Лучевые признаки тотального аномального дренажа легочных вен у плода
Добавил пользователь Евгений Кузнецов Обновлено: 31.12.2025
УЗИ, ЭхоКГ при тотальном аномальном дренаже легочных вен у плода
а) Терминология:
1. Сокращения:
• Тотальный аномальный дренаж легочных вен (ТАДЛВ)
• Частичный аномальный дренаж легочных вен (ЧАДЛВ)
• Тотальная (ТАСЛВ) и частичная (ЧАСЛВ) аномалия соединения легочных вен:
о Несколько отличающийся термин, используемый в отношении более сложного порока сердца и характеризующий способ соединения и впадения легочных вен
2. Синонимы:
• Тотальный аномальный легочный венозный возврат
• Тотальный аномальный дренаж
3. Определения:
• ТАДЛВ означает, что все легочные вены впадают в вены большого круга кровообращения и/или ПП:
о Супракардиальная форма ТАДЛВ:
- Отток крови осуществляется в краниальном направлении — через вертикальную вену в плечеголовной ствол
о Кардиальная форма ТАДЛВ:
- Отток крови осуществляется непосредственно в сердце, обычно через коронарный синус
о Инфракардиальная форма ТАДЛВ:
- Отток крови осуществляется в каудальном направлении и проходит ниже уровня диафрагмы
- Перед тем как попасть в сердце, вена проходит через печень (система воротной вены)
- Вена, образованная в результате слияния, часто длинная и тонкая, идет вертикально; диагностика у плода крайне затруднена
о Смешанная форма ТАДЛВ:
- Отток из каждой вены (или группы вен) может осуществляться в различные регионы сосудистой системы:
Например, впадение двух правых вен может происходить супракардиально, а двух левых — поддиафрагмально
• Частичный аномальный дренаж легочных вен:
о Аномальный дренаж одной или двух легочных вен; остальные вены впадают в ЛП (норма)
б) Лучевая диагностика тотального аномального дренажа легочных вен у плода:
1. Общие сведения:
• Критерии диагностики:
о Увеличенное расстояние между нисходящей аортой и ЛП на четырехкамерном срезе
• Можно измерить индекс пространства позади ЛП: в числителе - расстояние от ЛП до нисходящей аорты, в знаменателе - диаметр нисходящей аорты:
- Измерения проводят на четырехкамерном срезе в конце систолы:
Расстояние от задней стенки ЛП до передней стенки нисходящей аорты измеряют по линии, проведенной от «креста сердца» до центра нисходящей аорты
Диаметр нисходящей аорты измеряют по ее внутренним краям
- Пороговым значением индекса является 1,0; показатель обладает высокой чувствительностью в отношении ТАДЛВ:
- При ТАДЛВ с крупным анастомозом между ЛП и нисходящей аортой определяется общая «полость» легочной вены
- Специфичность: 89%
о Признак «ветки»: тубулярное сосудистое образование, локализующееся позади предсердия и кпереди от нисходящей аорты:
- По данным ретроспективного исследования (2013), определяется в 96% случаев

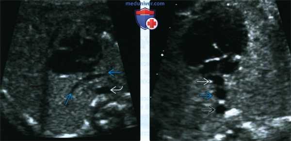
(Слева) УЗИ в поперечной плоскости, слегка наклоненной из плоскости четырехкамерного среза. Определяется признак «ветки» - аномальное слияние легочных вен, расположенное между сердцем и нисходящей аортой.
(Справа) УЗИ в поперечной плоскости. Правопредсердный изомеризм, ТАДЛВ. Аорта находится на той же стороне, что и нижняя полая вена. Позади предсердия определяется третий сосуд, образованный в результате слияния всех четырех легочных вен.
2. УЗИ при тотальном аномальном дренаже легочных вен у плода:
• ЭхоКГ плода:
о Гладкая задняя стенка ЛП, устья вен не определяются
о Венозный отток, минующий сердце, осуществляется позади ЛП в краниальном направлении или поддиафрагмально:
- Направление кровотока устанавливают с помощью ЦДК
о Выраженное расширение коронарного синуса:
- Характерно для интракардиальной формы
о Венозное образование спереди от аорты, определяемое на сагиттальном срезе в области верхнего этажа брюшной полости или печени:
- При инфракардиальной форме позволяет предположить поддиафрагмальный венозный отток
о ТАДЛВ, осуществляемый в плечеголовной ствол, характеризуется изменениями на трехсосудистом срезе:
- В левой части изображения визуализируется четвертый сосуд (восходящая вена)
• ЭхоКГ в постнатальном периоде:
о Обязательно должен визуализироваться сброс крови справа налево через межпредсердную перегородку
о ЛП уменьшено (венозный отток от легких снижен или отсутствует)
о Венозный отток, минующий сердце (в краниальном направлении или под диафрагмой)
о Инфракардиальная форма ТАДЛВ практически всегда сопровождается обструкцией вены в печени, что требует срочного хирургического вмешательства у новорожденного:
- Обструкция легочного венозного возврата → оксигенированная кровь не попадает в сердце → сосудистая недостаточность
о Супракардиальная форма ТАДЛВ:
- Обструкция происходит между левым бронхом и левой легочной артерией, когда вертикальная вена впадает в плечеголовной ствол
- Встречается чаще, чем поддиафрагмальная обструкция, поскольку сама форма встречается чаще
3. Рекомендации по лучевой диагностике:
• Советы по проведению исследования:
о Диагностика изолированного ТАДЛВ во время скринингового УЗИ затруднена:
- Частота выявления в пренатальном периоде 6%
о Изменения легочных вен соотносят со всеми сложными пороками сердца:
- Используют ЦДК:
Чтобы обнаружить венозный кровоток, необходимо снизить предел Найквиста

(Слева) ЭхоКГ, четырехкамерный срез. Позади предсердия определяется сосудистое образование, в которое впадают правые и левые легочные вены. ТАДЛВ в данном случае осуществляется через вертикальную вену, впадающую в плечеголовной ствол. Данная форма ТАДЛВ встречается наиболее часто.
(Справа) То же изображение в режиме ЦДК. Позади предсердия в легочных венах определяется кровоток, поступающий в общую вену.
в) Дифференциальная диагностика тотального аномального дренажа легочных вен у плода:
1. Частичный аномальный дренаж легочных вен:
• Синдром «турецкой сабли»:
о Гипоплазия правого легкого
о Правые легочные вены впадают в нижнюю полую вену вместо ЛП
• ДМПП по типу венозного синуса:
о Правая верхняя вена впадает в ПП через верхнюю полую вену вместо ЛП
• Изолированная аномалия легочной вены:
о Левая верхняя вена может впадать в плечеголовной ствол
о Обычно данная аномалия клинически незначима и не требует вмешательств
г) Патологоанатомические особенности:
1. Общие сведения:
• Этиология:
о Общая легочная вена не впадает в ЛП
о В результате возникает персистенция соединений с кардинальной и пупочно-желточной системами венозного оттока
2. Стадирование, градация и классификация тотального аномального дренажа легочных вен у плода:
• Формы ТАДЛВ по анатомическому признаку:
о Супракардиальная: 49%
о Кардиальная: 16%
о Инфракардиальная: 26%
о Смешанная: 9%
3. Макроскопические изменения и исследование операционного материала:
• Инфракардиальная форма ТАДЛВ практически всегда сопровождается обструкцией
• Супракардиальная форма ТАДЛВ может сопровождаться обструкцией на участке между левым бронхом и левой легочной артерией, когда вертикальная вена впадает в плечеголовной ствол

(Слева) КТ с контрастным усилением, фронтальная плоскость, реконструкция по методу проекции максимальной интенсивности. ТАДЛВ. Все легочные вены впадают в вертикальную вену, проходящую вдоль левой части верхнего средостения.
(Справа) Аутопсия, вид сзади. Инфракардиальная форма ТАДЛВ. Легочные вены снизу впадают в систему воротной вены через вертикальную вену. Беременность была прервана, поскольку у плода были выявлены множественные аномалии развития.
д) Клинические особенности:
1. Клиническая картина:
• У плода:
о Обнаруживают во время исследования по поводу сложного ВПС или гетеротаксии:
- Прогноз зависит от строения сердца в конкретном случае
- Наличие ТАДЛВ значительно повышает риск смерти и может не подлежать хирургической коррекции
о Диагностика изолированного ТАДЛВ крайне затруднена:
- Обнаруживают расширение пространства позади ЛП
- Признак «ветки» на четырехкамерном срезе
• В постнатальном периоде:
о Усиление легочного кровотока во время рождения ребенка значительно увеличивает объем крови, который должны пропускать легочные вены:
- Отсутствие обструкции:
Умеренное снижение оксигенации
Стабильная гемодинамика у новорожденного
- Наличие обструкции:
Острая дыхательная и сердечная недостаточность
Гемодинамика у новорожденного клинически нестабильна
2. Демографические особенности:
• Эпидемиология:
о 66% случаев - изолированная патология, 33% - в структуре сложного ВПС
о Исследование серии случаев от 2010 г.; 422 новорожденных с ТАДЛВ, исключая случаи единственного желудочка сердца и предсердный изомеризм:
- Наличие патологии было заподозрено в пренатальном периоде только у 2,4%, однако:
Исследование было международным; для исследования сердца использовались различные плоскости
В некоторых странах скрининговое обследование плода на наличие аномалий развития не проводилось
- 2/8 случаев ТАДЛВ, диагностированного в пренатальном периоде, завершились внутриутробной смертью плода
о Важную роль играет семейный анамнез:
- По данным одного когортного исследования, в 4% случаев у ближайшего родственника имелся значимый ВПС
- Исследование Baltimore-Washington Infant Study: у 5% новорожденных с ТАДЛВ семейный анамнез отягощен по ВПС:
В 50% случаев с положительным семейным анамнезом отмечали поддиафрагмальный тип ТАДЛВ
3. Естественное течение и прогноз:
• Всего 8% от сердечного выброса поступает к легким плода, поэтому легочные вены плода значительно уменьшены
• При нормальном кровообращении у взрослого легочные вены несут насыщенную кислородом кровь к сердцу:
о Аномальный отток легочных вен: оксигенированная кровь → вены большого круга кровообращения или ПП → гипоксия:
- Оксигенированная кровь может попасть в левые отделы сердца только через открытое овальное окно и артериальный проток
• В ходе хирургической коррекции вены перенаправляют в ЛП:
о ТАДЛВ без обструкции подлежит плановому хирургическому лечению, которое обычно проводят в течение первых недель жизни
о ТАДЛВ, сопровождающийся обструкцией, является неотложной хирургической патологией:
- Простагландины могут ухудшить состояние новорожденного:
Кровь направляется к легким, отток от которых затруднен, - застой в легких усиливается
- Может потребоваться экстракорпоральная мембранная оксигенация
- Новорожденным, состояние которых до операции было критическим, требуется более длительная интенсивная терапия в послеоперационном периоде
• Прогноз в наиболее тяжелых случаях зависит от конкретных структурных аномалий сердца:
о Единственный желудочек сердца и предсердный изомеризм связаны с неблагоприятным прогнозом
• Изолированный ТАДЛВ:
о Смертность после планового хирургического вмешательства среди относительно здоровых новорожденных составляет о Долгосрочный прогноз благоприятный:
- Хирургическая коррекция позволяет нормализовать кровообращение: рост и развитие ребенка протекают нормально
• В некоторых случаях присутствует истинное патологическое строение легочных вен:
о Прогрессирующий стеноз легочных вен крайне сложно поддается лечению:
- Прогноз крайне неблагоприятный
е) Особенности диагностики:
1. Важно знать:
• Пренатальная диагностика, особенно изолированного ТАДЛВ, крайне затруднена
2. Признаки, учитываемые при интерпретации результатов:
• Исследование четырехкамерного среза должно быть последовательным:
о Важно обнаружить расширение коронарного синуса и пространства позади ЛП, а также наличие «лишних» сосудов
• При малейшем подозрении следует выполнить детальную ЭхоКГ плода:
о ТАДЛВ встречается при многих пороках развития сердца
о Особенно часто сочетается с предсердным изомеризмом (гетеротаксия)
о Диагноз ТАДЛВ влияет на выбор хирургического лечения:
- ТАДЛВ, сопровождающийся обструкцией, является неотложной хирургической патологией
Видео ЭхоКГ при тотальном аномальном дренаже легочных вен у плода
Редактор: Искандер Милевски. Дата обновления публикации: 12.10.2021
Пороки развития легких
Пороки развития легких – грубые изменения нормальной анатомической структуры легких, возникающие на этапе эмбриональной закладки и развития бронхолегочной системы и вызывающие нарушение или потерю ее функций. Пороки развития легких могут проявиться в детстве или взрослом возрасте, сопровождаясь цианозом, одышкой, кашлем с выделением гнойной мокроты, кровохарканьем, деформацией грудной клетки и др. С целью диагностики пороков развития легких выполняется рентгенография, КТ, бронхоскопия и бронхография, АПГ. Лечение пороков развития легких может быть хирургическим (резекция легкого, пульмонэктомия) или консервативным (медикаменты, ФТЛ, массаж, санация бронхиального дерева).
МКБ-10

Общие сведения
Пороки развития легких – врожденные анатомические аномалии и дефекты функционирования легких, бронхов и легочных сосудов. Частота выявления пороков развития легких у детей варьирует от 10 до 20%. Среди врожденных дефектов легких и бронхов встречаются аномалии их развития, которые, в отличие от пороков, не проявляются клинически и не влияют на функцию измененного органа (например, аномалии деления крупных и средних бронхов). Пороки развития легких, сопровождающиеся дыхательной недостаточностью, проявляются уже в раннем детском возрасте и сопровождаются задержкой в физическом развитии ребенка.
На фоне пороков развития легких нередко развиваются воспалительные и нагноительные процессы, вызывающие клинику острых или хронических неспецифических заболеваний, которые могут принимать очень тяжелое течение. Более половины хронических неспецифических заболеваний легких патогенетически связаны с имеющимися пороками развития легких.

Причины
Формирование аномалий и пороков развития легких в пренатальном периоде может происходить под влиянием ряда экзогенных и эндогенных тератогенных (повреждающих плод) факторов. К экзогенным факторам, оказывающим тератогенное воздействие на эмбрион, относятся физические (механическая или термическая травма, электромагнитное или радиоактивное излучение), химические (любые яды), биологические (вирусные или иные инфекции, бактериальные токсины) повреждающие механизмы.
К числу эндогенных тератогенных факторов принадлежат наследственность, аномалии генов и хромосом, эндокринные патологии, биологически неполноценные половые клетки (при поздней беременности у женщин или пожилом возрасте у мужчин). Вид развивающегося порока легкого зависит не столько от характера тератогенного фактора, сколько от срока беременности, на котором организм женщины испытывает его воздействие.
Если воздействие тератогенного фактора приходится на первые 3-4 недели беременности, когда происходит закладка трахеи и главных бронхов, возможно развитие пороков эти структур вплоть до нарушения формирования целого легкого. Тератогенное воздействие на эмбрион в период с 6 по 10 недели беременности может вызвать пороки формирования сегментарных и субсегментарных бронхов по типу кистозной или простой гипоплазии, а также развитие врожденных бронхоэктазов. Поздние пороки развития легких у плода могут сформироваться на 6-8 месяце беременности, когда закладывается альвеолярная ткань.
Классификация
По степени недоразвития легкого или его отдельных анатомических, тканевых, структурных элементов в пульмонологии различают:
- Агенезию – порок развития, характеризующийся полным отсутствием легкого и соответствующего ему главного бронха.
- Аплазию – порок развития, при котором отсутствует легкое или его часть при наличии культи рудиментарного главного бронха.
- Гипоплазию – одновременное недоразвитие элементов легкого (бронхов, легочной паренхимы, сосудов), встречающееся на уровне сегмента, доли или всего легкого. Простая гипоплазия характеризуется равномерным уменьшением размеров легкого без существенного нарушения его структуры с сохранением отчетливой редукции бронхиального дерева. Кистозная гипоплазия (кистозное или сотовое легкое, поликистоз) встречается среди всех пороков развития легкого наиболее часто (в 60-80% случаев) и сопровождается одновременным недоразвитием бронхов, легочной паренхимы и сосудов с формированием бронхогенных полостей в дистальных отделах субсегментарных бронхов, где обычно развивается хронический воспалительно-нагноительный процесс.
Среди пороков развития стенок трахеи и бронхов выделяют:
- Трахеоброхомегалию (трахеоцеле, мегатрахея, синдром Мунье-Куна) – расширение просвета трахеи и крупных бронхов вследствие врожденного недоразвития мышечных и эластических волокон их стенок. Наличие трахеобронхомегалии сопровождается упорным течением трахеобронхита.
- Трахеобронхомаляцию – несостоятельность хрящей трахеи и бронхов, вызывающую их аномальное спадание в процессе дыхания. Проявляется стридорозным дыханием, грубым кашлем, приступами апноэ.
- Синдром Вильямса-Кемпбелла – гипоплазия хрящей и эластических тканей бронхов III -VI-го порядков, проявляющаяся генерализованным развитием бронхоэктазов на уровне средних бронхов и бронхообструктивным синдромом.
- Бронхиолоэктатическую эмфизему Лешке – врожденную слабость стенок бронхиол, сопровождающуюся бронхиолоэктазиями и центрилобулярной эмфиземой.
Ограниченные (локализованные) дефекты строения стенок бронхов и трахеи включают:
К врожденным порокам развития легких, связанным с наличием добавочных (избыточных) дизэмбриогенетических структур, относят:
Среди пороков развития легких, характеризующихся аномальным расположением анатомических структур, наиболее часто встречаются:
- Синдром Картагенера – обратное расположение внутренних органов, в т. ч. и легких. Обычно сочетается с хроническим бронхитом, бронхоэктазами и хроническим синуситом, протекает с частыми обострениями гнойного бронхолегочного процесса. Возможны видоизменения концевых фаланг и ногтей по типу «часовых стекол», «барабанных палочек».
- Трахеальный бронх – наличие аномального бронха, отходящего от трахеи выше верхнедолевого бронха.
- Доля непарной вены – часть верхней доли правого легкого, отделенная непарной веной.
К наиболее распространенным порокам развития кровеносных сосудов легких относятся:
Симптомы пороков развития легких
Многообразию видов пороков развития легких соответствует полиморфность их возможных клинических проявлений. Скрытое течение многих пороков легких обусловливает вариабельность сроков их выявления. В первое десятилетие жизни обнаруживается 3,8% всех встречающихся пороков развития легких, во второе десятилетие - 18,2%, в третье - 26,6%, в четвертое - 37,9%, у лиц после 40 лет -14%.
Бессимптомное течение пороков развития легких встречается у 21,7% пациентов, симптомами нагноения проявляется 74,1% пороков, осложнениями других заболеваний - 4,2%.
Наиболее рано, в первые дни жизни ребенка, проявляются пороки развития легких, сопровождающиеся признаками дыхательной недостаточности: лобарная эмфизема, выраженный стеноз главных бронхов и трахеи, бронхо- и трахеопищеводные свищи, агенезия, аплазия и выраженная гипоплазия легкого. Они характеризуются стридорозным дыханием, приступами асфиксии, цианозом.
Кисты легкого, легочная секвестрация, гипоплазия легкого, бронхоэктазы могут впервые проявить себя развитием острого воспалительного процесса и нагноения. Характер воспалительных процессов при пороках развития легких носит затяжное рецидивирующее течение и сопровождается кашлем с выделением значительного количества гнойной мокроты, эпизодами кровохарканья, интоксикацией, нарушением самочувствия в периоды обострений. Тяжелые пороки развития легких вызывают отставание физического развития детей, асимметрию и деформацию грудной клетки.
Диагностика пороков развития легких
Диагностирование пороков развития легких требует комплексного специализированного обследования. Заподозрить пороки развития легких следует у пациентов, с детства страдающих стойкими хроническими бронхолегочными процессами. Решающее значение в диагностике пороков легких занимают рентгенологическое и бронхологическое исследования.
Рентгенологическое исследование позволяет выявить пороки развития легких даже при их бессимптомном течении. По данным рентгенографии и КТ легких можно определить изменения сосудистого и бронхиального рисунка (при гипоплазии), повышение прозрачности (при лобарной эмфиземе), смещение органов средостения (при гипоплазии или агенезии), контуры теней (при гамартоме или секвествации), обратную топографию легких (при синдроме Картагенера) и др. При бронхоскопии и бронхографии проводится оценка анатомического строения трахеи и бронхов, выявляются деформации (стеноз, свищи и др.) и изменения бронхиального дерева. При пороках развития сосудов легкого целесообразно проведение ангиопульмонографии.
Лечение пороков развития легких
Выбор адекватной тактики лечения пороков развития легких осуществляется пульмонологоми и торакальными хирургами. Он диктуется оценкой состояния пациента, степенью выраженности имеющихся нарушений и возможным прогнозом. Неотложная операция показана при выраженной дыхательной недостаточности в случаях лобарной эмфиземы, аплазии и агенезии легких, при трахеопищеводном свище и стенозах трахеи и бронхов.
При бронхоэктазах и кистозной гипоплазии выбор хирургического или консервативного лечения определяется количеством измененных сегментов в обоих легких, частотой рецидивов и характером изменений легочной ткани. Как правило, при таких пороках развития легких проводят резекцию измененного участка легкого.
При распространенных изменениях в легких проводится консервативная терапия, направленная на предупреждение обострений гнойного процесса. Она включает в себя ежегодные курсы противовоспалительной терапии, улучшение дренажа бронхиального дерева (бронхоальвеолярный лаваж, отхаркивающие, муколитические препараты, массаж, ингаляции, ЛФК), санаторно-курортную реабилитации.
Прогноз и профилактика пороков развития легких
При пороках развития легких, не связанных с развитием дыхательной недостаточности и не сопровождающихся гнойно-воспалительными осложнениями, прогноз удовлетворительный. Частые обострения бронхолегочного процесса могут вызывать ограничение трудоспособности пациентов. Меры профилактики врожденных пороков развития легких включают: исключение неблагоприятных тератогенных воздействий на протяжении беременности, медико-генетическое консультирование и обследование пар, планирующих рождение ребенка.
1. Пороки развития, наследственные и интерстициальные болезни легких у детей: учеб.-метод. пособие/ Самаль Т. Н. – 2014.
2. Клинико-эпидемиологические особенности врожденных кистозно-аденоматозных пороков развития легких в Нижегородской области/ Галягина Н.А., Халецкая О.В., Удалова О.В., Царева Л.А.// Медицинский альманах. – 2013 - №3 (30).
3. Пороки развития и наследственные заболевания легких/ Бородулина Е.А., Суворова Г.Н., Бородулин Б.Е. – 2016.
4. Врожденные заболевания легких плода (течение беременности, диагностика и исходы): Автореферат диссертации/ Кохно Н. И. – 2005.
Лучевые признаки тотального аномального дренажа легочных вен у плода
Диагностика аномального дренажа легочных вен. Лечение аномального дренажа легочных вен.
Во внутриутробном периоде порок не имеет большого гемодинамического значения, так как легочный кровоток минимален, оксигенация системной крови не нарушена, а правый желудочек и в норме играет ведущую роль.
Проблемы возникают в случаях обструкции легочных вен или их коллектора, что приводит к внутриутробному формированию высокой легочной гипертензии, а в некоторых случаях - к водянке и гибели плода. Учитывая тяжелое течение ТАДЛВ у новорожденных, родоразрешение рекомендуется в специализированном учреждении, располагающем возможностями для интервенционного и хирургического лечения. Порок относится ко 2-й категории тяжести.
В постнатальном периоде у большинства детей развивается критическое состояние, приводящее к смерти 33% из них на первом месяце жизни. До шести месяцев доживают в среднем 55%. В последующем вероятность гибели снижается; 50% больных достигают 15 лет. Чем позже появляются первые симптомы порока, тем лучше прогноз. Инфракардиальный тип имеет более тяжелое течение, большинство больных без операции погибают в первые два месяца жизни.
Клиническая симптоматика аномального дренажа легочных вен.
Симптомы порока определяются с момента рождения ребенка. Наиболее часто имеются признаки сердечной недостаточности (одышка, тахикардия, увеличение печени), кашель, связанный с застойными явлениями в легких, крепитация, умеренный цианоз, усиливающийся при крике или кормлении. Последний симптом характерен для инфрадиафрагмального типа дренажа и возникает вследствие сдавления коллектора расширенным пищеводом. При значительной обструкции легочного оттока цианоз более выраженный и постоянный.

(А) Тотальный аномальный дренаж легочных вен в коронарный синус из субкостальной позиции.
Обратите внимание на расширенный коронарный синус (КС) на обоих изображениях. На ЭхоКГ также отражен венозный коллектор легочных вен, соединяющийся с коронарным синусом.
(Б) Тотальный аномальный дренаж легочных вен в левую вертикальную вену из супрастернальной позиции.
Обратите внимание, что направление кровотока в вертикальной вене отличается от направления кровотока в левой ВПВ.
(В) Тотальный аномальный дренаж легочных вен ниже уровня диафрагмы.
На анатомическом препарате видна область слияния легочных вен, тогда как на ЭхоКГ продемонстрированы нисходящие вены в месте впадения на уровне печени.
Обратите внимание, что кровоток всегда направлен от сердца.
Ао — аорта; КЛВ — коллектор легочных вен; ЛА—легочная артерия; ЛВ—легочная вена; ЛВВ—левая вертикальная вена; НАо—нисходящая аорта; НВ — нисходящая вена; ПП — правое предсердие.
Аускультативная картина не имеет характерных признаков, напоминает таковую при ДМПП (небольшой систолический шум изгнания во втором межреберье слева). При наличии легочной гипертензии добавляется расщепление второго тона на легочной артерии.
Электрокардиография. Типичным признаком порока является отклонение электрической оси сердца вправо в сочетании с признаками выраженной перегрузки правого предсердия (P-pulmonale) и правого желудочка (смещение сегмента ST ниже изолинии и глубокие зубцами T в отведениях II, III, aVF, V,— V4).
Рентгенография грудной клетки. Легочный рисунок характеризуется значительным усилением по артериальному и венозному руслу. При тяжелом течении порока возможна картина интерстициального отека легких. Нередко изменения в легких расценивают как пневмонию или болезнь гиалиновых мембран.
Сердце увеличено за счет правых отделов, нередко видна расширенная верхняя полая вена. Для супракардиального типа типичной является тень сердца в виде «снежной бабы», когда верхняя часть тени (в зоне сосудистого пучка) формируется расширенным коллектором и верхней полой веной. Это хорошо видно при сопоставлении рентгенограммы и ангиокардиограммы.
Эхокардиография. Основными признаками патологии являются расширенный правый желудочек и как бы сдавленный (уменьшенный) левый желудочек. Правое предсердие существенно увеличено, межпредсердная перегородка прогибается в левое предсердие. У 70% детей имеется небольшое открытое овальное окно, у 30% — ДМПП, через которые осуществляется право-левый сброс крови. Легочная артерия расширена. Для дифференциальной диагностики с персистирующей легочной гипертензией новорожденных необходимо тщательное исследование сердца с целью обнаружения позади левого предсердия венозного коллектора. В зоне дренажа и в легочной артерии кровоток ускорен. Возможно значительное повышение давления в правом желудочке и легочной артерии.
При супракардиальной форме можно выявить аномальный кровоток в верхней полой вене. При кардиальной форме дренажа обычно хорошо виден расширенный коронарный синус. Инфракардиальный тип можно визуализировать из субкостального доступа. При невозможности идентифицировать все четыре легочные вены следует подозревать смешанный тип аномального дренажа. Наиболее распространенным его вариантом является следующий: впадение вен от верхней доли левого легкого в левую верхнюю полую вену, а остальных — в коронарный синус.
Катетеризация сердца и ангиокардиография. Катетеризация выявляет высокое насыщение крови кислородом во всех отделах сердца. Давление в правом предсердии и легочной артерии повышено. Точный диагноз позволяет поставить введение контрастного вещества в легочный ствол или селективно в легочные артерии. При этом становится виден коллектор легочных вен или отдельные вены, впадающие тем или иным способом в правое предсердие.
Лечение аномального дренажа легочных вен
Базовая терапия направлена на снижение потребностей организма в кислороде и коррекцию метаболических нарушений. Ребенку необходимо создать комфортные температурные условия, ограничить его физическую активность. Эффект от оксигенотерапии сомнителен; легочная вазодилатация может привести к усилению застойных явлений в легких. Для лечения сердечной недостаточности используют диуретики и дигоксин.
Операция показана всем детям с данной патологией. Сроки вмешательства зависят от степени гемодинамических нарушений. При наличии обструкций оттоку хирургическое вмешательство выполняют сразу после установления диагноза. В остальных случаях оптимальный возраст — 2—6 месяцев. Вид операции варьирует в зависимости от типа дренажа, однако общей целью является перенаправление потока крови в левое предсердие. Кроме того, необходимо устранить стенозы легочных вен и коллектора, что во многом определяет хороший послеоперационный результат.
Аномальный дренаж легочных вен
Аномальный дренаж легочных вен – это врожденная патология сердца, морфологическую основу которой составляет аномальное впадение легочных вен в правое предсердие либо входящие в него полые вены. Аномальный дренаж легочных вен проявляется утомляемостью, отставанием в физическом развитии, болями в сердце, одышкой, повторными пневмониями. Для диагностики аномального дренажа легочных вен проводится рентгенография, ЭКГ, УЗИ сердца, зондирование сердца, ангиопульмонография, атрио- и вентрикулография, МРТ. Варианты хирургической коррекции аномального дренажа легочных вен различаются в зависимости от типа порока.


Аномальный дренаж легочных вен – врожденный порок сердца, при котором имеет место впадение устьев всех или отдельных легочных вен в правое предсердие, венечный синус или полые вены. Аномальный дренаж легочных вен составляет 1,5-3% всех ВПС в кардиохирургии с преобладанием у лиц мужского пола.
Чаще всего аномальный дренаж легочных вен сочетается с дефектом межпредсердной перегородки (ДМПП) и открытым овальным окном; в 20% случаев - с общим артериальным стволом, ДМЖП, транспозицией магистральных сосудов, тетрадой Фалло, стенозом легочной артерии, гипоплазией левых отделов сердца, единственным желудочком сердца, декстрокардией. Из экстракардиальной патологии у пациентов с аномальным дренажом легочных вен встречаются дивертикулы кишечника, пупочные грыжи, поликистоз почек, гидронефроз, подковообразная почка, а также различные пороки развития костной и эндокринной систем.
Общие причины, формирующие аномальный дренаж легочных вен, не отличаются от таковых при других ВПС. Непосредственное разобщение легочных вен с левым предсердием может быть связано с двумя факторами:
- отсутствием их соединения;
- ранней атрезией общей легочной вены.
В первом случае под воздействием неблагоприятных условий левопредсердный вырост не связывается должным образом с венозными сплетениями зачатка легкого, что приводит к формированию аномального венозного дренажа. При ранней атрезии имеет место первоначальное соединение общей легочной вены и легочного сосудистого ложа, однако в дальнейшем происходит облитерация их просвета, поэтому венозный легочный возврат начинает осуществляться через другие доступные коллатеральные пути.
Патогенез
В антенатальном периоде порок обычно не имеет гемодинамических проявлений, поскольку внутрисердечное кровообращение у плода подразумевает поступление крови из правого предсердия в левое (через открытое овальное окно) и в боталлов проток. После рождения выраженность гемодинамических нарушений определяют форма (полная или частичная), вариант аномального дренажа легочных вен, а также сочетание порока с другими дефектами сердца.
При частичной форме аномального дренажа легочных вен гемодинамические нарушения аналогичны таковым при межпредсердных дефектах. Определяющая роль среди них принадлежит патологическому артерио-венозному сбросу крови, приводящему к увеличению объема крови в легочном круге кровообращения.

При впадении устьев всех легочных вен в венозную систему большого круга кровообращения или правое предсердие говорят о полном (тотальном) аномальном дренаже легочных вен. Если в правое предсердие или большой круг дренируется одна или несколько легочных вен, такая форма порока называется частичной. Чаще всего (в 97% случаев) аномально дренируются вены, отходящие от правого легкого.
На основании уровня впадения легочных вен аномальный дренаж классифицируется на 4 анатомических типа (варианта).
- I вариант - супракардиальный (надсердечный). Легочные вены общим коллектором или по-отдельности дренируются в верхнюю полую вену или ее ветви (непарную вену, левую безымянную либо добавочную верхнюю полую вену).
- II вариант – интракардиальный (сердечный). Аномальный дренаж легочных вен происходит в правое предсердие или венечный синус.
- III вариант – субкардиальный, инфракардиальный (подсердечный). Легочные вены впадают в нижнюю полую или воротную вену (редко – в лимфатический проток).
- IV вариант – смешанный. Аномальный дренаж легочных вен в венозную систему осуществляется на различных уровнях в разных сочетаниях.
Симптомы
В основе клинических проявлений аномального дренажа легочных вен лежат анатомо-гемодинамические особенности: уровень общелегочного сопротивления, степень обструкции венозного возврата, размеры межпредсердной коммуникации, функционирование миокарда правого желудочка. При отсутствии дефекта в межпредсердной перегородке или его чрезвычайно маленьком размере порок несовместим с жизнью – в этом случае спасти ребенка позволяет только экстренная эндоваскулярная баллонная атриосептостомия по Рашкинду.
У детей с аномальным дренажом легочных вен отмечаются частые повторные пневмонии и ОРВИ, малая прибавка в массе, одышка, легкий цианоз, кашель, быстрая утомляемость, отставание в физическом развитии, боли в сердце, тахикардия. При выраженной легочной гипертензии уже в раннем детстве развиваются выраженный цианоз, сердечный горб и сердечная недостаточность.
Диагностика
Аускультативная картина аномального дренажа легочных вен напоминает ДМПП и характеризуется негрубым систолическим шумом в проекции легочной артерии, расщеплением II тона. После консультации кардиохирурга проводится:
- Электрокардиография. Данные ЭКГ свидетельствуют о перегрузке правых отделов, неполной блокаде правой ножки пучка Гиса; ЭОС отклонена вправо. Фонокардиография соответствует всем признакам ДМПП.
- Рентген. При анализе результатов рентгенографии грудной клетки обращает внимание расширение границ сердца вправо, выбухание дуги легочной артерии, усиление легочного рисунка. Достоверным признаком аномального дренажа легочных вен в нижнюю полую вену является симптом «турецкой сабли».Правая атриография, вентрикулография, ангиопульмонография, флебография ВПВ позволяют проследить движение контраста через малый круг кровообращения в правое предсердие или полые вены.
- УЗИ сердца. По данным ЭхоКГ устья легочных вен в левом предсердии не обнаруживаются; выявляется дилатация правого желудочка, уменьшенные размеры левых отделов сердца и другие косвенные признаки аномального дренажа легочных вен. Старшим детям и взрослым проводится чреспищеводная ЭхоКГ.
- Инвазивная диагностика. При зондировании полостей сердца катетер из правого предсердия или полой вены проводится в легочную вену. На данном этапе диагностики возможно установить локализацию впадения и количество аномально дренирующихся легочных вен.
У пациентов с аномальным дренажом легочных вен в дифференциально-диагностическом плане необходимо исключить атрезию митрального или аортального клапана, митральный стеноз, изолированный ДМПП, трехпредсердное сердце, стеноз легочных вен, транспозицию магистральных сосудов, лимфангиоэктазию.

Лечение аномального дренажа легочных вен
Прогноз
Естественное течение тотального аномального дренажа легочных вен неблагоприятно: 80% детей погибает в первый год жизни. Пациенты с частичным дренажом легочных вен могут дожить до 20-30 лет. Гибель больных связана с тяжелой сердечной недостаточностью или легочными инфекциями. Результаты хирургической коррекции аномального дренажа легочных вен удовлетворительные, однако среди новорожденных интра- и послеоперационная летальность остается высокой.
2. Сравнительный анализ отдаленных результатов коррекции частичного аномального дренажа правых верхних легочных вен в верхнюю полую вену/ Связов Е.А.// Сибирский журнал клинической и экспериментальной медицины. - 2017.
3. Восстановление синусового ритма после коррекции частичного аномального дренажа легочных вен/ Сабирова Д.Р.// Казанский медицинский журнал. - 2009.
а) Терминология:
• ТАДЛВ подразумевает, что все легочные вены впадают в вены большого круга кровообращения и/или ПП:
о Супракардиальная форма:
- Отток крови обычно осуществляется в краниальном направлении - через вертикальную вену к плечеголовному стволу
о Кардиальная форма:
- Отток крови осуществляется непосредственно в сердце, обычно через коронарный синус
о Инфракардиальная форма:
- Отток крови осуществляется в каудальном направлении и проходит под диафрагмой
о Смешанная форма:
- Отток каждой из вен (либо групп вен) может осуществляться в различные регионы сосудистого русла
(Слева) Кровообращение плода с супракардиальной формой ТАДЛВ. Легочные вены впадают в восходящую вертикальную вену, которая, в свою очередь, впадает в плечеголовной ствол.
(Справа) Кровообращение у новорожденного с инфракардиаль-ной формой ТАДЛВ. Позади ЛП происходит слияние вен, продолжающихся в нисходящую вертикальную вену, которая затем впадает в нижнюю полую вену. Выживание ребенка обеспечивает ДМПП, который служит единственным способом поступления оксигенированной крови в левые отделы сердца. Практически всегда при рождении происходит закрытие дефекта, что требует неотложной хирургической коррекции. (Слева) Четырехкамерный срез, видимые изменения отсутствуют. Визуализируется легочная вена, впадающая в ЛП. Расстояние между ЛП и нисходящей аортой (А) не увеличено.
(Справа) Четырехкамерный срез сердца у плода с гетеротаксией. Визуализируются декстрокардия и три сосуда позади сердца: аорта, нижняя полая вена, продолжающаяся в непарную вену, и вертикальная вена, собирающая кровь из ТАДЛВ ниже диафрагмы. Также обнаружены удвоение выходного отверстия ПЖ и атрезия митрального клапана. Новорожденный умер.
б) Лучевая диагностика:
• Увеличенное расстояние между нисходящей аортой и ЛП на четырехкамерном срезе
• Признак «ветки»: тубулярное сосудистое образование, локализующееся позади предсердия и кпереди от нисходящей аорты
• ТАДЛВ, осуществляемый в плечеголовной ствол, проявляется изменениями на трехсосудистом срезе
в) Патологоанатомические особенности:
• Инфракардиальная форма ТАДЛВ почти всегда сопровождается обструкцией проксимальной части, что является неотложной хирургической патологией у новорожденного:
о Обструкция легочного венозного возврата → оксигенированная кровь не попадает в сердце → сосудистая недостаточность
г) Клинические особенности:
• ТАДЛВ, сопровождающийся обструкцией, является неотложной хирургической патологией
• ТАДЛВ без обструкции подлежит плановому хирургическому лечению, которое обычно проводят в течение первых недель жизни
• Хирургическая коррекция позволяет всем венам вновь впадать в ЛП
• Смертность после планового хирургического вмешательства у относительно здоровых младенцев составляет
Читайте также:
- Профузное язвенное кровотечение. Клиника и диагностика язвенного кровотечения
- Генетика семейной гиперхолестеринемии. Наследование, молекулярные основы
- Комплекс Эйзенменгера. Диагностика комплекса эйзенменгера.
- Рецидивирующий кариес. Прогрессирование кариеса зубов. Профилактика кариеса зубов.
- Консервативное и оперативное лечение невралгии тройничного нерва.
