Лучевые признаки пиомиомы (нагноившейся миомы)
Добавил пользователь Владимир З. Обновлено: 23.11.2025
Эта акция - для наших друзей в "Одноклассниках", "ВКонтакте", "Яндекс.Дзене", YouTube и Telegram! Если вы являетесь другом или подписчиком стр.
Для жителей районов Савеловский, Беговой, Аэропорт, Хорошевский
В этом месяце жителям районов Савеловский, Беговой, Аэропорт, Хорошевский» предоставляется скидка 5% на ВСЕ мед.
Консультация проктолога - 50%!
По направлению врачей эндоскописта (после колоноскопии), гастроэнтеролога или гинеколога «МедикСити» консультация врача-прокт.
Абаева Юлиана Генриховна
Врач акушер-гинеколог, гинеколог-эндокринолог, гинеколог-маммолог
Первая квалификационная категория (подтверждена в 2007 г.)
Айвазян Наира Юрьевна
Врач акушер-гинеколог, гинеколог-эндокринолог, маммолог
Берсенева Вероника Викторовна
Врач акушер-гинеколог, гинеколог-эндокринолог, маммолог, врач УЗ-диагностики
Кандидат медицинских наук
Казначеева Татьяна Викторовна
Врач-гинеколог, гинеколог-эндокринолог, маммолог, врач УЗ-диагностики
Кандидат медицинских наук
Сонова Марина Мусабиевна
Врач акушер-гинеколог, гинеколог-эндокринолог, врач-онколог, врач УЗ-диагностики, доцент
доктор медицинских наук, профессор кафедры репродуктивной медицины и хирургии ФПДО МГМСУ
Уйсал Шорена Мерабовна
Врач-гинеколог, врач УЗ-диагностики
Фомина Татьяна Викторовна
Врач акушер-гинеколог, гинеколог-эндокринолог, маммолог, врач УЗ-диагностики
«Расширенная диспансеризация» для женщин CheckUp для женщин
Мы в Telegram и "Одноклассниках"
Сайт доктора Соновой
"MediaMetrics", радиостанция, программа "Онлайн-приём" (апрель 2018г.)
Согласно данным ВОЗ, миома (доброкачественная опухоль в матке) встречается у каждой четвертой женщины репродуктивного возраста. 80% женщин рискуют приобрести это заболевание в течение жизни, поскольку это образование может развиться в любом возрасте.
Миома матки может стать причиной бесплодия. Нельзя также игнорировать риск патологического роста или злокачественного изменения опухоли. Своевременная диагностика и лечение миомы — единственно правильный путь. В «МедикСити» здоровье женщины находится в ведении грамотных и внимательных врачей-гинекологов, владеющих всеми современными методиками. Наше экспертное ультразвуковое оборудование Voluson 10 позволяет обнаружить патологию на самых ранних стадиях.


УЗИ органов малого таза

Миома матки. Диагностика и лечение
Виды миом
Различают как единичные, так и множественные миоматозные узлы, обычно они бывают круглой формы. Состоят из мышечных волокон с большим количеством кровеносных сосудов.
Величина миомы может варьироваться от нескольких миллиметров до нескольких сантиметров. Для удобства врачи оценивают размер миомы по аналогии с неделями беременности: 4 недели, 10 недель, 16 недель.
Вес опухоли тоже может быть различным. Самая большая опухоль из обнаруженных весила более 60 килограммов.
Миомы различаются и по скорости роста. Одни растут достаточно быстро и начинают сильно давить на соседние органы, другие развиваются медленно, и врач-гинеколог может случайно их обнаружить во время гинекологического осмотра.
По месту расположения различаются следующие виды миомы матки:
- субмукозная (подслизистая миома), появляется под слизистой оболочкой внутри матки, затем опускается до шейки матки и влагалища;
- субсерозная миома, развивается с внешней стороны матки под брюшиной;
- интерстициальная (подмышечная) миома - самый распространенный тип, располагается в мышечной стенке матки;
- межсвязочная миома появляется в пространстве под брюшиной;
- шеечная миома.
Встречается также опухоль на ножке (широкой или узкой), которая бывает и у субсерозной и субмукозной миомы матки. Различают и такую разновидность доброкачественной опухоли, как фибромиома матки, которая состоит из мышечных и соединительных волокон. А в составе лейомиомы - только гладко-мышечные клетки.
Признаки миомы матки
На ранней стадии заболевание можно распознать лишь с помощью различных методов диагностики. В более поздние сроки симптомы при миоме матки становятся достаточно явными. О заболевании могут говорить такие неприятные ощущения, как:
- боль внизу живота и поясницы (проявляется по мере роста миомы матки);
- увеличение размера живота, происходит чаще всего с одной стороны;
- большая потеря крови во время менструации, менструальный цикл становится длинным и обильным, это приводит к анемии в виде большой слабости, головокружениям, сильным головным болям, бледности кожи (см. нарушения менструального цикла);
- в результате сдавливания растущей миомой близлежащих органов могут начаться сбои в работе мочевого пузыря и кишечника, выражающиеся в запорах и частом мочеиспускании; , сердечные боли, одышка, ухудшение обменных процессов;
- высокая температура, при которой не помогают жаропонижающие средства, - сигнал о том, что в организме из-за разрыва или перекручивания ножки миомы начался воспалительный процесс.
У женщин репродуктивного возраста с появлением миомы матки может развиться бесплодие. Есть мнение, что в период климакса миома матки может уменьшиться в размерах и исчезнуть. Однако нельзя забывать об опасности перерождения любого доброкачественного заболевания, в том числе и миомы матки!
Миома матки
Миома матки (лейомиома,фибромиома) - доброкачественная опухоль из мышечной и соединительной ткани матки.
По мнению большинства ученых, миома возникает в результате нарушения регуляции роста клетки миометрия. Причин формирования узлов много, основные - гормональные нарушения и повреждения самой ткани матки (при выскабливании полости матки, аборте, длительном ношении внутриматочного контрацептива, воспалительном процессе в матке). К отягощающим факторам относят наследственную предрасположенность, стрессы, неблагоприятную экологическую ситуацию.
Миоматозные узлы могут иметь разные размеры - от нескольких миллиметров до десятков сантиметров, встречаться как единично, так и множественно. Узлы, расположенные в толще стенки матки, имеют название интерстициальных. Если узлы растут в сторону брюшной полости, выступают над поверхностью матки, то они называются субсерозными, если в сторону матки - то субмукозными.
Симптомы
У 30% пациенток миома матки протекает бессимптомно. Проявления заболевания зависят от размеров, локализации и количества миоматозных узлов. Пациентки могут предъявлять жалобы на обильные, длительные, болезненные менструации, менструации со сгустками, межменструальные кровянистые выделения и кровотечения, боли, ощущения тяжести внизу живота. Миома матки может приводить к нарушению функции соседних органов (запоры, нарушение опорожнения мочевого пузыря, невынашивание беременности и бесплодие).
Диагностика
Диагностика миомы, как правило, несложна и возможна уже на этапегинекологического осмотра и сбора анамнеза.
Основными неинвазивными инструментальными методами диагностики являются УЗИ, КТ и МРТ.
Лечение миомы матки
Для того чтобы определиться с тактикой лечения в каждом конкретном случае, необходима консультация специалиста.
Принципиальными задачами лечения являются либо удаление опухоли (хирургическое лечение), либо торможение опухолевого роста и регресс новообразования (консервативное лечение).
Для консервативной терапии миомы матки используют гормональные препараты. Выбор препарата и показания к назначению определяются лечащим врачом.
Показания к оперативному лечению:
- большие размеры узлов, быстрый рост, маточные кровотечения, субмукозный и центростремительный рост узлов, болевой синдром, анемизация больной, бесплодие и невынашивание беременности, субсерозный узел на ножке.
Выбор объема, вариантов доступа и сроков оперативного лечения зависит от множества факторов (желания пациентки сохранить репродуктивную и менструальную функцию, размера матки, количества узлов, наличия спаечного процесса в брюшной полости, сопутствующей соматической патологии и др.)
«Золотым стандартом» лечения миомы является миомэктомия (хирургическое удаление узлов миома матки). Сохранение матки как органа важно не только для женщин, планирующих беременность, но и женщин, желающих сохранить менструальную функцию до наступления естественной менопаузы.
Операцию возможно выполнить лапароскопически и через лапаротомный доступ (доступ в брюшную полость, при котором делается разрез передней брюшной стенки либо горизонтально над лобком, либо вертикально по средней линии живота).
Лапароскопия - такой доступ в брюшную полость, когда через проколы (5-10 мм) вводят инструменты и лапароскоп (тонкая оптическая система, при помощи которой хирург получает изображение органов, выводимое на монитор в операционной).
Если миома имеет субмукозный рост, то оптимальным методом удаления узла является гистерорезектоскопия (удаление узла со стороны полости матки с помощью гистерорезектоскопа).
Другие методы лечения миомы матки, такие как эмболизация маточных артерий (ЭМА) и ФУЗ-абляция миомы (лечение с помощью ультразвуковой волны), используются в развитых странах крайне ограничено.
Радикальные операции при миоме матки (удаление матки) выполняются, когда сохранение матки противопоказано или нецелесообразно.
Редкие осложнения миомы матки
Миома матки - доброкачественная, моноклональная, хорошо отграниченная, капсулированная опухоль, происходящая из гладкомышечных клеток шейки или тела матки - одна из наиболее распространенных доброкачественных опухолей женской половой сферы, которая возникает у 20-40% женщин репродуктивного возраста. Локализация миомы матки бывает самой разнообразной. Наиболее часто диагностируют субсерозное и межмышечное (интрамуральное) расположение миоматозных узлов, количество которых может достигать 25 и более, а размеры - значительно увеличиваться. Подслизистое (субмукозное) расположение узлов наблюдают реже, но оно сопровождается более яркой клинической картиной.
В этом обзоре мы рассмотрим редко встречающиеся, но заслуживающие крайнего внимания при диагностике осложнения данного заболевания женской репродуктивной системы.
Перекрут ножки субсерозного миоматозного узла
При перекруте ножки миоматозного узла заболевание развивается остро - возникают схваткообразные боли внизу живота, тошнота, рвота, озноб, сухость во рту, нарушается функция кишечника. При недостаточном кровоснабжении (нарушении питания) миоматозного узла клиническая картина более смазанная, симптомы появляются постепенно. Пациентку беспокоят тянущие боли внизу живота и пояснице, которые периодически усиливаются, ослабевают или исчезают. В момент приступа болей могут быть тошнота, озноб, повышение температуры тела, обычно до субфебрильной, тахикардия.
Пациентки с этим заболеванием обычно поступают с острым животом, стабильными показателями жизнедеятельности и нормальными лабораторными исследованиями.
Несмотря на достижения в области визуализации, предоперационный диагноз трудно поставить. Необходимо учитывать наличие миомы матки в анамнезе у пациентки.
Для диагностики используется УЗИ, допплерография.
«Золотой стандарт» диагностики – МРТ.
Лечение при перекруте ножки субсерозного миоматозного узла состоит в экстренной операции. Объем оперативного вмешательства зависит в основном от выраженности некротических изменений в узле, вовлечения брюшины в патологический процесс (признаки перитонита), возраста пациентки.

А) Сагиттальная компьютерная томография. Лейомиома «с ножкой» (стрелка), соединенная с полимиоматозной маткой.
В) Некротическая миома на ножке с полным перекрутом (стрелка).
С) Общий вид поверхности разреза лейомиомы «на ножке» (вверху) и матки (внизу).
D) Гистологическое исследование показывает лейомиому с некрозом инфаркта (N). (гематоксилин и эозин, оригинальное увеличение 200).
Инверсия матки
Инверсия матки является крайне редким осложнением внеплодового периода и обычно вызывается доброкачественными субмукозными, особенно фундальными, лейомиомами.
В данном случае рассмотрим конкретный пример полностью вывернутой шейки матки из-за выпавшей огромной лейомиомы шейки матки, имитирующей хроническую послеродовую инверсию матки у женщин в перименопаузе.
52-летняя женщина в перименопаузе поступила в нашу клинику с изъязвленным, некротическим, инфицированным и опухшей выпавштим образованием, происходящим из влагалища.
Беременности – 4, родов – 3, аборт – 1.
Из анамнеза: диагностирована миома матки 5 см в диаметре 2 года назад. Было предложено оперативное лечение, от которого она отказалась.
За 6 месяцев до описанный событий отметила появление образования из влагалища. За медицинской помощью так же не обращалась. На настоящий момент обратилась в больницу в связи с появлением изъязвлений на образовании, некупируемого болевого синдрома. Пациентке была выполненена гистерэктомия вагинальным доступом. Окончательный диагноз был поставлен уже интраоперационно.

а) некротизированный миоматозный узел
б) вывернутая шейка матки
а) матка
б) область наружного зева шейки матки
в) перевернутая шейка матки
г) лейомиома
а) нормальный миометрий и полость матки
б) перевернутая шейка матки
в) миома шейки матки
Пиомиома
Пиомиома (также называется инфицированной или гнойной лейомиомой) является редким осложнением в результате бактериальной колонизации инфарктной лейомиомы.
Ранняя диагностика важна, так как она связана с высокими показателями заболеваемости и может привести к летальному исходу. Более того, поддержание фертильности у молодых женщин имеет решающее значение.
Пиомиома может быть вызвана присоединением вторичной инфекции после медицинских процедур, таких как эмболизация маточных артерий, гистероскопия, установка внутриматочной спирали, аборты, на фоне тяжелых системных заболеваний.
Следует обратить внимание, если пациентка с миомой матки испытывает сильную боль в животе, имеет признаки инфекционного процесса. Триадный признак миомы, бактериемии и лихорадки, без явного источника инфекции всегда повышает подозрение на пиомиому. Но пиомиома может представить себя без каких-либо четких клинических признаков. Интервал между начальным появлением симптомов и диагнозом сильно различается: пиомиома может появиться с внезапным началом или может иметь до года инкубации с прогрессивным распространением инфекции.
Немедленное оперативное вмешательство имеет решающее значение. Объём и характер лечения должен быть подобран индивидуальной в каждый клинической ситуации.

Рис. 5. Пиомиома матки, макропрепарат

Рис. 6. УЗИ брюшной полости показывает срединный сагиттальный разрез миомы и матки (наконечник стрелки).
Обратите внимание на значительную гипоэхогенность в верхней части миомы (стрелка) по сравнению с кистозным поражением остального образца.
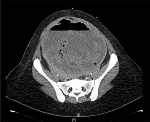
Рис. 7. КТ брюшной полости и таза, демонстрирующая пиомому
Рис. 8. Аксиальное сечение КТ: миома с газом и уровнем жидкости
Рис. 9. Гистология миомы матки
A) Нормальная ткань лейомиомы с веретенообразными клетками (×10);
B) Нежизнеспособная ткань лейомиомы (×10)
C) эмболизация материала внутри сосудов (черная стрелка) в окружении нежизнеспособных тканей лейомиомы
D) Окрашивание гематоксилином и эозином, показывающее группы нейтрофилов (левая сторона) вблизи «мертвой» фиброзной ткани (правая сторона), предполагающие образование абсцесса (×20);
E) Окрашивание, показывающее группы нейтрофилов около «мертвой» фиброзной ткани, предполагающие образование абсцесса (×40).
Миома как причина гемоперитонеума
Кровотечение из поверхностных сосудов
Большое кровоизлияние как результат самопроизвольного разрыва сосуда, покрывающего миому, встречается редко. Опасный для жизни гемоперитонеум, связанный с лейомиомами, может возникнуть в результате самопроизвольного или травматического разрыва субсерозной вены или поверхностной расширенной вены, или из-за разрыва артериальной аневризмы или артериального сосуда, возникающего из маточных артерий. Однако в большинстве случаев гемоперитонеум, связанный с лейомиомой, обусловлен венозным, а не артериальным разрывом, и даже небольшой венозный разрыв может привести к огромному количеству внутрибрюшного кровотечения.

Рис. 10. Кровотечение из поверхностной вены
Разрыв матки при сочетании миомы и аденомиоза. Клинический случай
39-летнюю женщину доставили в отделение неотложной помощи в состоянии геморрагического шока, сопровождающегося острой диффузной болью в нижней части живота.
Ее история болезни была ничем не примечательна, она отрицала проведение любой операции, такой как лапароскопия или лапаротомия по поводу опухолей матки. Она отрицала беременность, роды или аборты в прошлом и активную сексуальную жизнь в последние несколько лет.
УЗИ и экстренная компьютерная томография показала несколько огромных лейомиом матки, самая большая из которых была примерно 8х 9 см, а задняя стенка матки была поражена аденомиозом.
При лапароскопии было обнаружено, что серозный слой над маткой была шероховатый, а рана была обнаружена на задней части шейки матки на уровне внутреннего зева. Была произведена гистерэктомия. Общая кровопотеря составила около 4500 мл.
Миома матки
Миома матки ― это доброкачественное новообразование из мышечных клеток, которое чаще возникает у женщин репродуктивного возраста и прекращает рост при климаксе. Нередко заболевание протекает бессимптомно и диагностируется случайно при ультразвуковом обследовании.
Лечением этого заболевания занимается гинеколог. Специалист оценивает размеры новообразования и наличие симптомов, после чего принимает решение о методе терапии.
Симптомы миомы матки
По мере роста новообразования могут наблюдаться следующие симптомы:
- обильная и болезненная менструация;
- длительность менструации более 8 дней;
- боль в нижней трети живота и области промежности;
- чувство тяжести и ощущение инородного тела в животе;
- частые позывы к мочеиспусканию и ощущение неполного опорожнения;
- запоры.
Боли при миоме матки имеют ноющий характер и могут усиливаться во время менструации.
Виды миомы матки
Выделяют узлы из гладких мышечных волокон ― лейомиомы, и фибромиомы, состоящие из фиброзных и мышечных клеток. Кроме того, новообразования делят на 3 вида, в зависимости от локализации опухоли.
Подслизистая (субмукозная) миома
- залегает под эндометрием и в процессе роста выбухает в полость матки;
- сопровождается длительными и обильными менструальными кровотечениями;
- не поддается консервативному лечению, поэтому проводится хирургическая операция по удалению миомы матки.
Интерстициальная (межмышечная) миома
- располагается в глубине стенок органа;
- растет в сторону брюшной полости;
- может сдавливать соседние органы, провоцируя учащенное мочеиспускание и вздутие живота.
Субсерозная миома
- растет в наружном слое матки;
- увеличивается в сторону брюшной полости и меняет контуры органа;
- опухоль может сдавливать соседние органы;
- легко удаляется хирургическим путем, так как операция не затрагивает глубокие слои матки.
Причины возникновения миомы матки
Точные причины заболевания не выявлены. Предполагается, что главную роль в развитии новообразования играет нарушение гормонального фона и сбой процесса деления стволовых клеток ― они начинают беспорядочно делиться, провоцируя рост опухоли.
Выделяют следующие предрасполагающие факторы:
- наследственная предрасположенность ― мутации генов провоцируют чрезмерный рост мышечных клеток;
- наличие в анамнезе абортов;
- сложные роды;
- множественные внутриматочные операции;
- эндометрит;
- избыточная секреция женских половых гормонов;
- патологии гипофиза и гипоталамуса, из-за которых происходит избыточный синтез инсулиноподобного фактора роста тканей.
Осложнения при миоме
Узлы больших размеров могут осложняться железодефицитной анемией из-за увеличенной кровопотери во время менструации. Миома матки и беременность несовместимы при большом размере новообразования ― если оно растет внутрь, то возникают сложности с зачатием и вынашиванием. Если опухоль увеличивается в сторону брюшной полости, из-за давления на соседние органы нарушается отток мочи и появляются проблемы с почками.
Методы диагностики миомы матки
Предположить наличие новообразования можно во время обычного гинекологического осмотра и пальпации. Основным методом диагностики является УЗИ органов малого таза с доплерографией ― врач может выяснить локализацию новообразования и его размеры.
В том случае, когда опухоль имеет большие размеры или ультразвуковое исследование не позволяет получить полную информацию, проводят магнитно-резонансную или компьютерную томографию репродуктивной системы. С помощью этих методов можно получить подробное трехмерное изображение матки и узлов.
Методы лечения миомы
Заболевание лечат медикаментозным и хирургическим способом. В том случае, если новообразование совсем маленькое и никак себя не проявляет, рекомендуется наблюдение ― каждые полгода делают УЗИ для контроля над размерами миоматозного узла.
Показания к консервативному методу лечению миомы
Медикаментозная терапия помогает устранить или облегчить неприятные симптомы, которые вызывает новообразование.
Консервативное лечение проводят в следующих случаях:
- молодой возраст женщины;
- малые размеры узла;
- правильная форма полости матки;
- межмышечная локализация новообразования.
Врач-гинеколог подбирает гормональные препараты, которые останавливают рост миоматозного узла и в некоторых случаях способствуют его уменьшению.
Показания к хирургическому методу лечению миомы
Хирургическое удаление миомы матки показано в следующих случаях:
- выраженные признаки миомы матки у женщин репродуктивного возраста;
- большие размеры узла, которые превышают величину матки на 12 неделе беременности;
- расположение миомы у шейки матки или в подслизистом слое;
- активный рост новообразования;
- сложности с зачатием и проблема невынашивания беременности;
- сдавление соседних органов брюшной полости;
- рост узлов после наступления менопаузы;
- наличие сопутствующих заболеваний эндометрия и кист яичников.
Профилактика миомы
Специфической профилактики не существует, так как до сих пор неизвестна точная причина развития заболевания. Согласно исследованиям, вероятность развития патологии ниже при приеме оральных контрацептивов. Рекомендуется своевременно лечить гинекологические заболевания и позаботиться о надежной контрацепции, чтобы избежать внутриматочных вмешательств.
Куда обратиться при миоме матки?
- Точная диагностика и современные протоколы лечения гинекологических заболеваний в ММЦ «Доктор Боголюбов».
- Профессиональное оборудование для проведения хирургических манипуляций.
- Опытные и деликатные врачи-гинекологи, владеющие необходимыми навыками как для консервативного, так и для хирургического лечения болезни.
Почему у женщин появляется миома?
Точная причина появления заболевания неизвестна. Предполагается, что развитие опухоли провоцирует изменение гормонального фона, наследственная предрасположенность и наличие хронического воспаления в матке.
Чем опасна миома матки?
Новообразование больших размеров при отсутствии лечения может вызвать анемию и сдавление соседних органов, из-за чего женщина начинает испытывать трудности с дефекацией, хронические боли и частые позывы к мочеиспусканию. Кроме того, миоматозные узлы часто становятся причиной выкидыша и задержки внутриутробного развития плода.
Как можно вылечить миому матки?
Небольшие узлы подлежат наблюдению и консервативному лечению ― правильно подобранные препараты останавливают рост новообразования и помогают снизить интенсивность неприятных симптомов. Крупные и субмукозные новообразования подлежат удалению.
Можно ли избавиться от миомы матки без операции?
Тактика лечения зависит от размеров и локализации новообразования. Небольшие узлы можно вылечить консервативно. Опухоль, которая активно растет и деформирует форму матки, вылечить консервативно не получится. Кроме того, обязательному удалению подлежат субмукозные образования из-за высокого риска развития маточного кровотечения.
Что нельзя делать при миоме матки?
При наличии миоматозных узлов запрещено:
- поднимать тяжести;
- прибегать к аборту, как инструментальному, так и медикаментозному;
- самостоятельно подбирать оральные контрацептивы;
принимать гормональные препараты на основе прогестерона без рекомендации гинеколога.
Диагностика и лечение миомы матки (Сергиев Посад)
Миома матки - диагностика и лечение в женской консультации клиники «Парацельс», Сергиев Посад
ВНИМАНИЕ: Вы можете самостоятельно КРУГЛОСУТОЧНО записаться к врачу в Мобильном приложении "Клиника ПАРАЦЕЛЬС"
Доступны онлайн-консультации врачей (более 18 специальностей).
Миома матки – это доброкачественное, опухолевидное образование матки. Она может образоваться из гладкомышечной или соединительной (фибромиома) ткани матки.

Доброкачественные новообразования половых органов встречаются у каждой третьей женщины репродуктивного возраста. Лечение миомы матки зависит от возраста пациентки, ее готовности рожать и симптоматики болезни.
Миома матки
Миома матки – это гормонально-зависимое доброкачественное новообразование. Она может быть одиночной, но чаще – в виде большого количества миоматозных узлов в разных местах матки. Узлы могут быть от небольших менее 2-х сантиметров, до очень больших весом около килограмма. Размеры миомы при диагностике сравнивают с размером матки на том или ином сроке беременности.
Заболевание чаще бывает у женщин в репродуктивном периоде. В период постменопаузы обычно рост миомы матки прекращается, может происходит ее обратное развитие. Диагноз - миома матки ставят 20% женщин случайно, при гинекологическом осмотре. Заболевание длительное время может протекать без симптомов.
Причины возникновения миомы
Точные причины ее возникновения до сих пор неизвестны.
Факторы риска:
- Наследственность.
- Сбои гормонального фона.
- Лишний вес.
- Травматизация. Происходит при сложных родах, выскабливании полости матки.
- Хронические воспалительные процессы, влияющие на состояние стенок матки.
- Нерегулярная половая жизнь.
- Снижение иммунного статуса, тяжелые стрессовые ситуации, некорректное применение средств контрацепции.
Болезнь протекает бессимптомно, поэтому даже здоровая женщина должна регулярно посещать гинеколога.
При сложном течении наблюдаются длительные, обильные менструации, кровотечения в середине цикла, боли в животе и пояснице, частое мочеиспускание. Кровопотери снижают гемоглобин, вызывают утомление, потерю работоспособности.
Симптомы миомы матки
Небольших размеров миомы могут развиваться без симптомов. Они случайно выявляются при гинекологическом осмотре. Миомы матки (фибромиомы) перерождаются в злокачественную опухоль редко.
Когда миоматозные узлы увеличиваются, появляются симптомы:
- усиливаются и удлиняются менструальные кровотечения (меноррагии) с выделением сгустков крови;
- возникают ациклические маточные кровотечения (метроррагии), сопровождающиеся анемией;
- появляется болевой синдром, зависит от локализации и размеров опухоли.
- частое, затрудненное мочеиспускание и хронический запор;
- большие узлы (более 20 недель беременности) вызывают синдром сдавления нижней полой вены, проявляется сердцебиением и одышкой, в положении лежа.
Когда врач принимает решение о наблюдении
В 98% случаев гинеколог находит новообразование неожиданно, во время УЗИ половых органов или на осмотре. Решение о наблюдении принимают всегда, когда в матке обнаруживают миоматозные узлы.
Врачебный контроль показан в случае маленьких узлов и бессимптомного течения болезни:
- Наблюдение врача. Посещение гинеколога раз в полгода.
- УЗИ матки для отслеживания состояния и размера узлов. Если они не растут, достаточно врачебного контроля.
Дальнейшая тактика зависит от индивидуального состояния здоровья, диаметра, количества, локализации опухоли.
Важно то, хочет ли женщина родить ребенка. В этом случае выбирают щадящее лечение. Пассивное наблюдение за состоянием матки недопустимо. Пациенткам рекомендуют изменить образ жизни. Следует отказаться от больших физических нагрузок, загара, сауны, бани и прочих тепловых процедур.
Диагностика миомы матки
Диагноз «миома матки» может быть установлен уже на первичном гинекологическом осмотре. При двуручном влагалищном исследовании пальпируется плотная, увеличенная в размерах матка с бугристой, узловатой поверхностью. Более достоверно определить размер миомы матки, ее локализацию и классификацию позволяет УЗИ органов малого таза.
Информативным методом диагностики болезни служит гистероскопия – обследование полости и стенок матки при помощи оптического аппарата-гистероскопа. Гистероскопия выполняется как с диагностической, так и с лечебной целью: выявление и удаление миоматозных узлов некоторых локализаций. Дополнительно могут проводиться гистеросальпингоскопия - УЗИ исследование, зондирование полости матки, диагностика половых инфекций и онкопатологии.
Лечение миомы без операции
Лекарственная терапия направлена на сохранение матки.
Показания к консервативному лечению:
- в результате УЗИ обнаружены клинически незначимые миоматозные узлы;
- размер образований не превышает 1-1.5 см в диаметре.
Терапия направлена на стабилизацию миомы на максимально длительный срок. Используют современные микродозированные гормональные контрацептивы (комбинированного типа), внутриматочные рилизинг-системы.
Иное лечение миомы матки применяют, если опухоль растет или женщина уже имеет узлы среднего размера (1.5-3 см в диаметре). Учитывают жалобы на самочувствие. Цель лечения – уменьшить и стабилизировать размер образований.
Медикаменты:
- Противоопухолевые гормональные препараты (агонисты гонадотропин-рилизинг-гормона) - снижают эстрадиол, уменьшая размер матки и узлов. Препараты вводят внутримышечно, подкожно или в нос.
- Синтетические стероидные гормоны (антигонадотропины) - используют, если миома матки сопровождается эндометриозом, гиперплазией эндометрия.
- Антагонисты рецепторов прогестерона - угнетают рост узлов и способствуют их регрессу (рассасыванию).
- Антагонисты гонадотропин-рилизинг гормона - подавляют секрецию гонадотропных гормонов. Сокращают длительность терапии, способствуют быстрому восстановлению функции яичников. Вводятся инъекционно.
- Блокаторы ароматазы - уменьшают размер образований.
- Интерфероны - способствуют прогрессивному уменьшению узлов. Терапия дорогая и тяжело переносится, применяют редко.
- Антифибротики - Таблетки тормозят развитие миомы, но не работают на уменьшение узлов.
При своевременной терапии пациентки избегают оперативного вмешательства. Лекарства доступны по рецепту. Недопустимо самостоятельно применять лекарственные препараты, нужна консультация врача гинеколога-эндокринолога.
Оперативные методы лечения миомы
Радикальное вмешательство показано в тяжелых случаях, когда найдены крупные узлы, появилась дополнительная негативная симптоматика, проблемы с мочеиспусканием. Метод удаления опухоли может отличаться по доступу, типу анестезии, периоду восстановления.
Показания к оперативному лечению миомы
- быстрый рост опухоли в полость матки по данным последних 2-3 обследований;
- размеры образования более 14 недель;
- анемия, маточное кровотечение;
- признаки давления на другие органы (дисфункция кишечника, почек, мочевого пузыря);
- планирование беременности.
Подготовка к хирургическому вмешательству
Доктор акушер-гинеколог собирает анамнез, проводит гинекологический осмотр, назначает полное клиническое обследование в условиях стационара.
Задача – проверить наличие врожденных аномалий (двурогая матка), эндометриоза, полипов, кист на яичниках, оценить непроходимость труб.
Проводится УЗИ для определения точного размера и количества узлов. Обязательна консультация врача-терапевта и анестезиолога. Если женщина страдает другими болезнями, пригласят узких специалистов. Гормоны проверяет эндокринолог, состояние сердечно-сосудистой системы – кардиолог.
Необходимые исследования перед оперативным лечением миомы
Обследование перед поступлением в стационар:
- кровь: клинический анализ, гепатит, ВИЧ, RW, биохимия, сахар, резус-фактор с последующей расшифровкой;
- гемостазиограмма – проверка свертываемости;
- общий анализ мочи;
- мазок на флору, онкоцитологическое исследование мазка из шейки матки и цервикального канала;
- рентген грудной клетки;
- ЭКГ.
На основе исследований определяют степень риска операции, выбирают способ анестезии и объем вмешательства.
Полостная операция
Показания к полостной операции:
- большой размер образования;
- состояние, угрожающее жизни.
Таблица 1. Плюсы и минусы лапаротомии
Преимущества
Доступность – успешно выполняется каждым практикующим хирургом
Длительность, травматичность, повреждение тканей
Не требует дорогостоящего оборудования
Глубокий, продолжительный наркоз
Простое техническое выполнение, у врача остается возможность для маневра
Долгая реабилитация, операция тяжело переносится
Быстрая остановка кровотечений
Высокий риск осложнений
На матке остается рубец, что неблагоприятно для беременности и родов
На коже остается косметический дефект (шов)
Лапароскопия
Прогрессивное лечение миомы матки с минимальным вмешательством в организм. Хирург делает 4 маленьких разреза на брюшной стенке, вводит лапароскоп с видеокамерой и инструменты. Миому удаляют отдельно или вместе с маткой.
Показания к лапароскопии:
- медикаменты неэффективны;
- нарастание клинических симптомов – анемия, боли, нарушения мочеиспускания и дефекации.
Таблица 2. Плюсы и минусы лапароскопии
Преимущества
Необходимы подготовка и опыт врачей
Менее выражены болевые ощущения после операции
Возможность кровотечения из-за малой степени свободы хирурга
Короткий восстановительный период, госпитализация
Используется лапароскопический медицинский инструмент, центр должен иметь необходимое оборудование
Лучший косметический эффект
Эмболизация маточных артерий (ЭМА)
Малоинвазивное вмешательство основано на работе с сосудами, питающими миоматозные узлы. Хирург делает 1 прокол в области паха. Под местной анестезией внутрь артерий вводят полимерное вещество, перекрывающее кровоток. Операция продолжается около 30 минут. Миома сокращается в течение 3-9 месяцев.
Показания к эмболизации маточных артерий:
- образование более 2 см;
- неэффективное консервативное лечение;
- обильные менструации;
- противопоказания к общему наркозу.
Таблица 3. Плюсы и минусы ЭМА
Преимущества
Не затрагивается здоровая ткань матки
Дорогие расходные материалы
Здоровая матка восстанавливает кровообращение спустя 6-8 ч.
Требуется высококвалифицированный врач, специальное рентгенологическое оборудование
Кратковременное пребывание в стационаре – 18 ч.
Низкий риск рецидивов и осложнений
Сохранение репродуктивной функции
Гистероскопическая миомэктомия
Операция сохраняет матку. Хирург удаляет опухоль через влагалище при помощи гистероскопа. Миому выжигают лазером или высокочастотным переменным током. Фрагменты разрушенной опухоли вымывают раствором глюкозы. Если ее не удается удалить, выбирают другой доступ: через разрез в надлобковой складке или проколы в брюшной полости. Это зависит от локализации и размера узлов.
Показания к гистероскопической миомэктомии:
- кровотечения;
- нарушения репродуктивной функции;
- размер полости матки до 10 см.
Таблица 4. Плюсы и минусы гистероскопии
Преимущества
Быстрая реабилитация, эффективное восстановление
Риск спаек, кровопотерь, рецидива
Пребывание в стационаре не более 3 дней
Требуется оборудование, высокая квалификация хирурга
ФУЗ-абляция миомы
Высокочастотное ультразвуковое воздействие проводят под контролем МРТ. Волна коагулирует ткань опухоли, она начинает постепенно распадаться. Способ не требует разрезов, но действие ультразвука на миому довольно болезненное. Метод не нашел широкого применения.
Удаление матки
Квалифицированные акушер-гинекологи принимают решение о гистерэктомии в следующих случаях:
- гигантские размеры миомы;
- большое количество образований;
- в матке нет здоровых фрагментов;
- предраковые состояния и рак.
После гистерэктомии женщина принимает заместительную гормональную терапию.
Диагностика и лечение миомы матки в Медицинском центре "Парацельс"
Для ранней диагностики и лечения миоматозных узлов важен комплексный подход. В медицинском центре “Парацельс” ведут консультативный прием врачи всех нужных для этого специальностей. В нашей клинике все доктора применяют принципы доказательной медицины. При любом обращении к нам пациенту окажут высококвалифицированную медицинскую помощь. Он получит подробную диагностику заболевания.
Результат лечения миомы матки во многом зависит от взаимоотношений между врачом и пациенткой. Наши врачи выстраивают партнерские отношения с пациентами - всё объясняют, отвечают на все вопросы.
Подробное объяснение женщине причин и механизма появления заболевания, делает понятными ощущения и за счёт этого заметно снижается их высокая интенсивность.
Читайте также:
- Сборка нуклеосом при репликации ДНК и хроматина
- Симптомы вестибулярной шванномы и ее лечение
- Эффективность кавернотомии. Туберкуломы
- Синдром Адомса-Стокса или ускользание желудочков. Экстрасистолии
- Стеноз аортального отверстия и митральная недостаточность. Митрально-аортально-трикуспидальная недостаточность

