Мальротация кишечника
Добавил пользователь Евгений Кузнецов Обновлено: 29.01.2026
1 Федеральное государственное бюджетное учреждение «Национальный медицинский исследовательский центр им. В.А. Алмазова» Министерства здравоохранения Российской Федерации
Синдром мальротации – это врожденная аномалия ротации и фиксации средней кишки, которая формируется в раннем периоде внутриутробного развития. Частота колеблется от 0,8 до 2 случаев на 1000 детей. Целью исследования является определение наиболее эффективного алгоритма диагностики для своевременного и оптимального определения стратегии лечения. В статье представлен алгоритм и методики проведения лучевой диагностики (УЗИ, рентгенологическое исследование толстой кишки при помощи контрастного препарата – ирригография) у 29 детей раннего возраста с подозрением на синдром мальротации, разработанный и используемый в практической работе Перинатального центра ФГБУ «НМИЦ им. В.А. Алмазова» Минздрава России. Первичным скрининговым методом диагностики мальротации у детей раннего возраста с подозрительной клинической картиной являлось УЗИ. По его результатам типичные признаки мальротации проявились у всех детей. Однако по данным ирригографии у 24,1% оказались данные УЗИ ложноположительными, то есть типичные признаки, выявленные при УЗИ, не соответствовали синдрому мальротации по данным рентгенологического метода. По результатам ирригографии атипичное положение толстой кишки было подтверждено у 22 (75,9%) детей. Таким образом, по данным нашего исследования, результаты УЗИ в ¼ случаев достоверно не подтвердились. При наличии клинической картины высокой непроходимости кишечника и для определения специфичных признаков мальротации обязательным методом лучевой диагностики является ирригография.
1. Morris G.,Kennedy Jr A., Cochran W. Small Bowel Congenital Anomalies: a Review and Update. Current Gastroenterology Reports. 2016. Vol. 18 (4). DOI: 10.1007/s11894-016-0490-4.
2. Эргашев Н.Ш., Саттаров Ж.Б. Особенности клиники и диагностики мальротации и аномалий фиксации кишечника у детей // Вестник хирургии. 2014. № 1. С. 73-77.
6. Коровин С.А. Лапароскопические технологии в лечении детей с ургентными заболеваниями органов брюшной полости: дис. … докт. мед. наук. Москва, 2019. 248 с.
8. Ольхова Е.Б. Ультразвуковая диагностика в неотложной неонатологии. Заболевания органов грудной и брюшной полостей. Руководство для врачей. 2016. Т. 2. С. 352.
9. Эргашев Н.Ш., Саттаров Ж.Б. Особенности клиники и диагностики мальротации и аномалий фиксации кишечника у детей // Вестник хирургии. 2014. № 1. С. 73-77.
10. Dufour D., Delaet M. H., Dassonville M., Cadranel S., Perlmutter N. Midgut malrotation, the reliability of sonographic diagnosis. Pediatr Radiol. 1992. Vol. 22. P. 21-23.
Синдром мальротации – это врожденная аномалия ротации и фиксации средней кишки, которая формируется в раннем периоде внутриутробного развития [1]. Она относится к порокам развития желудочно-кишечного тракта у детей раннего возраста, которые могут вызывать нарушение проходимости кишечника и создавать предпосылки для возникновения острой кишечной непроходимости.
Мальротация кишечника - актуальная проблема хирургической патологии детского возраста. По литературным данным, частота её встречаемости колеблется от 0,8 до 2 случаев на 1000 детей [2]. В зарубежной литературе упоминается, что бессимптомное течение мальротации наблюдается у 1 из 200 новорожденных [3], при этом в 1 случае на 6000 живорожденных имеется яркая клиническая картина острой кишечной непроходимости [4].
В 90% случаев осложнения, которые развиваются при мальротации, приходятся на первый год жизни, в 75% – на период новорожденности [5].
Диагностика мальротации должна быть полноценной и точной и способствовать своевременному началу лечения и благоприятному исходу.
Однако в настоящее время не существует единого алгоритма диагностики мальротации у детей раннего возраста. В мировой литературе имеются единичные, скупые данные о лучевых методах исследования, алгоритме диагностики и навигации пациентов с данной патологией.
Цель: определить роль и значение лучевых методов исследования (ультразвуковое исследование, рентгеновский метод исследования с применением контрастной методики визуализации толстой кишки - ирригографии) в диагностике мальротации кишечника у детей первого года жизни и отработать оптимальный диагностический алгоритм.
Материалы и методы исследования
Исследование проводилось на базе Перинатального центра ФГБУ «НМИЦ им В.А.Алмазова» Минздрава России. Был выполнен ретроспективный анализ архива историй болезни за 2015-2019 годы. В него входили 130 младенцев, данные которых соответствовали критериям включения в исследование: наличие ультразвукового исследования органов брюшной полости, ирригографии, клинической картины разной степени кишечной непроходимости. Из них было отобрано 29 случаев, где, по данным одного и/или двух методов лучевой диагностики, подозревался синдром мальротации. В группе обследуемых количество девочек – 5 (51,8%) и мальчиков – 14 (48,2%). Дети были подразделены на возрастные группы: 0-1 месяц (48,2%), 1-3 месяца (31,0%), 3-6 месяцев (13,7%), единичные случаи 6-12 месяцев (3,4%) и 3 года (3,4%).
Первичный этап лучевых методов обследования детей, с клиникой высокой кишечной непроходимости, включал в себя проведение ультразвукового исследования (УЗИ) органов брюшной полости. Исследование проводилось с использованием микроконвексного датчика от 6 до 10 МГц и линейного датчика от 7,5 до 10 МГц.
Вторым методом лучевой диагностики было рентгеновское исследование толстой кишки с применением контрастного препарата – ирригография, которое проводилось по двухэтапной методике. На первом этапе получали обзорный снимок органов брюшной полости, на втором этапе выполнялась серия рентгенограмм после введения контрастного препарата в прямую кишку.
Исследование проводилось на рентгено-диагностическом комплексе AXIOM Luminos DRF (SIEMENS). В качестве контрастного вещества использовали неионные водорастворимые контрастные препараты (омнипак-300), в сочетании с физиологическим раствором в пропорции 1:1, также в качестве контрастирующего препарата у 8 детей применяли взвесь сульфата бария. Контраст вводили до полного заполнения толстой кишки, его количество зависело от массы ребенка, в среднем 15-20 мл на 1 кг массы тела.
Доза облучения в среднем составляла 0,12 мзВ. Выполняли 6 снимков по 0,02 мЗв. Ограничивали створки окна диафрагмы до минимально допустимых так, чтобы рентгеновские лучи проходили только в область интереса – брюшная полость с захватом малого таза. Также зоны, не входящие в область исследования, накрывали накладками из просвинцованной резины.
При анализе данных был применен метод описательной статистики для качественных данных, в котором использовались проценты, как относительное долевое выражение числа объектов от общего числа объектов, равного 100.
Результаты исследования и их обсуждения
Первичный этап состоял из УЗИ органов брюшной полости с прицельным поиском заворота брыжейки, который сопровождается нарушением расположения брыжеечных сосудов в эпигастральной области.
По результатам исследования, у 29 из 130 проанализированных пациентов при УЗИ имелись эхо-признаки синдрома мальротации.
Эхо-признаками сформировавшегося заворота брыжейки считалась атипичная визуализация брыжеечных сосудов: «знак водоворота», когда верхняя брыжеечная вена оказывается вовлечена в заворот брыжейки и формирует собой сосудистое кольцо, и, атипичная локализация верхней брыжеечной артерии в центральной части сформировавшегося заворота брыжейки 7.
После УЗИ 29 детям с эхо-признаками атипичной визуализации брыжеечных сосудов проводилось двухэтапное рентгенологическое исследование.
На первом этапе исследования проводилась обзорная рентгенография органов брюшной полости в вертикальном положении. Рентгенологическими признаками, указывающими на вероятность мальротации у пациента на обзорном рентгенологическом снимке в прямой проекции, был увеличенный газовый пузырь желудка с уровнем жидкости (27%) и пониженное газонаполнение петель кишечника (73%). Некоторые исследования, в силу тяжелого состояния пациентов (13,8%), невозможно было провести в вертикальном положении, в таком случае рентгенологическое исследование проводили лежа на спине. Однако в таком положении невозможно было определить уровень жидкости в желудке.
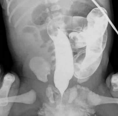
После обзорных рентгенограмм приступали ко второму этапу – ирригографии. Введение контрастного препарата в прямую кишку производилось до тугого заполнения толстой кишки для её полноценной визуализации на всём протяжении. При анализе снимков отмечалось неправильное и крайне вариабельное расположение толстой кишки. Однако были выделены общие характерные признаки для синдрома мальротации: преимущественно левостороннее расположение толстой кишки, высокое расположение слепой кишки, под печенью, а в некоторых случаях слева от позвоночника, встречались отдельные случаи с преимущественным правосторонним расположением толстой кишки.
Поскольку общепринятой классификации мальротации не существует, разные авторы описывают различные формы и проявления данного порока. Рентгенологически не всегда можно дифференцировать все имеющиеся виды нарушения ротации и фиксации кишечника: неполная ротация, отсутствие ротации, обратная ротация, синдром Ледда, мезоколикопариетальная грыжа, заворот средней кишки, изолированный заворот тонкой кишки, патологическая фиксация тонкой кишки, отсутствие или недостаточная фиксация толстой кишки [9].
В своем исследовании мы определили два основных типа, выявляемых и дифференцируемых на рентгенограммах с контрастным усилением, основываясь на данных нарушения естественного течения эмбрионального развития: мальротация с одним поворотом средней кишки, мальротация с двумя поворотами.
При первом типе мальротации в процессе внутриутробного развития происходит только один поворот средней кишки, в результате чего тонкая и толстая кишка имеет одну брыжейку. При ирригографии характерно левостороннее расположение толстой кишки, при этом слепая кишка расположена спереди или слева от позвоночного столба (рис. 1).
Следующий тип мальротации характеризуется наличием только двух поворотов вместо естественных трех, горизонтальная часть двенадцатиперстной кишки вращается позади оси брыжеечных сосудов, короткий корень брыжейки не прикреплен, вследствие чего могут возникать связки Ледда. На ирригограмме слепая кишка и восходящий отдел толстой кишки расположены высоко, смещены несколько правее от позвоночного столба (рис. 2, 3).

Рис. 1. Ирригограмма в прямой проекции. Отмечается расположение петель кишечника преимущественно в левом фланке брюшной полости

Рис. 2. Ирригограмма в прямой проекции. Отмечается атипичная топография толстой кишки. Слепая кишка расположена высоко в правом фланке брюшной полости, и восходящая часть ободочной кишки расположена вдоль позвоночного столба справа

Рис. 3. Ирригограмма в прямой проекции. Отмечается расположение петель толстой кишки преимущественно в правом фланке брюшной полости
Однако данное разделение синдрома мальротации по анатомическому расположению брыжеечных сосудов и толстой кишки не несет диагностической значимости при описании патологии врачом-рентгенологом, так как не влияет на тактику лечения. Потому что основным критерием к отбору на оперативное вмешательство при мальротации является клиническая картина острой высокой кишечной непроходимости, а именно рвота, срыгивания с примесью желчи, приступообразные боли в животе, вздутие в эпигастральной области.
Было определено, что среди всех пациентов с подозрением на синдром мальротации по данным УЗИ рентгенологически порок подтвердился у 22 (75,9%) пациентов, а у остальных 7 (24,1%) - ирригография определила типичную топографию толстой кишки. В то же время, по данным литературы, отмечают различные варианты анатомических особенностей положения верхней брыжеечной артерии и вены, которые ошибочно можно принять за проявление синдрома мальротации [10]. Следовательно, результат УЗИ не должен выступать как определяющий в выявлении синдрома мальротации, необходим более точный метод диагностики, способный детально визуализировать топографию толстой кишки - ирригография.
Среди детей различных возрастных групп частота встречаемости пороков развития и фиксации средней кишки различается: 0-1 месяц 55%, 1-3 месяца 33%, по 5,5% пришлось на 6-12 месяцев и 3 года.
При первичном ретроспективном анализе также выяснилось, что, по данным пренатального ультразвукового скрининга, у 6 из 29 отобранных для детального анализа пациентов имелись признаки множественных врожденных пороков развития, и у 2 из них подтвердился синдром мальротации, по данным ирригографии в постнатальном периоде.
У тех детей (n=7, 24,1%), у которых наблюдались симптомы острой кишечной непроходимости и была диагностирована мальротация по данным лучевых методов исследования, сразу была проведена лапаротомия, ревизия органов брюшной полости и устранение спаечной непроходимости. Во всех этих случаях синдром мальротации был подтвержден.
Прогнозы при синдроме мальротации определяются также за счет наличия и тяжести сопутствующих пороков развития или заболеваний других органов и систем. В основном синдром мальротации диагностировался как сопутствующее заболевание при пороках сердечно-сосудистой системы. Лишь у 3 детей (10,3%) синдром мальротации выступал как основное заболевание.
К прогностическим критериям мальротации также относится своевременная и точная диагностика с целью предотвращения осложнений, связанных с длительностью постановки диагноза и отложенным хирургическим вмешательством.
Заключение
УЗИ является безопасным методом исследования, который позволяет заподозрить вероятность наличия синдрома мальротации. Однако, учитывая высокую зависимость метода УЗИ от квалификации специалиста и умеренную чувствительность в отношении диагностики мальротации, при наличии клинических проявлений и атипичного расположения верхней брыжеечной артерии и вены требуется подтверждение с помощью ирригографии. При помощи контрастного рентгенологического исследования толстой кишки можно достоверно оценить её топографию и определить показания к лечению.
Своевременная диагностика и оперативное вмешательство помогают предотвратить осложнения, связанные со стенозом верхней брыжеечной артерии, такие как высокая кишечная непроходимость, заворот кишки, приводящие к ишемии и некрозу кишки.
Мальротация кишечника
(Аномальное вращение кишечника; мальротация кишечника)
, MD, Geisinger Clinic
Причина этого дефекта неизвестна.
Типичные симптомы включают рвоту, диарею, боли в животе и вздутие живота.
Диагноз устанавливается на основании различных видов рентгенологических исследований.
Мальротация кишечника с перекрученной петлей кишечника (заворот кишок) является чрезвычайной ситуацией, требующей хирургического вмешательства.
Мальротация может привести к закупорке кишечника. Поскольку тонкая кишка не закреплена должным образом, она может скручиваться (заворачиваться), перекрывая кровоснабжение кишечника. Неизвестно, почему кишечник не перемещается в нужное место в брюшной полости.
У младенцев с мальротацией кишечника часто присутствуют другие врожденные пороки. Хотя мальротация возникает у младенцев, она также может возникать в раннем детстве или взрослом возрасте. У некоторых людей мальротация обнаруживается случайно в при обследовании в связи с другой проблемой.
Симптомы мальротации кишечника
У младенцев с мальротацией кишечника могут внезапно развиваться рвота, диарея, боль в животе и вздутие живота, и эти симптомы также могут появляться и исчезать.
Если кровоснабжение середины кишечника полностью перекрыто из-за заворота кишок, развиваются внезапные сильные боли и рвота.
С рвотой может выходить желчь — вещество, образующееся в печени, — что делает рвоту зеленой. В конце концов брюшная полость раздувается.
Диагностика мальротации кишечника
Рентгенологические исследования брюшной полости
Рентгенологические исследования с использованием бария
Если у младенца возникает рвота желчью, врачи делают рентгенологическое исследование брюшной полости, чтобы обнаружить закупорку.
Рентгенологические исследования также проводят после помещения бария в прямую кишку младенца (так называемая бариевая клизма Рентгенологические исследования пищеварительного тракта с использованием бария Рентгенологические исследования часто используются для оценки нарушений пищеварения. Стандартные рентгенологические исследования (обычные рентгенологические исследования) не требуют никакой. Прочитайте дополнительные сведения ) или проглатывания его младенцем (рентгенография верхних отделов желудочно-кишечного тракта [ЖКТ]). На рентгенограммах барий выглядит белым и очерчивает пищеварительный тракт, показывая контуры и слизистую пищевода, желудка, тонкой кишки и толстой кишки. Рентгенологические исследования с использованием бария могут помочь врачам увидеть, находятся ли нижние отделы кишечника в аномальном положении.
Лечение мальротации кишечника
Экстренное оперативное вмешательство
Мальротация кишечника с заворотом кишок является чрезвычайной ситуацией, требующей немедленного хирургического вмешательства. Младенцам в вену (внутривенно) вводят жидкости и в течении нескольких часов приступают к экстренному хирургическому вмешательству. Если не начать быстрое лечение, дефект может привести к потере кишечной ткани или смерти.
Если мальротация обнаруживается случайно у человека, у которого отсутствуют симптомы, врачи могут предложить ему вариант хирургической коррекции, но этот вопрос является спорным.
ПРИМЕЧАНИЕ: Это — пользовательская версия ВРАЧИ: Нажмите здесь, чтобы перейти к профессиональной версии
Авторское право © 2022 Merck & Co., Inc., Rahway, NJ, США и ее аффилированные лица. Все права сохранены.
Мальротация кишечника
Городская Ивано-Матренинская детская клиническая больница, Иркутск;
Иркутская государственная медицинская академия последипломного образования
Городская Ивано-Матренинская детская клиническая больница, Иркутск;
Иркутский государственный медицинский университет;
Иркутская государственная медицинская академия последипломного образования
1. Городская Ивано-Матренинская детская клиническая больница, Иркутск;
2. Иркутский государственный медицинский университет;
3. Иркутская государственная медицинская академия последипломного образования
Городская Ивано-Матренинская детская клиническая больница, Иркутск
Центр хирургии и реанимации новорожденных, МУЗ «Ивано-Матренинская детская клиническая больница», Иркутск
Иркутский государственный медицинский университет, Иркутск
Эндохирургическое лечение мальротации кишечника у новорожденных и младенцев
Журнал: Хирургия. Журнал им. Н.И. Пирогова. 2016;(4): 34‑39
Городская Ивано-Матренинская детская клиническая больница, Иркутск;
Иркутская государственная медицинская академия последипломного образования
Введение. Мы сообщаем результаты сравнения лечения мальротации кишечника у новорожденных и младенцев с использованием лапароскопии и лапаротомии. Материал и методы. В период между январем 2004 г. и декабрем 2013 г. было выполнено 34 операции Ледда. В исследовании сообщаются данные детей, которые подвергнуты лапароскопической (17 пациентов - 1-я группа) и стандартной (17 больных - 2-я группа) операции. Результаты. Группы имели одинаковые демографические и другие предоперационные параметры. Были обнаружены значимые различия в длительности операции между лапароскопическими и открытыми операциями (61 мин против 70 мин). Пациенты начинали раньше питание после миниинвазивного способа лечения (1,5 сут против 3 сут) и имели меньшее время перехода на полное энтеральное питание (4,2 сут против 6,9 сут). Продолжительность пребывания в стационаре была меньше в 1-й группе (7,7 сут против 10,2). Количество ранних послеоперационных осложнений не отличалось в группах. Число поздних осложнений было больше в группе лапаротомии, однако различия не были достоверны. Заключение. Исследование демонстрирует, что эндохирургическая коррекция врожденных аномалий вращения кишечника дает лучшие послеоперационные результаты, чем открытая хирургия, и может быть широко использована у маленьких детей.
Городская Ивано-Матренинская детская клиническая больница, Иркутск;
Иркутская государственная медицинская академия последипломного образования
Городская Ивано-Матренинская детская клиническая больница, Иркутск;
Иркутский государственный медицинский университет;
Иркутская государственная медицинская академия последипломного образования
1. Городская Ивано-Матренинская детская клиническая больница, Иркутск;
2. Иркутский государственный медицинский университет;
3. Иркутская государственная медицинская академия последипломного образования
Городская Ивано-Матренинская детская клиническая больница, Иркутск
Центр хирургии и реанимации новорожденных, МУЗ «Ивано-Матренинская детская клиническая больница», Иркутск
Иркутский государственный медицинский университет, Иркутск
Цель настоящего исследования - продемонстрировать возможность и преимущества лапароскопического лечения мальротации кишечника в группе больных, чей возраст не превышает 3 мес жизни.
Материал и методы
Мы выполнили ретроспективный анализ результатов всех операций Ледда, произведенных в Центре хирургии новорожденных Иркутской детской клинической больницы на протяжении 11 лет, с января 2004 г. по декабрь 2013 г. Исследование было одобрено этическим комитетом больницы. Лапароскопия была внедрена для лечения мальротации в 2004 г. и с тех пор стала постепенно превращаться в предпочтительный подход для коррекции этого состояния. За все время исследования процедура Ледда выполнена 34 детям: 17 - лапароскопические операции (1-я группа) и 17 - открытые хирургические вмешательства (2-я группа). Конверсия к лапаротомии стала необходимой у 2 больных 1-й группы и была обусловлена нарастанием гемодинамических расстройств на фоне заворота и ишемии кишечника. Из исследования были исключены также пациенты с врожденной диафрагмальной грыжей, гастрошизисом, омфалоцеле.
В обеих группах было по 11 мальчиков и 6 девочек. Средний возраст больных 1-й группы составил 13,1±9,6 сут (здесь и далее M±SD означает среднее ± стандартное отклонение), 2-й - 12,9±9,6 сут. Средняя масса тела к моменту операции была равна 3326±426 г в 1-й и 3351±407 г во 2-й группе.
Наиболее распространенные клинические симптомы заболевания включали боль или беспокойство, являющееся аналогом болевых ощущений у маленьких детей (59%), эпизодическую рвоту (100%) и кровь в стуле (33%).
В нашем исследовании диагноз мальротация устанавливался на основании нескольких рентгенологических и визуальных до- и интраоперационных критериев: расположение дуоденоеюнального перехода справа от средней линии, размещение слепой кишки под печенью или в центральных отделах брюшной полости.
Современным методом диагностики мальротации, позволяющим определить не только морфологию кишечника, но и его функциональные расстройства, являлось ультразвуковое исследование брюшной полости. Мы придаем большое значение оценке двух ультразвуковых признаков - толщины корня брыжейки тонкой кишки и кровотока в верхней брыжеечной артерии. Определение заворота первоначально основывалось на измерении размера корня брыжейки, который в случае ротации «средней» кишки вокруг верхней брыжеечной артерии превышал 50% окружности брюшной полости. Ультразвуковые критерии синдрома Ледда, сопровождающегося заворотом кишечника, включали симптом «штопора» или «водоворота» - графическое выражение направления кровотока в верхней брыжеечной артерии.
Дооперационный диагноз, основанный на данных рентгенологического и ультразвукового исследований, был установлен у 79% пациентов. У остальных 21% больных мальротация выявлена во время эксплоративной операции на органах брюшной полости, произведенной в связи с подозрением на высокую кишечную непроходимость.
Техника операции Ледда. Пациента размещали на операционном столе в положении, обратном положению Тренделенбурга. Выполняли правосторонний поперечный разрез в правом подреберье или полукруглый разрез в околопупочной области. Принципиальной находкой, определяющей вид реконструкции, являлся заворот, сопровождающийся некрозом обширного сегмента тонкой кишки. В этом случае производили резекцию некротически измененного сегмента и соединение жизнеспособных кишечных сегментов с помощью анастомоза.
В стандартных ситуациях, не сопровождающихся некрозом кишечной трубки, применяли классическую операцию Ледда, которую начинали с устранения заворота вокруг корня брыжейки по часовой стрелке или против нее (в зависимости от направления торсии). Затем рассекали перидуоденальные спайки, деформирующие просвет двенадцатиперстной кишки. Дуоденолиз выполняли до тех пор, пока не достигали полного выпрямления двенадцатиперстной и начального отдела тощей кишки. Корень брыжейки обнажали так, чтобы визуально определялась пульсация верхней брыжеечной артерии. Толстую кишку перемещали в левую половину брюшной полости. Размещенные слева слепую кишку и восходящий отдел ободочной кишки фиксировали к левой половине ободочной кишки. Производили аппендэктомию инвагинационным способом. После окончания основных этапов операции Ледда послойно ушивали разрез брюшной стенки.
Лапароскопический вариант операции Ледда осуществляли с использованием трехпортового доступа. Ребенка размещали на операционном столе в положении, обратном положению Тренделенбурга с поворотом операционного стола на 30° в левую сторону. Использовали карбоперитонеум с «мягкими» параметрами - поток 2 л/мин, давление 8 мм рт.ст. Выполняли лапароцентез и устанавливали 3 порта: первый - в левой подвздошной области (оптический), второй - в левом верхнем квадранте (инструментальный), третий - в правой подвздошной области (инструментальный). Расположение лапароскопа в нижнем отделе брюшной полости обеспечивает лучшую визуализацию порока развития кишечника у новорожденных. При таком размещении портов создается рабочее пространство, достаточное для выполнения операции Ледда. Однако у пациентов, чей возраст превышал 3 мес жизни, размер брюшной полости позволяет размещать оптический троакар в области пупка.
Выполняли ревизию брюшной полости, чтобы подтвердить диагноз. Для этого с помощью атравматических зажимов приподнимали слепую и поперечную ободочную кишку с целью идентификации связки Трейтца. Если эта связка отсутствовала, то диагноз мальротации не вызывал сомнения и служил показанием к выполнению операции Ледда. Дальнейшие действия хирурга зависели от того, сопровождался ли синдром Ледда заворотом и некрозом «средней» кишки. При идентификации необратимых нарушений кровообращения в ротированной кишке выполняли конверсию к открытой операции, которая заключалась в резекции пораженного сегмента кишки с наложением анастомоза.
Если заворот «средней» кишки не сопровождался некрозом, то последующие этапы хирургического вмешательства повторяли шаги, которые используются при открытом варианте этой процедуры. Устраняли заворот, разделяли перидуоденальные спайки, перемещали слепую кишку в левую половину брюшной полости и фиксировали ее к сигмовидной кишке (см. рисунок). Использовали технику no touch (от англ. - без соприкосновения), т. е. без захвата стенки кишки, который может привести к ее травме. Конверсию к лапаротомии выполнили в 2 (12%) наблюдениях из-за недостаточной визуализации ключевых структур брыжейки на фоне заворота и нарушений мезентериального кровотока.

Интраоперационная фотография. Вид органов брюшной полости после выполнения операции Ледда. Слева находится выпрямленная двенадцатиперстная кишка, справа - толстая кишка, перемещенная в левую половину брюшной полости.
Энтеральное кормление больных после операции начинали с того момента, когда объем потерь по желудочному зонду снижался до 10 мл/кг/сут. После нормализации нутритивного статуса пациентов переводили в хирургическое отделение для послеоперационного лечения. Пациентов выписывали на основании внутрибольничного протокола, предусматривающего их полную адаптацию к вскармливанию и положительный баланс весоростовых показателей на фоне стабильного гомеостаза. Контрольные осмотры проводили через 1, 3, 6 и 12 мес после выписки.
По окончании наблюдения за детьми проведено сравнение демографических данных, интраоперационных параметров, ближайших и отдаленных результатов операции. Выполнено статистическое сравнение групп пациентов. Проанализированы дооперационные показатели (пол, возраст и масса тела ко дню операции). Проведено сравнение интра- и послеоперационных параметров - длительности операции, наличия заворота, времени начала энтерального питания и времени перехода на полное энтеральное питание, продолжительности нахождения в стационаре, частоты послеоперационных осложнений - ранних (раневая инфекция) и поздних (повторный заворот, спаечная кишечная непроходимость), а также летальности. Для оценки средних значений в группах использовали U-тест Манна-Уитни, для оценки категориальных переменных - c 2 -тест с поправкой Йетса или точный критерий Фишера. Уровнем доверительной значимости принимали p
Результаты и обсуждение
Пациенты в обеих группах не имели значимых различий по полу (р=1,0), возрасту (р=0,946) и массе тела (р=0,892).
Во время операции заворот «средней» кишки обнаружен у 13 (76,5%) детей 1-й группы и у 14 (82,4%) детей 2-й группы, различия недостоверны (р=1,0). Резекция кишки потребовалась в 2 (11,8%) наблюдениях в каждой группе. Средняя продолжительность операции была меньше у пациентов эндохирургической группы (61 мин против 70 мин; р=0,0005).
Послеоперационные данные показали несколько существенных различий между двумя группами. Среднее количество дней, отражающих начало и достижение полного энтерального питания, было достоверно меньше в 1-й группе по сравнению со 2-й: 1,5 сут против 3 сут (р=0,001) и 4,2 сут против 6,9 сут (р=0,001) соответственно. Раневая инфекция регистрировалась значительно чаще во 2-й группе (11,8% против 0), однако различия не были достоверны (р=0,484).
Продолжительность послеоперационного пребывания в больнице также была значительно больше в группе открытой операции (7,7 сут против 10 сут; р=0,001).
Хирургические операции не сопровождались летальным исходом в раннем послеоперационном периоде. Летальные исходы имели место только в отдаленном периоде наблюдений в группе открытого лечения (11,8% против 0; р=0,484) и были связаны в основном с необратимым повреждением печени на фоне длительного парентерального питания и полиорганными расстройствами вследствие синдрома «короткой кишки».
Последующее наблюдение было доступно у 15 пациентов 1-й группы и у 10 пациентов 2-й группы на протяжении от 6 мес до 10 лет после операции. Ни у одного из этих детей в отдаленном периоде не возник повторный заворот кишечника. У 3 больных после открытой операции развилась спаечная кишечная непроходимость через 6-12 мес после операции Ледда, однако это различие не было статистически значимо (17,6% против 0; р=0,227).
Врожденные нарушения ротации в 75% наблюдений проявляются в течение 1 мес и в 90% - в течение 1 года жизни [14, 16, 23]. Популяционная частота аномалий вращения достоверно не известна. Эмбриональный механизм возникновения этого заболевания изучен и заключается в следующем [6]. Примитивный кишечный тракт начинает формироваться приблизительно к 4-й неделе беременности. В 10 нед беременности «средняя» кишка подвергается вращению против часовой стрелки на 270° вокруг оси верхней брыжеечной артерии. К 12-й неделе внутриутробного развития «средняя» кишка становится фиксированной к задней стенке брюшной полости с помощью брюшинных сращений, обеспечивающих ее стабилизацию на протяжении от связки Трейтца до слепой кишки. Изменения в этой последовательности вращения и фиксации «средней» кишки приводят к мальротации и аномалиям брыжейки, предрасполагающим к завороту. Непроходимость кишечника может развиться как вследствие заворота и некроза всей «средней» кишки, так и в результате наружного сдавления двенадцатиперстной кишки.
Быстрая постановка точного диагноза нарушения вращения кишечника и своевременное хирургическое лечение крайне важны для предотвращения катастрофических последствий. С этой целью используют ультразвуковое исследование [19] и ирригографию [16]. Не менее важные симптомы могут быть отмечены при проведении контрастной гастродуоденографии. Следует учитывать вероятность получения ложноположительных и ложноотрицательных результатов [5], которые могут привести к напрасной операции или упущенной возможности предотвращения заворота. Другая проблема связана с выявлением бессимптомных форм заболевания, случайно обнаруженных при рентгенологических исследованиях или в ходе операций, выполняющихся по поводу других заболеваний [23]. Риск заворота у этих пациентов не может быть точно предсказан.
Критериями благоприятного восстановления больных после лапароскопии являются раннее возобновление функции пищеварения и сокращение длительности пребывания младенца в больнице. Среднее время, необходимое для перехода на полное энтеральное питание больных после эндохирургической коррекции мальротации, по данным некоторых авторов, составляет 1-4 дня [3, 4, 18]. Сообщается также, что средняя продолжительность нахождения пациентов в больнице составляет 5-7 дней [3, 4, 7, 22]. Имеются данные о том, что пациентам после лапароскопии требуется меньшее количество анальгетиков, чем пациентам после открытых операций [3, 4, 7].
Другое потенциальное преимущество лапароскопической операции Ледда заключается в снижении частоты формирования перитонеальных адгезий. Показатель спаечной кишечной непроходимости после открытой операции Ледда составляет от 2 до 15% [4, 8, 27]. Некоторые хирурги полагают, что абдоминальные спайки важны для фиксации тонкой кишки в состоянии нонротации, что предотвращает заворот в будущем [13, 14], но это мнение не нашло всеобщей поддержки.
Итак, лапароскопия как менее агрессивная хирургическая техника предполагает альтернативный подход, заключающийся в минимально травматичном доступе и раннем восстановлении пациентов после операции. В нашей больнице эндохирургия используется на протяжении 11 лет и стала предпочтительным методом для коррекции мальротации. В настоящей работе мы изложили свой взгляд на место минимально инвазивной хирургии в лечении аномалий вращения кишечника и провели сравнение результатов открытых и эндоскопических операций, выполненных 34 пациентам. Данные, представленные в исследовании, подтверждают и закрепляют результаты нескольких других, меньших по количеству пациентов серий исследований, посвященных лечению мальротации. Сокращение длительности операции, раннее послеоперационное восстановление пациентов стали самыми значимыми факторами, которые способствовали уменьшению продолжительности пребывания пациентов в госпитале. Кроме того, нами было установлено, что лапароскопия сопровождается снижением показателей осложнений и летальности.
Таким образом, в ходе сравнительного исследования результатов открытой и лапароскопической операции Ледда было установлено, что лапароскопия является выполнимой, безопасной и эффективной технологией лечения детей с мальротацией. Мы полагаем, что минимально инвазивная хирургия предоставляет превосходную альтернативу открытой хирургии у новорожденных и младенцев без подозрения на заворот. Кроме того, учитывая наш опыт использования лапароскопического подхода в лечении мальротации, сопровождающейся заворотом и нарушением мезентериального кровообращения, мы полагаем, что срочная лапаротомия в этой группе является методом выбора, позволяющим выполнить самый быстрый доступ к кишечнику и минимизировать риск развития его некроза.
МАЛЬРОТАЦИИ КИШЕЧНИКА У ДЕТЕЙ СТАРШЕГО ВОЗРАСТА, АЛГОРИТМ ДИАГНОСТИЧЕКИ И ЛЕЧЕНИЯ

Цель: улучшение диагностики и лечения синдрома мальротации (СМ) у детей старшего возраста. Мальротация кишечника встречается с частотой 0,2-1 случаев на 1000 живорожденных. СМ в 80 % случаев манифестирует в периоде новорожденности картиной острого заворота кишечника: 20 % - могут клинически проявиться в более старшем возрасте. У детей старшего возраста частота острой формы СМ не превышает 10 %, остальные случаи характеризуются набором неспецифических многообразных симптомов или их отсутствием, что отличает диа- гностический алгоритм данной возрастной группы от алгоритма обследования новорожденных с СМ. Вопросы информативности методов обследования, открытого или эндохирургического оперативного лечения СМ, а также сопутствующих или вторичных заболеваний, требующих хирургической коррекции у детей старшего возраста остаются открытыми. Материалы и методы. В исследование первоначально были включены 97 детей от 3 мес. до 17 лет 11 мес. поступившие в хирургические клиники с проявлениями частичной кишечной непроходимости и заворота кишечника за период с 2010 по 2020 год. При обследовании СМ выявлен у 73 детей. Пациенты с СМ разделены на 2 группы: 1 группа - пациенты, опериро- ванные открытым способом 31 (42,5 %), 2 группа - пациенты, оперированные лапароскопи- чески 42 ребенка (57,5 %). По клиническому течению выделены пациенты с острым 14 (19,1 %) и хроническим вариантом течения 59 (80,8 %). Всем детям выполнено клиническо-инструмен- тальное обследование с статистической оценкой их информативности. Результаты. Все 73 ребенка с СМ наиболее часто предъявляли жалобы на периодические боли в животе (84,9 %), многократную рвоту (75,3 %) и наличие светлых промежутков (79,4 %). Сопутствующие заболевания гастроэнтерологического профиля выявлены у всех пациентов (205,6 %), что свидетельствует о грубых изменениях функционирования органов пищеварения на фоне СМ, а выявленные заболевания желудка (23,3 %), ДПК (4,1 %), панкреато-биллиарной области (56,2 %) потребовали дополнительной хирургической коррекции, вплоть до резекции ДПК (5,47 %). В ходе анализа информативности методов обследования установлено, что наи- более информативным методом исследования является рентгеноконтрастная дуоденография, УЗИ; наиболее чувствительным - ирригография, контрастная рентгенография ЖКТ; высоко специфичным - рентгеноконтрастное исследование ЖКТ и УЗИ. Выявлены особенности ин- терпретации результатов УЗИ в диагностике СМ у детей старшего возраста. В 78,1 % помимо основной операции Ледда потребовалось выполнение симультанных операций. Рецидивы за- ворота «средней кишки» отмечались как в 1 так и во 2 группе, однако во 2 группе частота их достоверно выше. Осложнения, такие как некроз дуоденоеюнального перехода (8,85 %), кро- вотечения из расширенных вен брыжейки (5,6 %) встретились в обеих группах. Итогом про- веденной работы стало создание лечебно-диагностического алгоритма, в котором предложена тактика диагностики и лечения мальротации с учетом выраженности и формы СМ, а также инициированной и сопутствующей патологии.
Об авторах
А. Ю Разумовский
А. Н Смирнов
В. В Холостова
И. В Субботин
Список литературы
© Разумовский А.Ю., Смирнов А.Н., Холостова В.В., Субботин И.В., 2020
Эта статья доступна по лицензии Creative Commons Attribution-NonCommercial-NoDerivatives 4.0 International License.
ЖУРНАЛЫ
ПРАВОВАЯ ИНФОРМАЦИЯ
ИНФОРМАЦИЯ
СЕРВИСЫ
Реклама на сайте
Реклама в журналах
КОНТАКТЫ
191186, Санкт-Петербург, Аптекарский переулок, д.3, литера А, помещение 1Н
Мальротация кишечника
Мальротация кишечника – аномалия развития кишечника, заключающаяся в неспособности кишечника занять свое нормальное место в брюшной полости во время внутриутробного развития. Диагноз устанавливают на основе результатов рентгенографии брюшной полости. Лечение подразумевает проведение восстановительной операции.
Мальротация является наиболее распространенной врожденной аномалией тонкого кишечника. По оценкам, у 1 из 200 живорожденных имеет место бессимптомная ротационная аномалия; однако симптоматическая мальротация случается не так часто (1 на 6000 живорожденных).
Во время эмбрионального развития первичная кишка выступает из брюшной полости. Когда она возвращается обратно, толстая кишка обычно вращается против часовой стрелки, при этом слепая располагается в правом нижнем квадранте. Неполный поворот, при котором слепая кишка оказывается в конечном итоге в другом месте (обычно в правом подреберье или в среднем эпигастрии), может вызвать непроходимость кишечника за счет формирования забрюшинного тяжа (тяж Ледда), который тянется через двенадцатиперстную кишку, или за счет заворота тонкой кишки, который, при отсутствии нормального места прикрепления, наворачивается на свою узкую стеблеподобную брыжейку ( 1 Общие справочные материалы Мальротация кишечника – аномалия развития кишечника, заключающаяся в неспособности кишечника занять свое нормальное место в брюшной полости во время внутриутробного развития. Диагноз устанавливают. Прочитайте дополнительные сведенияДругие пороки развития желудочно-кишечного тракта встречаются у 30–60% пациентов (например, гастрошизис Гастрошизис Гастрошизис – выпячивание внутренних органов брюшной полости через дефект брюшной стенки; обычно локализируется справа от места отхождения пуповины. (См. также Обзор врожденных аномалий желудочно-кишечного. Прочитайте дополнительные сведения , грыжа диафрагмы Диафрагмальная грыжа Грыжа диафрагмы – протрузия органов брюшной полости в грудную клетку через дефект в диафрагме. Сжатие легких может привести к постоянной легочной гипертензии. Диагноз ставят на основании данных. Прочитайте дополнительные сведения , меккелев дивертикул Меккелев дивертикул Дивертикул Меккеля является истинным дивертикулом; это наиболее распространенная врожденная аномалия желудочно-кишечного тракта, встречающаяся примерно у 2% населения. Он вызван неполной облитерацией. Прочитайте дополнительные сведения – это следующий наиболее распространенный синдром наряду с гетеротаксией (состоянием, при котором внутренние органы аномально расположены в грудной и брюшной полости).
Мальротация кишечника у пациентов может быть выявлена в младенчестве или в зрелом возрасте; однако в 30% случаев она определяется в первый месяц жизни и в 75% – в первые 5 лет. Симптомы у пациентов могут проявляться как острая боль в животе и желчная рвота, острый заворот кишок, типичные симптомы рефлюкса или хронические боли в животе. У некоторых пациентов мальротация обнаруживается при обследовании по поводу другой проблемы.
Желчная рвота у младенца является неотложным состоянием; необходимо провести немедленное обследование для исключения мальротации и заворота средней кишки; без лечения существует высокий риск развития инфаркта кишечника и последующего синдрома короткой кишки Синдром короткой кишки Синдром короткой кишки характеризуется развитием мальабсорбции вследствие обширной резекции тонкой кишки (как правило, более двух третей длины тонкой кишки). Симптоматика зависит от длины и. Прочитайте дополнительные сведения или смертельного исхода.
Общие справочные материалы
1. Langer JC: Intestinal rotation abnormalities and midgut volvulus. Surg Clin N Am 97(1):147–159, 2017. doi: 10.1016/j.suc.2016.08.011
Диагностика мальротации кишечника
Рентгеноскопическое исследование органов брюшной полости
Бариевая клизма и/или исследование верхних отделов желудочно-кишечного тракта
Детям с рвотой желчью должны быть немедленно сделаны прямые рентгеновские снимки живота. Если подозревается обструкция, которая, например, показывает расширенный желудок и проксимальный отдел тонкой кишки (симптом двух газовых пузырей), недостаток газа кишечника дистальнее двенадцатиперстной кишки или оба симптома (предполагая заворот средней кишки), дальнейшая диагностика и лечение должны быть проведены незамедлительно. Ирригография с барием, как правило, позволяет выявить мальротацию, показывая расположение слепой кишки вне правого нижнего квадранта. Если диагноз остается сомнительным, проводят снимки верхнего отдела желудочно-кишечного тракта.
Если обычное рентгенографическое исследование неспецифично и нет противопоказаний, клиницисты иногда начинают с верхнего отдела желудочно-кишечного тракта, так как это помогает обнаружить другие заболевания, вызывающие подобные симптомы.
В неургентных ситуациях серия рентген снимков верхних отделов желудочно-кишечного тракта является наиболее показательной для визуализации мальротации. Исследованиями изучалось использование ультрасонографии для диагностики мальротации путем поиска ретромезентерической локализации третьей части двенадцатиперстной кишки, или перевернутого положения брыжеечных сосудов и знака спиралевидного хода кишечника (кишечник, обернутый вокруг верхней брыжеечной артерии в по спирали). Применение ультразвукового исследования зависит от наличия опытного рентгенолога или техника-радиолога. На данный момент серия рентген снимков верхних отделов желудочно-кишечного тракта является наиболее показателой для проведения диагностики мальротации с или без заворотами ( 1 Справочные материалы по диагностике Мальротация кишечника – аномалия развития кишечника, заключающаяся в неспособности кишечника занять свое нормальное место в брюшной полости во время внутриутробного развития. Диагноз устанавливают. Прочитайте дополнительные сведения , 2 Справочные материалы по диагностике Мальротация кишечника – аномалия развития кишечника, заключающаяся в неспособности кишечника занять свое нормальное место в брюшной полости во время внутриутробного развития. Диагноз устанавливают. Прочитайте дополнительные сведения ).
Справочные материалы по диагностике
1. Graziano K, Islam S, Dasgupta R, et al: Asymptomatic malrotation: Diagnosis and surgical management: An American Pediatric Surgical Association outcomes and evidence based practice committee systematic review. J Pediatr Surg 50:1783–1790, 2015. doi: 10.1016/j.jpedsurg.2015.06.019
2. Zhou LY, Li SR, Wang W, et al: Usefulness of sonography in evaluating children suspected of malrotation: Comparison with an upper gastrointestinal contrast study. J Ultrasound Med 34:1825–1832, 2015. doi: 10.7863/ultra.14.10017
Лечение мальротации кишечника
Наличие мальротации и заворота средней кишки является тяжелым состоянием, которое требует немедленного оперативного вмешательства по методу Ледда с лизисом забрюшинной полосы и облегчением заворота средней кишки. Операция по Лэдду может быть выполнена лапароскопически или открытым методом. Выполнение вмешательства по Лэдду лапароскопически при мальротации без заворота может ускорить возобновления энтерального питания и уменьшить продолжительность пребывания в стационаре по сравнению с операцией открытой способом ( 1 Справочные материалы по лечению Мальротация кишечника – аномалия развития кишечника, заключающаяся в неспособности кишечника занять свое нормальное место в брюшной полости во время внутриутробного развития. Диагноз устанавливают. Прочитайте дополнительные сведенияПри случайном обнаружении мальротации у ребенка с асимптоматичным течением, необходимо учесть факт потенциального разрушительного дествия заворота при вмешательстве по Лэдду; однако проведение этой операции в такой ситуации является спорным.
Справочные материалы по лечению
1. Ooms N, Matthyssens LE, Draaisma JM, et al: Laparoscopic treatment of intestinal malrotation in children. Eur J Pediatr Surg 26:376–381, 2016. doi: 10.1055/s-0035-1554914
Основные положения
Во время эмбрионального развития кишечник начинается вне брюшной полости, а затем перемещается в живот и разворачивается; неполный разворот может вызвать кишечную непроходимость.
Пациенты часто бессимптомны, но у некоторых из них выражены мягкие, неспецифические симптомы (например, рефлюкс) или проявления опасной для жизни непроходимости кишечника (например, желчная рвота), вызванные заворотом кишки.
Другие врожденные аномалии, обычно желудочно-кишечного тракта, встречаются у 30-60% пациентов.
Делают рентгенографию желудочно-кишечного тракта и верхних отделов желудочно-кишечного тракта и/или бариевую клизму.
Лечение детей с выраженными симптомами производится путем хирургического вмешательства.
Авторское право © 2022 Merck & Co., Inc., Rahway, NJ, США и ее аффилированные лица. Все права сохранены.
Читайте также:
