Меланома нейротропная
Добавил пользователь Владимир З. Обновлено: 23.11.2025
Злокачественные опухоли полости носа и придаточных пазух (ПНПП) встречаются редко. Они составляют менее 10 % всех злокачественных опухолей головы и шеи, ежегодная заболеваемость ими в США — 0,5–1 на 100 000 населения. Наиболее частая локализация эпителиальных новообразований — полость носа, затем верхнечелюстная пазуха и решетчатые ячейки. Опухоли лобной и клиновидной пазух встречаются исключительно редко. Однако локализацию источника многих новообразований трудно установить из-за сложных анатомических связей околоносовых пазух. Значительное количество опухолей на момент установления первичного диагноза может захватывать более одной области. Свыше 80 % новообразований ПНПП имеют эпителиальную природу, остальные исходят из хрящевой, костной и мягких тканей. Приблизительно 25 % всех опухолей ПНПП — доброкачественные. К доброкачественным эпителиальным новообразованиям относят плоские и переходно-клеточные папилломы, аденомы и другие редкие заболевания. По частоте встречаемости на первом месте находится плоскоклеточный рак, затем следуют карциномы малой слюнной железы (аденокарцинома, аденокистозная карцинома и мукоэпидермоидный рак), меланома и эстезионейробластомы. В редких случаях в полости носа могут развиваться разнообразные мезенхимальные опухоли, включая доброкачественные новообразования (оссифицирующая фиброма, фибромиксома, ангиофиброма) и злокачественные опухоли (хондросаркома, остеосаркома, саркомы мягких тканей) [1, 2].
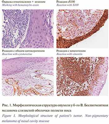
Полость носа — самая частая локализация меланомы слизистых оболочек (СО) головы и шеи. При меланоме СО пигментированные формы встречаются реже, чем при меланоме кожи. Выделяют два клинических варианта: узловую и многоочаговую меланому СО. Клетки этого злокачественного новообразования характеризуются меньшей силой сцепления, чем при раке. При меланоме in situ необходимо провести дифференциальную диагностику между первичном поражении СО и метастатической опухолью. Ключевым диагностическим признаком меланомы считают наличие выраженных ядрышек в ядрах клеток [1].

Метастазирование опухолей ПНПП чаще всего происходит в заглоточные лимфатические узлы. Поскольку эти узлы вследствие их глубокого расположения практически недоступны для клинического исследования, образующиеся в этой области метастазы, как правило, остаются нераспознанными. В противоположность этому метастазирование опухолей в лимфатические узлы шеи легко определяется с помощью пальпации. Однако необходимо помнить, что при злокачественных опухолях ПНПП метастазы в регионарные лимфатические узлы клинически обнаруживаются, как правило, только на поздних стадиях заболевания. При этом позднее развитие метастазов отнюдь не является показателем относительной доброкачественности указанных новообразований. Обычно больные, прежде чем произойдет обсеменение организма по лимфатическим и кровеносным путям, погибают от мозговых осложнений и кахексии.
Указанные закономерности метастазирования злокачественных опухолей ПНПП в значительной степени определяют особенности их клинического течения и должны быть приняты во внимание при определении прогноза у таких больных.
Клиническая картина меланомы в носовой полости сходна с таковой других злокачественных новообразований данной локализации. Опухоль имеет темно-коричневый цвет с характерным синюшным оттенком и бугристую поверхность. Располагается на широком основании.
За последние три десятилетия в России и в мире отмечается неуклонный рост заболеваемости меланомой кожи. Несмотря на то что опухоли кожи определяются визуально и хорошо доступны для обследования, на начальной стадии развития они диагностируются менее чем у 30 % больных [2]. Существенно реже, чем меланома кожи, встречается меланома СО полости рта и носа (менее 1 %), выявляемая на начальной стадии опухолевого процесса менее чем в 10 % случаев. Несмотря на единый гистогенез, меланома различной органной принадлежности имеет ряд особенностей в силу специфического топографо-анатомического расположения очага и различного клинического прогноза заболевания. Для лечения меланомы кожи и СО назначаются различные комбинации хирургического, лучевого и химиотерапевтического лечения. Единого подхода к их лечению не существует. В настоящее время для лечения отдаленных метастазов меланомы в мозг предложен Темодал.
Меланома нейротропная
Нейротропная меланома. Минимально отклоненная меланома.
Нейротропная меланома — это меланома, вовлекающая в опухолевый процесс нервные стволики. Большинство из этих опухолей, по существу, являются веретеноклеточными или десмопластическими меланомами, хотя ней-ротропизм характерен и для других видов ме-ланом. В отличие от последних, нейротропная меланома, помимо распространения по периневральным пространствам и вовлечения нервов в опухолевый процесс, имеет очевидную невральную дифференцировку. Она представлена полями опухоли, где веретенообразные клетки имеют перекрученные ядра и как бы вставлены в фиброзную строму.
Клинически ничем не отличается от десмопластической меланомы. Течение и прогноз плохой. Высока вероятность рецидивов, даже при глубоком иссечении опухоли. При вовлечении нервов необходимо широкое иссечение (3-5 см от края опухоли) с тщательным гистологическим исследованием краев лоскута. Это же касается всех лентигинозньгх форм меланом, которые тоже обладают высокой степенью нейротропизма, потому что перине вральная инвазия может распространяться на расстояние до нескольких сантиметров от первичного очага.
Как и в десмопластической меланоме, иммуногистохимически выявляется положительная реакция на белок S-100, хотя здесь чувствительность реакции может быть значительно ниже, поэтому отсутствие экспрессии не исключает диагноза меланомы. Реакция на НМВ-45, как правило, отрицательная.

Минимально отклоненная меланома
Термин «минимально отклоненная меланома» (minimal deviation melanoma) был введен для обозначения редко встречающейся гистологической разновидности меланомы с более благоприятным клиническим течением и прогнозом*. Считают, что эта форма имеет только вертикальную форму роста и состоит из менее атипичных клеток, чем обычные меланомы.
Клинически проявляется непигментированными узлами розового или красного цвета, которые могут быть приняты за Spitz невус или гемангиому. Гистологически опухоли этой категории представлены узлами с преобладанием внутридермального роста, внутриэпидермальный компонент незначительный или отсутствует. Самое важное, что отличает эту форму от других форм меланом, это низкая степень клеточной атипии в вертикальной стадии роста. Клетки внутридермального компонента мономорфные, веретенообразные, содержащие или не содержащие пигмент. Возможны также смешанные варианты, состоящие из веретенообразных клеток и альвеолярных структур, представленных мелкими эпителиоидными или невоидными клетками. Некотор опухоли имеют строение, сходное со Spitz невусом.
Клинико-морфологически различают шесть вариантов минимально отклоненной меланомы:
1) маленькие узлы толщиной менее 0,76 мм с умеренной ядерной атипией и экспансивным ростом, являющиеся по сути ранней стадией вертикального роста;
2) меланомы, близкие по строению к Spitz невусам;
3) меланомы, напоминающие гало-невус, состоящие из гнезд меланоцитов, окруженных лимфоцитами; однако они никогда не развиваются на фоне гало-невуса;
4) злокачественные смешанноклеточные пролиферации во врожденных невусах;
5) меланомы, развивающиеся в дермальном компоненте меланоцитарного невуса (встречаются чрезвычайно редко, в основном во врожденных невусах);
6) пигментированные веретеноклеточные поражения: веретеноклеточный меланоцитарный невус Рида с более выраженной клеточной атипиеи и вовлечением ретикулярного слоя дермы в результате экспансивного роста.
Информация на сайте подлежит консультации лечащим врачом и не заменяет очной консультации с ним.
См. подробнее в пользовательском соглашении.
К вопросу о диагностике меланомы кожи
За последнее время частота злокачественной меланомы кожи в нашей стране, как и во всем мире, значительно возросла. Однако если прогноз и пятилетняя выживаемость, благодаря своевременной диагностике, в большинстве западных стран несколько улучшились, то в России ситуация мало обнадеживает. Здесь сказываются как отсутствие пропаганды знаний о пигментных новообразованиях кожи среди населения, так и недостаточное диспансерное наблюдение за лицами с повышенным риском развития меланомы, малая осведомленность медицинских работников о факторах риска развития опухоли и т. д. Клиническая картина злокачественной меланомы кожи достаточно полно описана в отечественных руководствах по дерматологии и онкологии. Однако что касается диагностики морфологических типов меланомы и патоморфологической терминологии, то следует отметить неточности в определении понятий. Расхождение мнений между специалистами-патоморфологами само по себе не редкость, но поскольку в руководствах приводятся ссылки на профессора Гарвардского университета W. H. Clark jr., который ввел большую часть понятий и терминов по злокачественной меланоме, то ориентироваться, видимо, следует в первую очередь на них. Поэтому хотелось бы внести необходимые уточнения и разъяснения.
Прежде всего неточности касаются уровней инвазии опухоли, что особенно важно, учитывая четкую зависимость прогноза для жизни больного от этого показателя (табл. 1).
Таблица 1. Определение уровней инвазии меланомы
| I уровень – клетки меланомы обнаруживаются только в эпидермисе (меланома in situ) II уровень – клетки меланомы определяются в сосочковом слое дермы, но не заполняют его полностью и не растягивают его своей массой III уровень – клетки меланомы формируют опухолевую массу и полностью – до границы с сетчатым слоем – заполняют сосочковый слой дермы, увеличивая его объем IV уровень – клетки меланомы инфильтрируют сетчатый слой дермы V уровень – меланома прорастает из сетчатого слоя дермы в подкожно-жировую клетчатку |
Часто неправильно интерпретируют понятие о III уровне инвазии меланомы. В отечественных публикациях, ссылаясь на оригинал, термин interface переводят как "пространство между сосочковым и сетчатым слоями дермы". Такого пространства не существует. Один слой переходит в другой, и условную границу между ними можно провести на уровне поверхностного сосудистого сплетения. До этой границы (interface) и прорастают клетки меланомы при III уровне инвазии.
Далее, утвердилось мнение, что "в большинстве случаев узловатая меланома представляет собой исход лентиго-меланомы или поверхностно распространяющейся меланомы. Диагностика узловатой меланомы не вызывает затруднений, если имеется горизонтальный компонент". В данном случае неправильно интерпретируется вертикальная фаза роста опухоли, которая является отражением опухолевой прогрессии как при поверхностно распространяющейся, так и лентиго-меланоме.
Вертикальная фаза роста меланомы не является синонимом уровня инвазии. Она предполагает наличие объемного образования (опухолевого узла, тумора) в дерме. Следовательно, синоним вертикальной фазы роста – туморогенная фаза.
Однако узловатая меланома – это особая форма меланомы, о которой говорят при обнаружении в гистологическом препарате только вертикальной фазы роста – опухолевого узла при интактном эпидермисе и сосочковом слое дермы. Предполагается, что таким образом узловая меланома возникает de novo, и в настоящее время нет данных о предсуществовании быстрой горизонтальной фазы с последующим регрессированием внутриэпидермального компонента при узловатой меланоме.
Таблица 2. Современная классификация злокачественной меланомы кожи
- Меланома кожи, имеющая горизонтальную фазу роста
- Поверхностно распространяющаяся меланома
- Лентиго-меланома
- Лентигинозная меланома акральной локализации и слизистых
- Неклассифицируемые виды Меланома кожи без горизонтальной фазы роста
- Узловатая меланома
- Десмопластическая и нейротропная меланома
- Меланомы с минимальной девиацией
- Злокачественный голубой невус
- Неклассифицируемая вертикальная фаза роста
Из этой же неверной предпосылки вытекают ошибочные формулировки о том, что "морфологическое определение типа меланомы возможно только при наличии горизонтального компонента опухоли" или "клетки меланомы, глубоко проникающие в дерму, одинаковы при всех типах опухоли". Вторую часть этого положения легко опровергнуть. Есть вариант меланомы, состоящей исключительно из веретенообразных клеток при отсутствии внутриэпидермального (горизонтального) компонента; меланома животного типа, в которой цитологические характеристики практически не просматриваются из-за большого количества пигмента; невоидные мелкоклеточные меланомы; меланомы, напоминающие невус Спитц. Наконец, у лентиго-меланомы внутридермальный компонент чаще представлен веретенообразными, а не эпителиоидными клетками. Классификация же морфологического типа меланомы действительно производится в зависимости от внутриэпидермального компонента опухоли (в большей степени от его архитектоники и характера роста, в меньшей – от цитологических особенностей), но только для видов меланомы, имеющих горизонтальную фазу роста (табл. 2 ).
Правильная клинико-морфологическая классификация конкретной опухоли у конкретного пациента имеет значение не только с теоретической, но и с практической точки зрения. Известно, например, что лентигинозная меланома акральной локализации является одним из наиболее коварных видов меланомы, так как долгое время клинически имеет вид "пятна", при этом значительно прорастая вглубь. Десмопластическая меланома чаще рецидивирует и обычно бывает беспигментной, но, по некоторым данным, при отсутствии нейротропизма отличается лучшим прогнозом, чем другие виды меланом, при одинаковой толщине опухоли. Так называемые "меланомы с минимальной девиацией" (это определение до сих пор остается спорным) имеют более благоприятный прогноз.
Подобные выводы делаются на основании многолетних и многочисленных наблюдений за больными злокачественной меланомой кожи, а достоверность выводов в первую очередь зависит от правильной диагностики типа опухоли и его регистрации.
Меланома кожи и слизистых оболочек
BRAF - человеческий ген (прото-онкоген), который кодирует белок серин-треониновую протеинкиназу B-Raf.
BRAF V600 – мутация в гене BRAF в 600 позиции 15 экзона с заменой нуклеотида, кодирующего валин на другую аминокислоту (чаще всего на нуклеотид, кодирующий глутаминовую кислоту V600E)
BRAF V600 mut - активирующая мутация в гене BRAF V600
BRAF V600 WT (wild type) - дикий тип (отсутствие активирующих мутаций) в гене BRAF V600
c-Kit - рецептор фактора роста тучных и стволовых клеток (SCFR), или белковая тирозинкиназа Kit (CD117) — рецепторная тирозинкиназа, продукт гена KIT.
CTLA4 – антиген цитотоксических Т-лимфоцитов 4 типа (также известен как СD152) (выполняет функции рецептора, лигандом служит молекула B7.1 или B7.2)
ECOG – Восточная объединенная группа онкологов
iBRAF – ингибитор мутантного белка BRAF (малая молекула, блокирующая тирозинкиназу BRAF)
iMEK – ингибитор немутантного белка MEK (малая молекула, блокирующая тирозинкиназу МЕК)
MEK – внутриклеточная сигнальная молекула (протеинкиназа, также известная как MAPK/ERK киназа)
PD-L1,2 – лиганд рецептора программируемой смерти 1 или 2
PD1 – рецептор программируемой смерти 1
UICC – Union International Contre le Cancer (Union International for Cancer Control)
Анти-CTLA4 – моноклональное антитело, блокирующее антиген цитотоксических Т-лимфоцитов 4 типа
Анти-PD-L - моноклональное антитело, блокирующее лиганд(ы) рецептора программируемой смерти 1
Анти-PD1 – моноклональное антитело, блокирующее рецептор программируемой смерти 1
БДУ – без дополнительного уточнения
БСЛУ - биопсия сторожевого лимфатического узла
ВОЗ – всемирная организация здравоохранения
КТ – компьютерная томография
МК – меланома кожи
МКА – моноклональные антитела
МКБ-10 – международная классификация болезней, 10 пересмотр
МРТ – магнитно-резонансная томография
ПЭТ - позитронно-эмиссионная томография
ПЭТ-КТ - позитронно-эмиссионная томография, совмещенная с компьютерной томографией
СППД – сумма произведений поперечных диаметров
УЗДГ - ультразвуковая допплерография
УЗИ - ультразвуковое исследование
Условные обозначения
** Жизненно необходимые и важнейшие лекарственные препараты.
Эпилюминесцентная микроскопия (дерматоскопия) — это неинвазивная техника исследования кожи при помощи дерматоскопа, который обычно состоит из лупы (× 10), неполяризованного источника света, прозрачной пластины и жидкой среды между инструментом и кожей. Современные дерматоскопы могут работать с использованием жидкой среды или вместо этого применяют поляризованный свет, чтобы компенсировать отражения поверхности кожи. Когда получаемые изображения или видеоклипы записываются или обрабатываются цифровым способом, прибор можно называть цифровым эпилюминесцентным дерматоскопом.
Оптическая когерентная томография (ОКТ) — диагностический метод неинвазивного прижизненного исследования биологических тканей. Он основан на комплексном анализе отражения низкокогерентного излучения исследуемой тканью. Разрешающая способность современных приборов для ОКТ составляет менее 10 микрон и позволяет получить изображение слоев кожи.
Эксцизионная биопсия новообразования кожи — метод получения образца тканей кожи, при котором новообразование удаляется тотально (целиком) с небольшим (1–3 мм) захватом прилежащих здоровых тканей. Такой способ получения морфологического материала является предпочтительным при подозрении на меланому кожи.
Инцизионная панч-биопсия — метод получения образца тканей кожи на всю его толщину, при этом латеральные края резекции могут содержать элементы опухоли (или невуса). Выполняется при помощи специальной панч-иглы (диаметром от 1 до 5 мм). Применяется в исключительных случаях, когда эксцизионная биопсия не может быть применена.
Плоскостная (бритвенная) резекция новообразований кожи — способ удаления экзофитных и плоских новообразований кожи в плоскости кожи при помощи бритвенного лезвия или скальпеля. В случае подозрений на меланому кожи является субоптимальным методом диагностики, т. к. не позволяет гарантированно определить толщину новообразования и тем самым правильно стадировать пациента.
Резектабельная меланома кожи и/или резектабельные метастазы меланомы кожи — меланома кожи (как правило, метастазы меланомы кожи в регионарные лимфоузлы), которые могут быть подвергнуты радикальному хирургическому удалению R0. На оценку резектабельности могут влиять такие факторы, как объем (количество и размеры) метастатического поражения лимфатических узлов, соотношение с магистральными сосудами, наличие сателлитов и транзитных метастазов, лимфангоита и др. Оценка резектабельности процесса весьма субъективна и может варьировать от учреждения к учреждению и от хирурга к хирургу.
Меланома кожи – злокачественная опухоль нейроэктодермального происхождения, исходящая из меланоцитов (пигментных клеток) кожи [1]. В некоторых случаях при наличии отдаленных метастазов первичный очаг на коже (или в других органах) не может быть обнаружен (например, вследствие т.н. спонтанной регрессии первичной опухоли, или вследствие удаления очага во время медицинской или косметологической манипуляции без морфологического исследования) – такую болезнь следует называть метастазами меланомы без выявленного первичного очага.
С учетом того, что меланоциты в норме представлены в различных органах (включая слизистые оболочки желудочно-кишечного тракта, половых путей, мозговые оболочки, сосудистую оболочку глаза и др.), [2] первичная опухоль (меланома) может возникнуть в любом из этих органов. В этом случае опухоль следует называть меланомой соответствующего органа, например,меланомой подвздошной кишки или меланомой сосудистой оболочки глаза. По МКБ-10 такие опухоли классифицируются в соответствии с органом первичного происхождения, например, меланома подвздошной кишки будет иметь код С17.2, а меланома сосудистой оболочки глаза – С69.3
Не существует единого этиологического фактора для развития меланомы. Самым значимым фактором риска спорадических (ненаследственных) форм меланомы кожи следует считать воздействие на кожу ультрафиолетового излучения типа В (длина волны 290 - 320 нм) и типа А (длина волны 320-400 нм). При этом чувствительность кожи к ультрафиолетовому воздействию различается у людей и может быть классифицирована на 6 типов, где 1 и 2 отличаются наибольшей чувствительностью (и, соответственно, вероятностью возникновения солнечного ожога), а 5 и 6 – наименьшей [3]. Другими факторами риска также считают наличие более 10 диспластических невусов, наличие более 100 обычных приобретенных невусов, рыжие волосы (как правило сопряжено с 1 фототипом кожи), интенсивное периодически повторяющееся воздействие солнечного ультрафиолета (солнечные ожоги) в детстве 4. Эпидемиологические данные показывают, что риск меланомы, связанный с ультрафиолетовым облучением, самый высокий у людей с прерывистым воздействием солнца и солнечными ожогами в детстве [7]. Также следует отметить такие факторы риска, как наличие гигантского или купного врожденного невуса (площадь более 5% от площади тела), семейный анамнез меланомы кожи, личный анамнез меланомы кожи, синдром диспластических невусов, использование PUVA-терапии (по поводу псориаза), пигментная ксеродерма, врожденный или приобретенный иммунодефицит (например, после трансплантации органов или других заболеваниях, связанных с необходимостью принимать иммунносупрессанты) [8]. Факторы риска меланомы других локализаций (например, меланомы слизистых оболочек, меланомы акральных локализаций, увеальной меланомы) изучены недостаточно 11.
Некоторые механизмы канцерогенеза при меланоме были изучены in vitro и in vivo: cпособность УФ-излучения индуцировать и стимулировать рост меланомы также была показана на нескольких моделях животных. Ультрафиолетовое излучение может способствовать меланомагенезу через различные пути. Мутации, характерные для УФИ (особенно мутации, индуцированные UVB), встречаются в генах, участвующих в развитии меланомы. Ультрафиолетовое излучение инактивирует белок-супрессор опухолей p16INK4A, тем самым способствуя прогрессированию меланомы. Ультрафиолетовое излучение уменьшает экспрессию E и P-кадгерина как на нормальных, так и на злокачественных меланоцитах, повышая передачу сигналов B-катенина, что способствует появлению злокачественного фенотипа у меланоцитов, а также нарушает клеточную адгезию, что, в свою очередь, позволяет клеткам меланомы отсоединяться от соседних кератиноцитов, тем самым способствуя инвазивному фенотипу [7].
В 2017 г. в Российской Федерации меланомой кожи заболело 11 057 человек [13]. В 2016 г. грубый показатель заболеваемости (оба пола) составил 7,13 на 100 000 населения, стандартизованный — 4,45 на 100 000 населения (4,7 и 4,3 у женщин и мужчин соответственно) [14]. В структуре заболеваемости меланома кожи в 2016 г. составила 1,5 % у мужчин и 2 % у женщин. Среднегодовой темп прироста заболеваемости за 10 лет составил 3,07 % у мужчин и 3,54 % у женщин. Средний возраст заболевших оказался равным 61,0 года (оба пола), 60,5 (мужчины), 61,4 (женщины). Кумулятивный риск развития меланомы кожи (период: 2006–2016 гг., возраст 0–74 года) составил 0,5 % [14].
В 2016 году от меланомы кожи в России умерло 1710 мужчин и 1991 женщина, грубый показатель смертности (оба пола) - 2,5 на 100000 населения, стандартизованный - 1,5 на 100000 населения (1,3 женщин и 1,8 у мужчин) [14].
Под наблюдением на конец 2017 года состояли 89822 больных (61,2 на 100 000 населения), из низ 5 лет и более наблюдались 53156 больных (59,2%). Индекс накопления контингентов составил 8,9 (в сравнении с 9,1 в 2014), а летальность - 3,9% (в сравнении с 4,3 % в 2011) [13]. При этом, согласно имеющимся отчетным формам, в 2017 году 86,4% больных меланомой кожи (среди тех, кто подлежал радикальному лечению) получили только хирургическое лечение, а 13,6% - комбинированное или комплексное (кроме химиолучевого) [13].
Злокачественная меланома кожи (С43,C51, C60.9, C63.2) [15]:
· C43.0 Злокачественная меланома губы
· C43.1 Злокачественная меланома века, включая спайку век
· C43.2 Злокачественная меланома уха и наружного слухового прохода
· C43.3 Злокачественная меланома других и неуточненных частей лица
· C43.4 Злокачественная меланома волосистой части головы и шеи
· C43.5 Злокачественная меланома туловища (включая кожу перианальной области, кожу ануса и пограничную зону, кожу грудной железы
· C43.6 Злокачественная меланома верхней конечности, включая область плечевого сустава
· C43.7 Злокачественная меланома нижней конечности, включая область тазобедренного сустава
· C43.8 Злокачественная меланома кожи, выходящая за пределы одной и более вышеуказанных локализаций
- C43.9 Злокачественная меланома кожи неуточненная
- С51 Злокачественное новообразование вульвы
· C60.9 Злокачественные новообразования полового члена неуточненной локализации
- C63.2 Злокачественные новообразования мошонки
Метастазы меланомы без выявленного первичного очага:
· C77.0 - C77.9 Вторичное и неуточненное злокачественное новообразование лимфатических узлов (для случаев впервые выявленных метастазов меланомы в лимфатические узлы без выявленного первичного очага)
· C78 Вторичное злокачественное новообразование органов дыхания и пищеварения
· C79 Вторичное злокачественное новообразование других локализаций
· C79.2 Вторичное злокачественное новообразование кожи
· C79.3 Вторичное злокачественное новообразование головного мозга и мозговых оболочек
Доброкачественные меланоцитарные новообразования:
Пигментный невус, БДУ (С44._)
Меланоцитарный невус (С44._)
Волосяной невус (С44._)
Регрессирующий галоневус (С44._)
Балонноклеточный невус (С44._)
Гигантоклеточный невус (С69.4)
Меланоцитома глазного яблока (С69.4)
Диспластический невус (С44._)
Диффузный меланоцитоз (С70.9)
Беспигментный невус (С44._)
Бесцветный невус (С44._)
Пограничный невус, БДУ (С44._)
Интраэпидермальный (внутриэпидермальный) невус (С44._)
Юнкциональный невус (С44._)
Интрадермальный (внутридермальный) невус (С44._)
Дермальный невус (С44._)
Сложный невус (С44._)
Эпидермо-дермальный невус (С44._)
Малый врожденный невус (С44._)
Эпителиоидный и веретеноклеточный невус (С44._)
Ювенильная меланома (С44._)
Ювенильный невус (С44._)
Пигментированный веретеноклеточный невус Рида (С44._)
Эпителиоидноклеточный невус (С44._)
Голубой невус, БДУ (С69._)
Голубой невус Ядассона (С44._)
Клеточный голубой невус (С44._)
Веретеноклеточный невус, БДУ (С44._)
Предзлокачественные изменения
Менингеальная меланоцитома (С70.9)
Гигантский пигментный невус, БДУ (С44._)
Промежуточный и гигантский врожденный невус (С44._)
Пролиферативное поражение кожи при врожденном невусе (С44._)
Злокачественное лентиго (С44._)
Меланотическая веснушка Хатчинсона, БДУ (С44._)
Предраковый меланоз, БДУ (С44._)
Меланома in situ
Злокачественные меланоцитарные опухоли
Злокачественная меланома, БДУ (за исключением ювенильной меланомы 8770/0)
Узловая меланома (С44._)
Балонноклеточная меланома (С44._)
Злокачественная меланома, регрессирующая (С44._)
Менингеальный меланоматоз (С70.9)
Амеланотическая меланома (С44._)
Злокачественная меланома при пограничном невусе (С44._)
Злокачественная меланома при предраковом меланозе (С44._)
Злокачественная меланома в меланотической веснушке Хатчинсона (С44._)
Поверхностно распространяющаяся меланома (С44._)
Акральная лентигинозная меланома, злокачественная (С44._)
Десмопластическая меланома, злокачественная (С44._)
Десмопластическая меланома, амеланотическая (С44._)
Нейротропная меланома, злокачественная (С44._)
Лентигинозная меланома слизистых оболочек
Злокачественная меланома при гигантском пигментном невусе (С44._)
Злокачественная меланома при врожденном меланоцитарном невусе (С44._)
Смешанная эпителиоидная и веретеноклеточная меланома
Эпителиоидноклеточная меланома 8772/0
Веретеноклеточный невус, БДУ (С44._)
Веретеноклеточная меланома, БДУ
Веретеноклеточная меланома, тип A (С69._)
Веретеноклеточная меланома, тип B (С69._)
Голубой невус, злокачественный (С44._)
Морфологические типы не оказывают самостоятельного влияния на прогноз течения болезни (только через связь с толщиной опухоли по Бреслоу и изъязвление опухоли), но осведомленность о различных клинических вариантах развития меланомы кожи может быть полезна на этапе осмотра для дифференциальной диагностики с доброкачественными новообразованиями кожи.
1.5.2.1 Стадирование меланомы кожи по системе UICC / AJCC TNM (8 пересмотр, 2017[17, 18])
Для процедуры стадирования меланомы гистологическое подтверждение обязательно. Оценку состояния лимфатических узлов для установления стадии выполняют при помощи клинического осмотра, инструментальных исследований и процедуры биопсии сторожевого лимфатического узла.
Критерий Т отражает распространенность первичной опухоли. Классификация по критерию Т возможна только после удаления первичной опухоли и ее гистологического исследования (табл.1).
Таблица 1. Критерий Т (первичная опухоль)
Критерий T
Толщина опухоли по Бреслоу
Изъязвление первичной опухоли
ТХ: толщина первичной опухоли не может быть определена (например, при удалении опухоли кюретажем, бритвенной биопсии или частичной регрессии меланомы)
Т0 нет признаков первичной̆ опухоли (например, не выявлен первичный̆ очаг или полная регрессия меланомы)
Tis: меланома in situ (уровень инвазии по Кларку I) (атипическая меланоцитарная гиперплазия, тяжелая меланоцитарная дисплазия, неинвазивная злокачественная опухоль)
Меланома кожи
Меланома кожи – сложное онкологическое заболевание, обусловленное воспалительными процессами в клетках кожи. Кожа - самый большой орган, который в основном выполняет покровительную и защитную функцию. Защищая от воздействия внешних факторов, а самое главное ультрафиолета, кожа обязана вырабатывать достаточный уровень меланина, но при определенной мутации возникает риск возникновения такого недуга, как рак кожи.
Наиболее часто меланома кожи проявляется симптомами, которые легко диагностировать. Темный и неоднородный цвет пигментных пятен, легко травмируемая кожа, язвы и корочки, постоянный зуд - все это признаки онкологии.
Опасность проявления такого заболевания, как меланома кожи в том, что она способна даже на ранних этапах развития метастазировать в лимфу и другие органы.

Меланома кожи - причины, факторы риска
Причины возникновения злокачественного опухолевого процесса кожных покровов является активное размножение атипичных клеток. Под воздействием некоторых факторов в меланоцитах (пигментные пятна в базальном слое кожи), которые должны вырабатывать и насыщать рядом находящиеся клетки меланином, происходит мутация и снижается защитная функция от неблагоприятных воздействий внешней среды.
К факторам риска относится:
- светлая кожа;
- обильное наличие веснушек;
- рыжий цвет волос;
- большое количество родинок;
- ожоги 3-4 степени;
- травмы кожи, в особенности родинок;
- меланома кожи в анамнезе у ближайших кровных родственников.
Рак кожи может возникнуть на нетронутых участках, но в основном, появление недуга «меланома кожи» основано на атипичном развитии в пигментных пятнах и родинках.
Родинки, они же невусы, представляют собой скопление меланоцитов. Изначально, родинки и пятна имеют доброкачественный характер, но воздействие некоторых факторов превращают их в онкологию. Наличие невусов в большом количестве характерно для людей с белым цветом кожи. Первые появления родинок возникают у детей, затем у молодых людей и самый активный пик происходит у людей старшего и пожилого возраста.
Кожа состоит из трех слоев:


Меланома кожи - виды
Различают четыре вида меланомы кожи:
Нарастание рака кожи происходит горизонтально, большими участками, имея при этом цвет от светло-коричневого до черного;
Меланома кожи распространяется быстро, проявляется в виде темно-синей бляшки на участках чистой кожи или на местах родинок;
Плоские светло-коричневые пятна обширно развивающиеся на поверхности кожи. Меланома кожи чаще всего проявляется у людей пенсионного возраста;
Темные пятна с неровными краями, проявляющиеся на ступнях и ладонях.
Стадии развития меланомы кожи
Развитие опухолевого процесса и появление такого недуга, как рак кожи, возможно в зависимости от нескольких факторов. В основном, к ним относится: воздействие ультрафиолетовых лучей, травмы невусов, наследственность.
Заболевание может изначально иметь доброкачественный характер, лечение в данный период имеет высокую эффективность.
Далее начинается нулевая стадия, в этот период в организме уже присутствуют пораженные раковые клетки, которые только начинают развитие.
1 стадия - развитие опухоли минимально;
2 стадия - меланома кожи проникает в слои;
3 стадия - рак кожи попадает в лимфатическую систему;
4 стадия - метастазирование в другие органы.
Диагностика меланомы
Ранняя самодиагностика рака и внимательное отношение к изменениям на коже поможет подобрать правильное и эффективное лечение злокачественного заболевания.
Меланома кожи проявляется такими симптомами и признаками, как изменение формы, вида, размера родинки в короткий срок до двух месяцев.
Для правильного анализа симптомов и признаков злокачественного заболевания существует специальная система «АККОРД». В нее входит список возможных мутаций, который поможет определить изменения на кожных покровах, предположить диагноз «меланома кожи» и обратиться к специалисту.
- Асимметрия - если провести вдоль родинки прямую линию, то ее обе стороны будут неправильными;
- Край - родинка имеет неправильные зазубренные края;
- Кровоточивость в месте пигментации или родинки;
- Окрас - изменения в родинке, появление темных пятен;
- Размер - увеличение размера родинки в короткий срок;
- Динамика - появление корочек на родинке, язв и т.п.
Проявление таких симптомов в единичном или нескольких признаках говорит о наличие изменений и срочной консультации специалиста.
Меланома кожи хорошо поддается лечению на ранних стадиях, но при запущенном течении эффективность лечения значительно снижается.
Также важным симптомом заболевания является воспаление лимфоузлов.
Лечение меланомы кожи
Лечение онкологического заболевания кожи устанавливается врачом, исходя из стадии развития болезни, проявлению симптомов и сопутствующих заболеваний пациента. Меланома кожи требует комплексного лечения, в который входит лучевая терапия и химиотерапия.
Меланома кожи проявляется локализованными участками поражения кожных покровов, на которые и применяется метод лучевой терапии. При таком воздействии снижается рост и развитие раковых клеток.
При определении заболевания на ранних стадиях возможно проведение биопсии сторожевых лимфатических узлов. Такие узлы находятся рядом с местом поражения и отвечают за контроль иммунитета. Такой метод позволяет точно определить стадию заболевания, подобрать правильное лечение, выявить отдаленные метастазы на ранних этапах и исключить возможный рецидив рака кожи.
Для лечения мелких и отдаленных метастазов назначается лекарственная терапия.
Меланома кожи отчетлива в признаках и симптомах, поэтому очень важно вовремя обратиться к специалисту и подобрать правильное лечение. В большинстве случае возможность полного выздоровления очень высока.
Подготовка к посещению врача онкодерматолога
Конкретизируйте то, что Вас беспокоит. Можно составить список симптомов, которые Вас заставили обратиться для консультации.
Будьте готовы ответить на такие вопросы врача:

Реабилитация и профилактика
Посещение врача после удаления невуса или части кожного покрова необходимо ежемесячно. При изменениях в области лечения важно обратиться к врачу и подобрать или изменить программу лечения. Меланома кожи удаляется с покровов почти во всех случаях, но риск рецидива рака все равно возможен.
Важная часть профилактики заключается в сокращении рисков. Светлокожим людям меньше находиться на солнце и не посещать солярий. Меланома кожи коварное заболевание, к которому необходимо уделять максимальное внимание и производить самодиагностику.
Филиалы и отделения, где лечат меланому кожи
МНИОИ им. П.А. Герцена – филиал ФГБУ «НМИЦ радиологии» Минздрава России.
В Отделении онкопластической хирургии
Центр лазерной и фотодинамической диагностики и терапии опухолей Минздрава России
МРНЦ им. А.Ф. Цыба – филиал ФГБУ «НМИЦ радиологии» Минздрава России.
В Отделении комбинированного лечения опухолей костей, мягких тканей и кожи
Отдел фотодинамической диагностики и терапии
© 2021 — Официальный сайт «НМИЦ радиологии» Минздрава России.
Политика конфиденциальности
Читайте также:
