Лучевые признаки дегенерации миомы
Добавил пользователь Евгений Кузнецов Обновлено: 29.01.2026
Узловая миома матки – это разновидность доброкачественных опухолей в тканях главного репродуктивного органа женщины. Состоит из волокон мышечных и соединительных тканей и выглядит как плотный округлый узел. Размеры миоматозного узла гинекологи обычно оценивают в неделях – так же, как и разные сроки беременности.
Термин чаще всего употребляется для описания:
- интрамуральных (располагающихся в глубине мышечного слоя),
- субмукозных (увеличивающихся из мышечного слоя внутрь полости),
- субсерозных узлов миомы, растущих в сторону малого таза.
При многоузловой миоме образуется не один, а несколько узлов, что усложняет лечение.
Этот тип встречается намного чаще диффузной, которая распространяется на большие участки органа. Но в некоторых случаях наблюдается диффузно-узловая форма, когда диффузные образования сочетаются с наличием узлов миомы матки и ее шейки.
Узловая субсерозная миома матки
Узловая форма субсерозной миомы характеризуется размещением узла под внешней серозной оболочкой органа. Если опухоль располагается на тонкой ножке, существует опасность ее перекручивания, что может привести к некрозу и требует скорой врачебной помощи.
Миоматозный узел на широком основании при увеличении может стать причиной сдавливания внутренних органов. По мере роста такой опухоли появляются расстройства мочеиспускания, нарушается функция почек и работа желудочно-кишечного тракта. Женщину могут мучить запоры и геморрой, борьба с которыми может быть эффективной только в случае лечения основного заболевания.
Узловая субмукозная миома матки
В этом случае узлы располагаются под внутренней слизистой оболочкой матки, что становится причиной обильных внеменструальных кровотечений. Большие кровопотери могут привести к развитию железодефицитной анемии, которая в свою очередь проявляется такими симптомами, как постоянная усталость, бледный цвет кожи, апатия, частые головокружения и обмороки. Боли обычно ноющие, усиливающиеся перед и во время менструации.
Узловая интрамуральная миома матки
Образования локализуются в мышечном слое матки. Этот вид встречается чаще всего. Опухоль может расти как внутрь, так и в противоположную сторону. Проявляется так же, как и субмукозная, – нарушением менструального цикла, болями и развитием железодефицитной анемии.
Причины возникновения
Главной причиной является гормональный сбой, который вызывают заболевания репродуктивной системы. Стрессы и проблемы в сексуальной жизни так же могут спровоцировать заболевание.
Особое внимание врачи уделяют наследственности – женщинам, чьи матери и бабушки страдали от этого заболевания, стоит как можно чаще проходить профилактические обследования, чтобы не допустить незаметного развития миомы и ее осложнений.

На видео: Заведующая отделением акушерства и гинекологии ОН КЛИНИК на Новом Арбате, акушер-гинеколог, врач высшей категории
Датиева Яна Валерьевна.
Диагностика
В качестве диагностики миомы матки применяются:
- ультразвуковое исследование,
- диагностическая гистероскопия,
- рентгенографические исследования,
- компьютерная и магнитно-резонансная томография.
Лечение в ОН КЛИНИК
Лечение в Международном медицинском центре ОН КЛИНИК подбирается индивидуально для каждой женщины в зависимости от:
- вида миомы,
- ее размеров,
- общего состояния здоровья пациентки,
- ее планов по поводу последующих беременностей.
Любой вид лечения должен сочетаться с:
- правильным питанием,
- соблюдением режима дня,
- достаточным количеством часов для сна,
- умеренной физической нагрузкой,
- минимизацией стрессов.
Для лечения применяются гормональная терапия и хирургические методы лечения (в большинстве случаев – органосохраняющие). При крупных узлах сначала проводится курс гормональной терапии для уменьшения новообразования, а уже потом при необходимости проводится его удаление.
Гинекология в ОН КЛИНИК – это уникальные методики диагностики и лечения. За два десятка лет наши врачи помогли тысячам женщин. Наши специалисты проходят стажировки в лучших западных клиниках, а их квалификация соответствует мировым стандартам.
Гинекологи медицинских центров ОН КЛИНИК не только эффективно лечат заболевания женской репродуктивной сферы, но также уделяют большое внимание работе по их предупреждению. Мы стремимся к тому, чтобы выявлять болезни на самых ранних стадиях развития, когда заболевание не успело нанести максимальный вред организму. Поэтому мы рассчитываем на Ваше понимание и готовность сотрудничать, обращаясь за советом к врачу при самостоятельном обнаружении подозрительных симптомов и проходя профилактические осмотры.
Звоните и записывайтесь на прием в любое удобное Вам время! Наши клиники работают без выходных и праздничных дней.
ОН КЛИНИК: Тысячи женщин выбрали наш медицинский центр. Если Вам или Вашим близким нужна квалифицированная помощь наших врачей – обращайтесь!
Лучевые признаки дегенерации миомы
Лучевые признаки дегенерации миомы
а) Лучевая диагностика:
• Объемное образование с четкими границами и неоднородной структурой, имеющее кистозный компонент или очаги обызвествления:
о Вероятность появления признаков дегенерации в миоме растет по мере увеличения ее размеров
о В 2/3 случаев в миомах обнаруживают признаки дегенерации
• Различают несколько типов дегенерации, которые трудно различить при исследовании методами визуализации:
о Гиалиновая дегенерация
о Кистозная дегенерация
о Миксоидная дегенерация
о Карнификация, или красная дегенерация
о Геморрагический некроз
• Нередко в миомах с дегенерацией выявляют также обызвествление
• КТ: миома с дегенерацией неравномерно поглощает рентгеновские лучи и поэтому имеет неоднородную рентгеновскую плотность по сравнению с нормальным миометрием
• МРТ: на Т1- и Т2-ВИ миома с дегенеративными изменениями имеет сигнал неравномерной интенсивности, зависящий от типа и уровня дегенерации
• Накопление контрастного вещества миомой с дегенерацией вариабельно и зависит от типа и степени выраженности дегенерации
• УЗИ: объемное образование, растущее из миометрия и имеющее неоднородную акустическую плотность
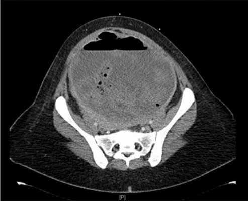
(Слева) При МРТ на Т2-ВИ в сагиттальной плоскости видна крупная субсерозная миома, исходящая из передней части дна матки. Миома имеет неоднородную структуру, содержит гиперинтенсивную кистозную полость и сблидный компонент. Вдоль передней стенки тела матки видна другая миома с дегенеративными изменениями, имеющая меньшие размеры.
(Справа) При МРТ с контрастированием на Т1-ВИ FS в сагиттальной плоскости у той же пациентки видно, что сблидный компонент накапливает контрастное вещество, кистозный компонент не имеет сосудов. Представленная на рисунке картина - пример кистозной дегенерации. (Слева) При КТ с контрастным усилением в аксиальной плоскости видно субсерозное образование, исходящее от правой части дна матки. В нем имеется расположенная эксцентрически кистозная полость, а на периферии - слабоконтрастирующийся сблидный компонент. Шейка матки не изменена.
(Справа) При ТВУЗИ в продольной плоскости у той же пациентки выявляется миома матки с неоднородной эхоструктурой и признаками дегенерации. Кистозная полость имеет вид гипоэхогенного пространства с неровными границами. По мере увеличения размеров миомы дегенеративные изменения в ней прогрессируют.
б) Дифференциальный диагноз дегенерации миомы:
• Очаговый аденомиоз/аденомиома
• Кистозное объемное образование придатков матки
• Лейомиосаркома
• Уплотнение миометрия, вызванное его спазмом
в) Клинические особенности:
• Большинство миом матки с дегенерацией не вызывают каких-либо симптомов
• В случае клинических проявлений возможны кровотечение из половых путей, боль внизу живота, симптомы давления на соседние органы (масс-эффект)
Видео урок УЗИ классификация миомы матки по FIGO
Редактор: Искандер Милевски. Дата обновления публикации: 27.1.2022
Редкие осложнения миомы матки
Миома матки - доброкачественная, моноклональная, хорошо отграниченная, капсулированная опухоль, происходящая из гладкомышечных клеток шейки или тела матки - одна из наиболее распространенных доброкачественных опухолей женской половой сферы, которая возникает у 20-40% женщин репродуктивного возраста. Локализация миомы матки бывает самой разнообразной. Наиболее часто диагностируют субсерозное и межмышечное (интрамуральное) расположение миоматозных узлов, количество которых может достигать 25 и более, а размеры - значительно увеличиваться. Подслизистое (субмукозное) расположение узлов наблюдают реже, но оно сопровождается более яркой клинической картиной.
В этом обзоре мы рассмотрим редко встречающиеся, но заслуживающие крайнего внимания при диагностике осложнения данного заболевания женской репродуктивной системы.
Перекрут ножки субсерозного миоматозного узла
При перекруте ножки миоматозного узла заболевание развивается остро - возникают схваткообразные боли внизу живота, тошнота, рвота, озноб, сухость во рту, нарушается функция кишечника. При недостаточном кровоснабжении (нарушении питания) миоматозного узла клиническая картина более смазанная, симптомы появляются постепенно. Пациентку беспокоят тянущие боли внизу живота и пояснице, которые периодически усиливаются, ослабевают или исчезают. В момент приступа болей могут быть тошнота, озноб, повышение температуры тела, обычно до субфебрильной, тахикардия.
Пациентки с этим заболеванием обычно поступают с острым животом, стабильными показателями жизнедеятельности и нормальными лабораторными исследованиями.
Несмотря на достижения в области визуализации, предоперационный диагноз трудно поставить. Необходимо учитывать наличие миомы матки в анамнезе у пациентки.
Для диагностики используется УЗИ, допплерография.
«Золотой стандарт» диагностики – МРТ.
Лечение при перекруте ножки субсерозного миоматозного узла состоит в экстренной операции. Объем оперативного вмешательства зависит в основном от выраженности некротических изменений в узле, вовлечения брюшины в патологический процесс (признаки перитонита), возраста пациентки.

А) Сагиттальная компьютерная томография. Лейомиома «с ножкой» (стрелка), соединенная с полимиоматозной маткой.
В) Некротическая миома на ножке с полным перекрутом (стрелка).
С) Общий вид поверхности разреза лейомиомы «на ножке» (вверху) и матки (внизу).
D) Гистологическое исследование показывает лейомиому с некрозом инфаркта (N). (гематоксилин и эозин, оригинальное увеличение 200).
Инверсия матки
Инверсия матки является крайне редким осложнением внеплодового периода и обычно вызывается доброкачественными субмукозными, особенно фундальными, лейомиомами.
В данном случае рассмотрим конкретный пример полностью вывернутой шейки матки из-за выпавшей огромной лейомиомы шейки матки, имитирующей хроническую послеродовую инверсию матки у женщин в перименопаузе.
52-летняя женщина в перименопаузе поступила в нашу клинику с изъязвленным, некротическим, инфицированным и опухшей выпавштим образованием, происходящим из влагалища.
Беременности – 4, родов – 3, аборт – 1.
Из анамнеза: диагностирована миома матки 5 см в диаметре 2 года назад. Было предложено оперативное лечение, от которого она отказалась.
За 6 месяцев до описанный событий отметила появление образования из влагалища. За медицинской помощью так же не обращалась. На настоящий момент обратилась в больницу в связи с появлением изъязвлений на образовании, некупируемого болевого синдрома. Пациентке была выполненена гистерэктомия вагинальным доступом. Окончательный диагноз был поставлен уже интраоперационно.

а) некротизированный миоматозный узел
б) вывернутая шейка матки
а) матка
б) область наружного зева шейки матки
в) перевернутая шейка матки
г) лейомиома
а) нормальный миометрий и полость матки
б) перевернутая шейка матки
в) миома шейки матки
Пиомиома
Пиомиома (также называется инфицированной или гнойной лейомиомой) является редким осложнением в результате бактериальной колонизации инфарктной лейомиомы.
Ранняя диагностика важна, так как она связана с высокими показателями заболеваемости и может привести к летальному исходу. Более того, поддержание фертильности у молодых женщин имеет решающее значение.
Пиомиома может быть вызвана присоединением вторичной инфекции после медицинских процедур, таких как эмболизация маточных артерий, гистероскопия, установка внутриматочной спирали, аборты, на фоне тяжелых системных заболеваний.
Следует обратить внимание, если пациентка с миомой матки испытывает сильную боль в животе, имеет признаки инфекционного процесса. Триадный признак миомы, бактериемии и лихорадки, без явного источника инфекции всегда повышает подозрение на пиомиому. Но пиомиома может представить себя без каких-либо четких клинических признаков. Интервал между начальным появлением симптомов и диагнозом сильно различается: пиомиома может появиться с внезапным началом или может иметь до года инкубации с прогрессивным распространением инфекции.
Немедленное оперативное вмешательство имеет решающее значение. Объём и характер лечения должен быть подобран индивидуальной в каждый клинической ситуации.

Рис. 5. Пиомиома матки, макропрепарат

Рис. 6. УЗИ брюшной полости показывает срединный сагиттальный разрез миомы и матки (наконечник стрелки).
Обратите внимание на значительную гипоэхогенность в верхней части миомы (стрелка) по сравнению с кистозным поражением остального образца.
Рис. 7. КТ брюшной полости и таза, демонстрирующая пиомому
Рис. 8. Аксиальное сечение КТ: миома с газом и уровнем жидкости
Рис. 9. Гистология миомы матки
A) Нормальная ткань лейомиомы с веретенообразными клетками (×10);
B) Нежизнеспособная ткань лейомиомы (×10)
C) эмболизация материала внутри сосудов (черная стрелка) в окружении нежизнеспособных тканей лейомиомы
D) Окрашивание гематоксилином и эозином, показывающее группы нейтрофилов (левая сторона) вблизи «мертвой» фиброзной ткани (правая сторона), предполагающие образование абсцесса (×20);
E) Окрашивание, показывающее группы нейтрофилов около «мертвой» фиброзной ткани, предполагающие образование абсцесса (×40).
Миома как причина гемоперитонеума
Кровотечение из поверхностных сосудов
Большое кровоизлияние как результат самопроизвольного разрыва сосуда, покрывающего миому, встречается редко. Опасный для жизни гемоперитонеум, связанный с лейомиомами, может возникнуть в результате самопроизвольного или травматического разрыва субсерозной вены или поверхностной расширенной вены, или из-за разрыва артериальной аневризмы или артериального сосуда, возникающего из маточных артерий. Однако в большинстве случаев гемоперитонеум, связанный с лейомиомой, обусловлен венозным, а не артериальным разрывом, и даже небольшой венозный разрыв может привести к огромному количеству внутрибрюшного кровотечения.

Рис. 10. Кровотечение из поверхностной вены
Разрыв матки при сочетании миомы и аденомиоза. Клинический случай
39-летнюю женщину доставили в отделение неотложной помощи в состоянии геморрагического шока, сопровождающегося острой диффузной болью в нижней части живота.
Ее история болезни была ничем не примечательна, она отрицала проведение любой операции, такой как лапароскопия или лапаротомия по поводу опухолей матки. Она отрицала беременность, роды или аборты в прошлом и активную сексуальную жизнь в последние несколько лет.
УЗИ и экстренная компьютерная томография показала несколько огромных лейомиом матки, самая большая из которых была примерно 8х 9 см, а задняя стенка матки была поражена аденомиозом.
При лапароскопии было обнаружено, что серозный слой над маткой была шероховатый, а рана была обнаружена на задней части шейки матки на уровне внутреннего зева. Была произведена гистерэктомия. Общая кровопотеря составила около 4500 мл.
Лучевые признаки дегенерации миомы
Не менее 30% женского населения находится в периоде постменопаузы, его продолжительность составляет в среднем треть жизни женщины. На этот период приходится пик заболеваемости злокачественными опухолями половых органов. Известно, что своевременная диагностика онкологических заболеваний существенно улучшает результаты лечения таких пациентов. Успешное достижение этой цели зависит в первую очередь от совершенствования скрининговых программ. В статье изучены возможности современных методов лучевой диагностики возраст-ассоциированной патологии матки по данным литературных источников. Таким образом, современная лучевая диагностика дает широкие возможности для выявления и дифференцировки патологии матки в пожилом возрасте. В настоящее время ультразвуковое исследование (УЗИ) является одним из наиболее распространенных и доступных методов лучевой диагностики. В том случае, если после проведения УЗИ остались неразрешенные вопросы, используется магнитно-резонансная томография (МРТ). Метод мультиспиральной компьютерной томографии (МСКТ) не относится к методам первой очереди в диагностике патологии матки, однако может использоваться в качестве дополнительного метода исследования.
1. Денисова В.В., Гасиловская Т.А., Еремкина В.И. Прогнозирование преждевременного наступления менопаузы // Материалы 6-го Рос. форума «Мать и дитя». — М. - 2004. - С. 337.
2. Дюкова Г. М. Качество жизни женщины в период климактерия // Лечащий врач. - 2004. - № 4. - С. 48 - 51.
3. Игнатьева H.H. Клинико-морфологические особенности сочетания аденомиоза с патологическими процессами эндометрия: автореф. дисс. канд. мед. Наук. - М., 2010. – 24с.
4. Иноземцев А. В. Психофизиологическое состояние пациенток перед проведением гистерэктомии //Актуальные вопросы акушерства и гинекологии. - 2002. -Том 1. - №1. - С. 167- 168.
6. Лысенко О.В. Занько С.Н. Гиперпластические процессы эндометрия в различные возрастные периоды: исследование цитокинового статуса и содержания sFas-лиганда //Акушерство и гинекология. - №4. -2011. – С.35-37.
7. Лю Б. Н. Апоптоз и канцерогенез при старении: кислородно-перекисный аспект // Успехи геронтологии. - 2006. - Вып. 18. - С. 29-38.
8. Манухин И. Б. Клинические лекции по гинекологической эндокринологии: Руководство для врачей. - М.: МИА, 2001. -247 с.
9. Матевосян С.М. Качество жизни женщины и состояние культи шейки матки после различных видов гистерэктомии //Журнал РОАГ. – 2009. - С. 39-43.
10. Медведев М.В. Качество жизни у женщин после консервативной миомэктомии. Роль агонистов ГнРГ // Здоровье женщин. – 2007. – С. 84-86.
12. Новикова Е.Г., Чулкова О.В. Предрак и начальный рак эндометрия у женщин репродуктивного возраста. - М., 2005. - С. 7-9.
14. Подзолкова Н.М. Диагностическая ценность лучевых и эндоскопических методов диагностики аденомиоза тела матки //Современные технологии в диагностике и лечении гинекологических заболеваний. - 2005. – С. 86-87.
15. Прилепская В.Н., Рудакова Е.Б. Кононов А.В. Эктопии и эрозии шейки матки. - М.: МЕД-пресс информ, 2002. - 175 с.
16. Романовский О. Ю. Гиперпластические процессы эндометрия в репродуктивном периоде // Гинекология. - 2004. - № 6. - С. 296-302.
17. Савельева Г. С. Период постменопаузы: Климактерические расстройства, изменения в матке и яичниках //Врач. - 2002. - №8. - С. 3-6.
18. Сафонов А.В., Урманчева А.Ф. Оценка сонографии и гистероскопии в диагностике опухолей гениталий у женщин с постменопаузальными кровотечениями //Вопр. онкологии. - 2005. - №4. - С. 480-484.
19. Серов В.Н., Звенигородский И.Н. Диагностика гинекологических заболеваний с курсом патологической анатомии. - М., 2003. -139 с.
20. Сидорова И.С. Новый взгляд на природу эндометриоза (аденомиоза) // Акуш. и гин. -2002. - № 3. - С. 32-38
В гинекологической практике последнее десятилетие отмечено пристальным вниманием к физическому благополучию женщин старшей возрастной группы в связи с увеличением продолжительности жизни. Не менее 30% женского населения находится в периоде постменопаузы, его продолжительность составляет в среднем треть жизни женщины. На этот период приходится пик заболеваемости злокачественными опухолями половых органов (средний возраст больных раком эндометрия 62 года, раком яичников - 60 лет, раком шейки матки - 51 год), поэтому у пациенток данной возрастной группы нужна особенная онконастороженность. Известно, что своевременная диагностика онкологических заболеваний существенно улучшает результаты лечения таких пациентов. Успешное достижение этой цели зависит, в первую очередь, от совершенствования скрининговых программ.
Цель исследования: изучить возможности современных методов лучевой диагностики возраст-ассоциированной патологии матки по данным литературных источников.
Материал и методы исследования
Проведен анализ научной медицинской литературы за 2000 - 2014 гг.
Результаты исследования и их обсуждение
В настоящее время, учитывая широкое внедрение в клиническую практику трансвагинального УЗИ, диагностика патологических изменений матки не представляет значительных трудностей и широко применяется сегодня как рутинное исследование, в том числе и в гериатрической гинекологической практике. Однако информативность ультразвуковой диагностики при различной патологии неодинакова.
Ультразвуковое сканирование - наиболее информативный метод диагностики миомы матки, часто встречающейся у женщин пожилого возраста. Трансабдоминальное УЗИ перед проведением гистероскопии служит для определения локализации и величины миоматозных узлов. Однако лишь высокая разрешающая способность трансвагинальных датчиков позволяет более детально изучить размеры, локализацию и структуру миоматозных узлов, выявить узлы очень малых размеров, особенно у пациенток с ожирением. Уступая лишь лапароскопии и гистероскопии при субсерозной и субмукозной локализации миоматозных узлов соответственно, трансвагинальное сканирование - ведущий метод диагностики межмышечных узлов. Точность определения субмукозных и интерстициальных узлов с центрипетальным (в сторону полости матки) ростом составляет 95,7% [1].
Ультразвуковые критерии миомы матки: увеличение размеров и контуров матки, появление в миометрии или полости матки структур округлой формы с повышенной звукопроводимостью.
При проведении трансвагинального УЗИ выделяют гистологически верифицированные ультразвуковые признаки пролиферирующей миомы матки: наличие эхонегативных участков в сочетании с фрагментами опухоли средней эхогенности. По данным авторов, в зависимости от степени выраженности пролиферативных процессов варьирует соотношение кистозных и плотных компонентов миомы [7].
При ультразвуковой диагностике подслизистой или межмышечной миомы матки с центрипетальным ростом особое внимание следует уделять состоянию срединной маточной структуры (степени деформации М-эха). При УЗИ подслизистые узлы миомы визуализируются в виде округлых или овоидных образований с ровными контурами и средней эхогенностью, расположенных в расширенной полости матки. Как правило, форму полости матки изменяют лишь субмукозные узлы больших размеров. При небольших размерах опухоли отмечают увеличение только переднезаднего размера М-эха [4].
При центрипетальном росте интерстициального узла всегда определяется деформированная полость матки с ровными контурами (независимо от размеров узла). При этом акустические признаки миомы визуализируются как около вогнутой поверхности полости матки и М-эха, так и в прилежащем миометрии [3].
Введение контрастного вещества в полость матки позволяет более чётко определить размеры образования, пространственное отношение опухоли к стенкам полости матки и выраженность межмышечного компонента миоматозного узла [8].
Точность ультразвуковой диагностики субмукозной миомы матки в будущем значительно возрастёт при внедрении в практику внутриматочного УЗИ. Его проводят при помощи специальных датчиков при расширенной полости матки, что особенно важно, так как условия метода максимально приближены к таковым при трансцервикальной резекции миоматозных узлов. Этот метод ещё до операции может дать наиболее ценную информацию о величине интрамурального компонента субмукозного узла [3].
Более объективную информацию при миоме матки можно получить и с помощью трёхмерной эхографии, которую всё шире используют в гинекологии.
Для оценки периферической гемодинамики у больных с миомой матки и степени васкуляризации миоматозных узлов применяют допплерометрическое исследование и цветное допплеровское картирование. При миоме матки доказано достоверное снижение сосудистой сопротивляемости в маточных артериях, что свидетельствует об увеличении артериального кровотока. Снижение индекса резистентности в сосудах миоматозного узла характерно для его некроза, вторичной дегенерации и воспалительных процессов. Цветное допплеровское картирование позволяет выявлять миоматозные узлы с выраженной васкуляризацией [4].
В диагностике аденомиоза в последние годы большое значение придают высокоинформативным инструментальным методам исследования, в том числе ультразвуковому сканированию. При этом только трансвагинальное УЗИ позволяет с высокой степенью точности диагностировать поражение эндометриозом мышечной оболочки матки [5].
Разработаны патогномоничные акустические критерии внутреннего эндометриоза: увеличение матки (преимущественно за счёт переднезаднего размера) с асимметричным утолщением передней и задней стенок, округлая форма матки, появление аномальных кистозных полостей в миометрии, гетерогенность эхогенной структуры миометрия, нечёткая граница между эндометрием и миометрием и т.д. Однако, по данным различных авторов, точность диагностики аденомиоза при помощи трансвагинального УЗИ не превышает 62-86%. Следует подчеркнуть, что выявление истинных эндометриоидных полостей (кистозные полости неправильной формы, окружённые тонкой эхопозитивной линией) становится возможным, как правило, лишь при II-III степени распространённости патологического процесса согласно классификации Б.И. Железнова и А.Н. Стрижакова (1985) [9].
Менее сложна диагностика узловой формы заболевания. Использование высокочастотных трансвагинальных датчиков даёт возможность чёткой дифференциации узлов аденомиоза и миомы матки. Помогает в дифференциальной диагностике узловой формы аденомиоза и миомы матки небольших размеров цветное допплеровское картирование: узлы аденомиоза визуализируются более чётко и ярко, чем миоматозные, для которых, в отличие от аденомиоза, характерен окружающий яркий цветовой ободок, представляющий отражение ультразвуковой волны от соединительнотканной капсулы [3].
Ультразвуковая картина полипов эндометрия зависит от их количества, размеров, локализации и формы. Полипы визуализируются внутри расширенной полости матки в виде округлых или овоидной формы образований, имеющих обычно ровные контуры. В отличие от субмукозных миоматозных узлов, для полипов эндометрия характерна более низкая эхогенность. Как правило, они не изменяют форму матки (за исключением полипов больших размеров) [10]. Значительно облегчает диагностику полипов эндометрия использование контрастного вещества при проведении трансвагинального УЗИ. Учитывая высокую информативность и минимальную инвазивность трансвагинального УЗИ, ему отводят важную роль как в массовом обследовании женщин (особенно в пожилом возрасте), так и в дифференциальной диагностике различных патологических состояний слизистой оболочки полости матки, сопровождающихся маточным кровотечением [11].
Диагностика гиперплазии эндометрия при УЗИ основывается на выявлении увеличенного в переднезаднем размере срединного М-эха с повышенной акустической плотностью. Трансвагинальному УЗИ придают большое значение при обследовании пациенток в пожилом возрасте с целью профилактики злокачественной трансформации эндометрия. Согласно многочисленным исследованиям, группу риска среди пациенток в пожилом возрасте составляют женщины, у которых при УЗИ отмечают увеличение переднезаднего размера срединной структуры матки с увеличением эхогенности [12].
До настоящего времени не определены чёткие критерии патологии эндометрия у бессимптомных пациенток в постменопаузе; по данным различных авторов, верхняя граница толщины эндометрия варьирует от 5 до 10 мм. В то же время при наличии какой-либо симптоматики у женщин в пожилом возрасте критерием патологических изменений эндометрия считают толщину эндометрия 4 мм и более. С другой стороны, авторы полагают, что и очень тонкий, не поддающийся измерению при УЗИ эндометрий, также характерный для пациенток в этом возрасте, не исключает патологию эндометрия. Определяемое при повторных УЗИ скопление жидкости в полости матки должно настораживать; в этом случае необходима дополнительная инвазивная диагностика [13].
Возможности ультразвуковой диагностики рака эндометрия ограничены, так как, по мнению большинства исследователей, у злокачественной трансформации эндометрия нет специфических эхографических признаков. Не нашли должного подтверждения и многообещающие исследования по применению цветного допплеровского картирования в диагностике рака эндометрия. Для увеличения диагностических возможностей трансвагинального УЗИ с целью дифференциальной диагностики между полипом, миоматозным узлом и утолщением эндометрия (гиперплазия или рак) рекомендуют проведение гидросонографии [16].
Возможность дифференциации доброкачественных и злокачественных образований с помощью цветового допплеровского картирования (ЦДК) представляет собой перспективное направление в ультразвуковой диагностике [11]. Основным достижением ЦДК в диагностике опухолевых процессов является визуализация и оценка кровотока новообразованных сосудов опухоли, которые имеют свои характерные особенности. Система васкуляризации опухоли представлена множеством мелких, очень тонких, аномальных по форме и расположению сосудов, хаотично разбросанных в пределах опухолевых тканей. Кровоток в этих сосудах характеризуется крайне низким сосудистым сопротивлением, высокой скоростью и разнообразным направлением. В результате многочисленных исследований было выявлено, что описанный тип кровообращения является особенностью первично злокачественных опухолей матки, что подтверждает гипотезу о том, что все быстрорастущие злокачественные новообразования продуцируют собственные сосуды для обеспечения дальнейшего роста [17]. Кровоток в злокачественных опухолях имеет иной характер. Допплерометрическими характеристиками кровотока в этих сосудах является постоянное наличие невысокого диастолического компонента, низкая его скорость и высокие значения индекса резистентности. По мнению большинства авторов, периферическая, с единичными сосудами, васкуляризация опухоли должна ассоциироваться с доброкачественностью, а наличие множественных сосудов в центральной части, на перегородках и в папиллярных разрастаниях является признаком злокачественноcти [14]. В том случае, если после проведения УЗИ остались неразрешенные вопросы, используется магнитно-резонансная томография (МРТ). Преимущества МРТ заключаются в высокой диагностической эффективности метода, визуализации любых тканей в норме и при наличии патологии, безвредности обследования (отсутствие лучевой нагрузки), дополнительных возможностях получения изображений тканевых структур в условиях естественной контрастности и при искусственном контрастировании [15].
Метод информативен во многих клинических ситуациях: при подозрении на опухоль матки и придатков; для оценки распространенности опухолевых образований на прилежащие структуры; для уточнения аномалии развития матки и влагалища; с целью диагностики кистозных образований; для оценки зональной архитектоники матки; при инфекционных и сосудистых заболеваниях (воспалительные заболевания таза, тубоовариальный абсцесс, пиометра, варикозное расширение вен малого таза). Преимуществом метода МРТ в диагностике миом матки, является возможность точной оценки локализации миоматозного узла относительно стенки матки (субмукозная, субсерозная, интерстициальная, интралигаментарная, внематочная), а также возможность установления наличия ножки. Также, с помощью данного метода удается выявить расположение миомы в различных отделах матки (шейка, тело или дно) [16]. Противопоказаниями к проведению метода МРТ в пожилом возрасте являются [17]: наличие кардиостимулятора, металлических скобок и зажимов на кровеносных сосудах; металлические импланты, инородные металлические тела; невозможность для пациента сохранять длительную неподвижность во время исследования; клаустрофобия.
Метод мультиспиральной компьютерной томографии (МСКТ) не относится к методам первой очереди в диагностике патологии матки. МСКТ малого таза, как правило, выполняется с болюсным контрастированием, при котором йодсодержащее контрастное вещество при помощи автоматического инжекторного шприца струйно вводится в периферическую вену, поэтому возможна визуализация не только различных органов, но и подходящих к ним кровеносных сосудов. Сопутствующее пероральное контрастирование – важное условие для достоверной дифференцировки петель кишечника от патологических образований таза и скоплений жидкости [18]. Компьютерная томография (КТ) без контрастирования достаточно информативна в выявлении острых кровоизлияний [19]. Основным недостатком КТ по сравнению с МРТ остается низкая контрастность мягких тканей, КТ не позволяет оценить зональную анатомию органов малого таза. Кроме того, нельзя забывать, что при КТ используется рентгеновское излучение, обладающее ионизирующей способностью. Проведение МСКТ малого таза в гинекологической практике выполняется для выявления и дифференциальной диагностики целого спектра заболеваний органов малого таза: распространения опухолей матки и придатков, рака мочевого пузыря, рака прямой кишки за пределы органа; инфекционных и сосудистых заболеваний (воспалительные заболевания таза, тубоовариальный абсцесс, пиометра, варикозное расширение вен таза); с целью определения послеоперационных, воспалительных изменений внутритазовой клетчатки в сложных для УЗИ случаях; для уточнения механических повреждений органов малого таза; дифференциальной диагностики свободного и осумкованного выпота в малом тазу; поражения внутритазовых лимфоузлов; оценки костных структур [20].
Таким образом, современная лучевая диагностика дает широкие возможности для выявления и дифференцировки патологии матки в пожилом возрасте.
В силу сравнительно небольшой стоимости аппаратуры, ультразвуковое исследование (УЗИ) является одним из наиболее распространенных и доступных методов лучевой диагностики. Возможность дифференциации доброкачественных и злокачественных образований с помощью цветового допплеровского картирования (ЦДК) представляет собой перспективное направление в ультразвуковой диагностике.
В том случае, если после проведения УЗИ остались неразрешенные вопросы, используется магнитно-резонансная томография (МРТ). Метод мультиспиральной компьютерной томографии (МСКТ) не относится к методам первой очереди в диагностике патологии матки, однако может использоваться в качестве дополнительного метода исследования.
Ильницкий А.Н., д.м.н., профессор, заведующий кафедрой терапии, гериатрии и антивозрастной медицины ФГБОУ ДПО ИПК ФМБА России, г. Москва;
Перелыгин К.В., д.м.н., старший научный сотрудник отдела клинической геронтологии АНО «Научно-исследовательский медицинский центр «Геронтология», г. Москва.
Лейомиома матки

Лейомиома матки – это разновидность доброкачественной опухоли, при которой миоматозные узлы состоят из клеток гладкой мускулатуры (в отличие от фибромы, которая представлена плотной фиброзной тканью).
О заболевании
Лейомиомы тела матки встречаются в 95% случаев, и только в 5% случаев опухоль располагается в шейке матки. Заболевание коварно своими осложнениями. На фоне обильных менструаций повышается риск анемии, которая у некоторых женщина бывает тяжелой. Наличие деформаций матки может негативно влиять на возможность зачатия.
Лейомиома матки может быть также причиной острых состояний. Ножки субсерозных узлов способны перекручиваться, что приводит к клинике «острого живота». В этом случае женщину беспокоят интенсивные боли в нижних отделах брюшной полости, которые приводят к рефлекторному напряжению мышц передней стенки. Может даже повышаться температура тела. Аналогичная картина развивается при ишемии миоматозного узла, когда нарушается его кровоснабжение. Подслизистые узлы могут «рождаться», что проявляется кровянистыми выделениями и интенсивными схваткообразными болями внизу живота.
Риск злокачественной трансформации патологических очагов при лейомиоме матки очень низкий – не превышает 1%. Однако при этой опухоли все равно сохраняется онкологическая настороженность. И в первую очередь это объясняется дисбалансом половых гормонов. Это повышает риск развития атипической гиперплазии эндометрия и, соответственно, рака эндометрия.
Лейомиомы матки по характеру роста миоматозного узла делятся на следующие разновидности:
- интерстициальные – патологическая зона располагается в межмышечном слое;
- субсерозные – узел растет в сторону брюшной полости, при этом может располагаться на широком основании или на тонкой ножке;
- подслизистые – патологическая зона деформирует полость матки;
- интралигаментарные – узлы растут между листками связочного аппарата матки.
Данная классификация в общих чертах описывает характер роста узлов и не всегда дает исчерпывающую информацию относительно того, какая тактика ведения показана пациентке. Поэтому международная организация FIGO ее значительно дополнила, выделив 8 типов лейомиомы матки.
Миоматозные узлы могут быть мелкими или крупными. О последнем варианте говорят, если их диаметр составляет более 5 см.
Симптомы лейомиомы матки
Продолжительное время лейомиома матки может никак себя не проявлять, и женщина, как правило, впервые узнает о наличии заболевания в ходе планового гинекологического осмотра.
Однако у 1/3 пациенток симптомы присутствуют практически с самого начала. Основными проявлениями заболевания являются:
- нарушения менструального цикла – обильные и длительные менструации;
- кровотечения в межменструальные дни;
- боли в нижних отделах живота;
- нарушения функции тазовых органов (мочевого пузыря, прямой кишки) – учащенное мочеиспускание, задержка мочеиспускания, затруднение акта дефекации;
- бесплодие, в развитии которого играют роль узлы, деформирующие полость матки.
Причины лейомиомы матки
На сегодня выделены факторы риска, которые повышают вероятность развития данного заболевания. К ним относятся:
- ранее начало менструации (в 9–10 лет);
- отсутствие родов в анамнезе;
- возраст старше 40 лет;
- ожирение;
- принадлежность к негроидной расе;
- прием фитоэстрогенов и препаратов для менопаузальной гормонотерапии;
- генетические поломки;
- болезненные менструации.
В ходе продолжительных экспериментов обнаружен и фактор защиты. Это адекватная физическая активность, которая снижает риски развития миомы матки.
Считается, что механизм доброкачественной гиперплазии при миоме матки связан со сверхчувствительностью миометрия к половым гормонам. У таких женщин повышено содержание в крови как фракции эстрогенов, так и фракции прогестерона. Одновременно с этим увеличено также количество рецепторов к этим гормонам и отмечается ускоренное превращение тестостерона в эстрогены.
Происходящие изменения повышают активность клеточного деления и увеличивают риск мутаций в клетках. Прогестерон делает ткани мышечного слоя матки более чувствительными к факторам роста и менее чувствительными к факторам запрограммированной клеточной гибели. В итоге рано или поздно происходит формирование миоматозных узлов.
Получить консультацию
Если у Вас наблюдаются подобные симптомы, советуем записаться на прием к врачу. Своевременная консультация предупредит негативные последствия для вашего здоровья.
Узнать подробности о заболевании, цены на лечение и записаться на консультацию к специалисту Вы можете по телефону:
Читайте также:

