Лучевая диагностика воспаления околоушной железы
Добавил пользователь Валентин П. Обновлено: 28.01.2026
а) Терминология:
1. Синонимы:
• Острый сиалоаденит
2. Определение:
• Острое воспаление околоушной слюнной железы
о Бактериальный: локальная бактериальная инфекция; ± абсцесс
о Вирусный: обычно следствие системной вирусной инфекции
о Обструктивный: вызванное закупоркой выводного протока железы сиалолитом
о Аутоиммунный: обострение хронического процесса
б) Визуализация:
1. Общая характеристика:
• Лучший диагностический критерий:
о Увеличение околоушной железы(желез) с исчерченностью жировой клетчатки
• Локализация:
о Бактериальное: обычно односторонний процесс
о Вирусное: в 75% двусторонний процесс, возможно вовлечение в процесс поднижнечелюстных и подъязычной железы
о Обструктивное: односторонний процесс, в просвете протока визуализируется плотный камень
- Наиболее частая локализация камней: ворота железы, дистальная часть протока
о Аутоиммунное: обычно двусторонний процесс
• Морфология:
о Железа увеличена, но ее форма остается нормальной
о Обычно страдает вся железа, но иногда поражение бывает отграниченным

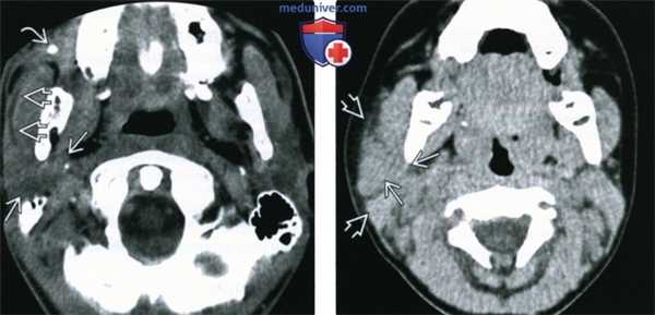
(Слева) КТ с КУ, аксиальная проекция. Подросток с обструктивным паротитом, определяется характерное увеличение правой околоушной железы с накоплением в ней контрастного вещества и расширение протока железы. В дистальном отделе протока обнаружен конкремент.
(Справа) КТ без КУ, аксиальная проекция. Диффузное увеличение правой околоушной железы, возникшее у пациента после травмы. Также имеется отек окружающей жировой клетчатки.
2. КТ при остром паротите:
• КТ без контрастирования
о Бактериальный: увеличенная железа повышенной плотности с нечеткими контурами
о Вирусный: увеличенная железа повышенной плотности
о Обструктивный: обычно удается визуализировать камень в протоке железы
о Аутоиммунный: окружающая жировая клетчатка поражается в меньшей степени
• КТ с КУ:
о Бактериальный: увеличенная железа, равномерно накапливающая контрастное вещество:
- Воспалительная исчерченность жировой клетчатки
- При наличии абсцесса - содержимое пониженной плотности с кольцом накопления контраста
о Вирусный: увеличенная околоушная железа, незначительно накапливающая контрастное вещество о Обструктивный: проток железы увеличен, стенки накапливают контраст, в остальном картина аналогична бактериальному воспалению
о Аутоиммунный: исчерченность жировой клетчатки меньше:
- При длительном процессе возможно расширение протока
3. МРТ при остром паротите:
• Т2ВИ:
о Диффузный гиперинтенсивный сигнал ± локальные участки сигнала повышенной интенсивности (микроабсцессы или расширение протоков)
• Т1ВИ с КУ:
о Увеличенная околоушная железа, равномерно неинтенсивно накапливающая контрастное вещество
о Абсцесс: скопление жидкости с периферическим кольцом накопления контраста
4. УЗИ при остром паротите:
• Увеличенная гипоэхогенная неоднородная железа
• Высокая чувствительность при диагностике камней
• Локальное скопление гипоэхогенного материала свидетельствует о формировании абсцесса
• Может использоваться для навигации при аспирации
5. Другие методы исследования:
• При остром гнойном паротите сиалография противопоказана:
о Если сиалоэндоскопия не доступна, может использоваться при рецидивирующих случаях и при диагностике осложнений
6. Рекомендации по визуализации:
• Лучший метод визуализации:
о Бактериальное и обструктивное воспаление: КТ с контрастированием оптимально для обнаружения абсцессов и камней
о Диагноз вирусного паротита ставится клинически:
- Методы лучевой диагностики используются редко
о Диагностика аутоиммунного поражения: маркеры крови:
- Сиалография в случае хронических осложнений
• Протокол исследования:
о Оптимизировать плоскость сканирования при КТ (параллельно верхнему ряду зубов) для того, чтобы артефакты от пломбировочного материала не помешали визуализации камней
о Опционально выполнение КТ без контрастирования:
- Достаточно крупные камни, которые способны закупорить проток, будут значительно плотнее, чем контраст в сосудах
- Камни в толще железы лучше визуализируются при помощи КТ без контрастирования

(Слева) МРТ Т1ВИ FS c КУ, аксиальная проекция. Ребенок с рецидивирующим паротитом. Левая железа увеличена в размерах и интенсивно накапливает контрастное вещество. Значительного воспаления жировой клетчатки нет. Обратите внимание, что в добавочной железистой ткани также происходит умеренное накопление контраста.
(Справа) Сиалограмма в боковой проекции, этот же пациент. В левой железе определяются множественные небольшие капли/скопления контраста, также они имеются и в добавочной железе. Обратите внимание, что размер протоков остается нормальным.
в) Дифференциальная диагностика острого паротита:
1. Синдром Шегрена:
• Сухость глаз и полости рта; артрит
• Кистозные и солидные образования околоушной железы
2. Доброкачественные лимфоэпителиальные образования при ВИЧ:
• Иногда обнаруживаются еще до серологического подтверждения диагноза
• Двустороннее неоднородное увеличение желез, ± кистозные и солидные образования в толще железы
• Увеличение шейных лимфоузлов и лимфатической ткани кольца Вальдейера
• Страдают только околоушные железы, другие слюнные железы остаются интактными
3. Сиалоз околоушной железы:
• Двустороннее длительное безболезненное увеличение околоушных желез (иногда поднижнечелюстных), ткань железы мягкая
• Встречается при алкоголизме, эндокринопатиях (особенно сахарном диабете), дефиците питания (булимия, нервная анорексия)
4. Воспаление кисты первой жаберной дуги:
• Киста первой жаберной дуги, расположенная внутри или около околоушной железы
• Присоединение инфекции клинически выглядит как абсцесс околоушной железы
• Повторные эпизоды воспаления, связанные с респираторной инфекцией верхних дыхательных путей
5. Саркоидоз околоушной слюнной железы:
• Редкое проявление саркоидоза головы и шеи
• Воспалительные изменения в лимфоузлах или ткани железы
6. Злокачественные опухоли околоушной железы:
• Аденокистозный рак околоушной железы
• Мукоэпидермоидный рак околоушной железы:
о Паралич лицевого нерва говорит в пользу злокачественной природы опухоли
о Одностороннее образование с четкими (низкая степень злокачественности) или нечеткими (высокая степень злокачественности) контурами
о Метастазы в лимфоузлах чаще встречаются при опухолях высокой степени злокачественности

(Слева) Поперечное допплеровское УЗИ обеих околоушных желез у пациента с правосторонним паротитом. Правая железа увеличена в размерах, кровоток в ней усилен (по сравнению левой железой).
(Справа) MPT Т2ВИ FS, аксиальная проекция. Двустороннее увеличение околоушных желез, имеются многочисленные участки усиления сигнала. Пациент с обострением аутоиммунного сиалоаденита. Обратите внимание, что процесс диффузный и захватывает глубокие доли желез.
г) Патология. Общая характеристика:
• Этиология:
о Бактериальный: обычно вследствие восходящей инфекции:
- Может стать следствием воспаления окружающей жировой клетчатки
- Staphylococcus aureus (50-90%) > Streptococcus, Haemophilus, Escherichia coli, анаэробы
- Гнойный паротит новорожденных может быть двусторонним, возникает вследствие бактериемии:
Чаще у недоношенных младенцев мужского пола
о Вирусный: наиболее частая причина - вирус кори из семейства парамиксовирусов; так называемый эпидемический паротит:
- Также вирусы гриппы, парагриппа, вирусы Коксаки А и В, эховирусы, вирус лимфатического хориоменингита
- Аденовирус, цитомегаловирусу ВИЧ-инфицированных
о Ювенильный рецидивирующий паротит=рецидивирующий паротит детского возраста:
- Повторяющиеся эпизоды, напоминающие корь
- Обычно начинается в возрасте пяти лет, заканчивается к 10-15 годам
- Симптомы обычно имеются со стороны одной железы, но аномалии на сиалографии определяются с обеих сторон
- Данные сиалографии напоминают таковые при синдроме Шегрена
- Этиология неизвестна
о Другие заболевания, которые могут проявляться острым паротитом:
- Синдром Шегрена
- Синдром Микулича
- Сухой кератоконъюнктивит, острая стадия
• Бактериальный и обструктивный паротит обычно односторонний
• Вирусный и аутоиммунный паротит обычно двусторонний
д) Клинические особенности:
1. Проявления:
• Типичные признаки/симптомы:
о Бактериальный: отек и боль в области железы, внезапное начало
о Вирусный: продромный период (головная боль, недомогание, миалгия), вслед за которым появляются боль в области железы, боль в ухе, тризм
о Обструктивный: неоднократные эпизоды болезненного увеличения железы, приступы часто связаны с приемом пищи
о Аутоиммунный: неоднократные эпизоды болезненного увеличения железы, которые сочетаются с сухостью во рту
• Клиническая картина:
о Бактериальный: острое болезненное увеличение железы у ослабленного пациента или новорожденного
о Предрасполагающие факторы:
- Дегидратация, предшествующие оперативные вмешательства, прием диуретиков или антихолинергических препаратов, замедляющих ток в железе
- Обструкция протока камнем
- Иммунодефицит, плохая гигиена полости рта, недоедание
- Вирусный: чаще встречается у детей, которые не привиты от кори, паротита, краснухи
2. Демография:
• Возраст:
о Бактериальный: >50 лет или новорожденные
о Вирусный: обычно - Взрослые чаще всего иммунны, поскольку получали вакцину от кори, паротита, краснухи
3. Течение и прогноз:
• Смертность при бактериальном паротите может достигать 20%:
о Объясняется тем, что чаще встречается у пожилых ослабленных пациентов
• При раннем начале лечения прогноз благоприятный, но следует помнить о некоторых возможных осложнениях:
о Ранние осложнения:
- Формирование абсцесса → прорыв в глубокие фасциальные пространства шеи, наружный слуховой проход (НСП), височно-нижнечелюстной сустав
- Тромбофлебит занижнечелюстной или лицевой вен -тромбоз внутренней яремной вены
- Парез лицевого нерва встречается редко, обычно функция нерва восстанавливается
о Поздние осложнения:
- Сиалэктаз (расширение протока) с повторяющимися эпизодами воспаления, снижением слюноотделения, болью
• Вирусный паротит разрешается самостоятельно, отек сохраняется о Системные осложнения вируса кори:
- Орхит, менингоэнцефалит, тиреоидит, сенсоневральная тугоухость, панкреатит
• Аутоиммунный: медленно прогрессирующее заболевание:
о Может осложняться неходжкинской лимфомой
4. Лечение острого паротита:
• Бактериальный паротит:
о Антибиотики широкого спектра действия, регидратация, гигиена полости рта, слюногонные средства о Хирургическое вскрытие абсцесса
• Вирусный паротит:
о Поддерживающая терапия: покой, регидратация
• Ювенильный рецидивирующий паротит:
о Сиалоэндоскопия ± местные глюкокортикоиды
• Обструктивный паротит:
о Удаление небольших камней из протока (через рот)
о Более крупные камни, расположенные в проксимальном отделе протока, могут потребовать хирургического удаления ± паротидэктомии
• Аутоиммунный паротит:
о Иммунодепрессанты (глюкокортикоиды)
е) Диагностическая памятка:
1. Следует учесть:
• Для исключения осложнений при рецидивирующих случаях выполняется сиалография
• Если после стихания острого воспаления объемное образование сохраняется, для исключения злокачественной опухоли или абсцесса необходимо повторить визуализацию железы
2. Советы по интерпретации изображений:
• Тщательно оценить выносящий проток железы на предмет наличия камней
ж) Список использованной литературы:
1. Ramakrishna J et al: Sialendoscopy for the management of juvenile recurrent parotitis: A systematic review and meta-analysis. Laryngoscope. 125(6): 1472-9,2015
2. Roby BB et al: Treatment of juvenile recurrent parotitis of childhood: an analysis of effectiveness. JAMA Otolaryngol Head NeckSurg. 141 (2): 126-9, 2015
3. Francis CL et al: Pediatric sialadenitis. Otolaryngol Clin North Am. 47(5):763-78, 2014
4. Lampropoulos P et al: Acute suppurative parotitis: a dreadful complication in elderly surgical patients. Surg Infect (Larchmt). 13(4):266-9, 2012
Лучевая диагностика воспаления околоушной железы
1. Синоним:
• Паротит
2. Определение:
• Воспаление или инфекция околоушной железы:
о Бактериальная: острый гнойный (обычно локальный) процесс
о Вирусная: острый вирусный паротидный сиаладенит (эпидемический паротит)
о Вторичный сиаладенит на фоне обструктивного сиалолита
о Ювенильный рецидивирующий паротит неясной этиологии
1. Общая характеристика:
• Лучший диагностический критерий:
о Увеличение околоушных желез в острой фазе; атрофия паренхимы в хронической
• Локализация:
о Околоушное пространство
о Острый процесс обычно односторонний; хронический-двухсторонний

(Слева) На традиционной сиалограмме у пациента с паротидным сиаладенитом определяется легкое расширение протоков (реверсивная архитектура). Терминальные протоки и ацинусы практически не визуализируются. В дистальных отделах протока Стенсена определяется рентгенонегативный сиалолит.
(Справа) На корональной КТ с КУ(реконструкция) у семилетнего ребенка с острым вирусным паротитом определяется избыточное контрастное усиление увеличенной правой околоушной железы. Левая железа не изменена. Абсцессы, лимфаденопатия, конкременты отсутствуют.
2. Рентгенография при воспалении околоушной железы:
• Традиционная или КЛКТ-сиалография:
о «Реверсивная протоковая архитектура»: расширение (а не сужение) проксимальных протоков
о Чередующиеся расширения/стриктуры («связка сосисок») (сиалодохит)
о Скопления контраста за пределами протоков/ацинусов (шаровидная и деструктивная сиалэктазия)
о Показаны при воспалении протоков и сиалолитах (особенно минимально обызвествленных)
о Не показаны для оценки объемного воздействия и при острой инфекции
3. КТ при воспалении околоушной железы:
• КТ без КУ:
о Гиперденсная околоушная железа с неровными краями (бак-териальная/вирусная инфекция)
о Обычно обнаруживаются сиалолиты
• КТ с КУ:
о Острая фаза:
- Диффузное повышение плотности увеличенной околоушной железы (бактериальная/вирусная инфекция)
- Маленькие контрастирующиеся сосуды могут имитировать часто встречающиеся сиалолиты
- Сиалэктазия и изменения протоков вариабельны
- Абсцесс: гиподенсная полость с контрастирующимся «ободком»
- Может имитировать объемное образование, злокачественную опухоль
- Увеличенные лимфоузлы сложно отличить от первичного новообразования
- Увеличенная глубокая доля может обусловливать объемное воздействие на боковую границу окологлоточного пространства
о Хроническая фаза:
- Неоднородные атрофированные железы
- В расширенных протоках могут обнаруживаться сиалолиты
4. МРТ при воспалении околоушной железы:
• Т1 ВИ:
о Диффузный сигнал высокой интенсивности и спорадические очаги еще более высокой интенсивности (абсцессы)
• Т2 ВИ FS:
о МР-сиалография
• Т1 ВИ С+:
о Диффузное контрастирование увеличенной околоушной железы
о Скопления гипоинтенсивной жидкости с контрастирующимся «ободком» (абсцессы)
5. УЗИ при воспалении околоушной железы:
• Увеличенная гипоэхогенная околоушная железа неоднородной структуры
• Могут обнаруживаться сиалолиты и абсцессы
6. Рекомендации по визуализации:
• Лучший метод визуализации:
о Традиционная сиалография или МРТ при поражении протоков:
- МР-сиалография предпочтительнее при острой инфекции
о КТ или УЗИ при поражении паренхимы о У детей вначале выполняется УЗИ для минимизации рисков облучения

(Слева) На аксиальной МРТ (STIR) у пациента с острым обструктивным сиаладенитом в левой околоушной железе определяется диффузный сигнал высокой интенсивности относительно правой железы. Главный проток (экстрагландулярный сегмент) справа расширен на фоне обструкции обусловленной маленьким камнем или стенозом.
(Справа) На аксиальной КТ с КУ определяется хронический паротит. Обе околоушные железы атрофированы и имеют слегка неоднородную плотность. Слева определяется расширение интрагландулярного протока и выраженное расширение протока Стенсена. Конкременты не визуализируются.
в) Дифференциальная диагностика воспаления околоушной железы:
1. Синдром Шегрена:
• Точечная сиалэктазия с множественными интрапаротидными кистозными и солидными объемными образованиями
• Может сочетаться с вторичным сиалодохитом/сиаладенитом
2. ВИЧ-ассоциированные доброкачественные лимфоэпителиальные кисты:
• Множественные интрапаротидные кистозные и солидные образования, имитирующие синдром Шегрена
• Гиперплазия миндалин и шейная реактивная лимфаденопатия
3. Злокачественная опухоль:
• Интрапаротидные кистозные и солидные образования с инвазивными краями
г) Клинические особенности:
1. Проявления:
• Типичные признаки/симптомы:
о Отек преаурикулярной области
о Боль± нагноение (бактериальная инфекция)
о Уменьшение слюноотделения
2. Демография:
• Острый бактериальный: новорожденные и ослабленные пожилые люди
• Острый вирусный: • Обструктивный сиаладенит: взрослые
3. Лечение:
• Стимуляторы слюноотделения (жевательная резинка без сахара или кислые конфеты); ↑ употребление жидкости
• Антибиотикотерапия
• Расширение протока или хирургическая сиалолитэктомия
• Хирургическое тотальное удаление железы
д) Диагностическая памятка:
1. Следует учесть:
• Синдром Шегрена, новообразование, поликистозное поражение при ВИЧ
2. Советы по интерпретации изображений:
• Ищите расширенные протоки и сиалолиты
• Ищите «реверсивную архитектуру» и патологическую морфологию протоков
• Атрофия паренхимы при хроническом паротидном сиалолитиазе
• Исключите новообразование
ж) Список использованой литературы:
1. Prasad RS: Parotid gland imaging. Otolaryngol Clin North Am. 49(2):28B—312, 2016
Аденома слюнной железы - симптомы и лечение
Что такое аденома слюнной железы? Причины возникновения, диагностику и методы лечения разберем в статье доктора Куфтарева Виталия Александровича, стоматолога со стажем в 10 лет.
Над статьей доктора Куфтарева Виталия Александровича работали литературный редактор Елизавета Цыганок , научный редактор Пётр Козлов и шеф-редактор Маргарита Тихонова
Определение болезни. Причины заболевания
Аденома слюнной железы (Salivary gland tumor) — это доброкачественная опухоль, которая развивается из эпителия выводных протоков больших и малых слюнных желёз.

Аденома постепенно увеличивается, и появляется безболезненная припухлость, из-за чего лицо становится асимметричным.
Исследователи склоняются к трём главным факторам риска появления аденомы слюнной железы:
- воздействие вредных веществ — радиация, работа на вредном производстве, например связанном с изготовлением резины и добычей асбеста, облучение при лечении рака головы и шеи [9][11] );
- влияние вирусов — вируса герпеса, Эпштейна — Барра;
- генетический фактор.
К факторам риска также косвенно относится воспаление слюнной железы, но явные причины аденомы медицине пока неизвестны.
Плеоморфная аденома слюнной железы
Опухоли слюнных желёз встречаются редко и в большинстве случаев они доброкачественные [9] . Чаще других доброкачественных опухолей развивается плеоморфная аденома (смешанная опухоль): в 70 – 80 % случаев, т. е. 2–3,5 случаях болезней слюнных желёз на 100 тыс. населения в год [6] [10] . Она может возникнуть в любом возрасте, но обычно развивается у людей от 20 до 49 лет. Мужчины и женщины болеют плеоморфной аденомой в соотношении 1,0:1,6 [1] [11] . Как правило, она развивается в околоушных, поднижнечелюстных и подъязычных железах. Часто поражает твёрдое и мягкое нёбо.
![Плеоморфная аденома [12]](/pimg3/luchevaya-diagnostika-vospaleniya-A229.jpeg)
При обнаружении схожих симптомов проконсультируйтесь у врача. Не занимайтесь самолечением - это опасно для вашего здоровья!
Симптомы аденомы слюнной железы
Часто протекает бессимптомно и медленно. Возникает в любых слюнных железах, но чаще поражает околоушные, чуть реже поднижнечелюстные и малые железы [2] .

В период быстрого роста опухоль за несколько месяцев увеличивается в 2–3 раза, из-за чего появляется припухлость, которая изменяет конфигурацию лица или шеи — это первый признак, на который обращают внимание. На ощупь она плотная и безболезненная, легко смещается.
Если опухоль достигает значительных размеров, слюнная железа не может работать как прежде, окружающие ткани отекают и воспаляются, из-за чего появляется боль. Когда проток слюнной железы полностью перекрывается, слюноотделение снижается, в связи с чем возникает сухость во рту.
Крупная аденома может сдавить кровеносные сосуды и нервы. В таком случае кожа начинает неметь и покалывать, иногда появляется чувство жжения или ползающих мурашек. Также возможен паралич некоторых мимических мышц. Если опухоль деформировала глотку, пациенту становится сложно глотать еду [2] [3] .
Патогенез аденомы слюнной железы
Под воздействием внешних и внутренних факторов риска клетки протоков слюнных желёз начинают быстрее расти и делиться. Как правило, они окружены от окружающих тканей капсулой, поэтому не поражают соседние здоровые клетки, как это происходит при развитии злокачественной опухоли. В результате скопления клеток образуется аденома.
Медленный рост может сменяться бурным развитием. Выросшая опухоль сдавливает окружающие ткани, нарушая тем самым их обмен веществ. Обычно имеет дольчатое строение [1] .
Классификация и стадии развития аденомы слюнной железы
Аденома слюнных желез делится на 12 видов:
- Плеоморфная аденома (или смешанная опухоль) — опухолевый узел круглой или овальной формы, который находится в капсуле и чётко отграничен от ткани слюнной железы. Толщина капсулы может меняться. На разрезе ткань белесоватая и блестящая, иногда с хрящевыми образованиями. Если рассмотреть опухоль под микроскопом, можно увидеть многообразие клеточных элементов, поэтому её назвали смешанной. Некоторые клетки могут оттесняться к капсуле, а на их месте образуются щели, заполненные жидкостью или коллагеновыми волокнами. Когда опухоль достигает больших размеров, обменный процесс в ткани может нарушиться, что приводит к кровоизлиянию и появлению очагов некроза. Изначально это доброкачественная разновидность аденомы, но она может стать злокачественной. Обычно это происходит через 15–20 лет от появления аденомы. После удаления возможен рецидив [1][2][7][8] .
- Аденолимфома (Уортина опухоль) — состоит из железистых структур и лимфатических клеток, оформленных клетками эпителия. Внешне опухоль бывает круглой и овальной формы с кистозными образованиями внутри (или просто пустотами). Такая аденома может содержать как много маленьких образований, похожих на ячейки, так и 3–4 крупные кисты, заполненные прозрачной или слизистой жидкостью. Кисты чередуются с плотными участками разного цвета (от белесовато-серого до бурого). Опухоль окружена очень тонкой эластичной оболочкой, шероховатой на ощупь. При прощупывании можно почувствовать, как содержимое опухоли движется под оболочкой. Иногда несколько опухолевых узлов объединяются под общей капсулой. Аденолимфома может быть инфарктной или инфицированной. Это случается, когда часть ткани внутри опухоли отмирает. Существует теория, что такая аденома зарождается в лимфатической ткани, которая постепенно врастает в ткань слюнной железы. Аденолимфома крайне редко рецидивирует и озлокачествляется, поэтому хирургическое лечение показывает хорошие результаты [1][2][4][7] .
- Онкоцитома — состоит из крупных эпителиальных клеток с большим количеством цитоплазмы. Встречается в основном у пожилых людей [1] . Имеет сферическую или овальную форму с гладкой поверхностью, но иногда бывает дольчатой или узловой. Размер варьируется от 1 до 5 см. Онкоцитома развивается под тонкой капсулой или без неё. Внутри есть мелкие кистозные включения с мутной жидкостью, но нет кровеносных сосудов. Опухоль проникает в окружающие ткани и органы, что сближает её со злокачественными образованиями. При этом её клетки устойчивы к рентгеновскому излучению, поэтому лучевая терапия в этом случае бесполезна. Однако грамотно проведённая операция с полным удалением опухолевой ткани поставит точку в лечении, так как онкоцитома редко рецидивирует [1][4][7] .
- Базальноклеточная аденома — делится на три типа: тубулярный, трабекулярный и мембранозный. Очень редкая опухоль, которая встречается в 1–3 % случаев аденом слюнных желёз. Чаще болеют люди старше 60 лет, при этом у женщин встречается в 2 раза чаще, чем у мужчин [1] . Опухоль поражает в основном крупные железы, особенно околоушную слюнную железу. На ощупь это твёрдый смещаемый узел. При разрезе имеет чёткую однородную структуру серого или коричневого цвета. Состоит из клеток, похожих на базальные клетки, из которых появляется весь эпителий кожи (его повреждение ведёт к появлению рубцов и шрамов). В отличие от здоровой ткани в этом случае из-за своего нетипичного расположения клетки образуют тяжи, трубки или тонкие мембраны. В одной опухоли могут сочетаться сразу несколько типов строения. В редких случаях аденома может стать злокачественной, при этом рецидивирует только мембранозный тип опухоли, но довольно часто (в 25 % случаев) [1] .
- Каналикулярная аденома — состоит из призматических эпителиальных клеток, которые соединяются между собой, образуя пучки, похожие на бусины. Встречается у пациентов старше 50 лет, женщины болеют в 2 раза чаще, чем мужчины. Как правило, поражает верхнюю губу или щёку [1] . Часто развивается в виде узла, чётко отграниченного от окружающих тканей (у мелких аденом она отсутствует). Рядом с крупной опухолью иногда можно увидеть мелкие узелки [1] .
- Сальная аденома — чрезвычайно редкая опухоль, составляет 0,1 % от случаев аденом слюнных желёз [1] . Состоит из гнёзд здоровых сальных клеток разных размеров. Представляет собой чётко отграниченную безболезненную опухоль до 3 см в диаметре. Эта аденома редко рецидивирует и становится злокачественной [1] .
- Лимфаденома — подразделяется на сальную и несальную опухоль, которая состоит из лимфоцитов и железистых клеток, ограниченных капсулой. Сальная лимфаденома похожа на сальную аденому, описанную выше, только к сальным клеткам добавляются лимфоидные фолликулы. В несальной лимфаденоме нет сальных клеток. Это плотная опухоль со множеством мелких полостей или одной большой полостью. Всего описано 10 случаев лимфоаденомы. Опухоль практически не озлокачествляется и не рецидивирует [1] .
- Протоковая папиллома — делится на инвертированную (преобразованную) протоковую и внутрипротоковую папиллому. Инвертированная папиллома — это плотное безболезненное образование, которое возникает в малых слюнных железах. Растёт не агрессивно. Состоит из большого количества эпителиальных клеток с протоком в центре, который может открываться на поверхность слизистой оболочки. Капсулы у такой опухоли нет. Внутрипротоковая папиллома обычно находится в крупных слюнных железах и представляет собой одну большую кисту, окружённую капсулой. В обоих случаях опухоль достаточно безобидна и после адекватного хирургического лечения обычно не рецидивирует [1] .
- Папиллярная сиалоаденома — экзотическая опухоль сосочкового или бородавчатого вида. Крепится на ножке или широком основании в виде полусферы. Состоит из множества железистых и эпителиальных клеток, расположенных в виде протоков. У сиалоаденомы нет капсулы, она может агрессивно расти, также часто рецидивирует (в 10–15 % случаев) [1] .
- Цистаденома — редкая доброкачественная опухоль. Представляет собой безболезненное и бесформенное образование. Состоит из одной крупной кисты или множества мелких кист, окружённых дольками слюнной железы и соединительной ткани. Характеризуется доброкачественным течением, медленным ростом и отсутствием рецидивов после удаления, однако описаны редкие случаи озлокачествления опухоли [1] .
- Миоэпителиома — состоит из миоэпителиальных клеток, т. е. клеток, похожих на мышечную ткань. Может состоять из разных клеточных структур, но в одной опухоли обычно находят один вид клеток, комбинации встречаются редко. Если долго не лечить опухоль, она может стать злокачественной. При удалении прогноз для миоэпителиомы благоприятный, рецидивы случаются редко [1] .
- Ацинозно-клеточная опухоль — это промежуточная опухоль между доброкачественной и злокачественной. Она активно прорастает в окружающие ткани, но не даёт метастазов. Её клинические проявления похожи на симптомы остальных аденом. Как правило, диагностировать ацинозно-клеточную опухоль получается только с помощью гистологического обследования. Врач оценивает её злокачественность и решает вопрос о необходимости лучевой терапии [2] .
Осложнения аденомы слюнной железы
Осложнения делятся на две группы:
- нарушения в органах, возникшие из-за опухоли;
- изменения внутри самой опухоли.
Нарушения в органах
Если аденома увеличивается, прорастает в железистую ткань слюнной железы и замещает её, снижается выделение слюны. Это приводит к появлению сухости во рту и нарушению процессов пищеварения, так как слюна — это важный компонент пищеварительной системы: она участвует в первичной обработке углеводов поступающей пищи.
При сдавливании кровеносного сосуда или нерва появляется сбой в передаче нервных импульсов и поступлении полезных веществ к мышцам лица, что приводит к нарушению их работы и болям. Также длительное сдавливание иногда становится причиной воспаления в сосудисто-нервном пучке, из-за чего могут развиться невралгии и невриты, которые сопровождаются сильной болью.
Изменения внутри опухоли
Доброкачественные опухоли в основном состоят из здоровых, но неправильно расположенных клеток организма. При длительном существовании опухоли может появиться нетипичная группа клеток с повреждённой ДНК. Чем больше таких клеток, тем выше риск, что опухоль станет злокачественной. Такой процесс перерождения аденомы называется малигнизацией.
При удалении крупной аденомы есть риск, что в организме останется небольшая часть клеток, из которых может вырасти новая опухоль, т. е. произойдёт рецидив.
Иногда в крупных опухолях появляются очаги погибших клеток — зоны некроза. Это происходит из-за нарушения обмена веществ внутри опухоли. Такой очаг может привести к серьёзному воспалению и осложнить лечение [1] .
Чем раньше опухоль найдут и прооперируют, тем ниже вероятность развития осложнений.
Диагностика аденомы слюнной железы
Первый признак аденомы — припухлость, но обычно она безболезненная, поэтому пациент попадает к врачу гораздо позже, чем нужно. На более поздней стадии к симптомам прибавляются сухость во рту и боли по ходу ветвей нерва.
![Припухлость при аденоме слюнной железы [13]](/pimg3/luchevaya-diagnostika-vospaleniya-232A6.jpeg)
При этом окончательный диагноз ставят только после удаления опухоли с помощью гистологического исследования, которое определяет тип аденомы по строению клеток.
Опрос и физикальный осмотр
Чтобы сформировать целостную картину, врач уточняет у пациента, когда появилась припухлость, как быстро она увеличивалась, какие изменения появились одновременно с ней, что предпринял пациент по поводу аденомы, есть ли хронические болезни и т. д.
После опроса проводится осмотр. Врач оценивает форму и размер образования, состояние слизистой оболочки над ним, анализирует целостность протоков крупных слюнных желёз и размер лимфатических узлов, проверяет, свободно ли открывается рот, есть ли признаки поражения нерва и сухость во рту.
При ощупывании врач определяет консистенцию образования, наличие болезненности, прилегание к окружающим тканям и подвижность опухоли.
Инструментальная диагностика
Далее используют дополнительные методы обследования:
- Цитологический метод — с помощью специальной иглы у пациента берут биологический материал и исследуют под микроскопом. У этого метода много недостатков: результаты зависят от условий взятия пункции и квалификации врача, проводящего исследование. Так как пункцию берут до операции, под обследование может попасть абсолютно любой участок опухоли, поэтому метод может дать неполную картину болезни. Часто проводят под контролем УЗИ.
- УЗИ — определяет точные размеры и положение опухоли, но иногда участки слюнных желёз перекрываются массивными костными образованиями, например ветвью нижней челюсти, и сигнал до них не доходит.
- Сиалография — очень информативный метод, при котором в проток слюнной железы вводят контрастное вещество, после чего делают рентгеновский снимок. Анализируя распространение контрастного вещества по слюнной железе, можно отличить опухоль от неопухолевой патологии, например слюннокаменной болезни, при которой тоже есть припухлость. Если контрастное вещество вытекает за пределы железы, это указывает на опухоль, так как нарушается структура оболочки железы или протока. Также по ряду признаков можно предположить, злокачественная опухоль или доброкачественная (если целостность железы не нарушена).
- КТ и МРТ — передают трёхмерное изображение слюнной железы и опухоли, что помогает точно определить её положение и размеры. Также с помощью МРТ можно узнать о строении опухоли, что сделает постановку диагноза более точной [1][2][3][4][5] .
![КТ аденомы слюнной железы [14]](/pimg3/luchevaya-diagnostika-vospaleniya-9B524.jpeg)
Лечение аденомы слюнной железы
Основным и единственным вариантом лечения аденомы слюнных желёз является операция. В большинстве случаев удаление опухоли сопровождается повреждением железы и нарушением её работы, поэтому железу тоже вырезают.
Если опухоль образовалась в малой слюнной железе, то её иссекают в пределах здоровых тканей. Иногда небольшую доброкачественную аденому удаляют в пределах её оболочки, но только если у опухоли есть капсула. Этот вариант операции является более щадящим, однако такой метод не используют при лечении плеоморфной аденомы. Это связано с тем, что такая опухоль может стать злокачественной. Также её капсула имеет неравномерную толщину и местами истончается, что затрудняет работу хирурга.
Послеоперационный период длится примерно неделю, дополнительные методы лечения аденомы (например, химио- или лучевая терапия) не требуются.
Хирургическое лечение слюнных желёз может оказаться довольно сложным, поскольку внутри и вокруг желёз находится несколько важных нервов, например лицевой нерв, который проходит через околоушную железу [9] . С этим связаны возможные послеоперационные осложнения, например парез лицевого нерва.
Прогноз. Профилактика
Прогноз благоприятный. При полном удалении железы вместе с опухолью рецидивы случаются крайне редко. В случае щадящего способа лечения есть вероятность повторного появления опухоли. В таком случае операцию проводят повторно и более радикально.
Профилактика аденомы слюнной железы
Как таковых мер профилактики не существует, однако стоит следовать общим рекомендациям:
Рентгенодиагностика заболеваний слюнных желез
Весь контент iLive проверяется медицинскими экспертами, чтобы обеспечить максимально возможную точность и соответствие фактам.
У нас есть строгие правила по выбору источников информации и мы ссылаемся только на авторитетные сайты, академические исследовательские институты и, по возможности, доказанные медицинские исследования. Обратите внимание, что цифры в скобках ([1], [2] и т. д.) являются интерактивными ссылками на такие исследования.
Если вы считаете, что какой-либо из наших материалов является неточным, устаревшим или иным образом сомнительным, выберите его и нажмите Ctrl + Enter.
Крупные слюнные железы (околоушная, поднижнечелюстная, подъязычная) имеют сложное трубчато-альвеолярное строение: они состоят из паренхимы и протоков I-V порядков (соответственно междолевые, междольковые, внутридольковые, вставочные, исчерченные).
Околоушная железа. Ее рост и формирование происходят до 2 лет. Размеры железы у взрослого: вертикальный 4-6 см, сагиттальный 3-5 см, поперечный 2-3,8 см. Длина околоушного (стенонова) протока 40-70 мм, диаметр 3-5 мм. В большинстве случаев проток имеет восходящее направление (косо сзади кпереди и вверх), иногда - нисходящее, реже форма его прямая коленчатая, дугообразная или раздвоенная. Форма железы неправильно-пирамидальная, трапециевидная, иногда полулунная, треугольная или овальная.
С целью исследования околоушной железы выполняют рентгенограммы в лобно-носовой и боковой проекциях. В лобно-носовой проекции ветви железы проецируются кнаружи от нижней челюсти, а в боковой они накладываются на ветвь нижней челюсти и занижнечелюстную ямку. Выходя из железы на уровне переднего края ветви, проток открывается в преддверие полости рта соответственно коронке второго верхнего моляра. На лобно-носовых рентгенограммах происходит проекционное укорочение протока. Наиболее оптимальные условия для изучения протока создаются на ортопантомограммах.
Поднижнечелюстная слюнная железа имеет уплощенно-округлую, яйцевидную или эллипсовидную форму, длина ее 3-4,5 см, ширина 1,5-2,5 см, толщина 1,2-2 см. Основной поднижнечелюстной (вартонов) выводной проток имеет длину 40-60 мм, ширину 2-3 мм, в устье до 1 мм; как правило, он прямой, реже дугообразный, открывается по обе стороны от уздечки языка.
Размеры подъязычной слюнной железы 3,5x1,5 см. Подъязычный (бартолинов) выводной проток имеет длину 20 мм, ширину 3-4 мм, открывается по обе стороны уздечки языка.
В связи с анатомическими особенностями (узкий проток открывается в нескольких местах подъязычной складки или в поднижнечелюстной проток) произвести сиалографию подъязычной железы не удается.
Инволютивные изменения крупных слюнных желез проявляются уменьшением размеров желез, происходит удлинение и сужение просвета протоков, они приобретают сегментарный, четкообразный вид
В зависимости от этиологии и патогенеза различают следующие заболевания слюнных желез:
- воспалительные;
- реактивно-дистрофические сиалозы;
- травматические;
- опухолевые и опухолеподобные.
Воспаление слюнной железы симптомы проявляются в виде воспалительных заболеваний протока слюнной железы, и получило название «сиалодохит», паренхимы железы - «сиаладенит». Инфицирование паренхимы слюнных желез происходит через протоки из полости рта или гематогенно.
Острое воспаление слюнной железы является относительным противопоказанием к проведению сиалографии, так как возможно ретроградное инфицирование при введении контрастного вещества. Диагноз устанавливают на основании клинической картины результатов серологического и цитологического исследований слюны.
Хронические неспецифические симптомы воспаления слюнных желез делят на интерстициальные и паренхиматозные.
В зависимости от выраженности изменений в железе на сиалограммах выделяют три стадии процесса: начальную, клинически выраженную и позднюю.
Методики рентгенологических исследований включают бесконтрастную рентгенографию в различных проекциях, сиалографию, пневмосубмандибулографию, компьютерную томографию и их сочетания.
Хронический паренхиматозный сиаладенит поражает преимущественно околоушные железы. В этих случаях наблюдается лимфогистиоцитарная инфильтрация стромы, местами отмечается запустевание протоков в сочетании с их кистозным расширением.
В начальной стадии на сиалограмме выявляются округлые скопления контрастного вещества диаметром 1-2 мм на фоне неизмененных паренхимы и протоков.
В клинически выраженной стадии резко сужены протоки II-IV порядков, контуры их ровные и четкие; железа увеличена, плотность паренхимы уменьшена, появляется большое количество полостей диаметром 2-3 мм.
В поздней стадии в паренхиме происходят образование абсцессов и рубцевание. Видны множественные различной величины и формы (преимущественно округлые и овальные) скопления контрастного вещества в полостях абсцессов (диаметр их от 1 до 10 мм). Протоки IV и V порядков на сиалограмме сужены, на отдельных участках отсутствуют. Масляное контрастное вещество задерживается в полостях до 5-7 мес.
При хроническом интерстициальном сиаладените отмечаются разрастание стромы, гиалинизация с замещением и сдавлением паренхимы и протоков фиброзной тканью. Преимущественно поражаются околоушные железы, реже - поднижнечелюстные.
В начальной стадии процесса выявляются сужение протоков HI-V порядков и некоторая неравномерность изображения паренхимы железы.
В клинически выраженной стадии протоки II-IV порядков значительно сужены, плотность паренхимы уменьшена, железа увеличена, контуры протоков ровные, четкие.
В поздней стадии все протоки, включая основной, сужены, контуры их неровные, на отдельных участках не контрастируются.
Диагноз специфических хронических сиаладенитов (при туберкулезе, актиномикозе, сифилисе) устанавливают с учетом серологических и гистологических исследований (обнаружение друз при актиномикозе, микобактерий при туберкулезе). У больных туберкулезом выявление на рентгенограмме обызвествлений в железе имеет важное диагностическое значение. На сиалограмме обнаруживают множественные полости, заполненные контрастным веществом.
Хронический сиалодохит. Преимущественно поражаются протоки околоушных желез .
В начальной стадии на сиалограмме главный выводной проток неравномерно расширен или не изменен, расширены протоки I-II, иногда II- IV порядков. Расширенные участки протоков чередуются с неизмененными (вид четок).
В клинически выраженной стадии просвет протоков значительно расширен, контуры их неровные, но четкие. Участки расширения чередуются с местами сужения.
В поздней стадии на сиалограмме участки расширения и сужения протоков чередуются; иногда ход протоков прерывается.
Слюнно-каменная болезнь (сиалолитиаз) - хроническое воспаление слюнной железы, при котором в протоках образуются конкременты (слюнные камни). Наиболее часто поражается поднижнечелюстная, реже - околоушная и крайне редко - подъязычная железа. На долю слюнно-каменной болезни приходится около 50 % всех случаев заболеваний слюнных желез.
Один или несколько камней располагаются преимущественно в местах изгиба основного протока, масса их колеблется от нескольких долей грамма до нескольких десятков граммов. Они локализуются в поднижнечелюстной слюнной железы.
Диагноз устанавливают после проведения рентгенологического или ультразвукового исследования. Камни могут располагаться в главном выводном протоке или в протоках I-III порядков (их принято называть «камни железы»). Камни в большинстве случаев обызвествлены и на рентгенограмме определяются в виде четко очерченных плотных теней округлой или неправильно-овальной формы. Интенсивность тени вариабельна, определяется химическим составом и величиной камней. Для диагностики камней вартонова протока поднижнечелюстной слюнной железы применяют внутриротовую рентгенографию дна полости рта вприкус, а при подозрении на «камни железы» - рентгенографию нижней челюсти в боковой проекции При рентгенографии околоушной слюнной железы производят рентгенограммы нижней челюсти в боковой проекции и снимки в лобно-носовой проекции.
С целью выявления необызвествленных (рентгенонегативных) камней и оценки изменений в слюнной железе особое значение имеет сиалография с применением водорастворимых препаратов. На сиалограммах камни имеют вид дефекта наполнения. Иногда они обволакиваются, пропитываются контрастным веществом и становятся видимыми на снимке.
В начальной стадии на сиалограмме определяется расширение всех протоков, расположенных за конкрементом (стадия ретенции слюны).
В клинически выраженной стадии участки расширения и сужения протоков чередуются.
В поздней стадии в результате повторных обострений возникают рубцовые изменения, приводящие к образованию дефектов наполнения. Контуры протоков железы неровные.
Рентгенологически выявляют камни размером 2 мм и более, лучше видны камни, расположенные в железе.
В группу реактивно-дистрофических процессов включены болезнь Шегрена и болезнь Микулича.
Болезнь и синдром Шегрена. Заболевание проявляется прогрессирующей атрофией паренхимы слюнных желез с развитием фиброзной соединительной ткани и лимфоидной инфильтрации.
В начальной стадии заболевания изменения на сиалограммах отсутствуют. В дальнейшем появляются экстравазаты вследствие повышения проницаемости стенок протоков. В поздних стадиях возникают полости округлой и овальной формы диаметром до 1 мм, протоки III-V порядков оказываются незаполненными. По мере прогрессирования заболевания полости увеличиваются, контуры их становятся нечеткими, протоки не заполняются, основной проток расширен. В целом сиалографическая картина такая же, как при хроническом паренхиматозном сиаладените.
Болезнь Микулича. Заболевание сопровождается лимфоидной инфильтрацией или развитием грануляционной ткани на фоне хронического воспалительного процесса.
На сиалограмме основной проток слюнной железы сужен. Лимфоидная ткань, сдавливая протоки в воротах долек, делает невозможным заполнение мельчайших протоков контрастным веществом.
Доброкачественные в злокачественные образования слюнных желез. На сиалограммах при злокачественных опухолях ввиду их инфильтративного роста граница между нормальной тканью и опухолью нечеткая, соответственно опухоли виден дефект наполнения. При доброкачественных опухолях определяется дефект наполнения с четкими контурами. Заполнение протоков в периферических отделах опухоли позволяет предположить доброкачественный характер процесса. Диагностические возможности расширяются при комбинации сиалографии с компьютерной томографией.
При подозрении на злокачественную опухоль сиалографию предпочтительнее проводить с применением водорастворимых контрастных веществ, которые выделяются и рассасываются быстрее, чем масляные. Это важно, так как у некоторых больных в дальнейшем планируется проведение лучевой терапии.
Ультразвуковая диагностика заболеваний слюнных желез. Метод позволяет диагностировать сиаладениты в разных стадиях их развития, дифференцировать их от лимфаденита внутрижелезистых лимфатических узлов.
На эхограммах хорошо визуализируются камни независимо от степени их минерализации.
При новообразованиях слюнных желез появляется возможность уточнить их локализацию и распространенность.
Сиаладенит
Сиаладенит – воспалительное заболевание слюнной железы, обычно вирусной или бактериальной природы. Сиаладенит сопровождается увеличением объема, уплотнением, болезненностью пораженной слюнной железы, уменьшением слюноотделения, сухостью во рту, нарушением общего самочувствия; в осложненных случаях – формированием камней или абсцесса. Диагноз сиаладенита устанавливается с учетом данных бактериологического и цитологического анализа отделяемого из протоков, сиалометрии, УЗИ слюнных желез, сиалографии, сиалосцинтиграфии, исследования биоптатов малых слюнных желез. Лечение сиаладенита предусматривает проведение противовирусной и антибактериальной терапии; при калькулезном сиаладените показано удаление камней.
МКБ-10
Общие сведения
Сиаладенит – воспалительное поражение больших или малых слюнных желез, приводящее к нарушению процесса слюноотделения. В стоматологии сиаладениты составляют 42-54% всех заболеваний слюнных желез. Наиболее часто сиаладенитом заболевают дети и пациенты 50-60 лет. Самой частой формой сиаладенита служит эпидемический паротит, изучаемый в рамках инфекционных болезней и педиатрии. Кроме этого, сиаладенит может сопровождать течение системных заболеваний (например, болезни Шегрена), которые рассматриваются ревматологией. Специфические воспалительные поражения слюнных желез при туберкулезе, сифилисе являются сферой интересов соответствующих дисциплин – фтизиатрии и венерологии.
Классификация сиаладенита
Классификация сиаладенитов предполагает их разделение с учетом клинического течения, причинных факторов, механизма инфицирования и морфологических изменений на следующие группы:
1. Острые сиаладениты:
- вирусные (гриппозный, цитомегаловирусный, Коксаки-индуцированный сиаладенит, эпидемический паротит)
- бактериальные (послеоперационные, постинфекционные, лимфогенные, контактные, связанные с обструкцией протока слюнной железы инородным телом)
2. Хронические сиаладениты:
- паренхиматозные (воспаление паренхимы слюнных желез)
- интерстициальные (воспаление соединительнотканной стромы слюнных желез)
- сиалодохит (протоковый сиаладенит)
Хронические сиаладениты могут иметь неспецифическую и специфическую этиологию. К числу хронических специфических сиаладенитов относятся туберкулез, актиномикоз и сифилис слюнных желез.
Острый сиаладенит в своем развитии может проходить стадии серозного, гнойного воспаления слюнной железы и ее некроза.
Причины сиаладенита
Возбудителями сиаладенитов выступают вирусные или бактериальные агенты, поражающие слюнные железы. Бактериальные сиаладениты чаще всего вызываются микрофлорой полости рта или микроорганизмами, распространяющимися из отдаленных очагов инфекции (стафилококками, стрептококками, колибактериями, анаэробной флорой). Контактный сиаладенит обычно наблюдается при флегмоне прилежащих к железе мягких тканей. Лимфогенный сиаладенит развивается после перенесенных респираторных инфекций (трахеита, ангины, пневмонии), заболеваний челюстно-лицевой области (периодонтита, фурункулов, карбункулов, конъюнктивита). При послеоперационном сиаладените всегда прослеживается связь заболевания с предшествующим хирургическим вмешательством на полости рта или слюнной железе. Сиаладениты, связанные с инородными телами, могут быть обусловлены сиалолитиазом, попаданием в проток слюнной железы мелких зернышек, косточек, ворсинок зубной щетки и пр.
Среди вирусов наибольшую этиологическую роль в возникновении сиаладенита играют вирусы гриппа, аденовирусы, парамиксовирусы, цитомегаловирусы, вирусы Коксаки и Эпштейна-Барр, простого герпеса и др. Возбудителями специфических сиаладенитов выступают актиномицеты, микобактерии туберкулеза, бледные трепонемы.
Инфицирование слюнных желез чаще происходит через устье протока, реже – контактным, гематогенным или лимфогенным путем. Возникновению сиаладенита способствуют ослабление иммунитета, застой секрета в протоках железы или снижение слюноотделения при тяжелых инфекциях, после хирургических вмешательств на брюшной полости, вследствие повреждений железы. Повышенный риск заболеваемости сиаладенитом существует у пациентов с ксеростомией; больных, получающих лучевую терапию полости рта; лиц, страдающих анорексией.
Симптомы сиаладенита
В силу анатомических и топографических особенностей чаще всего воспаляются околоушные железы, реже – подчелюстные, подъязычные и малые слюнные железы. Острый сиаладенит манифестирует с увеличения объема и уплотнения пораженной слюнной железы, припухлости мягких тканей; болей, имеющих тенденцию к усилению при жевании, глотании, повороте головы и иррадиации в ухо, висок, нижнюю челюсть. Может отмечаться ограничение амплитуды открывания рта, заложенность ушей.
На воспалительный процесс в железе указывает нарушение ее функции: гипосаливация (реже гиперсаливация), появление в слюне слизи, гноя, хлопьев (клеток слущенного эпителия). Часто острые сиаладениты протекают с ухудшением самочувствия, лихорадкой. При исследовании железы пальпируется плотный инфильтрат, при гнойном расплавлении которого определяется симптом флюктуации.
Осложнения
При осложненном течении острого сиаладенита не исключается возникновение слюнных свищей, абсцессов и флегмон околоушно-жевательной и подчелюстной области, стеноза слюнных протоков. Хронический сиаладенит протекает с периодически возникающими обострениями, во время которых отмечается припухлость и незначительная болезненность в области пораженных слюнных желез, снижением слюноотделения, неприятным привкусом во рту.
Диагностика
В зависимости от возраста пациента, этиологии воспаления слюнных желез и основных заболеваний, которым оно сопутствует, сиаладенит может выявляться стоматологом, терапевтом. При внешнем осмотре обнаруживается локальная припухлость в области слюнной железы (снаружи или со стороны полости рта), выделение гноя из устья выводного протока при массировании железы.
Различные формы сиаладенита могут быть дифференцированы по клиническим проявлениям, а также с помощью данных лабораторных и инструментальных исследований. Важную информацию о специфике происходящих в слюнной железе процессов позволяет получить ПЦР, биохимическое, цитологическое, микробиологическое исследование секрета, биопсия слюнных желез с гистологическим исследованием материала. Наличие видоспецифических антител в сыворотке крови определяется с помощью иммуноферментного анализа.
Анатомо-топографические особенности и функциональные нарушения желез анализируются на основании результатов УЗИ слюнных желез, сиалографиии, сиалосцинтиграфии, сиалотомографии, термографии. Для количественной оценки секреции слюнных желез используется сиалометрия. Дифференциальная диагностика сиаладенитов должна идти по пути исключения сиаладеноза, слюннокаменной болезни, кист и опухолей слюнных желез, лимфаденита, инфекционного мононуклеоза и др.
Лечение сиаладенита
В зависимости от типа возбудителя, этиотропная терапия сиаладенита может включать назначение противовирусных или антибактериальных препаратов. При вирусных сиаладенитах проводится орошение полости рта интерфероном; при бактериальных осуществляется инстилляция антибиотиков и протеолитических ферментов в проток слюнной железы. В стадии инфильтрата выполняются новокаиновые блокады по Вишневскому, проводятся аппликации раствора диметилсульфоксида на область железы. При абсцедировании показано вскрытие гнойника.
При хроническом сиаладените к медикаментозной терапии добавляется массаж железы, физиолечение (электрофорез, флюктуоризация, гальванизация, УВЧ). При стриктурах проводится бужирование протоков слюнной железы; при выявлении саливолитов – их удаление одним из принятых способов (литотрипсия, сиалэндоскопия, литоэкстракиця и пр.). В случае упорного, рецидивирующего течения сиаладенита решается вопрос об экстирпации слюнной железы.
Прогноз и профилактика сиаладенита
Исход сиаладенита, в большинстве случаев, благоприятный. В случае острого сиаладенита выздоровление обычно наступает в течение 2-х недель. В тяжелых или запущенных случаях сиаладенит может сопровождаться рубцовой деформацией или заращением протоков, стойким нарушением слюноотделения, некрозом железы.
Профилактика сиаладенита заключается в укреплении иммунитета, соблюдении гигиены полости рта, терапии сопутствующих заболеваний, устранении стоматогенных очагов хронической инфекции.
Читайте также:
