Эффективность кавернотомии. Туберкуломы
Добавил пользователь Владимир З. Обновлено: 27.01.2026
Хирургический отдел был и остается ведущим научно-практическим центром легочной хирургии. Основным направлением научных исследований является разработка новых и совершенствование ранее применявшихся методов хирургического лечения больных туберкулезом и другими заболеваниями легких и плевры в целях расширения показаний и повышения эффективности оперативных вмешательств.
С 1933 по 1950 годы в ЦТИ НКЗ РСФСР (в настоящее время ФГБНУ «ЦНИИТ») работал Николай Георгиевич Стойко, являющийся основоположником фтизиохирургии в СССР. В 1938 году Н.Г. Стойко создал хирургическое отделение легочного туберкулеза, которое возглавлял до 1951 года. Н.Г. Стойко разработал ряд хирургических вмешательств при туберкулезе легких, которые получили широкое практическое применение. Под его руководством клиника разрабатывала различные виды коллапсохирургии. В 1937 году им была введена в практику операция экстраплеврального пневмоторакса, в 1939 году- операция кавернотомии. Были разработаны методы торакокаустики, которые значительно повысили эффективность лечебного пневмоторакса. Разрабатывались различные методы торакопластик. Н.Г.Стойко написано более 100 работ по вопросам фтизиохирургии и основное руководство «Хирургические методы лечения легочного туберкулеза», удостоенное в 1950 году Государственной премии СССР.
С 1946г. по 1984 годы в ЦТИ МЗ СССР работал Лев Константинович Богуш – заслуженный деятель науки, лауреат Ленинской и Государственных премий, академик АМН СССР, один из основоположников фтизиохирургии в СССР. Л.К. Богуш создал хирургическую школу и разработал ряд оригинальных методик хирургического лечения больных туберкулезом и другой легочной патологией. Л.К. Богуш в 1947 году впервые в СССР провел пульмонэктомию по поводу фиброзно-кавернозного туберкулеза. В 1950 году Л.К. Богуш возглавил хирургический отдел. Автор свыше 250 научных работ, 10 монографий, 8 авторских свидетельств. В 1961 году Л.К. Богуш создал на базе хирургического отделения кафедру легочной хирургии ЦОЛИУВ, на которой подготовлено более 1000 квалифицированных легочных хирургов, анестезиологов, бронхологов. В 1961 году получил Ленинскую премию «За разработку и внедрение в широкую практику оригинальных методов хирургического лечения заболеваний легких», в 1974 году ему была присуждена Государственная премия «За разработку и внедрение в клиническую практику хирургических операций на трахее и бронхах».
С 1985 по 2004 годы хирургический отдел возглавлял ученик академика Л.К. Богуша – профессор Викторович Наумович Наумов, продолживший традиции ведущей школы фтизиохирургии.
В хирургическом отделе также работали известные фтизиохирурги проф. Н.И. Герасименко, Л.С. Громова, А.А. Савон, проф. В.П.Стрельцов, В.Д. Ямпольская, проф. Я.В. Какителашвили.
С 1987 по 2004 годы в хирургическом отделе работал профессор Вадим Геннадьевич Добкин, который занимался внедрением лазера во фтизиохирургию, основал отделение лазерных методов лечения туберкулеза, выполнил первые операции на легких с использованием лазера.
В настоящее время отдел хирургии ФГБНУ “ЦНИИТ” состоит из двух отделений торакальной хирургии, операционного блока, отделения анестезиологии и реанимации.

В отделе выполняется консультативная, лечебная и научная работа при туберкулезе и другой лёгочной патологии, при туберкулезе костно-суставной системы, проводят очную и заочную (по документам, присланным в адрес института) хирургическую консультацию больных Российской Федерации и всех стран СНГ. В отделе больным оказывается высокотехнологичная медицинская помощь (ВМП). На базе отдела проводится подготовка врачебных и научных кадров: клинических ординаторов и аспирантов, а также располагается кафедра торакальной хирургии РМАПО, где проводятся сертификационные курсы для торакальных хирургов.

Д.м.н., профессор кафедры торакальной хирургии РМАНПО МЗ РФ, заведующий отделом хирургии, и.о. главного научного сотрудника отдела хирургии. Врач-торакальный хирург высшей квалификационной категории Багиров Мамед Адилович
М.А. Багиров работает в институте с 1987 года. В 1993 году защитил кандидатскую диссертацию, в 2003 году – докторскую диссертацию на тему: «Комплексное хирургическое лечение больных распространенным и осложненным фиброзно-кавернозным туберкулёзом лёгких». С 1998 года возглавлял 2 хирургическое отделение, в 2011 году утвержден на должность руководителя хирургического отдела.
М.А.Багиров является ведущим фтизиохирургом ФГБНУ “ЦНИИТ” и Российской федерации и выполняет все виды оперативных вмешательств при туберкулезе и другой патологии легких и плевры: трансстернальные окклюзии бронхов, пульмонэктомии, плевропульмонэктомии, доудаления оперированного легкого, лобэктомии, билобэктомии, комбинированные анатомические резекции, сегментарные анатомические резекции, повторные резекции оперированного легкого, ререзекции культи бронха, коллапсохирургические операции (экстраплевральный пневмолиз силиконовой пломбой, торакопластики), различные операции по поводу патологии плевры, операции по поводу патологии внутригрудных лимфоузлов.
М.А. Багиров является автором различных оперативных методик при туберкулезе легких, оперативных вмешательств с использованием лазера, им выполнены более 100 научных работ, 4 методических рекомендаций, 5 патентов, посвященных разработке и модификации техники операций на легких. На протяжении многих лет М.А. Багиров ведет большую лекционную работу в рамках последипломного обучения врачей на кафедре торакальной хирургии РМАПО и в Учебном центре ФГБНУ “ЦНИИТ”.
Структура хирургического отдела:
- 1 хирургическое отделение -52 койки
- 2 хирургическое отделение – 25 коек
- Операционный блок
- Отделение анестезиологии и реанимации
1 и 2 Хирургическое отделение

Д.м.н., доцент кафедры торакальной хирургии РМАНПО МЗ РФ, заведующий 1 хирургическим отделением, и.о. заведующего 2 хирургическим отделением.Врач-торакальный хирург высшей квалификационной категории Садовникова Светлана Сергеевна
В 1995 году закончила клиническую ординатуру в ЦНИИТ РАМН. Работала хирургом во 2 хирургическом отделении отдела легочной хирургии ЦНИИТ РАМН. В 1999 году защитила кандидатскую диссертацию, в 2014 году – докторскую диссертацию. С 2011 года работает заведующей 1 хирургическим отделением ФГБНУ «ЦНИИТ». С.С. Садовникова является высококвалифицированным специалистом, выполняющим оперативные вмешательства различной категории сложности при туберкулезе и других заболеваниях легких, осуществляет лечебную и научно-исследовательскую работу. Ведет научную тематику, посвященную комплексной предоперационной подготовке и послеоперационному лечению больных фиброзно-кавернозным туберкулезом с множественной лекарственной устойчивостью микобактерий туберкулеза.
Операционный блок

Д.м.н., заведующий операционно-перевязочным блоком. Старший научный сотрудник отдела хирургии. Врач-торакальный хирург 1 хирургического отделения Красникова Елена Вадимовна
С 1988 по 2006 годы работала в хирургическом торакальном отделении Российского Научного Центра Рентгенорадиологии Минздрава России, где закончила ординатуру, аспирантуру, защитила кандидатскую диссертацию. С 2006 года работала хирургом, заведующей операционным блоком клиники фтизиопульмонологии ММА им И.М. Сеченова. С 2013 года старший научный сотрудник, заведующая операционным блоком ФГБНУ «ЦНИИТ».
Е.В. Красникова участвует в научном и лечебном процессе отдела, выполняет хирургические вмешательства по профилю отделения, ведет научную тематику по разработке новых коллапсохирургических методик лечения больных распространённым деструктивным мультирезистентным туберкулёзом лёгких.
В отделениях работают высококвалифицированные научные сотрудники и врачи, выполняющие свою работу на высоком профессиональном уровне.
В соответствии с научной направленностью отдела, объектом хирургического вмешательства являются больные с различной распространенностью процесса, в том числе крайне тяжелой группы:
- Пациенты с распространёнными формами туберкулеза легких, в том числе с двусторонними процессами
- Пациенты с наличием осложнений основного заболевания или с осложнениями после ранее перенесённых оперативных вмешательств, в основном после различных по объему резекций легких и пульмонэктомий, в том числе с хронической туберкулезной эмпиемой плевры
- Пациенты с выраженными сопутствующими заболеваниями – заболевания сердечно-сосудистой системы, печени и почек, сахарный диабет и др.
- Пациенты с непереносимостью антибактериальных препаратов, с полирезистентностью МБТ, множественной и широкой лекарственной устойчивостью МБТ к противотуберкулезным препаратам
- Пациенты с туберкулезом позвоночника, костей и суставов, в том числе с осложненными формами костного туберкулеза
- Сложные в диагностическом плане больные: туберкулез в сочетании с другими хроническими неспецифическими заболеваниями легких, опухолями, врожденной и приобретенной легочной патологией
С целью адекватной подготовки к операции в предоперационном и послеоперационном периоде больным выполняется плазмаферез, озонотерапия, внутривенное лазерное облучение крови, для диагностики функциональных возможностей легких используется прибор для вибрационной визуализации легких.
Хирургическая деятельность отдела разнообразна, включает в себя все применяемые в настоящее время современные оперативные вмешательства. В клинике разрабатываются современные показания к применению таких вмешательств, совершенствуется техника операций с учетом современного состояния фтизиохирургии и анестезиологии. Операционный блок и реанимационное отделение оборудованы современным оборудованием. Все операции выполняются под контролем видеостойки (видеоассистированные (ВАТС)операции), во время операций используются ультразвукой скальпель (Eticon Endo-surgery), прибор электро-радиохирургический Surgitron-DF 120 («гармоник»).

В структуре оперативных вмешательств среди операций резекционного характера значительное место занимают операции большого объема и высокой степени сложности – лобэктомии, билобэктомии, комбинированные резекции – 25%. Сегментарные резекции (аппаратные и с раздельной обработкой корня) составляют 40% от всех операций. Пульмонэктомии, плевропульмонэктомии, доудаления оперированного легкого, а также трансстернальные окклюзии главного бронха составляют 15,0% от общего числа операций.
Виды оперативных вмешательств, выполняемых в хирургическом отделе ФГБНУ «ЦНИИТ» по поводу туберкулеза и других заболеваний легких:
| ВАТС биопсия легких и плевры |
| ВАТС прецизионное удаление образований легкого |
| ВАТС сегментарные аппаратные резекции легкого |
| ВАТС сегментарные анатомические резекции легкого |
| ВАТС лобэктомии |
| ВАТС билобэктомии |
| ВАТС комбинированные резекции легкого |
| ВАТС пневмонэктомии |
| ВАТС плевропневмонэктомии |
| ВАТС плеврэктомии с декортикацией легкого |
| ВАТС резекционные и коллапсохирургические операции на единственном легком |
| ВАТС повторные резекции ранее оперированного легкого |
| ВАТС доудаление ранее оперированного легкого |
| Трансстернальная трансперикардиальная окклюзия главного бронха |
| Реампутация культи бронха из различных хирургических доступов |
| ВАТС экстраплевральный пневмолиз силиконовой пломбой |
| ВАТС экстраплевральный пневмолиз силиконовой пломбой на единственном легком |
| ВАТС пластика переднего средостения с целью профилактики и лечения легочной грыжи |
| ВАТС удаление внутригрудных лимфоузлов |
| ВАТС Торакопластика |
| Торакомиопластика |
Также в отделе выполняются декомрессивно-стабилизирующие и костно-пластические операции на позвоночнике, костях и суставах.
Крайне тяжелой группой, трудной для излечения, являются больные с эмпиемами плевры (в том числе с пострезекционными эмпиемами). В клинике применяется весь арсенал хирургических вмешательств для этой группы больных (плеврэктомия, этапные торакопластики, ререзекции культи бронха, трансстернальная окклюзия главного бронха при свищах после пульмонэктомии, одномоментные и этапные вмешательства при пострезекционных эмпиемах).
Среднее число послеоперационных осложнений в отделе (за 3 года) не превышает 2,5%, послеоперационная летальность не превышает 1,0%.
Научная работа в хирургическом отделе в последние 3 года ведется по следующим направлениям (4 научные темы):
- Разработка методов костно-пластического замещения дефектов тел позвонков и вертлужной впадины при деструктивных формах туберкулезных спондилитов и кокситов, оценка репаративных процессов по данным морфологических и лучевых методов исследования у больных старших возрастных групп
- Совершенствование коллапсохирургических методов лечения с применением различных пломбировочных материалов в хирургии деструктивного туберкулеза легких с ЛУ МБТ
- Комплексная предоперационная подготовка и послеоперационное лечение больных фиброзно-кавернозным туберкулезом с МЛУ МБТ
- Разработка и совершенствование хирургических методов лечения и реабилитации больных с туберкулёзным и неспецифическим поражением позвоночника и суставов
Также в отделе разрабатываются:
- Методы комплексного хирургического лечения туберкулеза легких у больных с сахарным диабетом
- Методы комплексного хирургического лечения туберкулеза легких у больных с токсическими и вирусными гепатитами
- Новые методы этапного хирургического лечения с применением современных технологий у больных распространенным туберкулезом легких
- Методы совершенствования техники оперативного лечения больных распространенным туберкулезом легких (методики плевризации культи бронха и средостения; деструкция туберкулезных очагов высокоэнергетическим лазером)
Таким образом, хирургический отдел ФГБНУ “ЦНИИТ” является динамичной, научно и профессионально развивающейся структурой. Успешному выполнению задач, взятых на себя клиникой, способствует высокая квалификация сотрудников – торакальных хирургов, современное анестезиологическое и реанимационное обеспечение, тесная связь в работе с квалифицированными, оборудованными современной техникой, другими отделениями института.
Отделение анестезиологии, реанимации и интенсивной терапии с экспресс-лабораторией

Заведующая отделением анестезиологии, реанимации и интенсивной терапии с группой экспресс-диагностики, Заслуженный врач РФ Набокова Татьяна Семёновна
Все работающие в отделении врачи имеют высшую квалификационную категорию и подтвержденные сертификаты врача анестезиолога-реаниматолога.

Отделение анестезиологии, реанимации и интенсивной терапии с экспресс-лабораторией “ЦНИИТ” развернуто на 10 коек, и решает следующие задачи:
- Анестезиологическое обеспечение оперативных вмешательств
- Контроль состояния пациентов в раннем послеоперационном периоде
- Интенсивная терапия пациентов в критических состояниях
- Проведение квалифицированной реанимации в других отделениях больницы
- Катетеризация центральных вен и консультативная помощь в отделениях по вопросам инфузионной терапии и парентерального питания
Все операции в отделении проводятся под общим обезболиванием с управляемой искусственной вентиляцией легких и интубацией двухканальными трубками, с отключением от вентиляции оперируемого легкого. Пациентам с поражением позвоночника и суставов нижних конечностей проводится эпидуральная и спинальная анестезия. При анестезиологическом обеспечении операций используются наркозные аппараты Дрегер (Германия), мониторы Нихон Коден (Япония).
В отделении также проводятся под общей анестезией бронхоскопические исследования, как диагностические и санационные, так и для установки или удаления бронхоблокаторов.Послеоперационное наблюдение и интенсивная терапия проводятся в палатах, размещенных на одном этаже с оперблоком: двух четырехместных и двух одноместных, что позволяет изолировать больных в случае необходимости. Постоянный контроль жизненных функций проводится с применением мониторного оборудования, при необходимости обеспечивается продленная искусственная вентиляция легких аппаратами ИВЛ ServoS фирмы Maquet (Германия).
Значительная часть больных туберкулезом имеет также и сопутствующие заболевания: сердечно-сосудистой системы, неинфекционные заболевания легких (бронхиальную астму, бронхоэктатическую болезнь, хронический бронхит), заболевания почек и печени, что существенно усложняет хирургическое лечение туберкулеза. Техническое оснащение, квалификация и опыт персонала позволяют Отделению анестезиологии, реанимации и интенсивной терапии с экспресс-лабораторией ЦНИИТ успешно справляться с наиболее сложными проблемами, возникающими в процессе лечения больных туберкулезом.
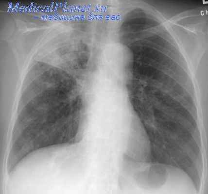
Эффективность кавернотомии. Туберкуломы
Эффективность кавернотомии. Туберкуломы
Полный клинический эффект мы расценивали при ликвидации каверны и отсутствия М. Т. в мокроте, такой результат был получен в 96,0% в I группе больных и в 91,2% во II гр. б-х. Выздоровление после дополнительных операций, произведенных по поводу осложнений (удаление сгустков крови, ререзекции, торакопластики) в 1,5% в I группе и в 1,4% во второй.
Выписались без эффекта с остаточной плевральной полостью и реактивацией процесса 0,7% в I группе и 3,7% во II. Наступил летальный исход в 1,8% в I группе и в 3,7% во II Общий процент эффективности сохраняется высоким 96— 91,2%. Значительный процент послеоперационных осложнений во II группе, способствующий прогрессированию процесса, объяснялся как тяжестью больных, так и травматичностыо операций.
Основной причиной летальных исходов во II группе являлась легочно-сердечная недостаточность, как следствие длительного и распространенного фиброзно-кавернозного тбк легких.
В отдаленном периоде после выписки от 2 до 5 лет отмечалось снижение результатов хирургического лечения за счет летальных исходов в связи с прогрессированием туберкулеза, а также от других причин, не связанных с основным процессом (рак желудка, алкоголизм, болезни крови, болезни центральной нервной системы, травма и др.). Однако, общий процент благоприятных исходов оставался высоким 95,0 в I группе и 93,3% во II.При благоприятном послеоперационном периоде больные выписывались через 1—1,5 месяца после операции на санаторно-курортное лечение, продолжительностью 2 месяца, с последующим наблюдением диспансера.
![кавернотомия]()
Через 6 месяцев после частичных резекций легкого восстанавливались функциональные резервы и больные возвращались к труду.
После обширных резекций и пульмонэктомии при неполном восстановлении функциональных резервов больные получали инвалидность с частичным восстановлением трудоспособности.Таким образом, хирургический метод оправдан длительным наблюдением за диспансерными контингентами.
Туберкуломы
«Туберкуломы» — понятие сборное. При этом существующие подразделения туберкулом недостаточно отражают различия в их активности, то есть как раз ту характеристику болезни, без которой невозможно объективно обосновать врачебную тактику. Радикально настроенный врач считает показанием к операции само наличие казеозных фокусов, поскольку они могут стать источником прогрессирования туберкулеза.
Его более осторожный оппонент противопоставляет такому суждению примеры многолетнего стабильного существования туберкулом. Заметим, что обе стороны исходят из аналогии, а не из точной оценки того случая, о котором идет спор. Если бы можно было всегда оценить туберкулому по степени ее активности, то суждения врача были бы избавлены от субъективизма, неизбежного в сегодняшней практике.
Активность воспаления должна иметь свою структурную основу. При туберкуломе такой основой является ее содержимое, капсула и прилежащая легочная ткань. Классифицировать туберкуломы по особенностям этих структур и найти симптомы, позволяющие отличить активные фокусы от неактивных, — в этом состояла наша задача.
Информация на сайте подлежит консультации лечащим врачом и не заменяет очной консультации с ним.
См. подробнее в пользовательском соглашении.Эффективность кавернотомии. Туберкуломы
Несмотря на довольно высокую эффективность хирургии в лечении лекарственно-устойчивого туберкулеза, применение этого метода в РФ и во всем мире остается очень ограниченным, в том числе по причине частого двустороннего поражения легких, низких функциональных резервов и тяжелых сопутствующих заболеваний у таких пациентов [1].
К числу наиболее тяжелых относятся случаи с тотальным разрушением одного легкого при наличии ограниченных деструктивных изменений в контралатеральном легком. Такие пациенты, по данным отечественной и зарубежной литературы, могут быть кандидатами для последовательной пневмонэктомии и операции на единственном легком резекционного или коллапсохирургического плана [2—5].
Однако частота как резекционных, так и коллапсохирургических операций на единственном легком остается на протяжении 60 лет их применения казуистически малой и является прерогативой лишь нескольких хирургических клиник.
Цель исследования — повышение эффективности лечения пациентов с деструктивным туберкулезом единственного легкого путем совершенствования коллапсохирургических операций.
Материал и методы
Пневмонэктомия с последующими коллапсохирургическими вмешательствами по поводу деструктивного туберкулеза единственного легкого выполнена у 123 пациентов: 78 (63,4%) мужчин и 45 (36,6%) женщин в возрасте от 14 до 59 лет, средний возраст 35±1,6 года. У 117 (95,1%) пациентов при поступлении в наши хирургические отделения на стороне большего поражения определен фиброзно-кавернозный туберкулез, у 1 — эмпиема плевры с циррозом легкого, у 5 — тотальная казеозная пневмония.
Фиброзно-кавернозный туберкулез со стороны меньшего поражения отмечен у 33 (26,8%) больных, очаговый туберкулез с распадом — у 31 (25,2%), кавернозный — у 29 (23,6%), туберкулемы с распадом — у 25 (20,3%), инфильтративный с распадом — у 5 (4,1%).
Срок заболевания туберкулезом, как и сроки химиотерапии до хирургического лечения, варьировал от 9 мес до 46 лет, но у 121 (98,4%) пациента составлял более 1 года. При этом 36 (29,3%) пациентов болели туберкулезом более 10 лет.
На момент хирургического лечения бактериовыделение в мокроте сохранялось у 122 (99,2%) больных. Данные о лекарственной устойчивости (ЛУ) микобактерий туберкулеза (МБТ) до операции получены у 117 (95,1%) пациентов, в том числе у 63 (53,8%) определена широкая лекарственная, у 46 (39,3%) — множественная лекарственная устойчивость, у 4 (3,3%) — поли- и монорезистентность.
У всех больных по данным КТ на стороне наибольшего поражения установлено тотальное обсеменение легкого с множественными кавернами. Каверны диаметром 2—4 см в наиболее пораженном легком описаны у 24 (19,5%) пациентов, 5—6 см — у 57 (46,3%), 7 см и более — у 42 (34,1%).
Осложнения легочного туберкулеза до хирургического лечения были у 114 (92,7%) больных, в том числе эмпиема плевры на стороне большего поражения у 65 (52,8%), туберкулез или дефекты грудной стенки после ранее перенесенных операций у 17 (13,8%), легочные кровотечения у 23 (18,7%), туберкулез гортани, трахеи и бронхов у 28 (22,8%), острое прогрессирование или генерализация процесса у 34 (27,6%).
Показатели внешнего дыхания оценивали по классификации В.Б. Нефедова (1988 г.). В оценке степени дыхательной недостаточности (ДН) учитывали также показатели газов крови: I степень ДН — PO2 60 —79 мм рт.ст., SaO2 90—94%; II степень ДН — PO2 40— 59 мм рт. ст., SaO2 75—89%; III степень ДН — PO2 менее 40 мм рт.ст., SaO2 менее 75%.
Отсутствие ДН выявлено при обследовании у 1 (0,8%) больного, ДН I степени — у 3 (2,4%), ДН II степени — у 40 (32,5%) и ДН III степени — у 79 (64,2%) пациентов.
Сопутствующие заболевания были у 122 (99,2%) оперированных, из них наиболее значимые — хроническая обструктивная болезнь легких и хронический бронхит у 103 (83,7%), кардиальная патология у 101 (82,1%), чаще всего легочное сердце, гепатиты или цирроз печени (38/30,9%), патология желудочно-кишечного тракта у 41 (33,3%), алкоголизм у 10 (8,1%) и сахарный диабет у 9 (7,3%).
Всем больным на стороне наибольшего поражения выполнены пневмонэктомии (58) или плевропневмонэктомии (65).
Показанием к использованию у этих пациентов коллапсохирургических операций послужило наличие ограниченных полостей без выраженных рубцовых перифокальных изменений, сочетающихся с очаговым обсеменением, делающим резекцию в пределах здоровых тканей невыполнимой, а также сохранение бактериовыделения и деструкций без тенденции к закрытию после 12 мес лечения и более, проводимого с учетом ЛУ МБТ при функциональной и технической возможности выполнения торакопластики или экстраплеврального пневмолиза (ЭПП).
К числу коллапсохирургических операций, выполненных нами у 123 пациентов, относились: ВАТС-торакопластика на стороне пневмонэктомии (патент РФ на изобретение №2428942, опубликовано 20.09.11 в бюл. №26), направленная на ликвидацию перерастяжения единственного легкого, а следовательно, оказывающая лечебное действие на легочной процесс — 63; торакомиопластика, при которой использовали широчайшую мышцу спины — 46; ВАТС-экстраплевральная торакопластика на стороне единственного легкого — 12 [6]; в 13 случаях осуществлен ЭПП с использованием надувных силиконовых баллонов (патент РФ №2338560) на стороне единственного легкого; в 2 случаях — ЭПП с миопластикой экстраплевральной полости широчайшей мышцей спины на сосудистой ножке.
У 13 больных различные виды коллапсохирургических операций с обеих сторон сочетались.
Таким образом, у 104 (84,6%) оперированных (1-я группа) применены коллапсохирургические операции только на стороне выполненной ранее пневмонэктомии и у 19 (15,4%) — на стороне единственного легкого или с обеих сторон (2-я группа). Пациенты 2-й группы отличались от пациентов 1-й группы большей распространенностью деструктивного процесса в единственном легком, что и обусловило более агрессивный хирургический подход.
Результаты
Интраоперационное осложнение во время коллапсохирургических операций возникло только у 1 (0,8%) пациента (ранение плевры во время ЭПП потребовало дополнительного дренирования плевральной полости).
Средняя продолжительность операции ЭПП составила 60,4 мин (40—100 мин). Средняя интраоперационная кровопотеря — 37,3 мл (5—100 мл).
Средняя длительность ВАТС-торакопластики составила 59,7 мин (25—155 мин), кровопотеря — 180 мл (10—800 мл).
Более травматичным вмешательством была торакомиопластика. Средняя продолжительность торакомиопластических операций 142,6 мин (25—285 мин), средняя интраоперационная кровопотеря 565,2 мл (10—2000 мл).
Послеоперационные осложнения после коллапсохирургических операций развились у 13 (9,6%) пациентов, в том числе эмпиема плевры или экстраплевральной полости у 5, прогрессирование туберкулеза у 2, тромбоэмболия легочной артерии (ТЭЛА) у 1, инфаркт миокарда у 1, у 3 больных отмечен разрыв экстраплеврального баллона и у 2 — миграция дренажа.
Тридцатидневная летальность после 136 коллапсохирургических операций составила 1,5% (в 1 случае от ТЭЛА, в 1 — от инфаркта миокарда).
После заживления раны пациентов переводили во фтизиатрические отделения того же стационара, где продолжали консервативное лечение. Непосредственную эффективность оценивали при выписке из терапии через 5—6 мес после завершения хирургического этапа лечения и получения результатов от 3 до 12 анализов мокроты на МБТ методами люминесцентной микроскопии и посева (табл. 1). Полный эффект достигнут у 79,7% оперированных.
Таблица 1. Непосредственные исходы хирургического лечения у выписанных больных
Полный эффект (КВ-, БК-)
Улучшение (КВ+, БК-)
Без перемен (КВ+, БК+)
При сравнении распределения исходов в 1-й и 2-й группах различия были недостоверны, χ 2 3≈0,85, p=0,838.
Отдаленные результаты удалось изучить у 100 (84,0%) из выписанных пациентов в сроки от 1 года до 5 лет, в том числе у 16 (88,9%) из 18 выписанных больных 2-й группы.
Через 5 лет после завершения хирургического лечения частота излечения уменьшилась. Полный эффект лечения отмечен у 55 (77,5%) из 71 больного, прослеженных более 5 лет, рецидивы или обострения туберкулеза (в том числе и излеченные) наблюдались у 24 (33,8%) пациентов, из которых 11 (15,5%) умерли от туберкулеза.
Через 1, 2, 3, 4 и 5 лет были живы 96, 94,5, 87,1, 83,1 и 81,2% оперированных соответственно (табл. 2).
Таблица 2. Выживаемость больных, оперированных по поводу туберкулеза
Фактическая выживаемость оперированных обеих групп достоверных различий не имела (χ 2 5≈4,51, p=0,479).
Вопросы трудовой реабилитации изучены через 3 года после хирургического лечения у 74 пациентов, все они на момент операции были нетрудоспособны (II группа инвалидности). Через 3 года II группа инвалидности была у 36 (48,6%) оперированных, II группа с правом работать — у 4 (5,4%), III группа — у 31 (41,9%), не имели инвалидности 3 (4,1%) больных. В народном хозяйстве работали 38 (51,4%) оперированных, выполняли домашнюю работу через 3 года после хирургического лечения 67 (90,5%) больных.
Эффективность лечения туберкулеза легких с МЛУ/РУ нельзя признать удовлетворительной. Например, при лечении когорты впервые выявленных больных 2013 г. среди больных с МЛУ/РУ в странах мира в среднем достигнута эффективность 52%, а в РФ — 48% [8]. При этом, по мнению экспертов ВОЗ, риск смерти у пациентов с МЛУ/РУ в среднем в мире превышает 40% [8]. Еще более мрачным является прогноз лечения больных с ШЛУ туберкулеза. Эффективность лечения этой категории пациентов в когорте, впервые выявленных 2013 г., составила в странах мира и РФ в среднем 28% [8].
Несмотря на успехи фтизиохирургии в лечении ограниченных процессов, хирургический метод в лечении распространенного двустороннего фиброзно-кавернозного туберкулеза легких применяется казуистически редко.
В случае тотального поражения одного легкого и деструктивном процессе во втором легком большинство хирургов считают операцию не показанной [1, 9, 10], причем многие подчеркивают опасность прогрессирования деструктивного туберкулеза в единственном легком после пневмонэктомии, чему способствует его перерастяжение [4, 11, 12]. Однако также существует мнение, что пневмонэктомия и последующее проведение антибактериальной терапии благоприятно влияют в подобной ситуации на течения заболевания в целом [10].
Публикации, в которых хотя бы упоминаются операции на единственном легком по поводу туберкулеза, встречаются в отечественной и зарубежной литературе казуистически редко [2—4, 11—13], хотя сложность и низкая эффективность консервативного лечения пациентов с деструктивным туберкулезом в единственном остающемся легком подчеркивают многие авторы [11—13].
Впервые резекции единственного легкого по поводу туберкулеза у 6 пациентов описали F. Woods, N. Wilson и R. Overholt [3] в 1956 г., а первая публикация об успешном применении коллапсохирургии (торакопластика) на единственном легком у 3 больных принадлежит B. Bicford и соавт. [4].
С тех пор предложены и ограниченно применялись различные варианты хирургических операций на единственном легком: пневмонэктомия с последующей резекцией единственного легкого [3, 14, 15], резекция легкого на стороне меньшего поражения с последующей пневмонэктомией [11, 16, 17], одномоментные пневмонэктомии с экономной резекцией единственного легкого из трансстернального доступа [14], одномоментная трансстернальная трансперикардиальная окклюзия главного бронха и сосудов разрушенного легкого с одномоментной резекцией остающегося легкого и последующей плевропневмонэктомией [2], одномоментная трансстернальная трансперикардиальная окклюзия культи главного бронха с резекцией единственного легкого [2], одномоментная контралатеральная трансплевральная окклюзия культи главного бронха с резекцией единственного легкого [2], искусственный пневмоторакс и торакокаустика [11], ЭПП [2, 12], экстраплевральная торакопластика [4, 14], экстраплевральная торакопластика с клапанной бронхоблокацией до или после выполнения торакопластики, микродренирование каверны [14, 18], кавернотомия [2], кавернопластики [13, 19], одномоментная трансстернальная трансперикардиальная окклюзия главного бронха разрушенного легкого с ЭПП и пломбировкой поролоном на стороне остающегося легкого и последующей плевропневмонэктомией [2, 12], одномоментная трансстернальная трансперикардиальная окклюзия культи главного бронха с ЭПП и пломбировкой поролоном [2].
Наиболее частыми операциями в лечении туберкулеза единственного легкого, по данным литературы, являются его резекции, однако и эти вмешательства выполняются редко.
В 2014 г. мы обобщили [5] сведения о 132 резекциях единственного легкого, упомянутых в 27 работах. Послеоперационные осложнения при операциях по поводу туберкулеза составили в среднем 52,4%, послеоперационная летальность — 21%, а полный клинический эффект — 73,8% [5].
Гораздо более редко, чем резекции, в лечении туберкулеза единственного легкого применялись коллапсохирургические операции, причем отношение к хирургии коллапса у многих авторов неоднозначно. Так, F. Woods, N. Wilson и R. Overholt в 1956 г. [3] отмечали безрезультатность лечения туберкулеза единственного легкого искусственным пневмотораксом, торакопластикой, экстраплевральным пневмолизом и дренированием каверны. В то же время некоторые хирурги получили при операциях коллапса на единственном легком большую эффективность, чем при резекции единственного легкого [2, 13]. Большинство зарубежных авторов в последние 30 лет относились к коллапсохирургическим операциям в лечении туберкулеза вообще отрицательно и совсем их не применяли [1, 20, 21]. Только в самые последние годы появились немногочисленные публикации в англоязычной литературе, свидетельствующие о некотором возрождении интереса к хирургии коллапса [22—25].
Сведения о торакопластиках на стороне единственного легкого за 62 года с момента их первого применения единичны: в 1957 г. B. Bicford и соавт. [4] сообщили о 3 операциях, в 1983 г. Л.К. Богуш [2] — об 1, в 2002 г. В.А. Порханов [18] — о 3 операциях.
Наибольший опыт торакопластики и кавернопластики на единственном легком опубликован А.В. Елькиным [13]. После 21 торакопластики и кавернопластики летальность составила 9,5%, а эффективность в отдаленный период — 47,6%.
ЭПП с пломбировкой полости поролоном применяли в клинике ЦНИИТ Л.К. Богуш и В.Н. Наумов [2, 12], как правило, из стернотомии одномоментно с окклюзией главного бронха разрушенного легкого и последующим его удалением. После операции умерли 7 (33%) из 21 больного, оперированного с применением этапной хирургической тактики, и у 1 из выписанных операция была неэффективной.
Вообще метод ЭПП, используемый в первой половине XX века, в последующие годы из-за высокой частоты осложнений и сравнительно низкой эффективности исчез из арсенала торакальной хирургии практически полностью. Мы нашли только 4 публикации [2, 11—13], в которых приведены непосредственные и отдаленные результаты коллапсохирургических операций в лечении деструктивного туберкулеза легких, и суммировали приведенные в них данные: средняя послеоперационная летальность составила 22,4% (13 из 58 больных), эффективность в отдаленный период — 62,1% (36 случай) (табл. 3).
Таблица 3. Результаты коллапсохирургических операций, выполненных по поводу деструктивного туберкулеза единственного легкого, по данным литературы
Эффективность кавернотомии. Туберкуломы
Подготовка по фтизиатрии в ИГМА проводится с учетом эпидемиологической ситуации в республике, необходимости интеграции знаний и навыков по фтизиатрии и пульмонологии, новых методов противотуберкулезной работы. База кафедры - республиканская клиническая туберкулезная больница, в составе которой имеются детское, дифференциально-диагностическое, терапевтическое, внелегочное, хирургическое отделения - отвечает требованиям подготовки студентов. В настоящее время на кафедре занимаются студенты всех факультетов нашего вуза. По новой учебной программе лечебному факультету отводится 127 часов, педиатрическому - 137, стоматологическому - 18. Особое внимание уделяется самостоятельной работе студентов. Кроме того, кафедра занимается подготовкой клинических ординаторов, интернов фтизиатров, а также ординаторов и интернов других кафедр. В системе подготовки специалистов большое внимание уделяется приобретению практических навыков: особенностям обследования больного туберкулезом, технике постановки и чтению туберкулиновых проб, оценке рентгенологической картины легких. Значительное количество времени уделяется дифференциальной диагностике туберкулеза легких с нетуберкулезными заболеваниями, роли врача общей лечебной сети в своевременном выявлении туберкулеза и его профилактике. Ввиду того, что в РКТБ работает 38,4% - пенсионеров кафедра активно ведет подготовку интернов, клинических ординаторов, аспирантов для практической работы в противотуберкулезной службе УР, а также педагогического процесса. Ответственный за клинических интернов, ординаторов кафедры фтизиатрии О.Е. Русских.
Организация учебного процесса
Занятия проводятся на 5 курсе лечебного факультета, 6 курсе лечебного вечернего факультета, 5 и 6 курсах педиатрического факультета, 4 курсе стоматологического факультета, элективные занятия со студентами 5 курса лечебного факультета. Лекции читаются заведующим кафедрой, доцентом и ассистентами. Кафедра имеет 3 оборудованные учебные комнаты на основной базе и 2 на другой базе кафедры - в госпитале для инвалидов ВОВ. Имеется кабинет профессора, кабинет для самостоятельной работы студентов, лаборантская. На базе РКТБ есть актовый зал на 80 посадочных мест, где читаются лекции. Учебные комнаты оснащены необходимым для практических занятий количеством средств обучения (таблицы, плакаты, наглядные пособия, методическая и учебная литература, мультимедийные демонстрационные приборы). В плане новых технологий студенты посещают отделения и лаборатории базы для знакомства с новыми методами диагностики и лечения туберкулеза. На кафедре имеется 160 экземпляров учебно-методической и информационной литературы: приказы, материалы конференций, съездов фтизиатров, сборники научных трудов институтов, монографии по туберкулезу и смежным вопросам (рак, кандидоз, саркоидоз и др.), журналы «Проблемы туберкулеза», «Туберкулез и экология». Результаты диссертационного исследования О.Е. Русских используются в работе противотуберкулезных служб систем УФСИН УР и МЗ УР и учебном процессе. Результаты диссертационного исследования доцента кафедры О.В.Моисеевой используются в работе общей лечебной сети, детского диспансерного отделения и учебном процессе, практическом здравоохранении. Для учебного процесса используются наглядные пособия. Имеется табличный фонд (более 300 таблиц) по физиологии и патологии дыхательной системы, по всем клиническим формам туберкулеза. На кафедре у каждого преподавателя хороший архив рентгенограмм по различной патологии легких, специфической и неспецифической, по некоторым формам внелегочного туберкулеза. Занятия проходят с использованием базовых отделений и лабораторий РКТБ. В баклаборатории студенты знакомятся с лабораторной диагностикой туберкулеза, а в рентгенологическом кабинете с лучевыми методами. Знакомство с такими методами диагностики, как медиастиноскопия, биопсия плевры, биопсия легкого и т.д. происходит в хирургических отделениях РКТБ. Обязательна курация больных. Студенты изучают клинические истории болезни и рентгенограммы в динамике, которые используются при разборе больных.
Зав. кафедрой фтизиатрии, д.м.н. Русских О.Е. в выступлениях с докладами на научно-практических конференциях российского и регионального уровня доложены результаты анализа эффективности лечения больных туберкулезом в РФ. Показаны низкие его результаты в настоящее время, выявлены причины низкой эффективности лечения в современных эпидемических условиях, сделаны предложения.
Доцентом О.В. Моисеевой была внедрена в общую лечебную сеть компьютерная программа по определению индивидуальной степени риска заболевания туберкулезом. Докторская диссертация на тему «Научное обоснование инновационной информационно-аналитической системы управления рисками среди детей и подростков» Моисеевой О.В. была защищена 25.06.2013 г. в УрНИИ ФП (г. Екатеринбург).Ассистентом Вагановой У.С. было продолжено изучение особенностей выявления туберкулеза среди медицинских работников и путей профилактики. Изучению были подвергнуты медицинские работники противотуберкулезных учреждений, студенты медицинских вузов, а также работники общей лечебной сети УР. Был проведен детализированный анализ эпидемиологических показателей по туберкулезу, характеризующих качество организации мероприятий по своевременному выявлению туберкулеза в УР за период с 2002 по 2012 гг. Детально изучен показатель заболеваемости туберкулезом среди медицинских работников в УР. Результаты исследования показали, что организация противотуберкулезных мероприятий, направленных на своевременное выявление туберкулеза, среди населения, находится на невысоком уровне. За весь период наблюдения в УР отмечался низкий охват населения флюорографическими осмотрами на туберкулез, и как следствие этого, низкий удельный вес больных туберкулезом органов дыхания, выявленных этим методом активно.Тема диссертационной работы "Оптимизация методов своевременного выявления туберкулеза среди медицинских работников". Выполнение по плану 2010-2014 гг.
Ассистентом Вагановой У.С. было проведено исследование с помощью пробы с препаратом Диаскинтест среди сотрудников противотуберкулезной службы, работников ОЛС и группы сравнения. Результаты исследования будут представлены в ближайшее время.
Клиническим интерном А.С. Игониной была изучена эффективность исследования двух режимов химиотерапии у больных деструктивными и бациллярными формами туберкулеза в УР (I и IIБ). В ходе работы было доказано, что применение IIБ режима химиотерапии, состоящего из комбинации изониазида, рифампицина, пиразинамида, этамбутола, канамицина (амикацина) и фторхинолона являлось наиболее эффективными при лечении впервые выявленных больных туберкулезом легких с деструкцией и бактериовыделением. Данный режим позволяет добиться прекращения бактериовыделения по результатам микроскопии мокроты в 59,5% случаев, при этом закрытие полостей распада в легких составляет 86,6%. Были даны практические рекомендации в плане применения адекватных схем лечения больных противотуберкулезными препаратами, чтобы избежать формирования хронических форм с МЛУ МБТ и заражения окружающих лиц микобактериями, устойчивыми к ПТП.
Клиническим интерном Н.В. Долговой были изучены токсические гепатиты как побочное действие противотуберкулезных препаратов, используемых в лечении больных туберкулезом легких. По результатам исследования оказалось, что частота встречаемости побочных реакций в ходе лечения составила 17,4% от общего числа исследованных историй болезни, при этом, при I режиме химиотерапии лекарственные поражения печени встречались в 63%, при IIБ – в 35,0%, при IV – в 2,0% случаев. Группу риска составили мужчины в возрасте от 20 до 39 лет, с сопутствующими заболеваниями системы ЖКТ, гепатитами, алкоголизмом, при лечении более 3-х месяцев и употреблении алкоголя во время лечения противотуберкулезными препаратами.
Ассистентом Сысоевым П.Г. изучена современная эпидемиологическая ситуация по туберкулезу в динамике в УР. Выявлено, что в условиях наметившейся тенденции снижения показателей общей заболеваемости, распространенности, смертности наблюдается высокий показатель заболеваемости бациллярными формами туберкулеза органов дыхания, среди которых ежегодно увеличивается доля лиц с множественной лекарственной устойчивостью, а так же прогрессивно растет число лиц с сочетанной инфекцией (ТБ/ВИЧ), что свидетельствует о напряженной ситуации по туберкулезу в республике.В 1967 г. организован самостоятельный курс туберкулеза, его возглавила доцент Е.Е. Полушкина. В 1976 г. курс туберкулеза реорганизован в кафедру, которой заведовала до 2010 года д.м.н., профессор, заслуженный работник здравоохранения УР Елена Ефимовна Полушкина. С 2010 года кафедру возглавляет доктор медицинских наук, доцент Олег Евгеньевич Русских. Кафедра все годы работала над проблемами эпидемиологии туберкулеза, диагностики и дифференциальной диагностики туберкулеза и других заболеваний легких, лекарственной устойчивости микобактерий туберкулеза к противотуберкулезным препаратам. Большая работа ведется в плане подготовки кадров .
Русских Олег Евгеньевич . В 1992 г. закончил Ижевский государственный медицинский институт, лечебный факультет. После окончания института, с 1992 - 2001 гг., работал фтизиатром в системе исполнения наказания Удмуртской Республики. С 1996-2000 г. являлся слушателем заочной аспирантуры на кафедре фтизиатрии ИГМА. В 2001 г. в ЦНИИТ г. Москвы защитил кандидатскую диссертацию на тему «Эпидемическая ситуация по туберкулезу и факторы ее определяющие». С 2001 г. работал ассистентом кафедры фтизиатрии ИГМА, с 2004 г. – доцентом, а с 2010 г. зав. кафедрой фтизиатрии. В 2008 г. в Центральном научно-исследовательском институте туберкулеза защитил докторскую диссертацию на тему «Медико-социальное обоснование интеграции фтизиатрической службы пенитенциарной системы здравоохранения». О.Е. Русских проявил себя знающим и требовательным педагогом, умеющим заинтересовать студентов преподаваемой дисциплиной. Читает лекции студентам и слушателям ФПК, использует современные достижения фтизиатрии. Научная деятельность доцента О.Е. Русских посвящена наиболее актуальным проблемам современной фтизиатрии: проблемам современной фтизиатрии, повышения эффективности лечения туберкулеза, эпидемиологии туберкулеза в РФ. О.Е. Русских автор монографии «Эпидемическая ситуация по туберкулезу в пенитенциарном и гражданском секторах Удмуртской республики». Кроме того, является автором 70 научных статей и 5 учебно-методических пособий для студентов и слушателей ФПК. Под руководством О.Е. Русских выполняются три кандидатские диссертации. Олег Евгеньевич многократно обучался на курсах повышения квалификации. О.Е. Русских оказывает активную помощь органам здравоохранения. Занимается с клиническими интернами и ординаторами. Является членом российского общества фтизиатров Российской Федерации и Удмуртской Республики, имеет высшую квалификационную категорию врача фтизиатра. С декабря 2011 г. по август 2012 г. работал руководителем терапевтического отдела НИИ МГМУ им. Сеченова, где занимался изучением вопросов повышения эффективности лечения больных туберкулезом в условиях распространенности лекарственной устойчивости, внедрением новых противотуберкулезных препаратов. получил сертификат GSP-по надлежащей практике клинических исследований. Стаж работы врачом-фтизиатром – 19 лет. О.Е. Русских грамотный специалист, владеющий современными вопросами фтизиатрии, обладает организационными способностям
Тимшина Надежда Ивановна старший лаборант кафедры в 1992 году закончила стоматологический факультет Ижевского государственного медицинского института. С 1992 года и по настоящее время работает старшим лаборантом на кафедре фтизиатрии ИГМА. Стаж работы на кафедре 20 лет. Надежда Ивановна проявила себя знающим и ответственным сотрудником. На протяжении всей трудовой деятельности оказывала помощь в научной и методической работе профессорско-преподавательскому составу кафедры, организовывала и обеспечивала качественный учебный, учебно-методический, научный и лечебный процесс на кафедре. В ее соавторстве были опубликованы две методические разработки для самостоятельной работы студентов «Интерпретация основных рентгенологических синдромов во фтизиатрии»(2008) и «Фтизиатрия» (2006). В 2009 году участвовала в разработке учебно-методических комплексов для студентов, клинических ординаторов и интернов.
ХИРУРГИЧЕСКАЯ ТАКТИКА В УСЛОВИЯХ СОВРЕМЕННОГО ТЕЧЕНИЯ ТУБЕРКУЛЕЗА ЛЕГКИХ
Для цитирования: Наумов В.Н., Шайхаев А.Я., Токаев К.В. ХИРУРГИЧЕСКАЯ ТАКТИКА В УСЛОВИЯХ СОВРЕМЕННОГО ТЕЧЕНИЯ ТУБЕРКУЛЕЗА ЛЕГКИХ. РМЖ. 1998;17:11.Хирургические методы используют в лечении больных туберкулезом органов дыхания более 100 лет. Разработаны методики оперативного лечения как ограниченных, так и распространенных форм туберкулеза, применяющиеся в сочетании с противотуберкулезной химиотерапией. До 1990 г. оперативное лечение преимущественно проводили при ограниченных поражениях легких. В настоящее время в связи с учащением случаев лекарственной полирезистентности микобактерий туберкулеза приоритет отдается хирургическому лечению распространенных прогрессирующих процессов в легких.
Surgical interventions are used in the treatment of patients with pulmonary tuberculosis over 100 years. Surgical techniques in combination with antituberculosis drug therapy both for restrictive and disseminated tuberculosis have been developed. Before 1990, surgery was made chiefly in restrictive pulmonary diseases. Due to the greater cases of Mycobacterium tuberculosis multiresistance, surgery for disseminated progressive processes in the lung is of high priority.
В.Н. Наумов — профессор, доктор мед.наук, руководитель отдела хирургии ЦНИИ туберкулеза РАМН
А.Я. Шайхаев — доктор мед. наук, ведущий научный сотрудник ЦНИИ туберкулеза РАМНК.В. Токаев — доктор мед. наук, ведущий научный сотрудник ЦНИИ туберкулеза РАМН, Москва
V.N. Naumov — Prof., MD, Head, Department of Surgery, Central Research Institute of Tuberculosis, Russian Academy of Medical Sciences A.Ya.
A.Ya. Shaikhayev — MD, Leading Researcher, Central Research Institute of Tuberculosis, Russian Academy of Medical Sciences
K.V. Tokayev — MD, Leading Researcher, Central Research Institute of Tuberculosis, Russian Academy of Medical Sciences, MoscowВ России наблюдается рост показателей заболеваемости туберкулезом, в том числе с бактериовыделением, и смертности от него на 70% и более по сравнению с 1990 г. Особое значение имеет увеличение числа больных с тяжелыми остропрогрессирующими формами заболевания, первичной полирезистентностью микобактерий туберкулеза (МБТ) и вторичным иммунодефицитом, которые способствуют развитию эпидемии туберкулеза, а ее последствия, представленные в прогнозах для населения России и других стран мира, крайне неблагоприятны . Антибактериальная комбинированная полихимиотерапия при этих формах туберкулеза часто малоэффективна вследствие лекарственной резистентности МБТ, нарушений иммунитета и др. Поэтому особенно остро встает проблема повышения противоэпидемической роли фтизиохирургии, а также разработки методов спасения обреченных на неблагоприятный исход больных, как правило, молодого и среднего возраста.
Таблица 1. Виды оперативных вмешательств (в %) по поводу туберкулеза органов дыхания, проведенных в ЦНИИТ РАМН за период с 1975 по 1996 г.Сроки выполнения
1975 – 1990 гг. (n=6416)
1992 – 1996 гг. (n=1008)
кавернопластика, торакопластика, ЛЭП)
Исторический путь развития хирургических методов лечения больных туберкулезом легких и плевры в мире и в России насчитывает более 100 лет. Хирургия туберкулеза легких стала важной проблемой во всем мире еще в доантибактериальный период. В нашей стране Н. Г. Стойко выполнял операции торакопластики, начиная с 1917 г. В 1936–1938 гг. Л.Л.Богуш в Нижнем Новгороде успешно проводил операции перевязки легочных вен, удаления доли пораженного туберкулезом легкого. К 60-м годам эпидемиологическая ситуация в Европе и Америке значительно улучшилась, и количество операций стало уменьшаться. В Советском Союзе в связи с сохраняющейся высокой распространенностью туберкулеза с 1961 г. была принята государственная программа по его хирургическому лечению. При областных противотуберкулезных диспансерах (ПТД) были открыты типовые хирургические отделения, подготовлены специалисты-фтизиохирурги.
Таблица 2. Эффективность хирургических вмешательств при туберкулезе органов дыхания, проведенных в 1992 – 1996 гг., в ЦНИИТ РАМННазвания операций
Клинический эффект, %
Летальность, %
Количество операций по поводу торакального туберкулеза постоянно увеличивалось и к 1989 г. достигло 28 000 в год. Были разработаны методы хирургического лечения как ограниченных, так и распространенных туберкулезных поражений легких, исключая остро прогрессирующие формы, в том числе казеозную пневмонию.
Начиная с 90-х годов отмечено нарастание частоты развития остропрогрессирующих форм туберкулеза легких, включая казеозную пневмонию, плохо поддающихся противотуберкулезной терапии. Происшедшие изменения в клиническом течении туберкулеза легких потребовали коррекции хирургической тактики и разработки новых хирургических методов лечения, применимых при остропрогрессирующих формах туберкулеза.
Таблица 3. Пневмонэктомия при двустороннем туберкулезном пораженииВ настоящее время фтизиохирургия должна ориентироваться в первую очередь на совершенствование методов хирургического лечения больных с заразными прогрессирующими формами туберкулеза, чтобы предотвратить рост резервуара инфекции и добиться снижения показателя смертности. Совершенствование методов химиотерапии, особенно внедрение новых программ противотуберкулезной терапии, новых мощных антибиотиков широкого спектра и иммуномодуляторов, совершенствование хирургической и анестезиологической техники, использование новых технических средств открывают новые возможности для расширения показаний к операциям у ранее бесперспективных больных, даже с двусторонними деструктивными процессами. Таким образом, сформировались условия для пересмотра хирургической тактики.
Табл. 1 показывает изменения в структуре хирургических операций у больных туберкулезом легких, проведенных в хирургическом отделе ЦНИИ туберкулеза РАМН за последние 20 лет.
Частичные, экономные и комбинированные резекции легких при ограниченных туберкулезных процессах ранее были основными во фтизиохирургической службе по стране и составляли более 80 % всех операций при туберкулезе. Показания к этим видам операций и техника их выполнения хорошо отработаны, прошли испытание временем и не претерпели существенных изменений. Общее сокращение числа частичных резекций с 27,4 до 13,9 % объясняется не столько поздней выявляемостью ограниченных форм туберкулеза (снижение роли профилактических осмотров, флюорографии), но и социально-экономическими причинами. Эффективность частичных резекций легких в нашей клинике остается на уровне 98,4 % (табл. 2) .
В арсенале фтизиохирургических вмешательств значительное место вновь приобретают нерезекционные методы лечения: варианты эндокавитарного, в том числе лазерного лечения, экстраплеврального пневмолиза (ЭПП), кавернотомия, кавернопластика, торакопластика, вскрытие полости эмпиемы, торакомиопластика, сроки выполнения которых необоснованно затягиваются на местах. Этот вид операций в нашей клинике составляет от 19,5 до 21,7 %. Основные показания к этим операциям остались прежними: большие (в том числе двусторонние) каверны на фоне обширной диссеминации как основной источник интоксикации при неэффективности полихимиотерапии и прогрессирующем течении заболевания, когда радикальные операции противопоказаны из-за распространенности процесса или ограниченности функциональных резервов пациента. В последние годы уменьшилось число пациентов, которым показана одномоментная кавернопластика. При этом наиболее часто использовались ЭПП, одно- и двухэтапные кавернотомии как самостоятельные (11 %) операции, которые не сопровождались серьезными осложнениями и у 85,7 % больных позволили прекратить бацилловыделение и стабилизировать распространенный туберкулезный процесс. Новый вариант открытого ЭПП весьма щадящий, выполняется с резекцией участков 2–3 ребер (в зоне над каверной), преимущественно из подмышечного доступа с последующим местным лечением каверны путем пункций с введением антибиотиков, использованием различных видов физического воздействия. Такие операции можно проводить в качестве предварительного эффективного лечения с целью стабилизации двустороннего туберкулезного процесса и подготовки к радикальному оперативному вмешательству на стороне основного поражения. Авторы использовали этот вид операций более чем у 40 больных, а за последние 5 лет – у 18 человек при поражении единственного легкого. Кроме того, ЭПП у 21 пациента сочетался с одномоментными этапными (в том числе комбинированными) вмешательствами на контрлатеральном легком. Разработанные в нашей клинике и используемые в настоящее время операции уникальны в мировой практике и могут сыграть еще большую роль в излечении распространенных прогрессирующих деструктивных форм туберкулеза.
Важным разделом современной фтизиохирургии является разработка методов предоперационной подготовки с целью стабилизации туберкулезного процесса, лечение сопутствующих заболеваний: интенсивное местное лечение (пункции, дренирование каверн, внутрилегочное и внутрикавитарное введение препаратов), коррекция легочно-сердечной недостаточности, компенсация сахарного диабета и др.. Прослеживается тенденция использования современных, иммунокорригирующих средств, методов экстракорпоральной детоксикации для эффективного и быстрого способа подготовки к обширным вмешательствам вплоть до плевропульмонэктомии у больных, которые ранее считались неоперабельными и некурабельными.
Классическая плеврэктомия, в том числе и с резекцией легкого, при эмпиеме плевры составила 1,2% против 2,3 % в 80-е годы.
Объясняется это не только уменьшением числа пациентов с постпневмотораксной эмпиемой плевры, но и возрастанием числа больных с хроническими экссудативными плевритами, в излечении которых роль хирургических методов часто незаслуженно принижается.
По данным ПТД, в последние годы увеличился поток больных с экссудативными плевритами среди вновь выявленных больных туберкулезом легких. Общая лечебная сеть отправляет их в ПТД, а последние практически не учитывают, что в случаях хронизации воспалительного процесса в плевре оперативное лечение (в сроки до года от начала заболевания) эффективно и позволяет полностью восстановить функцию дыхания. Поэтому фтизиохирургам следует ориентироваться на раннее (через 4 – 8 мес от момента начала заболевания) применение реконструктивных операций при хронических плевритах и начальных стадиях хронической эмпиемы плевры. Эффективность при этом достигает 98,1%. На операцию удаления легкого (пневмонэктомия, плевропневмонэктомия, доудаление остатков легкого) приходится сейчас 16,2 % вместо 13,4 % в прошлые годы. Послеоперационная летальность достигает 8,1 – 9,2%, эффективность – 86,3 %. Показания для пневмонэктомии при так называемом стабильном одностороннем распространенном деструктивном туберкулезе в настоящее время имеются значительно реже (не более 15%). Оказывается, удельный вес пневмонэктомий обусловлен ростом (до 55%) числа остропрогрессирующих форм фиброзно-кавернозного туберкулеза и его осложнений (пиопневмоторакса, легочных кровотечений), случаев полирезистентности МБТ, когда современная полихимиотерапия уже неэффективна и бесперспективна. При этом пневмонэктомия как одномоментная операция может быть выполнена только у 62,5 % пациентов. Эффективность операции удаления всего легкого при относительно стабильном варианте клинического течения составляет 92%, без летальных исходов. В остальных случаях пневмонэктомия является заключительным этапом комплексного хирургического лечения больных двусторонним осложненным прогрессирующим деструктивным туберкулезом легких (табл. 3) .
Эффективность этапной пневмонэктомии составляет 82,6 % при летальности 10–12,4 % случаев (см. табл. 2). Метод более эффективен, чем одномоментная пульмонэктомия у аналогичных групп больных.
Ключевым моментом новой хирургической тактики при развившихся осложнениях, таких как бронхиальные, торакальные свищи, остеомиелиты ребер, двусторонние осложненные процессы, является трансстернальная трансперикардиальная окклюзия главных бронхов и легочных сосудов на стороне основного поражения. При этом одновременно на стороне меньшего поражения (практически единственного легкого!) осуществляют такие вмешательства, как ЭПП с тампонадой, этапные кавернотомии, реже – частичные резекции. На стороне основного поражения одновременно производят вскрытие полости эмпиемы и каверны с открытой тампонадой. Для предотвращения тяжелой дыхательной недостаточности одномоментно производят трахеостомию с последующей длительной искусственной вентиляцией легких (иногда до 1 – 1,5 мес). Комплексное лечение после первого хирургического этапа, включающее использование полихимиотерапии, экстракорпоральных методов детоксикации, различных типов лазеров, УФО, парентерального питания, позволяет в большинстве случаев подготовить таких пациентов к заключительной операции – удалению легкого.
Таким образом, гармоничное применение всего арсенала фтизиохирургических вмешательств, которые могут выполняться у значительного числа нуждающихся, по нашему убеждению, позволяет значительно снизить резервуар инфекции, расширить возможности хирургического излечения наиболее тяжелой группы больных туберкулезом органов дыхания всех возрастов и определяет хирургическую тактику, соответствующую требованиям времени.1. Богуш Л.К. Хирургическое лечение туберкулеза легких .- М., 1979.
2. Репин Ю.М. Хирургия отягощенных форм туберкулеза .- Л., 1984.
3. Перельман М.И., Стрельцов В.П., Наумов В.Н. / Органощадящие оперативные вмешательства во фтизиопульмонологии .- М., 1989 -. С.4-7.
Контент доступен под лицензией Creative Commons «Attribution» («Атрибуция») 4.0 Всемирная.Поделитесь статьей в социальных сетях
Авторизируйтесь или зарегистрируйтесь на сайте для того чтобы оставить комментарий.
Читайте также:

