Рентгенограмма, КТ, МРТ при доброкачественной метастазирующей миоме
Добавил пользователь Владимир З. Обновлено: 28.11.2025
Лучевые признаки доброкачественной метастазирующей миомы
а) Терминология:
• Бессимптомная внематочная доброкачественная миома
б) Лучевая диагностика:
• Случайное выявление множественных узелков с четко очерченными границами в легких у пациентки, не предъявляющей каких-либо жалоб, характерных для поражения других органов
• Легкие являются органом наиболее частого метастазирования миомы матки
• Метастазирование миомы наблюдается также в лимфатические узлы, брюшину и забрюшинное пространство
• Диаметр метастазов варьирует от нескольких миллиметров до нескольких сантиметров
• Менее частые проявления:
о Милиарные метастазы
о Объемное образование на ножке в легком, содержащее большую кистозную полость
о Гигантская киста и множественные узелки в легких
• Могут сочетаться с пневмотораксом
• Отсутствие очагов обызвествления, плеврального выпота или лимфаденопатии в средостении
• Характерно равномерное незначительное накопление контрастного вещества
• МРТ: интенсивность сигнала от метастазов идентична интенсивности сигнала от миомы матки
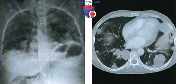
(Слева) Рентгенограмма грудной клетки в заднепередней проекции пациентки 52 лет, которая 15 лет назад подверглась гистерэктомии по поводу миомы матки: множественные узелки различных размеров в обоих легких.
(Справа) При КТ с контрастным усилением в аксиальной плоскости (легочное окно) у той же пациентки в обоих легких видны множественные солидные узелки различных размеров с четкими границами. (Слева) При КТ с контрастным усилением в аксиальной плоскости у той же пациентки в обоих легких видны многочисленные солидные узелки с четкими границами. Узелки имеют однородную структуру, по рентгеновской плотности соответствуют мягким тканям и слабо накапливают контрастное вещество.
(Справа) При КТ с контрастным усилением в аксиальной плоскости у той же пациентки видны множественные мягкотканные объемные образования в малом тазу. При биопсии узелков, расположенных в малом тазу и в легких, оказалось, что они состоят из гладкомышечных клеток без признаков атипии и соответствуют по строению миоме матки.
в) Дифференциальный диагноз доброкачественной метастазирующей миомы:
• Метастатическая лейомиосаркома
• Другие заболевания, при которых в легких появляются патологические узелки:
о Метастазы рака, поражающего другие органы
о Инфекционные и воспалительные заболевания
о Системные заболевания соединительной ткани
г) Патологоанатомические особенности:
• Гематогенные метастазы доброкачественной миомы матки
д) Клинические особенности:
• Метастазирующая миома встречается редко
• Обычно протекает бессимптомно
• Проявляется кашлем, болью в груди и одышкой
• Прогноз обычно благоприятный
Видео урок УЗИ классификация миомы матки по FIGO
Редактор: Искандер Милевски. Дата обновления публикации: 28.1.2022
Рентгенограмма, КТ, МРТ при доброкачественной метастазирующей миоме
а) Терминология:
1. Синонимы:
• «Паразитирующая» фибромиома
• Миома широкой связки
2. Определения:
• Миома, которая утрачивает первоначальную связь с маткой и, прирастая к соседним анатомическим образованиям, получает от них дополнительное кровоснабжение и питается за их счет
б) Лучевая диагностика:
1. Общие сведения:
• Наиболее надежные диагностические признаки:
о Полностью отделившаяся от матки миома, явно получающая артериальное кровоснабжение из соседнего анатомического образования малого таза или брюшной полости
о Иногда удается визуализировать крупные дренирующие вены
о Планирование хирургического лечения основывается на детальном посрезовом лучевом исследовании, позволяющем уточнить размеры образования и оценить его кровоснабжение
• Локализация:
о «Паразитирующая» миома почти всегда располагается в малом тазу
о Наиболее частыми анатомическими образованиями, к которым прирастает миома и от которых она получает артериальную кровь, являются маточные трубы, широкая связка матки и большой сальник
• Размеры:
о Варьируют
• Морфология:
о Идентична по форме, размерам и морфологическому (в том числе гистологическому) строению типичной миоме матки

(Слева) При МРТ на Т2-ВИ в аксиальной плоскости у пациентки 62 лет, которой 5 лет назад была выполнена лапароскопическая гистерэктомия в сочетании с двусторонней сальпингоофорэктомией, а незадолго до исследования был диагностирован рак толстой кишки в ранней стадии, выявлено объемное образование в правой половине малого таза. Образование в основном солидное и по сравнению с мышцами таза дает более интенсивный сигнал, обусловленный кистозным компонентом.
(Справа) При МРТ на Т2-ВИ в сагиттальной плоскости у той же пациентки видно объемное образование В в малом тазу, расположенное непосредственно над культей влагалища и не связанное с ней.
2. КТ при паразитирующей миоме:
• Обычно представляет собой однородное образование, рентгеновская плотность которого соответствует мягким тканям и нормальному миометрию
• В 3-10% всех миом выявляют очаги обызвествления
• Накапливает контрастное вещество аналогично типичным миомам
• Особенности артериального и венозного кровообращения «паразитирующей» миомы можно уточнить, выполнив КТ-ангиографию
3. МРТ при паразитирующей миоме:
• Т1-ВИ:
о Такой же по интенсивности сигнал, как у нормального миометрия и обычной миомы матки
• Т2-ВИ:
о Гипоинтенсивна в сравнении с нормальным миометрием, такой же интенсивности, что и обычная миома матки
о Картина при дегенеративных изменениях аналогична таковой при обычной миоме матки с дегенерацией
• Т1-ВИ FS с контрастированием:
о Неоднородное усиление сигнала, как и в случае обычной миомы матки
• МР-ангиография:
о Позволяет проследить за сосудами «паразитирующей» миомы до питающего органа:
- Часто отчетливо отделены от нормальной маточной артерии
- Можно визуализировать вены, дренирующие миому
4. УЗИ при паразитирующей миоме:
• Исследование в режиме серой шкалы:
о Картина, аналогичная обычной миоме матки (переплетающиеся пучки гладкомышечных клеток) и зависящая от степени выраженности дегенерации, фиброза и обызвествления
• ЦДК:
о Отсутствие цветового допплеровского сигнала необязательно указывает на перекручивание питающих сосудов, так как кровоток в миоме может быть слабым или отсутствовать и без их перекручивания
о Наличие цветового допплеровского сигнала не исключает возможности перемежающегося перекручивания «паразитирующей» миомы
5. ПЭТ/КТ при паразитирующей миоме:
• Миомы матки часто слабо или умеренно поглощают 18 F-ФДГ, причем степень поглощения с возрастом снижается
6. Рекомендации по проведению лучевых исследований:
• Наиболее информативные методы визуализации:
о Наиболее чувствительным методом, позволяющим судить о размерах, локализации и артериальном снабжении «паразитирующей» миомы, является МРТ таза с контрастным усилением гадолинием
• Оптимизация протокола исследования:
о Желательна многоплоскостная визуализация до и после введения гадолиния с выбором небольшого поля обзора, центрированного на малом тазу или зоне интереса

(Слева) При МРТ на Т2-ВИ в аксиальной плоскости у пациентки 45 лет с диагностированной миомой матки, которой ранее была выполнена лапароскопическая миомэктомия, выявлено объемное образование в правой половине малого таза, дающее гомогенный сигнал низкой интенсивности. Имеются трубчатые сосудистые структуры - участки потери сигнала из-за протекающей по ним крови. Они отходят от брыжейки и кровоснабжают объемное образование.
(Справа) При МРТ с контрастированием на Т1-ВИ FS в аксиальной плоскости у той же пациентки видно, что объемное образование неравномерно усиливает сигнал и на его левой стороне заметны зоны отсутствия сигнала, обусловленные небольшими сосудами.
в) Дифференциальная диагностика паразитирующей миомы:
1. Лимфаденопатия:
• Часто имеются и другие патологически увеличенные лимфатические узлы в малом тазу
2. Солидное объемное образование яичника:
• «Паразитирующая» миома может сочетаться с повышенным уровнем антигена СА125 и даже вызывать картину псевдосиндрома Мейгса и поэтому может быть ошибочно принята за рак и другие опухоли яичника
• Принадлежность объемного образования к яичнику можно подтвердить, проследив за круглой связкой матки или яичниковой веной:
о «Паразитирующие» миомы располагаются отдельно от матки и яичников
• Фиброма и аденофиброма (опухоль Бреннера) яичника из-за фиброзного компонента могут иметь сходную картину при исследовании методами визуализации
3. Миомы матки:
• Связаны с маткой сосудистой ножкой
• МРТ, будучи методом, при котором возможно получение многоплоскостных изображений, позволяет визуализировать сосудистую ножку
4. Лейомиосаркома:
• Часто диагностируют только при морфологическом исследовании:
о Картина при лучевых методах исследования неспецифична: неровные края, некроз, кровоизлияния помогают заподозрить лейомиосаркому
о Быстрое увеличение опухоли у женщин в постменопаузе
о Признаки прорастания в окружающие мягкие ткани
г) Патологоанатомические особенности:
1. Общие сведения:
• Этиология:
о Патогенез перехода миомы к паразитированию пока не ясен:
- Первичные «паразитирующие» миомы встречаются крайне редко
- По-видимому, образуются из субсерозной миомы на ножке в результате полного отделения от матки:
Получают питание от других источников, например большого сальника или брыжеечных сосудов
- Согласно альтернативной гипотезе, «паразитирующие» миомы могут образоваться в результате метаплазии брюшины
о Ятрогенное происхождение:
- Появляется после лапароскопической миомэктомии или гистерэктомии с применением морцеллятора:
Электрический морцеллятор позволяет фрагментировать опухоль и удалить ее по частям через небольшой разрез в брюшной стенке
Возможно, фрагменты имплантируются в полости таза или в брюшной полости и вырастают в крупную миому
2. Макроскопические изменения и исследование операционного материала:
• Идентичны таковым при обычной миоме матки
• Округлое, компактное, белое образование эластичной консистенции
3. Микроскопические изменения:
• Идентичны таковым при обычной миоме матки
• Однородная ткань из переплетающихся пучков гладкомышечных клеток
• Наличие того или иного количества соединительной ткани
• Редкая сеть мелких сосудов
• Отсутствие значимого увеличения числа фигур митоза, отсутствие признаков атипии и некроза

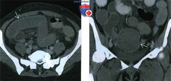
(Слева) При КТ с контрастным усилением в аксиальной плоскости у пациентки 57 лет, которой ранее по поводу миомы матки была выполнена гистерэктомия и которая обратилась по поводу болей в животе и рвоты, выявлены расширенные петли тонкой кишки.
(Справа) При КТ с контрастным усилением в корональной плоскости в проекции максимальной интенсивности у той же пациентки выявлено расширение тонкой кишки и объемное образование в малом тазу. Непосредственно позади объемного образования располагается место перехода расширенной кишки в отрезок ее с нормальным диаметром. Во время операции оказалось, что тонкую кишку сдавливала перекрутившаяся «паразитирующая» миома матки.
д) Клинические особенности:
1. Клиническая картина:
• Наиболее частые субъективные и объективные симптомы: о Тазовые боли:
- Давление на соседние органы (например, на уретру, шейку мочевого пузыря, мочеточник, прямую кишку)
• Другие симптомы:
о Возможна картина псевдосиндрома Мейгса:
- Она складывается из наличия плеврального выпота, асцита и доброкачественной опухоли малого таза, не являющейся фибромой яичника
о Явления тонкокишечной или толстокишечной непроходимости
2. Демографические особенности:
• Возраст:
о Период до наступления менопаузы:
- Обычно появляется у женщин в пременопаузе, но клинически может проявиться как в пре-, так и в постменопаузе
о Чувствительна к гормонам:
- С наступлением менопаузы может уменьшиться в размерах
• Эпидемиология:
о В литературе нет данных о распространенности «паразитирующих» миом
о Ятрогенные «паразитирующие» миомы появляются в 0,12-0,9% случаев после процедур с применением мор-целлятора
3. Естественное течение и прогноз:
• Клинические проявления зависят от размера образования и состояния менструальной функции:
о Миома является гормонально-зависимой и, увеличиваясь в размере, может сдавливать соседние анатомические образования и вызывать масс-эффект
• Возможно также перекручивание сосудов миомы
4. Лечение:
• Для облегчения симптомов или устранения сдавления соседних органов часто приходится удалять миому
• Для дифференцирования «паразитирующей» миомы от злокачественных опухолей необходимо выполнение биопсии:
о Лечение при подтверждении доброкачественного характера образования:
- Медикаментозная терапия (анальгетики, гормональные препараты)
- Хирургическое вмешательство (миомэктомия)
е) Особенности диагностики:
1. Важно знать:
• Поскольку «паразитирующая» миома не связана с маткой, ее легко принять за объемное образование придатков матки
• Идентификация «паразитирующей» миомы как образования, не связанного с маткой и яичниками, имеет ключевое значение для исключения опухоли придатков
• Если матка, яичники и образование таза составляют конгломерат, трудно бывает установить, откуда исходит образование:
о Необходимо найти источник кровоснабжения образования:
- Если это матка, то велика вероятность, что имеет место «паразитирующая» миома на ножке
о Если же кровоснабжение миомы осуществляется за счет новообразованных сосудов при отсутствии ножки, то принадлежность образования остается неясной
2. Признаки, учитываемые при интерпретации результатов:
• Необходимо уточнить локализацию образования отдельно от матки и яичников
• Ножку миомы может быть не видно, особенно при УЗИ
КТ, МРТ, УЗИ при диффузном миоматозе
а) Определения:
• Необычно высокая пролиферативная активность гладкомышечных клеток матки, приводящая к диффузному ее увеличению
1. Общие сведения:
• Наиболее надежные диагностические признаки:
о Множество миоматозных узлов, не имеющих четких границ и не поддающихся подсчету, которые вызывают диффузное увеличение матки и ее дольчатость
• Локализация:
о Диффузное поражение миометрия
• Размеры:
о Гладкомышечные узелки, размеры которых варьируют от микроскопических до довольно крупных
• Морфология:
о Часто отмечается диффузное увеличение матки и ее дольчатость
2. Рекомендации по проведению лучевых исследований:
• Наиболее информативные методы визуализации:
о МРТ является методом выбора
3. УЗИ при диффузном миоматозе:
• Исследование в режиме серой шкалы:
о Множественные миоматозные узлы, увеличение матки и неоднородность ее эхоструктуры
(Слева) При MPT на Т2-ВИ FSE в корональной плоскости выявлено диффузное увеличение матки и замещение ее миомами, которые дают относительно слабый сигнал и имеют нечеткие границы; светлые участки на темном фоне миом соответствуют очагам дегенерации.
(Справа) При МРТ на Т2-ВИ в аксиальной плоскости у той же пациентки видна увеличенная матка, которая диффузно замещена миоматозными узелками. Границы узелков нечеткие. (Слева) При МРТ с контрастированием на Т1-ВИ FS в корональной плоскости у пациентки 56 лет с диффузным миоматозом матки отмечается отсутствие четких границ между миоматозными узлами и неоднородная их структура; в некоторых узлах имеются признаки гиалиновой дегенерации.
(Справа) При КТ с контрастным усилением в аксиальной плоскости у пациентки со значительным увеличением матки в ней выявлены множественные миоматозные узлы с нечеткими границами; в некоторых узлах имеются признаки миксоидной дегенерации. На операции удаления матки диагноз миоматоза подтвердился. (Слева) При МРТ на Т2-ВИ FSE в корональной плоскости видна увеличенная матка с темными полями, соответствующими миоматозным узлам. Гиперинтенсивные участки на их фоне соответствуют очагам дегенерации. При исследовании операционного материала диагноз диффузного миоматоза подтвердился.
(Справа) При МРТ на Т2-ВИ FSE в сагиттальной плоскости у той же пациентки четче видны границы матки, замещенной миомой.
4. КТ при диффузном миоматозе:
• КТ с контрастным усилением:
о Множественные миоматозные узлы, вызывающие диффузное увеличение матки
5. МРТ при диффузном миоматозе:
• Т1-ВИ:
о Узелки дают такой же по интенсивности сигнал, как мышцы
• Т2-ВИ:
о Узелки имеют нечеткие границы и дают сигнал промежуточной плотности
• Т1-ВИ с контрастированием:
о Выраженное диффузное усиление сигнала от узелков
в) Дифференциальная диагностика диффузного миоматоза:
1. Диссеминированный миоматоз брюшины:
• Множественные гладкомышечные узелки, поражающие матку и распространяющиеся по брюшной полости
2. Интравенозный миоматоз:
• Увеличение матки миоматозной тканью, которая распространяется также на внематочные вены, нижнюю полую вену и сердце
3. Саркома матки:
• Более агрессивная опухоль с неоднородной структурой, к моменту диагностирования которой могут иметься метастазы
1. Макроскопические изменения и исследование операционного материала:
• Множество миоматозных узелков, не поддающихся подсчету, которые, в отличие от миом, не имеют четких границ
2. Микроскопические изменения:
• Узелки имеют однородную структуру и состоят из веретеновидных гладкомышечных клеток
(Слева) При КТ с контрастным усилением в аксиальной плоскости у пациентки 22 лет видно крупное мягкотканное образование с нечеткими границами, заполняющее брюшную полость. На операции диагноз диффузного миоматоза матки подтвердился.
(Справа) При МРТ с контрастированием на Т1-ВИ FS в аксиальной плоскости видна увеличенная матка, замещенная миоматозными узлами, накапливающими контрастное вещество и содержащими очаги дегенерации. Во время операции диагноз диффузного миоматоза подтвердился. (Слева) МРТ с контрастированием, Т1-ВИ FS в корональной плоскости у той же пациентки, демонстрирующее степень увеличения миоматозной матки. Границы между узлами, замещающими матку, нечеткие.
(Справа) При МРТ с контрастированием на Т1-ВИ FS в корональной плоскости у пациентки, которая обратилась по поводу объемного образования в животе, выявлена увеличенная матка, замещенная мягкотканной структурой, диффузно накапливающей контрастное вещество. Соответствие образования пролиферирующей гладкомышечной ткани подтвердило диагноз диффузного миоматоза. (Слева) При МРТ с контрастированием на Т1-ВИ FS в аксиальной плоскости у той же пациентки в матке видны участки дегенерации.
(Справа) При МРТ на Т2-ВИ FS в аксиальной плоскости видна увеличенная дольчатая матка, замещенная мягкотканными образованиями, дающими изоинтенсивный сигнал. Исследование операционного материала подтвердило поражение матки доброкачественными миоматозными узлами.
1. Клиническая картина:
• Наиболее частые субъективные и объективные симптомы: о Меноррагия и/или дисменорея
о Боль или чувство распирания в животе
о Бесплодие
2. Демографические особенности:
• Возраст:
о Обычно наблюдается у женщин молодого возраста
4. Лечение диффузного миоматоза:
• Из-за диффузного поражения матки методом выбора является гистерэктомия
• В качестве альтернативы для облегчения симптомов и уменьшения размеров матки можно прибегнуть к ЭМА
• Женщинам молодого возраста, желающим сохранить функцию матки и фертильность, можно предложить консервативное лечение:
о Обширная миомэктомия с оставлением достаточного количества миометрия для реконструкции матки
а) Определения:
• Бессимптомная внематочная доброкачественная миома
1. Общие сведения:
• Наиболее надежные диагностические признаки:
о Случайное выявление множественных узелков с четко очерченными границами в легких у пациентки, не предъявляющей каких-либо жалоб, характерных для поражения других органов
• Локализация:
о Легкие являются органом наиболее частого метастазирования миомы матки
о Метастазирование миомы наблюдается также в лимфатические узлы, брюшину и забрюшинное пространство
• Размеры:
о Диаметр узлов варьирует от нескольких миллиметров до нескольких сантиметров
• Морфология:
о Множественные узелки с четкими границами в легких
о Менее частые проявления:
- Милиарные узелки
- Объемное образование в легком с большой кистозной полостью
- Гигантская киста в легком в сочетании с множественными узелками
о Возможно сочетание с пневмотораксом
о Отсутствие очагов обызвествления, плеврального выпота или лимфаденопатии в средостении о Равномерное слабое накопление контрастного вещества
2. МРТ при доброкачественной метастазирующей миоме:
• Интенсивность сигнала от метастазов идентична интенсивности сигнала от миомы матки

(Слева) Рентгенограмма грудной клетки в заднепередней проекции пациентки 52 лет, которая 15 лет назад подверглась гистерэктомии по поводу миомы матки: множественные узелки различных размеров в обоих легких.
(Справа) При КТ с контрастным усилением в аксиальной плоскости (легочное окно) у той же пациентки в обоих легких видны множественные солидные узелки различных размеров с четкими границами.
в) Дифференциальная диагностика доброкачественной метастазирующей миомы:
1. Метастатическая лейомиосаркома:
• Первичная опухоль: лейомиосаркома матки
• Метастазы с признаками клеточной атипии и увеличением количества фигур митоза, напоминающие первичную опухоль
2. Другие причины появления узелков в легких:
• Метастазы из других первичных очагов
• Инфекционные и воспалительные заболевания
• Системные заболевания соединительной ткани
1. Общие сведения:
• Этиология:
о Гематогенные метастазы доброкачественной миомы матки
о Обычно наблюдается у женщин, перенесших гистерэктомию по поводу миомы матки:
- Распространение опухоли по венам таза
- Опухоль распространяется на вены в результате хирургической травмы во время гистерэктомии
о Метастатические узлы появляются спустя 3 мес. - 20 лет после гистерэктомии
• Сопутствующая патология:
о Диффузный миоматоз брюшины
о Интравенозный миоматоз
о Диффузный миоматоз матки
2. Макроскопические изменения и исследование операционного материала:
• Солидные беловато-желтые гомогенные узелки
• Крупные узлы с четкими границами, не имеющие капсулы
• В некоторых узлах имеются полости и перегородки
3. Микроскопические изменения:
• Пролиферация гладкомышечных клеток и выраженное в той или иной степени отложение коллагена
• Высокая степень дифференцировки и другие признаки, указывающие на доброкачественную природу узла
• Отсутствие анаплазии и прорастания в сосуды
• Редкие фигуры митоза
• Иммуногистохимическое исследование: положительная окраска на десмин и мышечно-специфический актин
• Наличие эстрогеновых и прогестероновых рецепторов

(Слева) При КТ с контрастным усилением в аксиальной плоскости у той же пациентки в обоих легких видны многочисленные солидные узелки с четкими границами. Узелки имеют однородную структуру, по рентгеновской плотности соответствуют мягким тканям и слабо накапливают контрастное вещество.
(Справа) При КТ с контрастным усилением в аксиальной плоскости у той же пациентки видны множественные мягкотканные объемные образования в малом тазу. При биопсии узелков, расположенных в малом тазу и в легких, оказалось, что они состоят из гладкомышечных клеток без признаков атипии и соответствуют по строению миоме матки.
1. Клиническая картина:
• Наиболее частые субъективные и объективные симптомы:
о Обычно протекает бессимптомно
• Другие симптомы:
о Кашель, боль в груди, одышка
о Отсутствие корреляции между степенью распространения метастазов и легочными симптомами
о Боль в животе при поражении брюшины и забрюшинного пространства
2. Демографические особенности:
• Возраст:
о Возраст пациенток колеблется в широких пределах: болеют женщины как в пре-, так и в постменопаузе
• Эпидемиология:
о Встречается редко, в литературе описано ~200 случаев
4. Лечение доброкачественной метастазирующей миомы:
• Стандартное лечение не разработано
• Терапия показана не всегда; в некоторых случаях возможна регрессия опухоли и без терапии (например, после наступления менопаузы)
• Выявление эстрогеновых и прогестероновых рецепторов в опухоли позволяет подобрать более эффективную терапию
• Гормональная терапия: аналоги прогестерона или рилизинг-фактора лютеинизирующего гормона
• Гистерэктомия и овариэктомия
Миома матки на МРТ - что покажет
Миома становится частой находкой на МРТ снимках органов малого таза с контрастированием или без. Ее первичная диагностика обычно происходит в ходе УЗИ. МРТ при подозрении на миому используется как дополнительный уточняющий метод обследования, когда есть подозрения на озлокачествеления образования. Миомы в области матки составляют особую угрозу в ходе процесса вынашивания ребенка.
Миома становится частой находкой на МРТ снимках органов малого таза с контрастированием или без. Миома матки - доброкачественная опухоль, развивающаяся из гладкомышечных клеток миометрия. Она относится к самым распространенным заболеваниям у женщин репродуктивного возраста, составляя, по данным различных медицинских исследований, от 10 до 30%. Миомы матки характеризуются широким спектром клинических проявлений - от маточных кровотечений до бесплодия. В то же время многие миомные образования могут остаться недиагностированными, так как могут не вызывать клинических проявлений. Злокачественная трансформация миом происходит крайне редко, менее чем в 0,1 % наблюдений, преимущественно у женщин старше 50 лет. В последнее время отмечается рост частоты обнаружения миомы у женщин молодого возраста (до 20-25 лет), что связано, как с наследственным характером заболевания (когда у матери, близких родственниц также имелось данное заболевание), так и с внедрением новых, более совершенных методов диагностики и повышением их доступности.
Диагностика миомы матки
Первичная диагностика миом обычно происходит в ходе УЗИ матки. МРТ при подозрении на миому используется как дополнительный уточняющий метод обследования, когда есть подозрения на озлокачествеления образования или нужно провести дифференцировку лейомиомы с аденомиозом или уточнение структуры миоматозного узла. Магнитно-резонансная томография малого таза является ключевым методом, позволяющим детализировать и оценивать все компоненты патологического образования, уточнять его взаимосвязь с соседними органами и тканями. Данные компьютерной томографии в диагностике миомы менее информативны и уступают магнитно-резонансной томографии по чувствительности.
Миома матки при беременности
Миомы в области матки составляют особую угрозу в ходе процесса вынашивания ребенка. Так, лейомиома может получить быстрый рост во время беременность в связи с изменением гормонально фона (повышение уровня эстрогенов в организме женщины). Миома шейки матки иногда приводит к нарушению кровоснабжения стенки. Миома в нижнем маточном сегменте повышает риск кровотечения и сложности выполнения кесаревого сечения. Миомная опухоль, расположенная за плацентой, может спровоцировать недостаточность и отслойку плаценты. Миомные образования в ходе беременности обычно выявляют с помощью УЗИ. МРТ здесь играет уточняющую роль, когда нужно дифференцировать миому с объемными образованиями яичников и уточнить источник болевого синдрома при геморрагической дегенерации узла.
Признаки миомы на МРТ
Диагностировать миому на МРТ не составляет особого труда. Врачи на томографических изображениях видят её в виде четко очерченного образования округлой формы. На магнитно-резонансных снимка определяется псевдокапсула миомы в виде тонкого ободка, гиперинтенсивного по Т2. По МР картине специалист может говорить о характере миомы, является ли она кистозной или миксоидной, лейомиомой или липолейомиомой. В зависимости от неоднородности миомы будут видны сопутствующие процессы - кровоизлияние, некроз, обызвествление.
Также с помощью МРТ органов малого таза у женщин проводят дифференциальную диагностику миомы от полипов. Полипы эндометрия - это доброкачественные маленькие образования, исходящие из базального слоя эндометрия. Признаками полипов на МРТ будут:
Как делают МРТ малого таза при миоме матки
Диагностика миомы матки или шейки матки требует МРТ малого таза на томографе мощностью не мен ее 1,5 Тесла. Контрастирование в этой ситуации не носит обязательный характер. Обязательного направления от врача это сканирование не требует. Нужно просто записаться на МРТ в удобном диагностическом центре и уточнить правила подготовки к МРТ малого таза. Такая форма томографии для получения качественных снимков требует определенной подготовки от пациентки. При записи на диагностику Вас обязательно проконсультируют о том, как снизить газообразование в кишечнике с помощью простой диеты, которой нужно придерживаться несколько дней перед процедурой. Менструальный цикл также может повлиять на выбор правильного времени для сканирования. Обычно лучший период для процедуры - это 10 - 15 день цикла, и следует помнить, что МРТ малого таза не проводят женщинам в период менструации.
Чтобы сделать качественную МРТ, пациенту нужно обратить внимание на несколько аспектов при записи на МРТ:
Спросить какой установлен шаг сканирования. На открытом аппарате он не должен быть более 3,5 мм. На закрытом томографе он не должен превышать 3,5 мм. Шаг исследования всегда можно проверить на МРТ снимках или в заключении врача в графе описания параметров обследования. Если он не совпадает с заявленным, требуйте повторной бесплатной диагностики.
Уточнить опыт и квалификацию врача-рентгенолога, который будет описывать Ваши снимки. От его знаний во многом зависит точность интерпретации полученных изображений. Помните, МРТ аппарат никогда не ошибается, ошибаются люди, которые работают с его данными.
Всегда требуйте запись МРТ исследования не на пленку, а на электронный носитель (диск или флешку). Порой для пациента изображения на рентгенологической пленке кажутся более наглядными, но их информационная ценность в разы ниже, чем у электронных сканов, которые врач может модифицировать любим образом при валидации и постановке диагноза.
Если обследование делают с целью выявления опухолевого образования, его нужно проводить с контрастом, поскольку на нативных изображениях не всегда видны мелкие образования, и не возможно судить в полной мере о злокачественности или доброкачественности опухоли.
Читайте также:
- Спинальная амиотрофия Верднига — Гоффмана. Формы амиотрофии Верднига-Гоффмана
- Показания для дистальной панкреатэктомии при раке поджелудочной железы
- Инфаркт миокарда и неполная блокада пучков Гиса. Нарушение атриовентрикулярной проводимости и инфаркт миокарда
- Лечение подкожных разрывов сухожилий сгибателей кисти
- МРТ-артрограмма при повреждении суставов стопы
