Лучевые признаки рабдомиомы сердца плода
Добавил пользователь Владимир З. Обновлено: 28.11.2025
Позгалёва Н.В., Борисова А.А., Быкова Е.В., Гаврилова Е.С.
Научный руководитель: к.м.н., доцент Панина О.С.
ГБОУ ВПО Саратовский ГМУ им. В.И. Разумовского Минздрава РФ Кафедра госпитальной педиатрии и неонатологии
Резюме
В течение многих веков первичные новообразования сердца считались редкой патологией. Благодаря развитию новых технологий в диагностике, мы, к сожалению, не можем с этим согласиться.
У плода пренатально выявлены множественные рабдомиомы, которые не влияли на ритм сердца. Постнатально вышеперечисленные образования не препятствовали кровотоку. Однако, сразу после рождения отмечалась выраженная тахикардия, неподдающаяся подсчету. Симптомы были купированы «Кордароном», в назначенной кардиологом дозе. После кратковременного лечения малыша смогли перевести в отделение физиологии новорожденных.
Ключевые слова
Статья
Актуальность. Опухоли сердца у детей до последнего времени представляли собой малоизученную область детской кардиологии, что объясняется редкостью данной патологии, особенно в детском возрасте, ее чрезвычайно полиморфной клинической картиной и сложностью прижизненной диагностики.
В течение длительного времени опухоли сердца выявлялись преимущественно на аутопсиях или как случайная находка при кардиохирургических вмешательствах. Считалось, что редкость развития сердечных неоплазм объясняется особенностями метаболизма миокарда, кровотоком внутри сердца и ограниченностью числа лимфатических сосудов сердца. Кроме того, в ответ на повреждение в сердце происходят дегенеративные изменения, а не регенерация.
Но, по мере накопления клинического опыта, а также внедрения новых неинвазивных методов исследования (трансэзофагеальная и пренатальная эхокардиография, компьютерная томография и магнитно-резонансная томография) и определение возрастных, генетических и эпидемиологических факторов риска развития данной патологии дали возможность чаще выявлять опухоли сердца у новорожденных и детей первого года жизни. Прижизненная диагностика новообразований сердца в этой возрастной группе стала более доступной, а также частым явлением в клинической практике неонатологов, кардиологов, педиатров и онкологов.
Частота встречаемости первичных доброкачественных новообразований сердца у новорожденных и детей первого года жизни, по данным 11 000 аутопсий, составляет 0,27%. По некоторым данным, в последние 15 лет частота регистрации опухолей сердца увеличилась в 15 раз.
Диагностика данной патологии у новорожденных и детей первого года жизни сложна, так как сопровождается полиморфной, а подчас асимптомной клинической картиной. Еще сложнее выявить эту аномалию пренатально, так как опухолевидные включения либо не привлекают внимания, либо воспринимаются как вторичная гипертрофия миокарда функционального порядка. В то же время не следует забывать, что в 50% случаев множественные врожденные новообразования сердца являются одним из признаков такого тяжелого генетического синдрома, как туберозный склероз. Современная неинвазивная диагностика, в частности метод комплексной эхокардиографии, позволяет выявить эту врожденную патологию не только после рождения ребенка, но и в период его внутриутробного развития.
А.С. Шарыкин отмечал, что частота встречаемости различных опухолей у детей составляет: рабдомиомы - 63,0 %; фибромы - 18,9 %; миксомы - 3,9 %; гемангиомы – около 3,9 %; тератомы, опухоли клеток Пуркенье, липома составили - 3,3 %, 2,2 % и 1,1 %, соответственно; злокачественные опухоли - около 7,0 %.
Около 75 % всех первичных опухолей по своему гистологическому строению являются доброкачественными, остальные 25 % — злокачественными. В детском возрасте на долю доброкачественных опухолей приходится около 90 % первичных новообразований. Среди первичных доброкачественных опухолей наиболее часто выявляются миксомы, которые доминируют у взрослых пациентов. У детей превалируют другие доброкачественные опухоли сердца, которые могут содержать клетки мышечной ткани (рабдомиомы), соединительной ткани (фибромы), ткани зародышевого происхождения (тератомы). Фибромы и рабдомиомы, как правило, растут в толще сердечной мышцы.
Рабдомиома образуется из эмбриональных мышечных клеток (специализированных, типа клеток Пуркинье, или клеток сократительного миокарда), обнаруживается в полостях, как правого, так и левого желудочка сердца и межжелудочковой перегородке. У 1/3 детей рабдомиома поражает миокард, на клапанах сердца практически не встречается. В 50 % случаев рабдомиома имеет внутриполостной рост, приводя к обструкции камер желудочков. Почти в 1/3 и более случаев рабдомиома сочетается с врожденным дефектом развития коры головного мозга — туберозным склерозом, который клинически выражается умственной отсталостью, эписиндромом, внутричерепными обызвествлениями. Возможно также сочетание с поликистозом почек. Рабдомиомы, располагающиеся в миокарде желудочков, нередко сопровождаются прогрессирующим ухудшением сердечной деятельности, возникновением аритмий различной формы и сложности. Клиническая картина рабдомиом сердца является неоднородной и зависит от характера их роста, размера, локализации, степени внутрисердечной обструкции или деформации проводящей системы. Выступая в просвет камер сердца, рабдомиомы нарушают сердечную гемодинамику, их течение сходно с клинической картиной порока венозных или артериальных клапанных отверстий. Уже с 16–20-й недели внутриутробного развития они могут быть обнаружены с помощью Эхо-КГ. В настоящее время удельный вес пренатальных диагнозов составляет 21–27 %. В постнатальном периоде большинство опухолей (72–77 %) диагностируют в возрасте до 1 года, что свидетельствует в пользу их врожденного характера. Установлено, что опухоль быстро увеличивается во второй половине беременности и достигает своих максимальных размеров к моменту рождения. Примерно в 75 % наблюдений пренатально диагностированная рабдомиома представлена множественными узлами.
Рабдомиомы сердца обычно не имеют тенденции к озлокачествлению, хотя описаны единичные случаи малигнизации рабдомиом в рабдомиосаркому.
Клинический случай:
Нам хотелось бы представить клинический случай рождения ребенка с пренатально выявленной рабдомиомой.
Беременная Ш. 28 лет, поступила в ГУЗ «Перинатальный центр» г. Саратова при сроке гестации 39 недель. Из анамнеза женщины известно что, данная беременность 2-ая, протекала на фоне осложненного акушерско-гинекологического анамнеза, хронической внутриутробной гипоксии плода, носительства TORCH – инфекции, врожденного порока развития плода (множественные рабдомиомы сердца). Роды 1-ые, срочные, быстрые, в головном предлежании: 1-ый период родов составил 4 часа, 2 период - 40 минут, безводный промежуток - 5 часов 10 минут, околоплодные воды светлые. Оценка по шкале Апгар 7-7 баллов. Антропометрические данные ребенка при рождении: рост 51 см, вес 3510 гр., окружность головы 36 см, окружность груди 34 см. Во время проведения первичной реанимации новорожденному в родильном зале, был зафиксирован приступ пароксизмальной тахикардии (частота сердечных сокращений подсчету не поддавалась). После проведения первичных реанимационных мероприятий ребенок был доставлен в отделение реанимации и интенсивной терапии новорожденных.
В отделении реанимации новорожденных состояние ребенка было расценено как тяжелое за счёт приступа пароксизмальной тахикардии и неврологической
симптоматики. Новорожденный на осмотр реагировал умеренно выраженной двигательной активностью, криком средней силы. С рождения у ребенка отмечалась мышечная гипотония, гипорефлексия, поза полуфлексорная. Голова имела долихоцефалическую форму, была умеренно конфигурирована, имела место умеренная родовая опухоль в лобнозатылочной области, больше слева; большой родничок 1,0х1,0 см на уровне костей черепа. Кости черепа умеренной плотности. Глаза открывал на осмотр, реакция зрачков на свет была симметрична. Кожные покровы при первичном осмотре были розовые с цианотичным оттенком, отмечался выраженный акроцианоз, периоральный цианоз. Видимые слизистые были розово-цианотичны. Объективно: Область сердца у новорожденного визуально не была изменена, левая половина грудной клетки не выбухала, не отмечалось систолического дрожания. Границы относительной сердечной тупости не были расширены: правая - по правому краю грудины, левая на 1,0 см кнаружи от левой срединно-ключичной линии, верхняя - II ребро. При аускультации обращали на себя внимание глухие сердечные тоны, выраженная тахикардия, не поддающаяся подсчёту (по данным монитора до 300 ударов в минуту). Пульс на периферических артериях отмечался средних качеств, симптом белого пятна – 3-4 сек. Мониторирование артериального давления выявило склонность к артериальной гипертензии (на левой руке 89/45 мм рт. ст, левой ноге 76/41 мм рт. ст., правой руке 94/45 мм рт. ст., правой ноге 69/45 мм рт. ст).
По остальным органам и системам патологии выявлено не было. В первом контроле кислотно-основного состояния капиллярной крови был отмечен субкомпенсированный респираторно - метаболический ацидоз, умеренная гипоксемия. Ребенку была налажена подача увлажненного кислорода через маску.
В ходе клинического обследования были выявлены следующие изменения: Д-ЭХО-КГ (осмотр на фоне приступа пароксизмальной тахикардии). В полости правого желудочка лоцируются 3-и эхоплотных образования округлой и овальной формы, размером 0,56 х 0,24 см; 0,37 х 0,35 см,1,01 х 0,37 см, два образования крепятся к передней стенке правого желудочка, одно к модераторному тракту. В полости левого желудочка одно эхоплотное образование овальной формы 0,57 х 0,33 см, прикреплённое возможно к межжелудочковой перегородке. Все вышеперечисленные образования не препятствуют кровотоку и не вызывают обструкцию выходных отделов желудочков. Умеренная гипертрофия и дилатация правого желудочка. Умеренная дилатация правого предсердия. Митральная регургитация 1-й степени. Трикуспидальная регургитация 1-й степени. Минимальная лёгочная гипертензия. Глобальная сократимость левого желудочка не нарушена. Открытое овальное окно 0,4 см, функционирующее. В левом желудочке аномально расположенная хорда.
За время пребывания в Перинатальном центре ребенок неоднократно осматривался кардиологом, а также кардиохирургом по поводу основного диагноза: ВПР. Множественные рабдомиомы сердца. Пароксизмальная суправентрикулярная тахикардия, приступный период.
Стартовая терапия приступа пароксизмальной тахикардии включала в себя внутривенное введение «Кордарона» из расчёта 3 мг/кг веса в течение 2 часов. Учитывая гемодинамически значимое нарушение сердечного ритма, была продолжена антиаритмическая терапия «Кордароном», в дозе насыщения 8,5 мг/кг/с, 2-х кратно, в течение 7 дней, с последующим переводом на поддерживающую дозу 4 мг/кг/с, однократно. Препарат принимался под контролем ЭКГ (на фоне насыщения по данным ЭКГ отслеживалось удлинение интервала QT, допустимым считался прирост не более 25% от исходного). По-поводу основного заболевания ребенок получал также «Панангин», «Элькар» 30% «Пантогам» в возрастных дозировках. Приступ пароксизмальной тахикардии купировался к 3 суткам жизни, терапия «Кардороном» была продолжена, но препарат ребенок получал реr os. Состояния на этот момент расценивалось как средне тяжелое. В неврологическом статусе ребенок стал значительно активнее, на осмотр реагировал двигательным возбуждением, крик был громкий, эмоциональный. В дополнительной оксигенации не нуждался. При аускультации тоны сердца были ритмичны, но приглушены. Пульс на периферических артериях отмечался удовлетворительных качеств. Симптом белого пятна был отрицательным. Частота сердечных сокращений, в покое составляла 129-133 в минуту, при беспокойстве до 148 в минуту. Артериальное давление, как на руках, так и на ногах – нормальные показатели. Ребенок хорошо усваивал энтеральное питание. С учетом стабилизации состояния, на 6 сутки жизни ребенок был переведен на совместное пребывание к матери, приложен к груди. Новорожденный был выписан домой по месту жительства после курса насыщения кордароном, под наблюдение кардиолога.
Лучевые признаки рабдомиомы сердца плода
а) Определения:
• Врожденная гамартома сердца, состоящая из аномальных миоцитов
б) Лучевая диагностика:
1. Общие сведения:
• Критерии диагностики:
о Четко очерченное гомогенное гиперэхогенное внутрисердечное образование
о Как правило, образований несколько:
- Чаще всего локализуются внутри желудочков
2. Рекомендации по лучевой диагностике рабдомиомы сердца плода:
• Предпочтительный метод исследования:
о 2D ЭхоКГ: выявление рабдомиом и оценка функции сердца
о МРТ: выявление туберсов в головном мозге
• При обнаружении образования в сердце:
о Проводят поиск других образований
о Оценивают локализацию и строение образования:
- Гомогенное, гиперэхогенное образование миокарда
- Чаще всего локализуется в перегородке или желудочках
- Аваскулярное
- При небольших размерах может напоминать утолщение стенки
о Находят нарушения сердечного ритма:
- Ранние предсердные или желудочковые экстрасистолы
- Наджелудочковая тахикардия
- Синусовая брадикардия
о Находят признаки обструкции:
- Могут быть поражены входной и выходной отделы сердца
- Возможны недостаточность или стеноз клапана
- Компенсаторное усиление работы сердца при обструкции → гипертрофия стенок
о Находят признаки водянки плода:
- Асцит, плевральный выпот, перикардиальный выпот, утолщение кожи
• Находят другие признаки туберозного склероза:
о Вероятность заболевания повышается при наличии множественных образований в сердце
о Субэпендимальные узелки с трудом визуализируются с помощью УЗИ:
- Находят слабовыраженную бугристость стенок боковых желудочков
о Рекомендована МРТ головного мозга плода:
- Субэпендимальные узелки и кортикальные или субкортикальные туберсы:
Гиперинтенсивные в режиме Т1-ВИ
Гипоинтенсивные в режиме Т2-ВИ
о Субэпендимальная гигантоклеточная астроцитома:
Объемное образование вблизи межжелудочкового отверстия
Может стать причиной развития гидроцефалии
Во внутриутробном периоде диагностируется редко
о Даже если по данным УЗИ плода изменения отсутствовали, необходимо выполнить МРТ головного мозга у новорожденного:
- Обнаружить образования у плода может быть затруднительно
- Можно использовать гадолиний
• Во всех случаях показана ЭхоКГ новорожденного

(Слева) Четырехкамерный срез сердца. Определяется очень крупное образование, поражающее всю свободную стенку ПЖ. Опухоль не вызывает обструкцию входного отдела, о чем свидетельствует отсутствие изменений ТК. В области верхушки ЛЖ визуализируются другие образования.
(Справа) Срез по длинной оси. Определяются крупное образование в области верхушки ЛЖ и небольшое образование в толще перегородки. Полость ЛЖ не уменьшена, обструкция входного или выходного отделов отсутствует. В данном случае рабдомиомы регрессировали после рождения ребенка.
в) Дифференциальная диагностика рабдомиомы сердца плода:
1. Перикардиальная тератома:
• Редко встречающаяся и, как правило, доброкачественная опухоль
• Опухоль перикарда (не миокарда):
о Экзофитный рост (опухоль отсутствует в камерах сердца)
о Чаще всего локализуется по правой передней границе сердца
• Имеет гетерогенную структуру, содержит кальцинаты
• В составе имеет солидный и кистозный компоненты
• Часто сопровождается перикардиальным выпотом
• За счет перикардиального выпота и тампонады сердца может вызывать сердечную недостаточность:
о Симптомы в большей степени обусловлены размерами и локализацией опухоли, чем ее гистологическим строением
о Предотвратить тампонаду сердца позволяет фетальный перикардиоцентез
2. Фиброма:
• Как правило, одиночное образование
• Доброкачественная пролиферация соединительной ткани:
о Может прорастать в здоровую ткань миокарда
• Часто развивается из межжелудочковой перегородки или свободной стенки ЛЖ:
о Может поражать ПЖ
• Интрамуральное солидное гиперэхогенное образование:
о В случае кистозной дегенерации структура становится гетерогенной
• Может сопровождаться перикардиальным выпотом
3. Гемангиома:
• Гиперэхогенное образование
• С помощью допплерографии обнаруживают васкуляризацию различной степени выраженности
• Может быть связана с перикардом
• Проявляется нарушениями со стороны сердца:
о Перикардиальный или плевральный выпот
о Аритмия
о Сердечная недостаточность
• В отношении бессимптомных образований возможно наблюдение:
о Могут самопроизвольно регрессировать
4. Миксома:
• Во внутриутробном периоде миксомы, как правило, не определяются:
о Чаще всего развиваются из межпредсердной перегородки или вблизи овального окна
о ЛП > ПП
5. ГВФ:
• Обычно локализуется в сосочковой мышце:
о Небольших размеров (чаще всего о Очень яркий при УЗИ (как костная ткань)
о В 78% находится в ЛЖ
• Связан с Т21 и Т13:
о Проводят поиск сопутствующих аномалий развития

(Слева) УЗИ. Туберозный склероз. Полость ЛЖ заполняет очень крупное образование, выступающее в ЛП и, по-видимому, затрудняющее кровоток. Также в ПЖ определяется несколько небольших образований.
(Справа) То же изображение в режиме ЦДК. Визуализируется обструкция выходного и входного отделов ЛЖ. После рождения ребенка была предпринята попытка хирургического формирования анастомоза в обход ЛЖ, не увенчавшаяся успехом. Подобный исход не характерен для рабдомиомы.
г) Патологоанатомические особенности:
1. Общие сведения:
• Этиология:
о Неизвестна, однако существующие данные позволяют предположить влияние гормонального фона матери на рост и развитие рабдомиом у плода
• Генетические факторы:
о У 75-80% новорожденных с рабдомиомами сердца присутствует туберозный склероз:
- Практически в 100% случаев образований несколько
- В 50% случаев образование только одно, а семейный анамнез отрицательный
о У 50% пациентов с туберозным склерозом присутствуют рабдомиомы сердца
о Туберозный склероз наследуется по аутосомно-доминантному типу с вариабельной экспрессивностью:
- Риск наследования мутации от родителя составляет 50%
- 1/3 случаев туберозного склероза - наследуемые
- 2/3 случаев вызваны вновь возникшей мутацией
о Заболевание вызвано мутациями генов TSC1 и TSC2:
- TSC1 находится на длинном плече 9-й хромосомы
- TSC2 находится на коротком плече 16-й хромосомы
о Туберозный склероз поражает сразу несколько систем органов
2. Макроскопические изменения и исследование операционного материала:
• Доброкачественная опухоль
• Хорошо заметный, бескапсульный, белый или светло-серый, интрамуральный или внутриполостной узел
3. Микроскопические изменения:
• Крупные, округлые, вакуолизированные клетки, заполненные гликогеном:
о Цитоплазматические пластинки, распространяющиеся от ядра к клеточной мембране (характерная картина «паук в паутине»)
• Классифицируются как гамартомы, клетки которых не способны к митотическому делению

(Слева) МРТ плода с подозрением на туберозный склероз, Т2 HASTE, поперечная плоскость. Определяются гипоинтенсивные субэпендимальные узелки. При МРТ новорожденного были обнаружены дополнительные узелки, которые определялись у плода.
(Справа) МРТ ребенка в возрасте 2 мес., Т1-ВИ, сагиттальная плоскость. Визуализируется несколько гиперинтенсивных кортикальных туберсов, что является характерной находкой при туберозном склерозе. У всех плодов с рабдомиомой необходимо исключать туберозный склероз.
д) Клинические особенности:
1. Клиническая картина рабдомиомы сердца плода:
• Чаще всего - случайная находка
• Заболевание может быть выявлено во время обследования плода по поводу нарушений сердечного ритма или водянки
• Диагностика возможна на ранних сроках беременности:
о По мере увеличения срока беременности количество образований может расти
о Образования склонны увеличиваться в размерах во внутриутробном периоде и регрессировать после рождения
2. Демографические особенности:
• Самая частая опухоль сердца плода (90%)
3. Естественное течение и прогноз:
• Течение во внутриутробном периоде чаще всего доброкачественное
• Возможны как рост, так и стабильность размеров:
о Наиболее активный рост происходит во II и III триместрах
о Рост замедляется после 32-й недели
о Крупные или множественные очаги склонны к росту во внутриутробном периоде
о Небольшие или единичные очаги могут быть стабильны или медленно расти во внутриутробном периоде
• Самопроизвольно регрессирует после рождения ребенка
• Кардиологический исход при отсутствии осложнений во внутриутробном периоде или в течение первых 6 месяцев жизни благоприятен
• При сопутствующем нарушении функции сердца исход неблагоприятный:
о Обструкция входного или выходного отделов сердца либо регургитация, вызванные объемным воздействием опухоли
• В 16% случаев выявляют клинически значимые аритмии:
о В качестве подобной аритмии может присутствовать синдром Вольфа-Паркинсона-Уайта
• Триада клинических признаков туберозного склероза: судороги, нарушение умственного развития, ангиофибромы кожи
• Прогноз при туберозном склерозе неблагоприятный, что обусловлено несколькими факторами; общая выживаемость к 9 годам составляет 21%:
о Большинство смертей и осложнений обусловлено опухолями ЦНС, которые склонны расти и увеличиваться в количестве
о Нарушение функции головного мозга при туберозном склерозе проявляется рядом неврологических и психиатрических заболеваний:
- Агрессивное поведение, расстройства аутистического спектра, нарушения интеллекта и психические нарушения, неврологический дефицит, проблемы с обучением и сниженная трудоспособность
о К другим проявлениям туберозного склероза, не определяемым на стадии внутриутробного развития, относятся следующие нарушения:
- Почки: ангиомиолипомы, кисты
- Легкие: лимфангиолейомиоматоз, мультифокальная микронодулярная гиперплазия пневмоцитов
- Орган зрения: гамартомы сетчатки
4. Лечение рабдомиомы сердца плода:
• В пренатальном периоде:
о Преждевременное родоразрешение рассматривают только в случае обструкции кровеносных сосудов, приводящей к водянке плода
о В отдельных случаях требуется пренатальная терапия антиаритмическими препаратами
о Генетическое консультирование
• В постнатальном периоде:
о Большинство образований регрессируют без лечения
о В отдельных случаях может потребоваться медикаментозная терапия сердечной недостаточности у новорожденных
о При ухудшении функции сердца или желудочковой тахикардии может быть показано хирургическое лечение
е) Особенности диагностики:
1. Важно знать:
• Для наблюдения за функцией сердца, развитием обструкции или регургитации выполняют ЭхоКГ плода
• Для выявления других признаков туберозного склероза показана МРТ плода
2. Признаки, учитываемые при интерпретации результатов:
• При множественных рабдомиомах очень велика вероятность туберозного склероза
• Рабдомиомы реже, чем другие опухоли сердца, сопровождаются перикардиальным выпотом
Видео ЭхоКГ при опухоли сердца у плода
Редактор: Искандер Милевски. Дата обновления публикации: 14.10.2021
Рабдомиома сердца у детей
Рабдомиома сердца у детей – это доброкачественное новообразование, которое формируется из эмбриональной мышечной ткани. Причины патологии точно не выяснены, среди провоцирующих факторов на первом месте находится туберозный склероз. Заболевание имеет вариабельную клиническую картину: протекает с признаками аритмии, застойной сердечной недостаточности, обструктивных пороков сердца. Диагностика рабдомиомы требует проведения ЭКГ и ЭхоКГ, МРТ сердца, гистологического анализа опухолевых биоптатов. Лечение показано для симптоматических и осложненных форм заболевания, в основном проводится хирургическим способом.
МКБ-10


Общие сведения
Рабдомиома — самая распространенная доброкачественная опухоль сердца у детей раннего возраста и вторая по частоте среди школьников. В структуре новообразований сердца у новорожденных она занимает 58,6%, у детей старше 1 месяца —39,3%. Общая частота сердечных опухолей составляет 0,003% среди всех госпитализированных пациентов, поэтому абсолютное количество случаев рабдомиомы невысоко. Однако заболевание имеет полиморфную клиническую картину и способно вызывать тяжелые кардиоваскулярные нарушения, поэтому оно не теряет актуальности в педиатрии и детской кардиологии.

Причины
На сегодня рабдомиома сердца у детей рассматривается как врожденная патология, этиологическая структура которой пока не установлена. Среди возможных предрасполагающих факторов называют тератогенное воздействие в первом триместре беременности, экстрагенитальные заболевания у матери, осложнение текущей беременности. Одной из значимых причин развития рабдомиомы является туберозный склероз, который ассоциирован с данным вариантом опухоли сердца.
Патогенез
Новообразование возникает из 2-х типов эмбриональных мышечных клеток: сократительных волокон миокарда либо специализированных клеток Пуркинье. Заболевание представляет собой результат диспластических процессов в миокарде, происходящих в эмбриональном периоде развития ребенка. Предшественниками опухолевых клеток являются остаточные полипотентные клетки, которые способны к стремительному росту и дифференцировке в разные типы клеточных элементов.
В 90% случаев рабдомиома сердца у детей имеет множественный характер, поражает полости желудочков и межжелудочковую перегородку. Около трети случаев заболевания сопровождаются разрастанием опухоли в миокарде предсердий. Поражения сердечных клапанов встречается крайне редко. Чаще всего новообразование имеет внутриполостной рост и постепенно увеличивается в размерах, уменьшая полезный объем сердечных камер.
Новообразование имеет округлую форму, растет на ножке или на широком основании. Его диаметр составляет 1-10 см. По гистологическому строению опухоль имеет ячеистый характер. Ячейки выполнены из крупных паукообразных клеток, в которых присутствует центрально расположенное ядро и большие вакуоли с полисахаридным содержимым. При исследовании клеток под большим увеличением определяются миофибриллы и поперечная исчерченность.
Симптомы рабдомиомы сердца у детей
Клинические проявления зависят от особенностей расположения и размеров новообразования. При единичных или мелких множественных рабдомиомах значимые расстройства гемодинамики не возникают. Наблюдаются нарушения ритма и проводимости по типу наджелудочковой тахикардии, синдрома слабости синусового узла, синдрома Вольфа-Паркинсона-Уайта. Они проявляются приступами головокружения, учащенного сердцебиения, ощущения замирания или перебоев в работе сердца.
При расположении рабдомиомы в межжелудочковой перегородке возможна полная атриовентрикулярная блокада с приступами Морганьи-Адамса-Стокса. Это тяжелое состояние проявляется у детей в виде синкопальных эпизодов, судорожных пароксизмов, фибрилляции желудочков. Сердечный ритм может восстанавливаться самопроизвольно в течение 5 минут, если это не происходит и медицинская помощь отсутствует, наступает клиническая смерть.
Внутриполостные рабдомиомы сердца у детей, отличающиеся быстрым экзофитным ростом, вызывают обструктивные нарушения кровотока. Пациенты предъявляют жалобы на выраженную одышку, особенно при физической нагрузке, боли в сердце различной интенсивности, приступы головокружения и обмороки. При длительном существовании патологии у детей замедляется рост и физическое развитие. Гипоперфузия головного мозга вызывает задержку психического развития.
Опухоль на ножке, расположенная в левом желудочке, по клинической картине имитирует синдром гипоплазии левых отделов сердца либо субаортальный стеноз. При рабдомиоме правых отделов сердца симптомы схожи с правожелудочковой сердечной недостаточностью. При обструкции трикуспидального клапана возникает выраженный цианоз кожи вследствие право-левого предсердного шунтирования крови.
Осложнения
Рабдомиома сердца, которая сопровождается нарушениями гемодинамики либо тяжелыми аритмиями, со временем приводит к развитию декомпенсированной сердечной недостаточности. Фибрилляция желудочков, атриовентрикулярная блокада и другие формы аритмии без экстренного лечения становятся причиной нарушений сознания и внезапной сердечной смерти. У детей рабдомиома зачастую сочетается с другими врожденными пороками сердца.
Более трети пациентов с множественными опухолями страдают от туберозного склероза. Поражение нервной системы при этом заболевании проявляется судорогами, задержкой интеллектуального развития вплоть до олигофрении, расстройствами поведения: агрессивностью, СДВГ, аутизмом. На теле возникают кофейные пятна, участки шагреневой кожи, мягкие дерматофибромы. Характерна гамартома зрительного нерва, множественные поражения внутренних органов.
Диагностика
Первичное обследование проводится у неонатолога или педиатра, после чего показана консультация детского кардиолога. Сначала необходимо уточнить анамнез беременности и родов, оценку новорожденного по шкале Апгар, показатели физического и психического развития в раннем возрасте. При физикальном осмотре выявляют признаки кардиальной патологии, в том числе врожденных пороков. Для постановки диагноза рабдомиомы необходимы следующие виды диагностики:
- Эхокардиография. УЗИ сердца — основной метод визуализации, с помощью которого определяют размеры и форму образования, выясняют его взаимоотношения с клапанным аппаратом, контролируют динамику роста. Эхокардиография более информативна для диагностики внутриполостных рабдомиом. ЭхоКГ проводится не только в постнатальном периоде, но и антенатально с 26-й недели гестации.
- Электрокардиография. При проведении ЭКГ определяют неспецифические знаки кардиальной патологии: гипертрофию миокарда предсердий и желудочков, смещение сегмента ST относительно изолинии, отклонение электрической оси сердца. По данным электрокардиограммы диагностируют вид и степень тяжести нарушений ритма.
- МРТ сердца. Магнитно-резонансная томография — «золотой стандарт» для диагностики апикальных опухолей. Исследование дополняется применением радиоактивных меток и контрастированием, чтобы четко разграничить здоровые и опухолевые ткани. Под контролем МРТ выполняется прицельная биопсия подозрительного новообразования.
- Гистологический анализ. Исследование биоптатов путем электронной микроскопии – основной метод верификации диагноза, который позволяет отличить рабдомиому сердца от других вариантов опухолей. Диагностически значимым является определение клеток с поперечной исчерченностью, крупными ядрами, полисахаридными включениями.
Дифференциальная диагностика
При постановке диагноза необходимо исключить другие типы доброкачественных опухолей, характерных для детского возраста. Дифференциальная диагностика проводится с фибромами, миксомами, гемангиомами и интраперикардиальными тератомами. Подозрение на инвазивный рост образования требует дифференцировки со злокачественными процессами: рабдомиосаркомой, тератобластомой, фибросаркомой. При постановке диагноза у новорожденных исключают ряд врожденных кардиоваскулярных пороков.

Лечение рабдомиомы сердца у детей
Консервативная терапия
Этот тип сердечного новообразования имеет склонность к спонтанному регрессированию, поэтому при отсутствии симптоматики ограничиваются динамическим наблюдением за пациентом. Показаны регулярные консультации детского кардиохирурга с проведением контрольных ЭхоКГ. Нарушения сердечного ритма подлежат симптоматической антиаритмической терапии. Новорожденным назначают простагландин Е1 для ликвидации гемодинамических сдвигов.
Хирургическое лечение
При внутриполостном расположении опухоли и наличии клинической симптоматики необходимо оперативное вмешательство. Объем операции включает полное или частичное удаление рабдомиомы, после которого новообразование не рецидивирует, поскольку имеет доброкачественный тип роста. При интрамуральной локализации опухолевой ткани рассматривается вопрос о трансплантации сердца, хирургических способах лечения тяжелых вариантов аритмии.
Экспериментальная терапия
В медицинской литературе описаны случаи успешного применения препарата на основе эверолимуса – иммунодепрессанта и ингибитора пролиферации. Медикамент угнетает дифференцировку, рост и миграцию клеток, благодаря чему успешно применяется при различных опухолевых процессах. Он используется у детей с сочетанной рабдомиомой и туберозным склерозом, чтобы запустить регресс объемного образования.
Прогноз и профилактика
Исход зависит локализации, размеров, клинических проявлений и возможностей лечения новообразования. Некрупные бессимптомные или подлежащие хирургическому удалению опухоли имеют благоприятный прогноз, в остальных случаях возможны жизнеугрожающие осложнения. Эффективные меры профилактики не разработаны. Если семейный анамнез будущих родителей отягощен по туберозному склерозу, обязательны прицельные ЭхоКГ плода для исключения сердечных рабдомиом.
1. Естественное течение рабдомиомы сердца у детей/ А.А. Свободов, В.П. Докторова, А.А. Купряшов, М.Р. Туманян// Педиатрия, Журнал им. Г.Н. Сперанского. – 2017. – №3.
2. Опыт лечения рабдомиом сердца в сочетании с нарушениями ритма у детей/ Л.А. Бокерия, О.Л. Бокерия, П.П. Рубцов, А.А. Ахобеков и др.// Анналы аритмологии. – 2014. – №4.
3. Рабдомиома сердца у детей/ Е.В. Бордюгова, А.В. Дубовая, А.А. Бурка, И.Ю. Мокрик и др.// Здоровье ребенка. – 2012. – №2.
Опухоли сердца
Опухоли сердца – разнородные по гистологическому строению новообразования, первично возникающие из тканей сердца или прорастающие в них из других органов. Опухоли сердца, в зависимости от их типа, локализации и размера, могут вызывать одышку, кашель, тахикардию, аритмии, боли за грудиной, сердечную недостаточность, тампонаду сердца, тромбоэмболии. Диагностика опухолей сердца проводится с учетом данных ЭхоКГ, рентгенографии, вентрикулографии, МРТ и МСКТ сердца, ЭКГ, биопсии. При выявлении первичных доброкачественных опухолей сердца производится их радикальное иссечение; лечение первичных злокачественных и метастатических новообразований обычно паллиативное (лучевая терапия, химиотерапия).
Опухоли сердца – гетерогенная группа новообразований, произрастающая из тканей и оболочек сердца. Опухоли могут развиваться из любых тканей сердца и возникать в любом возрасте. Новообразования могут прорастать сердечную мышцу, перикард, поражать клапаны и перегородки сердца. У плода они могут быть обнаружены с помощью фетальной эхокардиографии, начиная с 16-20 нед. внутриутробного развития. Первичные опухоли сердца встречаются в кардиологии с частотой 0,001-0,2%; вторичные (метастатические) - в 25-30 раз чаще. Все опухоли сердца несут потенциальную опасность возникновения смертельно опасных осложнений - сердечной недостаточности, аритмий, перикардита, тампонады сердца, системных эмболий.
Классификация
Опухоли сердца, представляющие самостоятельные заболевания, являются первичными; опухоли, метастазирующие по кровеносным и лимфатическим сосудам либо прорастающие из соседних органов, - вторичными. Причины развития первичных опухолей сердца неизвестны. Вторичные опухоли сердца чаще представлены метастазами рака молочной железы, желудка, легких, реже - рака щитовидной железы и почек.
По морфологическому принципу опухоли сердца подразделяются на доброкачественные (составляют 75%) и злокачественные (составляют 25%). По происхождению злокачественные новообразования могут быть как первичными, так и метастатическими, вторичными. Среди доброкачественных опухолей встречаются миксомы сердца (50-80%), тератомы, рабдомиомы, фибромы, гемангиомы, липомы, сосочковые фиброэластомы, кисты перикарда, параганглиомы и др. В число злокачественных новообразований входят саркомы, мезотелиомы перикарда и лимфомы.
К псевдоопухолям относятся инородные тела сердца, организованные тромбы, образования воспалительного характера (абсцессы, гуммы, гранулемы), эхинококковые и другие паразитарные кисты, конгломераты кальциноза. Отдельную группу составляют экстракардиальные опухоли средостения и перикарда, сдавливающие сердце.
Первичные доброкачественные опухоли сердца
Миксомы
Половина случаев среди всех первичных опухолей сердца приходится на миксому. Спорадические миксомы сердца в 2-4 раза чаще обнаруживаются у женщин. Встречается наследственный комплекс Карни с аутосомно-доминантным типом наследования, характеризующийся мультицентрическими опухолями различной локализации, – миксомами сердца, пигментными опухолями кожи, фиброаденомами молочных желез, кистами яичников, узловой дисплазией надпочечников, миксоидными опухолями яичек, аденомами гипофиза, шванномами периферических нервов.
Преимущественной локализацией миксом является левое предсердие (около 75%). Миксомы, имеющие ножку, пролабируют через митральный клапан, затрудняя опорожнение левого предсердия и заполнение желудочка во время диастолы. Макроскопически миксомы могут иметь слизевидную, твердую, дольчатую или рыхлую структуру. Неоформленные рыхлые миксомы представляют наибольшую опасность в плане развития системной эмболии.
Сосочковые фиброэластомы
Среди первичных опухолей сердца вторыми по частоте являются доброкачественные сосочковые фиброэластомы, преимущественно поражающие аортальный и митральный клапаны. Морфологически они представляют бессосудистые папилломы с ветвями, напоминающими актинии, отходящими от центрального ядра. Чаще всего они имеют ножку, однако в отличие от миксом, не вызывают дисфункции клапанов, но увеличивают вероятность эмболии.
Рабдомиомы
Рабдомиомы среди всех доброкачественных опухолей сердца составляют 20% и являются самым частым новообразованием у детей. Обычно рабдомиомы множественны, имеют интрамуральную локализацию в перегородке или стенке левого желудочка, поражают проводящую систему сердца. Течение рабдомиомы могут сопровождаться тахикардией, аритмиями, сердечной недостаточностью. Данные опухоли сердца часто ассоциированы с туберозным склерозом, аденомами сальных желез, доброкачественными новообразованиями почек.
Фибромы
Соединительнотканные опухоли сердца также, главным образом, встречаются у детей. Могут поражать клапаны и проводящую систему сердца, вызывать механическую обструкцию, имитируя клапанный стеноз, клиническую картину сердечной недостаточности, гипертрофической кардиомиопатии, констриктивного перикардита. Фибромы сердца могут являться частью синдрома базально-клеточного невуса (синдрома Горлина).
Прочие доброкачественные опухоли сердца
Гемангиомы встречаются в 5-10 % случаев всех первичных опухолей сердца. Чаще они не вызывают клинической симптоматики и выявляются при плановом обследовании. Реже внутримиокардиальные гемангиомы сопровождаются нарушениями атриовентрикулярной проводимости, а при прорастании предсердно-желудочкового узла могут приводить к внезапной смерти.
Липомы сердца могут развиваться в любом возрасте. Обычно это опухоли на широком основании, локализующиеся в эпикарде или эндокарде. Течение липом чаще бессимптомное; при достижении больших размеров они могут вызывать аритмии, нарушения проводимости, изменение формы сердца, выявляемое рентгенологически.
Феохромоцитомы могут иметь интраперикардиальную или миокардиальную локализацию, сопровождаться секрецией катехоламинов. Кисты перикарда на рентгенограммах грудной клетки часто имитируют опухоли сердца или экссудативный перикардит. Чаще они протекают бессимптомно, иногда могут вызывать симптомы компрессии органов грудной клетки.
Злокачественные опухоли сердца
Мезотелиомы перикарда относительно редки и встречаются преимущественно у мужчин. Они обычно метастазируют в плевру, позвоночник, мозг, окружающие мягкие ткани.
Первичные лимфомы чаще поражают лиц, страдающих иммунодефицитом (в т. ч. ВИЧ-инфекцией). Эти опухоли сердца склонны к чрезвычайно быстрому росту и сопровождаются сердечной недостаточностью, аритмиями, тампонадой и синдромом верхней полой вены.
Метастатические опухоли сердца чаще всего поражают перикард, реже – сердечную мышцу, эндокард и сердечные клапаны. Как и первичные опухоли сердца, они могут вызывать одышку, острый перикардит, тампонаду сердца, нарушения ритма, атриовентрикулярную блокаду, застойную сердечную недостаточность. В сердце могут метастазировать рак легких, груди, почечный рак, саркома мягких тканей, лейкоз, меланома, лимфома, саркома Капоши.
Симптомы опухолей сердца
Проявления опухолей сердца обусловлены типом новообразования, его локализацией, величиной, способностью к распаду. Внесердечные опухоли проявляются лихорадкой, ознобом, снижением массы тела, артралгией, кожными высыпаниями. При сдавлении опухолью камер сердца или венечных артерий, возникают одышка, боли в груди. Рост опухоли или кровотечение может приводить к развитию тампонады сердца.
Опухоли сердца с интрамиокардиальным ростом (рабдомиомы, фибромы), сдавливающие или внедряющиеся в проводящую систему, сопровождаются атриовентрикулярной или интравентрикулярной блокадой, пароксизмальными тахикардиями (наджелудочковыми или желудочковыми).
Внутриполостные опухоли сердца, главным образом, нарушают функцию клапанов и препятствуют току крови из камер сердца. Они могут вызывать явления митрального и трикуспидального стеноза или недостаточности, сердечной недостаточности. Симптоматика внутриполостных опухолей сердца обычно возникает при смене положения тела в связи с изменением гемодинамики и физических сил, действующих на опухоль.
Часто первыми проявлениями опухолей сердца служат тромбоэмболии в сосуды системного или легочного круга кровообращения. Опухоли из правых отделов сердца могут вызывать эмболию легочной артерии, легочную гипертензию и легочное сердце; опухоли левых отделов сердца - преходящую мозговую ишемию и инсульт, инфаркт миокарда, ишемию конечностей и др. Возникновение инфарктов внутренних органов у лиц молодого возраста при отсутствии врожденных и приобретенных пороков сердца, мерцательной аритмии и инфекционного эндокардита заставляет думать о наличии опухоли сердца.
Ввиду вариабельности клинической картины и множественности морфологических форм опухолей сердца, их диагностика является непростой задачей.
Данные ЭКГ при опухолях сердца полиморфны и малоспецифичны: они могут отражать признаки гипертрофии камер сердца, нарушения проводимости и ритма, ишемию миокарда и т. д. Рентгенография органов грудной клетки чаще всего выявляет увеличение размеров сердца и признаки легочной гипертензии. Более чувствительным методом диагностики опухолей является УЗИ сердца: с помощью чреспищеводной ЭхоКГ лучше визуализируются опухоли предсердий, путем трансторакальной ЭхоКГ – опухоли желудочков.
При сомнительных результатах диагностики выполняется МРТ и МСКТ сердца, радиоизотопное сканирование, зондирование полостей сердца и вентрикулография. Для верификации гистологической структуры опухоли сердца проводится ее биопсия в процессе катетеризации или диагностической торакотомии. При экссудативном перикардите ценную диагностическую информацию может дать цитологическое исследование жидкости, полученной при пункции перикарда. Дифференциальная диагностика опухолей сердца проводится с ВПС, миокардитом, кардиомиопатиями, перикардитом, амилоидозом сердца.
Лечение опухолей сердца
Опухоли сердца лечатся хирургическим путем. Операции при опухолях сердца могут включать удаление внутриполостной опухоли, удаление опухоли миокарда или перикарда, перикардэктомию, удаление кисты перикарда. В ходе радикальной операции производится иссечение опухоли сердца с прилежащими окружающими тканями, ушивание или пластика дефекта. Доброкачественные опухоли сердца в большинстве случаев могут быть удалены радикально. В некоторых случаях пациенты могут нуждаться в пластике или протезировании клапанов.
Удаление первичных злокачественных опухолей сердца малоэффективно. В этом случае чаще всего прибегают к частичному (паллиативному) удалению опухоли с последующим проведением лучевой или химиотерапии. При вторичных опухолях сердца лечение также паллиативное.
Прогноз
Удаление единичных доброкачественных опухолей сердца обычно сопровождается хорошими отделенными результатами – 3-хлетняя выживаемость составляет 95%. В дальнейшем пациентам показано наблюдение кардиолога и кардиохирурга с ежегодным проведением эхокардиографии для своевременного выявления рецидива опухоли сердца. Множественные опухоли сердца снижают выживаемость в течение ближайших 5 лет до 15 %. При первичных и метастатических опухолях сердца прогноз весьма неблагоприятный; хирургическое лечение малоэффективно, химиотерапия и лучевая терапия на прогноз практически не влияют.
Рабдомиома сердца

Содержит актуальную клиническую информацию по ультрасонографии и ориентирован на врачей ультразвуковой диагностики, выходит с 1996 года.
Первичные опухоли сердца в большой референсной детской клинике встречаются с частотой 0,001–0,003% от всех госпитализированных и не более чем в 0,01% всех случаев аутопсий с равным распределением по полу [1, 2], из них 40–60% у детей раннего и младшего возраста приходится на рабдомиому [3]. Рабдомиома сердца – самая частая опухоль сердца у детей дошкольного возраста, является гамартомой из кардиомиоцитов, не метастазирует. В более старшем возрасте на первое место выдвигаются фибромы, миксомы, тератомы, рабдомиосаркомы и др. [4].
Рабдомиомы сердца часто являются проявлением туберозного склероза, одной из форм факоматозов, наследуются аутосомно-доминантно, могут появляться спорадически. Рабдомиомы сердца выявляются более чем у половины пациентов с туберозным склерозом. У 51–86% детей с рабдомиомой сердца имеются признаки туберозного склероза либо в семейном анамнезе, либо его клинико-радиологические признаки [5].
Известны 2 гена, определяющие туберозный склероз: TSC1 на хромосоме 9q34 (определяет синтез гамартина) и TSC2 на хромосоме 16p13 (определяет синтез туберина). Гамартин и туберин ответственны за рост и развитие кардиомиоцитов, подавляя неконтролируемый рост и предупреждая развитие опухолей. Нарушение их синтеза ведет к развитию туберозного склероза и рабдомиомы сердца. Фенотип заболевания не зависит от того, какой из генов, TSC1 или TSC2, подвергся экспрессии. TSC1 или TSC2 обнаруживаются только у 80% больных туберозным склерозом. Причина каждого пятого случая остается неизвестной. Истинная частота туберозного склероза, факоматозов вообще и рабдомиомы сердца не определена. Гены туберозного склероза обнаруживаются с частотой 1:6000–1:9000 населения, а манифестные случаи заболевания регистрируются редко: с частотой 1:150 000 населения [6].
Клиническая картина рабдомиомы сердца очень неспецифична и определяется временем манифестации новообразования (плод, новорожденный, ребенок, подросток, взрослый), скоростью роста новообразования, числом опухолей сердца, их расположением. Рабдомиома сердца, вытесняя функционирующий миокард или располагаясь в области выносящих и входящих потоков, способна привести к перегрузке предсердий, полых вен, отекам, сердечной недостаточности. Возможны нарушения ритма, особенно при расположении опухоли в кавоатриальных и атровентрикулярных областях. Опухолевые клетки могут выступать как дополнительный путь проведения импульса. Сдавление опухолью коронарных сосудов приводит к инфарктоподобной картине на ЭКГ. Рабдомиомы сердца, формирующиеся уже у плода, могут привести к его гибели, при небольших размерах опухоли они выявляются при плановых скрининговых обследованиях в акушерских центрах [7]. Но рабдомиомы сердца могут формироваться на протяжении жизни.
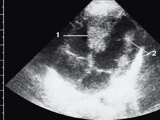
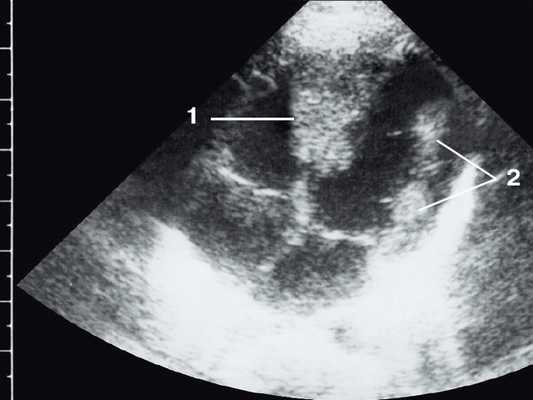
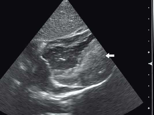
Широкое внедрение в практику ультразвуковой диагностики позволило перейти от аутопсийной статистики к прижизненному выявлению. Эхокардиография – первый метод выявления рабдомиомы сердца и контроля состояния пациента в динамике. Учитывая очень большое число семейных случаев, необходимо обследование всех ближайших родственников, особенно при наличии у них пятен цвета кофе с молоком, депигментированных по типу шагреневой кожи, параунгвальных и параореолярных фибром, ранних миом матки, инфантильных спазмов, судорожных припадков и других признаков факоматозов. При семейных обследованиях рабдомиомы сердца могут выявляться у совершенно бессимптомных носителей (рис. 1, 2).

Рис. 1. Эхокардиограмма ребенка (девочки) с рабдомиомой. Крупный узел рабдомиомы в межжелудочковой перегородке (1) и менее крупные узлы в задней стенке левого желудочка (2). Эхоплотность образований выше, чем миокарда.

Рис. 2. Эхокардиограмма матери этого же ребенка. В межжелудочковой перегородке несколько эхоплотных образований (стрелки).
Рабдомиома сердца эхографически выглядят как достаточно четко очерченные образования. Чаще всего располагаются в миокарде левого желудочка, реже – в правом, еще реже – в предсердиях, кавоатриальных и атриовентрикулярных соединениях, эпикарде. Метастазирование не типично [8]. Наличие двух и более рабдомиом четко коррелирует с туберозным склерозом, одиночные рабдомиомы сердца такой связи, как правило, не имеют. По нашему опыту (18 пациентов), чем меньше объем новообразования, тем выше акустическая плотность, приближающаяся к эталонной эхоплотности (эндо-, эпи- и перикард). Эхоплотность больших рабдомиом практически не отличается от эхоплотности миокарда. В толще новообразования выявляются мелкие эхонегативные очажки (области некрозов) и эхопозитивные очажки (отложения кальция) (рис. 3).

Рис. 3. Эхокардиограмма гигантской рабдомиомы (стрелка) у девочки марфаноидного статуса без признаков туберозного склероза (субксифоидальный доступ).
Рост рабдомиомы сердца медленный. Описаны случаи обратного развития одиночных рабдомиом сердца [9]. Рабдомиомы сердца, сопровождающиеся нарушениями ритма, гемодинамики, подвергаются оперативному лечению. При невозможности резекции опухоли, ее прогрессировании, угрозе фатальных нарушений ритма и некурабельной сердечной недостаточности не исключена трансплантация сердца [3, 9]. Приводятся сведения об эффективности такого мощного противоопухолевого препарата, как эверолимус, подавляющего пролиферацию, дифференциацию, рост и миграцию клеток [10].
Заключение
Рабдомиома сердца – относительно нередкое новообразование у детей и подростков, во многих случаях семейное, что требует обязательного обследования родственников. Первый метод диагностики – эхокардиография. Этот же метод незаменим для динамического контроля. Прогноз при множественных рабдомиом сердца, при расположении опухолевого узла в области привносящих или выносящих трактов, нарушающих функцию клапанов, с упорными и тяжелыми нарушениями ритма – плохой. Прогноз во многом определяется и неврологическими поражениями при туберозном склерозе. Хирургическое лечение сводится к иссечению участка опухоли, выступающего в полость камеры сердца. Удалить опухоль радикально невозможно. При больших рабдомиомах сердца не исключена трансплантация донорского органа. Химиотерапия применяется ограниченно.
Литература
Журнал "SonoAce Ultrasound"
Читайте также:
- Поражение мышцы сердца при отравлении. Токсическая миокардиодистрофия
- Глубокая аналгезия фентанилом. Центральная аналгезия фентанилом
- Лучевая диагностика стирания зубов (аттриции)
- Лечение хронической эмпиемы плевры. Операции при хронической эмпиеме плевры
- Острый панкреатит. Классификация панкреатита. Течение панкреатита.
