Меланоз токсический ретикулярный - клиника, диагностика, лечение
Добавил пользователь Евгений Кузнецов Обновлено: 28.01.2026
Меланоз токсический ретикулярный - клиника, диагностика, лечение
Синонимы: меланодермия токсическая, меланоз Риля (меланоз военного времени), токсический меланодермит Габермана—Гофмана, сетчатая пойкилодермия Сиватта.
Определение. Меланоз, связанный с интоксикацией углеводородами и фотосенсибилизацией.
Историческая справка. Первые описания заболевания выполнил венский дерматолог Густав Риль (1855—1943) в 1917 г. Во время Первой мировой войны он выявил у 17 пациентов пигментацию кожи (светло- или темно-коричневую). Очаги поражения преимущественно локализовались в области шеи и лица (чаще на лбу, ушах и в области скуловых костей). Пигментация также определялась на груди, но была менее выраженной. Кроме того, изредка отмечались небольшие участки гиперпигментации на руках.
Густав Риль предположил, что развитие меланоза связано с пищевыми изменениями, возникающими в условиях военного времени. В 1919 г. Erich Hoffmann описал меланодермию, при которой определялись фолликулярный гиперкератоз и акнеподобные фолликулиты, располагающиеся преимущественно на разгибательных поверхностях предплечий, кистей и пальцев рук. Их возникновение он связывал с местным действием вредных продуктов.
В 1920 г. R. Habermann считал, что кожу сенсибилизирует дериват антрацена (акридин), пары которого могут находиться в пыли. Акридин сенсибилизирует кожный покров к действию различных раздражителей, в том числе и к УФО. Эти факторы являются причинами развития так называемого меланоза военного времени. В 1923 г. французский дерматолог Achille Civatte (1877—1956) описал пойкилодермию, развивающуюся на открытых участках кожного покрова (лице, шее и верхней части груди) у женщин среднего возраста.
Возникновение заболевания связывалось с фотосенсибилизацией. В настоящее время выделявшиеся ранее как самостоятельные нозологические единицы меланоз Риля, меланодермит Габерманна—Гоффманна и пойкилодермия Сиватта, различия между которыми незначительные и спорные, рассматриваются как одно заболевание.

а - Меланоз токсический ретикулярный у пациента 41 года. Очаги пигментации на лице.
б - Тот же пациент, очаги пигментации на боковой поверхности шеи.
Этиология и патогенез. Развивается в результате длительного контакта с продуктами перегонки нефти, интоксикации фотосенсибилизирующими веществами, контакта с недоброкачественными парфюмерными средствами и т.д. В настоящее время меланоз относят к фототоксическим реакциям. У больных часто выявляется патология ЖКТ. Представляется клиническое наблюдение данного меланоза, который развился на фоне длительного контакта с продуктами перегонки нефти и заболевания ЖКТ.
В 40 лет в области лица и шеи сразу появилось большое количество гиперпигментирован-ных пятен. До возникновения очагов поражения в течение 15 лет пациент находился на должности инженера по заправке топливом военных самолетов. В возрасте 41 года поступил на стационарное лечение в гастроэнтерологическое отделение госпиталя, диагностирован туморозный панкреатит с исходом в панкреонекроз. На основании характера поражения кожи, анамнестических данных и результатов гистологического исследования кожи был диагностирован меланоз токсический ретикулярный.
Клиника. Проявляется возникновением синевато-коричневой пигментации сетчатого характера на открытых участках кожи (лицо, шея, руки), которой обычно предшествует солнечный дерматит. Реже пигментация отмечается на животе, в подмышечных впадинах. На этих же участках почти всегда наблюдаются проявления фолликулярного кератоза, а позднее — зоны едва заметной атрофии. Меланоз Риля встречается преимущественно у женщин 30—50 лет и проявляется пигментацией темно-коричневого или аспидно-серого цвета в области висков с дальнейшим распространении на лоб, щеки и шею. Иногда при меланозе Риля пигментные пятна локализуются на слизистой оболочке щек, определяется желтая окраска конъюнктивы.
Пойкилодермия Сиватта обнаруживается обычно у женщин 30—50 лет с функциональными расстройствами надпочечников или яичников. Пигментация более выражена, чем при меланозе Риля. Первоначальные симптомы (легкий зуд, преходящая эритема) при пойкилодермии Сиватта сменяются симметричными высыпаниями красновато-коричневой окраски на боковых поверхностях шеи с переходом на область нижней челюсти, реже на верхнюю часть груди. Кожа становится сухой с выраженными телеангиэктазиями и едва заметной атрофией. Меланодермия Габерманна—Гоффманна возникает только у мужчин и сочетается, как правило, с недостаточностью надпочечников. Заболевание начинается с поражения тыла кистей и предплечий, в дальнейшем лица.
При меланодермии Габерманна—Гоффманна преобладает диффузная пигментация кожи лица и более выражены воспалительные явления, чем при двух других формах токсического меланоза.
Общие симптомы. Могут присутствовать слабость, головные боли, брадикардия и снижение массы тела.
Гистология. При всех вариантах наблюдают небольшой гиперкератоз, акантоз, истончение мальпигиева слоя. В базальном слое эпидермиса пигмента мало, он скапливается в верхних отделах дермы, располагаясь в хроматофорах и вне их. Разные по величине воспалительные периваскулярные инфильтраты.
Диагноз ставят на основании данных анамнеза, клинических и гистологических признаков.
Дифференцируют с другими меланодермиями, пеллагрой, гемохроматозом.

а - Меланоз токсический ретикулярный у пациента 50 лет.
б - Крупный план очагов поражения.
Течение и прогноз. В течении заболевания выделяют три стадии:
1) эритематозная (преходящая гиперемия, фолликулярная, а затем пятнистая пигментация);
2) пигментации (выраженная сетчатая пигментация, шелушение, фолликулярный гиперкератоз, очажки псевдоатрофии);
3) пойкилодермии (сетчатая пигментация с переходом в сплошную псевдоатрофию, телеангиэктазии).
Лечение. Устранение контакта с фотосенсибилизаторами. Большие дозы аскорбиновой кислоты, витамины В1, В6, В12 и Е, пантотеновая кислота, липотропные средства, гепатопротекторы, энтеросорбенты, наружно — фотозащитные, кератолитические и депигментирующие средства. Примером диагностики и лечения служит следующее клиническое наблюдение.
В 45 лет появились гиперпигментированные пятна на коже лобно-височных областей, которые постепенно распространились на кожу лица и шеи. Пациент в течение 11 лет участвовал в заправке топливом военных самолетов; неоднократно, но без эффекта лечился амбулаторно и стационарно. Диагноз «меланоз токсический ретикулярный» был впервые установлен в возрасте 50 лет в кожно-венерологическом отделении госпиталя на основании клинико-анамнестических данных и результатов гистологического исследования. Гистология — в срезах кожный фрагмент с несколько атрофичным эпидермисом, умеренным гиперкератозом и акантозом. В верхних слоях дермы очаговая инфильтрация преимущественно лимфоцитами и очаги скопления меланина.
Придатки кожи не изменены. Морфологическая картина соответствует меланодермии. Лечение — витаминотерапия (С, В1, В6, В12, в/м, № 10 каждого витамина), плазмаферез (4 процедуры), наружное применение 20% крема «Скинорен» 2 раза в день.

Редактор: Искандер Милевски. Дата обновления публикации: 18.3.2021
Меланоз Дюбрейля
Меланоз Дюбрейля — предмеланомное заболевание кожи, представляющее собой единичное пигментное пятно с неровными очертаниями, располагающееся на открытом участке кожного покрова. Цвет пятна варьирует от светло-коричневого до черного и может быть различным в разных участках пятна. С целью дифференциации меланоза Дюбрейля от других невоидных заболеваний кожи проводится дерматоскопия, цитологическое исследование мазка-отпечатка кожного новообразования. Поскольку меланоз Дюбрейля часто малигнизируется и переходит в меланому, в лечении предпочтительно его полное хирургическое иссечение до здоровых тканей; возможно проведение рентгенотерапии.
Общие сведения
Меланоз Дюбрейля – пигментное образование, являющееся пограничным предмеланомным поражением кожи. Относится к числу меланомоопасных невусов. Меланоз Дюбрейля развивается, как правило, у лиц пожилого возраста. По некоторым данным это заболевание встречается у 3-х человек из 1000 лиц старше 50 лет. Различные авторы приводят цифры, согласно которым меланомы, развившиеся из меланоза Дюбрейля, составляют от 10% до 33% от всех меланом кожи. Частота трансформации заболевания в меланому составляет 35-40%, у некоторых авторов указана цифра 75%. Причинами злокачественного перерождения меланоза Дюбрейля считаются инсоляция, механические, химические и иные травмы новообразования.
Симптомы меланоза Дюбрейля
Заболевание представляет собой плоское единичное пигментное пятно, неровные края которого напоминают географическую карту. В начале заболевания пятно обычно имеет светло-коричневую окраску и диаметр 2-3 см. Постепенно отмечается рост пятна и потемнение его окраски. В результате размеры очага поражения кожи могут достигать 20 см в диаметре. Пятно приобретает неравномерную окраску от коричневого до черного цвета с серыми или синюшными участками. На поверхности пятна могут наблюдаться участки с отсутствием окрашивания, соответствующие зонам спонтанной регрессии заболевания.
Характерна локализация меланоза Дюбрейля — это открытые участки кожи, в основном лицо (нос, щеки, лоб) и шея. В связи с этим некоторые авторы указывают на связь возникновения заболевания с имеющимся у пациента хроническим солнечным дерматитом.
При переходе меланоза Дюбрейля в меланому на участке пигментного пятна обнаруживается уплотнение с папилломатозной поверхностью, происходит изменение цвета пятна (потемнение или осветление), усиливается процесс шелушения, вокруг пятна возникает покраснение, а на его поверхности может появиться эрозирование. Точные причины малигнизации меланоза не установлены. Определенную роль в этом процессе отводят инсоляции и травматизации пораженного участка кожи.
Диагностика меланоза Дюбрейля
Современная дерматология не может применять биопсию кожного образования для диагностики трансформации меланоза Дюбрейля в меланому, поскольку такой метод исследования может стимулировать рост опухоли и ее диссеминацию. Поэтому применяется цитологическое исследование мазка-отпечатка с поверхности образования. Простое снятие отпечатка с поверхности бывает малоинформативно. По этой причине дерматолог перед взятием мазка немного скребет поверхность образования. Диагностическим критерием возникновения меланомного рака кожи является обнаружение в отпечатке атипичных меланоцитов.
В ходе диагностики меланоз Дюбрейля дифференцируют от невуса Ота, участка гиперпигментации, себорейной кератомы, пигментированой базалиомы, пигментного невуса и меланомы.
Лечение меланоза Дюбрейля
В виду большого процента малигнизации заболевания в случае диагностики меланоза Дюбрейля должно проводиться радикальное иссечение всего участка поражения кожи вплоть до здоровых тканей. При этом захватывают 1-2 см неизмененной кожи по всему периметру пятна. Учитывая локализацию процесса на лице, его удаление иногда представляет для хирурга нелегкую задачу и требует применения методов пластической хирургии. При больших размерах пятна и связанных с эти затруднений для его хирургического иссечения может применяться локальное воздействие на образование рентгеновскими лучами, которое часто дает хорошие результаты.
Токсическая меланодермия
Токсическая меланодермия (меланоз Риля) – меланотический профессиональный дерматоз, вызываемый токсическим действием продуктов нефти, каменного угля и фотосенсибилизацией. Особенностью заболевания является возможность возникновения, как на производстве, так и в быту, при использовании печного отопления, обогрева керосином, газом. Дерматоз протекает стадийно, первым проявлением меланодермии становится сетчатая пигментация кожи синевато-коричневого оттенка с последующим развитием кератоза и атрофии. Патология диагностируется клинически с установлением профвредности. Лечение заключается в устранении провоцирующего фактора с подключением витаминотерапии, гепатопротекторов, энтеросорбентов, фотозащиты.
Токсическая меланодермия – одна из редких разновидностей профессионального меланоза, возникающая на фоне интоксикации углеводородами и фотосенсибилизации. В отличие от других профессиональных дерматозов заболевание не обладает возрастными рамками из-за возможности возникновения в быту. Патологический процесс неэндемичен, не имеет возрастных и расовых различий, при этом причиной возникновения всегда является контакт пациента с вредным веществом. Профдерматоз развивается преимущественно в нефтедобывающих и нефтеперерабатывающих странах у рабочих НПЗ, нефтегазовой отрасли. Впервые описание заболевания появилось в дерматологии в 1917 году, когда венгерский врач Г. Риль выявил 17 случаев дерматоза, связав их с лишениями военного времени. Через два года Э. Хоффман предположил, что причина патологических проявлений связана с контактом пациентов с вредными веществами, ещё через год Р. Габерманн доказал, что токсическая меланодермия является результатом воздействия паров пыли, насыщенных акридином.
Французский дерматолог А. Сиватт в 1923 году описал идентичные клинические проявления, связав их с фотосенсибилизацией. С тех пор дерматологи не могут прийти к консенсусу по вопросу, чем являются заболевания с похожей симптоматикой – разновидностями токсической меланодермии или самостоятельными нозологиями. Актуальность темы связана с ростом заболеваемости в результате развития нефтеперерабатывающего комплекса, с экономическими потерями государств в случаях утраты работоспособности пациентами, страдающими данной патологией, нарушением их качества жизни.
Причины токсической меланодермии
Профессиональные триггеры заболевания известны, ими являются вещества, вызывающие фототоксические реакции: продукты нефтеперегонки, недоброкачественная парфюмерия, гиперинсоляция. Имеет значение и внутреннее состояние организма пациента: недостаток витаминов, патология пищеварительного тракта, вредные привычки. Механизм развития до конца не изучен. Считается, что меланогенез в норме является адаптацией организма к изменениям в окружающей среде. При развитии патологических процессов образования меланина в 60% случаев имеет значение чрезмерное ультрафиолетовое излучение, в 20% – беременность и в 20% – эндокринологические нарушения, не связанные с беременностью.
В первом случае кератиноциты, получившие меланин от меланоцитов, выносят его на поверхность в составе роговых клеток, что визуально проявляется пигментацией кожи. Во втором случае гипоталамо-гипофизарная система стимулирует дисперсию и перемещение меланина из меланоцитов в кератиноциты, которые сами по себе деструктированы. Поэтому одновременно с гиперпигментацией кожи наблюдаются гиперкератоз и явления воспаления.
Поскольку кожа гормонозависима, нарушения в гормональной системе вызывают гипермитотическую активность меланоцитов и кератиноцитов эпидермиса, которые, обмениваясь меланином, инициируют воспаление кожи и её гиперпигментацию. Т-лимфоциты при этом дополнительно сенсибилизируют дерму, разрушая её клетки, провоцируя выброс в дерму цитокинов, интерлейкинов, стимулируя процессы воспаления и пролиферации. Так «каскадно» развивается токсическая меланодермия.
Классификация и симптомы токсической меланодермии
Единого мнения о классификации патологического процесса в современной дерматологии не существует. По первичным элементам выделяют узелковую, буллёзную и смешанную меланодермию. Что касается клинических проявлений, то некоторые дерматологи считают вариантами, точнее – разными стадиями развития токсической меланодермии пойкилодермию Сиватта и меланоз Габерманна-Гоффманна, однако большинство авторов придерживаются мнения о самостоятельности этих нозологий. Специалисты полагают, что с учетом механизма развития токсическая меланодермия вместе с пойкилодермией Сиватта и меланозом Габерманна-Гоффманна входит в большую группу меланоза (его токсическую ретикулярную разновидность), и все перечисленные патологии должны рассматриваться как самостоятельные заболевания.
Болезнь развивается медленно. Дерматологи выделяют три стадии клинического течения токсической меланодермии: эритематозную, пигментную, атрофическую. Первичным элементом клинических проявлений патологического процесса является эритема, которая трансформируется в сетчатую буро-синюшную гиперпигментацию в виде небольших пятен, имеющих тенденцию к росту и слиянию, на открытых участках кожного покрова, особенно в области висков. На поверхности пятен появляются кистозно расширенные капилляры в виде мелких шелушащихся узелков. Гиперпигментированная кожа утолщается, кожный рисунок усиливается, образуются пустулы с исходом в атрофию кожи. Иногда в процесс вовлекаются слизистые. Высыпания сопровождаются продромальными явлениями, из-за нарушения обменных процессов пациент теряет вес. Иногда присутствует неинтенсивный зуд.
Диагностика и лечение токсической меланодермии
Диагноз заболевания ставит дерматолог на основании анамнеза (установление причины дерматоза, выявлении профвредности), клинических и гистологических данных: гиперкератоза, акантоза, скопления меланина в эпидермисе, периваскулярного инфильтрата в дерме. Дифференциальный диагноз проводят с другими меланодермиями, гемохроматозом, пеллагрой, пигментными фотодерматитами, болезнью Аддисона, мышьяковой дисхромией. Лечение состоит в устранении причины, вызвавшей патологический процесс, курсовой витаминотерапии с использованием гепатопротекторов и энтеросорбентов, корректировке обменных процессов. Наружно применяют средства фотозащиты, кератолитические, противовоспалительные и отшелушивающие мази, отбеливающие кожу препараты. Показано соблюдение специальной диеты, насыщенной витаминами и минералами. В качестве профилактики проводят регулярные профосмотры на производстве, улучшают условия труда, пациентов с выявленной токсической меланодермией переводят на другую работу вне контакта с профвредностями. Большое значение в профилактике заболевания принадлежит экспертизе трудоспособности.
Меланоз толстой кишки
Меланоз толстой кишки — это доброкачественная обратимая пигментация слизистой толстого кишечника липофусцином. Длительное время протекает бессимптомно. При клинической манифестации проявляется усилением запоров, спастическими абдоминальными болями, метеоризмом и диспепсией. Диагностируется с помощью колоноскопии, гистологического анализа биоптата толстой кишки и обзорной рентгенографии брюшной полости. Лечение предполагает отказ от слабительных антрагликозидов, коррекцию рациона и физической активности, применение солевых слабительных, производных полиэтиленгликоля, пребиотиков, пробиотиков, прокинетиков, миотропных спазмолитиков и ферментных препаратов.
МКБ-10
Толстокишечный меланоз является одним из проявлений лаксативной болезни — патологического состояния, возникающего при длительном приеме слабительных средств антрагликозидной группы. Пигментация толстой кишки впервые упоминается в трудах французского врача и патологоанатома Ж. Крювелье в 1829 году. Признаки состояния и его связь с приемом антрагликозидов описаны в 1933 году группой исследователей под руководством американского гастроэнтеролога Г.Л. Бокуса. Распространенность меланоза составляет от 0,04 до 11,2%. Пигментированная толстая кишка выявляется преимущественно у женщин пожилого возраста, страдающих хроническими запорами и синдромом раздраженного кишечника.
Причины
Развитие меланоза толстой кишки связано с нарушением пигментного обмена и накоплением в слизистой оболочке липофусцина. Специалисты в сфере современной проктологии выделяют ряд предрасполагающих и производящих факторов, способствующих возникновению гиперпигментации толстого кишечника. В качестве основных причин и предпосылок меланоза рассматриваются:
- Длительный прием слабительных. Наиболее часто пигментация толстокишечной стенки связана со злоупотреблением антрагликозидами. Предположительно средства этой группы повреждают эпителиоциты, а при фагоцитозе разрушенных эпителиальных клеток в цитоплазме макрофагов накапливаются гранулы липофусцина. Дополнительным фактором становятся нейрорегуляторные нарушения из-за кумуляции антрагликозидов в ганглиях.
- Запоры. Замедление пассажа каловых масс по толстой кишке сопровождается дисбиотическими процессами, уплотнением кишечного содержимого, накоплением в кишечнике токсичных метаболитов. Механическое и химическое раздражение эпителия вызывает воспалительно-деструктивные изменения слизистой с компенсаторным усилением фагоцитоза. Кроме того, хроническая обстипация — распространенная причина приема антрагликозидов.
- Болезни печени и поджелудочной железы. Вероятность развития меланоза повышается у пациентов со снижением панкреатической секреции и выделения желчи. Недостаточное переваривание жиров способствует нарушению процессов пристеночного пищеварения и изменению химического состава химуса. На фоне мальабсорбции и мальдигестии возрастает риск кишечного дисбиоза, воспалительного повреждения эпителиоцитов, угнетения моторики кишечника.
- Злокачественные опухоли толстой кишки. По данным исследований, пигментация кишечной стенки особенно выражена в участках, которые расположены проксимальнее неоплазии. Предположительно возникновение меланоза при раке толстого кишечника обусловлено длительной задержкой каловых масс над опухолью, накоплением токсинов и продуктов распада клеточных элементов, их активным фагоцитированием макрофагами стенки толстой кишки.
Патогенез
Механизм развития толстокишечного меланоза продолжает уточняться. Наиболее обоснован подход, согласно которому меланиноподобный пигмент образован фагоцитированными компонентами митохондрий и других клеточных органелл погибших эпителиоцитов. Гранулы химически и биологически инертного липофусцина накапливаются в лизосомах и цитоплазме макрофагов, переваривающих остатки разрушенного эпителия. Некоторые авторы считают важным звеном патогенеза меланоза толстой кишки дистрофию слизистой из-за дегенеративных изменений в ганглиях, накапливающих антрагликозиды.
При морфологическом исследовании биоптата кишечной стенки липофусцин выявляется как макрофагах, так и во внеклеточных скоплениях, возникших в результате гибели фагоцитирующих клеток. На начальных этапах меланоза пигментируются основания кишечных крипт, при умеренно выраженном процессе — кишечные ворсины, при тяжелом — подслизистый и мышечный слои. Первыми поражаются проксимальные отделы кишечника, где, в основном, метаболизируются антрагликозиды, после чего процесс распространяется в дистальном направлении.
Симптомы
У большинства пациентов дисколорация кишечной слизистой характеризуется бессимптомным течением, поскольку на начальных стадиях происходит незначительное накопление пигмента, не влияющее на работу кишечника. В случае клинической манифестации лаксативной болезни основным проявлением меланоза толстой кишки является усиление обстипационного синдрома. Частота дефекаций у пациентов составляет менее 2 раз в неделю. На высоте запора могут возникать спазмы и боли в левых отделах живота, метеоризм без отхождения газов.
При пальпации обнаруживается болезненность в нисходящем отделе толстой кишки. При диффузном характере меланоза у больных появляется чрезмерная пигментация кожных покровов и видимых слизистых оболочек. В случае осложненного течения заболевания развиваются диспепсические симптомы: тошнота, рвота, снижение аппетита. Также могут наблюдаться другие признаки, обусловленные наличием сопутствующей патологии ЖКТ. Общее состояние больных длительное время остается удовлетворительным.
Осложнения
При выраженных проявлениях меланоза и наличии основной органической патологии возможно формирование обтурационной непроходимости толстой кишки с характерной триадой симптомов — отсутствием стула, многократной рвотой с каловым запахом и задержкой газов. Это состояние требует оказания неотложной медицинской помощи, поскольку может приводить к некрозу участка кишечника с развитием перитонита. При длительном течении меланоза возникает каловая интоксикация, которая протекает с резким ухудшением общего состояния.
Хронические запоры сопровождаются изменением нормальной микрофлоры толстой кишки, избыточным размножением патогенных микроорганизмов. При этом у больных развивается колит или энтероколит, сопровождающийся интенсивными болями в животе, чередованием запоров и диареи, повышением температуры тела. Мнение некоторых экспертов о том, что меланоз повышает риск развития колоректального рака, признано ошибочным после проведения доказательных исследований.
Диагностика
В большинстве случаев меланоз толстой кишки становится случайной находкой во время эндоскопического обследования ЖКТ по поводу других заболеваний. Заподозрить наличие данной патологии следует при появлении типичных симптомов после длительного употребления слабительных препаратов. Для диагностики болезни преимущественно используют инструментальные исследования. Наиболее информативными являются следующие методы:
- Эндоскопия толстого кишечника. Визуализация кишечной стенки при помощи гибкого эндоскопа считается основным методом диагностики, поскольку позволяет обнаружить типичные для меланоза макроскопические изменения. В ходе колоноскопии обычно определяется темно-коричневая мозаичная пигментация участка кишки, которая чередуется с тонкими желтыми полосами (сосудами и лимфатическими фолликулами).
- Рентгенологическое исследование. Обзорная рентгенограмма брюшной полости выполняется для изучения состояния пищеварительного тракта, выявления признаков органических заболеваний. При меланозе видимые патологические изменения чаще отсутствуют. Также проводится ирригоскопия с контрастированием, в ходе которой обнаруживается незначительное изменение рельефа толстой кишки.
- Морфологический анализ кишечной стенки. Забор материала из патологически измененного участка слизистой с последующим гистологическим исследованием производится для дифференциальной диагностики заболевания. При меланозе в образцах тканей, полученных методом эндоскопической биопсии толстой кишки, в цитоплазме одноядерных макрофагов и внеклеточно определяются включения липофусцина.
В общем и биохимическом анализах крови все показатели в пределах нормы. В копрограмме может выявляться небольшое количество слизи, непереваренных мышечных волокон, зерен крахмала. Для исключения кровотечений из пищеварительного тракта проводят анализ кала на скрытую кровь. В случае подозрения на дисбактериоз толстой кишки выполняют бактериологический посев каловых масс.
В первую очередь меланоз необходимо дифференцировать с синдромом раздраженной кишки. Основными диагностическими критериями являются гиперпигментация при колоноскопии и наличие включений липофусцина в биоптате. Также обращают внимание на анамнез (прием слабительных более 2 месяцев). В редких случаях осуществляют дифференциальную диагностику с колоректальным раком (основной критерий – отсутствие атипичных клеток в гистологическом анализе биоптатов). Кроме наблюдения у проктолога пациенту могут быть рекомендованы консультации гастроэнтеролога и онколога.
Лечение меланоза толстой кишки
Специальные методы терапии заболевания отсутствуют. Ключевым моментом в лечении является устранение фактора, вызвавшего пигментацию кишечной стенки. Обычно после отмены антрагликозидов нормальный цвет слизистой восстанавливается в течение 4-12 месяцев. При этом основное внимание уделяется таким альтернативным способам обеспечения регулярного стула, как:
- Диетотерапия. Рекомендовано частое дробное питание с исключением жирного мяса, цельного молока, сладостей, выпечки из муки высшего сорта, крепкого чая и кофе. Благоприятное воздействие на пассаж кала оказывают блюда из круп, овощей, фруктов, ягод, нежирных кисломолочных продуктов и растительных масел. Важно употребление достаточного количества воды.
- Физические упражнения. Лечебная гимнастика — эффективный немедикаментозный метод восстановления регулярной дефекации при отсутствии органических причин запора (долихоколона, болезни Гиршпрунга, объемных новообразований толстой кишки). Ускорению кишечной перистальтики способствуют упражнения для брюшного пресса, дополненные самомассажем.
При упорных запорах растительные слабительные, содержащие антрагликозиды, с учетом клинической картины заменяют медикаментами других групп — осмотическими средствами (солевыми слабительными, пребиотиками, производными полиэтиленгликоля), прокинетиками и миотропными спазмолитиками. Для нормализации пищеварения дополнительно могут применяться панкреатические энзимы, компоненты желчи, пробиотики. Обратное развитие меланоза при анатомических изменениях толстой кишки, как правило, наступает после хирургической коррекции основного заболевания.
Прогноз и профилактика
Прогноз при меланозе толстого кишечника благоприятный, у всех пациентов наблюдается исчезновение патологических признаков после отказа от антрагликозидов и лечения основной патологии. Для профилактики толстокишечной пигментации рекомендовано следить за своевременностью опорожнения кишечника, избегать длительного бесконтрольного приема слабительных препаратов растительного происхождения, осуществлять адекватную терапию толстокишечной патологии. При появлении неприятных симптомов следует немедленно обратиться к проктологу.
2. Случай меланоза толстого кишечника (клинический случай) / Орлинская Н.Ю., Бедерина Е.Л., Косолапов А.Г., Яшков С.В., Рыжов М.К. // Медицинский альманах – 2014.
Врождённый меланоцитарный невус - симптомы и лечение
Что такое врождённый меланоцитарный невус? Причины возникновения, диагностику и методы лечения разберем в статье доктора Вавилова Артема Сергеевича, детского хирурга со стажем в 7 лет.
Над статьей доктора Вавилова Артема Сергеевича работали литературный редактор Вера Васина , научный редактор Владимир Горский и шеф-редактор Маргарита Тихонова
Определение болезни. Причины заболевания
Врождённый меланоцитарный невус (Congenital melanocytic naevus) — это доброкачественное разрастание невусных клеток на коже. Развивается внутриутробно или в первые месяцы жизни [51] .
Если невус появился позже, но до двухлетнего возраста, его называют поздним врождённым невусом [32] .

Невусные клетки — это разновидность меланоцитов, которые отличаются от обычных пигментных клеток кожи двумя свойствами:
- клетки невуса группируются, а меланоциты распределяются в коже равномерно;
- у невусных клеток (за исключением синих невусов) нет дендритных отростков, по которым в обычных меланоцитах перемещается меланин — так он распределяется в коже и окрашивает её [36] .
Распространённость
Врождённые меланоцитарные невусы встречаются у 1–3 % детей, крупные или гигантские — примерно у одного из 20–50 тыс. новорождённых [1] [2] [51] .
Причины появления невусов
Причины появления врождённых меланоцитарных невусов до конца не изучены. Предполагается, что они образуются из-за морфологических нарушений в нейроэктодерме — эмбриональном зачатке, из которого развивается нервная трубка. Эти нарушения приводят к бесконтрольному росту меланобластов, которые в дальнейшем преобразуются в невусные клетки [39] .
При обнаружении схожих симптомов проконсультируйтесь у врача. Не занимайтесь самолечением - это опасно для вашего здоровья!
Симптомы врождённого меланоцитарного невуса
Невусы обычно маленького или среднего размера, но могут достигать и 60 см в диаметре. Их цвет варьирует от жёлто-коричневого до чёрного, границы неоднородные. Для невусов характерен «географический» контур, т. е. их форма напоминает материки на карте.

Чаще они единичные, могут возникать на любых участках кожи. На многих врождённых невусах растут густые тёмные и жёсткие волосы.

Большие и гигантские образования часто окружены более мелкими — сателлитными невусами, или невусами-спутниками.
Обычно невусы какими-либо симптомами, кроме внешнего дефекта, не проявляются, но иногда может возникать зуд. Предполагается, что он связан с раздражением нервных волокон, по которым импульсы от кожи передаются в центральную нервную систему.
К особенностям меланоцитарных невусов относится пигментная сеть, очаги ослабления окраски и сгущения рисунка, глобулы и/или диффузная коричневая пигментация. Глобулами называют округлые включения с чёткими границами коричневого, серо-коричневого, чёрного и других цветов, за исключением красного.
В отличие от приобретённых, врождённые невусы глубже проникают в дерму и подкожные ткани, что может приводить к серьёзным осложнениям [5] .
Патогенез врождённого меланоцитарного невуса
Врождённые меланоцитарные невусы развиваются между 5-й и 24-й неделями беременности. Считается, что они образуются из-за ускоренного роста меланоцитарных клеток. Чем раньше начинается этот процесс, тем больше и глубже будет невус [40] .
Врождённые невусы растут пропорционально развитию ребёнка, поэтому можно спрогнозировать, какого размера они достигнут к взрослому возрасту.
Рост невусов зависит от их расположения:
- на голове — увеличиваются в 1,7 раза;
- на туловище и руках — в 2,8 раза;
- на ногах — в 3,3 раза [7] .
Быстрее всего невусы растут в первый год жизни ребёнка [8] . Помимо размера, у них меняется цвет и форма: изначально невусы плоские и равномерно окрашенные, но со временем приподнимаются над кожей, их поверхность становится похожа на гальку или приобретает бородавчатую структуру; они могут стать темнее или светлее, пятнистыми или в крапинку [9] .
Невусы часто травмируются, что снижает защитные свойства кожи. Кроме того, при развитии осложнений, например нейрокожного меланоза, может нарушаться работа других органов.
Классификация и стадии развития врождённого меланоцитарного невуса
Врождённые меланоцитарные невусы классифицируют в зависимости от диаметра, которого они могут достигнуть к зрелому возрасту пациента.
Выделяют четыре группы невусов:

Для новорождённых большими считаются невусы от 9 см на голове и больше 6 см на теле.
Также невусы классифицируют по количеству окружающих их мелких образований (satellite — спутник, сателлитных невусов):
Осложнения врождённого меланоцитарного невуса
Врождённые невусы могут осложняться меланомой, нейрокожным меланозом и другими более редкими болезнями.
Меланома
Меланома — это раковая опухоль кожи, которая возникает из меланоцитов. На злокачественное перерождение невуса указывают его быстрый рост, изменение окраски, изъязвление, растрескивание, шелушение, зуд, боль, кровотечение, появление узелков, бляшек и неподвижность тканей, которая возникает из-за прорастания невуса в более глубокие слои кожи.
Меланома чаще возникает у пациентов с гигантскими невусами на спине и многочисленными невусами-спутниками. Реже она развивается при невусах, расположенных на голове, руках и ногах.
К факторам риска развития меланомы относятся:
- наличие множественных атипичных невусов и меланома у членов семьи;
- пигментная ксеродерма (повышенная чувствительность кожи к ультрафиолету);
- большие и гигантские невусы;
- множественные приобретённые пигментные и атипичные невусы;
- сниженный иммунитет [28][29] .
Риск развития рака при малых и средних врождённых невусах составляет менее 1 % в течение всей жизни, при больших и гигантских — 2–5 % [3] [10] [11] .
Американские исследователи изучили, как часто развивается меланома при гигантских врождённых невусах: из 289 пациентов она возникла у 67.
- в 50,7 % — на невусах;
- в 3 % — на нормальных участках кожи;
- в 31,3 % — в центральной нервной системе.
В 15 % меланома была метастазами опухоли из неустановленного первичного очага. Около половины меланом выявили у детей младше 5 лет [41] .
При больших и гигантских невусах меланома может развиваться под эпидермисом (из-за чего её трудно обнаружить на ранних сроках), поэтому важно прощупывать (пальпировать) всю поверхность невуса.
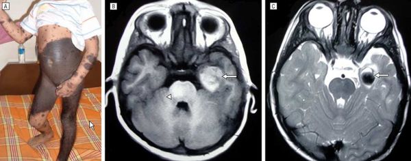
Нейрокожный меланоз
В редких случаях развивается нейрокожный меланоз — заболевание, при котором меланоциты разрастаются в центральной нервной системе. К таким нарушениям может приводить мутация гена BRAF [50] .

Факторы риска развития нейрокожного меланоза:
- гигантский невус на спине (более 40 см);
- множественные невусы-спутники — чем их больше, тем выше риск;
- более двух средних невусов, особенно если помимо них много других невусов.
Болезнь тяжелее переносят дети младше 10 лет.
В исследовании американских учёных меланоз диагностировали у 26 из 379 пациентов с большими врождёнными невусами [12] . Заболевание может протекать без симптомов и случайно выявляться при МРТ, но в некоторых случаях оно сопровождается неврологическими нарушениями:
- головной болью, вялостью и рвотой;
- отёком диска зрительного нерва;
- параличом черепно-мозговых нервов и судорогами;
- увеличением окружности головы;
- нарушением координации;
- задержкой или недержанием мочи и кала.
Неврологические симптомы могут развиться из-за кровоизлияния в желудочки головного мозга, нарушения циркуляции спинномозговой жидкости, сдавления спинного мозга или злокачественного перерождения меланоцитов [3] [14] .
Симптомы появляются примерно в двухлетнем возрасте. Прогноз чаще неблагоприятный, даже если нет злокачественных новообразований [15] . В одном обзоре были изучены 39 случаев симптоматического нейрокожного меланоза: более половины пациентов погибли в течение трёх лет после появления неврологических нарушений [34] .
Другие осложнения
В очень редких случаях при больших невусах могут развиться рабдомиосаркома, липосаркома и злокачественные опухоли оболочек периферических нервов [20] .
Диагностика врождённого меланоцитарного невуса
Пациентам с малыми и средними невусами нужно раз в год посещать врача. Регулярное наблюдение поможет оценить, насколько изменился размер невуса и его структура. Для этого сравнивают фотографии или данные дерматоскопии.

Невусы чаще перерождаются в злокачественную опухоль после полового созревания, поэтому следует более тщательно наблюдать за кожей в этот период. Пациентам и их родителям нужно обращать внимание на изменение цвета невуса, его границ и структуры, следить за появлением новых образований.
Диагностика среднего, большого или гигантского невуса обычно не вызывает трудностей и основывается на клинических проявлениях и истории болезни. Если анамнез неизвестен, небольшие врождённые невусы легко спутать с приобретёнными.
Отличия можно выявить при биопсии: клетки невуса расположены глубоко в дерме, подкожном жире и сосудисто-нервных структурах, например в стенках кровеносных сосудов, могут проникать между пучками коллагена и встречаться под эпидермисом. Биопсия проводится при подозрении на злокачественное перерождение невуса [5] [37] [38] .
Исследовательский комитет Nevus Outreach разработал диагностическую модель для детей с врождёнными невусами (от 3 см) или невусами-спутниками (от 20 невусов). Методика создана ведущими экспертами в этой области, но она не заменит рекомендаций лечащего врача, так как не учитывает индивидуальные особенности пациента и течение болезни.
План обследования:
- МРТ головного и спинного мозга с контрастированием гадолинием и дальнейшая оценка результатов в экспертном центре.
- Консультации детских врачей:
- офтальмолога — поскольку меланоцитарные поражения могут развиваться на сетчатке;
- невролога — чтобы выявить или исключить симптомы нейрокожного меланоза;
- дерматолога — оценить состояние кожи и её изменения;
- пластического хирурга — определить, нужна ли операция.
- аудиологический скрининг при подозрении на нейрокожный меланоз, так как при болезни нарушается слух;
- консультация детского психолога (даже при бессимптомном течении) [48] .

МРТ головного и спинного мозга с контрастированием гадолинием обязательна для детей с высоким риском меланоза и неврологическими симптомами. В некоторых исследованиях при высоком риске меланоза рекомендовано делать МРТ в первые полгода жизни, даже если нет неврологических симптомов [15] .
Если большой невус расположен вдоль позвоночника или его окружают многочисленные невусы-спутники, МРТ проводят до четырёхмесячного возраста [35] .
Дифференциальная диагностика
Средние и большие врождённые невусы следует отличать от плексиформной нейрофибромы, а малые — от гамартомы гладких мышц и мастоцитомы.
Лечение врождённого меланоцитарного невуса
При врождённых невусах применяется хирургическое и медикаментозное лечение, лазерная терапия и другие методы.
Хирургическое лечение
Большие невусы рекомендуется удалять в раннем детстве — это поможет избежать эмоциональных и поведенческих нарушений у ребёнка. Такие дети из-за внешних отличий могут считать себя хуже других и избегать сверстников. Кроме того, они могут столкнуться с травлей со стороны других детей.
Однако не все невусы можно полностью удалить. Если они занимают большую площадь и дефект нельзя закрыть здоровыми тканями, то операция не проводится, либо участки невуса иссекаются частично.
Объём операции зависит от расположения невуса и глубины поражения. Её необходимость при больших и гигантских невусах считается спорной. Многие специалисты предлагают удалять наиболее неоднородные, толстые или грубые участки невуса, которые затрудняют клиническое наблюдение [45] [46] . Зачастую оптимальный выбор — это тщательно наблюдать за невусом, не проводя операцию.
Единственное абсолютное показание для хирургического лечения — это развитие злокачественной опухоли в очаге поражения. Но даже при полном иссечении больших и гигантских невусов риск онкологии сохраняется, так как меланоциты могут проникать в глубоколежащие ткани: мышцы, кости и нервную систему.
После операции могут возникать следующие осложнения: контрактуры, серомы, гематомы, инфекции мягких тканей, ишемия кожных лоскутов, расхождение швов и образование келоидных рубцов. Гематомы, серомы и ишемия лоскутов появляются сразу после операции, келоидные рубцы формируются позже, в среднем в течение первого года.
Другие методы лечения
Внешний дефект можно уменьшить с помощью кюретажа, дермабразии и лазерной терапии. Методы более эффективны в раннем детстве, поскольку невусные клетки у ребёнка расположены в верхних слоях кожи [21] [22] . После процедур эти клетки остаются в дерме и со временем пигментация частично возвращается. В некоторых случаях на таких участках развивается меланома, но связь с проведённым лечением не доказана [23] [24] [25] [26] [27] .
Противопоказания для данных процедур индивидуальны. Как правило к ним относятся местные нарушения: изъязвление, растрескивание, шелушение, узелки, неподвижность тканей и кровотечение.
Медицинские осмотры после операции
Независимо от проведённого лечения, пациентам с большими врождёнными невусами нужно раз в год проходить медицинский и дерматологический осмотр. Также необходимо проводить пальпацию невуса и рубцов, возникших после его удаления. Если обнаружены узелки или другие подозрительные уплотнения, показано гистологическое исследование, т. е. изучение образцов ткани.
Прогноз. Профилактика
При врождённных невусах может возникать сильная боль и зуд, сухость кожи и недостаточное потоотделение. Косметический дефект может привести к социальной дезадаптации.
Прогноз наиболее благоприятен, если нет факторов риска меланоза: гигантских невусов на спине, многочисленных невусов-спутников, более двух средних невусов.
Если в гигантском врождённом меланоцитарном невусе возникла меланома, то прогноз неблагоприятный [42] . Меланома растёт в дерме, поэтому её трудно обнаружить. Кроме того, клетки опухоли могут распространяться через крупные кровеносные и лимфатические сосуды, из-за чего достаточно быстро появляются метастазы [42] .
Прогноз при нейрокожном меланозе с неврологическими нарушениями тоже неблагоприятный: более половины детей погибают в течение трёх лет после появления симптомов и 70 % — до 10-летнего возраста [18] [34] [43] .
Профилактика врождённого меланоцитарного невуса
Специфической профилактики врождённых невусов не существует. Будущим родителям рекомендуется соблюдать общие правила здорового образа жизни: не курить и не пить алкоголь, полноценно питаться, по возможности не находиться в неблагоприятных экологических зонах.
При планировании и во время беременности женщинам нужно придерживаться рекомендаций Всемирной организации здравоохранения:
- предупреждать возникновение инфекционных заболеваний;
- устранять очаги хронической и острой инфекции до наступления беременности;
- во время беременности не допускать воздействия опасных веществ — солей тяжёлых металлов, пестицидов и др. [47]
Чтобы своевременно выявить злокачественное перерождение невуса, нужно регулярно посещать дерматолога или онколога и проходить дерматоскопическое обследование. Особенно пристально следует наблюдать за большими и гигантскими образованиями. Посещать доктора нужно, даже если невус уже удалён.
Детям с высоким риском развития нейрокожного меланоза необходимо находиться под постоянным наблюдением: им регулярно измеряют окружность головы, проводят неврологическое обследование и оценивают уровень развития [3] [12] [13] .
Читайте также:
- Инкубационный период ротавирусной инфекции. Когда нет риска?
- МРТ-артрограмма при повреждении задней суставной губы лопатки
- Обследование носа и придаточных пазух. Рекомендации
- Злоупотребление лекарствами при нервной аноресии и булимии
- Рак желчных протоков: симптомы и стадии рака желчных протоков, опухоль желчных протоков
