Методы обследования при ксантогранулематозном холецистите
Добавил пользователь Владимир З. Обновлено: 24.12.2025
Редкое воспалительное заболевание желчного пузыря, Появляющееся фокальным или диффузным деструктивно-воспалительньщ процессом, обусловленное активностью макрофагов, содержащих избыточное количество липидов.
Патогенез (что происходит?) во время Ксантогранулематозного холецистита:
При микроскопии в стенке желчного пузыря определяются желтые образования Стенки пузыря, как правило, утолщены. В его просвете имеются холестериновые или смешанные конкременты.
Патогенез ксаитогранулематозного холецистита изучен недостаточно. Есть мнение, что воспаление является реакцией на экстравазацию компонентов желчи при разрыве синусоидов Рокитанского-Ашоффа. Образования желтого цвета, как правило, прорастают в соседние органы с формированием наружных или холецистодуоденальных свищей.
Симптомы Ксантогранулематозного холецистита:
Особенности клинических проявлений. Заболевание обычно проявляется приступами острого холецистита, после чего наблюдается клиника, характерная для хронического процесса: болевой синдром в правом подреберье с иррадиацией в правую лопатку, плечо. Болевой синдром сопровождается отрыжкой, тошнотой, рвотой, появлением горечи во рту. Нередко больных беспокоит преходящая или стойкая субфебрильная температура, сопровождающаяся познабливанием или выраженным ознобом.
При пальпации обнаруживается выраженная болезненность в правом подреберье и особенно в области проекции желчного пузыря. Иногда удается пропальпировать ридлеровскую долю печени. Часто оказываются положительными симптомы Ортнера, Кера, отмечаегся болезненность в зоне Шоффара. В ряде случаев удается пропальпировать увеличенный желчный пузырь.
Диагностика Ксантогранулематозного холецистита:
Особенности диагностики. Диагностика ксаитогранулематозного холецистита сложна Клинические проявления заболевания малоинформативны. Используют холангиографию, УЗИ, КТ, диагностическую лапароскопию. Часто характер процесса устанавливается лишь по данным морфологического исследования во время оперативного вмешательства. При наличии холецистодуоденальных свищей в диагностике может быть использована ФГДС.
Лечение Ксантогранулематозного холецистита:
Особенности лечения. При присоединении осложнений проводится оперативное лечение. Операцией выбора является холецистэктомия. При прорастании в соседние органы объем оперативного вмешательства существенно расширяется. Показано использование препаратов желчных кислот (УДХК), симптоматическое лечение.
Прогноз. Прогноз определяется выраженностью процесса. При распространении патологического процесса за пределы желчного пузыря прогноз серьезен.
К каким докторам следует обращаться если у Вас Ксантогранулематозный холецистит:
Вас что-то беспокоит? Вы хотите узнать более детальную информацию о Ксантогранулематозного холецистита, ее причинах, симптомах, методах лечения и профилактики, ходе течения болезни и соблюдении диеты после нее? Или же Вам необходим осмотр? Вы можете записаться на прием к доктору .
Методы обследования при ксантогранулематозном холецистите
а) Терминология:
• Редкое воспалительное заболевание желчного пузыря (ЖП), характеризующееся накоплением макрофагов, нагруженных жиром, и фиброзом
б) Визуализация ксантогранулематозного холецистита:
• Лучевые признаки перекрываются с таковыми для острого холецистита, хронического холецистита, рака желчного пузыря:
о Ксантогранулематозный холецистит и рак желчного пузыря невозможно достоверно дифференцировать на основании лучевых методов диагностики
• КТ: локальное или диффузное утолщение стенки желчного пузыря:
о Гиподенсные узелки и тяжи в стенке ЖП, соответствующие участкам инфильтрации пенистыми макрофагами и абсцессам
о Скопление жидкости около желчного пузыря и воспалительные изменения окружающих его тканей ± свищевые ходы, абсцессы, прикрытая перфорация и т. д.
о Возможно вовлечение в процесс прилежащих отделов печени: изменения имитируют рак ЖП с инвазией печени
• МРТ: утолщение стенки ЖП (чаще диффузное, чем ограниченное), с наличием в ней гиперинтенсивных на Т2 ВИ включений:
о Отдельные узлы в стенке ЖП, гиперинтенсивные на Т2 ВИ и гипоинтенсивные на Т1 ВИ, в т.ч. с контрастным усилением
о Возможно снижение интенсивности сигнала в утолщенной стенке желчного пузыря и интрамуральных узлах «в противофазе»
о В утолщенных участках стенки часто происходит отсроченное накопление контраста на Т1 ВИ с контрастным усилением
• УЗИ: гипоэхогенные узлы или тяжи в утолщенной стенке желчного пузыря:
о Желчные камни, сладж, эхогенные включения дебриса
(Слева) На фотографии удаленного желчного пузыря внутри его значительно утолщенной стенки виден интрамуральный абсцессе. Часть печени, прилежащая к желчному пузырю, также была удалена, поскольку во время операции возникло подозрение на рак желчного пузыря. При патоморфологическом исследовании подтвердился ксантогранулематозный холецистит.
(Справа) На аксиальной КТ с контрастным усилением определяется утолщение стенки желчного пузыря, особенно выраженное в области его дна, граница между желчным пузырем и печенью нечеткая. Несмотря на то, что эти изменения подозрительны на рак желчного пузыря, при холецистэктомии был обнаружен ксантогранулематозный холецистит. (Слева) На аксиальной КТ у пациента с жалобами на боль в правом подреберье определяется неравномерное утолщение стенки желчного пузыря, выраженное в значительной степени; видны также несколько включений низкой плотности рядом с желчным пузырем и одно - в его стенке. Гиподенсные интрамуральные узлы при ксантогранулематозном холецистите могут представлять собой как абсцессы, так и ксантогранулемы.
(Справа) На аксиальной КТ без контрастного усиления у пациента с хронической болью в животе визуализируется увеличенный желчный пузырь с толстой стенкой, плохо отграниченный от паренхимы печени. Несмотря на то, что изменения не позволяют исключить рак, при оперативном вмешательстве подтвердился ксантогранулематозный холецистит.
в) Патология:
• Изъязвление слизистой либо разрыв синусов Рокитанского-Ашоффа → экстравазация желчи в стенку желчного пузыря → фагоцитоз желчных жиров → воспаление и формирование ксантомных клеток
• Желчные конкременты наблюдаются всегда и могут играть роль причинного фактора
г) Клинические особенности:
• Симптомы чаще всего аналогичны таковым при остром холецистите, тем не менее, могут иметь хронический характер и имитировать злокачественное новообразование
• Заболевание чаще возникает у женщин в шестом и седьмом десятилетии жизни
• Единственным способом радикального лечения является холецистэктомия
а) Терминология:
1. Аббревиатуры:
• Ксантогранулематозный холецистит (КГХ)
2. Синонимы:
• Фиброксантогранулематозный холецистит, ксантогранулематозный холангит
3. Определение:
• Редкое воспалительное заболевание желчного пузыря, характеризующееся накоплением макрофагов, нагруженных жиром, и фиброзом
б) Визуализация:
1. Общая характеристика:
• Лучший диагностический критерий:
о Утолщение стенки желчного пузыря с наличием интрамуральных гиподенсных (гипоэхогенных) узлов или «тяжей» в сочетании с инфильтрацией пенистыми клетками или абсцессами
2. Рекомендации по визуализации:
• Лучший диагностический метод:
о КТ с контрастным усилением или МРТ

(Слева) На аксиальной КТ с контрастным усилением у мужчины 75 лет без какой-либо симптоматики определяется иррегулярное утолщение стенки желчного пузыря с наличием в ней гиподенсных включений.
(Справа) На сонограмме у этого же пациента определяется асимметричное утолщение стенки желчного пузыря с наличием сладжа в его просвете и конкремента в области шейки. Визуализируется также участок неизмененной жировой ткани. Предоперационная дифференциальная диагностика рака желчного пузыря и ксантогранулематозного холецистита часто бывает сложной, однако отсутствие расширения желчных протоков позволяет предположить скорее хронический воспалительный процесс, а не новообразование.
3. КТ признаки ксантогранулематозного холецистита:
• Лучевые признаки перекрываются с таковыми при остром и хроническом холецистите, а также при раке желчного пузыря
о Возможно диффузное либо ограниченное утолщение стенки желчного пузыря в сочетании с нарушением ее дифференцировки:
- Может обнаруживаться снижение контрастного усиления стенки
о Наличие гиподенсных узлов и тяжей в стенке, представляющих собой участки инфильтрации пенистыми клетками, зоны некроза или абсцессы:
- Интрамуральные узлы могут занимать до 60% поверхности стенки
- Наиболее специфичные лучевые признаки КГХ
о Жидкость около желчного пузыря, воспалительные изменения, индурация, возможно, также свищевые ходы, абсцессы, ограниченная перфорация и др.:
- Воспалительные изменения могут захватывать прилежащие отделы печени, в результате чего граница между желчным пузырем и печенью становится нечеткой, что создает впечатление об инвазии рака желчного пузыря в печень
о Повышение перфузии прилежащих отделов печени на ограниченном участке/преходящие различия плотности печени (ПРПП)
о Желчные камни практически всегда присутствуют, но не всегда визуализируются на КТ
о Часто обнаруживается регионарная лимфаденопатия, обычно реактивного характера, обусловленная воспалением
• Признаки, позволяющие отличить ксантогранулематозный холецистит от рака желчного пузыря:
о Диффузное, а не ограниченное, утолщение стенки
о Непрерывное контрастное усиление слизистой в виде «полоски»
о Гиподенсные узлы в стенке желчного пузыря
о Отсутствие инвазии печени
о Отсутствие расширения желчного пузыря
о Наличие трех признаков позволяет с точностью 91%, специфичностью 100%, и чувствительностью 83% дифференцировать ксантогранулематозный холецистит и рак желчного пузыря
4. МРТ признаки ксантогранулематозного холецистита:
• Утолщение стенки желчного пузыря, чаще диффузное, чем очаговое, с наличием интрамуральных включений, гиперинтенсивных на Т2 ВИ
о Участки ксантогранулематоза изо- или слегка гиперинтенсивны на 12 ВИ
о Дискретные интрамуральные узлы (похожие на узлы, обнаруживаемые на КТ) выглядят гиперинтенсивными на Т2 ВИ и гипоинтенсивными на Т1 ВИ, в т. ч. с контрастным усилением о Из-за внутриклеточного жира в утолщенной стенке желчного пузыря и интрамуральных узлах может определяться легкое снижение интенсивности сигнала в «противофазе»
• Утолщенная стенка часто накапливает контраст в отсроченной фазе на Т1 ВИ (с контрастным усилением), при этом непрерывность контрастного усиления слизистой оболочки не нарушена:
о Рак желчного пузыря характеризуется типичным ранним (пиковым) накоплением контраста
• Характерным признаком рака желчного пузыря и ксантогранулематозного холецистита является ограничение диффузии на DWI, но злокачественная опухоль обычно характеризуется более низкими значениями ADC
• Желчные конкременты присутствуют практически всегда и обладают гипоинтенсивным сигналом во всех пульсовых последовательностях
• Инфильтрация прилежащей к желчному пузырю жировой ткани и паренхимы печени (с гиперинтенсивным сигналом на Т2 ВИ)
5. УЗИ признаки ксантогранулематозного холецистита:
• Утолщение стенки желчного пузыря, в т.ч. (редко) очаговое и опухолевидное, имитирующее рак
• Гипоэхогенные узлы или тяжи в стенке желчного пузыря
• Повышение эхогенности перихолецистического жира (воспаление тканей около желчного пузыря, отражающих ультразвук)
• Желчные конкременты, сладж, эхогенные включения дебриса в просвете
• Перихолецистические включения жидкости
• Гипоэхогенные участки воспаления паренхимы печени возле ямки желчного пузыря

(Слева) На аксиальной КТ с контрастным усилением у женщины 64 лет с хронической болью в правом подреберье определяется утолщение стенки желчного пузыря и гиподенсные включения в ней. При патоморфологическом исследовании было обнаружено, что эти гиподенсные включения представляют собой зоны некроза, заполненные пенистыми макрофагами. Обратите внимание на усиление перфузии печени (преходящее повышение плотности).
(Справа) На сонограмме у этой же пациентки определяется утолщение стенок желчного пузыря, просвет которого заполнен сладжем, с наличием множественных кистозных участков некроза в передней стенке.
в) Дифференциальная диагностика ксантогранулематозного холецистита:
1. Рак желчного пузыря:
• Мягкотканное образование стенки желчного пузыря с инвазией паренхимы печени (и ворот печени):
о Может выглядеть как диффузное или очаговое утолщение стенки, или дискретное полиповидное образование
• В отличие от ксантогранулематозного холецистита, часто приводит к обструкции общего протока, непосредственной инвазии печени и массивной перипортальной лимфаденопатии
• В большинстве случаев рак желчного пузыря не отличим от КГХ на основании методов визуализации, возможность дифференцировки появляется лишь после холецистэктомии
2. Аденомиоматоз желчного пузыря:
• Вторичное утолщение стенки желчного пузыря из-за увеличения синусов Рокитанского-Ашоффа и пролиферации гладкой мышечной ткани:
о Может вызывать локальное или диффузное утолщение стенки желчного пузыря или дискретное образование, обычно в области дна
о Эхогенные очаги в стенке желчного пузыря, дающие артефакты в виде «хвоста кометы» на УЗИ
о Может (теоретически) имитировать КГХ с наличием дискретных интрамуральных узлов на КТ или МРТ
• В отличие от КГХ аденомиоматоз протекает бессимптомно
3. Гангренозный холецистит:
• Асимметричное утолщение стенок желчного пузыря на УЗИ, жидкость возле него, изъязвления или деформация стенки, внутрипросветные вытянутые мембраны (отслоившаяся слизистая), либо явная перфорация:
о Инфильтрация и воспалительные изменения жировой ткани, окружающей желчный пузырь (на КТ и МРТ), или повышение его эхогенности (на УЗИ)
• Ксантогранулематозный холецистит невозможно достоверно дифференцировать с острым холециститом (неосложненным либо гангренозным), поскольку в обоих случаях клиническая симптоматика схожа

(Слева) На аксиальной КТ с контрастным усилением у мужчины 88 лет без какой-либо симптоматики, выполненной по поводу аневризмы аорты, определяется неравномерное утолщение стенки желчного пузыря с наличием в ней включений низкой плотности (случайная находка).
(Справа) На сонограмме у этого же пациента определяется утолщение стенки желчного пузыря с гипоэхогенными включениями в ней и наличием сладжа в просвете органа. При лапароскопической холецистэктомии подтвердился хронический ксантогранулематозный холецистит. При выраженном спаечном процессе и утолщении стенки в связи с хроническим воспалением часто возникает необходимость в открытой холецистэктомии.
г) Патология:
1. Общая характеристика:
• Этиология:
о Патогенез:
- Изъязвление слизистой или разрыв синусов Рокитанского-Ашоффа → экстравазация желчи в стенку желчного пузыря → фагоцитоз желчных жиров → воспаление и формирование ксантомных клеток:
о Желчные конкременты имеются практически у всех пациентов и, скорее всего, играют роль в возникновении заболевания:
- Желчный конкремент → обструкция и стаз → повышение внутрипросветного давления → изъязвление слизистой или разрыв синусов Рокитанского-Ашоффа
• Сопутствующие патологические изменения:
о Существует гипотеза (недостоверная), что ксантогранулематозный холецистит связан с раком желчного пузыря:
- Рак желчного пузыря обнаруживается приблизительно в 6% случаев ксантогранулематозного холецистита
о Вопрос о связи КГХ и холангиокарциномы остается открытым
о Билиарная обструкция (реже, чем при раке желчного пузыря)
2. Стадирование, градации и классификация ксантогранулематозного холецистита:
• Первая стадия:
о Изменения ограничены желчным пузырем и перихолецистическим пространством
• Вторая стадия:
о Вовлечение нижних отделов желчевыводящих путей, двенадцатиперстной кишки, ободочной кишки
3. Макроскопические и хирургические особенности:
• Утолщение стенки желчного пузыря:
о Ксантогранулематозные очаги в его стенке
о Изъязвление слизистой
• Плотные фиброзные спайки на серозной оболочке
• Инфильтрация перипузырной жировой ткани и печени
• Желчные конкременты (обнаруживаются во всех случаях)
4. Микроскопия:
• Макрофаги, обильно «нагруженные» жиром, фибробласты, клетки острого и хронического воспаления
д) Клинические особенности:
1. Проявления ксантогранулематозного холецистита:
• Наиболее частые признаки/симптомы:
о Симптоматика чаще всего острая и аналогична таковой при калькулезном холецистите: боль в правом подреберье, лихорадка, лейкоцитоз
о Симптомы, включая обструктивную желтуху, могут также имитировать злокачественную опухоль
• Другие признаки/симптомы:
о Могут быть хроническими и существовать годами
о Желчная колика
о Желтуха, обусловленная билиарной обструкцией
• Лабораторные данные:
о Лейкоцитоз
о Гипербилирубинемия и повышение уровня щелочной фосфатазы на фоне холедохолитиаза или синдрома Мириззи
2. Демография:
• Возраст:
о Обычно шестое или седьмое десятилетие жизни
• Пол:
о Чаще встречается у женщин
• Эпидемиология:
о Заболеваемость: 0,7% всех заболеваний желчного пузыря, обусловливающих появление симптоматики (в США):
- Сообщается, что заболеваемость ксантогранулематозным холециститом в Японии и Индии составляет 10%
3. Течение и прогноз:
• Активный и деструктивный процесс, который может персистировать в течение многих лет, и приводить к тяжелым осложнениям
• Высокий уровень осложнений (30%):
о Перфорация
о Перихолецистический абсцесс или абсцесс печени
о Формирование свищевого хода, открывающегося в ближайшие органы, напртмер, в ободочную или двенадцатиперстную кишку, или в кожу
о Синдром Мириззи
• Проспективно диагноз удается установить нечасто: во многих случаях правильный диагноз устанавливается только при холецистэктомии, в то время как пациент берется на операцию с диагнозом «острый холецистит» или «рак желчного пузыря»
4. Лечение:
• Единственным радикальным способом лечения является холецистэктомия:
о Из-за распространенности воспалительного процесса и часто возникающего подозрения на рак желчного пузыря перед оперативным вмешательством предпочтение отдается открытой холецистэктомии
о Лечение требует полной резекции прилежащей к желчному пузырю ткани с изменениями, обусловленными ксантогранулематозом, а также ближайших отделов паренхимы печени (в случае ее вовлечения)
о Во время операции для дифференциальной диагностики ксантогранулематозного холецистита и рака желчного пузыря необходимо исследование замороженных срезов
е) Диагностическая памятка:
1. Следует учесть:
• Ксантогранулематозный холецистит невозможно достоверно отличить от рака желчного пузыря на основании только лучевых методов диагностики; заключительный диагноз практически всегда устанавливается только после холецистэктомии
2. Советы по интерпретации изображений:
• Ксантогранулематозный холецистит можно заподозрить при диффузном утолщении стенки желчного пузыря с наличием в ней гиподенсных узелков или тяжей, представляющих собой участки ксантогранулематозного воспаления или микроабсцессы
ж) Список использованной литературы:
1. Lee NK et al: Diffusion-weighted magnetic resonance imaging for nonneoplastic conditions in the hepatobiliary and pancreatic regions: pearls and potential pit-falls in imaging interpretation. Abdom Imaging. ePub, 2014
Хронический холецистит
Хронический холецистит - воспалительное заболевание желчного пузыря инфекционной (бактериальной, вирусной или паразитарной) природы. Клинически выделяют две основные формы заболевания: некалькулезный (бескаменный) и калькулезный холециститВоспаление может быть катаральным, гнойным; в период выраженно го обострения холецистита могут развиваться деструктивные формы.
При бескаменном холецистите воспалительный процесс чаще всего локализуется в шейке пузыря.
Что провоцирует / Причины Хронического холецистита:
Заболевание, как правило, вызывается условнопатогенной микрофлорой: эшерихией, стрептококком, стафилококком, реже протеем, синегнойной палочкой, энтерококком. Встречаются случаи ХБХ, вызванные патогенной микрофлорой, шигеллами, брюшнотифозными палочками, тифопаратифотифозными палочками, дрожжевыми клетками и грибами. В настоящее время большая роль в развитии холециститов отводится гепатотропным вирусам А, В, С, D, E, F. В литературе дискутируется вопрос о роли и месте паразитарной инвазии в развитии данной патологии.
Распространенность. По данным Л. М. Тучина и соавт. (2001), распространенность холецистита среди взрослого населения Москвы в 1993-1998 гг. возросла на 40,8 %. В этот же период времени имел место также рост заболеваемости холециститом на 66,2 %.
Патогенез (что происходит?) во время Хронического холецистита:
В развитии хронического бескаменного холецистита (ХБХ) выделяют три составляющие: застой желчи, изменение ее физикохимического состава и наличие инфекции. Важное место в развитии заболевания отводится гиподинамии, алиментарному фактору, психоэмоциональным перегрузкам, аллергическим реакциям. В настоящее время наблюдается увеличение заболеваемости среди мужчин. ХБХ чаще возникает у лиц с нормальной массой тела Инфекционные возбудители проникают в желчный пузырь гематогенным, лимфогенным и контактным (из кишечника) путем. Инфекция из желудочнокишечного тракта может попасть в пузырь по общему желчному и пузырному протоку, возможно и нисходящее распространение инфекции из внутрипеченочных желчных протоков В то же время микрофлора в желчном пузыре обнаруживается лишь в 35 % случаев, что можно объяснить детоксикационной функцией печени и бактериостатическими свойствами желчи. Следовательно, для развития микробного воспаления в желчном пузыре необходимы предпосылки в виде изменения состава желчи (застой вследствие обтурации, дискинезии), Дистрофии слизистой оболочки желчного пузыря, нарушения функции печени, депрессии иммунных механизмов. Инфицированию желчн°го пузыря способствуют хронический дуоденальный стаз, дуодеНит, недостаточность сфинктеров Одди, развитие дуоденобилиарного Рефлюкса. При проникновении инфекции восходящим путем в жели чаще обнаруживают кишечную палочку, энтерококки.
Классификация хронического холецистита
В зависимости от особенней течения заболевания выделяют латентную (вялотекущую), рецидивирующую и гнойноязвенную формы хронического холецистита.
По наличию конкрементов различают:
- хронический холецистит без холелитиаза (бескаменный);
- хронический калькулезный холецистит.
По течению выделяют легкое, средней тяжести и тяжелое течение. Легкое течение характеризуется 12 обострениями в течение года, наличием желчных колик не чаще 4 раз в году. Для хронического холецистита средней тяжести характерно 3-4 обострения в течение года. Желчные колики развиваются до 5-6 раз и более в течение года. Тяжелому течению свойственны обострения заболевания до 5 раз и более в году.
Симптомы Хронического холецистита:
Особенности клинических проявлений. В клинической картине хронического холецистита выделяют болевой, диспепсический, холестатический, астеновегетативный и интоксикационный синдромы, обусловленные воспалительным процессом и дисфункцией пузыря. Для обострения ХБХ характерен болевой синдром в правом подреберье. Боль может быть длительной или приступообразной, имеет широкую иррадиацию, чаще ориентированную в правую половину грудной клетки, спину, возникает после погрешности в диете, психического стресса, перемены положения тела, физических перегрузок. В ряде случаев болевой синдром возникает спонтанно, его развитию сопутствуют лихорадка, явления слабости, кардиалгии. Частыми, но неспецифическими жалобами являются диспепсические расстройства: тяжесть в брюшной полости, отрыжка, тошнота, горечь во рту, метеоризм, запоры.
В настоящее время выделяют несколько клинических вариантов хронического холецистита:
- Кардиальный вариант, характеризующийся нарушениями сердечного ритма, электрокардиографическими изменениями (зубец Т) при хорошей переносимости физических нагрузок.
- Артритический вариант, проявляющийся артралгиями.
- Субфебрильный вариант - затяжной субфебрилитет (37-38 °С) около 2 нед с периодическими познабливаниями и симптомами интоксикации.
- Неврастенический вариант проявляется симптомами неврастении и вегетативнососудистой дистонии в виде слабости, недомогания, раздражительности, бессонницы. Может наблюдаться интоксикация.
- Гипоталамический (диэнцефальный) вариант сопровождается пароксизмами тремора, повышением АД, симптомами стенокардии, пароксизмальной тахикардией, мышечной слабостью, гипергидрозом.
При физикальном обследовании можно обнаружить различную степень желтушности кожи и слизистых, болезненность в точках пузыря и области печени, напряжение мышц в области правого подреберья, в ряде случаев увеличение печени и желчного пузыря.
Диагностика Хронического холецистита:
Особенности диагностики:
В клиническом анализе крови наблюдаются лейкоцитоз с нейтрофильным сдвигом влево, повышение СОЭ. При наличии обтурационного синдрома в общем анализе мочи отмечается положительная реакция на билирубин. При биохимическом исследовании крови наблюдается повышение содержания билирубина, (Х2 и углобулинов, сиаловых кислот, Среактивного белка, фибриногена, сахара крови, активности щелочной фосфатазы, углутамилтранспептидазы, аминотрансфераз.
Важное место в диагностике отводится ультразвуковому и рентгенологическим методам исследования органов брюшной полости, эзофагогастродуоденоскопии. Диагноз ХБХ считается доказанным, если при проведении ультразвукового исследования на холецистограмме или холецистосцинтеграмме определяются деформация, утолщение стенок и снижение сократительной функции пузыря, наличие перипроцесса.
При проведении фракционного дуоденального зондирования отмечаются уменьшение количества пузырной желчи, нарушение функции сфинктера Одди, изменение биохимического состава желчи, наличие в ней воспалительных компонентов (Среактивный белок, сиаловые кислоты), бактериальной контаминации.
Лечение Хронического холецистита:
Лечение хронического холецистита без холелитиаза (ХБХ). Лечебная программа включает:
- режим;
- диетотерапию;
- лекарственную терапию в период обострения:
- купирование болевого синдрома;
- применение желчегонных средств;
- антибактериальную терапию;
- нормализацию функций вегетативной нервной системы;
- нммуномодулирующую терапию и повышение общей реактивности организма;
- физиотерапию, водолечение;
- санаторнокурортное лечение.
В период выраженного обострения заболевания больного необходимо госпитализировать в терапевтический стационар. При легком течении лечение, как правило, проводится в амбулаторных условиях. В период обострения больным хроническим холециститом рекомендуется постельный режим в течение 7-10 дней.
Пища должна быть механически и химически щадящей, не обладать холекинетическим эффектом. При обострении заболевания лечебное питание должно способствовать уменьшению воспалительных явлений в желчном пузыре, предупреждать застой желчи, обеспечивать профилактику образования желчных камней. В фазе резкого обострения в первые 1-2 дня назначается только питье теплой жидкости (некрепкий чай, соки из фруктов и ягод, разведенные водой, отвар шиповника) небольшими порциями до 3-6 стаканов в день По мере улучшения состояния в ограниченном количестве назначается протертая пища: слизистые супы, каши (манная, овсяная, рисовая), кисели, муссы, желе. В дальнейшем разрешаются нежирные сорта мяса, рыбы, молочные продукты, сладкие овощи и фрукты, сливочное масло и растительные жиры по 30 г в день. Пища принимается 46 раз в день малыми порциями.
После ликвидации признаков обострения хронического холецистита назначается диета № 5.
Лекарственная терапия включает в себя использование препаратов для купирования болевого синдрома, нормализации функции вегетативной нервной системы и рациональное применение желчегонных средств, описанных в предыдущем разделе. В качестве спазмолитика целесообразно назначать дюспаталин по 200 мг (1 капе.) 2 раза в день.
Для устранения инфицированности желчи используются антибактериальные препараты широкого спектра действия, участвующие в энтерогепатической циркуляции и накапливающиеся в терапевтических концентрациях в желчном пузыре. Препаратами выбора являются бисептол в дозе 960 мг 2 раза в сутки или доксициклина гидрохлорид по 200 мг в сутки. Кроме того, могут быть использованы ципрофлоксацин по 250-500 мг 4 раза в день, ампициллин 500 мг 4 раза в день, эритромицин по 200-400 мг 4 раза в день, фуразолидон по 100 мг 4 раза в день, метронидазол по 250 мг 4 раза в день. Антибактериальная терапия назначается на 10-14 дней. При выборе антибактериального препарата необходимо учитывать не только чувствительность микроорганизмов к антибиотику, но и способность проникновения противомикробных средств в желчь.
С дезинтоксикационной целью рекомендуется внутривенное капельное введение гемодеза, полидеза, 5 % раствора глюкозы, изотонического раствора натрия хлорида, а также прием отвара шиповника, щелочных минеральных вод
С целью коррекции вторичного иммунодефицита используют препараты вилочковой железы крупного рогатого скота (тималин, Тактивин, тимоген, тимоптин), которые вводят внутримышечно ежедневно в течение 10 дней. В качестве иммуномодулятора можно рекомендовать декарис (левамизол 50 мг 1 раз в день первые 3 дня каждой недели в течение 3 нед, натрия нуклеинат 0,2-0,3 г 3-4 раза в день в сроки от 2 нед до 3 мес).
Для повышения неспецифической резистентности организма могут быть использованы адаптогены: сапарал по 1 табл. (0,05 г) 3 раза в день в течение 1 мес, экстракт элеутерококка, настойка женьшеня, китайского лимонника, пантокрин по 30-40 кап. 3 раза в день в течение 12 мес.
В лечении хронического холецистита показано использование ферментных препаратов (дигестал, фестал, панзинорм, креон) в течение 3 нед во время еды, а также антацидных препаратов (маалокс, фосфалюгель, ремагель, протаб), применяющихся спустя 1,5-2 ч после еды.
Для физиотерапевтического лечения хронического холецистита используют грязевые аппликации на область правого подреберья (10 процедур) и электрофорез грязи на область печени (10 процедур). Необходимо помнить, что грязелечение при воспалительных заболеваниях желчевыводящих путей применяют с большой осторожностью, только тем больным, у которых нет признаков активной инфекции, лучше в сочетании с антибиотиками.
Прогноз. Зависит от предрасполагающих факторов, своевременного лечения, тяжести течения.
К каким докторам следует обращаться если у Вас Хронический холецистит:
Вас что-то беспокоит? Вы хотите узнать более детальную информацию о Хронического холецистита, ее причинах, симптомах, методах лечения и профилактики, ходе течения болезни и соблюдении диеты после нее? Или же Вам необходим осмотр? Вы можете записаться на прием к доктору .
Желчный пузырь
Утолщение стенки желчного пузыря является диагностическим признаком, который встречается максимально часто при диагностике болезней желчного пузыря. Исторически так сложилось, что при утолщении стенки желчного пузыря врачи в первую очередь врачи думают о первичном заболевания желчного пузыря, а именно остром холецистите. В данной статье хотелось бы разобрать, какие патологические состояния приводят к утолщению стенки желчного пузыря так, как помимо воспалительных заболеваний желчного пузыря существует другие патологии, приводящие к тому же патоморфологическому признаку, как утолщение стенки желчного пузыря.

Схематичная патология. На данном рисунке продемонстрирован растянутый и гиперемичный желчный пузырь. Данные изменения встречаются при калькулезном холецистите, обусловленные обструкцией камнем желчного протока или шейки желчного пузыря.
УЗИ признаки калькулезного холецистита.
При помощи УЗИ, МРТ и КТ всегда возможно различить нормальную стенку желчного пузыря от утолщенной. Традиционно, УЗИ используется в качестве первого метода исследования при заболеваниях желчного пузыря так, как данный метод обладает высокой чувствительностью и специфичностью при обнаружении камней желчного пузыря. Также к достоинствам УЗИ относится:
- возможность оценки в реальном времени.
- дешевый метод.
- быстрый в выполнении.
- нет лучевой нагрузки.
Однако, компьютерная томография стала популярным методом при диагностике пациентов с симптомами острого живота. При остром животе КТ является первым методом исследования желчного пузыря во многих хирургических клиниках. Также КТ используют, как дополнительный метод исследования, если на УЗИ не выявили патологию или возникли какие-либо сомнения.
У МРТ также высокая диагностическая ценность при визуализации патологии желчного пузыря, но в связи с дороговизной метода и долгим временем выполнения диагностики, используют редко.
В норме стенки желчного пузыря на УЗИ визуализируется следующим образом:
- слизистой слой — гиперэхогенный.
- мышечный слой — гипоэхогенный.
- наружный или серозный слой — гиперэхогенный.
Толщина стенки желчного пузыря зависит от того насколько растянут желчный пузырь. Также толщина желчного пузыря увеличивается при следующих патологиях:
- холецистит.
- цирроз печени.
- асцит.
- острый вирусный гепатит.
- гипопротеинемия.
- злокачественное новообразование.
- правожелудочковая недостаточность.

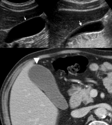
Сверху: УЗИ желчного пузыря стенка норма в виде «карандаша». Справа УЗИ картина псевдо-утолщения стенки желчного пузыря.
На КТ желчный пузырь в норме визуализируется, как образование с плотностью присущей мягким тканям. Указано стрелкой.
Утолщение стенки желчного пузыря — это частая диагностическая находка. Утолщением является размер стенки более 3 мм. При УЗИ утолщенная стенка имеет слоистый внешний вид, а на КТ выявляется гиподенсный слой, что соответствует субсерозному отеку.

Слева — УЗИ — желчного пузыря у 59 летней женщины с острым холециститом. Субсерозный отек так, как гипоэхогенное утолщение между гиперэхогенными слоями (мышечным и слизистым). Справа — КТ брюшной полости с контрастным усилением. Также визуализируется субсерозный отек так, как наружный слой гиподенсный.

Острый холецистит стоит на четвертом месте среди заболеваний брюшной полости, требующих немедленной госпитализации. Если на УЗИ у пациентов, поступивших с острым животом, визуализируется утолщение стенки желчного пузыря, то первое о чем думают радиологи — это острый холецистит. Для постановки диагноза холецистита должны присутствовать также следующие признаки, как на УЗИ, так и на КТ:
- Дилатация желчного пузыря.
- Камни.
- Положительный симптом Мерфи при надавливании ультразвуковым датчиком в область желчного пузыря.
- Гиперемия стенки желчного пузыря в режиме Допплер.
- Воспалительный процесс в жировой клетчатке, окружающая желчный пузырь.

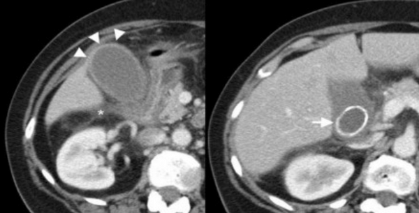
Острый калькулезный холецистит. После контрастного усиления визуализируется растянутый желчный пузырь (белые наконечники) со слегка утолщенной стенкой. Визуализируется камень в шейки желчного пузыря (белая стрелка).

Сверху изображения пациента 62 лет с калькулезным холециститом. На УЗИ визуализируется стенки желчного пузыря растянутые, с субсерозным отеком (указано белыми стрелками) и в просвете желчного пузыря камень и взвесь. На КТ визуализируется переход воспалительного процесса с желчного пузыря на соседние ткани (перихолецистит).
УЗИ некалькулезный холецистит.
Острый бескаменный холецистит возникает у пациентов во время поста, а также у пациентов, которые принимают лекарства, вызывающие холестаз. К признакам некалькулезного холецистита относятся все признаки острого калькулезного холецистита кроме наличия камней в просвете желчного пузыря, но при этом взвесь обычно присутствует.

74 — летнему мужчине выполнено УЗИ желчного пузыря. Диагноз: острый некалькулезный холецистит. На левой сонограмме стрелкой указано утолщение стенок желчного пузыря. В просвете желчного пузыря взвесь. На правой сонограмме у того же пациента при исследовании в доплеровском режиме выявлен еще один признак воспаления — гиперемия.
УЗИ хронических холецистит
Термин хронического холецистита используют для обозначения вялотекущего воспалительного процесса с фиброзированием стенки желчного пузыря и образованием в просвете камней.

Представлен больной с хроническими болями в правом подреберье, который ежедневно воздерживался от еды с вечера. Утолщение слабо выраженное и не является физиологическим. Также визуализируются обструкция и камень. После УЗИ данному больному был поставлен диагноз — хронический холецистит.
Ксантогранулематозный холецистит.
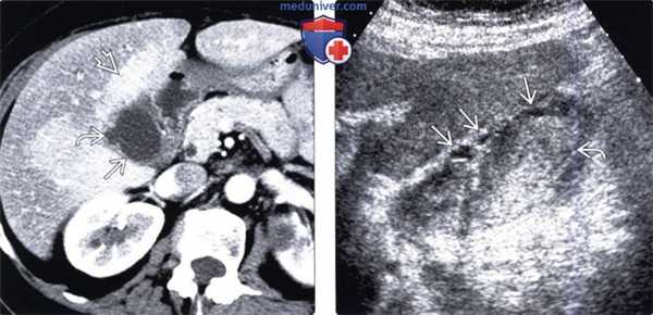
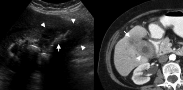
Ксантогранулематозный холецистит — это воспалительное заболевание, характеризующаяся тем, что в стенке желчного пузыря образуются ксантомы и гранулемы. При исследовании выявляют утолщение стенки желчного пузыря, уменьшение органа в размере, а также интрамуральные узелки, которые визуализируются, как гипоэхогенные включения на УЗИ и гиподенсные на компьютерной томограмме. Данные включения схожи с включениями при карциноме желчного пузыря.

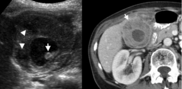
УЗИ и КТ желчного пузыря. Ксантогранулематозный холецистит. Слева на УЗИ визуализируется (помечено стрелками) утолщение стенки желчного пузыря с интрамуральным включением и с камнем в просвете органа. Справа на КТ выявляется утолщение стенки с гиподенсными включениями.

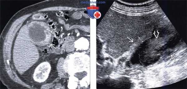
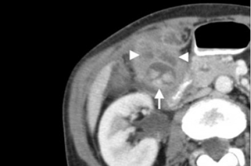
Выше представлено КТ пациента 71 года с ксантогранулематозным холециститом. Постконтрастное КТ. Визуализируется утолщение стенки желчного пузыря с включениями, которые соответствуют абсцессу или фокусам воспаления.
КТ желчного пузыря/Рак желчного пузыря
Наиболее часто встречаемый рак желчного пузыря является карцинома. Карцинома желчного пузыря занимает пятое место по частоте встречаемости среди раков желудочно-кишечного тракта. Чаще его обнаруживают случайно (в 2% случаях) при гистологической проверке после холецистэктомии. Карцинома желчного пузыря выявляется на последних стадиях заболевания так, как себя не проявляет клинически на ранних. Специфических признаков при карциноме желчного пузыря также нет. Рак может поражать желчный пузырь диффузно, целиком стенку или пристеночно. Карцинома желчного пузыря имеет схожую картину с ксантогрануломатозным холециститом, но при постановке диагноза радиологу помогают такие находки:
- Прорастание в соседние органы.
- Вторичная дилатация желчных протоков.
- Метастазирование в печень или лимфатические узлы.

УЗИ (слева) и КТ (справа) желчного пузыря. На УЗИ ярко выраженное утолщение стенки желчного пузыря (указаны белыми стрелками). Множественные камни в просвете желчного пузыря (указано стрелкой). Компьютерная томография с контрастным усилением. На КТ визуализируются утолщение стенки с внутристеночными гиподенсными включениями. На КТ также выявлено, что процесс распространился на печень (указано стрелкой).
Читайте также:
