Лучевая диагностика жировой перестройки костного мозга позвоночника
Добавил пользователь Евгений Кузнецов Обновлено: 09.01.2026
Костный мозг занимает примерно 5% общей массы тела и играет активную роль в гемапоэзе (формировании крови). Состоит костный мозг, в основном, из стволовых клеток (всех видов клеточных элементов крови), окружающих поддерживающих клеток – макрофагов, адипоцитов и большого числа других, участвующих в питании, пролиферации (росте) и дифференциации стволовых клеток. Красный костный мозг содержит около 40% жира, желтый до 80%. Эта особенность помогает в выявлении различных патологий, связанных с изменением этого соотношения, при МРТ позвоночника.
К жировой ткани наиболее чувствительны Т1-взвешенные МРТ. Они являются основой протокола МРТ. В дополнение используются Т2-взвешенные МРТ с подавлением сигнала от жира. Ниже мы остановимся на основных патологиях, проявляющихся на МРТ позвоночника, как патология костного мозга, в первую очередь.
- Гемангиома, одиночная или множественная, составляет 10-12% изменений в позвонках. Она относится к сосудистым аномалиям и имеет характерные признаки при МРТ позвоночника – округлая или трабекулярная, светлая на Т1-взвешенных и Т2-взешенных МРТ, не меняется МРТ методиками подавления сигнала от жира.
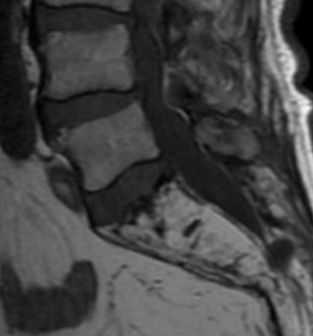
- Локальные жировые депозиты появляются с возрастом и являются вариантом нормы. Жировые отложения также наблюдаются при остеохондрозе вдоль замыкательных пластинок (жировая дегенерация, или тип 2 по классификации Modic). Они яркие на Т1-взвешенных МРТ позвоночника и становятся темными при МРТ подавлении сигнала от жира. Иногда встречаются смешанные варианты изменений костного мозга при остеохондрозе, полностью не подавляющиеся при применении МРТ последовательности STIR.
- Болезнь Пэджета относится к метаболическим нарушениям и наблюдается у 1-3% лиц старше 40 лет. Поражение позвонков занимает второе место после костей таза. В диагностике болезни Пэджета очень помогает выявление литических очагов в костях черепа. Болезнь Пэджета проходит 3 стадии – литическую, смешанную и бластическую. В соответствии с этими стадиями при МРТ позвоночника наблюдается разная картина. В литической стадии сигнал от очага яркий на Т2-взвешенных МРТ и низкий на Т1-взвешеенных МРТ, затем сменяется на гипоинтенсивный на МРТ обоих типов взвешенности по мере увеличения склероза и фиброза. При МРТ позвоночника обнаруживаются и другие характерные черты болезни Пэджета – утолщение кортикальных пластинок тел позвонков, жировое перерождение на поздней стадии и в ходе успешного лечения.

МРТ позвоночника. Т1-взвешенная сагиттальная МРТ пояснично-крестцового отдела. Замещение костного мозга крестца жиром при болезни Пэджета.
- Липома относится к доброкачественным опухолям из жировой ткани. Они составляют около 1% всех первичных опухолей костей и не больше 4% из них локализуются в позвонках. При МРТ позвоночника липомы трудно отличимы от жировых депозитов, однако, они более четко очерчены и могут подвергаться внутреннему некрозу и кальцификации
- кровоизлияния в позвонки встречаются при травмах. При МРТ позвоночника прослеживается характерная динамика крови в зависимости от давности кровоизлияния.
- Последствие лучевой терапии сводятся к замещению красного костного мозга на желтый. При поглощенной дозе, превышающей 36Гр этот процесс становится необратимым. При МРТ позвоночника видно диффузное увеличение сигнала на Т1-взвешенных МРТ с четкой границей, соответствующей полю облучения. После лучевой терапии и химиотерапии также может развиваться миелофиброз – замещение костного мозга фиброзной тканью. При МРТ позвоночника сигнал очень низкий как на Т1-взвешенных, так и на Т2-взвешенных МРТ.

МРТ позвоночника. Т1-взвешенная сагиттальная МРТ грудного отдела. Жировая дегенерация костного мозга после лучевой терапии.
- Остеопороз приводит к уменьшению клеточного состава костного мозга и увеличению жира. При МРТ позвоночника чаще видно диффузное увеличение сигнала от тел позвонков на Т1-взвешенных МРТ. Встречаются также очаговые изменения, требующие при МРТ позвоночника дифференциальной диагностики с гемангиомами. МРТ диагностика при остеопорозе представлена также в отдельной статье.
- Спондилоартропатии при МРТ позвоночника часто проявляются “светящимися” углами на Т2-взвешенных МРТ. Особенно это характерно для острой стадии анкилозирующего спондилита. Смена острой фазы на хроническую приводит к превращению воспалительной реакции в депо жировой ткани, светлой на Т1-взвешенных МРТ. МРТ позвоночника при различных заболеваниях, относящихся к группе спондилоартропатий, посвящена специальная статья на нашем другом сайте.
- Анорексия сопровождается разными изменениями в организме, в том числе и остеопорозу и снижению интенсивности сигнала на Т1-взвешенных МРТ, а также отеку костного мозга, что обозначается термином “желатинозная трансформация”. На Т2-взвешенных МРТ (особенно с подавлением сигнала от жира) появляется слабое диффузное увеличение сигнала от позвонков. При МРТ позвоночника с контрастированием отмечается аморфное усиление сигнала.

МРТ позвоночника. Т2-взвешенная сагиттальная МРТ. Желатинозная трансформация при нарушении питания.
- Гемосидероз – явление наблюдающееся при гемолитической анемии. При МРТ позвоночника костный мозг приобретает низкий сигнал. В дифференциальной диагностики важно, что такой же низкий сигнал приобретает печень и селезенка.
- Болезнь Гоше – аутосомно-рецессивное наследственное заболевание классифицируемое как сфинголипидоз и проявляющееся в накоплении глюкоцереброзидов в гистиоцитах. Диагноз ставится на основании пункции селезенки и обнаружении специфических клеток. При МРТ позвоночника красный костный мозг замещается клетками Гоше, которые гипоинтенсивны на Т1- и Т2-взвешенных МРТ. Кроме того, при МРТ позвоночника часто наблюдаются костные инфаркты.

МРТ позвоночника. Т1-взвешенная МРТ грудного отдела позвоночника. Болезнь Гоше.
- Миелопролиферативные и миелодиспластические синдромы к которым относится хронический миелолейкоз и другие хронические лейкозы, полицитемия, мастоцитоз, эссенциальная тромбоцитопения при МРТ позвоночника проявляются однородно сниженным сигналом на Т1-взвешенных МРТ. На Т2-взвешенных МРТ позвоночника нередко наблюдается “обратная” яркость межпозвоночных дисков, они становятся светлее тел позвонков. МРТ головного мозга при опухолях кроветворной системы также может выявить его поражение.

МРТ позвоночника. Т2-взвешенная сагиттальная МРТ шейного отдела позвоночника. Хронический миелолейкоз.
- Саркоидоз поражает костный мозг в 1-3% случаев. Поражение головного мозга и спинного мозга при саркоидозе встречается гораздо чаще. При МРТ позвоночника наблюдаются склеротические очаги, очень напоминающие метастазы, часто множественные. Очаги могут быть смешанными литическими со склеротическими ободками. При МРТ позвоночника с контрастированием может наблюдаться усиление сигнала от очагов.
- Талассемия – большая группа аутосомно-рецессивных заболеваний проявляющаяся в нарушении синтеза цепей глобина эритроцитов. Заболевание проявляется гемолитической анемией. Диагноз ставится на основании пунктата костного мозга. При МРТ позвоночника сигнал от позвонков очень низкий и встречается экстрамедуллярный гемопоэз.
- Множественная миелома (плазмоцитома) относится к гематологическим заболеваниям. МРТ позвоночника при множественной миеломе рассматривается в отдельной статье.
При МРТ в СПб в наших клиниках мы поводим дифференциальный диагноз с метастазами и первичными опухолями позвоночника. Кроме того, при МРТ позвоночника надо исключить воспалительные процессы – туберкулезный спондилит и спондилодисцит.
Лучевая диагностика жировой перестройки костного мозга позвоночника
а) Определения:
• Трансформация на фоне лучевой терапии красного костного мозга в жировой
б) Визуализация:
1. Общие характеристики:
• Наиболее значимый диагностический признак:
о Интенсивность сигнала (ИС) костного мозга в пределах зоны облучения в Т1-режиме соответствует ИС подкожной клетчатки
• Локализация:
о Соответствует области облучения
• Размеры:
о Соответствуют размерам области облучения
• Морфология:
о Однородная гиперинтенсивность сигнала костного мозга:
- Неоднородный характер сигнала дает основание заподозрить рецидив поражения костного мозга
о Четкие границы между измененным и неизмененным костным мозгом (границы области облучения)
2. Рентгенологические данные постлучевых изменений костного мозга:
• Рентгенография:
о ± остеопения, компрессионные переломы
3. КТ постлучевых изменений костного мозга:
• Костная КТ:
о ± компрессионные переломы
о Неинформативна в отношении диагностики жировой перестройки костного мозга
4. МРТ постлучевых изменений костного мозга:
• Т1-ВИ:
о Очень высокая интенсивность сигнала костного мозга (соответствует жировой ткани)
• Т2-ВИ:
о Промежуточная ИС, соответствует жировой ткани
• PD/промежуточный режимы:
о Промежуточная ИС, соответствует жировой ткани
• STIR:
о Высокая интенсивность сигнала в острую фазу (отек)
о Низкая интенсивность сигнала в последующем (жировая перестройка)
• Т1-ВИ с КУ:
о Контрастное усиление сигнала в острую фазу:
- Возможно связано с застойными явлениями
о В последующем контрастное усиление исчезает:
- Снижение кровоснабжения, фиброз
• Первые три недели:
о Отсутствие изменений или ранняя гиперинтенсивность Т1-сигнала костного мозга:
- Гиперинтенсивность сигнала позволяет предположить наличие кровоизлияний ± жировую перестройку
о Гиперинтенсивность в STIR:
- Отек и некроз костного мозга
- Изменения наиболее выражены в течение первых 9 дней после облучения, в последующем ИС постепенно снижается
• 3-6 недель:
о Неоднородный пятнистый характер сигнала в Т1
о Усиление сигнала за счет жировой перестройки в центральных отделах тел позвонков вокруг базивертебральных вен
• После шести недель:
о Диффузная и гомогенная гиперинтенсивность сигнала в Т1
о Полосы промежуточной ИС по периферии:
- Вокруг центрального гиперинтенсивного костного мозга
- Могут быть отражением регенерации гемопоэтического костного мозга
о Характерные изменения, захватывающие >90% костного мозга в пределах области облучения
5. Радиоизотопные исследования:
• Костная сцинтиграфия:
о Четко ограниченное очаговое или диффузное снижение захвата изотопа вследствие уменьшения кровоснабжения облученных участков костного мозга
• ПЭТ:
о Снижение метаболической активности костного мозга
• Сцинтиграфия с серным коллоидом, меченым 99m Тс:
о Четко ограниченная «холодная» зона, соответствующая границам области облучения
6. Другие методы исследования:
• Двухэнергетическая рентгеновская абсорбциометрия:
о Возможно уменьшение костной массы
7. Рекомендации по визуализации:
• Наиболее оптимальный метод диагностики:
о Методом выбора при исследовании костного мозга является МРТ
• Протокол исследования:
о Т1-ВИ — наиболее чувствительный в отношении диагностики жировой перестройки костного мозга режим
о STIR или FSET1 с насыщением жировой ткани наиболее информативны в отношении диагностики рецидивов или остаточных явлений поражений костного мозга
о Т1-ВИ без КУ и с КУ и подавлением сигнала жира увеличивают чувствительность в отношении диагностики очаговых поражений

(Слева) Сагиттальный срез, Т1-ВИ шейно-грудного отдела позвоночника: признаки однородного усиления сигнала костного мозга грудных позвонков с достаточно хорошо выраженной переходной зоной этих изменений на уровне Т1-Т2, т. е. на уровне верхней границы области облучения.
(Справа) Сагиттальное Т1-ВИ с признаками гомогенной постлучевой жировой перестройки костного мозга грудных позвонков и четкими границами этих изменений, соответствующими границам области облучения.
в) Дифференциальная диагностика постлучевых изменений костного мозга:
1. Нормальный жировой костный мозг:
• Изменения коррелируют с возрастом пациента
• Преимущественная интенсивность сигнала соответствует жировой ткани, нередка некоторая неоднородность сигнала
• Отсутствие четких границ с неизмененным костным мозгом
• ± компрессионные переломы
• Отсутствие патологических изменений захвата изотопов при сцинтиграфии и ПЭТ
2. Гемангиома позвонка:
• Четко ограниченное округлое образование
• Типична гиперинтенсивность в Т1 и Т2, связанная с наличием жировой стромы
• Яркое контрастное усиление

(Слева) На сагиттальном Т1-ВИ определяются признаки жировой перестройки костного мозга нижней половины тела Т5 и целиком тел и задних элементов Т6-Т8 позвонков. Обратите внимание на T9 позвонок, костный мозг которого практически полностью инфильтрирован опухолью.
(Справа) Сагиттальный срез, Т2-ВИ: признаки жировой перестройки костного мозга нижней половины тела Т5 и целиком тел и задних элементов Т6-Т8 позвонков. Костный мозг T9 позвонка инфильтрирован метастазом опухоли.
г) Патология:
1. Общие характеристики:
• Этиология:
о Лучевое повреждение гемопоэтических элементов костного мозга (отличающихся высокой радиочувствительностью)
о Сопутствующее снижение костной массы
о Изменения МР-сигнала костного мозга зависят от дозы облучения, ее фракционирования и времени, прошедшего с момента окончания терапии:
- Признаки жировой перестройки костного мозга появляются через две недели после облучения:
Через два месяца после облучения жировая перестройка наблюдается более, чем у 90% пациентов
- При дозе облучения 1,25 Гр ИС костного мозга не меняется
- При дозе в 50 Гр признаки жировой перестройки сохраняются и через девять лет после облучения:
Полное и необратимое исчезновение гемопоэтических элементов
- При дозах 20-30 Гр через 10 лет восстанавливается картина нормального костного мозга:
Частичное восстановление наступает в период от 2 до 9 лет
о Реконверсия жирового костного мозга в красный у детей наступает через 11-30 месяцев после облучения
• Генетика:
о Генетическая предрасположенность отсутствует
• Сочетанные изменения:
о Остеопения
о Остеопоротические компрессионные переломы
о Остеонекроз:
- Четкая граница между нормальным костным мозгом и зоной инфаркта
- МРТ:
Гиперинтенсивность в STIR и FS Т2
Гипоинтенсивность в Т1
± внутрипозвонковое жидкостное скопление
± КУ после внутривенного введения гадолиния
- Рентгенография, КТ:
± линейное скопление газа в теле позвонка, склероз
- Костная сцинтиграфия:
Отсутствие захвата изотопа, за исключением случаев развития коллапса тела позвонка
Бывает сложно отличить от рецидива метастатического поражения
о Для дифференциальной диагностики показана биопсия
о Рецидив или продолженный рост опухоли:
- Множественные дискретные очаги
- Парадуральный или паравертебральный мягкотканный компонент
- Патологические переломы
- Гипоинтенсивная в Т1 зона, окруженная жировым костным мозгом
- Гиперинтенсивность в STIR или FS Т2
- Очаговые образования после курса лечения могут не накапливать контраст
о Постлучевой миелит:
- Диффузная гиперинтенсивность Т2-сигнала спинного мозга в пределах области облучения
- Умеренная гипоинтенсивность в Т1
- Утолщение спинного мозга ± неправильной формы очаги контрастного усиления (некроз)
2. Микроскопия:
• Исследование на крысах, подвергшихся однократному облучению в дозе 20 Гр
• Снижение числа клеточных элементов и повреждение синусоидных сосудов:
о Сочетанные отек и кровоизлияния
• Восполнение клеточного состава костного мозга:
о Одновременное увеличение и жирового компонента
• Уменьшение клеточности костного мозга и уменьшение числа синусоидов:
о Фиброз с последующим увеличением жирового компонента
• Постепенная регенерация гемопоэтических элементов и синусоидов

(Слева) На сагиттальном STIR МР-И у этого же пациента видно, что нормальный костный мозг и измененный в результате облучения костный мозг характеризуются практически одинаковой низкой интенсивностью сигнала, тогда как очаг метастатического поражения характеризуется высокой интенсивностью сигнала.
(Справа) На следующем сагиттальном FS T1-ВИ с КУ отмечается подавление сигнала и отсутствие контрастного усиления подвергшегося облучению и последующей жировой перестройке костного мозга нижней половины тела Т5 и тел и задних элементов Т6-Т8 позвонков. Тело T9 позвонка практически полностью замещено накапливающим контраст метастазом опухоли.
д) Клинические особенности:
1. Клиническая картина постлучевых изменений костного мозга:
• Наиболее распространенные симптомы/признаки:
о Обычно бессимптомное течение
• Другие симптомы/признаки:
о Боль (перелом)
о Миелопатия или радикулопатия вследствие компрессионного перелома или инфильтрации опухолью
• Особенности клинической картины:
о Развитие или прогрессирование болевого синдрома и неврологического дефицита обычно связано с постлучевым некрозом, переломами позвонков или рецидивом/прогрессирова-нием опухоли
2. Демография:
• Возраст:
о Дети и взрослые
• Пол:
о М = Ж
• Этническая предрасположенность:
о Отсутствует
• Эпидемиология:
о Ожидаемая находка у всех пациентов, подвергшихся лучевой терапии
3. Течение заболевания и прогноз:
• Восстановление картины нормального костного мозга при длительных сроках наблюдения за пациентами: > 10 лет
• Зависят в первую очередь от характера первичного заболевания, по поводу которого проводилась лучевая терапия
4. Лечение постлучевых изменений костного мозга:
• Ожидаемая находка после проведенной лучевой терапии, при отсутствии осложнений лечения не требует:
о Симптоматическая терапия при компрессионных переломах
о Хирургическое лечение при сдавлении спинного мозга или нестабильности позвоночника
е) Диагностическая памятка:
1. Следует учесть:
• Методом выбора при исследовании костного мозга является МРТ: Т2-ВИ FS или STIR и Т1 FS с КУ
2. Советы по интерпретации изображений:
• Гомогенная жировая перестройка костного мозга, четко отграниченная от неизмененного костного мозга, является характерным диагностическим признаком постлучевых изменений костного мозга
Лучевая диагностика эпидурального липоматоза
а) Определения:
• Гипертрофия эпидуральной клетчатки, вызывающая компрессию спинного мозга и неврологический дефицит
2. КТ при эпидуральном липоматозе:
• Увеличение объема жировой ткани в спинномозговом канале
• Сдавление спинного мозга или дурального мешка
• Отсутствие патологического накопления контраста
• Отсутствие костных изменений
3. МРТ при эпидуральном липоматозе:
• Объемное воздействие на дуральный мешок и корешки спинного мозга:
о Облитерация ликворного пространства, сдавление спинного мозга, «скученность» корешков конского хвоста
• Интенсивность сигнала соответствует жировой ткани во всех режимах исследования
• Отсутствие патологического контрастного усиления
4. Несосудистые интервенционные рентгенологические исследования:
• Миелография:
о Норма или признаки экстрадурального сдавления дурального мешка
5. Рекомендации по поведению исследования:
• Наиболее оптимальный метод диагностики:
о МРТ
• Протокол исследования:
о Подавление сигнала жировой ткани для подтверждения жировой природы ткани и исключения кровоизлияния

(Слева) На схеме сагиттального среза показана картина сливного гипертрофического эпидурального липоматоза дорзального отдела спинномозгового канала, вызывающего сдавление дурального мешка и минимальную компрессию спинного мозга. Последний оттеснен вентрально.
(Справа) Сагиттальный срез, Т2-ВИ грудного отдела позвоночника: эпидуральная клетчатка определяется в виде равномерного и гомогенного слоя, интенсивность сигнала которого соответствует интенсивности сигнала подкожной клетчатки. Также видны компрессионные переломы тел позвонков, связанные с остеопорозом, индуцированным приемом глюкокортикоидов.
в) Дифференциальная диагностика эпидурального липоматоза:
1. Подострая эпидуральная гематома:
• Острое развитие симптоматики
• Высокая интенсивность сигнала в Т1-режиме сохраняется и при подавлении сигнала жировой ткани
2. Спинальная ангиолипома:
• Доброкачественная опухоль, образованная жировыми и сосудистыми элементами
• Фокальное, округлой формы образование
• Инфильтративный тип опухоли может прорастать окружающие костные элементы
• Интенсивность сигнала обычно ниже, чем у жировой ткани в Т1 -режиме и выше в режиме STIR:
о Связано это с наличием сосудистых элементов
• Контрастирование гадолинием
3. Метастатическое поражение:
• Низкая интенсивность сигнала в Т1, промежуточная или высокая интенсивность сигнала в Т2, STIR
• Контрастирование гадолинием
4. Эпидуральный абсцесс:
• Гипоинтенсивность в Т1, гиперинтенсивность в Т2
• Диффузное или периферическое контрастное усиление
г) Патология. Общие характеристики:
• Этиология:
о Длительный прием глюкокортикоидов
о Избыточная эндогенная продукция кортизола
о Генерализованное ожирение
о Идиопатические причины

(Слева) Сагиттальный срез, Т1-ВИ: гипертрофия эпидуральной клетчатки в дорзальном и вентральном отделе спинномозгового канала. Дуральный мешок уменьшен в передне-заднем направлении вследствие сдавления жировой тканью.
(Справа) На аксиальном Т1-ВИ определяются признаки выраженной гипертрофии эпидуральной клетчатки в поясничном отделе спинномозгового канала. Клетчатка в значительной степени сдавливает дуральный мешок, который принимает форму трилистника. Гипертрофированная клетчатка позволяет нам хорошо видеть связку Хоффмана, соединяющую заднюю продольную связку с вентральной поверхностью твердой мозговой оболочки.
1. Клиническая картина эпидурального липоматоза:
• Наиболее распространенные симптомы/признаки:
о Парезы: >85%
• Другие симптомы/признаки:
о Боль в спине, чувствительные нарушения, полирадикулопатия, изменения рефлексов, тазовые нарушения, атаксия
• Особенности клинического течения:
о Медленное прогрессирование симптоматики
2. Демография:
• Нечастое заболевания: обычно наблюдается у пациентов среднего возраста (М>Ж)
3. Течение заболевания и прогноз:
• При низкодозовой стероидной терапии и идиопатическом характере процесса прогноз более благоприятный
• Более, чем у 80% пациентов отмечается в той или иной мере выраженное купирование симптоматики
4. Лечение эпидурального липоматоза:
• Коррекция лежащих в основе заболевания эндокринных нарушений
• В случаях генерализованного ожирения - коррекция веса
• Многоуровневая ляминэктомия и спондилодез:
о Показаны при клинической картине сдавления спинного мозга и радикулопатии
а) Определения:
• Красный костный мозг: гемопоэтический костный мозг
• Желтый костный мозг: жировой костный мозг
1. Общие характеристики:
• Локализация:
о Тела позвонков
о Желтый костный мозг нередко можно видеть вокруг центральной перфорантной вены
о При дегенеративных изменениях межпозвонковых дисков желтый костный мозг прилежит к замыкательным пластинкам позвонков
о После трансплантации костного мозга: жировой костный мозг располагается в центральной части тела позвонка, красный — по периферии
о Исчезновение красного мозга в зонах, подвергшихся воздействию ионизирующего излучения
2. КТ при жировой перестройке костного мозга:
• Сохранение нормальной трабекулярной структуры кости
3. МРТ при жировой перестройке костного мозга:
• Т1-ВИ:
о Желтый костный мозг характеризуется высокой интенсивностью сигнала
о Красный костный мозг характеризуется низкой или промежуточной интенсивностью сигнала:
- Интенсивность сигнала аналогична или несколько выше сигнала мышц
• Т2-ВИ:
о При отсутствии подавления сигнала жировой ткани желтый костный мозг характеризуется высокой интенсивностью сигнала о Красный костный мозг, аналогично мышцам, характеризуется промежуточной интенсивностью сигнала
• STIR:
о Жировой костный мозг характеризуется низкой интенсивностью сигнала
о Красный костный мозг характеризуется низкой или промежуточной интенсивностью сигнала
• Д-ВИ:
о Нет свидетельств того, что данный режим позволяет отличить красный костный мозг от опухолевой инфильтрации
• Т1-ВИ с КУ:
о Эритропоэтический костный мозг характеризуется некоторым контрастным усилением сигнала
• Фазовый и внефазовый режим градиентного эхо (GRE):
о И жировая ткань, и вода при увеличении времени эхо оказывают влияние на цикл сигналов, регистрируемых при совпадении с фазой и вне фазы
о Эритропоэтический костный мозг содержит в себе и жир, и воду: низкая интенсивность сигнала на внефазовых изображениях
о Опухоли обычно не содержат жировой ткани: высокая интенсивность сигнала на внефазовых изображениях
о Крупных исследований, которые позволили бы подтвердить эту концепцию, не проводилось
- Миелома на ранней стадии выглядит точно так же, как красный костный мозг
4. Рекомендации по визуализации:
• Наиболее оптимальный метод диагностики:
о КТ в сомнительных случаях, когда необходимо исключить наличие литического очага поражения

(Слева) Сагиттальный срез, Т2-ВИ, 15-летний пациент: жировая перестройка костного мозга, ограниченная зоной вокруг центральных дренирующих вен каждого позвонка. Остальная часть тел позвонков заполнена красным костным мозгом. Подобная МР-картина типична для пациентов молодого возраста.
(Справа) На сагиттальном Т1-ВИ 50-летнего пациента определяется смешанная картина «ткани в горошек», характеризующаяся перемежающимися друг с другом участками красного и желтого костного мозга. Жировой костный мозг обычно локализуется вокруг дренирующих вен и вблизи замыкательных пластинок. Красный костный мозг характеризуется аналогичной или несколько повышенной по сравнению с мышцами интенсивностью сигнала.
в) Дифференциальная диагностика жировой перестройки костного мозга:
1. Лейкоз:
• Ранняя стадия: МР-картина может быть идентична нормальному красному костному мозгу
• Развернутая стадия: интенсивность сигнала в Т1-режиме ниже по сравнению с межпозвонковыми дисками
• Фокальная деструкция костных трабекул по данным КТ
• Внефазовые МР-И: высокая интенсивность сигнала (обычно)
2. Множественная миелома:
• Аналогичные лейкозам изменения
3. Метастазы:
• Интенсивность сигнала в Т1-режиме ниже по сравнению с межпозвонковыми дисками
• В режиме STIR обычно высокая интенсивность сигнала, однако при склерозирующих метастазах сигнал может быть промежуточным
• Обычно более четко ограниченный очаг, размеры которого превышают размеры фокусов красного костного мозга
• Внефазовые МР-И: высокая интенсивность сигнала
4. Миелофиброз:
• Низкая интенсивность сигнала во всех режимах исследования
5. Гемангиома:
• Округлое образование, обычно содержащее жировую ткань
• Картина «вельвета», связанная с наличием в полости образования вертикальных утолщенных костных трабекул

(Слева) На сагиттальном Т1-ВИ 85-летнего пациента определяется практически полная жировая перестройка костного мозга тел позвонков, на фоне которой видны лишь небольшие фокусы эритропоэтического костного мозга. Красный мозг с возрастом подвергается инволюции, однако небольшие его очаги в позвонках, если пациент ранее не получал лучевую терапию, сохраняются всегда.
(Справа) Сагиттальный срез, Т1-ВИ: выраженная разница в интенсивности сигнала между нормальным желтым костным мозгом, изменениями костного мозга на фоне лучевой терапии и опухолевой инфильтрацией костного мозга.
1. Общие характеристики:
• Этиология:
о Увеличение доли желтого костного мозга:
- Феномен нормального старения костного мозга:
Мраморный рисунок тел позвонков
- Лучевая терапия:
Изменения соответствуют зоне облучения
Эритропоэтические элементы в большей степени подвержены радиационному некрозу
- Дегенеративные изменения межпозвонковых дисков:
Изменения преимущественно ограничены зонами, прилежащими к замыкательным пластинкам
о Увеличение доли красного костного мозга:
- Реконверсия жирового костного мозга в эритропоэтический
- Анемия, ожирение, интенсивные физические нагрузки, трансплантация костного мозга, прием стимулирующих эритропоэз препаратов
2. Стадирование, степени и классификация жировой перестройки костного мозга:
• Картина нормального костного мозга с возрастом меняется:
о В детском возрасте костный мозг преимущественно гемопоэтический
о Во взрослом возрасте наступает постепенная жировая перестройка костного мозга
о Первые очаги жировой перестройки костного мозга в позвонках появляются вокруг центральной дренирующей вены
о Участки жирового и эритропоэтического костного мозга обычно перемешаны друг с другом, напоминая картину мраморного рисунка
о Жировая перестройка костного мозга наблюдается в основном в зрелом возрасте
о Реконверсия желтого костного мозга в красный наблюдается при анемии, ожирении
д) Диагностическая памятка. Следует учесть:
• Картина жировой перестройки костного мозга варьирует в зависимости от возраста и общего состояния здоровья человека
е) Список использованной литературы:
1. Guillerman RP: Marrow: red, yellow and bad. Pediatr Radiol. 43 Suppl 1:S181-92, 2013
2. Vande Berg BC et al: Normal variants of the bone marrow at MR imaging of the spine. Semin Musculoskelet Radiol. 13(2):87-96, 2009
3. Montazel JL et al: Normal spinal bone marrow in adults: dynamic gadolinium-enhanced MR imaging. Radiology. 229(3):703-9, 2003
4. Otake S et al: Radiation-induced changes in MR signal intensity and contrast enhancement of lumbosacral vertebrae: do changes occur only inside the radiation therapy field? Radiology. 222(1): 179-83, 2002
МРТ при жировой перестройке костного мозга позвоночника
а) Терминология:
• Красный костный мозг: гемопоэтический костный мозг
• Желтый костный мозг: жировой костный мозг
б) Визуализация жировой перестройки костного мозга:
• Желтый костный мозг нередко можно видеть вокруг центральной перфорантной вены
• При дегенеративных изменениях межпозвонковых дисков желтый костный мозг прилежит к замыкательным пластинкам позвонков
• После трансплантации костного мозга: жировой костный мозг располагается в центральной части тела позвонка, красный - по периферии:
о Желтый костный мозг характеризуется высокой интенсивностью Т1-сигнала
о Красный костный мозг характеризуется низкой или промежуточной интенсивностью Т1-сигнала
• Интенсивность сигнала аналогична или несколько выше, чем у мышц
(Слева) Сагиттальный срез, Т2-ВИ, 15-летний пациент: жировая перестройка костного мозга, ограниченная зоной вокруг центральных дренирующих вен каждого позвонка. Остальная часть тел позвонков заполнена красным костным мозгом. Подобная МР-картина типична для пациентов молодого возраста.
(Справа) На сагиттальном Т1-ВИ 50-летнего пациента определяется смешанная картина «ткани в горошек», характеризующаяся перемежающимися друг с другом участками красного и желтого костного мозга. Жировой костный мозг обычно локализуется вокруг дренирующих вен и вблизи замыкательных пластинок. Красный костный мозг характеризуется аналогичной или несколько повышенной по сравнению с мышцами интенсивностью сигнала. (Слева) На сагиттальном Т1-ВИ 85-летнего пациента определяется практически полная жировая перестройка костного мозга тел позвонков, на фоне которой видны лишь небольшие фокусы эритропоэтического костного мозга. Красный мозг с возрастом подвергается инволюции, однако небольшие его очаги в позвонках, если пациент ранее не получал лучевую терапию, сохраняются всегда.
(Справа) Сагиттальный срез, Т1-ВИ: выраженная разница в интенсивности сигнала между нормальным желтым костным мозгом, изменениями костного мозга на фоне лучевой терапии и опухолевой инфильтрацией костного мозга.
в) Дифференциальная диагностика:
• Лейкоз
• Множественная миелома
• Метастазы
• Миелофиброз
• Гемангиома
г) Патология:
• Картина нормального костного мозга с возрастом меняется
• В детском возрасте костный мозг преимущественно гемопоэтический
• Во взрослом возрасте наступает постепенная жировая перестройка костного мозга
• Первые очаги жировой перестройки костного мозга появляются вокруг центральной дренирующей вены
• Участки жирового и эритропоэтического костного мозга обычно перемешаны друге другом, напоминая картину мраморного рисунка
• Жировая перестройка костного мозга наблюдается в основном в зрелом возрасте
• Реконверсия желтого костного мозга в красный наблюдается при анемии, ожирении, интенсивных физических нагрузках, трансплантации костного мозга и приеме стимулирующих эритропоэз препаратов
д) Клинические особенности:
• Бессимптомное состояние
е) Диагностическая памятка:
• Картина жировой перестройки костного мозга варьирует в зависимости от возраста и общего состояния здоровья человека
Читайте также:
- Инактивация натриевого (Nа) - тока.
- Поверхностный гастрит как разновидность хронического гастрита - симптомы, лечение, диета при поверхностном гастрите
- Диагностика плодов паразитов. Дифференциация плодов в плоде
- Рекомендации для раннего обнаружения сахарного диабета.
- Скелет конечностей эмбриона. Формирование скелета верхних конечностей плода
