Менингиома - варианты, прогноз
Добавил пользователь Валентин П. Обновлено: 08.01.2026
Нейрохирургия менингиомы - симптомы, диагностика, лечение
Менингиомы возникают из арахноидальной оболочки головного мозга и могут быть расположены в любом месте по его поверхности, а также в желудочках. Они классифицируются по системе ВОЗ.
К I степени относится 80% всех менингиом. Существует, по меньшей мере, девять гистологических подтипов, которые, однако, не отличаются в отношении прогноза.
Менингиомы II степени (атипичные менингиомы) имеют более высокую клеточность и повышенную пролиферативную активность, и, как правило, более высокий уровень рецидива.
Менингиомы III степени (анапластические менингиомы, папиллярные менингиомы) — агрессивные злокачественные опухоли со склонностью к метастазированию.
Генетически было установлено, что делеция хромосомы 22 или потеря всей хромосомы приводит к раннему возникновению заболевания. Генетическое развитие более агрессивных типов возможно с течением времени при неоднократных рецидивах, но это не является правилом, как при астроцитомах и считается редким состоянием.
а) Эпидемиология менингиом. Менингиомы чаще возникают у женщин (2,5:1). Как правило, они встречаются в старшей возрастной группе с пиком заболеваемости на шестом десятилетии и более. В детском возрасте также выявляются менингиомы, но они, как правило, встречаются чаще у мальчиков и имеют преимущественное расположение в желудочках. В Европе эпидемиологическая информация о менингиомах ограничена, однако возможна экстраполяция данных из североамериканских региональных реестров и баз данных.
Многие пациенты могут прожить почти нормальную жизнь с этим заболеванием, но обязательно должны находиться под непрерывным наблюдением.
Ионизирующее излучение является наиболее значимым определяющим фактором, связанным с этиологией менингиом. Наследственный компонент также обсуждается и, безусловно, присутствует у пациентов с нейрофиброматозом 2 типа.
б) Симптомы менингиом. Менингиомы проявляются широким спектром симптомов. В зависимости от расположения они вызывают припадки (височная, перироландовая), очаговые неврологические дефициты, симптомы окклюзионной гидроцефалии, нарушения зрения или поведенческие расстройства (большие фронтобазальные опухоли). Многие менингиомы протекают бессимптомно и обнаруживаются случайно.
Не существует никаких конкретных неврологических симптомов или синдромов, связанных с менингиомами.
в) Осложнения менингиом:
1. Гормональное влияние. Менингиомы наиболее часто встречаются у женщин, и пока еще не решен вопрос, как повышение уровня блокирования рецепторов стероидных гормонов влияет на биологическое поведение менингиом. Поэтому ведутся дискуссии о роли заместительной гормональной терапии у женщин в постменопаузе в отношении роста, развития или рецидива менингиомы.
2. Беременность. При беременности может произойти быстрый рост опухоли, который может вызвать внутриопухолевое кровоизлияние, являющееся угрозой для матери и плода.
3. Инсульт. Компрессия опухолью сонной артерии и последующий стеноз или даже полная обструкция может привести к инсульту.
4. Вовлечение зрительного нерва. Вовлечение в патологический процесс зрительного нерва приводит к слепоте.
5. Компрессия спинного мозга. Менингиомы краниовертебрального перехода, оставаясь незамеченными в течение длительного времени, могут привести к острой параплегии при хлыстовой травме.
6. Метастазы рака. Возможно, в связи с нерешенным вопросом гормонального влияния на развитие и рост менингиомы, существует взаимосвязь с метастазированием рака молочной железы. Таким образом, при любой случайно обнаруженной менингиоме у женщины с раком молочной железы имется еще одна причина для ее удаления.

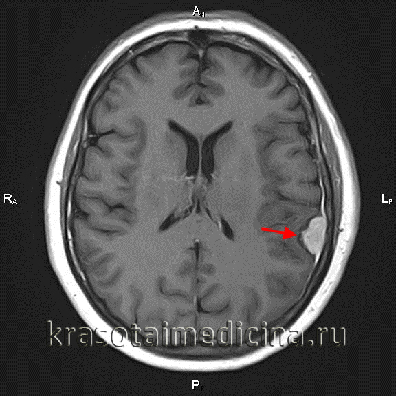
Женщина (31 год) на 32-й неделе беременности с потерей сознания
и последующим генерализованным припадком перенесла экстренное удаление опухоли в сочетании с кесаревым сечением.
г) Диагностика менингиомы. При подозрении на менингиому в настоящее время обязательно использование нейровизуали-зационных методов, в первую очередь МРТ, так как при ней можно получить соответствующую информацию во всех трех плоскостях, что в свою очередь позволяет оценить вовлечение соседних структур, таких как венозные синусы или черепные нервы. Менингиомы имеют однородный сигнал и, как правило, прилежат широким основанием к твердой мозговой оболочке конвекситальной поверхности или основания черепа. Они могут содержать кальцификаты, которые можно выявить при КТ. Наличие перифокального отека обычно свидетельствует о нарушени целостности паутинной оболочки и вовлечении вещества мозга.
Перифокальный отек особенно характерен для секреторных менингиом. МР-спектроскопия может дать дополнительные данные.
Ангиография больше не является частью рутинного обследования при менингиомах. При ее выполнении по определенным причинам, как правило, выявляется источник кровоснабжения из наружной сонной артерии. Если источником крови служит внутренняя сонная артерия, должны быть рассмотрены другие дифференциальные диагнозы: либо более злокачественный вариант менингиомы, например папиллярная или менингосаркома, либо гемангиоперицитома.
д) Лечение менингиомы. Лечение при менингиоме в основном хирургическое. Большинство опухолей возможно и необходимо резецировать максимально радикально, степень радикальности оценивается в соответствии с системой классификации по Симпсону. Некоторые менингиомы радикально удалить невозможно (в основном опухоли основания черепа), поэтому лечение складывается из комбинации хирургического и радиохирургического метода.
1. Консервативное лечение. Инцидентальные менингиомы, окончательно определенные как бессимптомные после тщательного изучения анамнеза, можно наблюдать с помощью нейровизуализации через определенные интервалы времени, составляющие шесть месяцев у лиц молодого возраста и до одного года у пациентов старше 70 лет. Дальнейшие интервалы корректируются в соответствии с характеристиками роста. Такая тактика не касается случайно выявленных менингиом, расположенных в области турецкого седла, которые еще не вызвали симптомы, но смещают и сдавливают хиазму; то же относится и к менингиомам в задней черепной ямке. При этом рекомендуется раннее лечение.
При бессимптомных менингиомах в течение длительного времени может быть достигнута стабилизация заболевания. Особое внимание должно быть уделено в перименопаузальный период, во время которого опухоль может начать расти.
Профилактика противосудорожными препаратами может быть необходима у некоторых пациентов с симптоматической эпилепсией. Профилактика проводится, пока опухоль остается на месте и вызывает судорожную активность.
Радиохирургия имеет важную роль в лечении остаточных опухолей основания черепа, либо в качестве первичного лечения изолированной менингиомы кавернозного синуса или при менингиоме оболочек зрительного нерва. Часто радиохирургия сочетается с хирургическим лечением с соблюдением допустимых пределов.
Эндоваскулярная эмболизация в качестве отдельного метода не нашла применения в клинической практике. Она может быть использована до операции в отдельных случаях.
2. Хирургическое лечение. Роль хирургического лечения менингиом хорошо известна. Резекция менингиомы со степенью I по Симпсону должна привести к окончательному излечению в большинстве случаев.
Принципы резекции стандартизированы и включают микрохирургию, минимальную инвазивность, навигацию и при необходимости интраоперационный мониторинг. Парадигма заключается в максимальной радикальности, вплоть до наложения интракраниальных вставок при необходимости или неизбежности повреждения черепных нервов. Кроме того, сложная локализация на основании черепа может потребовать междисциплинарного подхода с участием челюстно-лицевых хирургов, офтальмологов и ЛОР-специалистов для определения возможной зоны резекции. «Неоперабельные» части опухоли могут быть оставлены для дальнейшего наблюдения. Они могут оставаться неизменными в течение многих лет. При четко документированном рецидиве или продолженном росте опухоли пациенту должна быть предложена лучевая терапия, с совместным планированием радиолога и нейрохирурга.
- Резекция конвекситальных менингиом. Разрез планируется так, чтобы была доступна вся область опухоли. Пораженная твердая мозговая оболочка удаляется вместе с опухолью и замещается надкостничным лоскутом.
- Резекция менингиом крыльев клиновидной кости. Как правило, используется птериональный доступ с разведением сильвиевой борозды. Удаляется экзофитная часть, в том числе ТМО, кость резецируется насколько это возможно, иногда с удалением боковых стенок глазницы и стенки верхней глазничной щели. При реконструкции используют метилметакрилат или титановую сетку и надкостницу.
- Парасагиттальные и фалькс-менингиомы. Доступ к синусу планируется достаточно далеко по бокам с обеих сторон опухоли, так чтобы межполушарное пространство было доступно с обеих сторон. В случае облитерации синуса после удаления экзофитной части опухоли синус пересекается по переднему и заднему краю опухоли, инфильтрированная часть, включая и часть серпа, иссекается. При отсутствии вовлечения нижнего сагиттального синуса его следует сохранить, поскольку он может служить важной составляющей вновь сформированного канала венозного оттока. В случае поражения только наружной оболочки синуса опухоль отделяется острым путем, после чего кровотечение останавливается коагуляцией.
Если опухоль инфильтрирует всю стенку и после удаления ожидается формирование слишком большого дефекта, зона инфильтрации не иссекается и в дальнейшем наблюдается. В случае продолженного роста возможны два альтернативных подхода. Можно подождать, пока синус облитерируется, что обычно происходит медленно, с формированием достаточных коллатералей. Затем остаточную часть опухоли можно резецировать блоком. Другой, менее предпочтительный подход,—лучевая терапия.
- Фронтобазальные менингиомы. Доступы различаются в зависимости от объема и локализации, от небольшой фронтобазолатеральной краниотомии и до большого птерионального, орбитозигоматического и даже бифронтального трансбазального доступа. Большинство расположенных над турецким седлом менингиом и ольфакторных менингиом можно удалить через птериональный доступ. Чтобы минимизировать частоту рецидивов при коагуляции и удалении инфильтрированной ТМО необходима педантичность. При распространении в зрительный канал необходимо его открытие для мобилизации нерва и удаления пораженной оболочки.
В случае компрессии нервов любые манипуляции с нервными структурами должны быть минимальными, а опухоль постепенно уменьшена в размере изнутри для постепенной декомпрессии нервных структур. Большие ольфакторные менингиомы могут проникать в основание черепа, вызывая необходимость пластики костным трансплантатом, сформированным из кортикального слоя конвекситальной поверхности черепа.
3. Дополнения к хирургической резекции:
- Предоперационная эмболизация. Имеет значение только в тех случаях, когда области, затрагиваемые на позднем этапе операции, имеют интенсивное кровоснабжение. Описано несколько случаев применения данной методики. После ее проведения возможно набухание опухоли, что особенно опасно в тех случаях, когда уже присутствует компрессия ствола мозга или при больших бифронтальных или височных менингиомах, которые уже вызвали значительный перифокальный отек.
- Радиохирургия. Радиохирургия в основном используется в сочетании с хирургическим лечением, иногда в качестве первичного метода. В последние десятилетия достигнуты значительные успехи в данной области, а излучение высокой интенсивности может быть безопасно даже в очень критических областях, таких как кавернозный синус, находящийся в сложной взаимосвязи с прилежащими оптическими и гипоталамическими структурами. Споры о том, что лучше: разовое облучение гамманожом или линейным ускорителем либо фракционное облучение, до сих пор не завершены.
е) Дифференциальный диагноз менингиомы. Практически не существует внутричерепных опухолей, прилежащих к ТМО, которые могут быть ошибочно приняты за менингиомы. Единственная напоминающая менингиому опухоль—гемангиоперицитома, отличительными чертами которой является большее разрушение костей, часто очень неоднородная структура, кровоснабжение из внутренней сонной артерии и выраженный перифокальный отек.
Лимфомы и метастазы могут возникнуть в любом месте, также являясь дуральными новообразованиями. В случае, когда форма и другие структурные характеристики вызывают подозрения на дифференциальный диагноз такого рода, необходимо тщательно проанализировать весь анамнез.
ж) Прогноз менингиомы. Прогноз при менингиомах, как правило, благоприятный. Большинство пациентов могут рассчитывать на излечение или, по крайней мере, на долгосрочный контроль над своей болезнью. Заболевание может прогрессировать локально при невозможности применить полноценное лечение, в частности, в случае менингиомы оболочек зрительного нерва, которая не может быть резецирована радикально и лишь частично контролируется лучевой терапией.
Частота рецидивов низкая при конвекситальных менингиомах I степени и высокая для менингиом основания черепа или средней линии.
Атипичные менингиомы (класс II по ВОЗ) требуют более тщательного мониторинга, но могут иметь такой же хороший прогноз, как при I степени, — только с необходимостью нескольких терапевтических вмешательств в течение жизни.
Анапластические менингиомы имеют плохой прогноз. Даже при сочетании всех возможных вариантов лечения, таких как резекция, лучевая и химиотерапия, средняя выживаемость в большинстве опубликованных исследований составляет менее четырех лет, особенно в связи с тенденцией к метастазированию.
з) Гемангиоперицитома. Эта опухоль не является исключительно дуральным новообразованием, но в данном контексте заслуживает особого внимания. Опухоль часто имитирует менингиомы, но вызывает большую эрозию костей, кровоснабжается из внутренней сонной артерии, а также чаще сопровождается отеком. Лечение такое же как при менингиомах, и в качестве основного средства выступает резекция. Эти опухоли, однако, имеют высокую частоту местного рецидивирования, несмотря на кажущийся достаточным контроль после резекции и местного облучения. Часто используется химиотерапия, особенно после выявления метастазов. Прогноз лучше, чем при анапластической менингиоме, но по-прежнему неблагоприятный в долгосрочной перспективе.
Прогрессивная рецидивная менингиома с обрастанием левого зрительного нерва.
Медленное прогрессирование в конечном итоге привело к потере зрения в левом глазу.
Было проведено радиохирургическое лечение. Менингиома краниовертебрального перехода, которую можно удалить без осложнений.
МРТ с и без контрастирования (левая и средняя) в сагиттальной и коронарной плоскости (справа). «Наложение» метастаза рака молочной железы и менингиомы.
Менингиома краниовертебрального перехода вызвала двустороннюю слабость ног и гипестезию. Менингиома с массивным отеком вызвала слабо выраженную афазию.
Боковое смещение срединных структур в данном случае вызвано больше отеком, чем опухолью. Типичная интраоссальная правосторонняя менингиома крыльев клиновидной кости.
Эти опухоли, как правило, имеют паренхиматозный компонент в основании средней черепной ямки. Типичная менингиома ольфакторной ямки.
Редактор: Искандер Милевски. Дата обновления публикации: 18.3.2021
Менингиома
Менингиома в большинстве случаев представляет собой доброкачественную опухоль, развивающуюся из клеток арахноэндотелия (твердой мозговой оболочки или реже сплетений сосудов). Симптомами новообразования являются головные боли, нарушение сознания, памяти; мышечная слабость; эпилептические приступы; нарушение работы анализаторов (слухового, зрительного, обонятельного). Диагноз ставится на основании неврологического обследования, МРТ или КТ головного мозга, ПЭТ. Лечение менингиомы хирургическое, с вовлечением лучевой или стереотаксической радиохирургии.

Общие сведения
Менингиома представляет собой опухоль, чаще всего доброкачественной природы, произрастающую из арахноэндотелия мозговых оболочек. Обычно опухоль локализуется на поверхности мозга (реже на конвекситальной поверхности либо на основании черепа, редко в желудочках, или в костной ткани). Как и для многих других доброкачественных опухолей, для менингиом характерен медленный рост. Довольно часто не дает о себе знать, вплоть до значительного увеличения новообразования; иногда бывает случайной находкой при компьютерной или магнитно-резонансной томографии.
Причины развития менингиомы
Выявлен генетический дефект в 22 хромосоме, ответственный за развитие опухоли. Он находится недалеко от гена нейрофиброматоза (НФ2), с чем и связывают повышенный риск развития менингиомы у пациентов с НФ2. Отмечена связь развития опухоли с гормональным фоном у женщин, которая и обуславливает большую заболеваемость женского пола менингиомой. Выявлена закономерная связь между развитием рака молочной железы и опухоли мозговых оболочек. Кроме того, менингиома склонна увеличиваться в размерах при беременности.
Также провоцирующими факторами развития опухоли могут быть: черепно-мозговая травма, радиоактивное облучение (любое ионизирующее, рентгенологическое излучение), всевозможные яды. Тип роста опухоли чаще всего экспансивный, то есть менингиома растет единым узлом, раздвигая окружающие ткани. Возможен и мультицентрический рост опухоли из двух и более очагов.
Макроскопически менингиома представляет собой новообразование округлой формы (или реже подковообразной), чаще всего спаянное с твердой мозговой оболочкой. Размер опухоли может составлять от нескольких миллиметров до 15 см и более. Опухоль плотной консистенции, чаще всего имеет капсулу. Цвет на разрезе может варьировать от серых оттенков до желтых с серым. Образование кистозных выростов не характерно.
Классификация менингиомы
По степени злокачественности выделяют три основных типа менингиом. К первому из них относятся типичные опухоли, разделяющиеся на 9 гистологических вариантов. Больше половины из них представлены менинготелиальными опухолями; около четверти составляют менингиомы смешанного типа и чуть более 10% фиброзные новообразования; остальные гистологические формы встречаются крайне редко.
Ко второй степени злокачественности следует отнести атипические опухоли, которые обладают высокой митотической активностью роста. Такие опухоли обладают способностью к инвазивному росту и могут прорастать в вещество головного мозга. Атипичные формы склонны к рецидивированию. И наконец, к третьему типу относят самые злокачественные или анапластические менингиомы (менингосаркомы). Они отличаются не только способностью проникать в вещество мозга, но и возможностью метастазировать в отдаленные органы и часто рецидивировать.
Симптомы менингиомы
Заболевание может протекать бессимптомно и никак не влиять на общее состояние пациента, вплоть до приобретения опухолью значительных размеров. Симптомы менингиомы зависят от той анатомической области головного мозга, к которой она примыкает (область больших полушарий, пирамиды височной кости, парасагиттальный синус, тенториум, мостомозжечковый угол и пр.). Общемозговыми клиническими проявлениями опухоли могут быть: головные боли; тошнота, рвота; эпилептические припадки; нарушения сознания; мышечная слабость, нарушения координации; зрительные нарушения; проблемы со слухом и обонянием.
Очаговая симптоматика зависит от расположения менингиомы. При расположении опухоли на поверхности полушарий может проявляться судорожный синдром. В ряде случаев при такой локализации менингиомы имеется пальпируемый гиперостоз костей черепного свода.
При поражении парасагиттального синуса лобной доли, возникают нарушения, связанные с мыслительной деятельностью и памятью. Если поражается ее средняя часть, то возникает слабость мышц, судороги и онемение в противоположной опухолевому очагу нижней конечности. Продолжающийся опухолевый рост приводит к возникновению гемипареза. Для менингиомы основания лобной доли характерны расстройства обоняния - гипо- и аносмия.
При развитии опухоли в задней черепной ямке могут возникать проблемы слухового восприятия (тугоухость), нарушения координации движений и походки. При расположении в области турецкого седла возникают нарушения со стороны зрительного анализатора, вплоть по полной потери зрительного восприятия.
Диагностика менингиомы
Диагностика опухоли представляет собой трудность, в связи с тем, что долгие годы менингиома может никак себя клинически не проявлять в виду ее медленного роста. Часто пациентам с неспецифическими проявлениями приписываются возрастные признаки старения, поэтому ошибочный диагноз дисциркуляторной энцефалопатии у больных с менингиомой не является редкостью.
При появлении первых клинических симптомов назначается полное неврологическое обследование и офтальмологическая консультация, в ходе которой офтальмолог исследует остроту зрения, определяет размеры полей зрения и проводит офтальмоскопию. Нарушения слуха являются показанием к консультации отоларинголога с проведением пороговой аудиометрии и отоскопии.
Обязательным в диагностике менингиомы является назначение томографических методов исследования. МРТ головного мозга позволяет определить наличие объемного образования, спаянность опухоли с твердой мозговой оболочкой, помогает визуализировать состояние окружающих тканей. При МРТ в Т1 режиме сигнал от опухоли схож с сигналом от мозга, в режиме Т2 выявляется гиперинтенсивный сигнал, а также отек мозга. МРТ может применяться во время операции для контроля удаления всей опухоли и для того, чтобы получить материал для гистологического исследования. МР спектроскопия применяется для определения химического профиля опухоли.
МРТ головного мозга (С+). Объемное образование в теменной области слева, широким основанием прилежащее к мягкой оболочке
КТ головного мозга позволяет выявить опухоль, но в основном применяется для определения задействования костной ткани и опухолевых кальцинатов. Позитронно-эмиссионная томография (ПЭТ головного мозга) применяется с целью определения рецидивирования менингиомы. Окончательный диагноз выставляется неврологом или нейрохирургом, исходя из результатов гистологического исследования биоптата, которое определяет морфологический тип опухоли.
Лечение менингиомы
Доброкачественные или типичные формы менингиом подвергаются хирургическому удалению. С этой целью вскрывается черепная коробка и производится полное или частичное удаление менингиомы, ее капсулы, волокон, пораженной костной ткани и примыкающей к опухоли твердой мозговой оболочки. Возможна одномоментная пластика образовавшегося дефекта собственными тканями или искусственными трансплантатами. В предоперационном периоде иногда прибегают к предварительной эмболизации менингиомы.
При атипичных или злокачественных опухолях с инфильтративным типом роста не всегда бывает возможным удалить опухоль полностью. В таких ситуациях удаляют основную часть новообразования, а за остальной наблюдают в динамике посредством неврологического обследования и данных МРТ. Наблюдение также показано для пациентов с отсутствием симптоматики; у пожилых пациентов с медленным ростом опухолевой ткани; в случаях, когда хирургическое лечение грозит осложнениями или не выполнимо, в виду анатомического расположения менингиомы.
При атипичном и злокачественном типе менингиомы применяется лучевая терапия или ее усовершенствованная разновидность − стереотаксическая радиохирургия. Последняя представлена в виде гамма-ножа, системы Новалис, кибер-ножа. Радиохирургические методики воздействия позволяют ликвидировать опухолевые клетки головного мозга, уменьшить размеры новообразования, и при этом не страдают окружающие опухоль ткани и структуры. Радиохирургические методики не требуют анестезии, не вызывают боли и не имеют послеоперационного периода. Больной обычно сразу может отправляться домой. Подобные методики не применяются при внушительных размерах менингиомы. Химиотерапия не показана, так как большинство опухолей твердой мозговой оболочки имеют доброкачественное течение, но в этой области ведутся клинические разработки.
Консервативная медикаментозная терапия направлена на уменьшение отека мозга и имеющихся воспалительных явлений (если они имеют место быть). С этой целью назначаются глюкокортикостероиды. Симптоматическое лечение включает в себя назначение антиконвульсантов (при судорогах); при повышенном внутричерепном давлении возможно проведение оперативных вмешательств, направленных на восстановление циркуляции цереброспинальной жидкости.
Прогноз
Прогноз типичной менингиомы при своевременном выявлении и хирургической ликвидации вполне благоприятный. Такие больные имеют показатель 5-летней выживаемость равный 70-90%. Остальные же типы менингиом склонны к рецидивированию и даже после успешного удаления опухоли могут приводить к летальному исходу. Процент 5-летней выживаемости пациентов с атипичными и злокачественными менингиомами составляет около 30%. Неблагоприятный прогноз наблюдается и при множественных менингиомах, составляющих около 2 % от всех случаев развития данной опухоли.
На прогноз также оказывают влияние сопутствующие заболевания (сахарный диабет, атеросклероз, ИБС - ишемические поражения коронарных сосудов и пр.), возраст пациента (чем моложе больной, тем лучше прогноз); показатели опухоли – расположение, размеры, кровоснабжение, вовлечение соседних структур головного мозга, наличие предыдущих операций на мозге или данных о проведении лучевой терапии в прошлом.
Спинальная менингиома
Спинальная менингиома — это неоплазия позвоночного канала, берущая своё начало в спинномозговых оболочках. Клинически проявляется прогрессирующим корешковым синдромом с переходом в симптоматику половинного и полного поражения поперечника спинного мозга на уровне расположения опухоли. Диагностируется спинальная менингиома по данным неврологического статуса, МРТ позвоночника, гистологического анализа интраоперационно полученного материала. Лечение нейрохирургическое: рекомендовано радикальное удаление, по показаниям возможна стереотаксическая операция. При злокачественном характере менингиома требует дополнительной пред- и/или постоперационной лучевой терапии.
МКБ-10

Спинальная менингиома встречается намного реже аналогичных новообразований головного мозга и занимает 1,2% общего числа менингиом. В структуре первичных опухолей спинного мозга на долю менингиом приходится 15-30%. В большинстве случаев спинальная менингиома является интрадуральной экстрамедуллярной опухолью. По данным клинических наблюдений, специалистами в сфере неврологии и нейрохирургии описаны отдельные экстрадуральные, экстраинтрадуральные менингиомы. В 99% случаев менингиома спинальной локализации представляет собой доброкачественное новообразование. Наиболее частая локализация опухоли (70% случаев) — грудной отдел позвоночника, типично вентролатеральное расположение неоплазии по отношению к длиннику спинного мозга. Больше половины случаев заболевания приходится на пациентов старше 60-летнего возраста. Женщины заболевают в 6-10 раз чаще мужчин.
Причины
Этиофакторы возникновения неоплазии полностью не изучены. Информация о них носит предположительный характер. Наиболее вероятным является мультифакторный механизм развития заболевания. Известные этиологические предпосылки можно разделить на 3 основные группы:
- Экзогенные. Предполагают вредоносное воздействие различных неблагоприятных факторов внешней среды: ионизирующего излучения, потребляемых с пищей нитратов, канцерогенов, содержащихся в пищевых продуктах, вдыхаемом воздухе. Указанные влияния обуславливают «поломки» в генетическом аппарате клетки, приводящие к изменению её свойств.
- Эндогенные. Определённую роль играет снижение противоопухолевой защиты организма, что частично объясняет преимущественно пожилой возраст больных. Дисфункция противоопухолевого механизма, в норме уничтожающего мутировавшие клетки, обуславливает размножение атипичных клеточных элементов мозговой оболочки.
- Наследственные. Повышенный риск возникновения менингиом у пациентов, страдающих нейрофиброматозом, свидетельствует о генетической детерминированности патологии. Локализацию генетического дефекта предполагают в 22-й хромосоме.
Патогенез
Воздействие выше указанных этиофакторов приводит к изменению основных свойств отдельных клеток мягкой мозговой оболочки спинного мозга. Не уничтоженные противоопухолевой защитой изменённые (атипичные) клетки начинают усиленно делиться, формируясь в неоплазию. Опухолевые клетки имеют более низкую дифференцировку, чем нормальные. В подавляющем большинстве случаев менингиома носит доброкачественный характер. Редко она состоит из крайне низкодифференцированных клеточных структур, обуславливающих злокачественные свойства опухоли.
Морфологически спинальная менингиома представляет собой плотный узел, чаще имеет капсулу. Типичен экстрамедуллярный экспансивный рост новообразования, раздвигающий прилежащие ткани. Первичная клиническая симптоматика обусловлена сдавлением спинномозговых корешков. Спинной мозг поражается вследствие ишемии при компрессии опухолью питающих его сосудов и в результате непосредственного сдавления растущей неоплазией. Компрессия проводящих путей обуславливает появление неврологического дефицита ниже уровня локализации опухоли.
Классификация
По локализации спинальная менингиома бывает шейная, грудная, пояснично-крестцовая. Выделяют неоплазии с экспансивным ростом и с мультицентрическим развитием из нескольких опухолевых очагов. По гистологической структуре менингиома классифицируется на фибробластическую, менинготелиоматозную, псаммоматозную, смешанную, светлоклеточную, папиллярную, хориоидную, рабдоидную. В клинической практике наибольшее распространение получила классификация, учитывающая характер роста, степень злокачественности и прогноз. В соответствии с указанными критериями выделяют 3 основных варианта спинальных менингиом:
- I тип. Медленно растущие доброкачественные неоплазии. Дают наименьшее число рецидивов после нейрохирургического удаления. Имеют наиболее благоприятный прогноз. К данной группе относится 94,5% менингиом спинального расположения.
- II тип. Атипичные опухоли, отличающиеся быстрым ростом, большой вероятностью рецидива. В связи с характером роста получили название «агрессивные». Прогностически менее благоприятны, чем неоплазии предыдущей группы. Наблюдаются в 4,7% клинических случаев.
- III тип. Злокачественные менингиомы с агрессивным инвазивным ростом, рецидивированием. Способны образовывать метастазы. Имеют неблагоприятный прогноз, составляют 1%.
Симптомы спинальной менингиомы
Характерно длительное субклиническое течение, обусловленное малыми размерами и медленным увеличением неоплазии. Клинически заболевание дебютирует симптоматикой классического корешкового синдрома. Сперва появляются симптомы раздражения спинномозгового корешка (интенсивная иррадиирующая боль, парестезии). В последующем интенсивность болевого синдрома падает, появляется и нарастает неврологический дефицит (снижение чувствительности, мышечная слабость, гипорефлексия), связанный с выпадением функции сдавленного опухолью корешка. Указанные клинические проявления локализуются в зоне иннервации поражённого корешка.
Спинальная неоплазия грудного отдела способна давать симптоматику, имитирующую поражение соматических органов. При локализации опухоли на уровне нижних грудных сегментов возникают боли в эпигастрии, напоминающие проявления гастрита, опоясывающие боли, характерные для острого панкреатита. При левостороннем расположении образования возникает кардиалгия, требующая дифференцировки от стенокардии. Корешковая стадия опухоли длится от нескольких месяцев до пяти лет.
По мере роста спинальная менингиома вызывает сдавление спинного мозга, манифестирующее синдромом Броун-Секара. Ниже уровня расположения неоплазии в гомолатеральной половине тела наблюдается центральный парез и выпадение глубокой чувствительности, в контрлатеральной — поверхностная гипестезия. Неврологический дефицит быстро нарастает, приобретает симметричный характер с симптомами полного поражения спинального поперечника. Ниже уровня поражения отмечается грубый центральный парез, выраженная тотальная гипестезия, трофические расстройства; нарушается произвольный контроль функции тазовых органов.
Осложнения
С течением времени компрессия спинного мозга приводит к дегенерации и гибели его нейронов, атрофии нервных волокон проводящих путей. Возникший неврологический дефицит приобретает необратимый характер, даже после удаления опухоли больной остаётся инвалидом. На уровне поражения возникают мышечные атрофии, ниже спастическое повышение мышечного тонуса приводит к развитию контрактур суставов. Трофические расстройства в денервированных тканях сопровождаются понижением защитной функции кожных покровов, что сопровождается их лёгким травмированием и затруднённой регенерацией. Указанные изменения благоприятствуют инфицированию с проникновением инфекционных агентов в кровоток, развитием сепсиса. Нарушения тазовых органов требуют постоянной катетеризации мочевого пузыря, что повышает риск инфицирования с возникновением уретрита, цистита, восходящего пиелонефрита. Наиболее опасным осложнением злокачественных менингиом является метастазирование.
Диагностика
Раннее диагностирование затруднительно, поскольку спинальная менингиома дебютирует симптомами радикулита, типичными для проявлений остеохондроза, а возраст большинства пациентов совпадает с периодом манифестации дегенеративных изменений в позвоночнике. Заподозрить новообразование возможно в случае молодого возраста больного, частого рецидивирования болевого синдрома, появления симптомов «выпадения» (неврологического дефицита), низкой эффективности стандартной терапии радикулита. Основными этапами диагностики выступают:
- Осмотр невролога. В неврологическом статусе в зависимости от стадии и локализации процесса определяются корешковые нарушения чувствительности, центральный моно-, геми-, пара- или тетрапарез, диссоциация Броун-Секара, тотальное выпадение чувствительности и т. п. Результаты осмотра невролога позволяют предположить уровень и распространённость поражения.
- Спинальная МРТ. Является основным методом диагностики неоплазии. МРТ позвоночника помогает определить размер, точное расположение, характер роста образования, степень спинальной компрессии. При наличии противопоказаний к магнитно-резонансным исследованиям проводится КТ-миелография.
- Гистологическое исследование. Осуществляется гистология операционного материала, в сомнительных случаях — интраоперационное исследование. Микроскопический и гистохимический анализ делает возможной точную морфологическую верификацию опухоли, позволяет установить окончательный диагноз.
Спинальная опухоль дифференцируется от радикулита, межпозвоночной грыжи, невриномы спинномозгового корешка, гематомы, миелита, сирингомиелии. При расположении в грудном отделе возникает необходимость в исключении гастродуоденита, острого живота, ишемической болезни сердца. В ходе МРТ менингиома требует дифференциации от прочих экстрамедуллярных спинальных опухолей: нейрофибромы, липомы, гемангиомы, хондромы.
Лечение спинальной менингиомы
Наиболее приемлемым способом лечения выступает радикальное удаление опухолевого образования. Выбор лечебной тактики осуществляется нейрохирургом в соответствии с локализацией, характером и распространённостью процесса, общесоматическим состоянием пациента. Выделяют 3 основные методики лечения:
- Открытая операция. Проводится радикальное удаление менингиомы с применением микрохирургической техники. Доступом к опухоли является ламинэктомия. Для предупреждения рецидива важное значение имеет полное удаление опухолевых тканей. С целью повышения радикальности операции предварительно выполняют эмболизацию питающих менингиому сосудов.
- Стереотаксическая хирургия. Менингиома подвергается дистанционному, точно направленному облучению ионизирующим (гамманож) или рентгеновским (кибернож) излучением. Стереотаксическое удаление — наиболее щадящая методика, не требующая разреза, минимизирующая воздействие на окружающие ткани. Ограничивает её применение высокий процент рецидивирования.
- Противоопухолевая терапия. Лучевая терапия назначается послеоперационно или паллиативно при невозможности полного удаления новообразования, злокачественном процессе. Дозиметрическое планирование проводится радиологом в индивидуальном порядке.
Прогноз и профилактика
Спинальная менингиома имеет преимущественно благоприятный прогноз. После радикального хирургического лечения опухолей I типа риск рецидивирования составляет 15%. Поздняя диагностика и лечение усугубляют неблагополучный прогноз, поскольку приводят к формированию необратимых изменений, инвалидизации пациента. Специфическая профилактика не разработана, общие предупредительные меры сводятся к ограничению неблагоприятных онкогенных воздействий. Вторичная профилактика направлена на ранее выявление рецидивов, включает регулярное наблюдение пациента нейрохирургом, проведение контрольных МРТ.
2. Клиника, диагностика и хирургическое лечение спинальных менингиом: Автореферат диссертации/ Фомичев В.Г. – 2005.
3. Результаты хирургического лечения спинальных менингиом/ Евзиков Г.Ю., Новиков В.А., Смирнов А.Ю., Буров С.А.// Нейрохирургия. – 2000. - №3.
4. Менингиома вентральной локализации на уровне краниовертебрального перехода/ Ступак В.В., Рабинович С.С., Митюков А.Е., Пендюрин И.В., Шабанов С.В.// Хирургия позвоночника. – 2014.
Менингиома зрительного нерва
Менингиома зрительного нерва – это преимущественно доброкачественная внутриглазная опухоль, которая развивается из арахноидальной оболочки зрительного нерва или клеток периорбитальной локализации. В зависимости от типа роста новообразования ведущими симптомами являются снижение остроты зрения, болезненность внутри глазницы и в соответствующей половине головы, ограничение подвижности глазных яблок, экзофтальм. Диагностика основывается на проведении визиометрии, тонометрии, офтальмоскопии, УЗИ, КТ, МРТ. Применяют хирургические методы лечения (резекция пораженного участка зрительного нерва, энуклеация), лучевую терапию и стереотаксическую радиотерапию.
Менингиома зрительного нерва – это новообразование, которое происходит из клеток арахноэндотелия и характеризуется преимущественно доброкачественным течением. Впервые клиническую симптоматику менингиомы зрительного нерва описал немецкий офтальмолог А. Лебер в 1877 году. С того времени поменялось множество названий и теорий возникновения данной патологии. Х. В. Кушинг в 1922 году предположил, что опухоль развивается из структур твердой мозговой оболочки и ввел для ее обозначения термин «менинготелиома».
По опубликованным данным Л. И. Смирнова (1962 г.), источником новообразования являются арахноидальные ворсинки, поэтому для обозначения данной нозологической единицы также использовали термин «арахноидэндотелиома». Название «менингиома» было введено в 70-х годах ХХ века и остается актуальным по сегодняшний день. Согласно статистическим данным, распространенность заболевания среди всех опухолей ЦНС составляет 1-2%, среди новообразований орбиты – 5-10%. Неоплазия чаще развивается в возрасте 30-60 лет, однако имеются сведения о возникновении патологии у детей раннего возраста. Женщины болеют в 3-4 раза чаще мужчин.
Причины менингиомы зрительного нерва
Менингиома зрительного нерва может быть приобретенной или врожденной. Врожденная патология зачастую развивается бинокулярно. Основными причинами возникновения являются прием матерью в период беременности тератогенных медикаментов, курение, употребление спиртных напитков или наркотических веществ. Семейные формы данной патологии не описаны. Приобретенная форма, как правило, образуется спорадически. В клинической офтальмологии различают первичную и вторичную менингиому. Источниками развития первичного новообразования могут выступать арахноидальная оболочка зрительного нерва, арахноидальные клетки периорбитальной локализации или небольших нервных веточек. Вторичная опухоль распространяется в глазницу из черепной полости. Прорастание менингиомы со структур черепа встречается гораздо реже, чем первичное поражение зрительного нерва.
Факторами риска возникновения менингиомы зрительного нерва являются наличие нейрофиброматоза 2-го типа или синдрома Ли-Фраумени в анамнезе, высокие дозы рентгеновского или радиоактивного облучения, травмы головы. Лица женского пола подвержены большему риску развития данной опухоли, нежели мужчины.
Симптомы менингиомы зрительного нерва
Менингиома зрительного нерва в большинстве случаев развивается монокулярно. Бинокулярное поражение зрительных нервов – редкое явление, которое диагностируют в раннем детском возрасте при врожденной форме заболевания. Различают два типа роста опухоли: первый – субдуральный, на протяжении ствола оптического нерва, второй – с прорастанием твердой мозговой оболочки и распространением на глазные мышцы и мягкие ткани глазницы. Для менингиомы зрительного нерва в большинстве случаев характерно доброкачественное течение. При злокачественном характере опухоли развивается необратимая потеря зрения с прорастанием неоплазии в стенки орбиты.
Клинически субдуральная менингиома зрительного нерва проявляется снижением остроты сначала периферического, далее центрального зрения. На ранних стадиях развития концентрическое или асимметрическое сужение зрительных полей приводит к интермиттирующим нарушениям центрального зрения. Тотальная потеря зрительных функций отмечается только при полной атрофии диска оптического нерва. Проявления осевого экзофтальма возникают в среднем через 2-3 года после снижения остроты зрения. Обычно смещение глазного яблока вперед достигает не более 5-6 мм. При этом функционирование внутриглазных мышц не нарушено. Данная форма новообразования в 5% процентах случаев сопровождается распространением на структуры канала зрительного нерва.
При втором типе роста опухоль расположена на периферии зрительного нерва, что приводит к его смещению. На ранних этапах развития менингиомы пациенты отмечают болезненность глазницы с иррадиацией в соответствующую половину головы. Острота зрения находится в пределах нормы в течение 3-4 лет, далее прогрессирующе снижается. Данная форма менингиомы зрительного нерва сопровождается выраженным смещением глазного яблока вперед до 1,4 см. Для экзофтальма характерна осевая направленность или незначительное смещение. Зачастую возникает отек периорбитальной клетчатки и слизистой оболочки глаз без других признаков воспаления. При распространении новообразования на внутриглазные мышцы пациенты отмечают у себя снижение способности производить движения глазами. В отличие от других форм менингиомы данная патология не сопровождается гиперостозом костной ткани глазницы.
Диагностика менингиомы зрительного нерва
Диагностика менингиомы зрительного нерва включает в себя проведение визиометрии, тонометрии, офтальмоскопии, ультразвукового исследования, компьютерной томографии, магнитно-резонансной томографии. При помощи УЗИ можно охарактеризовать тип роста опухоли, степень прорастания в окружающие структуры, контуры новообразования. Преимуществом данной методики является возможность провести анализ в виде цветовой картограммы потоков сосудистой сети в режиме цветового допплеровского картирования. В среднем максимальная линейная скорость кровотока в сосудах составляет 13-15 см/с. МРТ показана пациентам со вторым типом роста опухоли или при дополнительной локализации патологического процесса в структурах головного мозга. КТ назначается при распространении менингиомы зрительного нерва за пределы глазницы. При проведении МРТ и КТ можно не только обнаружить новообразование, но и изучить его размер, структуру и распространенность.
При втором типе менингиомы зрительного нерва методом офтальмоскопии диагностируют проявления застоя диска оптического нерва. На ранних этапах определяется отечность периферических отделов и размытость границ диска. Далее исчезает физиологическая экскавация, развивается гиперемия, возможны точечные или множественные кровоизлияния на диске с последующим вовлечением в патологический процесс сетчатки. Выявление оптикоциллиарных шунтов, участков кровоизлияния в области глазного дна при первом типе роста ассоциировано с распространением новообразования к заднему полюсу глазного яблока.
Методом визиометрии при субдуральной менингиоме зрительного нерва уже на ранних стадиях определяется снижение остроты зрения. При втором типе роста данный признак наблюдается только на поздних этапах развития опухоли. Проведение тонометрии указывает на повышение внутриглазного давления (ВГД) только при большом размере новообразовании. На ранних стадиях процесса ВГД в пределах нормы (10-20 мм. рт. ст.). Диагностика субдуральной менингиомы зрительного нерва на начальных этапах развития затруднена в связи с незначительным увеличением диаметра оптического нерва. При эксцентричном росте (2 тип опухоли) необходимо дифференцировать менингиому от опухоли параневральной локализации иного происхождения. Дифференциальная диагностика патологии в детском возрасте представляет сложности в связи с широкой распространенностью арахноидальной гиперплазии на фоне глиомы зрительного нерва.
Лечение менингиомы зрительного нерва
Тактика лечения менингиомы зрительного нерва зависит от типа роста опухоли, распространенности на другие структуры глазного яблока или головного мозга, степени нарушения зрительных функций. При субдуральной локализации новообразования оперативное вмешательство рекомендовано в случае тотальной потери зрения. При вовлечении в патологический процесс исключительно оптического нерва выполняется резекция пораженного участка. В случае выявления очагов кровоизлияния или оптикоциллиарных шунтов требуется энуклеация глазного яблока. Отсутствие нарушений зрения при втором типе заболевания рассматривается в качестве показания к проведению лучевой терапии.
Альтернативой оперативному лечению является стереотаксическая радиотерапия (СРТ) менингиомы зрительного нерва. Преимущество данного метода лечения – возможность сохранить или незначительно улучшить зрение. В отличие от лучевой терапии данная методика позволяет достигнуть уменьшения размеров опухоли. При этом острые или отстроченные побочные эффекты от облучения не наблюдаются. Однако СТР рекомендована к применению только на ранних стадиях заболевания.
Прогноз и профилактика менингиомы зрительного нерва
Специфических мер профилактики менингиомы зрительного нерва не разработано. Женщинам в период беременности запрещено курение, прием лекарственных средств с тератогенным эффектом, алкогольных и наркотических средств. Для предупреждения прогрессирования патологии необходимо проходить своевременный осмотр у офтальмолога. Прогноз при менингиоме зрительного нерва зависит от своевременности диагностики и лечения. При раннем выявлении возможно полное выздоровление, в силу доброкачественного течения прогноз благоприятен. Злокачественный рост опухоли или диагностика опухоли на поздних стадиях могут стать причиной необратимой потери зрения, поэтому данная патология нередко приводит к инвалидизации пациентов.
Менингиома - варианты, прогноз
Менингиомы - варианты, прогноз
Менингиомы представляют собой распространенные опухоли мозговой оболочки, и доброкачественные менингиомы составляют 13-26% от всех первичных внутрикраниальных опухолей. Они в два раза чаще образуются у женщин, преимущественно в возрасте старше 50 лет.
Иногда менингиома развивается после лучевой терапии, которая проводилась по поводу низкозлокачественной глиомы.
Опухоли классифицируют в зависимости от локализации, поражения близлежащих структур (например, везнозных пазух, кости, мозга и нервов), и гистологической характеристики.
Обычно опухоли развиваются в определенных местах, преимущественно они локализуются парасагиттально и на клиновидном гребне. Часто опухоль вызывает компрессию мозга, однако инвазия в мозговую полость крайне нехарактерна и наблюдается в случаях редких злокачественных менингиом, которые иногда называют менингиосаркомами.

МРТ при менингиоме головного мозга
Если при росте опухоли развивается давление кнаружи, то это может вызывать эрозию внутренней компактной пластинки, в то время как для смещения мозга внутрь характерно раннее развитие эпилептических приступов. В основном менингиомы имеют фиброзную природу (фибропластическая менингиома) или представляют собой хорошо васкуляризированные опухоли (ангиобластозная менингиома). Последняя опухоль растет быстрее и чаще трансформируется в злокачественную форму.
Почти в 70% случаев менингиом наблюдается специфическая генетическая аномалия, моносомия по 22-й хромосоме. Часто обнаруживаются мутации в гене NF2, расположенном на хромосоме 22q12, которые характерны для клеток опухоли на ранней стадии развития.
До 60% спорадических менингиом характеризуются соматической мутацией в гене NF2, причем существует взаимосвязь между гистологическим типом опухоли и частотой возникновения мутаций.
Так, мутации в гене NF2 отмечаются примерно в 80% промежуточных и фибропластических менингиом, а для менинготелиальных менингиом эти мутации обнаруживаются лишь в 25% случаев.
Менингиома требует хирургического удаления. Если доступ к ней затруднен, то для снижения вероятности возникновения рецидива, необходимо использовать лучевую терапию. Поскольку опухоль достаточно радиоустойчива, обычно назначают высокие дозы облучения (50-60 Гр за 5-7 недель). Больным со «злокачественной» менингиомой всегда назначают курс лучевой терапии, хотя общий прогноз бывает крайне неблагоприятным.
Иногда опухоль дает метастазы в другие органы. На основании отдельных результатов, полученных на небольших группах больных, можно заключить, что назначение оксимочевины или других препаратов оказывает благоприятный эффект.

Читайте также:
- Оценка торакопластики. Течение торакопластики
- Противовоспалительные средства в стоматологии. Стероиды при парадонтите
- Диагностика хронического гнойного мезотимпанита. Течение хронического мезотимпанита
- Недифференцированная плеоморфная саркома - лучевая диагностика
- Лекарства влияющие на ухо. Фармакология уха
