КТ, МРТ при плоскоклеточном раке альвеолярного гребня
Добавил пользователь Владимир З. Обновлено: 31.10.2025
Заболевание развивается, когда опухоль локализуется на слизистой оболочке альвеолярного отростка или мягких тканях дна полости рта c переходом на кость.
Эпидемиология
Частота поражения мягких тканей дна полости рта составляет 20% и слизистой альвеолярного отростка нижней челюсти 4% от всех злокачественных новообразований полости рта. Мужчины болеют в 5-7 раз чаще чем женщины. Большинство случаев встречается в возрасте 50-70 лет.
Факторы риска
Вредные привычки
Курение повышает риск заболеть раком полости рта в несколько раз. Причем в равной степени, опасно курение сигарет, сигар и трубок. Степень риска зависит от стажа курения, возраста курильщика и количества выкуриваемых сигарет. Повышает риск употребление крепких алкогольных напитков.
Состояние зубов
Большую роль играет неудовлетворительная гигиена полости рта. Кариозные зубы и плохо изготовленные протезы травмируют слизистую оболочку полости рта, что повышает вероятность развития предрака и рака полости рта.
К факторам риска также относят такие предраковые заболевания, как болезнь Боуэна, эритроплазия Кейра, язвенная лейкоплакия, паппилломатоз.
Классификация МКБ – 10:
С03.1 – нижний альвеолярный отросток и десна
С04 – дно полости рта



Клиническая картина
Часто больные обращаются к врачу, когда опухоль уже достигает больших размеров, отмечается распад новообразования, зловонный запах изо рта, кровотечение. Их также могут беспокоить припухлости или язвы во рту, расшатывание и выпадение зубов, кровоточивость слизистой оболочки полости рта. Позднее присоединяются жалобы на затрудненное открывание рта, трудность или невозможность приема пищи, обилие слюны, похудание.
Диагностика
- Тщательный клинический и инструментальный осмотр полости рта, пальпация.
- Соскоб, мазки с эрозированных или язвенных поверхностей для цитологического исследования.
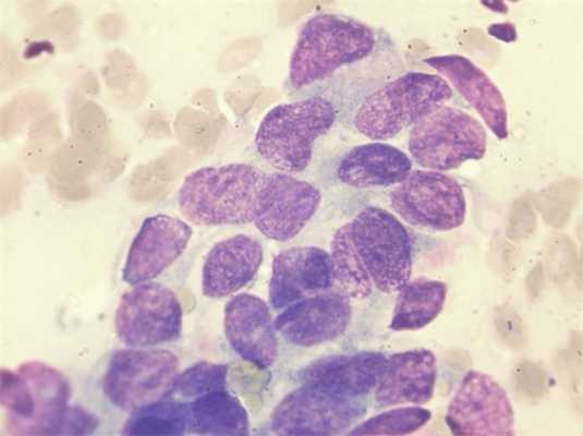
- Цитологическое исследование пунктата неизъязвленных опухолей и увеличенных лимфоузлов (рис. 1).

Рис.1 Цитологическое исследование
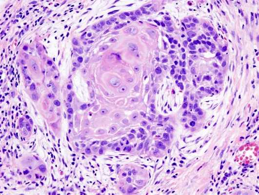
- Биопсия опухоли, гистологическое исследование (рис.2).

Рис.2 Гистологическое исследование. Плоскоклеточный рак
- рентгенологическое исследование нижней челюсти.
- УЗИ первичной опухоли при локализации процесса на дне полости рта.
- УЗИ области шеи – для выявления субклиничеких метастазов.
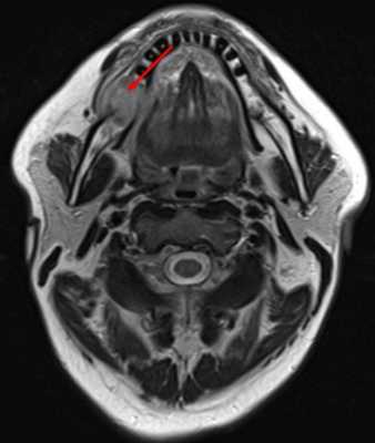
- КТ, МРТ с контрастным усилением или без (по показаниям) (рис.3.).

Рис.3 МРТ с внутривенным контрастированием
Тактика лечения
При T1–T2, N0 рекомендуется выполнение оперативного вмешательства с/без шейной лимфодиссекцией (в зависимости от толщины опухоли по данным УЗВТ) или в случае отказа пациента от оперативного вмешательства рекомендована лучевая терапия.
При T3N0, T1-3, N1-3, T4a любое N рекомендуется оперативное лечение с одно- или двухсторонней шейной лимфодиссекцией с последующей лучевой терапией.
Хирургическое лечение
Виды реконструкции нижней челюсти:
- пластика кожно-мышечным лоскутом с использованием кивательной мышцы;
- пластика торакодорзальным лоскуктом;
- ромбовидный шейный-лицевой кожно-мышечный лоскут;
- кожно-мышечный лоскут на коротких мышцах шеи;
- кожно-мышечный лоскут на большой подкожной мышцы шеи;
- пластика малоберцовой кости с микрососудистого анастомоза;
- пластика подвздошной костью;
- пластика участком ребра с микрососудистого анастамоза.
Лучевая терапия
Лучевая терапия проводится по радикальной программе.
Лекарственная терапия
- PF + Cet: Цисплатин + 5-фторурацил + цетуксимаб
- DС + Cet: Доцетаксел + цисплатин + цетуксимаб
- Pacli+Carbo+Cet: Паклитаксел + карбоплатин AUC + цетуксимаб
- Pacli+Carbo+Cet: Паклитаксел + карбоплатин AUC 2,0 + цетуксимаб
- PF :Цисплатин + 5-фторурацил. Карбоплатин AUC-5 + 5-фторурацил
- Pacli+Carbo: Паклитаксел + карбоплатин AUC-5–6. Паклитаксел + карбоплатин AUC-2
- DС: Доцетаксел + цисплатин
- Ниволумаб
- Пембролизумаб
Диспансерное наблюдение
В первый год физикальный осмотр и сбор жалоб рекомендуется проводить каждые 1-3 месяца, во второй год – каждые 2-6 месяцев, спустя 3-5 лет – 1 раз в 4-8 месяцев. Через 5 лет с момента операции обследования проводятся ежегодно или при появлении жалоб. У пациентов с высоким риском рецидива перерыв между обследованиями может быть сокращен.
Список литературы по теме:
- Ганцев Ш.Х. онкология – М, 2012 г – С.204-205.
- Опухоли головы и шеи: рук/ А.И. Пачес.- 5-е изд., доп. И перераб.-М.: Практическая медицина , 2013. -478 с.
- Клинические рекомендации Злокачественные новообразования полости рта. 2020г. – 62 с.
- WHO Classification of Head and Neck Tumours-International Agency for Research on Cancer. 2017. – 347 с.
- Shah. Head and Neck Surgery and Oncology 5 ed (2020) – 859 с.


Авторская публикация: 
 Косачев В.А. 
Ординатор отделения опухолей головы и шеи 
НМИЦ онкологии им Н.Н. Петрова

Под научной редакцией: 
Раджабова З.А. 
Заведующий отделением опухолей головы и шеи 
НМИЦ онкологии им. Н.Н. Петрова, 
врач-онколог, научный сотрудник, кандидат медицинских наук, доцент
Что вам необходимо сделать
Если вы хотите узнать побольше о бесплатных возможностях ФБГУ НМИЦ онкологии им. Н.Н. Петрова Минздрава России, получить очную или заочную консультацию по диагностике и лечению, записаться на приём, ознакомьтесь с информацией на официальном сайте.
Если вы хотите общаться с нами через социальные сети, обратите внимание на аккаунты в ВКонтакте и Одноклассники.
КТ, МРТ при плоскоклеточном раке альвеолярного гребня
а) Терминология:
1. Аббревиатуры: 
• Плоскоклеточный рак (ПКР) дна полости рта (ДПР)
2. Определение: 
• Злокачественная опухоль слизистой оболочки дна полости рта: 
о Внутренняя поверхность альвеолярных гребней нижней челюсти до нижней поверхности языка
б) Визуализация:
1. Общая характеристика: 
• Лучший диагностический критерий: 
о Неправильное образование, накапливающее контраст, в передней части ДПР 
• Локализация: 
о Преимущественно в пределах 2 см от средней линии передних отделов ДПР 
• Размеры: от нескольких мм до нескольких см

 (Слева) На рисунке показано наиболее частое расположение ПКР дна полости рта: в пределах 2 см от средней линии в передних отделах. При анализе изображений важно оценить распространение опухоли каудально с инвазией подбородочно-язычной и челюстно-подъязычной мышц, кзади по направлению к корню языка, и кпереди или латерально с инвазией нижней челюсти. С этой целью может потребоваться и МРТ, и КТ. Другой целью методов визуализации является оценка вторичного поражения лимфатических узлов. 
(Справа) При МРТ Т1ВИ в сагиттальной проекции визуализируется объемное образование с сигналом низкой интенсивности по сравнению с мышцами языка, прилежащее вплотную к нижней челюсти по средней линии. 
2. КТ при плоскоклеточном раке дна полости рта: 
• КТ с КУ: 
о Иррегулярное образование ДПР слабо или умеренно контрастирующееся 
о Может в точности напоминать рак подъязычной железы 
о Обструкция выводного протока одной или обеих поднижнечелюстных желез - сиаладенит 
• КТ в костном окне: 
о Тщательный поиск эрозий пластинки
3. МРТ при плоскоклеточном раке дна полости рта: 
• Т1ВИ: 
о Гипоинтенсивный сигнал по сравнению с тканями ДПР: 
- Легкая смазанность контуров анатомических структур 
• Т2ВИ: 
о Повышение интенсивности сигнала 
- Изменения лучше различимы при подавлении сигнала от жировой ткани 
• Т1ВИ С+: 
о Контрастное усиление варьирует: минимальное или умеренное 
о Опухоль, инфильтрирующая костный мозг, обычно накапливает контраст
4. Сцинтиграфия: 
• ПЭТ/КТ: 
о ПКР достоверно накапливает ФДГ
5. Рекомендации по визуализации: 
• Лучший метод диагностики: 
о МРТ лучше позволяет оценить распространенность опухоли 
о КТ в костном окне, если опухоль вплотную прилежит к нижней челюсти 
о Возрастает роль ПЭТ/КТ как метода с наиболее высокой чувствительностью 
• Выбор протокола: 
о КТ с КУ: костный и мягкотканный алгоритм в двух плоскостях: 
- Метод «надутых щек» позволяет лучше оценить слизистую

 (Слева) При МРТ Т1ВИ С + FS в аксиальной проекции у этого же пациента не четко визуализируется объемное образование передних отделов дна полости рта, прорастающее в правую подъязычную железу. Обратите внимание на отсутствие кортикальной пластинки с гипоинтенсивным сигналом в прилежащих отделах нижней челюсти, что подтверждается и при КТ в костном окне. Патологически измененные лимфоузлы не определяются. 
(Справа) На фото этого же пациента, полученном при клиническом обследовании, также видна опухоль в передних отделах дна полости рта. Фото позволяет оценить локализацию опухоли и подъязычных желез. На операции была подтверждена опухоль T4aN0 с инвазией нижней челюсти. 
в) Дифференциальная диагностика плоскоклеточного рака дна полости рта:
1. Рак подчелюстной железы: 
• Может быть неотличим от рака ДПР при визуализации
2. Плоскоклеточный рак оральной части языка: 
• Опухоль передних отделов языка и/ или большого размера: инвазия ДПР
3. Венолимфатическая мальформация: 
• Неравномерное контрастное усиление 
• Обызвествленные флеболиты - диагностический признак
4. Ранула: 
• Жидкостное объемное образование ДПР, накапливающее контраст в виде «ободка»
5. Абсцесс полости рта: 
• Скопление (я) жидкости с «ободком», накапливающим контраст ± целлюлит ДПР
г) Патология:
1. Общая характеристика: 
• Этиология: 
о Выраженная связь с курением и жеванием табака и употреблением алкоголя: 
- А также жеванием бетеля, паана в некоторых регионах Азии
2. Стадирование, классификация плоскоклеточного рака дна полости рта: 
• Классификация Американского Объединенного Комитета по Раку (2010) 
• Эта же классификация используется для всех опухолей полости рта: 
о Т1: о Т2: >2 и о Т3: >4см 
о Т4а: инвазия опухоли в наружные мышцы языка, кожу лица через кортикальную пластинку 
о Т4b: инвазия жевательного пространства, крыловидных пластинок, основания черепа; или обрастание сонных артерий 
• Клинически размер опухоли в слизистой определяется точнее, чем при визуализации 
• Методы визуализации важны для оценки глубокого распространения: нужно оценить наличие признаков опухоли стадии Т4 
• Стадия N (АОКР) определяется также, как для рака ротоглотки и гортани 
• В 1-ю очередь лимфогенное метастазирование в лимфоузлы I, затем II уровня: 
о До 35%: метастатическая лимфаденопатия 
о В 30% ПКР полости рта: скрытые метастазы в лимфоузлах 
• Отдаленные метастазы: отсутствуют = М0, присутствуют = М1: 
о Метастазы в легких выявляются чаще, чем в костях и печени
д) Клинические особенности:
1. Проявления: 
• Типичные признаки/симптомы: 
о Плотный болезненный патологический очаг/язва в ДПР 
• Другие признаки/симптомы: 
о Инвазия нижней челюсти может приводить к расшатыванию зубов
2. Демография: 
• Возраст: наиболее часто 50-70 лет
3. Течение и прогноз: 
• Общая пятилетняя выживаемость = 60%
4. Лечение: 
• Резекция первичной опухоли ± реконструкция ± шейная лимфодиссекция 
• ± адъювантная лучевая терапия 
• Суперселективная внутриартериальная химиотерапия в будущем?
е) Список использованной литературы: 
1. Arya S et al: Oral cavity squamous cell carcinoma: role of pretreatment imaging and its influence on management. Clin Radiol. 69(9):916-30, 2014 
2. Hong HR et al: Clinical values of (18) F-FDG PET/CT in oral cavity cancer with dental artifacts on CT or MRI. J Surg Oncol. 110(6):696-701, 2014 
3. American Joint Committee on Cancer: AJCC Cancer Staging Manual. 7th ed. New York: Springer, 2010
Плоскоклеточный рак альвеолярного гребня - лучевая диагностика
а) Терминология: 
• ПКР части нижней или верхней челюсти, несущей зубы
б) Визуализация: 
• Небольшие опухоли могут не обнаруживаться 
• Большие опухоли: инфильтративное образование, накапливающее контраст ± деструкция подлежащей кости 
• КТ или МРТ: изображения в корональной плоскости 
• КТ в костном окне: деструкция кортикальной пластинки ± расширение канала нерва 
• МРТ: сигнал и контрастное усиление костного мозга аналогичны опухоли 
• В клинической практике все возрастает роль ПЭТ/КТ: 
о Для выявления метастазов в лимфоузлах и отдаленных органах 
о В дополнение к МРТ для обнаружения инвазии костного мозга (специфичность выше, чувствительность ниже)
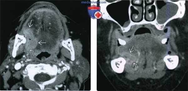
 (Слева) На изображении показан ПКР альвеолярного гребня нижней челюсти с распространением на тело нижней челюсти (Т4а). Обратите внимание на инвазию нижнего альвеолярного нерва - момент, важный для полной резекции опухоли. 
(Справа) При аксиальной КУ с КУ визуализируется объемное образование неоднородной структуры, разрушающее тело нижней челюсти слева. Опухоль распространяется кнаружи между десной и щекой, прорастая в щеку, а также кнутри, прорастая в дно полости рта. Опухоль (T4aN1) была полностью удалена, дефект тканей закрыт комбинированным лоскутом. (Слева) На фото у мужчины 66 лет виден патологический очаг В неправильной формы с уплотнением и изъязвлением тканей в области альвеолярного гребня верхней челюсти, начинающийся на уровне первого премоляра. Была выполнена биопсия, подтвердился инвазивный плоскоклеточный рак. Клинически стадия была определена как T2N0. 
(Справа) При МРТ Т1ВИ в аксиальной проекции у этого же пациента определяется мягкотканный компонент снаружи от альвеол нижней челюсти; жировая ткань (по сравнению с противоположной стороной) отсутствует. На томограммах не определяется убедительных признаков инфильтрации костного мозга, что позволяет выполнить частичную максиллэктомию. 
в) Дифференциальная диагностика: 
• Остеомиелит 
• Остеорадионекроз 
• Остенекроз 
• Метастазы 
• Остеосаркома
г) Клинические особенности: 
• 10% ПКР полости рта 
• Незаживающая язва челюсти, боль, отек, кровотечение, невозможность ношения зубных протезов 
• Общая пятилетняя выживаемость - 60% 
• Резекция ± реконструктивное вмешательство+лучевая терапия
д) Диагностическая памятка: 
• Оценка местного распространения опухоли, инфильтрации костей, лимфоузлов 
• Нижняя челюсть: щечное, жевательное пространство, дно полости рта 
• Верхняя челюсть: полость носа, верхнечелюстная пазуха, небо 
• Слизистая оболочка альвеолярного гребня прикрепляется к кости, что обусловливает раннюю инфильтрацию костного мозга: Т4а 
• При поражении костей необходимо оценить периневральное распространение: 
о Нижний альвеолярный (нижняя челюсть) или небный нерв (верхняя челюсть) 
• Метастазирование преимущественно в лицевые лимфоузлы и I, II уровня
Рак легких
Рак легкого – это злокачественная опухоль, источником которой являются клетки бронхиального и альвеолярного эпителия. Это опасное заболевание характеризуется неконтролируемым ростом клеток в тканях лёгкого, склонностью к метастазированию. При отсутствии лечения опухолевый процесс может распространиться за пределы легкого в близлежащие или отдаленные органы. В зависимости от характеристик опухолеобразующих клеток, основными типами рака легких являются мелкоклеточный рак легкого (МРЛ) и немелкоклеточный рак лёгкого (НМРЛ).
По данным ВОЗ эта болезнь занимает одну из лидирующих позиций неинфекционных заболеваний, ставших причиной смерти до 70 лет.
Классификация
По месту первичного очага классифицируют виды опухоли легкого.
Центральный рак локализирован в проксимальных (центральных) отделах бронхиального дерева. Первые признаки рака легких (симптомы), которые должны насторожить, в этом случае выражены ярко:
- сухой продолжительный кашель, не поддающийся лечению.
- начинается кровохарканье с присоединением мокроты.
- закупорка просвета бронха опухолевыми массами приводит к одышке даже в состоянии покоя. В некоторых случаях возможно повышение температуры.

Фото 1 — Центральный рак правого нижнедолевого бронха (1) с обтурацией и метастазами (2) в бифуркационные лимфатические узлы
Периферический рак постепенно сформировывается в боковых отделах легких, медленно прорастая и ничем себя не обнаруживая. Данная опухоль легкого симптомы долгое время может не давать, они появляются при значительном местном распространении, вовлечении соседних органов и структур, прорастания бронхов. Диагностика рака легких этого типа локализации чаще всего возможна при профилактическом обследовании (рентгенографии или компьютерной томографии).

Фото 2 — Периферический рак (1) верхней доли правого легкого
Причины
Причиной рака легких, в подавляющем большинстве случаев (до 85%), становится долгосрочное табакокурение. В 10-15-процентной вероятностью заболевание проявляется у людей, которые не имеют этой вредной привычки. В этом случае можно отметить сочетание генетических факторов и воздействие радона, асбеста, вторичного табачного дыма или других форм загрязнения воздуха.
Онкология легких обычно выявляется при рентгенографическом исследовании грудной клетки и компьютерно-томографическом сканировании (КТ). Диагноз подтверждается биопсией, которая обычно выполняется при трахеобронхоскопии или под КТ контролем.

Профилактика
Профилактикой рака легкого является снижение влияния факторов риска:
- отказ от курения, в том числе и «пассивного» (вдыхание табачного дыма от находящегося рядом курящего человека),
- применение средств индивидуальной защиты (маски, респираторы) при работе с вредными материалами.
Лечение
Лечение онкологии легких и отдаленные результаты зависят от типа рака, степени распространения (стадии), а также общего состояния здоровья человека. При немелкоклеточном раке легкого применяют:
- хирургический
- химиотерапевтический
- лучевой методы лечения
Для мелкоклеточного рака легкого характерна лучшая чувствительность к медикаментозной и лучевой терапии.
Хирургический метод лечения рака легкого
— основной радикальный способ при 1-3 стадии болезни. Операции, выполняемые при данном заболевании классифицируются:
- по объему резекции (лобэктомии (удаление доли легкого), билобэктомии (удаление двух долей легкого), пневмонэктомии (удаление целого легкого)),

Фото 3 — Лобэктомия
Фото 4 — Пневмонэктомия
- по объему удаления лимфатических узлов грудной полости (стандартные, расширенные, сверхрасширенные),
- по наличию резекции соседних органов и структур (комбинированные операции проводятся при прорастании опухоли в перикард, трахею, верхнюю полую вену, пищевод, аорту, предсердие, грудную стенку, позвоночник). Помимо оперативного лечения возможно применение комплексного подхода, включающего лучевую и химиотерпию.

При лечении местнораспространенного злокачественного образования с переходом на главный бронх и лёгочную артерию, в тех случаях, где раньше единственным вариантом оперативного лечения являлась пневмонэктомия, сейчас возможно выполнение органосохранных операций. В этом случае иссекается пораженный участок главного бронха с последующим восстановлением непрерывности (бронхопластические и ангиопластические лобэктомии)

Фото 5 — Схема верхней бронхопластической лобэктомии
Лучевая терапия рака лёгкого
На сегодняшний день активное внедрение получают такие современные методы радиотерапии, как IMRT (радиационная терапия с возможностью изменения дозы излучения), 3Д конформная лучевая терапия (трехмерное компьютерное планирование избирательного облучения) стереотаксическая (точно сфокусированная) лучевая терапия. В проведении этих манипуляций, помимо онкологов, участвуют медицинские физики, врачи-радиологи, физики-дозиметристы и др. специалисты.
- пациентам с резектабельной опухолью лёгкого, которым оперативное лечение выполнить невозможно ввиду противопоказаний со стороны сердечно-сосудистой системы или по другим причинам;
- как альтернатива хирургическому вмешательству;
- для снижения риска рецидива при поражении лимфаузлов средостения, положительном крае резекции по данным гистологического исследования.
Химиотерапия
Планирование курса лечения немелкоклеточного рака лёгкого включает в себя использование фармакологических средств. Применяется в целях профилактики: адъювантная (вспомогательная), послеоперационная химиотерапия при 2-3 стадии заболевания и в терапевтическом курсе.
В зависимости от гистологического типа опухоли, стадии заболевания и предполагаемой чувствительности к воздействию, разработаны различные схемы применения химиопрепаратов.
Таргетная терапия (англ. target – мишень, цель)
Отдельный вид фармакологического лечения, заключающийся в назначении препаратов-ингибиторов, действующих только на опухолевые клетки, в которых выделены различные нарушения, задерживающих или даже блокирующих дальнейший рост.
- ингибиторы тирозинкиназы (гефитиниб, эрлотиниб, афатиниб) используются в лечении больных, в опухолевой ткани которых выявлены мутации в гене EGFR.
- При отрицательном статусе EGFR-мутации — ингибиторы ALK (кризотиниб, алектиниб).
Существуют таргетные препараты, для назначения которых не требуется выявление каких-либо нарушений в опухолевых клетках. К ним относятся бевацизумаб (ингибитор VEGF), ниволюмаб и пембролизумаб (анти PDL1 антитела).
Прогноз жизни
Прогноз онкологии легких при НМРЛ включает симптоматику, размер опухоли (> 3 см), неплоскоклеточный гистологический вариант, степень распространения (стадию), метастазирование в лимфаузлы и сосудистую инвазию. Неоперабельность заболевания, выраженная клиника и потеря веса более, чем на 10% — дают более низкие результаты. Прогностические факторы при мелкоклеточном раке легкого включают в себя статус состояния, пол, стадию заболевания и вовлеченность центральной нервной системы или печени во время диагностики.
Для немелкоклеточного рака легкого прогноз жизни, при полной хирургической резекции стадии IA (ранняя стадия заболевания) — 70% пятилетняя выживаемость.
1. Аббревиатура: 
• Плоскоклеточный рак (ПКР) тела и верхушки языка
2. Определение: 
• Злокачественное новообразование слизистой оболочки передних отделов (2/3) языка (полости рта): 
о Рассматривается отдельно от ПКР корня языка (ротоглотки)
1. Общая характеристика: 
• Лучший диагностический критерий: 
о Асимметричное контрастирование ± язва бокового края языка 
• Локализация: 
о Оральная (свободная) часть языка: 
- Кончик, спинка, боковые и нижняя поверхности 
о Чаще всего опухоль возникает в области бокового края: 
- Затем со стороны нижней поверхности 
• Размер: 
о Варьирует в случае поверхностной и глубокой опухоли: 
- Размер опухоли слизистой лучше определяется клинически 
• Морфология: 
о Язва неправильной формы с различной глубиной инвазии

 (Слева) При MPT Т2ВИ FS в аксиальной проекции визуализируется небольшая опухоль в боковых отделах языка справа, выглядящая как двояковыпуклый участок с сигналом повышенной интенсивности и с типичными нечеткими краями, недостигающий средней линии. 
(Справа) Корональная томограмма (Т1ВИ С+ FS) этого же пациента, язва в боковых отделах языка накапливает контраст. Опухоль не распространяется книзу в подбородочно-язычную мышцу или в другие наружные мышцы языка, и не достигает срединно расположенной язычной перегородки. Была выполнена гемиглоссэктомия и селективная шейная лимфодиссекция, подтвердился ПКР (Т1 N0, первая стадия). 
2. КТ при плоскоклеточном раке тела и верхушки языка: 
• КТ с КУ: 
о Образование слизистой оральной части языка, вариабельно контрастирующееся 
о Поверхностная опухоль может не визуализироваться 
• КТ в костном окне: 
о Инвазия нижней челюсти при глубокой инфильтрации дна полости рта
3. МРТ при плоскоклеточном раке тела и верхушки языка: 
• Т1ВИ: 
о Сигнал низкой интенсивности по сравнению с тканью языка 
• Т2ВИ: 
о Типичный сигнал высокой интенсивности 
о Легче всего обнаруживается при подавлении сигнала от жира 
• Т1ВИ С+: 
о Вариабельное (легкое или умеренное) накопление контраста 
о Крупные опухоли: язвы с периферическим контрастным усилением
4. Сцинтиграфия: 
• ПЭТ/КТ: 
о ПКР достоверно накапливает ФДГ 
о Используется нечасто, лишь при крупных первичных опухолях или распространенной метастатической лимфаденопатии
5. Рекомендации по визуализации: 
• Лучший метод диагностики: 
о МРТ- предпочтительный метод исследования полости рта: 
- Тканевой контраст позволяет идентифицировать первичную опухоль и глубину ее распространения, 
- Менее подвержена артефактам от дентальной амальгамы, чем КТ 
• Выбор протокола: 
о Т2ВИ и Т1ВИ FS с контрастным усилением 
о КТ с КУ: тонкие срезы, реформатирование в корональной плоскости с целью оценки глубины распространения опухоли

 (Слева) При аксиальной КТ с КУ у курильщика 59 лете жалобами на болезненное уплотнение в языке, появившееся пять месяцев назад, в задних боковых отделах языка визуализируется изъязвленное объемное образование неправильной формы, интенсивно накапливающее контраст. На более каудальных томограммах был также выявлен единичный лимфоузел второго уровня. 
(Справа) При корональной КТ с КУ определяется неравномерное контрастное усиление язвы. Отсутствуют признаки глубокой инфильтрации наружных мышц языка, опухоль не достигает средней линии. Была выполнена правосторонняя гемиглоссэктомия и модифицированная шейная лимфодиссекция, подтвердился ПКР T2N1 (третья стадия). 
в) Дифференциальная диагностика плоскоклеточного рака тела и верхушки языка:
1. ПКР язычной миндалины: 
• Инвазивное образование корня языка; может распространяться в тело и верхушку 
• Чаще инвазируетдна полости рта, корня языка
2. Шваннома языка: 
• Хорошо отграниченное новообразование оральной части языка 
• Равномерно накапливает контраст
3. Венозная мальформация языка: 
• Врожденная сосудистая аномалия 
• Обызвествленные флеболиты являются практически диагностическим признаком
4. Абсцесс полости рта: 
• Кистозное образование, контрастирующееся в виде «ободка», часто с выраженным целлюлитом 
• Обычно сочетается с заболеваниями зубов
5. Альвеолярная мягкотканная саркома языка: 
• Агрессивная опухоль, накапливающая контраст; может поражать тело языка 
• Обычно у женщин 

 (Слева) При МРТ Т1ВИ С+ FS в корональной проекции в боковых отделах языка справа определяется большое объемное образование неправильной формы, накапливающее контраст во всех отделах за исключением центрального некроза. Опухоль вызывает инвазию подбородочно-язычной мышцы и пересекает среднюю линию. 
(Справа) При МРТ Т2ВИ FS в аксиальной проекции, выполненной на уровне нижней стенки полости рта у этого же пациента, лучше видна зона опухолевой инфильтрации, распространяющаяся по направлению к нижней челюсти справа; тем не менее, признаки опухолевой инфильтрации костной ткани отсутствуют. Поскольку пациенту всего 31 год, была выполнена тотальная глоссэктомия и резекция нижней стенки полости рта, подтвердился ПКР T4aN2b (IVA стадия). 
1. Общая характеристика: 
• Этиология: 
о Строгая связь с курением и жеванием табака, алкоголизмом: 
- А также с жеванием бетеля и паана 
о Противоречивые мнения касательно связи между спиртосодержащими ополаскивателями для рта и раком полости рта 
- Некоторые советуют ополоскиватели для рта без спирта 
о Употребление фруктов и овощей, вероятно, снижает риск ПКР полости рта 
• Генетические нарушения: 
о Онкоген плоскоклеточного рака (DCUN1D1): 
- Может играть роль в патогенезе ПКР оральной части языка путем амплификации хромосомы 3q26 
- Может являться предиктором регионарного метастазирования, а также маркером агрессивности опухоли и исхода
2. Стадирование, классификация плоскоклеточного рака тела и верхушки языка: 
• Формы Американского Объединенного Комитета по Раку (2010) 
• Клинически размер опухоли в слизистой оболочке можно оценить точнее, чем при использовании методов визуализации 
• Лучевая методы диагностики важны при определении глубины распространения: необходимо искать признаки стадии Т4: 
о Т4а: инвазия опухоли в кортикальный слой, глубокие мышцы языка, верхнечелюстную пазуху, кожу лица 
о Т4b: опухолевая инвазия жевательного пространства, крыло-видных пластинок, основания черепа; или обрастание сонных артерий 
о Контрлатеральное распространение - важный момент перед резекцией 
• ПКР передних отделов языка: 
о Чаще прорастает в нижнюю стенку полости рта 
• На момент обнаружения часто имеет место злокачественная лимфаденопатия: 
о В 35% случаев перед оперативным вмешательством >N 1 
о В 30% в «N0» обнаруживаются микроскопические метастазы 
• В первую очередь лимфогенное распространение в поднижнечелюстные лимфоузлы (IB), затем в яремно-двубрюшные лимфоузлы (IIА) 
о Редко опухоли передних отделов языка могут лимфогенно метастазировать непосредственно в средние (III) или нижние (IV) яремные лимфоузлы 
о Срединные опухоли чаще вызывают двухстороннюю лимфаденопатию 
о Опухоли верхушки языка могут лимфогенно метастазировать в подбородочные лимфоузлы (I) 
• При более каудальной метастатической лимфаденопатии выше вероятность отдаленных метастазов: 
о В легких > в костях или печени
3. Макроскопические и хирургические особенности: 
• Хорошо отграниченные плотные и бугристые участки красного или красно-белого цвета 
• Изъязвленные участки плотные и болезненные при пальпации
4. Микроскопия: 
• Плоскоклеточная дифференцировка, межклеточные «мостики» или признаки кератинизации ± кератиновые «жемчужины» 
• Опухоль классифицируется в зависимости от степени дифференцировки: 
о Высоко-, умеренно-, низко-, недифференцированный рак
 
1. Проявления: 
• Типичные признаки/симптомы: 
о Боль; обусловлена меньшими опухолями по сравнению с другими новообразованиями полости рта 
о Незаживающая язва слизистой оболочки оральной части языка: 
- Язва, существующая более трех недель, является подозрительной 
• Другие признаки/симптомы: 
о Образование языка и множественные регионарные лимфоузлы 
о Кровотечение
2. Демография: 
• Возраст: 
о Средний: 61 год 
• Пол: 
о М:Ж=4:1 
• Эпидемиология: 
о >90% всех злокачественных опухолей полости рта - ПКР: 
- Чаще всего встречается рак языка и нижней стенки полости рта 
о Возрастает заболеваемость ПКР языка
3. Течение и прогноз: 
• Продолжение употребления табака и алкоголя - выраженное снижение выживаемости 
• Инвазия ближайших структур значительно ухудшает прогноз 
• Общая пятилетняя выживаемость: 60%: 
о При отсутствии метастатического поражения лимфоузлов: -77%
4. Лечение: 
• Преимущественно хирургическое ± лучевая терапия: 
о Локальная резекция 
о Гемиглоссэктомия: 
- При больших опухолях, не пересекающих среднюю линию 
- Средняя линия соответствует перегородке языка 
о Тотальная глоссэктомия: 
- Редко выполняется; существенное нарушение здоровья 
• Для минимизации рецидива необходимо удалять 1,5-2 см тканей рядом с опухолью: 
о Вследствие чего визуализация глубокого распространения опухоли перед операцией может иметь решающее значение для хирурга 
• Согласно некоторым программам лечения при ПКР полости рта рекомендуется плановая селективная шейная лимфодиссекция в связи с высоким риском скрытых метастазов
е) Диагностическая памятка:
1. Следует учесть: 
• Клиническое определение размера опухоли слизистой точнее, чем лучевое: 
о Поверхностные опухоли могут быть неразличимы на МРТ или КТ с КУ 
• Методы визуализации позволяют оценить глубокое распространение опухоли и лимфатические узлы лучше, чем клиническое обследование: 
о МРТ лучше, чем КТ с КУ, позволяет определить распространенность опухоли 
о Часто присутствуют клинически и лучевые «скрытые» лимфоузлы
2. Рекомендации по отчетности: 
• Контрлатеральное распространение опухоли: препятствует гемиглоссэктомии 
• Признаки глубокой инвазии: повышение стадии до Т4а или Т4b 
• Состояние ипсилатеральных и контрлатеральных лимфатических узлов IB и IIА 
• Следует остерегаться отсутствия патологических изменений со стороны лимфоузлов ближе к опухоли, при наличии измененных лимфоузлов III и IV уровня, особенно при опухолях передних отделов языка
ж) Список использованной литературы: 
1. Mucke T et al: Tumor thickness and risk of lymph node metastasis in patients with squamous cell carcinoma of the tongue. Oral Oncol. 53:80-4, 2016 
2. Seki M et al: Histologic assessment of tumor budding in preoperative biopsies to predict nodal metastasis in squamous cell carcinoma of the tongue and floor of the mouth. Head Neck. 38 Suppl 1 :E1582-90, 2016 
3. Madana J et al: Computerized tomography based tumor-thickness measurement is useful to predict postoperative pathological tumor thickness in oral tongue squamous cell carcinoma. J Otolaryngol Head Neck Surg. 44:49, 2015
Читайте также:
- Диагностика причины гемифациального спазма по МРТ
- Лучевая диагностика центральной гемангиомы челюсти
- Острый язвенно-некротический гингивит. Актиномикотический гингивит. Ограниченный гингивит прорезывания.
- Рентгенограмма, КТ, МРТ при повреждении связки Лисфранка
- Реконструктивные операции при аномалиях челюсти. Послеоперационный период аномалий челюсти
