Лучевая диагностика смешанной опухоли надпочечника
Добавил пользователь Евгений Кузнецов Обновлено: 18.12.2025
Рак надпочечников — это редкое злокачественное новообразование, формирующееся из железистой ткани гормонопродуцирующего органа. Заболевание отличается агрессивным течением.
Акции
Полное обследование на онкологические заболевания для мужчин и женщин.
Онкоконсилиум может потребоваться как при лечении в «СМ-Клиника», так и пациентам других медицинских учреждений с целью получения альтернативного мнения.
«СМ-Клиника» предоставляет своим пациентам предоперационное обследование со скидкой до 72%!
Консультация врача-хирурга по поводу операции бесплатно!
Содержание статьи:
Рак надпочечников, или адренокортикальный рак, – злокачественная опухоль, поражающая корковый или мозговой слой органа.
Надпочечники – парные эндокринные железы, расположенные на верхнем полюсе каждой почки. Гормоны, вырабатываемые корковым и мозговым веществом надпочечников, играют важную роль в регулировании обмена веществ, а также в адаптации организма к стрессовым факторам. Надпочечники являются жизненно важным органом, без них невозможно нормальное функционирование организма.
Рак надпочечников – редкая патология, встречается в среднем у 0,7-2 человек на 1 миллион. Среди всех опухолей надпочечников, как доброкачественных, так и злокачественных, рак диагностируется в 2-4% случаев. Наиболее часто он выявляется в возрасте от 40 до 50 лет, у женщин – в 2-3 раза чаще, чем у мужчин. Также злокачественные опухоли надпочечников встречаются у детей до 5 лет.
Новообразование отличается быстрым ростом, нередко выявляются опухоли значительного размера – у 80% пациентов к моменту обнаружения они достигают размера более 10 см. Поздняя диагностика связана с тем, что патология часто развивается бессимптомно, или ее симптомы схожи с признаками других заболеваний. Рак агрессивный, часто дает метастазы в легкие и печень. В среднем метастазы на момент диагностирования опухоли встречаются у 30-40% пациентов, при размере новообразования более 10 см – у 80% больных.
Причины и факторы риска заболевания
Точных причин рака надпочечников не установлено. Считается, что важную роль в его возникновении играет наследственный фактор, а также генетические нарушения, в частности, специфическая мутация TP53.
Спровоцировать развитие заболевания могут следующие факторы:
- вредные привычки – алкоголь, курение, наркотики;
- травмы поясничной области;
- частые стрессы, депрессия;
- другие наследственные патологии или эндокринные опухоли;
- контакт с физическими или химическими канцерогенами.
Симптомы рака надпочечников
Симптоматика заболевания зависит от того, из какого слоя надпочечников развивается опухоль (коркового или мозгового), является она гормонопродуцирующей или нет, какие гормоны вырабатывает.
Кортикостерома
Самой распространенной опухолью, возникающей из коры надпочечников, является кортикостерома, также называемая глюкостеромой. Ее злокачественные варианты – аденокарцинома и кортикобластома. Новообразование провоцирует выработку гормонов глюкокортикоидов. Вследствие этого у пациентов возникает синдром Иценко-Кушинга. Его симптомы:
- артериальная гипертензия, головная боль;
- слабость, быстрая мышечная утомляемость;
- ожирение по кушингоидному типу – «лунообразное» лицо, отложения жира на спине, животе, груди при относительно худых конечностях;
- раннее половое созревание у детей;
- раннее угасание половой функции у взрослых;
- половая дисфункция – признаки феминизации (увеличение молочных желез, гипоплазия яичек, снижение потенции) у мужчин и вирилизации (оволосение по мужскому типу, гипертрофия клитора, изменение тембра голоса) у женщин;
- растяжки (стрии) на коже живота, бедер.
Нередко при этом типе рака развивается остеопороз, приводящий к патологическим переломам. Также отмечаются дисфункции нервной системы: перевозбуждение, депрессия. Примерно у четверти больных наблюдаются пиелонефрит и мочекаменная болезнь.
Кортикоэстерома
Еще одна гормонопродуцирующая злокачественная опухоль – кортикоэстерома. Новообразование вырабатывает женские половые гормоны – эстрогены, способствует развитию эстроген-генитального синдрома. Чаще этот вид рака надпочечников возникает у молодых мужчин и вызывает признаки феминизации. К ним относятся:
- отсутствие роста волос на лице;
- гинекомастия – увеличение молочных желез;
- высокий тембр голоса;
- атрофия яичек и полового члена, снижение потенции;
- ожирение по женскому типу.
Если корткоэстерома развивается у девочек, она приводит к ускоренному половому развитию – быстрому росту, раннему увеличению половых органов и оволосению лобка, преждевременному началу менструаций, влагалищным кровотечениям.
В чистом виде кортикоэстеромы встречаются редко.
Андростерома
Злокачественные андростеромы продуцируют мужские половые гормоны – андрогены. Они характеризуются следующими симптомами:
- У детей:
- ускоренное физическое и половое развитие;
- огрубение тембра голоса;
- угревая сыпь на лице и туловище.
- оволосение по мужскому типу;
- изменение тембра голоса;
- гипотрофия матки и молочных желез;
- гипертрофия клитора;
- уменьшение подкожно-жирового слоя.
У мужчин симптомы андростеромы выражены незначительно, поэтому часто опухоль является случайной находкой.
Альдостерома
Чаще встречаются доброкачественные альдостеромы, но известны и случаи их озлокачествления. Вырабатываемый опухолью гормон альдостерон влияет на минерально-солевой обмен в организме. Его избыток вызывает:
- сердечно-сосудистые симптомы: гипертензию, одышку, аритмии, гипертрофию и последующую дистрофию миокарда;
- почечные симптомы: увеличение частоты мочеиспусканий и объема мочи, частые ночные мочеиспускания, жажду, появление щелочной реакции мочи;
- нервно-мышечные симптомы: мышечную слабость, судороги, нарушения чувствительности.
Неспецифическими симптомами рака надпочечников являются признаки, характерные для всех злокачественных опухолей, особенно ярко проявляющиеся на поздних стадиях заболевания. Это:
- симптомы интоксикации – слабость, вялость, утомляемость;
- анемия и другие изменения в анализах крови;
- кахексия (истощение);
- болевой синдром.
Обращаться к врачу следует при любых симптомах гормональных нарушений, а также признаках, не указывающих явно на какое-либо заболевание. К ним относятся слабость, частые головные боли, стойкое повышение артериального давления, жажда, нарушения мочеиспускания.
Классификация рака надпочечников
По локализации опухоли:
- Новообразования мозгового слоя:
- ганглионеврома;
- феохромоцитома.
- кортикостерома;
- кортикоэстерома;
- альдостерома;
- андростерома;
- смешанная форма.
- ; .
Рак может быть первичным – из ткани железы, и вторичным – развившимся вследствие метастазирования новообразований других органов.
Первичные опухоли делятся на:
- гормонально-неактивные – инциденталомы, или «клинически немые» новообразования;
- гормонально-активные.
Инциденталомы чаще являются доброкачественными опухолями.
Стадирование
Максимально точное выявление стадии опухоли влияет на тактику лечения и прогноз заболевания. Для стадирования рака надпочечников используют международную классификацию TNM, где T – размер первичной опухоли, N – вовлечение в процесс регионарных лимфоузлов, M – наличие отдаленных метастазов.
TNM
Признаки
Первичная опухоль менее 5 см, регионарные лимфоузлы не задействованы, нет отдаленных метастазов
Размер первичной опухоли более 5 см, нет распространения в лимфоузлы и отдаленные органы
Опухоль размером до 5 см и более, в процесс вовлечены регионарные лимфоузлы, возможна инвазия в соседние органы. Отдаленных метастазов нет
Обнаруживаются отдаленные метастазы при любом размере первичной опухоли
Диагностика рака надпочечников
В зависимости от имеющихся симптомов больные часто обращаются с жалобами к терапевту, эндокринологу, гинекологу. Врач проводит общий осмотр, собирает анамнез жизни и болезни, назначает общие анализы крови и мочи.
При обнаружении любой опухоли надпочечника диаметром более 1 см пациенту необходимо обследование эндокринной функции. В него входят анализы на различные виды гормонов. Обследование помогает оценить статус опухоли (гормонопродуцирующая или нет) и выяснить, какие именно гормоны она вырабатывает. Рекомендованы анализы на следующие гормоны:
- кортизол;
- андростендион;
- эстрадиол;
- тестостерон;
- АКТГ;
- ДГЭА-сульфат;
- 17-гидроксипрогестерон.
Гормональную активность опухоли также оценивают с помощью селективной надпочечниковой флебографии – проводится рентгеноконтрастная катетеризация надпочечниковых вен, во время которой забирается кровь и исследуется на уровень гормонов.
Для обнаружения первичной опухоли, оценки поражения лимфатических узлов, выявления метастазов назначают ультразвуковое исследование почек и надпочечников, других органов, КТ или МРТ с контрастом, рентгенографию органов грудной клетки, сцинтиграфию.
Биопсия опухоли при раке надпочечников не показана, так как очень часто приводит к появлению метастазов по ходу введения пункционной иглы.
Тактика лечения
Для лечения рака надпочечников применяют комплексный подход – оперативное удаление опухоли вместе с железой и ближайшими лимфатическими узлами и последующую химио-, лучевую терапию, введение радиоактивных изотопов. Оперативное лечение также показано при рецидивах заболевания, для хирургического удаления метастазов (доступных для вмешательства).
Иногда химиотерапию, воздействие радиоактивными изотопами применяют до операции с целью уменьшения размеров опухоли. Для снижения токсического воздействия может назначаться адъювантная химиотерапия, при которой действующее вещество накапливается в зоне патологического разрастания клеток.
В зависимости от гормонального статуса опухоли возможно применение гормонотерапии.
Врачи очень взвешенно подходят к принятию решения об операции, так как удаление опухоли надпочечников – сложная процедура с большим риском осложнений. При неоперабельных опухолях, выявлении рака на поздних стадиях, наличии отдаленных метастазов показано симптоматическое и паллиативное лечение.
После оперативного лечения, во время химио- или лучевой терапии, в восстановительный период и далее в течение всей жизни больные должны находиться под наблюдением эндокринолога и онколога.
Прогноз заболевания
Рак надпочечников, в особенности выявленный на поздних стадиях, с метастазированием, имеет неблагоприятный прогноз. Результат лечения также зависит от возраста пациента, наличия сопутствующих заболеваний, вида опухоли, реакции организма на химиотерапию. В среднем пятилетняя выживаемость пациентов с первой стадией рака составляет порядка 80%, со второй – 50%, с третьей – 20%, с четвертой – 10%.
Профилактика
Специфической профилактики заболевания не существует. Здоровый образ жизни, правильное питание, отсутствие вредных привычек рекомендованы для предупреждения разных патологий, не только злокачественных опухолей.
При выявлении любых настораживающих симптомов следует как можно скорее обращаться к врачу, чтобы не пропустить начало болезни. Людям с хроническими заболеваниями необходимо проходить периодические обследования, сдавать назначенные доктором анализы.
Для предупреждения рецидивов после лечения рака надпочечников и возникновения осложнений нужно вовремя проходить контрольные осмотры, соблюдать все врачебные рекомендации.
Информация в статье предоставлена в справочных целях и не заменяет консультации квалифицированного специалиста. Не занимайтесь самолечением! При первых признаках заболевания необходимо обратиться к врачу.
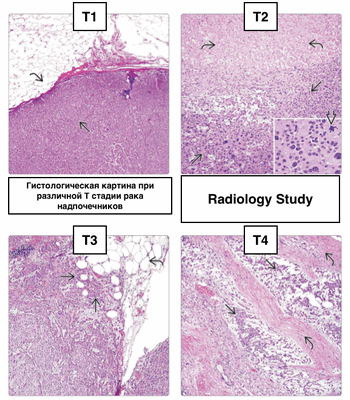
Стадирование рака надпочечников (TNM, AJCC).
Адренокортикальный рак (АКР) – редкая злокачественная опухоль, исходящая из коркового слоя надпочечников, агрессивностью клинического течения и, до настоящего момента, неблагоприятным лечебным прогнозом. АКР может быть гормонально-активным, являясь причиной синдрома Кушинга (в том числе субклинического), и/или вирильного синдрома, или может быть гормонально неактивным и проявляться общими, нехарактерными симптомами. Часть случаев АКР может выявляться как инсиденталома надпочечника.
![]()
Морфологическая диагностика:
Морфологическая диагностика должна включать одну из принятых систем балльной оценки злокачественного потенциала опухоли и ее органной принадлежности. (В).Морфологическая диагностика АКР основывается на изучении и оценке микроскопических критериев, с балльной оценкой и высчитыванием индекса по vanSlooten или Weiss. В настоя- щее время к широкому применению рекомендованы критерии Weiss, как наиболее информа- тивные и простые для повсеместного использования. По системе Weiss оценивают 9 микро- скопических критериев, любой из них оценивается в 1 балл:
- высокий ядерный индекс по Fuhrman
- митотический индекс более 5% в 500 полях зрения
- атипические митозы
- доля «светлых» клеток менее 75% в опухоли.
- диффузная архитектура более 1/3 опухоли.
- некрозы
- венозная инвазия
- синусоидальная инвазия
- инвазия в капсулу.
При наборе 3 баллов и более по Weiss выставляется диагноз АКР.
Для оценки злокачественного потенциала опухоли применяются маркеры пролифера- ции, наиболее часто исследуют индекс Ki-67.
![]()
Стадирование АКР:
Для стадирования АКР долгое время применялись авторские классификации (MacFarlane,Sullivan, Icard, Lee). Классификация АКР по UICC впервые издана в 2004г.
Т – первичная опухоль:
- Тх - Первичная опухоль не может быть оценена.
- Т0 - Отсутствуют данные о первичной опухоли.
- Т1 - Опухоль не более 5см в наибольшем измерении без инвазии за пределы надпочечника.
Пример Т1 представлен в виде схемы.
![]()
- Т2 - Опухоль более 5см без инвазии за пределы надпочечника
Пример Т2 представлен в виде схемы.
![]()
- Т3 - Опухоль любого размера с очаговой инвазией, но без прорастания в прилежащие органы.
Пример Т3 представлен в виде схемы.
![]()
- Т4 -Опухоль любого размера с инвазией в смежные органы (почка, печень, диафрагма, поджелудочная железа, крупные сосуды); опухолевый тромбоз почечной вены или НПВ.
Пример Т4 представлен в виде схемы.
![]()
Пример Т4 представлен в виде схемы на аксиальном срезе.
![]()
- Nx - Регионарные лимфоузлы не могут быть оценены
- N0 - Регионарные лимфоузлы не поражены
- N1 - Метастазы в регионарные лимфоузлы
- M0 - Отдаленных метастазов нет
- M1 - Есть отдаленные метастазы
Пример N1 и M1 представлен в виде схемы на аксиальном срезе.
Стадирование:
Стадии и прогностические группы согласно AJCC.
T1N1M0 T2N1M0 T3N0M0
T3N1M0; T4N0M0; T4N1M0; любая стадия T любая N при M1
В некоторых учреждениях также используют классификацию (группировка по стадиям) по ENSAT (European Network for the Study of Adrenal Tumors) – европейской сети по изучению опухолей надпочечников (В).
Стадия по ENSAT
- I T1N0M0 Размер
- II T2N0M0 Размер >5 см
- III T(1,2)N(1)M(0) T(3,4)N(0,1)M0 - Метастазы в лимфоузлах, опухолевая инфильтрация в соседние органы и почку и/или тромбоз нижней полой вены
- IV T(1-4)N(1-2)M1 - Отдаленные метастазы
Согласно классификации ENSAT к IV стадии относят только случаи с отдаленными метастазами. Местнораспространенные опухоли, в том числе с опухолевым тромбозом, относятся к III стадии.
Распределение метастазов по органам при первичной карциноме надпочечников согласно данным Bilimoria KY et al: Adrenocortical carcinoma in the United States: treatment utilization and prognostic factors. Cancer. 113(11):3130-6, 2008.
Лучевая диагностика смешанной опухоли надпочечника
а) Определение:
• Сосуществование двух смежных, но гистологически различных опухолей в одном надпочечнике
• Не являются сложными опухолями (т. е. опухоль со смешением разных типов клеток)б) Визуализация:
1. Общие характеристики смешанной опухоли надпочечника:
• Лучший диагностический критерий
о Надпочечники содержат две отдельные самостоятельные опухоли
о ПЭТ/КТ-наиболее целесообразный неинвазивный метод диагностики
о Гистологическая верификация с помощью чрескожной биопсии с визуальным контролем
• Односторонняя локализация: обе опухоли могут быть злокачественными, обе могут быть доброкачественными или одна может быть злокачественной, а вторая - доброкачественной2. КТ при смешанной опухоли надпочечника:
• Два образования различной плотности:
о Макроскопический жир: миелолипома
о КТ без контраста, плотность менее 10 HU: аденома с высоким содержанием липидов (или киста)
о КТ без контраста, плотность более 10 HU: аденома с низким содержанием липидов, метастазы, феохромоцитома и др.:
- КТ с контрастированием и оценкой динамики вымывания контраста может помочь в дифференциальной диагностике
о Миелолипома и аденома - самая распространенная смешанная опухоль надпочечников, однако аденома может иметь небольшие очаги макроскопического жира3. МРТ при смешанной опухоли надпочечника:
• Два образования с разным сигналом
• МРТ с отображением химического сдвига (на синфазных и противофазных изображениях) для выявления аденомы с высоким содержанием липидов4. Радионуклидная диагностика:
• ПЭТ/КТ:
о ФДГ-позитивное образование предполагает сосуществующую злокачественную опухоль5. Рекомендации по визуализации:
• Лучший метод визуализации:
о КТ для выявления смешанной опухоли надпочечника:
- ПЭТ/КТ для описания образования![МРТ при смешанной опухоли надпочечника]()
(Слева) МРТ, синфазное Т1-ВИ, аксиальная проекция: выявлено неопределенное поражение левого надпочечника размером 4 см.
(Справа) Соответствующее противофазное изображение показывает, что образование надпочечника фактически состоит из двух отдельных частей. Подавление сигнала от периферической части указывает на аденому с высоким содержанием липидов. Сигнал более высокой интенсивности от центральной части указывает на метастаз. Смешанные опухоли, подобные этим, могут развиваться спонтанно, учитывая высокую распространенность аденом и метастазов у онкологических пациентов.в) Дифференциальная диагностика смешанной опухоли надпочечника:
1. Аденома надпочечника:
• Выпадение сигнала в последовательности градиентного эхо на противофазном изображении; менее 10 HU на бесконтрастной КТ
• Картина быстрого вымывания контрастного вещества при КТ с контрастированием2. Рак надпочечника:
• Большие размеры (обычно более 5 см); центральный некроз и кровоизлияние
• Метастазы в легких, лимфаденопатия, венозная инвазия3. Метастазы в надпочечнике и лимфома:
• Метастазы: односторонние или двусторонние, наличие злокачественного новообразования:
о Гиперинтенсивные на Т2-ВИ; задержка вымывания контраста
о Более 20 HU и гетерогенное образование на бесконтрастной КТ
• Лимфома: обычно двусторонняя, гиповаскуляризированная4. Миелолипома надпочечника:
• Макроскопические жировые включения5. Кровоизлияние в надпочечник:
• Обычно при травмах или стрессах![МРТ при смешанной опухоли надпочечника]()
(Слева) МРТ, синфазное Т1-ВИ, коронарная проекция, выполненная для оценки поражения надпочечников пожилой женщине с фиброзом легких: выявлено образование левого надпочечника размером 3 см. Обратите внимание на четко отграниченный центральный компонент со сниженной ИС.
(Справа) На противофазном изображении вновь отмечено подавление сигнала по периферии (указывает на аденому с высоким содержанием липидов) и отдельное неопределенное образование. В связи с ростом образования выполнена его резекция. При патогистологическом исследовании установлено, что смешанная опухоль состоит из аденомы и шванномы (редкое доброкачественное поражение надпочечника).г) Патология:
1. Общие характеристики:
• Ассоциированные аномалии:
о Необычный вариант синдрома множественной эндокринной неоплазии; смешанная опухоль надпочечника в качестве компонента2. Макроскопические и хирургические признаки:
• Увеличенные надпочечники, содержащие две отдельные опухоли
• При лапароскопической резекции визуализируют неопределенную смешанную опухоль3. Микроскопия:
• Две различные прилегающие опухоли или находящиеся в непосредственной близости друг от друга
• Не является сложной опухолью (т.е. два разных гистологических типа внутри одной опухоли)д) Клинические особенности:
1. Эпидимеология:
• Встречают крайне редко; распространенность не известна
• Возможно спонтанное возникновение (высокое распространение аденомы надпочечника и метастазов надпочечника); можно также предположить роль канцерогенных факторов, создающих благоприятные условия для развития опухоли
2. Течение и прогноз:
• Вариабельны, зависят от гистологического строения каждого компонентае) Диагностическая памятка. Следует учесть:
• Аденома может содержать жировые включения и не отличаться от смешанной опухоли аденомы/миелолипомы
• Наиболее клинически значимый вариант - сосуществование аденомы и метастазов
• История заболевания (выявленное первичное заболевание) и сосуществующие поражения надпочечников с отличающейся плотностью или ИС должны повысить настороженность
• ПЭТ для начальной оценки; целенаправленная чрескожная биопсия неаденомного компонента в сложных случаяхж) Список использованной литературы:
1. Untch BR et al: Imaging and management of a small cell lung cancer metastasis/adrenal adenoma collision tumor: a case report and review of the literature. World J Surg Oncol. 12:45, 2014
2. Katabathina VS et al: Adrenal collision tumors and their mimics: multimodality imaging findings. Cancer Imaging. 13(4):602— 10, 2013
3. Anderson SB et al: Adrenal collision tumor diagnosed by F-18 fluorodeoxyglucose PET/CT. Clin Nucl Med. 35(6):414-7, 2010
4. Blake MA et al: Collision adrenal tumors on PET/CT. AJR Am 1 Roentgenol. 183(3):864—5, 2004
5. Otal P et al: Imaging features of uncommon adrenal masses with histopathologic correlation. Radiographics. 19(3):569—81, 1999
6. Schwartz LH et al: Collision tumors of the adrenal gland: demonstration and characterization at MR imaging. Radiology. 201 (3):757—60, 1996Лучевая диагностика метастазов в надпочечники
а) Визуализация:
1. Общие характеристики:
• Лучший диагностический критерий:
о Отдельные или диффузные надпочечные образования мягкотканной плотности у пациента со злокачественным новообразованием вненадпочечниковой локализации в анамнезе
• Основные представления:
о Четвертая наиболее распространенная локализация гематогенного метастазирования после легких, печени и костей
- Наиболее распространенные первичные локализации:
Злокачественная меланома: 50% метастазов в надпочечники
Рак легких и молочной железы: 30-40% метастазов в надпочечники
Злокачественные новообразования почки и желудочно-кишечного тракта: 10-20% метастазов в надпочечники
- Указывают на IV стадию, отдаленные метастазы
- Обычно отдельные внутрипаренхиматозные образования:
Односторонние или двусторонние; небольшие или большие
- Непосредственное прорастание в надпочечник из опухолей смежных органов:
Почки, поджелудочная железа, желудок, печень, забрюшинное пространство
о Истинную распространенность вторичных метастазов в надпочечники определить сложно
- Более чем в 30% случаев опухоли надпочечника могут метастазировать
- Случайно выявленные поражения надпочечников крайне маловероятно являются метастатическими у пациентов, в анамнезе которых отсутствуют злокачественные новообразования вненадпочечниковой локализации2. КТ при метастазах в надпочечники:
• Метастазы небольших размеров:
о Имеют круглую или овальную форму с четкими контурами
о Контуры надпочечника могут быть сохранены
о Гомогенное образование мягкотканной плотности
о Односторонние или двусторонние
о Некроз, кровоизлияния или обызвествления встречают редко
о Могут имитировать аденому с низким содержанием липидов на бесконтрастной КТ
• Крупные метастазы:
о Односторонние или двусторонние образования надпочечника
о Имеют гетерогенную плотность (некроз, кровоизлияние)
о Смещение нормального контура надпочечников
о Имеют правильную или неправильную форму
о Возможны некроз, кровоизлияние, обызвествление в центре
о Возможно утолщение стенки
о Гиперваскуляризированное или гиповаскуляризированное образование
о Редко возможна инвазия в соседние органы
о Картина длительного вымывания на КТ с контрастированием:
- Объем абсолютного вымывания менее 60% или относительное вымывание объемом менее 40% после 15-минутной задержки указывают на метастазы или другие «не аденомы»
- Внимание: гиперваскуляризация метастазов надпочечников (гепатоцеллюлярная карцинома, ПКР) может иметь картину быстрого вымывания контраста, соответствующую аденоме с низким содержанием липидов3. МРТ при метастазах в надпочечники:
• Без некроза и кровоизлияний:
о Т1-ВИ: обычно гомогенное и гипоинтенсивное образование
о Т2-ВИ: относительно гиперинтенсивное образование
о Отсутствует потеря сигнала на противофазной МРТ в последовательности градиентного эхо (в отличие от аденомы с высоким содержанием липидов)
• С некрозом и кровоизлияниями:
о Повышение сигнала на Т1-ВИ предполагает кровоизлияние
о Повышение сигнала на Т2-ВИ из-за некроза: может имитировать феохромоцитому
о Повышение сигнала на противофазном Т1-ВИ, а также на Т1 -ВИ в режиме подавления сигнала от жировой ткани исключает аденому и миелолипому
• ДВИ не имеют практического значения: наложение измеряемых коэффициентов диффузии доброкачественных и злокачественных образований
• Рекомендована МР-спекгроскопия, несмотря на технические сложности применения при небольших надпочечниковых поражениях и отсутствие повсеместной доступности4. УЗИ при метастазах в надпочечники:
• Исследование в режиме серой шкалы:
о Неспецифические проявления: солидное, относительно гипоэхогенное образование(я) над почкой5. Ангиография:
• Гиперваскуляризация: ПКР или метастазы саркомы
• Гиповаскуляризация: плоскоклеточный метастатический рак6. Внесосудистые вмешательства:
• Биопсия под визуальным контролем для подтверждения диагноза:
о Как правило, не требуется; достаточно данных визуализации и клинических проявлений7. Радионуклидная диагностика:
• ФДГ ПЭТ:
о Гиперметаболическое образование надпочечника: активность выше, чем в печени
о Мета-анализ ФДГ ПЭТ: средняя чувствительность и специфичность составляют 97% и 91% для дифференцирования между доброкачественными и злокачественными образованиями надпочечника
о ФДГ ПЭТ/КТ:
- Улучшенная пространственная анатомическая локализация
- Комбинированный анализ ПЭТ (соотношение стандартизованного уровня захвата в надпочечниках/печени) и определение плотности на бесконтрастной КТ повышает точность исследования:
Ложноотрицательный результат: небольшие (менее 8 мм) метастазы, низкая ФДГ-авидность новообразования (нейроэндокринные опухоли, бронхоальвеолярный рак), некроз опухоли или кровоизлияние
Ложноположительный результат: аденома надпочечника, феохромоцитома, воспалительные/гранулематозные заболевания8. Рекомендации по визуализации:
• Лучший метод визуализации:
о Как правило, достаточно проведение спиральной бесконтрастной КТ и КТ с контрастированием:
- Как правило, поражение выявляют в ходе первичного определения стадии заболевания
о ПЭТ/КТ для первичного определения стадии и оценки эффективности лечения
• Советы по протоколу:
о КТ: срезы толщиной менее 3 мм с интервалом в 3 мм или меньше
о МРТ: синфазные или противофазные Т1 -ВИ в последовательности градиентного эхо для исключения аденомы![КТ, МРТ, ПЭТ, УЗИ при метастазах в надпочечники]()
(Слева) КТ с контрастированием, аксиальная проекция: у пациента после нефрэктомии по поводу ПКР выявлено новое гиперваскуляризированное образование правого надпочечника №. В отсроченную фазу наблюдают образование без ФДГ-авидности с быстрым вымыванием контраста. Несмотря на данные результаты, наличие опухоли и анамнез пациента указывают на метастазы (подтверждено биопсией и адреналэктомией).
(Справа) ФДГ ПЭТ/КТ: у пациента, страдающего раком легких, выявлены огромные некротические метастазы в надпочечнике. Обратите внимание на скудное остаточное поглощение по периферии поражения справа и ФДГ -позитивные метастазы правой стенки грудной клетки.в) Дифференциальная диагностика при метастазах в надпочечники:
1. Аденома надпочечника:
• КТ без контрастирования:
о Аденома с высоким содержанием липидов: низкая плотность (менее 10 HU):
- Характерный и диагностический признак аденомы
о Аденома с низким содержанием липидов: плотность варьирует - 10-30 HU
- На бесконтрастной КТ выглядит как метастазы
о Большая аденома: гетерогенная плотность:
- Вследствие кровоизлияния, кистозного перерождения, кальцификации
• КТ с контрастом:
о Аденома с высоким и низким содержанием липидов:
- Абсолютное вымывание контраста из аденомы: через 15 мин после внутривенного введения - более 60%
- Картина вымывания: обычно характерна для аденомы, однако частично совпадает с гиперваскуляризированными метастазами (гепатоцеллюлярная карцинома, ПКР)
• Противофазное Т1-ВИ в последовательности градиентного эхо:
о Аденома с высоким уровнем липидов: отчетливое «выпадение» сигнала
о Аденома с низким уровнем липидов: минимальная потеря сигнала2. Рак надпочечника:
• Встречают редко; одностороннее контрастируемое образование с инвазивным ростом
• Более 6 см при первичном обнаружении3. Кровоизлияние в надпочечник:
• Острое: скопление жидкости высокой плотности (40-60 HU)
• Хроническое: участок низкой плотности (20-30 HU)
о Может имитировать метастазы или лимфому
• Размер и плотность быстро изменяются в отличие от опухоли4. Феохромоцитома:
• Высокая васкуляризация; склонна к кровоизлияниям и некрозу
• Очень гиперинтенсивна на Т2-ВИ
• Двусторонняя опухоль надпочечников при синдроме множественной эндокринной неоплазии типов 2А и 2В или болезни фон Гиппеля-Линдау5. Миелолипома надпочечника:
• Опухоль состоит из жировых и кроветворных элементов
• Обычно гетерогенные жировые образования надпочечников
• Опухоль с высоким содержанием жира:
о Режим подавления сигнала от жировой ткани: гипоинтенсивное образование
о Отчетливое «выпадение» сигнала на стыке жировой/мягкой ткани
• Редко двусторонняя![КТ, МРТ, ПЭТ, УЗИ при метастазах в надпочечники]()
(Слева) MPT, SPGR, синфазное изображение, аксиальная проекция: у пациента после резекции печени по поводу мультифокального гепатоцеллюлярного рака, трансартериальной химиоэмболизации и надпочечниковой ме-тастазэктомии справа выявлено небольшое образование надпочечника слева.
(Справа) МРТ, SPGR, противофазное изображение, аксиальная проекция: у того же пациента отмечено отсутствие значительной потери сигнала от поражения надпочечника. При использовании только лишь МР-визуализации можно предположить аденому с низким содержание липидов, однако анамнез и непрерывный рост опухоли указывают на метастазы.
P.S. Последовательность SPGR (spoiled gradient-recalled echo) - градиентное эхо с очищением.1. Общие характеристики:
• Сопутствующая патология:
о Первичное злокачественное новообразование вненадпочечниковой локализации обычно выявляют при обнаружении метастазов в надпочечнике
о Смешанная опухоль надпочечника:
- Метастазы и аденома в одном надпочечнике
• Нормальная анатомия надпочечников:
о Локализуются между позвонками Т1 и L2, латеральнее тела L1
о Железа состоит из переднемедиально расположенного тела и двух ножек
о Максимальная ширина тела: 0,79 мм (справа), 0,6 мм (слева) о Длина ножек надпочечника варьирует: может быть до 4 см
о Ширина ножек: менее 1 см (справа тоньше, чем слева)2. Макроскопические и хирургические признаки:
• Отдельные или рассеянные; односторонние или двусторонние
• Возможны кисты, некрозы, кровоизлияния, участки кальцификации3. Микроскопия:
• Зависят от первичного пораженияд) Клинические особенности:
1. Клиническая картина метастазов в надпочечники:
• Наиболее распространенные признаки/симптомы:
о Клиническая картина практически всегда стерта
о Большие образования: недостаточность коры надпочечников (болезнь Аддисона) при повреждении 90% тканей
о Болезнь Аддисона: слабость, потеря веса, анорексия, тошнота, рвота, артериальная гипотензия, пигментация кожи
• Клинический профиль:
о Пациент со злокачественной опухолью другой локализации и проявлением болезни Аддисона
• Лабораторные данные:
о Надпочечниковая недостаточность:
- Снижение уровней кортизола, альдостерона, андрогенов; повышение уровня АКТГ
- Снижение уровней Na + и Cl - ; повышение уровня К +
• Диагностика: визуализация и (редко) чрескожная пункционная биопсия2. Демография:
• Возраст:
о Разные возрастные группы; большая распространенность в пожилом возрасте
• Пол:
о Мужчины и женщины болеют одинаково часто3. Естественное течение и прогноз:
• Осложнения: недостаточность коры надпочечников
• Прогноз: обычно неблагоприятный4. Лечение:
• Химиотерапия и наблюдение
• Некоторым пациентам с изолированными метастазами в надпочечниках могут быть рекомендованы резекция или абляция![КТ, МРТ, ПЭТ, УЗИ при метастазах в надпочечники]()
(Слева) КТ с контрастированием, аксиальная проекция: у пациента, страдающего раком толстой кишки, выявлены гладкие однородные метастазы в надпочечнике слева. Вне клинического контекста статистически более вероятна аденома, однако история заболевания, метастазы в печени (не показаны) и рост опухоли указывают на метастазы.
(Справа) КТ с контрастированием, аксиальная проекция: у пациента с раком легкого в анамнезе выявлено новое изолированное образование надпочечника. Несмотря на то, что относительное вымывание, составляющее 42%, может указывать на аденому с низким содержанием липидов, адреналэктомия, проведенная с учетом отсутствия других поражений, подтвердила метастаз.е) Диагностическая памятка:
1. Следует учесть:
• Уточнение анамнеза на первичный рак
2. Советы по интерпретации изображений:
• Клинические проявления обычно помогают поставить правильный диагноз
• Большое значение имеет сравнение с предыдущими исследованиями: впервые выявленное поражение надпочечника у онкологического пациента почти всегда указывает на метастазы
• Визуализация важна при подозрении на злокачественный процесс и определении стадии заболевания
• Метод ПЭТ /КТ вытеснил многие другие лучевые методы и биопсию у пациентов с образованием(ями) надпочечника и существующим ракомГормонально-неактивные опухоли надпочечников
Гормонально-неактивные опухоли надпочечников (инциденталомы) – различные новообразования надпочечников, не секретирующие гормоны и не приводящие к гормональным нарушениям. Доброкачественные инциденталомы протекают бессимптомно; злокачественные новообразования проявляются интоксикационным синдромом, увеличением объема живота. Диагностика опухолей надпочечников проводится с помощью УЗИ, КТ желез, селективной ангиографии, тонкоигольной аспирационной биопсии, сцинтиграфии. При инциденталомах малого размера может осуществляться динамическое наблюдение; получение данных за злокачественный характер опухоли служит основанием для адреналэктомии.
Общие сведения
Гормонально-неактивные опухоли надпочечников чаще всего являются случайными находками в эндокринологии. Частота выявления инциденталом составляет 1,5-8,7% от всех опухолей надпочечников. Инциденталомы обычно диагностируются в возрасте 30-60 лет, преимущественно у женщин. В 60 % наблюдений опухоли обнаруживаются в левом надпочечнике, в 3-4% случаев имеют двустороннюю локализацию. На долю рака коры надпочечников приходится 0,02-0,04% случаев всех злокачественных опухолей.
В отличие от гормонопродуцирующих опухолей (альдостеромы, кортикостеромы, феохромоцитомы, феминизирующих или вирилизирующих опухолей), инциденталомы не приводят к развитию специфических клинических проявлений (гиперальдостеронизма, гиперкортицизма, вегетативных кризов, эстроген-генитального и андроген-генитального синдромов).
Классификация инциденталом надпочечников
Гормонально-неактивные опухоли надпочечников могут быть доброкачественными и злокачественными, иметь первичное или вторичное (метастатическое) происхождение. С учетом гистогенеза выделяют первичные эпителиальные инциденталомы коркового вещества (аденомы, карциномы), мезенхимальные новообразования (липомы, миелолипомы, фибромы, гамартромы, ангиомы), опухоли мозгового слоя надпочечника (ганглиомы, нейробластомы, ганглионевромы, симпатогониомы и др.). Среди сравнительно редких гормонально-неактивных опухолей надпочечников встречаются псевдокисты, ретенционные и паразитические кисты надпочечников.
Первичный рак коры надпочечников классифицируется в соответствии со стадиями TNM.
- Т1 – опухоль относительно малых размеров - до 5 см
- Т2 – опухоль относительно больших размеров - более 5 см
- ТЗ – опухоль любого размера с прорастанием в окружающие ткани
- Т4 - опухоль любого размера с инвазией в органы брюшной полости и забрюшинного пространства (печень, поджелудочную железу, почки, нижнюю полую вену и др.).
- N0 – отсутствуют увеличенные лимфатические узлы
- N1 – обнаруживаются метастазы в паракавальные и парааоротальные лимфоузлы
- МО - отсутствуют отдаленные метастазов М1 – выявляются отдаленные метастазы в легкие, головной мозг, костную систему, ЖКТ, почки, матку, печень.
Симптомы инциденталомы надпочечников
Инциденталомы, имеющие малые размеры, обычно являются «клинически немыми», т. е. не дают клинической симптоматики и не нарушают функцию надпочечников. Некоторые из этих опухолей секретируют незначительное количество гормонов, недостаточное для развития клинических синдромов. Инциденталомы часто сопутствуют таким заболеваниям, как сахарный диабет, ожирение, артериальная гипертензия.
Гормонально-неактивные злокачественные опухоли надпочечников проявляются интоксикационным синдромом: лихорадкой, миастенией, миалгией, артралгией, снижением аппетита, похуданием. Опухоли большого размера могут сопровождаться увеличением объема живота и обнаруживаться пальпаторно.
Диагностика инциденталомы надпочечников
Чаще всего инциденталомы диагностируются в процессе визуализирующих исследований брюшной полости и забрюшинного пространства (УЗИ, КТ, МРТ), выполняемых по поводу других заболеваний.
При выявлении того или иного опухолевого образования надпочечников на следующем этапе уточняется его гормональная активность и гистологическая структура. С этой целью выполняется определение базального уровня гормонов надпочечников (кортизола, альдостерона, эстрогенов, андрогенов, катехоламинов) и их содержания в крови в ответ на стимулирующие пробы. Кроме гормональных тестов, при выявлении инциденталом проводится исследование уровня калия крови (для исключения гиперальдостеронизма), дегидроэпиандростерон сульфата - маркера секреции андрогенов.
В рамках диагностики инциденталом выполняется селективная ангиография (артериография, флебография), доплерография надпочечников, радионуклидная сцинтиграфия, экскреторная урография. Вопрос о тактике лечения при случайных инциденталомах решается по результатам тонкоигольной аспирационной биопсии надпочечника. Несмотря на высокую информативность биопсии, применение ее ограничено в связи с высокой вероятностью развития осложнений (гемоторакса, пневмоторакса, кровотечения, гематурии, гематомы почечной или печеночной паренхимы, панкреатита, инфекции и т. д.).
Лечение инциденталомы надпочечников
Лечебная тактика в отношении инциденталом определяется дифференцированно. При доказанном доброкачественном характере новообразования, нормальном уровне гормонов, отсутствии субклинических проявлений и малых размерах опухоли (менее 3 см) за пациентом может устанавливаться динамическое наблюдение эндокринолога.
Хирургическому удалению подлежат доброкачественные инциденталомы надпочечников диаметром свыше 3 см, даже при отсутствии их гормональной активности. Опухоли с признаками злокачественного роста (быстрое увеличение размеров, неровность контуров, неоднородность ткани, микрокальцинаты, обильная васкуляризация, наличие атипичных клеток в аспирате и др.) также являются показанием к оперативному лечению. При гормонально-неактивных опухолях надпочечников может выполняться односторонняя адреналэктомия (в т. ч. лапароскопическая), при поражении обеих желез - двустороннее удаление надпочечников.
При неоперабельных злокачественных опухолях надпочечников показано химиолучевое лечение.
Читайте также:












