Методика вскрытия подковообразного свища и абсцесса промежности по Hanley
Добавил пользователь Евгений Кузнецов Обновлено: 23.11.2025
Парапроктит - гнойное воспаление тканей, окружающих прямую кишку.
Выделяют острый (впервые возникший) и хронический парапроктит (развивается как результат самопроизвольного или неправильного вскрытия (лечения) острого парапроктита).
Ректальные абсцессы нередко встречаются у больных с предшествующими аноректальными заболеваниями, диабетом, алкоголизмом и неврологическими болезнями; инфекции в этой области наиболее часто развиваются также у больных с острым лейкозом, особенно при наличии нейтропении. Так как клиническая картина может в течение длительного периода расцениваться как лихорадка неясного происхождения, важно, чтобы у больных с необъяснимой лихорадкой обязательно производились тщательное пальцевое и эндоскопическое исследования прямой кишки.
Причины возникновения абсцесса прямой кишки (парапроктита)
Причин возникновения парапроктита достаточно много:
- несоблюдение правил личной гигиены,
- травматические манипуляции в области анального канала,
- наличие заболеваний заднего прохода (геморрой, анальные трещины, криптиты и пр.)
Через особенные железы, расположенные в области заднего прохода, инфекция из просвета прямой кишки проникает в окружающие ткани. Развивается воспаление, формируется гнойник. Поэтому простое вскрытие гнойников снаружи, без санации внутреннего воспаленного участка, не приводит к стойкому выздоровлению.
Острый парапроктит возникает при быстром проникновении инфекции в параректальное (околопрямокишечное) клеточное пространство. В зависимости от иммунитета человека размеры и расположение гнойника могут быть различными. Гнойник может находиться как непосредственно под кожей промежности (подкожный - наиболее часто), так и глубоко между мышцами промежности и ягодиц (ишиоректальный - седалищно-прямокишечный, пельвиоректальный – тазово-прямокишечный, и как один из видов тазово-прямокишечного — позадипрямокишечный (ретроректальный)).
Хронический парапроктит часто возникает при самопроизвольном или неправильном вскрытии (лечении) острого парапроктита.
Острый парапроктит
Острый парапроктит возникает при быстром проникновении инфекции в параректальное клеточное пространство – подкожное (наиболее часто), ишиоректальное, пельвиоректальное, ретроректальное (очень редко). В зависимости от пораженного пространства парапроктит различают по локализации – подкожный и т.д. Внутреннее отверстие гнойника почти всегда одно, наружных гнойников может быть и два и более. Более чем у половины пациентов гнойник располагается на границе слизистой и кожи.
Симптомы острого парапроктита - это в первую очередь резкие боли, нарастающие при ходьбе, кашле и т.д. Общее состояние ухудшается, особенно при глубоких (ишиоректальных, тазово-прямокишечных) гнойниках, при этом внешних признаков – покраснения кожи, флюктуации - практически нет.
При глубоком (высоком) ишиоректальном и др. остром парапроктите состояние пациента может быть тяжелым – высокая температура, признаки интоксикации, боли в глубине таза.
Симптомы острого парапроктита
Заболевание, как правило, начинается остро. Вслед за коротким продромальным периодом с недомоганием, слабостью, головной болью появляется нарастающая боль в прямой кишке, промежности или в тазу, сопровождающаяся повышением температуры тела и ознобом. Степень выраженности симптомов острого парапроктита зависит от локализации воспалительного процесса, распространенности его, характера возбудителя, реактивности организма. При локализации гнойника в подкожной клетчатке клинические проявления выражены более ярко и определенно: болезненный инфильтрат в области заднего прохода, гиперемия кожи, повышение температуры тела вынуждают, как правило, обратиться к врачу в первые дни после начала заболевания.
Ишиоректальный абсцесс в первые дни болезни проявляется общими симптомами: познабливанием, плохим самочувствием, тупой болью в тазу и прямой кишке, усиливающимися при дефекации; местные изменения — асимметрия ягодиц, инфильтрация, гиперемия кожи — появляются в поздней стадии (5-6-й день).
Наиболее тяжело протекает пельвиоректальный парапроктит, при котором гнойник располагается глубоко в тазу. В первые дни болезни преобладают общие симптомы воспаления: лихорадка, ознобы, головная боль, боль в суставах, в тазу, внизу живота. Часто пациент обращается к хирургу, урологу, женщины — к гинекологу. Нередко их лечат по поводу острого респираторного заболевания, гриппа. Продолжительность этого периода иногда достигает 10-12 дней. В дальнейшем отмечаются усиление боли в тазу и прямой кишке, задержка стула, мочи и выраженная интоксикация.
Хронический парапроктит
Хронический парапроктит часто возникает при самопроизвольном или неправильном вскрытии (лечении) острого парапроктита.
Внутреннее отверстие абсцесса в анальном канале не заживает и остается свищ. Заживление может произойти непрочным рубцом, который при незначительном травмировании – езда на велосипеде, запор, и пр. – вновь возникает абсцесс, воспаление не том же месте анального канала, при этом локализация абсцесса может быть в другом месте промежности. После неправильного вскрытия и лечения рана на промежности не зарастает – прямокишечный свищ остается, при этом происходит повторное заражение кишечной флорой через внутреннее отверстие свища.
У большинства больных причину инфекции выявить не удается. Ректальные абсцессы обычно очень болезненны, легко обнаруживаются при пальпации, часто видимы при осмотре. Лечение заключается в проведении разреза и дренировании.
Диагностика
Первая и главная задача диагностики острого парапроктита — на основании жалоб пациента, клиники и осмотра распознать наличие и локализацию гнойника в клетчаточном пространстве, окружающем прямую кишку.
Выявляют заболевание при осмотре и пальцевом исследовании прямой кишки.
Для исключения осложнений острого парапроктита женщинам также необходимо проконсультироваться у гинеколога, а мужчинам - у уролога.
Лечение острого парапроктита только хирургическое. Операция должна быть выполнена сразу после постановки диагноза. Операция проводится под наркозом.
Целью операции является вскрытие гнойника (абсцесса) и удаление гноя. После операции проводят перевязки, назначают антибиотики, витамины, средства, повышающие иммунитет. Такая операция может быть проведена в любом хирургическом стационаре.
Однако вскрытие гнойника не является радикальной операцией: после нее, как правило, возникают повторные нагноения (формируется хронический парапроктит). Причина такого явления в сохранении воспалительного канала (свища) между прямой кишкой и окружающими тканями.
Для полного излечения необходима повторная операция, выполненная в специализированном проктологическом стационаре. В результате такой операции связь между полостью кишки и гнойника ликвидируется. Она называется радикальной, т.к. приводит к полному излечению.
Осложнения
При несвоевременном хирургическом лечении острого парапроктита возможно развитие осложнений: гнойное разрушение стенки прямой кишки и/или стенки мочеиспускательного канала у мужчин, прорыв гноя во влагалище у женщин. Самым грозным осложнением является прорыв гноя в полость таза, что при поздней постановке диагноза может привести к смерти.
После вскрытия гнойника спонтанно или хирургическим способом без ликвидации гнойного хода и пораженной крипты в дальнейшем, как правило, формируется свищ прямой кишки. Если свищ не образовался, но при этом остался очаг воспаления в области анальных желез и межсфинктерного пространства, то через какое-то время возникает рецидив острого парапроктита.
Вскрытие абсцесса, флегмоны, гидраденита в Операционной №1 "Парацельс"
Вскрытие абсцесса, флегмоны, гидраденита в Операционной №1 г. Александров
«Операционная №1» проводит вскрытие абсцесса, флегмоны, гидраденита в г. Александрове. Это гнойные образования, несколько различные по этиологии. Абсцесс – это гнойное воспаление тканей с их расплавлением и образованием гнойной полости, может развиться в подкожной клетчатке, мышцах, костях, а также в органах или между ними в результате инфицирования тканей стрептококками и стафилококками. Флегмона – разлитое воспаление подкожной, межмышечной, забрюшинной клетчатки. Процесс не ограничен и склонен к распространению по рыхлым клеточным пространствам. Является следствием нагноения гематомы или неверно сделанных инъекций. Гидраденит развивается в апокриновых потовых железах в подмышках, промежности, области сосков у женщин. К хирургии прибегают в большей части случаев, когда консервативное лечение не дало результатов.
Показания
Проведение операции обязательно, если:
- Труднодоступная локализация, гематогенное заражение. Повышенный риск проникновения вещества в кровь и сепсиса, что может закончиться летальным исходом.
- Очаг воспаления находится на лице, шее, в подмышечных впадинах, паху или ректальной области.
- Паратонзилярная локализация гнойных формирований.
- Развитие тяжелых осложнений, наступивших вследствие нагноения после инъекционных манипуляций, неправильно выполненного внутримышечного укола, появления свищей, из которых наблюдается подтекание желто-зеленого экссудата.
- Температура 39-40 градусов, не сбиваемая никакими медикаментозными препаратами.
Вскрытие и дренирование абсцесса, флегмоны, гидраденита выполняется без ограничений по возрасту. Операции назначают беременным женщинам, пациентам с ослабленным иммунитетом или иммунодефицитом.
Сроки проведения
Оперативное вмешательство занимает в среднем 30-40 минут в зависимости от топографии гнойного образования, его размеров и других показателей.
Процедура
Мероприятие проводится по схеме, включающей подготовительную, основную и послеоперационную стадии. В качестве подготовки к операции на гнойнике пациент должен сдать анализы, пройти инструментальную диагностику. Это необходимо для определения наиболее подходящего метода вскрытия патологического образования с учетом его расположения, вероятного развития осложнений. После этого проводится само хирургическое вмешательство по устранению и очистке нарыва. Послеоперационный период длится с момента завершения процедуры до полного восстановления пораженных тканей и организма в целом.
Подавляющее большинство манипуляций по вскрытию гнойных формирований выполняется под внутривенной анестезией. Это объясняется тем, что в некоторых случаях невозможно местно обезболить область нагноения из-за опасности распространения инфекционного процесса. Также учитывается болевой порог пациента. Хирург может беспрепятственно, не причиняя человеку страданий, тщательно обработать полость гнойника.
Этапы операции по вскрытию абсцесса, флегмоны, гидраденита:
- Операционная зона обрабатывается антисептическими средствами.
- Внешние слои над пораженной областью вскрываются скальпелем. Это слизистые, фасциальные зоны. Аккуратно отодвигается мышечная ткань. Для установки дренажа врач-хирург оставляет зияющую рану, чтобы обеспечить отток гнойной жидкости.
- Проводится надрез стерильными инструментами. Ткани при этом не сдавливаются во избежание выхода содержимого наружу. Протяженность разреза зависит от длины подкожного инфильтрата.
- Гнойная полость санируется антисептическими растворами. Вводится дренажная трубка, по которой будет производиться отток гноя по завершении операции.
- Некротизированные ткани вокруг патологического образования – абсцесса, флегмоны или гидраденита иссекаются. Это нужно для ускорения заживляющего процесса, профилактики возникновения рецидива после вскрытия.
Послехирургическая терапия подразумевает прием пациентом антибактериальных препаратов и дезинтоксикацию организма.
Последствия
Осложнения после вскрытия гнойных формирований могут возникнуть при разных условиях. Они выражаются в:
- кровотечении в области проведения операции (ликвидируется ушиванием сосудов и применением кровоостанавливающих медикаментов);
- воспалении, вызванном вторичной инфекцией;
- эвентрацией, произошедшей из-за инфицирования или несоблюдения пациентом врачебных предписаний.
Преимущества проведения операции у нас
Послеоперационные последствия чаще всего объясняются неопытностью или низкой квалификацией специалистов. В нашей клинике это исключено. Мы:
Методика вскрытия подковообразного свища и абсцесса промежности по Hanley
Методика вскрытия подковообразного свища и абсцесса промежности по Hanley
Операция по Hanley - вскрытие и дренирование абсцесса ишиоанальной ямки и глубокого постанального пространства Courtney с иссечением пораженной анальной крипты и проведением дренажей/лигатуры для купирования острого воспаления и напряжения тканей (боль!). Поскольку при распространенном параректальном абсцессе операция выполняется под общим обезболиванием, показано одновременное иссечение внутреннего свищевого отверстия.
а) Место проведения. Поликлиника или стационар, операционная, общее обезболивание.
б) Альтернатива вскрытию абсцесса (свища) по Hanley:
• Консервативное лечение: обычно не показано, за исключением случаев спонтанно вскрывшихся абсцессов.
• Вскрытие и дренирование с последующей плановой радикальной операцией.
• Пластика низведенным лоскутом прямой кишки.
• Введение коллагеновой пломбы.
в) Показания. Подковообразный абсцесс или свищ.
г) Подготовка. Осмотр: двусторонний абсцесс с наружными отверстиями, первичное отверстие, как правило, локализуется по средней линии в задней крипте. Определение лейкоцитов крови или рентгенологическое исследование обычно не требуются. У всех пациентов под общей анестезией необходимо выполнение, по крайней мере, ректороманоскопии (в ургентной ситуации); в плановом порядке - обследование ободочной кишки в соответствии со стандартами.
д) Этапы операции вскрытия абсцесса (свища) по Hanley:
1. Положение пациента: лежа на животе в виде «складного ножа».
2. При необследованной кишке: по крайней мере, ректороманоскопия или фибросигмоидоскопия.
3. При плановых операциях: пудендо/перианальная блокада 15-20 мл местного анестетика в дополнение к общему обезболиванию для лучшего расслабления анального сфинктера.
4. Срединный разрез кожи и слизистой анального канала от верхушки копчика до первичного отверстия свища на уровне зубчатой линии по задней срединной линии. Аккуратное разделение подлежащих тканей до появления видимых мышечных волокон. Иссечение пораженной крипты на уровне зубчатой линии.
5. Начиная от верхушки копчика, диссекция ведется вглубь, т.е. через анокопчиковую связку. Смещение сфинктерного комплекса кпереди без рассечения.
6. Вскрытие глубокого позадианального пространства Cortney: ориентиры - анатомическое расположение, наличие абсцесса (острый парапроктит) или грануляционной ткани (хронический парапроктит), зонд, введенный через первичное отверстие.
7. Проникновение тупым путем в ишиоанальные ямки с обеих сторон из глубокого позадианального пространства. Диссекция продолжается кпереди до достижения границы абсцесса или до наружных отверстий свища.
8. Вскрытие абсцесса дополнительными разрезами и/или расширение наружных отверстий свища. Выскабливание полости свища с помощью кюретки или ложки.
9. Проведение эластичной лигатуры (vessel loop) через первичное отверстие в постанальное пространство/задний разрез. Перевязка концов лигатуры тремя узлами из толстого шелка таким образом, чтобы она плотно, но без натяжения, охватила мышцу сфинктера. Ушивание мышцы над лигатурой, в частности, когда первичное отверстие шире, чем эластичная лигатура.
10. Вторичное отверстие: установка дренажей Пенроуза (острый парапроктит) или также проведение эластичной лигатуры (хронический парапроктит) через позадианальное пространство и вторичные отверстия. Перевязка эластичной лигатуры тремя узлами из толстого шелка.
11. Гемостаз.
12. Впитывающая повязка.

е) Анатомические структуры, подверженные риску повреждения: анальный сфинктер, прямая кишка.
ж) Послеоперационный период:
• Антибиотики: простой абсцесс у пациентов с сохранным соматическим статусом - нет; абсцесс в сочетании с флегмоной - да; абсцесс у больных с иммуносупрессией/ сахарным диабетом - да; признаки сепсиса - да (стационар).
• Открытое ведение раны: сидячие ванночки или подмывания дважды в день и после каждого стула.
• Удаление боковых дренажей через 2-4 недели в клинике, перед окончательным удалением возможно предварительное подтягивание дренажей.
• После удаления дренажей: затягивание эластичной лигатуры с интервалом в один месяц.
з) Осложнения вскрытия абсцесса (свища) по Hanley:
• Кровотечение, задержка мочеиспускания (признак сепсиса?), рецидив абсцесса, тазовая/промежностная флегмона, формирование или рецидив свища прямой кишки (требующий дальнейшего хирургического лечения).
• Рецидивирующий/персистирующий свищ (10—15%). Недержание кала: деформация анального канала, слабость сфинктера.

Учебное видео анатомии диафрагмы таза, промежности, мочеполовой диафрагмы
Редактор: Искандер Милевски. Дата обновления публикации: 18.3.2021
Вскрытие абсцесса
Вскрытие абсцесса — это операция, которая выполняется с целью открытия, опорожнения, дренирования гнойной полости. Абсцесс – это гнойное воспаление тканей с образованием полости, отграниченной от окружающих тканей капсулой. Абсцесс обусловлен попаданием в ткани и органы гноеродных микроорганизмов. Абсцесс может возникнуть, как в мягких тканях кожи, подкожной клетчатки, мышцах, а также в любых других органах, тканях и полостях организма.
Врачи по специализации
Симптомы абсцесса мягких тканей кожи и подкожной клетчатки
- появление болезненного твердого болезненного узла и покраснения вокруг него;
- далее появляется выраженный отек кожи, размягчение в центральной части, усиление болевого синдрома;
- возможное увеличение расположенных рядом лимфатических узлов.
Общие проявления абсцесса:
- слабость, недомогание, головная боль;
- повышение температуры тела, которая может достигать 39-40 °C и сопровождаться ознобом – данные симптомы могут быть связаны с всасыванием в кровоток токсических веществ, образующихся в результате распада тканей внутри абсцесса или свидетельствовать о распространении гнойного процесса.
Причины возникновения абсцесса мягких тканей
- открытые раны, порезы – проникновение патогенных микроорганизмов, вызывающих абсцесс мягких тканей, чаще происходит при нарушении целостности кожного покрова в результате ранений, травм, микротравм, ожогов, отморожений;
- неправильно выполненные инъекции, пункции и блокады – инфицирование с образованием абсцесса мягких тканей может произойти при проведении инъекции нестерильной иглой;
- наличие в организме гнойных и воспалительных процессов – абсцесс мягких тканей может возникать при распространении микроорганизмов через лимфатические или кровеносные сосуды из имеющихся в организме гнойных очагов (например – фурункула, карбункула, пиодермии, гнойной ангины, перитонита и т.д.);
- общее понижение сопротивляемости организма в результате хронических заболеваний, переохлаждения, снижения иммунитета.
NB! Развитию абсцесса способствует наличие в организме очага хронической инфекции (синусит, хронический тонзиллит, фарингит и т.п.), обменные нарушения (ожирение, гипотиреоз, сахарный диабет, авитаминоз), а также нарушение кровоснабжения верхних и нижних конечностей.
Стоимость вскрытия абсцесса
| Название | Цена |
| Вскрытие абсцесса носовой перегородки | 22 103 руб. |
| Вскрытие абсцесса (карбункула) почки под УЗ наведением с дренированием | 211 200 руб. |
| Вскрытие абсцесса бартолиневой железы( местная анестезия) | 33 141 руб. |
| Вскрытие абсцесса в области промежности | 33 141 руб. |
| Вскрытие абсцесса молочной железы 2 ст.сложности (интрамаммарный) | 23 060 руб. |
| Вскрытие абсцесса мошонки, промежности | 54 860 руб. |
| Вскрытие абсцесса мошонки, промежности сложное | 54 860 руб. |
| Вскрытие абсцесса надгортанника | 78 570 руб. |
| Вскрытие абсцесса при мастите 1 ст. сложности (субареолярный) | 17 951 руб. |
| Вскрытие абсцессов, флегмон гортаноглотки | 92 850 руб. |
| Вскрытие и дренирование абсцессов печени | 457 150 руб. |
| Вскрытие и дренирование абцесса/гематомы/кисты | 82 290 руб. |
| Лапароскопическое вскрытие и дренирование абсцессов печени | 548 580 руб. |
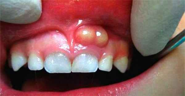
Пародонтальный абсцесс
Пародонтальный абсцесс относится к острой форме пародонтита.

Проявляется четко ограниченным болезненным образованием округлой формы в придесневой области. Среди основных симптомов заболевания можно выделить:
- Отечность слизистой,
- Подвижность зуба,
- Боли при жевании и накусывании,
- Повышение температуры,
- Гнойные выделения из-под десны при надавливании,
- Увеличение лимфоузлов.
Патологическое состояние приводит к появлению свища, необратимой деструкции костной ткани челюсти, утрате зуба. Самопроизвольное вскрытие пародонтального абсцесса – не повод откладывать визит к стоматологу. Процесс склонен к рецидивированию.
Причины возникновения
Основная причина появления абсцесса – повреждение зубоэпителиального прикрепления и проникновение в образованную полость болезнетворных бактерий и микроорганизмов. Целостность десны может быть нарушена в результате:
- Заболеваний пародонта (гингивит, пародонтит),
- Механической травмы (зубочисткой, осколками костей при приеме пищи, нависающими краями пломбы или недостатками протезной конструкции),
- Общих заболеваний, снижающих иммунитет.
Активация патогенных микроорганизмов на фоне затруднения оттока гнойного экссудата (вследствие глубоких зубодесневых карманов и зубных отложений) выражается обострением пародонтита и образованием нарыва.

Хроническая генерализованная форма тяжелой степени может обостряться множественными абсцессами.
Диагностика
Выявление очагового воспаления и постановку диагноза проводят стоматолог-терапевт или пародонтолог. Заболевание важно дифференцировать от обострения хронического периодонтита, кистогранулемы, периостита, остеомиелита. Первичная и дифференциальная диагностика состоят из:
- Опроса,
- Обследования состояния ротовой полости,
- Изучения анамнеза болезни,
- Анализа анамнеза жизни,
- Рентгенографических исследований (прицельный снимок, ортопантомограмма, КТ).
В некоторых случаях могут потребоваться данные лабораторных проб – ОАК, биохимия крови, цитологическое исследование слюнной жидкости.
Методы лечения
Основные цели при лечении заболевания – купирование очага воспаления, стабилизация состояния и создание условий для запуска процесса регенерации. Лечение пародонтального абсцесса проводится комплексно. Выбор методов определяется особенностями клинического течения и степенью тяжести болезни.
Терапевтические методы объединяют выявление и устранение факторов, поддерживающих воспалительный процесс:
- Нависающие острые края пломб,
- Кариес и осложнения,
- Зубной налет, над- и поддесневые отложения.
Хирургическое лечение назначается для ликвидации основного очага и состоит, в первую очередь, из вскрытия абсцесса и обеспечение выведения из полости гнойного содержимого. Оперативные мероприятия требуют предварительной подготовки и проводятся в ситуациях, когда консервативные методы оказались недостаточно эффективными.

При наличии выявленных зубочелюстных аномалий и дефектов зубного ряда для стабилизации патологического процесса назначается ортодонтическое и ортопедическое лечение.
Наши преимущества
Бережно, точно и оперативно – вот принципы, которыми мы руководствуются при диагностике и подборе методов лечения. Мы предлагаем:
- Мультидисциплинарность. В нашем центре вы можете получить все необходимые исследования и консультации. При необходимости план лечения будет составлен с учетом рекомендаций других специалистов.
- Профессионализм. Опыт, квалификация и свободное владение различными терапевтическими и хирургическими методиками позволяют подобрать результативную тактику вмешательства, отвечающую потребностям и ожиданиям пациента.
- Оснащенность. Современное оборудование, материалы и инструменты, повышенные требования безопасности и стерильности.
Цены на лечение
Стоимость лечения пародонтального абцесса будет зависеть от количества необходимых процедур по комплексному лечению пародонтита и объема необходимого хирургического вмешательства (вскрытие абсцесса, кюретаж пародонтального кармана, остеопластика, гингивопластика и др.).
Читайте также:
