Меланиновые поствоспалительные меланозы (гиперпигментации)
Добавил пользователь Владимир З. Обновлено: 13.12.2025
Пигментация кожи: от чего она зависит
За окраску кожи в организме отвечает меланин. Это высокомолекулярный пигмент, который содержится в коже, волосах, радужной оболочке глаза. Меланин определяет их цвет, но он выполняет и другую важнейшую функцию – поглощает ультрафиолетовые лучи. Таким образом лежащие глубоко ткани оказываются защищены от их негативного воздействия.
Существует несколько типов меланина, от содержания и соотношения которых и зависит цвет кожи, глаз, волос:
- эумеланин — коричневый и черный пигмент;
- феомеланин — пигмент красного оттенка;
- лейкомеланин – бесцветный.
Тем, кто хочет бороться против пигментации, важно помнить, что факторы, провоцирующие проблемы, могут быть как внутренние (эндогенные), так и внешние (экзогенные). Основными из них являются:
- избыток ультрафиолета – до 60% случаев;
- гормональные нарушения – до 30% случаев;
- беременность.
Долгое время считалось, что солнечное излучение – это главная причина нарушения пигментации. Однако сегодня специалисты говорят о значимости наследственного фактора, о поствоспалительных изменениях, последствиях акне и т.д. Учитывая это, с нарушением продукции и распределения меланина могут столкнуться большинство из нас.
Стоит отметить, что обычно это нарушение не представляет опасности для здоровья. Однако оно влияет на психологическое состояние пациентов, снижает качество жизни, поэтому эстетическую проблему необходимо решать быстро и эффективно.
Виды нарушения пигментации, отличительные признаки
- хлоазма — это неравномерная пигментация, которая отличается от нормальной появлением на коже темных пятен с четкими границами. Обычно они располагаются в области лба, щек, иногда на подбородке. Использование крема от пигментации на лице в данном случае не решает проблему, особенно если не устранен фактор, провоцирующий повышенную выработку меланина: ультрафиолетовое облучение. Вторым важным фактором, влияющим на появление хлоазмы, является повышенная чувствительность меланоцитов к женским гомонам эстрогенам.
- лентиго – это плоские окрашенные образования на коже или слизистых, которые появляются под действием ультрафиолетового облучения. Пятна могут возникать на любом участке кожи, не локализуются только на лице. Этот вариант гиперпигментации может отмечаться и у ребенка (юношеское лентиго), по некоторым данным, это состояние генетически обусловлено.
- эфелиды, известные большинству из нас как обычные веснушки. Значительная часть обсуждений и отзывов на тематических сайтах связана именно с этим видом пигментации и вариантами их удаления. С точки зрения врачей это наследственная гиперпигментация, которая в наибольшей степени характерна для людей I и II фототипов – людей с молочно-светлой или просто светлой кожей, светлыми или рыжими волосами. Веснушки обычно становятся заметнее с наступлением теплого сезона, зимой бледнеют.
- меланодермия (меланоз кожи) – этот вариант гиперпигментации обусловлен изменением уровня гормонов (прогестерона и эстрогена) в организме и характерен для женщин. Появление темных пятен на щеках, подбородке и над верхней губой провоцируется повышенной дозой солнечной радиации.
- гиперпигментация по типу постакне, возникающая на месте интенсивных кожных воспалений и высыпаний. После того как пациенты справляются с акне, у них нередко возникает вопрос, как избавиться от пигментации на лице. Также поствоспалительный избыток меланина формируется после травмирующих косметологических процедур, в том числе пилингов и шлифовок, чисток лица и пластических операций, после дерматитов и дерматозов и т.д.
- генерализованная или распространенная гиперпигментация. Здесь речь идет уже не только о пигментных пятнах на лице. Например, при болезни Адиссона (снижение выработки кортизола и альдостерона) бронзовый оттенок приобретает вся кожа. Пигментация на руках может быть проявлением хронического дефицита витамина В12 и белка в питании, соломенно-жёлтый оттенок приобретает кожа при нарушениях работы печени и желчевыводящих путей.
Отдельно надо сказать о такой причине проблемы, как возраст. Мы выделяем ее особо, потому что именно с этим вариантом может столкнуться каждый из нас. Дело в том, что с годами количество меланоцитов (клеток, продуцирующих пигмент) становится все меньше – сокращение достигает примерно 8% в год. Казалось бы, вместе с этим должна уходить проблема темных пятен на коже. Но нет – на незащищенных участках концентрация меланоцитов в два раза выше, чем на тех участках кожи, которые защищены от ультрафиолетового облучения. По этой причине пигментация с возрастом не только не уходит, но и становится более выраженной.
Как избавиться от пигментации: тактика действий
Большинство пациентов, которые обращаются к врачу с жалобами на появление на коже пигментных пятен, озабочены эстетической стороной. Но это не значит, что решать проблему будет только врач-косметолог. Наилучший вариант лечения – это выявление причины, консультация с дерматологом и устранение собственно проявлений на лице. Устранение основной причины неравномерного распределения меланина поможет снизить вероятность повторной гиперпигментации после лечения. Если же проблема связана с соматическим заболеванием, то «косметическое» отбеливание кожи может и вовсе не дать эффекта. Так что программа лечения должна быть комплексной.
Многие пациенты прибегают к самостоятельному лечению пигментации в домашних условиях или к достаточно агрессивным косметологическим процедурам. Например, просят провести им фототерапию, пилинг, лазерные процедуры. В ряде случаев такие мероприятия могут не избавить от пятен, но усугубить проблему. Нередко возникают осложнения, в том числе воспаления, отеки, вторичные расстройства пигментации.
Виды гиперпигментации кожных покровов

Пигментные пятна или полосы, отличающиеся более тёмным оттенком, возникают на коже незаметно. Располагаются они неравномерно и могут иметь различную форму и цвет. Единственное, что их объединяет – неприглядность. Пигментные пятна портят внешний вид и настроение. Кожная гиперпигментация не только представляет собой эстетический изъян, но и указывает на патологию, поэтому изучить её характер и причины должен врач-дерматолог.
Природа и причины гиперпигментации
Тёмные пятна на коже – это скопление пигмента меланина. В ответ на интенсивное воздействие солнечного света меланоциты выделяют этот пигмент для защиты структур кожи от разрушения. Ультрафиолетовое излучение губительно действует на клетки кожи, поэтому организм как может защищает их: выделяется меланин, утолщается эпидермис. Лучи ультрафиолетового спектра В активизируют размножение меланоцитов и увеличение количества ими производимого пигмента. Меланин – мощный антиоксидант и нейтрализатор солнечной радиации. Его гранулы распределяются в слое эпидермиса неравномерно. Избыточное облучение солнечным светом вызывает повреждение меланоцитов, вследствие чего они производят повышенное количество пигмента, который накапливается в тех местах, где кожа уязвима более всего. Так образуются пигментные пятна.
Дополнительными причинами кожных гиперпигментаций являются:
- Колебания уровня гормонов и ферментов в организме.
- Приём лекарств, повышающих светочувствительность.
- Генетическая предрасположенность.
- Расстройства нервной системы и стрессы.
- Болезни внутренних органов.
Какой бы ни была причина гиперпигментации кожи , всегда необходима консультация врача-дерматолога для исключения онкологического заболевания кожи на ранней стадии. Современные диагностические комплексы, такие как дерматоскоп FotoFinder, позволяют на выявить даже минимальные мутации тканей кожи и предупредить развитие онкологии.
Виды гиперпигментации кожных покровов
В зависимости от причины гиперпигментации подразделяют на наследственные (первичные) и приобретённые (вторичные). С наследственными пигментациями человек рождается, даже если проявляться они начинают в определённом возрасте. Например, веснушки (афалиды) становятся заметными примерно после 3-х лет, и проявляются ярче с началом весны. Приобретённых гиперпигментаций больше, и они могут быть сопутствующим симптомом болезней обмена веществ, гипер- или гиповитаминозов, различных состояний, например, беременности.
Виды вторичных гиперпигментаций
Название гиперпигментации
Локализация
Характеристики
На лице и теле. Часто у женщин во время беременности – на животе.
Пятна неправильной формы с чёткими границами светлого или тёмного коричневого цвета, симметрично расположенные.
Располагается в основном на руках, груди, предплечьях.
Мелкие плоские гиперпигментированные пятна. Часто встречается у людей пожилого возраста. Является признаком возрастного старения кожи.
На лице, теле, слизистых оболочках внутренних органов. На голове в области ушей.
Накопление пигмента в органах или тканях в виде очагов или диффузно.
На лице, шее и теле.
Общее название гиперпигментаций при хроническом ультрафиолетовом облучении у женщин и мужчин.
Поствоспалительная (посттравматическая) гиперпигментация
В месте локализации повреждения целостности кожи.
Обусловлена затяжным воспалением и частым травмированием, когда пигмент накапливается эпидермально и дермально.
По глубине залегания пигмента различают следующие гиперпигментации:
- Поверхностные (эпидермальные)
- Глубокозалегающие (дермальные)
- Смешанные (дермальные и эпидермальные).
Комментирует врач-дерматолог, косметолог, тренер Академии косметологии Premium Aesthetics, Елена Олиниченко:
«Гиперпигментация (гипермеланоз) обусловлена, прежде всего, избыточным воздействием ультрафиолетовых лучей. Мелазмы, хлоазмы, лентиго, поствоспалительные гиперпигментации могут появиться у человека в любом возрасте. Их лечение в Академии косметологии начинается с дерматоскопии кожи системой FotoFinder. Для удаления гиперпигментаций кожных покровов в клинике применяются сочетанные протоколы с использованием аппаратных, инъекционных и косметических методов, направленных на восстановление защитных свойств кожи и разрушение пигментированных клеток».
Гиперпигментация кожи

Гиперпигментация – это появление на кожном покрове пятен или полос более темного цвета. Меланоз кожи, как еще называют повышенную пигментацию, развивается незаметно и, как правило, не вызывает физического дискомфорта, боли, зуда. Появляющиеся кожные дефекты располагаются на разных участках тела, лица неравномерно. Они могут быть разной формы и различного оттенка.
В большинстве случаев патология носит доброкачественный характер и не несет прямой угрозы для здоровья. И главная проблема заболевания – эстетическая непривлекательность. Избыточная пигментация на лице и теле часто воспринимается как косметический дефект. Пятна привлекают внимание окружающих, становятся причиной насмешек. Человек испытывает психологический дискомфорт, страх общения. Снижается социальная активность, развивается замкнутость. Однако, это не единственная причина, чтобы начать лечение патологии.
Болезнь меланоз при неблагоприятных факторах может привести к развитию злокачественной меланомы – агрессивного рака кожи. А еще внезапное появление чрезмерной пигментации кожи может быть прямым указателем на серьезное заболевание внутренних органов или систем организма.
Что такое гиперпигментация?
Причина гиперпигментации в нарушении работы клеток, вырабатывающих пигмент меланин. Когда его в отдельных зонах кожного покрова слишком много, на теле, лице появляются полосы и пятна темного цвета. При этом цвет аномальных проявлений может варьироваться от светло-бежевого до черного оттенка. Это природа меланоза. Осталось разобраться в причинах, которые вызывают такую аномалию.
Гиперпигментация кожи: причины
Как уже отмечалось, причина заболевания кроется в скоплении меланина в отдельных участках кожи.
- Чаще всего, выработка пигмента является ответной реакцией организма на избыточное солнечное излучение. Клетки меланоциты вырабатывают пигмент, чтобы защитить кожу от разрушения. Меланин – мощный антиоксидант. Он нейтрализует солнечную радиацию. При чрезмерном солнечном облучении меланоциты работают в усиленном режиме, производят больше пигмента, чем обычно. Так образуется меланиновая гиперпигментация.
- Спровоцировать выработку повышенного объема меланина может гормональный сбой. Гормональные колебания часто вызывают развитие таких видов гиперпигментации, как меланодермия и возрастная гиперпигментация. Так женские гормоны провоцируют выброс меланина во время беременности. У женщин появляются пигментные круги вокруг глаз. Многие дерматологи наблюдают появление пигментных пятен на лице, теле женщин старшего возраста в период наступления менопаузы. Патологию называют старческой гиперпигментацией.
- Появление пятен на коже может являться симптомом ряда заболеваний. К примеру, пигментацию вызывают аутоиммунные болезни. Провоцируют развитие патологии сбои в работе желудочно-кишечного тракта, эндокринной системы, авитаминоз.
- Еще одна причина повышенной выработки меланина – прием ряда препаратов, побочным действием которых является повышение светочувствительности.
- Часто родинки и пятнышки появляются на коже на месте прыщей. В этом случае развивается поствоспалительная гиперпигментация кожи. Ярким примером этого является постакне (потемнение кожи после акне). На месте угрей не только происходит рубцевание кожи, но и развивается гиперпигментация. У детей на месте ссадин на ногах также могут появиться темные пятна.
- Наследственный фактор также имеет место быть в списке причин развития гиперпигментации. Например, веснушки у детей. Ребенок на генном уровне получает предрасположенность к избыточному производству и неравномерному накоплению меланина на щеках, носу, под глазами, на спине, на руках.
- Следует упомянуть, что стрессы также могут стать причиной нарушения обменных процессов. Это может привести к избыточной выработке меланина.
Не важно, какая причина появления пигментных пятен и полос на коже. Чтобы исключить серьезные заболевания, в том числе онкологию, рекомендуется получить консультацию врача-дерматолога.
Записаться на прием к дерматологу

Приглашаем всех желающих пройти обследование в специализированной медицинском центре диагностики родинок «Лазерсвіт». Использование современных методов диагностики позволяет выявить даже начальные мутации кожного покрова и предупредить онкологию.
Гиперпигментация: виды
Гиперпигментация классифицируется по различным критериям. Заболевание бывает наследственным и приобретенным. Наследственная патология – это то, с чем человек рождается, даже если визуальное проявление чрезмерной пигментации кожи проявилось не сразу.
К примеру, те же веснушки – это наследственная гиперпигментация. Они ярко проявляются к трем годам жизни малыша. Весной и летом пятнышки проявляются сильнее, но и зимой они видны, не исчезают полностью.

Приобретенная пигментация встречается чаще. Как уже говорилось, она может быть защитной реакцией организма на агрессивные внешние факторы. А может быть симптомом серьезного внутреннего заболевания.
Виды вторичных гиперпигментаций
1. Хлоазма – это усиленная пигментация, проявляющаяся пятнами неправильной формы, но с четкими границами. Размер проявлений, как правило, превышает 1 см в диаметре. Пигментация имеет светло-коричневый или коричневый цвет, оттенок крепкого кофе. Появляется хлоазма на лице и теле. Часто диагностируется заболевание у женщин во время беременности. У них гиперпигментация этого вида появляется на животе. Образование с низким онкологическим риском. Его лечение рекомендовано с косметическими целями.
2. Лентиго – это повышенная пигментация кожи, проявляющаяся появлением округлых коричневых пятен с четкими границами. Новообразования этого вида доброкачественные, но могут существенно осложнить жизнь из-за снижения привлекательности внешности. Лечение лентиго на лице – популярная услуга, за которой обращаются в наш центр. При этом не важно, это врожденная форма патологии, приобретенное солнечное лентиго или гиперпигментация, вызванная возрастными изменениями.
3. Меланоз (меланодермия) развивается из-за гормональных сбоев, эндокринных нарушений. При меланозе избыточный пигмент откладывается на коже век, в области надбровья, на коже лба, в области ушей. Реже диагностируют меланоз конъюнктивы глазного яблока.
4. Мелазма – это повышенная пигментация кожи, вызванная чрезмерным солнечным облучением. Чаще всего темные пятна появляются на участках, открытых для воздействия солнца – на лице, шее, руках. Реже скопление меланина при этом виде гиперпигментации наблюдается на ногах, спине. Избавляются от мелазмы на лице и шее чаще всего с точки зрения повышения эстетической привлекательности.
5. Посттравматическая гиперпигментация появляется на любых участках кожи как результат затяжного воспалительного процесса, частого травмирования одного и того же участка. В этом случае пигмент накапливается в эпидермальных и дермальных тканях.

Есть еще один параметр, по которому гиперпигментацию обязательно классифицируют врачи дерматологи. Речь идет про глубину залегания пигмента. По этой характеристике бывает:
- Эпидермальная (простая) гиперпигментация, к примеру, поверхностная хлоазма.
- Дермальная гиперпигментация, особенность которой в глубоком залегании пигмента, к примеру, дермальная мелазма.
- Смешанная форма избыточной пигментации кожи, при которой меланин сосредоточен как в дермальных, так и в эпидермальных тканях.
Диагностика и четкая классификация гиперпигментации крайне важна, так как позволяет выбрать оптимальный метод, направленный на избавление от цветных пятен.
Как лечить гиперпигментацию?
Удаление пигментных пятен сегодня проводится несколькими способами:
- Химический пилинг предусматривает использование агрессивных кислотных растворов, которые приводят к удалению поверхностных кожных слоев. По сути, выполняется химический ожог кожи, за счет чего часть ее отслоился, освобождая место для равномерно пигментированной кожи. Процедура травматичная, опасная и требует длительного реабилитационного периода. Кроме того, такой метод подходит только при поверхностной гиперпигментации. Если меланин скопился в глубоких тканях, химический пилинг не поможет.
- Фототерапия – популярный метод, суть которого заключается в воздействии на пигментированную кожу световыми волнами без ультрафиолетовых лучей. За счет такого воздействия меланин разрушается, цвет кожи выравнивается.
- Склеротерапия – метод лечения пигментных пятен за счет введения в кровоток медикаментозных средств, разрушающих меланин. Этот метод показал высокую эффективность при лечении винных пятен (сосудистых патологий, вызывающих появление на коже красных пятен). Однако для лечения чрезмерной пигментации он не самый эффективный.
- Лазерная терапия оказывает тот же эффект, что и фототерапия, но более выраженный, продуктивный. Процедура предусматривает «выжигание» пигментированных участков кожи высокоэнергетическим лучом. Дерматолог выставляет интенсивность, глубину воздействия лазерного импульса, поэтому соседние здоровые ткани не подвергаются негативному воздействию. Процедура может проводиться как на поверхностном слое кожи, так и на дерме. Процедура проводится без крови, безболезненно и без негативных последствий для кожного покрова. Положительный эффект заметен даже после одного сеанса. В некоторых случаях проводят несколько процедур, чтобы убрать глубокое пигментное пятно полностью.
Профессионально проведенные дерматологические процедуры позволяют полностью или частично удалить пигментные пятна. Оптимальный метод выбирает врач на основании анамнеза и индивидуальных особенностей конкретного пациента. Рекомендованным остается лазерный способ лечения гиперпигментации, так как он предусматривает щадящее воздействие и высокий результат.

Категорически не рекомендуется использовать народные средства и удалять пигментные пятна сомнительными способами в домашних условиях. Это может привести к серьезным осложнениям – ожогу кожи, повреждению целостности кожного покрова, присоединению вторичной инфекции.
Обращайтесь в специализированную клинику «Лазерсвіт», если у вас появились пигментные пятна. Мы не просто проведем диагностику, чтобы исключить риск перерождения, но и проведем эффективное лечение, чтобы побороть гиперпигментацию.
Лазерный метод, используемый в нашей клинике, имеет минимум противопоказаний, может применяться в любом возрасте (в том числе в младенчестве). Будем рады ответить на любые вопросы по теме «Гиперпигментация» на очной консультации. Записаться на прием к врачу вы можете по телефону на удобное для вас время.
Пигментные пятна, уродующие внешность, это больше не приговор. За несколько процедур они исчезнут без следа!
Причины и лечение гиперпигментации лица. Часть I
Аннотация
К середине столетия в США будет наблюдаться большее этническое и расовое разнообразие. Цветное население скоро составит почти половину населения США, поэтому большое значение имеет понимание условий, которые являются актуальными для состояния кожи этой группы населения. Структурные и функциональные различия кожи, также как и влияние культурных обычаев, приводят к развитию различных заболеваний кожи, которые могут проявляться по-разному, в зависимости от типа кожи. Частой жалобой пациентов при обращении к врачу, вызывающей растущее беспокойство, является дисхромия кожи. Полное понимание этиологии и стратегии лечения гиперпигментации лица имеет важное значение в уходе за пораженными участками кожи и при разработке новых методов лечения.
- Гиперпигментация кожи лица вызывает растущее беспокойство среди цветного населения при обращении к врачу.
- Гиперпигментация кожи лица может вызывать значительные косметические дефекты, связанные с последующим эмоциональным беспокойством. Из-за отсутствия универсальных эффективных способов лечения, сложно назначить правильную терапию пациентам данной группы. Существующие терапевтические средства различаются по степени эффективности и потенциального риска развития поствоспалительной гиперпигментации, что связано, прежде всего, с особенностями режима дозирования.
- Цветное население скоро составит большинство людей в международной и внутренней популяции.
- Для тщательного ухода за кожей цветного населения необходимо наличие комплексных знаний и подхода к оценке и лечению заболеваний кожи.
- В данном обзоре тщательно обсуждается этиология гиперпигментации лица и классифицируются соответствующие стратегии лечения.
Под термином «цветное население» понимается широкий спектр расовых и этнических групп людей, к которым относятся лица, проживающие в Африке, Азии, на Ближнем Востоке, в странах Латинской Америки, а также и американские индейцы. К 2050 году почти половина населения США не будет относиться к белой расе [1]. Кожа цветного населения является более пигментированной и относится к типу IV-VI по классификации Фитцпатрика. Структурные и функциональные различия кожи, также как и влияние культурных обычаев, приводит к развитию различных кожных заболеваний, а также к разному представлению о способах их лечения в зависимости от типа кожи. Более темные фенотипы кожи характеризуются повышенным содержанием меланина, повышением соотношения эумеланина к феомеланину, а также более эффективным распределением меланина для защиты от ультрафиолетового (УФ) излучения [2].
Количество и распределение эпидермального меланина является важной биологической особенностью для формирования цвета кожи 4. Меланин не является одиночным соединением. Скорее, это смесь биополимеров, синтезируемых меланоцитами, расположенными в базальном слое эпидермиса [2]. На основе их химического состава, меланины, в целом, можно разделить на два типа: эумеланин и феомеланин [2]. Множество проведенных исследований показали, что лица с более темной кожей лица имеют более высокое содержание меланина и большее количество эумеланина, чем лица со светлой кожей лица [2]. Кроме того, исследования, проведенные на культивированных человеческих меланоцитах, показали, что меланоциты, выделенные из более темных типов кожи, имеют более высокое содержание общего меланина и эумеланина, а также более высокое соотношение эумеланина к феомеланину, чем меланоциты, выделенные из светлых типов кожи [2,6]. Феомеланин отличается от эумеланина биологическими свойствами, главное из которых способность феомеланина активировать кислород, что приводит к образованию супероксид анион-радикала [2,7,8]. Эти свойства отвечают за высокий фототоксичный потенциал феомеланина, который может способствовать возникновению фотоиндуцированных злокачественных новообразований у лиц со светлой кожей лица.
Биосинтез меланина осуществляется внутри меланосом - лизосомоподобных органеллах, являющихся метаболическими единицами меланоцитов. Аминокислота тирозин является основным субстратом, из которого синтезируется меланин [3-5,9]. Вариации численности, размера и степени агрегации меланосом внутри меланоцитов и кератиноцитов способствуют появлению расовых и этнических различий [10]. Например, у лиц с темными типами кожи меланосомы большего размера и находятся в неагрегированном состоянии [3,11]. Нет расовых различий в общем количестве меланоцитов, однако меланоциты могут отличаться по своему анатомическому расположению [10,12,13]. Например, наибольшее число меланоцитов содержится в коже головы и предплечья [8]. Также у лиц с темными типами кожи больше общее содержание меланина [3,14].
Меланин является основным фактором, определяющим цвет кожи. Концентрация эпидермального меланина в меланосомах вдвое больше у лиц с темным типом кожи по сравнению со слегка пигментированным типом [5]. Кроме того, у лиц с темным типом кожи, по сравнению с лицами со светлым типом кожи, деградация меланосом в кератиноцитах происходит медленнее [15]. Как полагают, содержание меланина и распространение меланосом обеспечивает защиту от повреждающего действия УФ-излучения [3,16]. Kaidbey и соавт. [16] продемонстрировали, что эпидермис черного цвета, в среднем, обладает солнцезащитным фактором (SPF) в пределах от 13 до 4. Несмотря на то, что увеличение содержания меланина обеспечивает защиту от вредного воздействия УФ-излучения, эффекта фотостарения и рака кожи, это приводит к увеличению риска развития поствоспалительной депигментации у лиц с более пигментированной кожей.
С учетом этих функциональных и структурных различий, могут потребоваться специальные подходы к терапии кожных заболеваний в различных этнических группах населения. Кроме того, существует множество состояний и заболеваний кожи, которые характерны именно для цветного населения. Целью данного обзора является обобщение всех известных в настоящее время данных о соотношении гиперпигментации с цветом кожи. В таблице 1 приведены различные причины гиперпигментации кожи лица.
Методы
Мы идентифицировали соответствующие статьи путем систематического поиска в научных и медицинских электронных поисковых системах (PubMed за период публикации 1962-2013 гг). Ключевые термины, которые использовались для поиска: дисхромия, поствоспалительная гиперпигментация, гиперпигментация лица, гиперпигментация, меланодермия, невус Ота, веснушки, пигментные пятна, охроноз, меланоз, темная кожа, меланин, акантозис нигриканс, светлые пятна кожи, депигментация, гидрохинон, ретиноиды, койевая кислота, азелаиновая кислота, никотинамид, гликолевая кислота, N-ацетилглюкозамин, лигнин пероксидаза, химический пилинг, пилинг, дермабразия, лазер.
Причины гиперпигментации лица
Поствоспалительная гиперпигментация (ПВГ) это потемнение кожи, происходящее после воспалительного высыпания или кожной травмы. Гиперпигментация является результатом ответа меланоцитов на повреждение кожи, что вызывает увеличение производства меланина и/или его перераспределение. Пациенты с более темным типом кожи предрасположены к таким изменениям пигмента.
Поствоспалительные изменения могут произойти как в эпидермисе, так и в дерме. При эпидермальной форме гиперпигментации происходит увеличение производства меланина и/или его перемещение в кератиноциты. При поствоспалительной гиперпигментации повреждение базальной мембраны способствует поступлению меланина в дерму, где его фагоцитируют кожные макрофаги, называемые меланофагами. Макрофаги также могут мигрировать в эпидермис, фагоцитировать меланосомы, а затем возвращаться в дерму [17,18]. Меланин в кожных меланофагах может сохраняться в течение многих лет.
У пациентов с темным типом кожи в процессе восстановления после острого воспалительного заболевания может произойти гиперпигментация (ПВГ) или гипопигментация (известная как поствоспалительная гипопигментация) кожи. Осветление или потемнение кожи связано со многими первичными расстройствами, к которым относятся дискоидная красная волчанка, себорейный дерматит, лишай, опоясывающий лишай, атопический дерматит и саркоидоз (рис. 1). В анамнезе также может наблюдаться любой тип первичного воспаления или повреждения: угри, укусы насекомых, вирусные экзантемы, экземы, псориаз, травмы. В результате физического обследования выявляются гиперпигментированные участки малых и больших размеров, а также пятна различного размера и любой распространенности. Обычно постановка клинического диагноза не вызывает затруднений, но в особых случаях для гистологического исследования может потребоваться биопсия пигментированного участка кожи. У пациентов без признаков предшествующего воспаления в анамнезе или при обследовании можно заподозрить такие редкие заболевания, как меланодермия, кольцевидная склеродермия, атрофодермия и другие. Время, требующееся для нормализации диспигментации, широко варьирует и зависит от многих факторов, включая исходный тон кожи пациента, тип и интенсивность повреждения или воспаления, а также время пребывания пациента на солнце. Это время может занять годы и явиться причиной психологического дискомфорта. Лечение кожи осветляющими средствами, средствами для химического пилинга и лазерами может привести к усугублению первоначальной диспигментации и поэтому всегда должно использоваться с осторожностью.
Для темной кожи зрелого типа, даже без длительного пребывания на солнце, может быть характерно потемнение тона кожи. Дисхромия кожи зрелого типа или общий неровный тон кожи описывается как диффузная гиперпигментация, которая чаще встречается в латеральной области лба и скуловой области (рис. 2).Одно из исследований показало, что главной жалобой более одной трети чернокожих женщин был неровный тон кожи [19]. Эти изменения тона кожи, вероятно, происходят из-за хронического воздействия солнечного излучения на протяжении многих лет. Дисхромия кожи зрелого типа может ошибочно приниматься за мелазму, акантозис нигриканс или поствоспалительную депигментацию. Это диагноз исключения и поэтому желательно исключить любой тип аллергического контактного дерматита или фотоаллергический дерматит. Лечение включает использование солнцезащитных кремов, кремов, осветляющих кожу, антиоксидантов, микродермабразию и/или химический пилинг.
Заболеванию обычно предшествует легкое покраснение и зуд, а затем появляется диффузная сетчатая гиперпигментация.
Симметричные пятна от светлого до темно-коричневого цвета с неровными краями, расположенные в центре лица.
В анамнезе беременность, гормональная терапия, такая как прием оральных контрацептивов и интенсивное пребывание на солнце.
Слияние отдельных макул серо-голубого цвета размером от булавочной головки до нескольких миллиметров в диаметре
Пятна от серо-голубого до серо-коричневого цвета чаще появляются в скуловой области, реже на лбу, в области виска, верхнего века, основания и крыльев носа.
Гиперпигментированные макулы с четкими границами, которые имеют круглую, овальную или неправильную форму. Размером 1-3мм.
Кортикостероиды внутрь, антибиотики (например доксициклин), противомалярийные препараты, изониазид, гризеофульвин и УФО терапия демонстрируют различные результаты. Сообщалось об успешном лечении дапсоном и клофазимином.
Периорбитальная гиперпигментация
Что касается локализации пигментации, ранние исследования Watanabe и соавт., а также Malakar соавт. изучили результаты биопсии кожи и обнаружили наличие кожного меланоцитоза и пигмента меланина в макрофагах верхнего слоя кожи, чем частично объясняется трудность лечения этого состояния [22,24]. Кремы, осветляющие кожу, химический пилинг, интенсивный импульсный свет (IPL), рубиновый лазер с модулятором добротности, трансплантация аутологичной подкожно-жировой клетчатки, комбинация пересадки подкожно-жировой клетчатки и блефаропластика, также как применение наполнителей, не способствовали получению в долгосрочной перспективе удовлетворительных результатов.
Меланоз Риля, или пигментированные контактный дерматит, характеризуется отложением депозитов серо-коричневого цвета, вторичных по отношению к кожному меланину. Преимущественно возникает от применения контактных аллергенов, особенно косметики. Возникновению обычно предшествует легкое покраснение и зуд, а затем появляется диффузная или сетчатая гиперпигментация. Варианты пигментации часто зависят от этиологического агента. Пятна могут быть коричневыми или серо-коричневыми, а могут иметь красные или голубые оттенки. Диагноз устанавливается при помощи закрытой аппликационной пробы со стандартной серией, косметической серией, ароматической серией и личными продуктами пациентов. Также может применяться фотоаппликационная проба. Когда результаты неоднозначные или отрицательные, можно использовать провокационный тест или повторный тест открытой аппликации [24]. Лечение включает в себя полный отказ от использования подозреваемых аллергенов. Солнцезащитные меры, средства, осветляющие кожу и химический пилинг могут ускорить разрешение проблемы.
Редкой причиной гиперпигментации лица и, вероятно, одним из вариантов меланоза Риля является эритрозная перибуккальная пигментация де Брока. Скорее всего, данное состояние вызывается наличием в косметике фотодинамических веществ. Характеризуется диффузной, симметричной, красно-коричневой пигментацией вокруг рта с умеренным поражением красной каймы губ и может распространяться на лоб, виски и углы челюсти [25]. Пигментация сохраняется, если не устранить причину. Сообщалось об аналогичной гиперпигментации у пациентов с регрессирующим периоральным дерматитом, вторичным по отношению к местным глюкокортикостероидам [25].
Меланодермия является приобретенной формой гиперпигментации, чаще всего возникающей на лице. Является распространенным заболеванием, от которого страдают миллионы людей по всему миру. Преимущественно поражаются лица с III и IV фототипами кожи по классификации Фитцпатрика [26], причем не менее 90% пострадавших составляют женщины. Точный патогенез неизвестен, однако, предполагается, что вместо увеличения меланоцитов, меланодермия вызывается появлением в пораженных участках меланоцитов c большей биологической активностью [26].
При воздействии УФ-излучения меланоциты производят повышенное количество меланина в сравнении с непораженными участками кожи. Усугубляющие факторы включают: беременность, гормональную терапию, например, оральные контрацептивы, а также интенсивную экспозицию на солнце. Воздействие солнечного излучения обостряет проявление меланодермии, вероятно, из-за вызванного ультрафиолетовым излучением усиления активности меланоцитстимулирующих цитокинов. Клинически появляются пятна с нечеткими границами от светло- до темно-коричневого цвета, расположенные симметрично в центральной области лица, в скуловой области и в области нижней челюсти, а также иногда на предплечьях (рис. 4). В зависимости от расположения меланина имеются различные типы меланодермии кожи. При эпидермальном типе меланодермии пигмент коричневый, края его хорошо очерчены и видны более четко, в то время как при дермальном типе меланодермии пигмент имеет серо-коричневый оттенок с нечеткими краями. Смешанный тип возникает при наличии меланина как в эпидермисе, так и в дерме, а термин «меланодермия неопределенного типа» можно использовать, если его трудно классифицировать даже при помощи ультрафиолетового света (лампа Вуда) [25]. Дифференциальный диагноз следует проводить с поствоспалительными пигментными пятнами, солнечным лентиго, акантозом нигриканс и другими более редкими расстройствами пигментации, включая экзогенный охроноз, красный плоский лишай (КПЛ) и стойкую дисхромическую эритему. Лечение требует комбинированного подхода с хорошей защитой от солнца, использованием косметических средств, местным применением осветляющих средств, химическим пилингом и лазерной терапией. Средства терапии первой линии включают в себя фотозащиту широкого спектра действия и средства для местного применения, которые оказывают влияние на способы производства пигмента. Средства терапии второй линии включают химический пилинг, который должен использоваться с осторожностью из-за опасности возникновения дальнейших поствоспалительных изменений. Многообещающими являются лазерные и световые методы лечения, однако они, как и химический пилинг, несут в себе риски возникновения поствоспалительной гиперпигментации. При возникновении меланодермии у женщин вследствие приема оральных контрацептивов лечение, по возможности, должно быть прекращено [26].
Глубокие пигментации
БЕСПЛАТНАЯ КОНСУЛЬТАЦИЯ: поможем врачам и владельцам клиник выбрать оборудование для лечения глубоких пигментаций
Оглавление
Глубокие пигментации — это врожденные или приобретенные гипермеланозы, при которых основной объем избыточного пигмента залегает в дермальном слое кожи.
В нашей компании Вы можете приобрести следующее оборудование для удаления глубоких пигментаций:
Этиология и патогенез
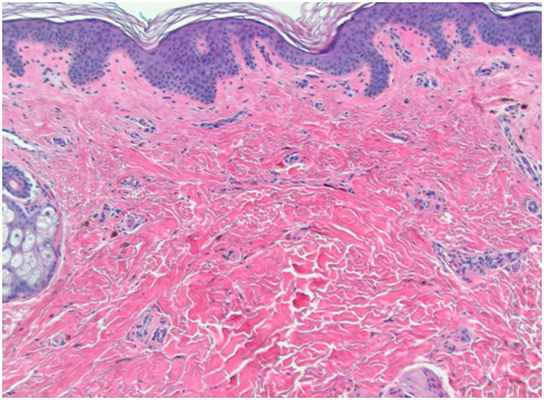
Врожденный дермальный меланоцитоз (монгольское пятно)
Наследственная гиперпигментация, вызванная активным привлечением меланоцитов в дерму при их миграции из нервного гребня в эпидермис. Этиологию этого заболевания связывают с нарушением структуры G-белков — это протеины-ГТФазы, которые действуют в качестве вторичных посредников при внутриклеточных сигнальных каскадах.
Распространенность монгольских пятен варьируется в различных этнических группах. Чаще всего они встречаются у восточноафриканских детей с темной кожей (до 80%), несколько реже — у латиноамериканских детей (до 46%) и крайне редко — у светлокожих европейцев (1–9%).
При гистологическом исследовании монгольских пятен видны сильно разветвленные меланоциты, которые располагаются в глубокой ретикулярной дерме и несут в себе много пигментированных меланосом (рис. 1). Как правило, меланоциты ориентированы параллельно эпидермису.
Рис. 1. Гистологические изменения в монгольском пятне (Dermpedia)

Меланоз (невус) Беккера
Его этиология и патогенез на сегодняшний день остаются неизученными. Определенную роль играют андрогены, о чем свидетельствует наличие сопутствующего гипертрихоза и преобладание данного гипермеланоза у мужчин. Так, исследование 19 302 мужчин в возрасте 17–26 лет выявило, что распространенность меланоза Беккера составляет 0,52%.
При микроскопии отмечается увеличение количества меланина в базальном слое эпидермиса. В кератиноцитах увеличиваются меланосомы, при этом гигантские меланосомы могут выявляться как в кератиноцитах, так и в меланоцитах. В дерме присутствуют меланофаги — макрофаги, фагоцитировавшие избыточный пигмент (рис. 2).
Рис. 2. Гистологические изменения в невусе Беккера (Parth P., et al. Sebaceus and Becker’s nevus: Overview of their presentation, pathogenesis, associations, and treatment. Am J Clinic Dermatol 2015)

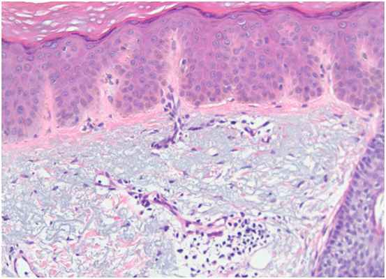
Лентиго
Широко распространенная пигментная патология, обычно связанная с хроническим воздействием солнца на кожу. В США лентигиозные изменения наблюдаются у 90% людей со светлой кожей в возрасте старше 60 лет и у 20% — младше 35 лет. Основной причиной солнечного и старческого лентиго является длительная инсоляция; ПУВА-лентиго возникает после ПУВА-терапии (лечебного воздействия на кожу ультрафиолета спектра А с предварительным приемом фотосенсибилизатора псоралена); радиационное лентиго — после больших доз ионизирующего излучения.
Солнечное лентиго гистологически характеризуется удлинением эпидермальных гребней, увеличением числа меланоцитов, которые производят избыточное количество пигмента, и количества меланофагов — макрофагов, поглотивших пигмент и окрасившихся в темный цвет. Атипичных меланоцитов при солнечном лентиго обычно не выявляется (рис. 3).
При ПУВА-лентиго отмечается увеличение числа гипертрофированных меланоцитов, часто с признаками клеточной атипии. Дополнительно можно увидеть удлиненные эпидермальные гребни и усиленную пигментацию клеток базального слоя эпидермиса. Эти же изменения можно увидеть и при лентиго после множественных посещений солярия (tanning-bed lentigines).
Радиационное лентиго проявляется избыточным отложением гранул меланина в базальных кератиноцитах, клеточной или ядерной атипией, ростом числа меланоцитов и уменьшением количества эпидермальных гребней.
Старческое лентиго характеризуется пролиферацией базальных клеток с образованием тяжей, содержащих избыточное число меланина. Также может выявляться увеличение числа меланоцитов в области дермо-эпидермального соединения. В целом меланоциты при старческом лентиго обладают более высокой активностью и более длинными отростками, чем в норме. При электронной микроскопии в кератиноцитах заметны крупные комплексы меланосом.
Рис. 3. Гистологические изменения при лентиго (Dermpedia)

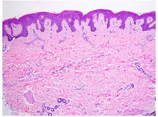
Мелазма
Рецидивирующая приобретенная дисхромия, обусловленная повышенной активностью эпидермально-меланиновых единиц. Возникает на участках кожи, подверженных выраженной и/или регулярной инсоляции, чаще у женщин репродуктивного возраста.
У пациентов с мелазмой отмечается увеличение объема меланина в эпидермисе, дерме или (чаще всего) в обоих указанных слоях кожи. Эпидермальный меланин выявляется в кератиноцитах базальной и супрабазальной области. Число меланоцитов в большинстве случаев не увеличивается, но имеющиеся пигментные клетки более крупные — они обладают выраженными отростками и гораздо более высокой активностью, чем в норме. Меланин также выявляется в мекрофагах поверхностной и средней дермы, которые часто собираются вокруг небольших расширенных сосудов (рис. 4).
Рис. 4. Гистологические изменения при мелазме (Nooshin B., et al. An overview on melasma. Pigmentary Disorders 2015; 2: 216)

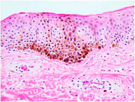
Поствоспалительные гиперпигментации
Одно из распространенных дерматологических состояний, которое чаще развивается у людей с темными фототипами (V–VI). Патогенез связан с гиперпродукцией себума сальными железами и наличием избытка сквалена на коже (например, при акне). Солнечный ультрафиолет генерирует синглетный кислород, который окисляет сквален. Последний стимулирует выработку простагландина Е2, запускающего активный меланогенез.
При микроскопии поствоспалительная гиперпигментация может проявляться как эпидермальным, так и дермальным увеличением количества пигмента (рис. 5). В последнем случае отмечается рост числа меланофагов в папиллярной дерме. Дермальная гиперпигментация может существовать много лет или даже оставаться на всю жизнь.
Рис. 5. Гистологические изменения при поствоспалительной гиперпигментации на фоне системной красной волчанки (Dr. Andrew Ryan, pathologist)
Гистологические изменения при поствоспалительной гиперпигментации
Клинические проявления
Врожденный дермальный меланоз (монгольское пятно)
Монгольское пятно отличается сине-серой макулярной пигментацией. Характерно изменение цвета пятна и появление голубоватого оттенка под разными углами обзора из-за эффекта Тиндаля — рассеивания света при его прохождении через неоднородную среду.
Поражения могут быть единичными или множественными, занимать площадь от нескольких квадратных сантиметров до поражения обширных участков тела. Чаще всего монгольское пятно локализуется на пояснично-крестцовой области, но может распространяться на ягодицы, спину, плечи и др. (рис. 6) Сообщалось о генерализованных монгольских пятнах, захватывающих всю переднюю и заднюю поверхность тела, включая конечности.
Монгольские пятна часто связаны с заячьей губой, менингеальной опухолью позвоночника, меланомой и пигментоваскулярным факоматозом (врожденным гипермеланозом, включающим в себя меланоцитарные и/или эпидермальные невусы).
Рис. 6. Врожденный дермальный меланоз — множественные монгольские пятна на спине (Danish national service on dermato—venereology)

Меланоз (невус) Беккера
Ранним проявлением невуса Беккера является бессимптомное светло- или темно-коричневое пятно неравномерной окраски и контура. Чаще оно появляется над плечом, на верхней части груди или на спине. Спустя несколько месяцев или лет в невусе и возле него начинают расти густые волосы коричневого или черного цвета (рис. 7). Центральная область меланоза может утолщаться с развитием акне (acne vulgaris).
Рис. 7. Меланоз Беккера с наличием темных волос (Danish national service on dermato-venereology)

Лентиго
Солнечное лентиго представляет собой плоские или слегка вогнутые округлые пятна различного диаметра, светло-коричневого или темно-коричневого цвета. Обычно они возникают на открытых участках — на лице, тыльных поверхностях рук и кистей, верхней половине туловища (рис. 8). Сразу после появления размеры солнечного лентиго очень маленькие (менее 5 мм), но в дальнейшем очаги становятся больше, темнее и сливаются в крупные пятна. Они могут содержать в себе участки нормальной кожи или разделяться мелкими морщинами.
Лентиго после солярия (tanning-bed lentigines) похоже на солнечное, но выявляется в нетипичных местах на теле пациента, куда обычно не попадает много солнца — внутренняя поверхность рук и бедер, область подмышек и др. Образования имеют диаметр от 2 до 5 мм, цвет коричневый или черный. Они появляются внезапно после интенсивного загара, либо после длительного (от 1 года и более) регулярного посещения солярия. Злокачественный потенциал этих поражений до конца не изучен.
При ПУВА-лентиго пигментные пятна также похожи на солнечное лентиго, но имеют неправильные контуры. После прекращения сеансов фотолечения небольшие очаги сохраняются на коже до 3–6 месяцев, крупные — до 2 лет.
Радиационное лентиго включает в себя дополнительные признаки долговременного радиационного поражения кожи — подкожный фиброз, кератоз, телеангиэктазии.
Рис. 8. Солнечное лентиго (Danish national service on dermato-venereology)

Мелазма
Проявляется в виде одиночного поражения или множественных очагов темно-коричневой или черной гиперпигментации, симметрично расположенных на лице и/или шее (рис. 9). По локализации мелазма может быть центрофациальной (лоб, щеки, нос, над верхней губой и на подбородке), малярной (нос и щеки) и мандибулярной (в области нижней челюсти). В редких случаях мелазма появляется на предплечье, что связано с приемом прогестерона.
Некоторые области лица у пациентов могут оставаться интактными при мелазме, и причина этого в настоящий момент не установлена. Считается, что данная особенность связана с плотностью и активностью сальных желез на коже.
Рис. 9. Мелазма (Danish national service on dermato-venereology)
Поствоспалительная гиперпигментация
Распределение гипермеланозных поражений зависит от локализации исходного дерматоза или места травмы. Их цвет варьируется от светло-коричневого до черного — если пигмент расположен в дерме, то оттенок будет темнее (рис. 10).
Рис. 10. Поствоспалительная гиперпигментация на ноге (AboutKidsHealth)

Принципы лечения
Глубокие пигментации плохо поддаются наружным методам лечения, поскольку пигмент залегает достаточно глубоко в коже — и воздействовать на него снаружи крайне затруднительно. Определенный эффект при некоторых состояниях (например, при мелазме) могут дать отбеливающие средства — гидрохинон, транексамовая или азелаиновая кислоты. Есть данные о пользе химических пилингов, но здесь следует быть крайне осторожным, чтобы не вызвать еще большее усиление пигментации в области воздействия.
Глубокие пигментации успешно лечатся аппаратными методами — интенсивным импульсным светом (IPL) и лазерами. Принцип действия IPL-терапии основан на селективном фототермолизе — поглощении меланином энергии светового излучения с последующим разрушением нежелательного пигмента. Для более точного воздействия и профилактики нагрева окружающей кожи в IPL-модуле аппарата М22 от Lumenis используется комплект светофильтров. Каждый из этих фильтров отсекает диапазон длин волн, наиболее подходящий для определенной глубины залегания пигмента и фототипа.
Если пигмент залегает очень глубоко, интенсивный импульсный свет может оказаться недостаточно эффективным — в этом случае рекомендован неаблятивный фракционный фототермолиз на аппаратах Fraxel и M22 ResurFX. В комплектацию Fraxel входит эрбиевый лазер 1550 нм для работы на уровне дермы в глубине до 1400 мкм (1,4 мм), а также тулиевый лазер 1927 нм для воздействия на уровне эпидермиса до 210 мкм (0,21 мм). ResurFX использует одну длину волны — 1565 нм, но этот модуль может совмещаться в аппарате M22 с модулем IPL и Nd:YAG Q-Switched лазером, благодаря чему можно успешно лечить любые формы пигментаций.
Неаблятивный фракционный фототермолиз основан на создании в коже микротермальных лечебных зон — крошечных очагов термического повреждения, между которыми находятся интактные (нетронутые) области. Это позволяет не только эффективно разрушать нежелательный пигмент, но и ускоряет последующее восстановление кожи, т.к. клетки из интактных областей мигрируют в микрозоны повреждений. Неаблятивный фракционный фототермолиз является методом выбора у пациентов с IV–VI фототипами кожи, которым можно проводить IPL-терапию с ограничениями.
Читайте также:
