Метастазы гестационной трофобластической неоплазии (ГТН) - обследование
Добавил пользователь Евгений Кузнецов Обновлено: 01.01.2026
Лучевая терапия гестационной трофобластической неоплазии и ее эффективность
Непрерывное совершенствование медикаментозной терапии сместило лучевую терапию (ЛТ) злокачественной гестационной трофобластической болезни (ГТБ) на второй план. Наиболее часто ее используют для минимизации геморрагических осложнений метастазов в печени или головном мозге.
Brace первый описал лечение метастазов в головном мозге с помощью облучения в дозе 20 Гр у пациенток с ГТН, получавших монохимиотерапию в National Institutes of Health. В группе из 21 пациентки с метастазами в головном мозге выжило 5 (24 %), а 3 потребовалось повторное лечение из-за вновь появившейся симптоматики, обусловленной интракраниальными метастазами.
В США в большей части таких случаев применяют тотальное облучение головного мозга. Как правило, общая доза составляет 20—40 Гр за 10—20 фракций одновременно с ПХТ; некоторым пациенткам проводят дополнительное облучение уменьшенными полями. Общая доза зависит от степени регрессии метастазов в ЦНС. Поданным Schecter и соавт., 5-лстний контроль локальных метастазов при дозе менее 22 Гр составил только 24 %, а у пациенток, получивших 22—26 Гр, — 91 %.
Выживаемость больных с метастазами в головном мозге после химиолучевой терапии составила 50—75 %. Широкие пределы этого показателя объясняются тем, что он зависит не только от степени поражения нервной системы, но и экстракраниальной распространенности процесса и эффективности его лечения. Small и соавт. сообщили о 100 % выживаемости среди женщин без клинических проявлений метастазов в головном мозге по сравнению с 38 % среди тех, у кого присутствовали симптомы, — это существенная разница.

По опыту Evans и соавт., выживаемость больных с метастазами в головном мозге, выявленными на момент рецидивирования заболевания после первичного лечения, равнялась 38 %, среди больных, у которых они появились во время проведения XT, — 0 %. Эти показатели были значительно хуже по сравнению с показателем выживаемости (75 %) у тех, кто поступил на первичное лечение с уже диагностированными интракраниальными поражениями.
В этом случае возможно стереотаксическое (прицельное) облучение отдельных метастазов в головном мозге, но существует мнение, что химиотерапевтические препараты не смогут проникнуть через гематоэнцефалический барьер в терапевтических концентрациях, в связи с чем возможно появление скрытых метастазов вне области облучения. Однако инфузия метотрексата в течение 6—12 ч в дозе более 500 мг/м2 создает терапевтическую концентрацию препарата в спинномозговой жидкости, поэтому при локальном облучении или хирургической резекции отдельных метастазов в головном мозге следует использовать соответствующий диапазон доз.
Альтернативный метод лечения — высокодозная ПХТ в комбинации с интратекальным введением метотрексата — дает такие же результаты, как и химиолучевое лечение, о котором сказано выше. По данным специалистов Charing Cross Hospital, выживаемость после первичной терапии с использованием этого подхода составляла 80 %. Они не используют стандартную ЛТ, а предлагают раннее выполнение нейрохирургических операций. Несмотря на малую выборку пациенток, получавших химиолучевое лечение и комбинированную системную и интратекальную XT, назрела необходимость проведения сравнительных исследований.

Множественные метастазы в печени у женщины, поступившей менее чем через 4 нед после своевременных родов.
Кроме этого были метастазы гестационной трофобластической неоплазии в легких и головном мозге.
Для остановки кровотечения из метастазов печени выполнена селективная эмболизация печеночной артерии.
Обратите внимание на плотность жидкости вокруг печени - это кровь, излившаяся в результате внутрибрюшного кровотечения.
После активного многокомпонентного лечения удалось достичь ремиссии.
Метастазы в печени выявляют у 2—8 % больных, поступающих для первичного лечения злокачественной гестационной трофобластической неоплазии (ГТН). Поражение печени имеет плохой прогноз: выживаемость женщин с первичными метастазами в печени составляет 40—50 %, а при их появлении в процессе лечения — значительно меньше. Оптимальное лечение метастазов в печени неизвестно. Они хорошо кровоснабжаются, давая массивные внутрибрюшные кровотечения.
Для снижения риска кровотечения при метастазах в печени исследователи Duke University Medical Center назначали тотальное облучение печени в дозе 20 Гр с одновременным проведением XT по схеме MAC. XT пришлось прекратить только у 1 пациентки в связи с гепатитом; выживаемость в этой группе больных была очень плохой: всего 13 % (2 из 15 женщин) выжили, а при развитии метастазов в печени во время лечения не выжил никто.
Bakri и соавт. провели тотальное облучение печени в сочетании с XT (метотрексат, дактиномицин и циклофосфамид) — все случаи закончились летальным исходом; после применения комбинированных режимов, содержащих этопозид, в живых осталось 5 из 8 больных. Другие авторы отметили 27%-ю выживаемость после назначения XT, содержащей этопозид, без облучения печени.
Следует подчеркнуть, что эффективность лечения больных гестационной трофобластической неоплазией (ГТН) высокого риска в специализированных центрах составляет 75—86 %. Лечение этих больных — сложная, комплексная задача; часто требуется индивидуальный подход, учитывающий распространенность заболевания и токсичность препаратов. Все женщины с ГТН высокого риска должны наблюдаться у специалистов, имеющих опыт лечения этой относительно редкой патологии, которые могут учитывать и координировать все аспекты терапии. Результаты лечения больных со злокачественной ГТН в 1992 г. в Duke University Medical Center представлены в таблице ниже.

Редактор: Искандер Милевски. Дата обновления публикации: 18.3.2021
Гестационная трофобластическая болезнь

Гестационная трофобластическая болезнь (ГТБ) — патология, которая включает в себя пузырный занос (полный и частичный), инвазивный пузырный занос, хориокарционому, трофобластическую опухоль плацентарного ложа и эпителиоидную трофобластическую опухоль. Данные заболевания встречаются не очень часто, однако представляют большую угрозу здоровью и жизни пациенток. В недалеком прошлом летальность от различных форм ГТБ могла достигать практически 100 % (например, в случаях с метастазировавшей хориокарциномой) [1]. И, не смотря на успехи, достигнутые в терапии данного заболевания, необходимо иметь настороженность в отношении ГТБ.
Частичный и полный пузырный занос
Предположительно, данная патология была описана еще в 400 году до н.э. Гиппократом. Но лишь в 1895 году пузырный занос связали с беременностью. Сейчас мы рассматриваем пузырный занос как аномалию беременности, при которой происходит пролиферация трофобласта (и цито-, и синцитиотрофобласта); ворсины хориона разрастаются в виде «пузырьков», и все это сочетается с отсутствием эмбриона/плода. Выделяют две формы пузырного заноса: полный и частичный [2].
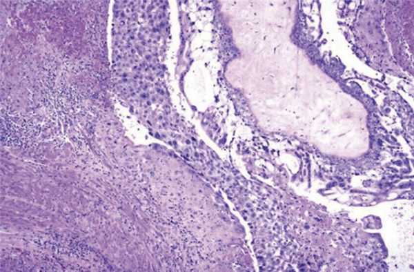
Для полного пузырного заноса характерна невозможность определения эмбриона; наблюдается гиперплазия трофобласта с различным уровнем атипии, ворсины лишены сосудов. Формирование «пузырьков» носит генерализованный характер. Практически в 90 % случаев аномальная ткань имеет хромосомный набор 46ХХ, полученный путем дупликации ДНК гаплоидного сперматозоида. Генетический аппарат яйцеклетки дефектен либо неактивен либо вовсе отсутствует. Таким образом, весь генетический материал получен от отца (разумеется, кроме митохондриальной ДНК). В остальных случаях (≈ 10 %) клетки имеют набор 46XY или 46ХХ, который формируется путем слияния двух спермиев [1], [3].
Частичный пузырный занос — патология несколько иного рода. В этом случае возможно обнаружить некоторые ткани эмбриона; ворсины хориона отечны и варьируют по размеру и форме. Ворсины имеют фестончатую форму, из трофобласта образуются выступающие «включения», в ворсинах сохраняется кровоток. Одно из основных отличий частичного пузырного заноса от полного: гиперплазия и образование «пузырьков» носит фокальный характер, атипизм выражен крайне слабо. При этом хромосомный набор — триплоидный, зачастую 69XXY, который формируется путем слияния практически нормальной яйцеклетки и двух спермиев [1], [3].
Важно заметить: после полного пузырного заноса в 15-20 % случаев развивается трофобластическая неоплазия (инвазивный занос или хориокарцинома, см. ниже), тогда как при частичном заносе неоплазии развиваются менее, чем в 5 % случаев [1].
.

Рисунок 1. Полный пузырный занос
Клиническая картина при полном пузырном заносе носит неспецифический характер, симптомы у различных пациенток могут довольно сильно варьировать. Среди наиболее часто встречающихся проявлений следует выделить чрезмерное увеличение матки, анемию, токсемию, гипертиреоидизм и дыхательную недостаточность. Благодаря УЗИ и анализу на ХГЧ, диагностика полного пузырного заноса стала возможной уже в первом триместре, как правило, задолго до появления первых симптомов.
Клиника частичного пузырного заноса «мимикрирует» под картину неразвивающейся беременности. Может наблюдаться маточное кровотечение, при этом размеры матки находятся в пределах нормы [3].
Диагностика осуществляется в основном с помощью УЗИ и анализа на ХГЧ. При полном пузырном заносе хорошо заметна генерализованная гиперплазия, а повышение уровня ХГЧ помогает отличить пузырный занос от замершей беременности. В случае частичного пузырного заноса наиболее специфичными будут фокальные кистозные изменения в плаценте, а также увеличение гестационного мешка в полтора раза (это может свидетельствовать о триплоидии). Сочетание этих двух признаков дает достаточно высокую точность результата.
Уровень хорионического гонадотропина закономерно увеличивается при гиперплазии трофобласта. В случае полного пузырного заноса уровень ХГЧ может достигать 100 000 мЕД/мл и выше; при частичном такие цифры встречаются реже, однако увеличение, тем не менее, определяется также отчетливо [3].
Следует заметить, что окончательно диагностировать полный или частичный пузырный занос может только патологоанатом после гистологической верификации.
Лечение полного и частичного пузырного заносов заключается в удалении аномальной ткани из матки; наиболее оптимальным методом является вакуумная аспирация. Женщинам, которые более не планируют беременность, можно посоветовать гистерэктомию (особенно это оправданно в случае полного заноса) [3].
Однако пузырный занос сам по себе не представляет такой опасности, как возможные неопластические процессы, нередко развивающиеся впоследствии. Как мы помним, после полного пузырного заноса (а иногда и после частичного) могут развиваться хориокарцинома, инвазивный пузырный занос и другие патологические состояния, которые объединяют в группу гестационных трофобластических неоплазий (ГТН).
Для профилактики ГТН ранее даже рекомендовалась химиотерапия. Однако в сейчас такой подход считается неоправданным [4]. Доказательная база у профилактической противоопухолевой терапии достаточно низка, а гипотетическая польза в предотвращении ГТН так и остается лишь гипотетической, тогда как вред — вполне реальным. Потому пациентам с диагностированным пузырным заносом требуется систематическое наблюдение и постоянный мониторинг уровня ХГЧ (его резкое повышение, или «плато» (постоянно высокий уровень гормона) могут свидетельствовать о развитии осложнений в виде гестационных трофобластических неоплазий).
Следует заметить, что в дальнейшем беременность не противопоказана: женщина может зачать и выносить здорового ребенка. Однако нужно помнить, что риск повторного пузырного заноса увеличивается. Вероятность второго пузырного заноса составляет ≈ 1 %, третьего — ≈ 15–18 % [3].
Гестационная трофобластическая неоплазия
Гестационная трофобластическая неоплазия (ГТН) — термин, который объединяет четыре патологических состояния: инвазивный пузырный занос, хориокарциному, трофобластическую опухоль плацентарного ложа и эпителиоидную трофобластическую опухоль. ГТН — серьезное состояние, которое требует лечения химиотерапией. Но прежде, чем рассматривать неоплазии более предметно, следует заметить, что благодаря современным методам — мониторингу ХГЧ, систематическому наблюдению и химиотерапии — более 90 % случаев оканчиваются благоприятно [5].
Около 50 % ГТН — следствие полного или частичного пузырного заноса, 25 % из них развиваются после эктопической беременности и еще 25 % — вследствие преждевременных родов.
Клиническая картина разнится, наиболее общие симптомы — кровотечение, увеличение матки, текалютеиновые кисты. Но в половине случаев заболевание может не иметь каких-либо симптомов. Основной диагностический критерий ГТН — повышение уровня ХГЧ [6].
Международная федерация гинекологии и акушерства (FIGO) приводит следующую стадийность ГТН [7]:
1 стадия: заболевание развивается в пределах матки;
2 стадия: неоплазия распространилась за пределы матки, но ограничена другими генитальными структурами (влагалищем, широкой связкой);
3 стадия: ГТН метастазирует в легкие;
4 стадия: метастазирование в другие органы.
Лечение любой ГТН заключается в химиотерапии; зачастую достаточно какого-то одного препарата; на 4 стадии рекомендована комбинация терапевтических средств. Наиболее часто используются метотрексат и дактиномицин [6]. При толерантности к препаратам или рецидиве заболевания может быть рекомендован паклитаксел [8].
Также для ГТН с высоким риском метастазирования используется комбинация EMA/CO: этопозид, метотрексат, актиномицин-D (дактиномицин), циклофосфамид и винкристин [9].
Инвазивный пузырный занос
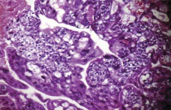
Инвазивным называется пузырный занос, который проникает в миометрий путем прямой «экспансии» в ткань или через вены. Примерно 10-17 % пузырных заносов будут инвазивными, и из них около 15 % — метастазируют (чаще всего в легкие или влагалище) [1].
.

Рисунок 2. Инвазивный пузырный занос
Инвазивный пузырный занос часто диагностируется клинически, так как инвазия в миометрий сопровождается кровотечением, болевым синдромом, а измерение уровня ХГЧ позволяет удостовериться в правильности диагноза. Поэтому терапию инвазивного заноса начинают даже без гистологической верификации [1].
Следует заметить, что данная патология может проявлять себя крайне необычно. Известны случаи внезапной смерти первородящей женщины [10], спонтанное почечное кровотечение [11], развитие инвазивного пузырного заноса с метастазами вследствие ятрогенной перфорации матки [12] и т.п.
Хориокарцинома
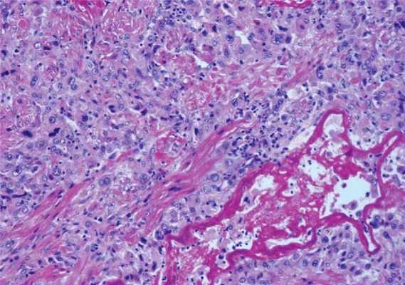
Примерно 2-3 % пузырных заносов трансформируются в хориокарциному — злокачественную опухоль, для которой характерна прямая инвазия в миометрий, аномальная гиперплазия и анаплазия трофобласта. Ворсины хориона отсутствуют, в ткани — обширные некрозы; нередки кровотечения [1].
.

Рисунок 3. Хориокарцинома
Хориокарцинома также имеет множество форм, и, пожалуй, заслуживает отдельного обсуждения. Следует только заметить, что метастазирует данная опухоль практически в любой орган и любую ткань [13].
Трофобластическая опухоль плацентарного ложа и эпителиоидная трофобластическая опухоль
Трофобластическая опухоль плацентарного ложа (ТОПЛ) — крайне редкое злокачественное заболевание. Оно возникает, когда в месте имплантации клетки трофобласта начинают делиться и проникать в миометрий между его мышечными волокнами [1].
.

Рисунок 4. Опухоль плацентарного ложа. Клетки опухоли проникают в ткань между мышечными волокнами миометрия [14].
Обычно подобная опухоль имеет форму полиповидного или узелкового плотного образования небольшого размера (≈ 5 см). Сама опухоль гомогенна, состоит из полигональных клеток с выраженным атипизмом; зачастую проникает глубоко в ткань [14], [15]. Как ни странно, ТОПЛ крайне хорошо реагирует на химиотерапию. В случае, если у пациентки нет метастазов — рекомендуется хирургическое лечение.
Эпителиоидная трофобластическая опухоль (ЭТ) — это еще более редкая форма ТОПЛ, которая несколько схожа с хориокарциномой. Представляет собой множество пролиферирующих одноядерных клеток трофобласта. В ряде случаев опухоль может частично заместить собой эпителий эндоцервикса.
Существенной разницы в лечении ТОПЛ и ЭТ нет, однако важно заметить, что эпителиоидная трофобластическая опухоль может возникнуть спустя годы после беременности [1], [16].
Метастазы гестационной трофобластической неоплазии (ГТН) - обследование
В отличие от рака эндометрия гестационная трофобластическая неоплазия (ГТН) обычно метастазирует гематогенным путем. Инвазивный ПЗ и хориокарцинома обладают способностью к локальной инвазии миометрия, что открывает доступ к капиллярам и небольшим венам.
Распространение опухоли в субвагинальное венозное сплетение обусловливает метастазы во влагалище, а при поражении основной венозной системы матки формируются метастазы в параметрии и легких. Прямой выход клеток в систему кровообращения встречается редко, поэтому большая часть диссеминированных метастазов появляется только после развития метастазов в легких.
Возможна гематогенная диссеминация из легких через большой круг кровообращения. Чаще всего поражаются головной мозг, печень, ЖКТ и почки, но описаны метастазы в каждом органе. Лимфогенные метастазы при хориокарциноме и инвазивном ПЗ встречаются относительно редко. Необходимо помнить о преимущественно гематогенном метастазировании гестационной трофобластической неоплазии (ГТН), составляя план лучевых исследований.
Для пациенток с гестационной трофобластической неоплазией (ГТН) обследование перед началом лечения включает оценку клинических факторов риска, физикальное, лабораторные и лучевые исследования для определения локализации возможных метастазов и их количества.

Метастаз гестационной трофобластической неоплазии во влагалище в виде подслизистой кровоточащей опухоли, расположенной ниже уретры.
Влагалищные метастазы хорошо васкуляризованы, поэтому биопсия их опасна
Клинические факторы риска для оценки стадирования и лечения включают длительность заболевания (интервал времени с момента последней беременности), тип предшествующей беременности и предшествующее лечение. Особые клинические характеристики ТОПП, подтвержденной гистологическим исследованием, позволяют классифицировать ее отдельно от гестационной хориокарциномы или ГТН после эвакуации ПЗ.
Лабораторное исследование до начала химиотерапии (XT): основные гематологические и биохимические показатели, содержание ХГ. Важно подчеркнуть, что для стадирования принимают во внимание уровень ХГ, определенный непосредственно перед лечением злокачественной ГТН, а не во время эвакуации ПЗ.
Влагалищные метастазы гестационной трофобластической неоплазии (ГТН) чаще всего диагностируют при физикальном исследовании. Они поражают подслизистую основу передней стенки влагалища и выглядят как темные, часто синие, мягкие узлы. Возможно изъязвление или активное кровотечение. Из-за высокой васкуляри-зации этих поражений биопсия не показана. Если влагалище — единственное место локализации метастазов, то в большинстве случаев отмечают быструю реакцию на XT.
Для контроля активного кровотечения вначале лечения некоторым пациенткам может понадобиться тампонада влагалища или селективная эмболизация с применением методов интервенционной радиологии.
Рекомендуют следующие методы лучевой диагностики для стадирования гестационной трофобластической неоплазии (ГТН): рентгенографию или КТ грудной клетки, КГ или МРТ брюшной полости и таза, контрастная КТ или МРТ головного мозга. Для исключения маточной беременности перед началом XT проводят УЗИ органов таза. УЗИ и МРТ матки можно использовать для выявления маточных новообразований и участков инвазии гестационной трофобластической неоплазии (ГТН) в миометрий, но эти методы недостаточно чувствительны и специфичны и не заменяют мониторинга сывороточного ХГ как при диагностике ГТН, так и наблюдении за пациентками после лечения.
Примерно у 45 % больных к моменту установления диагноза ГТН имеются метастазы. В соответствии с распределением метастазов у пациенток, получавших первичное лечение по поводу злокачественных ГТН в Duke University Medical Center, очаги поражения чаще всего возникают в легких. Как правило, индикатором высокого риска метастазирования служат легочные метастазы, выявляемые при рентгенографии грудной клетки, или имеются другие симптомы метастатического поражения. Однако для установления диагноза неметастатической ГТН необходимо полное исследование на наличие метастазов, даже несмотря на отсутствие поражений на рентгенограмме грудной клетки.

Легочные метастазы гестационной трофобластической неоплазии встречаются в виде (а) солитарного узла или (б) диффузной инфильтрации
У 29—41 % пациенток, получавших лечение по поводу неметастатической гестационной трофобластической неоплазии (ГТН), были метастазы в легких, Fie определявшиеся при рентгенографии, fio выявленные при КТ. Клиническое значение скрытых метастазов в легких, если это единственное место внематочного распространения злокачественной ГТН, продолжает оставаться предметом дискуссий. Однако многие исследования у больных, получавших лечение по поводу метастазов высокого риска, включают лиц с первоначально нормальной рентгенограммой грудной клетки. Ошибка диагностики метастатической ГТН высокого риска на основании нормальной рентгенограммы грудной клетки и задержка в связи с этим активного лечения может иметь неблагоприятные последствия для больной.
Хирургические вмешательства могут быть включены в план лечения больных со злокачественной ГТН. Однако их редко применяют для постановки диагноза и определения стадии заболевания. Повторное выскабливание полости матки перед началом XT ГТН, возникшей после эвакуации ПЗ, — предмет активного обсуждения. По опыту University of Southern California, эта операция имела значение для лечения только 20 % женщин, а в 8 % случаев осложнилась перфорацией матки, потребовавшей выполнения гистерэктомии.
К другому мнению пришли Pezeshki и соавт., проанализировав результаты лечения 544 женщин, которым провели повторное выскабливание полости матки по поводу предполагаемой ГТН после эвакуации ПЗ, основываясь на показателях уровня ХГ. После повторной эвакуации содержимого полости матки у 368 (68 %) больных наступила спонтанная ремиссия. Из 251 пациентки с гистологическим диагнозом персистирующей, но неинвазивной ГТБ в 96 (38 %) случаях потребовалась XT, а среди 219 больных с отрицательным результатом гистологического исследования после повторного выскабливания слизистой оболочки матки — в 39 (18 %) случаях.
В США многие клиницисты лечат больных гестационной трофобластической неоплазией (ГТН) после эвакуации ПЗ без повторного выскабливания, поскольку оно может неблагоприятно повлиять на фертильность. Необходимость в других оперативных вмешательствах, таких как лапароскопия, торакотомия или краниотомия, при первичном установлении диагноза ГТН возникает редко.
Трофобластическая болезнь
Трофобластическая болезнь – общее понятие, объединяющее различные формы ассоциированной с беременностью пролиферативной неоплазии трофобласта. Термин «трофобластическая болезнь» включает в себя пузырный занос (частичный и полный), инвазивный пузырный занос, хорионкарциному, эпителиоидную трофобластическую опухоль, трофобластическую опухоль плацентарной площадки. Диагностика трофобластической болезни основывается на данных УЗИ и КТ, исследования концентрации ХГЧ в крови. Лечение может включать эвакуацию пузырного заноса, химиотерапию, гистеротомию.
Общие сведения
В гинекологии трофобластическая болезнь является довольно редкой патологией и встречается в 1—2,5% случаев; ее развитие ассоциировано с беременностью; первичной локализацией практически всегда служит матка. Среди различных форм трофобластической болезни на полный пузырный занос приходится 72,2% случаев; на частичный – 5%; на хорионкарциному - 17,5%, другие виды - 5,3%. При трофобластической болезни возникают пролиферативные аномалии наружного слоя клеток зародыша, участвующих в формировании эпителиального покрова ворсин хориона. Возникновение трофобластической болезни возможно как во время гестации, так и после завершения беременности. Трофобластическая болезнь может иметь доброкачественное или злокачественное течение.
Классификация трофобластической болезни
Международная классификация различает доброкачественные формы трофобластической болезни (частичный и полный пузырный занос) и злокачественные неоплазии (инвазивный пузырный занос, хорионкарциному, трофобластическую опухоль плацентарного ложа, эпителиоидноклеточную трофобластическую опухоль). Злокачественные неоплазии могут иметь неметастазирующее и метастазирующее клиническое течение низкой либо высокой степени риска.
Согласно клинической классификации FIGO, выделяют следующие стадии трофобластической болезни:
- I – локализация трофобластического новообразования ограничена маткой
- II – трофобластическая неоплазия распространяется на широкую связку матки, придатки, влагалище, но ограничивается гениталиями.
- III – кроме поражения половых органов, определяются метастазы в легкие
- IV – кроме легочных метастазов, определяются поражения селезенки, почек, ЖКТ, печени, головного мозга.
Причины развития трофобластической болезни
Различные формы трофобластической болезни рассматриваются онкогинекологией как единый этиопатогенетический процесс. Среди этиологических предпосылок трофобластической болезни не исключаются особые свойства яйцеклетки, влияние вирусов (в частности, вируса гриппа) на трофобласт, иммунологические факторы, повышение активности гиалуронидазы, хромосомные аберрации, дефицит белка.
Замечено, что вероятность развития трофобластической болезни в 5 раз выше у женщин старше 40 лет, чем у женщин до 35 лет. Среди других факторов риска выделяют наличие в анамнезе эпизодов самопроизвольного прерывания беременности, абортов, внематочной беременности, родов. В географическом плане трофобластическая болезнь чаще развивается у жительниц Востока, чем у представительниц западных стран.
Шансы на развитие хорионкарциномы значительно возрастают после перенесенного пузырного заноса по сравнению с нормально протекающей беременностью. В свою очередь, вероятность развития инвазивного пузырного заноса выше после полной формы пузырного заноса, чем после частичной. Трансформация структур трофобласта может развиваться в процессе беременности (нормальной или эктопированной) либо после завершения гестации (родов, выкидыша, аборта).
Симптомы трофобластической болезни
Клиника пузырного заноса характеризуется влагалищными кровотечениями (90%); превышением размеров матки должной величины, соответствующей сроку гестации (50%); двусторонними текалютеиновыми кистами более 8 см в диаметре (до 40% случаев). Течение пузырного заноса может осложняться токсикозом беременных (неукротимой рвотой), артериальной гипертензией, преэклампсией, признаками гипертиреоза (гипертермией, тахикардией и др.), разрывом овариальных кист, профузным кровотечением. В редких случаях при данной форме трофобластической болезни развивается ТЭЛА, ДВС-синдром.
Клиническими особенностями инвазивного пузырного заноса служит инфильтративный рост, высокая вероятность трансформации в хорионкарциному, в трети случаев - метастазирование в вульву, влагалище, легкие. Трофобластическая хорионкарцинома способна глубоко инфильтрировать и разрушать стенку матки, поэтому обычно первым проявлением данной формы трофобластической болезни служит массивное кровотечение. Хорионкарцинома обладает высокой частотой метастазирования в легкие, органы малого таза, печень, селезенку, головной мозг, почки, желудок, обуславливая соответствующую клиническую симптоматику.
Трофобластическая опухоль плацентарного ложа обладает инфильтрирующим ростом, что сопровождается разрушением серозного покрова матки, кровотечениями; может метастазировать во влагалище, брюшную полость, головной мозг. Эпителиоидноклеточная трофобластическая опухоль чаще имеет локализацию в области дна матки и в цервикальном канале, что может проявляться признаками, типичными для рака тела или шейки матки. Данная форма трофобластической болезни нередко манифестирует спустя несколько лет после беременности, заявляя о себе наличием отдаленных метастазов.
В связи с наличием метастазов могут отмечаться головные боли, боли в грудной клетке, кашель с выделением кровянистой мокроты, желудочные кровотечения, кишечная непроходимость, парезы, интоксикация, анемия, кахексия и т. д. При различных формах трофобластической болезни могут возникать боли в животе, связанные с прорастанием опухолью параметрия, сдавлением нервных стволов, перфорацией матки, разрывом или перекрутом ножки кисты.
Диагностика
В анамнезе у всех пациенток с трофобластической болезнью отмечается беременность, завершившаяся абортами (искусственными или самопроизвольными), родами, тубэктомией по поводу внематочной беременности. Большинство пациенток жалуется на аменорею, ациклические маточные кровотечения, олигоменорею, меноррагии, боли в животе или груди, головную боль, кровохарканье, кашель. Во время гинекологического исследования обнаруживаются увеличенные размеры матки, не соответствующие должному сроку беременности или послеродового периода. Нередко гинекологу удается пропальпировать опухолевые узлы в матке, малом тазу, влагалище.
Использование трансвагинального УЗИ позволяет обнаружить опухоли трофобласта с минимальным размером 4 мм. Патогномоничным признаком трофобластической болезни является обнаружение текалютеиновых кист яичников, часто больших размеров. Концентрация ХГЧ в плазме крови при трофобластической болезни всегда повышена. Важнейшим критерием диагностики трофобластической болезни служит морфологическое исследование тканей, полученных в ходе диагностического выскабливания матки, лапароскопии, иссечения опухолей стенки влагалища, пункции метастазов.
С помощью вспомогательных методов (УЗИ брюшной полости, печени, почек; КТ, ПЭТ, МРТ головного мозга; рентгенографии грудной клетки, КТ легких; тазовой ангиографии) определяются метастазы в малом тазу и отдаленных органах. При выявлении метастазов экстрагенитальной локализации возникает необходимость в консультации абдоминального хирурга, пульмонолога, нейрохирурга, уролога и т. д.
Лечение трофобластической болезни
Лечебная тактика при трофобластической болезни определяется ее формой и стадией. При пузырном заносе производится его вакуум-экстракция с контрольным кюретажем полости матки. Обязательно назначение контрацепции в течение года после удаления пузырного заноса. Химиотерапия при динамическом снижении ХГЧ не назначается. Во всех случаях трофобластической болезни со злокачественным течением показано проведение химиотерапии по одной из схем (метотрексат + дактиномицин; этопозид + цисплатин; дактиномицин + метотрексат + цисплатин + винкристин).
Хирургическая тактика обоснована при угрожающем кровотечении из первичной опухоли, перфорации стенки матки, резистентности к химиотерапии. У больных репродуктивного возраста возможно выполнение органосохраняющей гистеротомии с иссечением опухолевых тканей; у пациенток, не планирующих деторождение, целесообразно удаление матки методом надвлагалищной ампутации или радикальной гистерэктомии.
После курса терапии осуществляется мониторинг ХГЧ и характера менструального цикла, эхографический контроль, динамическая рентгенография легких, по показаниям – МРТ головного мозга в течение 2-3-х лет. Беременность женщинам, перенесшим трофобластическую болезнь, разрешается, не ранее, чем через 12-18 мес. после излечения.
Прогноз при трофобластической болезни
Правильность и своевременность лечения трофобластической болезни гарантирует в абсолютном большинстве случаев хороший прогноз. Химиотерапия позволяет вылечить 100% пациенток с неметастазирующим течением трофобластической болезни и около 70% с метастазирующими формами.
У молодых женщин обычно удается сохранить генеративную функцию. Дальнейшее наблюдение и обследование, ведение менограммы и контрацепция позволяют рассчитывать на успешное протекание последующей беременности. Рецидивы трофобластической болезни наблюдаются в 3-8% случаях.
Метастазы в позвоночник
Метастазы в позвоночник – вторичное злокачественное поражение позвоночного столба, возникающее при миграции опухолевых клеток из очага, расположенного в другом органе. Проявляются болями, нарушениями чувствительности и движений, парезами, параличами, тазовыми расстройствами, гиперкальциемией и патологическими переломами. Диагноз «метастазы в позвоночник» устанавливают с учетом анамнеза, общего и неврологического осмотра, рентгенографии позвоночника, КТ позвоночника и других диагностических процедур. Лечение – химиопрепараты, радиотерапия, гормональная терапия, ламинэктомия, стабилизирующая операция.
Метастазы в позвоночник – вторичные очаги злокачественной опухоли другой локализации, поражающие позвонки и близлежащие анатомические структуры. Являются самым распространенным вторичным злокачественным поражением скелета. Составляют 13% от общего количества онкологических заболеваний. Встречаются чаще первичных неоплазий позвоночного столба. В 80% случаев метастазы в позвоночник диагностируются при раке легких, раке молочной железы и предстательной железы. Нередко обнаруживаются при саркомах и лимфомах. Может поражаться любой отдел позвоночника. Чаще страдают грудной и поясничный отделы, в шейном отделе метастазы в позвоночник выявляются относительно редко. Прогноз неблагоприятный. Лечение проводят специалисты в сфере онкологии и вертебрологии.
Классификация метастазов в позвоночник
С учетом характерных изменений костного вещества выделяют два вида метастазов в позвоночник:
- Остеолитические (остеокластические) вторичные очаги – характеризуются преимущественной активизацией остеокластов, растворяющих костную ткань. Сопровождаются видимым на рентгенограммах снижением высоты позвонков.
- Остеобластические (остеосклеротические) метастазы в позвоночник – характеризуются бесконтрольным разрастанием и увеличением плотности костной ткани. На рентгенограммах проявляются «пятнистостью», изменением формы и увеличением объема пораженной кости. Наряду с телами в процесс могут вовлекаться дуги и отростки позвонков.
Морфологическая структура метастазов в позвоночник отличается большой вариабельностью и зависит от типа первичной неоплазии. В процессе гистологического исследования могут выявляться высоко- средне- и низкодифференцированные и анапластические карциномы, плоскоклеточный рак и прочие типы злокачественных новообразований.
Симптомы метастазов в позвоночник
Первым проявлением обычно становится болевой синдром. Боли чаще тупые, ноющие, локальные либо распространяющиеся за пределы уровня поражения. Неинтенсивные боли при метастазах в позвоночник могут напоминать аналогичный симптом при остеохондрозе, однако отличаются от него большей стойкостью и быстрым прогрессированием. На ранних этапах болезненность при метастазах в позвоночник может быть незначительной, провоцироваться постукиванием по позвонкам, поворотами шеи или подъемом выпрямленной нижней конечности.
В последующем боли становятся постоянными, сохраняются в покое. Типичной особенностью метастазов в позвоночник являются ночные боли. Возможна стойкая локальная болезненность, на фоне которых возникает ощущение «ударов током» при движениях. Места «ударов» совпадают с проекцией корешков. При метастазах в позвоночник в области шеи боли иррадиируют в верхние конечности, при поражении грудного отдела опоясывают туловище, при локализации в поясничном либо крестцовом отделе отдают в нижние конечности.
При прогрессировании процесса возникают корешковые расстройства в виде пояснично-крестцового либо шейно-плечевого радикулита. В ходе неврологического осмотра у больных с метастазами в позвоночник выявляются положительные симптомы Нери, Ласега, посадки Минора и т. д. У некоторых пациентов определяются расстройства болевой чувствительности по корешковому типу. Для корешковых болей при метастазах в позвоночник характерна определенная цикличность: на начальном этапе поражения очередного корешка интенсивность болевого синдрома нарастает, после его полного разрушения исчезает, чтобы затем появиться вновь при распространении на следующий корешок.
У больных с метастазами в позвоночник обнаруживаются полиневропатии в виде парестезий, снижения чувствительности по типу чулок и перчаток, гипергидроза и покраснения дистальных отделов конечностей. Парезы и параличи при метастазах в позвоночник развиваются внезапно либо постепенно. Наблюдаются нарушения движений и чувствительности в сочетании с тазовыми расстройствами. Особенности клинической картины определяются уровнем поражения, скоростью прогрессирования компрессии, расположением метастаза по отношению к спинному мозгу и особенностями кровоснабжения пораженной зоны. Синдром Броун-Секара при метастазах в позвоночник встречается редко.
При усиленной резорбции костной ткани может развиваться гиперкальциемия, проявляющаяся сонливостью, заторможенностью, эмоциональной лабильностью, ухудшением памяти, когнитивными расстройствами, мышечно-суставными болями, ухудшением аппетита, нарушениями пищеварения, аритмией, повышением артериального давления, кожным зудом и другими симптомами. Гиперкальциемические расстройства усугубляют состояние больного. Наряду с перечисленными выше проявлениями, вызванными метастазами в позвоночник, у пациента могут выявляться симптомы, обусловленные первичной неоплазией и метастазами, расположенными за пределами позвоночного столба.
Диагностика метастазов в позвоночник
Диагноз выставляется с учетом истории болезни, клинических проявлений и дополнительного обследования. При изучении анамнеза обращают внимание на наличие злокачественных опухолей, способных к метастазированию в область позвоночного столба. При этом онкологи учитывают, что симптомы метастазов в позвоночник могут возникать как одновременно или почти одновременно с проявлениями первичной неоплазии, так и через несколько месяцев либо даже лет после ее радикального лечения. Отсутствие в анамнезе онкологического заболевания не является поводом для исключения метастазов в позвоночник. Иногда определить локализацию первичного процесса не удается, несмотря на проведение комплексного обследования пациента.
О наличии онкологического заболевания свидетельствует положительный анализ крови на онкомаркеры. На начальном этапе диагностики больным с подозрением на метастазы в позвоночник назначают рентгенографию позвоночника. На ранних стадиях метастазирования рентгенологические признаки поражения позвонков могут отсутствовать, поэтому при отрицательном результате исследования пациентов с подозрением на метастазы в позвоночник направляют на сцинтиграфию, КТ и МРТ позвоночника. Для выявления первичной неоплазии и вторичных очагов проводят УЗИ органов брюшной полости, рентгенографию органов грудной клетки, маммографию и другие диагностические процедуры. Дифференциальную диагностику метастазов в позвоночник осуществляют с сосудистыми поражениями, последствиями воспалительных заболеваний, вторичной демиелинизацией и первичными неоплазиями позвоночного столба.
Лечение метастазов в позвоночник
План лечения определяется типом и распространенностью первичного новообразования, общим состоянием пациента, объемом и проявлениями метастазов в позвоночник. Основными целями терапии являются уменьшение болевого синдрома, предотвращение или устранение сдавления спинного мозга, улучшение качества и увеличение продолжительности жизни пациентов. В процессе лечения метастазов в позвоночник используются химиопрепараты, дифосфонаты, лучевая терапия, гормональная терапия и оперативные вмешательства.
Решение о необходимости химио- и радиотерапии при метастазах в позвоночник принимают с учетом чувствительности первичной опухоли. При гормонально зависимых неоплазиях осуществляют гормональную терапию. Для подавления резорбции кости и устранения гиперкальциемии назначают дифосфонаты. Хирургические вмешательства при метастазах в позвоночник обычно носят паллиативный характер. Показаниями к операции являются интенсивные боли, прогрессирующее сдавление спинного мозга, острый корешковый синдром при нестабильности позвоночника и патологический перелом пораженного позвонка со сдавлением спинного мозга. Объем вмешательства зависит от состояния больного с метастазами в позвоночник, прогноза заболевания, типа неоплазии и распространенности поражения в области позвоночного столба. Все операции при метастазах в позвоночник можно разделить на две группы: декомпрессивные и декомпрессивно-стабилизирующие.
Декомпресивные операции (ламинэктомии) относительно просты и легче переносятся больными. Их основным недостатком является высокая вероятность повторного ухудшения состояния пациентов вследствие прогрессирования метастазов и нестабильности позвоночного столба, обусловленной ламинэктомией. Декомпрессивно-стабилизирующие операции (с использованием фиксаторов, имплантатов, ауто- и аллотрансплантатов) позволяют рано активизировать больных, обеспечивают долговременный эффект и существенно улучшают качество жизни пациентов с метастазами в позвоночник. Основными недостатками таких вмешательств являются их высокая травматичность, невозможность проведения при тяжелом состоянии и диссеминированных процессах.
Прогноз при метастазах в позвоночник
Метастазы в позвоночник возникают при IV стадии онкологического процесса, которая считается прогностически неблагоприятной. Вместе с тем, метастазы в кости протекают достаточно благоприятно в сравнении с вторичными поражениями висцеральных органов. Средняя продолжительность жизни при метастазах в позвоночник составляет от 1 до 2 лет. В качестве неблагоприятных прогностических факторов рассматривают быстрый агрессивный рост первичной неоплазии, множественные метастатические поражения различных органов, непродолжительный период времени между терапией первичного новообразования и возникновением метастазов в позвоночник, большой размер метастатической опухоли, отсутствие признаков склероза на рентгенограммах позвонков до и после терапии, тяжелое состояние пациента. Благоприятными прогностическими факторами являются медленный рост первичной опухоли, одиночный характер метастазов в позвоночник, небольшой размер вторичной неоплазии, наличие признаков склероза на рентгенограммах до и после терапии, удовлетворительное состояние больного.
Читайте также:
- Лучевая диагностика фиброламеллярного рака печени
- Регуляция секреции гормонов щитовидной железы. Воздействие гипофиза на щитовидную железу
- Лучевая диагностика гиперэкстензионной травмы шейного отдела позвоночника
- Лечение экстрамедуллярной опухоли спинного мозга
- Рак лобной пазухи. Саркомы полости носа
