Лучевые изменения брюшной полости при лейкемии и лимфоме
Добавил пользователь Владимир З. Обновлено: 11.12.2025
Диффузная В крупноклеточная лимфома (ДВКЛ) — это группа опухолей лимфатической системы, в основе которой лежит трансформация В-лимфоцитов в злокачественные клетки.
Причины возникновения и группы риска
Причиной возникновения ДВКЛ является изменение В-лимфоцитов, т. е. нарушение структуры ДНК. Из-за этого клетки начинают бесконтрольно расти и размножаться, рассеиваясь по всему организму и поражая различные органы и системы. Почему возникают эти мутации, достоверно не установлено. Более того, есть много людей, у которых обнаруживаются характерные генетические поломки, но нет лимфомы. Данный вопрос продолжает изучаться.
В настоящее время принято говорить о факторах риска, которые повышают вероятность развития данного заболевания:
- Врожденные и приобретенные иммунодефициты: синдром Вискотта-Олдрича, Луи-Бара, СПИД, необходимость лечения, которое снижает иммунитет: цитостатики, иммуносупрессоры при трансплантации органов и др.
- Вирусные инфекции: ВИЧ, гепатит С, Т-лимфотропный вирус.
- Аутоиммунные заболевания: ревматоидный артрит, волчанка и др.
- Токсическое воздействие инсектицидов, гербицидов, бензола.
- Лечение посредством цитостатической и лучевой терапии.

Симптомы диффузной крупноклеточной В лимфомы
Крупноклеточная лимфома может проявляться множеством симптомов, но все их многообразие можно уложить в три синдрома:
- Увеличение лимфатических узлов — лимфаденопатия. Чаще всего, лимфома манифестирует безболезненным увеличением лимфатических узлов, которые можно обнаружить визуально или при пальпации. Но бывает так, что поражаются узлы, недоступные для осмотра и пальпации (например, в грудной или брюшной полости), тогда этого признака сразу может и не быть.
- Симптомы интоксикации: повышение температуры, не связанное с инфекцией, сильная потливость, потеря веса. Комбинацию этих признаков называют В-симптоматикой. Ее наличие имеет значение при определении стадии заболевания.
- Симптомы, которые развиваются, когда крупноклеточная лимфома переходит на другие органы и системы. Это могут быть боли в груди и кашель, боли в животе и нарушение стула. При поражении ЦНС развиваются головные боли, нарушение зрения и рвота. Из-за разрушения костного мозга снижается иммунитет, развивается анемия и склонность к опасным кровотечениям.
Классификация, формы и стадии диффузной лимфомы
Современная классификация крупноклеточной лимфомы базируется на клинических данных и степени распространенности опухолевого процесса.
Классификация Ann Arbor:
- 1 стадия. Поражение ограничено одной лимфатической зоной или одним экстралимфатическим органом или одним сегментом экстралимфатической ткани.
- 2 стадия. Поражено две и более зоны лимфатических узлов по одну сторону диафрагмы. При поражении внелимфатических органов или тканей обнаруживаются метастазы в регионарные лимфатические узлы.
- 3 стадия. Имеются единичные очаги поражения по обе стороны диафрагмы.
- 4 стадия. Имеются множественные очаги поражения экстралимфатических органов, либо ограниченное поражение экстралимфатических органов с отдаленными метастазами, либо поражение печени и костного мозга.

Классификация Ann Arbor дополняется модификацией Cotswold:
- А — нет В-симптомов.
- В — есть хотя бы один из В-симптомов.
- Е — есть локализованные экстранодальные очаги.
- S — лимфома поразила селезенку.
- X — имеется массивное опухолевое тканей и внутренних органов.
Диагностика диффузной крупноклеточной лимфомы
Диагноз неходжкинская лимфома выставляется на основании гистологического и иммуногистохимического исследования опухолевой ткани. Для того чтобы получить материал, проводят инцизионную или эксцизионную биопсию лимфатических узлов. Помимо этого, выполняют молекулярно-генетические и иммунофенотипические исследования, которые позволят определить вид опухоли, наличие тех или иных генетических изменений и подобрать оптимальный метод лечения.
Для определения стадии лимфомы проводят следующие исследования:
- Трепанобиопсия костного мозга.
- Методы лучевой диагностики — УЗИ, КТ, ПЭТ-КТ, МРТ.
- Также назначается ряд лабораторных анализов — развернутый анализ крови, определение маркеров парентеральных гепатитов, анализ на ВИЧ, биохимические исследования и др.
Лечение диффузной В-крупноклеточной лимфомы
Лечение диффузной лимфомы определяется исходя из следующих данных:
- Риски рецидива согласно IPI.
- Возраст пациента.
- Его состояние (сможет ли больной перенести высокодозную полихимиотерапию).
В качестве основных методов лечения крупноклеточной лимфомы применяется химиотерапия и в некоторых случаях облучение. Перед началом терапии фертильных пациентов обсуждается вопрос о криоконсервации гамет (половых клеток), поскольку лечение может вызвать бесплодие.

Главным критерием подбора терапии является международный прогностический индекс IPI, который включает следующие аспекты:
- Возраст. Младше 60 лет — 0 баллов, старше — 1 балл.
- Состояние пациента по ECOG (активность больного и способность к самообслуживанию). 1-2 балла по ECOG это 0 по IPI, и 3-4 балла по ECOG — это 1 балл по IPI.
- Уровень ЛДГ. В норме — 0 баллов по IPI, повышен — 1 балл.
- Стадия лимфомы. 1-2 — 0 баллов, 3-4 — 1 балл.
- Наличие более 1 экстранодальной зоны поражения. Нет — 0, да — 1.
Интерпретация IPI следующая:
- 0-1 балл — лимфома низкого риска.
- 2 балла — лимфома промежуточно низкого риска.
- 3 балла — лимфома промежуточно высокого риска.
- 4-5 баллов — лимфома высокого риска.
Пациенты из группы низкого и промежуточно-низкого риска начинают свое лечение с 6 циклов иммунохимиотерапии по протоколу R-CHOP-21. Эта схема, помимо цитостатиков, предполагает применение иммунотерапевтического препарата ритуксимаба. Такая схема позволяет добиться пятилетней выживаемости у 80% больных. Для пациентов с 3-4 стадией заболевания, лечение дополняется лучевой терапией на зоны массивного и экстранодального опухолевого поражения.

Лечение пациентов из групп промежуточно-высокого и высокого риска подбирается индивидуально с учетом возраста и состояния больного по шкале ECOG. Молодым пациентам с хорошим соматическим состоянием назначаются более агрессивные схемы лечения, предполагающие проведение высокодозной химиотерапии с трансплантацией гемопоэтических стволовых клеток (ГСК). При высоких рисках поражения нервной системы проводится несколько циклов интратекальной химиотерапии, когда препараты вводят в спинномозговой канал. Пожилым и слабым пациентам подбираются более щадящие схемы. Оценка эффективности лечения производится в середине циклов химиотерапии и после их окончания.
Восстановление после лечения крупноклеточной неходжкинской лимфомы
В целом, после того как у пациента диагностировали ремиссию, он должен регулярно наблюдаться у онколога. Сначала раз в три месяца, потом раз в полгода, а потом ежегодно. Если через пять лет после достижения ремиссии, у пациента нет признаков заболевания, его считают выздоровевшим и снимают с учета.
Рецидивы крупноклеточной лимфомы
При лечении диффузной В-крупноклеточной лимфомы долгосрочной ремиссии удается достичь в 70-80 % случаев, но у ряда пациентов возникает рецидив. Лечение рецидивов проводится по следующей схеме:
- Химиотерапия второй линии. Она должна подавить опухолевый рост, в то же время не нанося ущерба гемопоэтическим стволовым клеткам.
- Сбор ГСК.
- Высокодозная химиотерапия. Используются высокие дозы цитостатиков, которые уничтожают самые стойкие опухолевые клетки, но они же губят и кроветворение, поэтому чтобы его восстановить проводят следующий этап.
- Трансплантация гемопоэтических стволовых клеток, которая призвана восстановить кроветворение.
У пациентов из групп высокого риска, которые уже прошли аутологичную трансплантацию, и получили рецидив диффузной лимфомы, проводят аллогенную трансплантацию, т. е. используют стволовые клетки доноров. В этих случаях также есть шансы на полную ремиссию, но они не превышают 50%.
Осложнения диффузной В крупноклеточной лимфомы
Химиотерапия и лучевая терапия диффузной крупноклеточной лимфомы пагубно влияют не только на злокачественную опухоль, но и на все быстро делящиеся клетки. Это кроветворные клетки, эпителий кожи и слизистых оболочек и др. Поэтому в процессе лечения и восстановления большое внимание уделяется профилактике осложнений. В первую очередь, это борьба с инфекциями (бактериальными, вирусными, грибковыми), нарушением кровесвертывающей системы и работы пищеварительного тракта.
Помимо этого, в долгосрочной перспективе есть риск развития следующих осложнений:
- Возникновение других злокачественных опухолей: рак легкого, молочной железы, желудка, а также лейкозов и других видов лимфом. Наибольшие риски отмечаются в первые десятилетия после прекращения лечения.
- Кардиоваскулярные осложнения: нарушение работы миокарда, быстрый атеросклероз кровеносных сосудов, повреждение клапанов сердца и др.
- Поражение легких: пульмониты, пневмосклероз и пневмофиброз.
- Осложнение со стороны эндокринной системы: гипотиреоз, бесплодие, нарушение сперматогенеза.
Прогноз и профилактика крупноклеточной лимфомы
Прогноз течения диффузной В крупноклеточной лимфомы зависит от показателя IPI. Чем больше баллов, тем хуже прогноз. Для больных, имеющих 4-5 баллов (высокий риск), пятилетняя выживаемость колеблется в пределах 31%. При низких рисках пятилетняя выживаемость составляет около 91%.
Что касается специфической профилактики, то ее на сегодняшний день не существует, а все рекомендации для минимизации риска заболевания сводятся к ведению здорового образа жизни и правильному питанию.
Лучевые изменения брюшной полости при лейкемии и лимфоме
Лучевые изменения брюшной полости при посттрансплантационном лимфопролиферативном заболевании
а) Терминология:
• Неоднородная группа лимфопролиферативных болезней, возникающих после пересадки органа или стволовых клеток, проявления которых варьируют от гиперплазии лимфоидной ткани до явного злокачественного образования
б) Визуализация брюшной полости при посттрансплантационном лимфопролиферативном заболевании:
• Могут иметь любую локализацию, но чаще - внутрибрюшную:
о Внеузловые поражения (80%) преобладают над узловыми (20%)
• Изменения при посттранспантационном лимфопролиферативном заболевании аналогичны таковым при неходжкинской лимфоме (НХЛ) у пациентов с нормальным иммунным ответом
• ЖКТ: изменения похожи на таковые при НХЛ, включая опухолевидное утолщение кишечной стенки, аневризматическое расширение, изъязвленное полиплоидное объемное образование, или подслизистые узлы
• Печень: наиболее часто поражающийся паренхиматозный орган брюшной полости:
о Единичное либо множественные слабо усиливающиеся при контрастировании объемные образования, отдельно лежащее объемное образование в воротах печени или распространенная инфильтрация печеночной паренхимы
• Селезенка: спленомегалия ± дискретные поражения (обычно множественные, гиподенсные, и различные по размеру)
• Почки: наиболее частая локализация у пациентов после пересадки почки:
о Объемное образование неоднородной структуры или диффузное инфильтративное поражение
• Поражение лимфатических узлов: внутрибрюшные лимфатические узлы вовлекаются в 15-20% случаев:
о Вовлечение лимфоузлов наблюдается реже, чем при НХЛ без нарушения иммунного ответа
(Слева) При аксиальной КТ с контрастным усилением у пациента после пересадки печени определяется вновь возникшее гиподенсное объемное образование в воротах печени, а также увеличенный портакавальный лимфоузел.
(Справа) При аксиальной КТ с контрастным усилением у этого же пациента определяется выраженная забрюшинная лимфаденопатия. Изменения при посттранспантационном лимфопролиферативном заболевании (ПТЛЗ) в этом случае неотличимы от таковых при типичной неходжкинской лимфоме (НХЛ) у иммунокомпетентного пациента. (Слева) При асиальной нативной КТ визуализируется опухолевидное утолщение стенки сегмента толстой кишки с аневризматическим расширением.
(Справа) Вид в корональной плоскости при КТ с контрастным усилением у этого же пациента: определяется значительное утолщение стенки сегмента кишечника с его дилятацией. Данные изменения характерны как для НХЛ у пациентов с нормальным иммунным ответом, так и для ПТЛЗ.
в) Патология:
• В большинстве случаев заболевание обусловлено пролиферацией В-лимфоцитов из-за инфицирования вирусом Эпштейна-Барр (ВЭБ)
г) Клинические особенности:
• Высокая смертность, выживаемость около 25-30%
• Лечение: может быть эффективной коррекция иммунного дефицита, хотя также могут понадобиться антивирусные препараты, химиотерапия, ритуксимаб
а) Терминология:
• Неоднородная группа злокачественных новообразований лимфоидного и миелоидного ростка
б) Визуализация брюшной полости при лейкемии и лимфоме:
• Желудочно-кишечный тракт:
о Циркулярное утолщение кишечной стенки, большое полостное поражение, полиповидное объемное образование или множественные отдельно лежащие подслизистые узлы
• Селезенка:
о Диффузная спленомегалия без отдельно лежащих объемных образований
о Множественные мелкие гиподенсные поражения селезенки
о Единичное доминирующее объемное образование селезенки
• Печень:
о Единичное объемное образование, множественные объемные образования или диффузная инфильтрация
• Поджелудочная железа:
о Может проявляться в виде отдельно лежащего объемного образования или диффузной инфильтрации
о Нет расширения протока, атрофии железы, билиарной обструкции
(Слева) На КТ с контрастным усилением в корональной плоскости у пациента с лимфомой визуализируется выраженное увеличение селезенки, а также множественные мелкие гиподенсные очаги В в ее паренхиме, в связи с диффузным лимфоматозным поражением селезенки.
(Справа) При аксиальной КТ с контрастным усилением определяется большое объемное образование, расположенное в селезенке, распространяющееся кнутри и прорастающее в желудок, который выглядит утолщенным по большой кривизне. Данные изменения являются проявлениями неходжкинской лимфомы (НХЛ). (Слева) При аксиальной КТ с контрастным усилением определяется диффузное увеличение и инфильтрация поджелудочной железы, внешне напоминающие панкреатит.
(Справа) При аксиальной КТ (с контрастом) у этого же пациента определяется распространенная лимфаденопатия брыжейки под поджелудочной железой. Обратите внимание на то, как лимфатический узел располагается вокруг брыжеечных сосудов; такое расположение часто описывается как «симптом сэндвича». Данные изменения, включая увеличение поджелудочной железы, являются проявлениями НХЛ.
• Почки:
о Единичное доминирующее объемное образование или двухсторонние узлы
о Увеличение почек с диффузной опухолевой инфильтрацией
о Появление мягких тканей около почки, окружающих ее в виде «кожуры»
• Брюшина и сальник (лимфоматоз):
о Поражение может быть неотличимо от канцероматоза брюшины
• Лимфатические узлы:
о Чаще всего возникает увеличение лимфатических узлов, однако это неспецифичный признак поражения:
- Размер лимфоузла - неспецифичный признак, зависящий от его местоположения
• Яички:
о Объемные образования, гипоэхогенные на УЗИ
о В пораженных участках выявляется усиление кровотока при цветном доплеровском картировании
в) Дифференциальная диагностика:
• Метастазы в лимфоузлах
• Саркоидоз
• Инфекционные заболевания
• Первичное злокачественное образование внутренних органов
• Метастатическое поражение различных органов
а) Терминология:
1. Синонимы:
• Неходжкинская лимфома (НХЛ)
• Лимфома Ходжкина (ЛХ)/Болезнь Ходжкина
2. Определение:
• Неоднородная группа злокачественных новообразований лимфоидного и миелоидного ростка
б) Визуализация:
1. Рекомендации по визуализации:
• Лучший метод визуализации:
о ПЭТ/КТ и КТ с контрастным усилением
2. КТ брюшной полости при лейкемии и лимфоме:
• Желудочно-кишечный тракт:
о Самая частая локализация внеузловых поражений при НХЛ (30-40%)
- Желудок > тонкая кишка, двенадцатиперстная кишка>толстая кишка (в т.ч. аппендикс) > пищевод
о Лимфома из лимфоидной ткани слизистой оболочки (MALT-лимфома) - второй по частоте тип лимфомы, поражающей ЖКТ:
- Краевая зона В-клеточной НХЛ: высокодифференцированное образование, часто плохо определяющееся при КТ или ПЭТ
- Возникает из тканей стенки органа, например желудка или кишечника
о Лимфома в различных сегментах ЖКТ может проявляться строго определенным образом:
- Инфильтративные изменения (круговое утолщение стенки кишки):
Аневризматическое расширение просвета из-за повреждения межмышечного нервного сплетения или полное замещение стенки кишки большой язвой
Лимфома относится к «мягким» поражениям, обструкция кишечника возникает значительно реже, чем при раке или метастазах
- Язвенные изменения (типичное крупное внутрипросветное поражение)
- Полиповидные изменения (с внутристеночным объемным компонентом)
- Узловые изменения (множественные подслизистые образования)
• Селезенка:
о Самая частая злокачественная опухоль селезенки
- Поражение селезенки и при НХЛ, и при лимфоме Ходжкина
- Часто поражение селезенки является первым проявлением НХЛ внутрибрюшной локализации
о Возможные множественные изменения при визуализации
- Диффузная сленомегалия без наличия отдельно лежащего объемного образования (образований):
Спленомегалия у пациентов с лимфомой необязательно означает ее лимфоматозное поражение
- Множественные мелкие гиподенсные поражения селезенки
- Единичное объемное образование селезенки: гиподенсное, плохо васкуляризованное, нечетко очерченное

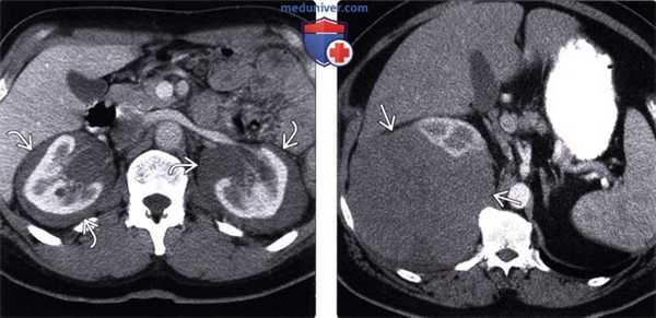
(Слева) При аксиальной КТ с контрастным усилением определяются гиподенсные мягкие ткани в виде «кожуры» вокруг обеих почек, классическое проявление периренальной лимфомы.
(Справа) При аксиальной КТ с контрастом определяется большое мягкотканное объемное образование вокруг правой почки, проявление периренальной НХЛ.
• Печень:
о Печень поражается примерно в 40% при НХЛ:
- Выраженная регионарная лимфаденопатия может стать ключом к постановке диагноза
о Заболевание может проявляться в виде единичного/множественных образований или диффузной инфильтрации печени:
- Объемные образования обычно гиподенсные, слабо усиливающиеся при контрастировании, имеют инфильтративный характер
- Печень может быть диффузно гиподенсной (как при стеатозе) в результате лимфоматозной инфильтрации
• Поджелудочная железа:
о Может определяться дискретное объемное образование (плохо отграниченное, инфильтративного характера, не усиливающееся при контрастировании), которое часто ошибочно принимается за аденокарциному:
- Нет расширения протока либо атрофии железы
- Сосуды проходят через объемное образование без сужения или окклюзии
о Может проявляться в виде диффузной инфильтрации и увеличения поджелудочной железы, что часто ошибочно принимается за острый панкреатит:
- Нет жидкости вокруг поджелудочной железы или воспалительных изменений перипанкреатических тканей
• Почки:
о Некоторые вероятные признаки лимфомы почки на диагностических изображениях:
- Единичное доминирующее объемное образование, чаще всего слабо усиливающееся при контрастировании, инфильтративного характера, однородной структуры
- Множественные двухсторонние дискретные гиподенсные объемные образования
- Одностороннее/двухстороннее увеличение почек с сохранением исходной формы и диффузная инфильтрация почек
- Мягкотканные образования вокруг почек, окружающие их в виде «кожуры»:
Могут распространяться вниз, вдоль собирающей системы почек и мочеточников, становясь причиной гидронефроза
- Контактное метастазирование в почки при заболевании забрюшинных лимфатических узлов
• Надпочечники:
о Первичная лимфома надпочечников обычно проявляется в виде объемных образований надпочечников с обеих сторон; вторичная может быть односторонней либо двухсторонней
о Неспецифичное инфильтративное, гиподенсное, незначительно усиливающееся при контрастировании объемное образование с однородной структурой
• Брюшина и сальник (лимфоматоз):
о Чаще всего у пациентов с «агрессивными» формами НХЛ, вт.ч. лимфомой Беркитта и СПИД-ассоциированной лимфомой
о Практически невозможно отличить от канцероматоза брюшины (мягкотканная инфильтрация сальника, дискретные объемные образования, выраженное утолщение сальника, асцит):
- Преобладание выраженности лимфаденопатии над таковым при канцероматозе-ключ к правильному диагнозу
- Выраженность асцита меньше, чем при канцероматозе
• Лимфатические узлы:
о Чаще всего возникает увеличение лимфатических узлов, однако это неспецифичный признак поражения:
- При ПЭТ/КТ определяется, что лимфоузлы «нормального размера» (меньше 1,5 см в поперечнике) часто поражены опухолью, в то время как большие лимфоузлы увеличены вследствие доброкачественной гиперплазии
- «Сливные» лимфоузлы чаще всего являются патологически измененными
- Лимфоузлы с наличием жира в воротах обычно являются нормальными
о Лимфома Ходжкина:
- Распространение обычно происходит вдоль сопредельных групп лимфоузлов
о Неходжкинская лимфома:
- Часто поражаются удаленные друг от друга группы лимфоузлов и органы брюшной полости
о Выраженная лимфаденопатия сливного характера:
- Симптом «сэндвича» или «гамбургера»: конгломерат брыжеечных или забрюшинных лимфоузлов, окружающих брыжеечные сосуды
- Сосуды могут быть окружены опухолью или втянуты в нее, но без сужения просвета или окклюзии
• Лейкемия:
о Может проявляться так же, как лимфома
о Гранулоцитарная саркома (хлорома):
- Проявления лейкемии в виде мягкотканного объемного образования (образований) в лимфоузлах, во внутренних органах, в плевральной и брюшной полости
- Чаще всего острый миелоидный лейкоз (ОМЛ)

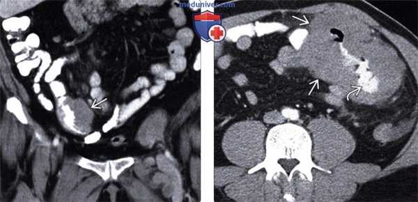
(Слева) При КТ с контрастным усилением в корональной плоскости визуализируется опухолевидное утолщение мягких тканей по краю подвздошной кишки. Обратите внимание на отсутствие обструкции кишки несмотря на значительное опухолевое поражение. Это характерное проявление лимфомы.
(Справа) На аксиальной КТ с контрастным усилением у ВИЧ-инфицированного пациента выявлено большое изъязвленное образование с наличием контраста в просвете тонкой кишки. Обратите внимание на типичное аневризматическое расширение просвета пораженной кишки вследствие опухолевой инфильтрации. Это часто встречающееся проявление лимфомы кишечника.
3. УЗИ брюшной полости при лейкемии и лимфоме:
• Яички:
о Семенники могут быть местом локализации скрытого, «остаточного» заболевания, при отсутствии злокачественных изменений в других органах
о НХЛ - самая частая опухоль семенников у мужчин > 60 лет
о Единичное/множественные гипоэхогенные объемные образования при УЗИ:
- Может не определяться отдельно лежащее объемное образование; диффузная инфильтрация с измененной эхоструктурой/эхогенностью
- Повышенная васкуляризация пораженных участков при цветном доплеровском картировании
- Двухстороннее поражение в 40% случаев
4. Радионуклидная диагностика:
• ПЭТ/КТ:
о Высокая чувствительность (90%) и специфичность (91%):
ПЭТ; ПЭТ/КТ превосходит и ПЭТ, и КТ в отдельности
- При ПЭТ/КТ у 30% пациентов с НХЛ и лимфомой Ходжкина устанавливается более высокая стадия заболевания по сравнению с КТ
о Усиление накопления ФДГ зависит от степени дифференцировки опухоли:
- Высокодифференцированные опухоли обычно не накапливают ФДГ
- Агрессивные низкодифференцированные опухоли интенсивно накапливают ФДГ

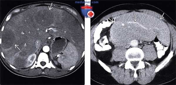
(Слева) При аксиальной КТ с контрастным усилением определяются множественные отдельно лежащие гиподенсные объемные образования в печени, а также выраженная диффузная инфильтрация большей части остальной паренхимы печени, выглядящей гиподенсной. При биопсии был подтвержден лимфоматозный характер инфильтрации.
(Справа) При аксиальной КТ с контрастом определяется большой конгломерат лимфатических узлов в брыжейке. Обратите внимание на сосуды внутри данного конгломерата, которые проходят сквозь него без сужения просвета или окклюзии, что является признаком, характерным для лимфомы.
в) Дифференциальная диагностика изменений брюшной полости при лейкозе и лимфоме:
1. Метастазы в лимфоузлах:
• Лимфаденопатия при лимфоме более выражена с тенденцией к слиянию лимфоузлов; сведений о первичной опухоли нет
2. Саркоидоз:
• Может проявляться так же, как и лимфома: гепатоспленомегалией, множественными гиподенсными узлами в печени/селезенке и лимфаденопатией
3. Инфекции:
• Туберкулез, ВИЧ и другие инфекции могут стать причиной лимфаденопатии
• При оппортунистических инфекциях могут появляться мелкие гиподенсные узелки в печен и/селезенке
4. Первичные злокачественные новообразования внутренних органов:
• Аденокарциномы желудка/кишечника вызывают более локальное утолщение стенки и сужение просвета, приводя к обструкции
• Выраженная лимфаденопатия не характерна для первичных злокачественных опухолей ЖКТ, печени, селезенки, поджелудочной железы и др.
5. Метастатическое поражение различных органов:
• Нет данных о первичной опухоли какого-либо органа в анамнезе пациентов с лимфомой
г) Патология:
1. Общая характеристика:
• Этиология:
о НХЛ и лимфома Ходжкина чаще возникают у пациентов с первичной вирусной инфекцией (Эпштейна-Барр)
о Хеликобактерная инфекция играет роль в возникновении MALT-лимфомы желудка
• Ассоциированные патологические изменения:
о При снижении иммунитета (СПИД, трансплантация органов)
- Выраженное увеличение распространенности НХЛ
2. Стадирование, градация и классификация лейкемии и лимфомы:
• Первичная лимфома: ограниченное поражение единственного органа ± окружающих лимфоузлов
• Вторичная лимфома: поражение отдаленных лимфоузлов или более чем одного органа
• Стадирование в соответствии с классификацией Ann-Arbor:
о Стадия I: поражение лимфоузлов одной области (I) или локальное поражение единственного нелимфатического органа или ткани (IE)
о Стадия II: поражение лимфоузлов двух и более областей на одной стороне от диафрагмы (II) ± локальное поражение единственного не лимфатического органа (НЕ)
о Стадия III: поражение лимфоузлов различных областей по обе стороны диафрагмы (III) ± локальное поражение не лимфатического органа или ткани (IIIE), селезенки (IMS), или обоих (IIISE)
о Стадия IV: диссеминированное/множественное поражение одного и более нелимфатических органов ± поражение лим-фоузлов/изолированное поражение нелимфатического органа с поражением отдаленных (не регионарных) лимфоузлов
• Классификация лимфомы Ходжкина:
о «Классическая» лимфома (нодулярный склероз, смешанная целлюлярность, лимфоцитоз или лимфоцитопения)
о Лимфома Ходжкина с лимфогистиоцитарным преобладанием
д) Клинические особенности:
1. Проявления изменений брюшной полости при лейкозе и лимфоме:
• Наиболее частые признаки/симптомы:
о Боли в животе, тошнота, рвота, потеря веса, лихорадка, увеличение внутренних органов, пальпируемая лимфаденопатия
о Лабораторные данные: анемия, лейкопения, томбоцитопения из-за инфильтрации костного мозга/поражения селезенки
2. Демография:
• Возраст:
о Риск возникновения НХЛ увеличивается с возрастом:
- Средний возраст: 65 лет
о При лимфоме Ходжкина два пика заболеваемости (20-29 лет и >55 лет)
• Эпидемиология:
о Лимфома находится на пятом месте по частоте среди злокачественных новообразований в США, является причиной смерти от опухолей в 5% случаев
о 88% НХЛ и 12% лимфомы Ходжкина
о Внеузловые поражения более часты при НХЛ (20-40%), чем при лимфоме Ходжкина (4-5%)
3. Течение и прогноз:
• Лимфома Ходжкина: обычно поддается лечению
• НХЛ: прогноз зависит от типа и стадии заболевания:
о В целом прогноз хуже, чем при лимфоме Ходжкина
4. Лечение изменений брюшной полости при лейкозе и лимфоме:
• Зависит от стадии опухоли, гистотипа, симптоматики, общего состояния и возраста пациента, сопутствующих заболеваний:
о Хирургическое лечение при изолированном вовлечении одного органа; спленэктомия при вероятном изолированном поражении селезенки при торакальной форме лимфомы Ходжкина
о Лучевая терапия, химиотерапия (моно-/комбинированная), ритуксимаб (моноклональные антитела к CD20), пересадка костного мозга во всех случаях в зависимости от типа лимфомы
е) Диагностическая памятка:
1. Cabral FC et al: Peritoneal lymphomatosis: CTand PET/СТ findings and how to differentiate between carcinomatosis and sarcomatosis. Cancer Imaging. 13:162-70, 2013
Лимфома ходжкина
Лимфома Ходжкина – это злокачественное заболевание лимфатической системы. Это название впервые было введено Всемирной Организацией Здоровья не так давно, в 2001 году. Но впервые этот вид рака был описан британским врачом и одним из основоположников профилактической медицины Томасом Ходжкиным в 1832 году. Также это заболевание называют еще лимфогранулематозом и злокачественной гранулемой.
Лимфома Ходжкина характеризуется увеличением лимфатических узлов, в которых происходит бесконтрольное накопление так называемых опухолевых лимфоцитов. В процессе развития заболевания наблюдается нарушение деления и созревания В-лимфоцитов, ответственных за выработку антител. Атипичные клетки также могут попасть в кровеносную систему, которая переносит их в другие органы. Попадая на новый участок организма, они не прекращают делиться и образуют новую опухоль.
Поскольку лимфоузлы расположены по всему организму, рак может образоваться в любом из внутренних органов и локализируется в грудной, брюшной, подмышечной полости и области паха. Чаще всего наблюдается поражение легких, костей и печени.
Всего различают пять форм:
- нодулярный склероз – наиболее распространенная форма. Имеет относительно благоприятное течение и в большинстве случаев хорошо поддается лечению;
- лимфоцитарное преобладание встречается реже, но также во многих случаях прекрасно поддается лечению;
- смешанно-клеточная форма встречается реже, чаще всего она диагностируется у людей с ВИЧ-инфекцией. Этот вид рака протекает более агрессивно и плохо поддается лечению.
- лимфоцитарное истощение чаще всего встречается у пожилых людей, нередко оно обнаруживается на четвертой и пятой стадиях рака;
- нодулярная с лимфоидным преобладанием встречается значительно чаще у мужчин, чем у женщин. У более чем 80 % больных заболевание выявляется на I или II стадии, что дает надежду на благоприятный исход.
Симптомы
Первые симптомы ходжкинской лимфомы – это увеличение узлов в области шеи, паха и подмышек. Начало заболевания также может напоминать воспалительную реакцию со следующими симптомами:
- повышение температуры;
- регулярная ночная потливость;
- резкая и необъяснимая потеря веса;
- общая слабость, разбитость и быстрая утомляемость;
- кожный зуд;
- боли в левом подреберье (при увеличении селезенки) или правом подреберье (при увеличении печени);
- повышенный уровень лейкоцитов в анализе крови;
- боли в костях при запущенных стадиях рака и распространении метастазов;
- увеличенные лимфоузлы могут сдавливать соседние органы и провоцировать сухой кашель и кашель с выделением крови, одышку, покалывания в сердце и дискомфорт в пояснице.
Прогноз на выживание при 4 стадии
Если вовремя не обратить внимания на вышеперечисленные симптомы и не обратиться к врачу, заболевание может развиться до тяжелой четвертой стадии. 4 стадия характеризуется распространением метастазов в костях, костном мозге, спинном, головном мозге и в других органах. Однако, даже в этом случае вероятность того, что человек проживет еще минимум 5 лет, составляет 65%, то есть в любом случае стоит не опускать руки, а немедленно начинать лечение. И лучше это делать у проверенных врачей, например, в ОН КЛИНИК.
Специалисты ММЦ ОН КЛИНИК благодаря передовым технологиям и новейшему оборудованию добиваются прекрасных результатов и полного излечения большинства пациентов.
Читайте также:
