Методы обследования острого панкреатита
Добавил пользователь Евгений Кузнецов Обновлено: 08.11.2025
Информацию из данного раздела нельзя использовать для самодиагностики и самолечения. В случае боли или иного обострения заболевания диагностические исследования должен назначать только лечащий врач. Для постановки диагноза и правильного назначения лечения следует обращаться к Вашему лечащему врачу.
Панкреатит: причины появления, симптомы, диагностика и способы лечения.
Определение
Панкреатит – это воспалительное заболевание поджелудочной железы с возможным вовлечением окружающих тканей. Проявляется болями в верхней половине живота, вызванными нарушением ее функции – выработки пищеварительных ферментов и гормонов.
Поджелудочная железа выполняет две важные функции:
- экзокринную (внешнесекреторную), заключающуюся в выработке и выделении в двенадцатиперстную кишку ферментов (трипсина, протеазы, амилазы и липазы), которые расщепляют белки, углеводы и жиры;
- эндокринную, состоящую в синтезе инсулина и глюкагона – важнейших гормонов, регулирующи уровень сахара (глюкозы) в крови.
Ферментная недостаточность становится причиной частого расстройства пищеварения, а при длительном течении заболевания появляются признаки недостаточности питания.
В результате нарушения выработки гормонов развиваются изменения углеводного обмена, вплоть до сахарного диабета.
Причины появления панкреатита
Самые частые причины панкреатита – злоупотребление алкоголем, курение, желчнокаменная болезнь.
Употребление алкоголя приводит к повышению вязкости сока поджелудочной железы (панкреатического секрета), закупорке ее протоков и блокированию оттока панкреатического секрета. Из-за нарастающего давления скопившиеся в протоках активные ферменты начинают пропитывать и переваривать ткань железы, вызывая воспаление. А продукты распада этилового спирта оказывают непосредственное повреждающее действие на клетки поджелудочной железы.
Курение провоцирует спазм (сужение) и ишемию (недостаток кровоснабжения) сосудов, в результате повреждение поджелудочной железы усиливается.
Для понимания связи панкреатита и желчнокаменной болезни, нужно знать, что и поджелудочная железа, и желчный пузырь имеют протоки, которые сливаются между собой и впадают в двенадцатиперстную кишку. При желчной колике, когда камень выходит из желчного пузыря, он может закупорить место слияния протоков. Желчь и сок поджелудочной железы под высоким давлением возвращаются в поджелудочную железу и начинают ее «переваривать», вызывая воспаление и некроз (отмирание) ткани поджелудочной железы.

Систематическое переедание и избыток в рационе животных жиров активизируют выработку ферментов, усугубляя их повреждающее действие на железу и усиливая воспалительный процесс.
Классификация заболевания
Существует несколько классификаций панкреатита.
- В зависимости от характера течения выделяют:
- Длительная интенсивная боль в верхней половине живота (околопупочной области и подреберьях).
Такая боль может иметь опоясывающий характер или отдавать в спину; усиливаться после еды, реже – натощак, при резких движениях, кашле, глубоком дыхании, уменьшаться в положении сидя или при наклоне вперед.
К лабораторной диагностике относятся анализы крови, мочи и кала.
Для выявления признаков воспаления назначают общий (клинический) анализ крови.
Синонимы: Общий анализ крови, ОАК. Full blood count, FBC, Complete blood count (CBC) with differential white blood cell count (CBC with diff), Hemogram. Краткое описание исследования Клинический анализ крови: общий.
Панкреатит
Панкреатит — это острая или хроническая воспалительная деструкция поджелудочной железы. Проявляется опоясывающей болью, болевыми ощущениями или дискомфортом слева в подреберье, связанными с пищевыми погрешностями, диспепсией, полифекалией, нарастающим ухудшением общего состояния. Диагностируется с помощью общего и биохимического анализа крови, УЗИ, МРТ, КТ поджелудочной железы, ИФА кала, ЭРПХГ, лапароскопии. Для лечения проводят обезболивающую, инфузионную, антисекреторную, заместительную ферментную и антибиотикотерапию. По показаниям выполняют некрэктомию поджелудочной железы, оментобурсостомию, удаление кист и псевдокист.
МКБ-10


Общие сведения
Термин «панкреатит» объединяет группу острых и хронических заболеваний с воспалительным поражением поджелудочной железы (ПЖ). За последние 30 лет распространенность патологии увеличилась более чем в 2 раза, отмечается стойкая тенденция к ее омоложению, в том числе более частое развитие панкреатита у детей. Распространенность острой формы болезни составляет от 0,0175 до 0,0734%, хронической — от 0,4 до 5%. Острые панкреатиты в 3,5 раза чаще диагностируются у женщин, хронические — вдвое чаще у мужчин. В группу риска входят пациенты, злоупотребляющие алкогольными напитками и страдающие билиарной патологией. Актуальность своевременной диагностики заболевания обусловлена тяжестью его осложнений, особенно при остром течении.

Причины панкреатита
Воспалительное поражение поджелудочной железы может иметь различное этиологическое происхождение. Специалисты в сфере клинической гастроэнтерологии выделяют несколько групп провоцирующих факторов, под влиянием которых развивается острое или хроническое воспаление органа. Возможными причинами панкреатита считаются:
- Алкогольные эксцессы. Более чем у половины пациентов заболевание становится следствием употребления больших количеств спиртного. В структуре деструктивных форм болезни алкогольные панкреатиты составляют до 70%. Риск воспалительной деструкции панкреатической паренхимы возрастает при употреблении суррогатов.
- Панкреатобилиарная патология. У 20% больных панкреатит развивается на фоне желчнокаменной болезни в результате механической обструкции панкреатического протока конкрементами. Причинами заболевания также служат травмы живота, рак поджелудочной железы, стеноз сфинктера Одди и кисты желчного протока.
- Ятрогении. В 4-5% случаев провоцирующим фактором становится нарушение техники ретроградной холангиопанкреатографии и абдоминальных операций. Токсическое воспалительное поражение панкреатической паренхимы возможно при приеме ингибиторов АПФ, петлевых диуретиков, цитостатиков и препаратов, содержащих серу (медикаментозный панкреатит).
Группа риска включает больных сахарным диабетом, гиперпаратиреозом и другими формами гиперкальциемии, вирусными гепатитами В и С, эпидемическим паротитом, глистными инвазиями. В отдельных случаях встречается панкреатит при беременности, трансплантации почек, ишемическом повреждении панкреатических тканей при шоке, эмболии артерий. При развитии патологического состояния в ответ на действие конкретного фактора (заболевания ЖКТ, травмы и др.) панкреатит называют реактивным. В 20-30% случаев причины остаются неустановленными (идиопатическое заболевание), не исключена роль отягощенной наследственности.
Патогенез
Механизм развития панкреатита основан на аутолизе тканей поджелудочной железы ее собственными протеолитическими и липолитическими ферментами. Пусковым моментом заболевания является гиперсекреция фосфолипазы А-2, липазы, эластазы, химотрипсиногена, трипсиногена, зачастую сочетающаяся с внутрипротоковой гипертензией из-за функционального спазма сфинктера Одди или механической обструкции большого дуоденального сосочка. Под действием энзимов начинается деструкция железы, нарастают нарушения микроциркуляции, отек.
Попадание ферментов в системный кровоток приводит к повреждению мозга, легких, почек, других тканей и органов. При хроническом течении панкреатита преобладает диффузная дегенерация тканей, атрофируются панкреоциты. Железистые элементы постепенно замещаются соединительной тканью, что сопровождается снижением экзокринной функции ПЖ и ухудшением процессов переваривания в кишечнике. Одновременно в системе протоков органа образуются кисты и конкременты. При вовлечении в процесс островков Лангерганса падает выработка инсулина.
Классификация
Основной критерий систематизации форм панкреатита — динамика патологического процесса. Заболевание может быть ограниченным или распространенным острым с быстрым нарастанием симптоматики (интерстициальный панкреатит, стерильный и инфицированный панкреонекроз) или хроническим с преимущественно дегенеративными изменениями. По характеру поражения острое воспаление бывает геморрагическим, гнойным, жировым, смешанным. Основными критериями, положенными в основу отечественной клинико-морфологической классификации хронического панкреатита, являются:
- Морфологические признаки. Учитываются гистологические изменения в органе. Процесс может быть интерстициально-отечным, паренхиматозным, индуративным (фиброзно-склеротическим), псевдотуморозным (гиперпластическим), кистозным.
- Ведущая симптоматика. Различают болевую, гипосекреторную, астено-невротическую (ипохондрическую) формы панкреатита. При наличии нескольких симптомов диагностируют сочетанный вариант, при их малой выраженности — латентный.
- Особенности клинического течения. Хронический панкреатит бывает редко и часто рецидивирующим. При постоянном наличии симптоматики говорят о персистирующем течении заболевания.
- Этиология. Наиболее распространенными вариантами панкреатита являются билиарнозависимый и алкогольный. Также специалисты выделяют дисметаболическую, инфекционную, лекарственную и идиопатическую форму патологии.
- Наличие осложнений. Возможно неосложненное и осложненное течение. С учетом ведущего осложнения различают панкреатит с нарушением оттока желчи, портальной гипертензией, инфекционным воспалением, эндокринными нарушениями, патологией других органов и систем.
Симптомы панкреатита
Проявления патологии зависят от варианта течения и наличия сопутствующих заболеваний ЖКТ. При билиарном панкреатите преобладает болевой синдром в верхних отделах живота без четкой локализации, боль может иррадиировать в лопатку, плечо и околосердечную область. Болевые приступы развиваются после злоупотребления жирной или жареной пищей, приема газированных напитков, которые вызывают спазм сфинктера Одди. При сопутствующей ЖКБ в период обострения наблюдается желтуха.
Патогномоничным признаком острого панкреатита является триада Мондора — вздутие живота, боль и рвота. Болевые ощущения возникают внезапно, они очень интенсивны, иногда приводят к потере сознания. Боль опоясывающая, рвота многократная, не приносит облегчения. Для острого воспаления типично быстрое ухудшения общего состояния больного: выявляется тахикардия и резкое снижение АД, усиленная потливость, бледность кожных покровов.
При хронической патологии болевой синдром менее интенсивен, обычно определяется после погрешностей в диете. Со временем пациенты отмечают, что боли появляются реже и заменяются дискомфортом в левом подреберье. Хронический панкреатит характеризуется нарушениями стула: обнаруживается полифекалия (выделение большого количества кала), испражнения приобретают сероватый цвет и резкий зловонный запах. Язык сухой, обложен желтоватым налетом. На передней брюшной стенке в проекции ПЖ формируется участок атрофии подкожной клетчатки.
Осложнения
Без лечения образуются инфильтраты, которые переходят в гнойно-некротические флегмоны забрюшинного пространства. Возможен перитонит. При тяжелом течении возникает полиорганная недостаточность, при поражении трех и более систем летальность составляет около 85%. При хроническом процессе в поджелудочной железе выявляется фиброз и кальциноз, наблюдается внешнесекреторная недостаточность. Вследствие поражения островков Лангерганса возникает вторичный сахарный диабет. Отмечается формирование и нагноение истинных или ложных кист, кровотечения из патологически измененных вен вследствие региональной портальной гипертензии.
Диагностика панкреатитов
Постановка диагноза панкреатита может быть затруднена, поскольку клиническая картина часто имитирует патологию других отделов ЖКТ. Заподозрить заболевание можно при выявлении характерных физикальных симптомов. Наиболее информативными инструментальными и лабораторными исследованиями являются:
- Исследование панкреатических ферментов в крови. Повышение уровня альфа-амилазы в 3-4 раза (при норме до 50 Ед/л) в первые сутки указывает на острый процесс или обострение хронического воспаления. С 4 суток проводят измерение уровня липазы — диагностически значимо двукратное увеличение показателя.
- ИФА каловых масс. Анализ кала на панкреатическую эластазу-1 необходим для оценки недостаточности внешнесекреторной функции органа. Значение в диапазоне 50-100 мкг/г указывает на среднюю степень нарушения экзокринной деятельности, при показателе ниже 50 мкг/г устанавливают тяжелую степень.
- Сонография поджелудочной железы. Для острого панкреатита характерно увеличение и отечность органа, нечеткость контуров и неоднородность структуры. При хроническом заболевании в ходе УЗИ поджелудочной железы определяется ее уменьшение, деформация контуров, кистозные образования и кальцификаты.
- Томография. МРТ поджелудочной железы считается «золотым стандартом» диагностики болезней ПЖ. Метод позволяет четко визуализировать паренхиму, оценить структуру кист и некротических участков. КТ с внутривенным контрастированием проводится для изучения секвестров и зон некроза.
- ЭРХПГ. Ретроградная холангиопанкреатография имеет высокую диагностическую ценность при подозрении на билиарный панкреатит, дает возможность оценить состояние сфинктера Одди, обнаружить белковые «пробки», конкременты и стриктуры протоков.

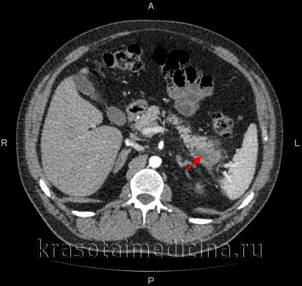
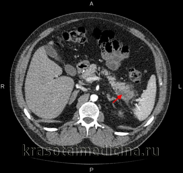
КТ органов брюшной полости. Панкреатит (в области хвоста поджелудочной железы) с наличием отека ее паренхимы, жидкостного содержимого вблизи ее края, на фоне утолщение фасции Героты слева
При низкой информативности других методов выполняют лапароскопию. В общем анализе крови определяют повышение СОЭ и нейтрофильный лейкоцитоз, степени изменения показателей коррелируют с тяжестью состояния пациента. В биохимическом анализе крови выявляют диспротеинемию, гипоальбуминемию, в случае панкреонекроза – высокие уровни АЛТ и АСТ. Дополнительно определяют концентрацию С-реактивного белка — значение более 120 мг/л свидетельствует об инфекционной природе заболевания.
Дифференциальный диагноз при остром процессе проводят с другой хирургической патологией, сопровождающейся симптомами «острого живота». Основные критерии: повышение амилазы, наличие УЗИ- и КТ-признаков поражения ПЖ. Хронический вариант панкреатита дифференцируют с большой группой воспалительных процессов ЖКТ с учетом анамнеза, жалоб и результатов дополнительных исследований. Пациента консультирует специалист-гастроэнтеролог, хирург, инфекционист.
Лечение панкреатита
Выбор терапевтической тактики определяется формой заболевания. Пациентам с острым процессом рекомендована госпитализация, функциональный покой органа (голодание, энтеральное зондовое или парентеральное питание). При хроническом воспалении необходима коррекция рациона с исключением спиртного, ограничением жиров и углеводов. Ведущей является консервативная медикаментозная терапия, которая с учетом клиники панкреатита может включать:
- Обезболивающие препараты. Обычно используют ненаркотические анальгетики, которые при наличии спастических дискинезий дополняют миотропными спазмолитиками. При интенсивном болевом синдроме показана эпидуральная блокада, введение наркотиков.
- Инфузионная терапия. Особую роль внутривенное вливание больших объемов электролитов играет при предупреждении панкреонекроза у больных с острым панкреатитом. Пациентам с хроническим воспалением инфузии обычно осуществляют при обострении болезни.
- Блокаторы желудочной секреции. Применение блокаторов протонной помпы и ингибиторов Н2-рецепторов позволяет снизить секрецию соляной кислоты и связанную с ней продукцию секретина. В результате уменьшается производство панкреатического сока.
- Ферменты поджелудочной железы. Заместительная терапия рекомендована при хроническом варианте панкреатита. Назначение комплекса панкреатических энзимов направлено на улучшение процессов переваривания и всасывания питательных веществ в кишечнике.
- Антибиотики. Используются преимущественно при остром воспалительном процессе для купирования и профилактики инфекционных осложнений. Наиболее эффективны фторхинолоны в комбинации с нитроимидазолами, карбапенемы, цефалоспорины 3-4 поколения.
При тяжелой форме применяют октапептиды, селективно угнетающие панкреатическую секрецию, проводят интенсивную терапию для поддержания АД, стабилизации метаболических нарушений. Пациентам с установленной этиологией панкреатита показано лечение основного заболевания. При остром панкреонекрозе может выполняться некрэктомия поджелудочной железы, оментобурсостомия. При стойких болях, связанных с наличием кистозных образований, производится удаление ложных кист поджелудочной железы или марсупиализация истинных кист.
Прогноз и профилактика
В случае острой патологии прогноз для пациентов сомнительный, исход заболевания обычно оценивают по шкале Рэнсона — наличие менее 3-х признаков свидетельствует об относительно благоприятном течении. Прогноз при хроническом панкреатите зависит от давности болезни и степени структурных поражений железы. Для профилактики воспаления необходимо ограничить потребление жирной пищи и газированных напитков, отказаться от вредных привычек (алкоголь, курение), проводить своевременное лечение заболеваний билиарной системы.
1. Гастроэнтерология и гепатология: диагностика и лечение/ под ред. Калинина А.В. и Хазанова А.И. – 2007.
Острый панкреатит
Острый панкреатит – воспаление поджелудочной железы. Симптомы острого панкреатита: острая, нестерпимая боль в области живота. В зависимости от того, какая часть железы воспалена, локализация боли возможна в правом или в левом подреберье, в подложечной области, боль может быть опоясывающей. Хронический панкреатит сопровождается потерей аппетита, нарушением пищеварения, острыми болями (как при острой форме), возникающими после употребления жирной, острой пищи или алкоголя.

Панкреатит – заболевание, характеризующееся развитием воспаления в ткани поджелудочной железы. По характеру течения панкреатит разделяют на острый и хронический. Острый панкреатит занимает третье место среди заболеваний брюшной полости острого течения, требующих лечения в хирургическом стационаре. Первое и второе место занимают острые аппендицит и холецистит.
Согласно данным мировой статистики, в год острым панкреатитом заболевает от 200 до 800 человек из миллиона. Это заболевание чаще встречается у мужчин. Возраст больных колеблется в широких пределах и зависит от причин развития панкреатита. Острый панкреатит на фоне злоупотребления алкоголем возникает в среднем в возрасте около 39 лет, а при панкреатите, ассоциированном с желчекаменной болезнью, средний возраст пациентов – 69 лет.
Причины
Факторы, способствующие возникновению острого панкреатита:
- злоупотребление алкоголем, вредные пищевые привычки (жирная, острая пища);
- желчекаменная болезнь;
- инфицирование вирусом (свинка, вирус Коксаки) или бактериальное заражение (микоплазма, кампилобактерии);
- травмы поджелудочной железы;
- хирургические вмешательства по поводу других патологий поджелудочной железы и желчевыводящих путей;
- прием эстрогенов, кортикостероидов, тиазидных диуретиков, азатиоприна, других лекарственных средств с выраженным патологическим действием на поджелудочную железу (медикаментозный панкреатит);
- врожденные аномалии развития железы, генетическая предрасположенность, муковисцидоз;
- воспалительные заболевании органов пищеварения (холецистит, гепатит, гастродуоденит).
В развитии острого воспаления поджелудочной железы согласно самой распространенной теории основным фактором выступает повреждение клеток преждевременно активированными ферментами. В нормальных условиях пищеварительные ферменты вырабатываются поджелудочной железой в неактивной форме и активизируются уже в пищеварительном тракте. Под воздействием внешних и внутренних патологических факторов механизм выработки нарушается, ферменты активизируются в поджелудочной железе и начинают переваривание ее ткани. Результатом становится воспаление, развивается отек ткани, поражаются сосуды паренхимы железы.
Патологический процесс при остром панкреатите может распространяться на близлежащие ткани: забрюшинную клетчатку, сальниковую сумку, брюшину, сальник, брыжейку кишечника и связки печении ДПК. Тяжелая форма острого панкреатита способствует резкому повышению уровня различных биологически активных веществ в крови, что ведет к выраженным общим нарушениям жизнедеятельности: вторичные воспаления и дистрофические расстройства в тканях и органах – легких, печени, почках, сердце.
Острый панкреатит классифицируется по степени тяжести:
- легкая форма протекает с минимальным поражением органов и систем, выражается в основном интерстициальным отеком железы, легко поддается терапии и имеет благоприятный прогноз к быстрому выздоровлению;
- тяжелая форма острого панкреатита характеризуется развитием выраженных нарушений в органах и тканях, либо местными осложнениями (некроз тканей, инфицирование, кисты, абсцессы).
Тяжелая форма острого панкреатита может сопровождаться:
- острым скоплением жидкости внутри железы либо в околопанкреатическом пространстве, которые могут не иметь грануляционных или фиброзных стенок;
- панкреатическим некрозом с возможным инфицированием тканей (возникает ограниченная или разлитая зона отмирающей паренхимы и перипанкреатических тканей, при присоединении инфекции и развитием гнойного панкреатита повышается вероятность летального исхода);
- острой ложной кистой (скоплением панкреатического сока, окруженным фиброзными стенками, либо грануляциями, которое возникает после приступа острого панкреатита, формируется в течение 4 и более недель);
- панкреатическим абсцессом (скопление гноя в поджелудочной железе или близлежащих тканях).
Симптомы острого панкреатита
Характерные симптомы острого панкреатита.
- Болевой синдром. Боль может локализоваться в эпигастрии, левом подреберье, носить опоясывающий характер, иррадиировать под левую лопатку. Боль носит выраженный постоянный характер, в положении лежа на спине усиливается. Усиление боли происходит и после приема пищи, особенно – жирной, острой, жареной, алкоголя.
- Тошнота, рвота. Рвота может быть неукротимой, содержит желчь, не приносит облегчения.
- Повышение температуры тела.
- Умеренно выраженная желтушность склер. Редко – легкая желтуха кожных покровов.
Кроме того, острый панкреатит может сопровождаться диспепсическими симптомами (метеоризм, изжога), кожными проявлениями (синюшные пятна на теле, кровоизлияния в области пупка).
Опасность острого панкреатита заключается в высокой вероятности развития тяжелых осложнений. При инфицировании воспаленной ткани железы бактериями, обитающими в тонком кишечнике, возможен некроз участков железы и возникновение абсцессов. Это состояние без своевременного лечения (вплоть до хирургического вмешательства) может закончится летальным исходом.
При тяжелом течении панкреатита может развиться шоковое состояние и, как следствие, полиорганная недостаточность. После развития острого панкреатита в ткани железы могут начать формироваться псевдокисты (скопления жидкости в паренхиме), которые разрушают структуру железы и желчных протоков. При разрушении псевдокисты и истечении ее содержимого возникает асцит.
Диагностика
Диагностику панкреатита гастроэнтерологи осуществляют на основании жалоб, физикального осмотра, выявления характерных симптомов. При измерении артериального давления и пульса зачастую отмечают гипотонию и тахикардию. Для подтверждения диагноза служат лабораторные исследования крови и мочи, МСКТ и УЗИ органов брюшной полости, МРТ поджелудочной железы.
- Биохимия крови. При исследовании крови в общем анализе отмечаются признаки воспаления (ускорена СОЭ, повышено содержание лейкоцитов), в биохимическом анализе крови обнаруживают повышение активности панкреатических ферментов (амилаза, липаза), возможна гипергликемия и гипокальциемия. Может отмечаться билирубинемия и повышения активности печеночных ферментов.
- Биохимия мочи. Проводят определение концентрации ферментов в моче. При диагностировании острого панкреатита берут биохимический анализ мочи и определяют активность амилазы мочи.
- Инструментальные методы. Визуальное исследование поджелудочной железы и близлежащих органов (УЗИ, КТ, МРТ) позволяет выявить патологические изменения паренхимы, увеличение органа в объеме, обнаружить абсцессы, кисты, наличие камней в желчных протоках.

Дифференциальную диагностику острого панкреатита проводят с:
- острым аппендицитом и острым холециститом;
- перфорациями полых органов (прободные язвы желудка и кишечника);
- острой кишечной непроходимостью;
- острым желудочно-кишечным кровотечением (кровоточащая язва желудка и 12п. кишки, кровотечение из варикозных вен пищевода, кишечное кровотечение);
- острый ишемический абдоминальный синдром.
Лечение острого панкреатита
При остром панкреатите показана госпитализация. Всем пациентам предписан постельный режим. Основными целями терапии является снятие болевого синдрома, снижение нагрузки на поджелудочную железу, стимуляция механизмов ее самовосстановления.
Терапевтические меры:
- новокаиновая блокада и спазмолитики для снятия выраженного болевого синдрома;
- голод, лед на область проекции железы (создание локальной гипотермии для снижения ее функциональной активности), питание осуществляют парентеральное, желудочное содержимое аспирируют, назначают антациды и ингибиторы протонной помпы;
- дезактиваторы панкреатических ферментов (ингибиторы протеолиза);
- необходимая коррекция гомеостаза (водно-электролитного, кислотно-основного, белкового баланса) с помощью инфузии солевых и белковых растворов;
- дезинтоксикационная терапия;
- антибиотикотерапия (препараты широкого спектра действия в больших дозировках) в качестве профилактики инфекционных осложнений.
Хирургическое лечение
Хирургическая тактика показана в случае выявления:
- камней в желчных протоках;
- скоплений жидкости в железе или вокруг нее;
- участков панкреатического некроза, кист, абсцессов.
К операциям, проводимым при остром панкреатите с образованием кист или абсцессов, относятся: эндоскопическое дренирование, марсупиализация кисты, цистогастростомия и др. При образовании участков некроза, в зависимости от их размера, проводят некрэктомию или резекцию поджелудочной железы. Наличие камней является показанием к операциям на протоке поджелудочной железы.
К хирургическому вмешательству могут прибегать и в случае сомнений в диагностики и вероятности пропустить другое хирургическое заболевание, требующее хирургического лечения. Послеоперационный период подразумевает интенсивные меры профилактики гнойно-септических осложнений и восстановительную терапию.
Лечение легкой формы панкреатита, как правило, не представляет трудностей, и положительная динамика отмечается уже в течение недели. Для излечения от тяжелой формы панкреатита требуется заметно больше времени.
Прогноз при остром панкреатите зависит от его формы, адекватности терапии и наличия осложнений. Легкая форма панкреатита обычно дает благоприятный прогноз, а при некротических и геморрагических панкреатитах высока вероятность летального исхода. Недостаточное лечение и несоблюдение врачебных рекомендаций по диете и режиму могут привести к рецидивам заболевания и развитию хронического панкреатита.
Первичной профилактикой является рациональное здоровое питание, исключение алкоголя, острой, жирной обильной пищи, отказ от курения. Острый панкреатит может развиться не только у лиц, регулярно злоупотребляющих алкоголем, но и как следствие однократного приема спиртосодержащих напитков под жирную, жареную и острую закуску в больших количествах.
Методы обследования острого панкреатита
а) Терминология:
• Острое воспаление поджелудочной железы (ПЖ) различной степени выраженности с вовлечением окружающих тканей и органов
б) Визуализация острого панкреатита:
• Отечный интерстициальный панкреатит (70-80% случаев): ПЖ нормально накапливает контраст, некроз отсутствует
о ПЖ увеличена, отечна, ее дольчатая структура нарушена
о Обнаруживаются также воспалительные изменения перипанкреатической жировой ткани, отек, свободная жидкость о При легком течении панкреатита на КТ может не определяться каких-либо изменений со стороны поджелудочной железы
• Некротический панкреатит (20-30% случаев): участки некроза в паренхиме ПЖ, незначительно/не накапливающие контраст:
о Объем поражения имеет прогностическое значение: необходимо дифференцировать случаи, когда некротические изменения занимают 30%
о Изначально некроз может отсутствовать; изменения возникают через 3-4 дня после появления симптоматики
• Осложнения:
о Инфицирование на фоне некроза: появление газа без оперативного вмешательства является признаком, крайне подозрительным на присоединение инфекции на фоне некроза
о Центральный некроз: некротические изменения центральной части ПЖ и протока поджелудочной железы (ППЖ) при отсутствии патологических изменений со стороны головки и хвоста
о Псевдоаневризма: чаще всего обнаруживается в селезеночной артерии (50%), желудочно-двенадцатиперстной артерии (20%), панкреатодуоденальной артерии (10%), но может возникать в любой артерии
о Венозный тромбоз: чаще всего возникает тромбоз селезеночной вены, возможен также тромбоз воротной вены или верхней брыжеечной вены
о Скопления жидкости: для их обозначения используется различная терминология в зависимости от давности формирования и формы панкреатита (отечная или некротическая)
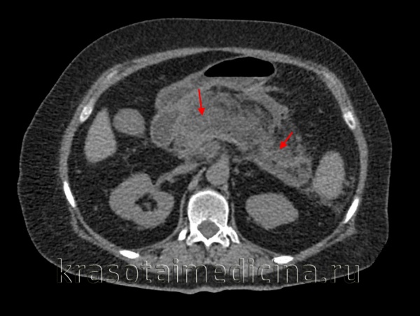
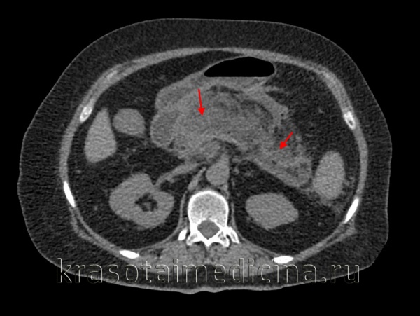
(Слева) На аксиальной КТ с контрастным усилением у пациента, злоупотребляющего алкоголем, определяется легкое повышение плотности перипанкреатического жира и отек, хотя поджелудочная железа не выглядит яв -но увеличенной в размерах. Эти изменения сопоставимы с отечным панкреатитом, протекающим в легкой форме.
(Справа) На аксиальной КТ с контрастным усилением у пациента после ЭРХПГ и установки стента определяется увеличение поджелудочной железы на фоне ее отека и потери нормальной дольчатой структуры, в сочетании с повышением плотности перипанкреатического жировой клетчатки и наличием жидкости около поджелудочной железы. Изменения сопоставимы с острым отечным панкреатитом. (Слева) На аксиальной КТ с контрастным усилением у пациента с жалобами на боль в животе определяется увеличение и отек поджелудочной железы с наличием жидкости возле нее и повышением плотности окружающей железу жировой ткани - изменения, сопоставимые с острым отечным панкреатитом. Все отделы поджелудочной железы накапливают контраст, признаки некроза отсутствуют.
(Справа) На поперечной сонограмме определяется диффузное увеличение поджелудочной железы, выглядящей патологически гиперэхопенной (изменения сопоставимы с острым панкреатитом). У пациента также повышен уровень липазы.
в) Патология:
• В подавляющем большинстве случаев острый панкреатит обусловлен употреблением алкоголя или желчными конкрементами
г) Клинические особенности:
• Общий уровень летальности составляет 5%; прогноз при отечном интерстициальном панкреатите благоприятный
• При осложнениях прогноз неблагоприятный: летальность достигает 25% при полиорганной недостаточности и 30% при панкреонекрозе, осложненном присоединением инфекции
Инструментальная диагностика острого панкреатита у пожилых. Методика
Обязательным этапом обследования больных пожилого и старческого возраста острым панкреатитом следует считать обзорную рентгенографию брюшной полости и грудной клетки, которые позволяют обнаружить косвенные признаки заболевания. Отмечается также пневматоз поперечноободочной и тонкой кишки, уровень жидкости в проекции ДПК, симптом «дежурной» петли. На фоне дилятированных петель кишечника выявляется контур m. psoas, что считается характерным признаком панкреонекроза.
Начиная с этапа приемного отделения стационара, а также в процессе лечения целесообразно проведение ультразвукового исследования (УЗИ) благодаря доступности, возможности повторений неограниченное число раз, высокой точности методики.
УЗИ уже в приемном отделении стационара помогает проведению дифференциального диагноза, особенно при отсутствии параллелизма между клиническими проявления заболевания и находками, что особенно актуально у больных пожилого и старческого возраста. Исследование может быть затруднено из-за пареза кишечника и при ожирении больных IV ст.
При УЗИ оцениваются размеры поджелудочной железы, контуры, структура паренхимы, состояние протока и сальниковой сумки.
Ввиду частого развития панкреонекроза на фоне патологии билиарного тракта уже при первичном исследовании необходимо осмотреть внепеченочное желчное дерево.
Оценивая состояние паренхимы поджелудочной железы у лиц пожилого и старческого возраста, следует помнить, что даже при отсутствии клинических проявлений заболевания ткань всегда имеет повышенную эхогенность при нормальных размерах.
При отечной форме острого панкреатита отмечается увеличение поджелудочной железы, контуры ровные, четкие. Эхоструктура паренхимы однородная, низкой эхогенности. Плотность паренхимы становится ниже плотности печени. Контуры прилежащих к железе сосудов четкие.
При повторном обострении процесса в поджелудочной железе выявляются кальцинаты. Почти у каждого пятого больного при отечной форме заболевания лоцируется вирсун-гов проток в виде линейной эхонегативной структуры, расположенной в середине паренхимы. Диаметр протока от 2 до 4 мм.
Жидкость при отечной форме острого панкреатита в сальниковой сумке скапливается редко. При данной форме заболевания почти в 10% случаев выявляется незначительное количество жидкости в брюшной полости.
В желудке и двенадцатиперстной кишки отмечается небольшое количество содержимого, даже если исследование проводится натощак.

При панкреонекрозе ультразвуковая картина, по сравнению с отечной формой панкреатита, более пестрая. В зависимости от объема поражения железы увеличиваются различные ее отделы, контуры становятся нечеткими. Паренхима крайне неоднородная.
При жировом панкреонекрозе преобладают зоны повышенной эхогенности с зонами разряжения, при геморрагическом — преимущественно определяются эхонегативные зоны, соответствующие некротически расплавленным тканям.
Практически у каждого второго больного с панкреонекрозом расширен вирсунгов проток. У каждого третьего пациента в фазе токсемии выявляется узкая полоска жидкости в различных отделах сальниковой сумки.
Многообразны и косвенные признаки панкреонекроза. У 90,8% больных обнаруживается жидкость в брюшной полости. УЗИ позволяет диагностировать даже ее незначительное количество в отлогих местах, а также признаки гастростаза и паралитической кишечной непроходимости.
Динамические ультразвуковые исследования помогают оценивать состояние ПЖ и забрюшинной клетчатки, органов гепатопанкреатодуоденальной зоны. При неэффективности лечения обнаруживаются дегенеративные изменения, жидкостные структуры сальниковой сумки и забрюшинной клетчатки.
Прежде всего деформируются контуры поджелудочной железы в соответствии с локализацией инфильтративного процесса. При тотальном панкреонекрозе орган не контурируется вообще в 95% случаев.
Из сосудистых структур определяется лишь аорта. При этом всегда пальпируется плотное образование в эпигастральной области. Оценивать структуру инфильтрата следует с дифференцировки полых органов (антрального отдела желудка, двенадцатиперстной и поперечноободочной кишки).
Компрессия выходного отдела желудка и двенадцатиперстной кишки приводит к дуодено- и гастростазу, которые выявляются с помощью УЗИ еще до появления клинических признаков.
При жировом некрозе за стенкой желудка определяются плотные структуры, чередующиеся с мелкими эхопозитивными включениями.
У 20—30% больных панкреонекрозом обнаруживаются скопления жидкости в сальниковой сумке — псевдокисты — даже при улучшении состояния и нормализации лабораторных показателей.
В панкреатологии хорошо известно, что эффективность различных вариантов лечения зависит от степени сформированности стенки кисты (особенно при проведении пункционных вмешательств).
Усиление сигнала за гнойником определяется в 70% случаев. Это объясняется тем, что лишь однородное содержимое полости хорошо проводит ультразвуковые волны. Вязкий гной служит существенным препятствием на пути ультразвуковых волн диагностической частоты.
Таким образом, широкие возможности контактного УЗИ позволяют считать эту методику обязательным этапом обследования больных с осложненным и неосложненным панкреонекрозом.
В последнее время для оценки состояния паренхимы поджелудочной железы и периампулярной зоны применяется сочетание ультразвукового сканирования и эндоскопии. Подобная методика дает возможность с большей достоверностью оценивать характер поражения ПЖ, объемных образований, прилежащих к задней стенке желудка.
Плотность поджелудочной железы в норме у пожилых и стариков превышает 40 ед. по шкале Хаунсфилда. После внутривенного контрастирования она повышается до 80 ед.
Компьютерная томография позволяет установить форму острого панкреатита, распространенность процесса как в железе, так и в забрюшинной клетчатке.
К прямым признакам острого панкреатита относится увеличение поджелудочной железы, нечеткость ее контура, негомогенность паренхимы и снижение денситометрической плотности.
При компьютерной томографии обнаруживаются полости в парапанкреатической клетчатке, содержащие гной и газ. Выявляются резидуальные абсцессы и прогнозируется течение гнойных осложнений.
Компьютерная томография практически безошибочно диагностирует псевдокисты. При внутривенном введении контрастного вещества кистозные образования (как и абсцессы) сохраняют первичную плотность. Положительное качество метода — возможность с высокой точностью оценить степень сформированности стенки кистозного образования.
Таким образом, компьютерная томография эффективна в распознавании различных форм острого панкреатита.
Обязательный этап обследования больных острым панкреатитом — гастродуоденоскопия. Гастроскопия помогает выявить лишь косвенные признаки заболевания (оттеснение стенок желудка и ДПК, инфильтрацию их стенок и стенозирование).
Вместе с этим значимость ее велика при оценке состояния слизистой указанных органов, обнаружении признаков воспаления, диагностике ее изъязвлений и язвенных дефектов, особенно при имеющихся признаках желудочно-кишечного кровотечения. Эти изменения встречаются как при отеке железы, так и при панкреонекрозе.
Особое значение имеет дуоденоскопия с осмотром БДС и периампулярной области при вторичном панкреатите. При этом обнаруживаются признаки папиллита, ущемленного конкремента БДС, околососочковые дивертикулы (одиночные, множественные, с признаками дивертикулита), расширение продольной складки ДПК, полипы БДС. Подобные находки позволяют установить возможную причину панкреатита и провести этиотропное лечение.
Дуоденоскопия — обязательное исследование при остром панкреатите, амилаземии.
Несмотря на широкое использование в повседневной работе высокоинформативных методов диагностики, не потеряла своей значимости при остром панкреатите у больных пожилого и старческого возраста диагностическая лапароскопия.
В настоящее время при панкреонекрозе лапароскопия расценивается больше как лечебная методика. Проведение ее затруднено после повторных операций на органах брюшной полости, у больных с большими вентральными грыжами.
Исследование, требующее пневмоперитонеума, с особой осторожностью должно выполняться у пациентов, находящихся в крайне тяжелом состоянии, с нарушениями дыхательной и сердечной деятельности.
В настоящее время накопление опыта лапароскопии позволило сделать вывод о возможности получения прямых и косвенных доказательств различных форм аутолиза поджелудочной железы — как отека, так и панкреонекроза.
При отечной форме прямых признаков заболевания нет.
При сдавлении терминального отдела холедоха поджелудочной железой диагностируется увеличенный, напряженный желчный пузырь без признаков воспаления его стенки.
Ошибки в диагностике панкреонекроза составляют около 4%. В неясных случаях целесообразна динамическая лапароскопия, которая осуществляется через специальную гильзу или по ходу дренажа, установленного при первичном исследовании.
В настоящее время большинство хирургов единодушны во мнении о целесообразности применения уточненной диагностики в поздних стадиях заболевания.
Необходимость идентификации гнойного процесса при инфицированном панкреонекрозе заставило прибегать к тонкоигольным пункциям клетчаточных пространств с помощю игл Chiba под визуальным контролем, осуществляемым с помощью УЗИ и компьютерной томографии.
Своевременное выявление инфицированных очагов дает возможность аргументированно применять инвазивное лечение.
При проведении подобных манипуляций необходимо избегать повреждения сосудистых структур, что достигается визуальным контролем.
Получение жидкости помогает идентифицировать ее характер и выявить микрофлору. Это особенно важно при динамическом наблюдении за парапанкреатическим инфильтратом.
При дообследовании больных острым панкреатитом пожилого и старческого возраста значимо использование различных рентгеноконтрастных методов. Рентгенография желудка и ДПК помогает диагностировать нарушение эвакуации, явления гастроптоза, разворот подковы ДПК, сдавление ее горизонтальной ветви, увеличение ретрогастрального пространства при полипозиционном исследовании.
Таким образом, обследование больных острым панкреатитом — комплексный процесс, что подчеркивает необходимость госпитализации пациентов в специализированные стационары, где к этому есть все условия.
Редактор: Искандер Милевски. Дата обновления публикации: 18.3.2021
Читайте также:
- Введение в раздел расстройств потоотделения
- Витамины и минералы для снижения симптомов аллергии
- Патанатомия и морфология крепетирующего тендовагинита предплечья. Причины паратенонита
- Париетальная брюшина. Круглая связка печени. Складки брюшины. Паховые ямки. Надпузырная ямка.
- Гранулематозный тиреоидит де Кервена - морфология, патологическая анатомия
