Лучевые изменения печени при наследственной геморрагической телеангиэктазии
Добавил пользователь Евгений Кузнецов Обновлено: 28.11.2025
Несмотря на определенные успехи в познании наследственной геморрагической телеангиэктазии (болезни Рандю-Ослера), особенно в области генетики, исследований висцеральных сосудистых мальформаций, вопросы лечения этого страдания остаются нерешенными. В настоящей работе приводится обзор работ, посвященных терапии болезни Рандю-Ослера, с учетом исследований последний лет; и представлены перспективные направления в решении этой проблемы.
Ливандовский Ю. А., Земсков Е. В. Современные данные о лечении наследственной геморрагической телеангиэктазии. Врач скорой помощи №12 // 2010.
Болезнь Рандю-Ослера (наследственная геморрагическая телеангиэктазия, НГТ) известна более века. Она проявляется сосудистыми изменениями типа телеангиэктазий слизистых оболочек и кожных покровов, а также висцеральными мальформациями печени, лёгких, головного мозга и других органов. Вторым важным клиническим признаком болезни служат геморрагии из телеангиэктазий носа, желудочно-кишечного тракта и т. д.. Третьим - наследственная природа болезни, которая сопряжена с аутосомно-доминантным типом наследования. Если в семье болен один из родителей, то теоретически у каждого ребёнка имеется 50% вероятность быть больным.
В последние десятилетия достигнуты несомненные успехи в молекулярной генетике, которые позволили выделить 4 типа болезни Рандю-Ослера. Многочисленные научные исследования подтвердили генетическую неоднородность заболевания. 1 Показано,что мутации эндоглин-корригирующего гена, расположенного на 9 хромосоме, (9q 34.1) связаны с НГТ I типа . 5 Второй вариант (НГТ II) вызван мутацией гена ALK 1(activin-receptor like kinase 1), который располагается на хромосоме 12, вблизи от центромеры (12q11-q19).10 При этих типах НГТ мутация приводит к болезни путём гаплотической недостаточности. Доказано и существование третьего варианта (НГТ III) [11], связанного с геном, расположенным на хромосоме 5. Четвёртый вариант (НГТ IV) c проявлениями ювенильного полипоза, объясняют мутацией в гене SMAD4. 12
В диагностике НГТ играют роль прежде всего, клинические признаки, а генетические исследования дополняют наши познания об этом заболевании. В последнее время появились данные, говорящие о том, что для выявления НГТ у потенциальных больных могут быть использованы и биологические показатели. Так уменьшение уровня ангиопоэтина 2 и растворимого эндоглина в крови свидетельствует в пользу данной патологии. [15]
Общие подходы лечения данного заболевания представлены в таблице 1.
Основные направления в терапии болезни Рандю-Ослера Таблица 1 .
Направления терапии
1. эстроген-прогестероновые препараты
2. даназол
3. октреотид
4. термическая лазерная коагуляция кровоточащих телеангиэктазий
5. лазерная фотокоагуляция при эндоскопии
1. транскатетерная эмболизация сосудов
2. трансплантация печени
1. транскатетерная эмболизация сосудов
2. резекция доли лёгкого
1. пероральная и парентеральная железотерапия
2. трансфузии эритроцитарной массы
Рецидивирующие носовые кровотечения обычно являются доминирующим признаком в клинической картине заболевания. Они значительно снижают качество жизни пациентов и служат причиной поиска эффективных подходов профилактики и лечения. Острые обильные носовые кровотечения могут привести к смерти. [16]
Широко применяются традиционные методы воздействия (местные гемостатические средства, тампонада носа гемостатической губкой и др. ). При значительных кровотечениях назначают этамзилат (дицинон) внутрь или внутривенно. Для борьбы с кровотечениями широко используют антифибринолитические препараты (местно, внутрь и парентерально) [17], учитывая, в частности, и факт повышения фибринолитической активности в местах телеангиэктазий.[18]
C целью остановки носового кровотечения могут быть использованы локальные лазерные воздействия. 20
Чрескожная эмболизационная терапия остаётся методом выбора при тяжёлых массивных кровотечениях и даёт значительное улучшение качества жизни пациента как в отношении тяжести, частоты, так и продолжительности носовых кровотечений на протяжении первого месяца и года после эмболизации. Но данный метод хорош, когда выполняется опытными руками, так как сама манипуляция может стать причиной многих серьёзных осложнений. 23 Ещё один способ лечения жизнеугрожающих носовых кровотечений у больных НГТ такой, как дермопластика слизистой перегородки носа, так же является эффективным методом остановки кровотечений, который с одной стороны улучшает качество жизни пациента в отношении рецидивирования носовых кровотечений [25], а с другой -может приводить к различным осложнениям (появление запаха из носа, образование корок, снижение обоняния, утяжеление синусовой инфекции), ухудшающим самочувствие пациента.[26]
Было опубликовано много работ, посвящённых гормональной терапии НГТ эстрогенами 27, но результаты оказались неоднозначными.
Видимо, в настоящее время нецелесообразно проводить локальные термо и химио каутеризации, которые способны вызвать повреждение носовых структур.
Показано, что у больных НГТ имеется высокий уровень фактора роста эндотелия сосудов (VEGF), который может быть напрямую связан с развитием телеангиэктазий. В связи с этим, появились экспериментальные исследования применения ингибитора эндотелиального фактора роста бевацузимаба (авастатина) в виде назального спрея с целью урежения частоты носовых кровотечений. [31] В литературе есть данные о совместном использовании интраназального подслизистого введения бевацизумаба и лазерного прижигания. Результаты этого комбинированного метода лечения выявили преимущества перед назначением одного бевацузимаба. Отмечено значительнoе уменьшение степени и частоты носовых кровопотерь и снижение потребности в гемотрансфузиях, повышение работоспособности пациентов с НГТ. [32]
Прошло около девяти лет с того момента, когда впервые были описаны гемостатические эффекты тамоксифена, назначенного в качестве химиотерапии больной с раком молочной железы I стадии и НГТ.[33] И сравнительно недавно было проведено первое клиническое исследование, посвящённое влиянию антиэстрогенновой терапии тамоксифеном на выраженность носовых кровотечений при НГТ. Так у 25 пациентов, рандомизированных на две группы, был продемонстрирован положительный эффект тамоксифена в дозе 20 мг/сут в отношении частоты и тяжести носовых кровотечений. [34]
В эксперименте на культуре эндотелиальных клеток было показано повышение экспрессии белков генами ENG и ALK-1 под воздействием ралоксифена, являющегося селективным стимулятором эстрогеновых рецепторов. В связи с этим возникло предложение использовать данный препарат для лечения, к примеру, носовых кровотечений у женщин, страдающих остеопорозом, в постменопаузе.[35]
Интересные результаты были получены голландскими учёными, проводившими исследования влияния N-ацетилхолина (АЦХ) на выраженность эпистаксиса и качество жизни больных НГТ . Оказывается, АЦХ, обладая антиоксидантными свойствами, способен снижать частоту, тяжесть и продолжительность носовых кровотечений. При этом максимальный положительный эффект АЦХ наблюдался у лиц мужского пола и у носителей мутации в гене ENG, в то время как у представительниц прекрасного пола и у носителей дефекта в гене ALK-1 значительного улучшения состояния выявлено не было. [36]
В этом году группой французских учёных была впервые установлена возможность применения для лечения сосудистых дисплазий при НГТ печально известного седативного средства талидомида. В опытах на мышах, гетерозиготных по мутантному гену ENG, было показано, что лечение талидомидом способно стимулировать выработку тромбоцитарного фактора роста-В (PDGF-B) эндотелиоцитами и активировать созревание сосудистой стенки за счёт размножения интрамуральных клеток (перицитов). Прижизненное исследование назального эпителия у небольшой группы пациентов с НГТ также выявило эффективность талидомида в отношении носовых кровотечений, частота и выраженность которых значительно снизилась на фоне стабилизации сосудистой стенки и повышения уровня гемоглобина. Таким образом, как заявляют авторы работы, талидомид может стать новой стратегией лечения НГТ.[37]
При введении больных с НГТ не стоит, видимо, забывать и старых методов лечения, в частности, гипероксибаротерапию, при осуществлении которой отмечено уменьшение объёма и частоты носовых кровотечений или их прекращение более чем у половины больных. [38]
С целью профилактики носовых кровотечений следует исключить приём алкогольных напитков, включая пиво, острых блюд, уксуса, пряностей, которые, как показывают клинические наблюдения, могут провоцировать геморрагии. Не рекомендуется назначать лекарственные препараты, нарушающие функциональные свойства тромбоцитов (нестероидные противовоспалительные средства и др.), а также антикоагулянты, фибринолитики, способные ухудшить течение геморрагического диатеза.
Наружные кожные кровоточащие телеангиэктазии, которые представляют косметическую проблему, требуют локальной лазеротерапии или применения криовоздействия. [39]
При выраженных желудочно-кишечных кровотечениях с гемостатической целью применяют комбинацию низких доз эстрогена и прогестерона [40,41], механизм воздействия которых мало изучен, однако, у больных наблюдается меньшая потребность в гемотрансфузиях.
Эффект применения эндоскопической локальной лазеротерапии при желудочно-кишечных геморрагиях не оправдал оптимистических ожиданий. [42]
Поражения печени при разбираемом заболевании могут иметь многие причины, важнейшими из которых являются сосудистые мальформации, телеангиэктазии, аневризмы, артериовенозные шунты.
Шунт из печёночной артерии в воротную вену вызывает портальную гипертензию, способствующую развитию желудочно-кишечных кровотечений, асцита. Вследствие сосудистых аномалий печени, хронической ишемии ткани этого органа возможна картина "псевдоцирроза".
Спиральная компьютерная томография выявляет у ¾ больных те или иные васкулярные аномалии в печени, у половины больных - артериопортальные шунты.
Для больных НГТ с тяжёлым поражением печени единственным эффективным методом лечения на сегодняшний день является ортотопическая трансплантация печени (ОТП). 57. Показаниями к трансплантации печени у больных с данной патологией могут служить следующие обстоятельства: сердечная недостаточность в связи с сосудистыми изменениями печени, билиарный некроз, ведущий к печёночной недостаточности, выраженная портальная гипертензия и т. д.
Трансплантация печени устраняет возможность развития гепатобилиарного сепсиса и предупреждает развитие сердечно-лёгочной недостаточности, значительно улучшая качество жизни пациентов.
Согласно результатам наблюдения за пациентами, перенёсшими ОТП, долгосрочная выживаемость составляет 75% (9 пациентов из 12 оперированных), при этом у выживших после трансплантации печени наблюдалось повышение качества жизни как за счёт урежения частоты носовых кровотечений, так и вследствие расширения режима физических нагрузок.[58].
Если у больных отсутствуют признаки портальной гипертензии, печёночной недостаточности, нет грубых сосудистых изменений, то специальной активной терапии им не требуется.
Сосудистые мальформации головного мозга выявляются, прежде всего, с помощью магнитно-резонансного исследования у 5-10% пациентов с НГТ. Они способны вызывать различные клинические симптомы (головную боль, эпилептические приступы, картину ишемических атак, редко - кровоизлияния).
При церебральных мальформациях могут потребоваться нейрохирургические подходы или стереотаксическая артериовенозная эмболотерапия. [60]
Вопрос о хирургическом вмешательстве при бессимптомных церебральных мальформациях, обнаруженных при магнитно-резонансном исследовании, остаётся дискутабельным.
В заключение, следует отметить, что данное заболевание, протекающее с ангиоматозным типом кровоточивости, обычно не является прямым противопоказанием для проведения экстренных и плановых оперативных вмешательств (аппендэктомии, холецистэктомии и др.)
Таким образом, приведённые в настоящей работе данные о современной тактике терапии различных проявлений наследственной геморрагической телеангиэктазии позволяют надеяться на то, что в ближайшем будущем появятся новые подходы в решении сложных вопросов этого сосудистого страдания.
Резюме
В статье представлен обзор современных взглядов на лечение относительно редкого сосудистого заболевания — наследственной геморрагической телеангиэктазии. Подчёркиваются успехи в понимании генетических основ данного страдания.
Список используемой литературы:
Лучевые изменения печени при наследственной геморрагической телеангиэктазии
а) Терминология:
• Синдром Рандю-Ослера-Вебера
• Наследственное заболевание, характеризующееся полиорганным поражением: фиброваскулярной дисплазией, телеангиэктазиями и артерио-венозными мальформациями (АВМ)
б) Визуализация печени при наследственной геморрагической телеангиэктазии:
• УЗИ (цветовая допплерография) -отличный скрининговый метод для исследования печени
• КТ с контрастным усилением (с мультипланарным реформатированием и трехмерными реконструкциями сосудов) и МРТ позволяют комплексно оценить изменения со стороны сосудов печени
о Определяется раннее заполнение контрастом увеличенных в размерах, деформированных внепеченочных, а также, возможно, внутрипеченочных артерий (± ветвей воротной вены)
о Неравномерное контрастное усиление паренхимы печени
о Телеангиэктазии: мелкие сосудистые «точки»:
- Лучше распознаются на мультипланарных реформациях и в проекции максимальной интенсивности (MIP)
о Большие сосудистые образования сливного характера:
- Выглядят как крупные сосудистые лакуны (1-3 см), для которых типично раннее персистирующее контрастное усиление в артериальной фазе
(Слева) На рисунке показаны расширенные печеночные вены и артерии, сообщающиеся друг с другом посредством извитых интрапаренхиматозных сосудистых каналов.
(Справа) На аксиальной КТ с контрастным усилением определяется раннее заполнение контрастом расширенных печеночных вен; видны также множественные мелкие телеангиэктазии («клубки» сосудов) — изменения, типичные для врожденной геморрагической телеангиэктазии. (Слева) На КТ срезе у этого же пациента визуализируется расширенная печеночная артерия, видны также многочисленные сплетения сосудов и более крупные сосудистые образования (лакуны). Эти изменения являются диагностическими для синдрома Рандю-Ослера-Вебера.
(Справа) На сонограмме (цветовая допплерография) визуализируются сосудистые «клубки», состоящие из расширенных и «переплетенных» друг с другом артерий и вен, а также шунты, по которым происходит «сбрасывание» крови в обход синусоидов.
в) Дифференциальная диагностика:
• Цирроз
• Травматическая внутрипеченочная артериовенозная фистула
• Артериовенозные шунты при опухолевом поражении
• Синдром Бадда-Киари
г) Клинические особенности:
• Множественные телеангиэктазии на коже и слизистых оболочках при полиорганном поражении:
о Со стороны слизистой носа: рецидивирующие носовые кровотечения
о Со стороны ЦНС (при спинальных или церебральных АВМ): судороги, парапарез, субарахноидальное кровоизлияние
о Со стороны органов желудочно-кишечного тракта: ангиодисплазия, кровотечение
о Со стороны органов системы дыхания: цианоз, полицитемия, диспноэ, кровохарканье
• Диагностические критерии: неблагоприятная наследственность, носовые кровотечения, телеангиэктазии на коже и слизистых оболочках, артерио-венозные мальформации
КТ, МРТ, УЗИ признаки пелиоза печени
а) Терминология:
1. Аббревиатура:
• Пелиоз печени (ПП)
2. Синоним:
• Peliosis hepatis
3. Определение:
• Редкое доброкачественное заболевание, характеризующееся расширением синусоидов и наличием в печени многочисленных лакунарных пространств, заполненных кровью
б) Визуализация:
1. Общая характеристика:
• Лучший диагностический критерий:
о Образование округлой формы с центрифугальным или центрипетальным характером контрастного усиления
• Локализация:
о Диффузное или очаговое поражение
о Поражение селезенки, костного мозга, лимфоузлов, легких, плевры, почек, надпочечников, желудка, подвздошной кишки
• Размер:
о Варьирует от одного миллиметра до нескольких сантиметров
• Ключевые признаки:
о Полостные образования неправильной формы, заполненные кровью

(Слева) На аксиальной КТ в венозной фазе контрастного усиления у женщины 42 лет, в течение 25 лет принимавшей оральные контрацептивы, визуализируются множественные гиподенсные очаги с «ободком» по периферии, накапливающим контраст.
(Справа) На аксиальной Т2 ВИ МР томограмме у этой же пациентки визуализируется гиперинтенсивный очаг в левой доле, соотносящийся с одним из гиподенсных очагов, выявленным на КТ. Другие очаги выглядят аналогично; после прекращения приема контрацептивов произошло их частичное разрешение. Под контролем УЗИ была выполнена биопсия одного из этих очагов, подтвердился пелиоз печени.
3. МРТ признаки пелиоза печени:
• Т1 ВИ:
о Снижение интенсивности сигнала
о Повышение интенсивности сигнала обусловлено наличием крови (в подострой фазе), что позволяет заподозрить геморрагический некроз
• Т2 ВИ:
о Повышение интенсивности сигнала
о Множественные гиперинтенсивные очаги отражают наличие крови (в подострой фазе) (геморрагический некроз)
• Т1 ВИ с контрастным усилением:
о Характер контрастного усиления патологических очагов идентичен таковому при компьютерной томографии
о Кистозная полость с периферическим «ободком», накапливающим контраст, представляет собой гематому
о На Т1 ВИ в отсроченной фазе определяется выраженное контрастное усиление, соответствующее сосудистым ветвям, обусловленное наличием васкулярного компонента
4. УЗИ признаки пелиоза печени:
• Серошкальное УЗИ:
о Неоднородная сонографическая картина паренхимы печени с наличием гипер- и гипоэхогенных участков:
- Гипоэхогенные патологические участки однородной структуры:
Обнаруживаются у пациентов со стеатозом
- Гипоэхогенные участки неоднородной структуры:
Отражают наличие кровоизлияний
- Гиперэхогенные участки:
Могут обнаруживаться у пациентов при отсутствии патологических изменений со стороны печени
- Замедление кровотока, турбулентное движение крови при цветовой допплерографии
5. Ангиография:
• Традиционная ангиография:
о Множественные нодулярные, васкулярные очаги; накопление контраста в поздней артериальной фазе:
- Возможно синхронное контрастирование печеночных вен
- Более выраженное контрастное усиление в паренхиматозной фазе, персисгирующее накопление контраста в венозной фазе
- Ангиография может использоваться как метод визуализации в сложных случаях
6. Рекомендации по визуализации:
• Лучший метод диагностики:
о Многофазная КТ или МРТ

(Слева) На аксиальной КТ в артериальной фазе контрастного усиления визуализируется случайно выявленное образование, не обладающие ранним контрастным усилением.
(Справа) На аксиальной КТ в портально-венозной фазе контрастного усиления у этого же пациента определяется накопление контраста в центре образования, которое становится практически изоденсным кровеносным сосудам. В отсроченной фазе (томограммы не представлены) определяется «заполняющее» центрифугальное контрастное усиление, в отличие от гемангиом, для которых типичен центрипетальный тип накопления контраста. Из-за наличия признаков атипии была выполнена биопсия образования, в результате подтвердился пелиоз. Каких-либо ассоциированных заболеваний обнаружено не было.
в) Дифференциальная диагностика пелиоза печени:
1. Аденома печени:
• Имеется связь с длительным приемом эстрогенов
• Дифференциальная диагностика аденомы и пелиоза основана на характере контрастного усиления при трехфазной КТ и МРТ с динамическим контрастированием
• Наличие жирового компонента является признаком, позволяющим сделать заключение об аденоме
• Для аденомы характерно тотальное повышение плотности в артериальной фазе; в портальной фазе аденома становится изоденсной паренхиме печени
• Во многих случаях требуется биопсия
2. Кавернозная гемангиома печени:
• Типичный характер контрастного усиления (периферическое накопление контраста с прогрессивным контрастированием центральной части)
• Контрастное усиление в целом аналогично таковому при пелиозе, однако для гемангиомы характерно прерывистое нодулярное или глобулярное накопление контраста, в то время как для пелиоза —усиление по типу «замкнутого кольца»
• Более крупные гемангиомы могут оказывать объемное воздействие на сосуды печени
3. Очаговая узелковая гиперплазия:
• Гиперваскулярное образование, равномерно накапливающее контраст в артериальной фазе, которое становится изоденсным паренхиме печени в портальной и отсроченной фазе:
о Центральный рубец в артериальной и портальной фазе выглядит гиподенсным, накапливает контраст в отсроченной фазе
4. Гиперваскулярные метастазы:
• Обычно становятся полностью гиподенсными либо изоденсными паренхиме печени в отсроченной фазе вследствие быстрого «вымывания» контраста
5. Пиогенный абсцесс печени:
• Важно дифференцировать абсцесс печени и пелиоз, чтобы не допустить чрескожное дренирование пелиотической полости, что может привести к серьезным последствиям или даже летальному исходу
• Пиогенный абсцесс:
о Представляет собой образование с множественными септами, имеющее вид «виноградной грозди»
о Содержимое абсцесса не накапливает контраст
о Типичные клинические признаки, сепсис

(Слева) На аксиальной КТ с контрастным усилением у пациента с пелиозом на фоне СПИД определяются множественные гиподенсные образования в печени с периферическим типом контрастного усиления. Такое же образование находится в селезенке. Эти изменения обусловлены известным бациллярным пелиозом, вызванным микроорганизмами рода Bartonella, после антибиотикотерапии они полностью разрешились.
(Справа) На аксиальной КТ с контрастным усилением у этого же пациента определяется большое количество увеличенных лимфатических узлов, интенсивно накапливающих контраст. Также видны множественные гиподенсные очаги в печени и очаг в селезенке.
г) Патология:
1. Общая характеристика:
• Этиология:
о Возбудителем бациллярного пелиоза у ВИЧ-инфицированных и других пациентов с дефицитом иммунитета являются бактерии рода Bartonella
о Доказанная причина пелиоза у небольшого количества пациентов-врожденная ангиоматозная мальформация
о Вплоть до 50% случаев пелиоза печени не обнаруживается какого-либо ассоциированного заболевания, этиология остается неизвестной
о Патогенез пелиоза до сих пор изучен недостаточно хорошо, существует несколько различных теорий его возникновения:
- Обструкция путей оттока на уровне синусоидов
- Формирование кист в результате некроза гепатоцитов
- Расширение центральной вены внутри дольки печени
- Непосредственное поражение синусоидального барьера
о Участки пелиоза могут обнаруживаться в аденомах печени, гепатоцеллюлярном раке, ангиосаркоме
• Ассоциированные патологические изменения:
о Хронические истощающие заболевания:
- Туберкулез, лепра, злокачественные опухоли (например, гепатоцеллюлярный рак), СПИД
о Другие хронические заболевания: целиакия, сахарный диабет, васкулиты, болезни крови
о Трансплантация почки или сердца:
- Изменения при этих состояниях обычно различимы лишь на микроскопическом уровне
о Лекарственные препараты:
- Анаболические стероиды, кортикостероиды, тамоксифен, оральные контрацептивы, диэтилстильбэстрол, азатиоприн
2. Макроскопические и хирургические особенности:
• Полости, заполненные кровью, имеющие неправильную форму
3. Микроскопия:
• Кистозное расширение синусоидов, заполненных эритроцитами, разделенных «тяжами», состоящими из клеток печени
• Флебэктатическая форма характеризуется наличием эндотелиальной выстилки в лакунах, заполненных кровью, аневризматическим расширением центральной вены и синусоидов
• Паренхиматозная форма: эндотелиальная выстилка отсутствует; часто бывает связана с геморрагическим некрозом паренхимы печени
д) Клинические особенности:
1. Проявления пелиоза печени:
• Наиболее частые признаки/симптомы:
о Бессимптомное течение
о Другие признаки/симптомы:
- Гепатомегалия, асцит, портальная гипертензия
- Лимфаденопатия при бациллярном пелиозе, вызванном Bartonella henselae, и неврологическая симптоматика, если возбудителем является Bartonella quintata
• Иные признаки/симптомы:
о Гемопертионеум при разрыве лакуны
о Лихорадка, боль в животе, лимфаденопатия в случае бациллярной формы пелиоза печени
2. Демография:
• Возраст:
о Пелиоз может возникать как в период внутриутробного развития (редко), так и на всем протяжении жизни вплоть до вступления во взрослый возраст
• Пол:
о М=Ж
• Эпидемиология:
о Заболевание является редким
о У пациентов с дефицитом иммунитета увеличивается заболеваемость бациллярным пелиозом и ангиоматозом
3. Течение и прогноз:
• Регресс происходит после прекращения приема лекарственных препаратов, отмены стероидной терапии, разрешения воспалительных заболеваний кишечника
• Возможно развитие геморрагической и псевдотуморозной формы заболевания
• Осложнения: печеночная недостаточность, холестаз, портальная гипертензия, разрыв печени (и, как следствие, шок):
о При отсутствии лечения возможен быстрый летальный исход
4. Лечение пелиоза печени:
• Варианты, риски, осложнения:
о Устранение воздействия причинных агентов
о Резекция пораженного сегмента печени
о Антибиотики (эритромицин или доксициклин) при бациллярном пелиозе, вызванном В. henselae, позволяют добиться клинического улучшения у ВИЧ-инфицированных пациентов
е) Диагностическая памятка:
1. Следует учесть:
• Состояния, на фоне которых развился пелиоз (например, СПИД, хронические заболевания, прием некоторых лекарственных препаратов)
2. Советы по интерпретации изображений:
• При обнаружении образования печени, активно накапливающего контраст, можно сделать заключение о пелиозе только в самую последнюю очередь, если критерии выявленного патологического очага не соответствуют другим, более распространенным заболеваниям и состояниям
Лучевая диагностика радиационного поражения печени
а) Терминология:
• Лучевое поражение печени: синдром, характеризующийся возникновением асцита при отсутствии желтухи в промежутке от двух недель до четырех месяцев после облучения
б) Визуализация радиационного поражения печени:
• Четкая демаркационная линия, отделяющая патологически измененную паренхиму печени от здоровой ткани и соответствующая границам зоны облучения или распределения микросфер иттрия-90 при внутрисосудистом введении
• На КТ обнаруживаются «географические» очаги, хорошо отграниченные от окружающих тканей:
о Кровеносные сосуды внутри них не выглядят патологически измененными, объемное воздействие отсутствует
о Обычно выглядят гиподенсными как при нативной КТ, так и при КТ с контрастным усилением
о Однако в структуре очагов возможно наличие как гипер-, так и гиповаскулярного компонента
• Плотность поврежденной паренхимы печени, выглядящей гиподенсной в портально-венозной фазе, может увеличиваться и длительно сохраняться таковой в отсроченной фазе:
о Что обусловлено уменьшением сосудистой перфузии, снижением венозного оттока, и, как следствие, стазом контраста
• Для дифференциальной диагностики радиационно-индуцированного поражения печени и стеатоза лучше всего подходит МРТ, в особенности Т1 ВИ и GRE в «фазе» и «противофазе»
(Слева) На аксиальной КТ с контрастным усилением определяется вертикально ориентированный гиподенсный участок, распространяющийся от краниальных до каудальных отделов печени, отграниченный прямой демаркационной линией, обусловленный лучевой терапией по поводу лимфомы.
(Справа) На аксиальной КТ с контрастным усилением визуализируется ровная демаркационная линия, отделяющая поврежденный участок в левой доле печени, обусловленный лучевой терапией по поводу рака пищевода. Обратите внимание, что левая печеночная вена, проходящая в поврежденном участке печени, не выглядит патологически измененной. (Слева) На аксиальной КТ определяется снижение плотности задних сегментов печени, отделенных от не измененной паренхимы четкой демаркационной линией. Гиподенсные участки паренхимы соотносятся с зоной, подвергнутой эмболизации с использованием микросфер иттрия-90, по поводу гепатоцеллюлярного рака. Обратите внимание, что задняя ветвь правой долевой ветви воротной вены, проходящая внутри измененного участка паренхимы печени, выглядит обычно.
(Справа) На КТ с контрастным усилением у этого же пациента визуализируются жизнеспособные сателлитные очаги ГЦР в передних сегментах печени, которые не подвергались облучению.
в) Дифференциальная диагностика:
• Очаговый стеатоз
• Инфаркт печени
г) Патология:
• Радиационно-индуцированное поражение печени может возникать у пациентов, получивших при дистанционной лучевой терапии лучевую нагрузку 1200 рад единовременно либо 4000-5500 рад фракционно в течение шести недель
• Введение в печеночную артерию стеклянных микросфер с иттрием-90:
о Обеспечивает облучение участка печени, кровоснабжаемого артерией, с периодом полураспада 64 часа
д) Клинические особенности:
• Полное клиническое восстановление обычно наблюдается в течение 60 дней, однако может также обнаруживаться перманентное уменьшение количества гепатоцитов, накопление жира, фиброз, облитерация центральных (дольковых) вен
КТ, МРТ, УЗИ, ангиография печени при наследственной геморрагической телеангиэктазии
(Слева) На КТ в артериальной фазе контрастного усиления у мужчины 31 года с нарушением функции печени, носовыми кровотечениями и кровохарканьем определяется большие артерио-венозные мальформации (АВМ) в базальных отделах правого легкого. Контрастное усиление печени имеет «пятнистый» характер, расширенные печеночные вены преждевременно заполняются контрастом.
(Справа) На КТ у этого же пациента визуализируются дискретные АВМ в печени, а также не столь четко различимые телеангиэктазии меньшего размера. Паренхима печени выглядит «пестрой». (Слева) На КТ у этого же пациента в печени видны дискретные АВМ, паренхима печени выглядит «пестрой», печеночная артерия значительно расширена.
(Справа) На КТ срезе у этого же пациента определяется выраженное расширение печеночной артерии; паренхима пече ни имеет «пестрый» вид. (Слева) На КТ срезе (этот же пациент) визуализируется артерио-портальный шунт и расширенная печеночная артерия.
(Справа) На корональной КТ (объемный рендеринг) у этого же пациента визуализируются ABM в легких. Врожденная геморрагическая телеангиэктазия (синдром Ослера-Вебера-Рандю) — наследственное заболевание, приводящее к фиброваскулярной дисплазии, в результате чего появляется возможность для развития телеангиэктазий и АВМ во множестве органов, преимущественно в коже, легких, печени и ЖКТ.
2. КТ признаки наследственной геморрагической телеангиэктазии:
• КТ с контрастным усилением:
о Раннее заполнение контрастом расширенных и извитых внепеченочных и внутрипеченочных артерий, расширение ветвей печеночной артерии, возможно, также ветвей воротной вены
о Неоднородное контрастное усиление паренхимы печени:
- Вследствие артерио-венозных шунтов
- Могут выявляться зоны преходящего повышения плотности: Клиновидной формы, расположенные в периферических отделах печени, для которых характерно значительное повышение плотности в артериальной фазе
- В венозной/паренхиматозной фазе контрастное усиление паренхимы печени обычно становится равномерным
о Телеангиэктазии: мелкие сосудистые «точки», которые лучше распознаются на мультипланарных реформатированных изображениях и в проекции максимальной интенсивности (MIP):
- Выглядят в виде «звездочки» размером 5-7 мм на КТ с контрастным усилением
- Обнаруживаются у 2/3 пациентов с ИГТ
о Большие сосудистые «образования» сливного характера:
- Выглядят как крупные «лакуны» (1-3 см) с ранним и персистирующим контрастным усилением в артериальной фазе
- Представляют собой крупные шунты или множественные телеангиэктазии сливного характера
- Обнаруживаются у 1/4 пациентов с НГТ
о Возможно расширение желчных протоков (обусловленное сдавливанием извне)
о Поражение селезенки и поджелудочной железы нетипично
о При поражении ЖКТ может возникать кровотечение, обусловленное подслизистыми телеангиэктазиями
3. МРТ признаки наследственной геморрагической телеангиэктазии:
• Т1 ВИ:
о Телеангиэктазии гипо- или изоинтенсивны паренхиме печени
• Т2 ВИ:
о Сеть сосудов с «выпадением» сигнала, обусловленным движением крови, на последовательностях спин-эхо
• STIR:
о Лучше всего подходит для оценки размера мальформации
- При МР-ангиографии можно недооценить размер
• Т1 ВИ с контрастным усилением:
о Телеангиэктазии: имеют небольшой размер, равномерно накапливают контраст
о Типично раннее контрастное усиление периферических ветвей воротной вены и наличие участков преходящего повышения интенсивности паренхимы печени в течение артериальной фазы
о Последовательности градиентного эха после введения контраста на основе гадопентеновой кислоты используются для оценки динамики контрастного усиления
• МР-ангиография:
о Позволяет составить «карту» аномальных сосудов и оценить количество и размер питающих артерий и дренирующих вен
о Исходя из времени, прошедшего между ранней артериальной фазой и контрастным усилением мальформации, появляется возможность оценить скорость тока крови в патологическом очаге:
- АВМ с высокой скоростью тока крови характеризуются ранним, интенсивным контрастным усилением
- Венозные мальформации или не визуализируются вовсе, или характеризуются поздним контрастным усилением вен
4. УЗИ признаки наследственной геморрагической телеангиэктазии:
• Серошкальное УЗИ:
о Скрининговый метод, пригодный для обнаружения патологических изменений со стороны печени
о Расширение печеночных артерий, множественные артериовенозные мальформации, нарушение эхогенности печени
• Импульсно-волновая допплерография:
о Высокая скорость кровотока в печеночной артерии 153 + 65,2 см/сек
о Усиление пульсации воротной вены с наличием фазового либо непрерывного реверсивного кровотока обусловлено наличием шунтов между печеночной артерией и воротной веной
о Наличие артерио-портальных шунтов приводит к существенным изменениям допплеровского спектра печеночных вен:
- Только при тяжелых формах заболевания
• Цветовая допплерография:
о «Клубки» увеличенных, извитых артериальных сосудов или множественные интрапаренхиматозные аневризмы печеночных артериол
5. Ангиография при наследственной геморрагической телеангиэктазии:
• Не показана, если есть возможность выполнения КТ- или МР-ангиографии
• Традиционная ангиография:
о Дилатация, извитой ход ветвей печеночной артерии
о Многочисленные участки накопления контраста (плотные, неправильной формы) во всех отделах паренхимы печени
о Ангиоэктазии с диффузным распределением и диффузное усиление капиллярного «рисунка»
о Раннее заполнение контрастом расширенных печеночных вен и, возможно, ветвей воротной вены
6. Рекомендации по визуализации:
• Лучший метод диагностики:
о Цветовая допплерография (для неинвазивного скрининга)
о КТ с контрастным усилением (и МРТ) с мультипланарным реформатированием и трехмерными реконструкциями сосудов с целью визуализации патологически измененных сосудов печени при наследственной геморрагической телеангиэктазии
• Выбор протокола:
о КТ-артериография с использованием проекции максимальной интенсивности (MIP) в аксиальной и корональной плоскости в артериальной и паренхиматозной фазе контрастного усиления
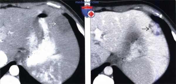
(Слева) На КТ в артериальной фазе контрастного усиления у женщины 32 лет, страдающей, как и ее родственники, носовыми кровотечениями, определяется неравномерное накопление контраста в паренхиме печени, а также раннее заполнение контрастом расширенных печеночных вен.
(Справа) На КТ в артериальной фазе контрастного усиления у этой же пациентки определяется неравномерное контрастирование паренхимы печени, раннее заполнение расширенных печеночных вен и нижней полой вены, а также расширение и извитой ход печеночной артерии (Слева) На аксиальной КТ в портально-венозной (печеночной паренхиматозной) фазе контрастного усиления у этой же пациентки печень в целом выглядит обычно, за исключением расширения печеночных вен и НПВ, что указывает на наличие интрапаренхиматозных шунтов, по которым происходит «сбрасывание» крови, из-за чего в артериальной фазе печень выглядела неоднородной.
(Справа) На КТ в венозной фазе контрастного усиления у этой же пациентки визуализируется одно из двух гиподенсных образований неизвестной природы, не меняющих размер в течение нескольких лет. (Слева) На рентгенограмме (катетерная ангиография) у этой же пациентки визуализируются расширенные артериальные сосуды, многочисленные участки повышенной плотности, неправильной формы, а также множественные ангиэктазии.
(Справа) На рентгенограмме (катетерная ангиография) у этой же пациентки определяется раннее заполнение контрастом расширенных вен. Катетерная ангиография редко используется для оценки выраженности изменений при НГТ, и большей частью заменяется КТ-либо МР-ангиографией.
в) Дифференциальная диагностика наследственной геморрагической телеангиэктазии:
1. Цирроз печени:
• Изменение формы артерий в виде «штопора», обусловленное комбинацией факторов: усилением артериального кровотока и наличием регенераторных узлов
• Транссинусоидальные артерио-портальные шунты при тяжелом циррозе, интрасегментарный гепатофугальный кровоток в воротной вене
• Не приводит к появлению многочисленных, широко распространенных сосудистых очагов или преходящих участков повышения плотности (или интенсивности) паренхимы
• Наследственная геморрагическая телеангиэктазия не обусловливает изменение формы печени (бугристые края или лобарная атрофия)
2. Травматические внутрипеченочные артерио-венозные фистулы:
• Причины: биопсия, чреспеченочная холангиостомия, тупая травма или проникающие ранения, разрыв аневризмы печеночной артерии с формированием свища между артерией и воротной веной
• Расширение артерии на ограниченном участке, раннее контрастное усиление вены, затруднение визуализации артерии дистальнее фистулы из-за перераспределения кровотока
3. Опухолевые артериовенозные шунты:
• Формируются как в первичных, так и вторичных опухолях печени; возникновение шунтов означает прорастание опухоли в вену
4. Синдром Бадда-Киари:
• Обструкция путей венозного оттока от печени, формирование коллатералей между печеночными венами, воротной веной и системными венами
• КТ: неоднородная плотность паренхимы печени, перипортальное и периферическое контрастное усиление, увеличение хвостатой доли
• Сужение либо окклюзия печеночных вен:
о В то время как при НГТ происходит расширение ветвей печеночной и(или) воротной вены
(Слева) На аксиальной КТ с контрастным усилением у мужчины 47 лет, страдающего сердечной недостаточностью с повышенной фракцией выброса, обусловленной НГТ, определяется, что паренхима печени имеет «крапчатый» вид из-за неравномерного накопления контраста, вены печени значительно расширены и преждевременно заполняются контрастом.
(Справа) На КТ срезе у этого же пациента определяется увеличение печеночной артерии, видны также множественные телеангиэктазии и АВМ, разбросанные по всем отделам печени, ответственные за «сбрасывание» крови в обход синусоидов, что и обусловливает изменения характера контрастного усиления паренхимы. (Слева) На КТ определяется очаг в печени, минимально и неравномерно накапливающий контраст.
(Справа) На МРТ, выполненной с целью уточнения диагноза у этого же пациента, определяется, что образование является гиповаскулярным, отсутствуют признаки, которые указывали бы на его опухолевую природу. (Слева) На аксиальной КТ у женщины 82 лет с известной НГТ, у которой вновь появились боли в правом подреберье на фоне повышения температуры тела, определяются типичные признаки наследственной геморрагической телеангиэктазии, в т. ч. «пятнистое» неравномерное контрастное усиление печени и очаговые ABM. Визуализируется также образование, содержащее газ.
(Справа) На аксиальной КТ с контрастным усилением у этой же пациентки визуализируется катетер типа «свиной хвост», установленный под КТ-контролем с целью дренирования абсцесса.
1. Общая характеристика:
• Этиология:
о Гены, кодирующие белок, связывающий трансформирующий фактор роста
• Генетика:
о Наследственная геморрагическая телеангиэктазия-заболевание с аутосомно-доминантным типом наследования, характеризующееся высокой пенетрантностъю и гетерогенностью
о Фенотипы НГТ:
- НГТ 1: мутации гена, кодирующего эндоглин (ENG), расположенного в девятой хромосоме
- НГТ 2: мутации гена (ACVRL), кодирующего белок актинин (ALK1) (хромосома 12)
• Ассоциированные изменения:
о У пациентов с наследственной геморрагической телеангиэктазией симптоматика и осложнения чаще всего обусловлены АВМ легких
2. Макроскопические и хирургические особенности:
• Изменения со стороны сосудов печени (ангиодисплазия):
о Телеангиэктазии, кавернозные гемангиомы, аневризмы паренхиматозных ветвей печеночной артерии, а также паренхиматозные, печеночно-портальные, артерио-венозные фистулы
1. Проявления:
• Наиболее частые признаки/симптомы:
о В некоторых случаях-бессимптомное течение; анемия при рецидивирующих кровотечениях
о Множественные телеангиэктазии (полиорганное поражение):
- Слизистая оболочка носа: периодические носовые кровотечения
- ЦНС (церебральные или спинальные аневризмы): судороги, парапарез, субарахноидальное кровоизлияние
- Органы ЖКТ: ангиодисплазия, желудочно-кишечное кровотечение
- Органы системы дыхания: цианоз, полицитемия, диспноэ при физической нагрузке, утолщение пальцев по типу «барабанных палочек», изменение аускультативных данных
о Изменения со стороны печени: возможно бессимптомное течение, редко - фиброз паренхимы, билиарная ишемия, печеночная недостаточность:
- Фиброз, атипичный цирроз, хронический активный гепатит (редко)
• Клинический профиль:
о Диагностические критерии: наследственность, носовые кровотечения, телеангиэктазии в коже и слизистых оболочках, АВМ
2. Демография:
• Возраст:
о Дебют заболевания происходит у взрослых людей, поражение печени обнаруживается 10-20 лет спустя после возникновения первой телеангиэктазии
• Пол:
о М=Ж
• Эпидемиология:
о 10-20:100000
3. Течение и прогноз:
• Осложнения: застойная сердечная недостаточность с повышенной фракцией выброса, портальная гипертензия, печеночная энцефалопатия, билиарная ишемия, печеночная недостаточность:
о Внепеченочные поражения: кровохарканье, гемоторакс, инсульт, абсцесс мозга
• Прогноз: чаще всего благоприятный
4. Лечение:
• Поддерживающая терапия: препараты железа, переливание крови
• Спиральная эмболизация печеночной артерии, лигирование печеночной артерии, трансплантация печени
е) Диагностическая памятка. Следует учесть:
• Все пациенты с наследственной геморрагической телеангиэктазией должны подвергаться скринингу из-за высокой распространенности АВМ легких и головного мозга в этой группе
• Необходимо также исследовать родственников пациентов с НГТ на предмет наличия признаков заболевания
Читайте также:
