявить метастазы. В ходе исследования пациенту внутривенно вводят контрастное вещество и делают снимки в трех фазах, что позволяет получить полное представление о картине изменений.
Магнитно-резонансная томография (МРТ). Один из наиболее информативных видов исследования при раке поджелудочной железы. Позволяет выявить все разновидности онкопатологий данного органа даже на ранних стадиях развития, а также увидеть метастазы. В отличие от КТ, в установке МРТ не используются рентгеновские лучи, а значит - отсутствуют ограничения по частоте назначения данного вида исследования пациенту.
Позитронно-эмиссионная томография (ПЭТ). Вид ядерной диагностики, позволяющей получить представление об изменениях в морфологии, функциях и метаболизме органа. Пациенту перед исследованием внутривенно вводится радиофармпрепарат. Активно растущие раковые клетки захватывают и абсорбируют большее количество радионуклидов, что отчетливо видно на изображении, получаемом с помощью сканера. Часто совмещается с КТ. Метод используют для стадирования заболевания и оценки эффективности проведенного лечения.
Эндоскопическая ретроградная холангиопанкреатография. Эндоскоп вводится в организм больного либо через рот, желудок, двенадцатиперстную кишку и подводится к поджелудочной железе, в которую введен краситель (контраст), что позволяет получить информативный рентгеновский снимок.
Эндоскопическая ретроградная холангиография. Инвазивная процедура, в ходе которой делает прокол печени под контролем УЗИ, в желчные протоки вводится контрастное вещество, которое позволяет получить информативный снимок.
Лапароскопия. Лапароскоп (тонкую трубку с ультразвуковым зондом на конце) вводят в брюшную полость больного через небольшой надрез на животе, который выполняют под местной анестезией. Метод, как и холангиография, информативный, но инвазивный, травмирующий тело пациента. Выполняется в тех случаях, когда по тем или иным причинам оказываются недоступны или недостаточны неинвазивные КТ, МРТ и ПЭТ.
Биопсия – забор образца ткани поджелудочной железы для гистологического (клеточного) исследования. Осуществляется при лапароскопии, эндоскопии или полостной операции. На основе биопсии ставят окончательный диагноз о наличии и характере злокачественной опухоли.
Лечение
Лечение рака поджелудочной железы назначается в зависимости от вида опухоли и стадии заболевания. Врачи, основываясь на особенностях течения болезни и состоянии пациента, выбирают комбинацию следующих методов:
Хирургическое вмешательство. В ходе операций, в зависимости от локализации и стадии рака, проводится либо полная, либо частичная резекция поджелудочной железы. Нередко также удаляют часть близкорасположенных органов – двенадцатиперстной кишки, желудка, желчного пузыря, находящиеся рядом лимфоузлы. На последнем этапе болезни, если рак признан неоперабельным, проводят паллиативные операции для облегчения состояния человека.
Химиотерапия. Больному назначаются один или комплекс препаратов, блокирующих развитие раковых клеток. Лечение сопряжено с побочными эффектами (тошнота, выпадение волос, слабость). Эффективность метода при раке поджелудочной железы оценивается в 30-40%.
Таргетная терапия (новое направление в химиотерапии) основывается на применении препаратов, в меньшей степени затрагивающих здоровые ткани. Это наиболее щадящая для пациентов методика. Но стоимость ее намного выше обычной химиотерапии.
Лучевая терапия. Назначается, как правило, в комбинации с химиотерапией или хирургической операцией. Раковую опухоль подвергают облучению либо до хирургического вмешательства – для уменьшения размера новообразования, либо после – для предотвращения рецидива. Ионизирующее излучение высокой концентрации подается непосредственно в раковые клетки, минуя здоровые ткани. Эффект облучения состоит в нарушении процессов саморегуляции в злокачественных клетках, прекращении их кровоснабжения, что с течением времени приводит к гибели опухоли. Использование в нашем Центре радиохирургии и стереотаксической радиотерапии принципов конформной лучевой терапии позволяет рассчитать форму пучка, точно совпадающего с размерами опухоли и подать максимальные дозы излучения в центр опухоли, одновременно снизив дозу на ее границе – чтобы минимизировать воздействие на здоровые клетки. Проводится на линейных ускорителях VARIAN Clinac 2100CD и VARIAN TrueBeam STx.
Радиохирургическая операция на Кибер-нож (CyberKnife). Радиохирургическое вмешательство, применяемое как дополнение к химиотерапии или хирургической операции. Является основным методом лечения, если резекция поджелудочной железы невозможна из-за сопутствующих заболеваний или если пациент отказывается от полостной операции.
Несмотря на название, операция на Кибер-ноже не подразумевает надрезов и не требует анестезии. Система доставляет пучки излучения непосредственно в очаг ракового поражения. Точность попадания позволяет, не воздействуя на здоровые ткани, воздействовать на опухоль более высокой дозой радиации, чем при обычной лучевой терапии на линейных ускорителях. Поэтому «выжигание» раковых клеток производится не за 25-40 процедур, а за 1-5 сеансов. Госпитализация не требуется: пациент может приезжать в Центр на процедуру, которая занимает в среднем 40-60 минут. Восстановительный период после завершения курса радиохирургического лечения минимальный. Пациент может практически сразу возвращаться к обычной жизни.
Лучевая диагностика протокового рака поджелудочной железы
а) Терминология:
• Злокачественная опухоль, развивающаяся из эпителия протоков экзокринной части поджелудочной железы (ПЖ)
б) Визуализация протокового рака поджелудочной железы:
• КТ: плохо отграниченное объемное образование низкой плотности, имеющее тенденцию к инфильтративному росту в забрюшинное пространство:
о Практически во всех случаях наблюдается обструкция протока поджелудочной железы (ППЖ) и общего желчного протока (ОЖП), и резкий «обрыв» протока в месте обструкции
о Паренхима ПЖ выше уровня опухоли атрофически изменена
о Опухоль инфильтрирует мягкие ткани и распространяется в кровеносные сосуды и органы, расположенные поблизости (в двенадцатиперстную кишку, желудок, надпочечники)
о Чаще всего метастазирует в печень, брюшину, легкие
о Поражение артериальных сосудов можно оценить количественно в зависимости оттого, какая часть окружности вовлечена: меньше 180° или 180° и больше
о Поражение вен: непосредственный контакт опухоли со стенкой кровеносного сосуда, обрастание, сужение просвета сосуда, окклюзия
• МРТ: опухоль обладает сигналом низкой интенсивности на Т1 ВИ и хорошо заметна на фоне гиперинтенсивной паренхимы поджелудочной железы (ПЖ):
о На Т2 ВИ опухоль выглядит изоинтенсивной паренхиме поджелудочной железы (ПЖ)
о Опухоль становится очевидной на Т1 ВИ с контрастным усилением, как и на КТ, накапливая контраст в отсроченной фазе
(Слева) На рисунке показан рак головки поджелудочной железы, обрастающий панкреатический и общий желчный протоки и вызывающий их обструкцию. Опухоль также охватывает верхнюю брыжеечную артерию и вену и распространяется в чревные лимфоузлы. Обратите внимание на атрофию дистальных отделов тела и хвоста поджелудочной железы.
(Справа) На аксиальной КТ в венозной фазе контрастного усиления в теле поджелудочной железы визуализируется плохо отграниченное объемное образование низкой плотности (рак поджелудочной железы). Опухоль вплотную прилежит к дистальным отделам чревного ствола и печеночной артерии и поражает менее чем 180° окружности каждого из этих сосудов. (Слева) На корональной КТ с контрастным усилением в головке поджелудочной железы визуализируется гиподенсное объемное образование приводящее к обструкции панкреатического протока и расширению его в вышележащих отделах. В случаях, когда обнаруживается расширение панкреатического протока и его внезапный «обрыв», всегда необходим тщательный анализ поджелудочной железы на предмет наличия объемного образования.
(Справа) На сагиттальной КТ с контрастным усилением визуализируется гиподенсная опухоль поджелудочной железы (рак) плохо отграниченная от окружающих тканей, обрастающая верхнюю брыжеечную артерию на 360°, что почти наверняка делает опухоль нерезектабельной.
в) Клинические особенности:
• Протоковый рак является самой распространенной злокачественной опухолью экзокринной части поджелудочной железы и составляет >95% всех злокачественных опухолей этого органа
• Частые симптомы: желтуха, потеря веса, боль в животе, в спине:
о Часто опухоль никак не проявляет себя вплоть до поздней стадии, особенно если располагается в области тела или хвоста (и не приводит к развитию желтухи)
• Единственным возможным способом добиться полного излечения является радикальная резекция (с негативными краями резекции)
• Только у 15-20% пациентов можно выполнить оперативное вмешательство на момент обнаружения опухоли; пятилетняя выживаемость после операции составляет - 20%
• Без оперативного лечения пятилетняя выживаемость составляет
Лучевая диагностика рака протока поджелудочной железы
а) Терминология:
1. Синонимы:
• Карцинома панкреатического протока (pancreatic ductal adenocarcinoma - PDA), рак поджелудочной железы
2. Определение:
• Солидное эпителиальное новообразование протоков экзокринной части поджелудочной железы
б) Визуализация:
1. Общая характеристика:
• Основные диагностические признаки:
о Объемное образование поджелудочной железы с нечеткими контурами, вызывающее обструкцию панкреатического и, иногда, общего желчного протока (вызывая появление симптома «двойного протока»)
• Локализация:
о Головка (60-70%), тело (5-10%), хвост (10-15%), несколько отделов железы или диффузное поражение (22%)
• Размеры:
о Средний размер: 2-3 см
• Морфология:
о Составляет 85-90% случаев всех опухолей поджелудочной железы
о Разрастаясь, опухоль окружает интрапанкреатические кровеносные сосуды и обычно уже нерезектабельна на момент развития первых проявлений
о Местно-инфильтративный рост
о Метастатические поражения печени, лимфоузлов ворот печени, брюшины, легких, плевры, костей
2. УЗИ при раке протока поджелудочной железы:
• УЗИ в черно-белом режиме:
о Гипоэхогенное инфильтративное объемное образование:
- Расширение протоков поджелудочной железы:
>3 мм выше опухоли, извитость и утрата параллельности (стенок протока)
- Расширение желчного протока:
Часто наблюдается при карциноме головки поджелудочной железы
Обструкция на уровне головки поджелудочной железы или ворот печени, в зависимости от размеров опухоли и регионарной лимфаденопатии
± расширение пузырного протока и желчного пузыря (симптом Курвазье)
- Кальциноз или некротические/кистозные изменения: наблюдаются редко
о Может выявляться мелкое изоэхогенное объемное образование, вызывающее небольшое местное изменение контура (железы) (например, крючковидного отростка)
о Диффузное опухолевое поражение железы бывает трудно дифференцировать от острого панкреатита
о Вторичные изменения:
- Смещение/обрастание опухолью прилегающих сосудов
- Атрофия или панкреатит проксимальнее уровня обструкции протока
- Асцит вследствие метастатического поражения брюшины
- Метастазы в печени и в регионарных лимфоузлах
• Цветовая допплерография:
о Помогает оценить венозную обструкцию или обрастание опухолью сосудов
• Эндоскопическое ультразвуковое исследование: наиболее чувствительный метод, позволяющий выявить мелкое гипоэхогенное объемное образование головки поджелудочной железы
• Может использоваться как метод контроля при тонкоигольной аспирационной биопсии

(Левый) На поперечном УЗ срезе брюшной полости в головке поджелудочной железы определяется округлое объемное образование, гипоэхогенное по сравнению с нормальной тканью поджелудочной железы.
(Правый) На поперечном УЗ срезе брюшной полости выявляется инфильтративное гетерогенное объемное образование головки поджелудочной железы, охватывающее верхнюю брыжеечную вену.
3. Рентгенография при раке протока поджелудочной железы:
• Эндоскопическая ретроградная холангиопанкреатография:
о Стриктура (протока) поджелудочной железы с расширением его вышележащего отрезка
о При биопсии - комбинация с эндоскопическим УЗИ
о Позволяет дренировать обтурированные протоки
4. КТ при раке протока поджелудочной железы:
• КТ с контрастным усилением:
о Низкоконтрастное инфильтративное объемное образование с нечеткими контурами, сопровождающееся вторичными изменениями:
- обструкцией панкреатического и общего желчного протоков - при локализации опухоли в головке поджелудочной железы
- атрофией вышележащих отделов поджелудочной железы
о Труднее диагностируются изоплотные объемные образования (10-15%) и опухоли размерами - Могут наблюдаться только вторичные изменения в сочетании с малозаметной припухлостью паренхимы
о Позволяет диагностировать инвазию в соседние органы (двенадцатиперстную кишку, желудок, ворота печени и селезенки, брыжейку)
о Отдаленные метастазы в печени, по брюшине, регионарных лимфоузлах
• КТ-ангиография:
о Более точный метод диагностики поражения сосудов:
- Опухоль соприкасается с сосудом (180° окружности сосуда), вызывает его сужение или окклюзию
- Верхняя брыжеечная вена (superior mesenteric vein - SMV) в форме слезы указывает на опухолевую инвазию вены
5. МРТ при раке протока поджелудочной железы:
• Т1-ВИ:
о Гипоинтенсивна по сравнению с нормальной паренхимой вследствие фиброзной природы опухоли
о Насыщение жировой ткани увеличивает четкость изображения
• Т2-ВИ:
о Повышает выявляемость расширения протоков
• Т1-ВИ с контрастированием:
о Оптимальная методика определения границ опухоли, наблюдается ее невыраженное контрастирование
о Выявляются те же признаки разрастания опухоли вокруг сосудов и распространения опухоли, что и при КТ с контрастным усилением
• МР холангиопанкреатография:
о Расширение протоков проксимальнее обтурирующей опухоли
6. Рекомендации по визуализации:
• Оптимальный метод визуализации:
о КТ с контрастным усилением: общая точность 86-99%
• Рекомендации по методике проведения исследования:
о КТ с контрастным усилением должно проводиться в соответствии со специальным протоколом КТ-артериографии поджелудочной железы
• При обследовании пациентов с безболезненной механической желтухой УЗИ зачастую является методом диагностики первой линии, позволяющей установить уровень обструкции:
о При диагностике опухолей поджелудочной железы и оценке ее резектабельности чувствительность метода ниже, чем у КТ или МРТ
• В случаях обструкции протоков при отсутствии объемного образования эндоскопическое УЗИ используется при выполнении биопсии как метод контроля:
о Чувствительность метода выше при диагностике мелких опухолей размерами

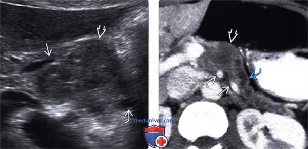
(Левый) На поперечном УЗ срезе брюшной полости визуализируется крупное гипоэхогенное объемное образование тела поджелудочной железы, сужение селезеночной вены вблизи слияния ее с воротной веной. Дистальная часть тела поджелудочной железы скрыта; однако панкреатический проток выглядит расширенным.
(Правый) При КТ с контрастным усилением также выявляется инфильтративное образование тела поджелудочной железы, окружающее селезеночную вену до места ее впадения в воротную вену и соприкасающееся с верхней брыжеечной артерией. Обратите внимание на расширение панкреатического протока и атрофию паренхимы поджелудочной железы выше уровня опухоли.
в) Дифференциальная диагностика рака протока поджелудочной железы:
1. Хронический панкреатит:
• Фокальная или диффузная атрофия железы с расширением главного протока поджелудочной железы и обширными кальцинатами
• Может выявляться длинная сегментарная стриктура дистальной части общего желчного протока с престенотической дилатацией
• Утолщение перипанкреатической фасции и некроз жировой клетчатки
• Фокальный панкреатит может симулировать объемное образование и быть трудно отличим от карциномы
2. Муцинозная кистозная опухоль поджелудочной железы:
• Разделенное перегородками кистозное объемное образование, чаще всего локализующееся в хвосте поджелудочной железы; может выявляться периферический кальциноз; панкреатический проток не расширен
3. Лимфома:
• Очаговое или диффузное увеличение поджелудочной железы, изредка вызывающее обструкцию панкреатического или желчного протоков
• Сопутствующая лимфаденопатия внутрибрюшных лимфоузлов, поражение селезенки
4. Нейроэндокринная опухоль поджелудочной железы:
• Гиперваскуляризованные первичные и вторичные опухоли, не сопровождающиеся расширением протока поджелудочной железы
5. Метастазы:
• Солитарные/множественные объемные образования поджелудочной железы, обычно сопровождающиеся поражением других органов (например, печени, надпочечников, лимфоузлов)
• Обструкция панкреатического или желчного протоков наблюдается редко
6. Серозная цистаденома:
• Смешанное кистозное/солидное новообразование головки поджелудочной железы; может определяться центральный звездчатый кальцинат; расширение протока поджелудочной железы отсутствует

(Левый) На поперечном срезе брюшной полости визуализируется извитой расширенный панкреатический проток. Головка поджелудочной железы скрыта газами стента общего желчного протока. Обратите внимание на опухолевидное увеличение двенадцатиперстной кишки.
(Правый) При КТ с контрастным усилением на аксиальной томограмме значительно лучше визуализируется объемное образование сниженной плотности с нечеткими контурами, инфильтрирующее перипанкреатическую жировую клетчатку и прорастающее двенадцатиперстную кишку. Визуализируется стент общего желчного протока.
г) Патология:
1. Общая характеристика:
• Этиология:
о Факторы риска; курение сигарет, ожирение, сахарный диабет, хронический панкреатит, отягощенный семейный анамнез
2. Классификация рака протока поджелудочной железы:
• Стадии заболевания определяются размерами опухоли, ее локализацией, поражением сосудов и наличием метастатического поражения (стадии в соответствии с классификацией TMN)
• Критерии NCCN (National Comprehensive Cancer Network-Всеобщей национальной онкологической сети, США): определяют резектабельность:
о Резектабельная (стадии I,II); «чистая» жировая клетчатка вокруг чревного ствола, верхней брыжеечной артерии, печеночной артерии; отсутствует деформация верхней брыжеечной и воротной вен
3. Макроскопические и хирургические особенности:
• Нечетко отграниченное плотное солидное инфильтративное мягкотканное объемное образование
4. Микроскопия:
• Плотно упакованные опухолевые клетки с атипией ядер, развивающиеся из эпителия протоков
• Часто наблюдается инвазия в сосуды и периневральные пространства, сопровождающееся развитием десмопластической стромы
д) Клинические особенности:
1. Проявления рака протока поджелудочной железы:
• Наиболее часто встречающиеся жалобы/симптомы:
о Обычно до поздних стадий протекает бессимптомно
о Клиническая картина определяется локализацией первичной опухоли:
- Головка поджелудочной железы: механическая желтуха
- Тело или хвост: потеря веса, вероятны метастазы в печени
о Чаще всего манифестируют отдаленные метастазы (около 65%); опухоль, ограниченная поджелудочной железой манифестирует реже (около 15%)
о Сывороточный биомаркер: СА 19-9
2. Демография:
• Возраст:
о Средний возраст на момент первых проявлений: 55 лет; пик: 7-е десятилетие
• Пол:
о М:Ж = 2:1
3. Эпидемиология:
о Вторая наиболее часто встречающаяся опухоль желудочно-кишечного тракта после колоректального рака
4. Течение и прогноз:
• Обычно прогноз неблагоприятный вследствие развития к моменту манифестации распространенной опухоли:
о При отсутствии хирургического лечения: пятилетняя выживаемость около 5%
о После оперативного лечения: пятилетняя выживаемость 15-20%
5. Лечение рака протока поджелудочной железы:
• Панкреатодуоденэктомия (операция Whipple) с последующей адъювантной терапией, при резектабельных опухолях (<15%)
• При опухолях III стадии сомнительной резектабельности-неоадъювантная терапия с целью снижения стадии опухоли перед выполнением резекции
• По поводу местноинвазивной опухоли III стадии проводится химиотерапия и/или химиорадиотерапия:
о Паллиативное лечение включает в себя постановку стента желчных протоков, наложение желудочного анастомоза (при обструкции двенадцатиперстной кишки), блокаду чревного нерва (при хронических болях в животе)
е) Диагностическая памятка:
1. Следует учесть:
• Следует дифференцировать эту опухоль от других солидных объемных образований поджелудочной железы по наличию дилатации главного протока поджелудочной железы
2. Советы по интерпретации изображений:
• Инфильтративное объемное образование головки поджелудочной железы, сопровождающееся обструкцией/дилатацией протока и зачастую обширной местной инвазией и регионарными метастазами уже на момент развития клинических проявлений
3. Особенности оценки результатов:
• Для оценки резектабельности опухоли используются критерии Всеобщей национальной онкологической сети, США (NCCN)
Рак поджелудочной железы: причины, симптомы и лечение
Рак поджелудочной железы — это злокачественная опухоль, которая развивается из клеток поджелудочной железы в результате мутаций. Он зачастую длительно протекает бессимптомно, а когда появляются первые симптомы, как правило, заболевание уже находится на поздней стадии, и бороться с ним очень сложно.
Если диагноз установлен на ранней стадии, пятилетняя выживаемость составляет не более 15%. За счет того, что железа расположена глубоко и окружена другими органами брюшной полости, операции на ней сложны и требуют от хирурга большого мастерства. Высок риск серьезных и подчас фатальных послеоперационных осложнений. [1,2]

Злокачественная опухоль поджелудочной железы в цифрах и фактах:
- По частоте среди прочих онкологических заболеваний у взрослых занимает шестое место.
- Согласно американской статистике, злокачественные новообразования поджелудочной железы составляют около 3% от всех онкологических заболеваний и обусловливает 7% смертности от всех видов рака.
- Чаще всего опухоль встречается у людей старше 60–65 лет.
- Мужчины и женщины болеют одинаково часто.
- В 50–60% случаев опухоль поражает только головку поджелудочной железы, в 10% — тело, в 6–8% — хвост. В 25–30% случаев поражена вся поджелудочная железа. [1,3,8]
Виды рака поджелудочной железы
В поджелудочной железе есть экзокринная ткань, которая вырабатывает пищеварительные ферменты, и эндокринная, функцией которой является производство некоторых гормонов. Соответственно, в зависимости от происхождения, выделяют экзокринные и эндокринные злокачественные опухоли поджелудочной железы. Первые встречаются намного чаще. Когда говорят о раке поджелудочной железы, в большинстве случаев имеют в виду именно экзокринные опухоли.
Аденокарцинома — опухоль из железистых клеток, является самым распространенным типом экзокринного рака. Она встречается в 80–95% случаев. В большинстве случаев опухоль происходит из клеток, выстилающих протоки поджелудочной железы — протоковая аденокарцинома. Реже встречаются новообразования из клеток, которые вырабатывают пищеварительные ферменты, в ацинусах. Такой рак называется ацинарно-клеточным.
Отдельно выделяют внутрипротоковые папиллярные и кистозные муцинозные опухоли, ассоциированные с инвазивным раком. Эти новообразования являются доброкачественными, но со временем могут трансформироваться в рак. Люди, у которых диагностированы эти патологии, должны наблюдаться у врача. Кистозные опухоли обычно удаляют хирургически из-за риска озлокачествления. Папиллярные оперируют при определенных условиях, например, если новообразование находится в главном протоке.
Более редкие разновидности злокачественных опухолей поджелудочной железы: плоскоклеточный, недифференцированный, аденосквамозный рак, цистаденокарцинома, перстневидно-клеточная карцинома.
Менее 5% от всех новообразований поджелудочной железы составляют опухоли, которые развиваются из эндокринных клеток — нейроэндокринные опухоли, или опухоли островковых клеток. К ним относят гастриномы, инсулиномы, глюкагономы, соматостатиномы. Чаще всего они доброкачественные, но могут оказаться злокачественными, и даже биопсия не всегда помогает вовремя установить правильный диагноз. [1,5]
Локализация рака поджелудочной железы
Злокачественная опухоль может находиться в головке, теле или хвосте поджелудочной железы. В зависимости от локализации, она будет иметь некоторые особенности.
Рак головки поджелудочной железы
Чаще всего встречается рак головки поджелудочной железы. Например, здесь локализуется около 75% протоковых аденокарцином. Злокачественные опухоли, удаленные из головки, в среднем имеют размер 2,5–3,5 см, в то время как в теле и хвосте они обычно крупнее. Однако, из-за близкого расположения желчного протока, даже небольшие новообразования головки способны сдавливать его и приводить к механической желтухе. Другие характерные осложнения: стеноз двенадцатиперстной кишки и кровотечение из распадающегося рака.
Рак тела поджелудочной железы
Тело поджелудочной железы — вторая по распространенности локализации рака часть органа. Протоковые аденокарциномы встречаются здесь в 18% случаев. Если опухоль находится в теле или хвосте, то по сравнению с раком головки чаще встречаются такие осложнения, как тромбофлебиты, флеботромбозы, сахарный диабет. Видимо, это связано с тем, что новообразования тела и хвоста имеют более крупные размеры. Если возникает желтуха, обычно это говорит о запущенном раке.
Рак хвоста поджелудочной железы
Рак хвоста поджелудочной железы встречается реже всего. Такую локализацию имеют лишь 7% протоковых аденокарцином. Из-за близости желудка, ободочной кишки и легкого такие опухоли сложнее обнаружить во время УЗИ. [6]

Стадии рака поджелудочной железы
Классификация рака поджелудочной железы по стадиям базируется на общепринятой системе TNM.
Буква T обозначает характеристики первичной опухоли. T1 — опухоль, которая находится в пределах поджелудочной железы, имеет размер до 2 см (T1a) или более (T1b) и не прорастает в капсулу, сосуды, и соседние органы. Стадии T2 и T3 обозначают разную степень прорастания рака в различные структуры.
Буквой N обозначается распространение раковых клеток в лимфатические узлы. N0 — очаги в лимфоузлах отсутствуют. N1,2,3 — распространение рака в различные группы лимфатических узлов.
M — это наличие (M1) или отсутствие (M0) отдаленных метастазов.
В зависимости от сочетаний разных значений T, N и M, рак поджелудочной железы делят на четыре стадии с подстадиями:
Рак поджелудочной железы с метастазами в печень
Рак поджелудочной железы с метастазами в печень или другие органы соответствует 4 стадии злокачественной опухоли. В четвертой стадии рака поджелудочной железы выделяют две подстадии:
- IVA(локально распространенный рак): отдаленных метастазов нет, но опухоль прорастает в соседние органы, что сильно затрудняет ее хирургическое лечение.
- IVB(метастатический рак): имеются отдаленные метастазы. Чаще всего они находятся в печени.
Помимо печени, опухолевая ткань при раке поджелудочной железы нередко распространяется в легкие, желудок, селезенку, кишечник. Иногда четвертую стадию опухоли удается диагностировать только во время операции.

Если при раке поджелудочной железы обнаруживаются метастазы в печени, прогноз ухудшается. Радикальное хирургическое вмешательство в таких случаях невозможно. Но существуют методы лечения, которые помогают затормозить прогрессирование рака, избавить пациента от мучительных симптомов и увеличить продолжительность жизни.
Какими симптомами проявляются метастазы в печени?
Если очаги небольшие, и их немного, симптомы могут отсутствовать. Метастазы выявляются в ходе обследования. По мере ухудшения функции печени и нарастания нарушения оттока желчи появляются следующие признаки:
- Желтуха из-за повышения в крови уровня пигмента билирубина, который в норме должен обезвреживаться печенью и выводиться с желчью. Также это приводит к кожному зуду.
- Потемнение мочи из-за высокого уровня билирубина.
- Обесцвечивание стула, так как в нем билирубин, напротив, отсутствует.
- Беспричинная потеря веса.
- Снижение аппетита.
- Вздутие живота. Может развиваться асцит.
- Тошнота и рвота.
- Лихорадка, потливость.
- Увеличение печени, врач может прощупать ее во время осмотра.
Как диагностируют метастазы в печени при раке поджелудочной железы?
Обнаружить метастазы в печени и других органах помогают такие методы диагностики, как КТ, МРТ, УЗИ. Высокоинформативное исследование — позитронно-эмиссионная томография. В организм пациента вводят безопасное вещество с радиоактивной меткой, которое активно поглощают раковые клетки. За счет этого метастазы становятся видны на снимках, выполненных с помощью специального аппарата. ПЭТ помогает обнаружить метастазы, которые не могут выявить другие методы диагностики.
Назначают анализы, которые помогают оценить работу печени:
- Биохимический анализ крови.
- Развернутый общий анализ крови.
- Анализ на свертываемость.

Лечение носит паллиативный характер. Лечебную тактику выбирают в зависимости от размеров, локализации, расположения вторичных очагов в печени, наличия осложнений (асцит, нарушение оттока желчи).
Химиотерапия
Основным методом лечения рака поджелудочной железы с метастазами является химиотерапия. Как правило, химиопрепараты вводятся внутривенно. Чаще всего применяют гемцитабин (Гемзар). Его можно комбинировать с абраксаном, эрлотинибом (Тарцева), капецитабином (Кселода).
В некоторых случаях, когда позволяет состояние здоровья пациента, может быть назначена химиотерапия по схеме FOLFIRINOX. Она включает 4 препарата: 5-фторурацил, лейковорин, иринотекан и оксалиплатин. Такое лечение может быть более эффективным по сравнению с применением гемцитабина, но оно приводит к более серьезным побочным эффектам.
Иногда проводят химиоэмболизацию — процедуру, во время которой в сосуд, питающий опухоль, вводят химиопрепарат в сочетании с эмболизирующим препаратом. Последний представляет собой микросферы, которые перекрывают просвет сосуда и нарушают приток кислорода, питательных веществ к опухоли.
Лучевая терапия

Радиочастотная аблация
Эту процедуру можно применять при небольших, до 4 см, метастазах в печени, если их общее количество не превышает 5, и они хорошо видны во время УЗИ, КТ. В очаг вводят иглу-электрод, на которую подают ток высокой частоты. Это приводит к сильному нагреванию и разрушению опухолевых клеток.
Стентирование
Если опухоль головки поджелудочной железы блокирует отток желчи, прибегают к стентированию. В желчный проток устанавливают стент — полый цилиндрический каркас с сетчатой стенкой. Он расширяет просвет протока и помогает восстановить отток желчи.
Обычно стент устанавливают с помощью эндоскопа, введенного через рот в двенадцатиперстную кишку. Если это не удается сделать, можно выполнить чрескожную чреспеченочную холангиографию и установить стент во время нее.

Борьба с асцитом
Рак поджелудочной железы 4 стадии с метастазами в печени может осложниться асцитом — скоплением жидкости в брюшной полости. Он развивается из-за портальной гипертензии (нарушения оттока крови по воротной вене) и нарушения синтеза печенью белка-альбумина, который обеспечивает онкотическое давление плазмы крови.
Для борьбы с асцитом прибегают к лапароцентезу — процедуре, во время которой на животе делают прокол и выводят избыток жидкости. Для постоянного оттока жидкости в брюшную полость устанавливают перитонеальные катетеры.
Обезболивание
Многих пациентов мучают сильные боли, поэтому важной составляющей лечения рака поджелудочной железы с метастазами является качественное обезболивание. В соответствии с современными принципами, применяют трехступенчатую систему обезболивания. На каждой ступени применяют более мощные препараты. Используют нестероидные противовоспалительные средства (НПВС), наркотические анальгетики, другие препараты.

По показаниям прибегают к блокадам нервных сплетений, невролизу.
Каков прогноз выживаемости?
Рак поджелудочной железы — одно из самых агрессивных и смертоносных онкологических заболеваний. Даже на ранних стадиях пятилетняя выживаемость составляет всего 14%. Рак поджелудочной железы с метастазами характеризуется пятилетней выживаемостью 1%.
Но это не повод опускать руки. Во-первых, данные о пятилетней выживаемости всегда являются несколько устаревшими, так как для ее оценки нужно наблюдать за онкологическими больными в течение 5 лет. Возможно, со временем, благодаря появлению новых препаратов и технологий, ситуация улучшится. Во-вторых, нельзя точно сказать, кто из пациентов попадет в этот 1% и будет жить годы после того, как установлен диагноз.
Читайте также:
- Методика выполнения катетеризации бедренной артерии при ультразвуковом контроле
- Лекарства для лечения ВИЧ и СПИДа
- Гингивит: причины, симптомы и лечение
- Опухолеподобные поражения яичек. Опухоли полового члена.
- Тазобедренный сустав ( articulatio coxae ). Суставные поверхности тазобедренного сустава. Линия Розера—Велатона. Суставная капсула тазобедренного сустава.
