Лучевые признаки липоидной пневмонии
Добавил пользователь Валентин П. Обновлено: 27.01.2026
Принцип работы электронных сигарет основан на нагревании жидкости и ее превращении в пар для выдыхания. Никотин никуда не девается, продолжая обрекать человека на наркотическую зависимость. Однако, производители продолжают утверждать, что парение менее вредно, чем классическое курение. Ведь в простых сигаретах табак сгорает, выделяя тысячи канцерогенов и химикатов, которые напрямую отправляются в глотку и лёгкие курильщика, а при парении такого нет. Но, это мнение ошибочное. В составе жидкостей для вейпа помимо других токсических веществ присутствует никотин, а значит все виды негативного воздействия этого вещества на организм человека присущи и электронным сигаретам.
У электронных сигарет есть и свои «бонусы», которыми обладают только они. Часто, в жидкость для вейпов добавляют специальные растворители, чтобы смесь «правильно» испарялась. В качестве них могут использоваться глицерин, пропиленгликоль, масляный раствор витамина E и другие добавки. При нагревании эти химикаты должны превращаться в аэрозоль, однако часть попадает в лёгкие в виде капель и оседает там.
Попадание масла в лёгкие очень опасно для здоровья и может привести к смерти. Когда человек вдыхает масло, лёгкие воспринимают его капли, как инородный объект и выдают иммунный ответ. Он приводит к воспалению и опасному накоплению жидкости в лёгких, что приводит к так называемой липоидной пневмонии.
EVALI – новая болезнь вейперов
EVALI– поражение легких, связанное с потреблением вейпов и электронных сигарет. Данное заболевание, как и термин зародилось в США, где высокая распространенность вейпинга среди подростков и молодежи. На сегодняшний день пока не существует маркеров или тестов на EVALI, по результатам которых можно сказать, что да, это именно это заболевание. Именно поэтому, если у врача возникает подозрение, что у пациента данное заболевание, сначала ему нужно уточнить, курит ли он электронные сигареты. Если нет, то диагноз сразу отпадает. Обязательно проводится рентген грудной клетки.
Отдельные симптомы болезни схожи с проявлениями совершенно разных патологий: от заболеваний сердца и сосудов до патологий желудочно – кишечного тракта и ревматических заболеваний до рака.
В основе развития EVALI лежит острое повреждение легких. Врачи указывает на большое сходство данного заболевания с острой двусторонней пневмонией.
Симптомы EVALI
1. Повышение температуры, озноб и резкая потеря в весе. Данные симптомы встречаются у 85 % заболевших.
2. Одышка, боли в груди, кашель – встречается у 95% больных.
3. Проявление болезни желудочно – кишечного тракта (вплоть до рвоты и диареи, сильные боли в животе) – у 77% заболевших.
4. Тахикардия (учащенное сердцебиение) встречается больше, чем у половины больных – 55%.
5. При насыщении артериальной крови кислородом выявляется гипоксия.
6. Анализ крови показывает повышенное содержание лейкоцитов.
Диагностика EVALI осложняется тем, что проявления данной болезни могут говорить и о других возможных. В основе развития EVALI лежит острое повреждение легких. Врачи указывают на сходство болезни с острым фибринозным пневмонитом, диффузным альвеолярным повреждением или с криптогенной организующейся пневмонией.
Диагностика и лечение
Нередко данную болезнь путают с бактериальной пневмонией, и тогда врачи предлагают в качестве лечения антибиотики, что является неправильным решением. Лекарства из этой группы абсолютно бесполезны в данном случае. Также, известны случаи, когда при потреблении антибиотиков в качестве лечения от EVALI у пациентов развивалась дыхательная недостаточность. В общем, если пациент никак не реагирует на антибиотики (или ему становится хуже), то на 95% можно сказать, что у него EVALI.
Для подтверждения данного диагноза могут быть взяты различные анализы и даже биопсия легкого.
Людей с EVALI лечат кортикостероидами. По крайней мере, именно они вызывают улучшение состояние заболевшего.
Пациенты с EVALI в большинстве случаев болезни попадают в отделения реанимации и нуждаются в искусственной вентиляции легких. Часты летальные исходы. В США средний возраст этих пациентов был не больше 20 лет.
Аспирационные пневмонит и пневмония
Аспирационный пневмонит и пневмония вызваны аспирацией токсичных и/или раздражающих веществ, как правило, содержимого желудка. В результате развивается химический пневмонит, бактериальная пневмония или обструкция дыхательных путей. Симптомы включают кашель и одышку. Диагноз основан на клинической картине и данных рентгенографии органов грудной клетки. Лечение и прогноз зависят от аспирированного вещества.
Аспирация может привести к воспалению легких (химический пневмонит), инфекции ( бактериальная пневмония Обзор пневмонии (Overview of Pneumonia) Пневмония – это острое инфекционное воспаление легких. Первоначальный диагноз ставится на основании данных рентгенографии органов грудной клетки и клинических исследований. Причины, симптомы. Прочитайте дополнительные сведения или абсцесс легких Абсцесс Лёгких Абсцесс легкого представляет собой некротизирующую инфекцию, которая характеризуется образованием полости, заполненной гноем. В большинстве случаев причиной абсцесса чаще всего является аспирация. Прочитайте дополнительные сведенияФакторы риска аспирации включают:
Нарушения когнитивной деятельности или уровня сознания;
Нарушение глотания (например, иногда возникает после некоторых инсультов Обзор инсульта (Overview of Stroke) Инсульт – это гетерогенная группа заболеваний, обусловленная внезапным очаговым прекращением мозгового кровотока, которое вызывает развитие неврологических нарушений. Инсульты могут быть ишемическими. Прочитайте дополнительные сведенияПрименение гастроэнтерологических устройств и процедур (например, введение назогастрального зонда);
Патофизиология
Химический пневмонит
Огромное количество веществ оказывает прямое токсическое воздействие на легкие или стимулирует воспалительную реакцию в ответ на аспирацию; чаще всего таким аспирированным веществом выступает желудочный сок, но к другим веществам относятся: нефтепродукты (особенно, низкой вязкости, например, технический вазелин) и жидкие масла (например, минеральное масло, касторовое масло и керосин). Липоидную пневмонию могут вызвать нефтепродукты и слабительные масла. Аспирация бензина и керосина также приводит к развитию химического пневмонита (см. Отравление углеводородами Отравление углеводородами Отравления углеводородами случаются в результате попадания их внутрь или ингаляции. Попадание внутрь наиболее часто происходит у детей 5 лет и может повлечь за собой развитие аспирационной пневмонии. Прочитайте дополнительные сведения ).
Содержимое желудка вызывает повреждения, в основном, из-за кислоты желудочного сока, хотя пища и другие вещества, попадающие в желудок (например, активированный уголь, принимаемый в качестве лечения в случае передозировки), в больших количествах также вредны. Кислота желудочного сока вызывает химический ожог дыхательных путей и легких, приводя к быстрому бронхоспазму, ателектазу Ателектаз Ателектаз - это спадение легочной ткани с потерей объема легкого. При обширном ателектазе пациенты могут испытывать одышку или респираторную недостаточность. Также у них может развиваться пневмония. Прочитайте дополнительные сведения . Бактериальная суперинфекция возникает в примерно 25% случаев.
Аспирационная пневмония
У здоровых людей часто наблюдается микроаспирация слюны, но защитные механизмы дыхательных путей препятствуют развитию заболеваний. При большом количестве аспирированного материала или при аспирации у пациентов со сниженной защитной функцией легких часто развиваются пневмония и/или абсцесс легкого Абсцесс Лёгких Абсцесс легкого представляет собой некротизирующую инфекцию, которая характеризуется образованием полости, заполненной гноем. В большинстве случаев причиной абсцесса чаще всего является аспирация. Прочитайте дополнительные сведения ).
Наиболее часто возбудителем аспирационной пневмонии являются грамотрицательные патогены кишечной группы и анаэробы ротовой полости.
Клинические проявления
Симптомы и признаки включают
Дискомфорт в грудной клетке
Химический пневмонит, вызванный действием содержимого желудка, вызывает острое диспноэ с кашлем, который в некоторых случаях является продуктивным с розовой пенистой мокротой, тахипноэ, тахикардию, лихорадку, диффузные хрипы и свистящее дыхание. При аспирации нефти или технического вазелина пневмонит может быть асимптоматическим, выявляться случайно при рентгенографии грудной клетки или проявляться в виде слабой лихорадки, постепенной потери веса и хрипами.
Диагностика
Рентгенография грудной клетки
При аспирационной пневмонии рентген грудной клетки часто, но не обязательно, выявляет инфильтрат в зависимых сегментах легкого, например, в верхних или задних базальных сегментах нижней доли или заднем сегменте верхней доли. При легочных абсцессах, связанных с аспирацией, рентгенография грудной клетки может показать полостное поражение. Компьютерная томография (КТ) с контрастированием является более чувствительным и специфичным методом для диагностики абсцесса легкого, с ее помощью можно наблюдать круглый очаг, наполненный жидкостью или с газожидкостным уровнем. У пациентов с аспирацией нефти или технического вазелина, результаты рентгенографии грудной клетки варьируют: уплотнение, образование каверн, интерстициальная или узловая инфильтрация, плевральный выпот и другие изменения могут медленно прогрессировать.
Признаки продолжающейся аспирации могут включать частое откашливание или мокрый кашель после еды. Иногда нет никаких признаков, и текущая аспирация диагностируется только посредством рентгенографии с контрастированием пищевода жидким барием, для исключения фонового расстройства глотания.
Лечение
Проводится поддерживающее лечение, часто требуется кислородная терапия и искусственная вентиляция легких Обзор искусственной вентиляции легких (Overview of Mechanical Ventilation) Можно провести следующую механическую вентиляцию: Неинвазивную, с использованием различных типов лицевых масок инвазивная, с применением эндотрахеальной интубации Правильный выбор и использование. Прочитайте дополнительные сведения . Пациентам с очевидными признаками или установленной аспирацией желудочного содержимого часто назначаются антибиотики (ингибитор бета-лактама/бета-лактамазы или клиндамицин) по причине сложности исключения бактериальной инфекции как вспомогательного или первичного фактора; однако, если состояние пациента стремительно улучшается, прием антибиотиков можно прекратить. Пациенты с явно легкими случаями заболевания также могут наблюдаться без назначения антибиотиков.
При аспирационной пневмонии рекомендуется применение бета-лактамов/ингибиторов бета-лактамаз, причем клиндамицин назначается пациентам с аллергией на пенициллин ( 1 Справочные материалы по лечению Аспирационный пневмонит и пневмония вызваны аспирацией токсичных и/или раздражающих веществ, как правило, содержимого желудка. В результате развивается химический пневмонит, бактериальная пневмония. Прочитайте дополнительные сведения ). Если аспирация происходит в условиях стационара, можно использовать карбапенем или пиперациллин/тазобактам; препараты, эффективные против метициллин-резистентного Staphylococcus aureus добавляются при наличии факторов риска заражения этим патогеном. Продолжительность лечения обычно составляет от 1 до 2 недель.
Лечение абсцесса легких Лечение Абсцесс легкого представляет собой некротизирующую инфекцию, которая характеризуется образованием полости, заполненной гноем. В большинстве случаев причиной абсцесса чаще всего является аспирация. Прочитайте дополнительные сведенияСправочные материалы по лечению
Профилактика
Стратегии для предотвращения аспирации являются важными при врачебном наблюдении и для общего клинического результата. Для пациентов со снижением уровня сознания рекомендуется избегать питания через рот и приема пероральных препаратов; может быть полезным приподнятое изголовье кровати до > 30 градусов. Следует прекратить прием седативных препаратов. Пациентам с дисфагией (в связи с инсультом или другими неврологическими заболеваниями) долгое время рекомендовалось придерживаться диеты со специальной консистенцией, чтобы попытаться уменьшить риск аспирации, однако существует мало убедительных доказательств того, что это эффективно. Логопед может обучать пациентов конкретным стратегиям (запрокинуть голову назад с подъемом подбородка и др)., чтобы снизить риск аспирации. Для пациентов с тяжелой дисфагией часто используется чрескожная гастростомическая или еюностомическая трубка, хотя неясно, будет ли эта стратегия действительно уменьшать риск аспирации, потому что пациенты все еще могут аспирировать оральные выделения и могут иметь рефлюкс при кормлении через гастростомическую трубку.
Оптимизация гигиены полости рта и регулярный уход стоматолога может помочь предотвратить развитие пневмонии или абсцесса у пациентов с рецидивирующей аспирацией.
Основные положения
У пациентов с аспирационным пневмонитом и аспирационной пневмонией должны быть проведены исследования на наличие фонового расстройства глотания.
Аспирационную пневмонию следует лечить антибиотиками; для аспирационного пневмонита используется главным образом поддерживающая терапия.
Вторичная профилактика аспирации с использованием различных мероприятий является ключевым компонентом ухода за такими пациентами.
Авторское право © 2022 Merck & Co., Inc., Rahway, NJ, США и ее аффилированные лица. Все права сохранены.
Могут ли вейпинг и электронные сигареты привести к повреждению легких?
В 2015 году электронные сигареты и испарители для вейпинга в России покупали около 2,6 миллионов раз. По оценкам экспертов, ежегодно этот показатель растет. Между тем с 2019 года медики США начали диагностировать у пациентов, которые обращались в больницы с острыми респираторными симптомами, EVALI (electronic cigarette or vaping product use-associated lung injury) или «повреждение легких, ассоциированное с курением электронных сигарет и использованием вейпинга».
В России этим новым явлением наиболее обеспокоены родители детей и подростков: вред вейпинга еще недостаточно изучен, а статус электронных сигарет в правовом поле не определен, поэтому они сравнительно более доступны. В результате у ребенка формируется зависимость от электронных сигарет.
Насколько вейпинг вреден для здоровья, и действительно ли использование электронных сигарет может привести к воспалению легких?
EVALI: история болезни
23-летний мужчина поступил в отделение неотложной помощи Университетской больницы в городе Амстердам (Нидерланды). История его болезни началась за три до этого, когда у молодого человека появились одышка, лихорадка, сухой непродуктивный кашель и ночной гипергидроз. Отметим, что произошла эта история в 2019 году, задолго до эпидемии SARS-CoV-2.
За две недели до поступления в больницу пациента осмотрели в амбулаторной клинике, где он прошел курс азитромицина (антибиотик) от предполагаемой инфекционной пневмонии. Но самочувствие молодого человека не улучшилось, поэтому через неделю в центре неотложной помощи он получил рецепт уже на другой антибиотик — доксициклин. Однако и после этого курса никаких улучшений не наблюдалось.
Пациент чувствовал себя плохо — из-за сильной тошноты он несколько дней не мог есть. Единственное респираторное заболевание в анамнезе — астма, перенесенная в детстве. Молодой человек не сообщил об операциях и не принимал никаких лекарств. Он не курил смолосодержащие сигареты и не путешествовал в последнее время. У него были идеальные результаты биохимического анализа крови, а дома чистота и нормальный уровень влажности. В ходе аускультации врач не услышал хрипов и каких-либо подозрительных шумов в грудной клетке. В чем же дело?
Молодой человек не сообщил врачу, что уже около месяца курил электронные сигареты. Только когда токсикологический скрининг мочи показал повышенное содержание нитрила акриловой кислоты, оксида пропилена, ацетата витамина Е, а также был получен положительный результат на тетрагидроканнабинол (ТГК), доктор задал уточняющий вопрос относительно вейпинга.
Что известно о влиянии электронных сигарет на легкие
EVALI (или electronic cigarette or vaping product use-associated lung injury) расшифровывается как «повреждение легких, вызванное использованием электронных сигарет или продуктами вейпинга». Болезнь стала известна в 2019 году после доклада Центра по Контролю и Профилактике Заболеваний США (CDC).
*[Aleksandr Kalininskiy, Christina T Bach , Nicholas E Nacca. E-cigarette, or vaping, product use associated lung injury (EVALI): case series and diagnostic approach, 2019], *[Maddy Artunduaga, Devika Rao, Jonathan Friedman. Pediatric Chest Radiographic and CT Findings of Electronic Cigarette or Vaping Product Use-associated Lung Injury (EVALI), 2020], [Williams M. et al. Metal and silicate particles including nanoparticles are present in electronic cigarette cartomizer fluid and aerosol //PloS one. – 2013. – Т. 8. – №. 3. – С. e57987].
Многочисленные актуальные исследования* доказывают однозначный вред вейпинга и электронных сигарет в случаях, если:
- Жидкость включает в состав тетрагидроканнабинол, иные наркотические вещества или сделана кустарным способом.
- Жидкость включает в состав жирорастворимый витамин Е (ацетат) — вдыхание этого маслянистого вещества провоцирует развитие осложнений, напоминающих симптомы липоидной пневмонии.
- Ежедневное потребление вейпинга превышает допустимые нормы.
- Производитель грубо нарушил технологию изготовления электронной сигареты или жидкости.
Единичное количество смертельных случаев по сравнению с США медики связывают с тем, что тетрагидроканнабинол не легализован в России, а рынок электронных сигарет еще недостаточно развит.
Жидкости для вейпинга в той или иной концентрации содержат пропиленгликоль, глицерин, никотин, а также канцерогены (формальдегид, акриломид), обладающие токсическим воздействием. При нагревании электронных сигарет или испарительных устройств в дыхательные пути попадают частицы металлов, таких как хром и никель.
В Крымском федеральном университете и в Читинской медицинской академии проводились эксперименты на крысах. Например, грызунов периодически помещали в камеры с распыленной жидкостью для вейпинга, в результате на четвертый месяц исследования у испытуемых было отмечено сильное снижение выносливости – они больше не могли плавать и держаться на воде более минуты. Кроме того, отмечалось выпадение шерсти и нарушение репродуктивной функции. Даже при условии, что жидкости не содержали никотин, у крыс уже через неделю выявили воспалительные процессы в легких.
В России пока лишь единичные случаи острого нарушения дыхательной функции после электронных сигарет связывают с EVALI. В соответствии с международной классификацией болезней таким пациентам в медицинской документации должны указывать код U00-U49 (новые болезни неясной этиологии, используется в чрезвычайных ситуациях) или U07.0 (травма легких, связанная с dabbing (курение высококонцентрированной формы марихуаны), повреждение легких, связанное с электронной сигаретой.
Известны случаи травматизации в связи со взрывами испарителей, точнее аккумуляторов, произведенных некачественно. В результате пострадали дети.
Например, вейп-испаритель взорвался в руках у 13-летнего ребенка из Новосибирска. У подростка было изуродовано лицо, а хирургам пришлось ампутировать три пальца и удалить некоторые зубы. Сотрудникам правоохранительных органов мальчик признался, что купил электронную сигарету на барахолке в тайне от родителей. Причиной взрыва стало замыкание аккумулятора.
Об аналогичной ситуации писали и московские СМИ — подросток 17-лет получил тяжелую травму верхней и нижней челюсти.
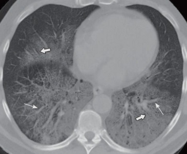
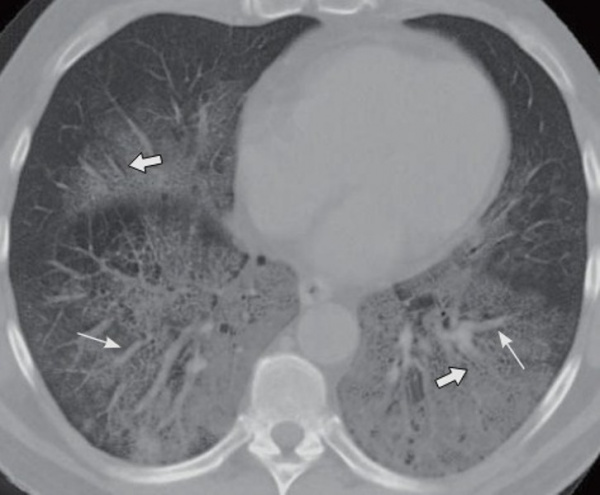
Как повреждение легких из-за вейпинга визуализируется на КТ
Повреждение легких от электронных сигарет и вейпинга на КТ напоминает пневмонию. EVALI определяется по «матовым стеклам» (очаги инфильтрации и уплотнения воздушной легочной ткани), локализованным преимущественно вокруг бронхов. Иногда при этом также наблюдается консолидация и симптом обратного гало. Чаще всего поражены субплевральные и нижнедолевые отделы легких — симметрично и с обеих сторон.*
По данным американских медиков, все пациенты с EVALI отмечают постепенное ухудшение самочувствия, нехватку дыхания и возрастающую резистентность к физическим нагрузкам.
Электронные сигареты не вреднее обычных, но.
Показатель летальных исходов при EVALI невысокий. Опыт зарубежных коллег показывает, что большинство пациентов, пострадавших от вейпинга, успешно восстановились через 2-3 недели после курса интенсивной стероидной терапии и полного отказа от электронных сигарет.
Результаты биопсии у пациентов не показали признаков онкологических изменений. Однако на данный момент нельзя однозначно делать выводы в этом направлении. Электронные сигареты и вейпинг не вреднее смолосодержащих сигарет. Вред последних проявляется постепенно, а перечень заболеваний, вызываемых табачной продукцией, включает эмфизему, обструктивную болезнь легких, рак, инсульты и ряд патологий сердечно-сосудистой системы.
У пациентов с EVALI вред вейпинга и электронных сигарет проявился быстро — уже в течение первого месяца пострадавших беспокоили кашель, одышка, расстройство ЖКТ и астения.
Итак, почему вейпинг может быть опасен?
Вейпинг и курение электронных сигарет — сравнительно новое явление. Первые электронные сигареты были выпущены в 2006 году. Поэтому оценивать влияние испарителей с жидкостями на основе глицерола и пропиленгликоля на организм человека, в частности органы дыхательной системы, рано. Однако «слабые стороны» нового явления известны уже сейчас.
1) Жидкость. Любая жидкость для вейпинга содержит канцерогены и токсичные химические соединения, отравляющие организм и вредящие дыхательным путям. Доказано, что жидкости сомнительного производства, включающие ацетат витамина Е, каннабиноиды и другие наркотические вещества опасны.
2) Нагревательный элемент и аккумулятор электронной сигареты. При парении в дыхательные пути выделяются мелкие частицы тяжелых металлов. Существует риск взрыва аккумулятора с травматичными для курильщика последствиями.
4) У детей и подростковвырабатывается привычка к курению и потреблению никотина, вред которого для эндокринной, нервной системы и ЖКТ известен.
5) У наиболее предрасположенных к заболеваниям дыхательной системы людей может развиваться EVALI, вплоть до отека легких и острого респираторного дистресс-синдрома.
6) Парение жидкостей с пропиленгликолем и глицерином снижает выносливость и мешает заниматься спортом.
Но существует и обратная, положительная сторона — некоторым курильщикам вейпинг помогает завязать с привычкой к курению обычных смолосодержащих сигарет. Для этого переходят на жидкости с меньшим содержанием никотина, вплоть до полного отказа. Зачастую у зависимого вовсе отпадает необходимость в парении.
Однако рекомендовать грамотную тактику борьбы с никотиновой зависимостью, основанную на принципах научно-доказательной медицины, в каждом индивидуальном случае может только врач-нарколог или психотерапевт.
Текст подготовил
Котов Максим Анатольевич, главный врач центра КТ «Ами», кандидат медицинских наук, доцент. Стаж 20 лет
- Campbell B., De Silva D., Macleod M., Coutts S., Schwamm L., Davis S., Donnan G. Ischaemic stroke, 2019.
- Bouchez L., Sztajzel R., Vargas M. CT imaging selection in acute stroke, 2016.
- Kamalian S., Lev M., Stroke Imaging, 2019.
- Котов М.А. Возможности компьютерной томографии в прогнозировании летального исхода инсульта / Дневник казанской медицинской школы. — 2017. — №. 2. — С. 76-80.
- Котов М.А. Показатели и значение интракраниального анатомического резерва, у пациентов с острым нарушением мозгового кровообращения / Журнал научных статей Здоровье и образование в XXI веке.Т. 18, № 2., 2016. — С. 229-233.
- Котов М.А. Лучевые предикторы исходов ишемического инсульта / Дневник казанской медицинской школы. — 2018. — №. 2. – С. 86-89.
- Котов М.А. Предикторы раннего летального исхода острого нарушения мозгового кровообращения, выявляемые при компьютерной томографии / Материалы VIII Научно-практической конференции Поленовские чтения, Российский нейрохирургический журнал им. проф. А.Л. Поленова, специальный выпуск. — 2018, — Т.Х, С. 129.
- Котов М.А. Возможности компьютерной томографии в оценке риска развития острого нарушения мозгового кровообращения / Вестник Северо-Западного государственного медицинского университета им. И.И. Мечникова. 2017. Т. 9. № 4. — С. 35-38.
- Kotov M.A. Brain dislocation morphometry at neurology and neurosurgery from the standpoint of evidence-based medicine / Global Science and Innovation // Materials of the V international scientific conference. - Chicago, 2015. — Р. 207-212.
Мы перезвоним, подберём удобное для записи время и ответим на вопросы.
Оператор обрабатывает входящие заявки с 8:00 до 22:00
Нажимая на кнопку, вы даете согласие на обработку персональных данных в соответствии с Федеральным законом от 27.07.2006 г. № 152-ФЗ «О персональных данных».
Если вы оставили ее с 8:00 до 22:00, мы перезвоним вам для уточнения деталей в течение 15 минут.
Липоидная пневмония ( Жировая пневмония )
Липоидная пневмония – это воспалительная инфильтрация легких, развивающаяся вследствие вдыхания или эндогенного накопления липидосодержащих субстратов. Клинические проявления включают слабость, лихорадку, боль в грудной клетке, диспноэ, сухой кашель, кровохарканье. Патологический процесс верифицируется с помощью рентгенографии и КТ легких, бронхоскопии с анализом БАЛ, гистологии биопсийного материала. Для разрешения пневмонии проводится кортикостероидная терапия, кислородная поддержка, бронходренажная терапия, при осложненном течении – антибиотикотерапия.
МКБ-10



Общие сведения
Липоидная (жировая) пневмония – это своеобразная реакция легочной паренхимы (воспаление с исходом в фиброз) на скопление жировых веществ в альвеолах. Прижизненно выявляется редко, по данным аутопсии – в 1-2,5% случаев, хотя в группах риска распространенность может достигать более 14%. Впервые о нозологии в 1925 г. сообщил патолог Г.Ф. Лафлен, обнаруживший жировые включения в легочной ткани четверых пациентов, при жизни длительно принимавших масляные слабительные и назальные капли. В современной пульмонологии к разновидности острой экзогенной липоидной пневмонии относится бензиновая пневмония.

Причины
По этиологической структуре различают экзогенную и эндогенную липоидную пневмонию. Экзогенная форма связана с вдыханием либо аспирацией жировых веществ и минеральных масел, которые, осаждаясь в альвеолах, запускают воспалительную реакцию. Наиболее частыми триггерами выступают:
- минеральные масла (парафиновое, вазелиновое);
- нефтепродукты (керосин, бензин);
- растительные и животные масла и жиры (оливковое, подсолнечное, топленое масло, сквален).
Эти и другие субстраты иногда используются для самостоятельных лечебных процедур (смазывания носа, инстилляций в трахеостому, приема в качестве слабительных средств). Также вдыхание маслосодержащих аэрозолей распространено среди лиц таких профессий, как маляры, пожарные, рабочие сельскохозяйственных и металлообрабатывающих производств, фокусники-факиры, выдувающие огонь изо рта.
Эндогенная липоидная пневмония обусловлена накоплением в легочной ткани экссудата, богатого продуктами распада клеток, содержащих холестерин, триглицериды, липиды. Такой путь развития жировой пневмонии характерен для:
- обструкции бронха инородным телом;
- обтурирующего бронх центрального рака легкого;
- нарушения транспорта липидов ‒ липидозов;
- инвазивных легочных микозов.
Факторы риска
Существуют определенные популяционные группы, условия и сопутствующие заболевания, увеличивающий риск развития липоидной пневмонии. К возрастным группам риска относятся грудные дети, пациенты старше 50 лет, работники, занятые в производстве продуктов нефтехимии. Предрасполагающим фоном для аспирации маслянистых веществ служат:
- гастроэзофагеальный рефлюкс;
- дисфагия;
- трахеопищеводный свищ;
- врожденные расщелины твердого неба;
- наличие трахеостомы;
- инсульт;
- психические расстройства;
- употребление алкоголя.

Патогенез
Выраженность и распространенность патологических изменений при экзогенной липоидной пневмонии зависит от характера, количества, времени воздействия этиологического агента. Жировые субстанции способны в определенной степени угнетать кашлевой рефлекс и снижать мукоцилиарную функцию бронхиального эпителия, что облегчает их попадание в дыхательные пути. Липидосодержащие вещества заполняют просвет бронхиол и альвеол, вызывая местные провоспалительные эффекты.
При ингалировании (аспирации) растительных и минеральных масел воспалительная реакция выражена слабо. При однократном или ограниченном во времени контакте с патогенным агентом происходит инкапсуляция жировых капель с образованием парафиномы, отграниченной фиброзной тканью. При повторном либо массивном вдыхании возникает диффузная легочная консолидация (опеченение).
Животные масла и жиры вызывают более выраженные изменения за счет гидролиза липазами в легких с выделением свободных жирных кислот. Последние инициируют мощный воспалительный процесс с местным отеком и внутриальвеолярными кровоизлияниями. В дальнейшем жирные кислоты подвергаются фагоцитозу со стороны альвеолряных макрофагов, в результате чего цитоплазма этих клеток заполняется жировыми включениями. Насыщенные липидами макрофаги – липофаги – оседают и накапливаются в межальвеолярных перегородках, вызывая их утолщение и разрушение. В исходе липоидной пневмонии развивается легочный фиброз с уменьшением площади функционирующей паренхимы.
При эндогенном механизме нагруженные липидами макрофаги и продукты клеточного распада накапливаются в альвеолах ниже места обтурации бронха. Развивается неспецифический интерстициальный пневмонит. Патоморфологически липоидная пневмония представляет собой асептический воспалительный процесс с наличием в аспирате и биоптате нагруженных липидными молекулами макрофагов и гигантских клеток.
Классификация
По этиологии липоидная пневмония бывает эндогенной и экзогенной:
- эндогенная – возникает при разрушении и депонировании в альвеолах собственных липидных фракций;
- экзогенная – развивается при ингаляционном/аспирационном поступлении жировых компонентов из внешней среды.
Острое течение липоидной пневмонии наблюдается при однократной массивной ингаляции/аспирации жирового субстрата. Хронический вариант развивается при повторном и длительном попадании в дыхательные пути малых количеств масляных аэрозолей. Описаны случаи, когда патологические процессы развивались в сроки от 1 месяца до 10 лет.
Симптомы липоидной пневмонии
Для острого экзогенного варианта патологии характерно внезапное начало. Беспокоит чувство нехватки воздуха, одышка в покое, малопродуктивный кашель, боль в груди. В анамнезе можно проследить недавнее вдыхание или употребление внутрь маслосодержащих веществ. В легких случаях все клинические проявления разрешаются на фоне прекращения контакта с триггерами и симптоматического лечения.
Хроническая липоидная пневмония протекает бессимптомно либо с неспецифическими жалобами на слабость, сухой кашель, одышку при минимальной нагрузке, дискомфорт в грудной клетке. В редких случаях отмечается кровохарканье, потеря веса, лихорадка. Со временем формируется хроническая дыхательная недостаточность.
Осложнения
При массивном попадании жировых агентов в дыхательные пути развивается респираторный дистресс-синдром. Больной может погибнуть от острой дыхательной недостаточности и отека легких. Течение липоидной пневмонии может осложниться плевритом, пневмотораксом, эмфиземой средостения, вторичным микробным или грибковым инфицированием. Хронический вариант сопровождается формированием пневмофиброза, легочной гипертензии и хронического легочного сердца.
Диагностика
При обследовании пациента с указанными жалобами важно выяснить предшествующий анамнез: прием или вдыхание жиросодержащих веществ, кратность и длительность контакта. При осмотре и аускультации врач-пульмонолог может обнаружить увеличение ЧДД, сухие хрипы с обеих сторон, крепитацию. Дальнейшая диагностическая тактика включает:
- КТ грудной клетки. Рентгенологическое обследование выявляется двустороннее сегментарное или долевое снижение пневматизации легочной ткани (симптом «матового стекла»), утолщение междольковых перегородок (симптом «булыжной мостовой»). В поздних стадиях видны участки фиброза, уплотнение междолевой плевры.
- Бронхоскопия. Целью эндоскопии бронхиального дерева служит исключение обструкции, забор бронхоальвеолярного лаважа (БАЛ) и проведение трансбронхиальной биопсии. При цитологическом исследовании БАЛ и мокроты, гистологии биоптата обнаруживаются липофаги.
- ФВД. Исследование проводится при удовлетворительном состоянии пациента и отсутствии у него трахеостомы. При спирометрии могут выявляться умеренные обструктивные нарушения легочной вентиляции, снижение диффузионной способности легких.
- Мониторинг сатурации. Осуществляется инвазивным (определение газового состава крови) и неинвазивным способом (пульсоксиметрия). У пациентов с липоидной пневмонией снижение показателей насыщения крови кислородом зависит от степени поражения легких.

Дифференциальная диагностика
Липоидная пневмония имеет неспецифическую симптоматику и рентгенологическую картину, поэтому при постановке диагноза исключаются следующие нозологии:
- криптогенная организующаяся пневмония;
- бактериальная и грибковая пневмония;
- аспирационная пневмония;
- ковидная пневмония;
- бронхоальвеолярный рак легкого;
- альвеолярный протеиноз;
- гранулематоз Вегенера.
Лечение липоидной пневмонии
Первым условием успешного лечения является прекращение аэрозольного поступления липидосодержащих агентов в дыхательные пути и ликвидация бронхиальной обструкции. При бессимптомной липоидной пневмонии дополнительная терапия не назначается. В случаях, требующих госпитализации, проводится:
- Фармакотерапия. Патогенетическая терапия заключается в назначении инфузий кортикостероидов (иногда в сочетании с их ингаляционным введением) и последующим переводом на пероральную форму. Также используются муколитики, при развитии внутрибольничной пневмонии – антибиотики.
- Санационные бронхоскопии. Повторные процедуры бронхоальвеолярного лаважа показаны для удаления капель жира и липофагов из дыхательных путей. Эффективность лечебных бронхоскопий тем выше, чем меньше времени прошло с момента аспирационного или ингаляционного попадания жировых веществ.
- Бронходренажная терапия. Включает перкуторный массаж грудной клетки, ЛФК, постуральный дренаж, дыхательную гимнастику. Помогает ускорить эвакуацию жировых молекул из нижних дыхательных путей.
- Кислородная поддержка. При низкой сатурации может осуществляться оксигенотерапия через назальный катетер или лицевую маску. В отдельных случаях может потребоваться установка трахеостомической канюли, интубация и ИВЛ.
Прогноз и профилактика
Сценарий развития и исход заболевания зависит от причин липоидной пневмонии, дозы и длительности воздействия патогенного агента. Острые экзогенные формы, вызванные однократным контактом, могут разрешаться самостоятельно. Хронические формы заканчиваются формированием легочного фиброза, ограничивающего дыхательную функцию. При отягощенном течении не исключаются летальные исходы. Прогноз эндогенной липоидной пневмонии напрямую связан с течением основного заболевания.
Профилактика заключается в осторожном использовании жиросодержащих лекарственных и косметических средств, использовании средств защиты органов дыхания на производстве. Желательно ограничить доступ к опасным веществам детям, лицам с нарушением глотания, психическими расстройствами, алкогольной зависимостью.
2. Липоидная пневмония: клинические случаи/ Чикина С.Ю., Авдеев С.Н., Трушенко Н.В., Кошназарова Е.В., Самсонова М.В., Черняев А.Л.// Пульмонология. – 2012 - №4.
3. Липоидная пневмония: клинический случай/ Морозова Л.В., Ермилов О.В., Бочарова М.А., Волочаева Е.М.// Научные ведомости. Серия «Медицина. Фармация». ‒ 2015. ‒ N16 (213). Выпуск 31.
4. Аспирационная липоидная пневмония у полуторогодовалого ребенка/ Бударова К.В., Шмаков А.Н., Бокуть В.А., Макарова Д.Ю., Полонская М.А., Успенская С.В.// Педиатр. ‒ 2020. ‒ Т. 11. Вып. 2.
Аспирационная пневмония у кота
Перфильева Ольга, ветеринарный врач Ветеринарной клиники доктора Сотникова, г. Санкт-Петербург.
Владельцы 2-летнего кота обратились в клинику по причине того, что за последние несколько дней у него резко появился кашель. Кот вытягивает шею и пытается что-то откашлять. Подобные приступы кашля начинались в покое и не провоцировались нагрузкой, в целом, за день более 10 подобных приступов.
От корма кот не отказывался, аппетит был хороший. Воду пил, иногда после приема воды животным владельцы слышали кашель, после чего появлялась рвота и выделения из носа.
Кот вакцинирован, регулярно получал препараты от гельминтов, не кастрирован. Доступа к улице не имеет.
Осмотр: у кота наблюдается затруднение акта вдоха. Дыхание прерывистое, учащенное.
Трахеальный рефлекс выражен. Цвет слизистых оболочек не изменен.
При аускультации патологических шумов в сердце не выявлено.
Слышны хрипы в верхних дыхательных путях, при аускультации - хрипы в грудной полости.
Брюшная стенка безболезненна, мягкая. Из носа наблюдается небольшое количество выделений коричневого цвета.
По данным анамнеза и осмотра животного было принято решение провести рентгенологическое обследование грудной полости.
Подобные изменения в состоянии животного могут свидетельствовать об инородном теле в верхних дыхательных путях; астме кошек или трахеобронхите.



По Rtg (рис 1,2) выявлено множество рентгеноплотных/контрастных очагов в грудной полости. Размер и форма тени сердца была не изменена
После общения с владельцами выяснилось, что накануне до начала кашля кот отказывался от корма, после принудительного кормления у него сразу была рвота. Симптомы продолжались 3 дня, а на 4-ые сутки владельцы обратились в стороннюю клинику, где диагностировали инородное тело кишечника. Провели лапаротомию и удалили пуговицу из кишки.
После операции через рото-пищеводный зонд дали сульфат бария с целью контрастирования кишечника и выявления сохранения возможной непроходимости. Провели два рентгеновских снимка с интервалом в 6 часов, по результатам которых не было выявлено наличие непроходимости желудочно-кишечного тракта.
Пациенту был поставлен окончательный диагноз - аспирационная пневмония.
Частая причина развития аспирационной пневмонии - это попадание инородных тел в дыхательные пути. В случаях, когда в дыхательные пути попадает большое количество инородных тел, в бронхах и легких развивается воспаление. Если такому пациенту своевременно не оказать помощь, он может погибнуть от асфиксии или сепсиса.
Лечение аспирационной пневмонии у кота
Данному животному был назначен препарат Сумамед - антибиотик широкого спектра действия.
Дополнительно - бронходилататоры (Сальбутамол) в виде ингаляций и муколитики - АЦЦ.
Курс терапии до полного выздоровления занял 2.5 месяца. В период лечения прогрессия кашля постепенно снижалась, комбинация необходимых препаратов для купирования оставшихся симптомов менялась. Последние недели лечения владельцы использовали только ингаляции в период учащения кашля.
С целью контроля течения аспирационной пневмонии требуется повторение рентген-диагностики. Контрольный рентгеновский снимок был сделан через 2.5 месяца (рис 3).
По данным рентгена и отсутствия клинических симптомов кот был клинически здоров.
Читайте также:
