Лучевая диагностика фиброламеллярного рака печени
Добавил пользователь Евгений Кузнецов Обновлено: 28.01.2026
КТ, МРТ, УЗИ признаки фиброламеллярного рака печени
а) Терминология:
1. Аббревиатура:
• Фиброламеллярный рак (ФЛР) печени
2. Синоним:
• Фиброламеллярный гепатоцеллюлярный рак
3. Определение:
• Редко встречающаяся злокачественная опухоль печени:
о С отличными от «традиционного» гепатоцеллюлярного рака клиническими, патоморфологическими и лучевыми признаками
б) Визуализация:
1. Общая характеристика:
• Лучший диагностический критерий:
о Крупное объемное образование, неравномерно накапливающее контраст, с неровными, бугристыми контурами, с гипоинтенсивным центральным рубцом и радиально расходящимися перегородками
• Локализация:
о В паренхиме печени (80%)
о На ножке (20%)
• Размер:
о 5-20 см (среднее значение 13 см)
• Основные особенности:
о Медленно растущая опухоль, возникающая в неизмененной печени (не на фоне цирроза):
- Может также возникать на фоне цирроза (менее чем в 20% случаев)
о Часто обнаруживаются «сателлитные» очаги
о Типичная картина при микроскопии:
- Эозинофильные гепатоциты с признаками злокачественной трансформации, с хорошо заметными ядрами
о Отсутствие патологических маркеров (например, включений телец альфа-фетопротеина), которые присутствует в узлах «традиционного» гепатоцеллюлярного рака
о ФЛР характеризуется лучшим прогнозом по сравнению с «традиционным» ГЦР но, тем не менее, является местно инвазивным и часто метастазирует
(Слева) На аксиальной КТ с контрастным усилением у девушки 21 года с пальпируемым образованием в эпигастрии в левой доле печени визуализируется опухоль, интенсивно накапливающая контраст. Опухоль имеет несколько неоднородную структуру, в ее центре визуализируется рубец с несколькими небольшими включениями кальция, наличие которых более характерно для фиброламеллярного рака, чем для фиброзной нодулярной гиперплазии.
(Справа) На КТ у этой же пациентки определяется, что образование имеет однородную структуру, вновь визуализируются мелкие кальцинаты в образовании, которое было удалено и верифицировано как фиброламеллярный рак. (Слева) На Т2 ВИ МР томограмме (у мужчины 25 лет с жалобами на раннее насыщение и снижение веса) в печени визуализируется большое образование с гиперинтенсивным сигналом, неоднородной структуры, состоящее из двух долей. Обратите внимание на гипоинтенсивный центральный рубец.
(Справа) На аксиальной Т1 ВИ МР томограмме в артериальной фазе контрастного усиления у этого же пациента визуализируются хорошо отграниченные образования (основное и «сателлитное») неоднородной структуры, с бугристыми контурами, относительно хорошо выраженной васкуляризацией. Фиброзный рубец минимально накапливает контраст в этой фазе, однако в случаях фиброламеллярного рака часто характеризуется персистирующим контрастным усилением в отсроченной фазе.
2. КТ признаки фиброламеллярного рака:
• КТ без контрастного усиления:
о Объемное образование:
- Хорошо ограничено от окружающих тканей
- Имеет низкую плотность и неоднородную структуру
о Центральный рубец и перегородки: сигнал пониженной интенсивности
о Часто обнаруживаются обызвествления и некроз (более чем в 50% случаев)
о Кровоизлияния нетипичны
• КТ с контрастным усилением:
о В артериальной фазе:
- Неравномерное повышение плотности опухоли (80%)
о В портальной фазе:
- Опухоль становится изо- или гиподенсной по отношению к печени
о В отсроченной фазе:
- Опухоль остается изоденсной печени
- Рубец и перегородки становятся гиперденсными
о Признаки злокачественности:
- Инвазия кровеносных сосудов и желчных протоков
- Метастазы в лимфоузлах (более чем в 50% случаев):
В лимфоузлы ворот печени и кардиофренальные
- Метастазы в легких
3. МРТ признаки фиброламеллярного рака:
• Т1 ВИ:
о Опухоль: неоднородная структура, минимально гипоинтенсивный сигнал
о Рубец и перегородки: гипоинтенсивный сигнал
• Т2 ВИ:
о Опухоль: имеет неоднородную структуру, сигнал гиперинтенсивный
о Рубец и перегородки: гипоинтенсивный сигнал
• Т1 ВИ с контрастным усилением:
о В артериальной и портальной фазе
- Опухоль интенсивно и неравномерно накапливает контраст, накопление контраста в рубце отсутствует
о В отсроченной фазе
- Более равномерное контрастное усиление опухоли
- Частичное контрастное усиление рубца и перегородок
4. УЗИ признаки фиброламеллярного рака:
• Серошкальное УЗИ: о Образование:
- Солитарное, большого размера, с бугристыми контурами, хорошо отграниченное от окружающих тканей
- В вариабельной эхотекстурой
о Центральный рубец выглядит гиперэхогенным
5. Рекомендации по визуализации:
• Многофазная КТ или МРТ (мультипланарное исследование)
(Слева) На аксиальной КТ без контрастного усиления у юноши 17 лет с пальпируемым образованием в эпигастрии визуализируется большая опухоль с включениями кальция. Настолько крупные кальцинаты практически никогда не обнаруживаются в узлах ОНГ.
(Справа) На КТ в артериальной фазе контрастного усиления у этого же пациента определяется неравномерное контрастное усиление образования; видна также крупная артерия , осуществляющая его кровоснабжение. (Слева) На КТ в артериальной фазе контрастного усиления у этого же пациента определяется неравномерно повышенное накопление контраста в образовании; визуализируется также опухолевый тромб, вызывающий расширение воротной вены. Обратите внимание на метастатическое поражение регионарных лимфоузлов, которые, так же, как и опухоль, выглядят гиперваскулярными. У пациента также обнаружены метастазы в легких.
(Справа) На КТ в венозной фазе контрастного усиления у этого же пациента определяется, что опухоль по-прежнему неоднородна, имеет место также некоторое вымывание контраста в опухолевом тромбе внутри воротной вены. Визуализируются вторично измененные лимфоузлы; видны также кальцинаты в опухоли. (Слева) На Т2 ВИ МР томограмме у девушки 20 лет с жалобами на раннее насыщение и снижение веса визуализируется большое, неоднородное образование, замещающее левую долю печени. Обратите внимание на гипоинтенсивный центральный рубец.
(Справа) На аксиальной Т1 ВИ МР томограмме с контрастным усилением у этой же пациентки образование остается неоднородным. Была выполнена резекция опухоли и лимфатических узлов, поскольку альтернативные методы лечения при обнаружении опухоли у молодой пациентки отсутствуют, а циторедуктивная операция доказано способствует повышению выживаемости.
в) Дифференциальная диагностика фиброламеллярного рака:
1. Очаговая нодулярная гиперплазия (ОНГ):
• Выраженное гомогенное контрастное усиление в артериальной фазе КТ или МРТ
• Рубец: гиперинтенсивный сигнал на Т2 ВИ
• Не имеет капсулы и не содержит включений кальция
• Равномерно накапливает и длительно удерживает гепатобилиарный МР-контраст (на основе гадоксетовой кислоты):
о Что является наиболее специфичным признаком ОНГ
• Микроскопия:
о Отсутствие патологически измененных гепатоцитов, дезорганизация терминальных желчных протоков
2. «Традиционный» гепатоцеллюлярный рак:
• Более чем в 90% случаев возникает на фоне цирроза или хронического заболевания печени
• В узлах ГЦР чаще обнаруживаются кровоизлияния, участки некроза, кальцинаты, а также включения жира
• Прорастает в сосуды, дает метастазы в лимфоузлы и внутренние органы
• Может быть мультифокальным
• «Традиционный» ГЦР при отсутствии цирроза печени может напоминать ФЛР
3. Кавернозная гемангиома печени:
• Большая гемангиома (больше пяти сантиметров):
о Гиподенсное образование неоднородной структуры
о В центре гемангиомы находится зона более низкой плотности (рубец), в которой иногда обнаруживаются кальцинаты
о Периферическое нодулярное или глобулярное контрастное усиление в артериальной фазе
о В венозной и отсроченной фазе:
- Неполное центрипетальное контрастное усиление
- Рубец не накапливает контраст
• Типичная гемангиома представляет собой хорошо отграниченное образование округлой или вытянутой формы, изоденсное крови на КТ до и после контрастного усиления
4. Периферическая холангиокарцинома:
• Периферическое гиподенсное солитарное образование или «сателлитные» очаги
• Расширение желчных протоков дистальнее опухоли
• Отсутствие центрального рубца и более выраженные фиброзные изменения
• Раннее контрастное усиление в виде «ободка» с прогрессирующим, длительно сохраняющимся, неравномерным накоплением контраста в центральной части
• Холангиокарцинома часто приводит к уменьшению объема печени и ретракции капсулы
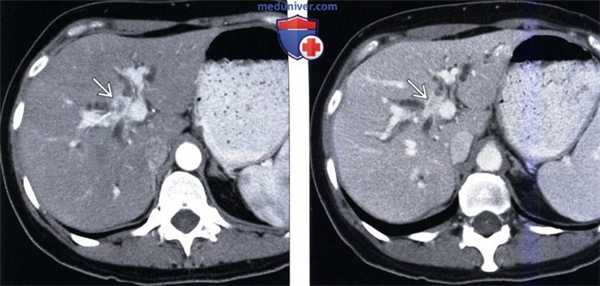
(Слева) На КТ в артериальной фазе контрастного усиления у мужчины 35 лет с пальпируемым в эпигастрии образованием визуализируется большое объемное образование с неровными контурами, в котором находятся крупные, ветвящиеся неопластические кровеносные сосуды.
(Справа) На более каудальном срезе у этого же пациента определяется неравномерно повышенное накопление контраста в образовании, визуализируется гиподенсный центральный рубец. Обратите внимание на крупную артерию, несущую кровь по направлению к образованию. (Слева) На КТ в венозной фазе контрастного усиления у этого же пациента визуализируется образование с неровными контурами, наличием капсулы, неравномерно накапливающее контраст, что позволяет отличить опухоль от ОНГ.
(Справа) На более каудальном срезе в венозной фазе контрастного усиления у этого же пациента вновь визуализируется образование, неравномерно накопившее контраст. (Слева) На КТ в отсроченной фазе контрастного усиления у этого же пациента визуализируются участки опухоли, длительно удерживающие контраст и становящиеся гиперденсными по отношению к печени, что является признаком наличия фиброзной стромы (характерная особенность фиброламеллярного рака).
(Справа) На корональной КТ у этого же пациента визуализируется образование: с признаками, характерными для ФЛР (большое, гиперваскулярное образование неоднородной структуры с крупным рубцом в центре, обнаруживаемое при отсутствии клинических или лучевых признаков цирроза или хронического заболевания печени). (Слева) Фиброламеллярный рак печени обычно выглядит как узел дольчатой структуры с центральным рубцом. Обратите также внимание на отсутствие признаков цирроза со стороны печени. (J. Misdraji, MD).
(Справа) В микропрепарата фиброламеллярного рака под малым увеличением видны тяжи неопластических гепатоцитов, разделенные параллельно идущими массивами стромы, состоящие из волокон коллагена ЕЕЗ (J. Misdraji, MD).
г) Патология:
1. Общая характеристика:
• Этиология:
о Специфические факторы риска отсутствуют
о Обычно опухоль возникает при отсутствии цирроза или любого другого заболевания печени:
- Менее чем в 5% случаев может иметь место гепатит или цирроз
2. Стадирование, градация и классификация:
• В случае агрессивных вариантов ФЛР-аналогичны таковым для «традиционного» ГЦР
3. Макроскопические и хирургические особенности:
• Объемное образование большого размера, единичное, хорошо отграниченное, с бугристыми контурами, без капсулы
• На срезе опухоль имеет темно-коричневый или коричневато-зеленый цвет, видны тяжи фиброзной ткани
• Инфильтрация фиброзных перегородок, центральный рубец (45-60%)
• Редко имеет капсулу
• В 80-90% случаев представляет собой солитарное образование
• Сателлитные очаги около печени (10-15%)
• Находится в паренхиме печени (80%) или на ножке (20%)
• Средний размер опухоли составляет 13 см, может колебаться в пределах 5-20 см
4. Микроскопия:
• Крупные, эозинофильные клетки полигональной формы:
о Сгруппированные в пласты, тяжи или трабекулы
о И разделенные параллельными листками (перегородками), состоящими из фиброзной ткани (т. н. ламели)
• Большие ядра с хорошо заметными ядрышками
• «Зернистый» вид цитоплазмы
д) Клинические особенности:
1. Проявления фиброламеллярного рака:
• Наиболее частые признаки/симптомы:
о Боль, гепатомегалия, пальпируемое образование в эпигастральной области, кахексия
о В отдельных случаях при инвазии желчных протоков может возникать желтуха
о Симптомы:
- Обычно возникают за 3-12 месяцев до установления диагноза
о Реже ФЛР проявляется::
- Метастатической болезнью, лихорадкой, гинекомастией
- Венозным тромбозом (печеночной, воротной и нижней полой вены)
• Клинический профиль:
о Здоровый «молодой взрослый» пациент с большим объемным образованием печени
о С жалобами на дискомфорт в животе, недомогание, снижение веса
о Возможна гинекомастия и появление других эстроген-зависимых эффектов
• Лабораторные данные:
о Уровень альфа-фетопротеина обычно не превышает нормальных значений:
- В 10% случаев возможно минимальное повышение (- Редко наблюдается выраженное повышение уровня альфа-фетопротеина (10000 нг/мкл):
Также, как и при «традиционном» ГЦР
• Диагноз устанавливается на основании гистологического исследования биоптата
2. Демография:
• Возраст:
о Подростки и «молодые взрослые»:
- Возраст варьирует: 5-69 лет (среднее значение: 23 года)
о У большей части пациентов заболевание возникает во втором или третьем десятилетии жизни
• Пол:
о Встречается одинаково часто и у мужчин, и у женщин
• Эпидемиология:
о В США наблюдается увеличение распространенности ФЛР, особенно у представителей европеоидной расы:
- В Европе заболевание не столь распространено
- Редко встречается в странах Азии
о ФЛР составляет 1-9% всех случаев рака печени о В 35% случаев встречается у пациентов младше 50 лет
3. Течение и прогноз:
• Возможность удаления опухоли хирургическим путем составляет 48%
• Средняя пятилетняя выживаемость при резектабельном ФЛР составляет 50-75%:
о В случаях нерезектабельных опухолей падает до нуля
• ФЛР часто рецидивирует
• Прогноз при ФЛР лучше, чем при «традиционном» ГЦР
4. Лечение:
• В случае ограниченной опухоли:
о Хирургическая резекция образования печени и регионарных лимфоузлов
о Возможна также резекция изолированных метастазов в легких
• Химиотерапия в неоперабельных случаях
е) Диагностическая памятка:
1. Следует учесть:
• Фиброламеллярный рак необходимо дифференцировать с фиброзной нодулярной гиперплазией и «традиционным» гепатоцеллюлярным раком
• ФЛР может имитировать ОНГ из-за наличия центрального рубца
2. Советы по интерпретации изображений:
• ФЛР имеет больший размер, более неоднородную структуру, в центральном (или эксцентрически расположенном) рубце часто обнаруживаются кальцинаты; наблюдаются также признаки злокачественности (обструкция кровеносных сосудов, желчных протоков, вторичное поражение лимфоузлов, метастазы в легких)
• Рубец на Т2 ВИ: гипоинтенсивный сигнал (ФЛР), гиперинтенсивный сигнал (ОНГ)
• Опухоль больших размеров, неоднородной структуры, гиперваскулярного характера, обнаруживаемая у «молодых взрослых»
Лучевая диагностика фиброламеллярного рака печени
а) Терминология:
• Фиброламеллярный рак (ФЛР) печени:
о Редкая злокачественная опухоль печени
• Синоним: фиброламеллярный гепатоцеллюлярный рак:
о Имеет отличные от «традиционного» гепатоцеллюлярного рака клинические, патоморфологические и лучевые признаки
б) Визуализация фиброламеллярного рака печени:
• Объемное образование большого размера с неровными контурами, неравномерно накапливающее контраст, с наличием центрального рубца и радиально расходящихся перегородок:
о В опухоли часто обнаруживаются кальцинаты и участки некроза (более чем в 50% случаев)
о Метастазирует в лимфоузлы более чем в половине случаев
о Размеры варьируют от 5 до 20 см, среднее значение 13 см
о Вокруг ФЛР часто обнаруживаются сателлитные узелки
• ФЛР возникает при отсутствии цирротических изменений печени и характеризуется медленным ростом
• Прогноз лучше, чем при «традиционном» ГЦР, тем не менее, опухоль может вызывать локальную инвазию и часто метастазирует
(Слева) На рисунке показано большое гиперваскулярное образование неоднородной структуры, с центральным рубцом. Обратите также внимание на увеличенные лимфоузлы в воротах печени.
(Справа) На аксиальной КТ с контрастным усилением у мальчика 15 лет визуализируется большое гетерогенное гиперваскулярное образование с крупным обызвествленным центральным рубцом. Обратите также внимание на кардиофренальную лимфаденопатию. У молодых людей эти изменения особенно типичны для фиброламеллярного рака (ФЛР). (Слева) На аксиальной КТ у юноши 22 лет с жалобами на дискомфорт в животе и пальпируемым образованием визуализируется большая опухоль неоднородной структуры, с неровными контурами, крупным центральным рубцом, содержащим включения кальция, которые крайне редко встречаются при очаговой нодулярной гиперплазии (ОНГ).
(Справа) В макропрепарате удаленной (у этого же пациента) опухоли видно хорошо отграниченное образование неоднородной структуры, с неровными контурами, «окрашенное» желчью, с наличием фиброзных рубцов. расположенных как центрально, так и эксцентрически, что является типичным признаком ФЛР.
в) Дифференциальная диагностика:
• Очаговая нодулярная гиперплазия (ОНГ)
• «Традиционный» ГЦР
• Кавернозная гемангиома печени
• Периферическая холангиокарцинома
г) Диагностическая памятка:
• Фиброламеллярный рак (ФЛР) печени может напоминать ОНГ наличием центрального рубца:
о ФЛР: имеет больший размер, более неоднородную структуру, в центральном или эксцентрически расположенном рубце часто обнаруживаются обызвествления, также имеют место признаки злокачественного процесса, например, обструкция кровеносных сосудов и/или желчных протоков, инвазия лимфоузлов, метастазы в легких
о Рубец на Т2 ВИ: гипоинтенсивный сигнал (ФЛР), гиперинтенсивный (ОНГ)
• Большая гиперваскулярная опухоль неоднородной структуры у «молодого взрослого» пациента
КТ, МРТ, УЗИ признаки воспалительной псевдоопухоли печени
а) Терминология:
1. Синонимы:
• Билиарная воспалительная псевдоопухоль
• Воспалительная миофибробластная опухоль (ВМО)
2. Определение:
• Неоднородная группа образований печени и желчных протоков, а также других органов, характеризующаяся фибробластной и миофибробластной пролиферацией с формированием воспалительного инфильтрата
1. Общая характеристика:
• Лучший диагностический критерий:
о Выделяют два основных типа воспалительной псевдоопухоли с различными морфологическими признаками:
- Большое, солитарное, периферическое образование с неравномерным накоплением контраста в отсроченной фазе:
Лучевые признаки аналогичны таковым для внутрипеченочной (периферической) холангиокарциномы
- Небольшое образование в воротах печени с обструкцией главных внутрипеченочных желчных протоков:
Лучевые признаки идентичны гилюсной холангиокарциноме (опухоли Клацкина)
• Локализация:
о Чаще обнаруживается в периферических отделах печени
о Реже в правом и левом печеночном протоках, вблизи их слияния, в общем печеночном протоке
• Размер:
о Периферическое образование:
- Имеет большие размеры (2-14 см)
- Редко может быть множественным
о Образование в воротах печени:
- Имеет небольшой размер или не обнаруживается вовсе
- Утолщение стенки и сужение просвета желчных протоков вблизи бифуркации общего печеночного протока
2. Рекомендации по визуализации:
• Лучший метод диагностики:
о Трехфазная КТ или МРТ:
- Дополнительно (при билиарном варианте) - холангиография
• Выбор протокола:
о В протокол необходимо включать отсроченную фазу для обнаружения персистирующего накопления контраста:
- С десятиминутной задержкой
3. Рентгенография:
• ЭРХПГ или чреспеченочная холангиография: о Билиарная псевдоопухоль ворот печени:
- Непротяженная стриктура и дилатация желчных протоков дистальнее зоны сужения
о Изменения со стороны желчных протоков не такие диффузные, как при первичном склерозирующем холангите (ПСХ):
- Тем не менее, в некоторых случаях IgG4-ассоциированный (аутоиммунный) холангит неотличим от ПСХ только на основании методов визуализации

(Слева) На КТ в артериальной фазе контрастного усиления у женщины 48 лет с желтухой определяется расширение внутрипеченочных желчных протоков; визуализируется маленькое, плохо отграниченное образование в области бифуркации общего печеночного протока.
(Справа) На КТ в портально-венозной фазе контрастного усиления у этой же пациентки на фоне обструкции желчных протоков визуализируется объемное образование в области слияния правого и левого внутрипеченочного протока.
4. КТ признаки воспалительной псевдоопухоли печени:
• КТ с контрастным усилением:
о Периферическое объемное образование:
- Гетерогенное контрастное усиление в артериальной и венозной фазе:
Обычно не является гиперваскулярным
Во многих опухолях обнаруживается центральный некроз
- Персистирующее контрастное усиление на КТ в отсроченной фазе:
Соотносится с фиброзной стромой образования
- Возможна ретракция капсулы печени над образованием:
Что имитирует изменения, обусловленные периферической холангиокарциномой
- Может иметь капсулу
о Объемное образование или стриктура желчных протоков в воротах печени:
- Стриктура желчных протоков в области слияния или более диффузного характера
- Небольшое объемное образование, возможно также с персистирующим контрастным усилением в отсроченной фазе

(Слева) На аксиальной Т1 ВИ МР томограмме у мужчины 55 лет с нарушенной функцией печени визуализируется крупное, округлое образование - в целом гипоинтенсивное, с еще менее интенсивным центральным рубцом.
(Справа) На аксиальной Т2 ВИ МР томограмме у этого же пациента образование выглядит гиперинтенсивным, причем интенсивность сигнала в центральном рубце даже выше. Обнаруживаемые изменения подозрительны на злокачественную опухоль, тем не менее, при биопсии и последующей резекции была подтверждена воспалительная псевдоопухоль печени.
5. МРТ признаки воспалительной псевдоопухоли печени:
• Периферическое объемное образование:
о Т1 ВИ: чаще всего гипоинтенсивный сигнал по отношению к печени
о Т2 ВИ: изо- или минимально гиперинтенсивный (по сравнению с печенью) сигнал
о Т1 ВИ с контрастным усилением: различные варианты накопления контраста:
- Равномерное, неравномерное, периферическое; возможно, также интернальное контрастное усиление
- Персистирующее контрастное усиление в отсроченной фазе через десять минут после введения гадолиний-содержащего контраста:
Накопление контраста соответствует фиброзной строме
• Объемное образование или стриктура желчных протоков в воротах печени:
о На МРХПГ определяется непротяженное выраженное сужение
о Изменения аналогичны таковым при опухоли Клацкина или первичном склерозирующем холангите
6. УЗИ:
• Неоднородное гипер- или гипоэхогенное образование
• Проникающая способность ультразвука в опухолях с однородной стромой выше
• Участки с преобладающими фиброзными изменениями гиперэхогенны
• Участки с преобладающей клеточной массой гипоэхогенны
7. Радионуклидная диагностика:
• ПЭТ/КТ:
о Воспалительная псевдоопухоль может накапливать ФДГ:
- Вследствие чего этот метод не всегда помогает отличить опухоль Клацкина и периферическую холангиокарциному от воспалительной псевдоопухоли
о При помощи ПЭТ можно идентифицировать множественные очаги активного воспаления:
- И уточнить их локализацию перед биопсией

(Слева) На КТ в отсроченной фазе контрастного усиления у этой же пациентки определяется персистирующее накопление контраста в образовании в воротах печени - изменения, крайне подозрительные на опухоль Кпацкина.
(Справа) На МРТ (МРХПГ) в этом же случае определяется обструкция общего печеночного протока в области бифуркации. Несмотря на то, что лучевые признаки больше соответствовали опухоли Клацкина, при патоморфологическом исследовании образца, полученного хирургическим путем, была обнаружена воспалительная псевдоопухоль.
в) Дифференциальная диагностика воспалительной псевдоопухоли печени:
2. Периферическое объемное образование печени:
• Периферическая холангиокарцинома:
о Методы визуализации не позволяют отличить воспалительную псевдоопухоль от периферической холангиокарциномы
• Гепатоцеллюлярный рак:
о Большое, неоднородное, гиперваскулярное объемное образование с инвазией воротной вены
о На КТ в отсроченной фазе контрастного усиления опухоль становится гиподенсной по сравнению с окружающей ее паренхимой печени вследствие «вымывания» контраста
• Метастазы в печени и лимфома:
о Для метастазов типичны множественность и хаотичное распределение
о Лимфома представляет собой образование однородной структуры, редко вызывающих обструкцию желчных протоков:
- Отсроченное контрастное усиление опухоли отсутствует
3. Стриктура желчных протоков или объемное образование ворот печени:
• Опухоль Клацкина:
о Лучевые признаки могут быть неотличимы от таковых для воспалительной псевдоопухоли
2. Макроскопические и хирургические особенности:
• Твердое скиррозное образование, сдавливающее и облитерирующее желчные протоки и кровеносные сосуды
3. Микроскопия:
• Неявная пролиферация веретенообразных клеток, фиброз, воспалительная лимфоцитарная и плазмоцитарная инфильтрация
• Облитерирующий флебит и холангит:
о Встречаются намного чаще при IgG4-ассоциированной форме воспалительной псевдоопухоли
• Лимфоплазмоцитарная инфильтрация:
о Та же гистологическая картина обнаруживается при аутоиммунном (IgG4-ассоциированном) панкреатите
• Утолщение стенки желчных протоков, перидуктальный фиброз (изменения схожи с таковыми при первичном склерозирующем холангите):
о А также напоминают изменения, описываемые при аутоиммунном (IgG4-ассоциированном) холангите
1. Проявления:
• Наиболее частые признаки/симптомы:
о В случае периферической псевдоопухоли печени
- Боль в животе без четкой локализации
- Умеренное повышение температуры тела, лейкоцитоз
- Снижение веса, слабость
о При билиарной псевдоопухоли:
- Желтуха, лейкоцитоз
- Изменения функциональных печеночных проб:
Повышение сывороточного уровня билирубина, щелочной фосфатазы
- Повышение скорости оседания эритроцитов (СОЭ)
2. Лечение:
• Может быть эффективно использование глюкокортикостероидов и других противовоспалительных средств
• Хирургическое лечение показано при наличии симптоматики, больших размерах опухоли, при невозможности отличить псевдоопухоль от холангиокарциномы
е) Диагностическая памятка. Советы по интерпретации изображений:
• Необходимо оценить лучевые, клинические и лабораторные (сывороточный уровень lgG4) признаки IgG4-ассоциированной склерозирующей болезни
о Заболевание часто является полисистемным (аутоиммунный панкреатит, холангит, пневмонит и т.д.)
Рак печени
Рак печени подразделяется на первичный и вторичный (метастатический). Первичный, о котором пойдет речь в данной статье, представляет собой сравнительно редкое заболевание. К нему относятся по разным данным от 0,2% до 3% случаев диагностированного рака. Ежегодно в мире раком печени заболевают не менее 250 тысяч человек, большая часть которых проживает в развивающихся странах Африки и Юго-Восточной Азии. В России первичный рак печени ежегодно диагностируется примерно у 7 тысяч пациентов. Но количество выявленных заболевших быстро растет. За три последних десятилетия, с середины 1980-х годов, заболеваемость раком печени в России выросла втрое - с 1,6 до 4,6 случаев на 100 тыс. населения.
Что такое рак печени?
Печень является самым большим органом в теле человека, имеет пирамидальную форму и располагается в правом подреберье. Она разделена на два отдела, называемые долями. В отличие от большинства органов, имеет два источника кровоснабжения: печеночная артерия несет кровь, богатую кислородом, а воротная вена снабжает печень кровью, насыщенную питательными веществами из кишечника.
Печень - жизненно важный орган, без которого организм не может функционировать. Она расщепляет и хранит питательные вещества, поступающие из кишечника; производит желчь, необходимую для правильного пищеварения; играет важную роль в обеспечении свертываемости крови; помогает выводить отработанные вещества.
От 60% до 80% массы печени человека составляют гепатоциты – клетки, участвующие в синтезе и хранении белков, холестерина, играющие важную роль в трансформации углеводов, желчеобразовании, а также – в детоксикации и выводе из организма образующихся в нем субстанций.
Виды рака печени
Основными типами первичного рака являются:
Гепатоклеточная карцинома - результат злокачественного перерождения гепатоцитов. Наиболее часто встречающийся вид первичного рака печени: по разным данным, к ней относятся от 70% до 90% выявленных онкологических заболеваний данного органа. Карциномы образуются либо как одна опухоль, либо сразу в нескольких местах. Второй случай является превалирующим, он наиболее часто диагностируется у людей с повреждениями печени, такими как цирроз.
Фиброламеллярная карцинома – редкий подтип гепатоклеточной карциномы, который имеет более высокие шансы на успешное лечение, чем другие типы рака печени. Данная опухоль встречается редко, в основном - у детей и лиц моложе 35 лет. Она поражает небольшие участки ткани, не распространяясь на весь орган.
Рак желчевыводящих путей (внутрипеченочная холангиокарцинома). Один или два из каждых десяти диагностированных случаев рака печени начинаются в желчевыводящих путях, которые представляют собой тонкие трубки, переносящие желчь к желчному пузырю.
Гепатохолангиоцеллюлярная карцинома - тип первичного рака, совмещающий признаки как гепатокарциномы, так и холангиокарциномы. У некоторых больных могут одновременно развиться оба типа рака.
Цистаденокарцинома - редкая опухоль, которая диагностируется у взрослых, преимущественно у женщин, вследствие малигнизации доброкачественной цистаденомы или даже врожденной кисты. Имеет большие размеры, поликистозное строение, чаще локализуется в правой доле печени, содержит окрашенную желчью слизь.
Ангиосаркомы и гемангиомы начинаются в кровеносных сосудах в печени. Эти быстрорастущие опухоли обычно диагностируются на поздних стадиях.
Гепатобластома - очень редкий тип рака печени. Наиболее часто встречается у детей младше 4 лет. Крайне редко диагностируется у детей более старшего возраста и у взрослых пациентов. При ранней диагностике процент выживаемости составляет более 90%.
Причины и группы риска
Статистически достоверно доказано, что развитию рака печени способствуют следующие факторы:
Хронические заболевания. В первую очередь - вирусный гепатит В. Риск возникновения печеночноклеточного рака у носителей вируса возрастает в 200 раз.
К другим болезням, приводящим к раку данного органа, относятся цирроз печени,
гемохроматоз (избыточное содержание в организме железа), желчнокаменная болезнь, сахарный диабет, паразитарное заражение, а также сифилис и алкоголизм.
Воздействие вредных веществ. Работа на производствах, связанных с использованием мышьяка, ртути, хлорид винила может пагубно сказаться на состоянии печени. Развитие новообразований в этом органе связывают также с использованием некоторых промышленных продуктов, к примеру, хлорированных углеводородных растворителей. Небезобидны для печени некоторые пищевые продукты, такие, как арахис, соевые бобы, кукуруза, порой содержащие афлатоксины. Бездумное употребление некоторых витаминов, БАДов, оральных контрацептивов, анаболических стероидов также могут спровоцировать появление недоброкачественных новообразований в данном органе.
Наследственность. Наличие среди кровных родственников двух и более человек, заболевших раком печени, автоматически включает человека в группу риска.
Пол. Мужчины гораздо в большей степени рискуют заболеть раком печени, чем женщины. Возможно, причина в большей приверженности вредным привычкам – употреблению спиртного и курению, а также в потреблении стероидов.
Симптомы
На ранних стадиях первичного рака печени симптомы отсутствуют. А если они и есть, то варьируются от человека к человеку. С ростом опухоли могут появиться:
- потеря веса;
- боль в правом боку верхнего отдела брюшной полости или под правой лопаткой
- потеря аппетита;
- вздутие брюшной полости;
- твердое уплотнение под ребрами с правой стороны;
- усталость или слабость;
- тошнота или рвота;
- жар;
- желтизна кожи и глаз, а также потемнение мочи;
- чувство переедания после приема небольшого количества пищи;
- зуд;
- вспухшие вены на животе;
- ухудшение состояния при хроническом гепатите или циррозе.
Некоторые типы рака печени производят гормоны, которые могут вызывать:
- высокий уровень кальция в крови, провоцирующий запоры, тошноту или дезориентацию;
- низкий уровень сахара в крови, который может вызывать усталость или обморочные состояния;
- увеличение груди или уменьшение размера яичек у мужчин;
- высокое количество красных кровяных телец, которые становится причиной покраснения лица.
Стадии заболевания
Рак печени подразделяется на стадии в зависимости от размера и локализации опухоли.
I стадия. Единичная опухоль, которая не распространилась на близлежащие кровяные сосуды.
II стадия. К этой стадии относят один из двух вариантов проявления болезни:
- одна опухоль, которая распространилась на близлежащие кровяные сосуды;
- более одной опухоли, не превышающих 5 см в большем измерении каждая.
Стадия III А. К этой стадии относят один из двух вариантов проявления болезни:
- более одной опухоли размером больше 5 сантиметров;
- одна опухоль, которая распространилась на одну из основных ветвей кровяных сосудов рядом с печенью.
Стадия IIIB. В наличии одна или более опухолей любого размера, которые:
- распространились на близлежащие органы, за исключением желчного пузыря;
- прошла через оболочку брюшной полости.
Стадия IIIC. Рак распространился на близлежащие лимфатические узлы.
Стадия IV. Рак печени распространился за пределы органа на другие части тела, такие как кости или легкие. Опухоли любого размера также могут быть распространены на близлежащие кровяные сосуды и/или лимфатические узлы.
Диагностика
Рак печени трудно диагностировать. На ранних стадиях он обычно не имеет симптомов и опухоли не прощупываются. Если у врача возникает подозрение на рак печени, то диагностика проводится в следующем порядке:
Физический осмотр. Врач прощупывает живот пациента для проверки печени, селезенки и близлежащих органов; проверяет живот на асциты – аномальное скопление жидкости; обследует кожу и глаза, выявляя признаки желтухи.
Лабораторные исследования. Обычный анализ крови обнаруживает альфа-фетопротеин, который может являться признаком рака печени. Другие анализы крови могут измерить, насколько хорошо работает ваша печень.
Ультразвуковое исследование. Современные аппараты УЗИ позволяют выявить рак печени на ранних стадиях.
Магнитно-резонансная томография (МРТ). Благодаря высокой разрешающей способности высокопольных (1,5Т) и сверхвысокопольных (3Т) магнитно-резонансных томографов, дополнительным уникальным программам с очень тонкими срезами в ходе исследования можно увидеть изменения структуры печени размером до нескольких миллиметров, выявить патологические процессы на их начальной стадии, а также провести дифференциальную диагностику патологических образований. При наличии объемных опухолей врач может назначить МРТ с контрастным болюсным усилением. Контрастное усиление - методика которая заключается во внутривенном введении контрастного вещества в зависимости от веса пациента. Она позволяет оценить степень кровоснабжения опухоли и судить о доброкачественном или злокачественном характере.
Если в ходе основного МР исследования органов брюшной полости и забрюшинного пространства выявлено наличие объемных образований в печени, то проводится динамическое контрастирование – методика, которая позволяет оценить степень кровоснабжения опухоли и судить о доброкачественном или злокачественном ее характере.
Компьютерная томография (КТ). Рентгеновское послойное исследование органов брюшной полости и забрюшинного пространства. Выполняется как без контраста, так и с болюсным контрастированием, то есть - с внутривенным введением рентгеноконтрастного препарата при помощи специального автоматического шприца. Стандартное КТ исследование позволяет выявить патологические изменения в печени. КТ с контрастным усилением применяется для исключения врастания опухолей в сосуды; при стадировании опухолевой патологии; для выявления показаний и противопоказаний к хирургическим вмешательствам или лучевой терапии.
Ангиограмма. Врач вводит краситель в артерию, что позволяет видеть кровяные сосуды в печени в рентгеновских лучах.
Лапароскопия. Делается небольшой надрез на животе и затем вводится тонкая трубка с подсветкой (лапароскоп) для осмотра опухоли.
Биопсия печени. Биопсия и тонкоигольная аспирационная биопсия используются тогда, когда визуальные исследования не могут определить характер новообразования. В орган вводится длинная игла для забора крошечного образца ткани, который изучают под микроскопом.
Фьюжен биопсия. Современное направление в методике забора материала для гистологического анализа, сочетающее возможности магнитно-резонансной или компьютерной томографии и ультразвуковой диагностики. Перед проколом выполняется исследование на аппаратах КТ или МРТ. Основываясь на его результатах, врач планирует место прокола, рассчитывает ход биопсийной иглы и глубину проникновения. Сама биопсия проводится под контролем УЗИ. Метод обеспечивает максимальную точность попадания в пораженный участок.
Лечение
Хирургическая операция. Хирургия является основным способом лечения рака печени. Так как печень играет важную роль в свертывании крови, кровотечение после вмешательства является частым побочным эффектом. Основными типами хирургических операций при раке печени являются:
- пересадка печени. Пораженная заболеванием печень полностью удаляется и заменяется здоровым органом от донора. При циррозе печени или больших размерах опухоли является наиболее вероятным методом лечения. Однако имеется риск серьезной инфекции и других проблем со здоровьем;
- частичная гепатэктомия. Часть печени с раковыми клетками удаляется хирургическим путем. Операция требует особой виртуозности от хирурга: он должен тщательно удалить все поврежденные ткани, чтобы вылечить рак, и в тоже время - оставить достаточный объем печени для ее нормальной работы.
Абляция опухоли. Местное лечение, при котором тепло (радиочастотная абляция) или сверхнизкий холод (криохирургия или криотерапия) используются для заморозки или выжигания рака печени. Абляция показана в тех случаях, когда удаление опухоли хирургическим путем невозможно.
Эмболизация. Мельчайшие частицы из пластика или другого материала вводятся в артерии, которые несут кровь к опухоли. Они блокируют поток крови, что сдерживает рост рака печени.
Химиотерапия. Обычно не используется для лечения рака печени из-за малой эффективности.
Химиоэмболизация. Игла вводится в артерию в паху, а затем тонкая трубка ввинчивается в артерию, ведущую к печени. После этого к раковым клеткам подается высокая доза лекарства. Затем артерия блокируется, чтобы предотвратить снабжение печени кровью и дальнейшее развитие рака.
Лучевая терапия. Так как радиация вместе с раковыми клетками может разрушить и здоровые ткани печени, она применяется только в малых дозах. Лучевая терапия не излечивает рак печени, но она способна уменьшить опухоль и облегчить боль.
Помимо облучения на обычных линейных ускорителях, лечение на которых может занять 2-3 месяца, в Центре онкологии, радиохирургии и радиотерапии МИБС применяют так называемую конформную лучевую терапию. При этом современном подходе конфигурация облучающего пучка и интенсивность излучения скрупулезно рассчитываются с помощью специальных программ. Это позволяет добиться точного соответствия распределения дозы радиации форме новообразования, подать на мишень – в центр опухоли – максимально высокую дозу облучения, одновременно щадя периферийные нормальные ткани.
Лечение на аппарате Кибер-нож. Ткань печени обладает высокой чувствительностью к лучевому воздействию, что ограничивает применение стандартной лучевой терапии. Роботизированная радиохирургическая система Кибер-нож способна сфокусировать максимальную дозу облучения непосредственно на опухоли, в то же время сохраняя здоровую ткань печени.
Система Кибер-нож может применяться как при лечении первичного рака печени, так и в терапии очагов метастатического поражения (если химиотерапия неэффективна или если очаг слишком велик для иных методов локального воздействия, например, радиочастотной абляции). Возможно одномоментное облучение нескольких очагов поражения.
Протонная терапия. Пучок протонов доставляет высокие дозы радиации с большой точностью прямо в область локализации рака печени. Этот современный метод лучевой терапии уничтожает раковые клетки, минимально задевая нормальную ткань за пределами опухоли.
Решение о выборе тактики лечения конкретного пациента в МИБС принимается коллегиально врачами клинических и диагностических специальностей. На каждом этапе составляется индивидуальный план дальнейшего наблюдения и контроля эффекта, включающий все самые информативные диагностические методы, применяющиеся сегодня в ведущих онкологических центрах Европы и США.
Диагностика выявила очаговое поражение печени? Проявите онконастороженность!
Диагностику и лечение рака осложняет не только отсутствие симптомов на ранних стадиях. Даже при наличии данных лучевой диагностики, точно указывающих на очаговое поражение органа (например, очаговые образования в печени), не всегда удается сразу поставить диагноз.
О том, что такое онконастороженность при обследовании поражений печени, и насколько она важна для выявления ранних стадий рака читайте в материале официального сайта Онкологической клиники МИБС.
Что такое “онкологическая настороженность”?
При постановке диагноза по симптомам и данным неинвазивной инструментальной и лабораторной диагностики врач любой специальности обязан рассматривать все возможные причины таких изменений. В том числе, и наличие онкологического заболевания. Это и есть онкологическая настороженность (онконастороженность).
Например, выявленное очаговое поражение печени следует всегда рассматривать как вероятное проявление онкологического процесса. Ведь успех лечения в онкологии напрямую зависит от стадии, на которой диагностирована болезнь.
Онконастороженность при очаговом поражении печени
Очаговые образования в печени могут быть выявлены случайно, без наличия жалоб или симптомов нарушений работы органа - при скрининговом исследовании органов брюшной полости (УЗИ, КТ, МРТ). Заключение врача в подобных случаях содержит, к примеру, фразу «… узловое образование второго сегмента печени». Какой именно сегмент печени поражен и размеры образования на данном этапе не имеют значения. И далеко не всегда означают, что пациенту предстоит лечение рака! Но это - важный сигнал о необходимости комплексного обследования для исключения опухолевого процесса.
Задача дифференциальной диагностики состоит в том, чтобы максимально точно соотнести проявления заболевания с симптоматикой, характерной для конкретного его вида, и одновременно зафиксировать признаки, исключающие другие варианты диагноза
Задача диагностического этапа в данном случае состоит в максимально быстром и точном установлении природы выявленных изменений. А значит, подобное заключение является поводом для обязательной и незамедлительной консультации онколога с целью оценки природы новообразования, определения необходимости в дополнительном обследовании и/или биопсии узла.
К сожалению, далеко не все врачи, к которым пациенты обращаются с жалобами на нарушения работы печени, направляют на прием к онкологу после выявления очагового поражения, не говоря уже о случайном выявлении очагового поражения при бессимптомном течении. В таком случае, при отсутствии онконастороженности у врача, задача в кратчайшие сроки получить полноценное обследование ложится на плечи самого пациента. Стоит помнить, что эффективность (а также травматичность, длительность и стоимость) лечения рака печени, в случае если последующее обследование подтвердит такой диагноз, зависит от срока начала лечения. А промедление - не избавит от диагноза, и лишь усугубит ситуацию.
Очаговое поражение - не всегда рак печени
Сложность заключается в том, что узловые образования в печени могут быть следствием разнообразных новообразований доброкачественной и злокачественной природы, цирроза печени или паразитарной инвазии. Только консультация специалиста и правильно составленный план дополнительного обследования позволяет в кратчайшие сроки уточнить диагноз и разработать индивидуальную программу лечения и наблюдения.
Бояться визита к онкологу не следует: чаще всего выявленный в печени очаг - это гемангиома печени либо простая киста. Характерный вид таких узлов при УЗИ или компьютерной томографии позволяет при отсутствии симптомов рекомендовать динамическое наблюдение с выполнением контрольных обследований в сроки 3-6 месяцев. Динамика новообразований в данном случае является одним из диагностических критериев – стабильный размер и форма выявленного узла будет подтверждением, что выявленные изменения доброкачественной природы.
Паразитарные кисты печени чаще всего имеют характерный вид, что позволяет предположить диагноз паразитарного поражения печени и назначить обследование для подтверждения такого заключения. Исследование уровня антипаразитарных антител в крови и дополнительные методы визуализации (КТ или МРТ) вместе со сведениями анамнеза болезни и жизни позволят установить клинический диагноз и назначить пациенту правильное лечение.
Особенности диагностики рака печени
Важным фактором, который позволяет диагностировать рак печени на ранних стадиях, является внимательность пациента к тем “сигналам”, которые посылает организм. В первую очередь, это касается незамедлительного обращения к врачу при обнаружении нетипичной работы систем и органов.
Наиболее простые из обследований – лабораторные общий и биохимический анализы крови, исследование уровня онкомаркеров в крови. Эти анализы пациенты часто назначают себе сами. Но следует отметить, что правильную интерпретацию полученных данных может дать только квалифицированный врач-онколог. Связано это с тем, что большинство изменений будет носить неспецифический характер либо результаты лабораторного обследования окажутся нормальными. Но, как правило, этап лабораторных исследований пациент, у которого имеются симптомы нарушения работы печени, проходит до выявления очаговых поражений методами лучевой диагностики.
Рак печени, как и любое злокачественное новообразование, после достижения определенного размера опухоли требует притока крови для продолжения своего роста. Образование новых сосудов, питающих растущую опухоль (опухолевый ангиогенез) - один из наиболее характерных признаков, которые указывают на наличие рака. Поэтому обязательно проводится оценка характера кровообращения в узловом образовании печени, наличия или отсутствия жидкостного компонента, взаимоотношения очага со структурами ворот печени, характера роста.
При недостаточности данных для подтверждения рака врач-онколог может избрать тактику непродолжительного динамического наблюдения: при наличии злокачественной опухоли печени (первичный рак печени или метастаз в печень) форма и/или размер очага будет меняться, что проявится в данных КТ, МРТ или УЗИ и лишь тогда будет сигналом к началу более инвазивной диагностики.
При подтверждении злокачественного процесса следует выяснить, имеет ли место первичный рак печени, или у пациента выявлена первичная опухоль другой локализации, метастазировавшая в печень
Первичные опухоли печени встречаются редко. Предположить первичный рак печени врач сможет в том случае, если комплексное обследование не выявило опухолевой патологии в легких, желудке, кишечнике, молочной железе. Нормальное состояние других органов и повышение уровня онкомаркеров, характерных для рака печени позволяют предположить гепатоцеллюлярный рак или холангиокарциному. В такой ситуации трепан-биопсия очага в печени с гистологическим исследованием полученного материала является необходимыми для заключительного диагноза. Выполненная в условиях местного или общего обезболивания трепан-биопсия, позволяет получить образец тканей опухоли. Дальнейшее морфологическое и иммуногистохимическое исследование образца позволит подтвердить первичную гепатоцеллюлярную карциному.
Обычно трепан-биопсия печени легко выполнима. Если же имеются противопоказания для выполнения такого метода, на помощь приходит лапароскопия. Выполненная в условиях общего обезболивания лапароскопическая биопсия печени позволяет не только получить материал для морфологического исследования, но и оценить состояние других органов брюшной полости.
Большинство злокачественных опухолей печени - вторичные. Они представляют собой узлы размножения и роста опухолевых клеток, распространившихся из первичного очага, то есть метастазы рака другой локализации. Вторичные очаги в печени редко нуждаются в верификации: наличие первичной опухоли и характерные для нее путь и скорость метастазирования позволяют констатировать распространение опухоли в печень и использовать полученные данные для коррекции плана лечения первичного рака, включив в него лечение метастазов в печень.
Само по себе метастатическое поражение печени не является признаком неизлечимости заболевания. Размер, расположение, количество вторичных очагов, а также локализация и морфологический вариант первичного очага – вот исходные условия, которые определяют эффективность лечения в целом и позволяют составить прогноз.
Читайте также:
- Поражение глаз анилиновыми красителями, мезидином
- Двигательный корешок тройничного нерва. Симптомы поражения двигательных ветвей тройничного нерва
- Результаты шунтирования гидроцефалии. Осложнения
- Резекция внепросветных дивертикулов двенадцатиперстной кишки. Техника резекции дивертикулов.
- МРТ при жировой перестройке костного мозга позвоночника

