Методы обследования асцита
Добавил пользователь Валентин П. Обновлено: 10.01.2026
Методы обследования асцита
а) Определение:
• Патологическое скопление жидкости в полости брюшины
б) Визуализация:
1. Общая характеристика:
• Основные диагностические признаки:
о Свободная жидкость в полости брюшины
• Локализация:
о Неинкапсулированная жидкость скапливается в самых нижних отделах
о Нижние отделы: карман Дугласа в полости таза; пространство Морисона (печеночно-почечная ямка) в верхней части живота, боковые околоободочные борозды
о Поддиафрагмальные пространства: не являются нижними отделами, но заполняются жидкостью вследствие присасывающего эффекта при движениях диафрагмы
о Сальниковая сумка обычно не заполняется асцитической жидкостью, за исключением случаев напряженного асцита и местных патологических процессов (язва желудка или панкреатит):
- Другие причины включают в себя канцероматоз или инфекционный асцит
• Морфология:
о Свободная жидкость: жидкость свободно перетекает между органами и принимает форму окружающих структур:
- Проявления объемного образования отсутствуют
о Осумкованная жидкость: округлый выпуклый контур, жидкость инкапсулирована:
- Форма не повторяет контуры органов
- Эффект объемного образования
о Жидкость также может быть хилезной, геморрагической, панкреатогенной, это может быть желчь, моча или спинномозговая жидкость
о Асцит при злокачественных опухолях и псевдомиксоме брюшины - по составу более сложный и содержит солидные компоненты
2. УЗИ при асците:
• Серошкальное исследование:
о УЗИ позволяет выявить, точно локализовать и охарактеризовать асцит; количественные оценки более субъективны:
- Жидкость скапливается в нижних карманах, перемещается при изменении положения тела пациента, смещается при надавливании датчиком
о Характеристики асцита: простой или осложненный:
- Простой: анэхогенная, гомогенная, свободно перемещающаяся жидкость, глубокое акустическое усиление:
Обычно-транссудат
- Осложненный: эхогенная жидкость, содержащая грубые или мелкие источники эхосигналов, слоистый детрит отдельные частицы субстрата, перегородки:
Обычно-экссудат
Картина геморрагического асцита варьирует в зависимости от сроков заболевания и частоты датчика
Первоначально анэхогенный или гиперэхогненный, ± свертки крови, позже-анэхогенный
- Осумкованный асцит: инкапсулированный, толстые или тонкие внутренние перегородки:
Вследствие спайкообразования, хронического асцита, при злокачественных опухолях, инфекции
Округлые края, эффект объемного образования, зачастую смещает прилегающие структуры, труднее сдавливается
Асцит при злокачественных опухолях: спаянная отграниченная кишка, объемные образования брюшины; жидкость повторяет форму сальниковой сумки и полости брюшины
• Небольшое количество свободной жидкости в дугласовом пространстве-у женщин физиологическое состояние
• Массивный асцит: петли тонкой кишки смещены по обе стороны от вертикально ориентированной флотирующей брыжейки
• Поперечная и сигмовидная кишка обычно флотируют в верхней части скопления жидкости
• Асцит при скоплении спинномозговой жидкости: при наличии вентрикулоперитонеального шунта обычно определяются небольшие количества свободной жидкости:
о Локализованное/осумкованное скопление вокруг конца шунта является патологией и указывает на наличие спаек
• Панкреатогенный асцит: перипанкреатическое скопление жидкости, жидкость в сальниковой сумке, переднем параренальном пространстве:
о Деструкция протока поджелудочной железы или тяжелый панкреатит

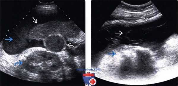
(Левый) На поперечном УЗ срезе в правом верхнем квадранте живота определяется цирротическая печень малых размеров. Определяется геморрагический асцит, что должно вызывать подозрения о наличии кровоточащего узла печеночноклеточного рака. Желчный пузырь заполнен ела джем, его стенки утолщены. Также обратите внимание на эхогенную правую почку.
(Правый) Пациент с сепсисом и болями в животе. Поперечный УЗ срез правого фланка среднего отдела живота. Осумкованный асцит , определяются перегородки и смещение кишечника. Выполнен парацентез, диагностирован перитонит, вызванный Pseudomonas и развившийся вследствие перфорации кишки.
3. Рентгенография при асците:
• При небольших количествах жидкости рентгенография живота неинформативна:
о Прямые признаки:
- Облитерация печеночного угла
- Симптом Hellmer: смещение латерального края печени от торакоабдоминальной стенки в медиальную сторону
о Косвенные признаки: диффузная нечеткость брюшной полости; выбухание фланков; плохая визуализация контуров почек и поясничной мышцы:
- Смещение к центру флотирующей содержащей газ тонкой кишки или разобщение ее петель
4. КТ при асците:
• Простой асцит: низкая плотность свободной жидкости, 0-30 HU:
о Смещение к центру петель кишки; треугольная форма между листками брыжейки
о Массивный асцит; растянутые пространства полости брюшины
• Осложненный асцит:
о Экссудаты: плотность асцитической жидкости увеличивается с повышением содержания белка
о Геморрагический асцит: высокая плотность и слоистость ± продолжающееся кровотечение
о Хилезный асцит: ниже 0 HU
о Желчный асцит: ниже 20 HU; как правило, в правом или левом надбрыжеечных пространствах
о Мочевой асцит: картина неспецифична, но подтвердить диагноз помогают поздние томограммы при КТ с контрастным усилением
5. Внесосудистые инвазивные методы диагностики:
• Терапевтический и диагностический парацентез под контролем УЗИ
6. Рекомендации по визуализации:
• Оптимальный метод визуализации:
о УЗИ - для выявления и описания скоплений жидкости в полости брюшины
о Парацентез под контролем УЗИ
• Рекомендации по методике проведения исследования:
о Следует искать проявления сопутствующих заболеваний печени, объемных образований брюшины или спаек кишечника

(Левый) Пациент, перенесший две трансплантации почки, с жалобами на вздутие живота. На поперечном УЗ срезе левого фланка определяется подвижная неосумкованная асцитическая жидкость, содержащая источники низкоинтенсивных эхосигналов.
(Правый) У этого же пациента при диагностическом парацентезе получена жидкость молочного цвета, что соответствует картине хилезного асцита. Диагноз подтверждается анализом на уровень триглицеридов в асцитической жидкости.
в) Дифференциальная диагностика асцита:
1. Гемоперитонеум:
• Травма, разрыв аневризмы, разрыв (маточной трубы) при эктопической беременности, разрыв новообразования печени, послеоперационное кровотечение, терапия антикоагулянтами
• При нахождении пациента на спине в течение длительного времени может формироваться уровень детрита и асцитической жидкости
• Массивное кровотечение: крупное образование (свертки), сначала - эхогенное, позже - гетерогенное (лизис)
2. Инфекционный асцит:
• Послеоперационный бактериальный перитонит, туберкулез, синдром приобретенного иммунодефицита, грибковые инфекции
• Жидкость, содержащая источники эхосигналов, детрит, отграничение, множественные перегородки
• Утолщение брюшины, спаянные петли кишки, абсцесс
3. Асцит при злокачественных опухолях:
• Диагностированные злокачественные опухоли сопутствуют -10% рефрактерных асцитов
• Новообразования других органов и лимфоузлов; первичные опухоли, например, яичников, кишечника, поджелудочной железы
• Отграниченные скопления; жидкость в полости брюшины и сальниковой сумке
• Петли кишечника фиксированы к брюшной стенке
• Утолщение брюшины; отсевы или объемные образования брюшины
4. Псевдомиксома брюшины:
• Доброкачественная или злокачественная муцин-продуцирующая опухоль, вызывающая формирование в полости брюшины скоплений желатинозной муцинозной жидкости
• Эхогенная жидкость (неподвижные источники эхосигналов), новообразования с кистозным компонентом/кальцинатами, эхогенными перегородками, зазубренность края печени и смещение кишки
5. Инклюзионная киста брюшины:
• Инкапсулированные скопления жидкости в полости таза

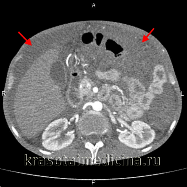
(Левый) Пациент с псевдомиксом ой брюшины на фоне муцинозной карциномы червеобразного отростка. Жидкость в полости брюшины содержит множественные неподвижные источники низкоинтенсивных эхо-сигналов. Прилегающая кишка смещена кзади.
(Правый) При КТ с контрастным усилением на аксиальной томограмме у этого же пациента определяется осумкованная муцинозная жидкость низкой плотности, смещающая и сдавливающая кишку.
г) Патология:
1. Общая характеристика:
• Этиология:
о Традиционно асцит классифицируется как транссудативный или экссудативный на основании содержания белка
о Транссудат: прозрачный или соломенно-желтый (белок о Причины: цирроз, сердечная недостаточность, нефротический синдром:
- Наиболее частой причиной является цирроз и портальная гипертензия (81 %):
Синдром Бадда-Киари, тромбоз воротной вены, алкогольный гепатит, фульминантная печеночная недостаточность
- Кардиогенные: застойная сердечная недостаточность, констриктивный перикардит, тампонада сердца
- Почечные: нефротический синдром, хроническая почечная недостаточность
- Гипоальбуминемия; энтеропатия с потерей белка
о Экссудат: желтоватый/геморрагический (белок > 25 г/л)
о Причины: экссудат вследствие воспаления или новообразования брюшины:
- Новообразования: ободочной кишки, желудка, поджелудочной железы, печени, яичников; метастатические поражения (опухоли молочной железы/легких и т. д.)
- Инфекции: бактериальные, грибковые, паразитарные
- Травма: тупая, проникающая или ятрогенная:
Диагностический/терапевтический лаваж полости брюшины
Желчный асцит: травма, холецистэктомия, хирургические вмешательства на желчных путях или печени, биопсия, чрескожный дренаж
Мочевой асцит: травма мочевого пузыря или мочевыделительной системы, повреждения при инструментальных вмешательствах
Цереброспинальная жидкость: вентрикулоперитонеальные шунты
Хилез: травма (тупая, проникающая, хирургическая), воспалительные процессы, идиопатический
- Патология кишечника: воспаление, ишемия, обструкция
2. Макроскопические и хирургические особенности:
• Сывороточно-асцитический альбуминовый градиент (Serum Albumin Ascites Gradient - SAAG) отражает разницу между содержанием альбумина в сыворотке крови и асцитической жидкости; более информативен при диагностике портальной гипертензии
• SAAG 11 г/л = портальная гипертензия
• Геморрагический: серозно-геморрагическая, эритроциты > 10000/мм 3
• Спонтанный бактериальный перитонит: мутная, нейтрофилы >250/мм 3 (более специфичен порог 500/мм 3 ); посев отрицателен в 40% случаев
• Хилезный: желтовато-белая или молочного цвета, триглицериды >2,25 ммоль/л
• Панкреатит: темно-коричневая-черная, амилаза >2000 Ед/л
• Псевдомиксома брюшины: желатинозная, муцинозная
д) Клинические особенности:
1. Проявления асцита:
• Наиболее частые симптомы/жалобы:
о Бессимптомное течение, дискомфорт и вздутие живота, увеличение веса
• Физикальное исследование: выбухание фланков, притупление перкуторного звука во фланках, симптом флуктуации, пупочная грыжа, отек полового члена или мошонки
• Диагностика: парацентез (под контролем УЗИ или слепым методом):
о Всем пациентам с впервые возникшим асцитом необходимо выполнять парацентез
о При хроническом асците показаниями для выполнения лара-центеза являются лихорадка, боли в животе, лейкоцитоз, почечная недостаточность или энцефалопатия
о Анализ жидкости: белок, альбумин, лактатдегидрогеназа, глюкоза, амилаза, цитология, pH, триглицериды, анализ на клеточный состав, бактериологическое исследование
2. Течение и прогноз:
• Асцит при хронических заболеваниях печени является неблагоприятным прогностическим фактором и характеризуется высокой смертностью
• Осложнения: спонтанный бактериальный перитонит, дыхательная недостаточность, анорексия, гепаторенальный синдром
3. Лечение асцита:
• Ограничение поступления натрия и прием диуретиков
• Рефрактерные случаи: парацентез и эвакуация больших объемов жидкости:
о Перитонеовенозное шунтирование по LeVeen или Denver
о Трансюгулярное внугрипеченочное портосистемное шунтирование
о Стентирование нижней полой или печеночной вен (синдром Бадда-Киари)
е) Диагностическая памятка. Следует учесть:
• На основании только лучевых методов исследований невозможно охарактеризовать природу и причину скоплений жидкости в полости брюшины; необходимо исследование асцитической жидкости
ж) Список использованной литературы:
1. Runyon BA et al: Introduction to the revised American Association for the Study of Liver Diseases Practice Guideline management of adult patients with ascites due to cirrhosis 2012. Hepatology. 57(4):1651-3, 2013
2. Tirkes T et al: Peritoneal and retroperitoneal anatomy and its relevance for cross-sectional imaging. Radiographics. 32(2):437-51, 2012
3. Levy AD et al: Secondary tumors and tumorlike lesions of the peritoneal cavity: imaging features with pathologic correlation. Radiographics. 29(2)347-73, 2009
4. Runyon BA et al: Management of adult patients with ascites due to cirrhosis: an update. Hepatology. 49(6):2087-107, 2009
5. Hanbidge AE et al: US of the peritoneum. Radiographics. 23(3):663-84; discussion 684-5, 2003
6. Practice Guidelines from American Association for the Study of Liver Diseases
Асцит
Асцит – это вторичное состояние, характеризующееся накоплением экссудата или транссудата в свободной брюшной полости. Клинически проявляется увеличением объема живота, тяжестью, чувством распирания и болями в брюшной полости, одышкой. Диагностика асцита включает проведение УЗИ, КТ, УЗДГ, диагностической лапароскопии с исследованием асцитической жидкости. Для патогенетического лечения необходимо установить причину, вызвавшую скопление жидкости; к симптоматическим мероприятиям при асците относятся назначение мочегонных средств, пункционное удаление жидкости из брюшной полости.
МКБ-10


Общие сведения
Асцит или брюшная водянка может сопровождать течение самого широкого круга заболеваний в гастроэнтерологии, гинекологии, онкологии, урологии, кардиологии, эндокринологии, ревматологии, лимфологии. Накопление перитонеальной жидкости при асците сопровождается повышением внутрибрюшного давления, оттеснением купола диафрагмы в грудную полость. При этом значительно ограничивается дыхательная экскурсия легких, нарушается сердечная деятельность, кровообращение и функционирование органов брюшной полости. Массивный асцит может сопровождаться значительной потерей белка и электролитными нарушениями. Таким образом, при асците может развиваться дыхательная и сердечная недостаточность, выраженные обменные нарушения, что ухудшает прогноз основного заболевания.

Причины асцита
Асцит у новорожденных часто встречается при гемолитической болезни плода; у детей раннего возраста – при гипотрофии, экссудативных энтеропатиях, врожденном нефротическом синдроме. Развитие асцита может сопровождать различные поражения брюшины: разлитой перитонит неспецифической, туберкулезной, грибковой, паразитарной этиологии; мезотелиому брюшины, псевдомиксому, перитонеальный карциноз вследствие рака желудка, толстого кишечника, молочной железы, яичников, эндометрия.
Асцит может служить проявлением полисерозита (одновременного перикардита, плеврита и водянки брюшной полости), который встречается при ревматизме, системной красной волчанке, ревматоидном артрите, уремии, а также синдрома Мейгса (включает фиброму яичника, асцит и гидроторакс).
Частыми причинами асцита выступают заболевания, протекающие с портальной гипертензией – повышением давления в портальной системе печени (воротной вене и ее притоках). Портальная гипертензия и асцит могут развиваться вследствие цирроза печени, саркоидоза, гепатоза, алкогольного гепатита; тромбоза печеночных вен, вызванного раком печени, гипернефромой, заболеваниями крови, распространенным тромбофлебитом и т. д.; стеноза (тромбоза) воротной или нижней полой вены; венозного застоя при правожелудочковой недостаточности.
К развитию асцита предрасполагает белковая недостаточность, заболевания почек (нефротический синдром, хронический гломерулонефрит), сердечная недостаточность, микседема, болезни ЖКТ (панкреатит, болезнь Крона, хроническая диарея), лимфостаз, связанный со сдавлением грудного лимфатического протока, лимфоангиоэктазиями и затруднением лимфооттока из брюшной полости.
Патогенез
В норме серозный покров брюшной полости – брюшина продуцирует незначительное количество жидкости, необходимое для свободного движения петель кишечника и предупреждения склеивания органов. Этот экссудат всасывается обратно самой же брюшиной. При целом ряде заболеваний секреторная, резорбтивная и барьерная функции брюшины нарушаются, что приводит к возникновению асцита.
Таким образом, в основе патогенеза асцита может лежать сложный комплекс воспалительных, гемодинамических, гидростатических, водно-электролитных, метаболических нарушений, вследствие чего происходит пропотевание интерстициальной жидкости и ее скопление в брюшной полости.
Симптомы асцита
В зависимости от причин патология может развиваться внезапно или постепенно, нарастая на протяжении нескольких месяцев. Обычно пациент обращает внимание на изменение размера одежды и невозможность застегнуть пояс, увеличение веса. Клинические проявления асцита характеризуются ощущениями распирания в животе, тяжестью, абдоминальными болями, метеоризмом, изжогой и отрыжкой, тошнотой.
По мере нарастания количества жидкости живот увеличивается в объеме, пупок выпячивается. При этом в положении стоя живот выглядит отвисшим, а в положении лежа становится распластанным, выбухающим в боковых отделах («лягушачий живот»). При большом объеме перитонеального выпота появляется одышка, отеки на ногах, затрудняются движения, особенно повороты и наклоны туловища. Значительное повышение внутрибрюшного давления при асците может приводить к развитию пупочной или бедренной грыж, варикоцеле, геморрою, выпадению прямой кишки.
Асцит при туберкулезном перитоните вызван вторичным инфицированием брюшины вследствие генитального туберкулеза или туберкулеза кишечника. Для асцита туберкулезной этиологии также характерны похудание, лихорадка, явления общей интоксикации. В брюшной полости, кроме асцитической жидкости, определяются увеличенные лимфоузлы вдоль брыжейки кишечника. Экссудат, полученный при туберкулезном асците, имеет плотность >1016, содержание белка 40-60 г/л, положительную реакцию Ривальта, осадок, состоящий из лимфоцитов, эритроцитов, эндотелиальных клеток, содержит микобактерии туберкулеза.
Асцит, сопровождающий перитонеальный карциноз, протекает с множественными увеличенными лимфоузлами, которые пальпируются через переднюю брюшную стенку. Ведущие жалобы при данной форме асцита определяются локализацией первичной опухоли. Перитонеальный выпот практически всегда имеет геморрагический характер, иногда в осадке обнаруживаются атипичные клетки.
При синдроме Мейгса у пациенток выявляется фиброма яичника (иногда злокачественные опухоли яичника), асцит и гидроторакс. Характерны боли в животе, выраженная одышка. Правожелудочковая сердечная недостаточность, протекающая с асцитом, проявляется акроцианозом, отеками голеней и стоп, гепатомегалией, болезненностью в правом подреберье, гидротораксом. При почечной недостаточности асцит сочетается с диффузным отеком кожи и подкожной клетчатки – анасаркой.
Асцит, развивающийся на фоне тромбоза воротной вены, носит упорный характер, сопровождается выраженным болевым синдромом, спленомегалией, незначительной гепатомегалией. Вследствие развития коллатерального кровообращения нередко возникают массивные кровотечения из геморроидальных узлов или варикозно увеличенных вен пищевода. В периферической крови выявляется анемия, лейкопения, тромбоцитопения.
Асцит, сопровождающий внутрипеченочную портальную гипертензию, протекает с мышечной дистрофией, умеренной гепатомегалией. На коже живота при этом хорошо заметно расширение венозной сети в виде «головы медузы». При постпеченочной портальной гипертензии стойкий асцит сочетается с желтухой, выраженной гепатомегалией, тошнотой и рвотой.
Асцит при белковой недостаточности, как правило, небольшой; отмечаются периферические отеки, плевральный выпот. Полисерозиты при ревматических заболеваниях проявляются специфическими кожными симптомами, асцитом, наличием жидкости в полости перикарда и плевры, гломерулопатией, артралгиями. При нарушениях лимфооттока (хилезном асците) живот быстро увеличивается в размерах. Асцитическая жидкость имеет молочный цвет, пастообразную консистенцию; при лабораторном исследовании в ней выявляются жиры и липоиды. Количество жидкости в брюшинной полости при асците может достигать 5-10, а иногда и 20 литров.
Диагностика
В ходе осмотра гастроэнтеролога исключаются другие возможные причины увеличения объема живота – ожирение, киста яичника, беременность, опухоли брюшной полости и т. д. Для диагностики асцита и его причин проводится перкуссия и пальпация живота, УЗИ брюшной полости, УЗДГ венозных и лимфатических сосудов, МСКТ брюшной полости, сцинтиграфия печени, диагностическая лапароскопия, исследование асцитической жидкости.

Перкуссия живота при асците характеризуется притуплением звука, смещением границы тупости при изменениях положения тела. Прикладывание ладони к боковой поверхности живота позволяет ощутить толчки (симптом флюктуации) при постукивании пальцами по противоположной стенке живота. Обзорная рентгенография брюшной полости позволяет идентифицировать асцит при объеме свободной жидкости более 0,5 л.
Из лабораторный тестов при асците проводится исследование коагулограммы, биохимических проб печени, уровней IgA, IgM, IgG, общего анализа мочи. У пациентов с портальной гипертензией показано выполнение ЭГДС с целью обнаружения варикозно измененных вен пищевода или желудка. При рентгеноскопии грудной клетки может выявляться жидкость в плевральных полостях, высокое стояние дна диафрагмы, ограничение дыхательной экскурсии легких.
В ходе УЗИ органов брюшной полости при асците изучаются размеры, состояние тканей печени и селезенки, исключаются опухолевые процессы и поражения брюшины. Допплерография позволяет оценить кровоток в сосудах портальной системы. Гепатосцинтиграфия проводится для определения поглотительно-экскреторной функции печени, ее размеров и структуры, оценки выраженности цирротических изменений. С целью оценки состояния спленопортального русла проводится селективная ангиография – портография (спленопортография).
Всем пациентам с асцитом, выявленным впервые, выполняется диагностический лапароцентез для забора и исследования характера асцитической жидкости: определения плотности, клеточного состава, количества белка и бактериологического посева. При сложно дифференцируемых случаях асцита показано проведение диагностической лапароскопии или лапаротомии с прицельной биопсией брюшины.
Лечение асцита
Патогенетическое лечение требует устранения причины скопления жидкости, т. е. первичной патологии. Для уменьшения проявлений асцита назначаются бессолевая диета, ограничение приема жидкости, мочегонные препараты (спиронолактон, фуросемид под прикрытием препаратов калия), проводится коррекция нарушений водно-электролитного обмена и снижение портальной гипертензии с помощью антагонистов рецепторов ангиотензина II и ингибиторов АПФ. Одновременно показано применение гепатопротекторов, внутривенное введение белковых препаратов (нативной плазмы, раствора альбумина).
При асците, резистентном к проводимой медикаментозной терапии, прибегают к абдоминальному парацентезу (лапароцентезу) – пункционному удалению жидкости из брюшной полости. За одну пункцию рекомендуется эвакуировать не более 4-6 л асцитической жидкости ввиду опасности развития коллапса. Частые повторные пункции создают условия для воспаления брюшины, образования спаек и повышают вероятность осложнений последующих сеансов лапароцентеза. Поэтому при массивных асцитах для длительной эвакуации жидкости производят установку постоянного перитонеального катетера.
К вмешательствам, обеспечивающим условия для путей прямого оттока перитонеальной жидкости, относятся перитонеовенозный шунт и частичная деперитонизация стенок брюшной полости. К косвенным вмешательствам при асците относятся операции, снижающие давление в портальной системе. В их число входят вмешательства с наложением различных портокавальных анастомозов (портокавальное шунтирование, трансъюгулярное внутрипеченочное портосистемное шунтирование, редукция селезеночного кровотока), лимфовенозное соустье. В некоторых случаях при рефрактерном асците производится спленэктомия. При резистентном асците может быть показана трансплантация печени.
Прогноз и профилактика
Наличие асцита существенно утяжеляет течение основного заболевания и ухудшает его прогноз. Осложнениями самого асцита могут стать спонтанный бактериальный перитонит (СБП), печеночная энцефалопатия, гепаторенальный синдром, кровотечения. К неблагоприятным прогностическим факторам у пациентов с асцитом относят возраст старше 60 лет, гипотонию (ниже 80 мм рт. ст), почечную недостаточность, гепатоцеллюлярную карциному, сахарный диабет, цирроз печени, печеночноклеточную недостаточность и др. По данным специалистов в сфере клинической гастроэнтерологии, двухлетняя выживаемость при асците составляет около 50%.
Жидкость в брюшной полости
Информацию из данного раздела нельзя использовать для самодиагностики и самолечения. В случае боли или иного обострения заболевания диагностические исследования должен назначать только лечащий врач. Для постановки диагноза и правильного назначения лечения следует обращаться к Вашему лечащему врачу.
Жидкость в брюшной полости: причины появления, при каких заболеваниях возникает, диагностика и способы лечения.
Определение
Состояние, при котором накапливается жидкость в брюшной полости, называется асцитом. Очень небольшое количество жидкости присутствует в полости брюшины всегда. Эта жидкость – следствие естественного процесса фильтрации крови через кровеносные сосуды.
Однако при некоторых заболеваниях жидкость либо начинает вырабатываться в избыточном количестве, либо перестает всасываться. В результате она постепенно накапливается в брюшине и давит на внутренние органы, серьезно нарушая их работу.

Разновидности асцита
По объему жидкости:
- небольшое количество;
- умеренное количество;
- значительное количество.
- стерильное содержимое (отсутствие бактериальной составляющей);
- инфицированное содержимое (может быть связано с прободением кишечника или желудка, а также с травмой живота и проникающим ранением);
- спонтанный бактериальный перитонит.
- асцит, поддающийся медикаментозной терапии;
- рефрактерный асцит – то есть не поддающийся лекарственной терапии или возвращающийся вновь спустя короткое время после лечения.

Онкологические процессы в организме также способны стать причиной асцита. Однако, как и в случае с заболеваниями печени, жидкость в брюшной полости появляется лишь по мере прогрессирования болезни. В первую очередь, следует обращать внимание на такие симптомы, как снижение массы тела, аппетита, повышенную утомляемость, болевой синдром, нарушение работы кишечника.
Хронические заболевания сердечно-сосудистой системы приводят к застою крови в левом круге кровообращения, вследствие чего внутрибрюшная жидкость начинает вырабатываться интенсивнее. Появлению асцита всегда предшествует длительная история сердечно-сосудистого заболевания.
Ухудшение состояния происходит постепенно и не очень заметно для больного, поэтому важно не нарушать врачебные предписания и обращаться за врачебной помощью своевременно.
Больного должна насторожить нарастающая слабость, появление или усиление одышки, ночного кашля, изменение привычных цифр артериального давления, появление или увеличение отеков на ногах, которые сначала становятся более выраженными к вечеру, а затем не проходят совсем.
Механизм данного процесса объясняется массивной потерей белка из-за неправильной работы почек и, соответственно, ухудшением всасывания жидкости. Кроме того, отечность присутствует на лице, шее, нижних конечностях, жидкость может скапливаться в грудной полости и полости сердца.
Асцит сопровождает ряд инфекционно-воспалительных заболеваний. По-прежнему довольно часто во врачебной практике встречается туберкулез, течение которого связано с поражением лимфатических узлов брюшной полости, что приводит к сдавливанию внутренних органов, в результате чего наблюдается скопление внутрибрюшной жидкости. Туберкулез обычно начинается с жалоб пациента на повышенную утомляемость, чрезмерную потливость, особенно в ночное время, снижение аппетита и похудение, длительное повышение температуры тела в пределах 37,3–38,3°С. У части больных наблюдаются несильные боли в животе без четкой локализации. Появление таких симптомов требует скорейшего обращения к врачу.
Хронический панкреатит иногда сопровождается асцитом. Такое состояние особенно характерно для людей, злоупотребляющих алкоголем. Накоплению жидкости в брюшной полости предшествуют интенсивные боли в животе.
Длительное голодание может приводить к появлению жидкости в брюшной полости за счет снижения уровня белка и нарушения процесса всасывания жидкости.
В этом случае объем жидкости будет небольшим, однако появление подобного симптома говорит о серьезных нарушениях в работе всего организма. Данное состояние потребует в дальнейшем проведения серьезного и длительного лечения под тщательным контролем множества лабораторных показателей.
Заболевания, приводящие к асциту
Некоторые онкологические заболевания.
Болезни поджелудочной железы.
Недоедание и истощение.
Заболевания эндокринной системы.
Гинекологические заболевания (эндометриоз, кисты и опухоли яичников).
К каким врачам обращаться при асците
Появление жидкости в брюшной полости является симптомом заболеваний, как правило, требующих госпитализации и длительного лечения. Постановкой диагноза и назначением терапии занимаются следующие специалисты: врач-гастроэнтеролог , онколог, кардиолог, эндокринолог, нефролог, пульмонолог, хирург, гинеколог.
Диагностика и обследования при асците
Тщательный сбор анамнеза с учетом всех жалоб пациента, осмотр и проведение дополнительной диагностики помогают установить правильный и своевременный диагноз.
- Клинический анализ крови с развернутой лейкоцитарной формулой (для выявления воспалительных изменений при различных инфекционно-воспалительных заболеваниях.
Синонимы: Общий анализ крови, ОАК. Full blood count, FBC, Complete blood count (CBC) with differential white blood cell count (CBC with diff), Hemogram. Краткое описание исследования Клинический анализ крови: общий.
1. Общая характеристика:
• Локализация:
о Свободная жидкость скапливается в наиболее типичных местах в полости живота и малого таза:
- Карман Морисона (гепаторенальная ямка): самое частое место скопления жидкости в верхней половине живота
- Прямокишечно-маточное/прямокишечно-пузырное пространство: самая частая локализация жидкости в полости таза
- Латеральные каналы и поддиафрагмальные пространства
- Жидкость обычно не скапливается в сальниковой сумке, исключая случаи напряженного асцита/асцита, обусловленного местными причинами (язва желудка, панкреатит):
В других случаях скопление жидкости в сальниковой сумке подозрительно на канцероматоз брюшины/инфекцию
• Морфология:
о Свободная асцитическая жидкость: повторяет форму органов, которые окружает, не деформирует их и не оказывает объемного воздействия:
- Жидкость распространяется между органов
о Осумкованный асцит: скопление жидкости с ровными контурами с наличием капсулы:
- Оказывает объемное воздействие и смещает прилежащие структуры (петли кишечника)
• Ключевые моменты и признаки:
о Асцит обычно подразделяется на два типа:
- Транссудативный асцит обусловлен повышенным давлением в воротной вене и характеризуется пониженным содержанием белка в жидкости, а также лактат-дегидрогеназы, нормальным содержанием глюкозы и низким удельным весом:
Транссудативный асцит («простая» жидкость) чаще всего обусловлен циррозом, гепатитами, сердечной, почечной недостаточностью, гипопротеинемией и т. д.
- Экссудативный асцит характеризуется высоким содержанием белка и высоким удельным весом:
Может быть обусловлен множеством причин инфекционного или ишемического характера, а также канцероматозом брюшины, перитонитом или панкреатитом
2. Рентгенография при асците:
• Рентгенография органов брюшной полости: нечувствительный метод для выявления жидкости, диагностика асцита на основании данных рентгенографии требует наличия значительного количества жидкости (обычно > 500 мл):
о Диффузное затемнение и снижение прозрачности живота
о Снижение четкости хорошо различаемых в норме мягкотканных структур (поясничных мышц, контуров почек)
- Облитерация печеночного и селезеночного угла
о Выбухание боковых отделов живота из-за наличия жидкости
о Сепарация петель тонкой кишки, содержащих газ, с их смещением к центру
о Симптом Hellmer: смещение наружного угла печени кнутри
о Симметричные гипердесные участки по обеим сторонам от мочевого пузыря (симптом «собачьих ушек»)
о Смещение к центру живота восходящей и нисходящей ободочной кишки
о Смещение в сторону предбрюшинной клетчатки

(Слева) На аксиальной Т2 МР томограмме с жироподавлением определяются осумкованные скопления дающей гиперинтенсивный сигнал жидкости. Обратите внимание на отдельно расположенные узлы в асцитической жидкости, отображающие тот факт, что асцит является «злокачественным» и возник в результате метастатического поражения брюшины при первичном раке аппендикса.
(Справа) На аксиальной КТ без контрастного усиления у пациента после трансплантации тонкой кишки определяются уровни «жидкость-жир» в скоплениях жидкости, которые отражают ее хилезную природу — результат утечки лимфы из лимфатических сосудов тонкой кишки.
3. КТ при асците:
• Транссудативный асцит:
о Типичный транссудат: плотность от 0 до +15 ед. Хаунсфилда, отсутствие тенденции к осумкованию/формированию камер
о Малое количество жидкости: обычно в правом околопеченочном пространстве, кармане Морисона, дугласовом кармане
о Большой объем жидкости: в латеральных карманах:
- Жидкость смещает петли кишечника к центру
- Жидкость, скапливающаяся в центре брюшной полости, имеет вид треугольника в листках брюшины
о Дополнительно можно обнаружить признаки печеночной, сердечной или почечной недостаточности (самые частые причины транссудативного асцита)
• Экссудативный асцит:
о Экссудат имеет более высокую плотность вследствие высокого содержания белка:
- Экссудат более плотный по сравнению с транссудатом (от + 15 до +30 ед. Хаунсфилда)
- Жидкость при экссудативном асците может иметь комплексную структуру, включая наличие перегородок, утол-щение/повышенное контрастное усиление прилежащих отделов брюшины, отграничение
о Асцит, обусловленный канцероматозом брюшины: жидкость с множественными включениями в структуре, с наличием узлов и утолщением прилежащих отделов брюшины, часто с формированием множественных скоплений жидкости о Хилезный асцит: внутри- и внебрюшинное скопление жидкости с плотностью воды или с отрицательной плотностью и уровнями «жидкость-жир» (что отражает наличие жирового компонента)
о Желчный асцит: жидкость низкой плотности (обычно меньше +15 единиц Хаунсфилда) с типичной локализацией по краю печени или желчного пузыря/желчных протоков
о Мочевой асцит: жидкость низкой плотности (меньше +15 единиц Хаунсфилда) возле органов системы мочевыделения и в области утечки:
- Внутривенный контраст накапливается внутри асцитической жидкости в отсроченную фазу (после накопления и выделения почками)
о Ликворный асцит: малое количество свободной жидкости, обусловленное вентрикуло-перитонеальным шунтированием:
- Локальное скопление жидкости возле кончика катетера не является нормальным и может означать нарушение функции вентрикуло-перитонеального шунта
о Панкреатический асцит: чаще всего жидкость скапливается возле поджелудочной железы, в малом брюшинном мешке и в переднем околопочечном пространстве
- Наблюдается обычно при тяжелом течении панкреатита или разрыве панкреатической кисты

(Слева) На аксиальной КТ с контрастом определяются отграниченные скопления жидкости со сложной структурой, являющиеся результатом желчного перитонита из-за повреждения билиарного тракта. Визуализируется жидкость в малом брюшинном мешке, которая смещает желудок и двенадцатиперстную кишку обычно жидкость здесь скапливается в результате других причин (панкреатит, язва желудка), перитонита, канцероматоза.
(Справа) На аксиальной Т1 МР томограмме с жироподавлением и контрастным усилением определяется отграниченный асцит BE в полости таза. Обратите внимание на выраженное утолщение брюшины и повышенное накопление контраста (больше в задних отделах) при канцероматозе брюшины.
4. МРТ при асците:
• Транссудат: «жидкостной» сигнал на Т1 ВИ (гипоинтенсивный) и Т2 ВИ (гиперинтенсивный)
• Экссудат: типичный «жидкостной» сигнал на Т1 ВИ и Т2 ВИ, но при наличии включений в структуре и содержании белка может давать средний по интенсивности сигнал на Т1 ВИ и Т2 ВИ
о Усложнение внутренней структуры (дебрис, перегородки) более отчетливо определяется при МРТ (в сравнении с КТ)
• Артефакты:
о Эффект потери МР-сигнала, связанный с турбулентным движением жидкости, более нагляден на SSFSE/HASTE (однокадровое быстрое спин-эхо/однокадровое турбо спин-эхо с половинным преобразованием Фурье) последовательностях по сравнению с Т2 FSE или при последовательностях устойчивого состояния со свободной прецессией (SSFP) — его нельзя ошибочно принимать за опухоль или канцероматоз
о Артефакты, проявляющиеся отсутствием жироподавления (и нетипично высоким МР сигналом от жира) в типичных зонах (например, возле скоплений газа в просвете кишки) могут быть ошибочно интерпретированы как скопления жидкости:
- За асцит возле диафрагмы при МРТ часто ошибочно принимаются артефакты, обусловленные газом в находящемся рядом легком
5. УЗИ при асците:
• Неосложненный асцит:
о Однородная, свободно смещающаяся анэхогенная жидкость с эффектом дорсального акустического усиления
о Свободная жидкость формирует острые углы, отграничивает органы, перемещается с изменением положения пациента и деформируется при надавливании датчиком
о У пациентов с массивным асцитом петли тонкой кишки группируются по обеим сторонам от вертикально смещенной брыжейки и принимают полициклический, дугообразный вид, а также вид «леденца на палочке»
о Поперечная и сигмовидная ободочная кишка обычно смещаются к верхнему краю жидкости (определяются включения газа, пока пациент находится в положении лежа на спине)
• Осложненный экссудативный асцит:
о Могут определяться эхогенные включения в структуре жидкости или перегородки
о Жидкость чаще всего осумкована (не смещается при изменении положения тела или при надавливании УЗ-датчиком):
- Наличие осумкованной жидкости подразумевает спаечный процесс, злокачественные новообразования или инфекционное воспаление брюшины
6. Рекомендации по визуализации:
• УЗИ: простой, недорогой и очень чувствительный метод (с его помощью можно обнаружить малое количество жидкости - объемом 5-10 мл)
• КТ: метод, эффективный для обнаружения причин асцита

(Слева) На аксиальной КТ с контрастным усилением определяется выраженное утолщение дистальных отделов желудка, которое может быть обусловлено злокачественным новообразованием. Выраженный асцит сочетается с узловым утолщением париетальной брюшины что является признаком злокачественной природы асцита в результате первичного рака желудка.
(Справа) На аксиальной КТ с контрастом у этого же пациента визуализируется опухоль, распространяющаяся по ходу желудочно-ободочной связки, и поражающая поперечную ободочную кишку. Обратите внимание на локальное узловое утолщение париетальной брюшины. Опухоли ЖКТ часто становятся причиной «злокачественного» асцита у мужчин.
1. Гемоперитонеум:
• Жидкость высокой плотности (больше +30 ед. Хаунсфилда, в среднем от +30 до +60 ед. Хаунсфилда) с постепенным снижением плотности с течением времени
о Сторожевой сгусток: кровь очень высокой плотности (больше +60 ед. Хаунсфилда) возле зоны кровотечения
2. «Злокачественный» асцит:
• Экссудат, часто осумкованный, в сочетании с узловым утолщением брюшины и канцероматозом
• Данные о первичной опухоли в анамнезе и признаки метастазирования являются ключами к постановке правильного диагноза
3. Инфекционный асцит:
• Экссудат с плотностью слегка выше (от +15 до +30 ед. Хаунсфилда), чем простая жидкость
• Наличие утолщения/контрастного усиления брюшины, перегородок, осумкованных скоплений жидкости (с периферическим контрастным усилением) - ключи к правильному диагнозу
4. Жидкость, которая может обнаруживаться в норме:
• Малое количество жидкости в дугласовом кармане в норме может обнаруживаться у женщин в пременопаузе - оно не является патологическим
• У мужчин наличие свободной жидкости всегда должно расцениваться как патологическое изменение
1. Общая характеристика асцита:
• Этиология:
о Изменения со стороны печени: цирроз, портальная гипертензия, синдром Бадда-Киари, тромбоз воротной вены, гепатит
о Со стороны сердца: застойная сердечная недостаточность, констриктивный перикардит, тампонада сердца
о Со стороны почек: нефротический синдром, хроническая почечная недостаточность
о Новообразования: канцероматоз при первичных злокачественных опухолях яичника, ободочной кишки, желудка, поджелудочной железы (а также многих других органов) о Инфекции: бактериальные, грибковые, паразитарные; туберкулез
о Травма: тупая травма живота, пенетрация или ятрогенное повреждение
- Желчный асцит (холеперитонеум): травма, холецистэктомия, операции на печени, желчном пузыре и желчных протоках, биопсия, чрескожное дренирование
- Мочевой асцит (уроперитонеум): травма мочевого пузыря или собирающей системы, либо ятрогенное повреждение при инструментальном вмешательстве
- Хилезный асцит: повреждение цистерны грудного протока или других лимфатических сосудов
о Гипоальбуминемия, патологические изменения тонкой кишки с нарушением усвоения белка
2. Макроскопические и хирургические особенности:
• Транссудат: прозрачная бесцветная/соломенно-желтая жидкость
• Экссудат: желтоватая или геморрагического характера жидкость
• Новообразование: жидкость с примесью крови, прозрачная, с примесью лимфы (беловатая)
• Инфицированная жидкость: мутная, белесоватая, белая с желтоватым опенком или молочного цвета
3. Микроскопия:
• В асцитической жидкости могут содержаться клетки крови, коллоидные соединения, молекулы белка, кристаллоидные включения (например, соединения глюкозы и воды)
• Сывороточно-асцитический градиент альбумина (САГА): значение меньше 11 г/л характерно для экссудативного асцита
• Количество полиморфноядерных лейкоцитов более 500/куб. мм означает наличие инфекции или асцит в результате панкреатита
1. Проявления асцита:
• Наиболее частые признаки/симптомы:
о Малые количества жидкости никак не проявляются, большие приводят к появлению дискомфорта и увеличению живота о Физикальное исследование: выбухание боковых контуров живота, притупление перкуторного звука в боковых отделах живота, симптом флюктуации, пупочная грыжа, отек полового члена/мошонки
• Парацентез под УЗ контролем или «слепое» дренирование (для определения причины асцита) показаны всем пациентам с впервые выявленным асцитом, асцитом неизвестной этиологии, или хроническим асцитом, сопровождающимся лихорадкой, болью в животе, почечной недостаточностью, энцефалопатией:
о Анализ асцитической жидкости: белок, лактат-дегидрогеназа, амилаза, клетки крови (с подсчетом и дифференцировкой), бактериологический анализ, цитологический анализ, pH-метрия, анализ на наличие триглицеридов
2. Течение и прогноз:
• Осложнения: спонтанный бактериальный перитонит, дыхательная недостаточность, потеря желания принимать пищу
3. Лечение асцита:
• Ограничение натрия и диуретики при транссудативном асците
• В случаях, плохо поддающихся консервативной терапии, показан парацентез (с удалением больших объемов жидкости):
о Некоторым пациентам может быть выполнено перитонео-венозное шунтирование по LeVeen, Denver (Левени, Денверу) или трансюгулярное внутрипеченочное портосистемное шунтирование (ТВПШ)
е) Диагностическая памятка. Следует учесть:
• Нужно обращать внимание на признаки экссудативного асцита, а также признаки выполнения парацентеза
ж) Список использованной литературы:
1. Farsad К et al: Clinical and radiologic evaluation of patients before TIPS creation. AJR Am J Roentgenol. 203(4):739-45, 2014
Читайте также:
- Лабораторные исследования печени и желчного пузыря
- Плечеголовной ствол. Топография плечеголовного ствола. Левая общая сонная артерия. Левая подключичная артерия.
- Селезенка. Развитие селезенки. Строение селезенки.
- Лабораторная диагностика гипопротромбинемии - анализы
- Рентгенограмма, КТ, МРТ при пикнодизостозе
