Меланома у детей
Добавил пользователь Евгений Кузнецов Обновлено: 23.11.2025
Республиканский научно-практический центр детской онкологии, гематологии и иммунологии, Минск, Беларусь
Меланома кожи у детей
Журнал: Онкология. Журнал им. П.А. Герцена. 2013;2(3): 40‑44
Исмаил-заде Р.С. Меланома кожи у детей. Онкология. Журнал им. П.А. Герцена. 2013;2(3):40‑44.
Ismail-zade RS. Cutaneous melanoma in children. P.A. Herzen Journal of Oncology. 2013;2(3):40‑44. (In Russ.).
Республиканский научно-практический центр детской онкологии, гематологии и иммунологии, Минск, Беларусь
Освещено современное состояние проблемы диагностики и лечения детей с меланомой кожи. Представлены многолетние результаты лечения детей с меланомой кожи в Республике Беларусь с 1991 по 2011 г. Всего пролечены 23 ребенка. Всем выполнено иссечение опухоли, у 3 дополнительно провели химиотерапию и/или биотерапию и лучевое лечение. Одной больной проводили курсы адъювантной химиотерапии в условиях общей гипертермии. Бессобытийная 10-летняя выживаемость составила 90%. Опыт авторов свидетельствует о том, что результаты лечения у детей значительно лучше, чем у взрослых, и широкое иссечение меланомы кожи является методом выбора в лечении неметастатической формы болезни. Химиотерапия и/или биотерапия, а также лучевая терапия могут быть применены при лечении метастатических форм заболевания.
Республиканский научно-практический центр детской онкологии, гематологии и иммунологии, Минск, Беларусь
Меланома кожи является редкой опухолью в детском возрасте и составляет около 0,3—0,9% всех злокачественных опухолей до 14 лет [1, 2]. С возрастом заболеваемость возрастает. При распределении по полу отмечено незначительное преобладание девочек [3].
Опухоль локализуется по всему кожному покрову. Наиболее частой локализацией являются конечности (50%), почти в равной степени нижние (24%) и верхние (25%), и туловище (24%) [4].
К настоящему времени установлено существование как спорадических, так и семейных форм меланомы, общей биологической особенностью проявления которых является развитие опухоли на фоне расстройств пигментации кожи или без каких-либо предшествующих изменений на ней. Эти наследственные синдромы, интегральной частью которых является меланома, включают в себя синдром семейных диспластических невусов, нейрокожный меланоз, нейрофиброматозы (NF1, NF2), синдром базально-клеточного невуса, синдром Гаднера, пигментная ксеродерма, синдром «семейного рака» (синдром Линча II), Li—Fraumeni синдром [5]. В 1—2% случаев меланома имеет наследственный характер [6]. Наличие в семье родственников с меланомой повышает риск развития заболевания в 2—3 раза [6].
Описаны гены, ответственные за развитие опухоли. Ген CDKN2A локализуется на коротком плече хромосомы 9 (9р21) и кодирует два белка — p16INK4A и P14ARF [7]. Эти белки контролируют клеточный цикл. Кроме того, описаны семьи с мутацией гена CDK4. Мутации приводят к инактивации генов и наследуются по аутосомно-доминантному типу [3]. Мутации гена CDKN2A были выявлены в 20—40% семей, имеющих 3 заболевших родственника и более, а также у 15% пациентов с первично-множественной меланомой [6, 7].
В зависимости от возраста у детей выделяют врожденную, инфантильную, детскую и пубертатную форму меланомы. Врожденная и инфантильная меланома является крайне редкой. Врожденная меланома развивается у плода de novo. Кроме того, описано трансплацентарное поражение плода при наличии метастатической меланомы у матери [8, 9].
Как у взрослых, так и у детей изменение внешнего вида пигментного невуса должно настораживать врача в отношении возможности развития меланомы. Изменения включают быстрое увеличение размера пигментного невуса (особенно вертикальный рост), изъязвление или кровотечение, изменение цвета, выпадение волос, зуд, увеличение регионарных лимфатических узлов и появление сателлитов [3].
Стандартные диагностические критерии, известные как ABCD-критерии, включают: асимметрию кожного элемента (asymmetry — А), неровные границы образования (border irregularity — В), пестрый, неоднородный цвет (color variegation — С), диаметр более 6 мм (diameter greater than 6 mm — D). Соответствие изменений этим критериям позволяет диагностировать меланому в 65% случаев у взрослых [10]. Диагностика, стадирование и лечебные подходы в целом у детей и у взрослых не отличаются [11, 12].
При гистологическом исследовании первичной опухоли учитывают степень инвазии опухоли по Кларку и толщину опухоли по Бреслоу [13, 14]. Толщина опухоли по Бреслоу отражает вертикальный размер опухоли и измеряется в гистологических препаратах с помощью окуляр-микрометра от верхней точки наружного слоя опухолевых клеток до клеток, наиболее глубоко проникших в толщу дермы. Различают опухоли толщиной менее 0,75 мм, толщиной 0,76—1,5; 1,6—3 мм и более 3 мм [14].

В 2001 г. опубликована система стадирования меланомы кожи, разработанная Американским объединенным комитетом по раку [15]. Данная система используется как у взрослых пациентов, так и у детей, и включает наиболее важные прогностические факторы (табл. 1). Для локализованной формы заболевания определены новые критерии оценки толщины опухоли; подчеркивается, что изъязвление является важным фактором, влияющим на прогноз. При поражении лимфатических узлов в качестве основных факторов прогноза рассматриваются их количество, метод выявления (клинический или при гистологическом исследовании), наличие изъязвления на поверхности первичной опухоли. Показано, что у пациентов с метастатическим поражением лимфатических узлов и изъязвлением первичной опухоли отдаленные метастазы развиваются чаще, чем у больных с поражением лимфатических узлов, но без изъязвления опухоли. Для пациентов с метастатической меланомой вводится характеристика метастазов по локализации и учитывается активность лактатдегидрогеназы [15].
У детей трудно отличить меланому от других пигментных образований не только клинически, но и гистологически. Приходится проводить дифференциальную диагностику с веретеноклеточными невусами (Спитц невус), атипичными и диспластическими невусами, галоневусами, травмированными невусами, пиогенными гранулемами, гемангиомами и ангиопапилломами [3].
Лечение меланомы кожи зависит от распространенности заболевания и включает хирургическое удаление опухоли, химиотерапию, иммунотерапию и лучевую терапию [13, 16].
Хирургический метод лечения является ведущим в терапии первичной меланомы кожи. На ранних стадиях заболевания радикальное удаление опухоли, как правило, приводит к излечению большинства пациентов [3, 13]. Границы отступа зависят от толщины опухоли. Так, согласно рекомендациям Общенационального объединения онкологических центров США, при меланоме in situ границы отступа составляют 0,5 см, при толщине опухоли менее 1 мм — 1 см, при толщине опухоли 1,01—2 мм — 1—2 см, при толщине опухоли более 2,01 мм — 2 см [17].
Результаты последних рандомизированных исследований у взрослых пациентов показали, что профилактическое иссечение лимфатических узлов не влияет на общую выживаемость, при этом оно приводит к большому числу послеоперационных осложнений. В связи с этим проведение профилактического иссечения регионарных лимфатических узлов в настоящее время не рекомендуется [13, 18]. Показаниями к иссечению регионарных лимфатических узлов являются наличие их клинического увеличения и выявление микрометастазов при проведении биопсии сторожевых лимфатических узлов [16, 19].
В последние годы для лечения различных онкологических заболеваний стали широко использовать интерферон (ИФН-α). Основные механизмы лечебной активности ИФН-α у онкологических больных обусловлены его способностью подавлять пролиферативную активность опухолевых клеток, стимулировать процесс их созревания, восстанавливать сдерживающий контроль за пролиферацией, повышать экспрессию опухолевых антигенов. Одно из крупных исследований (ECOG 1684) предусматривало изучение эффективности ИФН-α2b у больных с меланомой IIB и III стадий и имеющих высокий риск рецидива. ИФН-α2b применяли в дозе 20 млн МЕ/м 2 в сутки внутривенно 5 раз в неделю в течение 4 нед и далее в поддерживающей дозе 10 млн МЕ/м 2 в сутки подкожно 3 раза в неделю в течение 48 нед [20].
Лечение распространенной меланомы остается нерешенной проблемой. Дакарбазин является наиболее эффективным препаратом у детей и у взрослых [21]. Другие химиопрепараты, такие как винкристин, циклофосфамид, цисплатин, этопозид также могут быть активными у некоторых больных.
Хорошую перспективу имеет применение биотерапевтических технологий, в первую очередь это генная терапия и противоопухолевая вакцинация.
Лучевая терапия редко используется в терапии первичной меланомы кожи у детей. Обычно ее применяют с паллиативной целью при метастазах в различных органах [3].
Целью настоящей работы являлось изучение отдаленных результатов лечения детей с меланомой кожи в Республике Беларусь.
Материалы и методы

Нами проанализированы результаты лечения детей с меланомой кожи с 1991 по 2011 г. Клинико-терапевтическая характеристика больных представлена в табл. 2. Всего пролечены 23 ребенка: 10 мальчиков и 13 девочек, средний возраст составил 8 лет 5 мес (1—15 лет). Радикальное иссечение как единственное лечение (включая экономное иссечение с последующим реиссечением) было выполнено у 19 детей.

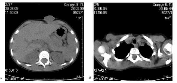
У 4 детей при метастазах в регионарных лимфатических узлах или при подозрении на таковые одновременно с широким иссечением произведена лимфодиссекция. У 3 из них выявлены множественные метастазы в лимфатических узлах. Им дополнительно проводили химиотерапию и/или биотерапию и лучевую терапию. Одному из этих детей (11 лет) проводили химиотерапию дакарбазином в комбинации с тамоксифеном. Всего проведено 4 курса химиотерапии с интервалом 3—4 нед. После завершения химиотерапии провели биотерапию Интроном А (ИФН-α2b) до 6 мес. Второму пациенту (12 лет) провели биотерапию Интроном А согласно рекомендациям EPOG-1684 и лучевую терапию в суммарной дозе 36 Гр на пораженную зону лимфатического аппарата [20]. У третьего ребенка (6 лет) имелась невероятно большая пигментная меланома кожи передней брюшной стенки (толщина опухоли 22 мм) с множественными метастазами в лимфатических узлах обеих подмышечных областей (рис. 1). Рисунок 1. Компьютерная томограмма органов грудной клетки и живота больной 6 лет с пигментной меланомой кожи передней брюшной стенки с метастазами в лимфатических узлах обеих подмышечных областей: а — меланома кожи передней брюшной стенки толщиной 22 мм с переходом на апоневроз; б — массивное метастатическое поражение подмышечных лимфатических узлов с обеих сторон. Больной провели 4 сеанса общей гипертермии с введением дакарбазина в курсовой дозе (системная термохимиотерапия) [22].
Сеансы системной термохимиотерапии проводили на базе ГУ «НИИ онкологии и медицинской радиологии им. Н.Н. Александрова» под общим наркозом в сочетании с нейролептаналгезией. Время выхода в режим 41 °С составляло в среднем 35—45 мин. Температура тела контролировалась датчиками, установленными в прямой кишке, в наружном слуховом проходе и при необходимости в пищеводе. При достижении этой температуры начиналось охлаждение головы обдувом холодного воздуха (4 °С). Необходимый температурный режим поддерживался не менее 60 мин [13, 22].
Отдаленные результаты лечения оценивали по методу Каплана—Мейера.
Результаты и обсуждение
Больные в целом удовлетворительно переносили лечение. Осложнений при проведении операции и химиобиотерапии отмечено не было. Практически у каждого второго больного на введение Интрона А была температурная реакция (≥38 °С), легко купируемая жаропонижающими препаратами. Сеансы общей гипертермии с химиотерапией удовлетворительно переносились пациенткой.
Умерли 2 детей от прогрессирования опухолевого процесса в течение 2 лет. Остальные больные живы без признаков болезни. Сроки наблюдения составляют 1—20 лет (медиана наблюдения 73 мес).

Бессобытийная 10-летняя выживаемость детей в этой значительной группе составила 90% (рис. 2). Рисунок 2. Бессобытийная выживаемость детей с меланомой кожи. Полученные результаты лечения не уступают данным литературы и свидетельствуют о более хорошем прогнозе лечения меланомы у детей по сравнению со взрослыми.
В настоящее время унифицированной лечебной тактики для лечения детей с метастатическими формами меланомы кожи нет. Несмотря на химиорезистентность, меланома является иммуногенной опухолью, что обусловливает применение иммунобиотерапии (интерлейкин-2, ИФН-α2b, дендритная вакцина и др.) [23]. При этом использование общей гипертермии и химиотерапии как компонента мультимодальной терапии может оказаться перспективным [22].
Таким образом, меланома кожи у детей и подростков является редкой солидной патологией. Широкое иссечение опухоли, как правило, приводит к выздоровлению у подавляющего числа больных при неметастатических формах заболевания. Химио- и/или биотерапия, а также лучевая терапия могут быть применены при лечении метастатических форм заболевания.
Необходимо кооперированное исследование для оптимизации лечебной стратегии для этой категории больных.
Рубрика онколога

Год 2019-й объявлен в Астраханской губернии Годом здоровья, а сохранение здоровья граждан – одна из приоритетных задач, стоящих перед государством.
На сайте ГБУЗ АО Детской городской поликлиники № 1 открыта рубрика в вопросах и ответах о детской онкологии, где будут освещаться современные достижения в этой области медицины, с описанием клиники, диагностики и лечения опухолей у детей, с разъяснениями родителям о том, как правильно помочь больному ребенку.
На вопросы отвечает врач детский онколог консультативного отделения ГБУЗ АО «ДГП №1», главный внештатный детский онколог министерства здравоохранения АО, член Российского детского онкологического общества Наталья Валерьевна Кочукова. Тема сегодняшней рубрики — «Меланома у детей».
Есть мнение, что жители регионов, где преобладает теплый климат, с высокой активностью солнечных лучей, наиболее подвержены кожным заболеваниям, таким, как меланома. Что это за заболевание, насколько в действительности существует опасность ею заболеть и должны ли родители минимизировать пребывание на солнце своих малышей?
— Меланома — это опухоль, развивающаяся из меланоцитов – клеток, которые вырабатывают пигмент и из которых развиваются родинки. Меланома встречается главным образом у взрослых, но время от времени обнаруживается и у детей. Меланома может развиваться у детей быстрее, чем у взрослых.
Чаще всего меланоциты располагаются на коже, поэтому, наиболее известна всем меланома кожи. Но меланоциты могут располагаться и в слизистых оболочках, вызывая меланому слизистой, например, ЖКТ, верхних отделов дыхательных путей (полость носа, носоглотка, ротоглотка), или нижних отделов дыхательных путей (гортань, трахея, бронхи). Также меланоциты встречаются в глазном тракте, поражая различные отделы глаза, вызывая, так называемую глазную меланому.
У детей заболевание проходит легче, чем у взрослых, и при ранней диагностике, в большинстве случаев, после операции не нужно другое лечение. В возникновении меланомы у детей солнечное излучение имеет меньшее значение. Есть убеждение, что возникновение заболевания обусловлено генетической предрасположенностью вместе с другими, еще неизвестными факторами. У светловолосых, рыжеволосых, блондинов и детей, имеющих веснушки, риск возникновения меланомы выше.
Говорить о том, что загар детям противопоказан, это неправильно, но и злоупотреблять ультрафиолетовыми лучами не нужно! Многие родители хотят, чтобы их дети набрали за лето солнышка «впрок», но специалисты настаивают: загорание – вовсе не оздоровительная процедура. Конечно, полезно побыть на солнышке, на свежем воздухе, тем более морском, но только в утренние часы (до 11) или уже после 17. Чтобы не было «перебора» солнечных лучей, не рекомендуется вывозить детей на море в июле и в первой половине августа. В это время можно отдохнуть в средней полосе, а на юг поехать в июне или в конце августа.
Каковы симптомы меланомы? Как не пропустить заболевание на ранней стадии?
— При каждом принятии водных процедур родители, как правило, внимательно осматривают кожные покровы ребенка и любое новое образование должно насторожить. Это может быть бугорок, который чешется и кровоточит, выпирающий участок, беспигментный или розового цвета, амеланотическое поражение – это означает, что в нем нет черного или темного пигмента, как в меланомах у взрослых. Также, необычного вида родинки, особенно большие родинки, родинка, которая значительно отличается от других родинок ребенка.
При наблюдении родинок необходимо помнить о следующих важных признаках: асимметрия, неровные края, цвет, даже если большинство детских меланом не имеют пигмента, диаметр больше чем 6 мм.
К какому специалисту обратиться, если возникли беспокойства у родителей, чтобы диагностировать или исключить заболевание?
— При подозрении на опухоль родители должны обратиться с ребенком на консультацию к детскому онкологу, чтобы проверить подозрения. Большая часть меланом диагностируется при помощи биопсии.
Прогноз напрямую зависит от стадии, на которой было выявлено заболевание. Поэтому, чем раньше вы обратитесь к специалисту, тем, возможно, более своевременной будет диагностика.
Какие типы меланомы встречаются?
— Меланома кожи – наиболее часто встречающийся тип меланомы. Она может располагаться на любом участке кожного покрова и «маскируется» по родинку. Выделяют следующие типы меланомы:
Поверхностно-распространяющаяся – поражает поверхность кожного покрова;
узловая – представлена в виде узла, возвышающегося над поверхностью кожи;
акрально-лентигинозная – чаще бывает в виде пятна, которое располагается акрально – на ладонях, подошвах, в области ногтевого ложа;
лентиго меланома – опухоль на коже в виде пятна с неровными нечеткими границами, с неравномерной окраской.
Меланома слизистых оболочек – может встречаться в любом органе, где есть слизистая оболочка, включая полость рта, ЖКТ, половые органы.
Увеальная меланома (глазная меланома) – редкая форма меланомы, встречается в 3% случаев и развивается в глазу, поражая различные отделы глаза.
Все эти заболевания объединены одним общим названием – меланома, но каждое из них имеет свои особенности диагностики, течения, прогноза и лечения.
Как лечат меланому кожи?
— Детская меланома лечится хирургическим путем. При низкой степени злокачественности, после операции ребенок остается под наблюдением. В случае уплотненных, изъязвленных или распространившихся в лимфатические узлы меланом, может потребоваться дополнительное лечение, которое включает в себя биологическое лечение, химиотерапию или оба вида лечения.
На сегодняшний день существует три основных варианта лечения онкологических заболеваний:
химиотерапия – одновременное использование одного или нескольких препаратов, которые оказывают токсическое влияние на быстро делящиеся клетки, в том числе опухолевые. Целью проведения химиотерапии является остановка, уничтожение или хотя бы замедление роста опухолевых клеток, с учетом того, что действие этих лекарств направлено на активно делящиеся клетки, но кроме опухолевых клеток лекарства также влияют и на здоровые клетки, которые активно делятся;
таргетная терапия – (от слова target – цель, мишень) – вид лекарственной терапии, при котором происходит воздействие на определенную мишень, которой обладает опухоль определенного пациента;
иммунотерапия – это вариант лекарственного лечения опухолей, который направлен на стимуляцию противоопухолевого иммунного ответа. Иммунотерапия оказывает воздействие на опухоль лишь опосредованно через иммунную систему.
Если у ребенка диагностировали меланому, он будет находиться под наблюдением у онколога. Последующее наблюдение важно, так как у детей с меланомой позднее в жизни высокий риск возникновения новой опухоли.
Что может спровоцировать возникновение меланомы? Факторы риска?
Считается, что около 90% всех случаев меланомы связаны с воздействием ультрафиолетового излучения, как природного (естественное солнце), так и искусственного (солярий). Люди со светлой кожей имеют меньшую защиту и более подвержены воздействию ультрафиолетового излучения, но риск развития меланомы существует для всех типов кожи. Наличие одного солнечного ожога в молодом возрасте, с образованием волдырей, повышает риск развития меланомы вдвое.
Однако не стоит забывать, что меланома бывает не только на коже, но и там, где воздействие ультрафиолета недоступно. Поэтому к другим дополнительным факторам риска относят также случаи меланомы в семье (семейная меланома), большое количество родинок на коже (более 50).
Каковы профилактические действия для предупреждения меланомы?
Профилактика – это комплекс мероприятий, который направлен на предупреждение возникновения заболевания, устранение факторов риска их развития. Выделяют первичную и вторичную профилактику.
Первичная профилактика – это комплекс мер, как медицинских, так и социальных, как например, пропаганда здорового загара и аккуратного отношения с УФ-излучениями, который направлен непосредственно на устранение причин (факторов риска) развития заболевания.
Вторичная профилактика – это комплекс мер, направленных на ранее выявление заболевания. Эффективная профилактика меланомы заключается в двух основных подходах: 1) необходимо уменьшить и ограничить ультрафиолетовое воздействие, как естественного солнечсного света, так и от искусственных источников, например, соляриев; 2) выявить и диагностировать меланому, как можно раньше.
Какие рекомендации можно и нужно дать родителям, чьи дети входят в группу риска или просто хотят минимизировать возможность возникновения меланомы?
— Это регулярное использование солнцезащитного крема в соответствии с фототипом кожи (всего их 6), даже в пасмурную погоду, как минимум за 10-15 минут до выхода на солнце. Если находитесь на пляже, повторять эту процедуру каждые два часа после плавания.
Необходимо помнить, что нанесение солнцезащитного крема не предусматривает нахождение под солнцем неограниченное время!
Обязательно использовать головные уборы, солнцезащитные очки, хлопковую одежду с длинным рукавом, брюки. Чаще находиться в тени, когда это возможно.
Самые активные лучи с 10.00 до 16.00. Берегитесь ожогов, тяжелые солнечные ожоги, особенно в детском возрасте, повышают риск развития меланомы и других опухолей кожи.
Только один выраженный солнечный ожог может удвоить шансы на развитие меланомы далее в течение жизни!
Дозировано получайте загар в солярии, а также избегайте преднамеренного сильного загара. Некоторые препараты могут повышать чувствительность кожи к солнечному свету и вызывать, тем самым, быстрый загар.
Если вы заметили что-то подозрительное, не бойтесь об этом сказать и показать специалисту.
Признаки, диагностика и лечение меланомы у детей
Меланома — это рак кожи. Начинается он в меланоцитах — клетках, придающих коже окраску.
Бывает ли меланома у детей?
По данным Национального института рака США, на долю меланомы приходится около 3% детских онкологических заболеваний. Иногда это заболевание встречается и у новорожденных. В последнее время меланома становится более распространённой, особенно у девочек-подростков. Солнце и солярии повышают риск болезни.

Меланома у детей в основном обнаруживается в период активного роста — в 4–6, а также 11–15 лет. По локализации преимущественно поражает голову, шею, конечности.
Меланома кожи у детей подразделяется на следующие типы:
- врожденная меланома — опухоль обнаруживается при рождении;
- меланома, развивающаяся на фоне врожденного меланоцитоза (коричневые родинки);
- меланома, возникающая у пациентов с диспластическим или атипическим невусом (чаще — это поверхностно распространяющаяся меланома);
- малигнизированный голубой невус;
- узловая меланома (40–50% злокачественной меланомы у детей);
- веретеноклеточная меланома (меланома Спитц).
Рак кожи у детей среднего и старшего возраста
Рак кожи у детей среднего и старшего возраста по своим морфологическим свойствам и симптомам идентичен с раком кожи у взрослых пациентов. Чаще всего опухоль представляет собой растущее образование, которое отличается от других пигментных невусов ребенка. Большинство меланом пигментированы. Около 60% образований соответствует критериям ABCDE:
A асимметрия B неровность границ C изменение цвета D диаметр >6 мм E развивающиеся
У детей младшего возраста поверхностно распространённая меланома встречается реже, а критерии ABCDE проявляются только в 40% случаев. В этом возрасте чаще развиваются амеланотические (красные) и узловые меланомы. Они имеет тенденцию к большему утолщению и уплотнению, чем аналогичные меланомы у детей старшего возраста и взрослых. Признаки меланомы у ребенка младшего возраста имеют особенности. Помимо традиционных характеристик, для оценки этих образований предложены дополнительные критерии ABCD:
| А | «amelanotic» – ослабленная пигментация; |
| B | «bleeding», «bump» – кровоточащие, выпуклые образования; |
| C | «colour uniformity» – равномерно окрашенные; |
| D | «de novo, any diameter» – новые образования любого диаметра. |
Малые врожденные невусы встречаются у 1 новорожденного из 100. Меланомы являются редким осложнением врожденных невусов малых и средних размеров. Они имеют тенденцию развиваться по краю родинок и распознаются по изменениям, характерным для критериев ABCDE.
У детей младшего возраста поверхностно распространённая меланома встречается реже, а критерии ABCDE проявляются только в 40% случаев
Риск меланомы повышается при больших врождённых невусах. Меланома возникает у 4% детей в возрасте 10 лет и младше, рождённых с гигантским меланоцитарным невусом более 40 см в диаметре. Врожденные гигантские меланоцитарные невусы очень редки, они обнаруживаются у 1 из 20 000 новорожденных. Для них характерны такие особенности:
- меланома может возникать в центре пигментного пятна;
- они имеют тенденцию развиваться в более глубоких слоях дермы;
- меланома может возникнуть в органах центральной нервной системы вследствие нейрокожного меланоцитоза;
- риск формирования меланомы возрастает у гигантских невусов, которые распространяются по срединной линии позвоночника и имеют пигментные пятна-спутники;
- профилактическое удаление невусов не снижает риска развития меланомы.
Меланома у детей, развивающаяся в области гигантского невуса, зачастую имеет стёртые симптомы, и её трудно обнаружить на начальных стадиях. Также значительные сложности представляет собой её хирургическое иссечение, в ряде случаев такая операция оказывается невозможной.
Дифференцировать детскую меланому приходится с пиогенной гранулемой, очаговой капиллярной гранулемой и другими доброкачественными пролиферативными изменениями кожи.
Меланома кожи до периода полового созревания встречается крайне редко. Заболевание составляет около 3% всех педиатрических форм рака.
Факторы риска детской меланомы включают:
- врождённый гигантский невус;
- фототипы I–II по Фитцпатрику (светлая, не подверженная загару кожа, веснушки);
- иммунодефицитные состояния или иммуносупрессия;
- ретинобластома;
- семейные нетипичные невусы (синдром диспластического невуса);
- большое количество родинок;
- пигментная ксеродерма (очень редкое расстройство с экстремальной чувствительностью к солнечному свету).
Диагностика детской меланомы
Ранняя и точная диагностика педиатрической меланомы является залогом успешного лечения. Применение передовых технологий способствует своевременному обнаружению патологических изменений.
- Первым шагом является осмотр кожных покровов ребенка и проведение дерматоскопии. Тщательный опрос родителей о здоровье ребенка и семейный анамнез также помогают в постановке диагноза.
- Биопсия является ключевым моментом. Крайне важно, чтобы подозрительные участки не были «выбриты» или скоагулированы до тех пор, пока не выполнено патогистологическое исследование.
- Для диагностики педиатрической меланомы могут быть использованы следующие методики визуализации:
- КТ или СКТ (спиральная томография);
- МРТ (магнитно-резонансная томография);
- ПЭТ (позитронно-эмиссионная томография);
- УЗИ мягких тканей и внутренних органов;
- рентгенологические исследования.
Лечение детской меланомы
Подходы к лечению детской меланомы такие же, как и у лечения взрослых.
- Образования, которые являются подозрительными в отношении меланомы, полностью удаляются путём проведения первоначальной диагностической биопсии, обычно с 2-миллиметровым отступом.
- Если по результатам патогистологического исследования подтверждается меланома, то проводится вторая хирургическая процедура для удаления более широкого края нормальной кожи — широкое локальное иссечение. Размеры границы иссечения кожи зависят от толщины меланомы по Бреслоу.
- Если меланома имеет толщину более 1 мм или другие особенности, вызывающие опасения, может быть выполнена биопсия сторожевого лимфатического узла. Однако роль этой операции в педиатрической практике окончательно не установлена.
- Лечебно-диагностические мероприятия после операции направлены на поиск рецидивов и выявление новых поражений кожи.
Метастатическая или распространённая меланома — рак, который распространился на лимфатические узлы или другие участки тела. Современные онкологические протоколы предполагают использование новых противоопухолевых средств. Лечение индивидуально, может включать операцию, лучевую, а также целевую (target) и иммунотерапию. При метастатической меланоме основными приоритетами выступают сокращение темпов опухолевого роста и повышение долгосрочности выживания.
Профилактика детской меланомы
В основе профилактики педиатрических меланом лежит воздержание от повреждающего действия солнечного облучения. Детские дерматологи советуют родителям и детям:
Меланома
Меланома — это тип рака кожи, который наиболее часто наблюдается у взрослых. У детей и подростков меланома встречается реже, тем не менее, ежегодно в США диагностируется 300–400 новых случаев. Меланомы могут развиваться на любом участке кожи, также могут возникнуть в глазу. Без лечения меланома может распространяться на другие части тела.
При меланоме рак развивается из клеток кожи, называемых меланоцитами . Они вырабатывают меланин, который обеспечивает окраску (пигментацию) кожи.
Меланин синтезируется определенными клетками кожи — меланоцитами. Этот пигмент помогает защитить кожу от ультрафиолетового (УФ) излучения солнца. У людей с более темным цветом кожи меланина больше, и вероятность развития меланомы у них меньше.
Несмотря на то что меланома обычно считается болезнью взрослых, около 1% случаев данного заболевания приходится на детей младше 15 лет. В группах старшего возраста она встречается чаще: 7% случаев среди подростков в возрасте 15–19 лет.
Симптомы меланомы включают в себя необычные изменения кожи, например родинки, которые увеличиваются в размерах, изменяют цвет, кровоточат или зудят. Опухоль может также иметь форму бугорка бледного или красного цвета.
Лечение меланомы зависит от стадии заболевания. Как правило, пациентам проводится хирургическая операция для удаления раковых клеток. Более тяжелые заболевания могут требовать применения дополнительных методов лечения, включая таргетную терапию, химиотерапию и/или иммунотерапию.
При ранней диагностике меланомы отмечаются очень высокие показатели выживаемости. Однако опухоль может распространяться на лимфатические узлы и другие части тела, что затрудняет ее лечение. Поэтому крайне важно знать о меланоме и обнаружить болезнь на ранних стадиях.
Факторы риска и причины возникновения меланомы
Определенные факторы могут повышать риск развития меланомы. К ним относится светлая кожа, подверженная ожогам, определенные заболевания кожи, семейный анамнез меланомы и/или необычных родинок, а также воздействие солнца и солнечные ожоги в анамнезе. Меланома чаще встречается у подростков.
- Цвет кожи: для людей с более темной кожей вероятность развития меланомы ниже. Обладатели светлой кожи, светлых или рыжих волос, светлых глаз, имеющие склонность к солнечным ожогам, входят в группу более высокого риска.
- Заболевания кожи: для людей, родившихся с большими темными пятнами на коже, называемыми меланоцитарными невусами , риск развития меланомы выше. Определенные врожденные патологические состояния, такие как пигментная ксеродерма , ретинобластома и синдром Вернера, также могут повышать риск.
- Семейный анамнез: наличие меланомы или необычных родинок в семейном анамнезе повышает риск развития заболевания.
- Воздействие УФ-излучения: ультрафиолетовое излучение повреждает ДНК клеток кожи. Основной источник УФ-излучения — солнечный свет, другим источником ультрафиолета являются солярии. Воздействие солнечного света и использование соляриев — значимые факторы риска развития меланомы.
- Солнечные ожоги: у пациентов, перенесших солнечные ожоги с образованием пузырей, риск развития меланомы более высок.
- Лучевая терапия и перенесенные онкологические заболевания: для пациентов, перенесших лучевую терапию, повышен риск развития меланомы в будущем.
- Ослабленный иммунитет: низкий иммунитет вследствие серьезного заболевания или трансплантации может повышать риск.
Признаки и симптомы меланомы
Признаки меланомы включают в себя различные изменения кожи:
- Родинка или бугорок на коже, который увеличивается в размерах или изменяет форму, особенно если это происходит в течение короткого периода
- Родинка неправильной формы или большого размера
- Бледный или красный бугорок на коже
- Родинка или бугорок, которые зудят или кровоточат
Запомнить признаки меланомы можно с помощью английского алфавита.
A — асимметрия (asymmetry)
B — неровный контур (border irregularity)
C — изменение цвета (color variation)
D — диаметр (diameter) (>5 мм)
E — признаки эволюции (evolution) или изменения
Диагностика меланомы
Для диагностики меланомы проводят несколько процедур и исследований. К ним относятся:
- Изучение истории болезни и медицинский осмотр для получения сведений о симптомах, общем состоянии здоровья, перенесенных заболеваниях, семейном анамнезе и других факторах риска.
- Осмотр кожных покровов на наличие родинок, бугорков и участков кожи, имеющих необычный вид. кожи с целью диагностики меланомы. Затем клетки изучают под микроскопом, чтобы выяснить, есть ли в образце признаки рака. При биопсии меланомы важно взять ткань из более глубоких слоев кожи, чтобы увидеть, насколько опухоль прорастает вглубь от поверхности кожи. Эту процедуру должен проводить дерматолог, обладающий соответствующей квалификацией и знаниями в области диагностики меланомы.
Если у врачей есть подозрения о возможном распространении меланомы, могут потребоваться дополнительные анализы. К ним относятся:
- Анализы крови, включая определение уровня лактатдегидрогеназы (ЛДГ), количество которой в крови может увеличиваться при меланоме.
- Картирование и биопсия лимфатических узлов для оценки распространения меланомы на соседние лимфатические узлы. В ходе этой процедуры, называемой биопсией сторожевого лимфатического узла, в область очага меланомы вводят специальное контрастное или радиоактивное вещество. Контрастное вещество проходит по лимфатической системе к первому лимфатическому узлу возле первичной опухоли. Эти лимфатические узлы можно удалить и оценить на наличие признаков рака. Это исследование важно для определения стадии развития меланомы и составления плана лечения.
- Для определения степени распространения меланомы на другие части тела применяются методы диагностической визуализации. Исследования проводятся в отдельных случаях, в зависимости от характеристик опухоли и поражения лимфатических узлов. Иногда могут применяться такие методы диагностической визуализации, как МРТ, ПЭТ или КТ.
- (МРТ) позволяет получать детализированные изображения тела с помощью радиоволн и магнитов.
- В ходе позитронно-эмиссионной томографии (ПЭТ) внутривенно вводится радиоактивная глюкоза (сахар) для получения компьютерных изображений тела. Глюкоза перемещается по всему организму и захватывается клетками, которые используют сахар в качестве источника энергии. Это позволяет получать окрашенные изображения различных тканей и органов на экране компьютера. Раковые клетки часто растут и делятся быстрее других клеток и захватывают больше глюкозы. Иногда ПЭТ позволяет обнаружить рак в областях тела, не видимых на КТ или МРТ. (или КТ) позволяет создавать изображения органов и тканей внутри тела с помощью рентгеновских лучей.
ПЭТ-изображение метастатической меланомы у ребенка. Зеленые стрелки указывают на области распространения рака.
Существует несколько подтипов меланомы.
- Узловая меланома — опухоль прорастает вглубь кожи
- Поверхностная распространяющаяся меланома — имеет более плоскую и широкую форму
- Меланома типа злокачественного лентиго
- Акрально-лентигиозная меланома — возникает на таких местах, как стопы
- Шпицоидная меланома (меланома из невуса Шпиц)
Шпицоидная меланома является наиболее распространенным типом меланомы среди пациентов младшего возраста.
Определение стадии развития меланомы
Выделяют меланому I или II стадии (меланома кожи), III стадии (меланома с распространением на лимфатические узлы) или IV стадии ( метастатическая меланома).
Факторы, определяющие стадию меланомы:
- Толщина опухоли или глубина врастания меланомы в кожу
- Наличие трещин или нарушений целостности опухоли, проникающих через поверхностный слой кожи (изъязвление)
- Распространение опухоли на лимфатические узлы
- Распространение опухоли на другие части тела
- Меланома in situ: аномальные меланоциты обнаруживаются только во внешнем слое кожи
- Толщина меланомы 1 мм или менее; без изъязвления
- Толщина меланомы 1 мм или менее; с изъязвлением
- Толщина меланомы 1–2 мм; без изъязвления
- Толщина меланомы 1–2 мм; с изъязвлением
- Толщина меланомы 2–4 мм; без изъязвления
- Толщина меланомы 2–4 мм; с изъязвлением
- Толщина меланомы >4 мм; без изъязвления
- Толщина меланомы >4 мм; с изъязвлением
- Меланома распространилась на лимфатические узлы
- Лимфатические узлы могут группироваться или спаиваться
- Рак распространяется на лимфатическую систему на расстояние не менее 2 см от первичного очага, или
- Опухоли меньшего размера в радиусе 2 см от первичного очага
- Меланома распространилась на другие части тела, включая легкие, печень, головной мозг, кости, мягкие ткани или отдаленные участки кожи
Прогноз при лечении меланомы
Вероятность выздоровления при меланоме зависит от нескольких факторов.
- Толщина опухоли
- Расположение опухоли
- Распространение рака на лимфатические узлы или другие части тела ( метастазирование ) и количество метастатических очагов
- Возможность полного удаления опухоли хирургическим путем
- Уровень лактатдегидрогеназы (ЛДГ) в крови
В целом наиболее важным фактором, определяющим прогноз, является стадия заболевания. Пациенты с локализованной меланомой без признаков распространения имеют прекрасный прогноз с коэффициентом выживаемости более 90%. Однако лечение пациентов с заболеванием, распространившимся на отдаленные регионы, более сложное.
Лечение меланомы
Лечение меланомы зависит от ее расположения, особенностей опухоли (генных изменений и результатов гистологического исследования ) и стадии заболевания.
Хирургическая операция
Хирургическая операция — основной метод лечения меланомы. Меланома может прорастать через несколько слоев кожи. Чтобы удалить опухоль полностью, может потребоваться удаление большого участка кожи вокруг меланомы. Для закрытия раны пациенту может быть необходима пересадка кожи . Кроме того, может потребоваться биопсия и удаление лимфатических узлов (диссекция). Пациентам с локализованными опухолями (I и II стадии) без распространения может быть достаточно только хирургической операции.
Если меланома распространилась на лимфатические узлы или другие части тела, необходимо применение дополнительных методов лечения, включая иммунотерапию и/или химиотерапию.
Иммунотерапия
При иммунотерапии для уничтожения раковых клеток используется собственная иммунная система пациента. Исследуется применение ряда иммунотерапевтических агентов для лечения меланомы. Некоторые препараты блокируют сигналы, контролирующие рост раковых клеток. В других агентах используются специальные белки, которые прикрепляются к раковым клеткам таким образом, что иммунные клетки могут распознавать и уничтожать рак.
Таргетная терапия
В рамках таргетной терапии используются препараты, целенаправленно воздействующие на специфические мишени (от англ. target — мишень) в опухолевых клетках, например гены и белки. У некоторых пациентов с меланомой обнаруживается изменение, или мутация гена BRAF. Это заставляет клетки синтезировать аномальный белок. К препаратам, блокирующим аномальный белок BRAF, относятся ингибиторы BRAF (вемурафениб, дабрафениб) и ингибиторы белка MEK (траметиниб, кобиметиниб). Примерно половина случаев меланомы связана с мутацией BRAF, и для таких пациентов таргетная терапия может быть эффективной.
Химиотерапия
Для лечения метастатической меланомы может применяться химиотерапия. Однако меланома не всегда поддается лечению химиотерапией. В зависимости от расположения опухоли и стадии заболевания применяется системная или регионарная химиотерапия. Системная химиотерапия воздействует на весь организм. Она может проводиться внутривенно или перорально. Регионарная химиотерапия воздействует в основном на раковые клетки в одной области тела.
Лучевая терапия
Для лечения меланомы, распространившейся на лимфатические узлы или другие части тела, например головной мозг, пациент может получать лучевую терапию.
Может быть предложено лечение меланомы у ребенка в рамках клинического исследования.
Жизнь после меланомы
Профилактика меланомы
У людей, перенесших меланому, риск рецидива боле высок. Бывшие пациенты должны регулярно проходить обследование у дерматолога: не реже, чем раз в полгода. Они должны регулярно осматривать кожу и обращаться к врачу при любых признаках изменений. Существует несколько простых способов профилактики меланомы.
- Ограничивайте воздействие солнца.
- Используйте солнцезащитные средства.
- Избегайте посещения соляриев.
- Следите за состоянием своей кожи.
- Изучайте инструкции к лекарствам на предмет повышения чувствительности к солнечному излучению.
Ознакомьтесь с материалами Kid’s Guide to Self-Screening (Руководство по самоосмотру для детей) от Фонда исследования меланомы.
Легко запомнить — «крем, футболка, шляпа»! Узнайте больше о безопасном пребывании на солнце:
Отдаленные последствия лечения
Для поддержания общего здоровья и профилактики заболеваний все люди, перенесшие онкозаболевания, должны придерживаться здорового образа жизни и режима питания, а также продолжать прохождение регулярных медицинских осмотров и обследований у врача-терапевта не реже чем раз в год.
Бывшие пациенты, прошедшие в детстве курс химиотерапии и/или лучевой терапии, должны проходить обследования на наличие острых эффектов и отдаленных последствий терапии.
—
Дата изменения: июнь 2018 г.
Таргетная терапия
Таргетная терапия — это относительно новые виды препаратов, целенаправленно воздействующих на специфические мишени в опухолевых клетках.
Защита кожи
Дети, проходящие лечение от онкозаболеваний, могут сталкиваться с такими кожными проблемами, как медленное заживление, чувствительность к солнечному излучению и рубцевание.
Узнайте больше о защите кожи
Иммунотерапия
Иммунотерапия — это метод лечения рака, при котором для борьбы с опухолью задействуется иммунная система. Эта терапия помогает иммунной системе находить опухолевые клетки и атаковать их или усиливает иммунную реакцию организма на опухоль.
Меланома у детей

- Есть мнение, что жители регионов, где преобладает теплый климат, с высокой активностью солнечных лучей, наиболее подвержены кожным заболеваниям, таким, как меланома. Что это за заболевание, насколько в действительности существует опасность ею заболеть?
- Меланома — это опухоль, развивающаяся из меланоцитов – клеток, которые вырабатывают пигмент и из которых развиваются родинки. Меланома встречается главным образом у взрослых, но время от времени обнаруживается и у детей. Меланома может развиваться у детей быстрее, чем у взрослых.
Чаще всего меланоциты располагаются на коже, поэтому, наиболее известна всем меланома кожи. Но меланоциты могут располагаться и в слизистых оболочках, вызывая меланому слизистой, например, ЖКТ, верхних отделов дыхательных путей (полость носа, носоглотка, ротоглотка), или нижних отделов дыхательных путей (гортань, трахея, бронхи). Также меланоциты встречаются в глазном тракте, вызывая, так называемую глазную меланому.
У детей заболевание проходит легче, чем у взрослых, и при ранней диагностике, в большинстве случаев, после операции не нужно другое лечение. В возникновении меланомы у детей солнечное излучение имеет меньшее значение. Есть убеждение, что возникновение заболевания обусловлено генетической предрасположенностью вместе с другими, еще неизвестными факторами. У светловолосых, рыжеволосых, блондинов и детей, имеющих веснушки, риск возникновения меланомы выше.
Говорить о том, что загар детям противопоказан, это неправильно, но и злоупотреблять ультрафиолетовыми лучами не нужно! Многие родители хотят, чтобы их дети набрали за лето солнышка «впрок», но специалисты настаивают: загорание – вовсе не оздоровительная процедура. Конечно, полезно побыть на солнышке, на свежем воздухе, тем более морском, но только в утренние часы (до 11) или уже после 17. Чтобы не было «перебора» солнечных лучей, не рекомендуется вывозить детей на море в июле и в первой половине августа. В это время можно отдохнуть в средней полосе, а на юг поехать в июне или в конце августа.
- Каковы симптомы меланомы? Как не пропустить заболевание на ранней стадии?
- При каждом принятии водных процедур родители, как правило, внимательно осматривают кожные покровы ребенка и любое новое образование должно насторожить. Это может быть бугорок, который чешется и кровоточит, выпирающий участок, беспигментный или розового цвета, амеланотическое поражение – это означает, что в нем нет черного или темного пигмента, как в меланомах у взрослых. Также, необычного вида родинки, особенно большие родинки, родинка, которая значительно отличается от других родинок ребенка.
При наблюдении родинок необходимо помнить о следующих важных признаках: асимметрия, неровные края, цвет, даже если большинство детских меланом не имеют пигмента, диаметр больше чем 6 мм.
- К какому специалисту обратиться, если возникли беспокойства у родителей?
- При подозрении на опухоль родители должны обратиться с ребенком на консультацию к детскому онкологу. Большая часть меланом диагностируется при помощи биопсии. Прогноз напрямую зависит от стадии, на которой было выявлено заболевание. Поэтому, чем раньше вы обратитесь к специалисту, тем, более своевременной будет диагностика.
- Как лечат меланому кожи?
- Детская меланома лечится хирургическим путем. При низкой степени злокачественности, после операции ребенок остается под наблюдением. В случае уплотненных, распространившихся в лимфатические узлы меланом, может потребоваться дополнительное лечение, которое включает в себя биологическое лечение, химиотерапию или оба вида лечения.
На сегодняшний день существует три основных варианта лечения онкозаболеваний:
- химиотерапия – одновременное использование одного или нескольких препаратов, которые оказывают токсическое влияние на быстро делящиеся клетки, в том числе опухолевые. Целью проведения химиотерапии является остановка, уничтожение или хотя бы замедление роста опухолевых клеток;
- таргетная терапия – (от слова target – цель, мишень) – вид лекарственной терапии, при котором происходит воздействие на определенную мишень, которой обладает опухоль определенного пациента;
- иммунотерапия – это вариант лекарственного лечения опухолей, который направлен на стимуляцию противоопухолевого иммунного ответа. Иммунотерапия оказывает воздействие на опухоль лишь опосредованно через иммунную систему.
Если у ребенка диагностировали меланому, он будет находиться под наблюдением у онколога. Последующее наблюдение важно, так как позднее в жизни высокий риск возникновения новой опухоли.
- Что может спровоцировать возникновение меланомы?
- Считается, что около 90% всех случаев меланомы связаны с воздействием ультрафиолетового излучения, как природного (естественное солнце), так и искусственного (солярий). Люди со светлой кожей имеют меньшую защиту и более подвержены воздействию ультрафиолетового излучения, но риск развития меланомы существует для всех типов кожи. Наличие одного солнечного ожога в молодом возрасте, с образованием волдырей, повышает риск развития меланомы вдвое.
Однако не стоит забывать, что меланома бывает не только на коже, но и там, где воздействие ультрафиолета недоступно. Поэтому к другим дополнительным факторам риска относят также случаи меланомы в семье (семейная меланома), большое количество родинок на коже (более 50).
- Каковы профилактические действия для предупреждения меланомы?
- Эффективная профилактика меланомы заключается в двух основных подходах:
1) необходимо уменьшить и ограничить ультрафиолетовое воздействие, как естественного солнечсного света, так и от искусственных источников, например, соляриев;
2) выявить и диагностировать меланому, как можно раньше.
- Какие рекомендации можно дать родителям?
- Это регулярное использование солнцезащитного крема в соответствии с фототипом кожи (всего их 6), даже в пасмурную погоду, как минимум за 10-15 минут до выхода на солнце. Если находитесь на пляже, повторять эту процедуру каждые два часа после плавания.
Необходимо помнить, что нанесение солнцезащитного крема не предусматривает нахождение под солнцем неограниченное время!
Обязательно использовать головные уборы, солнцезащитные очки, хлопковую одежду с длинным рукавом, брюки. Чаще находиться в тени, когда это возможно.
Самые активные лучи с 10.00 до 16.00. Берегитесь ожогов, тяжелые солнечные ожоги, особенно в детском возрасте, повышают риск развития меланомы и других опухолей кожи.
Только один выраженный солнечный ожог может удвоить шансы на развитие меланомы далее в течение жизни!
Дозировано получайте загар в солярии, а также избегайте преднамеренного сильного загара. Некоторые препараты могут повышать чувствительность кожи к солнечному свету и вызывать, тем самым, быстрый загар.
Если вы заметили что-то подозрительное, не бойтесь об этом сказать и показать специалисту.
Читайте также:
