Методы обследования метастазов в яичники и опухоли Крукенберга
Добавил пользователь Евгений Кузнецов Обновлено: 20.11.2025
Рак яичников с метастазами — это злокачественная опухоль IV стадии. Согласно американской статистике, в ходе обследования метастазы обнаруживаются у 75% женщин, имеющих злокачественные опухоли яичников. В таких случаях, назначая лечение, врач не стремится достичь ремиссии. Терапия направлена на максимально возможное увеличение продолжительности жизни женщины и избавление от мучительных симптомов.
В какие органы метастазирует рак яичников?
Как правило, опухолевые клетки при раке яичника распространяются по поверхности брюшины — тонкой пленки из соединительной ткани, которая покрывает изнутри стенки брюшной полости (париетальный листок) и снаружи — внутренние органы (висцеральный листок). Чаще всего вторичные очаги обнаруживаются в большом сальнике, верхних и нижних отделах желудочно-кишечного тракта, печени, селезенке, мочевом пузыре.
В норме в брюшной полости постоянно происходит выделение и всасывание жидкости. Она присутствует на листках брюшины в небольшом количестве, играет роль смазки, помогая внутренним органам свободно скользить относительно друг друга. При поражении брюшины раковыми клетками — канцероматозе брюшины — всасывание жидкости нарушается, она скапливается в брюшной полости: возникает асцит. В немалой степени этому способствует портальная гипертензия , снижение уровня белков-альбуминов в крови при поражении раковыми клетками печени.
Иногда рак яичника метастазирует в забрюшинные лимфатические узлы (тазовые, парааортальные), в редких случаях — в над- и подключичные лимфатические узлы, кости, легкие, головной мозг.

Симптомы рака яичника с метастазами
Возникают различные симптомы, которые зачастую сильно ухудшают состояние женщины, снижают качество жизни, ограничивают возможности применения тех или иных видов лечения. Проявления зависят от количества и размеров метастазов, от того, в каких органах они находятся и насколько сильно нарушают их функции.
Многих женщин беспокоит дискомфорт и боли в животе, расстройства со стороны желудочно-кишечного тракта. Чаще всего боли тупые, ноющие, сопровождаются увеличением живота за счет асцита. Если боль острая, колющая, спастическая, распространяется по всему животу и в область таза, зачастую это говорит о множественных метастазах в брюшной стенке и забрюшинном пространстве, внутренних органах.
Другие симптомы зависят от того, какие органы вовлечены в процесс:
- При поражении желудка и кишечника: быстрое чувство насыщения, тошнота и рвота, запоры. В тяжелых случаях, если опухоль перекрывает или сдавливает извне кишечник, развивается кишечная непроходимость.
- При поражении костей: боли в костях, патологические переломы.
- При поражении мочевого пузыря: боли в области таза, частые и болезненные мочеиспускания, примесь крови в моче.
- При поражении печени: желтуха, зуд, увеличение живота, нарушение пищеварения, отеки.
- При поражении головного мозга: головные боли и головокружения, тошнота, рвота, нарушение сознания, судороги, различные неврологические симптомы.

Методы диагностики
Для оценки степени распространения рака яичников и поиска метастазов врач может назначить следующие методы диагностики:
- УЗИ органов брюшной полости.
- Компьютерную томографию.
- Рентгенографию кишечника с бариевой клизмой.
- Рентгенографию грудной клетки.
- Магнитно-резонансную томографию.
- Колоноскопию — осмотр прямой и толстой кишки с помощью специального инструмента — колоноскопа — введенного через задний проход.
- Рентгенографию костей.
- Ангиографию — рентгеновское исследование с введением в сосуды рентгеноконтрастного раствора. Это помогает в диагностике метастазов печени.
- ПЭТ-сканирование — процедура, во время которой применяют специальный сахар с радиоактивной меткой. Его вводят в организм пациента, он накапливается в опухолевых клетках, в результате чего те становятся видны на снимках, выполненных с помощью специального аппарата.
- При необходимости проводят диагностическую лапароскопию. Под наркозом в стенке брюшной полости делают прокол, через который вводят специальный инструмент с видеокамерой и источником света — лапароскоп.
- Биопсия — исследование, во время которого получают фрагмент ткани из подозрительного очага и отправляют в лабораторию для цитологического, гистологического исследования, молекулярно-генетического тестирования.

Лечение рака яичника с метастазами
Выбор лечебной тактики при раке яичников с метастазами — сложная и ответственная задача. Основные методы лечения — химиотерапия и хирургия. Но во время операции невозможно полностью удалить первичную опухоль и все метастазы. Не могут уничтожить все раковые клетки в организме и химиопрепараты. Лечение носит паллиативный характер. Его цели — облегчить состояние женщины, уменьшить опухоль и замедлить ее рост, увеличить продолжительность жизни.
Хирургическое лечение
Операции, которые направлены на удаление максимально возможного объема опухоли, называются циторедуктивными. Исследования показали, что продолжительность жизни после таких вмешательств увеличивается. Объем операции зависит от размеров первичной опухоли и вторичных очагов, количества и расположения метастазов.
Химиотерапия
Как правило, при IV стадии рака яичников с метастазами проводят адъювантную химиотерапию после хирургического вмешательства. Это помогает уничтожить раковые клетки, которые остались в организме после операции. Иногда до хирургического лечения проводят неоадъювантную химиотерапию. Она показана пациенткам, у которых невозможно начать лечение с операции из-за слишком сильного распространения рака. Химиопрепараты помогают сократить размер опухоли и сделать ее операбельной.
Наибольшую эффективность при раке яичников с метастазами показывает сочетание паклитаксела с препаратами платины, например, параплатином. Их вводят циклами через 3 недели, обычно курс лечения состоит из 6–8 циклов. Могут быть назначены 3 цикла неоадъювантной химиотерапии, и затем еще не менее трех циклов после хирургического лечения.

Другие методы лечения
Поддерживающая терапия помогает в борьбе с болью и другими симптомами, побочными эффектами химиопрепаратов. Иногда, если женщина находится в очень плохом состоянии, активное восстановительное лечение помогает улучшить его настолько, что снова становится возможным проведение химиотерапии.
Борьба с асцитом и канцероматозом брюшины помогает существенно улучшить состояние женщины, увеличить продолжительность жизни. Избыток жидкости из брюшной полости выводят во время лапароцентеза — процедуры, во время которой в стенке живота делают прокол. Для постоянного оттока устанавливают интраперитонеальный катетер. Может потребоваться хирургическое вмешательство. Проводят курс интраперитонеальной химиотерапии, когда химиопрепарат вводят непосредственно в брюшную полость. Более современная процедура — гипертермическая интраперитонеальная химиотерапия, сокращенно HIPEC. Проводят хирургическое вмешательство, во время которого в брюшной полости удаляют все видимые метастазы, затем ее промывают подогретым до 42–43 °C раствором химиопрепарата, чтобы уничтожить оставшиеся раковые клетки.
Борьба с метастазами в печени может включать некоторые специальные процедуры:
- Во время внутриартериальной химиотерапии химиопрепарат вводят непосредственно в питающий опухоль сосуд. Это позволяет вводить более высокие дозы лекарств без риска тяжелых побочных эффектов.
- Химиоэмболизация предполагает введение химиопрепарата в сочетании с эмболизирующим препаратом, который нарушает приток крови к опухолевой ткани.
- При радиочастотной аблации (РЧА) в узел вводят электрод в виде иглы и разрушают опухолевую ткань с помощью тока высокой частоты.
Прогноз выживаемости
Пятилетняя выживаемость при раке яичника 4 стадии составляет 10–17%. В настоящее время проводятся клинические исследования, которые помогают выработать новые эффективные подходы. Ученые работают над созданием новых лекарственных препаратов.
Если диагностирован рак яичников с метастазами — это не повод опускать руки. Помочь можно на любой стадии. Даже если удалось продлить жизнь женщины всего на несколько дней — это уже победа, и ради нее стоит бороться.
Метастатический рак яичников
Метастатический рак яичников – злокачественное новообразование яичника, возникшее в результате распространения клеток первичной опухоли, расположенной в другом органе. На начальных стадиях протекает бессимптомно. При крупных метастазах появляются боли, ощущение давления, затруднение мочеиспускания, запоры и увеличение размеров живота. При пальпации выявляется объемное образование. Возможны нарушения менструального цикла. Диагноз устанавливается с учетом анамнеза, клинических проявлений и результатов дополнительных исследований. Лечение – хирургическое вмешательство, химиотерапия, гормонотерапия, радиотерапия.

Общие сведения
Метастатический рак яичников – вторичная опухоль яичника, возникшая в результате гематогенного, лимфогенного либо имплантационного распространения злокачественных клеток из другого органа. Составляет 5-6% от общего количества злокачественных новообразований яичника. Ранее считался достаточно редким заболеванием, в настоящее время отмечается увеличение количества случаев данной патологии. Пик заболеваемости приходится на возраст 45-60 лет.
Чаще всего метастатический рак яичников выявляется при онкологических заболеваниях желудочно-кишечного тракта и половых органов, раке молочной железы и злокачественной лимфоме. Характерно более быстрое прогрессирование по сравнению с первичным раком яичника. Вторичные новообразования достигают значительных размеров и рано осложняются диссеминацией по брюшине, что утяжеляет прогноз и делает невозможным использование радикальных методов лечения. Диагностику и лечение осуществляют специалисты в области онкологии и гинекологии.

Причины
От 30 до 40% от общего количества вторичных поражений яичников составляют опухоли Крукенберга. Чаще всего такие новообразования возникают при раке желудка, реже наблюдается метастазирование злокачественных опухолей толстой кишки и желчных протоков. При колоректальном раке, наряду с опухолями Крукенберга, могут обнаруживаться метастазы других типов (неслизеобразующие). Некрукенберговские вторичные новообразования могут выявляться при раке мочевого пузыря и раке шейки матки.
Одной из самых частых причин метастазов в яичники является рак молочной железы. При аутопсии метастатический рак яичников выявляется у 24% пациентов, умерших от злокачественных опухолей молочной железы, причем, в 80% случаев наблюдается двухстороннее поражение. При исследовании образцов тканей внутренних половых органов, удаленных в процессе комплексного лечения рака молочной железы, вторичные очаги в яичниках обнаруживаются у 23-30% пациентов, двухстороннее поражение определяется в 60% случаев.
Злокачественные опухоли фаллопиевых труб осложняются метастатическим раком яичников у 13% больных. Причиной поражения обычно становится местный агрессивный рост первичного новообразования, хотя возможны и другие способы распространения. При раке тела матки метастатическое поражение яичников выявляется у 5% больных, при раке шейки матки – у 1% больных. Возможно прорастание или распространение в результате диссеминации. Вероятно также поражение яичников в результате метастазирования при гемобластозах. В частности, диагноз «метастатический рак яичников» выставляется 5% пациентов с лимфогранулематозом.
Патанатомия
Метастатические новообразования яичников представляют собой овальные узлы желтоватого, серо-белого или белесого цвета размером от 2 до 20 см. Некрукенберговские опухоли неслизеобразующие, обычно плотные, солидного строения, соединяются с яичником хорошо определяемой ножкой. Опухоли Крукенберга состоят из перстневидных клеток, обладающих выраженной способностью к образованию слизи. Двусторонние поражения яичников преобладают над односторонними. Иногда метастатический рак яичников ошибочно принимают за первичное новообразование из-за отсутствия клинических проявлений первичной опухоли.
Симптомы метастатического рака яичников
На ранних стадиях заболевание протекает бессимптомно. У некоторых пациенток выявляются общие признаки онкологического заболевания: потеря аппетита, снижение массы тела, немотивированная слабость, раздражительность, быстрая утомляемость и повышение температуры тела. Иногда наблюдаются нарушения менструального цикла. При увеличении размера метастаза в яичнике появляются боли, ощущение давления или распирания в нижней части живота. При сдавлении мочевого пузыря отмечаются расстройства мочеиспускания, при сдавлении прямой кишки – запоры.
Возникает асцит. При разрыве или перекруте ножки опухоли внезапно появляются симптомы «острого живота»: тошнота, рвота, резкие интенсивные боли, тахикардия, коллапс. При разрыве слизеобразующего метастатического рака яичников слизь изливается в брюшную полость. Излитие слизи из инфицированного новообразования влечет за собой развитие перитонита. На поздних стадиях наблюдается выраженная общая слабость, снижение веса вплоть до кахексии и признаки кишечной непроходимости.
Диагностика
Диагноз выставляют на основании анамнеза (наличие первичного онкологического процесса в другом органе), жалоб, результатов общего и гинекологического осмотра и данных дополнительных исследований. Признаками, позволяющими заподозрить метастатический рак яичников, являются наличие плотного опухолевидного образования с бугристой поверхностью в области яичника, быстрое увеличение размеров опухоли, двустороннее поражение, асцит, обнаружение множественных узлов в области брюшины малого таза при проведении гинекологического осмотра и ректального исследования.
Пациенток с подозрением на метастатический рак яичников направляют на УЗИ органов малого таза с ЦДК. Назначают лапароскопию с биопсией и последующим гистологическим исследованием. Для дифференцировки первичного и метастатического рака яичников (при отсутствии уже установленного диагноза онкологического заболевания) либо для выявления метастазов в других органах проводят маммографию, выполняют КТ, МРТ и УЗИ брюшной полости, УЗИ молочной железы и щитовидной железы, назначают рентгенографию грудной клетки, гастроскопию, колоноскопию, рентгенографию или сцинтиграфию костей скелета и другие исследования. План обследования может различаться в зависимости от имеющейся симптоматики.
Лечение метастатического рака яичников
Тактика лечения определяется с учетом локализации и типа первичной опухоли, наличия очагов в других органах, общего состояния пациентки с метастатическим раком яичников и некоторых других факторов. Обычно используется комбинированная терапия, которая может включать в себя химиотерапию, радиотерапию, хирургическое вмешательство, иммунохимиотерапию и гормонотерапию. Сочетания различных консервативных и оперативных методик подбираются индивидуально.
При наличии показаний для радикального хирургического вмешательства осуществляют пангистерэктомию (удаление матки с аднексэктомией) лапаротомным доступом. В ходе операции внутренние половые органы удаляют вместе с большим сальником, поскольку метастатический рак яичников часто сопровождается диссеминацией по брюшной полости. Даже если метастазы в области брюшины не определяются визуально из-за своего малого размера, они могут обнаруживаться в процессе последующего гистологического исследования. При необходимости одновременно выполняют аденэктомию пораженных лимфатических узлов. Если объемное хирургическое вмешательство противопоказано из-за ожирения или сопутствующих тяжелых заболеваний, выполняют влагалищную пангистерэктомию.
При невозможности провести радикальное удаление метастатического рака яичников осуществляют иссечение основного конгломерата. При генерализации онкологического процесса (наличии метастазов в различных органах) операцию производят только по жизненным показаниям. Обязательным этапом оперативного вмешательства является ревизия органов брюшной полости. Химиотерапию при метастатическом раке яичников применяют как в пред-, так и в послеоперационном периоде. Радиотерапию назначают реже, обычно – в сочетании с химиотерапией. Гормональные средства подбирают индивидуально.
Прогноз
Прогноз в большинстве случаев неблагоприятный. На ранних стадиях метастатический рак яичников протекает бессимптомно, поэтому опухоль часто диагностируют только на этапе поражения органов брюшной полости, образования неоперабельных конгломератов, множественного метастазирования в различные органы и т. д. Причиной гибели больной может стать раковая кахексия, кишечная непроходимость, асцит либо нарушения функций различных органов, обусловленные ростом первичной опухоли или отдаленных метастазов. Всем пациенткам, получавшим лечение по поводу метастатического рака яичников, показаны регулярные осмотры и исследования крови на онкомаркеры в течение 5 лет после окончания терапии.
Методы обследования метастазов в яичники и опухоли Крукенберга
а) Определения:
• Вторичные (метастатические) опухоли яичников
• Опухоль Крукенберга:
о Подтип метастатической опухоли, содержащей >10% заполненных муцином перстневидных клеток в строме яичника
о Обычно из желудочно-кишечного тракта, 76%-желудка
о Термин «опухоль Крукенберга» иногда неверно используется для обобщения всех метастатических опухолей яичников
• Муцинозные опухоли высоких стадий с поражением яичника нередко представляют собой метастазы из экстраовариального первичного очага и часто ошибочно принимаются за первичные муцинозные опухоли яичника
б) Визуализация:
1. Общая характеристика:
• Важнейшие диагностические критерии:
о Двусторонние опухоли яичников у пациентов с диагностированным первичным раком
о Метастазы в яичниках обычно имеют солидное строение:
- Однако могут визуализироваться кистозные и некротические очаги, а опухоль может напоминать первичный рак яичников
• Локализация:
о Обычно двусторонняя
о Метастазы рака толстой кишки в большинстве случаев двусторонние (80%):
- При одностороннем процессе обычно поражается правый яичник
• Размер:
о Часто крупные опухоли
• Строение:
о Многокамерные новообразования с ровным наружным контуром:
- 92% метастазов рака толстой кишки в яичник имеют ровные контуры по сравнению с 45% первичных опухолей яичников
о Неспецифические критерии визуализации
2. УЗИ при метастазах в яичники и опухоли Крукенберга:
• Серошкальное ультразвуковое исследование:
о Опухоль яичника
о Солидная или кистозно-солидная:
- Редко однокамерная киста
- Может осложняться кровотечением
- Может имитировать муцинозную диссеминированную цистаденокарциному
• Цветовая допплерография:
о Васкуляризация в солидных опухолях варьирует

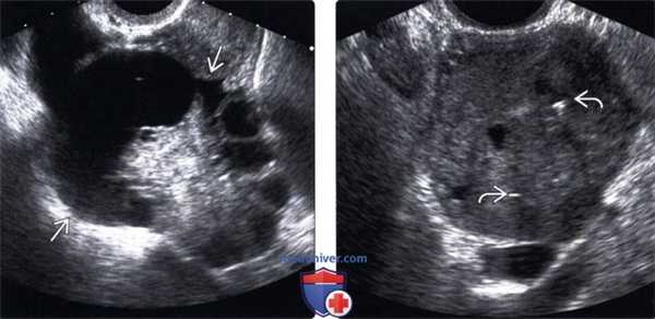
(Левый) На сагиттальном трансвагинальном УЗ срезе у женщины 63 лет с раком прямой кишки в анамнезе визуализируется крупная солидно-кистозная опухоль правого яичника.
(Правый) На продольном трансвагинальном УЗ срезе визуализируется крупное солидное новообразование придатков у пациентки с раком желудка. Обратите внимание на мелкие кальцинаты, которые редко наблюдаются в муцинозных аденокарциномах желудка.
3. КТ при метастазах в яичники и опухоли Крукенберга:
• Обзорная КТ:
о Метастатические опухоли яичников часто имеют плотность соединительной ткани, однако могут визуализироваться кистозные или некротические области со сниженным затуханием сигнала
• КТ с контрастированием:
о Часто неоднородное контрастирование солидных компонентов
о Отсутствие контрастирования кистозных и некротических очагов
о Метастатический колоректальный рак может иметь вид многокамерного кистозного образования с участками «матового стекла»:
- Контрастирование очагов варьирует
- Имитирует первичный муцинозный рак яичников
4. МРТ при метастазах в яичники и опухоли Крукенберга:
• Т1-ВИ:
о Сигнал промежуточной интенсивности от солидных компонентов
• Т2-ВИ:
о Неоднородная интенсивность сигнала от солидных опухолей
о Высокоинтенсивный сигнал от кистозных и некротических компонентов
о Отдельные очаги в многоочаговых опухолях дают сигнал различной интенсивности
• Т1-ВИ с контрастированием:
о Выраженное неоднородное контрастирование от солидных опухолей
5. Сцинтиграфия:
• ПЭТ:
о ПЭТ-КТ-метод выбора для постановки стадии опухоли; визуализируется в разной степени повышенное поглощение препарата метастазами в яичниках
6. Рекомендации по визуализации:
• Важнейшие методы визуализации:
о УЗИ-метод выбора верификации поражения яичников у пациента с диагностированным раком
о КТ и МР применяются для оценки распространенности поражения

(Левый) На аксиальном КТ срезе с контрастированием с целью рестадирования рака ободочной кишки у женщины 61 года визуализируется гетерогенное новообразование придатков кпереди от матки. Опухоль содержит гиперденсивные очаги, указывающие на геморрагическое содержимое. Обратите внимание на неизмененный левый яичник
(Правый) На трансабдоминальном УЗ срезе у этой же па циентки визуализируется многокамерная киста без выраженного солидного компонента. Хотя данные визуализации указывают на геморрагическую кисту, ее наличие нехарактерно для постменопаузального периода.
в) Дифференциальная диагностика метастазов в яичники и опухоли Крукенберга:
1. Первичный рак яичников:
• Первичный рак яичников представлен преимущественно кистозными опухолями:
о Многокамерное кистозное образование позволяет предположить первичный рак яичников
• Большинство вторичных злокачественных новообразований яичников - преимущественно солидные или кистозно-солидные опухоли
2. Лимфома яичника:
• Лимфомы яичника часто представляют собой однородные солидные новообразования
• При лимфоме наблюдается распространенное вовлечение лимфатических узлов

(Левый) На трансвагинальном УЗ срезе с цветовой допплерографией у этой же пациентки лучше визуализируется солидные компоненты с неровными контурами в сложном кистозном образовании со слабым допплерографическим сигналом.
(Правый) Изображение, полученное при тонкоигольной аспирационной биопсии под УЗ контролем; визуализируется игла в наиболее неоднородном солидном очаге. При цитологии выявлены клетки рака ободочной кишки. Чрескожная биопсия обычно не используется для диагностики подозрительных новообразований яичников, но требуется в случае подозрения на метастатическую болезнь.
г) Патология:
1. Общая характеристика:
• Этиология:
о Пути метастазирования в яичник: гематогенный, лимфогенный, трансперитонеальный или прямой
о Первичные очаги негинекологических опухолей:
- Ободочная кишка (30%):
Метастазы рака ободочной кишки в яичник распространяются обычно из опухолей дистальных отделов, чаще всего ректосигмовидного, затем, в порядке убывания: поперечной ободочной кишки, восходящей ободочной кишки, слепой кишки и нисходящей ободочной кишки
- Желудок (16%), аппендикс (13%), молочная железа (13%), поджелудочная железа (12%), билиарный тракт (15%) и печень (4%)
о Общие гинекологические первичные очаги:
- Тело матки (23%), шейка матки (4%)
2. Стадирование, степени и классификации метастазов в яичники и опухоли Крукенберга:
• Стадия устанавливается по первичной опухоли
3. Макроскопические и хирургические особенности:
• Опухоли яичников на разрезе могут быть солидными, кистозно-солидными или поликистозными
• Контур яичника обычно сохранен
• В опухоли могут быть участки кровоизлияния и некроза
4. Микроскопия:
• Гиперплазия стромальных клеток яичников со значительным количеством перстневидных клеток
• Факторы в пользу метастатического, а не первичного новообразования яичников:
о Двустороннее поражение
о Узловой тип вовлечения яичников о Инфильтративное поражение стромы
о Микроскопические поверхностные опухолевые очаги
о Распространенное вовлечение лимфатических сосудов (в воротах яичника и внеяичниковых)
о Перстневидные клетки
о Клетки, окруженные муцином
о Различная скорость роста в разных очагах
д) Клинические особенности:
1. Проявления метастазов в яичниках и опухоли Крукенберга:
• Основные симптомы:
о Боль в животе
о Пальпируемое образование таза
• Другие симптомы:
о В некоторых случаях можно наблюдать повышение гормональной активности вследствие реактивной гиперплазии стромы яичников
• Клинический профиль:
о Во многих случаях-первичный рак в анамнезе
о Обычно симптомы первичного заболевания предшествуют вторичным симптомам, обусловленным метастазами в яичниках
о Иногда имеются симптомы, обусловленные поражением яичников у пациентки без диагностированного рака
2. Демография:
• Возраст:
о Чаще распространены у женщин в пременопаузе вследствие [повышенной] васкуляризации яичников
• Эпидемиология:
о 5-15% злокачественных опухолей яичников представляют собой метастазы
о У 5-30% больных раком при аутопсии выявляют метастазы в яичниках
о Только 30-40% метастазов в яичниках являются истинными опухолями Крукенберга
3. Течение и прогноз:
• Неблагоприятный прогноз с смертностью - 90% в течение одного года после выявления метастазов в яичниках
• Опухоли Крукенберга: средняя выживаемость 23 месяца:
о Характерен пременопаузальный возраст и наличие метахронных опухолей
4. Лечение метастазов в яичниках и опухоли Крукенберга:
• Радикальное удаление опухоли
• Часто плохой ответ на химиотерапию
• Из-за высокого риска метастазирования в яичники при хирургическом лечении рака ободочной кишки может выполняться паллиативная двусторонняя оофорэктомия
е) Диагностическая памятка:
1. Следует учесть:
• Сходная картина первичного рака яичников и метастазов в них по данным визуализации, поэтому точный дифференциальный диагноз может быть затруднен
• У пациенток с метастазами в яичниках обычно имеются клинические проявления первичной опухоли и ее распространенных метастазов
• Пациентам без диагностированного первичного рака рекомендовано обследование желудочно-кишечного тракта
2. Советы по интерпретации изображений:
• Характерные черты метастазов в яичниках:
о Двусторонние опухоли яичников
о Преимущественно солидные образования
КТ, МРТ, УЗИ при метастатической опухоли яичника
а) Определения:
• Вторичные (метастатические) опухоли яичника
• Крукенберговский метастаз:
о Подтип метастатических опухолей, в которых среди клеточных элементов стромы имеется более 10% перстневидных клеток, наполненных муцином
о Обычно первичная опухоль локализуется в ЖКТ и в 76% случаев исходит из желудка
о Иногда под крукенберговским метастазом ошибочно понимают любую метастатическую опухоль яичника
• Далеко зашедший муцинозный рак яичника часто представляет собой метастазы экстраовариально расположенной первичной опухоли и ошибочно принимается за первичный муцинозный рак
б) Лучевая диагностика:
1. Общие сведения:
• Наиболее надежные диагностические признаки:
о Опухолевые образования в обоих яичниках у пациентки с диагностированной первичной опухолью
о Метастазы в яичниках обычно представляют собой солидные образования:
- Тем не менее в них могут содержаться кистозные полости и очаги некроза, что придает им сходство с первичным раком яичника
• Локализация:
о Обычно двусторонняя
о Метастазы рака толстой кишки в яичник в большинстве случаев (80%) двусторонние:
- При одностороннем метастазировании чаще поражается правый яичник
• Размер:
о Часто представляют собой крупные опухолевые образования
• Морфология:
о Опухолевые образования дольчатого строения с гладким наружным контуром:
- В 92% случаев метастазы рака толстой кишки в яичниках имеют гладкие контуры, в то время как при первичном раке яичника гладкие контуры опухоли отмечаются в 45% случаев
(Слева) При КТ с контрастным усилением в аксиальной плоскости у пациентки 55 лет с раком толстой кишки в анамнезе в правом яичнике выявляется гетерогенное объемное образование с контрастирующимся солидным компонентом.
(Справа) При КТ с контрастным усилением в ко-рональной плоскости у той же пациентки в правом яичнике видно объемное образование смешанного строения, состоящее из кистозного и солидного компонентов с множественными перегородками. Метастазирование в яичники при раке толстой кишки чаще происходит при дистальной локализации опухоли (рак ректосигмоидного отдела толстой кишки). (Слева) При КТ с контрастным усилением в аксиальной плоскости у пациентки 45 лет со злокачественной меланомой в анамнезе в правом яичнике визуализируется многокамерное кистозное образование с толстыми перегородками. Линейные тени металлической плотности с обеих сторон обусловлены находящейся в маточных трубах контрацептивной спиралью Essure.
(Справа) При КТ с контрастным усилением в корональной плоскости у той же пациентки видно многокамерное кистозное образование, внутри которого имеются перегородки. При патологоанатомическом исследовании выявлена кистозная опухоль, содержащая жидкость шоколадного цвета. При гистологическом исследовании опухоль оказалась злокачественной меланомой. (Слева) При КТ с контрастным усилением в аксиальной плоскости у пациентки 55 лет с раком толстой кишки в анамнезе в левом яичнике визуализируется объемное образование преимущественно солидного строения, неравномерно накапливающее контрастное вещество.
(Справа) При КТ с контрастным усилением в корональной плоскости у той же пациентки в левом яичнике видно солидное объемное образование. Несмотря на срединное расположение, яичниковые сосуды, проходящие вдоль левой поверхности объемного образования, свидетельствуют о происхождении опухоли из левого яичника.
2. КТ при метастатической опухоли яичника:
• Нативная КТ:
о Метастатические опухоли яичников часто имеют мягкотканную рентгеновскую плотность, но в них могут обнаруживаться также кистозные полости или участки некроза, имеющие низкую рентгеновскую плотность
• КТ с контрастным усилением:
о Солидный компонент часто характеризуется неравномерным контрастированием
о Кистозный компонент и некротические участки не накапливают контрастное вещество
о Метастазы колоректального рака в яичниках могут иметь вид многокамерного кистозного образования, напоминающего витраж:
- Участки с различным накоплением контрастного вещества
3. MPT при метастатической опухоли яичника:
• Т1-ВИ:
о Солидный компонент опухоли дает сигнал промежуточной интенсивности
• Т2-ВИ:
о Солидный компонент опухоли дает гетерогенный сигнал
о Сигнал от кистозного компонента и очагов некроза имеет высокую интенсивность
о Камеры кистозного компонента опухоли отличаются по интенсивности вызываемого ими сигнала
• Т1-ВИ с контрастированием:
о Сигнал от солидного компонента усиливается крайне неравномерно
4. УЗИ при метастатической опухоли яичника:
• Исследование в режиме серой шкалы:
о Объемное образование яичника неоднородной эхоструктуры
• ЦДК:
о Сосуды в солидном компоненте опухоли
5. Радионуклидное исследование:
• ПЭТ:
о Совмещенная ПЭТ/КТ является методом выбора для стадирования опухолевого процесса и выявляет повышенную метаболическую активность метастазов в яичниках
6. Рекомендации по проведению лучевых исследований:
• Наиболее информативные методы визуализации:
о Для выявления метастазов в яичниках у пациентки с уже диагностированной опухолью необходимо выполнить прежде всего УЗИ
о КТ и МРТ выполняют для уточнения степени распространения опухолевого процесса
(Слева) При КТ с контрастным усилением в аксиальной плоскости у пациентки 35 лет с отмечаемой в анамнезе нейроэндокринной опухолью поджелудочной железы, секретирующей вазоинтестинальный пептид (ВИПомой), в обоих яичниках выявляются объемные образования. Объемное образование правого яичника имеет преимущественно солидный тип строения, левого яичника - смешанное солидно-кистозное строение.
(Справа) При КТ с контрастным усилением в корональной плоскости у той же пациентки видно, что объемное образование левого яичника содержит солидный компонент, накапливающий контрастное вещество, и более крупный кистозный компонент, содержащий перегородки. (Слева) При совмещенной ОФЭКТ/КТ с октреотидом в аксиальной плоскости отмечается повышенное поглощение РФП опухолевыми образованиями обоих яичников.
(Справа) При совмещенной ОФЭКТ/КТ с октреотидом в корональной плоскости отмечается повышенное поглощение РФП опухолевыми образованиями обоих яичников. ОФЭКТ с октреотидом помогает выявить опухоли, имеющие соматостатиновые рецепторы, например карциноиды и нейроэндокринные опухоли. (Слева) При КТ с контрастным усилением в аксиальной плоскости у пациентки 45 лет с раком толстой кишки в анамнезе в обоих яичниках визуализируется многокамерное кистозное образование. Солидное образование, накапливающее контрастное вещество, представляет собой увеличенную матку с миоматозными узлами.
(Справа) При КТ с контрастным усилением в корональной плоскости у той же пациентки в обоих яичниках выявляются многокамерные кистозные образования и увеличенная матка с миоматозными узлами. Виден также стент, установленный в сигмовидной кишке.
в) Дифференциальная диагностика метастатической опухоли яичника:
1. Первичный рак яичника:
• Первичный рак яичника в большинстве случаев представляет собой преимущественно кистозное объемное образование:
о Многокамерный характер кистозного образования свидетельствует скорее о первичном раке яичника
• Большинство метастатических опухолей яичника являются преимущественно солидными или смешанными солидно-кистозными образованиями
2. Лимфома яичника:
• Лимфомы яичника часто представляют собой гомогенное солидное образование
• При лимфоме яичника отмечается обширное поражение опухолью всей цепочки лимфатических узлов
г) Патологоанатомические особенности:
1. Общие сведения:
• Этиология:
о Метастазирование первичной опухоли в яичник происходит гематогенным и лимфогенным путем, по брюшине и путем прямого распространения с соседнего органа
о Первичная опухоль, локализующаяся вне женских половых органов:
- Толстая кишка (30%):
Метастазирование рака толстой кишки в яичники обычно происходит при дистальной локализации первичной опухоли: наиболее часто при поражении ректосигмоидного отдела, затем в порядке убывания частоты следуют поперечная ободочная кишка, восходящая ободочная, слепая и нисходящая ободочная кишка
- Желудок (16%), червеобразный отросток (13%), молочная железа (13%), поджелудочная железа (12%), желчные пути (15%) и печень (4%)
о Наиболее распространенные первичные опухоли, локализующиеся в женских половых органах:
- Тело матки (23%), шейка матки (4%)
2. Стадирование, градация и классификация:
• Стадирование метастатических опухолей яичника основывается на системе стадирования первичной опухоли
3. Макроскопические изменения и исследование операционного материала:
• Пораженный яичник на разрезе имеет солидный, солидно-кистозный или поликистозный тип строения
• Контуры яичника часто сохраняются
• В опухоли могут быть очаги кровоизлияний и некроза
4. Микроскопические изменения:
• Гиперплазия клеточных элементов стромы яичника и большое количество перстневидных клеток
• Признаки, указывающие на метастатическую природу рака яичника:
о Двустороннее поражение
о Нодулярный тип поражения яичника
о Инфильтрация стромы яичника
о Микроскопические отложения опухолевых клеток на поверхности яичника
о Выраженная лимфоваскулярная инвазия (особенно в воротах яичника и вне его)
о Перстневидные клетки
о Клетки, «плавающие» в муцине
о Различия между опухолевыми узлами в особенностях роста
(Слева) При КТ с контрастным усилением в аксиальной плоскости у пациентки 57 лет с пальпируемой опухолью в тазу, ранее к онкологу не обращавшейся, в правом яичнике выявляется объемное образование преимущественно кистозного строения с толстыми перегородками, накапливающими контрастное вещество.
(Справа) При КТ с контрастным усилением в корональной плоскости у той же пациентки в правом яичнике визуализируется преимущественно кистозное объемное образование с перегородками неравномерной толщины, накапливающими контрастное вещество. Видно также опухолевое образование, циркулярно охватывающее слепую кишку. Патологоанатомическое исследование, выполненное после операции, подтвердило муцинозную аденокарциному слепой кишки, метастазировавшую в правый яичник. (Слева) При МРТ на Т2-ВИ в сагиттальной плоскости у пациентки 35 лет с патологическим кровотечением из половых путей и раком эндометрия, диагностированным по результатам биопсии, выявляется утолщение эндометрия и инвазия опухоли в миометрий почти до серозной оболочки.
(Справа) При МРТ на Т2-ВИ в аксиальной плоскости у той же пациентки в правом яичнике визуализируется округлое образование, дающее сигнал высокой интенсивности. Видна также опухоль эндометрия. (Слева) При МРТ на Т1-ВИ в аксиальной плоскости у той же пациентки в правом яичнике видно слаборазличимое объемное образование.
(Справа) При МРТ с контрастным усилением на Т1-ВИ FS в аксиальной плоскости у той же пациентки в правом яичнике выявляется объемное образование, характеризующееся усилением сигнала при введении контрастного вещества. Пациентке была выполнена гистерэктомия в сочетании с двусторонней сальпинговариэктомией, подтвердившая метастазы рака эндометрия в правом яичнике. Рак эндометрия метастазирует в яичники у 11% больных, причем чаще в тех случаях, когда прорастает в миометрий.
1. Клиническая картина:
• Наиболее частые субъективные и объективные симптомы: о Боль в животе
о Пальпируемая опухоль в тазу
• Другие симптомы:
о Иногда могут наблюдаться признаки гормональной активности опухоли, связанные с реактивной гиперплазией стромы яичников
• Клинический профиль:
о Во многих случаях у пациенток уже бывает диагностирована первичная опухоль
о Симптомы первичной опухоли обычно предшествуют клиническим проявлениям метастатической опухоли
о Иногда пациентки обращаются к врачу по поводу симптомов, обусловленных метастазами в яичниках, не подозревая о существовании первичной опухоли
2. Демографические особенности:
• Возраст:
о Чаще наблюдаются у женщин в пременопаузе, что объясняется более выраженной сосудистой сетью яичников в этом возрастном периоде
• Эпидемиология:
о 5-15% злокачественных опухолей яичников являются метастатическими
о У 5-30% больных раком при аутопсии выявляют метастазы в яичниках
о Только 30—40% метастатических опухолей яичников являются истинными крукенберговскими метастазами
3. Естественное течение и прогноз:
• Прогноз неблагоприятный, смертность к концу первого года после выявления метастазов в яичниках составляет ~90%
4. Лечение:
• Радикальная циторедуктивная операция
• Химиотерапия часто неэффективна
• Учитывая высокий риск метастазов в яичниках, во время операции, выполняемой по поводу рака толстой кишки, можно в качестве паллиативной меры выполнить двустороннюю овариэктомию
е) Особенности диагностики:
1. Важно знать:
• Признаки первичного рака яичника и метастатической опухоли во многих случаях сходны, поэтому отличить их друг от друга бывает трудно
• Метастазы в яичниках часто проявляются уже на фоне развернутой клинической картины первичной опухоли, и эти признаки обычно соответствуют далеко зашедшему опухолевому процессу
• Пациенткам с неустановленной локализацией первичной опухоли рекомендуется обследование ЖКТ
2. Признаки, учитываемые при интерпретации результатов:
• Наиболее частые признаки метастатического поражении яичников:
о Опухолевые массы в обоих яичниках
о Преимущественно солидный тип строения опухоли
ж) Список использованной литературы:
1. Alvarado-Cabrero I et al: Metastatic ovarian tumors: a clinicopathologic study of 150 cases. Anal Quant Cytol Histol. 35(5):241—8, 2013
2. Guerriero S et al: Preoperative diagnosis of metastatic ovarian cancer is related to origin of primary tumor. Ultrasound Obstet Gynecol. 39(5):581-6, 201
3. Ho L et al: Bilateral ovarian metastases from gastric carcinoma on FDG PET/CT. Clin Nucl Med. 37(5):524-7, 2012
4. Willmott F et al: Radiological manifestations of metastasis to the ovary. J Clin Pathol. 65(7):585-90, 2012
5. Soslow RA: Mucinous ovarian carcinoma: slippery business. Cancer. 117(3):451—3, 2011
6. Zaino RJ et al: Advanced stage mucinous adenocarcinoma of the ovary is both rare and highly lethal: a Gynecologic Oncology Group study. Cancer. 117(3):554-62, 2011
7. Abe Y et al: A case of metastatic malignant melanoma of the ovary with a multilocular cystic appearance on MR imaging. Jpn J Radiol. 27(10):458—61, 2009
8. de Waal YR et al: Secondary ovarian malignancies: frequency, origin, and characteristics. Int J Gynecol Cancer. 19(7): 1160-5, 2009
9. Koyama T et al: Secondary ovarian tumors: spectrum of CT and MR features with pathologic correlation. Abdom Imaging. 32(6):784-95, 2007
10. Testa AC et al: Imaging in gynecological disease (1): ultrasound features of metastases in the ovaries differ depending on the origin of the primary tumor. Ultrasound Obstet Gynecol. 29(5):505-11, 2007
11. Chang WC et al: CT and MRI of adnexal masses in patients with primary nonovarian malignancy. AJR Am J Roentgenol. 186(4): 1039-45, 2006
12. Khunamompong S et al: Primary and metastatic mucinous adenocarcinomas of the ovary: Evaluation of the diagnostic approach using tumor size and laterality. Gynecol Oncol. 101(1): 152-7, 2006
13. Kiyokawa T et al: Krukenberg tumors of the ovary: a clinicopatho-logic analysis of 120 cases with emphasis on their variable pathologic manifestations. Am J Surg Pathol. 30(3):277-99, 2006
14. Alcazar JL et al: Transvaginal gray scale and color Doppler sonography in primary ovarian cancer and metastatic tumors to the ovary. J Ultrasound Med. 22(3):243-7, 2003
15. Jung SE et al: CT and MR imaging of ovarian tumors with emphasis on differential diagnosis. Radiographics. 22(6): 1305-25, 2002
16. Brown DL et al: Primary versus secondary ovarian malignancy: imaging findings of adnexal masses in the Radiology Diagnostic Oncology Group Study. Radiology. 219(1):213—8, 2001
17. Hann LE et al: Adnexal masses in women with breast cancer: US findings with clinical and histopathologic correlation. Radiology. 216(1):242—7, 2000
Метастаз Крукенберга
Метастаз Крукенберга – это метастатическое поражение яичника, источником которого является первичный раковый очаг в других органах (чаще – пищеварительной системы). Новообразование отличается быстрым прогрессированием, может сопровождаться увеличением живота и эпигастральным дискомфортом, тазовыми болями, нарушениями менструальной функции. Методы диагностики включают гинекологический осмотр и сбор анамнеза, ультрасонографию, гистологическую верификацию с иммуногистохимическим определением генотипа. Лечение комбинированное – хирургическая циторедуктивная операция с химиотерапией.
МКБ-10


Метастаз Крукенберга – вторичная карцинома яичника, отличающаяся наличием перстневидных клеток, секретирующих муцин, и ростом в толще яичника. Опухоль названа по имени немецкого врача Фридриха Эрнста Крукенберга, установившего её гистологическое строение в 1896 году. Одни авторы подразумевают под раком Крукенберга метастазы карциномы любого органа, другие – исключительно пищеварительного тракта. Крукенберговский рак наблюдаются преимущественно в перименопаузе, составляют до 2% всех случаев рака яичников и до 30% всех овариальных метастатических образований.
Крукенберговские метастазы являются следствием диссеминации рака, изначально возникшего вне яичников. Чаще всего они исходят из аденокарцином, состоящих их перстневидных (форма «перстня с печаткой») клеток. К основным источникам рака Крукенберга можно отнести злокачественные эпителиальные новообразования:
- Желудка. До 70% всех крукенберговских карцином приходится на гастральный рак, причём более чем у 50% больных поражаются оба яичника. Частота встречаемости овариальных метастазов при раке желудка около 15%. К их возникновению обычно причастны первичные очаги, локализованные вблизи привратника.
- Кишечника. Колоректальный рак сопровождается метастатическим поражением яичника в 2-12% случаев. Овариальные метастазы возникают из первичного узла на ободочной (большей частью сигмовидной) кишке в 4,5 чаще, чем прямой. Вторичная неоплазия яичников, происходящая из кишечника, нередко двусторонняя.
- Молочной железы. Маммарная карцинома приводит к метастатическому раку яичника в 4-10% случаев. 80% из них исходят из дольковой аденокарциномы молочной железы и нередко представляют собой метастазы Крукенберга. У половины больных поражение яичников сочетается с метастазами в другие отдалённые органы.
Реже рак Крукенберга возникает вследствие распространения карцином тела матки, жёлчного и мочевого пузыря, поджелудочной железы. Метастазирование не зависит от объёма материнской опухоли. Иногда первичный очаг не определяется, он может быть заподозрен только ввиду наличия метастаза Крукенберга.
Патогенез
Микроскопически крукенгберговские карциномы состоят из клеток стромы яичника и перстневидных, наполненных слизью. Ввиду структурного сходства их сложно отличить от первичных раковых неоплазий гонад. Ранее считалось, что метастазы Крукенберга распространяются лимфогенным, гематогенным, имплантационным путём (особенно из толстой кишки).
Согласно современной концепции, для метастазов этого типа характерно перемещение именно с лимфой. Об этом косвенно свидетельствует их расположение не на самой поверхности гонад, а также возникновение вторичных овариальных очагов колоректального рака только при условии наличия метастатически изменённых лимфатических узлов.
Существуют две теории эволюции крукенберговских метастазов – линейная и параллельная. Согласно линейной модели, клетки-«родоначальницы» метастатических новообразований сначала полностью формируются среди других клеток первичного узла с единым фенотипом, «созрев», пускаются по организму, а на новом месте некоторое время адаптируются перед началом прогрессирования. Рост «материнского» новообразования и его отдалённых метастазов происходит последовательно.
Параллельная модель предусматривает распространение генетически неразвитых клеток на самых ранних стадиях первичной опухоли и дальнейшее их развитие среди нового окружения с мутационной адаптацией, приобретением новых признаков. Такой вариант прогрессирования идёт параллельно с развитием «материнской» опухоли, придаёт метастатическим клеткам повышенную устойчивость к неблагоприятным воздействиям.
Теория параллельного развития объясняет агрессивный характер метастатических карцином, резистентность к терапии, возникновение отсроченных (метахронных) метастазов. В отличие от синхронных, обнаруженных одновременно с первичным раком, отсроченные метастазы могут появляться много позже (через 5 лет и более), слабо реагируют на химиотерапию, значительно ухудшают прогноз заболевания.

Симптомы опухоли Крукенберга
Метастазы Крукенберга отличаются бессимптомным или малосимптомным течением. На ранних стадиях может отмечаться увеличение живота за счёт перитонеального выпота, возникающего у 60-70% пациенток, и общие признаки – слабость, субфебрильная температура, снижение аппетита. С ростом карциномы наблюдаются тазовые боли, признаки эпигастрального дискомфорта (метеоризм, отрыжка и изжога, тошнота).
При сдавлении неоплазией мочевыводящих путей затрудняется мочеиспускание. Поражение стромы яичника сопровождается менструальными нарушениями (ацикличностью, альгоменореей), гирсутизмом, маскулинизацией. Могут наблюдаться боль, дискомфорт при половых контактах. Признак распространения процесса на маточные трубы, матку – кровянистые выделения из влагалища.
Иногда отмечаются признаки паранеопластического синдрома (они могут сопровождать опухоль или предшествовать её развитию) – отёки вследствие венозного тромбоза, боли и слабость в ногах, нарушение координации движений. Все перечисленные проявления не являются патогномоничными, они нередко остаются незамеченными на фоне симптоматики развития основной опухоли или последствий её лечения.
Осложнения
Результатом местного распространения метастаза Крукенберга может стать сдавление кишечника с частичной или полной непроходимостью, что нередко приводит к смерти. Капсула овариальной неоплазии легко повреждается с излитием слизи, что влечёт перитонит, сепсис, шок. Метастатический узел распространяет раковые клетки в другие органы – печень, лёгкие, головной мозг. Нарушение функций жизненно важных органов существенно снижает качество жизни.
К тяжёлым последствиям приводит паранеопластический синдром. На фоне тромбофилии развиваются тромбофлебиты, артериальная эмболия. Растёт угроза инфаркта миокарда, лёгких, ишемического инсульта. Результатами паранеопластической нейропатии, дегенерации мозжечка становится нарушение двигательной активности, расстройства зрения и речи, деменция. Эти поражения приводят к тяжёлой инвалидности и нередко сохраняются после устранения опухоли.
На дооперационном этапе диагностика метастаза Крукенберга затруднительна: биопсия образования не проводится, поскольку повреждение опухолевой капсулы влечёт быстрое распространение рака по брюшине. Верифицировать диагноз возможно только на операционном столе. Основные методы дооперационной диагностики крукенберговского метастаза:
- Клинический осмотр. В ходе гинекологического осмотра (ректовагиналього бимануального исследования) можно определить объёмное образование яичника, а при пальпации живота на кушетке – асцит. Сведения о перенесённом экстраовариальном раке позволяют заподозрить метастаз Крукенберга.
- Ультрасонография. Применяют абдоминальное, трансвагинальное, трансректальное УЗИ малого таза с функцией цветной допплерометрии. Признаки овариального метастаза – чёткие контуры и неоднородная структура новообразования, плотная сосудистая сеть, наличие выпота в брюшной полости.
- Морфологическое исследование пунктата. Для цитологического анализа через прокол свода влагалища берут жидкость из дугласова пространства. Наличие раковых клеток в образце свидетельствует о злокачественной овариальной опухоли. По виду клеток можно предположить метастаз Крукенберга.
- Определение уровня опухолевых маркёров. Повышение уровня специфических онкомаркеров (CA125, CA19-9, HE4) в крови говорит о злокачественном новообразовании гонад. Метастатические опухоли увеличивают концентрацию этих белков интенсивнее, чем первичные. Наиболее точные результаты получают при исследовании уровня белка HE4.
- Эндоскопическое исследование.Лапароскопия является инвазивной процедурой и применяется, если адекватная визуализация посредством УЗИ невозможна (например, при ожирении у больной, наличии спаек) или требуется уточнить характер и распространение неоплазии. Это наиболее точный метод дооперационной диагностики.
Для верификации диагноза удалённый во время операции материал подвергают гистологическому и иммуногистохимическому исследованию (последнее позволяет отличить первичную неоплазию от метастатической). Исследования проходят под руководством онкогинеколога с привлечением онкомаммолога, хирурга-онколога. Обследовать необходимо всех женщин с гастральными, маммарными, колоректальными карциномами.
Дифференциальная диагностика
Дифференциальную диагностику проводят в первую очередь с первично-множественным раком (синхронные и метахронные первичные овариальные очаги чаще всего сочетаются с опухолями молочной железы, толстой кишки, поджелудочной железы). Как и первичный овариальный рак, метастаз Крукенберга следует дифференцировать с доброкачественными образованиями гонад и неоплазиями других органов малого таза, воспалениями (аднекситом, аппендицитом), забрюшинными кистами.
Лечение метастаза Крукенберга
Исход во многом определяется успешностью лечения первичного очага – методы зависят от его локализации и характера (гистологического типа, степени дифференцировки). Протоколы лечения метастаза Крукенберга чётко не разработаны. Основным методом лечения является хирургический. Синхронные метастазы удаляют одномоментно с первичным узлом. Химиотерапию назначают как дополнение к хирургическому вмешательству. Лучевая терапия не используется.
Консервативная терапия
Фармакотерапия применяется самостоятельно лишь с целью паллиативной помощи, некоторого замедления роста неоплазии, если хирургическое вмешательство невыполнимо. Метастазы Крукенберга обладают повышенной резистентностью к лекарственным препаратам по сравнению с первичным очагом. Самостоятельное консервативное лечение почти не влияет на показатели выживаемости. В современной онкогинекологии для терапии метастатического рака гонад используют следующие методы:
- Неоадъювантную химиотерапию. Применение противораковых препаратов перед операцией показано при асците. Противоопухолевые средства вводят внутривенно. Обычно назначают полихимиотерапию препаратами платины и таксанами. Этот метод часто подвергается критике, поскольку ослабляет пациентку, приводит к неоперабельному состоянию.
- Адъювантную химиотерапию. Консервативное лечение назначается после хирургической операции – сочетание оперативного вмешательства и противоопухолевой терапии достоверно увеличивает продолжительность жизни. Используются те же препараты, что и при неоадъювантном лечении, их вводят внутривенно.
- Интраперитонеальную химиотерапию. Даёт наилучшие результаты в лечении крукенберговских метастазов и хорошо переносится пациентками. Препараты доставляются в брюшную полость сразу после удаления узла. Применение подогретых растворов (гипертермическая химиотерапия) повышает лечебный эффект. Назначают средства на основе платины – как в монорежиме, так и в сочетании с митомицином.

Оперативное вмешательство рекомендовано при любом местном распространении метастаза Крукенберга. Противопоказанием является только неудовлетворительное состояние больной и нерезектабельность первичного очага. Возможность проведения радикальной хирургической операции существенно повышает шанс благоприятного исхода. Оптимальным объёмом считается экстирпация матки с придатками, оменэктомия, тазовая перитонэктомия.
Если распространённость злокачественного процесса не позволяет выполнить радикальное вмешательство, осуществляют циторедуктивную операцию, направленную на удаление максимально возможного объёма опухолевой массы. Успех лечения имеет обратную зависимость от размера остаточной опухоли. После курсов медикаментозного противоопухолевого лечения возможны повторные циторедуктивные вмешательства.
Прогноз и профилактика
Общая выживаемость при метастазе Крукенберга не превышает 1,5 лет. Метастазы в дистантные органы являются неблагоприятным прогностическим фактором любого рака, однако исход может варьироваться в зависимости от локализации и резектабельности первичного очага, размера метастатического узла, наличия или отсутствия экстраовариальных метастазов. Более оптимистичен прогноз у пациенток с синхронным метастазированием рака молочной железы.
Профилактика метастазов Крукенберга заключается в раннем выявлении первичных карцином. После лечения пациентка нуждается в пожизненном диспансерном наблюдении – в течение первых трёх лет необходимо проводить обследование несколько раз в год, затем обычно достаточно одного раза. Это позволяет вовремя обнаружить рецидивы опухоли и метахронные метастазы Крукенберга.
1. О различиях ангиогенеза в первичном раке желудка и опухоли Крукенберга: подтверждение гипотезы параллельного метастазирования / Осинский Д.С., Гуменюк Л.Д., Вакуленко Г.А., Налескина Л.А., Осинский С.П., Шапочка Д.А., Ковельская A.В. // Онкология – 2014 – Т.16 – №3.
2. Мукоцеллюлярная карцинома яичников (опухоль Крукенберга) и овариальные метастазы рака молочной железы / А.Н.Стрижаков, И.В.Игнатко// Русский медицинский журнал – 1998 – №1.
3. Особенности метастазирования долькового инфильтративного рака молочной железы, гистологическая и иммуногистохимическая характеристика / Вишневская Я.В., Ермилова В.Д., Савелов Н.А., Нечушкин М.И., Триголосов А.В. // Опухоли женской репродуктивной системы – 2006 – №1.
Читайте также:
- Сирингомиелия. Сирингобульбия. Признаки сирингомиелии. Лечение сирингомиелии.
- Рентгенограмма, КТ, МРТ при доброкачественной метастазирующей миоме
- Почечно-клеточная аденокарцинома (гипернефрома) - клиника, стадии
- Кардиостимулятор-опосредованная тахикардия (тахикардия бесконечной петли, тахикардия замкнутого круга)
- Сложные эпителии. Многослойный эпителий. Переходной эпителий. Железистый эпителий.
