Лучевые методы обследования желудка
Добавил пользователь Владимир З. Обновлено: 28.11.2025
Техника исследования. Для рентгенологического исследования желудка необходима специальная подготовка больных, которая заключается в следующем: накануне исследования больной обедает в обычное время с уменьшением объема принимаемой пищи наполовину за счет углеводов, но калорийность должна сохраняться. Ужин должен быть также в обычное время в виде одного стакана чая или кофе и кусочка белого хлеба с маслом (легкий ужин). Необходимости в очистительных клизмах нет. В день исследования больной не должен пить и ни в коем случае не курить, т.к. никотин вызывает обильное выделение слизи.
Исследование желудка начинается после обзорной рентгеноскопии грудной и брюшной полостей, и оно должно быть полипроекционным, при соответствующих показаниях, и полипозиционным.
Исследование первым этапом:
Рельеф слизистой желудка. Для желудка характерны: а) продольные складки, располагающиеся параллельно малой кривизне; б) ячеисто-трабекулярные складки – короткие, извилистые, косо и далее поперечно направленного вида с множеством анастомозов. В области тела желудка идут 5-8 продольных складок шириной 0,3-0,5 см.
Кроме изучения рельефа, обращается внимание на выявление симптома гиперсекреции и феномена слизи. Первый симптом проявляется и натощак, но убедительно определяется и по характеру опускания первых порций контрастного вещества по направлению к синусу. Возникает картина, напоминающая “порцию густого сиропа, опускающегося на дно стакана чая”. При наличии большого количества секреторной жидкости возникает характерная трехслойная картина: слой жидкости (интермедиарный слой) располагается над слоем бария и граничит сверху с желудочным пузырем.
При избыточном образовании слизи в желудке последняя плохо смешивается с бариевой взвесью и создает пестрый мраморный рисунок, который напоминает картину “створоженного молока”; это состояние именуют “феномен слизи”.
Тугое наполнение желудка. Форма желудка бывает в виде рыболовного крючка и рога. При крючковидном желудке выходной отдел желудка располагается выше нижней точки наполненного желудка, а при форме рога нижней точкой является выходной отдел желудка.
Положение желудка. Три четверти желудка располагается в левой половине брюшной полости, одна четверть – в правой. Нижний контур тени желудка у мужчин располагается на уровне гребешковой линии или выше на 3 - 4 см; у женщин - ниже этой линии на 3 - 4 см.
Рисунок тени желудка. Тень заполненного контрастной массой желудка, как правило, гомогенная, в верхнем отделе его почти всегда выявляется воздушный желудочный пузырь с четкими контурами без каких-либо дополнительных тенеобразований на фоне воздушного просветления.
Контуры тени желудка. Контуры малой кривизны всегда должны быть ровными, а большой кривизны, как правило, зазубренными, что обусловлено переходом складок слизистой с задней стенки на переднюю.
Смещаемость желудка. Нормальный желудок легко смещается при глубоком брюшном дыхании и проявляется изменением положения, формы и размеров. Все это свидетельствует о сохраненной эластичности стенок и “свободном” (неспаянном с другими органами) расположении в брюшной полости.
Тонус желудка. Тонус – это состояние контрактильной способности мышечных элементов органа, определяющий величину полости или просвета ее. Стенки значительной части пищеварительного канала в незаполненном состоянии смыкаются, и поэтому полость органа практически представляется как узкая щель. При прохождении пищи или бариевой взвеси стенки исследуемого органа оказывают в нормальном состоянии некоторое сопротивление. Рентгенологическая оценка тонуса органа сводится к выяснению того, как полостной орган развертывается (формируется) при заполнении его контрастной массой. В частности, принято различать нормальный (ортотонус), повышенный (гипертонус), пониженный (гипотонус) и отсутствие тонуса (атония).
Рентгенологическими признаками повышенного тонуса являются: замедленное продвижение контрастного вещества, уменьшение тени исследуемого органа за счет уменьшения полости вследствие сокращенного состояния мышечной стенки.
Признаки пониженного тонуса, наоборот, связаны с расслаблением мышц стенок исследуемого органа и состоят в быстром прохождении бариевой взвеси по ходу полости и увеличении тени исследуемого органа в связи с расширением (увеличением) объема его полости или просвета.
Перистальтика. Перистальтика ЖКТ состоит в ритмических, следующих друг за другом через равные промежутки времени, сокращениях круговых мышц стенки органов пищеварительного канала. Перистальтика каждого органа есть часть тех волнообразных сокращений контуров тени. Принято различать: 1) ритм, 2) длительность отдельной перистальтической волны и 3) амплитуду перистальтических сокращений.
Ритм перистальтики – это промежуток времени, лежащий между двумя отдельными волнами. Он может быть нормальным, замедленным и ускоренным. Под длительностью перистальтической волны подразумевается время, протекающее от появления волны в начальной части конкретного отрезка пищеварительного канала до достижения ею дистального его конца. Так, к примеру, появление волны у свода желудка до достижения этой же волной привратника. Амплитуда определяется глубиной сокращений. При нормальной перистальтике видны хорошо различимые волны по обоим контурам, распространяющиеся к дистальной части с физиологическим ритмом, присущим этому органу ЖКТ. Живая перистальтика – это перистальтика с укороченным ритмом, т.е. выявляются волны, быстро возникающие друг за другом. Глубокой перистальтикой обозначается такая картина сокращений, когда перистальтические перетяжки глубоко перешнуровывают, перетягивают исследуемый орган. В этих случаях наблюдается увеличение длительности волны, замедление перистальтики. Сегментирующей перистальтикой называют такую, когда исследуемый орган из-за спастического сокращения мышц как будто перешнурован в нескольких местах. Вялая перистальтика характеризуется удлиненным ритмом, большой длинной и поверхностностью волны. Поверхностная перистальтика – это еле заметное сокращение стенок исследуемого органа пищеварительной трубки. Кроме того, перистальтика может отсутствовать.
Признаки нормальной перистальтики желудка:
Появление (чаще не сразу, а через некоторое время после приема контрастной массы) отдельных ритмических сокращений в верхней части тела, идущих по направлению к привратнику.
Перистальтические волны следуют одна за другой с интервалами в среднем 21 секунду. Закрытие и открытие привратника обусловливается рефлекторной деятельностью.
Прямым продолжением привратникового канала является 12-перстная кишка. Ее разделяют на 3 части: верхнюю горизонтальную, нисходящую и нижнюю горизонтальную. Верхняя: луковица, в ней 4 стенки – передняя, задняя, медиальная, латеральная. Контуры луковицы четкие, ровные, чаще она треугольной формы с основанием, обращенным к желудку. Нисходящий отдел располагается справа от позвоночника, идет параллельно краю его и, огибая головку поджелудочной железы, образует небольшую выпуклость кнаружи. Нижний отдел 12-перстной кишки имеет косое направление справа снизу, влево вверх, а затем переходит в располагающуюся позади желудка flexura duodeno-jejunalis, находящуюся на уровне верхнего края 3 поясничного позвонка. Нисходящий и нижний отделы располагаются ретроперитонеально и поэтому ограничены в подвижности. Ширина 12 п.к. 4 - 6 см, причем, в дистальных отделах она шире. Слизистая оболочка луковицы является продолжением слизистой оболочки желудка и представлена складками, имеющими продольное направление, сходящимися к вершине луковицы. В других отделах 12 п.к. они имеют поперечное направление. Контуры 12 п.к. равномерно зубчатые.
Двигательная функция 12 п.к. неодинаково выражена в различных ее отделах. Луковица обычно тонически целиком сокращается и при этом как бы выжимает контрастную взвесь в дистальном направлении. Однако нередко видны и мелкие перистальтические сокращения стенок. В области нисходящего отдела наблюдаются волнообразные сокращения, а иногда и более выраженные сегментации, сопровождающиеся тоническим сокращением стенок вышележащей части кишки с ретроградным забрасыванием контрастной массы.
Лучевые методы обследования желудка
а) Анатомия желудка и терминология. Желудок является резервуаром для пищи, в котором происходит ее смешивание, измельчение и химическая обработка при помощи ферментов. В желудке выделяют кардию, дно, тело, антральный и пилорический отдел, каждому из которых присущи свои специфические функции.
Кардия является частью желудка, окружающей нижнее отверстие пищевода, местом, где сходятся большая и малая кривизна. Дно - наиболее высоко расположенная часть желудка, которая располагается под левой половиной диафрагмы. Тело желудка является его основной частью, где происходит продукция кислого содержимого. Антральный отдел - часть желудка, расположенная в непосредственной близости от привратника. Привратником называется сфинктер, контролирующий опорожнение желудка, выход его содержимого в двенадцатиперстную кишку. Пилорический сфинктер сформирован утолщенным слоем гладкой мышечной оболочки желудка и тонкой соединительнотканной перегородкой.
б) Строение стенки. Стенка желудка состоит из трех слоев гладких мышц: наружный слой включает в себя продольно ориентированные мышечные волокона, средний слой является циркулярным, а внутренний мышечный слой - косым. Средний циркулярный мышечный слой имеет наибольшую толщину.
Складки желудка представляют собой выбухающие участки слизистой оболочки, которые лучше заметны, когда желудок находится в спавшемся состоянии. Особенностью морфологии желудка является наличие толстых, широких сосудов, кровоснабжающих мышцы, которые необходимы для выполнения желудком функции накопления и смешивания пищи.
Слизистая оболочка желудка состоит из цилиндрического эпителия, содержит разное количество желез в различных отделах. Железы продуцируют муцин, который покрывает желудок изнутри и защищает слизистую оболочку: пепсиноген - профермент, предшественник пепсина - энзима, необходимого для переваривания пищи; и соляную кислоту, которая создает кислую среду, необходимую для активации пищеварительных ферментов, и способствует расщеплению пищи.
в) Другие особенности анатомии желудка. Желудок хорошо кровоснабжается; со стороны малой кривизны к нему подходят ветви левой и правой желудочных артерий, расположенные в малом сальнике. Наличие множества коллатеральных сосудов, отходящих от ветвей чревного ствола и верхней брыжеечной артерии, делает желудок и двенадцатиперстную кишку слабо восприимчивыми к ишемии, но в то же время затрудняет катетерную эмболизацию с целью остановки кровотечения.
Со стороны большой кривизны к желудку подходят левая и правая желудочно-сальниковые артерии, проходящие в большом сальнике. При планировании резекции желудка хирурги стараются сохранить не менее одного из двух перечисленных выше источников кровоснабжения, предпочтение отдается желудочно-сальниковым артериям.
Венозный отток от желудка в систему воротной вены осуществляется через левую и правую желудочные вены, через селезеночную и верхнюю брыжеечную вену. Все они имеют коллатеральные ветви, что становится важным в случае окклюзии или развитии портальной гипертензии, т. к. варикозно расширенные вены желудка могут в значительной степени увеличиваться в размерах и становиться причиной кровотечения.
Сосуды, по которым осуществляется отток лимфы от желудка, располагаются параллельно артериям, затем по выносящим лимфатическим протокам лимфа попадает в чревные лимфоузлы. Внимательное изучение этих лимфоузлов является важным моментом в стадировании злокачественных опухолей желудка. Из-за хорошо развитой системы венозного и лимфатического оттока от желудка наблюдается большое число случаев, когда на момент установки диагноза уже имеются множественные вторичные очаги.
Блуждающий нерв осуществляет парасимпатическую иннервацию желудка, стимулируя перистальтику и секрецию соляной кислоты. Ваготомия широко применялась при лечении язвенной болезни желудка, особенно до появления эффективных лекарственных средств. Чтобы предотвратить возникновение ретенции желудка, ваготомия может дополняться вмешательством, направленным на облегчение опорожнения желудка, например, частичной гастрэктомией или пи-лоропластикой.
«Классическая» анатомия артериальных сосудов желудка и двенадцатиперстной кишки (наблюдается примерно у 50% населения): левая желудочная артерия отходит от чревного ствола и кровоснабжает желудок со стороны малой кривизны, анастомозирует с правой желудочной артерией - ветвью собственной печеночной артерии. Со стороны большой кривизны желудок кровоснабжается анастомозирующими ветвями желудочно-сальниковых артерий, одна из которых (левая), отходит от селезеночной артерии. Малый сальник располагается между желудком и воротами печени; может быть разделен на две связки: более широкую и тонкую печеночно-желудочную и более толстую печеночно-двенадцатиперстную. Обратите внимание на слои мышц желудка, из которых средний (циркулярный) является самым широким.
г) Особенности визуализации. Рентгеноскопия желудка с бариевой взвесью является дополняющим методом диагностики по отношению к фиброгастроскопии и КТ у большинства пациентов с диспепсией и болью в животе. Рентгеноскопия превосходит КТ и фиброгастроскопию при оценке функциональных расстройств (рефлюкс, парез желудка).
Во многих случаях рентгеноскопии отводится роль основного диагностического исследования для оценки изменений у пациентов до и после оперативных вмешательств на желудке, например, эзофагэктомии с перемещением желудка в грудную полость и созданием пищеводно-желудочного анастомоза, фундопликации при лечении ГЭРБ, частичной гастрэктомии при раке желудка, или при выполнении какого-либо бариатрического вмешательства. Рентгенолог должен хорошо представлять себе возможные изменения, обусловленные различными оперативными вмешательствами, а также знать признаки многочисленных осложнений, которые могут возникать в результате операции. Т. к. клинические признаки у многих пациентов могут отсутствовать или быть неспецифическими, рентгенолог часто становится первым специалистом, обращающим внимание на отклонение послеоперационных изменений от нормы.
КТ имеет принципиальное значение в определении стадии первичной или метастатической опухоли желудка, является второстепенным методом диагностики при гастритах и язве желудка, лишь дополняя данные рентгеноскопии верхних отделов ЖКТ и фиброгастроскопии; используется преимущественно для выявления осложнений, например, перфорации. В диагностике поражений желудка при воспалительных изменениях других органов, например, поджелудочной железы, КТ играет главную роль.
Фиброгастроскопия является наиболее точным методом диагностики рака желудка и первичных воспалительных изменений (гастрит). В то же время при фиброгастроскопии можно пропустить подслизистые образования желудка, такие как лимфома или гастроинтестинальная стромальная опухоль, при которых не наблюдается патологических изменений со стороны покрывающей опухоль слизистой.
д) Утолщение стенки желудка: интерпретация. Наличие «утолщенных складок» при рентгеноскопии верхних отделов ЖКТ имеет ограниченное значение само по себе, поскольку существует множество процессов, вызывающих равномерное либо неравномерное сужение просвета, воспалительного или злокачественного характера, которые могут обусловливать наличие этих изменений.
Данные, полученные при КТ, помогают сузить дифференциально-диагностический ряд состояний, приводящих к утолщению стенки желудка. Так же, как в тонкой и ободочной кишке, воспалительный процесс (гастрит) приводит к отеку подслизистой основы, которая выглядит как гиподенсная полоска с плотностью, близкой к плотности воды, расположенная между слизистой и серозной оболочками. Компонент мягкотканной плотности в стенке больше характерен для неопластического процесса. КТ также позволяет отличить друг от друга различные опухоли желудка.
Первичный рак обычно обусловливает утолщение стенки в виде узла с неправильными контурами, ограничение растяжимости стенки, часто в сочетании с признаками вторичного поражения печени, регионарных лимфоузлов и, в некоторых случаях, сальника.
При лимфоме желудка часто наблюдается в значительной степени выраженное утолщение складок слизистой оболочки узлового характера, но нетипично снижение способности желудка к растяжению или возникновение обструкции. При лимфоме и метастазах в желудок часто выявляются вторичные очаги иной локализации.
ГИСО желудка (стромальная опухоль) обычно возникает под слизистой оболочкой, обладает экзофитным типом роста. Слизистая над небольшими опухолями обычно не изменена, в то время как при образованиях большого размера происходит ее изъязвление, что, наряду с центральной кавитацией в образовании, может обусловливать обнаружение большой перигастральной опухоли, содержащей газ, жидкость, перорально принятый контраст.
При КТ часто можно выявить другие причины утолщения складок слизистой оболочки желудка: панкреатит, признаки островковоклеточной опухоли поджелудочной железы при синдроме Золлингера-Эллисона, проявления цирроза печени и портальной гипертензии у пациента с варикозным расширением вен желудка.
е) Дифференциальная диагностика изменений желудка:
1. Объемные образования желудка:
Частые:
• Рак желудка
• Гиперпластические полипы
• Артефакты, обусловленные наличием газового пузыря или прижатыми вплотную друг к другу стенками желудка
• Аденоматозный полип
• Доброкачественные опухоли стенки желудка
• Безоар (может быть ошибочно принят за опухоль)
• Сдавливание желудка извне, обусловленное увеличением селезенки, спленозом, опухолью почки, печени, которое ошибочно может быть интерпретировано как опухоль
• Варикозное расширение вен желудка
Менее частые:
• Метастазы в стенке желудка и лимфома
• Мезенхимальные опухоли (ГИСО, липома, невринома)
• Синдром Гарднера
• Гамартоматозный полипоз
• Эктопическая ткань поджелудочной железы
• Гематома
• Дупликационная киста
2. Интрамуральные образования желудка:
Частые:
• Варикозно расширенные вены
• Псевдокиста поджелудочной железы
• Метастазы и лимфома
• Мезенхимальные опухоли (ГИСО, липома, невринома)
Менее частые:
• Гематома стенки желудка
• Эктопическая ткань поджелудочной железы
• Добавочная селезенка или спленоз
• Дупликационная киста желудка
3. Утолщение складок слизистой оболочки желудка:
Частые причины:
• Гастрит
• Язва желудка
• Варикозное расширение вен при портальной гипертензии
• Рак желудка
• Острый панкреатит, псевдокиста поджелудочной железы
• Гастропатия, обусловленная портальной гипертензией
Менее частые:
• Метастазы в стенке желудка и лимфома
• Болезнь Менетрие
• Синдром Золлингера-Эллисона
• Химический ожог желудка и двенадцатиперстной кишки
• Болезнь Крона
Редкие, но важные:
• Туберкулез
• Лучевой гастрит
• Амилоидоз
• Эозинофильный гастрит
• Гастрит, обусловленный химиотерапией
• Саркоидоз
4. Симптом «мишени» или «бычьего глаза»:
Частые причины:
• Метастазы в стенке желудка
• Лимфома желудка
• Саркома Калоши
Менее частые:
• Рак желудка
• Эктопическая ткань поджелудочной железы
• Карциноид
• ГИСО желудка
5. Язва желудка без наличия объемного образования:
Частые причины:
• Гастрит, обусловленный приемом НПВС
• Гастрит, обусловленный другими причинами
• Язва желудка
Менее частые:
• Рак желудка
• Синдром Золлингера-Эллисона
• Болезнь Крона
• Повреждение желудка и двенадцатиперстной кишки химически агрессивными веществами
6. Перемещение желудка в грудную полость:
Частые причины:
• ГПОД
• Состояние после эзофагэктомии
• Ахалазия пищевода (расширенный просвет пищевода может быть ошибочно принят за просвет желудка, находящегося в грудной полости)
Менее частые:
• Скопления жидкости после оперативных вмешательств (могут быть ошибочно приняты за желудок, находящийся в грудной полости)
• Пульсионный дивертикул пищевода
7. Сужение антрального отдела желудка:
Частые причины:
• Гастрит
• Вариант нормы
• Язва желудка
• Рак желудка
• Острый панкреатит
• Состояние после оперативного вмешательства на желудке
• Стеноз в результате гипертрофии привратника
Менее частые:
• ГИСО желудка
• Метастазы в стенке желудка и лимфома
• Повреждение желудка и двенадцатиперстной кишки едкими агентами
• Болезнь Крона
Редкие, но важные:
• Туберкулез
• Сифилис
• Саркоидоз
• Оппортунистические инфекции
8. Дилатация желудка или обструкция выходного отдела желудка:
Частые:
• Язва желудка или двенадцатиперстной кишки
• Рак желудка
• Парез желудка
• Состояние после оперативного вмешательства
• Заворот желудка
• Гипертрофический стеноз привратника
• Непроходимость желудка
Менее частые:
• Острый панкреатит
• Хронический панкреатит
• Метастазы в стенке желудка и лимфома
• Образование или стриктура двенадцатиперстной кишки; рак, вторичное поражение, аннулярная поджелудочная железа
• Полипы желудка
• Синдром ВПВ
Редкие, но важные:
• Инфильтративные изменения: болезнь Крона, саркоидоз, туберкулез и т. д.
9. Пластический линит, снижение способности желудка к растяжению:
Частые:
• Рак желудка
• Метастазы и лимфома
Менее частые:
• Гастродуоденит, обусловленный химически агрессивными агентами
• Метастазы по брюшине
• Гастрит
• Оппортунистические инфекции
Редкие, но важные:
• Болезнь Крона
• Состояние после криотерапии
• Сифилис
• Лучевой гастрит
• Инфильтративные гранулематозные заболевания: туберкулез, саркоидоз, амилоидоз
10. Боль в эпигастрии:
Частые причины:
• Функциональная диспепсия
• Рефлюкс-эзофагит
• Язва двенадцатиперстной кишки
• Язва желудка
• Гастрит
• Холецистит
• Холедохолитиаз
• Восходящий холангит
• Гепатит
• Острый панкреатит
• Хронический панкреатит
• Псевдокиста поджелудочной железы
• Ишемическая болезнь сердца
• Рак желудка
• Протоковый рак поджелудочной железы
• Дисфункция сфинктера Одди
• Психосоматические заболевания
• Повреждение печени или поджелудочной железы
• ГПОД или вентральная грыжа
Менее частые:
• Болезнь Крона
• Заболевания желудка: болезнь Менетрие, гастродуоденит, обусловленный химически агрессивными агентами, ГИСО, метастазы в стенке желудка и лимфома
• Заболевания печени: новообразования, инфекции, изменения воспалительного и ишемического характера
• Заболевания поджелудочной железы: разделенная поджелудочная железа, опухоли
• Заболевания двенадцатиперстной кишки: рак, метастазы и лимфома
• Патологические изменения со стороны мышц и костей
11. Объемные образования в верхнем левом квадранте живота:
Частые:
• Спленомегалия и образования селезенки
• Гепатомегалия и образования печени
• Объемные образования желудка и его растяжение
• Опухоли и псевдокисты поджелудочной железы
• Объемные образования надпочечников
• Внутрибрюшной абсцесс
• Гематома/серома
• Метастазы по брюшине
• Объемные образования почек
Менее частые:
• Дивертикул желудка
• Саркома забрюшинной локализации
• Псевдомиксома брюшины
• Заворот желудка
• Осумкованный и/или «злокачественный» асцит
Рентгенологические методы исследования желудочно-кишечного тракта, органов брюшной полости
Органы пищеварительного тракта — пищевод, желудок, тонкая и толстая кишка — имеют одинаковую плотность и поглощают рентгеновы лучи почти так же, как и окружающие их ткани, и поэтому в обычных условиях на экране или на пленке не дифференцируются. Для их выявления необходимо искусственное контрастирование.
Искусственное контрастирование проводят с использованием тяжелых, легких газообразных и двойных (смешанных) контрастных веществ. Общепризнанным, широко используемым тяжелым контрастным веществом является водно-бариевая мелкодисперсная взвесь, приготовленная в пропорции: 100—150 г сухого порошка сульфата бария на 80— 150 мл кипяченой воды.
Легкие газообразные контрастные вещества — воздух, кислород, углекислый газ и закись азота вводят в полость исследуемого органа различными способами.
Двойное контрастирование. Сущность заключается во введении в полость исследуемого органа небольшого количества (чтобы обмазать стенки органа) бариевой взвеси, после чего через зонд вводят определенное количество воздуха. При исследовании желудка используют также «метод шипучки», т. е. прием слабого раствора лимонной, винно-каменной или уксусной кислоты, и вслед за ней — небольшого количества растворенной двууглекислой соды. В результате в желудке выделяется некоторое количество углекислого газа. Использование двойного контрастирования позволяет отчетливо выявить детали рельефа внутренней поверхности исследуемого органа на фоне газовой среды — воздуха, кислорода или углекислого газа.
Рентгеноскопия и рентгенография брюшной полости без применения искусственных контрастных веществ.

Рентгеноскопия и рентгенография органов брюшной полости в условиях искусственного контрастирования взвесью сернокислого бария.
Применяются также дополнительные методы исследования по соответствующим показаниям с использованием двойного контрастирования; париетографии; полиграфии; абдоминальной ангиографии (целиакография и мизентерикография); рентгенокимографии.
Рентгенография органов брюшной полости является исходной, первоначальной для всех видов рентгенологического исследования при заболеваниях органов желудочно-кишечного тракта. Однако данному исследованию должна предшествовать обзорная рентгеноскопия или рентгенография органов грудной клетки, так как нередко такие заболевания, как плеврит, пневмония, спонтанный пневмоторакс и др., могут проявляться признаками, характерными для заболеваний органов желудочно-кишечного тракта.
Просвечивание и снимки брюшной полости лучше производить в вертикальном положении больного. Но в зависимости от состояния больного и соответствующих показаний исследования приходится проводить на латероскопе и в горизонтальном положении больного, а также в положении Тренделенбурга.
Рентгенологическая картина брюшной полости в норме по данным обзорной рентгеноскопии и рентгенографии.
На обзорном снимке или на флюоресцирующем экране брюшная полость отображается в виде более или менее однородной средней интенсивности теневой картиной на фоне скелета данной области. Это объясняется тем, что органы брюшной полости: печень, селезенка, желудок, кишечник и т. д. имеют одинаковую плотность и рентгенологически не дифференцируются раздельно друг от друга. Но нередко на обзорном снимке бывает видна верхняя часть желудка (так как в ней содержится воздух) — в виде так называемого желудочного пузыря. Иногда бывают видны небольшие скопления газа в петлях тонкого и особенно толстого кишечника — в печеночном и селезеночном изгибах. Прямая кишка часто содержит газ и твердые каловые массы и легко поэтому иногда распознается по своей форме и положению.
Лучевые методы исследования желудка. Рентгенография желудка
Но если наполнить желудок веществами, абсорбционная сила которых меньше (воздух, С02) или же больше (Bi, Hg, Ba, Fe и пр), чем у окружающих желудок органов, то контуры желудка становятся на экране вполне отчетливыми. Остановившись на применении положительных контрастных средств, которые трудно оседают и долго остаются во взвешенном состоянии в жидкости, Rieder в 1934 г. впервые сделал попытку получить на экране контуры желудка человека и положил таким образом основу новейшей рентгенологии желудка и кишек.
После целого ряда предложений различных методов для этой цели и разнообразных смесей с пищевыми продуктами большинство рентгенологов остановились на применении взвеси или каши, содержащей нерастворимые соли Bi или Ва. Вкратце техника исследования состоит в следующем. Очистивши клизмой больному кишечник за час-два до исследования, лучше утром, натощак, дают больному, стоящему в темной комнате позади экрана съесть кашу (350 гр. манной каши плюс 50 гр. Bismuthi carbonici) или взвесь 100 гр. Bi в 1.000 гр. воды с прибавлением белой глины (250 — 300 гр.)).

Каждый рентгенолог пользуется то одним, то другим средством, приготовляя из него кашицеобразную смесь с шоколадом, молоком и т. д. Затем следят, как проходят через пищевод и кардию первые порции каши, как первый глоток проходит в желудок при его наполнении. Перед дачей каши всегда полезно производить осмотр на экране грудной полости и живота, что позволяет сделать заключение о движении диафрагмы, иногда видеть расположение левой доли печени, селезенки и степень наполнения газами желудка и кишек.
Когда больной съест всю кашу освещение желудка повторяют, следя затем за его перистальтикой, деятельностью привратника, наполнением двенадцатиперстной кишки; заставляя больного втягивать живот и пальпируя желудок во время осмотра, стараются определить его подвижность и сменяемость, локализацию болезненной точки, если таковая имеется и пр. Нередко, кроме осмотра, производят особым карандашем на экране рисунок контура желудка или целый ряд фотографических снимков в различное время после введения каши. А затем, спустя 4 часа и 6 часов, еще раз производят осмотр с целью распознавания продолжительности пребывания съеденной каши в желудке. Нормально к 6-ому часу желудок уже пуст, и висмутовая каша, пройдя тракт тонких кишек, начинает наполнять слепую кишку и начальную часть восходящей кишки.
Для ориентирования в положении желудка перед исследованием наклеивают монету на пупок больного и прикрепляют свинцовые пластинки по краю реберных дуг.
Здесь нет возможности касаться в деталях всех приобретений клиники и диагностики в области патологии желудка, полученных на основании рентгенологического метода. Это завело бы нас слишком далеко и потребовало бы несколько лекций для обзора всех успехов рентгенологии). Но мы должны сказать, что рентгеновский метод явился завершением всех стараний клиницистов в области диагностики.
Он позволил врачу не только определять форму, величину, положение желудка, диагносцировать различные уклонения в нем как врожденные, так и благоприобретенные благодаря тем патолого-анатомическим процессам, которые в нем могут наблюдаться, и диагносцировать сами эти процессы, как, напр., язву, рак, со всеми при них осложнениями, но и распознавать различные нарушения в моторной и секреторной функции желудка.
Информация на сайте подлежит консультации лечащим врачом и не заменяет очной консультации с ним.
См. подробнее в пользовательском соглашении.
Основы. ОБП. Лучевая диагностика болезней органов брюшной полости. Изображения из коллекции Стенфордского университета. +
Современная лучевая диагностика болезней органов брюшной полости совершенно не похожа на рентгенологию пищеварительного канала 40-70-х годов ХХ века. На протяжении десятилетий для исследований этой анатомической зоны использовались лишь обзорные снимки, контрастирование барием желудка и кишки и холецистография. Возможности оценки печени, поджелудочной железы и желчных протоков, внеорганных опухолей были ограниченными и основывались, в основном, на косвенных признаках. По мере развития эндоскопии частота использования рентгеновских методов для исследований пищевода, желудка и толстой кишки стала уменьшаться. С другой стороны, рентгеноскопия и рентгенография органов пищеварительного канала остаются важнейшими методами комплексного исследования этих органов. Такие методы, как пероральная или внутривенная холецистография, а также диагностический ретроперитонеум, практически вышли из употребления.
Неизбежный технический прогресс техники, изменения в организации медицины и быстрое накопление научных данных неузнаваемо изменили абдоминальную радиологию. В первую очередь, это касается исследования паренхиматозных органов брюшной полости, где ведущую роль на сегодняшний день занимают ультразвуковое исследование (УЗИ), компьютерная томография (КТ) и реже - магнитно-резонансная томография (МРТ).
УЗИ стал основным, стандартным методом исследования всех паренхиматозных органов брюшной полости. Фазированные датчики и ложные микропроцессорные системы предоставили возможность существенно улучшить качество изображений и уменьшить выраженность артефактов. Цветовое доплеровское исследование является стандартным методом изучения сосудов органов брюшной полости и исследования васкуляризации выявленных патологических образований и структур. Появились методики трехмерного УЗИ. Применение эндоскопических датчиков для внутриполостных исследований существенно расширяет возможности этого метода в сложных случаях. Исследуются контрастные средства для УЗИ, предназначенные для изучения перфузии и выявления очаговых поражений печени.
Другой базовый метод исследований органов брюшной полости - КТ - также претерпел огромные изменения. До 1989 г. она была «шаговой» - стол перемещался ступенями, соответственно толщине среза, что ограничивало ее временное и пространственное разрешение и, соответственно, диагностическую информативность.
После появления спиральной КТ (СКТ) в 1989 г. метод стал объемным. При СКТ постоянно включенная рентгеновская трубка вращается вокруг непрерывно движущегося стола. Соответственно этому существенно возросло пространственное и временное разрешение метода, уменьшился риск пропустить мелкие патологические очаги. Метод стал стандартизованным. Следующим шагом (1999 г.) стало появление мультиспиральной КТ (МСКТ). Системы МСКТ первого поколения могли выполнять одновременно 4 среза толщиной от 0,5 мм за один оборот трубки (длительность его удалось сократить до 0,5 с). В настоящее время основной парк МСКТ составляют приборы с 16-64 рядами детекторов, у которых время оборота трубки составляет всего 320-350 мс, а толщина среза - 0,5 с. В 2008 г. появились приборы с 256 и 320 рядами детекторов. В настоящее время все новые системы КТ являются мультиспиральными. Благодаря техническому прогрессу, КТ стала применяться в областях, ранее недоступных для нее. Появилась КТ-ангиография, метод стал использоваться для визуализации полых органов. Были созданы методики КТ-колонографии и гастрографии. Было доказано, что диагностическая эффективность КТ-колоноскопии сопоставимо с таковой традиционной фиброволоконной колоноскопии. Учитывая быстроту выполнения и необременительность КТ-колонографии пациентов, обсуждается целесообразность применения этого метода для скрининга рака толстой кишки.
Однако наиболее распространенным является применение КТ для диагностики и дифференциальной диагностики очаговых поражений печени и поджелудочной железы. Стандартным является выполнение КТ с болюсным введением 100-140 мл контрастного средства. Многофазное исследование в различные фазы контрастирования (из которых важнейшими являются артериальная и портально-венозная) позволяет выявлять и характеризовать очаговые поражения печени и поджелудочной железы, планировать лечение и оценивать его результаты. С помощью МСКТ можно с высокой точностью визуализировать артерии и вены органов брюшной полости, а также желчные протоки.
Благодаря быстроте и надежности МСКТ все чаще используется при обследовании пациентов с диагнозом «острый живот» (выявление перфорации полых органов, кровотечений, кишечной непроходимости, мезентериальной ишемии, острого аппанедицита, панкреатита, холецистита и другой патологии).
МРТ реже используется в исследованиях органов брюшной полости, чем УЗИ и МСКТ, - в первую очередь, по экономическим соображениям. Тем не менее, при правильно выбранных показаниях она дает важную диагностическую информацию. Одной из важнейших областей применения МРТ являются исследования печени. Благодаря мультипараметрическому характеру МР-изображений, возможности получения серий срезов с варьирующими параметрами, подчеркивающих контрастность по параметрам магнитной релаксации (Т1, Т2), подавлению сигнала от жира, хорошей визуализации артерий и вен без контрастирования, МРТ стала важнейшим методом выявления очаговых поражений печени. Методика МР-холангиографии позволяет видеть вне- и внутрипеченочные желчные протоки неинвазивно, не прибегая к искусственному контрастированию. Эта методика основывается на усилении сигнала от неподвижной жидкости (желчь) и подавлению сигнала от плотных тканей и крови. При раздутии очищенных от внутрикишечного содержимого петель толстой кишки воздухом или специальными жидкостями возможно выполнение методики МР-энтерографии или колонографии. Использование контрастных препаратов на основе гадолиния («Магневист», «Гадовист», «Омнискан», «Оптимарк» и пр.) еще более расширяет возможности метода. Относительно недавно появился новый класс контрастных средств для МРТ - гепатотропные (орган-специфические) агенты, такие как «Примовист», «Тесласкан» и ряд других. Эти препараты обладают двойным механизмом действия, позволяя характеризовать как васкуляризацию, так и клеточный состав изучаемых внутрипеченочных структур.
УЗИ, МСКТ и МРТ используются, как уже говорилось, и для изучения структур пищеварительного канала. В качестве примера следует упомянуть эндоскопическое УЗИ (исследования прямой кишки, пищевода, головки поджелудочной железы), КТ- и МРТ-колонографию, гастро- и энтерографию.
Область использования радионуклидных методов в абдоминальной радиологии существенно сократилась. Они утратили свое значение в качестве методик изучения анатомии внутренних органов. Основная роль радионуклидных методов (в первую очередь - позитрон-эмиссионной томографии /ПЭТ/) в абдоминальной радиологии - стадирование опухолей, выявление метастатических поражений (прежде всего - печени). Реже радионуклидные методы применяют для выявления скрытых (оккультных) кровотечений из ЖКТ и изучения функции печени.
Ангиографические методы, в связи с развитием УЗИ, МСКТ и МРТ, в значительной степени утратили свое диагностическое значение. Сейчас они преимущественно используются для планирования и проведения интервенционных вмешательств на полых и паренхиматозных органах (стентирование, остановка кровотечений, хемоэмболизация и пр.).
Основные области использования лучевых методов диагностики болезней органов брюшной полости представлены в таблице 1.
Таблица 1. Методы исследования органов брюшной полости
Исследуемый органМетодЦель исследованияОрганы
брюшной
полостиОбзорный снимок брюшной полостиОбследование пациентов с «острым животом», диагностика кишечной непроходимости, перфорации полых органов, выявление рентгенопозитивных конкрементовПищеводРентгенография/рентгеноскопия пищеводаВыявление грыж пищеводного отверстия диафрагмы, дивертикулов, стриктур, обтураций, варикозного расширения вен, опухолей, инородных телЖелудок и 12-перстная кишкаРентгенография/рентгеноскопия по обычной методике
Рентгенография/рентгеноскопия двойным контрастированиемДиагностика язв, опухолей, стриктур, обтураций, синдрома нарушенного всасывания, контроль результатов операции12-перстная кишкаРелаксационная дуоденографияДиагностика опухолей головки поджелудочной железы, Фатерова соска, болезней 12-перстной кишкиТонкая кишкаПассаж бария
(пероральное контрастирование)
Энтероклизма (чреззондовое введение контрастного вещества)Диагностика проходимости кишки, выявление причин стриктур, обструкции, опухолей, воспалительных заболеванийТолстая кишкаИрриогоскопия
(ретроградное контрастирование)
Двойное контрастирование
КТ-колоноскопия
МР-колоноскопия
Эндоскопическое УЗИДиагностика опухолей, воспалительных заболеваний, дивертикулов, выявление причин кишечной непроходимостиЖелчный
пузырь
и протокиРетроградная панкреатохолангиография
Прямая (пункционная) холангиография
УЗИ, КТ, МРТ
МР-холангиографияОценка состояния внепеченочных и внутрипеченочных желчных протоков (конкременты, стриктуры, опухоли), диагностика опухолей головки поджелудочной железы, Фатерова соска, воспалительных и опухолевых заболеванийПеченьУЗИ
КТ
МРТ
ПЭТДиагностика и дифференциальная диагностика очаговых поражений печени, диффузных болезней, травмПоджелудочная железаУЗИ
Эндоскопическое УЗИ
КТ
МРТВоспалительные заболевания, конкременты, опухоли, травмы, аномалии развития
Пищевод
Для исследования пищевода традиционно используется рентгенологическое исследование с барием

Процесс прохождения глотков бариевой взвеси (или специального бариевого препарата) регистрируют с помощью флюороскопии в реальном масштабе времени. Частое показание к рентгенологическому исследованию пищевода - диагностика желудочно-пищеводного рефлюкса. Он проявляется обратным забросом бариевой взвеси из желудка в пищевод при исследовании в горизонтальном положении или в положении Тренделенбурга. В случае обструкции пищевода инородным телом рентгенологическое исследование позволяет немедленно установить его уровень и выраженность. С помощью этого метода хорошо видны участки расширения и сужения пищевода при доброкачественных стриктурах (рубцовых, ахалазии). Для ахалазии характерно расширение проксимальной части пищевода и сужение его дистального отдела в форме «клюва». При опухолях пищевода (доброкачественных и злокачественных) виден дефект наполнения пищевода. Характерным признаком злокачественных образований (рака) является изъязвление слизистой и изменение ее рентгенологического рисунка, ригидность стенок пищевода, неровные контуры опухоли
Различные виды патологии пищевода (грыжи пищеводного отверстия диафрагмы, опухоли, расширения) хорошо выявляются с помощью КТ или МРТ. КТ позволяет хорошо выявлять распространение опухолей за пределы пищевода. Для детальной оценки стенок пищевода иногда используют эндоскопическое УЗИ.
У пациентов с циррозом печени рентгенографию пищевода назначают для обнаружения варикозно-расширенных вен. С целью уточнения нарушения моторики пищевода иногда назначается манометрия нижнего пищеводного сфинктера с измерением силы и длительности перистальтических сокращений.
Желудок и 12-перстная кишка
Как уже говорилось, из-за более высокой информативности эндоскопические методы несколько потеснили рентгенологические при диагностике болезней желудка и 12-перстной кишки. В то же время существенно, что рентгеноскопия желудка дает цельную картину об анатомии и функции исследуемых органов

Это особенно важно при выявлении диффузно растущих опухолей, оценке степени рубцовых поражений стенок, нарушений эвакуации содержимого. По этой причине рентгеноскопия и рентгенография желудка и 12-перстной кишки входят в большинство стандартных схем обследования пациентов с болезнями этих органов.
При диагностике гастритов данные рентгенографии неспецифичны и лишь в случае гипертрофического или склерозирующего (ригидного) гастрита можно увидеть грубые изменения рисунка слизистой (гипертрофия или сглаживание, ригидность стенок).
Классическим показанием к рентгенологическому исследованию желудка является диагностика язв желудка и 12-перстной кишки. Язвы желудка чаще всего локализуются на малой кривизне, а 12-перстной кишки - в области ее луковицы. Однако возможна любая локализация язв. Наиболее надежными рентгенологическими симптомами язв являются симптомы «ниши» и «кратера», локальные изменения рисунка слизистой, отек и ригидность стенки в месте локализации язвы

Рентгенография хорошо выявляет последствия язвенной болезни - участки рубцовой деформации желудка и 12-перстной кишки. Иногда язвы могут осложняться пенетрацией в окружающие органы (поджелудочную железу, печеночно-дуоденальную связку, сальник, печень и желчные пути), а также в брюшную полость. В этом случае при обзорной рентгенографии или при выполнении снимка на правом боку (латерография) выявляется свободный воздух в брюшной полости, указывающий на перфорацию полого органа. Следует заметить, что при подозрении на перфорацию одного из органов пищеварительного канала противопоказан прием бария. Для контрастирования органов пищеварительного канала в этом случае используют водорастворимые йодсодержащие контрастные вещества. Диагностика перфораций и сопутствующих им осложнений возможна также с помощью УЗИ и КТ.
Рентгенография и рентгеноскопия остаются важными методами диагностики доброкачественных и злокачественных опухолей желудка. Их дифференциальная диагностика основывается на анализе контуров опухоли, характера изменений складок желудка и локальной ригидности его стенок

Во всех случаях при выявлении опухоли при рентгенологическом исследовании желудка и 12-перстной кишки назначается эндоскопия с биопсией. В настоящее время все чаще и чаще опухоли желудка впервые выявляют при проведении КТ органов брюшной полости

(чаще всего как случайную находку), после чего пациентов направляют на специализированное исследование. УЗИ и МСКТ широко используются для оценки локальной инвазии злокачественных опухолей (прорастание стенки желудка и окружающих структур) и выявления локальных и удаленных метастазов.
Тонкая кишка
Как уже упоминалось, для исследований тонкой кишки используют оценку пассажа по ней бариевой взвеси или водорастворимого контрастного средства, а также чреззондовую энтерографию. В последнее время большое внимание привлекли такие методики, как КТ- или МР-энтерография, при которых возможно построение трехмерных изображений органа и построение изображений просвета кишки в эндоскопическом режиме. Опухоли тонкой кишки, по сравнению с выше- и нижележащими отделами пищеварительного канала, встречаются редко. При лучевом исследовании этого органа частым показанием к исследованию является диагностика тонкокишечной непроходимости и выяснение ее причины, выявление локальных воспалительных поражений (чаще всего - терминального отдела при болезни Крона), обследование пациентов с синдромом «острого живота». При подозрении на острую тонкокишечную непроходимость выполняют обзорный снимок брюшной полости

еще более информативным в выявлении обструкции и диагностике ее причины назначают КТ или УЗИ. Использование МР- или КТ-энтерографии при болезни Крона позволяет получить информацию, зачастую недоступную для эндоскопического исследования. Так, эти методы дают возможность видеть не только утолщенные, изъязвленные участки стенки подвздошной кишки, но и инфильтрацию окружающей клетчатки, локальное расширение сосудов брыжейки, увеличение региональных лимфатических узлов.
Толстая кишка
Ирригоскопия по-прежнему является одним из важнейших методов исследования всех отделов толстой кишки. Она дополняет данные колоноскопии и позволяет получить более полную информацию о состоянии органа. Одно из самых частых показаний к ирригоскопии – диагностика рака толстой кишки, полипов и дивертикулов. При ирригоскопии рак толстой кишки виден как дефект наполнения с четкой границей между неизмененной слизистой оболочкой и опухолью; выявляются признаки ригидности кишечной стенки. Нередко участок опухолевого поражения вызывает циркулярное сужение просвета кишки (симптом «яблочного огрызка»). Рентгенологические проявления рака толстой кишки зависят от гистологической формы опухоли, локализации и степени ее распространения. МСКТ и в особенности методика КТ-колонографии могут служить альтернативой ирригоскопии в скрининге и диагностике рака толстой кишки. КТ позволяет лучше видеть изменения кишечной стенки и стадировать заболевание.

Для диагностики ранних стадий рака прямой и сигмовидной кишки стало применяться и трансректальное УЗИ.
Помимо злокачественных опухолей, рентгенологические исследования толстой кишки позволяют выявить воспалительные заболевания толстой кишки (дивертикулит язвенный или гранулематозный колит), врожденные аномалии развития (болезнь Гиршпрунга, мегаколон), нарушения мезентериального кровообращения.

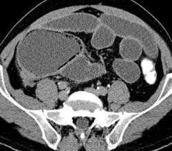
Обзорный снимок брюшной полости, УЗИ и КТ позволяют выяснить причину острого живота и кишечной непроходимости. Одной из самых частых причин синдрома «острого живота» при локализации боли в правом нижнем квадранте является аппендицит. КТ и УЗИ обеспечивают визуализацию воспаленного и увеличенного червеобразного отростка, своевременную диагностику осложнений (развитие инфильтратов, абсцедирования, перфорации). Эти два метода незаменимы и для диагностики других причин «острого живота» (обструкция мочеточника камнем, острый панкреатит, острый холецистит, панкреатит, перфорация полого органа и другой патологии).
Читайте также:
