Магнитно-резонансная томография сердца
Добавил пользователь Евгений Кузнецов Обновлено: 27.01.2026
Томография является одним из наиболее информативных методов диагностики, который позволяет определить характер структуры любой ткани и органа, основываясь на физической способности атома менять положение в условиях поля. Процедура МРТ сердца изначально не нуждается во введении контрастных веществ, так как органическим контрастом служит кровь. При этом изображение имеет высокую разрешающую способность и позволяет объективно оценить состояние системы кровообращения.
Физические основы метода
Основной принцип работы МРТ аппарата — это ядерно-магнитный резонанс. Рассмотрим данное понятие с физической точки зрения.
Организм человека состоит из атомов, их заряженными частицами выступают нейтроны и протоны. Частицы хаотично вращаются внутри атомного ядра, генерируя внутреннее магнитное поле, которое может взаимодействовать с внешним магнитным полем. В результате этого процесса протоны выстраиваются в определенной последовательности. Томограф создает энергетический импульс, приближенный по показателям к частоте собственного вращения протонов (частоте Лармора). Это способствует перемене положения частиц и их синхронному вращению.
Протоны внутреннего магнитного поля под влиянием энергии постепенно меняют положение и выстраиваются в порядке, аналогичном внешнему полю. Это обозначают термином «релаксация». Существует два времени релаксации: Т1 и Т2. Концентрация ядер и время релаксации определяют величину спектра и яркость снимка.
Магнитно-резонансная томография подходит для визуализации мягких тканей, так как анатомические структуры с незначительным количеством протонов (кости, воздух) всегда имеют слабый сигнал, поэтому изображаются темными. Жидкости, в частности вода, могут представляться как светлыми, так и затемнёнными, в зависимости от периода (Т1 или Т2).
Дополнительные возможности исследования
Дополнительной ценностью МРТ является возможность усилить чувствительность методики путем введения контрастных соединений. Наиболее широко применяется гадолиний. Контраст накапливается в тканях, позволяя диагностировать опухоли и метастазы. Также он используется в кардиологической практике для распознавания аневризм, пороков и других сосудистых аномалий.
Существуют специфические МР-исследования (магнитно-резонансные исследования) сердечно-сосудистой системы.
- МР-ангиография — высокоэффективный метод быстрой оценки кровотока в аорте и периферических артериях. Магнитно-резонансный томограф позволяет просматривать изображения сосудов в двухмерном и трехмерном режимах.
- МР-спектроскопия — основана на образовании спектра из ядер водорода и фосфора, что важно для оценки биохимических процессов в миокарде. Спектр демонстрирует относительные концентрации аденозинтрифосфата (АТФ) и фосфокреатина (ФКр) — ферментов-маркеров повреждения сердечной мышцы. Снижение концентрации ФКр по сравнению с АТФ свидетельствует об ишемии миокарда.
- Фазово-скоростное картирование — резонансный метод, подобный УЗИ сердца. Оно позволяет визуализировать кровоток, подсчитать величину ударного объема и сердечного выброса на уровне аортального клапана, а также определить наличие дефектов межжелудочковой или межпредсердной перегородок.
Показания
Основное показание к проведению исследования — потребность в детальной визуализации органов кровообращения при неточном результате УЗИ сердца. Также метод может применяться как альтернатива мультиспиральной компьютерной томографии (МСКТ).
В кардиологической практике важно правильно рассчитать массу миокарда, объемы камер, фракцию выброса, а также установить причину развития и прогрессирования сердечной недостаточности, что отлично показывает МРТ сердца.

Высокая разрешающая способность томографии позволяет оптимально оценивать сократительную функцию сердца. Методики с задержкой дыхания помогают отследить локализацию коронарной артерии. Метод даёт возможность оценить работу клапана и указать на обратный заброс крови или стеноз. Томография является «золотым стандартом» для оценки толщины перикарда. Метод позволяет получить четкие изображения аорты, легочных артерий и вен, оценить перфузию миокарда.
Показания к МРТ сердца формируются при подозрении на следующие состояния:
- аневризма и псевдоаневризма желудочка;
- дилатационная и гипертрофическая кардиомиопатии;
- врожденные и приобретенные пороки сердца;
- миокардит;
- кардиальный фиброз;
- аритмогенная дисплазия миокарда;
- гемохроматоз — инфильтративная кардиомиопатия, при которой в миокарде накапливается железо;
- ремоделирование сердца;
- амилоидоз;
- саркоидоз;
- болезнь Шагаса;
- опухоли в сердце также легко выявляются, что помогает распознать заболевание на ранних стадиях.
Информативность
Информативность метода напрямую зависит от типа используемого аппарата, его мощности и настроек.
Открытый (низкопольный) томограф рекомендован для обследования пациентов с клаустрофобией и при других состояниях, осложняющих процесс. Мощность аппарата обычно составляет от 0,23 до 0,5 Тесла. Делать ли МРТ сердца при столь слабых настройках — вопрос рациональности, ведь качество изображений получается низким.
Высокопольные установки имеют мощность в 1—1,5—3 Тесла, что обеспечивает тонкие срезы и, следовательно, более детальную картину. Кроме того, данный тип аппаратов работает намного быстрее.
В каких случаях пациенту запрещено выполнение томографии?

Главная опасность исследования — вероятность спровоцировать ситуацию, угрожающую жизни пациента . Абсолютные противопоказания:
- наличие кардиостимулятора;
- установленные инсулиновые насосы;
- имплантаты среднего уха;
- наличие искусственных клапанов сердца;
- металлические скобы — особенно опасны на церебральных сосудах, так как вероятно повреждение сосудистой стенки и возникновение кровотечения.
- стенты в венечных артериях;
- искусственные клапаны в сердце;
- некоторые модели кавафильтров;
- протезированные суставы;
- металлические скобки, осколки;
- зубные протезы или металлические зубы;
- необходимость поддержания витальных функций механическим путем (например, искусственная вентиляция легких);
- психические нарушения, в том числе клаустрофобия;
- первый триместр беременности — точных данных о вреде манипуляции нет, но рекомендовано избегать исследования на ранних сроках.
Если при магнитно-резонансной томографии сердечной мышцы вводится контраст, добавляются следующие противопоказания:
- индивидуальная непереносимость компонентов контрастного вещества;
- тяжелая степень почечной недостаточности;
- беременность на любом сроке;
- гемолитическая анемия.
Выводы
Несмотря на высокую стоимость, томография сердца имеет широкое применение в современной медицине. Метод признан наиболее надежным для оценки структуры и функции правого и левого желудочков, магистральных и периферических сосудов. Но стоит отметить, что МРТ не является первоначальным исследованием в диагностике сердечно-сосудистых заболеваний, а проводится чаще для уточнения данных эхокардиографии.
Для подготовки материала использовались следующие источники информации.
МРТ сердца: что показывает
Все клиники сети ЦМРТ оснащены современным высокоточным оборудованием. МРТ и другие виды диагностики проводят опытные и квалифицированные специалисты.
Консультация специалиста после диагностики со скидкой 50%.

Востребованный метод диагностики патологий сердечно-сосудистой системы, состояния тканей и структур, коронарных сосудов. Цель проводимых неинвазивных исследований — помощь в постановке верного диагноза путем визуализации органа в нескольких плоскостях, проведения анализа функций. Полученные снимки высокой четкости позволяют определить мельчайшие признаки патологий и назначить необходимое лечение.
Рассказывает специалист ЦМРТ
Дата публикации: 11 Марта 2021 года
Дата проверки: 30 Ноября 2021 года
Содержание статьи
Специфика сканируемой области
Процедура предусматривает сканирование не только сердца, но и всей сердечно-сосудистой системы. Диагностика затрудняется тем, что исследуемая область в постоянном движении — сокращение сердечной мышцы, пульсация сосудов, ритмичные подъемы грудной клетки в такт дыханию. Когда важное требование к получению точного результата — полное соблюдение неподвижности.
Для тщательного исследования состояния сосудов, проводят МРТ сердца с гадолинием — контрастным веществом, позволяющим обнаружить аномалии развития, либо патологии, которые не удается обнаружить традиционным методом визуализации.
"Магнитно-резонансная томография (МРТ) в клинической практике стала мощным и надежным инструментом для неинвазивного исследования сердечно-сосудистой системы. Этот метод также может обеспечить критическое понимание сердечной и сосудистой морфологии, функции и физиологии."
Ashwin Akki, Ashish Gupta, and Robert G. Weiss. Magnetic resonance imaging and spectroscopy of the murine cardiovascular system. Heart and Circulatory Physiology, 2013
Основа диагностического метода — в изменении откликов атомов водорода под воздействием магнитного поля, которые считываются и отправляются на компьютер в виде черно-белых снимков. Использование программ компьютерного моделирования помогает создать 3D модель органа в реальном времени, выявить изменения, локализацию патологии.
Неинвазивность метода, минимальный список ограничений и противопоказаний, скорость проведения и точность диагностики делают МРТ незаменимой в кардиологии.
Дополнительные возможности исследования
Благодаря точности применяемой методики МРТ сердца и коронарных сосудов существует ряд специфических исследований, расширяющих ее возможности.
МР-спектроскопия — выявление патологий тканей организма, посредством регистрации движения и накопления ряда органических соединений. Позволяет идентифицировать заболевания головного мозга и сердечной мышцы.
Фазово-скоростное картирование — метод, регистрирующий зоны нарушения сокращения миокарда, величину ударного объема, визуализацию кровотока и выброса для определения показателей кинематики сердца. Помогает определить наличие дефектов клапанов и перегородок органа.
МР-ангиография — оценка проходимости кровотока, состояния даже мельчайших сосудов в двухмерном и трехмерном режимах.
Магнитно-резонансная томография (МРТ) сердца
Визуализация сердца с помощью магнитно-резонансной томографии (МРТ) позволяет детально оценить особенности строения камер сердца и сосудов, исследовать внутрисердечную гемодинамику, функциональные показатели работы сердца, измерить скорость кровотока в крупных сосудах.
Для выполнения МРТ сердца необходимо направление от лечащего врача-кардиолога. Направительный диагноз помогает врачу-рентгенологу выбрать нужный протокол исследования.
Выполнение МРТ сердца значительно отличается от МР-исследований других органов и систем. Существуют требования для получения МРТ изображений сердца: высокое качество магнитно – резонансной системы и специальное программное обеспечении (рекомендуется прибор с полем 1,5 Тл и выше); высококвалифицированный врач – диагност; синхронизация с ЭКГ пациента; выполнение исследования с задержкой дыхания по команде оператора; при необходимости введение внутривенного контраста.
Основные достоинства МРТ сердца:
- неинвазивность;
- отсутствие лучевой нагрузки;
- высокое временное и пространственное разрешение;
- естественный контраст от движущейся крови;
- чувствительность к скорости и характеру движения крови (МР-ангиография);
- любая ориентация срезов;
- оценка морфологии, функции и перфузии;
- исследования с контрастированием гадолинием.
Показания к МРТ сердца:
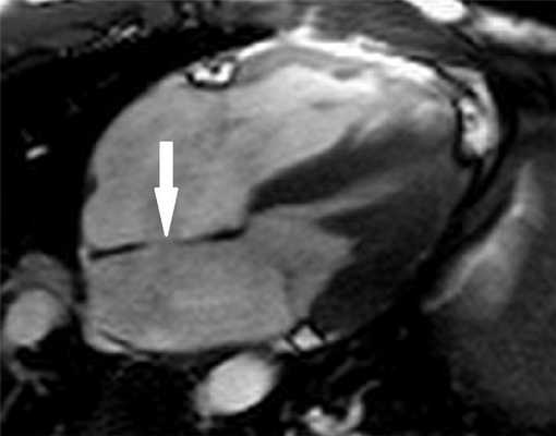
- врожденные пороки сердца. Наиболее распространенный врожденный порок сердца - дефект межпредсердной перегородки (ДМПП). При выполнении МРТ получают изображения в различных плоскостях сердца, что позволяет отчетливо показать наличие и расположение дефекта, визуализировать турбулентный поток крови в месте дефекта. Одним из важных параметров для наличия дефекта является определение соотношения кровотока в восходящей аорте и легочном стволе (Qp/Qs). МРТ позволяет неинвазивно определить соотношение кровотоков (в норме соотношение Qp к Qs должно составлять 1).
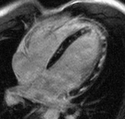
- заболевания аорты (аневризмы, коарктация). Применение процедуры МРТ позволяет визуализировать аорту неинвазивно, без лучевой нагрузки и контрастного вещества на всем протяжении. МРТ позволяет определить стеноз перешейка аорты, его протяженность и степень выраженности, измерить минимальный диаметр и определить диаметр сосуда до и после стеноза. С помощью МРТ можно оценить аневризму аорты, определить её локализацию, размеры дилатации, а также наличие пристеночных тромбов
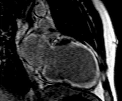
- кардиомиопатии (аритмогенная дисплазия правого желудочка, дилатационная кардиомиопатия, гипертрофическая кардиомиопатия, синдром некомпактного миокарда). Под кардиомиопатиями понимают первичные заболевания миокарда после исключения клапанных, перикардиальных и коронарных болезней. МРТ помогает разграничить ишемическую и неишемическую дилатационную кардиомиопатию. МРТ является инструментом для визуализации редких расположений гипертрофии: в правом желудочке, в апикальном сегменте левого желудочка. МРТ является одним из главных методов в выявлении аритмогенной дисплазии правого желудочка (АДПЖ). Главные признаки АДПЖ на МРТ: локальное нарушение сократимости ПЖ, дилатация ПЖ, усиление трабекулярности ПЖ и отсроченное контрастирование миокарда ПЖ
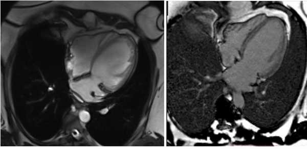
- диагностика миокардита. Миокардит визуализируется с помощью МРТ с контрастным усилением, как зоны гиперусиления с интрамуральной и субэпикардиальной локализацией. Так же можно определить воспалительный отек тканей сердца.
- оценка жизнеспособности миокарда (после острого инфаркта миокарда, перед хирургическим лечением). МРТ можно применять для выявления очагов острого инфаркта миокарда, оценки перфузии миокарда, но чаще используют для выявления рубцовых изменений миокарда (ПИКС), осложнений инфаркта миокарда (аневризмы, внутрижелудочковых тромбов).
- заболевания перикарда. При выполнении МРТ сердца можно определить толщину фиброзного утолщения перикарда, выявить наличие выпота в полость перикарда.
- опухоли сердца. Самой частой доброкачественной опухолью сердца является миксома. Миксома сердца обычно развивается из межпредсердной перегородки, имеет относительно однородную структуру с четкими границами. При МРТ с внутривенным контрастированием миксома часто негомогенно накапливает контрастный препарат.

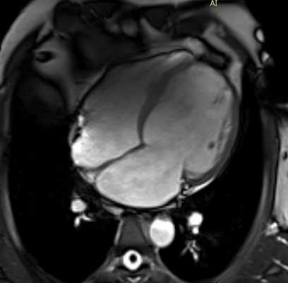
Рисунок 1. МРТ. Четырехкамерное сечение сердца. Стрелкой указан дефект межпредсердной перегородки (ДМПП).

Рисунок 2. МРТ. Аневризма нисходящего отдела аорты.

Рисунок 3. МРТ. Четырехкамерное сечение сердца. Апикальная гипертрофия миокарда левого желудочка.

Рисунок 4. МРТ. Четырехкамерное сечение сердца. Миокардит, субэпикардиальное и интрамиокардиальное накопление контрастного препарата.

Рисунок 5. МРТ. Двухкамерное сечение левого желудочка. Постинфарктный кардиосклероз.
МРТ сердца что показывает
В арсенале врачей много методов диагностики сердца – ЭКГ, ЭхоКГ, рентгенография, КТ, коронарная ангиография (рентгеновское исследование сердечных сосудов с контрастом), катетеризация, радиоизотопное исследование. Когда делают МРТ сердца, что показывает это исследование, и чем оно лучше других методов?
Делают ли МРТ сердца?
Магнитно-резонансная томография не так давно используется в диагностике сердечных заболеваний. Ближе всего она напоминает ЭхоКГ, только разрешающие способности метода намного выше. Можно заметить самые наименьшие очаги изменения тканей, четко увидеть все структуры органа и крупных сосудов. Определить основные параметры: толщину стенок в районе желудочков, предсердий, объем камер сердца. Кроме получения статических данных можно сделать оценку динамических показателей: как двигаются клапаны, измерить скорость кровотока внутри сердца и сосудов, силу сокращения предсердий и желудочков.
Сердце все время находится в движении: оно сокращается, чтобы вытолкнуть кровь в крупные сосуды. Затем расслабляется, наполняясь в это время кровью, которая поступает из больших вен. Снимки органа делают в момент, когда он неподвижен. Для этого синхронизируют МРТ с ЭКГ. На качество снимков влияют также дыхательные движения грудной клетки. Поэтому иногда врач говорит, чтобы пациент на время задержал дыхание. Все это способствует получению более качественных и четких снимков.
Томографию сердца с использованием магнитного поля можно делать взрослым, пожилым людям, детям. При наличии серьезных показаний проводят МРТ во время беременности (за исключением 1 триместра и совсем не используют контраст), новорожденным. Это объясняется тем, что исследование не оказывает лучевую нагрузку на организм. Противопоказания касаются только тех людей, у которых внутри тела вживленные электронные приспособления (кардиостимулятор) или металлические тела (осколки, импланты, искусственные суставы, клипсы для сосудов).
Когда назначают МРТ сердца?
МРТ сердца назначает кардиолог или кардиохирург. Сердце отвечает за кровоснабжение всех органов кровью, обогащенной кислородом. При сердечных болезнях люди отмечают:
- Боли в области сердца.
- Перебои в работе органа, аритмии, учащенное или редкое сокращение.
- Вялость, повышенную утомляемость, головные боли.
- Человек может испытывать головокружения из-за недостатка питания мозга кровью, терять сознание.
- Кожа бывает бледной, с синюшным оттенком, влажной из-за повышенной потливости.
- При воспалительных процессах повышается температура тела.
- Для детей с пороками сердца характерно отставание в развитии, плохой набор массы тела.
Перед тем, как сделать МРТ сердца и коронарных сосудов, необходимо пройти ЭКГ, ЭхоКГ. Многие вопросы будут решены после проведения этих простых и дешевых диагностических приемов. При выявлении отклонений на них МРТ позволяет уточнить причины и более подробно увидеть, описать место патологии.
- При травмах грудной клетки, если есть подозрение на ранение сердца, сосудов.
- Перед оперативным вмешательством или внутрисердечными манипуляциями (катетеризация сердца). Знание точного расположения всех структур органа, а у каждого человека есть индивидуальные отличия, помогает сократить время проведения манипуляции, оптимизировать действия хирурга и добиться лучших результатов.
- После операции на сердце смотрят на результаты (правильность расположения искусственных структур, как с ними работает орган). Через время состояние контролируют: не сместились ли шунты, искусственные клапаны. После операции аортокоронарного шунтирования исследование делают спустя 1,5 месяца.
- При выявлении на УЗИ пороков сердца, миокардитов, кардиомиопатий, болезней перикарда, сосудов, опухолей.
- При ИБС.

МРТ сердца. Расширение полости левого желудочка. Фиброзные изменения миокарда левого желудочка.
Какие заболевания показывает МРТ сердца?
Что показывает МРТ сердца:
- Анатомические изменения в области сердца и крупных сосудов. Нарушения в строении клапанного аппарата, миокарда, перикарда, эндокарда. Выявляет внутрисердечные тела (тромбы, эмболы, паразиты, инородные тела). Видны опухоли соседних органов, которые сдавливают сердце или распространяются на него.
- Функциональные нарушения: изменение кровотока в камерах сердца, сосудах, нарушение сократимости кардиомиоцитов, движений клапанов в систолу и диастолу сердечного цикла. Фазово-контрастный режим МРТ покажет скорость кровотока. Кино-МРТ делается для получения видео, на котором можно изучить сокращения органа в реальном времени.

МРТ сердца. Расширение камер сердца. Поствоспалительный фиброз миокарда межжелудочковой перегородки.
Кардиомиопатия
При кардиомиопатии клетки миокарда имеют аномальное строение, не способны выполнять нагрузку. Поэтому меняется форма сердца, объем полостей, функциональные показатели. На МРТ можно дифференцировать рестриктивный, гипертрофический и дилатационный типы кардиомиопатии.
Ишемическая болезнь сердца
Изменения клеток миокарда под действием гипоксии наблюдаются при ИБС. Степень повреждения клеток и величина участка ишемии зависит от длительности кислородного голодания, калибра перекрытого сосуда.
МРТ показывает степень и место сужения коронарных артерий, позволяет дифференцировать спазм артерии и атеросклероз, тромбоз. МРТ коронарография проводится с применением контраста. У более современных томографов есть специальная опция бесконтрастной коронарографии.
На МРТ можно отличить преходящие изменения миокарда от развившегося некроза (инфаркта), а также свежий рубец от застаревшего (следствие ранее перенесенного инфаркта). Можно оценить, насколько рубцовая ткань ухудшает сократимость органа. Это влияет на выбор лечебных мероприятий, прогноз заболевания и жизни человека.
Пороки сердца
При подозрении на порок сердца или для уточнения данных при подтвержденном диагнозе. Пороки – нарушения в строении органа, которые влияют на его работу. Они могут быть:
- Врожденными. Их выявляют в детском возрасте. Развиваются во внутриутробном периоде из-за воздействия неблагоприятных факторов. Могут проявляться в неправильном строении перегородки между предсердиями, желудочками (отверстия, отсутствие перегородки), функционировании зачаточных элементов (боталлов проток), аномалиях в месте выхода из сердца аорты. Тяжелые дефекты несовместимы с жизнью, многие требуют срочного оперативного вмешательства.
- Приобретенными. Последние являются следствием ревматического процесса. При воспалении в эндокарде клапаны деформируются, сморщиваются, не смыкаются плотно, а пропускают часть крови не в том направлении. Это затрудняет работу сердца, а организм страдает от гипоксии. Процент насыщения крови кислородом снижается из-за смешивания артериальной и венозной крови внутри сердечных полостей.
Патология сосудов
На МРТ с контрастированием видны расположение аорты, легочных артерий, крупных венозных стволов (легочных, полых вен), строение их стенки, сколько крови протекает за минуту. При сканировании сосудистой системы можно выявить расширение аорты (аневризму), ее расслоение, атеросклероз, воспалительные изменения.
При ТЭЛА (тромбоэмболии легочной артерии) видно место, где тромб перекрыл просвет легочной артерии, его размеры, протяженность. С помощью МРТ можно контролировать ход тромболитической терапии: насколько уменьшился тромб или рассосался полностью. Это позволяет корректировать дозы препаратов. При отсутствии эффекта провести оперативное лечение.
Подозрение на опухоли
Онкологические образования в сердце – редкое явление. Если на УЗИ есть сомнительные очаги, рекомендуется проверить пациента на МРТ. Это позволит достоверно сказать, какое новообразование, где расположено, его размеры, охарактеризовать границы патологического очага и состояние ближайших к нему здоровых тканей. Встречаются миксомы, фибромы, фиброэластомы, рабдомиомы. При злокачественных процессах можно заметить прорастание опухоли в соседние органы, лимфатические узлы, наличие метастазов.
Патология перикарда
Возможны воспалительные заболевания перикарда, кисты, отсутствие этой оболочки на участке сердца из-за нарушения развития. Врач дает оценку характеру выпота в сердечной сумке при экссудативном перикардите (кровь, серозная, фибринозная жидкость, гной), его количеству.
Подготовка к МРТ сердца
Подготовка к исследованию нужна в том случае, если планируется выполнение томографии с использованием контраста:
- диагностика пороков сердца;
- ИБС;
- кардиомиопатия;
- опухоли;
- исследование сосудов.
Изображения органа и сосудов получаются при этом более четкими, патологические зоны лучше выделяются на фоне здоровых тканей.
Контраст нельзя вводить:
- Беременным, кормящим женщинам.
- При серьезных заболеваниях почек, когда значительно снижена их выделительная функция.
- При индивидуальной непереносимости гадолиния.
Даже у здоровых людей введение гадолиния может вызвать тошноту, рвоту, если проводить исследование на полный желудок. Поэтому до проведения МРТ лучше не есть за 6 – 8 часов.
Если пациент принимает какие-то препараты, необходимо заранее обсудить это с врачом. Возможно, их отменят на период обследования.
Как делают МРТ сердца?
Обследование проходит внутри томографа. Перед этим снимают все предметы, которые могут содержать металл. Даже в косметике, татуировках могут присутствовать следы металла. Надевают специальную одежду из натуральных тканей, без металлических застежек.
Больной ложится удобно на стол. Над областью сердца располагают катушку. Под рукой у исследуемого – тревожная кнопка на случай, если он будет себя плохо чувствовать. Можно воспользоваться наушниками, берушами, чтобы уменьшить дискомфорт от издаваемого томографом шума. Свободное общение с врачом во время обследования помогает сохранять спокойствие больному, в нужные моменты задерживать дыхание.
Процедура не связана с болью. Все, что чувствует человек, находящийся внутри сильного магнитного поля, – тепло внутри тела. Это нормально и не вредно, быстро проходит сразу после исследования. Также могут «затекать» отдельные части тела из-за длительного неподвижного состояния.
Если пациент испытывает боль, страх, ему сложно спокойно лежать, дают успокоительные препараты. Длительность МРТ сердца около 40 минут, с контрастированием сосудов – до 1 часа.
Контрастное вещество вводят внутривенно, оно содержит соли гадолиния.
Расшифровка снимков МРТ сердца
Для расшифровки пригодится вся информация, которая имеется у больного: заключения специалистов, предыдущие снимки МРТ, результаты других исследований – ЭхоКГ, ангиографии, ЭКГ. Кроме статичных снимков сердце просматривают в режиме его естественной работы – для этого делают видео.
Всегда ли делают МРТ сердца и сосудов, зависит от диагноза, мнения лечащего врача. Если тактика лечения понятна, томографическое обследование не проводится. Обязательным считается выполнение такой диагностики при патологии перикарда, ишемической болезни сердца, кардиомиопатии, травмах грудной клетки, пороках, опухолях.
С помощью МРТ есть возможность получить исчерпывающую информацию о строении органа, заметить малейшие отклонения в его работе. И при этом процедура абсолютно безопасна, является международным стандартом в современном обследовании сердца и коронарных сосудов.
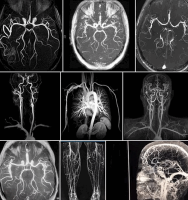
Что показывает МР-ангиография сосудов
Магнитно-резонансная томография — это высокотехнологичное, информативное исследование. Его используют для визуализации мягких тканей, внутренних органов. Способ диагностики универсальный, есть несколько модификаций методики. Они позволяют решать конкретные задачи исследования. Ответ на вопрос, видны ли сосуды на МРТ, также положительный. Существует вариант обследования, которые позволяет визуализировать кровеносную систему на местном уровне.

Рисунок 1. МРТ сосудов головного мозга. Мешотчатая аневризма интраклиноидного отдела правой ВСА.
МРТ сосудов что показывает состояние вен, артерий, капилляров, проводится в рамках первичного обследования. Когда диагноза еще нет и его только предстоит поставить. Или для верификации, подтверждения ранее выявленных нарушений. Опровержения гипотез.
Томография представляет возможность выявить патологические процессы на ранней стадии. Методика безопасная, не несет рисков для здоровья и не создает дискомфорта для пациентов. Потому может проводиться неоднократно, по потребности.
В каких случаях следует сделать МРТ сосудов?
Томографию кровеносных сосудов назначают для диагностики заболеваний артерий, вен, капилляров и последствий этих патологических процессов. В числе показаний к исследованию:
Головные боли. Любой локализации и независимо от типа дискомфорта. Томографию назначают при интенсивной однократной боли или, когда неприятные ощущения появляются неоднократно, на регулярной основе. Возможные сосудистые заболевания: от атеросклероза до аневризмы.
Перенесенные черепно-мозговые травмы. Могут привести к острым отсроченным состояниям. МРТ применяется, чтобы оценить риски осложнений в будущем или определить последствия повреждений. Томография головы проводится в экстренном порядке.
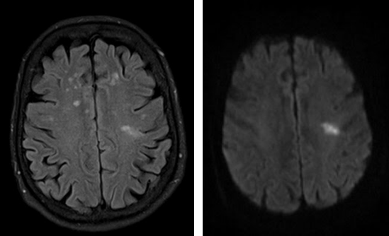
Подозрения на инсульт. Симптомы, которые могут указывать на ишемический процесс или кровоизлияние. Неврологический дефицит, интенсивная головная боль. Также тошнота, неукротимая рвота, параличи, парезы. МРТ показывает очаги патологии, области поражения сосудистых структур.
Пороки развития головного мозга.
Пороки сердца различной тяжести. Врожденные или приобретенные.
Боли в грудной клетке. Давящие, жгучие. Которые по характеру указывают на ишемический процесс, недостаточную трофику миокарда. Есть вероятность коронарной недостаточности.
Риски острого нарушения кровообращения головного мозга или сердца. Инсульта, острой коронарной недостаточности (инфаркта).
Потеря сознание. Регулярные обморочные состояния. Если сосудистых изменений нет, имеет смысл пройти дополнительное обследование под контролем невролога. Возможна эпилепсия.
Расстройства работы вестибулярного аппарата. Нарушения координации движений, равновесия.
Нарушения работы органов чувств. Расстройства слуха, зрения, обоняния или осязания.
Признаки повышенного внутричерепного давления. Мучительные головные боли, слабость, тошнота и рвота. Причина может быть сосудистой.
Когнитивные нарушения. Расстройства интеллекта, мышления. Также памяти. Проблемы с концентрацией внимания.
Мерцание мушек в глазах. Фотопсии (вспышки света в поле видимости). Выпадение участков зрения (скотомы). Могут быть результатом течения вертебробазилярной недостаточности. В этом случае проводят томографию сосудистых структур шеи и головного мозга.
Кровотечения из носа.
Шум и гул в ушах. Указывает на заболевания сосудистого происхождения.
Перечень показаний не полный. Томография применяется в качестве скринингового метода, если пациент находится в группе повышенного риска по поводу инсульта, инфаркта и прочих опасных состояний. Также процедуру назначают:
В рамках оценки состояния сосудов перед оперативным вмешательством или консервативным лечением.
Для оценки динамики патологического процесса. Если врач выбрал выжидательную тактику.
Когда лечение уже проводится и нужно исследовать его эффективность.

Рисунки 2,3. МРТ головного мозга. ОНМК по ишемическому типу в левой лобной доле. Очаговые изменения вещества головного мозга сосудистого характера.
МРТ сосудов действенно для диагностики заболеваний, скрининга патологических процессов в рамках профилактики и в случае, когда нужно изучить анатомические особенности тканей перед лечением и после него. Методика универсальная.
Болезни сосудов
По результатам сканирования можно обнаружить патологии воспалительного характера, окклюзии сосудов, застойные процессы и структурные аномалии. Среди возможных патологических процессов:
Аневризма. Выбухание сосудистой стенки в одну или сразу несколько сторон. Обусловлено снижением эластичности артерии, систематическим повышением локального давления, дегенерацией слоев сосуда. Состояние опасное и зачастую незаметное. Пациент не ощущает расстройства. Результатом может стать разрыв артерии и массивное внутреннее кровотечение. МРТ четко показывает сосудистые аномалии даже на ранней стадии.
Инсульт. Острое нарушение мозгового кровотока. С помощью томографии удается выявить очаг поражения, определить степень тяжести расстройства и разработать тактику лечения. Врачи действуют быстро
Врожденные и приобретенные пороки сердечнососудистой системы. Многие дефекты потенциально фатальны.
Стеноз сосудов. Независимо от локализации, представляет собой сужение просвета артерии, вены. При значительном объеме или площади, приводит к острому нарушению кровотока. МРТ проводят в экстренном порядке.
Васкулит. Аутоиммунный воспалительный процесс. Может поражать различные сосуды. Потенциально опасное расстройство.
Атеросклероз. Процесс отложение жирных соединений на внутренней выстилке сосудов. Обусловлен нарушениями липидного обмена. Чаще всего страдают пациенты старшей возрастной группы.
Тромбоз. Закупорка сосудов организма сгустками крови и фибрина. При значительном объеме тромба происходит критическое нарушение местного кровообращения. В этом случае возможна гибель пациента от осложнений.

Рисунок 4. МРТ головного мозга. Тромбоз правого сигмовидного синуса.
Сосудистые образования. Новообразование может быть доброкачественным или злокачественным (рак). Опухоли сосудистого происхождения агрессивны. Потому МРТ проводится экстренно.
Патологии аорты. Расслоение, атеросклероз.
Томография позволяет выявить заболевания артерий, вен, капиллярных сетей. Воспаления, дегенерации, дистрофии, опухоли на разных участках организма. Диагностировать отклонения на ранней стадии. Обнаруживать причины патологического процесса для лучшего лечения.
МРТ — не единственный способ, который показывает состояние системы кровообращения. При необходимости, когда нужно получить дополнительные данные, проводится УЗИ сосудов, компьютерная томография, ангиография. Методики взаимно дополняют друг друга.
Какие сосуды можно исследовать с помощью МРТ?
С помощью МРТ можно оценить сосуды любой локализации. Существует несколько модификаций диагностического метода:
МР-венография. Чаще всего оба варианта назначаются, чтобы оценить состояние сосудов головного мозга и шеи.
МРТ сосудов средостения.
Томография сосудов шеи.
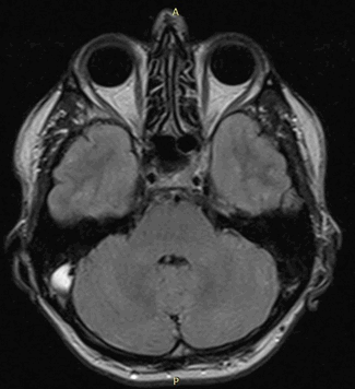
Томография структур головного мозга. При наличии жалоб или подозрения врача. Когда есть подозрения на поражения вещества ЦНС, применяется обзорная или точечная модификация томографии. Она позволяет оценить полушария, а также глубоко залегающие структуры (гипофиз, ствол, гипоталамус). Труднодоступные участки. Они видны хуже, потому назначают МРТ на более мощном аппарате. От 1 Тл мощностью. С помощью комплексного подхода можно обнаружить заболевания церебральных структур (рассеянный склероз, опухоли и прочие), а также самих сосудов.
Модификацию способа для прохождения выбирает лечащий врач на основании показаний, гипотез и личных соображений.
Делается ли МРТ всех сосудов одновременно?
По показаниям или при наличии личного желания, возможно проведение МРТ нескольких отделов одновременно. Если показаний нет, такой подход не имеет смысла. Поскольку это дорогостоящий и очень длительный вариант. Со своими жалобами на здоровье, подозрениями рекомендуется обратиться к врачу. После чего совместными силами проработать тактику диагностики на следующем этапе.

Как проходит МРТ-ангиография с контрастом?
МРТ-ангиография с контрастным веществом дает больше информации и предоставляет больше возможностей для обследования. У исследования с контрастомом есть собственные показания:
Опухоли. Первичные сосудистые новообразования различной локализации. Могут развиться в любой области. Бывают доброкачественными и злокачественными. Контрастирующий препарат позволяет увидеть опухоль и провести анализ ее особенностей. В том числе оценить размеры, структуру, точную локализацию, предположить тип неоплазии.
Метастазы. Вторичные опухолевые структуры.
Делается магнитно-резонансная томография по стандартному алгоритму.
Пациент приезжает в клинику в назначенное время.
Оставляет все запрещенные предметы в специально отведенном месте.
Далее — ложится на кушетку томографа.
Обследуемому выдают специальные наушники или затычки для ушей. Чтобы сохранить слух. Поскольку томограф сильно шумит во время работы.
Внутривенно вводится контрастирующий препарат на основе гадолиния. Такие средства почти никогда не вызывают аллергии и не создают опасности интоксикации организма.
Далее делается сама томография. Чтобы провести обследование с контрастом требуется от 30 до 40 минут. Возможно больше. Все зависит от клинических находок, сложности случая. Врачу видны все обследуемые ткани.
По окончании процедуры ассистент врача выдвигает стол аппарата.
Пациент отправляется в коридор, где ждет результатов исследования. На руки пациент получает снимки, а также протокол диагностики, заключение врача-рентгенолога.
МРТ сосудов с контрастом делается относительно редко. Только по показаниям. Кровь, ткани сосудов обладают достаточными свойствами для бесконтрастной визуализации.
Подготовка к обследованию
Специальная подготовка к МРТ не требуется. Достаточно подойти в назначенный час в клинику. Далее, необходимо оставить запрещенные вещи в специальном хранилище. В числе таких предметов:
Банковские карты и электроника. Они не перенесут воздействия интенсивного магнитного поля.
Пирсинг, очки, ремни с металлическими пряжками.

Также необходимо сообщить врачу о наличии противопоказаний к МРТ сосудов. В числе оснований для отказа от диагностики:
Масса тела свыше 130 кг.
Клаустрофобия: Если это не аппарат с широким тоннелем, возможно чувство страха во время процедуры.
Беременность в первые 2 триместра. Не считая тех случаев, когда диагностика разрешена самим акушером-гинекологом.
Наличие в организме металлических компонентов. Некоторые из них — не препятствие для обследования. Но о факте нужно сообщить.
При исследовании с контрастом:
Почечная, печеночная, дыхательная недостаточность.
Перекрестные аллергические реакции на лекарства.
Проведенное накануне исследование с контрастом.
Многие противопоказания носят относительный характер. Потому последнее слово остается за врачом.
Опасно ли МРТ сосудов?
МРТ сосудов, как и иные варианты исследования, безопасны. Метод основан на влиянии магнитного поля на организм. Томография не создает вредной лучевой нагрузки. Может проводиться неоднократно, в том числе для диагностики заболеваний у детей.
В комплексе с информативностью, способ считается одним из основных в обследовании пациентов с сосудистыми патологиями. Благодаря методу МРТ наглядно видны все структуры сосудов. Врач получает возможность быстро и безошибочно поставить диагноз.
Читайте также:
