Скелет конечностей эмбриона. Формирование скелета верхних конечностей плода
Добавил пользователь Владимир З. Обновлено: 28.01.2026
Формирование грудины эмбриона. Скелет конечностей плода
В связи с образованием сердца уже указывалось, что средне-брюшные элементы обычно появляются по обеим сторонам средней линии, а затем сходятся к ней в процессе развития. Это несомненно связано с тем обстоятельством, что эмбрионы позвоночных в начале развития соединяются на брюшной стороне с желточным мешком.
Первым признаком формирования грудины является образование двух лентовидных скоплений мезенхимных клеток. Когда эти тяжи получают предхрящевое строение, они сходятся к средней шинии и срастаются друг с другом. Этот процесс начинается с головного конца. В то же время реберные хрящи растут от позвонков к грудине. К девятой неделе грудина устанавливается по средней шинии, а ребра доходят до нее.
К этому времени грудина и прилегающие к ней части ребер полностью приобретают хрящевое строение, а в участках ребер, прилегающих к позвонкам, начинается процecc окостенения.
После образования грудины происходит ее вторичное поперечное разделение на ряд отдельных хрящей, названных sternebrae. Такое разделение, по-видимому, не играет какой-либо существенной роли в дальнейшем развитии грудины, хотя очаги окостенения обычно образуются в центрах sternebrae. Часто в одном sternebrae возникает не один срединный центр, как это показано на рисунке, а два — правый и левый. Окончательного соединения центров окостенения в грудине не происходит до наступления половой зрелости.
Наиболее частые аномалии грудины — расщепленная грудина, грудина с отверстиями и зазубренный мечевидный отросток — очевидно связаны с парным характером ее закладок.

Скелет конечностей плода
В широком смысле термин «скелет конечностей» наряду с костями собственно конечностей может включать плечевой и тазовый пояса. По своему основному строению нога и рука весьма сходны. Различное их вращение и сгибание во время развития несколько маскируют их гомологию, но характер их развития тем не менее настолько похож, что можно не рассматривать их по отдельности.
Развитие скелета конечностей идет очень быстро. В начале шестой недели зачатки конечностей и соответствующих поясов представлены лишь неясно очерченными скоплениями мезенхимы. К концу шестой недели эти предхрящевые скопления уже сформированы настолько, что становится возможным различить некоторые главные кости. В течение седьмой недели формируются зачатки многих более мелких костей рук и ног, а к восьмой неделе хрящевые закладки уже представляют все главные части конечностей и соответствующих поясов.
В течение восьмой недели появляются первичные центры окостенения в длинных костях рук и ног. Ключица к восьмой неделе уже хорошо окостенела, являясь одной из наиболее рано обызвествляющихся частей скелета. Ни одна из других частей как плечевого, так и тазового пояса не обнаруживает никаких признаков окостенения до начала девятой недели. К этому времени хорошо выраженные центры окостенения появляются в лопатке и в подвздошной кости.
Если мы будем детально рассматривать более позднее развитие всех костей, то это выведет нас за пределы поставленной в книге задачи. На рисунке для справки представлена графическая сводка развития процесса окостенения в скелете конечностей. В левом столбце приведены контуры частей в том виде, какой они имеют у новорожденного, с заштрихованными местами расположения первичных центров окостенения. В конце соответствующей стрелки указано время окостенения. В правом столбце приведены контуры частей скелета взрослого с заштрихованными первичными центрами окостенения и окрашенными в черный цвет эпифизарными центрами.
Возрасты, на которых появляются эпифизарные центры окостенения, помещены справа от рисунков, а возрасты, на которых эпифизы срастаются с остальными частями кости, приведены еще правее.
Информация на сайте подлежит консультации лечащим врачом и не заменяет очной консультации с ним.
См. подробнее в пользовательском соглашении.
Скелет конечностей эмбриона. Формирование скелета верхних конечностей плода
Этапы развития скелета эмбриона. Осевой скелет плода
В онтогенезе высших позвоночных животных в виде филогенетической реминисценции наблюдаются последовательно сменяющиеся стадии развития скелета. Развитие кости сначала проходит стадию мезенхимной бластемы, затем стадию хряща, наконец, хрящевой скелет в результате процесса остеофикации (хондрогенной остеофикации) замещается костной тканью.
Некоторые кости, которые у высших позвоночных и у человека развились под влиянием ценогенетических факторов, как, например, кости черепной коробки (у человека сравнительно большой в связи со значительным увеличением объема мозга), развиваются уже непосредственно из соединительнотканной закладки, минуя хрящевую стадию развития (десмогенную остеофикацию).
Подробности об остеофикационный процессах (гистогенез костной ткани) при развитии кости из хрящевой закладки или же из соединительнотканной бластемы описываются, как правило, в учебниках гистологии, поэтому они здесь не рассматриваются: внимание будет обращено только на собственный морфогенез скелета.

Осевой скелет плода
В процессе филогенетического развития спинная струна (chorda dorsalis) у позвоночных животных постепенно замещается более сложной системой осевого, аксиального, скелета, состоящего из сегментно (метаметрически) располагающихся костей — позвонков (vertebrae), совокупность которых образует позвоночный столб (columna vertebralis); позвоночный столб располагается вдоль оси дорсальной стенки тела. Отсюда происходит и название всего данного разряда животных (позвоночные животные), главным представителем которого является человек.
Позвоночный ствол образуется из мезодермальных. позднее — из мезенхимных областей первичных сегментов (сомитов), располагающихся вентролатерально от медуллярной трубки и хорды, то есть из так называемых склеротомов.
Отдельные склеротомы в качестве компонентов первых сегментов располагаются метамерически, друг за другом в краниокаудальной последовательности. Их мезенхимная бластема начинает пролиферировать, причем особенно выраженно в краниальной области каждого склеротома, так что данную половину образует сгущенная мезенхима (приблизительно в конце четвертой недели).
Вскоре после этого каудально расположенная половина каждого склеротома, образованная рыхлой, перепончатой мезенхимной тканью, соединяется с краниальной половиной последующего склеротома, образованного более сгущенной мезенхимой. Таким путем из двух сросшихся половин соседних склеротомов возникает единая закладка каждого позвонка. Затем между этими первичными позвонками возникает вторичная межпозвонковая щель (fissura intervertebralis).
В нее вступает мезенхимная ткань из обоих соседних позвонков, далее сюда врастает веточка аорты (межсегментная артерия), а мезенхима впоследствии сгущается в закладку межпозвонковой пластинки. Таким образом, миотомы (то есть закладки спинной поперечнополосатой мускулатуры), располагающиеся рядом с соответствующими склеротомами, после образования единого позвонкового зачатка переходят, исходя из двух соседних половин склеротомов, на две располагающиеся рядом закладки позвонков; иными словами, они чередуются с ними и прикрепляются всегда к двум соседним позвонкам.
Конечности моделируются на ранних стадиях по обеим сторонам тела зародыша сначала в виде малых, подобных культям привесков, которые становятся явно видимыми уже в начале второго месяца развития. Верхняя, проксимальная, конечность развивается более прогрессивно, чем конечность дистальная, нижняя; все процессы развития происходят в ней скорее, чем в нижней.
В сущности, первые закладки конечностей образуются в виде двойной складки наружной стенки тела, в которую заходит также и мезенхима. По всей вероятности, это касается мезенхимы соматоплевры, из которой затем возникает мезенхимная бластема костей конечностей, хотя некоторые авторы относят эту мезенхиму к прямым производным мезодермы соответсвующих первых сегментов, которая сюда перемещается как бы вторично.
Закладки конечностей вырастают в длину, приобретая сначала вид простых культей, которые лопаткообразно расширяются на концах, а несколько позже расчленяются на закладки пальцев. В начале второго месяца в них уже содержится сгущенная мезенхима скелетогенной бластемы, которая дифференцируется в тех местах, где в будущем должны располагаться отдельные кости.
В течение второго месяца в ней появляются первые хондрификациоаные центры (очаги охрящевения), из которых развиваются хрящевые закладки костей конечностей плечевого и тазового поясов и первичных свободных костей конечностей. Эти хрящевые закладки вместе со всей конечностью растут в длину и сначала в общих чертах приобретают контуры и форму окончательных костей. Затем хрящевой скелет конечностей подвергается хондрогенному окостенению (энхондральному и перихондральному).

Срок возникновения центров (очагов) окостенения в отдельных костях конечностей и длительность их окончательного окостенения весьма вариабельны. Количество очагов окостенения также бывает различным. В длинных костях закладывается по меньшей мере три очага окостенения — два очага для эпифиза и один очаг для диафиза. Первые очаги окостенения появляются последовательно уже во время внутриутробной жизни, а последние окончательно срастаются лишь во взрослом состоянии, в возрасте приблизительно двадцати четырех лет. Многие кости у новорожденного вообще еще не окостенели или же остеофицированы только отчасти.
Формирование скелета верхних конечностей плода
Лопатка (scapula) плечевого пояса закладывается в виде простой мезенхимной, а позже хрящевой пластинки; ее окостенение происходит из двух главных и нескольких второстепенных (эпифизарных) очагов. Из одного очага возникает все тело лопатки вместе с лопаточной остью (spina scapulae) и плечевым отростком (acromion), из второго центра образуется клювовидный отросток (processus coracoides), который у человека является рудиментарным отростком лопатки, в то время как у низших позвоночных (птиц) он представляет собой самостоятельную кость значительных размеров.
Ключица (clavicula) возникает, по всей вероятности, десмогенно, причем из двух очагов. Ключица окостеневает раньше всех остальных конечностей, а именно уже в конце шестой недели. Плечевая кость (humerus), лучевая кость (radius) и локтевая кость (ulna) характеризуются каждая тремя очагами окостенения, как и все длинные кости. Кости запястья имеют каждая по одному центру окостенения, кости пястья и фаланги окостеневают из одного главного, центрального очага окостенения, а кроме того — из одного вторичного центра, расположенного на конце.
Верхняя (проксимальная) конечность первоначально закладывается на уровне последние четырех шейных сегментов и первого грудного сегмента. Впоследствии она смещается вниз, занимая более низкое положение.
Внутриутробное развитие скелета
Организм человека развивается из клетки, образовавшейся путем слияния двух половых клеток — женской и мужской.

Рис. 9. Проникновение спермин в яйцо: I—IV — четыре последовательные стадии процесса оплодотворения:
- 2 — ядро женской клетки;
- 3 — головка спермия.
Женская половая клетка (яйцо — ovum) — шарообразной формы. Мужская половая клетка (живчик, сперматозоид — spermatozoon) состоит из головки и длинного хвостика. Оплодотворение представляет собой слияние живчика с яйцом; совершается оно, как полагают, в фаллопиевой трубе (см. главу «Женские половые органы»), куда живчик попадает благодаря своей очень большой подвижности. Сокращения мышц в стенках фаллопиевой трубы продвигают оплодотворенное яйцо (овоспермий — ovospermium) в матку. Еще на пути в матку овоспермий начинает делиться; клетки, получающиеся в результате повторного деления, складываются в сплошной шар; наружный слой клеток этого шара называется питающим слоем (трофобласт); через него совершается питание развивающегося зародыша.
В результате дальнейшего деления клетки трофобласта дают ворсинчатые выступы; из них впоследствии образуется детское место (послед). Затем внутри шара начинается скопление жидкости, и он превращается в плодный пузырь; при этом часть эмбриональных клеток скопляется в одном месте около внутренней стенки пузыря; это скопление носит название первичного зародышевого (эмбрионального) узла. Остальная часть клеток выстилает внутреннюю поверхность пузыря, образуя внезародышевый (внеэмбрионалъный) мезобласт, дает клеточный тяж к эмбриональному узлу и окружает его со всех сторон.
В конце второй недели развития зародыша в узле образуются два пузырька; каждый из них состоит из одного слоя клеток. Соприкасающиеся части обоих пузырьков образуют группу клеток (зародышевый щиток). Таким образом в этой стадии развития зародыш состоит из двух слоев: 1) верхний, в дальнейшем наружный, спинной листок (эктобласт, или эктодерма), составляющий часть пузырька, более близкого к трофобласту и получающего название водного пузырька; 2) нижний, в дальнейшем внутренний, брюшной (энтобласт, или энтодерма), составляющий часть другого пузырька, получающего название пупочного.
Затем на щитке образуется продольная бороздка; задний ее отдел расширяется и углубляется; получается ямка, направленная к нижнему листку. Со дна ямки и прилежащих частей бороздки путем деления клеток развивается средний слой щитка (мезобласт, или мезодерма). Позднее на щитке по краям бороздки образуются валики, они соединяются над нею, и бороздка превращается в нервную трубку, из трубки в дальнейшем развивается спинной и головной мозг.

Рис. 10. Схема развития плодного пузыря кролика:
Рис. 11. Схематический разрез через плодный пузырь человека (на 14—15-й день). Соприкасающиеся отрезки пузырьков — зародышевый щиток развивающегося плода:
1 — ворсинка; 2 — энтобластический пузырек; 3 — эктобластический пузырек.
Одновременно с развитием нервной трубки образуется под трубкой тяж — спинная струна, или хорда (chorda dorsalis). Хорда является основой развития позвоночника. В среднем листке, по сторонам нервной трубки, вдоль нее, из ближайших к ней отделов листка развивается трубкообразная полость; стенка ее разделяется на следующие друг за другом отрезки (сегменты), располагающиеся по сторонам нервной бороздки под эктобластом; эти сегменты называются сомитами.
К концу четвертой недели внутриутробного развития имеется уже по 41—43 сомита с каждой стороны. Внутренненижняя часть стенки каждого сомита превращается в группу эмбриональных клеток — скле- ротом. Склеротомы располагаются с боков хорды и нервной трубки. Из склеротомов, на месте хорды, вокруг нее и нервной трубки, развиваются позвонки. При этом склеротом сначала представляет собой соединительнотканное образование (перепончатая стадия развития кости);
затем эмбриональная соединительная ткань развивается в хрящ (хрящевая стадия), и наконец хрящ заменяется костью (костная стадия).
У человека хорда существует лишь в течение двух месяцев внутриутробного развития. Головной конец хорды лежит у того места, где в дальнейшем образуется средняя часть основания черепа (именно тело основной кости); остатками хорды впоследствии является средняя часть межпозвоночных хрящей (см. главу «Кости и суставы шеи и туловища»).

Рис. 12. Схема диференцировки мезобласта:
- 1 — эктобласт зародыша и нервная бороздка, будущий спинной мозг; 2 — полость эктобластического водного пузыря;
- 3 — внутренний; 4 — средний;
- 5 — наружный отрезки мезобласта зародыша; 6 — париетальный,
- 7 — висцеральные листки внеэмбрионального мезобласта;
- 8 — хордовая пластинка; 9 — энтобласт зародыша; 10 — полость энтобластического пупочного пузыря. Зародыш в поперечном разрезе.
Рис. 13. Схема диференцировки мезобласта:
- 1 — спинной мозг и его канал;
- 2 — эктобласт зародыша; 3 — полость эктобластического водного пузыря; 4 — сомит; 5 — нефротом;
- 6 — париетальный; 7 — висцеральный листки внеэмбрионального мезобласта; 8 — спинная струна, или хорда; 9 — полость энтобластического пупочного пузыря; 10 — обособляющаяся в кишку часть пупочного пузыря; 11 — правая и левая аорты. Зародыш в поперечном разрезе; более поздняя стадия развития, чем на рисунке 12.
Верхненаружная часть стенки каждого сомита разделяется на внутренний слой (миотом) и наружный (дерматом). Дерматомы образуют поверхностный слой кожи (кожица — corium), а каждый миотом разрастается, с одной стороны, в направлении к спинной (дорзальной) поверхности плода, с другой, — в направлении к брюшной (вентральной) поверхности; из миотом образуются мышцы туловища.
Процесс замещения хрящей позвонков костью начинается в конце второго или в начале третьего месяца утробной жизни.
Скелет головы разделяется на две части: коробка для головного мозга (мозговой череп — cranium cerebrale) и опорный аппарат для начальной

Рис. 14. Схема начала процесса внутрихрящевого окостенения:
1 — сосудистая петля, покрытая слоем остеобластов, внедряется из периоста в хрящ; 2 — периост, состоит из внутреннего клеточного i наружного соединительнотканногс слоев.
части пищеварительной трубки — полости рта (лицевой висцеральный череп — cranium viscerale).
В состав мозгового черепа входят лобная кость, две теменных, затылочная, основная, две височных и решетчатая пластинка решетчатой кости. Верхняя часть коробки (лобная кость, две теменные и верхняя часть затылочной) называется крышей, или сводом, черепа (calvaria); нижняя часть (решетчатая пластинка решетчатой кости, основная кость, височные и нижний отдел затылочной) называется основанием черепа (basis cranii).
Лицевой (висцеральный) череп примыкает снизу к переднему отделу мозгового черепа; самой значительной его частью являются челюсти.
В первых стадиях развития мозговой череп представляет собой передний конец хорды и окружающей его мезенхимы. Затем окружающая мезенхима превращается в соединительнотканную оболочку (перепончатый череп); остатками его являются роднички новорожденного. Хрящ в перепончатом черепе закладывается на втором месяце развития в области основания черепа; свод черепа и боковые его части остаются соединительнотканными, а позднее прямо замещаются костью, минуя хрящевую стадию развития. Во второй половине третьего месяца хрящевой череп оказывается уже сформировавшимся.
Окостенение черепа начинается уже в середине второго месяца утробной жизни, но заканчивается во внеутробной жизни ко времени полового развития.
Процесс замещения хряща костью состоит в следующем. Подобно тому как всякая кость с поверхности покрыта надкостницей (периост), так и хрящевые части скелета покрыты надхрящницей (перихондрий). Внутренний слой перихондрия, а также периоста богат молодыми клетками и кровеносными сосудами. В этом слое и возникают в отдельных местах так называемые островки, или центры, окостенения; особые клетки этого слоя (остеобласты, т. е. костеобразователи) начинают усиленно размножаться, и масса их в виде «почки» врастает в хрящ. Каждая такая «почка» представляет собой кровеносный сосуд, окруженный остеобластами; затем остеобласты выделяют пучки тонких волоконец. Эти волоконца сливаются в общую губчатую строму, окружающую «почку»; межуточное вещество пропитывается фосфорнокислой известью. Таким образом формируется первичная костная ткань, а заключенные в ней остеобласты превращаются в знакомые уже нам костные тельца. В дальнейшем происходит перестройка кости. Первичная кость губчатой структуры разрушается и заменяется костью пластинчатого строения. Так формируются остеоны.
При окостенении трубчатых (длинных) костей процесс окостенения начинается с диафиза, а эпифизы долгое время остаются в хрящевом состоянии; их окостенение начинается на 1—3-м году жизни, исключая нижний эпифиз бедра, где островок окостенения закладывается уже к концу внутриутробной жизни. На границе эпифиза и диафиза между отдельными очагами окостенения в течение многих лет остаются незатронутые окостенением полоски хрящей. Эти хрящевые полоски (пластинки) служат местом дальнейшего роста кости. Срастаются эпифизы и диафизы на 16—25-м году жизни.

Рис. 15. Образование пластинки костной ткани (периостальное
окостенение):
1 — остеобласт, погруженный в костную ткань целиком; 2 — остеобласт, еще не со всех сторон окруженный костной тканью; 3 — костная ткань с покрытой слоем остеобластов поверхностью (значительное увеличение).
Пластинки, перекладины, остеоны в каждой отдельной кости располагаются так, что кость в качестве опоры дает наибольшую прочность и устойчивость при наименьшей затрате материала. После рождения кости долго еще продолжают расти. Процесс роста кости постоянно сопровождается процессом разрушения имеющихся уже костных пластинок. Это разрушение совершается особыми крупными клетками остеокластами (костеразрушителями). Рост костей стоит в теснейшей связи с мышечной деятельностью. При мышечных сокращениях кости подвергаются напряжению, давлению, при этом повышается кровообращение в них, повышается приток питательных и отток отработанных материалов, или, как иначе говорят, повышается обмен веществ в костях; а это ставит кости в более благоприятные условия роста и развития.
В таких случаях остеобласты располагаются по направлениям действующих на них сил (давление, напряжение, сила тяжести); в таких же направлениях располагаются костные перекладины и пластинки, образуемые остеобластами.

Рис. 16. Правый верхний рисунок — фронтальный распил верхнего отдела бедренной кости; хорошо видны расположения костных перекладин. Левый верхний рисунок — схема костных перекладин в верхнем отделе бедренной кости. Правый нижний рисунок — сагиттальный разрез пяточной кости; ясно видны костные перекладины. Левый нижний рисунок — схема костных перекладин пяточной кости.
И вот оказывается, что, например, построение верхнего конца бедра, выдерживающего тяжесть всего тела, а именно расположение костных перекладин, очень сходно с расположением перекладин в подъемных кранах (перекрестное расположение перекладин).

Рис. 77. Упрощенная схема фронтального распила верхнего конца бедренной кости.
Диафизы длинных костей конечностей представляют собой полые цилиндры с толстыми стенками, состоящими из костных пластинок. Известно, что одни из самых прочных опор при наименьшей затрате материала дают полые цилиндрические колонны.
Стопа имеет вид свода, что также является одной из лучших опор при наименьшей затрате материала.
Что касается соединительнотканной части скелета, то в ней окостенение начинается в центре каждой соединительнотканной пластинки.
У низших позвоночных скелет на всю жизнь остается по преимуществу или даже исключительно хрящевым (например у хрящевых рыб); у высших позвоночных хрящ все более замещается костной тканью, а у млекопитающих и у человека хрящ остается лишь в тех местах скелета, которые должны обладать значительной гибкостью, например части ребер, суставные поверхности, межсуставные хрящи и пр.
Скелет конечностей
Скелет верхних и нижних конечностей подразделяют на пояс конечности (плечевой и тазовый) и скелет свободной конечности (рука и нога) (см. рис. 7.6).
Скелет плечевого пояса состоит из двух парных костей — лопатки и ключицы. Лопатка имеет продольный гребень - ость, который заканчивается отростком, образующим сустав с ключицей. На внешнем углу лопатки имеется суставная впадина для сочленения с головкой плечевой кости.

Рис. 7.19. Суставы верхней (а —в) и нижней (г — е) конечностей:
а — плечевой сустав; б — лучезапястный сустав; в — суставы пальца; г — тазобедренный сустав; д — коленный сустав; е — рентгенограмма коленного
сустава шестилетней девочки и лучевой — по линии большого пальца (рис. 7.19). Нижний конец лучевой кости образует лучезапястный сустав с тремя костями верхнего ряда запястья. Кисть образуют кости запястьяу пясти и фаланг пальцев. Запястье включает восемь костей, расположенных в два ряда. Пясть образована пятью трубчатыми костями. Скелет пальцев состоит из фаланг: первый палец имеет две фаланги, остальные — по три.
Пояс нижних конечностей образован парными тазовыми костями и крестцом. Каждая тазовая кость состоит из сросшихся подвздошной, седалищной и лонной костей. В месте их схождения образуется вертлужная впадина, куда входит головка бедра, формируя тазобедренный сустав. На поверхности подвздошной кости имеется суставная поверхность для сочленения с крестцом. Правая и левая лонные кости соединяются спереди, образуя лонное сочленение (полусустав).
Скелет свободной нижней конечности состоит из бедра, голени и стопы. Нижний конец бедренной кости имеет суставные поверхности для сочленения с надколенником и большеберцовой костью — образуется коленный сустав.
Скелет голени состоит из большеберцовой и малоберцовой костей. Верхний конец большеберцовой кости участвует в образовании коленного сустава и сочленяется с бедренной костью. Ниже на большеберцовой кости расположена суставная площадка для сочленения с малоберцовой костью. Нижний конец большеберцовой кости соединяется с таранной костью. Ее суставная поверхность на наружной стороне соединяется с поверхностью малоберцовой кости. Нижние концы малоберцовой и большеберцовой костей образуют с таранной костью голеностопный сустав.
Стопа состоит из предплюсны, плюсны и фаланг пальцев. Семь костей предплюсны расположены в два ряда. Плюсна содержит пять трубчатых костей. Скелет первого пальца стопы состоит из двух фаланг, а остальных — из трех.
В развитии скелета конечностей можно выделить хрящевую и костную стадии. В эмбриогенезе конечности возникают как парные выросты, на втором месяце развития в них появляются хрящевые закладки будущих костей (рис. 7.20; см. рис. 7.14; 7.15). Все кости пояса верхних конечностей, за исключением ключицы, проходят хрящевую стадию. В соединительнотканной закладке ключицы сразу возникает костная ткань. Процесс окостенения, начавшись на шестой неделе внутриутробного развития, почти полностью заканчивается к моменту рождения ребен-

Рис. 7.20. Развитие верхней конечности эмбриона человека (последовательные стадии):
а — 48 суток; 6 — 51 сутки; в — 56 суток
ка. Лишь грудинный конец ключицы у новорожденного не имеет костного ядра. Оно появляется только к 16—22 годам, а срастание его с телом ключицы происходит к 25 годам. В большинстве костей свободных верхних конечностей первые ядра окостенения возникают в диафизах в течение вто- рого-третьего месяцев эмбрионального развития. Эпифизы замещаются костной тканыо уже после рождения: в лучевой кости — в полтора года, в пясти и фалангах пальцев — в два- три года, в локтевой кости — в пять лет. В костях запястья множественные точки окостенения появляются после рождения: от четырех-пяти месяцев до 2—11 лет (рис. 7.21).
По времени появления центров окостенения в кисти определяют «костный возраст». Окостенение хрящей запястья начинается на первом году жизни в головчатой и крючковидной костях, в два-три года — в трехгранной, в три-четыре — в полулунной, в четыре-пять лег — в ладьевидной, в четыре — шесть — в многоугольной большой и в 7—15 лет — в гороховидной. Сесамовидные кости в первом пястно-фаланговом суставе появляются в 12—15 лет. В 15—18 лет нижний эпифиз плечевой кости сливается с ее телом и верхние эпифизы сливаются с телами костей предплечья. Окостенение эпифизов фаланг происходит на третьем году жизни. Окостенение заканчивается в ключице, лопатке и в плечевой кости в 20—25 лет, лучевой кости — в 21—25, локтевой — в 21—24, костях запястья — в 10—13, пясти — в 12, фалангах пальцев — в 9—11. Оно заканчивается у женщин в среднем на два года раньше, чем у мужчин. Последние центры окостенения обнаруживаются в ключице и лопатке в 18—20 лет, плечевой кости — 12—14, лучевой — 5—7, локтевой — 7—8, пястных и фалангах пальцев — 2—3 года. Окостенение сесамовидных костей обычно

Рис. 7.21. Развитие скелета кисти и стоны:
а — рентгенограммы верхней конечности; 6— развитие скелета кисти; в — развитие скелета стоны (зачернены возникающие очаги окостенения)

начинается в период полового созревания: у мальчиков в 13—14 лет, а у девочек — в 12—13. Начало слияния частей первой пястной кости свидетельствует о начинающемся половом созревании.
Сроки окостенения костей рук должны учитываться при обучении детей трудовым движениям и физическим упражнениям, а также письму и рисованию. Например, гимнастика удлиняет кисть. Дети не должны выполнять физических упражнений и трудовых движений, нарушающих нормальный процесс окостенения.
Почти во всех костях пояса нижних конечностей первичные ядра окостенения появляются также в эмбриональном периоде развития.
Таз новорожденного состоит из отдельных несросшихся костей и имеет форму воронки (рис. 7.22). Его переднезадний размер больше поперечного. Нижнее отверстие таза очень мало. Плоскость входа расположена более вертикально, чем

Рис. 7.22. Развитие тазовой кости ребенка пяти лет:
а — внутренняя поверхность; 6 — наружная поверхность
у взрослого. Кости таза интенсивно растут в первые три года. Точки окостенения в подвздошной, седалищной и лобковой костях появляются в 3,5—4,5 месяца внутриутробного развития. Срастание всех трех костей таза начинается с пяти — шести лет и происходит до 14—16 лет (может продолжаться до 25 лет). Эти сроки необходимо учитывать при трудовых движениях и физических упражнениях, особенно важно это для девочек, у которых при резких прыжках с большой высоты и при ношении обуви на высоких каблуках несросшиеся кости таза могут неправильно срастаться, что приводит к сужению выхода из полости малого таза и впоследствии затрудняет роды. Задержка роста и ненормальное сращение костей таза происходят при чрезмерно продолжительном и неправильном сидении или стоянии, переноске тяжестей, особенно при неравномерном их распределении, и нарушениях питания.
Размеры таза у женщин больше, чем у мужчин. У женщин таз более широкий, его просвет облегчает прохождение головки и плеч младенца во время родов. У мужчин таз длиннее и уже женского, кости более массивные, раесчитаные на большую нагрузку (см. рис. 7.22, а, в).
После рождения форма и размер таза изменяются под влиянием различных факторов: давления массы тела и органов брюшной полости, мышц, головки бедренной кости, половых гормонов и т.д. В результате этих воздействий увеличивается переднезадний диаметр таза (от 2,7 см — у новорожденного до 8,5 см в шесть лет и 9,5 см — в 12 лет), возрастает его поперечный размер, который в 13—14 лет становится таким же, как и у взрослых; поперечное сечение таза становится овальным. После девяти лет отмечаются различия в форме таза у мальчиков и девочек.
В костях свободной нижней конечности — бедренной и большеберцовой — эпифизы, обращенные к коленному суставу, начинают окостеневать еще во внутриутробном периоде. Это является показателем доношенное™ ребенка. Срастание эпифизов с диафизами наступает лишь в 15—20 лет.
В бедренной кости новорожденного костным является только диафиз, а остальные ее части состоят из хряща. Диа- физы и эпифизы длинных костей срастаются с 18 до 24 лет. Надколенник приобретает форму, характерную для взрослого, к 10 годам. Бедренная, большеберцовая и малоберцовая кости окончательно окостеневают к 20—24 годам, плюсневые — к 17—21 у мужчин и к 14—19 у женщин, фаланги - к 15—21 у мужчин и к 13—17 годам у женщин. С семи лет у мальчиков быстрее растут ноги. Наибольшей длины по отношению к длине туловища ноги достигают у мальчиков к 15 годам, а у девочек — к 13.
В стопе возникает несколько очагов окостенения (см. рис. 7.21). Лишь в ладьевидной, кубовидной и клиновидных костях предплюсны они образуются уже после рождения в период от трех месяцев до пяти лет.
Кости стопы человека образуют свод, который опирается на пяточную кость и на передние концы плюсневых костей. Его формирование произошло у человека в результате прямохождения. Общий свод стопы состоит из двух основных сводов: продольного и поперечного. Для формирования полноценной стопы большое значение имеет развитие мышц, особенно тех, которые удерживают продольный и поперечный своды стопы (по ним равномерно распределяется тяжесть тела). Свод стопы защищает от давления мышцы, сосуды и нервы подошвенной поверхности. Он действует, как пружина, смягчая сотрясение и толчки тела во время ходьбы. Сглаживание свода развивается при длительном стоянии и сидении, переноске больших тяжестей, при ношении узкой обуви и приводит к плоскостопию.
Таким образом, не только в дошкольном, но и в школьном возрасте рост и развитие скелета еще далеко не закончены, о чем следует помнить педагогам, воспитателям и родителям. Мебель, не соответствующая росту ребенка, неудобная или на высоком каблуке обувь, ограничение двигательной активности, неправильное питание могут стать причиной наруше-

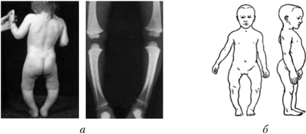
Рис. 7.23. Изменение скелета при рахите:
а — искривление ног; б — деформация черепа, позвоночника, грудной клетки
ний формирования скелета (рис. 7.23, 7.24), что в свою очередь отражается на функциях внутренних органов. По состоянию костной системы детей и подростков можно судить об их физическом развитии.
Суставная сумка, связки, окружающие сустав мышцы, а также его форма обусловливают определенную, присущую только данному суставу подвижность, или амплитуду движений. У здорового человека амплитуда движений в различных суставах не одинакова, но всегда в пределах нормальных колебаний, которые зависят от его возраста, пола, телосложения. Суставная сумка и связочный аппарат каждого сустава состоят из соединительнотканных структур (см. рис. 7.4, 7.10, 7.19). В норме они обладают упругостью и эластичностью. Для суставов конечностей и позвоночника у детей, особенно в раннем возрасте, характерны повышенная растяжимость

Рис. 7.24. Форма стопы в норме (1) и при плоскостопии (2):
а — положение стопы (вид сзади); б — кости стопы (боковая проекция); в — стопа (вид снизу); г — распределение давления на подошве; д — отпечатки
подошв связок, более тонкая и легко деформируемая суставная сумка, которая не способна ограничивать подвижность сустава в нормальных пределах. Мышцы, окружающие сустав и приводящие его в движение, еще не достаточно развиты. Все это ведет к повышенной подвижности в суставах, они выглядят «разболтанными» по сравнению с суставами взрослых и легко перегружаются при физической нагрузке. Эта нормальная избыточная подвижность быстро уменьшается в период старшего детского или раннего подросткового возраста и медленнее на протяжении периода зрелости. Связанное с возрастом снижение мобильности суставов связывают с прогрессирующими биохимическими изменениями структуры коллагена, которые приводят к повышению жесткости компонентов соединительной ткани в суставах. У женщин (в любом возрасте) отмечается более высокая степень подвижности суставов по сравнению с мужчинами аналогичного возраста. Слабость связок и суставной капсулы может привести к преждевременному возникновению дегенеративных изменений в хрящах суставов, сухожилиях мышц и, как следствие, — к ограничению подвижности человека.
Читайте также:
- Репликация вируса в клетке. Сборка вирусов. Высвобождение дочерних вирионов из клетки.
- Злокачественная фиброзная гистиоцитома кости - лучевая диагностика
- Остеосаркома, злокачественная лимфома глаза-орбиты
- Специфическая противовирусная защита. Иммуноглобулины.
- Причины портальной гипертензии. Клиника портальной гипертензии
