Методы лечения рака мочевого пузыря
Добавил пользователь Евгений Кузнецов Обновлено: 29.01.2026
Рак мочевого пузыря – онкологическое заболевание, характеризующееся развитием злокачественного образования из клеток слизистой мочевого пузыря, способного к распространению на соседние органы и склонного к метастазированию. Рак мочевого пузыря является очень опасной болезнью, которая без лечения может привести к летальному исходу.
Виды рака мочевого пузыря
В зависимости от того, из каких клеток «выросла» опухоль, выделяют несколько видов рака:
- Карцинома (переходно-клеточный рак). Встречается в 90% случаев
- Плоскоклеточный рак
- Аденокарцинома
Причины развития рака мочевого пузыря
Существуют определенные факторы риска, влияние которых может вызвать возникновение рака:
- Курение (канцерогенные вещества выходят из организма через мочу и какое-то время контактируют с мочевым пузырем)
- Профессиональный риск - постоянный контакт с химическими веществами (например, анилиновые и бензидиновые красители).
- Хронические заболевания мочевого пузыря (например, хронический цистит)
- Сужение внутреннего просвета мочеиспускательного канала (стриктура уретры)
- Предраковые состояния (гиперплазия предстательной железы) и др.
- Перенесенное лучевое лечение в области малого таза
- Наличие постоянного катетера
- Генетическая предрасположенность
Симптомы рака мочевого пузыря
Как правило, клиническая картина проявления рака мочевого пузыря на ранней стадии развития очень схожа с симптоматикой других заболеваний мочеполовой системы, например с циститом. Изначально могут возникать такие признаки:
- Болевые ощущения при мочеиспускании
- Дискомфорт
- Недержание мочи
- Постоянные позывы к мочеиспусканию
- Ложные позывы
- Ощущение неполного освобождения мочевого пузыря
В дальнейшем, когда болезнь начинает прогрессировать, появляется такой яркий симптом, как кровь в моче – как правило, кровь розового, ярко-красного или алого цвета, может появляться в виде капель, прожилок или сгустков. Изначально гематурия возникает редко и мало, далее увеличивая интенсивность кровотечения, вплоть до непрекращающегося (это говорит о запущенной болезни).
При активном росте опухоли все ранее проявляемые симптомы начинают носить более выраженный характер, что говорит о присоединении инфекции.
Также возникает боль в надлобковой области, которая усиливается во время мочеиспускания.
Кроме того, присутствуют общие интоксикационные симптомы – слабость, усталость, резкое похудение, потеря аппетита, нарушение сна и т.д.
На последних стадиях поражению подвергаются соседние органы и развиваются сопутствующие заболевания:
Диагностика рака почек
Основные виды диагностики, применяемые для выявления рака мочевого пузыря:
- Лабораторные анализы (анализ мочи на цитологию и выявление крови)
- Цистоскопия (эндоскопическое внутреннее обследование мочевого пузыря)
- Ультразвуковая диагностика (УЗИ). Дает возможность увидеть большие образования, и выявить изменения в почках.
- Урография (обследование почек с помощью контрастного вещества). Для исключения поражения наличия опухоли.
- Фотодинамическая диагностика. Позволяет выявить самые «спрятанные» участки, пораженные опухолью.
- ТУР-биопсия. При помощи специального инструмента опухоль иссекают и отправляют на исследование (гистология).
- Компьютерная томография (КТ). Во время процедуры происходит оценка состояния мочевого пузыря, выявляется степень распространения опухолевого процесса.
- Рентген грудной клетки, УЗИ брюшной полости. Проводится для выявления метастазов в легких и печени.
Лечение рака мочевого пузыря
Выбор тактики лечения основывается на стадии развития заболевания, виде опухоли, распространенности процесса, общего состояния здоровья пациента.
Основные методы лечения рака мочевого пузыря:
Хирургическое лечение. Радикальный метод лечения, позволяющий полностью убрать опухоль.
- Как правило, применяется трансуретральная электрорезекция, во время которой удаляется сама опухоль и мочевой пузырь. Эта операция является малоинвазивной, поскольку проводится без разрезов – все манипуляции проводятся через мочеиспускательный канал. Показана при небольших локальных образованиях, не имеющих распространение за пределы мочевого пузыря.
- Если данная операция невозможна по медицинским показаниям, проводятся другие вмешательства: открытая или лапароскопическая резекция стенки мочевого пузыря с опухолью, а также цистэктомия (удаление мочевого пузыря).
По сути, результат всех операций можно классифицировать по типам:
- 1 тип. После таких операций пациентам необходим мочеприемник, поскольку моча выделяется постоянно.
- 2 тип. Во время операции создается внутреннее отведение мочи (с устья мочеточника в кишечник).
- 3 тип. Создается резервуар из участка кишечника, который и выполняет функцию мочевого пузыря и из которого моча выделяется по желанию больного.
Консервативное лечение. Используется при наличии противопоказаний к операции и в качестве дополнительного лечения перед хирургическим вмешательством и после него.
- Лучевая терапия (наружная или внутренняя). Применяется для разрушения раковых клеток, уменьшения размера опухоли, облегчения симптомов.
- Внутрипузырная (или местная) химиотерапия. Внутрипузырная химиотерапия отличается от обычной тем, что лекарства вводятся напрямую в мочевой пузырь. Также используется для уничтожения опухолевых клеток и в качестве симптоматического лечения на поздних стадиях рака
- БЦЖ-терапия (введение противотуберкулезной вакцины). Применяется для снижения риска развития рецидива. Препарат вводится через катетер в мочевой пузырь и не имеет влияния на организм. Используется только по определенным медицинским показаниям.
Рак мочевого пузыря достаточно опасен и прогноз на выздоровление зависит от того, на какой стадии находилось заболевание при выявлении и начале лечения.
Рак мочевого пузыря

РМП занимает 9-е место среди всех злокачественных новообразований в мире. Ежегодно диагностируется более 380 тыс. новых случаев этого заболевания и у более чем 150 тыс. человек оно является причиной смерти. Почти у 1/3 пациентов на момент проведения лечения имеются микрометастазы, а 25.0% больных подвергаются оперативному лечению при уже имеющемся поражении лимфатических узлов.
В зависимости от глубины прорастания опухоли в стенку мочевого пузыря различают поверхностный и мышечно-инвазивный рак мочевого пузыря. Чаще диагностируется поверхностный рак мочевого пузыря. Прорастание опухоли в мышечный слой составляют 20-25% из всех злокачественных опухолей мочевого пузыря.
СИМПТОМЫ И ПРИЗНАКИ ОНКОЛОГИИ
Типичными симптомами рака мочевого пузыря являются:
- кровь в моче и боль при мочеиспускании;
- тампонада мочевого пузыря (образование сгустков в мочевом пузыре в большим количеством);
- нарушения мочеиспускания;
- нарушение оттока мочи из почек (обструкция верхних мочевыводящих путей, проявляющаяся почечной коликой, гидронефрозом и/ил почечной недостаточностью).
Поверхностный рак мочевого пузыря
При поверхностных формах рака мочевого пузыря основным методом лечения является трансуретральная резекция (ТУР) стенки мочевого пузыря. Целью операции является удаление опухоли с лечебной и диагностической целью. В послеоперационном периоде с целью снижения риска рецидивирования рака мочевого пузыря проводится курс внутрипузырной химиотерапии или иммунной терапии (инстилляции химио или иммунных прапаратов в мочевой пузырь).


Диагностика
В диагностике рака мочевого пузыря применяются различные инструментальные методы исследования.
Ведущим методом диагностики рака мочевого пузыря является цистоскопия. Метод заключается в осмотре полости мочевого пузыря. При цистоскопии можно оценить состояние слизистой мочевого пузыря, размеры, количество, локализацию, внешний вид, распространенность опухоли, а также вовлеченность устьев мочеточников.

УЗИ мочевого пузыря и почек, при котором можно визуализировать саму опухоль и состояние верхних мочевых путей.
Из рентгенологических методов исследования используются компьютерная томография, магнитно-резонансная томография, позволяющие оценить распространенность опухолевого процесса и выявить метастазы в лимфатических узлах.
Мышечно-инвазивный рак мочевого пузыря – злокачественное поражение мочевого пузыря, характеризующееся прорастанием опухоли в глубокий мышечный слой, на всю толщу стенки мочевого пузыря, за ее пределы, вплоть до прорастания на соседние органы.
Методы диагностики инвазивного рака мочевого пузыря:
- Ультразвуковое исследование мочевого пузыря.
- Цитологический анализ мочи.
- Диагностическая цистоскопия.
- Магнитно-резонансная урография (МР-урография).
- Трансуретральная резекция (биопсия) инвазивного рака мочевого пузыря.
- Рандомная биопсия мочевого пузыря и простатической части уретры
- ПЭТ-КТ.
ЛЕЧЕНИЕ РАКА МОЧЕВОГО ПУЗЫРЯ
Методы лечения инвазивного рака мочевого пузыря:
- Трансуретральная резекция стенки мочевого пузыря (при отсутствии данных о распространении опухоли за пределы стенки мочевого пузыря).
- Радикальная цистэктомия (цистпростатэкомия).
- Лучевая терапия.
- Химиотерапия.

Радикальная цистэктомия является «золотым» стандартом лечения мышечно-инвазивного рака мочевого пузыря. Она способствует значительному снижению риска возникновения смерти, как связанной с заболеванием, так и не связанной с ним. Традиционно радикальную цистэктомию рекомендуется выполнять пациентам со стадиями Т2–Т4а, N0–Nx, М0. К другим показаниям относят наличие поверхностных опухолей высокого риска и рецидивных поверхностных опухолей, карциномы in situ, резистентной к БЦЖ-терапии, опухолей T1G3, распространенной папиллярной опухоли, которая не поддается контролю с помощью ТУР и внутрипузырной терапии. Цистэктомия спасения показана больным, у которых неэффективна консервативная терапия, при рецидивах после лечения с сохранением мочевого пузыря, при наличии непереходно-клеточных опухолей (плохо отвечающих на проведение ХТ и ЛТ) и только с паллиативной целью, например при формировании свища, возникновении боли и рецидивирующей макрогематурии.
В стандартном варианте радикальная цистэктомия выполняется открытым доступом и сопровождается большим количеством интраоперационных и послеоперационных осложнений, а также длительным периодом нахождения в стационаре и реабилитации.
В урологическом отделении городской больницы № 40 с 2011 года выполняется лапароскопическая цистпростатэктомия, а с 2012 года эти оперативные вмешательства осуществляются с использованием роботической системы Да Винчи. Роботассистированная радикальная цистэктомия - технически сложная, дорогостоящая операция, которая требует высокого уровня хирургических навыков. Это вмешательство характризуется меньшим количеством инра- и послеоперационных осложнений, сопровождается меньшей кровопотерей. После операции значительно сокращается время до начала питания, период госпитализации и реабилитации, а также уменьшается потребность в обезболивающих препаратах.
«Чёрная речка» автобус №211 до ул. Борисова,
автобус №211Э до ул. Борисова
«Старая деревня» автобус №216А до ул. Борисова
«Проспект Просвещения» маршрутное такси №к827 до ул. Борисова
«Парнас» маршрутное такси №к600 до ул. Борисова
«Беговая» автобусы №211, №211Э, №216А до ул. Борисова
Рак мочевого пузыря – стадии, симптомы, диагностика
Рак мочевого пузыря — это злокачественное образование на стенке мочевого пузыря или его слизистой оболочке. Болезнь занимает третью позицию после онкоурологической патологии простаты и почек. У мужчин это заболевание диагностируется втрое чаще, чем у представительниц женского пола. Ориентировочно 79% заболевших — это люди возрастом 50-80 лет. Смертность от осложнений этой болезни невысокая — от трёх до восьми процентов (статистические данные развитых стран). Каждый год в нашей стране онкология мочевого пузыря диагностируется свыше чем у 16000 человек. Число заболевших ежегодно нарастает.
Анатомия мочевыделительной системы
Мочевой пузырь (МП) — это полый орган мочевыводящей системы, располагающийся в малом тазу. Является резервуаром накопления урины, который опорожняется через уретру. Вместительность органа мужчины — 0,35-0,55 л; женщины — 0,25-0,45 л. При заполненности органа 0,15-0,25 л, происходит позыв к мочеиспусканию. Чем быстрее наполняется орган, тем сильнее происходит раздражающее воздействие на мышечные рецепторы и учащается работа мочевыводящей системы.

Рак МП: классификация и стадии
Мочевой пузырь (МП) — это полый орган мочевыводящей системы, располагающийся в малом тазу. Является резервуаром накопления урины, который опорожняется через уретру. Вместительность органа мужчины — 0,35-0,55 л; женщины — 0,25-0,45 л. При заполненности органа 0,15-0,25 л, происходит позыв к мочеиспусканию. Чем быстрее наполняется орган, тем сильнее происходит раздражающее воздействие на мышечные рецепторы и учащается работа мочевыводящей системы.
Рак МП: классификация и стадии
Злокачественная опухоль данного органа выявляется гистологическим исследованием, по степени дифференцировки клеток, образованию вторичных очагов (метастазов), характеру роста. Эти параметры крайне важны для планирования стратегии терапии.
Морфология злокачественных образований такова: свыше 90% выпадает на долю переходно-клеточных опухолей; до 5% - плоскоклеточные; аденокарцинома и саркома - до 2%; 1% - папиллома. Самый редкий рак мочевого пузыря - мелкоклеточная и веретеноклеточная карцинома.
Степень анаплазии делится на низко-, умеренно- и высокодифференцированные новообразования. Одну из главных ролей играет включение в опухелогенное действие разных слоёв стенки мочевого пузыря. По этой причине заболевание инвазивно в высокой или низкой стадии, или протекает поверхностно.
И также опухоль подразделяется на папиллярный, инфильтративный, плоский, узелковый, внутриэпителиальный характеры роста. Возможно комбинированное развитие новообразования - рак одновременно имеет несколько признаков.
Рак мочевого пузыря классифицируется по международной системе ТNМ.
- Т - первичная неоплазия.
- ТХ - первичная неоплазия без возможности проведения оценки.
- ТО - первичная неоплазия без каких-либо данных.
- Та - поверхностная папиллярная карцинома.
- Tis - плоская карцинома in situ - неоплазия нулевого этапа.
- Т1 - клетки рака проникают в сосуды.
- Т2 - неоплазия мышечного слоя (Т2а - рак, протекающий поверхностно; Т2b - рак, проникший глубоко в ткани).
- Т3 - патология передаётся на паравезикальную клетчатку. При этом: Т3а - на микроскопическом уровне; T3b - на макроскопическом уровне.
- Т4а - проникновение рака на любой стадии в соседние органы - поражается матка, влагалище, простата.
- Т4b - проникновение раковых клеток в кости таза, брюшную стенку.
- N1–3 - метастазы проявляются в одном (N1) или нескольких (N2) тазовых лимфатических узлах.
- М1 - проникновение метастазов в соседние органы - рак печени, рак лёгких, рак желудка; в определённых случаях - поражение костей.
Рак МП: признаки
Возникновение рака на начальной стадии может никак себя не проявлять, проходить даже без слабых признаков. То есть, опухоль находится на первичной стадии развития, но пациент это никак не ощущает.
Первым проявлением рака этого непарного полого органа является гематурия - наличие крови в урине. Этот признак подразделяется на микрогематурию, - когда моча периодически окрашивается розовым цветом; и макрогематурию - урина приобретает явный кровавый оттенок и может содержать свернувшуюся кровь. Сгустки крови могут провоцировать задержку урины; затруднённость и учащённость мочеиспускания.
Слишком частое мочеиспускание также может быть вызвано опухолеобразованием. Когда неоплазия достаточно развита и достигает в размерах нескольких сантиметров, она уменьшает ёмкость мочевого пузыря. Поэтому в нём накапливается меньшее количество мочи, что является причиной слишком частого мочеиспускания.
На фоне развития новообразования нарастают болевые ощущения в области малого таза как во время мочеиспускания, так и в состоянии покоя. Боли зачастую тянущие и редко носят острый характер. На поздних стадиях боли могут быть интенсивными и продолжительными. Состояние усугубляется прогрессирующей анемией и вызванной ей общей слабостью.
Иногда опухоль расположена так, что она не даёт моче проходить из верхних мочевыводящих путей (затрудняется поступление мочи из почек в орган) это приводит к развитию хронической почечной недостаточности. В этом случае биохимический анализ крови покажет повышенное содержание мочевины и креатина.
Но не все признаки являются прямыми симптомами рака мочевого пузыря. Многие из них относятся к иным заболеваниям органов малого таза: циститу, уретриту, наличию камней в мочевыводящей системе, доброкачественной опухоли простаты. Схожесть симптоматики начальных периодов приводит к тому, что пациенты занимаются затяжным самолечением, - а это усугубляет общую клиническую картину.


Причины
Медики не пришли к общепризнанной этиологии данной болезни, но выявили источники риска, способствующие опухолеобразованию:
Редкое мочеиспускание и продолжительный стаз мочи. Повышенное содержание метаболитов в моче обладает опухолегенным действием, которое может спровоцировать злокачественное изменение переходных эпителий.
Болезни органов малого таза. Аденома предстательной железы, простатит, уролитиаз, хронический цистит, - эти патологии также могут вызывать длительный стаз мочи, что негативно повлияет на эпителии.
Инфекционные заболевания. Влияние папилломавирусных инфекций в качестве причины новообразований остаётся под вопросом. Из паразитарных инфекций мочеполовой бильгарциоз провоцирует активный канцерогенез.
Профессиональный фактор. Этому риску подвержены люди регулярно контактирующие с такими веществами, как производные ксилола, фенолы, фталаты, противораковые лекарства и пр. Зачастую это маляры, медработники, рабочие предприятий химического, нефтегазодобывающего и перерабатывающего сектора.
«Бытовые» канцерогены. К этой группе риска принадлежат курильщики, страдающие от рака мочевого пузыря в два-три раза больше тех, кто не подвержен этой пагубной привычке. И также к разряду канцерогенов относится хлорированная питьевая вода - она увеличивает вероятность заболевания более чем в полтора раза.
В некоторых случаях опухолеобразование может быть обусловлено генетически и вызвано наследственными факторами.
Рак МП: диагностика
Выявление опухолеобразования в главном органе мочевыводящей системы - это комплексное клинико-лабораторное исследование с включённым инструментальным обследованием. Здесь путём анализа мочи выявляется гематурия; визуальным микроскопическим анализом обнаруживаются атипичные клетки; бакпосев находит или исключает инфекцию; проводится тест на обнаружение опухолевого агента; анализ крови констатирует анемию, подтверждающую кровопотерю. И также проводятся:
- Трансабдоминальное (поверхностное) УЗИ. Данное диагностирование способно обнаружить неоплазию размером свыше 5 мм, находящуюся в большинстве случаев на боковых пузырных стенках. Эффективность исследования: неоплазия до 5 мм - 37%; опухоль диаметром свыше 5 мм - 83%.
- Для диагностирования опухолей в шейке органа делают трансректальное или трансвагинальное сканирование. В ряде случаев проводится эндолюминальная эхография. Это исследование при помощи ультразвукового прибора, введённого в мочевой пузырь через естественное отверстие. Точность определения патологии - 94%.
- Уретроцистоскопия - биопсия слизистой уретры. Это обязательная диагностическая процедура. Выявляет количество, размер, темп роста, месторасположения опухолеобразования.
- КТ - высококачественные рентгеновские изображения. Дают возможность получить более детальные данные и найти новообразования малых размеров, которые невозможно определить эхографическим исследованием. И также томография может выявить глубину внедрения злокачественных образований.
- МРТ - высокоточные изображения, полученные методом магнитно резонансного исследования. Наиболее информативный вид диагностики рака мочевого пузыря.
- Эндоскопия позволяет визуально обнаружить внешний вид неоплазии, её размер и локацию. К тому же это обследование даёт возможность взять биопсию и осуществить морфологическое подтверждение рака мочевого пузыря.
- Существует рентгенодиагностика: при опухолеобразовании проводят цистографическое исследование, которое выявляет деформацию границ пузырной стенки. Это позволяет определить рост новообразования.
- При помощи тазовой флебографии и лимфаденографии выявляют вовлечённость вен тазовой области и лимфоузлов.
- Отдалённые метастазы выявляют методом ультразвукового исследования брюшных и тазовых органов; рентгенографическим обследованием грудной клетки, сцинтиграфией скелета.

Терапия

Опухолеобразование в мочевом пузыре можно условно разгруппировать.
- Немышечно-инвазивный (поверхностный) рак.
- Инвазивный рак - проникновение метастазов глубоко в мышечные слои.
Терапия на начальной стадии течения болезни может обойтись без хирургических методов. В этом случае применяется химиотерапия с применением одного или группы цитостатиков; лечение иммунологическими препаратами. Назначение препаратов этих групп зависит от величины, локации и прогрессии злокачественного образования.
Немышечно-инвазивный рак: лечение
Трансуретральная резекция мочевого пузыря (ТУР). Хирургическая операция, при которой специальное оборудование вводится через уретру. Воздействие на опухоль производится путём резекции, лазером, электрокоагуляцией.
Внутрипузырная (местная) химическая терапия. Метод заключается во введение в полость органа противоопухолевого препарата. Курс местной химической терапии от 6 до 8 еженедельных внутрипузырных инсталляций. Является эффективной методикой для профилактики возобновления данного онкозаболевания.
Проникающий рак мочевого пузыря: методы терапии
Цистэктомия. Это хирургическая операция по иссечению фрагмента мочевого пузыря или органа целиком. Степень вмешательства обуславливается протеканием рака.
Радикальная цистэктомия. Методика предусматривает комплексную эктомию органов, а именно: мочевого пузыря; фрагмента серозной оболочки брюшной полости или клетчатки пристеночного пространства таза; простаты; парного органа мужской половой системы. У женщин проводится комплексная эктомия мочевого пузыря; матки и её шейки, придатков; передней стенки влагалища. Обязательной процедурой при цистэктомии является удаление тазовых лимфатических узлов.
Замещается удалённый орган уретерокутанеостомией - имплантированием мочеточников в кожу; деривацией мочи по методу Брикера; ортопедическим пузырём из ткани тонкой кишки или желудка.
При необходимости эктомия усиливается дистанционным или контактным лазерным лечением, химиотарапией, общей или интравезикальной терапией иммунологическими препаратами. При отказе пациента от оперативного вмешательства назначается радикальное лечение с помощью ионизированного излучения.
Рак МП: профилактические меры
Профилактика онкологии мочевого пузыря включает в себя широкий ряд мер. Это: полное исключение спиртосодержащих напитков и сигарет; повышенная физическая активность — увеличение ходьбы; здоровое питание с включением необходимого количества овощей и фруктов; исключение из рациона хлорированной воды и прочих канцерогенов; максимальное ограничение уф-излучения.
При малейших намёках на признаки заболевания, например: участилось мочеиспускание, необходимо сразу же обратиться к квалифицированному специалисту и пройти диагностическое обследование. Злокачественное новообразование необходимо выявить на ранних этапах — от этого напрямую зависит эффективность и успех лечения. Раннее диагностирование в ряде случаев помогает избежать хирургического вмешательства. Помните: рак — сложнейшее заболевание, которое необходимо выявить своевременно.
Рак мочевого пузыря
Злокачественное новообразование, развивающееся из эпителия (слизистого слоя) органа.
Принято считать, что основной причиной возникновения рака мочевого пузыря является воздействие канцерогенных веществ, выделяемых с мочой на слизистую мочевого пузыря.
Доказанными факторами риска возникновения злокачественной опухоли мочевого пузыря являются:
- работа в непосредственном контакте с ароматическими аминами (пластмассовые, красильные, алюминиевые, резиновые и др. производства) – повышает риск заболевания до 30 раз;
- курение – повышает риск от 3 до 7-10 раз;
- употребление хлорированной воды - 2 раза;
- хронический застой мочи и цистит (например, при аденоме простаты) – до 2 раз;
- радиационное воздействие – до 3 раз;
- шистосоматоз мочевого пузыря – до 5 раз.
Специфических жалоб, характерных для рака мочевого пузыря, не существует. Гематурия (появление крови в моче) – один из наиболее частых симптомов заболевания. Нередко гематурия имеет транзиторный характер - появляется на «ровном месте» и быстро исчезает. Пациент может не придать этому большого значения. Или ограничиться приемом назначенного в поликлинике «кровоостанавливающего» препарата. А между тем, опухоль мочевого пузыря продолжает развиваться. У части больных опухолевый процесс сопровождается учащением позывов к мочеиспусканию, нестерпимыми или «императивными» позывами. При распространении опухли на мышечный слой и далее могут присоединиться тупые боли над лоном, в крестце, промежности. В запущенных формах появляются анорексия (отсутствие аппетита), слабость, быстрая утомляемость, потеря массы тела.
Диагностика рака мочевого пузыря
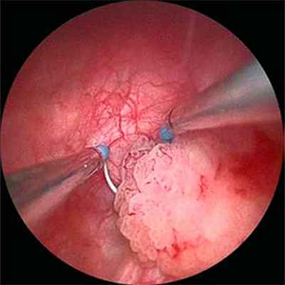
На сегодняшний день основной метод диагностики опухоли мочевого пузыря – цистоскопия (осмотр слизистой мочевого пузыря «изнутри» с помощью специального прибора - эндоскопа), позволяющая не только увидеть опухоль, но и взять кусочек новообразования для гистологического исследования. Основной недостаток данного метода, сильно ограничивающий его применение, – известная инвазивность (дискомфорт для пациента).
Не так давно в распоряжении урологов появилась тест-полоска для экспресс-диагностики рака мочевого пузыря - NMP22, работающая по принципу теста на беременность. Это, вероятно, позволит использовать данный подход в скрининге заболевания. Метод пока не имеет широкого распространения в мире.
Большое значение в диагностике опухолей мочевого пузыря имеют лучевые методы: УЗИ, КТ, МРТ. Они позволяют неинвазивно выявить новообразование при профилактическом осмотре (УЗИ), на предоперационном этапе определить степень распространенности опухолевого процесса (МРТ, КТ), а также отследить результаты лечения (МРТ, КТ).
Из лабораторных методов для диагностики рака мочевого пузыря используется общий анализ мочи и цитологическое исследование осадка мочи.
В зависимости от степени распространенности (запущенности) рак мочевого пузыря можно разделить на 3 вида: поверхностный, инвазивный и генерализованный
Предваряя рассмотрение клинических форм рака мочевого пузыря необходимо отметить, что стенка данного органа состоит из четырех слоев:
- 1. Эпителий (слизистая) – слой, который непосредственно контактирует с мочой и в котором «начинается» опухолевый рост;
- 2. Подслизистый соединительнотканный слой (lamina propria) – фиброзная пластинка, служащая «основанием» для эпителия и содержащая большое количество сосудов и нервных окончаний;
- 3. Мышечный слой (детрузор), функция которого заключается в изгнании мочи из мочевого пузыря;
- 4. Наружный слой стенки мочевого пузыря может быть представлен адвентицией (у забрюшинной части органа) или брюшиной (у внутрибрюшной части органа).
При поверхностном раке опухоль находится в пределах эпителия мочевого пузыря (или распространяется не глубже lamina propria) и не поражает его мышечную оболочку. Данная форма заболевания имеет наилучший прогноз.
Лечение онкологии мочевого пузыря
Основным методом лечения в такой ситуации является трансуретральная электрорезекция стенки мочевого пузыря с новообразванием (ТУР).
Эта методика имеет диагностическое и лечебное значение – она позволяет забрать материал для гистологического исследования (подтверждение диагноза) и удалить новообразование в пределах здоровых тканей. К сожалению, после ТУР стенки мочевого пузыря с новообразованием вероятность рецидива опухоли составляет в среднем 50%. Снизить этот процент позволяет использование фотодинамической диагностики и внутрипузырное введение вакцины БЦЖ или химиопрепаратов (митомицин, доксорубицин и др.). В фазе разработки находятся многообещающие методики внутрипузырного лекарственного электрофореза. После выполнения ТУР абсолютно ОБЯЗАТЕЛЬНО выполнять повторные контрольные осмотры мочевого пузыря для исключения рецидива. При многократных рецидивах после ТУР и обнаружении низкодифференцированного («злого») рака нередко бывает целесообразно прибегнуть к радикальной операции – цистэктомии (удаление мочевого пузыря) с формированием нового мочевого пузыря из сегмента кишки. Такая операция особенно эффективна при ранних формах рака и обеспечивает высокие онкологические результаты. При адекватном лечении 5-ти летняя выживаемость пациентов с поверхностным раком мочевого пузыря превышает 80%.
Инвазивный рак мочевого пузыря характеризуется распространением опухолевого поражения на мышечную оболочку и за пределы органа – на околопузырную жировую клетчатку или соседние структуры (в запущенных случаях). В этой фазе развития опухоли мочевого пузыря значительно повышается вероятность метастазирования в лимфатические узлы. Основным методом лечения инвазивного рака мочевого пузыря является радикальная цистэктомия с лимфаденэктомией (удалением регионарных лимфатических узлов). В ограниченном ряде случаев для лечения пациентов с мышечно-инвазивным раком используется ТУР и открытая резекция мочевого пузыря. Для повышения эффективности оперативного лечения у части пациентов целесообразно назначение противоопухолевых химиопрепаратов. 5-летняя выживаемость больных с инвазивным раком мочевого пузыря составляет в среднем 50-55%.
При появлении метастазов (отсевов опухоли в лимфатических узлах и органах) рак мочевого пузыря называют генерализованным (метастатическим). Наиболее часто заболевание метастазирует в регионарные лимфатические узлы, печень, легкие и кости. Практически единственным эффективным методом лечения генерализованного рака мочевого пузыря, способным продлить жизнь пациента, является мощная химиотерапия сразу несколькими препаратами (метотрексат, винбластин, доксорубицин, цисплатин и др.). К сожалению, все эти препараты не безопасны. Летальность при их применении составляет 2-4%. Часто приходится прибегать к оперативному лечению, цель которого - не позволить пациенту погибнуть от угрожающих жизни осложнений, сопровождающих опухолевый процесс (например, кровотечения). 5-ти летняя выживаемость у больных с запущенным раком мочевого пузыря не превышает 20%.
Важно знать:
- Не ленитесь ОДИН раз в год тратить ОДИН день (в хорошей клинике) и проходить КАЧЕСТВЕННОЕ диспансерное обследование, обязательно включающее в себя УЗИ наполненного мочевого пузыря и анализ мочи.
- Если вы вдруг заметите примесь крови в моче – обязательно обратитесь за консультацией к грамотному урологу, имеющему возможность и, главное, желание выяснить причину этого эпизода.
Оформите заявку на сайте, мы свяжемся с вами в ближайшее время и ответим на все интересующие вопросы.
Опухоль мочевого пузыря
Рак мочевого пузыря представляет собой злокачественное новообразование, одно из тех немногих, которые при своевременной диагностике и лечении имеют высокую вероятность благоприятного исхода.
Причины возникновения рака мочевого пузыря
Существует ряд провоцирующих факторов, которые могут стать причиной образования опухоли мочевого пузыря. Среди них:
Наследственная или генетическая предрасположенность, наличие случаев опухолевых заболеваний у ближайших родственников
Воздействие радиации, вредных химических веществ
Хронические инфекционно-воспалительные заболевания органов малого таза
Острые и хронические стрессы
Химиотерапия других форм рака
По статистике, рак мочевого пузыря в 4 раза чаще встречается у мужчин, чем у женщин.
Симптомы рака мочевого пузыря
Проявления рака мочевого пузыря разнообразны. В каждом конкретном случае может наблюдаться разное сочетание симптомов, среди которых:
Боль при мочеиспускании
Боль вне мочеиспускания — в животе, в области поясницы, в боку, в анусе, в промежности и паху
Частое мочеиспускание малыми порциями
Появление крови в моче или, говоря медицинским языком, гематурия
Появление отеков на ногах
Потеря веса, снижение аппетита, повышенная утомляемость, слабость
Отек мошонки у мужчин
Стадии развития рака мочевого пузыря
В зависимости от распространения патологического процесса в мочевом пузыре можно выделить несколько последовательных стадий, во многом определяющих прогноз эффективности лечения и выздоровления.
На данном этапе раковые клетки обнаруживаются в мочевом пузыре, однако, без вовлечения в патологический процесс стенок органа. Нулевой этап врачи-онкологи условно разделяют на два периода:
0a — представляет собой неинвазивную папиллярную карциному, растущую к просвету мочевого пузыря, без проращивания к стенкам органа и без вовлечения в патологический процесс лимфатических узлов
0is — опухоль не растет в просвете мочевого пузыря и за пределы его стенки. Так же, как и на предыдущем этапе, рак не застрагивает лимфатические узлы Качественное комплексное лечение на данном этапе позволяет добиться полного выздоровления практически в 100% случаев.
На данном этапе раковая опухоль продвигается дальше, внутрь стенки мочевого пузыря, однако не затрагивает ее мышечный слой. При своевременной адекватной терапии прогноз заболевания очень благоприятный, полного выздоровления можно добиться практически в 100% случаев.
На этой стадии распространение опухолевого процесса передвигается к мышечному слою поражаемого органа, но без полного проращивания в него. Распространения к близлежащим лимфатическим узлам не происходит. При своевременной адекватной терапии, шансы на излечение составляют порядка 63−83%.
О третьей стадии рака мочевого пузыря говорят, когда опухоль уже проросла через стенку органа. В таком случае следующим этапом является распространение патологического процесса далее — у мужчин к простате и яичкам, у женщин — ко влагалищу. Важный момент — лимфатические узлы на данном этапе развития заболевания не затронуты. При своевременной, комплексной и адекватной терапии вероятность полного выздоровления колеблется от 20 до 50%.
На данной стадии в патологический процесс вовлекаются лимфатические узлы и другие органы (за счет распространения метастаз). Прогноз для пациента крайне неблагоприятный, излечение практически невозможно. Выживаемость в течение пяти лет также очень низкая и составляет не более 20%.
Диагностика рака мочевого пузыря
Рак мочевого пузыря на ранних стадиях имеет весьма благоприятный прогноз, хорошо реагирует на проводимую терапию и может полностью излечиваться. Поэтому важно вовремя пройти полноценное обследование и, в случае подтверждения диагноза, как можно скорее начать комплексное лечение. Среди методов диагностика рака мочевого пузыря наиболее информативны:
Анализы мочи — на начальном этапе обследования назначаются самые простые, но информативные общий и цитологический анализы мочи
Компьютерная и магнитно-резонансная томография, позволяющие делать многочисленные снимки мочевого пузыря в разных ракурсах со срезами любой толщины. Это необходимо для обнаружения даже самой малой по размерам опухоли.
УЗИ органов малого таза.
Рентгенографическое исследование мочевого пузыря с использованием контрастных средств позволяет визуализировать опухоль на снимке.
Лечение рака мочевого пузыря
Комплексное лечение рака мочевого пузыря включает в себя лучевую и химиотерапию, а также оперативное вмешательство. Выбор сочетания методик осуществляется индивидуально для каждого пациента и зависит от стадии развития рака, возраста и состояния пациента и ряда других факторов. Опытные врачи-онкологи, анализируют данные обследования, подбирают оптимальную схему терапии и при необходимости корректируют ее, учитывая реакцию организма пациента на проводимое лечение.
Лучевая терапия
Лучевая терапия представляет собой воздействие на опухоль мочевого пузыря пучками лучей или частиц высокой энергии, позволяющее добиться разрушения раковых клеток и замедления их роста и развития. В лечении рака мочевого пузыря может быть использована внешняя или внутренняя лучевая терапия, а также их сочетание. При внутренней лучевой терапии радиоактивное вещество устанавливают в специальных приспособлениях непосредственно внутри тела пациента, как можно ближе к опухоли. Внешняя лучевая терапия, как это ясно из названия, представляет собой наружное облучение. Лучевая терапия может быть использована как самостоятельный вариант лечения, и применяться в сочетании с химиотерапией и/или оперативным вмешательством. Процедура облучения протекает безболезненно и не вызывает у пациента дискомфорта. Однако такой вариант лечения чреват рядом побочных эффектов, среди которых сильная тошнота и рвота, головокружение и головная боль, потеря волос вплоть до полного облысения. Симптоматика исчезает самостоятельно после завершения курса лечения. Во время терапии, чтобы улучшить самочувствие пациентов, онкологи назначают специальные препараты, смягчающие выраженность побочных эффектов.
Химиотерапия рака мочевого пузыря
Химиотерапия рака мочевого пузыря представляет собой внутривенное введение в организм человека специальных веществ, губительных для клеток опухоли. Как правило, такой вариант лечения не используется в качестве самостоятельного метода, а применяется при подготовке к операции или же для закрепления результата хирургического вмешательства. Химиотерапия назначается курсами, через день или каждый день на 1−2 недели. Как правило, в ходе терапии заболевания курсы повторяются. Среди побочных эффектов химиотерапии мочевого пузыря можно выделить головную боль и головокружение, тошноту и рвоту, анемию и диарею, кровотечения и выпадение волос.
Оперативное лечение рака мочевого пузыря
Оперативное лечение рака мочевого пузыря зарекомендовало себя как эффективный способ, благодаря чему распространено во всем мире. Однако такой вариант терапии подходит не каждому пациенту. Противопоказаниями к проведению хирургического вмешательства являются разрастание опухоли за пределы мочевого пузыря, метастазы в соседние органы, а также состояния, препятствующие проведению анестезии. Существует несколько вариантов проведения операций при раке мочевого пузыря:
Трансуретральная операция — осуществляется при помощи специального прибора—цистоскопа, который вводит в мочевой пузырь через уретру. Такой подход позволяет избавиться от опухоли частично (с последующим подключением химио- и лучевой терапии) или полностью.
Радикальная цистэктомия — полостная операция, позволяющая удалить не только мочевой пузырь, но и соседние органы, в которые проросла опухоль. После удаления опухоли хирург создает специальный искусственный резервуар для накопления мочи, который будет выполнять роль мочевого пузыря. Для закрепления результатов хирургического лечения назначается химиотерапия.
Прогноз при раке мочевого пузыря
На ранних стадиях развития заболевания при своевременной диагностике и адекватном лечении пятилетняя выживаемость пациентов с раком мочевого пузыря достаточно высока и достигает 88−94%. При тяжелой стадии развития заболевания прогноз неблагоприятный.
Читайте также:
