Почечно-клеточная аденокарцинома (гипернефрома) - клиника, стадии
Добавил пользователь Евгений Кузнецов Обновлено: 08.11.2025
Почечно-клеточная аденокарцинома (гипернефрома) - клиника, стадии
Клетки, образующиеся при этом типе опухоли, происходят из эпителия самих почечных канальцев. Поэтому, вместо термина «гипернефрома», для этой опухоли сейчас предпочитают использовать название «почечно-клеточная аденокарцинома». В 1986 г была разработана новая классификация этих опухолей, основанная на гистологических и морфологических признаках.
Впоследствии в эту классификацию были добавлены молекулярно-биологические характеристики опухолей. Наиболее распространенным типом опухолей является светлоклеточная карцинома, которая составляет три четверти от всех опухолей почек. Для нее характерна делеция или инактивация гена VHL. Остальные опухоли, в основном, представлены хромофильными (или папиллярными) карциномами (12% от всех опухолей).
Обычно опухоль распространяется за счет локального роста, а также с участием лимфатической и кровеносной системы. Поэтому, примерно в трети всех случаев заболевания применение хирургического метода нецелесообразно и технически невыполнимо.
В более, чем 20% случаев опухоль затрагивает близко расположенные ткани, и в 8% наблюдаются метастазы в регионарные лимфатические узлы. Часто наблюдается поражение почечной вены, за счет распространения опухоли на нижнюю полую вену, хотя, в большинстве случаев, при предоперационном обследовании это может остаться незамеченным.
Вероятность диссеминации опухоли зависит от степени дифференцировки ее клеток. У больных с начальной стадией карциномы вероятность образования метастазов очень мала. Современная система оценки состояния опухоли, TNM, в основном, основана на данных, полученных при проведении операции. Прогноз течения заболевания тесно связан с его стадией. По данным обследований в 2-3% случаев опухоль поражает обе почки.

Клиническая картина гипернефромы
Развитие аденокарциномы почки сопровождается разнообразной симптоматикой. Примерно у половины больных наблюдается гематоурия, часто незначительная, но иногда довольно сильная и способная привести к анемии. К числу классических симптомов относятся боли в области поясницы, а также наличие пальпируемых уплотнений, часто достигающих значительного размера. Больные жалуются на общую слабость и потерю веса.
Во многих случаях у них проявляются симптомы, свидетельствующие о распространении метастазов, например хрупкость костей при метастазах в кости, одышка и кашель при метастазах в область средостения, ворот легких или в легкие, и даже приступы эпилепсии при метастазах в головной мозг. Примерно у четверти больных раком почки при обследовании обнаруживаются метастазы. Хорошо известно, что опухоли почечных клеток служат причиной подъема температуры, причем развитию лихорадочного состояния часто не сопутствуют другие симптомы.
Примерно у 5% больных развивается полицитемия и гиперкальциемия. В 2% случаев у мужчин наблюдается обычно левостороннее варикоцеле, вызванное окклюзией вены яичка.При исследовании функциональной активности печени даже у больных с отсутствием метастазов могут быть получены данные, свидетельствующие о ее нарушении. Однако они не говорят о существовании опухоли.

Результаты поперечного ультразвукового сканирования; видна большая опухоль почки, расположенная ниже печени.
Даже при подозрениях на карциному почечных клеток постановка окончательного диагноза может оказаться затруднительной. При проведении внутривенной урографии (IVU), УЗИ или КТ обычно в области коркового вещества обнаруживается объемная масса, часто проникающая в область почечных чашек.
Обычно наблюдается кальцификация почки, которая проявляется в форме характерного ободка. Дополнительная информация может быть получена при использовании метода МРТ. Перед операцией необходимо провести рентгенографию органов грудной клетки, которая позволяет обнаружить метастазы. Желательно также выполнить КТ-обследование, поскольку при стандартной процедуре рентенографии можно обнаружить лишь крупные метастазы, диаметр которых составляет по меньшей мере 2 см.
При изотопном сканировании костей, особенно у больных с пальпируемыми очагами первичной опухоли, также можно выявить существование метастазов. Ценными оказываются результаты исследования функциональной активности почек и печени. Перед операцией также целесообразно провести изотопную ренографию с тем, чтобы иметь возможность оценить функциональную полноценность второй почки.

а - Результаты внутривенной урографии при карциноме почки. В левой почке видна опухоль (указана стрелкой), деформирующая почечные чашки.
б - Артериограмма почки (поздняя артериальная фаза). Видна область гиперваскуляризации, соответствующая большой опухоли, занимающей две трети почки.
Редактор: Искандер Милевски. Дата обновления публикации: 18.3.2021
Стадии рака мочевого пузыря
Более 90% опухолей мочевого пузыря образуются из клеток переходного эпителия. В западных странах переходно-клеточный рак мочевого пузыря встречается в пять раз чаще, чем плоскоклеточный рак. В то же время в Египте, где распространен шистосомоз, преобладающим типом опухоли мочевого пузыря является плоскоклеточный рак.
Опухоли других гистологических типов, такие как аденокарцинома, лейомиосаркома и рабдомиосаркома, относятся к числу редких. Переходно-клеточные опухоли могут быть одиночными или множественными, иногда педункулярного типа, в то время как плоскоклеточные опухоли обычно имеют уплощенную форму и часто некротизированы. Множественные папилломатозные опухоли, как правило, обладают невысокой степенью злокачественности, однако считаются предраковыми.
К счастью, у большинства больных раком мочевого пузыря (70%) наблюдается поверхностное распространение опухоли.
Оценка степени злокачественности переходно-клеточного рака представляется особенно важной. Обычно более благоприятный прогноз характерен для хорошо дифференцированных опухолей, причем он не зависит от стадии роста. Выживаемость больных непосредственно определяется глубиной инфильтрации опухолью стенки мочевого пузыря (стадия Р).
Система TNM в краткой и удобной форме описывает стадии развития опухоли, в основном опираясь на степень ее инвазивности. Наиболее важное различие между опухолью, находящейся в стадии Т2 и Т3, заключается в том, что свыше 50% больных с опухолью Т2 живут по меньшей мере в течение трех лет с момента постановки диагноза, в то время как выживаемость больных с опухолью Т3 составляет менее 25%.
На стадии Т3 опухолевая инвазия распространяется на паравезикальную клетчатку. Система оценки стадий заболевания, разработанная Международным противораковым союзом (ШСС), приближается к принятой в США. Однако эта система в меньшей степени использует клинические показатели. Поэтому широко распространена система показателей TNM и Р, в которую включены важнейшие прогностические факторы.

На рисунке представлены стадии развития рака мочевого пузыря по критерию Т.
Tis, карцинома in situ;
Та, инвазивная папиллярная карцинома;
Т1, карцинома, не выходящая за пределы lamina propria;
Т2, поражение поверхностного мышечного слоя;
Т3а, поражение глубинного мышечного слоя;
Т3в, поражение всей пузырной стенки;
Т4а, инвазивное поражение соседних органов (предстательная железа, влагалище);
Т4в, поражение прямой кишки; прикрепление опухоли к стенке таза
Наряду с показателями TNM, на выбор метода лечения влияет состояние опухоли, ее гистологическая характеристика, величина и локализация, а также количество первичных очагов. Множественные опухоли мочевого пузыря встречаются так часто, что весь переходный эпителий следует рассматривать как область повышенного риска.
При обширном распространении опухоли может потребоваться проведение цистэктомии, несмотря на то, что степень локальной инвазии каждого отдельного очага может быть не очень велика. Основные места метастазирования опухоли мочевого пузыря включают лимфатические узлы, легкие, печень и кости.
У больных с аномальным набором хромосом прогноз обычно бывает неблагоприятный. Выявлена тесная корреляция между содержанием ДНК в клеточном ядре (плоидностью), инвазивностью опухоли (ее патогенностью), степенью инвазивного процесса и чувствительностью опухоли к определенной процедуре лечения. Опухоли, экспрессирующие А-, В- или Н-антигены крови, отличаются более благоприятным прогнозом, хотя причина этого пока не выяснена.
Развитие рака мочевого пузыря из здоровой или предраковой эпителиальной ткани может быть связано с присутствием трансформирующих онкогенов, особенно группы ras. Эти онкогены расположены на 1, 11 и 12 хромосомах человека. Возможно, что уровень экспрессии онкогена ras связан со степенью злокачественности опухоли.
Почечно-клеточный рак
Почечно-клеточный рак – это злокачественная опухоль, происходящая из эпителия, выстилающего почечные канальцы. Клиника включает общие симптомы (недомогание, похудание, субфебрилитет), местные проявления (макрогематурию, боли, пальпируемое образование) и признаки метастазирования. Диагностика базируется на данных экскреторной рентгенографии, селективной почечной ангиографии, УЗИ, КТ и МРТ, биопсию почки. Лечение определяется стадией неоплазии, может применяться нефрэктомия, лучевая терапия, химиотерапия, иммунотерапия и т. д.

Общие сведения
Почечно-клеточный рак составляет 3% случаев от всех урологических новообразований. По распространенности рак почки стоит на третьем месте после рака простаты и мочевого пузыря, а по количеству летальных исходов занимает среди них первое место. В последние годы наметилась тенденция к умеренному росту заболевания. Мужчины страдают в 2-3 раза чаще, чем женщины. Раннее выявление и лечение рака почки является крайне актуальной проблемой современной урологии. На момент диагностики у 25-30% пациентов уже имеются отдаленные метастазы, еще у четверти определяется местно-распространенный процесс. Даже после радикальной нефрэктомии в ближайшие годы метастазы возникают в 40-50% наблюдений.
Причины
Несмотря на распространенность онкопатологии почек, о причинах почечно-клеточного рака можно говорить только предположительно. Одним из наиболее значимых этиологических факторов служит курение, вдвое повышающее вероятность развития патологии: с 30% у некурящих до 60% у курильщиков. Считается, что образование опухоли может быть связано с некоторыми профессиональными вредностями – контактом с нитрозосоединениями, асбестом, ядохимикатами, производными нефти, циклическими углеводородами, солями тяжелых металлов, ионизирующей радиацией. Прослеживается взаимосвязь между почечно-клеточным раком и злоупотреблением фенацетинсодержащими анальгетиками.
Многие исследования подтверждают роль ожирения и артериальной гипертензии в развитии рака почки. К факторам риска относят нефросклероз и приводящие к нему заболевания (нефролитиаз, сахарный диабет, хронический пиелонефрит, туберкулез, хроническая почечная недостаточность и др.). Принято считать, что неоплазия чаще развивается в аномально развитых почках – подковообразной, дистопированной, поликистозной и. д. Возникновение новообразования может быть генетически обусловленным транслокацией 3 и 11 хромосом.
Классификация
В гистологической классификации различают несколько разновидностей рака в зависимости от встречающихся клеточных типов: светлоклеточный, железистый (аденокарциному), зернисто-клеточный, саркомоподобный (полиморфно-клеточный и веретеноклеточный), смешанно-клеточный. Макроскопическими признаками неоплазии служат сферическая форма опухоли, расположение в корковом слое почке, отсутствие истинной капсулы, периферический рост, многочисленные кровоизлияния, некрозы, кальцификаты, фиброзные участки.
Клинически важное значение имеет стадирование почечно-клеточного рака в соответствии с TNM-классификацией, где буквой Т обозначают первичную опухоль (tumor), N - регионарные лимфоузлы (nodulus), М - отдаленные метастазы (methastases):
- Т1 - новообразование наибольшим размером до 7 см, ограниченное почкой и почечной капсулой
- Т2 - новообразование свыше 7 см, ограниченное почкой и почечной капсулой
- Т3 - новообразование любого размера, прорастающее в околопочечную клетчатку либо распространяющееся в почечную или нижнюю полую вену
- Т4 – новообразование, прорастающее в околопочечную фасцию или соседние органы.
В I-II стадиях (T1-T2) поражение лимфоузлов и отдаленные метастазы отсутствуют (N0 М0). При III стадии раковые клетки выявляются в близлежащем лимфоузле. IV стадия почечно-клеточного рака может характеризоваться любым значением Т при наличии пораженных лимфоузлов либо отдаленных метастазов (N1 или М1). TNM-классификация позволяет определиться с лечебной тактикой и прогнозом.
Инвазивное новообразование может сдавливать или прорастать в желудок, поджелудочную железу, печень, кишечник, селезенку. Почечно-клеточный рак может метастазировать по гематогенному механизму (в другую почку, надпочечники, печень, легкие, кости, череп, головной мозг) и лимфогенному пути (в аортокавальные, парааортальные, паракавальные лимфоузлы, средостение). Характерно распространение в виде опухолевого тромба по венозным магистралям вплоть до правого предсердия.
Симптомы почечно-клеточного рака
Клинические признаки характеризуются классической триадой: гематурией, болью и пальпируемым новообразованием. Гематурия может быть микро- и макроскопической. Чаще на фоне удовлетворительного в целом состояния развивается внезапная тотальная, безболезненная гематурия, которая, как правило, отмечается однократно или продолжается несколько суток, а затем неожиданно прекращается. Если гематурия сопровождается отхождением бесформенных или червеобразных кровяных сгустков, может возникнуть обтурация мочеточника с развитием болевого приступа, напоминающего почечную колику. Повторные эпизоды гематурии могут наблюдаться через несколько суток или месяцев.
Характер болевых ощущений при почечно-клеточном раке зависит от происходящих изменений. Острые приступообразные боли возникают вследствие окклюзии мочеточника сгустком крови, кровоизлияния в ткань опухоли или инфаркта почки. Постоянные ноющие тупые боли могут вызываться сдавлением лоханки опухолью, прорастанием почечной капсулы, паранефрия и фасции Героты, прилежащих мышц и органов, вторичным нефроптозом. Боль может иррадиировать в половые органы и бедро, имитируя невралгию седалищного нерва.
Пальпируемая опухоль может определяться со стороны живота или поясницы в виде плотного или эластичного бугристого либо гладкого образования. Данный признак выявляется на поздних стадиях рака почки. Довольно рано появляются экстраренальные симптомы – артериальная гипертензия, лихорадка, интоксикация, похудение, анорексия, миалгия, артралгия, диспепсия и др. Из местных симптомов у мужчин часто встречается варикоцеле, вызванное сдавлением или тромбозом НПВ, яичковой или почечной вены.
Диагностика
Рак почки диагностируется по результатам жалоб, объективного осмотра, лабораторного, эндоскопического, ультразвукового, рентгеновского, томографического, радиоизотопного обследования, морфологического исследования биоптата тканей опухоли и метастатических лимфоузлов. В крови отмечается эритроцитоз, анемия, ускорение СОЭ, гиперурикемия, гиперкальциемия, синдром Штауффера. Цистоскопия, проведенная в момент гематурии, позволяет выяснить источник кровотечения и сторону локализации опухоли.
УЗИ почек является первым инструментальным обследованием при подозрении на почечно-клеточный рак. Характерными эхографическими признаками служат увеличение размеров почки, неровность контуров, изменение эхоструктуры, деформация почечных синусов и чашечно-лоханочных комплексов. УЗДГ сосудов почек позволяет определить характер васкуляризации опухоли и вовлеченность сосудов.
Экскреторная урография позволяет судить лишь о косвенных признаках рака почки, однако дает ценную информацию о сопутствующих изменениях (аномалиях, камнях почки, гидронефрозе, состоянии противоположной почки). Почечная ангиография проводится с целью визуализации опухолевых тромбов. МРТ и КТ почек используются как альтернатива экскреторной урографии и почечной ангиографии. С помощью томографии удается получить точное представление о стадии неоплазии и определиться с лечебной тактикой. Радиоизотопная нефросцинтиграфия и позитронно-эмиссионная томография помогают оценить функционирование здоровой и пораженной почки.
Дифференциальная диагностика проводится с нефроптозом, гидронефрозом, поликистозом почек, пионефрозом, абсцессом и т. д. Решающее значение в сомнительных ситуациях принадлежит биопсии почки и морфологическому исследованию биоптата. Выявление метастазов в отдаленных органах возможно с помощью рентгенографии грудной клетки, костей, УЗИ брюшной полости.
Лечение почечно-клеточного рака
Единственным радикальным методом лечения патологии является нефрэктомия. Простая нефрэктомия включает удаление почки и паранефральной клетчатки; радикальная нефрэктомия подразумевает дополнительное удаление надпочечника и фасций, паракавальную и парааортальную лимфаденэктомию; расширенная нефрэктомия – резекцию других пораженных органов. Нефрэктомия при почечно-клеточном раке выполняется трансперитонеальным, торако-абдоминальным или лапароскопическим доступом.
При метастазировании новообразования в кости скелета может проводиться ампутация, экзартикуляция конечности, резекция ребер и т. д. Доступные иссечению метастазы в печени, легких, лимфоузлах также подлежат хирургическому удалению. В дополнение к радикальной нефрэктомии, а также при неоперабельном почечно-клеточном раке и его рецидивах целесообразно проведение лучевой терапии, гормонотерапии, химиотерапии, иммунохимиотерапии, общей гипертермии.
Прогноз и профилактика
Важным критерием отдаленного прогноза служит распространенность почечно-клеточного рака. Современные данные свидетельствуют, что при радикальном удалении рака почки I стадии 5-летняя выживаемость близка к 70-80%, II стадии – к 50-70%, III стадии — к 50%, IV стадии — менее 10%. Диспансерное наблюдение и контрольное обследование пациентов проводится врачом-нефрологом. Профилактика предусматривает исключение факторов риска, повышающих вероятность образования неоплазии.
Аденокарцинома почки
Аденокарцинома почки – это почечно-клеточный рак, исходящий из эпителия канальцев почки. Проявлениями служат боль в пояснице, гематурия, увеличение размеров почки, анемия, кахексия. Возможно метастазирование опухоли в легкие, паракавальные и парааортальные лимфоузлы, кости, печень, надпочечники, противоположную почку. Патология диагностируется в ходе УЗИ почек, цистоскопии, экскреторной урографии, уретеропиелографии, КТ почек. Морфологическая верификация диагноза проводится путем пункционной биопсии почки и гистологического исследования биоптата. Выявление аденокарциномы почки является показанием к нефрэктомии с последующей лучевой терапией.
МКБ-10

Аденокарцинома почки составляет около 2,5% от числа неоплазий различных локализаций. В современной урологии аденокарцинома является наиболее распространенным гистотипом рака почки у взрослых. Среди всех опухолей почки на долю аденокарциномы приходится 90% случаев. Заболевание обычно развивается в возрасте 40-70 лет; с одинаковой частотой поражает левую и правую почку; в 2 раза чаще диагностируется у мужчин.
Аднокарцинома почки имеет полиэтиологическую и до конца неясную природу. Определенную роль в развитии опухоли играют заболевания почки (гломерулонефрит, пиелонефрит), травмы; влияние на почечную ткань химических агентов (нитрозоаминов, углеводородов, ароматических аминов), лучевых воздействий, интоксикаций (курения). Неоплазия нередко развивается из доброкачественной аденомы почки, поэтому все выявленные новообразования почки подлежат удалению и гистологическому исследованию. Отмечена корреляция аденокарциномы с ожирением и гипертонией. Реже причинами развития опухоли служат дизонтогенетические нарушения, наследственные формы рака почки.
Патанатомия
Макроскопически аденокарцинома почки выглядит в виде узла мягко-эластической консистенции. При разрезе видны перемежающиеся участки кровоизлияний и некроза, придающие опухоли пестрый вид. Рост опухоли может быть разнонаправленным – в сторону почечной капсулы или чашечно-лоханочного комплекса; довольно быстро аденокарцинома прорастает почечные вены, нижнюю полую вену, прилежащие ткани; метастазирует в лимфоузлы, легкие, кости, печень, головной мозг. Микроскопическое строение представлено тяжами и скоплениями полигональных клеток, имеющих светлую протоплазму, содержащую гликоген и липиды; строма опухоли слабо выражена.
Аденокарцинома почки является разновидностью почечно-клеточного рака (гипернефроидного рака) и может иметь различную степень дифференцировки. Международная классификация по системе TNM выделяет следующие стадии патологии:
- Т1 — распространение опухоли ограничено почечной капсулой
- Т2 — прорастание опухолью фиброзной капсулы почки
- Т3 — в опухолевый процесс вовлекается сосудистая ножка почки или паранефральная жировая клетчатка
- Т4 — опухоль прорастает в ближайшие органы;
- Nx — дооперационная оценка регионарных лимфоузлов невозможна
- N1 — регионарное метастазирование определяется с помощью рентгенологических или радиоизотопных методов
- M0 — отсутствие отдаленных метастазов
- M1 — определяется одиночный метастаз в отдаленных органах
- М2 — определяется множественное отдаленное метастазирование.
Отдаленные метастазы выявляются у 50% пациентов, а прорастание опухолью почечной вены – у 15%. Чаще отдаленные метастазы располагаются в легких (54%), регионарных паракавальных и парааортальных лимфоузлах (46%), костном скелете (32%), печени (36%), противоположной почке (20%), надпочечниках (16%). Метастазы могут проявляться клинически еще до обнаружения первичного очага или возникать спустя время после нефрэктомии по поводу рака почки. В клиническом течении аденокарциномы почки различают скрытый (латентный) период, а также периоды местных и общих проявлений.
Симптомы аденокарциномы почки
В латентном периоде клинические проявления отсутствуют. Развитие местной симптоматики сопровождается появлением макрогематурии и болей, увеличением почки. Гематурия отмечается у 70-80% больных аденокарциномой почки. Выделение крови с мочой возникает неожиданно, чаще в виде нитевидных сгустков длиной 6-7 см. Гематурия обычно носит эпизодический характер, прекращаясь и возобновляясь вновь. В случае интенсивного почечного кровотечения (профузной гематурии) может произойти тромбоз почечных вен, блокада (тампонада) мочевого пузыря и острая задержка мочи.
Болевой синдром встречается в 60-70% наблюдений. Боль носит тупой, ноющий характер, локализуется в пояснице, иррадиирует в пах и бедро; на высоте гематурии может усиливаться до почечной колики. Увеличение почки отмечается в 75% случаев. В поздних стадиях определяется пальпируемая через брюшную стенку опухоль. При прорастании аденокарциномой венозных сосудов у женщин наблюдается варикозное расширение вен половых губ, у мужчин – варикоцеле.
В периоде общих проявлений прогрессирует потеря веса, слабость, гипертензия; отмечается беспричинное стойкое повышение температуры тела, анемия, кахексия. В далеко зашедших стадиях развивается паранеопластический амилоидоз и нефротический синдром (генерализованные отеки, массивная протеинурия, гипопротеинемия, гипоальбуминемия и т. д.).
В диагностике аденокарциномы почки применяются лабораторные и инструментальные методики. В общем анализе мочи выявляется выраженная гематурия, умеренная протеинурия; в крови – нормохромная анемия, увеличение СОЭ. Ведущая роль при выявлении аденокарциномы почки отводится ультразвуковой, эндоскопической и рентгеновской диагностике. Информативным методом для подтверждения аденокарциномы служит УЗИ почек, которое кроме визуализации опухоли позволяет прицельно произвести пункционную биопсию почки с забором опухолевой ткани для морфологического исследования биоптата.
К выполнению цистоскопии прибегают в момент гематурии, что позволяет определить мочеточник, из которого выделяется кровь. Проведение экскреторной урографии позволяет рассмотреть неровные контуры и увеличенные размеры почки, выявить деформацию, ампутацию чашечек, отклонение мочеточников, дефекты заполнения лоханок. В некоторых случаях показано выполнение ретроградной уретеропиелографии, почечной ангиографии, нефросцинтиграфии.

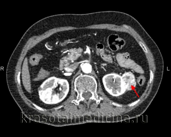
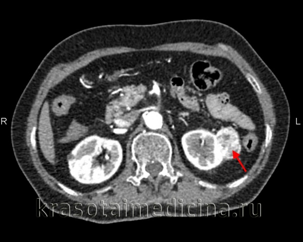
КТ органов брюшной полости и забрюшинного пространства. Аденокарцинома левой почки с типичным накоплением и вымыванием контраста
Факт отдаленного метастазирования аденокарциномы устанавливают с путем проведения рентгенографии легких, сцинтиграфии скелета, УЗИ печени, надпочечников и забрюшинного пространства. Новообразование дифференцируют от почечнокаменной болезни, аденомы почки, хронического гломерулонефрита, пионефроза, туберкулеза почки, поликистоза.
Лечение аденокарциномы почки
При данной патологии оптимально проведение комбинированного лечения, включающего радикальную операцию на почке и лучевую терапию. В ранних стадиях может быть выполнена частичная нефрэктомия. При распространенном процессе производится тотальная нефрэктомия, удалением паранефральной и забрюшинной клетчатки с регионарными лимфоузлами. Прорастание опухолью нижней полой вены и даже наличие одиночных отдаленных метастазов не препятствуют выполнению нефрэктомии. При одиночных метастазах в легкие вторым этапом выполняется удаление метастатического очага. Комбинация хирургического лечения с лучевым увеличивает выживаемость при аденокарциноме почки.
Тотальное раковое поражение обеих почек может потребовать бинефрэктомии с переводом пациента на гемодиализ. Распространенная форма аденокарциномы почки, характеризующаяся обширным метастазированием и прорастанием опухоли, предполагает симптоматическое и паллиативное лечение с проведением облучения и химиотерапии.
После нефрэктомии пациенты подлежат наблюдению уролога, динамическому проведению рентгенографии легких с целью раннего выявления метастазов. Отдаленный прогноз неблагоприятен: отмечается высокий процент позднего метастазирования опухоли в кости и легкие. После тотальной нефрэктомии 5-летний рубеж выживаемости преодолевают 40–70% больных. Для исключения вероятности развития аденокарциномы почки рекомендуется соблюдение здорового образа жизни, исключение вредных привычек, своевременное лечение заболеваний почек. Необходимо профилактическое проведение УЗИ почек и незамедлительно обращение к врачу-нефрологу (урологу) в случае появления болей в пояснице или крови в моче.
Гипернефрома ( Гипернефроидный рак , Опухоль Гравица , Светлоклеточная аденокарцинома почки )
Гипернефрома – это злокачественная эпителиальная опухоль почки, разновидность почечно-клеточного рака. Проявляется местными и парапластическими (общими) симптомами: макрогематурией, болью в области почки, пальпируемым опухолеподобным образованием, ухудшением общего состояния, слабостью, похуданием и т. д. Для распознавания гипернефромы и дифдиагностики используется экскреторная урография, ретроградная пиелография, почечная ангиография, УЗИ почек, КТ и МРТ, тонкоигольная биопсия почки. Лечение проводится с соблюдением онкологических принципов, включает нефрэктомию с лимфаденэктомией, лучевую и лекарственную химиотерапию.
Гипернефрома (светлоклеточная аденокарцинома, опухоль Гравица, гипернефроидный рак) составляет 2-5% от злокачественных новообразований в целом, а в клинической урологии - до 85% всех случаев рака почки. Гипернефрома относится к опухолям эпителиального происхождения и может развиваться практически из любой структуры нефрона: капсулы клубочка, петли Генле, дистальных и проксимальных канальцев. У мужчин гипернефрома выявляется в 2,5-3 раза чаще, чем среди женщин. В 2/3 случаев встречается у пациентов в возрасте 40–70 лет. TNM-стадии развития гипернефромы аналогичны таковым при почечно-клеточном раке.
Причины гипернефромы
Причины развития неоплазии остаются неизвестными, однако врачи-нефрологи выделяют определенные факторы, влияние которых значительно увеличивает вероятность возникновения рака почки. Известно, что гипернефрома в 2 раза чаще выявляется у лиц мужского пола и курильщиков. Курение считается главным фактором риска возникновения опухолей урологической локализации – рака мочевого пузыря и почек. Между тем, отказ от курения приводит к снижению данного риска на 15% в течение 25 лет. Неблагоприятное влияние на почечный эпителий оказывает воздействие различных химикатов: бензина, асбеста, кадмия, органических растворителей, гербицидов, фенацетинсодержащих лекарственных препаратов и др.
Замечено, что частота выявления гипернефромы коррелирует с такими заболеваниями, как ожирение, артериальная гипертензия, сахарный диабет, а также патологией самих почек (хроническим пиелонефритом, нефролитиазом, туберкулезом, дистопией, поликистозом, нефросклерозом и др.). Более предрасположены к развитию новообразования пациенты с почечной недостаточностью, вынужденные находиться на длительном гемодиализе. Отмечается повышенный риск возникновения гипернефромы у больных с генетической патологией (болезнью Гиппеля-Линдау), отягощенным семейным анамнезом (наследственной папиллярно-клеточной карциномой, гипернефроидным раком).
Патогенез
Гипернефрома представляет мягковатый узел пестрой окраски с псевдокапсулой, при микроскопическом изучении которого обнаруживаются светлые полигональные и полиморфные клетки, содержащие липиды, многочисленные митозы. Опухолевые клетки объединяются в альвеолы и дольки, сливающиеся в тубулярные и сосочковые структуры. Строма выражена слабо, типичны кровоизлияния и некрозы опухоли. В 45% случаев обнаруживается инвазивный рост гипернефромы, прорастание ею лоханки, распространение в виде опухолевых тромбов по венам. Метастазирование неоплазии лимфогенное (в лимфатические узлы) и гематогенное (в легкие, контрлатеральную почку, печень, кости).
Симптомы гипернефромы
От момента возникновения опухоли в почке до развития первых клинических симптомов может пройти несколько лет. Клиника гипернефромы характеризуется классической почечной триадой (гематурией, болью, пальпаторно определяемой опухолью) и внепочечными проявлениями. Первое, что обычно отмечают 2/3 пациентов - это появление в моче примеси крови (гематурия). Как правило, гематурия развивается внезапно и не сопровождается болью; может быть преходящей, носить незначительный, тотальный или профузный характер.
Часто повторяющаяся или интенсивная гематурия приводит к резкой анемизации больного. В некоторых случаях имеет место микрогематурия, которая может быть выявлена только при исследовании мочи. Образование кровяных сгустков может вызывать окклюзию мочеточника и острый приступ почечной колики. Весьма характерным для гипернефромы является появление болей вслед за гематурией, а не перед ней, как при почечнокаменной болезни. Чаще боль бывает постоянной и носит тупой ноющий характер.
Пальпировать измененную почку через переднюю брюшную стенку или поясницу удается только в половине случаев. Сдавление вен (почечной, нижней полой, яичковой) у мужчин может приводить развитию варикоцеле. К парапластическим (общим) проявлениям гипернефромы относится беспричинная лихорадка с ознобами, миалгия, артралгия, слабость, снижение аппетита, похудание, тошнота и рвота.
Выявление и дифференциальная диагностика гипернефромы требует проведения детального урологического обследования, включающего экскреторную урографию, ретроградную пиелографию, почечную ангиографию, УЗИ почек, КТ почек и МРТ, тонкоигольную биопсию почки и морфологический анализ опухоли. Уже во время осмотра пациента могут быть выявлены характерная асимметрия живота, усиление венозного рисунка на передней брюшной стенки в виде «головы медузы», расширение вен семенного канатика, отеки на нижних конечностях.
В клиническом анализе крови обращает снимание повышение СОЭ, анемия, полицетемия; в общем анализе мочи – эритроцитурия. Для исключения источника кровотечения в мочевом пузыре (камней, дивертикула, опухолей) может потребоваться выполнение цистоскопии. На первом этапе УЗИ и УЗДГ сосудов почек позволяют получить информацию о расположении и размерах объемного образования, вероятности инвазии сосудов.
Внутривенная урография обнаруживает деформацию или дефект заполнения чашечно-лоханочной системы, оттеснение мочеточника к позвоночному столбу. При выраженном снижении функции почек и невозможности получения экскреторных урограмм прибегают к выполнению ретроградной пиелографии. Для исследования заинтересованности почечных сосудов опухолевой инвазией проводят почечную ангиографию и флебографию. С помощью КТ или МРТ детализируется размер, степень распространенности гипернефромы, выявляются увеличенные лимфоузлы.
С целью дооперационной морфологической верификации диагноза и стадирования онкопроцесса выполняется биопсия почки или биопсия лимфоузла с определением гистотипа опухолевого образования. Чтобы исключить вероятность метастазов гипернефромы в отдаленных органах проводится остеосцинтиграфия, рентгенография грудной клетки, УЗИ печени.
Лечение гипернефромы
При обнаружении опухоли может быть предпринято хирургическое лечение, рентгеновское облучение или системная химиотерапия. При удовлетворительной функции второй почки и операбельности гипернефромы производится радикальная нефрэктомия, включающая удаление почки с надпочечником, окружающей клетчаткой и лимфоузлами. При I стадии опухолевого процесса (неоплазия диаметром менее 7 см, не выходящая за пределы капсулы), плохом функционировании или отсутствии другой почки может выполняться частичная нефрэктомия.
В случае невозможности радикального вмешательства может быть предпринята артериальная эмболизация, направленная на блокировку кровеносных сосудов почки, питающих опухоль. Рентгеновская или химиотерапия при гипернефроме могут применяться изолированно или в сочетании с хирургическим этапом. Такие методы, как криотерапия, радиочастотная аблация, HIFU-терапия высокоэнергетическим фокусированным ультразвуком имеют экспериментальное значение.
В целом отдаленные результаты при гипернефроме такие же, как при почечно-клеточном раке. Для профилактики следует исключить вредные канцерогенные воздействия (курение, химические и лекарственные агенты), своевременно устранять имеющуюся патологию почек. Залогом раннего выявления новообразования может стать регулярное проведение УЗИ почек практически здоровым людям. При появлении крови в моче, болей в пояснице необходимо детальное обследование.
Читайте также:
- КТ, МРТ бруцеллезного спондилита
- Культуральные свойства гонореи. Культуры гонококков. Свойства гонококков. Биохимические свойства гонококков.
- Рентгенограмма, КТ при болезни Гиршпрунга
- Вывихи шейного отдела позвоночника. Заболевания позвоночника у спортсменов
- Карциноидный папилломатоз кожи. Подошвенная веррукозная карцинома. Вирусные кератозы.
